포충증
"오늘의AI위키"의 AI를 통해 더욱 풍부하고 폭넓은 지식 경험을 누리세요.
1. 개요
포충증은 *Echinococcus* 기생충에 의해 발생하는 질병으로, 사람을 포함한 다양한 숙주에게 낭종을 형성한다. 개와 같은 육식동물이 종숙주이고, 양이나 소와 같은 초식동물이 중간 숙주이며, 사람은 우연적인 숙주이다. 감염은 주로 기생충 알을 섭취하여 발생하며, 낭종의 위치에 따라 기침, 호흡 곤란, 복통, 황달 등의 다양한 증상이 나타날 수 있다. 진단은 영상 검사, 혈청 검사, 조직 검사 등을 통해 이루어지며, 치료는 약물 치료, 수술, PAIR(천자-흡인-주입-재흡인) 등의 방법을 사용한다. 예방을 위해 개인 위생 관리, 환경 관리, 유행 지역 방문 시 주의사항 등이 권고되며, 현재까지 인간 백신은 개발되지 않았다.
더 읽어볼만한 페이지
- 기생충병 - 회충증
회충증은 회충 감염으로 발생하는 질환으로, 회충 알이 섞인 음식 섭취를 통해 감염되며 장폐색, 내장 손상, 폐렴 등을 유발할 수 있으며, 대변 검사로 진단하고 위생 시설 개선과 구충제 사용으로 치료 및 예방한다. - 기생충병 - 낭미충증
낭미충증은 돼지촌충 유충인 낭미충이 인체에 감염되어 발생하는 질병으로, 경구-분변 경로를 통해 감염되며 뇌, 눈, 근육 등에 다양한 증상을 유발하고, CT, MRI 등으로 진단하여 항기생충제 투여, 수술 등으로 치료하며 위생 개선, 돼지고기 위생 관리 등으로 예방할 수 있다. - 개 질병 - 개 파보바이러스
개 파보바이러스는 개에게 심각한 위장관 질환을 유발하며, 여러 변종이 존재하고, 무기력, 구토, 설사 등의 증상을 보이며, 분변 검사로 진단하고, 백신 접종과 격리가 예방에 중요하다. - 개 질병 - 골육종
골육종은 뼈, 특히 장골의 골간단 부위에서 발생하는 악성 종양으로, 밤에 심해지는 통증, 부종, 병적 골절 등의 증상을 보이며, 유전적, 환경적 요인이 복합적으로 작용하는 것으로 추정되고, 수술 및 항암화학요법을 통해 치료하며, 예후는 병기 및 치료 반응에 따라 달라진다. - 인수공통감염병 - 코로나바이러스감염증-19
코로나바이러스감염증-19(COVID-19)는 SARS-CoV-2 코로나바이러스에 의해 발생하며, 2019년 중국 우한에서 시작되어 전 세계적으로 유행했고, 발열, 기침, 호흡 곤란 등의 증상을 유발하며 사회적 거리두기, 마스크 착용, 백신 접종 등으로 예방하고, 덱사메타손 등 약물로 치료한다. - 인수공통감염병 - SARS-CoV
SARS-CoV는 2003년 중증급성호흡기증후군(SARS)을 일으킨 코로나바이러스로, 주로 동물을 통해 전파되어 근육통, 두통, 발열 등의 전신 증상과 호흡기 증상을 유발하며, SARS-CoV-2와 유전적으로 유사하다.
2. 원인
에키노코쿠스 감염은 다른 많은 기생충 감염과 마찬가지로 복잡한 경과를 보인다. 이 벌레는 종숙주와 중간숙주가 모두 필요한 생활 주기를 가진다. 종숙주는 보통 개와 같은 육식동물이며, 중간숙주는 양이나 소와 같은 초식동물이 일반적이다. 인간은 우연히 숙주 역할을 하는데, 사망 후 개나 늑대에게 먹히지 않는 한 기생충 감염 주기의 종착점이기 때문이다.[18]
2. 1. 생활사
다른 많은 기생충 감염과 마찬가지로, ''에키노코쿠스'' 감염 경로는 복잡하다. 이 벌레는 종숙주와 중간숙주가 모두 필요한 생활 주기를 가지고 있다. 종숙주는 일반적으로 개와 같은 육식동물이며, 중간숙주는 보통 양이나 소와 같은 초식동물이다. 인간은 우연적인 숙주 역할을 하는데, 그 이유는 사망 후 개나 늑대에게 먹히지 않는 한 기생충 감염 주기의 종착점이기 때문이다.[18]
성충은 최종 숙주의 소장에 서식한다. 임신한 단일 편절은 최종 숙주의 대변으로 배출되는 알을 방출한다. 그런 다음 알은 중간 숙주에 의해 섭취된다. 알은 중간 숙주의 소장에서 부화하여 온코스피어를 방출하며, 온코스피어는 장벽을 관통하여 순환계를 통해 특히 간과 폐와 같은 다른 장기로 이동한다. 일단 이러한 장기를 침범하면 온코스피어는 낭종으로 발달한다. 낭종은 천천히 커지면서 원두구충 (어린 두절)과 낭종 내의 자낭을 생성한다. 최종 숙주는 감염된 중간 숙주의 낭종을 포함하는 장기를 섭취한 후 감염된다. 섭취 후, 원두구충은 창자에 부착된다. 그런 다음 성충으로 발달하고 주기가 다시 시작된다.[20]
''에키노코쿠스'' 난자에는 온코스피어 또는 육구라고 불리는 배아가 들어있다. 이 배아의 이름은 이 배아가 6개의 갈고리를 가지고 있다는 사실에서 유래했다. 난자는 최종 숙주의 배설물을 통해 배출되며, 중간 숙주가 이러한 난자를 섭취하면 감염으로 이어진다.[48]
배아에서 방출된 난자는 1년 안에 약 5cm~10cm까지 자라는 ''포충''을 발달시키며, 여러 해 동안 장기 내에서 생존할 수 있다.[21] 낭종은 때때로 매우 커져서 여러 해 또는 심지어 수십 년이 지나면 몇 리터의 체액을 포함할 수 있다. 낭종이 직경 1cm에 도달하면 그 벽은 두꺼운 외부의 무세포 막으로 분화되어 얇은 생식 상피를 덮는다. 이 상피로부터 세포가 낭종 내에서 자라기 시작한다. 이 세포는 액포화되어 브로드 캡슐로 알려지며, 기생충의 원두구충이 싹트는 부분이다. 종종 딸 낭종도 낭종 내에서 형성된다.[48]
''에키노코쿠스'' 성충은 전두 유충으로부터 발달하며, 일반적으로 길이가 6mm 이하이고, 두절, 낭, 그리고 보통 3개의 편절을 가지고 있는데, 하나는 미성숙하고, 다른 하나는 성숙하며, 세 번째는 임신(또는 알을 포함)하고 있다.[48] 성충의 두절에는 4개의 흡반과 약 25~50개의 갈고리가 있는 두부돌기가 있다.[22]
다양한 ''Echinococcus'' 종들 간의 주요 형태학적 차이점은 촌충의 길이이다. ''E. granulosus''는 약 2mm~7mm인 반면, ''E. multilocularis''는 종종 더 작아서 4mm 이하이다.[23] 반면에 ''E. vogeli''는 최대 5.6mm 길이로, ''E. oligarthrus''는 최대 2.9mm 길이로 발견된다.[43] 길이의 차이 외에도, 각 종의 유구낭포에도 차이가 있다. 예를 들어, ''E. multilocularis''의 낭포는 매우 얇은 제한 막을 가지고 있으며, 생식 상피는 외부로 발아할 수 있다. 게다가, ''E. granulosus'' 낭포는 단방성이며 액체로 가득 차 있는 반면, ''E. multilocularis'' 낭포는 액체가 거의 없고 다방성이다. ''E. vogeli''의 경우, 유구낭포는 크고 실제로 다낭성인데, 유구낭포의 생식 막이 실제로 안쪽으로 증식하여 유구를 구획으로 나누는 격막을 만들고, 바깥쪽으로 증식하여 새로운 낭포를 생성하기 때문이다. ''E. granulosus'' 낭포와 마찬가지로, ''E. vogeli'' 낭포는 액체로 채워져 있다.[48]
2. 2. 감염 경로
다른 많은 기생충 감염과 마찬가지로, ''에키노코쿠스'' 감염 경로는 복잡하다. 이 벌레는 종숙주와 중간숙주가 모두 필요한 생활 주기를 가지고 있다. 종숙주는 일반적으로 개와 같은 육식동물이며, 중간숙주는 보통 양이나 소와 같은 초식동물이다. 인간은 우연적인 숙주 역할을 하는데, 그 이유는 사망 후 개나 늑대에게 먹히지 않는 한 기생충 감염 주기의 종착점이기 때문이다.[18]모든 질병을 유발하는 ''Echinococcus'' 종은 알을 섭취하여 중간 숙주로 전파되며, 감염된 낭포 함유 장기를 먹음으로써 최종 숙주로 전파된다. 인간은 알을 함유한 흙, 먼지 또는 동물의 털을 만짐으로써 감염되는 우연적인 중간 숙주이다.[23]
어떤 ''Echinococcus'' 종의 성충이나 유충 형태에 대한 생물학적 또는 기계적 매개체는 없지만, 분식성 파리, 시체새 및 절지동물은 알의 기계적 매개체 역할을 할 수 있다.[24]
3. 증상
thumb의 낭종]]
thumb.H&E 염색.]]
포충증은 ''E. granulosus'' 등에 감염되어 발생하는 질병으로, 신체 내에서 천천히 성장하는 낭종(혹)을 형성한다. 낭종의 위치에 따라 다양한 증상이 나타나는데, 낭종이 매우 커져도 증상이 없을 수도 있고, 반대로 아주 작더라도 증상이 나타날 수 있다.
일반적으로 포충증의 잠복기는 수개월에서 수년, 심지어 수십 년까지 매우 길 수 있다.[17] 이는 낭종의 위치와 성장 속도에 따라 달라진다.[23] 무증상 잠복 기간은 성인의 경우 10~20년,[57] 소아의 경우 5년 이상 걸린다고 한다.
환자의 98%가 간에 병소를 형성하며, 초기에는 증상이 없지만, 간 비대를 일으켜 오른쪽 윗부분의 복통, 담관 폐색으로 인한 황달 및 피부의 심한 가려움, 복수를 일으키기도 한다. 다음으로 흔히 침범되는 곳은 폐로, 기침, 객혈, 흉통, 발열 등 결핵 유사 증상을 일으킨다. 그 외에도 뇌, 뼈, 심장 등에 기생하여 심각한 증상을 일으킬 수 있다. 또한, 낭포가 체내에서 파열되어 포충이 전이되거나, 내용물 누출로 아나필락시스 쇼크를 일으키는 경우도 있다.
3. 1. 단방조충
''E. granulosus'', ''E. multilocularis'', ''E. oligarthrus'', ''E. vogeli''는 사람에게서 간(75%), 폐(5~15%), 비장, 뇌, 심장, 신장 등(10~20%)에 주로 기생한다.[9][10] ''E. granulosus''에 감염되어 낭포성 에키노코쿠스증에 걸리면, 몸 안에 천천히 자라는 덩어리(낭종)가 생긴다. 폐포성 및 다낭성 에키노코쿠스증에서도 낭종이 발견된다.[9][10]낭포성 에키노코쿠스증의 낭종은 투명한 액체로 채워져 있고, 구형이며, 보통 하나의 구획으로 되어 있고, 한 곳에서만 발견된다. 반면 폐포성 및 다낭성 에키노코쿠스증의 낭종은 여러 구획으로 나뉘고, 팽창하기보다 침윤하며 자란다.[52][11]
낭종이 매우 커도 증상이 없을 수도 있고, 아주 작아도 증상이 나타날 수 있다. 증상은 낭종 위치에 따라 다르다. 폐에 낭종이 있으면 기침, 호흡 곤란, 흉통이 나타날 수 있다.[12][13]
간에 낭종이 있으면 복통, 복부 압통, 복부 종괴, 간 비대, 황달, 발열, 아나필락시스 반응이 나타날 수 있다. 낭종이 터지면 아나필락시스 쇼크, 고열, 가려움증, 입술과 눈꺼풀 부종, 호흡 곤란, 천명음, 콧물이 발생할 수 있다.[14]
최종 숙주는 감염되어도 큰 피해를 입지 않는 경우가 많다. 하지만 기생충 때문에 비타민과 미네랄이 부족해질 수 있다.[15][16]
모든 ''Echinococcus'' 종의 잠복기는 수개월에서 수년, 심지어 수십 년까지 걸릴 수 있다.[17] 이는 낭종 위치와 성장 속도에 따라 달라진다.[23]
3. 2. 다방조충
Echinococcus영어 종 감염의 잠복기는 수개월에서 수년, 심지어 수십 년까지 걸릴 수 있다.[17] 이는 신체 내 낭종의 위치와 낭종의 성장 속도에 크게 달려 있다.[23] 무증상 잠복 기간은 성인의 경우 10~20년,[57] 소아의 경우 5년 이상 걸린다고 한다.환자의 98%가 간에 병소를 형성한다. 낭포가 작은 감염 초기에는 무증상이지만, 곧 간 비대를 일으켜 '''오른쪽 윗부분의 복통''', 담관을 폐색하여 황달을 나타내며 '''피부의 심한 가려움''', 복수를 유발하기도 한다. 다음으로 잘 침범되는 곳은 폐로, '''기침''', '''객혈''', '''흉통''', '''발열''' 등의 결핵 유사 증상을 일으킨다. 그 외에도 뇌, 뼈, 심장 등에 기생하여 심각한 증상을 일으킬 수 있다. 또한, 낭포가 체내에서 파열되어 포충이 퍼져 전이를 일으키는 경우도 종종 있으며, 내용물이 누출되면 아나필락시스 쇼크를 일으킨다.
3. 3. 공통 증상
인간에게서 포충증은 ''E. granulosus'', ''E. multilocularis'', ''E. oligarthrus'' 및 ''E. vogeli''에 의해 발생하며, 주로 간(75%), 폐(5-15%), 그리고 비장, 뇌, 심장, 신장 등 다른 기관(10-20%)에 영향을 미친다.[9][10]''E. granulosus''에 감염되어 낭포성 에키노코쿠스증이 발생하면, 몸 안에 천천히 자라는 덩어리(낭종)가 생긴다. 폐포성 및 다낭성 에키노코쿠스증에서도 낭종이 발견된다.[9][10]
낭포성 에키노코쿠스증의 낭종은 보통 투명한 액체로 채워져 있고, 둥글며, 하나의 구획으로 구성되어 있고, 대개 신체의 한 부위에만 생긴다. 반면, 폐포성 및 다낭성 에키노코쿠스증의 낭종은 여러 구획으로 나뉘고, 팽창하기보다는 주변 조직으로 침투하며 자라는 경향이 있다.[52][11]
낭종의 위치에 따라 증상이 없을 수도 있고, 낭종이 작더라도 증상이 나타날 수 있다. 폐에 낭종이 생기면 기침, 호흡 곤란, 흉통 등이 나타날 수 있다.[12][13]
간에 낭종이 생기면 복통, 복부 압통, 복부 종괴를 동반한 간 비대, 황달, 발열, 아나필락시스 반응 등이 나타날 수 있다. 낭종이 파열되면 아나필락시스 쇼크, 고열, 가려움증, 입술과 눈꺼풀 부종, 호흡 곤란, 천명음, 콧물 등이 발생할 수 있다.[14]
중간 숙주와 달리 최종 숙주는 감염으로 인해 큰 피해를 입지 않는 경우가 많다. 하지만 기생충이 많으면 숙주에게 비타민과 미네랄 부족이 생길 수 있다.[15][16]
''Echinococcus'' 종의 잠복기는 수개월에서 수년, 심지어 수십 년까지 걸릴 수 있다.[17] 이는 낭종의 위치와 성장 속도에 따라 달라진다.[23] 무증상 잠복기는 성인의 경우 10~20년[57], 소아의 경우 5년 이상 걸릴 수 있다.
환자의 98%는 간에 병변이 생긴다. 초기에는 증상이 없지만, 간 비대가 진행되면 오른쪽 윗배 통증, 담관 폐색으로 인한 황달, 심한 가려움증, 복수 등이 나타날 수 있다. 폐에 침범하면 기침, 객혈, 흉통, 발열 등 결핵과 비슷한 증상이 나타난다. 뇌, 뼈, 심장 등에 기생하면 심각한 증상이 나타날 수 있다. 낭포가 터지면 포충이 퍼져 전이를 일으키거나, 내용물이 새어 나와 아나필락시스 쇼크를 일으킬 수 있다. 이 기생충이 일으키는 증상은 대형 조충보다 더 심각하다.
4. 진단
포충증 진단에는 영상 기술, 조직 병리학, 핵산 검출 및 혈청학을 포함하는 여러 방법이 사용된다.
- 낭성 포충증 (단방성 포충증): 영상 검사가 주된 방법이며, ''에키노코쿠스 과립osus''에 특이적인 항원을 사용하는 혈청 검사(간접 혈구 응집 반응, ELISA, 면역 블롯 또는 라텍스 응집 반응)로 영상 검사 결과를 확인한다.
- 폐포성 포충증: 영상 진단 외에도, ''E. multilocularis'' 항원에 특이적인 혈청 검사(간접 혈구 응집 반응, ELISA, 면역 블롯 또는 라텍스 응집 반응)를 통해 영상 검사 결과를 확인한다. ''E. multilocularis''에 더 특이적인 항원을 사용할 수 있기 때문에 혈청 검사는 낭성 포충증보다 폐포성 포충증 진단에 더 유용하다.[23] PCR을 통한 ''E. multilocularis'' 감염 확인 또는 환자 조직 생검의 조직학적 검사도 진단 방법이다.[27]
- 다낭포충증: 현재 표준으로 간주되는 방법은 수술 중 또는 환자 사망 후 원충두를 분리하여 ''E. vogeli''와 ''E. oligarthrus''의 특징을 확인하는 것이므로, 영상 진단은 선호되는 방법이 아니다. 최근 연구에서는 PCR을 통해 환자의 조직에서 ''E. oligarthrus''와 ''E. vogeli''를 식별할 수 있음을 보여준다.[30] 다만, ''E. oligarthrus'' 또는 ''E. vogeli''에만 특이적인 PCR에 사용할 수 있는 유전자 염기 서열이 많지 않다는 단점이 있다.[23]
일본에서는 홋카이도 거주 또는 홋카이도 여행 경험이 있는 경우 문진을 통해 확인한다. (홋카이도에 서식하는 북방여우가 에키노콕스에 감염되었을 수 있기 때문). 이학적 소견으로는 관절에 골성 비대가 보일 수 있다.
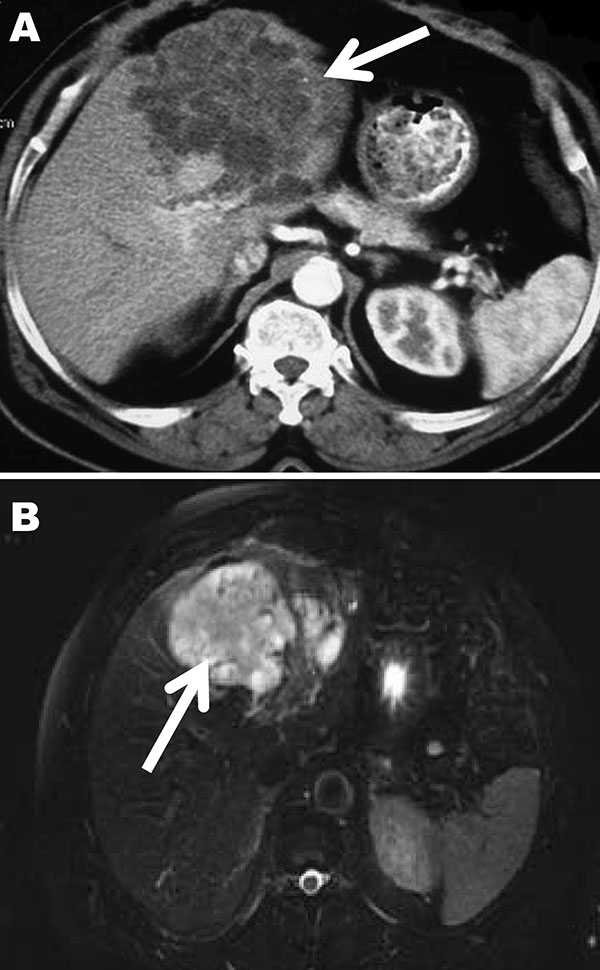
4. 1. 영상 검사
모든 유형의 포충증에 대한 공식적인 진단에는 영상 기술, 조직 병리학, 핵산 검출 및 혈청학을 포함하는 여러 방법이 사용된다.낭성 포충증(단방성 포충증) 진단의 경우, 주로 초음파 검사가 사용된다. 초음파 검사는 신체 장기의 낭종을 시각화할 수 있고[27], 저렴하며 비침습적이고 즉각적인 결과를 제공하기 때문이다.[28] 초음파 검사 외에도 자기 공명 영상(MRI)과 전산화 단층 촬영(CT) 스캔이 모두 사용될 수 있지만, 낭성 포충증을 진단할 때는 조직 내 액체 영역을 더 잘 시각화할 수 있기 때문에 CT 스캔보다 MRI를 선호하는 경우가 많다.[27][29] ''에키노코쿠스 과립osus''에 특이적인 항원을 사용하는 혈청 검사(간접 혈구 응집 반응, ELISA(효소 결합 면역 흡착 검사), 면역 블롯 또는 라텍스 응집 반응)는 영상 검사 결과를 확인하는 데 사용된다.

폐포성 포충증의 경우에도 초음파 검사가 가장 선호되는 영상 진단 기법이며, 전산화 단층 촬영(CT) 스캔으로 보완되는 경우가 많다. CT 스캔은 폐포성 포충증의 특징인 가장 많은 병변과 석회화를 감지할 수 있기 때문이다. 자기 공명 영상(MRI)도 초음파 검사와 함께 사용되지만, CT 스캔이 더 선호된다. 낭성 포충증과 마찬가지로, 영상 진단은 폐포성 포충증 진단의 주요 방법이며, 동일한 유형의 혈청 검사(''에키노코쿠스 다방포충'' 항원에 특이적)가 영상 검사 결과를 확인하는 데 사용된다. 혈청 검사는 ''E. multilocularis''에 더 특이적인 항원이 더 많이 사용 가능하므로 낭성 포충증보다 폐포성 포충증 진단에 더 유용하다.[23] 영상 진단 및 혈청 검사 외에도, 중합 효소 연쇄 반응(PCR)을 통한 ''E. multilocularis'' 감염 확인 또는 환자 조직 생검의 조직학적 검사는 폐포성 포충증을 진단하는 또 다른 방법이다.[27]
다낭포충증의 진단은 폐포성 포충증 및 낭성 포충증과 유사하게, 초음파 및 CT 스캔과 같은 영상 기술을 사용하여 환자의 몸 내부에 있는 다낭성 구조를 감지한다. 그러나 현재 표준으로 간주되는 방법은 수술 중 또는 환자 사망 후 원충두를 분리하고, 이 분리된 원충두에서 ''E. oligarthrus''와 ''E. vogeli''의 특징을 확인하는 것이기 때문에 영상 진단은 선호되는 방법이 아니다. 일부 최신 연구에서는 PCR을 통해 환자의 조직에서 ''E. oligarthrus''와 ''E. vogeli''를 식별할 수 있음을 보여준다.[30] PCR을 사용하는 유일한 단점은 ''E. oligarthrus'' 또는 ''E. vogeli''에만 특이적인 PCR에 사용할 수 있는 유전자 염기 서열이 많지 않다는 것이다.[23]
일본에서는 홋카이도 거주 또는 홋카이도 여행 경험이 있는 경우 문진을 통해 확인한다. (홋카이도에 서식하는 북방여우가 에키노콕스에 감염되었을 수 있기 때문). 이학적 소견으로는 관절에 골성 비대가 보일 수 있다.
다음은 진단에 사용되는 검사 방법들이다.
4. 2. 혈청 검사
ELISA법으로 혈청 내 에키노콕스 항체를 검출하며, 웨스턴 블롯법(WB)으로 항체 양성 여부를 확인한다. 사람 포충증에 대한 간접 혈구 응집 반응에서 양성이 나올 수 있다.[26]4. 3. 기타 검사
모든 유형의 포충증 진단에는 영상 기술, 조직 병리학, 핵산 검출 및 혈청학을 포함하는 여러 방법이 조합되어 사용된다.- 낭성 포충증 (단방성 포충증): 영상 검사가 주된 방법이며, ''에키노코쿠스 과립osus''에 특이적인 항원을 사용하는 혈청 검사(간접 혈구 응집 반응, ELISA, 면역 블롯 또는 라텍스 응집 반응)로 영상 검사 결과를 확인한다. 초음파 검사는 낭종을 시각화할 수 있고, 저렴하며, 비침습적이고 즉각적인 결과를 제공하므로 가장 많이 사용된다.[27][28] MRI와 CT 스캔도 사용 가능하지만, 낭성 포충증의 경우 조직 내 액체 영역을 더 잘 보여주는 MRI를 선호하는 경우가 많다.[27][29]
- 폐포성 포충증: 초음파 검사가 가장 선호되며, CT 스캔으로 보완하는 경우가 많다. CT 스캔은 폐포성 포충증의 특징인 병변과 석회화를 가장 잘 감지할 수 있기 때문이다. MRI도 초음파 검사와 함께 사용되지만, CT 스캔이 더 선호된다. 영상 진단 외에도, ''E. multilocularis'' 항원에 특이적인 혈청 검사(간접 혈구 응집 반응, ELISA, 면역 블롯 또는 라텍스 응집 반응)를 통해 영상 검사 결과를 확인한다. ''E. multilocularis''에 더 특이적인 항원을 사용할 수 있기 때문에 혈청 검사는 낭성 포충증보다 폐포성 포충증 진단에 더 유용하다.[23] PCR을 통한 ''E. multilocularis'' 감염 확인 또는 환자 조직 생검의 조직학적 검사도 진단 방법이다.[27]
- 다방포충증: 초음파 및 CT 스캔과 같은 영상 기술을 사용하여 환자 몸 안에 있는 다낭성 구조를 확인한다. 그러나 현재 표준으로 간주되는 방법은 수술 중 또는 환자 사망 후 원충두를 분리하여 ''E. vogeli''와 ''E. oligarthrus''의 특징을 확인하는 것이므로, 영상 진단은 선호되는 방법이 아니다. 최근 연구에서는 PCR을 통해 환자의 조직에서 ''E. oligarthrus''와 ''E. vogeli''를 식별할 수 있음을 보여준다.[30] 다만, ''E. oligarthrus'' 또는 ''E. vogeli''에만 특이적인 PCR에 사용할 수 있는 유전자 염기 서열이 많지 않다는 단점이 있다.[23]
5. 치료
포충증 치료에는 다양한 방법이 있다.
- 약물 치료: 알벤다졸은 프라지콴텔과 함께 사용하거나 단독으로 사용하여 작은 낭종(5cm 미만) 치료에 효과적이다.[35] 알벤다졸은 하루 두 번, 1~5개월 동안 복용하며, 메벤다졸을 3~6개월 동안 대신 사용하기도 한다. 하지만 약물 치료만으로는 낭종의 30% 정도만 제거된다.[36]
- '''경피적 치료 (PAIR)''': 수술이 어려운 경우나 수술을 원치 않는 환자, 재발 환자, 약물 치료에 반응이 없는 환자에게는 PAIR 시술을 고려할 수 있다.[23][35] PAIR는 낭종에 바늘을 찔러 넣어 흡인하고, 살충제를 주입한 후 다시 흡인하는 최소 침습적 치료법이다.[38] 시술 전후로 알벤다졸이나 메벤다졸을 복용해야 한다. 여러 연구에서 PAIR와 약물 치료가 수술보다 효과적이라는 결과가 보고되었다.[39]
폐포성 포충증의 경우, 낭종을 외과적으로 제거하고 최대 2년간 알벤다졸 또는 메벤다졸을 복용하는 화학 요법을 병행하는 것이 완전한 치료를 위한 유일한 방법이다.[36] 수술이 불가능한 경우에는 화학 요법만으로 치료하며, 장기간 약물 복용이 필요할 수 있다. 간 이식도 고려할 수 있지만, 재감염 위험이 높아 신중해야 한다.[23]
다낭포충증은 치료법이 명확하게 정립되지 않았지만, 화학 요법이 주로 권장된다. 알벤다졸이 선호되며, 장기간 치료 시 메벤다졸을 사용하기도 한다. 화학 요법이 효과가 없거나 병변이 매우 작은 경우에만 수술을 고려한다.[23]
포충증은 조기 진단과 치료가 중요하며, 방치하면 5년 후 생존율이 30%에 불과하다.[58]
일본에서는 1981년에 개발된 알벤다졸이 1994년부터 승인되어 사용되고 있다.
5. 1. 수술

현재 여러 치료 옵션이 제공되고 있다. 작고 단순한 낭종(5cm 미만)에는 알벤다졸을 프라지콴텔과 병용하거나 단독으로 사용하는 것이 유용하다.[35] 의료적 치료만으로는 낭종의 30%만 사라진다. 알벤다졸은 하루에 두 번, 1~5개월 동안 투여하는 것이 선호된다.[36] 알벤다졸 대신 메벤다졸을 최소 3~6개월 동안 사용할 수도 있다.
수술은 더 큰 간 낭종(10cm 초과), 파열 위험이 있는 낭종, 복잡한 낭종에 대해 권장된다. 복강경 접근법은 이환율과 사망률이 낮고 완치율이 높다.[37] 근치적 기술(전체 낭포주위절제술)은 수술 후 복부 감염, 담관 누공, 전반적인 이환율의 위험이 낮기 때문에 선호된다. 보존적 기술은 비전문 외과 의사에 의해 수술이 이루어지는 유행 지역에 적합하다.[35]
PAIR (천자-흡인-주입-재흡인)[23]은 수술의 대안이 되는 혁신적인 기술이다. PAIR는 낭종의 천자 및 바늘 흡인, 20~30분 동안 살충제 용액 주입, 낭종 재흡인 및 최종 관개의 세 단계로 구성된 최소 침습 절차이다. PAIR 시술을 받는 사람들은 일반적으로 시술 7일 전부터 시술 후 28일까지 알벤다졸 또는 메벤다졸을 복용한다.[38] 이는 수술 가능성이 없는 경우, 수술을 거부하는 환자, 수술 후 재발, 의료적 치료에 반응이 없는 경우에 권장된다.[23][35] PAIR와 약물 치료가 질병 재발, 이환율, 사망률 면에서 수술보다 더 효과적이라는 여러 연구 결과가 있다.[39]
현재 낭종의 배아층에 대한 경피적 열적 절제술(PTA)을 고주파 절제 장치를 통해 수행하는 새로운 치료법에 대한 연구가 진행 중이다. 이 치료법은 아직 비교적 새로운 것이며 널리 사용되기 전에 더 많은 테스트가 필요하다.[23]
5. 2. 약물 치료
알벤다졸 치료는 프라지콴텔과의 병용 여부와 관계없이 작고 단순한 낭종(5cm 미만)에 유용하다.[35] 의료적 치료만으로는 낭종의 30%만 사라진다. 알벤다졸은 하루에 두 번, 1~5개월 동안 투여하는 것이 선호된다.[36] 알벤다졸의 대안은 최소 3~6개월 동안 메벤다졸을 사용하는 것이다.수술은 더 큰 간 낭종(10cm 초과), 파열 위험이 있는 낭종 및/또는 복잡한 낭종에 대해 권장된다. 복강경 접근법은 최소한의 이환율과 사망률로 탁월한 완치율을 제공한다.[37] 근치적 기술(전체 낭포주위절제술)은 수술 후 복부 감염, 담관 누공 및 전반적인 이환율의 위험이 낮기 때문에 선호된다. 보존적 기술은 수술이 비전문 외과 의사에 의해 수행되는 유행 지역에 적합하다.[35]
PAIR (천자-흡인-주입-재흡인)[23]은 수술의 대안을 제시하는 혁신적인 기술이다. PAIR는 낭종의 천자 및 바늘 흡인, 20~30분 동안 살충제 용액 주입, 낭종 재흡인 및 최종 관개의 세 단계로 구성된 최소 침습 절차이다. PAIR를 받는 사람들은 일반적으로 시술 7일 전부터 시술 후 28일까지 알벤다졸 또는 메벤다졸을 복용한다.[38] 이는 수술 가능성이 없는 경우 및/또는 수술을 거부하는 환자, 수술 후 재발, 의료적 치료에 대한 반응이 없는 경우에 권장된다.[23][35] PAIR와 약물 치료가 질병 재발, 이환율 및 사망률 측면에서 수술보다 더 효과적이라는 것을 시사하는 여러 연구가 있다.[39]
현재 낭종의 배아층에 대한 경피적 열적 절제술(PTA)을 고주파 절제 장치를 통해 수행하는 새로운 치료법에 대한 연구가 진행 중이다. 이러한 형태의 치료법은 아직 비교적 새로운 것이며 널리 사용되기 전에 훨씬 더 많은 테스트가 필요하다.[23]
폐포성 포충증의 경우, 수술 후 최대 2년 동안의 화학 요법(알벤다졸 및/또는 메벤다졸 사용)과 함께 낭종을 외과적으로 제거하는 것이 질병을 완전히 치료할 수 있는 유일한 확실한 방법이다.[36] 그러나, 수술이 불가능한 경우에는 화학 요법만으로도 사용할 수 있다. 화학 요법만으로 치료할 때는 메벤다졸을 3회 투여하거나 알벤다졸을 2회 투여할 수 있다. 화학 요법만으로는 질병을 완전히 제거할 수 있다는 보장이 없으므로, 환자는 종종 장기간(예: 6개월 이상, 수년) 약물을 복용하게 된다. 수술 및 화학 요법 외에도, 간 이식은 폐포성 포충증 치료의 한 형태로 고려되고 있지만, 이식 후 종종 재감염으로 이어지기 때문에 매우 위험한 것으로 간주된다.[23]
다낭포충증은 세계 특정 지역에 국한되어 있고, 많은 사람들에게 잘 나타나지 않기 때문에, 낭성 및 폐포 포충증보다 치료법이 덜 명확하게 정의되어 있다. 이전 두 종류의 포충증의 경우 수술적 제거가 치료법이었지만, 다낭포충증의 경우 화학 요법이 권장되는 치료 접근법이다. 알벤다졸이 선호되는 약물이지만, 장기간 치료해야 하는 경우 메벤다졸도 사용할 수 있다. 화학 요법이 실패하거나 병변이 매우 작은 경우에만 수술을 권장한다.[23]
; 수술 요법
: 효과적인 치료법이지만, 임상 증상이 나타났을 때는 이미 제거할 수 없는 경우가 대부분이다. 또한 낭종의 위치와 환자의 상태에 따라 외과적 절제가 어려운 경우가 있다.
; 화학 요법
: 수술 요법이 어려운 경우에 시행된다. 본증에 대한 경구 투여 약물로는, 1981년에 알벤다졸이 개발되어 구미에서 사용되어 왔다. 일본에서도 1994년에 승인되어 사용이 가능하게 되었다.
치료의 유효성에 관해서는 질 높은 근거가 얻어지고 있다.
5. 3. 경피적 치료 (PAIR)
PAIR (천자-흡인-주입-재흡인)은 수술의 대안을 제시하는 혁신적인 기술이다. PAIR는 낭종의 천자 및 바늘 흡인, 20~30분 동안 살충제 용액 주입, 낭종 재흡인 및 최종 관개의 세 단계로 구성된 최소 침습 절차이다. PAIR 시술을 받는 사람들은 일반적으로 시술 7일 전부터 시술 후 28일까지 알벤다졸 또는 메벤다졸을 복용한다.[38] 이는 수술 가능성이 없는 경우 및/또는 수술을 거부하는 환자, 수술 후 재발, 의료적 치료에 대한 반응이 없는 경우에 권장된다.[23][35] PAIR와 약물 치료가 질병 재발, 이환율 및 사망률 측면에서 수술보다 더 효과적이라는 것을 시사하는 여러 연구가 있다.[39]6. 예방
포충증은 낭성 에키노코쿠스증(CE), 알베올 포충증, 다낭성 에키노코쿠스증으로 나뉘며, 각 질병의 예방 및 관리 전략은 조금씩 다르다.
낭성 에키노코쿠스증(CE) 예방 및 관리를 위해서는 질병의 주요 위험 요인과 전파 방식을 목표로 하는 다양한 전략이 사용된다. 예를 들어, 건강 교육 프로그램과 개선된 수질 위생은 낮은 교육 수준과 열악한 식수원을 개선하는 데 도움이 된다.[31]
알베올 포충증 예방 및 관리를 위한 전략은 대부분 낭성 포충증과 유사하다. 건강 교육 프로그램, 개선된 수자원 위생, 개선된 위생 관리, 숙주(특히 붉은 여우) 구충 등은 알베올 포충증 확산을 예방하고 통제하는 데 효과적이다. 그러나 ''E. granulosus''에 대한 백신이 있는 낭성 포충증과 달리, 현재 ''E. multilocularis''에 대한 개과 동물 또는 가축 백신은 없다.
다낭성 에키노코쿠스증을 통제하고 예방하는 방법은 거의 없다. 이는 다낭성 에키노코쿠스증이 중앙 및 남아메리카에 국한되어 있고, 인간이 ''E. oligarthrus''와 ''E. vogeli''의 우발적인 숙주가 되는 방식이 아직 완전히 이해되지 않기 때문일 수 있다.[23]
6. 1. 개인 위생
낭성 에키노코쿠스증(CE)을 예방하려면 위생 개선이 중요하다. 인간은 오염된 토양, 동물 분변, 동물 털을 만지면서 ''Echinococcus''의 알과 접촉할 수 있기 때문이다. 따라서 손 씻기 등 개인 위생 관리가 필요하다.[31] 자가 도축 후 사체 및 내장 처리가 어려운 지역에서는 개가 가축 내장에 쉽게 접근하여 기생충 주기를 완성하고 지역 사회를 감염 위험에 노출시킨다. 유구낭포가 있는 간과 폐를 30분 동안 끓이면 감염성 유충을 효과적으로 제거할 수 있다.[32]직접적인 대책으로는 손 씻기 권장, 오염 우려가 있는 음식은 잘 씻고 가열하는 것이 있으며, 감염된 최종 숙주와의 접촉을 피하는 것도 중요하다.[68]
6. 2. 환경 관리
낭성 에키노코쿠스증(CE)의 예방 및 관리를 위해 현재 여러 가지 전략이 사용되고 있다. 이러한 방법들은 대부분 질병의 주요 위험 요인과 전파 방식을 목표로 한다. 예를 들어, 낭성 에키노코쿠스증과 그 원인균에 초점을 맞춘 건강 교육 프로그램과 개선된 수질 위생은 낮은 교육 수준과 열악한 식수원을 개선하는 데 도움이 된다. 또한, 인간은 오염된 토양, 동물 분변, 동물 털을 만짐으로써 ''에키노코쿠스''의 알과 접촉하기 때문에 위생 개선 또한 다른 예방 전략이다.[31]유구낭포를 포함하는 간과 폐를 30분 동안 끓이면 감염성 유충을 죽일 수 있다.[32]
알베올 포충증의 예방 및 관리를 위한 여러 전략은 대부분 낭 포충증과 유사하다. 예를 들어, 건강 교육 프로그램, 개선된 수자원 위생, 개선된 위생 관리, 숙주(특히 붉은 여우)의 구충 등은 알베올 포충증의 확산을 예방하고 통제하는 데 효과적이다. 그러나 ''E. granulosus''에 대한 백신이 있는 낭 포충증과 달리, 현재 ''E. multilocularis''에 대한 개과 동물 또는 가축 백신은 없다.
다낭성 에키노코쿠스증을 통제하고 예방하는 방법은 거의 없다. 이는 다낭성 에키노코쿠스증이 중앙 및 남아메리카에 국한되어 있고, 인간이 ''E. oligarthrus''와 ''E. vogeli''의 우발적인 숙주가 되는 방식이 아직 완전히 이해되지 않기 때문일 수 있다.[23]
직접적인 대책은 "손 씻기 권장", "오염될 우려가 있는 음식은 잘 씻어 가열한다" 등이며, 배출된 충란을 경구 섭취할 가능성을 낮추는 효과를 기대할 수 있다. 또한, 감염 최종 숙주와의 접촉을 피하는 것도 중요하다.[68]
; 주거 환경
: 주요 감염원이 되는 여우나 들개를 인가 주변에 접근시키지 않기 위한 대책이 중요하며, 먹이가 되는 축산 폐기물, 수산 폐기물, 음식물 쓰레기 등의 적절한 보관·처리가 필수적이다.[56]
; 매개 동물
: 홋카이도의 일부 지역에서는 구충제 섞인 먹이를 살포하여 야생 여우로부터의 에키노코쿠스증 구충이 시작되고 있다. 과거에는 오염 지역 내 여우의 포획이나 쥐 구제가 실시되었으나 효과가 인정되지 않아 실패했다.[56]

6. 3. 홋카이도 등 유행 지역 방문 시 주의사항
다포자충은 위도가 높은 홋카이도(북위 38도 이북)에 서식하고 있으므로, 홋카이도 등 유행 지역 방문 시 주의가 필요하다. 매년 약 20명이 에키노코쿠스에 감염되지만, 보건 위생 지도와 개의 정기적인 구충으로 예방할 수 있다. 예방 방법으로는 생수를 마시지 않고, 발생지의 계곡물이나 우물물은 가열한 후 사용하며, 인가에 여우를 가까이하지 않으며, 산나물 등은 잘 씻거나 불에 익혀 먹는 것이 있다. 그러나 충란의 분포나 오염 상황이 불분명하여, 사람에게의 정확한 감염 경로 파악은 이루어지지 않고 있다.열에 약하며, 60°C에서 10분간 가열하면 사멸한다. 증상이 나타난 후의 치료는 곤란하기 때문에 선별 검사가 중요하며, 홋카이도에서는 널리 실시되고 있다.
6. 4. 한국의 특수 상황
한국에서는 포충증이 감염증법상 4류 감염증으로 지정되어 있지는 않지만, 일본에서는 4류 감염증으로 지정되어 있으며, 원인이 되는 다포자충은 위도가 높은 홋카이도(북위 38도 이북)에 서식하고 있다.일본에서는 매년 약 20명이 에키노코쿠스에 감염되고 있지만, 보건 위생 지도와 개의 정기적인 구충으로 예방할 수 있다. 다른 예방 방법으로는 생수를 마시지 않고, 발생지의 계곡물이나 우물물은 가열한 후 사용하며, 인가에 여우를 가까이하지 않으며, 산나물 등은 잘 씻거나 불에 익혀 먹는 것이 있다. 그러나, 충란의 분포나 오염 상황이 불분명하여, 사람에게의 정확한 감염 경로 파악은 이루어지지 않고 있다. 포충증은 열에 약하며, 60°C에서 10분간 가열하면 사멸한다. 증상이 나타난 후의 치료는 곤란하기 때문에 선별 검사가 중요하며, 홋카이도에서는 널리 실시되고 있다.
- 1998년 8월 아오모리현에서 식육용으로 도축된 돼지에서 감염이 확인되었지만, 주변의 야생 동물로부터 병원체는 검출되지 않았으며, 돼지의 감염원은 불분명하다. 히로사키 대학 의학부 연구팀 등에 의해 1990년부터 유행 감시가 이루어지고 있다.
- 1999년(헤이세이 11년) 11월부터 2006년(헤이세이 18년) 1월에 걸쳐, 네무로 반도에서 구충제가 들어간 북극여우용 먹이를 살포하여, 북극여우의 에키노코쿠스 감염률 데이터를 수집했다. 살포 시작부터 2006년(헤이세이 18년) 3월까지 포획한 북극여우의 감염률은, 구충제 함유 먹이를 살포한 지역에서 20%, 살포하지 않은 지역에서 62%였다.
- 2007년 야마가타현 요네자와 시영 도축장에 반입된 말에서 발견되었다.
- 2014년 아이치현에서 개 1마리의 감염이 보고되었지만, 감염 경로는 불분명하다.
- 2021년 국립 감염증 연구소는 아이치현의 지타 반도 내에서 정착했다는 견해를 제시했다.
7. 역학

매우 적은 수의 국가만이 ''E. granulosus''로부터 완전히 자유로운 것으로 여겨진다.[40] 감염률이 높은 지역은 종종 개가 감염된 동물의 장기를 섭취할 수 있는 농촌 지역이나 목초지와 일치한다.[41]
''E. multilocularis''는 주로 유럽 중부 및 유럽, 아시아, 북미 북부 지역을 포함한 북반구에서 발생한다.[42] 1980년대 말까지 유럽에서 ''E. multilocularis'' 풍토병 지역은 프랑스, 스위스, 독일, 오스트리아에만 존재하는 것으로 알려져 있었으나, 1990년대와 2000년대 초반 프랑스와 독일의 특정 지역에서 여우의 감염률이 높아지면서 분포가 변화했다.[43][44]
그 결과 스위스, 독일, 오스트리아와 네덜란드, 벨기에, 룩셈부르크, 폴란드, 체코, 슬로바키아, 이탈리아와 같은 주변 국가에서 여러 새로운 풍토병 지역이 발견되었다. 발트해 연안 국가 또한 풍토병 지역이라는 증거가 있다.[45][46]
폐포성 에키노코쿠스증은 흔한 질병은 아니지만, ''E. multilocularis''의 확산 능력으로 인해 앞으로 몇 년 안에 특정 국가에서 새롭게 나타나거나 재발하는 질병이 될 것으로 여겨진다.[47]
''Echinococcus''의 다른 종인 ''E. vogeli''와 ''E. oligarthrus''는 중남미 지역에 국한되어 있으며, 이들에 의한 감염(다낭성 에키노코쿠스증)은 가장 희귀한 형태이다.[48] 2010년 기준 약 1,200명의 사망자를 발생시켰으며(1990년 2,000명에서 감소), 발생률은 10만 명당 1명꼴이다. 전 세계 장애 보정 생존년수(DALY)은 최소 28만 5천 년 이상이며, 경제적 비용은 연간 1.94억달러로 추산된다.[59]
시베리아, 남아메리카, 지중해 지역, 중동, 중앙아시아, 아프리카, 일본 북부에 많이 발생하며,[59] 미국에서는 미시시피강 하류, 알래스카, 캐나다 북서부에서 발견된다. 위험 요인으로는 소, 양, 돼지, 사슴과의 접촉 또는 개, 늑대, 코요테의 배설물과의 접촉이 있다.
8. 관련 작품
- '''블랙 잭''': 테즈카 오사무의 만화 작품이다. 제117화 "딩고"에서는 농약으로 돌연변이를 일으킨 에키노코쿠스(작중 표기는 "에히노코쿠스")[73]가 농지 주변 주민들에게 기생하여 지역 단위로 사망에 이르게 한다.
- '''블랙 잭 (OVA)''': 위 만화를 원작으로 한 OVA 작품이다. 제4화 "거식, 두 명의 검은 의사"[74]에서는 제1차 세계 대전 중 생물 무기로 개조된 에키노코쿠스가 일반인에게 기생하여 거식증을 일으킨다.
- '''바쿠온!!''': 오리모토 미나마의 만화 작품이다. 제10화(애니메이션 제4화)에서 등장인물의 아버지가 홋카이도에서 키타키츠네에게 핥아진 후 에키노코쿠스에 감염된다.
- '''Dr. 코토 진료소''': 야마다 타카토시의 만화 작품이다. 제40화 "Dr. 코토, 세탁하다." ~ 제43화 "Dr. 코토, 반성하다."에서는 16년 전 홋카이도에서 기르던 개에게서 감염된 에키노코쿠스가 주민들에게 감염되는 사건이 발생한다.
- '''고향''': 야구치 타카오의 만화 작품이다. 주인공의 전 부인이 10년 전 홋카이도에서 개울물을 마신 후 에키노코쿠스에 감염되어 사망한다.
- '''여우''': 나카쿠라 시게로 감독의 영화 작품이다. 홋카이도에서 요양 중인 14세 소녀가 에키노코쿠스증에 걸려 손 쓸 수 없는 상태임을 알게 된다.
참조
[1]
논문
Global, regional, and national incidence, prevalence, and years lived with disability for 310 diseases and injuries, 1990–2015: a systematic analysis for the Global Burden of Disease Study 2015.
2016-10-08
[2]
웹사이트
Echinococcosis Fact sheet N°377
https://www.who.int/[...]
2014-03
[3]
웹사이트
Echinococcosis [Echinococcus granulosus] [Echinococcus multilocularis] [Echinococcus oligarthrus] [Echinococcus vogeli]
https://www.cdc.gov/[...]
2013-11-29
[4]
웹사이트
Echinococcosis Treatment Information
https://www.cdc.gov/[...]
2013-11-29
[5]
논문
Global, regional, and national life expectancy, all-cause mortality, and cause-specific mortality for 249 causes of death, 1980–2015: a systematic analysis for the Global Burden of Disease Study 2015.
2016-10-08
[6]
논문
Global and regional mortality from 235 causes of death for 20 age groups in 1990 and 2010: a systematic analysis for the Global Burden of Disease Study 2010.
https://zenodo.org/r[...]
2012-12-15
[7]
웹사이트
Neglected Tropical Diseases
https://www.cdc.gov/[...]
2011-06-06
[8]
논문
International consensus on terminology to be used in the field of echinococcoses
[9]
웹사이트
CDC - Echinococcosis - Biology
https://www.cdc.gov/[...]
2019-07-16
[10]
웹사이트
Echinococcosis - an overview | ScienceDirect Topics
https://www.scienced[...]
[11]
논문
The Pathology of Echinococcosis and the Current Echinococcosis Problem in Western Turkey
http://journals.tubi[...]
[12]
논문
Biological, Epidemiological, and Clinical Aspects of Echinococcosis, a Zoonosis of Increasing Concern - PMC
[13]
웹사이트
Echinococcosis
https://www.who.int/[...]
[14]
논문
Anaphylactic shock after traumatic rupture of a splenic echinococcal cyst
1992-02
[15]
웹사이트
Echinococcus
http://parasite.org.[...]
[16]
서적
The Rasputin Effect: When Commensals and Symbionts Become Parasitic
[17]
논문
Infectious diseases: echinococcosis (hydatid disease)
2001-08
[18]
논문
History of Human Parasitology - PMC
[19]
논문
"''Echinococcus multilocularis'': an Emerging Pathogen in Hungary and Central Eastern Europe"
[20]
웹사이트
Echinococcosis (Dog Tapeworm Infection) - Infections
https://www.msdmanua[...]
[21]
서적
Mandell, Douglas, and Bennett's Principles and Practice of Infectious Diseases
Elsevier
[22]
웹사이트
Echinococcosis
http://www.dpd.cdc.g[...]
CDC
2019-04-17
[23]
논문
Biological, epidemiological, and clinical aspects of echinococcosis, a zoonosis of increasing concern
2004-01
[24]
웹사이트
"''Echinococcus granulosus''"
http://www.phac-aspc[...]
Public Healthy Agency of Canada
2001
[25]
논문
Cystic echinococcosis in a domestic cat (''Felis catus'') in Italy
[26]
논문
Worldwide literature on epidemiology of human alveolar echinococcosis: a systematic review of research published in the twenty-first century
https://doi.org/10.1[...]
2019-10-01
[27]
논문
Expert consensus for the diagnosis and treatment of cystic and alveolar echinococcosis in humans
2010-04
[28]
논문
Performance characteristics and quality control of community based ultrasound surveys for cystic and alveolar echinococcosis
2003-02
[29]
논문
Hydatid cyst {{!}} Radiology Case {{!}} Radiopaedia.org
https://radiopaedia.[...]
[30]
논문
"''Echinococcus vogeli'' infection in a hunter, French Guiana"
2009-12
[31]
논문
Immunity and vaccine control of Echinococcus granulosus infection in animal intermediate hosts
https://pubmed.ncbi.[...]
2004-06-05
[32]
논문
Boiling sheep liver or lung for 30 minutes is necessary and sufficient to kill ''Echinococcus granulosus'' protoscoleces in hydatid cysts
[33]
논문
Prevention and control of cystic echinococcosis
https://usir.salford[...]
2007-06
[34]
논문
Evaluation of ''Echinococcus multilocularis'' tetraspanins as vaccine candidates against primary alveolar echinococcosis
2009-12
[35]
논문
A review of the diagnosis and management of liver hydatid cyst
2022-01
[36]
웹사이트
The Medical Letter (Drugs for Parasitic Infections)
http://www.dpd.cdc.g[...]
DPDx, CDC
2009-07-20
[37]
논문
Spillage-free laparoscopic management of hepatic hydatid disease using the hydatid trocar canula
2014-07
[38]
웹사이트
PAIR: Puncture, Aspiration, Injection, Re-aspiration An option for the treatment of cystic echinococcosis
https://www.who.int/[...]
2022-07-05
[39]
논문
First successful puncture, aspiration, injection, and re-aspiration of hydatid cyst in the liver presenting with anaphylactic shock in Korea
2009-10
[40]
논문
Global socioeconomic impact of cystic echinococcosis
2006-02
[41]
논문
Review on Epidemiology and Public Health Significance of Hydatidosis - PMC
[42]
논문
"Echinococcus multilocularis'' in North America: the great unknown"
null
[43]
웹사이트
Parasites and Health: Echinococcosis
http://www.dpd.cdc.g[...]
CDC
[44]
논문
Echinococcus spp. Tapeworms in North America - PMC
[45]
논문
Serological Evidence of Exposure to Globally Relevant Zoonotic Parasites in the Estonian Population
[46]
논문
Echinococcus infections in the Baltic region
[47]
논문
Echinococcosis: Advances in the 21st Century - PMC
[48]
서적
Markell and Voge's Medical Parasitology
Elsevier Health Sciences
2006-01
[49]
논문
Probable hepatic capillariosis and hydatidosis in an adolescent from the late Roman period buried in Amiens (France)
[50]
웹사이트
tapeworms: Topics by Science.gov
https://www.science.[...]
2022-07-05
[51]
논문
A History of the Ecological Sciences, Part 30: Invertebrate Zoology and Parasitology During the 1700s
http://doi.wiley.com[...]
2008-10-05
[52]
논문
Emergence of polycystic neotropical echinococcosis
2008-02
[53]
논문
Echinococcosis Of Bone
http://jbjs.org/cont[...]
1945-07
[54]
웹사이트
Echinococcosis
http://www.stanford.[...]
2006
[55]
뉴스
Dogs Were a Prehistoric Woman's Best Friend, Too
http://news.discover[...]
2014-07-17
[56]
논문
今野兼次郎:日本国内におけるエキノコックス症 その対策と問題点
https://doi.org/10.2[...]
2001
[57]
간행물
多包虫症(エキノコックス症)の予防に向けて 生態系と危機管理の視点から
https://doi.org/10.1[...]
2002
[58]
웹사이트
エキノコックス症
http://www.bayer-pet[...]
バイエル薬品株式会社 動物用薬品事業部
[59]
논문
Expert consensus for the diagnosis and treatment of cystic and alveolar echinococcosis in humans
null
[60]
간행물
エキノコックス症:青森県で感染ブタが検出される
http://idsc.nih.go.j[...]
国立感染症研究所
[61]
간행물
青森県のと畜場に搬入された豚から検出されたエキノコックス(多包虫)について IASR Vol.30 No.9 (No.355) September 2009
http://idsc.nih.go.j[...]
[62]
문서
野生哺乳類におけるエキノコックス流行の現状と対策
[63]
간행물
山形県でと畜された軽種馬の肝臓から高率に検出されたエキノコックス(多包虫)
http://idsc.nih.go.j[...]
国立感染症研究所
2010-07
[64]
간행물
本州以南第2例目の届出となった犬のエキノコックス(多包条虫)症 -愛知県
http://www.nih.go.jp[...]
国立感染症研究所
2014-07
[65]
웹사이트
寄生虫「エキノコックス」、愛知県で犬の感染相次ぐ 人体に入ると重い肝機能障害
https://www.fukuishi[...]
2021-10-13
[66]
간행물
感染症の話2001年第48週 エキノコックス症
http://idsc.nih.go.j[...]
国立感染症研究所 感染症情報センター
[67]
간행물
礼文島エキノコックス症の自然史
http://idsc.nih.go.j[...]
国立感染症研究所
[68]
간행물
北海道における多包性エキノコックス症
http://idsc.nih.go.j[...]
国立感染症研究所 感染症情報センター
[69]
간행물
最近秋田県においてエキノコックス症と判断された症例について
http://idsc.nih.go.j[...]
国立感染症研究所
[70]
간행물
愛知県知多半島の犬におけるエキノコックス(多包条虫)感染事例について(情報提供)
https://www.mhlw.go.[...]
厚生労働省健康局結核感染症課
2018-03-28
[71]
웹사이트
愛知県内でエキノコックス陽性犬が発見された地域
https://www.pref.aic[...]
愛知県衛生研究所 生物学部 医動物研究室
[72]
웹사이트
感染症法に基づく医師及び獣医師の届出について
https://www.mhlw.go.[...]
厚生労働省
[73]
웹사이트
【117】 ディンゴ
https://www.akitasho[...]
秋田書店
2022-11-14
[74]
웹사이트
ブラック・ジャック カルテIV 拒食、ふたりの黒い医者
https://tezukaosamu.[...]
手塚プロダクション
2024-10-06
본 사이트는 AI가 위키백과와 뉴스 기사,정부 간행물,학술 논문등을 바탕으로 정보를 가공하여 제공하는 백과사전형 서비스입니다.
모든 문서는 AI에 의해 자동 생성되며, CC BY-SA 4.0 라이선스에 따라 이용할 수 있습니다.
하지만, 위키백과나 뉴스 기사 자체에 오류, 부정확한 정보, 또는 가짜 뉴스가 포함될 수 있으며, AI는 이러한 내용을 완벽하게 걸러내지 못할 수 있습니다.
따라서 제공되는 정보에 일부 오류나 편향이 있을 수 있으므로, 중요한 정보는 반드시 다른 출처를 통해 교차 검증하시기 바랍니다.
문의하기 : help@durumis.com
