맨위로가기

백혈병

"오늘의AI위키"는 AI 기술로 일관성 있고 체계적인 최신 지식을 제공하는 혁신 플랫폼입니다.
"오늘의AI위키"의 AI를 통해 더욱 풍부하고 폭넓은 지식 경험을 누리세요.

1. 개요

백혈병은 혈액을 생성하는 조혈모세포의 DNA 돌연변이로 인해 발생하는 혈액암의 일종이다. 급성 백혈병과 만성 백혈병으로 분류되며, 림프구 또는 골수 세포의 영향에 따라 림프모구성/림프구성 백혈병과 골수성 백혈병으로 나뉜다. 멍, 발열, 감염, 빈혈 등의 증상이 나타나며, 혈액 검사, 골수 검사 등을 통해 진단한다. 치료는 화학 요법, 방사선 요법, 조혈모세포 이식 등이 사용되며, 예후는 백혈병 유형, 환자 나이, 치료법 등에 따라 다르다. 세계적으로 매년 수십만 명이 백혈병으로 사망하며, 연구를 통해 진단, 치료법 개선이 이루어지고 있다.

더 읽어볼만한 페이지

  • 백혈병 - 한국백혈병어린이재단
    한국백혈병어린이재단은 백혈병, 소아암 및 희귀난치성 질환을 앓는 어린이와 가족을 위해 2000년 설립된 재단법인으로, 치료비 지원, 쉼터 운영, 정서 지원, 정보 제공 등 의료사회복지 서비스를 제공하며 투명한 운영으로 인정받고 이승환, 김종석 등이 홍보대사로 활동한다.
  • 백혈병 - 키메라 항원 수용체 T 세포
    키메라 항원 수용체 T 세포(CAR-T 세포)는 암세포를 공격하도록 유전자 조작된 T 세포를 이용하는 면역 치료법이며, 주로 혈액암 치료에 사용되고 부작용과 고비용 등의 한계를 가지고 있다.
  • 종양학 - 이형성
    이형성은 세포의 비정상적인 성장과 발달을 특징으로 하는 의학 용어이며, 초기 신생물성 과정을 나타내고 발암 위험을 증가시킬 수 있다.
  • 종양학 - 전이 (의학)
    전이는 암세포가 원발 부위에서 혈관이나 림프관을 통해 다른 부위로 이동하는 과정으로, 폐, 간, 뇌, 뼈 등에 흔히 발생하며 다양한 증상을 유발하고, 상피-간엽 전이 및 간엽-상피 전이 가설, 암줄기세포 가설 등 복잡한 기전을 통해 림프관, 혈행, 체강 등 여러 경로를 거쳐 진행되며, 조직검사, 영상 검사 등으로 진단하고 방사선수술, 항암화학요법, 방사선치료 등으로 치료한다.
백혈병
백혈병
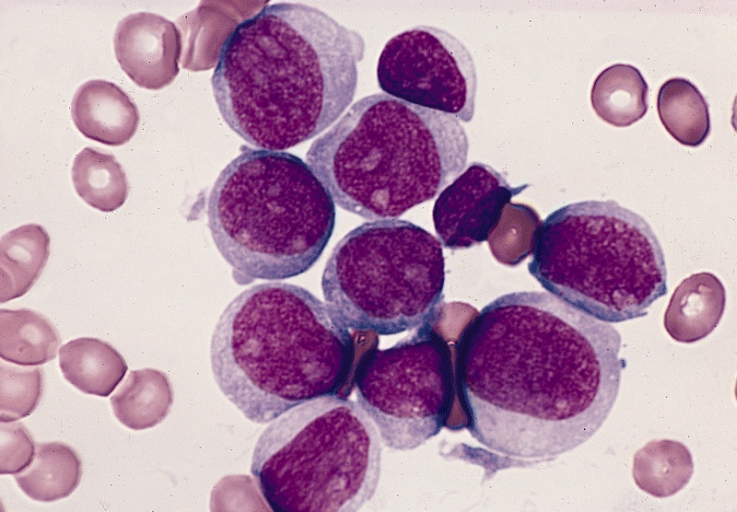
B 세포 급성 림프모구 백혈병 환자의 라이트 염색 골수 흡인 도말 표본.
분야혈액학 및 종양학
증상출혈, 멍, 피로, 발열, 감염 위험 증가
발병 시기모든 연령대, 60~70대에서 가장 흔함. 소아에게 가장 흔한 악성 암이지만 완치율도 높음.
원인유전적 및 환경적 요인
위험 요인흡연, 가족력, 전리 방사선, 일부 발암 물질, 이전 화학 요법, 다운 증후군
진단혈액 검사, 골수 생검
치료화학 요법, 방사선 치료, 표적 치료, 골수 이식, 보존적 치료
예후5년 생존율 67% (미국)
빈도230만 (2015)
사망자353,500 (2015)
상세 정보
추가 정보

2. 분류

백혈병은 임상적, 병리학적으로 다양한 기준에 따라 분류된다. 주요 분류 기준은 병의 진행 속도와 암세포의 기원 세포 종류이다.[15]


  • 진행 속도에 따라서는 미성숙 혈액 세포가 급격히 증가하며 빠르게 진행되는 급성 백혈병과, 비교적 성숙하지만 비정상적인 세포가 서서히 축적되며 느리게 진행되는 만성 백혈병으로 나뉜다.[15] 급성 백혈병은 즉각적인 치료가 필요하다.
  • 기원 세포에 따라서는 림프구 계열 세포에서 유래한 림프구성 백혈병(또는 림프모구성)과, 골수 계열 세포(적혈구, 다른 유형의 백혈구, 혈소판 생성 세포)에서 유래한 골수성 백혈병(또는 골수구성/비림프구성)으로 나뉜다.[15]


이 두 가지 기준(진행 속도, 세포 기원)을 조합하여 백혈병의 네 가지 주요 유형(급성 림프구성 백혈병(ALL), 만성 림프구성 백혈병(CLL), 급성 골수성 백혈병(AML), 만성 골수성 백혈병(CML))이 정의된다.[15][16] 이 외에도 다양한 하위 유형 및 희귀 유형이 존재한다.[15][16]

일본혈액학회는 백혈병을 "유전자 변이 결과, 증식 및 생존 우위를 획득한 조혈세포가 골수에서 자율적으로 증식하는 클론성 질환군"으로 정의하며, 분화 능력을 잃은 미숙 세포가 증가하는 급성 백혈병과 분화·성숙 능력을 가진 세포가 증식하는 만성 백혈병, 그리고 분화 방향에 따른 골수성과 림프성으로 구분한다.[108]

흔히 백혈병을 "혈액암"이라고 부르지만, 의학적으로 '암(癌)'은 주로 상피조직 기원의 악성 종양을 의미하므로, 조혈모세포 기원인 백혈병과는 엄밀히 다르다. 다만 넓은 의미에서 악성 종양을 통칭하여 '암'으로 사용하기도 한다.[128]

악성 림프종이나 골수이형성증후군은 일반적으로 백혈병과 구분되지만, 림프종 세포와 림프성 백혈병 세포는 본질적으로 유사하고, 골수이형성증후군은 백혈병으로 진행될 수 있는 전 단계 상태로 간주되기도 하여[129] 이들 질환과의 경계가 명확하지 않은 경우도 있다.

2. 1. 일반적인 분류

임상적 또는 병리학적으로 백혈병은 여러 그룹으로 나눌 수 있다. 첫 번째 구분 기준은 병의 진행 속도에 따라 급성과 만성으로 나뉜다.[15]

  • 급성 백혈병: 미성숙 혈액 세포(아세포)가 급격히 증가하는 것이 특징이다. 이 비정상적인 세포들이 골수를 가득 채워 정상적인 혈액 세포(헤모글로빈, 혈소판 등) 생성을 방해하며, 이로 인해 빈혈, 감염 취약성, 출혈 경향 등이 나타날 수 있다. 악성 세포가 빠르게 증식하고 혈류를 통해 다른 장기로 퍼질 수 있어 즉각적인 치료가 필요하다. 주로 어린이에게서 많이 발생한다.
  • 만성 백혈병: 비교적 성숙해 보이지만 기능적으로는 비정상적인 백혈구(드물게는 적혈구)가 과도하게 생성되고 축적되는 것이 특징이다. 일반적으로 수개월에서 수년에 걸쳐 서서히 진행된다. 급성 백혈병과 달리, 때로는 즉각적인 치료 대신 경과를 관찰하며 최적의 치료 시기를 결정하기도 한다. 주로 노년층에서 많이 발생하지만, 모든 연령대에서 나타날 수 있다.


급성 백혈병 설명


두 번째 구분 기준은 암세포로 변한 혈액 세포의 종류에 따른 것이다. 이는 백혈병을 림프구성 백혈병과 골수성 백혈병으로 나눈다.[15]

  • 림프구성 백혈병 (또는 림프모구성 백혈병): 면역 기능을 담당하는 림프구를 만드는 골수 세포에서 암 변화가 시작된 경우이다. 대부분의 림프구성 백혈병은 림프구의 한 종류인 B세포와 관련이 있다.
  • 골수성 백혈병 (또는 골수구성/비림프구성 백혈병): 적혈구, 다른 유형의 백혈구, 혈소판 등을 만드는 골수 세포에서 암 변화가 시작된 경우이다.


이 두 가지 분류 기준(급성/만성, 림프구성/골수성)을 조합하여 백혈병의 네 가지 주요 유형을 나눌 수 있다.[15][16]

백혈병의 4가지 주요 유형
세포 유형급성만성
림프구성 백혈병
(또는 "림프모구성")
급성 림프구성 백혈병
(ALL)
만성 림프구성 백혈병
(CLL)
골수성 백혈병
(골수성 또는 비림프구성)
급성 골수성 백혈병
(AML 또는 골수모구성)
만성 골수성 백혈병
(CML)



이 네 가지 주요 유형 외에도 각 유형 내에 여러 하위 분류가 존재하며, 드물게는 이 분류 체계에 속하지 않는 백혈병도 있다.[15][16]

백혈병에서 '급성'과 '만성'이라는 용어는 일반적인 질병에서의 의미와는 다소 차이가 있다. 급성 백혈병은 암세포가 미성숙한 상태로 빠르게 증식하는 것을 의미하며, 만성 백혈병은 암세포가 어느 정도 성숙하는 경향을 보이면서 서서히 증식하는 것을 의미한다. 따라서 급성 백혈병이 시간이 지나 만성 백혈병이 되는 것은 아니며, 오히려 만성 백혈병이 악화되어 급성 백혈병과 유사한 상태(급성 전환)로 변하는 경우가 있다.[127][203]

2. 2. 개별 유형

백혈병은 임상적으로나 병리학적으로 다양한 기준으로 분류된다. 가장 기본적인 구분은 병의 진행 속도에 따른 급성 백혈병만성 백혈병이다.[15]

  • 급성 백혈병: 미성숙 혈액 세포가 급격히 증가하는 것이 특징이다. 이러한 비정상적인 세포들이 골수를 가득 채워 정상적인 혈구(헤모글로빈, 혈소판 등) 생성을 방해한다. 악성 세포가 빠르게 증식하고 혈류를 통해 다른 장기로 퍼질 수 있어 즉각적인 치료가 필요하다. 특히 소아 백혈병에서 가장 흔한 형태이다.
  • 만성 백혈병: 비교적 성숙했지만 여전히 비정상적인 백혈구 또는 드물게 적혈구가 과도하게 축적되는 것이 특징이다. 일반적으로 수개월에서 수년에 걸쳐 서서히 진행되며, 비정상적인 세포가 정상보다 훨씬 높은 비율로 생성된다. 급성 백혈병과 달리, 치료 효과를 높이기 위해 일정 기간 관찰 후 치료를 시작하기도 한다. 주로 고령자에게 발생하지만 모든 연령대에서 나타날 수 있다.


또한, 암세포로 변한 혈구의 종류에 따라 림프구성 백혈병골수성 백혈병으로 나뉜다.[15]

  • 림프구성 백혈병: 면역 기능을 담당하는 림프구를 만드는 골수 세포에서 암 변화가 시작된 경우이다. 대부분 특정 림프구인 B 세포와 관련된다.
  • 골수성 백혈병: 적혈구, 다른 종류의 백혈구, 혈소판 등을 만드는 골수 세포(골수계 세포)에서 암 변화가 시작된 경우이다.


이 두 가지 분류 기준(진행 속도, 세포 종류)을 조합하여 백혈병은 크게 네 가지 주요 유형으로 나뉜다.

'''네 가지 주요 백혈병 유형'''

세포 유형급성만성
림프구성 백혈병
(림프모구)
급성 림프구성 백혈병 (ALL)만성 림프구성 백혈병 (CLL)
골수성 백혈병
(골수구 또는 비림프구성)
급성 골수성 백혈병 (AML)만성 골수성 백혈병 (CML)



각 주요 유형 및 기타 유형에 대한 설명은 다음과 같다.


  • 급성 림프구성 백혈병 (ALL): 어린이에게 가장 흔한 백혈병 유형이지만, 65세 이상 성인에게도 발병한다. 표준 치료법은 항암 화학 요법과 방사선 요법이다. 주요 아형으로는 전구 B 세포 급성 림프구성 백혈병, 전구 T 세포 급성 림프구성 백혈병, 버킷 림프종, 급성 이중표현형 백혈병 등이 있다. 환자 자체는 어린이가 많지만, ALL로 인한 사망의 80%는 성인에게서 발생한다.[371][17]
  • 만성 림프구성 백혈병 (CLL): 주로 55세 이상 성인에게 발생하며, 젊은 성인에게도 간혹 나타나지만 어린이에게는 거의 발생하지 않는다. 환자의 약 3분의 2가 남성이다. 5년 생존율은 85% 정도이다.[372][18] 완치는 어렵지만 효과적인 치료법이 많다. 아형 중 B 세포 전림프구성 백혈병은 더 공격적인 경과를 보인다.
  • 급성 골수성 백혈병 (AML): 어린이보다 성인에게, 여성보다 남성에게 훨씬 흔하게 발생한다. 주로 항암 화학 요법으로 치료한다. 5년 생존율은 약 20%이다.[373][19] 아형으로는 급성 전골수구성 백혈병, 급성 골수모구성 백혈병, 급성 거대핵구성 백혈병 등이 있다.
  • 만성 골수성 백혈병 (CML): 주로 성인에게 발생하며, 소수의 어린이에게도 발병한다. 이마티닙(상품명 글리벡)과 같은 표적 치료제나 다른 약물로 치료한다.[374][20] 5년 생존율은 90%에 달한다.[375][376][21][22] 아형으로 만성 골수단핵구성 백혈병이 있다.
  • 털세포 백혈병 (HCL): 때때로 CLL의 아형으로 분류되기도 하지만, 명확히 구분되는 특징을 가진다. 환자의 약 80%가 성인 남성이며, 어린이 발병 사례는 보고되지 않았다. 완치는 어렵지만 치료가 비교적 쉬우며, 10년 생존율은 96~100%로 매우 높다.[377][23]
  • T세포 전림프구성 백혈병 (T-PLL): 성인에게 발생하는 매우 드물고 공격적인 백혈병이다. 여성보다 남성에게 약간 더 많이 진단된다.[378][24] 전체 백혈병 중에서는 드물지만, 성숙 T세포 백혈병 중에서는 가장 흔한 유형이다 (대부분의 다른 백혈병은 B세포 관련).[379][25] 치료가 어렵고 평균 생존 기간이 수개월 정도로 짧다.
  • 대과립 림프구성 백혈병: T세포 또는 NK 세포와 관련된 드문 백혈병이다. B세포만 관련된 털세포 백혈병처럼 비교적 느리게 진행(비공격적)하는 경향이 있다.[380][26]
  • 성인 T세포 백혈병: 인간 T세포 백혈병 바이러스(HTLV) 감염에 의해 발생한다. HTLV는 HIV와 유사하게 CD4+ T세포를 감염시키지만, 세포를 파괴하는 대신 비정상적으로 증식하도록 만든다. HTLV-I/II는 세계 일부 지역에서 풍토병으로 존재한다.
  • 단일클론 호산구증가증 (클론성 호산구 증가증): 골수, 혈액, 조직 등에서 호산구가 비정상적으로 증식하는 혈액 질환 그룹이다. 전암성이거나 암성일 수 있으며, 유전적으로 동일한 호산구(클론) 그룹의 증식을 특징으로 한다.[381][27] 만성 호산구성 백혈병으로 진행하거나 다른 골수계 또는 림프계 신생물, 골수섬유증, 골수이형성 증후군 등과 연관될 수 있다.[382][28][29][383]
  • 혼합성 백혈병 및 계통 불명 백혈병: 드물게 백혈병 세포의 세포 계열(골수성 또는 림프성)이 명확하지 않은 경우가 있다. 골수계와 림프계 세포 집단이 동시에 나타나거나, 하나의 세포에 두 계열의 특징이 모두 나타나거나, 어떤 분화 경향도 보이지 않는 미분화형 백혈병(줄기세포 백혈병) 등이 여기에 해당한다.[302][303] 일반적으로 예후가 좋지 않다고 알려져 있다.[303]
  • 저형성 백혈병: 백혈병은 일반적으로 골수에서 비정상 세포(아세포) 수가 증가하는 것이 특징이지만, 예외적으로 아세포 비율은 증가하면서도 전체 골수 세포 수는 감소하는 경우가 있다. 주로 고령자의 AML에서 나타나며, 재생불량성빈혈과 유사해 보이지만 아세포 비율 증가로 구분된다.[306] 강한 항암 치료가 어려울 수 있다.[305][306]

2. 3. 백혈병 전 단계

백혈병으로 진행될 수 있는 몇 가지 전 단계 질환들이 있다.

  • '''일과성 골수 증식성 질환'''(Transient myeloproliferative diseaseeng)은 '일과성 백혈병'이라고도 불리며, 비암성 거대핵구모세포(megakaryoblast)의 클론(clone)이 비정상적으로 늘어나는 상태를 말한다.[384][385][386][30][31][32] 이 질환은 다운증후군(Down syndrome) 환자나 이와 유사한 유전적 변화를 가진 사람에게만 나타나는 특징이 있다. 주로 임신 중이나 출생 직후 아기에게 발생하며, 대부분 3개월 안에 저절로 사라진다. 하지만 약 10%의 경우에는 급성 거대핵구성 백혈병(acute megakaryoblastic leukemia)으로 진행될 수 있다. 따라서 일과성 골수 증식성 질환은 백혈병의 전 단계로 여겨진다.[384][385][386][30][31][32]

  • '''골수이형성증후군'''(Myelodysplastic syndrome|MDSeng)은 혈액 세포 생성이 비정상적으로 이루어지는 질환군으로, 일부는 백혈병 전 단계로 간주된다. MDS는 주로 빈혈을 동반한 조혈 장애와 세포의 비정상적인 형태(이형성)를 특징으로 한다.[307][308][309] MDS 중 일부에서는 골수 내 아세포(blast) 비율이 증가하는데, 이는 전백혈병 상태로 여겨진다. 골수 내 아세포 비율이 20%를 넘어서면 급성 골수성 백혈병(AML)으로 진단된다.[307][308][309] MDS 세포는 유전자 이상으로 인해 세포 분화에 장애가 생겨 아세포 비율이 증가하며, 여기에 자율적인 증식 능력과 불멸화가 더해지면 이차성 급성 골수성 백혈병으로 진행될 수 있다고 본다.[307][308][309] MDS가 발생하면 국제 예후 점수 시스템(International Prognostic Scoring System|IPSSeng) 등을 이용해 급성 백혈병으로 진행될 위험도를 평가할 수 있다.[33]

  • '''클론성 조혈'''(Clonal hematopoiesiseng)은 나이가 들면서 흔히 나타나는 현상으로, 특정 유전자 변이를 가진 조혈모세포가 증식하는 상태를 말한다. 이는 골수이형성증후군(MDS)이나 백혈병으로 진행될 위험이 있지만, 그 가능성은 비교적 낮다.[33]

  • '''단일클론성 B 세포 림프구증가증'''(Monoclonal B-cell lymphocytosiseng)은 특정 B 세포 클론이 약간 증가한 상태로, 만성 림프구성 백혈병과 같은 B 세포 계열 백혈병으로 진행될 위험이 있지만 역시 낮은 편이다.

3. 징후 및 증상



백혈병의 가장 흔한 증상은 골수 손상으로 인해 발생한다. 골수에서 미성숙한 백혈병 세포가 비정상적으로 증가하면서 정상적인 혈액 세포(적혈구, 백혈구, 혈소판) 생성을 방해하기 때문이다.[108] 이러한 증상은 다른 질병에서도 나타날 수 있으므로, 정확한 진단은 반드시 의학 검사를 통해 이루어져야 한다.[392]

어린이에게 가장 흔하게 나타나는 증상으로는 쉽게 이 들고, 피부가 창백해지며, 발열이 나고, 비장이나 이 커지는 것 등이 있다.[35][388]

=== 정상 혈액 세포 감소로 인한 증상 ===

  • 혈소판 감소: 혈액 응고에 중요한 역할을 하는 혈소판이 부족해지면 쉽게 이 들거나(자반병), 출혈이 과도하게 발생하고 잘 멈추지 않으며, 피부에 작은 붉은 반점(점상출혈)이 나타날 수 있다.[36][389][143] 치은 출혈이나 코피도 흔하다.[144]
  • 백혈구 감소 또는 기능 이상: 정상적인 백혈구 수가 줄어들거나 제 기능을 하지 못하면 면역 체계가 약해진다. 이로 인해 병원체에 대한 저항력이 떨어져 편도선염, 구내염, 설사, 폐렴, 기회 감염 등 다양한 감염에 취약해지고 자주 앓게 된다.[37][390][108] 발열은 감염의 흔한 징후이다.[144]
  • 적혈구 감소: 적혈구가 부족해지면 빈혈이 발생하여 호흡 곤란, 피로감, 창백, 어지럼증, 두근거림 등의 증상이 나타날 수 있다.[38][391][108][144]


=== 기타 증상 ===

  • 전신 증상: 발열, 오한, 식은땀(특히 밤에), 전신 쇠약, 피로감 등 독감과 유사한 증상이 나타날 수 있다.[39][392]
  • 장기 침윤 증상: 백혈병 세포가 이나 비장에 침투하여 커지면(간종대, 비장 비대) 메스꺼움이나 복부 포만감을 느낄 수 있고, 이로 인해 의도치 않은 체중 감소가 발생하기도 한다.[39][392] 백혈병 세포가 림프절에 쌓여 부어오르거나(림프절 종창), 를 침범하여 골통(뼈 통증)을 유발할 수도 있다.[392][144] 피부 침범 시 다양한 피부 병변이 나타날 수 있다.[144][155]
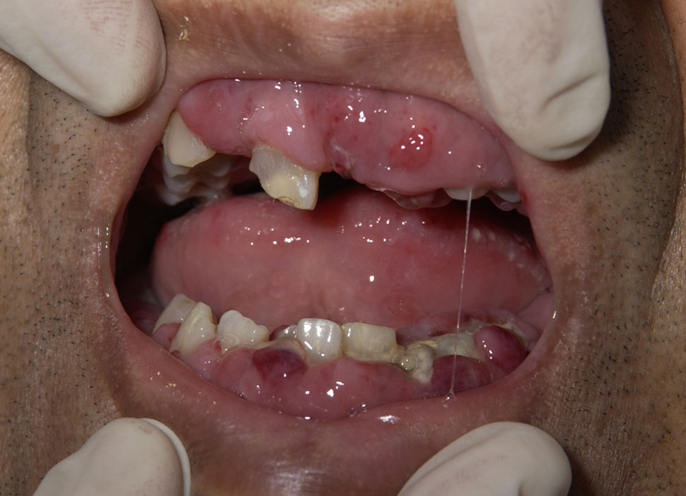
  • 급성골수성백혈병(AML-M4)에서 백혈병 세포의 침윤으로 부어오른 치은. 단, 치은 부종은 다른 원인으로도 발생할 수 있다.
    치은 부종: 특히 급성골수성백혈병(AML)의 특정 아형(M4, M5)에서는 백혈병 세포가 잇몸(치은)에 침윤하여 붓는 증상이 나타날 수 있다.[143][144]
  • 신경계 증상: 백혈병 세포가 중추 신경계(, 척수)를 침범하면 두통, 의식장애, 발작, 혼수 상태 등 다양한 신경학적 증상이 나타날 수 있다. 드물게 뇌압 상승으로 인해 편두통이 발생하기도 한다.[392][144][146]


=== 백혈구 수치 ===

백혈병이라는 이름은 진단 시 많은 환자에게서 백혈구 수치가 높게 나타나는 특징에서 유래했지만[40][393], 모든 백혈병 환자의 백혈구 수치가 높은 것은 아니다. 일부 환자, 특히 털세포 백혈병 환자에서는 백혈구 수치가 정상이거나 오히려 낮게 나타나는 '무백혈병성 백혈병'(aleukemic leukemiaeng) 상태일 수 있다. 이 경우 암세포인 백혈병 세포가 골수에는 존재하지만 혈액으로 나오지 않아 일반 혈액 검사에서는 잘 드러나지 않는다.[63][394] 혈액 검사에서 보이는 백혈구는 수가 많더라도 대부분 미성숙하거나 기능 장애가 있는 세포이다.[40][393]

=== 급성 백혈병과 만성 백혈병의 증상 차이 ===

백혈병은 크게 급성과 만성으로 나뉘며, 증상 발현 양상에 차이가 있다.

  • 급성 백혈병 (AML, ALL): 증상이 비교적 빠르게 나타나고 진행된다. 주로 정상 혈액 세포 감소로 인한 증상(감염, 빈혈, 출혈)이 두드러진다.[143][144] 림프절, , 비장의 종대나 중추 신경계 침범 증상은 급성림프성백혈병(ALL)에서 더 흔하게 나타난다.[146][147][148][149]
  • 만성 백혈병 (CML, CLL): 초기에는 증상이 거의 없거나 경미하여 건강검진 등에서 우연히 발견되는 경우가 많다.[150][152]
  • 만성골수성백혈병(CML): 만성기에는 무증상이거나 비장 비대로 인한 복부 팽만감, 미열, 권태감 등이 나타날 수 있다. 치료하지 않으면 수년 후 급성 전환되어 급성 백혈병과 유사한 증상을 보인다.[150][151]
  • 만성림프성백혈병(CLL): 진행이 매우 느린 경우가 많다. 통증 없는 림프절 종창이 가장 흔한 증상이며, 그 외 권태감, 비장 비대, 식은땀, 발열 등이 나타날 수 있다. 병이 진행되면 빈혈, 혈소판 감소, 잦은 감염, 자가면역질환 등이 동반될 수 있다.[152][153][154]

4. 원인

백혈병은 다른 과 마찬가지로 DNA돌연변이로 인해 발생한다. 특정 돌연변이는 암유전자를 활성화하거나 종양 억제 유전자를 비활성화하여 세포 사멸, 분화 또는 분열 조절을 방해함으로써 백혈병을 유발할 수 있다. 이러한 돌연변이는 자연적으로 발생하거나 방사선 또는 발암성 물질 노출과 같은 외부 요인에 의해 발생할 수 있다.[398][44] 대부분의 백혈병은 원인이 명확하지 않지만[186], 몇 가지 알려진 위험 요인이 존재한다. 각 종류의 백혈병마다 원인이 다를 수 있다.[397][43]

=== 환경적 요인 ===


  • '''화학 물질''': 포름알데히드 노출은 골수성 백혈병 발병과 관련이 있다는 연구 결과가 있다.[395][396][41][42] 성인의 경우 석유화학 물질, 특히 벤젠 노출이 주요 원인 중 하나로 알려져 있다.[45][46][47] 일부 석유화학 물질 및 헤어 염색약 노출도 특정 백혈병 발병과 관련 있다는 연구가 있다.[48] 흡연은 성인 급성 골수성 백혈병(AML) 발병 위험을 약간 증가시킨다.[45] 이전 암 치료에 사용된 알킬화 화학 요법제도 원인이 될 수 있다.[45][46][47] 채소를 많이 섭취하면 약간의 보호 효과가 있을 수 있지만, 일반적으로 식단은 백혈병 발병에 거의 영향을 미치지 않는다.[399][48]
  • '''방사선''': 자연 및 인공 전리 방사선 노출은 백혈병의 주요 원인 중 하나이다.[45][46][47] 제2차 세계 대전 당시 히로시마와 나가사키 원자폭탄 피폭자 연구에서, 방사선 노출 후 5~10년 사이에 만성 골수성 백혈병(CML) 발생 빈도가 현저히 증가했으며[322][324][325], 전체 백혈병 발병률은 피폭 후 6~8년에 최고조에 달했다.[327][328] 체르노빌 원전 사고에서는 고선량 피폭 작업자에게서 백혈병 발생이 확인되었으나, 일반 주민에게서는 명확한 증가 증거가 없었다.[335][336] 러시아 마야크 핵시설 사고에서는 핵무기용 플루토늄 생산 과정에서 방출된 스트론튬-90으로 인해 작업자 및 주변 주민에게서 백혈병 증가가 관측되었다.[336] 과거 강직성척추염이나 자궁경부암 치료를 위해 고선량 방사선 치료를 받은 경우에도 백혈병 발병률 증가가 보고되었다.[337] 과거 방사선 방호 인식이 낮았던 시절의 방사선과 의사에게서 백혈병 사망률이 높았다는 보고도 있으나, 방호 대책이 확립된 후에는 이러한 경향이 사라졌다.[338] 반면, 전력선 등에서 발생하는 극저주파 전자기장(비전리 방사선) 노출과 소아 백혈병 간의 연관성은 증거가 제한적이며, 성인 백혈병과의 관련성은 입증되지 않았다.[411][59][412][60]
  • '''바이러스''': 대부분의 백혈병은 바이러스와 관련이 없지만[187], 일부 바이러스는 특정 백혈병의 원인이 된다. 인간 T세포 백혈병 바이러스(HTLV-1)는 성인 T세포 백혈병을 유발한다.[400][49][188] EB 바이러스는 아프리카 등 특정 지역의 버킷형 급성 림프구성 백혈병(ALL L3)과의 관련성이 지적된다.[189][190]


=== 유전적 요인 ===

  • '''유전적 소인''': 일부 사람들은 백혈병 발병에 대한 유전적 소인을 가지며, 이는 가족력과 쌍둥이 연구를 통해 확인된다.[401][45] 영향을 받은 가족 내에서 같은 종류 또는 다른 종류의 백혈병이나 관련 혈액암이 발생할 수 있다.[401][45] 백혈병 자체가 부모로부터 자녀에게 유전되는 것은 아니다.[187]
  • '''유전 질환 및 염색체 이상''': 특정 유전 질환이나 염색체 이상은 백혈병 위험을 높인다.[405][46] 다운증후군 환자는 급성 백혈병(특히 AML) 위험이 상당히 높고[401][45], 판코니 빈혈은 AML 발병 위험 요인이다.[401][45] SPRED1 유전자 돌연변이는 소아 백혈병 소인과 관련이 있다.[406][53] 만성 골수성 백혈병(CML) 환자의 95%는 필라델피아 염색체 전위라는 특정 유전적 이상을 가지고 있다. 이 이상은 CML의 주요 원인이지만, 다른 유형의 백혈병에서도 발견될 수 있다.[407][408][409][410][55][56][57][58]


=== 기타 요인 ===

  • 모체-태아 전염(임신 중 어머니가 백혈병에 걸려 태아에게 전염되는 경우) 사례가 드물게 보고된 바 있다.[401][45]
  • 배란 유도를 위해 생식 치료제를 사용한 산모에게서 태어난 아이는 어린 시절 백혈병 발병 확률이 더 높다는 보고가 있다.[402][50]
  • 신생아 황달 치료에 사용되는 광선 요법과 골수성 백혈병 간의 통계적 연관성이 발견되었으나, 이것이 직접적인 원인인지 아니면 황달과 백혈병을 유발하는 다른 요인의 결과인지는 명확하지 않다.[403][51]


=== 전단계 질환 ===

일부 혈액 질환은 백혈병으로 진행될 위험이 있다.

  • 일과성 골수 증식 질환(Transient myeloproliferative disease, 일과성 백혈병)은 주로 다운증후군 신생아에게 발생하며, 대부분 자연 소실되지만 약 10%는 급성 거대핵구성 백혈병으로 진행될 수 있는 백혈병 전 단계 질환이다.[30][31][32]
  • 클론성 조혈(Clonal hematopoiesis)은 노화와 관련된 흔한 현상으로, 낮은 확률로 골수이형성증후군(MDS)이나 백혈병으로 진행될 수 있다.[33]
  • 단일클론성 B 세포 림프구증가증(Monoclonal B-cell lymphocytosis)은 낮은 확률로 B세포 백혈병으로 진행될 수 있다.


=== 치료 관련 백혈병 ===

다른 암 치료를 위해 항암제나 방사선 치료를 받은 후 수년 뒤에 백혈병(주로 치료 관련 급성 골수성 백혈병, tAML)이나 골수이형성증후군(tMDS)이 발병할 수 있다.[296] 이는 치료 관련 백혈병(tAML/tMDS)이라 불리며, 자연 발생 백혈병보다 예후가 좋지 않은 경우가 많다.[296] 사용된 약제 종류에 따라 발병 시기가 다른데, 알킬화제 사용 후에는 5~7년, 토포이소머라제 II 저해제 사용 후에는 2~3년 뒤에 발병하는 경향이 있다.[296]

=== 발생 메커니즘 ===

백혈병은 골수에서 조혈모세포나 그 이전 단계 세포의 유전자에 후천적인 이상이 생겨 발생하는 것으로 생각된다. 이 유전자 이상으로 인해 '백혈병 줄기세포'가 만들어지고, 이 세포는 정상적인 조절을 받지 않고 스스로 증식하며(자율적 증식), 분화 능력을 잃거나 비정상적인 분화를 하게 된다.[184][185] 백혈병 발생에는 여러 단계의 유전자 이상 축적이 필요하며[192][193], 세포의 증식/생존 능력을 높이는 변이(클래스 I 변이)와 세포 분화를 방해하는 변이(클래스 II 변이)가 최소 2단계 이상 필요하다고 여겨진다.[270][271][272]

백혈병 세포는 정상 세포보다 세포 분열 속도가 오히려 느린 경우가 많지만[277][278][279], 정상 세포와 달리 아포토시스(세포 자살)를 피하고(불멸화)[199][201] 무한정 증식하기 때문에 결국 골수를 가득 채우고 정상적인 조혈 기능을 방해하게 된다.[277][278][279][280] 백혈병이 진단될 시점에는 이미 체내에 엄청난 수(약 1012개, 즉 1조 개)의 백혈병 세포가 존재하게 된다.[281]

5. 진단

백혈병에서의 백혈구 증가.


백혈병 진단은 일반적으로 환자가 호소하는 증상을 관찰한 후, 반복적인 혈액 검사와 골수 검사를 통해 이루어진다.[61][156] 하지만 질병 초기 단계나 증상이 완화된 관해기에는 혈액 검사만으로는 백혈병 세포가 잘 나타나지 않을 수도 있다.[61] 특정 유형의 백혈병이 의심되는 상황에서는 림프절 생검을 시행하기도 한다.[413]

진단이 내려진 후에는 혈액 화학 검사를 통해 이나 신장의 손상 정도를 파악하고, 화학 요법이 환자에게 미치는 영향을 평가할 수 있다.[414][62] 또한 백혈병이 다른 신체 부위에 영향을 미쳤는지 확인하기 위해 엑스레이, MRI, 초음파 검사 등을 사용한다. 이 검사들을 통해 뼈(엑스레이), 뇌(MRI), 신장, 비장, 간(초음파) 등에서 백혈병의 영향을 확인할 수 있다.[414][62] 드물지만 가슴 부위의 림프절 상태를 확인하기 위해 CT 스캔을 사용하기도 한다.[414][62] 백혈병 세포가 중추 신경계에 침투했는지 여부나 감염증 유무 등을 확인하기 위해 뇌척수액 검사, 세균 배양 검사 등 추가적인 검사가 시행될 수도 있다.[145][147][163]

하지만 이러한 검사 방법에도 불구하고 백혈병 진단은 쉽지 않을 수 있다. 백혈병의 여러 증상들이 다른 질병에서도 흔히 나타나는 모호하고 비특이적인 경우가 많기 때문이다. 이로 인해 미국 암 협회에서는 백혈병 환자 5명 중 1명 이상이 아직 진단받지 못한 상태일 것으로 추정하기도 한다.[415][63]

=== 혈액 검사 ===

혈액 검사(말초혈)에서 미성숙한 백혈구인 아세포(blast cell)가 명확하게 확인되면 백혈병일 가능성이 높다.[156] 급성 백혈병의 경우, 혈액 내 유핵 세포 중 다수의 아세포와 소수의 정상 백혈구만 보이고 중간 성숙 단계의 세포가 부족한 현상(백혈병 열공, leukemic hiatus)이 나타나기도 한다.[165] 하지만 말초혈에서 아세포가 보이지 않더라도, 백혈구 수가 비정상적으로 많거나 적혈구와 혈소판 수가 현저히 감소했다면 백혈병을 의심하고 골수 검사를 고려해야 한다.[156]

일부 백혈병 환자는 정기 혈액 검사에서 백혈구 수치가 높게 나타나지 않는 '무백혈병성 백혈병'(aleukemic leukemia) 상태일 수 있다. 이 경우, 암세포인 백혈병 세포가 골수에는 존재하여 정상적인 혈액 세포 생성을 방해하지만 혈류로 나오지 않아 혈액 검사에서는 백혈구 수치가 정상이거나 낮게 나타난다. 무백혈병성 백혈병은 4가지 주요 백혈병 유형 모두에서 나타날 수 있으며, 특히 털세포 백혈병에서 흔하다.[63]

=== 골수 검사 ===

백혈병의 근본 원인은 골수에 있으므로, 정확한 진단과 상태 파악을 위해서는 골수 검사가 필수적이다.[156] 골수 검사를 통해 골수 내 유핵 세포 중 아세포의 비율을 확인하는데, 세계보건기구(WHO) 분류 기준에 따르면 아세포 비율이 20% 이상일 경우 급성 백혈병으로 진단한다.[161] 따라서 골수 검사 없이는 급성 백혈병 진단을 확정하기 어렵다. 골수 검사에서는 아세포 비율 외에도 세포의 형태학적 특징, 과형성(hyperplasia) 여부 등을 관찰한다.[157][158][159][160]

또한, 골수 세포에 대한 특수 염색(MPO 염색, 비특이적 에스테라아제 염색)이나 면역학적 표지자 검사를 통해 백혈병의 정확한 아형(급성 골수성 백혈병, 급성 림프구성 백혈병 등)을 진단한다.[161][125][126] 만성 골수성 백혈병(CML)의 경우, 특징적인 필라델피아 염색체 유무를 확인하는 검사가 중요하며,[162] 만성 림프구성 백혈병(CLL) 역시 골수 검사를 통해 특징적인 소견을 확인한다.[162]

급성 골수성 백혈병(AML-M1)의 골수. 급성 골수성 백혈병의 골수도 균일한 세포로 가득 차게 된다. 각 사진은 보기 좋게 염색한 이미지이다. 염색하지 않은 백혈구나 미숙 세포는 무색 투명하다. 각 사진의 색상 차이는 실제 세포의 색상 차이가 아니라 염색이나 촬영 조건의 차이 때문이다.


만성 골수성 백혈병의 골수. 만성 백혈병에서는 세포의 분화 능력이 유지되기 때문에 골수에서는 각 성숙 단계의 다양한 세포가 보이지만, 정상적인 골수에 비해 백혈구계 세포의 밀도가 높고, 다양한 이상도 있다.

6. 치료

대부분의 백혈병은 약물 치료, 특히 여러 약물을 함께 사용하는 화학 요법으로 치료한다. 일부는 방사선 요법으로 치료하기도 하며, 경우에 따라 골수 이식이 효과적일 수 있다.

현재 백혈병 치료의 기본은 항암제를 이용한 항암화학요법이다. 골수이식이나 제대혈이식과 같은 조혈모세포이식술은 매우 강력한 치료이며, 치료 자체가 사망 원인이 되는 치료 관련 사망도 적지 않다. 또한, 백혈병 세포가 줄어들지 않은 상태(비관해기)에서 이식을 하면 실패할 가능성이 높으므로, 백혈병 진단을 받더라도 바로 이식을 하는 것이 아니라, 우선 항암제 치료를 하고 그 경과와 예후 인자를 고려하여 이식 여부를 결정한다.[215]

치료 목표 중 하나는 '관해' 상태에 도달하는 것이다. 관해란 백혈병 세포가 감소하고 증상이 없어진 상태를 의미하며, '완전 관해'는 현미경 관찰이나 더 민감한 분자생물학적 검사로도 백혈병 세포가 발견되지 않는 상태를 말한다. 급성 골수성 백혈병(AML) 진단 시 환자 몸에는 약 1012개(1조 개)의 백혈병 세포가 있을 수 있는데, 혈액학적 완전 관해는 109개(10억 개) 이하, 분자유전학적 완전 관해는 106개(100만 개) 이하로 줄어든 상태를 의미한다.[216] 그러나 단 하나의 백혈병 세포라도 남아있으면 재발할 수 있으므로[217][218], 급성 백혈병 치료에서는 이론적으로 모든 백혈병 세포를 제거하는 것(total cell kill)을 목표로 한다.[218] 다만, 만성 백혈병 등에서는 완치보다는 질병을 억제하여 생존 기간과 QOL(Quality of Life)을 개선하는 방향으로 치료하기도 한다.

완전 관해 상태가 되어도 백혈병이 재발하는 경우가 있는데, 이는 골수 깊숙한 곳(니치)에 숨어있는 백혈병 줄기세포가 항암제에 내성을 가지고 살아남기 때문이다. 재발한 백혈병 세포는 치료 저항성이 강해 일반적인 치료에 잘 반응하지 않으므로, 재발했거나 재발 위험이 높은 유형의 백혈병에는 가장 강력한 치료법인 조혈모세포이식(골수이식, 제대혈이식 등)을 고려한다.[220][221][222][223]

조혈모세포이식은 먼저 고용량 항암제와 방사선 치료(전처치)를 통해 백혈병 줄기세포를 포함한 병든 세포를 최대한 제거하는 것을 목표로 한다.[224] 이 과정에서 정상 조혈 세포도 파괴되므로, HLA형이 일치하는 건강한 기증자의 조혈모세포를 이식하여 새로운 조혈 시스템을 만들어야 한다.[225][226][227][228] 타인(가족 포함)에게서 이식받는 동종 이식[229]의 경우, 이식된 면역 세포가 남아있는 백혈병 세포를 공격하는 '이식편대백혈병 효과'(Graft versus leukemia effect, GVL 효과)를 기대할 수 있다.[230] 하지만 동시에 이식된 면역 세포가 환자의 정상 세포를 공격하는 심각한 부작용인 GVHD가 발생할 위험도 있다.[230] 자신의 조혈모세포를 이용하는 자가 이식은 GVHD 위험은 없지만 GVL 효과를 기대할 수 없고, 채취한 세포에 백혈병 세포가 섞여 있을 수 있어 재발률이 동종 이식보다 높다.[230] 백혈병 치료에서는 자가 이식보다 동종 이식이 더 흔하게 시행된다.[229]

고령이나 체력이 약한 환자를 위해 전처치의 강도를 낮춘 '소량이식'(미니이식)도 있다. 이는 전처치로 백혈병 세포를 완전히 제거하기보다는, 이식 후 GVL 효과에 더 의존하는 방식이다. 하지만 소량이식 역시 상당한 부담이 따르는 치료법이다.[232][233]

=== 종류별 치료법 ===

==== 급성 림프구성 백혈병 (ALL) ====

급성 림프구성 백혈병(ALL) 치료는 골수와 전신 질환을 조절하고, 특히 중추신경계(CNS)로 백혈병 세포가 퍼지는 것을 막는 데 중점을 둔다.[64] 치료는 일반적으로 여러 단계로 나뉜다.


  • 유도 화학요법: 골수 관해를 목표로 한다. 성인의 경우 프레드니손, 빈크리스틴, 안트라사이클린 계열 약물을 기본으로 하고, L-아스파라기나아제나 사이클로포스파마이드를 추가할 수 있다. 저위험군 소아는 보통 프레드니손, L-아스파라기나아제, 빈크리스틴 세 가지 약물로 첫 달 치료를 받는다.[243][244]
  • 강화 요법 (공고 요법): 남아있는 백혈병 세포를 제거하기 위해 시행된다. 여러 접근법이 있으며, 보통 몇 달간 고용량의 여러 약물을 사용한다. 저위험군 또는 중간 위험군 환자는 메토트렉세이트와 6-머캡토퓨린(6-MP) 같은 대사 길항제를 사용하고, 고위험군 환자는 이 약물들을 더 고용량으로 사용하며 다른 약물도 추가한다. 강화 요법에도 다양한 프로토콜이 있으며, 관해 유도 요법과는 다른 약물 조합을 사용하는 것이 기본이다. 여러 종류의 약물을 사용하거나, 시타라빈(킬로사이드) 대량 요법 등을 시행한다.[229][244]
  • 중추신경계(CNS) 예방 요법: ALL은 백혈병 세포가 뇌와 척수로 침투하기 쉬우므로[244][245], 이를 예방하기 위한 치료가 필요하다. 고위험군 환자에게는 머리에 방사선을 쬐거나, 메토트렉세이트나 시타라빈 등의 항암제를 척수강 내에 직접 주사하는 방법을 사용한다.
  • 유지 요법: 관해 도달 후 재발을 막기 위해 시행한다. 일반적으로 낮은 용량의 약물을 사용하며 최대 3년까지 지속될 수 있다. 주로 경구 항암제(6-머캡토퓨린, 메토트렉세이트)나 프레드니솔론을 정기적으로 투여한다.[229][244]
  • 동종 골수 이식: 고위험군이거나 재발한 환자에게 고려될 수 있다.[416] 성인 ALL은 소아 ALL에 비해 재발률이 높아, 첫 번째 관해 상태(제1 관해기)에서 이식을 고려하는 경우가 더 많다.[246]


성인 ALL의 약 30~40%를 차지하는 필라델피아 염색체 양성 ALL(Ph+ALL)은 과거 매우 치료가 어려운 유형이었으나, 2001년 분자표적치료제인 이마티닙(글리벡)이 등장하면서 화학요법과 병용하여 치료 성적이 크게 향상되었다. 이식 치료와 병행하면 약 50%의 환자에서 장기 생존을 기대할 수 있게 되었다.[247]

==== 만성 림프구성 백혈병 (CLL) ====

만성 림프구성 백혈병(CLL) 치료는 환자의 병기와 증상에 따라 결정된다. 상당수의 환자는 초기 단계(저등급 질환)로 특별한 치료 없이 경과를 관찰하기도 한다. 치료가 필요한 경우는 다음과 같다.[66][257]

  • 헤모글로빈 또는 혈소판 수치 감소 (빈혈, 혈소판 감소증)
  • 질병이 후기 단계로 진행
  • 림프절이나 비장이 커져 통증 등 증상 유발
  • 림프구 수가 빠르게 증가 (예: 2개월 내 50% 이상 또는 6개월 내 2배 증가)
  • 6개월 이내 10% 이상 체중 감소, 심한 피로감, 발열, 식은땀 등 전신 증상


CLL은 현재 치료법으로 완치가 어렵기 때문에, 치료 목표는 완치보다는 질병을 장기간 억제하는 데 있다.[258] 주요 치료법은 클로람부실 또는 사이클로포스파마이드와 프레드니손 또는 프레드니솔론 같은 코르티코스테로이드를 병용하는 화학요법이다. 코르티코스테로이드는 자가면역 용혈성 빈혈이나 면역 매개성 혈소판 감소증 같은 자가면역 질환을 억제하는 효과도 있다. 치료에 반응하지 않거나 내성이 생긴 경우, 플루다라빈,[67] 펜토스타틴, 클라드리빈과 같은 뉴클레오시드 유사체 약물을 단독으로 사용해볼 수 있다. 최근에는 플루다라빈 단독 또는 플루다라빈과 시클로포스파미드 병용 요법이 표준 치료로 자리 잡았으며, 리툭시맙을 함께 사용하는 것도 효과가 입증되었다.[255][258] 젊고 건강한 환자는 완치를 목표로 동종 또는 자가 골수 이식을 고려할 수 있다.[68]

==== 급성 골수성 백혈병 (AML) ====

급성 골수성 백혈병(AML) 치료에는 여러 항암제가 효과적이며, 환자의 나이와 AML 아형에 따라 치료법이 달라진다. 기본적인 전략은 골수와 전신의 백혈병 세포를 조절하고, 중추신경계(CNS) 침범 시 해당 부위에 대한 치료를 병행하는 것이다.[69]

  • 유도 화학요법: 초기 치료 단계로, 여러 약물을 병용하는 것이 일반적이다. 이를 통해 빠른 관해 유도와 약물 내성 발생 위험 감소를 기대할 수 있다. 표준 요법은 안트라사이클린 계열 항암제(다우노루비신 또는 이다루비신) 3~5일 투여와 시타라빈(키로사이드) 7일 투여의 병용이다[235] (단, 급성 전골수구성 백혈병(APL, AML-M3)은 예외).
  • 강화 요법 (공고 요법): 관해 도달 후 재발을 막기 위해 시행된다. 유도 요법을 반복하거나, 다른 종류의 항암제(에토포사이드, 빈카 알칼로이드 등)를 추가한 병용 요법, 또는 시타라빈 대량 요법 등을 사용한다.[236] 보통 4주 정도의 치료를 3~4회 반복한다.
  • 유지 요법: 강화 요법 후에도 남아있을 수 있는 백혈병 세포를 제거하기 위해 시행될 수 있다. 유도/강화 요법보다 낮은 용량의 약물을 사용한다.[70] 일본에서는 강화 요법을 충분히 시행하면 유지 요법이 불필요하다는 의견도 많다.[237][238]


5년간 완전 관해 상태가 유지되면 재발 가능성이 낮아 완치로 간주하기도 한다.[205]
급성 전골수구성 백혈병 (APL, AML-M3)APL은 다른 AML 아형과 치료법이 완전히 다르다. 비타민 A 유도체인 올트랜스레티노인산(ATRA, 트레티노인)을 이용한 분화 유도 요법이 핵심이다. ATRA는 분화 능력을 잃은 APL 세포를 강제로 성숙시켜 백혈병 세포로서의 능력을 잃게 만든다. ATRA의 등장으로 APL은 AML 중 예후가 가장 좋은 유형이 되었다.[239] ATRA 단독 치료는 재발이 많아, 안트라사이클린 계열 항암제와 병용하여 관해 유도, 공고, 유지 요법을 시행하며 많은 환자가 완치된다.[240] ATRA 치료 후 재발한 경우에는 삼산화비소가 세포 분화 유도 및 아포토시스를 유도하여 현저한 효과를 보인다.[241][242]

==== 만성 골수성 백혈병 (CML) ====

만성 골수성 백혈병(CML)의 표준 치료법은 분자표적치료제인 이마티닙(글리벡)이다.[71] 이 약은 CML 세포의 비정상적인 증식을 유발하는 Bcr-Abl 융합 단백질의 활동을 억제한다.[248] 경구 복용이 가능하고 기존 항암제보다 부작용이 적다는 장점이 있다. 이마티닙 치료로 90% 이상의 환자가 최소 5년 이상 질병을 안정적으로 관리할 수 있게 되어, CML은 만성 질환처럼 관리 가능한 병이 되었다.[71][250] 이마티닙과 같은 분자표적치료제는 활동 중인 백혈병 세포에는 효과적이지만, 휴면 상태의 백혈병 줄기세포에는 잘 작용하지 않아 완치를 기대하기는 어렵다.[222][249][251] 따라서 급성 백혈병과 달리 휴약기 없이 약을 지속적으로 복용해야 한다.[252]

이마티닙에 내성이 생기거나 효과가 없는 경우, 또는 완치를 목표로 하는 경우에는 동종 골수 이식을 고려할 수 있다. 이식은 고용량 화학요법과 방사선 치료 후 기증자의 골수를 주입하는 방식으로 진행되며, 약 30%의 환자가 이식 관련 합병증으로 사망할 수 있다.[71] 이마티닙 외에도 다사티닙, 닐로티닙 등 유사한 기전의 다른 분자표적치료제들이 개발되어 사용되고 있다. 특정 유전자 변이(T315I)를 제외하면 대부분의 만성기 CML은 이러한 약물들로 조절이 가능하다.[249][250][251]

CML이 진행되어 아세포(미성숙 세포)가 증가하는 이행기로 넘어가면 이마티닙 용량을 늘리거나 다른 분자표적치료제로 변경하고, 조혈모세포 이식을 고려한다. 아세포 비율이 30% 이상으로 증가하는 급성기로 진행하면 예후가 매우 나쁘다. 아세포의 종류에 따라 ALL 또는 AML에 준하는 치료와 함께 분자표적치료제를 사용하지만 효과가 제한적일 수 있어 이식 치료를 적극적으로 고려한다.[253]

==== 털세포 백혈병 (HCL) ====

'''치료 결정'''

털세포 백혈병(HCL) 환자 중 증상이 없는 경우는 즉시 치료하지 않고 경과를 관찰한다. 치료는 일반적으로 다음과 같은 경우에 시작한다.[72]

  • 혈구 수 감소 (특히 감염과 싸우는 호중구 수치가 1.0 K/μL 미만)
  • 잦은 감염
  • 원인 불명의 멍
  • 빈혈
  • 일상생활에 지장을 줄 정도의 심한 피로


'''일반적인 치료 접근법'''

치료가 필요한 경우, 클라드리빈을 1주일간 매일 정맥 주사 또는 피하 주사하거나, 펜토스타틴을 4주마다 정맥 주사하여 6개월간 투여하는 것이 일반적이다. 대부분 한 번의 치료로 장기간의 관해를 얻을 수 있다.[73]

다른 치료법으로는 리툭시맙 주사나 인터페론-알파 자가 주사가 있다. 드물게 비장절제술(비장 제거)이 도움이 될 수도 있다. 이들 치료법은 클라드리빈이나 펜토스타틴보다 성공률이 낮아 초기 치료로는 잘 사용되지 않는다.[74]

==== T세포 전림프구성 백혈병 (T-PLL) ====

T세포 전림프구성 백혈병(T-PLL)은 매우 드물고 공격적인 백혈병으로, 진단 후 평균 생존 기간이 1년 미만이므로 대부분 즉각적인 치료가 필요하다.[75]

T-PLL은 치료가 어렵고 대부분의 항암제에 잘 반응하지 않는다.[75] 퓨린 유사체(펜토스타틴, 플루다라빈, 클라드리빈), 클로람부실, 다양한 병용 화학요법(CHOP, COP, VAPEC-B) 등이 시도되었으나 제한적인 성공만 거두었다. 백혈구를 공격하는 단클론 항체 약물인 알렘투주맙(캄파스)이 이전 치료법들보다 더 나은 효과를 보이며 사용되고 있다.[75]

치료에 성공적으로 반응한 일부 환자는 치료 효과를 높이기 위해 줄기세포 이식을 받기도 한다.[75]

==== 소아 골수단핵구 백혈병 ====

소아 골수단핵구 백혈병 치료에는 비장절제술, 항암화학요법, 그리고 골수 이식이 포함될 수 있다.[76]

=== 치료 부작용 및 대책 ===

백혈병 치료, 특히 항암화학요법은 강력한 만큼 부작용도 동반한다. 백혈병 자체로도 정상 혈액 세포가 감소하여 감염, 빈혈, 출혈 경향이 나타나는데, 항암제는 골수 기능을 억제하여 이러한 증상을 더욱 악화시킬 수 있다. 따라서 부작용 관리가 매우 중요하다.[259]

  • 골수 억제: 항암제는 빠르게 분열하는 세포를 공격하므로 골수 세포도 영향을 받아 백혈구, 적혈구, 혈소판 수가 감소한다.
  • 감염: 백혈구(특히 호중구) 감소로 면역력이 떨어져 세균, 진균 등에 감염되기 쉽다. 발열 시 감염을 의심하고 즉시 항생제나 항진균제를 투여한다. 백혈구 수를 늘리기 위해 과립구 콜로니 자극 인자(G-CSF)를 투여하기도 한다.[262][259]
  • 빈혈: 적혈구 감소로 피로, 어지러움 등이 나타날 수 있으며, 심할 경우 적혈구 수혈을 받는다.[259]
  • 출혈: 혈소판 감소로 멍이 잘 들거나 출혈이 멎지 않을 수 있다. 심할 경우 혈소판 수혈을 받는다.[259]
  • 소화기계 부작용:
  • 오심 및 구토: 많은 항암제가 메스꺼움과 구토를 유발한다. 이는 환자들이 가장 힘들어하는 부작용 중 하나로[263], 예방 및 증상 완화를 위해 효과적인 제토제(항구토제)를 사용한다.[259]
  • 설사 또는 변비: 일부 항암제는 설사나 변비를 유발할 수 있다.
  • 구내염: 입안 점막이 헐어 통증을 유발할 수 있다.
  • 탈모: 많은 항암제가 모낭 세포에 영향을 주어 머리카락을 포함한 전신의 털이 빠지게 한다. 보통 항암 치료 시작 후 2~3주부터 나타나며, 치료가 끝나면 1~2개월 후부터 다시 자라기 시작하여 약 반년 정도면 회복된다. 새로 자라는 머리카락은 질감이 다를 수 있으나 시간이 지나면 원래대로 돌아오는 경우가 많다.[260][261]
  • 장기 독성:
  • 심장 독성: 안트라사이클린 계열 항암제는 심장 기능에 영향을 줄 수 있다.
  • 신경 독성: 빈크리스틴은 손발 저림, 감각 이상 등 말초 신경 장애나 자율 신경계 이상(심한 변비, 장폐색 등)을 유발할 수 있다.
  • 방광 독성: 사이클로포스파마이드는 대사 과정에서 방광 점막을 자극하여 출혈성 방광염을 일으킬 수 있다. 이를 예방하기 위해 충분한 수분 섭취와 수액 투여로 소변량을 늘려 약물 농도를 희석하고 빠르게 배출시킨다.[259]
  • 간/신장 기능 장애: 항암제는 간이나 신장에서 대사되거나 배설되므로, 이들 장기 기능이 저하되면 독성이 더 심해질 수 있다. 따라서 항암제 용량 조절이 필요할 수 있다.[259]
  • 종양 붕괴 증후군: 치료 시작 초기에 다량의 백혈병 세포가 한꺼번에 파괴되면서 세포 내용물(요산, 칼륨 등)이 혈액으로 방출되어 고요산혈증, 고칼륨혈증, 저칼슘혈증 등을 유발하고 급성 신부전으로 이어질 수 있다. 예방과 신속한 대처가 중요하다.
  • 기타: 피로감, 피부 변화, 생식 기능 저하 등 다양한 부작용이 나타날 수 있다.


=== 새로운 치료 개념 ===

백혈병 치료는 과거 모든 백혈병 세포를 제거하는 데 초점을 맞추었으나, 연구 발전에 따라 새로운 접근법들이 모색되고 있다.

  • 분화 유도 요법: 급성 전골수구성 백혈병(APL) 치료에 사용되는 ATRA처럼, 백혈병 세포를 죽이는 대신 정상 세포처럼 분화하도록 유도하여 암세포로서의 성질을 잃게 만드는 방법이다.[249]
  • 백혈병 줄기세포 표적 치료: 백혈병 재발의 근본 원인으로 여겨지는 백혈병 줄기세포만을 선택적으로 공격하는 치료법 개발이 활발히 연구되고 있다. 성공한다면 기존의 광범위한 세포 독성 항암 요법을 대체하거나 보완하여 치료 효과를 높이고 부작용을 줄일 수 있을 것으로 기대된다.[249][264]


=== 소아 백혈병 치료 ===

소아 백혈병 치료는 성인과 기본적인 원칙은 유사하지만, 약물 반응이나 예후 등에서 차이가 있다.

  • 소아 급성 림프구성 백혈병 (ALL): 소아암 중 가장 흔하며, 치료 성적이 비교적 좋은 편이다. 치료는 관해 유도 요법(프레드니솔론, 빈크리스틴 등), 중추신경계 예방 요법(메토트렉세이트 척수강 내 주사 등), 강화 요법, 유지 요법(경구 6-머캡토퓨린, 메토트렉세이트 등 1~2년)의 단계로 진행된다. 대부분 화학요법만으로 장기 생존이 가능하여 첫 관해 시 이식을 고려하는 경우는 드물다. 예후 불량 인자가 있거나 재발 시 이식을 고려한다.[285] 소아는 체구가 작아 제대혈이나 체격이 작은 여성 기증자의 골수로도 충분한 조혈모세포를 얻을 수 있어 성인보다 기증자를 찾기 용이한 편이다.
  • 소아 급성 골수성 백혈병 (AML): 소아 ALL보다는 치료 성적이 좋지 않다. 관해 유도는 시타라빈과 안트라사이클린 계열 항암제를 주로 사용하며, 강화 요법과 유지 요법으로 완치를 목표로 한다. AML은 ALL보다 중추신경계 침범이 적어 예방적 척수강 내 항암제 주사는 덜 시행된다.[285]


=== 치료 관련 백혈병 ===

과거 다른 암이나 혈액 질환 치료를 위해 항암제나 방사선 치료를 받은 후, 수년 뒤 이차적으로 백혈병이나 골수이형성증후군(MDS)이 발생하는 경우가 있다. 이를 '치료 관련 백혈병/골수이형성증후군'(tAML/tMDS)이라고 한다.

  • 주로 급성 골수성 백혈병(tAML) 형태로 나타나며, MDS 단계를 거쳐 AML로 진행하는 경우가 많다.
  • 비호지킨 림프종 치료 후 10년간 약 5~8%의 환자에서 발생할 수 있으며, 사용된 항암제의 종류와 양, 기간, 방사선 치료 여부 등이 위험 요인이다.
  • 일반적으로 자연 발생한 AML/MDS보다 치료 반응이 나쁘고 예후가 불량하다. 관해에 도달해도 재발률이 높아 조혈모세포 이식을 적극 고려하지만, 이식 성적 역시 좋지 않은 편이다.
  • 알킬화제 항암제에 의한 경우 발병까지 5~7년 정도 걸리며 예후가 매우 나쁘다. 토포이소머라제 II 저해제에 의한 경우는 발병까지 2~3년으로 비교적 짧고 예후가 알킬화제 유발 백혈병보다는 다소 낫지만 역시 난치성이다.
  • 치료 관련 CML이나 ALL도 드물게 보고되지만, tAML만큼 예후가 나쁘지는 않은 것으로 여겨진다.[296]

7. 예후

치료의 성공 여부는 백혈병의 유형과 환자의 나이에 따라 달라진다. 선진국에서는 치료 결과가 더 높게 나타났다.[426][13] 미국의 평균 5년 생존율은 65%이다.[427][9] 15세 미만 어린이의 경우, 백혈병 유형에 따라 5년 생존율이 60~85%로 더 높다.[428][10] 5년 후 암이 없는 급성 백혈병 소아의 경우, 암이 재발할 가능성은 거의 없다.[428][10]

치료 결과는 백혈병이 급성인지 만성인지, 특정 비정상 백혈구 유형, 빈혈 또는 혈소판 감소증의 유무 및 중증도, 조직 이상 정도, 전이림프절골수 침윤 여부, 치료법의 가용성 및 의료진의 숙련도 등 여러 요인에 따라 달라질 수 있다. 치료 경험이 많은 대형 병원에서 치료받으면 결과가 더 좋을 수 있다.[429][77]

소아의 급성 림프성 백혈병(ALL)은 60~80%가 치유되며, 전반적으로 소아 백혈병은 성인 백혈병보다 예후가 좋은 편이다. 그러나 1세 미만 영아와 10세 이상의 고령아는 예후가 상대적으로 좋지 않다.[286] 이는 연령에 따라 흔한 유전자 변이 유형이 다르기 때문인데, 2~9세 소아에게 흔한 고이배체(염색체 수가 50개 이상으로 증가)나 TEL-AML1 융합 유전자는 예후가 좋은 편이다. 반대로 필라델피아 염색체(BCR-ABL 융합 유전자)나 MLL-AF4 융합 유전자는 예후가 나쁘다.[285][287] 1세 미만 영아 백혈병의 약 절반에서 나타나는 MLL-AF4 융합 유전자 ALL은 매우 악성이어서 이식 치료가 강력히 권장된다.[288]

소아 급성 골수성 백혈병(AML)은 대부분 예후 중간군에 속하며, 40~60%가 장기 생존 또는 치유된다.[285]

협의의 만성 림프구성 백혈병(CLL)은 진행이 느려 치료 없이 평균 수명을 다하는 경우도 적지 않다. 림프구 증가만 있고 다른 증상이 없으면 치료 없이 경과를 관찰한다.[254] 병기가 진행되어 림프절 비대, 비장 비대, 빈혈, 혈소판 감소 등이 나타나면 치료 대상이 된다.[255] 최근 연구에 따르면 CLL에는 진행 속도가 다른 두 그룹이 있으며, 특정 증상(6개월 내 10% 이상 체중 감소, 심한 권태감, 식은땀, 발열, 빈혈, 혈소판 감소, 현저한 비장/림프절 비대, 빠른 림프구 수 증가 등) 중 하나라도 나타나면 치료를 시작한다.[256][257] 표준 치료법으로는 플루다라빈 단독 또는 시클로포스파미드 병용 요법이 사용되며, 리툭시맙 병용도 효과가 있다.[255][258] 다만, CLL 치료는 완치를 목표로 하기보다는 병의 진행을 조절하고 생존 기간을 연장하는 데 목적을 둔다.[258]

8. 역학

9. 역사

루돌프 피르호


백혈병은 1827년 프랑스의 해부학자이자 외과의사인 알프레드-아르망-루이-마리 벨포에 의해 처음 기술되었다.[88] 이후 1845년 독일의 병리학자 루돌프 피르호가 더 자세히 설명하였고, 사망한 환자의 혈액이 하얗게 보이는 것을 보고 그리스어 λεύκος|leukosel(흰색)와 αίμα|haimael(피)를 합쳐 'Leukemia'(백혈병)라고 명명했다.[137][132][138] 피르호의 보고 이후 약 10년 뒤, 병리학자 프란츠 에른스트 크리스티안 노이만은 백혈병 사망자의 골수가 정상적인 붉은색이 아닌 '더러운 녹색-노란색'을 띤다는 사실을 발견하고, 골수 문제가 백혈병 환자의 비정상적인 혈액의 원인이라고 결론 내렸다.[441][88]

19세기 중반 피르호가 처음 백혈병을 보고한 이후 약 100년 동안 효과적인 치료법은 없었다. 당시에는 병의 진행 속도에 따라 급성 백혈병과 만성 백혈병으로 나누었으나, 이는 현재의 분류 기준과는 다르다. 1900년까지 백혈병은 단일 질병이 아닌 질병군으로 간주되었고,[442] 1930년대에는 세포 형태에 따라 림프성과 골수성으로 분류되기 시작했다. 하지만 여전히 급성 백혈병은 몇 주에서 몇 달, 만성 백혈병은 몇 달에서 몇 년 안에 사망에 이르는 불치병이었다.

본격적인 치료법 연구는 20세기 중반에 시작되었다. 1947년 미국의 병리학자 시드니 파버는 과거 실험을 통해 엽산 유사체인 아미노프테린이 소아 급성 림프구성 백혈병(ALL)을 치료할 수 있다고 생각했다. 실험에 참여한 대부분의 환자들이 골수에서 개선 징후를 보였지만, 실제로 완치된 경우는 없었다. 그럼에도 이 결과는 후속 연구로 이어졌다.[442][89] 제2차 세계 대전 이후 항암제 머캡토푸린(6-MP) 등이 사용되기 시작했지만, 약의 종류가 부족하고 혈소판 수혈이나 항생물질 지원도 미흡했던 1960년대까지는 불치병인 상황은 변하지 않았다.

1960년대 들어 시타라빈(Ara-C)과 다우노루비신 같은 새로운 항암제가 개발되고 여러 약물을 함께 사용하는 병용 화학요법이 도입되었다.[130] 1962년 에밀 J. 프라이라이히 주니어와 에밀 프라이 3세는 병용 화학요법을 사용한 실험에서 성공적인 결과를 얻었으며, 일부 환자는 실험 후 오랫동안 생존하였다.[443][90] 1960년대 후반부터 항암제 다제 병용 요법의 개선[130]으로 백혈병이 치유되는 사례가 증가하기 시작했고[131], 1970년대부터 시작된 혈소판 수혈 등의 지지 요법 발전도 더해져[132] 급성 백혈병 환자의 70~80%는 일단 백혈병 세포가 보이지 않게 되는 관해 상태에 도달했다. 그러나 다제 병용 요법만으로는 재발이 적지 않았고, 최종적인 치유율은 30~40% 정도에서 정체되었다.[133][134]

이후 1970년대부터 연구되어 1990년대부터 본격적으로 시행된 조혈모세포 이식[135] 화학요법만으로는 장기 생존이 어려웠던 난치례에서도 20~60%의 환자가 장기 생존을 기대할 수 있게 만들었다.[136] 또한 급성 전골수구성 백혈병(APL, 과거 AML-M3)에 대한 획기적인 치료법인 분화 유도 요법의 발견, 2001년 만성 골수성 백혈병(CML) 치료를 위한 분자 표적 약물 글리벡(이매티닙)의 등장 등 특정 유형의 백혈병 치료에 큰 진전이 있었다. 이러한 발전 덕분에 APL, CML, 예후가 좋은 소아 ALL 등에서는 대부분의 환자가 구제될 수 있게 되었다.[132]

피르호가 백혈병이라는 이름을 붙인 것은 환자의 혈액이 희게 보였기 때문이지만, 실제로 혈액이 완전히 하얗게 되는 경우는 없다. 백혈병 세포가 극단적으로 증가한 경우에도 일반적으로 진한 적색인 혈액이 붉은색에서 회백색으로 변하는 정도이며, 대부분의 백혈병 환자의 혈액 색깔은 붉은색을 유지한다.[132][139] 혈액의 붉은색은 적혈구의 색깔인데, 적혈구가 완전히 없어지기 전에 사람은 사망하기 때문에 혈액이 완전히 하얗게 될 때까지 생존할 수 없다. 건강한 사람의 혈액을 원심분리하면 적혈구와 혈장 사이에 백혈구를 포함한 얇은 흰색 층이 나타난다.[141] 대부분의 백혈병 환자는 백혈구 또는 아세포가 증가하기 때문에, 혈액을 원심분리하면 중간의 흰색 층의 두께가 증가한다.[142]

10. 사회와 문화

수전 손택은 백혈병이 20세기 소설에서 종종 낭만적으로 묘사되었다고 지적했다. 소설 속 백혈병은 선량하고 순수한 희생자들이 젊은 나이에 안타깝게 사망하는 '깨끗한' 질병으로 그려졌다는 것이다. 이런 점에서 백혈병은 전염병으로 밝혀지기 전까지 유사한 문화적 이미지를 가졌던 결핵의 뒤를 잇는다고 볼 수 있다.[446][93] 1970년에 발표된 로맨스 소설 ''러브 스토리''는 백혈병을 낭만적으로 그린 대표적인 예시다.[447][94]

백혈병 치료에는 상당한 비용이 소요된다. 미국에서는 연간 약 54억달러가 백혈병 치료에 지출되는 것으로 추산된다.[448][95]

의료 시스템은 국가마다 차이가 있지만, 이식 의료를 지원하는 골수은행과 제대혈 은행은 선진국을 중심으로 세계 약 50개국에 설립되어 있다. 2012년 기준으로, 세계적인 골수 기증자 검색 시스템(Bone Marrow Donors Worldwide, BMDW)에는 48개국 66개 골수은행이 참여하여 1,875만 명의 기증자가 등록되어 있으며, 제대혈의 경우 29개국 43개 제대혈 은행이 참여하여 51만 개의 제대혈이 보관되어 있다.[339] 세계골수기증자협회(The World Marrow Donor Association, WMDA)는 BMDW를 통해 검색된 골수 또는 제대혈의 제공 및 품질 관리 등에서 국가 간 협력을 조율하는 조직이다.[340] 2004년 통계에 따르면 전 세계 골수 이식의 약 3분의 1이 국가 간의 협력을 통해 이루어졌다.[341]

일본의 경우, 백혈병은 치료 과정이 힘들지만 희귀난치성질환으로 지정되어 있지는 않다.[342] 그러나 18세 미만 소아 백혈병은 '소아 만성 특정 질환 치료 연구 사업'에 따라 보건소 등에 신청하면 지자체의 지원을 받을 수 있어[343] 환자 부담이 상대적으로 크지 않다. 또한 소득 조건에 따라 특별 아동 양육 수당[344]이나 '어린이암을 돕는 모임'[345]과 같은 재단의 경제적 지원, 기업의 CSR 활동[346] 등을 통해 도움을 받을 수도 있다.

성인 백혈병 치료비는 고액이지만, 일본의 건강보험에는 고액 의료비 지원 제도가 있어 부담을 덜 수 있다.[347] 이식이 필요한 환자를 위해 골수은행이나 제대혈 은행과 같은 공적 기관들이 활동하고 있다. 2022년 4월 말 기준으로 일본 골수은행에는 약 53만 명이 기증자로 등록되어 있으며,[348] 제대혈 은행에는 9,600개의 제대혈이 보관되어 있다.[349] 일본 골수은행을 이용하는 환자는 소득 수준에 따라 환자 부담금의 일부 또는 전부를 면제받을 수도 있다.[350]

일본인은 민족적으로 유전적 균일성이 높아 HLA형이 일치할 확률이 상대적으로 높다고 알려져 있다. 이로 인해 2004년 당시 전 세계 골수 기증자 750만 명 중 일본인 기증자는 18만 6천 명으로 소수였음에도 불구하고, 일본은 총 이식 건수와 인구당 이식 수에서 미국에 이어 세계 2위를 기록했다.[341] 그러나 기증자 등록 수가 40만 명을 넘은 2012년 시점에서도 여전히 모든 환자에게 적합한 기증자를 찾는 것은 어려운 과제로 남아있다.[351]

11. 연구 방향

백혈병의 원인, 유병률, 진단, 치료 및 예후에 대한 중요한 연구가 수행되고 있으며, 현재 수백 건의 임상시험이 계획되거나 진행 중이다.[449][96] 이러한 연구는 효과적인 치료 방법 개발, 질병 관리 개선, 환자의 삶의 질 향상, 그리고 관해 또는 완치 후의 적절한 치료법 모색에 초점을 맞추고 있다.[449][97]

백혈병 연구는 크게 두 가지 유형으로 나눌 수 있다. 바로 임상/중개 연구와 기초 과학 연구이다.[450][98] 임상/중개 연구는 사람을 대상으로 신약을 시험하는 것처럼, 질병에 대해 정의되고 일반적으로 즉시 적용 가능한 방식으로 접근하는 데 중점을 둔다. 반면, 기초 과학 연구는 특정 물질이 실험실 환경에서 세포에 백혈병 변화를 일으키는지, 또는 질병 진행에 따라 백혈병 세포 내 DNA가 어떻게 변하는지 등을 연구하며, 그 결과가 환자에게 즉각적으로 유용하지는 않을 수 있다.[450][98]

최근 주목받는 연구 분야 중 하나는 유전자 치료이다. 특히 키메라 항원 수용체 T 세포(CAR-T 세포)라 불리는 유전자 변형 T 세포를 이용해 암세포를 공격하는 방식이 연구되고 있다. 2011년에는 진행성 만성 림프구성 백혈병 환자 3명 중 2명이 CAR-T 치료 1년 후 암이 사라졌다는 보고가 있었고,[451][99] 2013년에는 급성 림프구성 백혈병 환자 5명 중 3명이 5개월에서 2년간 관해 상태를 유지했다는 결과가 발표되었다.[452][100] 다양한 유형의 CAR-T 세포를 이용한 후속 연구들이 유망한 결과를 보여주고 있으며,[453][101] 2018년 기준으로 두 가지 CAR-T 치료법이 미국 식품의약국(FDA)의 승인을 받았다. 그러나 CAR-T 치료는 심각한 부작용을 동반할 수 있으며,[454][102] 치료 대상 항원이 소실되어 재발하는 경우가 흔한 문제점으로 지적된다.[453][101]

또 다른 중요한 연구 방향은 백혈병 줄기세포에 대한 연구이다.[455][103] 백혈병 세포 중 극소수만이 무한 증식 능력을 가진 백혈병 줄기세포이며, 나머지 대부분의 백혈병 세포는 증식 능력이 유한하다는 사실이 밝혀졌다. 따라서 이론적으로는 백혈병 줄기세포만 제거할 수 있다면, 말초의 백혈병 세포가 남아 있더라도 결국 백혈병을 치료할 수 있을 것으로 기대된다. 현재 기술로는 일반 백혈병 세포보다 줄기세포를 제거하는 것이 더 어렵지만, 미래에는 기존의 모든 암세포를 죽이는 방식(total cell kill) 대신 백혈병 줄기세포를 표적으로 하는 새로운 치료법 개발이 중요해질 것으로 예상된다.[249][264] 이는 급성 전골수성 백혈병에서 백혈병 세포를 강제로 분화시켜 암세포의 특징을 제거하는 분화 유도 요법의 성공 사례와 함께, 백혈병 치료의 개념을 근본적으로 바꿀 가능성을 제시한다.[249]

참조

[1] 사전 Leukemia http://www.merriam-w[...] 2023-05-30
[2] 웹사이트 Leukemia http://www.cancer.go[...] 1980-01-01
[3] 웹사이트 What You lNeed To Know About Leukemia http://www.cancer.go[...] 2013-12-23
[4] 논문 Childhood leukemia 2010-06-01
[5] 웹사이트 A Snapshot of Leukemia http://www.cancer.go[...]
[6] 논문 The 2008 revision of the World Health Organization (WHO) classification of myeloid neoplasms and acute leukemia: rationale and important changes 2009-07-01
[7] 서적 Comparative oncology https://www.ncbi.nlm[...] The Publishing House of the Romanian Academy 2007
[8] 논문 T-cell Acute Lymphoblastic Leukemia: A Roadmap to Targeted Therapies 2021-01-01
[9] 웹사이트 SEER Stat Fact Sheets: Leukemia http://seer.cancer.g[...] National Cancer Institute
[10] 웹사이트 Survival rates for childhood leukemia http://www.cancer.or[...] 2014-03-02
[11] 논문 Global, regional, and national incidence, prevalence, and years lived with disability for 310 diseases and injuries, 1990–2015: a systematic analysis for the Global Burden of Disease Study 2015 2016-10-01
[12] 논문 Global, regional, and national life expectancy, all-cause mortality, and cause-specific mortality for 249 causes of death, 1980–2015: a systematic analysis for the Global Burden of Disease Study 2015 2016-10-01
[13] 서적 World Cancer Report 2014 World Health Organization 2014
[14] 웹사이트 Chronic Lymphocytic Leukemia (CLL) — Hematology and Oncology https://www.msdmanua[...] 2020-02-01
[15] 웹사이트 Questions and Answers About Leukemia https://www.cdc.gov/[...]
[16] 웹사이트 Leukemia — Symptoms and causes https://www.mayoclin[...]
[17] 웹사이트 Key Statistics for Acute Lymphocytic Leukemia (ALL) https://www.cancer.o[...] 2019-01-08
[18] 웹사이트 Finding Cancer Statistics » Cancer Stat Fact Sheets »Chronic Lymphocytic Leukemia http://seer.cancer.g[...]
[19] 웹사이트 Survival: Acute Myeloid Leukaemia https://www.cancerre[...] 2019-07-10
[20] 웹사이트 Novartis Oncology http://www.novartiso[...]
[21] 웹사이트 Patients with Chronic Myelogenous Leukemia Continue to Do Well on Imatinib at 5-Year Follow-Up http://www.medscape.[...] 2006-06-12
[22] 웹사이트 Updated Results of Tyrosine Kinase Inhibitors in CML http://professional.[...]
[23] 논문 Long remissions in hairy cell leukemia with purine analogs: a report of 219 patients with a median follow-up of 12.5 years 2005-12-01
[24] 논문 T-cell Prolymphocytic Leukemia http://www.moffitt.o[...] 1998-01-01
[25] 논문 T-cell prolymphocytic leukemia involving extramedullary sites http://www.medscape.[...] 2005-03-01
[26] 서적 Pathology and genetics of tumours of haematopoietic and lymphoid tissues https://books.google[...] IARC Press
[27] 논문 Myeloid neoplasms with eosinophilia 2017-02-01
[28] 논문 World Health Organization-defined eosinophilic disorders: 2015 update on diagnosis, risk stratification, and management 2015-11-01
[29] 논문 The 2016 revision to the World Health Organization classification of myeloid neoplasms and acute leukemia 2016-05-01
[30] 논문 Transient Abnormal Myelopoiesis and AML in Down Syndrome: an Update 2016-10-01
[31] 논문 GATA factor mutations in hematologic disease 2017-04-01
[32] 논문 Acute leukemias in children with Down syndrome 2012-09-01
[33] 논문 Causes and consequences of clonal hematopoiesis 2023-12-01
[34] 이미지
[35] 논문 Clinical presentation of childhood leukaemia: a systematic review and meta-analysis 2016-10-01
[36] 논문 Application of Differential Equations in Medical Science 2017-07-00
[37] 웹사이트 Types of Leukemia: Common, Rare and More Varieties https://www.cancerce[...] 2018-10-05
[38] 웹사이트 Iron deficiency anemia — Symptoms and causes https://www.mayoclin[...]
[39] 웹사이트 Leukemia http://connection.eb[...] Columbia Electronic Encyclopedia, 6th Edition
[40] 웹사이트 Leukemia: Symptoms, Signs, Causes, Types & Treatment https://my.cleveland[...]
[41] 논문 Formaldehyde exposure and leukemia: A new meta-analysis and potential mechanisms http://ehs.sph.berke[...] 2009-03-00
[42] 논문 Formaldehyde and Leukemia: Epidemiology, Potential Mechanisms, and Implications for Risk Assessment
[43] 서적 Physiopathogenesis of Hematological Cancer Bentham Science Publishers 2012
[44] 논문 Defining AML and MDS second cancer risk dynamics after diagnoses of first cancers treated or not with radiation 2016-02-00
[45] 서적 Adult leukemias B. C. Decker
[46] 서적 Quick Look Series in Veterinary Medicine: Hematology Teton NewMedia
[47] 서적 Handbook of hematologic pathology https://archive.org/[...] Marcel Dekker
[48] 논문 Diet and risk of leukemia in the Iowa Women's Health Study http://cebp.aacrjour[...] 2002-08-00
[49] 서적 Leukemia: A Research Report https://books.google[...] DIANE Publishing
[50] 논문 Fertility treatments, congenital malformations, fetal loss, and childhood acute leukemia: the ESCALE study (SFCE) 2013-02-00
[51] 논문 Association between neonatal phototherapy and future cancer: an updated systematic review and meta-analysis 2023-01-00
[52] 웹사이트 Backgrounder on Radiation Protection and the "Tooth Fairy" Issue https://www.nrc.gov/[...] U.S. Nuclear Regulatory Commission 2004-12-00
[53] 논문 SPRED1 disorder and predisposition to leukemia in children 2009-07-00
[54] 논문 Malignant progression of preleukemic disorders 2024-05-00
[55] 논문 BCR/ABL: from molecular mechanisms of leukemia induction to treatment of chronic myelogenous leukemia 2002-12-00
[56] 웹사이트 NCI Dictionary of Cancer Terms https://www.cancer.g[...] 2011-02-02
[57] 웹사이트 Do We Know What Causes Chronic Myeloid Leukemia? https://www.cancer.o[...]
[58] 웹사이트 What is chronic myeloid leukaemia? (CML) — Understanding — Macmillan Cancer Support http://www.macmillan[...]
[59] 서적 Non-Ionizing Radiation, Part 1: Static and Extremely Low-Frequency (ELF) Electric and Magnetic Fields (IARC Monographs on the Evaluation of the Carcinogenic Risks) http://monographs.ia[...] World Health Organisation
[60] 웹사이트 WHO | Electromagnetic fields and public health https://www.who.int/[...]
[61] 웹사이트 Diagnosing Chronic Lymphocytic Leukemia in Adults https://nyulangone.o[...]
[62] 웹사이트 Chronic Lymphocytic Leukemia (CLL): Tests After Diagnosis https://www.urmc.roc[...]
[63] 웹사이트 How is Leukemia Diagnosed? http://www.cancer.or[...] American Cancer Society
[64] 논문 Ommaya reservoir use in pediatric ALL and NHL: a review at St. Jude Children's Research Hospital 2024-06-00
[65] 서적 Essential haematology Blackwell Pub. 2006
[66] 웹사이트 Chronic Lymphocytic Leukemia (PDQ) Treatment: Stage Information http://www.cancer.go[...] 1980-01-01
[67] 논문 Fludarabine plus cyclophosphamide versus fludarabine alone in first-line therapy of younger patients with chronic lymphocytic leukemia 2006-02-00
[68] 논문 Stem cell transplantation in chronic lymphocytic leukemia 2009-01-00
[69] 서적 Practical Radiotherapy & Chemotherapy Planning https://books.google[...] JP Medical Ltd 2017-03-22
[70] 웹사이트 Typical treatment of acute myeloid leukemia (except promyelocytic M3) http://www.cancer.or[...] American Cancer Society 2012-03-22
[71] 논문 Targeted chronic myeloid leukemia therapy: seeking a cure http://www.amcp.org/[...] 2008-05-18
[72] 웹사이트 Hairy Cell Leukemia https://www.lecturio[...] 2021-07-24
[73] 논문 Cladribine in a weekly versus daily schedule for untreated active hairy cell leukemia: final report from the Polish Adult Leukemia Group (PALG) of a prospective, randomized, multicenter trial 2007-05-01
[74] 논문 Filgrastim for cladribine-induced neutropenic fever in patients with hairy cell leukemia 1999-04-01
[75] 논문 High remission rate in T-cell prolymphocytic leukemia with CAMPATH-1H 2001-09-01
[76] 웹사이트 JMMLfoundation.org http://www.jmmlfound[...] JMMLfoundation.org 2010-08-29
[77] 논문 Adolescents and young adults with acute lymphoblastic leukemia 2010-01-01
[78] 논문 Global and regional mortality from 235 causes of death for 20 age groups in 1990 and 2010: a systematic analysis for the Global Burden of Disease Study 2010 https://repozitorij.[...] 2012-12-01
[79] 논문 Cancer incidence, mortality and survival by site for 14 regions of the world https://www.who.int/[...] World Health Organization
[80] 논문 Breastfeeding and Childhood Leukemia Incidence: A Meta-analysis and Systematic Review 2015-06-01
[81] 웹사이트 Leukemia Facts & Statistics. http://www.leukemia-[...] 2009-07-02
[82] 웹사이트 SEER Cancer Statistics Review, 1975–2006 http://seer.cancer.g[...] National Cancer Institute 2009-11-03
[83] 서적 Cancer Incidence and Survival among Children and Adolescents, United States SEER program 1975–1995 Cancer Statistics Branch, National Cancer Institute 1999-01-01
[84] 웹사이트 Childhood Blood Cancers http://www.lls.org/d[...]
[85] 웹사이트 Facts 2012 http://www.lls.org/c[...]
[86] 웹사이트 Leukaemia in Australia statistics https://www.cancerau[...] 2023-01-01
[87] 웹사이트 Leukaemia (all subtypes combined) statistics http://www.cancerres[...] 2014-10-27
[88] 논문 First contributors in the history of leukemia 2013-08-06
[89] 논문 Sidney Farber and the treatment of childhood acute lymphoblastic leukemia with a chemotherapeutic agent 2012-05-01
[90] 논문 Targeting leukemia: from bench to bedside 2002-03-01
[91] 웹사이트 Leukemia: MedlinePlus Medical Encyclopedia https://medlineplus.[...] 2019-05-08
[92] 웹사이트 leukemia https://www.etymonli[...] 2023-02-14
[93] 서적 Illness as Metaphor Farrar, Straus and Giroux
[94] 논문 Cancer as Metaphor: The Metaphorical Implications of Romanticized Illness in Young Adult Fiction https://digitalcommo[...] Trinity University 2017-01-01
[95] 웹사이트 A Snapshot of Leukemia http://www.cancer.go[...] 2014-06-18
[96] 웹사이트 Search of: leukemia — List Results — ClinicalTrials.gov http://www.clinicalt[...]
[97] 웹사이트 Learn About Clinical Studies — Reasons for Conducting Clinical Studies https://clinicaltria[...] 2023-03-03
[98] 웹사이트 Understanding Clinical Trials for Blood Cancers http://www.leukemia-[...] Leukemia and Lymphoma Society 2010-05-19
[99] 웹사이트 New Leukemia Therapy Destroys Cancer by Turning Blood Cells into "Assassins" http://www.cbsnews.c[...] CBSnews.com HealthPop section 2011-08-11
[100] 웹사이트 Gene therapy cures leukaemia in eight days https://www.newscien[...] 2013-04-15
[101] 논문 Clinical trials of dual-target CAR T cells, donor-derived CAR T cells, and universal CAR T cells for acute lymphoid leukemia 2019-02-01
[102] 논문 Approved CAR T cell therapies: ice bucket challenges on glaring safety risks and long-term impacts 2018-06-01
[103] 웹사이트 How we're beating leukaemia http://leukaemialymp[...] Leukaemia & Lymphoma Research 2013-09-24
[104] 논문 Pregnancy and commonly used drugs in hematology practice
[105] 논문 How I treat acute and chronic leukemia in pregnancy 2008-09-01
[106] 웹사이트 急性リンパ性白血病(ALL) Q&A https://www.ncchd.go[...] 国立成育医療研究センター 2019-08-29
[107] 웹사이트 成人T細胞白血病・リンパ腫(ATL)について https://www.ncc.go.j[...] 国立研究開発法人国立がん研究センター 東病院 2019-08-29
[108] 일반
[109] 웹사이트 国立がん研究センター・部位別年齢階級別がん罹患数・割合(2005年) https://web.archive.[...] 国立がん研究センター 2012-02-19
[110] 웹사이트 部位別年齢階級別がん罹患数・割合 https://web.archive.[...] 2012-02-19
[111] 서적 白血病・リンパ腫・骨髄腫 : 今日の診断と治療 中外医学社 2011
[112] 일반
[113] 웹사이트 白血病の発生率 http://www.jalsg.jp/[...] 日本成人白血病治療共同研究グループ 2012-02-18
[114] 서적 よくわかる白血病のすべて 永井書店 2005
[115] 서적 iMedicine. 5 リブロ・サイエンス 2010
[116] 웹사이트 慢性白血病の特徴 https://web.archive.[...] 順天堂大学血液内科
[117] 서적 造血器腫瘍取扱い規約 金原出版 2010
[118] 서적 iMedicine. 5 リブロ・サイエンス 2010
[119] 서적 三輪血液病学 文光堂 2006
[120] 서적 iMedicine. 5 リブロ・サイエンス 2010
[121] 서적 三輪血液病学 文光堂 2006
[122] 서적 三輪血液病学 文光堂 2006
[123] 서적 内科学書 Vol.6 中山書店 2009
[124] 서적 スタンダード病理学 文光堂 2009
[125] 서적 スタンダード病理学 文光堂 2009
[126] 서적 造血器腫瘍取扱い規約 金原出版 2010
[127] 서적 新・病態生理できった内科学(5)血液疾患 医学教育出版社 2009
[128] 웹사이트 わかりやすい白血病の話 http://www.jalsg.jp/[...] 日本成人白血病治療共同研究グループ 2015-01-17
[129] 서적 WHO血液腫瘍分類 医薬ジャーナル社 2010
[130] 서적 三輪血液病学 文光堂 2006
[131] 서적 三輪血液病学 文光堂 2006
[132] 서적 よくわかる白血病のすべて 永井書店 2005
[133] 서적 三輪血液病学 文光堂 2006
[134] 서적 内科学書 Vol.6 中山書店 2009
[135] 웹사이트 日本骨髄バンクの歩み http://www.jmdp.or.j[...] 2011-07-04
[136] 서적 三輪血液病学 文光堂 2006
[137] 서적 医学用語の成り立ち 榮光堂 1997
[138] 서적 医学用語の成り立ち 榮光堂 1997
[139] 서적 iMedicine. 5 リブロ・サイエンス 2010
[140] 서적 シンプル内科学 南江堂 2008
[141] 서적 新・病態生理できった内科学(5)血液疾患 医学教育出版社
[142] 서적 iMedicine. 5 リブロ・サイエンス
[143] 웹사이트 金沢大学血液内科・急性前骨髄球性白血病 (APL) とDIC:ATRA、アネキシンII http://www.3nai.jp/w[...]
[144] 웹사이트 国立がん研究センター・白血病の診断と治療 http://ganjoho.jp/pu[...] 2011-06-17
[145] 서적 内科学書 Vol.6 改訂第7版 中山書店
[146] 서적 三輪血液病学 文光堂
[147] 서적 三輪血液病学 文光堂
[148] 서적 内科学書 Vol.6 改訂第7版 中山書店
[149] 서적 スタンダード病理学 第3版 文光堂
[150] 서적 内科学書 Vol.6 改訂第7版 中山書店
[151] 웹사이트 日本成人白血病治療共同研究グループ・慢性骨髄性白血病・臨床所見 https://web.archive.[...] 2012-02-18
[152] 서적 血液診療エキスパート 白血病 中外医学社
[153] 서적 WHO分類第4版による白血病・リンパ系腫瘍の病態学 中外医学社
[154] 서적 内科学書 Vol.6 改訂第7版 中山書店
[155] 웹사이트 国立がん研究センター・慢性リンパ性白血病 https://web.archive.[...] 2011-07-24
[156] 서적 三輪血液病学 文光堂
[157] 서적 造血器腫瘍取扱い規約 金原出版
[158] 서적 造血器腫瘍取扱い規約 金原出版
[159] 서적 白血病・リンパ腫・骨髄腫 : 今日の診断と治療 第4版 中外医学社
[160] 서적 iMedicine. 5 リブロ・サイエンス
[161] 서적 造血器腫瘍取扱い規約 金原出版
[162] 서적 内科学書 Vol.6 改訂第7版 中山書店
[163] 서적 図解白血病・悪性リンパ腫がわかる本 法研
[164] 서적 三輪血液病学 文光堂
[165] 서적 内科学書 Vol.6 改訂第7版 中山書店
[166] 서적 内科学書 Vol.6 改訂第7版 中山書店
[167] 서적 内科学書 Vol.6 改訂第7版 中山書店
[168] 서적 三輪血液病学 文光堂
[169] 웹사이트 WHO Disease and injury country estimates http://www.who.int/h[...] World Health Organization 2009-11-11
[170] 서적 骨髄疾患診断アトラス : 血球形態と骨髄病理 中外医学社
[171] 서적 造血器腫瘍アトラス 改訂第4版 日本医事新報社
[172] 서적 内科学書 Vol.6 改訂第7版 中山書店
[173] 서적 三輪血液病学 文光堂
[174] 웹사이트 Cancer Stat Fact Sheet: Leukemia http://seer.cancer.g[...] アメリカNational Cancer Institute 2012-04-22
[175] 서적 三輪血液病学 文光堂
[176] 서적 三輪血液病学 文光堂
[177] 서적 WHO分類第4版による白血病・リンパ系腫瘍の病態学 中外医学社
[178] 서적 三輪血液病学 文光堂
[179] 서적 三輪血液病学 文光堂
[180] 서적 三輪血液病学 文光堂
[181] 웹사이트 国立がん研究センター・部位別年齢階級別がん罹患率(2005年) https://web.archive.[...] 2012-02-05
[182] 웹사이트 国立がん研究センター・都道府県別75歳未満がん年齢調整死亡率 https://web.archive.[...] 2012-02-05
[183] 웹사이트 国立がん研究センター・部位別年齢階級別がん罹患数 https://web.archive.[...] null
[184] 서적 三輪血液病学 文光堂
[185] 서적 内科学書 Vol.6 改訂第7版 中山書店
[186] 서적 三輪血液病学 文光堂
[187] 웹사이트 国立がん研究センター・白血病の診断と治療 https://web.archive.[...] 2012-01-12
[188] 서적 三輪血液病学 文光堂
[189] 논문 null null
[190] 웹사이트 国立がん研究センター・バーキットリンパ腫 https://web.archive.[...] 2012-02-18
[191] 서적 造血器腫瘍アトラス 改訂第4版 日本医事新報社
[192] 논문 放射線がんにおけるエピゲノム制御異常の役割 広島医学会
[193] 서적 クーパー細胞生物学 東京化学同人
[194] 서적 クーパー細胞生物学 東京化学同人
[195] 서적 図解分子細胞生物学 裳華房
[196] 서적 三輪血液病学 文光堂
[197] 서적 腫瘍免疫学 癌と化学療法社
[198] 서적 iMedicine. 5 リブロ・サイエンス
[199] 서적 iMedicine. 5 リブロ・サイエンス
[200] 서적 新臨床腫瘍学 改訂第2版 南江堂
[201] 서적 新臨床腫瘍学 改訂第2版 南江堂
[202] 서적 新臨床腫瘍学 改訂第2版 南江堂
[203] 서적 iMedicine. 5 リブロ・サイエンス
[204] 서적 三輪血液病学 文光堂
[204] 서적 造血器腫瘍取扱い規約 金原出版
[205] 웹사이트 国立がん研究センター・急性骨髄性白血病 https://web.archive.[...] 2012-02-18
[206] 논문 白血病幹細胞を標的とする薬剤開発 最新医学社
[207] 서적 造血器腫瘍取扱い規約 金原出版
[208] 서적 新・病態生理できった内科学(5)血液疾患 第2版 医学教育出版社
[209] 서적 三輪血液病学 文光堂
[210] 서적 白血病・リンパ腫・骨髄腫 : 今日の診断と治療 第4版 中外医学社
[211] 서적 造血器腫瘍取扱い規約 金原出版 2010
[212] 서적 造血器腫瘍取扱い規約 金原出版 2010
[213] 서적 新・病態生理できった内科学(5)血液疾患 医学教育出版社 2009
[214] 일반텍스트
[215] 서적 カラーテキスト血液病学 中外医学社 2007
[216] 웹사이트 国立がん研究センター・急性骨髄性白血病 https://web.archive.[...] 2012-02-18
[217] 웹사이트 SCIDマウスとヒト疾患モデル https://web.archive.[...]
[218] 서적 三輪血液病学 文光堂 2006
[219] 서적 造血器腫瘍アトラス 日本医事新報社 2009
[220] 서적 内科学書 中山書店 2009
[221] 서적 造血器腫瘍アトラス 日本医事新報社 2009
[222] 서적 がんの分子標的治療 南山堂 2008
[223] 서적 白血病・リンパ腫・骨髄腫 : 今日の診断と治療 中外医学社 2011
[224] 서적 造血幹細胞移植 医薬ジャーナル社 2009
[225] 웹사이트 https://web.archive.[...]
[226] 서적 内科学 朝倉書店 2007
[227] 웹사이트 国立がん研究センター・造血幹細胞移植 https://web.archive.[...] 2011-06-09
[228] 웹사이트 愛知県がんセンター・造血幹細胞移植の基礎知識 https://web.archive.[...] 2011-06-09
[229] 서적 白血病・リンパ腫・骨髄腫 : 今日の診断と治療 中外医学社 2011
[230] 서적 三輪血液病学 文光堂 2006
[231] 서적 内科学 朝倉書店 2013
[232] 웹사이트 国立がん研究センター・造血幹細胞移植ミニ移植 https://web.archive.[...] 2011-06-09
[233] 서적 内科学 朝倉書店 2007
[234] 서적 内科学 朝倉書店 2013
[235] 논문 急性骨髄性白血病に対する化学療法の現在の到達点 日本血液学会 2012
[236] 논문 急性骨髄性白血病に対する化学療法の現在の到達点 日本血液学会 2012
[237] 논문 急性骨髄性白血病に対する化学療法の現在の到達点 日本血液学会 2012
[238] 서적 現場で役立つ血液腫瘍治療プロトコール集 医薬ジャーナル社 2011
[239] 서적 造血器腫瘍アトラス 日本医事新報社 2009
[240] 서적 三輪血液病学 文光堂 2006
[241] 웹사이트 愛知県がんセンター・急性前骨髄球性白血病 https://web.archive.[...]
[242] 웹사이트 国立九州がんセンター・15;17転座急性前骨髄球性白血病 (AML-M3) http://www.midb.jp/b[...]
[243] 서적 白血病・リンパ腫・骨髄腫 : 今日の診断と治療 中外医学社 2011
[244] 서적 現場で役立つ血液腫瘍治療プロトコール集 医薬ジャーナル社 2011
[245] 서적 血液専門医テキスト 南江堂 2011
[246] 서적 白血病・リンパ腫・骨髄腫 : 今日の診断と治療 (출판사 미상)
[247] 서적 血液専門医テキスト 南江堂
[248] 논문 慢性骨髄性白血病の細胞死の抑制 科学評論社
[249] 서적 造血器腫瘍アトラス 日本医事新報社
[250] 서적 WHO分類第4版による白血病・リンパ系腫瘍の病態学 中外医学社
[251] 논문 白血病幹細胞を標的とする薬剤開発 最新医学社
[252] 웹사이트 国立がん研究センター・慢性骨髄性白血病 https://web.archive.[...]
[253] 서적 現場で役立つ血液腫瘍治療プロトコール集 医薬ジャーナル社
[254] 서적 白血病・リンパ腫・骨髄腫 : 今日の診断と治療 中外医学社
[255] 서적 内科学書 中山書店
[256] 서적 白血病・リンパ腫・骨髄腫 : 今日の診断と治療 中外医学社
[257] 서적 白血病・リンパ腫・骨髄腫 : 今日の診断と治療 中外医学社
[258] 서적 白血病・リンパ腫・骨髄腫 : 今日の診断と治療 中外医学社
[259] 서적 三輪血液病学 文光堂
[260] 서적 癌化学療法ハンドブック メディカル・サイエンス・インターナショナル
[261] 웹사이트 がんの化学療法と看護・皮膚障害・脱毛 https://web.archive.[...] 2012-02-02
[262] 서적 血液専門医テキスト 南江堂
[263] 웹사이트 病薬アワー http://medical.radio[...] 2012-02-02
[264] 서적 急性骨髄性白血病 (AML) における白血病幹細胞 医歯薬出版
[265] 서적 造血器腫瘍アトラス 日本医事新報社
[266] 서적 造血器腫瘍アトラス 日本医事新報社
[267] 서적 造血器腫瘍アトラス 日本医事新報社
[268] 서적 三輪血液病学 文光堂
[269] 논문 白血病幹細胞を標的にした新たな治療法の開発 日本血液学会
[270] 논문 急性骨髄性白血病の分子病態と診断 科学評論社
[271] 서적 血液診療エキスパート 白血病 中外医学社
[272] 서적 WHO血液腫瘍分類 医薬ジャーナル社
[273] 논문 CML幹細胞の制御メカニズム 中外医学社
[274] 논문 慢性骨髄性白血病の急性転化におけるHes1の関与 日本血液学会
[275] 서적 内科学書 中山書店
[276] 서적 がんの分子標的治療 南山堂
[277] 서적 三輪血液病学 文光堂
[278] 서적 三輪血液病学 文光堂
[279] 서적 iMedicine. 5 リブロ・サイエンス
[280] 서적 内科学 文光堂
[281] 서적 内科学 朝倉書店 2007
[282] 서적 血液疾患最新の治療. 2011-2013 南江堂 2010
[283] 서적 三輪血液病学 文光堂 2006
[284] 서적 血液疾患最新の治療. 2011-2013 南江堂 2010
[285] 서적 三輪血液病学 文光堂 2006
[286] 서적 三輪血液病学 文光堂 2006
[287] 서적 血液疾患最新の治療. 2011-2013 南江堂 2010
[288] 서적 三輪血液病学 文光堂 2006
[289] 기타
[290] 서적 三輪血液病学 文光堂 2006
[291] 웹사이트 「『染色体異常をみつけたら』9-c『トリソミー21と一過性・急性白血病』」 http://www.cytogen.j[...] 日本人類遺伝学会 2006-08-16
[292] 서적 三輪血液病学 文光堂 2006
[293] 서적 血液疾患最新の治療. 2011-2013 南江堂 2010
[294] 간행물 高齢者造血器腫瘍の病態と治療 科学評論社 2011
[295] 서적 血液疾患最新の治療. 2011-2013 南江堂 2010
[296] 서적 三輪血液病学 文光堂 2006
[297] 서적 三輪血液病学 文光堂 2006
[298] 간행물 骨髄性白血病の疫学 日本臨床社 2009
[299] 서적 三輪血液病学 文光堂 2006
[300] 서적 造血器腫瘍アトラス 日本医事新報社 2009
[301] 서적 三輪血液病学 文光堂 2006
[302] 서적 三輪血液病学 文光堂 2006
[303] 서적 WHO分類第4版による白血病・リンパ系腫瘍の病態学 中外医学社 2009
[304] 서적 骨髄疾患診断アトラス : 血球形態と骨髄病理 中外医学社 2010
[305] 서적 三輪血液病学 文光堂 2006
[306] 서적 造血器腫瘍治療 中外医学社 2010
[307] 서적 三輪血液病学 文光堂 2006
[308] 서적 iMedicine. 5 リブロ・サイエンス 2010
[309] 간행물 骨髄異形成症候群の病態・進展とアポトーシス 科学評論社 2011
[310] 서적 造血器腫瘍取扱い規約 金原出版 2010
[311] 서적 新・病態生理できった内科学(5)血液疾患 医学教育出版社 2009
[312] 서적 新・病態生理できった内科学(5)血液疾患 医学教育出版社 2009
[313] 서적 WHO分類第4版による白血病・リンパ系腫瘍の病態学 中外医学社 2009
[314] 서적 WHO血液腫瘍分類 医薬ジャーナル社 2010
[315] 서적 造血器腫瘍取扱い規約 金原出版 2010
[316] 서적 iMedicine. 5 リブロ・サイエンス 2010
[317] 서적 内科学書 Vol.6 改訂第7版 中山書店 2009
[318] 서적 新・病態生理できった内科学(5)血液疾患 第2版 医学教育出版社 2009
[319] 서적 新・病態生理できった内科学(5)血液疾患 第2版 医学教育出版社 2009
[320] 웹사이트 国立がん研究センター・各種がんの解説 https://web.archive.[...] 2011-06-29
[321] 서적 造血器腫瘍アトラス 改訂第4版 日本医事新報社 2009
[322] 서적 新・病態生理できった内科学(5)血液疾患 第2版 医学教育出版社 2009
[323] 웹사이트 高槻病院・放射線科 http://www.takatsuki[...]
[324] 기타
[325] 서적 内科学書 Vol.6 改訂第7版 中山書店 2009
[326] 서적 WHO分類第4版による白血病・リンパ系腫瘍の病態学 中外医学社 2009
[327] 웹사이트 放射線影響研究所・原爆被爆者における白血病リスク http://www.rerf.or.j[...] 2011-08-09
[328] 웹사이트 放射線影響研究所・原爆被爆者における白血病リスク https://web.archive.[...] 2012-02-26
[329] 서적 三輪血液病学 文光堂 2006
[330] 논문 被爆者白血病(造血器腫瘍)研究の新展開 広島医学会 2010
[331] 웹사이트 放射線影響研究所・原爆被爆者における固形がんリスク https://web.archive.[...] 2012-01-29
[332] 논문 放射線がんにおけるエピゲノム制御異常の役割 広島医学会 2010
[333] 웹사이트 国立がん研究センター・慢性骨髄性白血病 https://web.archive.[...] 2010
[334] 기타
[335] 서적 放射線の線源と影響 : 原子放射線の影響に関する国連科学委員会UNSCEAR 2008年報告書. 第1巻 (線源) 放射線医学総合研究所 2011
[336] 서적 原爆放射線の人体影響 改訂第2版 文光堂 2012
[337] 서적 三輪血液病学 文光堂 2006
[338] 서적 放射線は本当に微量でも危険なのか? : 直線しきい値なし〈LNT〉仮説について考える 医療科学社 2012
[339] 웹사이트 BMDW https://web.archive.[...] 2012-02-21
[340] 웹사이트 WMDA http://www.worldmarr[...] 2012-02-21
[341] 논문 世界と日本の骨髄バンク 医薬ジャーナル社 2004
[342] 웹사이트 難病情報センター・特定疾患治療研究事業対象疾患一覧表(56疾患) https://web.archive.[...] 2012-02-12
[343] 웹사이트 厚生労働省・小児慢性特定疾患治療研究事業の概要 https://web.archive.[...] 2012-02-12
[344] 웹사이트 厚生労働省・特別児童扶養手当について http://www.mhlw.go.j[...] 2012-02-12
[345] 웹사이트 がんの子供を守る会・療養助成 http://www.ccaj-foun[...] 2012-02-12
[346] 웹사이트 アートネーチャー・CSR活動 http://www.artnature[...] 2012-02-12
[347] 웹사이트 厚生労働省・高額療養費制度を利用される皆さまへ https://www.mhlw.go.[...] 2012-02-12
[348] 웹사이트 骨髄バンク集計 骨髄バンク登録状況(速報値) https://www.bs.jrc.o[...] 2022-05-19
[349] 웹사이트 さい帯血バンク集計 さい帯血保存公開状況 https://www.bs.jrc.o[...] 2022-05-19
[350] 웹사이트 日本骨髄バンク・患者負担金の免除について http://www.jmdp.or.j[...] 2012-02-12
[351] 간행물 日本骨髄バンク・プレスリリース平成24(2012)年1月12日 http://www.jmdp.or.j[...] 2012-02-21
[352] 서적 新獣医学辞典 チクサン出版社 2008
[353] 서적 獣医内科学 文永堂出版 2011
[354] 서적 獣医内科学 文永堂出版 2011
[355] 서적 イラストでみる獣医免疫学 インターズー 2011
[356] 웹인용 Leukemia http://www.cancer.go[...] 2014-06-13
[357] 웹인용 What You lNeed To Know About™ Leukemia http://www.cancer.go[...] 2014-06-18
[358] 저널 Childhood leukemia 2010-06
[359] 웹인용 A Snapshot of Leukemia http://www.cancer.go[...] 2014-06-18
[360] 서적 World Cancer Report 2014. https://archive.org/[...] World Health Organization 2014
[361] 저널 The 2008 revision of the World Health Organization (WHO) classification of myeloid neoplasms and acute leukemia: rationale and important changes 2009-07
[362] 서적 Comparative oncology https://www.ncbi.nlm[...] The Publishing House of the Romanian Academy 2007
[363] 서적 World Cancer Report 2014. https://archive.org/[...] World Health Organization 2014
[364] 웹인용 SEER Stat Fact Sheets: Leukemia http://seer.cancer.g[...] National Cancer Institute
[365] 웹인용 Survival rates for childhood leukemia http://www.cancer.or[...] 2014-03-02
[366] 저널 Global, regional, and national incidence, prevalence, and years lived with disability for 310 diseases and injuries, 1990-2015: a systematic analysis for the Global Burden of Disease Study 2015 2016-10
[367] 저널 Global, regional, and national life expectancy, all-cause mortality, and cause-specific mortality for 249 causes of death, 1980-2015: a systematic analysis for the Global Burden of Disease Study 2015 2016-10
[368] 웹인용 Chronic Lymphocytic Leukemia (CLL) - Hematology and Oncology https://www.msdmanua[...] 2020-02-01
[369] 웹인용 Questions and Answers About Leukemia https://www.cdc.gov/[...] 2021-08-08
[370] 웹인용 Leukemia - Symptoms and causes https://www.mayoclin[...] 2021-08-08
[371] 웹인용 Key Statistics for Acute Lymphocytic Leukemia (ALL) https://www.cancer.o[...] 2019-12-09
[372] 웹인용 Finding Cancer Statistics » Cancer Stat Fact Sheets »Chronic Lymphocytic Leukemia http://seer.cancer.g[...]
[373] 웹인용 Survival: Acute Myeloid Leukaemia https://www.cancerre[...] 2019-12-02
[374] 웹인용 Novartis Oncology http://www.novartiso[...]
[375] 웹인용 Patients with Chronic Myelogenous Leukemia Continue to Do Well on Imatinib at 5-Year Follow-Up http://www.medscape.[...] 2006-06-12
[376] 웹인용 Updated Results of Tyrosine Kinase Inhibitors in CML http://professional.[...]
[377] 저널 Long remissions in hairy cell leukemia with purine analogs: a report of 219 patients with a median follow-up of 12.5 years 2005-12
[378] 저널 T-cell Prolymphocytic Leukemia http://www.moffitt.o[...] 1998-01
[379] 저널 T-cell prolymphocytic leukemia involving extramedullary sites http://www.medscape.[...] 2005-03
[380] 서적 Pathology and genetics of tumours of haematopoietic and lymphoid tissues https://books.google[...] IARC Press
[381] 저널 Myeloid neoplasms with eosinophilia 2017-02
[382] 저널 World Health Organization-defined eosinophilic disorders: 2015 update on diagnosis, risk stratification, and management 2015-11
[383] 저널 The 2016 revision to the World Health Organization classification of myeloid neoplasms and acute leukemia 2016-05
[384] 저널 Transient Abnormal Myelopoiesis and AML in Down Syndrome: an Update 2016-10
[385] 저널 GATA factor mutations in hematologic disease 2017-04
[386] 저널 Acute leukemias in children with Down syndrome 2012-09-01
[387] 참고자료
[388] 저널 Clinical presentation of childhood leukaemia: a systematic review and meta-analysis 2016-10-01
[389] 저널 Application of Differential Equations in Medical Science 2017-07-01
[390] 웹인용 Types of Leukemia: Common, Rare and More Varieties https://www.cancerce[...] 2021-10-08
[391] 웹인용 Iron deficiency anemia - Symptoms and causes https://www.mayoclin[...] 2022-03-05
[392] 웹인용 Leukemia http://connection.eb[...] Columbia Electronic Encyclopedia, 6th Edition 2011-11-04
[393] 웹인용 Leukemia: Symptoms, Signs, Causes, Types & Treatment https://my.cleveland[...] 2022-10-13
[394] 웹인용 How is Leukemia Diagnosed? https://web.archive.[...] American Cancer Society 2010-05-04
[395] 저널 Formaldehyde exposure and leukemia: A new meta-analysis and potential mechanisms https://web.archive.[...] 2013-05-22
[396] 저널 Formaldehyde and Leukemia: Epidemiology, Potential Mechanisms, and Implications for Risk Assessment
[397] 서적 Physiopathogenesis of Hematological Cancer Bentham Science Publishers 2012
[398] 저널 Defining AML and MDS second cancer risk dynamics after diagnoses of first cancers treated or not with radiation 2016-02-01
[399] 저널 Diet and risk of leukemia in the Iowa Women's Health Study http://cebp.aacrjour[...] 2002-08-01
[400] 서적 Leukemia: A Research Report https://books.google[...] DIANE Publishing
[401] 서적 Adult leukemias https://archive.org/[...] B. C. Decker
[402] 저널 Fertility treatments, congenital malformations, fetal loss, and childhood acute leukemia: the ESCALE study (SFCE) 2013-02-01
[403] 저널 Association between neonatal phototherapy and future cancer: an updated systematic review and meta-analysis
[404] 웹인용 Backgrounder on Radiation Protection and the "Tooth Fairy" Issue https://www.nrc.gov/[...] U.S. Nuclear Regulatory Commission 2004-12-01
[405] 서적 Quick Look Series in Veterinary Medicine: Hematology https://archive.org/[...] Teton NewMedia
[406] 저널 SPRED1 disorder and predisposition to leukemia in children 2009-07-01
[407] 저널 BCR/ABL: from molecular mechanisms of leukemia induction to treatment of chronic myelogenous leukemia 2002-12-01
[408] 웹인용 NCI Dictionary of Cancer Terms https://www.cancer.g[...] 2017-02-15
[409] 웹인용 Do We Know What Causes Chronic Myeloid Leukemia? https://www.cancer.o[...] 2017-02-15
[410] 웹인용 What is chronic myeloid leukaemia? (CML) – Understanding – Macmillan Cancer Support http://www.macmillan[...] 2017-02-15
[411] 서적 Non-Ionizing Radiation, Part 1: Static and Extremely Low-Frequency (ELF) Electric and Magnetic Fields (IARC Monographs on the Evaluation of the Carcinogenic Risks) http://monographs.ia[...] World Health Organisation
[412] 웹인용 WHO | Electromagnetic fields and public health https://web.archive.[...] 2009-02-18
[413] 웹인용 Diagnosing Chronic Lymphocytic Leukemia in Adults https://nyulangone.o[...] 2021-03-26
[414] 웹인용 Chronic Lymphocytic Leukemia (CLL): Tests After Diagnosis https://www.urmc.roc[...] 2021-03-26
[415] 웹인용 How is Leukemia Diagnosed? https://web.archive.[...] American Cancer Society 2010-05-04
[416] 서적 Essential haematology Blackwell Pub. 2006
[417] 웹인용 Chronic Lymphocytic Leukemia (PDQ) Treatment: Stage Information http://www.cancer.go[...] 2007-09-04
[418] 서적 Practical Radiotherapy & Chemotherapy Planning https://books.google[...] JP Medical Ltd 2017-03-22
[419] 웹인용 Typical treatment of acute myeloid leukemia (except promyelocytic M3) http://www.cancer.or[...] American Cancer Society 2012-10-31
[420] 저널 Targeted chronic myeloid leukemia therapy: seeking a cure https://web.archive.[...] 2008-05-18
[421] 웹사이트 Hairy Cell Leukemia https://www.lecturio[...] 2021-07-24
[422] 논문 Cladribine in a weekly versus daily schedule for untreated active hairy cell leukemia: final report from the Polish Adult Leukemia Group (PALG) of a prospective, randomized, multicenter trial 2007-05-01
[423] 논문 Filgrastim for cladribine-induced neutropenic fever in patients with hairy cell leukemia 1999-04-01
[424] 논문 High remission rate in T-cell prolymphocytic leukemia with CAMPATH-1H 2001-09-01
[425] 웹사이트 JMMLfoundation.org https://web.archive.[...] JMMLfoundation.org 2010-08-29
[426] 서적 World Cancer Report 2014. https://archive.org/[...] World Health Organization 2014
[427] 웹사이트 SEER Stat Fact Sheets: Leukemia http://seer.cancer.g[...] National Cancer Institute
[428] 웹사이트 Survival rates for childhood leukemia http://www.cancer.or[...] 2014-03-02
[429] 논문 Adolescents and young adults with acute lymphoblastic leukemia 2010
[430] 논문 Global and regional mortality from 235 causes of death for 20 age groups in 1990 and 2010: a systematic analysis for the Global Burden of Disease Study 2010 https://repozitorij.[...] 2012-12-01
[431] 간행물 Cancer incidence, mortality and survival by site for 14 regions of the world https://www.who.int/[...] World Health Organization
[432] 서적 World Cancer Report 2014. https://archive.org/[...] World Health Organization 2014
[433] 논문 Breastfeeding and Childhood Leukemia Incidence: A Meta-analysis and Systematic Review 2015-06-01
[434] 웹사이트 Leukemia Facts & Statistics. http://www.leukemia-[...] 2009-07-02
[435] 웹사이트 SEER Cancer Statistics Review, 1975–2006 http://seer.cancer.g[...] National Cancer Institute 2009-11-03
[436] 서적 Cancer Incidence and Survival among Children and Adolescents, United States SEER program 1975–1995 Cancer Statistics Branch, National Cancer Institute 1999
[437] 웹사이트 Childhood Blood Cancers http://www.lls.org/d[...]
[438] 웹사이트 Facts 2012 http://www.lls.org/c[...]
[439] 웹사이트 null https://www.cancerau[...] 2023-04-03
[440] 웹사이트 Leukaemia (all subtypes combined) statistics http://www.cancerres[...] 2014-10-27
[441] 논문 First contributors in the history of leukemia 2013-08-06
[442] 논문 Sidney Farber and the treatment of childhood acute lymphoblastic leukemia with a chemotherapeutic agent 2012-05-01
[443] 논문 Targeting leukemia: from bench to bedside 2002-03-01
[444] 웹사이트 Leukemia: MedlinePlus Medical Encyclopedia https://medlineplus.[...] 2019-05-16
[445] 웹사이트 leukemia https://www.etymonli[...] 2023-02-14
[446] 서적 Illness as Metaphor Farrar, Straus and Giroux
[447] 논문 Cancer as Metaphor: The Metaphorical Implications of Romanticized Illness in Young Adult Fiction https://digitalcommo[...] Trinity University 2017
[448] 웹사이트 A Snapshot of Leukemia http://www.cancer.go[...] 2014-06-18
[449] 웹사이트 Learn About Clinical Studies - Reasons for Conducting Clinical Studies https://clinicaltria[...] 2023-03-03
[450] 웹사이트 Understanding Clinical Trials for Blood Cancers https://web.archive.[...] Leukemia and Lymphoma Society 2010-05-19
[451] 뉴스 New Leukemia Therapy Destroys Cancer by Turning Blood Cells into "Assassins" http://www.cbsnews.c[...] CBSnews.com HealthPop section 2011-08-11
[452] 뉴스 Gene therapy cures leukaemia in eight days https://www.newscien[...] 2013-04-15
[453] 논문 Clinical trials of dual-target CAR T cells, donor-derived CAR T cells, and universal CAR T cells for acute lymphoid leukemia 2019-02-01
[454] 논문 Approved CAR T cell therapies: ice bucket challenges on glaring safety risks and long-term impacts 2018-06-01
[455] 웹사이트 How we're beating leukaemia http://leukaemialymp[...] Leukaemia & Lymphoma Research 2013-09-24
[456] 저널 How I treat acute and chronic leukemia in pregnancy 2008-09-00
[457] 저널 Pregnancy and commonly used drugs in hematology practice



본 사이트는 AI가 위키백과와 뉴스 기사,정부 간행물,학술 논문등을 바탕으로 정보를 가공하여 제공하는 백과사전형 서비스입니다.
모든 문서는 AI에 의해 자동 생성되며, CC BY-SA 4.0 라이선스에 따라 이용할 수 있습니다.
하지만, 위키백과나 뉴스 기사 자체에 오류, 부정확한 정보, 또는 가짜 뉴스가 포함될 수 있으며, AI는 이러한 내용을 완벽하게 걸러내지 못할 수 있습니다.
따라서 제공되는 정보에 일부 오류나 편향이 있을 수 있으므로, 중요한 정보는 반드시 다른 출처를 통해 교차 검증하시기 바랍니다.

문의하기 : help@durumis.com