치은염
"오늘의AI위키"의 AI를 통해 더욱 풍부하고 폭넓은 지식 경험을 누리세요.
1. 개요
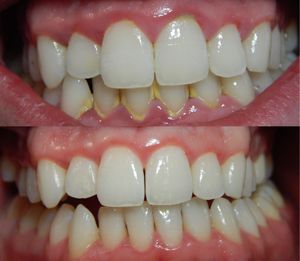
치은염은 치아와 잇몸 사이에 쌓이는 세균성 막인 치태로 인해 발생하는 잇몸 질환이다. 주요 증상으로는 부어오른 잇몸, 붉은 잇몸, 칫솔질 시 출혈, 구취 등이 있으며, 방치할 경우 치주염으로 진행될 수 있다. 치은염은 흡연, 스트레스, 당뇨병, 불량한 구강 위생 등 다양한 요인에 의해 발생하며, 나이, 골다공증, 유전적 요인 등도 위험 요인으로 작용한다. 진단은 치과 검사를 통해 이루어지며, 치료는 치태 제거를 목표로 정기적인 치과 방문과 적절한 구강 위생 관리를 통해 이루어진다. 예방을 위해서는 꼼꼼한 칫솔질과 치실 사용, 정기적인 치과 검진 및 스케일링이 중요하며, 1999년과 2017년의 분류 체계에 따라 분류된다.
더 읽어볼만한 페이지
- 치주 질환 - 치주염
치주염은 치태로 인해 발생하는 만성 염증 질환으로, 잇몸 출혈, 이 시림, 치아 흔들림, 심한 경우 발치를 유발하며 흡연, 호르몬 변화, 만성 질환, 스트레스 등의 요인과 전신 질환 발병 위험을 높이는 것과 관련이 있다. - 치주 질환 - 치수염
치수염은 충치, 외상, 치과 치료 자극 등으로 인해 치아 내부 치수에 염증이 생기는 질환으로, 과민 반응, 지속적인 통증, 자발통 등의 증상을 동반하며, 가역성과 비가역성으로 나뉘어 진단 후 가역적인 경우 원인 제거, 비가역적인 경우 근관 치료나 발치로 치료한다. - 염증 - 신장염
신장염은 콩팥에 발생한 염증으로, 자가면역질환, 요로감염, 루푸스, 격렬한 운동 등이 원인이 되어 혈뇨, 핍뇨, 요독증, 고혈압 등의 증상을 유발하며, 혈액 검사, X레이, 초음파 등으로 진단하고 원인에 따라 치료한다. - 염증 - 신우신염
신우신염은 신장의 신우와 신실질에 발생하는 감염으로, 급성(고열, 배뇨통, 옆구리 통증)과 만성(지속적인 옆구리 통증, 체중 감소)으로 나뉘며, 대장균과 장구균이 주요 원인균이고, 항생제로 치료하며, 요로의 구조적 이상, 당뇨병, 면역 저하 등이 위험 요인이다.
치은염 | |
---|---|
일반 정보 | |
![]() | |
진료 분야 | 치과학 |
증상 | |
합병증 | 치주 질환 |
2. 원인
치은염의 주된 원인은 치아와 잇몸 사이에 쌓이는 세균성 막인 치태(플라크)이다. 치태는 치아 사이의 작은 틈, 치은구, 치석과 같은 '치태 함정' 부위에 축적된다.[10] 치태 속 세균은 지질다당류(LPS, 내독소로도 알려짐), 리포테이코산(LTA)과 같은 독소 및 분해 효소를 생성하여 잇몸 조직에 염증 반응을 일으킨다.[10]
건강한 잇몸의 초기 치태는 그람 양성 구균과 간균이 주를 이루지만, 치태가 성숙하고 치은염이 발생하면 그람 음성 간균, 방추형, 사상균, 나선균, 스피로헤타(spirochete)의 비율이 높아지면서 복잡한 군집을 이룬다. 실험적 치은염 연구에 따르면, ''Fusobacterium nucleatum'' 아종 ''polymorphum'', ''Lachnospiraceae'' [G-2] 종 HOT100, ''Lautropia'' 종 HOTA94, ''Prevotella oulorum'' 등의 세균이 치은염과 관련이 있으며, ''Rothia dentocariosa''는 치주 건강과 관련이 있는 것으로 나타났다.[11]
2. 1. 위험 요인
- 나이
- 골다공증
- 낮은 치과 진료 이용률
- 나쁜 구강 위생
- 뻣뻣한 솔로 칫솔질하는 등 과도한 구강 위생
- 수면 중 구강 호흡
- 교정기[12]
- 구강 건조증을 유발하는 약물 및 질환
- 흡연
- 유전적 요인
- 스트레스
- 우울증과 같은 정신 건강 문제
- 당뇨병과 같은 기존 질환
- 음주[13]
- 비만[14]
3. 증상
치은염의 일반적인 증상은 다음과 같다.
- 잇몸이 붓는다.
- 잇몸이 밝은 붉은색을 띤다.
- 잇몸을 만졌을 때 부드럽거나 통증이 있다.
- 칫솔질 및/또는 치실 사용 후 출혈이 발생한다.
- 구취(구취증)가 난다.
또한 잇몸 조직에 정상적으로 존재하는 반점이 사라지고, 염증으로 인해 잇몸이 부어오르면서 반짝거릴 수 있다. 치은열구의 상피 라이닝에 궤양이 생겨 칫솔질이나 치실 사용 시 출혈이 쉽게 발생하기도 한다.

3. 1. 합병증
치은염을 방치하면 치주염으로 진행될 수 있다. 치주염은 잇몸뼈(치조골)를 파괴하여 치아를 잃게 만들 수 있는 심각한 질환이다. 치은염은 전신 건강에도 영향을 미칠 수 있는데, 조산 및 저체중아 출산과 관련이 있다.[8]2018년 연구에 따르면 치은염 박테리아가 알츠하이머병과 연관될 수 있다는 증거가 발견되었다. 과학자들은 인과 관계를 증명하기 위해 더 많은 연구가 필요하다는 데 동의한다.[8] "연구에 따르면 잇몸 질환의 여러 형태를 유발하는 박테리아인 ''P. gingivalis''가 생쥐의 입에서 뇌로 이동할 수 있다. 그리고 뇌에 들어가면 ''P. gingivalis''는 알츠하이머병의 모든 특징을 재현할 수 있다."[9]
4. 진단
치과의사는 포괄적인 치주 검사를 통해 얻은 임상 평가 데이터를 기반으로 치은염을 진단한다. 면허를 받은 치과 위생사 또는 치과의사가 포괄적인 치주 검사를 수행할 수 있지만, 데이터 해석 및 진단은 치과의사가 수행한다. 포괄적인 치주 검사는 육안 검사, 일련의 방사선 촬영, 치은 탐침, 치주에 대한 현재 또는 과거 손상의 정도 결정, 의학 및 치과 병력의 포괄적인 검토로 구성된다.[1]
최신 연구에 따르면 타액 샘플에서 아스파르트산 아미노전이효소(AST), 알라닌 아미노전이효소(ALT), 감마 글루타밀 전이효소(GGT), 알칼리성 인산분해효소(ALP), 산성 인산분해효소(ACP) 효소의 활성 수준은 치주 파괴와 관련이 있다. 따라서 이러한 효소 바이오마커는 치은염 및 치주염 진단과 치료에 도움이 될 수 있다.[1]
치과 위생사 또는 치과의사는 치은염 증상을 확인하고 구강 내 플라크 양을 검사할 수도 있다. 또한 X선이나 치주 탐침 등을 사용하여 치주염 징후를 찾기도 한다.[1]
치은염이 치료에 반응하지 않으면 추가 치료를 위해 치주과 전문의에게 의뢰해야 할 수 있다.[1]
5. 치료
치은염 치료의 핵심은 치태와 치석을 제거하여 잇몸 염증을 완화하는 것이다. 치석 제거술(스케일링)은 치아 표면에 붙은 치태와 치석을 제거하는 시술이다. 치근활택술은 치아 뿌리 표면을 매끄럽게 하여 치태 재부착을 방지하는 시술이다. 소파술은 염증이 심한 잇몸 조직을 긁어내는 시술이다. 항생제나 항균 성분이 포함된 구강 청결제를 사용하면 잇몸 염증 완화에 도움이 될 수 있다.[25]
올바른 칫솔질과 치실 사용을 통해 구강 위생을 철저히 관리하는 것이 중요하다. 치간 칫솔을 사용하면 칫솔이 닿기 어려운 부위의 치태를 효과적으로 제거할 수 있다.[25] 전동 칫솔은 수동 칫솔보다 질병 감소에 더 효과적이다.[26]
트리클로산, 클로르헥시딘 디글루코네이트, 티몰, 멘톨, 유칼립톨, 살리실산 메틸 조합은 치태를 감소시키고 일정 기간 동안 치은 염증을 효과적으로 줄이는 활성 성분이다. 이 성분들은 치약과 구강 청결제에 함유되어 있다. 과산화수소는 오랫동안 치은염 치료에 적합한 일반의약품으로 여겨져 왔으며, 단기 사용 시 치은염을 억제하는 효과가 있다. 불소가 함유된 과산화수소 기반 구강 청결제는 치아 얼룩을 제거하고 치은염을 감소시킬 수 있다는 연구 결과도 있다.[19]
티몰, 멘톨, 유칼립톨과 같이 항염증 특성을 가진 성분을 함유한 에센셜 오일 구강 청결제 또한 치은염 치료에 도움이 될 수 있다는 제한적인 증거가 있다.[27]
심한 경우, 치과의사는 항생제를 처방하거나 잇몸 수술을 시행할 수 있다. 치은염을 유발하는 세균은 항생제를 함유한 구강 청결제로 매일 구강 세정기를 사용하여 관리할 수 있다. 무알코올 불소 구강 청결제 500g에 아목시실린, 세팔렉신, 또는 미노사이클린을 섞는 것이 효과적인 혼합물이다.[28]
집중적인 구강 위생 관리는 잘 조절된 제2형 당뇨병 환자의 치은 건강을 개선하고, 치주 파괴를 늦추는 것으로 나타났다. 또한, 치주 치료 없이 집중적인 구강 위생 관리(구강 보건 교육 및 치은연상 치석 제거술)만으로도 치은 건강을 개선하고, 잘 조절된 당뇨병 환자의 치은염 진행을 예방할 수 있다.
6. 예방
치은염은 매일 구강 위생[17] 관리를 통해 예방할 수 있으며, 여기에는 매일 칫솔질과 치실 사용이 포함된다.[18] 과산화 수소, 생리 식염수, 에탄올 또는 클로르헥시딘 구강 청결제를 사용하는 것도 도움이 될 수 있다. 2004년 임상 연구에서는 과산화 수소의 치은염에 대한 유익한 효과가 강조되었다.[19] 진동형 칫솔을 사용하는 것은 수동 칫솔질에 비해 치은염의 위험을 줄일 수 있다.[20]
미국 치과 협회에 따르면 치주 질환의 예방이 아닌 치료로 간주되지만, 철저한 플라그 관리 프로그램과 치주 스케일링 및 소파술 또한 도움이 되는 것으로 입증되었다.[21] 1997년 미국 식품의약국(FDA)의 효과 데이터 검토에서는 트리클로산이 함유된 치약이 치은염 예방에 효과적이라는 명확한 증거를 발견했다.[22] 2017년 FDA는 많은 소비재에서 트리클로산을 금지했지만, 치은염에 대한 효과 때문에 치약에는 남겨두었다.[23] 2019년, 콜게이트는 건강 옹호자들의 압력으로 트리클로산을 함유한 마지막 치약인 콜게이트 토탈에서 트리클로산을 제거했다.[24]
7. 분류
치은 질환은 1999년 임상 치주학 세계 워크숍에서 크게 두 가지 범주로 나뉘었고, 각 범주 안에는 여러 하위 그룹이 있었다.[15] 2017년 세계 워크숍에서는 치주 건강, 치은 질환 및 상태 분류가 새롭게 정의되었다.[16]
7. 1. 1999년 분류
1999년 임상 치주학 세계 워크숍에서는 치은 질환을 크게 두 가지 범주로 나누고, 각 범주 안에 여러 하위 그룹을 두었다.[15]- 치태 유발 치은 질환
- 치태 단독 관련 치은염
- 전신적 요인에 의해 변형된 치은 질환
- 약물에 의해 변형된 치은 질환
- 영양실조에 의해 변형된 치은 질환
- 비치태 유발 치은 병변
- 특정 세균 기원의 치은 질환
- 바이러스 기원의 치은 질환
- 진균 기원의 치은 질환
- 유전적 기원의 치은 질환
- 전신 질환의 치은 증상
- 외상성 병변
- 이물 반응
- 달리 명시되지 않은 경우
7. 2. 2017년 분류
2017년 세계 워크숍에서 정의된 치주 건강, 치은 질환/상태 분류는 다음과 같다.[16]분류 |
---|
참조
[1]
간행물
Proceedings of the World Workshop in Clinical Periodontics
The American Academy of Periodontology
1989
[2]
서적
A Dictionary of Dentistry
https://www.oxfordre[...]
Oxford University Press
[3]
서적
Dental Hygiene - E-Book: Theory and Practice
[4]
논문
Host tissue response in chronic periodontal disease. 1. The normal periodontium and clinical manifestations of dental and periodontal disease in the marmoset
[5]
논문
Pathogenesis of inflammatory periodontal disease. A summary of current work
1976-03
[6]
논문
Parameter on plaque-induced gingivitis. American Academy of Periodontology
2000-05
[7]
논문
Periodontitis: A risk for delivery of premature labor and low-birth-weight infants
2010-07
[8]
웹사이트
Alzheimer's is linked to gum disease – but bad oral health is not the only culprit
https://theconversat[...]
2019-01-30
[9]
논문
Association between oral health and dementia in the elderly: a population-based study in Korea
2019-10
[10]
논문
Treatment of plaque-induced gingivitis, chronic periodontitis, and other clinical conditions
2001-12
[11]
논문
Bacterial community development in experimental gingivitis
2013-08-14
[12]
웹사이트
Gingivitis and braces
https://orthodontics[...]
2021-05-19
[13]
논문
Effectiveness of a Screening and Brief Intervention protocol for heavy drinkers in dental practice: A cluster-randomized trial
2015-12
[14]
학위논문
비만과 치주염 및 치아우식증과의 연관성
https://s-space.snu.[...]
서울대학교 대학원 (Seoul National University Graduate School)
2014-08
[15]
논문
Development of a classification system for periodontal diseases and conditions
http://perio.org/res[...]
2010-05-12
[16]
논문
A new classification scheme for periodontal and peri-implant diseases and conditions - Introduction and key changes from the 1999 classification
2018-06
[17]
웹사이트
How to Get Rid of Puffy Gums with Braces
https://orthodontics[...]
2021-07-21
[18]
논문
Flossing for the management of periodontal diseases and dental caries in adults
2011-12
[19]
논문
Efficacy of a fluoridated hydrogen peroxide-based mouthrinse for the treatment of gingivitis: a randomized clinical trial
2004-01
[20]
논문
Different powered toothbrushes for plaque control and gingival health
2010-12
[21]
웹사이트
American Dental Hygienists' Association Position Paper on the Oral Prophylaxis
http://www.adha.org/[...]
[22]
웹사이트
FDA Triclosan: What Consumers Should Know
https://www.fda.gov/[...]
U.S. Food and Drug Administration
2010-08-12
[23]
웹사이트
FDA - 5 Things to Know About Triclosan
https://www.fda.gov/[...]
2021-04-08
[24]
뉴스
Colgate Total Toothpaste to Relaunch Without Controversial Chemical
https://www.bloomber[...]
2021-04-08
[25]
뉴스
Gingivita
https://smilecare.ro[...]
2023-09-27
[26]
논문
Powered versus manual toothbrushing for oral health
2014-06
[27]
논문
The long-term effect of a mouthrinse containing essential oils on dental plaque and gingivitis: a systematic review
2007-07
[28]
웹사이트
Treatments for Gum Disease
http://www.webmd.com[...]
2023-01-29
[29]
간행물
Proceedings of the World Workshop in Clinical Periodontics
The American Academy of Periodontology
1989
[30]
저널
Parameter on Plaque-Induced Gingivitis
[31]
저널
Host tissue response in chronic periodontal disease. 1. The normal periodontium and clinical manifestations of dental and periodontal disease in the marmoset
[32]
저널
Pathogenesis of inflammatory periodontal disease. A summary of current work
[33]
문서
https://rebrush.co.k[...]
본 사이트는 AI가 위키백과와 뉴스 기사,정부 간행물,학술 논문등을 바탕으로 정보를 가공하여 제공하는 백과사전형 서비스입니다.
모든 문서는 AI에 의해 자동 생성되며, CC BY-SA 4.0 라이선스에 따라 이용할 수 있습니다.
하지만, 위키백과나 뉴스 기사 자체에 오류, 부정확한 정보, 또는 가짜 뉴스가 포함될 수 있으며, AI는 이러한 내용을 완벽하게 걸러내지 못할 수 있습니다.
따라서 제공되는 정보에 일부 오류나 편향이 있을 수 있으므로, 중요한 정보는 반드시 다른 출처를 통해 교차 검증하시기 바랍니다.
문의하기 : help@durumis.com