지방육종
"오늘의AI위키"의 AI를 통해 더욱 풍부하고 폭넓은 지식 경험을 누리세요.
1. 개요
지방육종은 지방 조직에서 발생하는 희귀 암의 일종으로, 여러 하위 유형으로 분류된다. 주요 유형으로는 이형 지방종양/고분화 지방육종, 탈분화 지방육종, 점액성 지방육종, 다형성 지방육종 등이 있다. 증상으로는 통증 없는 종괴가 나타나며, 자기 공명 영상(MRI) 등의 영상 검사와 생검을 통해 진단한다. 치료는 외과적 절제가 기본이며, 방사선 치료, 화학 요법 등이 보조적으로 사용될 수 있다. 예후는 종양의 유형, 분화도, 크기, 전이 여부에 따라 다르며, 고분화 지방육종은 비교적 예후가 좋은 편이나, 탈분화 지방육종과 다형성 지방육종은 예후가 좋지 않다.
더 읽어볼만한 페이지
- 육종 (종양) - 골육종
골육종은 뼈, 특히 장골의 골간단 부위에서 발생하는 악성 종양으로, 밤에 심해지는 통증, 부종, 병적 골절 등의 증상을 보이며, 유전적, 환경적 요인이 복합적으로 작용하는 것으로 추정되고, 수술 및 항암화학요법을 통해 치료하며, 예후는 병기 및 치료 반응에 따라 달라진다. - 육종 (종양) - 미분화 다형성 육종
미분화 다형성 육종은 다양한 모양과 크기를 가진 악성 연조직 종양으로, 분화의 증거가 거의 없으며, 주로 팔다리, 복부 등에서 발생하고, 수술적 절제, 방사선 치료, 화학 요법 등으로 치료한다. - 연조직 질환 - 육종 (종양)
육종은 골육종과 연조직 육종으로 분류되며, 뼈와 연부조직에서 발생하는 악성 종양으로, 방사선 노출, 유전적 요인 등이 위험 요인으로 작용하며, 영상 검사, 생검을 통해 진단하고 수술, 화학요법, 방사선 치료 등을 시행한다. - 연조직 질환 - 류머티즘
류머티즘은 만성적인 통증을 동반하는 난치성 질환을 포괄하는 용어로, 전신 홍반성 루푸스, 류마티스 관절염 등을 포함하며, 혈액 및 소변 검사로 진단하고 진통제, 면역억제제 등으로 치료한다. - 근골격계 질환 - 염좌
염좌는 관절의 과도한 움직임으로 관절낭, 인대, 연부 조직이 손상되어 통증, 부종, 발열 등의 염증을 동반하며, 손상 정도에 따라 정도가 나뉘고, RICE 요법 등의 비수술적 치료나 심한 경우 수술적 치료와 재활을 통해 회복을 꾀한다. - 근골격계 질환 - 류마티스성 다발근통
류마티스성 다발근통은 50세 이상 성인에게 주로 나타나는 염증성 질환으로, 목, 어깨, 엉덩이 등의 통증과 뻣뻣함이 특징이며, 면역 체계 이상 및 유전적 요인이 발병에 영향을 미치는 것으로 추정되고, 스테로이드 약물로 치료한다.
| 지방육종 | |
|---|---|
| 일반 정보 | |
![]() | |
| 분야 | 피부과학 일반외과 종양학 |
| 증상 | 피부 아래 덩어리, 통증, 붓기, 장기 기능 장애 |
| 합병증 | 해당 없음 |
| 발병 | 해당 없음 |
| 지속 기간 | 해당 없음 |
| 유형 | 해당 없음 |
| 원인 | 해당 없음 |
| 위험 요인 | 해당 없음 |
| 진단 | 해당 없음 |
| 감별 진단 | 해당 없음 |
| 예방 | 해당 없음 |
| 치료 | 해당 없음 |
| 약물 | 해당 없음 |
| 예후 | 해당 없음 |
| 빈도 | 해당 없음 |
| 사망 | 해당 없음 |
| 질병 데이터베이스 | |
| 질병 데이터베이스 (DiseasesDB) | 31482 |
| ICD-10 | 해당 없음 |
| ICD-9 | 해당 없음 |
| OMIM | 해당 없음 |
| MedlinePlus | 해당 없음 |
| eMedicine 주제 | derm |
| eMedicine 항목 | 856 |
| MeSH ID | D008080 |
2. 어원
"지방 종양"(Lipoma영어)은 "지방"을 뜻하는 λίπος|리포스|grc에서 유래했다.[1] "육종"(Sarcoma영어)은 "살"을 뜻하는 σάρξ|사르크스|grc에서 유래했다.[2]
지방육종은 2002년 세계보건기구(WHO) 분류에 따라 다음과 같이 5가지 주요 유형으로 나뉜다.[70]
3. 분류
이 외에도 지방육종은 이형성 지방종, 비정형 방추형 세포 지방종, 다형성 지방종, 고립성 섬유종 등과 같이 특정 다른 연조직 종양과도 구별해야 한다.[9][8][10][5]
3. 1. 이형 지방종양/고분화 지방육종 (Atypical lipomatous tumor/well-differentiated liposarcoma)
이형 지방종양/고분화 지방육종(ALT/WDL)은 모든 지방육종의 40~45%를 차지하는 가장 흔한 유형이다.[11] 이들은 거의 전이되지 않아 양성 종양 또는 전암성 질환으로 간주되지만,[13][12] 국소 침윤성이 있으며, 더 공격적이고 잠재적으로 전이될 수 있는 탈분화 지방육종으로 악성 변환될 수 있다. 또한, 수술로 제거된 비정형 지방종양/고분화 지방육종은 탈분화 지방육종으로 재발할 수 있다.[6]
ALT와 WDL은 사실상 동일한 종양으로 간주되지만, 정의상 ALT는 팔이나 다리에서 발생하는 종양을, WDL은 후복막, 고환 주위 부위(예: 음낭 내의 고환, 정삭, 고환 백막, 부고환, 고환 부속기를 포함한 부위)[6], 구강, 안와와 같이 수술 접근성이 낮은 부위에서 발생하는 종양을 나타낸다.[13][14]
ALT/WDL 종양은 일반적으로 중년 및 노년층에서 서서히 커지는 덩어리로 나타나며, 깊은 조직에 위치할 경우 더 크고 진행된 단계에 있는 경향이 있다.[8][11] 이러한 종양은 보통 통증이 없으며, 표면에 위치한 경우 쉽게 눈에 띈다. 종양 부위의 혈관 및/또는 림프관 침범으로 인해 허벅지와 같은 부위에 광범위한 부종을 유발할 수 있다.
깊숙한 곳에 위치한 ALT/WDL 종양은 무증상일 수 있지만, 위치에 따라 침윤된 다양한 장기에서 심각한 기능 부전 징후 및/또는 증상을 나타낼 수 있다. 이러한 장기에는 후복막 근처 또는 후복막 내의 장기(예: 내장, 신장, 신장의 요관), 고환 주위 부위, 종격동(예: 기관 및 폐의 주요 기관지), 머리(예: 안구 뒤의 안구후 공간) 등이 포함된다.[13][14]
조직병리학적으로 ALT/WDL 종양은 지방세포/지방종 유사, 경화성, 염증성 변이로 나뉘며, 지방세포/지방종 유사 변이가 가장 흔하다.
ALT/WDL 종양의 종양 세포는 염색체 12의 장완(q 팔)을 밴드 13에서 15까지 추가적으로 복제하는 고리 모양의 소형 과잉 표지 염색체(sSMC) 또는 비정상적인 거대 표지 염색체를 포함한다. 이 염색체 12 영역에는 밴드 15[15]에 위치한 ''MDM2'' 원종양 유전자와 밴드 14.1에 위치한 ''CDK4''[16][17]가 포함된다. 이 두 유전자의 유전자 증폭은 지방 육종이 다른 지방 육종 또는 지방종 형태가 아닌 ALT/WDL 또는 분화가 불량한 지방 육종임을 나타내는 매우 민감하고 특이적인 지표이다.[17]
ALT/WDL 종양의 진단은 임상 증상, 조직 병리학적 특징 및 유전적 소견을 바탕으로 이루어진다. 특히 ALT/WDL 종양 세포에서 과발현된 ''MDM2'' 또는 ''CDK4'' 유전자, 또는 특정 ALT/WDL 관련 sSMC 또는 거대 마커 염색체의 존재는 ALT/WDL 또는 탈분화 지방육종의 진단을 강력하게 뒷받침한다.[8]
ALT/WDL 종양은 모든 종양 신생 조직을 제거하기 위해 근치적 외과적 절제를 통해 치료한다. 그러나 이러한 종양은 사례의 30~50%에서 국소적으로 재발하며, 재발은 후복막, 종격동 및 정삭과 같이 접근하기 어려운 부위에 위치한 종양에서 가장 자주 발생한다. ALT/WDL 종양은 전이될 가능성이 거의 없지만, 약 10%는 악성이며 전이 가능성이 있는 지방육종 형태인 탈분화 지방육종으로 전환된다.[8]
3. 2. 탈분화 지방육종 (Dedifferentiated liposarcoma)
탈분화 지방육종은 악성 종양으로, 기존의 비정형 지방종양/고분화 지방육종(ALT/WDL) 종양에서 약 10%의 경우에 발생하거나, ALT/WPL 종양이 외과적으로 제거된 부위에서 발생한다.[8] ''de novo''(새롭게 발생) 진단을 받은 경우, ALT/WDL이 탈분화 지방육종으로 진행되었지만 후복막강이나 복강과 같이 격리된 부위에서 무증상으로 발생하여 감지되지 않았을 수 있다.[8] 탈분화 지방육종 종양의 많은 임상적 및 유전적 특징은 ALT/WDL 종양에서 발견되는 특징과 유사하다.
고분화형 지방육종과 탈분화되어 지방성이 아닌 부분이 혼재된 육종이며, 탈분화형 중 약 10%는 고분화형이 재발하여 발생한다. 탈분화된 부분의 조직은 섬유육종이나 소위 악성 섬유성 조직구종(MFH)과 유사한 양상을 보인다. 탈분화 지방육종에서는 고분화형 지방육종에서 보이는 12q14-15의 증폭 외에 1q32와 6q23의 증폭이 보이는 경우가 많다.[72] 고분화형에 비해 재발 및 전이를 일으키기 쉽고 예후가 좋지 않다.
3. 3. 점액성 지방육종 (Myxoid liposarcoma)
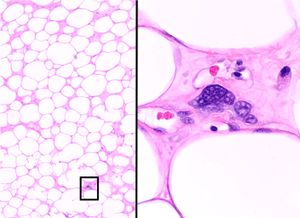
점액성 지방육종(MLS)은 둥근 세포 지방육종을 포함하는 지방육종의 한 유형으로,[39] 전체 지방육종의 약 30%를 차지한다. 40~50대에 발병률이 가장 높으며 남성이 여성보다 많다. 소아와 청소년에게는 드물지만, 이 연령대에서 가장 흔한 지방육종 형태이다. MLS는 보통 진단 1주에서 15년 전에 발생한 크고(1~39cm, 평균 12cm), 움직이며, 경계가 명확하고, 통증이 없는 덩어리로 나타난다. 주로 허벅지(65~80%), 다리(10~15%), 후복막(8%), 팔(5%)의 깊은 연부 조직에 발생한다. 약 3분의 1의 경우 다른 연부 조직(예: 후복막, 흉부, 기타 사지), 골격, 폐 등으로 전이된다. 특히 뼈 전이로 인해 환자가 증상을 나타낼 수 있으므로, X-ray, CT 스캔, 자기 공명 영상 등 의학 영상 검사를 통해 골 전이 여부를 확인해야 한다.[40]
조직병리학적으로 점액성 기질(조직을 적절히 준비하고 H&E 염색하여 현미경으로 관찰했을 때 정상 결합 조직의 붉은색보다 파란색 또는 보라색으로 보이는 결합 조직 배경) 전체에 세포가 흩어져 있다. 이 세포들은 지방모세포이며, 일부는 도장반지 세포 모양(신생물 세포임을 시사)을 띠거나 타원형 또는 둥근 모양이다.[40] MLS 종양은 과세포성이거나, 둥근 세포가 최소 5% 이상인 고형 시트, 부드러운 핵을 가진 세포, 닭장 패턴을 연상시키는 곡선 모세혈관 배경에 둥근 세포가 5% 미만인 저세포성을 보일 수 있다. 둥근 세포가 5% 이상이면 고등급, 5% 미만이면 저등급으로 분류된다.[39] 고등급 MLS 종양은 저등급보다 더 공격적인 임상 경과를 보인다.[40]
MLS 종양 세포는 거의 95% 이상에서 ''FUS-DDIT3'' 융합 유전자(키메라 유전자)가, 나머지 5% 미만에서 ''EWSR1-DDIT3'' 융합 유전자가 발현되어 사실상 정의된다. ''FUS-DDIT3'' 융합 유전자는 염색체 전좌 (t(12;16)(q13;p11))의 결과로, 염색체 12q12 밴드의 ''DDIT3'' 유전자[41]와 염색체 16p11 밴드의 FUS 유전자[42] 사이에서 발생한다. 이 키메라 암유전자의 융합 단백질(키메라 단백질) 산물인 FUS-DDIT3는 지방 세포 성숙을 억제하고 신생물 형성을 촉진한다. ''EWSR1-DDIT3'' 융합 유전자(t(12;22)(q13;q12))는 염색체 22q12.2 밴드의 ''EWSR1'' 유전자[43]가 ''DDIT2'' 유전자와 전좌되어 발생한다. ''EWSR1-DDIT3'' 유전자의 융합 단백질 산물은 FUS-DDIT3와 마찬가지로 신생물 형성을 촉진한다.[44] 이러한 융합 유전자 관계에도 불구하고, MLS 종양 발생 및/또는 유지에 대한 기여도를 정의하기 위한 추가 연구가 필요하다.[6]
저등급 및 중간 등급 MLS 종양은 닭장 모양 혈관 구조가 점액성 기질에 흩어져 있는 전형적인 형태학적 특징으로 조직학적으로 식별 가능하다. 그러나 고등급 MLS 종양은 다른 원형 세포 신생물, 특히 전형적인 혈관-점액성 패턴을 모호하게 할 정도로 광범위한 세포 및/또는 순수한 원형 세포 형태를 보이는 경우 구별하기 어려울 수 있다. 생체 내 혼성화, 면역 조직 화학 염색을 통한 ''DDIT3'' 유전자 재배열, 또는 실시간 중합 효소 연쇄 반응을 통한 RNA 융합 전사체 검출은 고등급 MLS 종양뿐만 아니라 모호한 저등급/중간 등급 MLS 종양 진단을 확정한다.[44]
MLS는 보통 외과적 절제술로 치료하지만, 사지 신경혈관 다발 손상 등 급진적인 중재가 필요한 경우 사지 절단이 필요할 수 있다. 수술 후 3년 내 재발 위험은 종양 불완전 제거 시 약 15%, 완전 제거 시 약 10%이다.[40] 방사선 치료를 추가하면 MLS 종양 국소 조절이 개선되어 절제 불가능하거나 재발하는 MLS 치료에 권장된다.[45] 그러나 다양한 MLS 종류 치료에 대한 방사선 치료 가치를 결정하기 위한 추가 연구가 필요하다.[40] 이포스파미드, 안트라사이클린(다우노루비신 등), 다카르바진, 트라벡테딘을 사용한 화학요법이 유용한 것으로 밝혀졌다. 3상 임상 시험에서 트라벡테딘 또는 다카르바진 치료 MLS 환자의 무진행 생존 기간은 각각 5.6개월과 1.5개월이었다.
전반적으로 MLS 환자의 10년 생존율은 77%로 다른 지방육종 형태보다 길다. 고위험 MLS(종양 원형 세포 내용 및/또는 기타 불리한 예후 지표로 정의)는 저위험 MLS보다 전이율이 높아 생존 기간이 짧다. 종양 크기 증가(10cm 이상)는 고등급 MLS와 강하게 연관되어 생존 기간이 짧다. MLS에서 불리한 결과와 관련된 다른 요인은 종양 괴사, 45세 이상, ''P53'' 유전자 과발현,[40] 남성[46] 등이다.
점액성 지방육종은 고분화형 다음으로 많이 나타나는 지방육종으로, 점액성 기질을 배경으로 종양 세포인 링 모양의 지방아세포와 원형 또는 난형 핵을 가진 비지방성 간엽 세포가 증식한다. 대부분 t(12;16)(q13;p11) 상호 전좌를 보이며, 이로 인해 생성되는 TLS-CHOP 키메라 유전자는 진단에 사용된다.[73] 괴사를 동반하거나 원형 핵을 가진 세포가 많으면 악성도가 높고 예후가 좋지 않다. 다른 유형의 지방육종에 비해 방사선 감수성이 높다.[74]
3. 4. 다형성 지방육종 (Pleomorphic liposarcoma)
다형성 지방육종(PLS)은 전체 지방육종의 5~10%를 차지하며,[55] 빠르게 성장하는 경향을 보인다. 대개 크기가 5cm를 넘고 통증은 없지만 악성도가 매우 높은 지방 세포 종양이다.[56] 주로 50세 이상의 성인에게서 발생하며, 여성에게서 더 흔하게 나타난다.[45] 어린이는 PLS가 드물게 발견된다.[56]
PLS 종양은 주로 다리나 팔에 생기며(65%), 후복막이나 복부(15%)[6], 또는 드물게 몸통 벽, 정삭,[56] 머리와 목 부위,[57] 흉벽, 골반강, 폐 흉막, 심낭, 척추 등에서도 나타난다.[55] 이러한 종양은 대개 심부 연조직에 국한되어 있으며, 25%의 경우에만 피하 조직에서 나타난다.[56] 드물게 PLS가 리-프라우메니 증후군 또는 뮤어-토레 증후군 환자에게서 나타났는데, 이 두 가지는 영향을 받은 사람이 다양한 유형의 암을 개발하도록 하는 유전 질환이다.[45]
PLS 종양은 조직병리학적으로 종종 미분화 세포를 포함하는 부위와 혼합된 점액성 지방육종과 유사한 부위로 구성된다.[56] 이 종양은 세포 밀도가 높고, 다양한 형태의 지방모세포를 적어도 일부 포함하며, 이 세포들은 다형성 핵을 가지고 있다.[58] 괴사 부위가 흔하고, 다핵이거나 호중구를 삼킨 거대 세포가 드물게 존재하며, 유리질 소적이 일부 세포에서 보일 수 있으며 종양 전체에 흩어져서 세포 외로 나타날 수 있다.[59] 이러한 종양의 미분화 성분은 대부분 방추형 세포로 구성되며, 25%의 사례는 상피모양 세포 형태를 보인다. 또한, 고등급 점액섬유육종 형태의 조직구종과 유사한 조직병리학적 소견을 보이는 부위를 적어도 일부 가지고 있는데,[56][58][60] 이 종양은 이전에는 악성 점액성 섬유성 조직구종으로 불렸다.[61]
PLS 종양 세포는 다양한 유전자 및 염색체 이상을 포함한다. ''TP53'' 유전자는 17–60%의 사례에서 결실 또는 돌연변이가 발생하고, ''RB1'' 유전자는 60%의 사례에서 결실되며, ''Neurofibromin 1'' 유전자는 8%의 사례에서 불활성화 돌연변이로 손실되거나, 드물게는 12번 염색체의 장완 11.2 밴드 부근에서 결실로 인해 손실된다. 이 세포들은 또한 유전 물질의 증가를 보일 수 있다: 5번 염색체의 단완 12–15 밴드, 1번 염색체의 단완 21 밴드, 그리고 7번 염색체의 장완 22 밴드. 이러한 이상으로 유도된 유전자 복제수 변화는 혼합섬유육종형 조직구종에서 관찰되는 것과 유사하다. PLS 촉진에서 유전자 복제수 변화의 역할은 아직 정의되지 않았다. 따라서 PLS는 다른 지방육종과 달리 특징적인 유전체 변화나 질병을 유발하는 식별 가능한 유전자가 없는 복잡한 유전체를 가진 종양 세포를 가지고 있다. PLS에서 ''TP53, RB1'', 및 ''neurofibromin 1'' 유전자, 그리고 PLS에서 덜 흔하게 변화되는 다른 유전자(예: ''PIK3CA, tyrosine-protein kinase SYK, PTK2B, EPHA5'', 및 ''ERBB4'')의 발현 변화를 감지하는 것은 종양을 PLS로 뒷받침하는 데 도움이 될 수 있지만 명확하게 정의하지는 않는다.[6][56] 텔로미어 말단의 연장은 ~80%의 PLS 사례에서 대체 텔로미어 연장이라고 하는 병리학적 메커니즘에 의해 발생하지만 다른 네 가지 형태의 지방육종에서는 훨씬 덜 흔하거나 관찰되지 않는다.[58]
PLS의 진단은 임상 양상, 조직병리학적 소견 및 유전적 특성에 따라 달라진다. PLS의 조직병리학적 소견은 종종 점액섬유육종과 매우 유사하지만, 다형성 지방모세포의 존재로 인해 해당 종양과 구별된다.[58]
3. 5. 혼합형 지방육종 (Mixed-type liposarcoma)
혼합형 지방육종은 위에 언급된 다른 유형 중 여러 유형이 동시에 존재하는 종양으로, 극히 드물다.[70]
3. 6. 점액성 다형성 지방육종 (Myxoid pleomorphic liposarcoma)
점액성 다형성 지방육종(MPL)은 2020년 세계 보건 기구(WHO)에서 새롭게 분류한 지방육종의 한 종류이다.[5] 이 종양은 매우 드물고 공격적인 성향을 보이며, 주로 소아, 청소년, 젊은 성인에게서 발생한다.[5][6] 최근 연구에서는 50세 이상의 개인에게서도 발생하는 경우가 보고되었다.[62]
MPL 종양은 주로 종격동[44]에 발생하며, 드물게 팔다리, 머리, 목, 복강, 몸통 등 깊은 연조직에 덩어리 형태로 나타난다.[6] 최소 두 건의 MPL 사례는 다양한 암 발생 위험을 높이는 유전 질환인 리-프라우메니 증후군 환자에게서 발견되었다.[58][64][65]
조직병리학적으로 MPL 종양은 일반적인 점액성 지방육종과 유사한 부분을 포함한다. 이 부위는 전체 종양의 30~50%를 차지하며, 풍부한 점액성 기질, 잘 발달된 모세혈관, 둥글거나 약간 방추형인 특징 없는 세포, 공포성 지방모세포, 작은 꽃 모양의 다핵 세포 등으로 구성된다. 그러나 이 부위에는 점액성 지방육종 종양 세포보다 핵이 더 크고 불규칙한 형태를 가진 고도로 다형성인 세포들이 흩어져 있다. MPL 종양의 다른 부위는 세포 밀도가 더 높고, 빠르게 증식하며 고도로 다형성인 지방모세포로 구성된다.[62]
MPL 종양 세포는 95% 이상의 점액 섬유 육종 사례에서 발견되는 ''FUS-DDIT3'' 또는 ''EWSR1-DDIT3'' 융합 유전자를 발현하지 않는다.[62][6] 대신, 모든 MPL 사례에서 ''RB1'' 종양 억제 유전자의 삭제 또는 병리학적 억제로 인한 불활성화가 발견된다. MPL 신생 종양 세포는 염색체에도 다른 변형을 보일 수 있다. 일반적으로 염색체 1, 6, 7, 8, 19, 21 및/또는 X에서 유전 물질의 비정상적인 증가가 나타나며, 염색체 2, 3, 4, 5, 10, 11, 12, 13, 14, 15, 16, 17 및/또는 22에서는 유전 물질의 손실이 관찰될 수 있다. 염색체 13의 장완 밴드 14에서 손실된 유전 물질에는 ''RP1'' 유전자뿐만 아니라 ''RCBTB2, DLEU1'' 및 ''ITM2B'' 유전자도 포함된다. 이러한 유전적 이상의 분자적 특성과 중요성은 아직 완전히 밝혀지지 않았지만,[56] 연구에 따르면 ''RB1, RCBTB2, DLEU1'' 및 ''ITM2B'' 유전자 중 하나 이상, 특히 ''RP1'' 유전자의 손실이 MPL의 발생 및/또는 진행에 영향을 줄 수 있다고 한다.[62]
MPL의 진단은 종양의 임상적 양상, 점액성 지방육종과의 조직병리학적 유사성, 그리고 가장 중요하게는 신생 세포에서 ''FUS-DDIT3'' 및 ''EWSR1-DDIT3'' 융합 유전자가 없다는 점을 바탕으로 이루어진다.
MPL 환자는 종양 제거를 위한 수술적 절제술을 받아왔지만,[64][65][6][66] 2021년 연구 검토 결과, 방사선 치료 및 화학 요법(단독 또는 수술과 병행)과 관련하여 MPL 치료에 대한 표준 치료법에 대한 합의된 권고 사항은 없는 것으로 나타났다.[6]
4. 증상 및 진단
지방육종은 일반적으로 크기가 큰 종양(>10cm)이지만, 거의 모든 크기가 될 수 있다. 주로 성인에게 발생하며, 16세 미만에서는 0.7%에 불과하다.[5] 커져가는 무통성 종괴가 주요 증상이며, 고악성도 종양은 뼈 침윤으로 통증을 유발할 수 있다.
ALT/WDL 종양은 일반적으로 중년 및 노년층에서 서서히 커지는 덩어리로 나타나며, 깊은 조직에 위치할 경우 더 크고 진행된 단계에 있는 경향이 있다.[8][11] 이러한 종양은 보통 통증이 없으며, 표면에 위치한 경우 쉽게 눈에 띈다. 또한, 종양 부위의 혈관 및/또는 림프관 침범으로 인해 허벅지와 같은 부위에 광범위한 부종(체액의 국소 축적으로 인한 부기)을 유발할 수 있다.
탈분화 지방육종(DDL)은 중년 및 노년층에서 가장 자주 발생하며, 60~80대가 발병률이 가장 높다.[8] DDL 종양은 일반적으로 통증이 없고 크며, 수년에 걸쳐 서서히 그리고 점진적으로 커지는 경향이 있다.[8]
점액성 지방육종(MLS)은 40대와 50대에 발병률이 가장 높으며 남성이 여성보다 더 많다. MLS는 전형적으로 진단 1주에서 15년 전에 발생한 크고(1~39cm, 평균 12cm), 움직이며, 경계가 명확하고, 통증이 없는 덩어리로 나타난다.[40]
다형성 지방육종(PLS)은 모든 지방육종 사례의 5~10%를 차지하며,[55] 빠르게 성장하고, 대개 크고(>5 cm) 통증이 없지만 매우 악성인 지방 세포 종양이다.[56]
의료 초음파 검사와 자기 공명 영상(MRI)는 지방육종의 범위, 수술 접근성 및 관찰된 장기 기능 부전과의 관계를 파악하는 데 도움이 되며 종종 필수적이다. 초음파 검사로는 일반적으로 지방육종과 양성 지방종을 구별할 수 없으므로 MRI가 이러한 구분을 위한 증거를 제공하는 데 선택되는 초기 영상 검사이다.[67]
점액성 지방육종의 경우 T1 강조 MRI 영상에서 고신호 강도 병변과 함께 저신호 강도 덩어리를 보이며, T2 강조 영상에서는 고신호 강도를 보인다. 이는 주로 점액 물질(T1에서 저신호 강도를 나타냄)과 소량의 성숙한 지방(T1에서 고신호 강도를 나타냄)을 포함하기 때문이다.[68] 덩어리는 주변 구조로의 침윤 없이 모양이 잘 정의되고, 분엽형, 다방형 또는 타원형이다.[68]
MRI에서 고분화형은 T1 강조 영상에서 고신호, T2 강조 영상에서는 다소 고신호로 피하 지방과 같은 패턴을 나타내지만, 점액형은 T1 강조 영상에서 저신호, T2 강조 영상에서 저신호가 된다.
하지만 영상만으로는 각각 지방종, 악성 섬유성 조직구종과의 감별이 어려우므로, 근치적 절제 재료 또는 생검 재료로부터의 병리 진단으로 진단이 확정된다.
5. 치료
지방육종 치료의 기본은 외과적 절제술이다.[74] 종양이 주변 조직으로 침범했을 가능성을 고려하여, 종양뿐만 아니라 주변 조직까지 넓게 제거하는 '''광범위 절제술'''을 시행한다.[74]
점액성 지방육종은 방사선 치료에 비교적 잘 반응하는 특징이 있다.[74] 따라서 수술 시 충분한 절제연을 확보하지 못한 경우, 수술 후 방사선 치료를 통해 재발을 억제하기도 한다.[74]
진행성, 전이성, 재발성 지방육종의 경우 항암 화학 요법이 사용된다. 또한, 페록시좀 증식 인자 활성화 수용체 γ (PPARγ)를 발현하는 지방육종 세포의 특징을 이용하여[75], PPARγ 효능제를 통한 분화 유도 치료법도 연구되고 있다.[76] 2015년에는 일본에서 트라벡테딘이 연부 조직 종양 치료제로 승인되었으며, 특히 전좌를 가진 점액성 지방육종에 효과가 있을 것으로 기대된다.[77]
6. 한국에서의 지방육종
작은 과잉 표지 염색체(sSMC) 또는 거대 표지 염색체를 가진 DDL 및 ALT/WDL 종양 세포는 밴드 13~15에서 염색체 12의 q 팔 여분 부분을 포함하며, 여기에는 종양 발생 관련 유전자인 ''MDM2''[26] 및 ''CDK4''[27][17]가 있다. 이 두 유전자 및/또는 과잉 생성된 단백질 생성물의 여분 사본 존재는 지방종성 종양이 다른 유형이 아닌 ALT/WDL 또는 DDL임을 나타내는 매우 민감하고 특이적인 지표이다.[13][17] ''MDM2'' 및 ''CDK4'' 유전자 및/또는 sSMC 또는 거대 표지 염색체의 다른 유전 물질 과발현은 DDL뿐만 아니라 ALT/WDL 종양의 발달 및/또는 진행을 촉진하는 것으로 추정된다.[28]
ALT/WDL 및 DDL 종양 세포에서 과발현되는 sMMC 및 거대 표지 염색체의 다른 유전자로는 ''HMGA2, CPM, YEATS4,''[29] 및 ''DDIT3''가 있다. 그러나 ALT/WDL 종양 세포에 비해 DDL 종양 세포는 다음과 같은 특징을 보인다.
'''1)''' 두 비정상 염색체의 유전자 발현 수준이 더 높아 ALT/WDL에서 DDL로의 진행에 기여할 수 있다.
'''2)''' 밴드 32의 염색체 1 장완, 밴드 33의 염색체 6 장완, 그리고 약 25%의 경우 ''JUN'' 유전자를 포함하는 밴드 32.2의 염색체 1 단완의 유전자 생성물 수준이 더 높다. ''JUN'' 유전자 생성물인 c-jun은 세포 사멸을 억제하고 세포 증식을 촉진하므로, 과잉 생산은 ALT/WDL에서 DDL로의 진행 및/또는 DDL 종양 세포의 악성화를 유발할 수 있다.[8]
유전자 발현 프로파일링은 지방 세포 세포 분화 및 ALT/WDL의 대사 경로가 상향 조절되는 반면, DDL에서는 세포 증식 및 DNA 손상 반응 경로가 상향 조절됨을 보여주었다.[6]
7. 예후
종양의 유형, 분화도, 크기, 위치, 전이 여부 등에 따라 예후가 달라진다. 고분화 지방육종은 예후가 비교적 좋지만, 탈분화 지방육종, 다형성 지방육종은 예후가 나쁘다. 점액성 지방육종은 중간 정도의 예후를 보인다.[40][55][71][72][73]
- '''고분화형 지방육종''' (ALT/WDL): 모든 지방육종의 40~45%를 차지하며, 거의 전이되지 않아 예후가 좋다. 그러나 국소 침윤성이 있으며, 탈분화 지방육종으로 악성 변환될 수 있다. 수술로 제거해도 재발할 수 있다.[6][11][13][12] 2012년 연구에 따르면 5년 및 10년 생존율은 각각 100%와 87%이다.[20]
- '''탈분화 지방육종''' (DDL): 악성 종양으로, 고분화형 지방육종에서 발생하거나 재발하는 경우가 있다. 고분화형에 비해 재발 및 전이를 일으키기 쉬워 예후가 좋지 않다.[8][72]
- '''점액성 지방육종''' (MLS): 다른 지방육종보다 예후가 좋은 편이며, 10년 생존율은 77%이다. 그러나 종양 크기가 크거나(10cm 이상), 고등급, 45세 이상, P53 유전자 과발현, 남성 등의 요인이 있으면 예후가 나빠진다.[40][46]
- '''다형성 지방육종''' (PLS): 가장 악성도가 높은 지방육종이다. 1년, 3년, 5년 생존율은 각각 93%, 75%, 29%이다. 종양의 위치, 크기, 깊이, 괴사 여부에 따라 예후가 달라진다.[55]
8. 저명한 환자
- 채드 브라운(1961-2014), 포커 선수로 지방육종으로 사망했다.
- 리처드 파인만(1918-1988), 이론 물리학자로 질병 치료를 위한 수술 후 사망했다.
- 롭 포드(1969-2016), 전 토론토 시장이자 토론토 시의원으로 다형성 지방육종으로 사망했다.
- 호키 가잔(1959-2016), 전 뉴올리언스 세인츠 러닝백이자 팀의 라디오 해설가로 지방육종으로 사망했다.
- 찰리 데이비스(1986년 출생), 전 메이저 리그 사커 필라델피아 유니언의 축구 선수로 2016년 지방육종 진단을 받았다.
- 마크 스트랜드(1934-2014), 전 미국 계관 시인이자 퓰리처상 수상자로 지방육종으로 사망했다.
참조
[1]
웹사이트
Liposarcoma
https://www.patholog[...]
2017-11
[2]
논문
Synchronous Renal Dedifferentiated Liposarcoma and Retroperitoneal Well-Differentiated Liposarcoma: A Case Report With Literature Review
2020-12
[3]
논문
Liposarcoma: new entities and evolving concepts
2000-08
[4]
웹사이트
What is Liposarcoma?
http://sarcomahelp.o[...]
2012-10
[5]
논문
Update of pediatric soft tissue tumors with review of conventional MRI appearance-part 1: tumor-like lesions, adipocytic tumors, fibroblastic and myofibroblastic tumors, and perivascular tumors
2021-06
[6]
논문
Recent advances in the understanding and management of liposarcoma
2021
[7]
논문
Contributions of cytogenetics and molecular cytogenetics to the diagnosis of adipocytic tumors
2011
[8]
논문
Well-differentiated liposarcoma and dedifferentiated liposarcoma: An updated review
2019-03
[9]
논문
Dysplastic Lipoma: A Distinctive Atypical Lipomatous Neoplasm With Anisocytosis, Focal Nuclear Atypia, p53 Overexpression, and a Lack of MDM2 Gene Amplification by FISH; A Report of 66 Cases Demonstrating Occasional Multifocality and a Rare Association With Retinoblastoma
2018-11
[10]
논문
A Comprehensive Review on Solitary Fibrous Tumor: New Insights for New Horizons
2021-06
[11]
논문
Pathology and genetics of adipocytic tumors
2007
[12]
논문
Atypical lipomatous tumor in the ligamentum teres of liver: A case report and review of the literature
2018-10
[13]
논문
Clinical Application of Chromosome Microarray Analysis in the Diagnosis of Lipomatous Tumors
2021-03
[14]
논문
Atypical Lipomatous Tumor/Well-Differentiated Liposarcoma of the Orbit: Three Cases and Review of the Literature
2021
[15]
웹사이트
MDM2 MDM2 proto-oncogene [Homo sapiens (Human)] - Gene - NCBI
https://www.ncbi.nlm[...]
[16]
웹사이트
CDK4 cyclin dependent kinase 4 [Homo sapiens (Human)] - Gene - NCBI
https://www.ncbi.nlm[...]
[17]
논문
Duplication of chromosome segment 12q13-15 in a lipomatous tumor with minimal nuclear atypia: A case report
2016-04
[18]
논문
Small supernumerary marker chromosomes (sSMC) and male infertility: characterization of five new cases, review of the literature, and perspectives
2020-07
[19]
논문
Rare partial trisomy and tetrasomy of 15q11-q13 associated with developmental delay and autism spectrum disorder
2020
[20]
웹사이트
Liposarcoma
http://sarcomahelp.o[...]
[21]
논문
Primary Orbital Dedifferentiated Liposarcoma
2020-07
[22]
논문
Osteogenic differentiation in dedifferentiated liposarcoma: a study of 36 cases in comparison to the cases without ossification
2018-04
[23]
논문
Combining surgery with 125I brachytherapy for recurrent mediastinal dedifferentiated liposarcoma: A case report and review of literature
2020-03
[24]
논문
Meningothelial cells as part of the central nervous system host defence
2013-07
[25]
논문
Dedifferentiated Liposarcoma With Meningothelial-Like Whorls: Five Additional Cases and Review of the Literature
2020-10
[26]
웹사이트
MDM2 MDM2 proto-oncogene [Homo sapiens (Human)] – Gene – NCBI
https://www.ncbi.nlm[...]
[27]
웹사이트
CDK4 cyclin dependent kinase 4 [Homo sapiens (Human)] – Gene – NCBI
https://www.ncbi.nlm[...]
[28]
논문
The Hidden Genomic and Transcriptomic Plasticity of Giant Marker Chromosomes in Cancer
2018-03
[29]
웹사이트
YEATS4 YEATS domain containing 4 [Homo sapiens (Human)] – Gene – NCBI
https://www.ncbi.nlm[...]
[30]
논문
The impact of chemotherapy on survival of patients with extremity and trunk wall soft tissue sarcoma: revisiting the results of the EORTC-STBSG 62931 randomised trial
2019-03
[31]
논문
Surgical Diagnosis and Treatment of Primary Retroperitoneal Liposarcoma
2021
[32]
논문
Epidemiology and survival of liposarcoma and its subtypes: A dual database analysis
2020-07
[33]
논문
Role of Radiation Therapy for Newly Diagnosed Retroperitoneal Sarcoma
2021-07
[34]
웹사이트
Sarcoma Alliance for Research through Collaboration
https://sarcomaallia[...]
[35]
웹사이트
SARC041: Phase 3 Randomized Double-Blind Study of Abemaciclib Versus Placebo in Patients with Advanced Dedifferentiated Liposarcoma
https://clinicaltria[...]
2021-07-23
[36]
웹사이트
A Randomized Multicenter Phase 3 Study of Milademetan Versus Trabectedin in Patients with Dedifferentiated Liposarcoma
https://clinicaltria[...]
2021-07-16
[37]
웹사이트
Milademetan
https://pubchem.ncbi[...]
[38]
웹사이트
A Randomized Multicenter Phase 3 Study of Milademetan Versus Trabectedin in Patients with Dedifferentiated Liposarcoma
https://clinicaltria[...]
2021-07-16
[39]
서적
StatPearls
StatPearls
[40]
간행물
Myxoid Liposarcoma With Skeletal Metastases: Pathophysiology and Imaging Characteristics
2021
[41]
웹사이트
DDIT3 DNA damage inducible transcript 3 [Homo sapiens (Human)] – Gene – NCBI
https://www.ncbi.nlm[...]
[42]
웹사이트
FUS FUS RNA binding protein [Homo sapiens (Human)] – Gene – NCBI
https://www.ncbi.nlm[...]
[43]
웹사이트
EWSR1 EWS RNA binding protein 1 [Homo sapiens (Human)] – Gene – NCBI
https://www.ncbi.nlm[...]
[44]
간행물
Nuclear expression of DDIT3 distinguishes high-grade myxoid liposarcoma from other round cell sarcomas
2021-07
[45]
간행물
Adipocytic tumors in Children: A contemporary review
2019-03
[46]
간행물
Molecular signatures of tumor progression in myxoid liposarcoma identified by N-glycan mass spectrometry imaging
2020-09
[47]
웹사이트
Efatutazone dihydrochloride
https://www.wikidata[...]
[48]
웹사이트
A Phase II Study of the Peroxisome Proliferator-Activated Receptor Gamma Agonist, Efatutazone in Patients with Previously Treated, Unresectable Myxoid Liposarcoma
https://clinicaltria[...]
2021-08-16
[49]
웹사이트
A Phase II Study on Trabectedin in Combination with PPARg Agonist Pioglitazone in Patients with Round Cell Myxoid Liposarcomas or Dedifferentiated G1 and G2 Liposarcomas with Stable Disease After a Monotherapy with Trabectedin. (TRABEPIO)
https://clinicaltria[...]
2021-03-10
[50]
웹사이트
A Phase 2, Single Arm, Multi Center Trial Evaluating the Efficacy of the COmbination of Sirolimus and cYclophosphamide in Metastatic or Unresectable Myxoid Liposarcoma and chOndrosarcoma
https://clinicaltria[...]
2021-06-04
[51]
웹사이트
A Single Arm, Multi Centers, Phase II Study of Sintilimab, Doxorubicin and Ifosfamide at First-line Treatment of Soft Tissue Sarcoma Including Undifferentiated Pleomorphic Sarcoma, Synovial Sarcoma, Myxoid Liposarcoma and De-differentiated Liposarcoma
https://clinicaltria[...]
2020-07-13
[52]
간행물
Preclinical evaluation of an affinity-enhanced MAGE-A4-specific T-cell receptor for adoptive T-cell therapy
2020
[53]
간행물
T Cells Targeting MAGE-A4 Shrink Tumors
2020-08
[54]
웹사이트
A Phase 2 Single Arm Open-Label Clinical Trial of ADP-A2M4 SPEAR™ T Cells in Subjects with Advanced Synovial Sarcoma or Myxoid/Round Cell Liposarcoma
https://clinicaltria[...]
2021-06-18
[55]
간행물
Pleomorphic liposarcoma: An analysis of 6 case reports and literature review
2018-02
[56]
간행물
The Rapidly Expanding Group of RB1-Deleted Soft Tissue Tumors: An Updated Review
2021-03
[57]
간행물
Pleomorphic liposarcoma of the head and neck: Presentation of two cases and literature review
2017
[58]
간행물
Molecular updates in adipocytic neoplasms✰
2019-03
[59]
웹사이트
Pleomorphic liposarcoma
https://www.patholog[...]
[60]
간행물
Integrated genetic and epigenetic analysis of myxofibrosarcoma
2018-07
[61]
간행물
Myxofibrosarcoma of the leg: A diagnostic challenge
2020-12
[62]
간행물
Myxoid pleomorphic liposarcoma-a clinicopathologic, immunohistochemical, molecular genetic and epigenetic study of 12 cases, suggesting a possible relationship with conventional pleomorphic liposarcoma
2021-06
[63]
간행물
Liposarcomas in young patients: a study of 82 cases occurring in patients younger than 22 years of age
2009-05
[64]
간행물
Recurrent Pleomorphic Myxoid Liposarcoma in a Patient With Li-Fraumeni Syndrome
2020-04
[65]
간행물
Pleomorphic myxoid liposarcoma in an adolescent with Li-Fraumeni syndrome
2017-05
[66]
간행물
Liposarcoma in children and young adults: a clinicopathologic and molecular study of 23 cases in one of the largest institutions of China
2021-03
[67]
웹사이트
Lipoma
https://radiopaedia.[...]
2018-09-27
[68]
간행물
Myxoid liposarcoma: appearance at MR imaging with histologic correlation
2000-07
[69]
서적
Sonography
IntechOpen
[70]
서적
Pathology and Genetics of Tumours of Soft Tissue and Bone
World Health Organization Classification of Tumours
[71]
논문
Evaluation of MDM2 and CDK4 amplification by real-time PCR on paraffin wax-embedded material: a potential tool for the diagnosis of atypical lipomatous tumours/well-differentiated liposarcomas
[72]
논문
A subgroup of malignant fibrous histiocytomas is associated with genetic changes similar to those of well-differentiated liposarcomas
[73]
논문
Translocation t(12;16)(q13;p11) in myxoid liposarcoma and round cell liposarcoma: molecular and cytogenetic analysis
[74]
논문
Radiation response: an additional unique signature of myxoid liposarcoma
[75]
논문
Terminal differentiation of human liposarcoma cells induced by ligands for peroxisome proliferator-activated receptor gamma and the retinoid X receptor
[76]
논문
PPARγ agonists enhance ET-743-induced adipogenic differentiation in a transgenic mouse model of myxoid round cell liposarcoma
[77]
문서
ヨンデリス概要 大鵬薬品
http://www.pmda.go.j[...]
[78]
간행물
Liposarcoma: new entities and evolving concepts
http://linkinghub.el[...]
2000-08
[79]
웹인용
What is Liposarcoma?
http://sarcomahelp.o[...]
2015-04-22
[80]
웹인용
The Importance of Treatment at a Specialty Center for Sarcomas
http://sarcomahelp.o[...]
본 사이트는 AI가 위키백과와 뉴스 기사,정부 간행물,학술 논문등을 바탕으로 정보를 가공하여 제공하는 백과사전형 서비스입니다.
모든 문서는 AI에 의해 자동 생성되며, CC BY-SA 4.0 라이선스에 따라 이용할 수 있습니다.
하지만, 위키백과나 뉴스 기사 자체에 오류, 부정확한 정보, 또는 가짜 뉴스가 포함될 수 있으며, AI는 이러한 내용을 완벽하게 걸러내지 못할 수 있습니다.
따라서 제공되는 정보에 일부 오류나 편향이 있을 수 있으므로, 중요한 정보는 반드시 다른 출처를 통해 교차 검증하시기 바랍니다.
문의하기 : help@durumis.com
