급성 골수성 백혈병
"오늘의AI위키"의 AI를 통해 더욱 풍부하고 폭넓은 지식 경험을 누리세요.
1. 개요
급성 골수성 백혈병은 골수모세포가 과도하게 증식하여 발생하는 혈액암으로, 1827년 처음 의학 문헌에 보고되었다. 다양한 원인과 위험 요인에 의해 발생하며, 다른 혈액 질환, 화학적 노출, 방사선, 유전적 요인 등이 관련된다. 급성 골수성 백혈병은 골수 내 정상 혈액 세포의 생성을 방해하여 감염, 빈혈, 출혈 등의 증상을 유발하며, 전혈구 검사, 혈액 도말 검사, 골수 검사 등을 통해 진단한다. 치료는 화학 요법을 기본으로 하며, 유도 요법과 공고 요법을 통해 완전 관해를 목표로 한다. 조혈모 세포 이식, 표적 치료, 보조 치료 등이 사용되며, 예후는 환자의 나이, 특정 유전자 돌연변이 유무 등에 따라 다르다.
더 읽어볼만한 페이지
- 급성 골수성 백혈병 - 비만세포 백혈병
비만세포 백혈병은 백혈병성 비만세포가 과다하게 증식하여 발생하는 드문 급성 혈액 질환으로, 발열, 두통, 안면 홍조, 히스타민 분비로 인한 증상, 간비종대, 출혈 경향 등이 나타나며, 면역요법, 화학요법 등으로 치료하지만 예후가 불량하다. - 급성 골수성 백혈병 - 양표현형 급성 백혈병
양표현형 급성 백혈병은 림프구 및 골수구 계열의 항원을 동시에 발현하는 드문 급성 백혈병으로, 림프절 비대, 잇몸 부종, 빈혈, 혈소판 감소증, 면역력 저하를 동반하며, 혈액 검사, 골수 검사, 면역표현형 검사를 통해 진단하고, 아세포 형태에 따라 급성 골수성 백혈병 또는 급성 림프구성 백혈병 유도 화학 요법을 시행하며, 예후가 좋지 않습니다.
2. 역사
의학 문헌에 백혈병 사례가 처음 발표된 것은 1827년으로, 프랑스 의사 알프레드 아르망 루이 마리 벨포가 열, 쇠약, 요로 결석, 그리고 간과 비장의 비대를 보인 63세 꽃가게 주인을 묘사하면서부터이다. 벨포는 이 환자의 혈액이 "죽과 같다"고 하였으며, 이것이 백혈구 때문이라고 추측했다.[103][71] 1845년에는 J.H. 베넷이 비장이 비대해지고 "혈액의 색깔과 점성"이 변한 사람들에 대해 보고했으며, 그는 이 병리학적 상태를 "백혈구증"이라는 용어를 사용했다.[104][72]
급성 골수성 백혈병(AML)은 대부분 확인된 위험 요인 없이 발생하지만, 기타 혈액 질환, 화학적 노출, 이온화 방사선, 유전적 위험 요인 등이 AML 발생에 영향을 미치는 것으로 알려져 있다.[9]
1856년, 독일 병리학자 루돌프 피르호는 "백혈병"이라는 용어를 만들었다. 광학 현미경의 사용을 개척한 피르호는 벨포와 베넷이 묘사한 환자들에게서 비정상적으로 많은 백혈구를 처음으로 묘사했다. 피르호는 원인을 확신하지 못했기 때문에, "백혈병"(그리스어: "흰 피")이라는 용어를 사용했다.[105][73]
1877년, 파울 에를리히는 혈액 도말을 염색하는 기술을 개발하여 정상 및 비정상 백혈구를 자세히 묘사할 수 있게 되었다. 1889년, 빌헬름 엡스타인은 빠르게 진행되고 치명적인 백혈병을 만성 백혈병과 구별하기 위해 "급성 백혈병"이라는 용어를 도입했다.[106][74] 1869년, 프란츠 에른스트 크리스티안 노이만은 백혈구가 골수에서 만들어진다는 것을 처음으로 알았다.[107][75] 백혈병 진단을 위한 골수 검사 기술은 1879년 모슬러에 의해 처음 묘사되었다.[75] 1900년에는 AML의 악성 세포인 골수모세포가 오토 네겔리에 의해 특징지어졌으며, 그는 백혈병을 골수성과 림프구성으로 나누었다.[108][109][76][77]
2008년, AML은 최초로 완전한 염기 서열 분석이 이루어진 암 유전체가 되었다. 백혈병 세포에서 추출한 DNA는 영향을 받지 않은 피부와 비교되었다.[110][78]
3. 원인
3. 1. 병태 생리
급성 골수성 백혈병(AML)에서 악성 세포는 골수모세포이다. 정상적인 혈액 세포 발달(조혈) 과정에서 골수모세포는 골수성 백혈구의 미성숙 전구체이며, 결국 호산구, 호염구, 중성구, 단핵구와 같은 백혈구로 성숙한다. 그러나 AML에서는 단일 골수모세포가 성숙을 멈추고, 증식을 증가시키며, 프로그램 세포사멸(세포 자멸사)로부터 보호하는 유전적 변화를 축적한다.[15] AML의 다양성과 이질성은 백혈병 변환이 분화 경로를 따라 여러 단계에서 발생할 수 있기 때문에 나타난다.[15] 유전적 이상 또는 분화가 중단된 단계는 현대 분류 시스템의 일부를 형성한다.[15]
특정 세포유전학적 이상은 AML 환자에게서 발견될 수 있으며, 염색체 이상 유형은 종종 예후와 관련이 있다.[15] 염색체 전위는 비정상적인 융합 단백질을 암호화하며, 일반적으로 변경된 특성이 "분화 정지"를 유발할 수 있는 전사 인자이다.[15] 예를 들어, 급성 전골수성 백혈병(APL)에서 t(15;17) 전위는 PML-RARA 융합 단백질을 생성하며, 이는 여러 골수 특이적 유전자의 프로모터에서 레티노산 수용체 요소에 결합하여 골수 분화를 억제한다.[15]
AML의 의학적 징후 및 증상은 백혈병 클론 세포의 증식으로 인해 발생하며, 이는 골수 내 정상 혈액 세포의 발달을 방해한다.[15] 이는 호중구 감소증, 빈혈 및 혈소판 감소증으로 이어진다.[15] 다른 증상은 치은과 피부와 같은 신체 부위에 악성 세포가 침윤하여 발생할 수 있다.[15]
많은 세포는 DNA 메틸화와 같은 후생유전학에 영향을 미치는 유전자에서 돌연변이를 일으킨다.[6] 이러한 돌연변이가 발생할 경우 AML의 초기 단계일 가능성이 높다.[6] 이러한 돌연변이에는 DNA 탈메틸화 효소인 ''TET2''와 대사 효소인 ''IDH1'' 및 ''IDH2''가 포함되며,[16] 이는 새로운 종양대사체인 ''D''-2-하이드록시글루타르산을 생성하게 하여, ''TET2''와 같은 후생유전학적 효소의 활성을 억제한다.[17] 후생유전학적 돌연변이는 종양 억제 유전자의 침묵 및/또는 원종양 유전자의 활성화를 유발할 수 있다.[18]
정상적인 조혈 세포는 조혈 줄기 세포에서 분화를 시작하는 극초기에 림프계와 골수계의 2계통으로 나뉘어 각각 성숙해진다. 이 조혈 세포가 종양화된 것이 백혈병이며, 그 중에서도 세포가 성숙 능력을 잃는 것을 급성 백혈병이라고 한다. 또한 급성 백혈병 중에서 백혈병 세포에 골수계로의 분화 경향이 보이는 것을 급성 골수성 백혈병이라고 한다.[79] 골수계로의 분화는 빠른 단계에서 멈추고 정상적으로 성숙하지 않는다.
급성 골수성 백혈병에서는 백혈병 세포가 분화·성숙 능력에 이상을 일으키며, 백혈병 세포는 조혈 세포의 어린 형태를 취하기 때문에 '''모세포'''라고도 불린다. 급성 골수성 백혈병은 이 모세포가 증식하는 질환이다.
백혈병 세포는 정상적인 조혈 세포에 비해 증식(세포 분열)이 빠른 것이 아니라, 오히려 증식 속도가 느리다.[80] 정상적인 혈구는 수명을 가지고 조혈이 적절한 통제를 받고 있기 때문에 일정한 수를 유지한다. 그러나 백혈병 세포는 통제를 받지 않고 증식을 계속하기 때문에 무제한으로 수를 늘려 골수 내에서 정상적인 조혈 세포를 압도하여 정상적인 조혈을 방해하고, 골수에서 말초혈로 흘러넘쳐 나온다.[79][80]
백혈병 세포가 증식하여 골수를 점거해 버리기 때문에 정상적인 조혈이 이루어지지 않아, 적혈구, 백혈구, 혈소판이 감소하기 때문에 출혈, 감염되기 쉬움, 빈혈 등의 여러 증상을 일으킨다. 또한, 말초혈로 넘쳐 나온 백혈병 세포가 각 장기에 침윤하여 각 장기의 조직을 파괴함으로써 다양한 증상을 일으킨다.[79]
만성 백혈병은 급성 백혈병이 만성화된 질환이 아니다. 이 두 그룹의 발생 기전은 기본적으로 다르며, 급성 백혈병이 만성화되는 일은 없지만, 반대로 만성 백혈병이 급성으로 변화하는 경우(급성 전환)는 적지 않게 있다.[79]
4. 증상
골수 내에서 정상 혈구 세포가 만들어질 공간이 좁아지면서 급성 골수성 백혈병의 여러 증상이 나타난다.[7] 정상적인 백혈구 생성이 부족해지면 감염에 취약해진다.[8] 적혈구 수치가 낮아지는 빈혈은 피로, 창백함, 호흡 곤란, 심계항진을 일으킬 수 있다.[8] 혈소판 부족은 멍, 코피(비출혈), 피부의 작은 혈관(점상 출혈) 또는 잇몸 출혈, 경미한 외상으로 인한 출혈을 유발할 수 있다.[8] 이 외에도 발열, 빈혈만으로는 설명할 수 없는 피로, 체중 감소, 식욕 부진이 나타날 수 있다.[8]
비장 비대는 급성 골수성 백혈병에서 나타날 수 있지만, 일반적으로 경미하고 무증상이다. 림프절병증은 급성 골수단구 백혈병(AMML)을 제외하고는 대부분의 급성 골수성 백혈병 유형에서 드물게 나타난다.[8] 피부는 백혈병 피부(leukemia cutis) 형태로 나타날 수 있으며, 스위트 증후군 또는 비특이적 소견(평평한 병변(반점), 융기된 병변(구진), 괴저성 농피증, 혈관염)이 나타날 수 있다.[8]
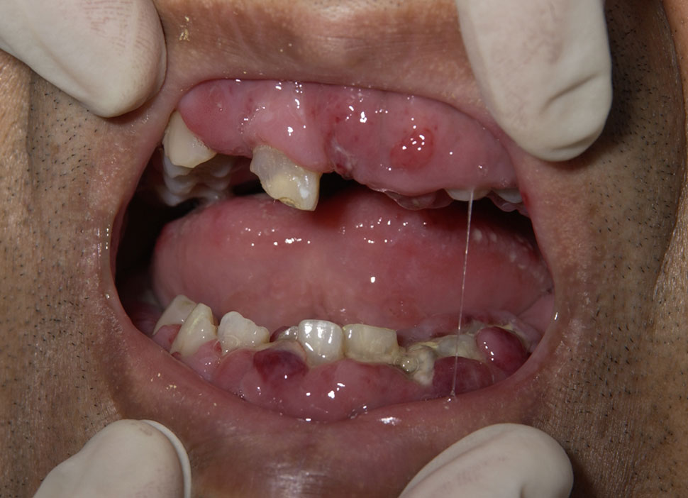
급성 골수성 백혈병 환자 중 일부는 백혈병 세포가 잇몸 조직으로 침윤하여 잇몸이 부어오를 수 있다.[7] 위장관, 호흡기] 등 다른 부위 침범도 가능하지만 흔하지 않다.[8] 치료에 특히 중요한 부위는
5. 진단
전혈구 검사는 혈액 검사의 일종으로, 급성 골수성 백혈병(AML) 진단의 초기 단계 중 하나이다. 백혈구 증가증 또는 백혈구 감소증, 빈혈, 혈소판 감소증이 흔히 나타날 수 있다. 혈액 도말 검사에서는 백혈병 모세포가 나타날 수 있으며, 아우어 소체가 보이면 진단을 매우 유력하게 할 수 있다. 확진을 위해서는 골수 검사가 필요하다.
골수는 광학 현미경 및 유세포 분석법으로 검사하여 백혈병의 존재를 진단하고, AML을 급성 림프모구 백혈병(ALL)과 구별하며, 질병의 아형을 분류하는 데 필요한 세포 성숙도 정보를 제공한다. 골수 또는 혈액 샘플은 세포 유전학 또는 형광 ''생체 내'' 혼성화를 통해 염색체 이상 여부를 검사한다. ''FLT3'', 핵인단백질, ''KIT''와 같은 유전자의 돌연변이 검사도 수행될 수 있다.[19]
세포화학 염색은 AML을 ALL과 구별하고 AML 아형을 분류하는 데 도움이 된다. 과산화효소 또는 수단 블랙 염색과 비특이적 에스테라제 염색을 조합하여 사용하며, 과산화효소 또는 수단 블랙 반응은 AML과 ALL을 구별하는 데 가장 유용하다. 비특이적 에스테라제 염색은 AML에서 단핵구 성분을 확인하고 단핵구 모세포 백혈병을 ALL과 구별하는 데 사용된다.[20]
증상이 나타나는 단계에서는 혈액 검사에서 빈혈, 혈소판 감소증이 나타나며, 건강한 사람의 말초 혈액에서는 보이지 않는 아세포가 출현하는 경우가 많아 백혈병을 의심할 수 있다. 혈액 내 아세포 출현 또는 골수 내 아세포 증가를 보이는 질환은 급성 골수성 백혈병 외에도 다양하므로, 2008년 WHO 분류에서는 골수 내 아세포 비율이 20% 이상인 경우를 급성 골수성 백혈병으로 정의한다. 급성 골수성 백혈병은 증상이 나타나는 단계까지 진행되면 체내 백혈병 세포 수가 매우 많아지므로, 혈액내과 전문의의 긴급한 진찰이 필요하다. 일반적으로 진찰 의사가 혈액 전문의에게 의뢰하고, 혈액 전문의가 있는 병원으로 긴급 전원된다. 혈액 전문의는 백혈병 의심 시 골수 검사 및 유전자 검사 등을 통해 진단을 확정한다.[79]
5. 1. 분류
백혈병에 관한 최초의 보고는 1827년 프랑스 외과의 알프레드 벨포에 의해 이루어졌다. 그는 63세 원예가의 열, 허약, 요석, 간과 비장의 비대 증상을 기술하며, 환자의 혈액이 "귀리죽" 같다고 기록했다.[103] 1845년 J.H. Bennett은 비장 비대로 사망한 환자들의 혈액 색깔이 동일함을 보고하고, 이 병적 상태를 "leucocythemia"로 표현했다.[104]"백혈병"이라는 용어는 1856년 독일 병리학자 루돌프 피르호가 만들었다. 광학현미경을 병리학에 활용한 선구자인 피르호는 벨포와 베넷이 기술한 환자들에게서 백혈구의 비정상적인 증가를 처음으로 확인하고, 이 질환에 "백혈병(leukemia, 그리스어로 하얀 혈액)"이라는 이름을 붙였다.[105]
급성 골수성 백혈병(AML)에 대한 이해는 기술 발전에 따라 빠르게 진전되었다. 1877년 파울 에를리히는 혈액 필름 염색 기술을 개발하여 정상 백혈구와 비정상 백혈구를 구별할 수 있게 하였다. 1889년 Wilhelm Ebstein은 빠르게 진행되어 치명적인 백혈병과 천천히 진행되는 만성 백혈병을 구분하기 위해 "급성 백혈병"이라는 용어를 도입했다.[106] 1869년 Franz Ernst Christian Neumann은 백혈구가 골수에서 생성된다는 사실을 발견하고 "골수성(myeloid)"이라는 용어를 제안했다.[107] 1879년 Mosler는 골수 생검 기술을 확립했다.[107] 1900년 Otto Naegeli는 급성 골수성 백혈병의 악성 세포인 골수아세포(myeloblast)를 기술하고, 백혈병을 골수성과 림프구성으로 분류했다.[108][109]
2008년 급성 골수성 백혈병의 전체 암 게놈 DNA 서열이 최초로 분석되었다. 백혈병 세포 DNA와 정상 피부 세포 DNA를 비교하여 유전적 변이를 확인했다.[110]
급성 골수성 백혈병 분류에는 주로 프랑스-미국-영국(FAB) 분류 체계와 세계보건기구(WHO) 분류 체계가 사용된다.
5. 1. 1. 세계보건기구(WHO) 분류 (2016)

모호한 계통의 급성 백혈병( 혼합 표현형 또는 이중 표현형 급성 백혈병이라고도 함)은 백혈병 세포를 골수성 세포 또는 림프성 세포로 분류할 수 없거나 두 유형의 세포가 모두 존재하는 경우에 발생한다.
5. 1. 2. 프랑스-미국-영국(FAB) 분류
프랑스-미국-영국(FAB) 분류 체계는 백혈병이 발생한 세포 유형과 그 성숙 정도에 따라 급성 골수성 백혈병(AML)을 M0부터 M7까지 8가지 아형으로 나눈다.[32] M0~M2형 AML은 '''급성 골모구 백혈병'''이라고 불릴 수 있다. 1976년에 6가지 FAB 아형(M1~M6)이 처음 제안되었고,[33] 1985년에 M7,[34] 1987년에 M0이 추가되었다.[35] 세계보건기구 분류 체계가 치료 결과와 더 강하게 연관되어 FAB 분류는 대부분 쓸모없게 되었지만, 유전자 검사를 이용할 수 없는 지역에서는 여전히 유용한 진단 도구로 사용되고 있다.[32]
급성 골수성 백혈병(AML)의 형태학적 아형에는 1999년에 아홉 번째 아형인 M8로 제안된 급성 호염기성 백혈병과 같이 FAB 체계에 포함되지 않은 희귀 유형도 포함된다.[42]
조혈모세포에서 여러 혈구로 분화하는 과정 중 특정 단계의 세포가 종양화되는지에 따라 FAB 분류는 M0-M7 및 아형으로 나뉜다. FAB 분류는 염색을 사용한 현미경적 관찰에 기초하지만, 최근에는 분자 유전학적 관점에 기초한 WHO 분류가 사용된다.
종양 세포의 형태와 세포 화학 염색(과산화효소 염색 등)을 조합하여 판단하며, 세포 표면 마커도 보조적으로 사용된다. M0, M7을 제외하고는 미엘로페르옥시다제(MPO) 양성이다.
- M0 (미분화형 급성 골수성 백혈병): 가장 미분화된 유형으로, MPO 음성이지만 CD13, CD33은 양성이다. 전체의 5%를 차지한다.
- M1 (급성 골수아구 백혈병): 아구(芽球)가 90% 이상이다.
- M2 (분화 경향을 보이는 급성 골수아구 백혈병): t(8;21)(q22;q22) 전좌가 대표적이며, 화학 요법에 잘 반응한다. 성숙 경향이 있는 과립구계 세포가 10% 이상 존재하며, 예후가 비교적 좋다.
- M3 (급성 전골수구 백혈병, APL): 전골수구의 종양으로, 트롬보플라스틴 유사 물질을 대량으로 가지고 있어 파종성 혈관 내 응고 증후군(DIC)을 동반하여 뇌출혈 등 조기 사망 위험이 높다. 미엘로페르옥시다제(MPO) 수치가 높고, 아주르 과립과 아우어 소체를 가진 파고트 세포(faggot cell)가 특징적이다. 15번과 17번 염색체의 상호 전좌(t(15;17))로 PML-레티노인산 수용체(RARα) 이상이 발생하며, ATRA 투여로 치료한다.
- M4 (급성 골수 단구성 백혈병, AMMoL): M4Eo에서는 inv(16), t(16;16) 전좌가 대표적이며, 화학 요법에 잘 반응한다.
- M5 (급성 단구성 백혈병, AMoL): 골수 유핵 세포 중 단구계가 80% 이상이며, 비특이적 에스테라제가 강 양성이다. 11q23 (MLL 유전자) 이상을 동반하기도 한다.
- M5a: 단아구가 단구 세포의 80% 이상인 미분화형으로, MPO 음성일 수 있다.
- M5b: 단아구가 단구 세포의 80% 미만이다.
- M6 (적백혈병): 골수 유핵 세포 중 적아구가 50% 이상, 적혈구를 제외한 세포 중 골수 아구가 30% 이상이다.
- M7 (급성 거핵아구성 백혈병): 백혈병 세포는 작고 위족 모양 돌기를 가지며, MPO 음성이지만 PPO, CD41, CD61은 양성이다. 예후가 매우 나쁘다.
6. 치료
급성 골수성 백혈병(AML)의 1차 치료는 주로 화학 요법이며, 유도 요법과 공고 요법의 두 단계로 나뉜다. 유도 요법은 백혈병 세포 수를 줄여 완전 관해를 유도하고, 공고 요법은 남아있는 질병을 제거하여 완치를 목표로 한다.[43]
조혈모 세포 이식은 유도 화학 요법에 실패하거나 재발한 경우, 또는 고위험군 환자에게 고려되는 치료법이다.[43] 최근에는 티로신 키나아제 억제제와 같은 표적 치료제를 활용한 치료법도 연구되고 있다.[43]
항암제를 이용한 강력한 화학요법이 주된 치료법이므로, 환자의 나이, 전반적인 건강 상태, 합병증 등을 고려하여 치료 계획을 세운다.
치료는 관해 유도 요법과 관해 후 요법으로 구성된다. 관해 유도 요법은 백혈병 세포를 줄여 현미경 검사에서 보이지 않는 상태(관해)로 만드는 것이다. 그러나 이 단계에서도 미세하게 백혈병 세포가 남아있을 수 있으므로(미세 잔존 질환, MRD), 관해 후 요법을 통해 남아있는 백혈병 세포를 완전히 제거하는 것을 목표로 한다. 관해 후 요법은 보통 4회까지 시행하며, 완전 관해 상태가 5년 동안 지속되면 완치로 간주한다.[79] 급성 림프구성 백혈병과 달리, AML에서는 유지 요법의 효과는 명확하지 않다.
전신 상태가 좋지 않은 경우에는 치료로 인한 사망 위험이 높아지므로, 증상 완화 치료를 선택할 수도 있다.
조혈모 세포 이식은 다량의 항암제와 방사선[95]을 사용하여 백혈병 줄기 세포를 포함한 모든 병적인 세포를 제거하는 치료법이다(전처치). 하지만 이 과정에서 정상적인 조혈 세포도 함께 제거되므로, 환자는 조혈 능력을 잃게 된다. 따라서 HLA형이 일치하는 건강한 사람의 조혈모 세포를 이식하여 건강한 조혈 기능을 회복시켜야 한다.[96]
그러나 이러한 강력한 치료는 체력이 약하거나 고령인 환자에게는 적용하기 어렵다. 이러한 경우를 위해 미니 이식이라는 방법도 있다. 미니 이식은 전처치 시 항암제 투여나 방사선 치료 강도를 낮춘 방법이다. 백혈병 줄기 세포가 일부 남을 수 있지만, 이식된 정상 세포의 면역 작용을 통해 남아있는 백혈병 세포를 제거하는 것을 기대한다. 하지만 미니 이식 역시 강력한 치료이므로 모든 환자에게 적용 가능한 것은 아니다.[97]
최근에는 표적 치료제 개발이 활발히 이루어지고 있으며, 기존 화학 요법과 병행하는 치료법이 연구되고 있다. FLT3 억제제인 길테리티닙과 키자르티닙은 재발하거나 치료가 어려운 FLT3-ITD 변이 양성 환자에게 승인되었다.
FLT3 유전자 변이 양성 AML에 대한 약물은 다음과 같다.
- 미도스타우린(midosutaurin): FLT3-ITD/FLT3-TKD 모두에 작용하며, DNR + AraC 병용 요법으로 사용된다.
- 키자르티닙(quizartinib): FLT3-ITD에 작용하며, 단독 요법으로 사용된다.
- 길테리티닙(gilteritinib): FLT3/AXL 억제제
IDH1/IDH2 유전자 변이 양성 AML에 대한 약물은 다음과 같다.
- 에나시데닙(enasidenib): IDH2 유전자 변이에 대한 선택성이 높다. AML 세포가 호중구로 분화되도록 유도하는 효과도 있다.
- 이보시데닙(ivosidenib): IDH1 유전자 변이에 대한 선택성이 높다. AML 세포가 호중구로 분화되도록 유도하는 효과도 있다.
6. 1. 유도 요법
유도 요법의 목표는 완전 관해에 도달하는 것이다. 완전 관해는 질병이 완치되었음을 의미하는 것이 아니라, 현재 사용 가능한 진단 방법으로는 질병을 감지할 수 없다는 것을 의미한다.급성 전골수성 백혈병(APL)을 제외한 모든 아형은 일반적으로 유도 항암화학요법으로 시타라빈과 다우노루비신 또는 이다루비신과 같은 안트라사이클린을 투여받는다. 이 유도 항암화학요법은 "7+3"(또는 "3+7")으로 알려져 있는데, 시타라빈은 7일 연속 정맥 주입으로 투여되는 반면, 안트라사이클린은 3일 연속 IV 푸시로 투여되기 때문이다.[44] 이 치료에 대한 반응은 연령에 따라 다르며, 60세 미만의 사람들은 60%에서 80% 사이의 더 나은 관해율을 보이며, 고령자들은 33%에서 60% 사이의 낮은 관해율을 보인다. 치료의 독성 효과와 이 유도 치료에 대한 급성 골수성 백혈병의 저항 가능성이 더 크기 때문에 60~65세 이상의 사람들에게는 임상 시험에서와 같은 다른 치료법이 제공될 수 있다.
급성 전골수성 백혈병은 전-''트란스''-레티노산(ATRA)과 삼산화 비소(ATO) 단독 요법 또는 안트라사이클린으로 치료한다. 파종성 혈관 내 응고와 유사한 증후군이 치료 초기 며칠 동안 또는 백혈병 진단 시 발생할 수 있으며, 발열, 체액 과다 및 낮은 산소 수치가 특징인 ''분화 증후군''으로 인해 치료가 복잡해질 수 있다. 급성 전골수성 백혈병은 완치 가능한 것으로 간주된다. 급성 골수성 백혈병의 다른 아형을 가진 성인에게 화학 요법과 함께 ATRA를 처방하는 것이 도움이 되는지 여부를 결정할 충분한 증거는 없다.[45]
급성 골수성 백혈병(APL)이 다른 AML과 구별되는 가장 큰 특징은 올-트랜스 레티노산(ATRA)에 의한 분화 유도 요법이 유효하다는 것이다. 이 약물의 등장으로 APL은 AML 중에서 가장 예후가 좋은 군이 되었다. 그러나 APL은 섬유소 용해 항진을 동반하는 심각한 파종성 혈관 내 응고 증후군을 합병하므로 신속하게 치료를 시작할 필요가 있다.[90] 또한 ATRA 치료 중 APL 분화 증후군[91]이라고 불리는 급격한 백혈구 증가, 발열, 부종, ARDS와 유사한 호흡 부전, 신부전, 심부전이 발생할 수 있으므로 치료에 주의를 기울여야 한다. 레티노산 증후군이 발병한 경우 ATRA 투여를 중단하고 부신피질 호르몬을 투여한다. ATRA 치료 중에는 절대로 트라넥사민산을 투여해서는 안 된다.
원칙적으로 안트라사이클린계 약물과 표준 용량 시타라빈, ATRA를 병용한다. 백혈구 수 및 APL 모두 적은 경우에는 ATRA 단독 요법도 가능하다.[92]
6. 2. 공고 요법
완전 관해를 달성한 후에도, 현재의 진단 기술로는 탐지할 수 없을 정도로 적은 수의 백혈병 세포가 남아있을 가능성이 높다. 추가적인 강화 요법이나 관해 후 치료를 하지 않으면, 급성 골수성 백혈병 환자는 거의 대부분 재발하게 된다.[79]관해 후 치료는 환자의 예후 인자와 전반적인 건강 상태를 기반으로 개별화된다.[81] 예후가 좋은 백혈병(inv(16), t(8;21), t(15;17) 등)의 경우, 일반적으로 강화 화학 요법으로 알려진 3~5회의 집중적인 화학 요법 과정을 추가로 거치게 된다. 이 화학 요법은 주로 시타라빈을 포함하며, 치료 관련 독성 발생 가능성이 낮은 젊은 환자에게는 더 높은 용량이 투여된다.
급성 골수성 백혈병의 치료는 관해 유도 요법과 관해 후 요법으로 구성된다. 관해 유도 요법은 현미경 검사에서 백혈병 세포가 관찰되지 않는 관해 상태를 만드는 것이고, 관해 후 요법은 추가 화학 요법으로 잔존하는 백혈병 세포를 완전히 제거하는 것이다. 관해 후 요법은 4회까지 실시하며, 완전 관해 상태가 5년 지속되면 재발 가능성은 낮고 완치로 간주한다.
급성 골수성 백혈병의 표준 치료법은 다음과 같다.
- 고용량 시타라빈 요법: 급성 골수성 백혈병 t(8;21)(q22;q22); RUNX1-RUNX1T1 및 inv(16)(p13.1q22) 또는 t(16;16)(p13.1;q22): CBFB-MYH11의 경우에 이 치료법이 더 효과적이므로[87] 표준 치료법이 된다. 다만, 감염증이나 유해 사건 발생 위험이 높다.
- 표준량 시타라빈 + 안트라사이클린계 (미톡산트론·다우노마이신·아클라루비신) + α(에토포시드·빈크리스틴·빈데신): 위 경우를 제외한 급성 골수성 백혈병의 표준 치료법이다. 고용량 시타라빈 요법과 비교했을 때 치료 성적에 차이가 없기 때문이다.[87][88]
전신 상태가 좋지 않은 환자는 치료 관련 사망 위험이 높아 증상 완화 치료를 선택할 수도 있다. 이 경우 다음과 같은 치료법을 고려할 수 있다.
- 표준 용량 다우노루비신 + 표준 용량 시타라빈
- 표준 용량 다우노루비신 + 에노시타빈
- 저용량 시타라빈 + (G-CSF + 아클라루비신) (CAG 요법)
- 시타라빈 + 안트라사이클린 계열(미토잔트론·다우노마이신·아클라루비신) + α(에토포시드·빈크리스틴·빈데신) (상황에 따라 감량). 60세 이상에서는 대량 시타라빈 요법이 효과적이지 않다.
6. 3. 동종 줄기 세포 이식
동종 줄기 세포 이식은 예후가 좋지 않거나 재발한 환자에게 고려되는 치료법이다. 이식이 가능한 환자에게 일반적으로 시도된다.[46] 동종 줄기 세포 이식의 핵심은 이식된 세포가 백혈병 세포에 대한 면역 반응을 일으키는 '이식편대 백혈병' 효과이다.[46] 하지만 이 효과는 이식편대 숙주 질환이라는 부작용을 동반할 수 있는데, 이는 이식된 세포가 환자의 다른 장기를 공격하는 면역 반응이다.[46]6. 4. 표적 치료
미도스타우린(midosutaurin), 키자르티닙(quizartinib), 길테리티닙(gilteritinib)은 FLT3 유전자 변이 양성 AML 치료에 사용되는 FLT3 억제제이다. 이들은 세포 증식을 촉진하는 수용체 티로신 키나아제인 "FLT3: FMS 유사 티로신 키나아제 3 유전자"를 억제한다.[81] 미도스타우린은 FLT3-ITD/FLT3-TKD 변이 모두에, 키자르티닙은 FLT3-ITD 변이에 사용되며, 길테리티닙은 FLT3 외에 AXL도 억제한다.에나시데닙(enasidenib)과 이보시데닙(ivosidenib)은 IDH1/IDH2 유전자 변이 양성 급성 골수성 백혈병(AML) 치료에 사용되는 약물이다.[81] 에나시데닙은 IDH2 유전자 변이에, 이보시데닙은 IDH1 유전자 변이에 선택적으로 작용하며, 급성 골수성 백혈병(AML) 세포를 호중구로 분화시키는 효과도 있다.
6. 5. 보조 치료
급성 골수성 백혈병(AML) 치료 중에는 AML과 그 치료로 인해 발생하는 문제들을 관리하기 위해 보조적 치료가 필요하다.[44] 건강 유지를 위해, 그리고 빈혈(적혈구 감소) 및 출혈(혈소판 감소) 합병증 예방을 위해 수혈, 특히 적혈구 및 혈소판 수혈이 필요하다.[44] AML 환자는 약물 내성 세균 및 진균 감염 위험이 높으므로, [44] 항생제 및 항진균제를 사용하여 이러한 감염을 치료하고 예방한다.[44][48]표준 치료와 함께 유산소 운동을 병행하면 사망률, 삶의 질, 신체 기능에 큰 차이는 없을 수 있지만, 우울증을 약간 완화하고 피로를 줄이는 데 도움이 될 수 있다.[49]
최근에는 AML 보조 치료의 일환으로 표적 후성 유전체 치료법 개발 연구가 진행되고 있다. 이보시데닙 및 에나시데닙과 같은 특정 후성 유전체 조절 약물이 IDH1 및 IDH2 돌연변이 치료에 사용되기도 한다.[50]
6. 6. 임신 중 AML
급성 골수성 백혈병(AML)은 임신 중 드물게 나타나며, 임산부 75,000명에서 100,000명 중 1명꼴로 발생한다.[51] 진단과 치료는 임신하지 않은 경우와 유사하게 진행되며, 긴급한 치료가 권장된다.[51]하지만 치료는 임신에 큰 영향을 미친다. 임신 첫 삼 분기에는 태아의 생존 가능성이 낮아진다.[51] 임신 24~36주 사이에는 산모에 대한 화학 요법의 이점과 태아에 대한 위험을 신중하게 고려해야 한다.[51] 임신 36주 이후에는 화학 요법을 출산 이후로 미루는 것을 고려할 수 있다.[51] 또한, 감염 예방 및 치료를 위한 항생제와 같은 보조 치료 요소도 임신 중에는 변경될 수 있다.[51]
6. 7. 약물
올루타시데닙(Rezlidhia)은 2022년 12월 미국에서 의료용으로 승인되었다.[52]7. 예후
급성 골수성 백혈병(AML)의 예후는 특정 돌연변이의 존재, 환자의 나이 등 여러 요인에 따라 달라진다. 2011년부터 2016년까지 미국에서 AML 환자의 중앙 생존 기간은 8.5개월이었고, 5년 생존율은 24%였다.[64] 나이가 들수록 생존율이 감소하며, 65세 이상에서 예후가 좋지 않고, 75~84세에서 가장 좋지 않은 예후를 보인다.[64]
2001년 기준으로 임상 시험에서의 완치율은 20~45%였다.[53][54] 다만, 임상 시험은 공격적인 치료를 견딜 수 있는 젊은 환자만을 포함하는 경우가 많아, 노인 및 공격적인 치료를 견딜 수 없는 환자를 포함한 전체 AML 환자의 완치율은 이보다 낮을 가능성이 있다. 급성 전골수성 백혈병(APL)의 완치율은 98%까지 높을 수 있다.[55]
2차 급성 골수성 백혈병과 다른 이전 악성 종양에 대한 화학 요법 후 발생하는 치료 관련 급성 골수성 백혈병은 예후가 좋지 않다. 이 두 질환은 모두 불리한 유전자 돌연변이의 높은 발병률과 관련이 있다.[64]
다양한 유전자 돌연변이가 예후에 영향을 미친다. 급성 전골수성 백혈병(APL)에서의 (15;17) 전좌와 같은 특정 세포유전학적 이상은 매우 좋은 결과와 관련이 있다. AML 환자의 약 절반은 "정상" 세포유전학을 가지며, 이들은 중간 위험군에 속한다. 다른 여러 세포유전학적 이상은 불량한 예후와 치료 후 재발 위험이 높다는 것과 관련이 있다.
thumb
많은 수의 분자 변이가 AML에서의 예후적 영향에 대해 연구되고 있다. 그러나 현재 유효한 국제 위험 계층화 체계에는 ''FLT3-ITD'', ''NPM1'', ''CEBPA'' 및 ''c-KIT''만이 포함되어 있으며, 가까운 시일 내에 더 많은 수치가 포함될 것으로 예상된다. 정상적인 세포유전학을 가진 AML에서 ''FLT3'' 내부 직렬 중복(ITD)은 더 나쁜 예후를 나타낸다. ''NPM1''과 양쪽 대립 유전자 ''CEBPA''의 두 가지 돌연변이는 특히 정상적인 세포유전학을 가진 사람들의 결과 개선과 관련이 있으며 현재의 위험 계층화 알고리즘에 사용된다.
''c-KIT'' 돌연변이의 임상적 중요성은 연구 중이다. 이 돌연변이는 널리 퍼져 있으며, 티로신 키나아제 억제제인 이마티닙과 수니티닙이 ''c-KIT''의 활성을 약리학적으로 차단할 수 있기 때문에 임상적으로 관련이 있을 가능성이 있다. ''RUNX1'', ''ASXL1'', ''TP53''와 같이 지속적으로 열등한 결과와 관련된 추가 표지자가 곧 이러한 권고안에 포함될 것으로 예상된다. ''DNMT3A'', ''IDH1'', ''IDH2''와 같은 다른 돌연변이 유전자의 예후적 중요성은 덜 명확하다.
높은 젖산 탈수소 효소 수치는 더 나쁜 결과와 관련이 있다.[59] 흡연은 더 나쁜 예후와 관련이 있으며,[64] 결혼하여 함께 사는 사람들은 더 나은 예후를 보인다.[64] 급성 골수성 백혈병 치료량이 많은 곳에서 치료받는 환자는 가장 낮은 4분위수에서 치료받는 환자보다 예후가 더 좋다.[64] 대부분의 암과 마찬가지로, 수행 상태(환자의 일반적인 신체 상태 및 활동 수준) 또한 예후에 중요한 역할을 한다.[60]
유도 항암화학요법 후 관해에 들어간 환자의 경우, 잔여 백혈병 세포(미세 잔류 질환)는 더 높은 재발률과 생존율 감소와 관련이 있다.[61] 또한, 재발을 유발할 수 있는 특정 백혈병 세포, 즉 백혈병 줄기 세포(암 줄기 세포의 한 유형)의 존재는 생존 부진 및 재발 발생률 증가와 관련이 있다.[62]
8. 역학
급성 골수성 백혈병(AML)은 비교적 드문 암이다. 2016년 미국에서 19,950건의 신규 환자가 발생했으며,[63] 2018년에는 미국 전체 암 사망의 1.2%를 차지했다.
AML 발병률은 나이가 들수록 증가하며, 국가별로도 차이를 보인다.[64] AML 진단 시 중앙 연령은 영국, 캐나다, 호주, 스웨덴에서 63~71세 사이인 반면, 인도, 브라질, 알제리에서는 40~45세 사이이다.[64]
2002년 통계에 따르면, AML은 성인 급성 백혈병의 약 90%를 차지하지만, 소아에게는 드물게 나타난다.[65] 2001년부터 2017년까지의 미국 암 통계(USCS)에 따르면 2021년 AML과 급성 림프모구 백혈병(ALL) 신규 환자 추정치는 다음과 같다.[67]
이에 따르면 AML은 전체 환자의 약 78%를 차지한다.
치료 관련 AML (이전의 화학 요법으로 인한 AML)의 비율은 화학 요법 사용 증가, 고령화 인구 증가, 그리고 초기 화학 요법 치료에서 더 많은 환자가 생존함에 따라 증가할 것으로 예상된다. 치료 관련 질병은 전체 AML 사례의 10% 미만을 차지한다.[68]
AML은 남성에게서 약간 더 흔하게 나타나며, 남녀 비율은 1.3:1[69]에서 1.4:1 정도이다.[64] 발병률은 인종에 따라서도 차이가 있는데, 백인에게서 더 높은 발병률이 기록되었고, 태평양 섬 주민과 알래스카 원주민에게서 가장 낮은 발병률이 기록되었다.[64]
영국에서 AML은 전체 백혈병 사례의 31%를 차지하며, 2016년부터 2018년까지 매년 약 3,100명이 이 질병으로 진단되었다.[70]
급성 골수성 백혈병의 발병률은 연간 인구 10만 명당 3~4명으로 추정[98][99]되는데, 이는 연간 인구 10만 명당 500명 이상이 발생하는 암 전체와 비교하면 드문 편이다.[100][101] 그럼에도 불구하고, 젊은 층에서도 발병하지만 고령자의 발병률이 더 높기 때문에, 인구 고령화와 함께 발병률이 증가하고 있다.[98][99]
참조
[1]
웹사이트
Adult Acute Myeloid Leukemia Treatment
https://www.cancer.g[...]
2017-03-06
[2]
웹사이트
Risk Factors for Acute Myeloid Leukemia (AML)
https://www.cancer.o[...]
2024-06-05
[3]
논문
Global, regional, and national incidence, prevalence, and years lived with disability for 310 diseases and injuries, 1990–2015: a systematic analysis for the Global Burden of Disease Study 2015
2016-10
[4]
논문
Global, regional, and national life expectancy, all-cause mortality, and cause-specific mortality for 249 causes of death, 1980–2015: a systematic analysis for the Global Burden of Disease Study 2015
2016-10
[5]
웹사이트
Acute Myeloid Leukemia – Cancer Stat Facts
https://seer.cancer.[...]
2017-05-10
[6]
논문
Acute Myeloid Leukemia
2015-09
[7]
서적
Hoffbrand's essential haematology
2016
[8]
서적
Williams hematology
McGraw Hill
2021
[9]
논문
Acute myeloid leukaemia
2016-03
[10]
논문
Two regression models and a scoring system for predicting survival and planning treatment in myelodysplastic syndromes: a multivariate analysis of prognostic factors in 370 patients
1989-07
[11]
논문
Agent Orange and dioxin-induced myeloid leukemia: a weaponized vehicle of leukemogenesis
2022-07
[12]
논문
Defining AML and MDS second cancer risk dynamics after diagnoses of first cancers treated or not with radiation
2016-02
[13]
논문
Radiation-related leukemia in Hiroshima and Nagasaki, 1946–1964. I. Distribution, incidence and appearance time
1966-05
[14]
논문
Cancer risks among radiologists and radiologic technologists: review of epidemiologic studies
2004-11
[15]
서적
Wintrobe's Clinical Hematology
Lippincott, Williams, and Wilkins
[16]
논문
Clinical and biological implications of ancestral and non-ancestral IDH1 and IDH2 mutations in myeloid neoplasms
2015-11
[17]
논문
The driver and passenger effects of isocitrate dehydrogenase 1 and 2 mutations in oncogenesis and survival prolongation
2014-12
[18]
논문
Epigenetics in cancer
2010-01
[19]
논문
Clinical outcome of de novo acute myeloid leukaemia patients with normal cytogenetics is affected by molecular genetic alterations: a concise review
2007-06
[20]
논문
The World Health Organization (WHO) classification of the myeloid neoplasms
2002-10
[21]
서적
Wintrobe's Clinical Hematology
https://books.google[...]
Wolters Kluwer Health
[22]
서적
WHO Classification of Tumours of Haematopoietic and Lymphoid Tissues
International Agency for Research on Cancer
2017
[23]
웹사이트
Bone Marrow Pathology
http://www.ascp.org/[...]
ASCP
2016-03-18
[24]
논문
Having a higher blast percentage in circulation than bone marrow: clinical implications in myelodysplastic syndrome and acute lymphoid and myeloid leukemias
2005-09
[25]
논문
Establishing the presence of the t(15;17) in suspected acute promyelocytic leukaemia: cytogenetic, molecular and PML immunofluorescence assessment of patients entered into the M.R.C. ATRA trial. M.R.C. Adult Leukaemia Working Party
1996-09
[26]
웹사이트
Acute Myeloid Leukemia (AML) Subtypes and Prognostic Factors
https://www.cancer.o[...]
[27]
논문
The 2016 revision to the World Health Organization classification of myeloid neoplasms and acute leukemia
[28]
논문
The 2016 revision to the World Health Organization classification of myeloid neoplasms and acute leukemia
2016-05
[29]
논문
The 5th edition of the World Health Organization Classification of Haematolymphoid Tumours: Myeloid and Histiocytic/Dendritic Neoplasms
2022-07
[30]
논문
Molecular targets for the treatment of AML in the forthcoming 5th World Health Organization Classification of Haematolymphoid Tumours
2022-11
[31]
논문
Acute myeloid leukemia: 2019 update on risk-stratification and management
2018-10
[32]
서적
Blood Cells: A Practical Guide
https://books.google[...]
John Wiley & Sons
[33]
논문
Proposals for the classification of the acute leukaemias. French-American-British (FAB) co-operative group
1976-08
[34]
논문
FAB M7: acute megakaryoblastic leukemia--beyond morphology
1985-09
[35]
논문
Minimally differentiated acute nonlymphocytic leukemia: a distinct entity
1987-11
[36]
서적
Flow cytometry and immunohistochemistry for hematologic neoplasms
https://books.google[...]
Lippincott Williams & Wilkins
[37]
웹사이트
Acute Myeloid Leukemia Staging
http://emedicine.med[...]
2011-05-20
[38]
웹사이트
Leukemia acute – Acute myeloid leukemia with minimal differentiation (FAB AML M0)
http://www.pathology[...]
[39]
논문
Flowcytometric immunophenotypic profile of acute leukemia: mansoura experience
2012-06
[40]
논문
Acute myeloid leukemia M4 with bone marrow eosinophilia (M4Eo) and inv(16)(p13q22) exhibits a specific immunophenotype with CD2 expression
1993-06
[41]
서적
Atlas of hematologic neoplasms
https://books.google[...]
Springer
[42]
논문
Diagnosis of acute basophilic leukemia
1999-01
[43]
논문
FLT3 tyrosine kinase inhibitors in acute myeloid leukemia: clinical implications and limitations
2014-02
[44]
논문
Diagnosis and management of AML in adults: 2017 ELN recommendations from an international expert panel
2017-01
[45]
논문
Effects of all-trans retinoic acid (ATRA) in addition to chemotherapy for adults with acute myeloid leukaemia (AML) (non-acute promyelocytic leukaemia (non-APL))
2018-08
[46]
웹사이트
Genetic cloaking of healthy cells opens door to universal blood cancer therapy
https://arstechnica.[...]
2024-07-15
[47]
웹사이트
Acute Myeloid Leukemia Treatment – NCI
https://www.cancer.g[...]
2023-06-07
[48]
논문
Diagnosis and management of acute myeloid leukemia in adults: recommendations from an international expert panel, on behalf of the European LeukemiaNet
2010-01
[49]
논문
Aerobic physical exercise for adult patients with haematological malignancies
2019-01
[50]
논문
Systematic review of epigenetic targets in acute myeloid leukemia
2021-10
[51]
논문
Guidelines for the diagnosis and management of acute myeloid leukaemia in pregnancy
2015-08
[52]
간행물
Rigel Announces U.S. FDA Approval of Rezlidhia (olutasidenib) for the Treatment of Adult Patients with Relapsed or Refractory Acute Myeloid Leukemia with a Susceptible IDH1 Mutation
https://www.prnewswi[...]
Rigel Pharmaceuticals
2022-12-01
[53]
논문
Chemotherapy compared with autologous or allogeneic bone marrow transplantation in the management of acute myeloid leukemia in first remission
1998-12
[54]
논문
Patterns of failure with increasing intensification of induction chemotherapy for acute myeloid leukaemia
2001-06
[55]
논문
Definition of relapse risk and role of nonanthracycline drugs for consolidation in patients with acute promyelocytic leukemia: a joint study of the PETHEMA and GIMEMA cooperative groups
http://bloodjournal.[...]
2000-08
[56]
논문
A simple, robust, validated and highly predictive index for the determination of risk-directed therapy in acute myeloid leukaemia derived from the MRC AML 10 trial. United Kingdom Medical Research Council's Adult and Childhood Leukaemia Working Parties
1999-10
[57]
논문
Karyotypic analysis predicts outcome of preremission and postremission therapy in adult acute myeloid leukemia: a Southwest Oncology Group/Eastern Cooperative Oncology Group Study
2000-12
[58]
논문
Pretreatment cytogenetic abnormalities are predictive of induction success, cumulative incidence of relapse, and overall survival in adult patients with de novo acute myeloid leukemia: results from Cancer and Leukemia Group B (CALGB 8461)
2002-12
[59]
논문
Morphologic dysplasia in de novo acute myeloid leukemia (AML) is related to unfavorable cytogenetics but has no independent prognostic relevance under the conditions of intensive induction therapy: results of a multiparameter analysis from the German AML Cooperative Group studies
2003-01
[60]
웹사이트
Acute Myeloid Leukemia (AML)
https://www.yalemedi[...]
[61]
논문
Molecular Minimal Residual Disease in Acute Myeloid Leukemia
http://www.nejm.org/[...]
2018-03-29
[62]
논문
Immunophenotypic features of early haematopoietic and leukaemia stem cels
2024-07-24
[63]
서적
Harrison's Principles of Internal Medicine
McGraw-Hill Professional
2018
[64]
논문
Epidemiology of acute myeloid leukemia: Recent progress and enduring challenges
2019-07
[65]
논문
Cancer statistics, 2002
[66]
웹사이트
Leukemia – Symptoms and causes
https://www.mayoclin[...]
[67]
웹사이트
Facts 2020–2021
https://www.lls.org/[...]
[68]
논문
Diagnosis and treatment of therapy-related acute myeloid leukemia
2022-03
[69]
논문
Cancer statistics, 2001
[70]
웹사이트
Acute myeloid leukaemia (AML) statistics
http://www.cancerres[...]
2015-05-14
[71]
서적
Hematology: Basic Principles and Practice
Elsevier Churchill Livingstone
[72]
논문
Two cases of hypertrophy of the spleen and liver, in which death took place from suppuration of blood
[73]
서적
Gesammelte Abhandlungen zur Wissenschaftlichen Medizin
Meidinger
[74]
논문
Über die acute Leukämie und Pseudoleukämie
[75]
논문
Klinische Symptome und Therapie der medullären Leukämie
[76]
논문
Über rothes Knochenmark und Myeloblasten
https://zenodo.org/r[...]
[77]
논문
Ham-Wasserman lecture: treatment of acute leukemia by inducing differentiation and apoptosis
[78]
논문
DNA sequencing of a cytogenetically normal acute myeloid leukaemia genome
2008-11
[79]
웹사이트
白血病の分類
https://ganjoho.jp/p[...]
2019-04-23
[80]
서적
三輪血液病学
[81]
논문
The 2008 revision of the World Health Organization (WHO) classification of myeloid neoplasms and acute leukemia: rationale and important changes.
[82]
문서
[83]
논문
Anthracycline dose intensification in acute myeloid leukemia.
[84]
논문
Etoposide in acute nonlymphocytic leukemia. Australian Leukemia Study Group.
[85]
논문
A randomized study of high-dose cytarabine in induction in acute myeloid leukemia.
[86]
논문
A randomized investigation of high-dose versus standard-dose cytosine arabinoside with daunorubicin in patients with previously untreated acute myeloid leukemia: a Southwest Oncology Group study.
[87]
논문
A randomized comparison of 4 courses of standard-dose multiagent chemotherapy versus 3 courses of high-dose cytarabine alone in postremission therapy for acute myeloid leukemia in adults: the JALSG AML201 Study.
[88]
논문
Frequency of prolonged remission duration after high-dose cytarabine intensification in acute myeloid leukemia varies by cytogenetic subtype.
[89]
논문
Intensive postremission chemotherapy in adults with acute myeloid leukemia. Cancer and Leukemia Group B.
[90]
논문
Early haemorrhagic morbidity and mortality during remission induction with or without all-trans retinoic acid in acute promyelocytic leukaemia.
[91]
문서
[92]
논문
A randomized study with or without intensified maintenance chemotherapy in patients with acute promyelocytic leukemia who have become negative for PML-RARalpha transcript after consolidation therapy: the Japan Adult Leukemia Study Group (JALSG) APL97 study.
[93]
문서
[94]
논문
United States multicenter study of arsenic trioxide in relapsed acute promyelocytic leukemia.
[95]
문서
[96]
웹사이트
造血幹細胞移植とは 更新・確認日:2017年12月07日
https://ganjoho.jp/p[...]
2019-04-23
[97]
웹사이트
国立がん研究センター・造血幹細胞移植ミニ移植
http://ganjoho.jp/pu[...]
2011-06-09
[98]
서적
内科学
[99]
서적
内科学書
[100]
문서
[101]
웹사이트
最新がん統計 更新・確認日:2019年01月21日
https://ganjoho.jp/r[...]
[102]
웹사이트
愛知県がんセンター・白血病の発生率
http://pathy.med.nag[...]
2011-04-27
[103]
문서
[104]
저널
Two cases of hypertrophy of the spleen and liver, in which death took place from suppuration of blood
[105]
서적
Gesammelte Abhandlungen zur Wissenschaftlichen Medizin
Meidinger
[106]
저널
Über die acute Leukämie und Pseudoleukämie
[107]
저널
Klinische Symptome und Therapie der medullären Leukämie
[108]
저널
Über rothes Knochenmark und Myeloblasten
[109]
저널
Ham-Wasserman Lecture: Treatment of Acute Leukemia by Inducing Differentiation and Apoptosis
http://asheducationb[...]
2012-09-26
[110]
저널
DNA sequencing of a cytogenetically normal acute myeloid leukaemia genome
http://www.nature.co[...]
본 사이트는 AI가 위키백과와 뉴스 기사,정부 간행물,학술 논문등을 바탕으로 정보를 가공하여 제공하는 백과사전형 서비스입니다.
모든 문서는 AI에 의해 자동 생성되며, CC BY-SA 4.0 라이선스에 따라 이용할 수 있습니다.
하지만, 위키백과나 뉴스 기사 자체에 오류, 부정확한 정보, 또는 가짜 뉴스가 포함될 수 있으며, AI는 이러한 내용을 완벽하게 걸러내지 못할 수 있습니다.
따라서 제공되는 정보에 일부 오류나 편향이 있을 수 있으므로, 중요한 정보는 반드시 다른 출처를 통해 교차 검증하시기 바랍니다.
문의하기 : help@durumis.com
