난소 낭종
"오늘의AI위키"의 AI를 통해 더욱 풍부하고 폭넓은 지식 경험을 누리세요.
1. 개요
난소 낭종은 난소에 액체로 채워진 주머니가 생기는 질환으로, 다양한 종류가 있으며 대부분은 양성이다. 기능성 낭종은 생리 주기의 정상적인 과정에서 발생하며, 난포 낭종, 황체 낭종, 난포막 황체 낭종 등이 있다. 비기능성 낭종으로는 다낭성 난소 증후군, 자궁내막증, 기형종, 낭선종 등이 있다. 난소 낭종은 복통, 자궁 출혈, 복부 팽만감 등의 증상을 유발할 수 있으며, 초음파, CT, MRI 등을 통해 진단한다. 치료는 경과 관찰, 약물 치료, 수술 등이 있으며, 낭종의 크기, 증상, 암 위험도 등을 고려하여 결정한다.
더 읽어볼만한 페이지
- 산부인과 질환 - 무월경
무월경은 가임기 여성에게 정상적인 월경이 없는 상태로, 16세까지 월경이 없거나 14세에 이차 성징이 없는 원발성 무월경과 과거 월경을 경험했던 여성에게 3개월 이상 월경이 없는 속발성 무월경으로 나뉘며, 진단은 임신 여부 확인과 호르몬 수치 측정 등으로, 치료는 원인 질환에 따라 호르몬 요법 등으로 이루어진다. - 산부인과 질환 - 성교통
성교통은 성관계 시 발생하는 지속적 또는 반복적인 생식기 통증으로, 다양한 원인에 따라 진단 및 치료 방법이 달라지며, DSM-5에서는 생식 골반 통증/삽입 장애의 하위 개념으로 분류된다.
| 난소 낭종 | |
|---|---|
| 개요 | |
| 질병 분야 | 부인과 |
| 증상 | 없음, 복부 팽만, 하복부 통증, 허리 통증 |
| 합병증 | 파열, 난소 꼬임 |
| 발병 | 불명 |
| 지속 기간 | 불명 |
| 종류 | 난포 낭종 황체 낭종 자궁내막증으로 인한 낭종 기형종 낭선종 난소암 |
| 원인 | 불명 |
| 위험 요인 | 불명 |
| 진단 | 초음파 |
| 감별 진단 | 불명 |
| 예방 | 호르몬 피임 |
| 치료 | 보존적 관리 통증 완화제 수술 |
| 약물 | 불명 |
| 예후 | 일반적으로 양호 |
| 빈도 | 폐경 전 여성의 8%가 증상 경험 |
| 상세 정보 | |
| 관련 질환 | 다낭성 난소 증후군 자궁내막증 |
2. 종류
난소 낭종에는 여러 종류가 있으며, 일부는 정상적이고 대부분은 양성(비암성)이다.[11] 난소 내에 액체나 지방 등이 고이는 질병이다.[41] 사람에게는 부인과학의 대상이 된다.
수의학적으로는 특히 기능성 낭종으로 분류되는 것이 중요하다. 소, 돼지에서 주요한 난소 질환이며, 말, 양, 염소에도 발생한다. 난포 낭종과 황체 낭종으로 구분된다. 증상으로 무발정 또는 수정광을 나타낸다.
| 난포 낭종 | 낭종성 황체 | |
|---|---|---|
| 배란 | 없음 | 있음 |
| 촉진 | 돌기 없음 | 돌기 있음 |
2. 1. 기능성 낭종
기능성 낭종은 생리 주기의 정상적인 부분으로 형성된다. 기능성 낭종에는 여러 종류가 있다.- 난포 낭종은 가장 흔한 유형의 난소 낭종이다.[11] 월경을 하는 여성의 경우, 난자를 포함하는 난소 난포가 정상적으로 배란 중에 난자를 배출한다.[11] 만약 난자를 배출하지 못하면 지름이 2.5cm 이상인 난포 낭종이 생길 수 있다.[17] 파열된 난포 낭종은 통증을 유발할 수 있다.[11]
- 황체 낭종은 배란 후, 황체(난자가 배출된 후 난소 난포의 잔여물)로부터 형성되는 낭종이다.[11] 황체 낭종은 오른쪽에 나타날 가능성이 두 배 더 높다.[11] 일반적으로 생리 주기의 마지막 주 동안 해결된다.[11] 3cm가 넘는 황체는 비정상적이다.[17][6]
- 난포막 황체 낭종은 발달 중인 난모세포를 둘러싼 세포의 난포막 내에서 발생한다. 과도한 hCG의 영향으로 난포막 세포가 증식하여 낭포성이 될 수 있다. 이것은 일반적으로 양쪽 난소에 나타난다.[17]
소, 돼지에서 주요한 난소 질환이며, 말, 양, 염소에도 발생한다. 난포 낭종과 황체 낭종으로 구분된다. 증상으로 무발정 또는 수정광을 나타낸다.
| 난포 낭종 | 낭종성 황체 | |
|---|---|---|
| 배란 | 없음 | 있음 |
| 촉진 | 돌기 없음 | 돌기 있음 |
난포 낭종은 생리 과정과 관련된 것으로, 난포가 배란되지 않고 장기간(2주 이상, 대부분 수개월 이상) 존속하며, 질적으로 변성된 이상 난포이다. 한쪽 난소에만 생기는 경우와 양쪽 난소에 모두 생기는 경우가 있다. 소의 경우 농후 사료를 많이 먹이는 축사나, 산유량이 많은 젖소, 비육우에서 많이 발생하며, 직접적인 원인으로는 FSH의 과다 분비, LH의 분비 저하에 의한 것으로 여겨졌으나, 최근에는 FSH, LH 양쪽의 분비 기능 저하가 원인으로 지적되기 시작했다. 직경 25mm 이상의 난포가 존재하면 이 질병으로 간주할 수 있다. 황체 낭종, 낭종성 황체, 과립막 세포종과의 감별이 필요하다. 치료에는 hCG의 투여를 실시한다.
낭종성 황체는 난포가 배란되지 않고, 그 벽의 일부 또는 전체가 황체화되어 중심부의 강에 내용액을 저장하며 오래 지속되는 것이다. 소의 경우 원인으로는 LH(황체형성 호르몬) 분비 부족이 생각되며, 난포 낭종에서 이행되는 경우가 많다. 직장 검사로는 정상 황체, 난포 낭종과의 감별이 어려우므로, 초음파 검사, 혈액 또는 유즙의 프로게스테론 농도 측정을 실시한다(프로게스테론 농도 1.0ng/ml 이상에서 본 질환을 의심). 치료에는 PGF2α, 또는 그 유사 물질의 투여를 실시한다.
2. 2. 비기능성 낭종
- 많은 낭종을 가진 난소는 정상적인 여성에게서 발견될 수 있으며, 다낭성 난소 증후군의 상황에서도 발견될 수 있다.
- 자궁내막증에 의해 발생한 낭종은 초콜릿 낭종이라고 알려져 있다.[9]
- 출혈성 난소 낭종
- 기형종 – 특히 30세 미만 여성에게서 가장 흔한 비기능성 난소 낭종[9]으로, 다양한 형태를 가진 양성(비암성)이다.[12] 보통 초음파 검사만으로 진단할 수 있다.[12] 크기, 성장 속도(보통 느림) 및 여성의 나이에 따라 수술적 제거 또는 경과 관찰을 포함한 치료가 이루어질 수 있다.[12] 성숙 낭성 기형종이라고도 한다.[9]
- 난소 장액성 낭선종 – 30세에서 40세 사이의 여성에게서 더 흔하게 나타난다.[9]
- 난소 점액성 낭선종 – 일반적으로 하나만 존재하지만, 지름이 50cm를 넘는 매우 큰 크기로 성장할 수 있다.[9]
- 부난소 낭종
- 낭성 선유종
- 경계성 종양 낭종
- --

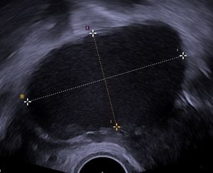
질식 초음파 검사로 촬영한 67 x 40 mm 크기의 자궁내막종으로, 다소 과립상의 내용물을 보입니다. - 난소에 생긴 자궁내막증으로 인한 것이다.
- 선종 중에서도 상피의 유두상 증식이 적은 것은 영상 진단상 "낭종"으로 파악된다.
3. 증상
난소 낭종은 다양한 증상을 유발할 수 있으며, 증상이 전혀 나타나지 않을 수도 있다.[42] 일반적인 증상은 다음과 같다.
- 복통: 복부나 골반 내 둔하고 욱신거리는 통증이 나타날 수 있으며, 특히 성관계 시 통증이 심해질 수 있다.
- 자궁 출혈: 불규칙한 월경, 비정상적인 자궁 출혈, 월경 전후 통증, 점상 출혈 등이 나타날 수 있다.
- 복부 팽만감, 묵직함, 압박감, 부기 또는 복부 팽만
- 난소 낭종 파열 시 아랫배 한쪽에 급성 통증 발생
- 배뇨 및 배변 장애: 큰 낭종은 주변 장기를 압박하여 배뇨 곤란, 빈뇨, 변비 등을 유발할 수 있다.[4]
- 피로, 두통, 메스꺼움, 구토, 체중 증가 등의 전신 증상

낭종의 원인에 따라 추가적인 증상이 나타날 수 있다.[17]
- 다낭성 난소 증후군(PCOS) 동반 시: 안면 털 또는 체모 증가, 여드름, 비만, 불임 등이 나타날 수 있다.
- 자궁내막증 동반 시: 월경 과다, 성교통 등이 나타날 수 있다.
PCOS와 관련 없는 낭종이 생식력에 미치는 영향은 명확하지 않다.[5]
증상이 없는 낭종은 다른 질환 검사 중 우연히 발견되기도 한다.[6]
3. 1. 합병증
파열된 난소 낭포는 보통 스스로 제어되며 상황과 진통제를 주시해야 한다. 주된 증상은 복통이지만 증상이 없을 수도 있다. 통증은 수 일에서 수 주에 이를 수 있다.[43] 커다란 난소 낭종이 파열되면 복강내출혈이 발생할 수 있으며, 일부의 경우 쇼크가 발생하기도 한다.난소 낭종은 난소 염전의 위험을 증가시키는데, 4 센티미터 이상의 낭종은 대략 17%의 위험과 관련된다. 염전은 혈류를 방해하여 경색을 일으킬 수 있다.[44]
가장 흔한 합병증은 낭종 파열이며, 이로 인해 때때로 내부 출혈("출혈성 낭종")과 난소 꼬임이 발생한다.[4] 낭종 표면이 파열되면 내용물이 새어 나올 수 있으며, 이를 ''낭종 파열''이라고 한다. 주요 증상은 복통이며, 며칠에서 몇 주까지 지속될 수 있지만 무증상일 수도 있다.[7]
난소 낭종 파열은 대개 자연적으로 치유되며, 경과를 관찰하고 며칠 동안 진통제를 복용하는 것만으로 치료가 가능하다.[4] 큰 난소 낭종이 파열되면 복강 내 출혈이 발생할 수 있다.[4] 드물게, 출혈량이 많아 저혈량 쇼크가 발생할 수 있으며, 이는 수술이 필요한 응급 상황일 수 있다.[4][8] 하지만 일반적으로 내부 출혈은 미미하며 별다른 처치를 필요로 하지 않는다.[4]
난소 꼬임은 응급 수술이 필요한 매우 고통스러운 의학적 상태이다.[11] 이는 혈류를 차단하는 방식으로 꼬인 유경 난소 낭종에 의해 발생할 수 있다.[11] 생식 연령 여성에게서 가장 흔하게 나타나지만, 어린 소녀들(초경 전)과 폐경기 여성에게서도 발생할 수 있다.[9] 난소 꼬임은 임신 중, 특히 임신 3개월과 4개월 사이에 태아 성장을 수용하기 위해 내부 해부학이 변화하면서 더 발생하기 쉽다.[4] 진단은 임상 검사와 초음파 영상 검사에 의존한다.[4]
4. 원인 및 위험 요인
위험 요인으로는 임신 여부(가임기 여성에게 더 흔함)와 불규칙한 월경 주기가 있다.[13] 복합 호르몬 피임법의 사용은 위험을 줄일 수 있으며, 특히 고용량의 약물에서 효과가 있다.[13] 그러나 이미 존재하는 낭종을 치료하지는 않는다.[2]
어린 갑상선기능저하증 환자의 약 75%에서 다낭성 난소가 나타나며, 큰 난소 낭종과 높은 난소 종양 표지는 반 와이크-그룸바흐 증후군의 증상 중 하나이다.[18] 소아 및 청소년의 CA-125 표지는 악성 종양이 없어도 자주 상승할 수 있으므로 보존적 치료를 고려해야 한다.
다낭성 난소 증후군은 황체형성 호르몬 대 난포 자극 호르몬의 비율이 높아져 양쪽 난소에 여러 개의 작은 낭종이 생기는 질환으로, 일반적으로 각 난소에 25개 이상의 낭종이 있거나 난소 부피가 10ml 이상이다.[19]
불임 치료의 결과로 HCG 수치가 상승하여 더 큰 양측성 낭종이 발생할 수 있으며, 이는 난포 유도를 위해 클로미펜을 사용하는 경우에도 나타날 수 있으며, 극심한 경우에는 난소 과자극 증후군이라는 질환으로 이어진다.[20] 특정 악성 종양은 또한 HCG 증가로 인해 클로미펜이 난소에 미치는 영향을 모방할 수 있으며, 특히 임신성 영양막 질환이 해당된다. 난소 과자극은 완전 포상기태 임신보다 침윤성 기태와 융모암에서 더 자주 발생한다.[21]
난포가 배란되지 않고 장기간(2주 이상, 대부분 수개월 이상) 존속하며, 질적으로 변성된 이상 난포이며, 한쪽 난소에만 생기는 경우와 양쪽 난소에 모두 생기는 경우가 있다. 소의 경우 농후 사료를 많이 먹이는 축사나, 산유량이 많은 젖소, 비육우에서 많이 발생하며, 직접적인 원인으로는 FSH의 과다 분비, LH의 분비 저하에 의한 것으로 여겨졌으나, 최근에는 FSH, LH 양쪽의 분비 기능 저하가 원인으로 지적되기 시작했다. 직경 25mm 이상의 난포가 존재하면 이 질병으로 간주할 수 있다. 황체 낭종, 낭종성 황체, 과립막 세포종과의 감별이 필요하다. 치료에는 hCG의 투여를 실시한다.
난포가 배란되지 않고, 그 벽의 일부 또는 전체가 황체화되어 중심부의 강에 내용액을 저장하며 오래 지속되는 것. 소의 경우 원인으로는 LH(황체형성 호르몬) 분비 부족이 생각되며, 난포 낭종에서 이행되는 경우가 많다. 직장 검사로는 정상 황체, 난포 낭종과의 감별이 어려우므로, 초음파 검사, 혈액 또는 유즙의 프로게스테론 농도 측정을 실시한다(프로게스테론 농도 이상에서 본 질환을 의심). 치료에는 PGF2α 또는 그 유사 물질의 투여를 실시한다.
5. 진단
난소 낭종은 보통 초음파, CT 촬영, MRI 중 하나를 통해 진단한다.[13] 초음파는 가장 중요한 영상 기법인데, CT 촬영에서 이상 소견이 발견되더라도 초음파에서는 정상으로 나타나는 경우가 있기 때문이다.[4][6] 다른 영상 기법이 필요한 경우, MRI가 CT 촬영보다 더 신뢰할 수 있다.[4] 경험이 풍부한 초음파 검사자는 대개 양성 난소 낭종을 쉽게 식별할 수 있으며, 다른 접근 방식에 필적하는 정확도를 보이기도 한다.[4]

thumb
가임기 여성에서 우연히 발견된 단순 낭종은 5cm까지는 추적 영상 검사가 필요하지 않다. 이는 보통 정상적인 난포이기 때문이다. 폐경기 전 여성의 경우 5~7cm의 단순 낭종은 매년 추적 관찰해야 한다. 7cm보다 큰 단순 낭종은 MRI 또는 수술 평가가 필요하다. 낭종이 크기 때문에 초음파만으로는 신뢰성 있게 평가할 수 없기 때문이다. 이 크기와 깊이에서는 초음파 빔의 투과력이 제한되어 후벽 연조직의 결절이나 두꺼워진 중격을 확인하기 어려울 수 있다. 황체는 일반적으로 두꺼운 벽과 치상돌기가 있는 내부 경계를 가진 낭종으로 나타나는 우성 배란 난포인데, 직경이 3cm 미만이면 추적 관찰이 필요하지 않다.[6] 폐경기 후 여성의 경우, 1cm보다 크고 7cm 미만인 단순 낭종은 매년 추적 관찰이 필요하며, 7cm보다 큰 낭종은 가임기 여성과 유사하게 MRI 또는 수술 평가가 필요하다.[15]
우연히 발견된 기형종은 초음파에서 병적 징후인 에코성 지방으로 진단되며, 여성의 나이에 관계없이 수술 제거 또는 매년 추적 관찰이 권장된다. 복막 포함 낭종은 쭈글쭈글한 종이 모양을 보이며 인접 장기의 윤곽을 따르는 경향이 있으며, 추적 관찰은 임상 병력을 기준으로 한다. 수반증, 즉 나팔관 확장증은 무에코성으로 인해 난소 낭종으로 오인될 수 있는데, 이에 대한 추적 관찰 역시 임상적 증상을 기준으로 한다.[15]
3mm 미만의 얇은 중격을 가진 다방성 낭종의 경우, 수술적 평가가 권장된다. 다방성 낭종의 존재는 신생물을 시사하지만, 얇은 중격은 신생물이 양성임을 의미한다. 두꺼워진 중격, 결절, 컬러 도플러에서 혈관 흐름, 또는 여러 초음파 검사에서 성장하는 경우에는 암에 대한 우려 때문에 수술적 제거를 고려할 수 있다.[15] 어린 갑상선기능저하증 환자의 약 75%에서 다낭성 난소가 나타나며, 큰 난소 낭종과 높은 난소 종양 표지는 반 와이크-그룸바흐 증후군의 증상 중 하나이다.[18] 소아 및 청소년의 CA-125 표지는 악성 종양이 없어도 자주 상승할 수 있으므로 보존적 치료를 고려해야 한다.
다낭성 난소 증후군은 황체형성 호르몬 대 난포 자극 호르몬의 비율이 높아져 양쪽 난소에 여러 개의 작은 낭종이 생기는 질환으로, 일반적으로 각 난소에 25개 이상의 낭종이 있거나 난소 부피가 10mL 이상이다.[19] 불임 치료의 결과로 HCG 수치가 상승하여 더 큰 양측성 낭종이 발생할 수 있으며, 이는 난포 유도를 위해 클로미펜을 사용하는 경우에도 나타날 수 있으며, 극심한 경우에는 난소 과자극 증후군이라는 질환으로 이어진다.[20] 특정 악성 종양은 또한 HCG 증가로 인해 클로미펜이 난소에 미치는 영향을 모방할 수 있으며, 특히 임신성 영양막 질환이 해당된다. 난소 과자극은 완전 포상기태 임신보다 침윤성 기태와 융모암에서 더 자주 발생한다.[21]
소의 경우 난포 낭종은 농후 사료를 많이 먹이는 축사나, 산유량이 많은 젖소, 비육우에서 많이 발생한다. 직접적인 원인으로는 FSH의 과다 분비, LH의 분비 저하에 의한 것으로 여겨졌으나, 최근에는 FSH, LH 양쪽의 분비 기능 저하가 원인으로 지적되기 시작했다. 직경 25mm 이상의 난포가 존재하면 이 질병으로 간주할 수 있다. 황체 낭종, 낭종성 황체, 과립막 세포종과의 감별이 필요하다. 치료에는 hCG의 투여를 실시한다. 황체 낭종은 소에서 LH(황체형성 호르몬) 분비 부족이 원인으로 생각되며, 난포 낭종에서 이행되는 경우가 많다. 직장 검사로는 정상 황체, 난포 낭종과의 감별이 어려우므로, 초음파 검사, 혈액 또는 유즙의 프로게스테론 농도 측정을 실시한다(프로게스테론 농도 1.0ng/ml 이상에서 본 질환을 의심). 치료에는 PGF2α, 또는 그 유사 물질의 투여를 실시한다.
5. 1. 암 위험도 평가
난소 낭종이 난소암으로 발전할 위험성을 평가하는 시스템에는 RMI(악성 지수 위험도), LR2, SR(단순 룰) 등이 있다.[45] 이러한 시스템의 민감도와 특이도는 다음과 같다:[16]| 평가 시스템 | 폐경 전 | 폐경 후 | ||
|---|---|---|---|---|
| 민감도 | 특이도 | 민감도 | 특이도 | |
| RMI I | 44% | 95% | 79% | 90% |
| LR2 | 85% | 91% | 94% | 70% |
| SR | 93% | 83% | 93% | 76% |
대부분의 난소 낭종은 악성이 아니지만, 일부는 암으로 발전할 수 있다.[11] 낭종이 크거나, 다방성이거나, 낭종 내에 유두(울퉁불퉁한) 돌출부나 고형 부위와 같은 복잡한 내부 특징을 가지고 있다면 암일 가능성이 더 높다.[12]
악성 난소암의 위험을 추정하는 방법 중 하나는 '악성 위험 지수'(RMI)이다.[12][22] RMI 점수가 200 이상인 여성은 난소암 수술 경험이 있는 센터로 의뢰하는 것이 좋다.[23] RMI는 다음과 같이 계산된다:[23]
:RMI = 초음파 점수 × 폐경 점수 × CA-125 수치(U/ml)
초음파 점수와 폐경 점수를 결정하는 방법에 따라 RMI 1과 RMI 2로 구분된다:[23]
| 특징 | RMI 1 | RMI 2 |
|---|---|---|
| 폐경 점수 | ||
| CA-125 | U/ml 단위 수량 | U/ml 단위 수량 |
RMI 2는 RMI 1보다 더 민감한 것으로 알려져 있지만,[23] 특이성이 낮아 의심되는 암 중 많은 수가 양성 낭종으로 판명되는 경우가 있다.[12]
국제 난소 종양 분석(IOTA) 그룹은 "단순한 설명자"와 "단순한 규칙"에 기반한 다른 모델을 개발했다.[4] 양성 낭종의 단순한 설명자는 "규칙적인 벽과 최대 직경이 10cm 미만인 무에코성 내용물의 단방성 낭종"이다.[4] 단순한 규칙의 예로는 음향 그림자가 양성 낭종과 관련이 있다는 점을 들 수 있다.[4]
6. 치료
갑상선 기능 저하증이나 기타 내분비계 문제와 관련된 낭종은 기반이 되는 질병을 치료함으로써 관리된다.[46] 난소 낭종의 약 95%는 양성 종양으로 암이 아니다.[46] 대부분의 난소 낭종은 자연적으로 발생하며, 치료 없이 몇 달 안에 사라진다.[30]
일반적으로 난소 낭종을 처리하는 데는 경과 관찰, 추가적인 영상 검사 또는 조사, 수술[6] 세 가지 방법이 있다. 기능성 낭종과 출혈성 난소 낭종은 대개 한두 번의 생리 주기 내에 자연적으로 해결된다.[9] 그러나 난소 낭종의 크기가 클수록 저절로 사라질 가능성은 낮다.[32] 낭종이 몇 달 이상 지속되거나, 커지거나, 통증이 심해지는 경우, 또는 두세 번의 생리 주기를 넘어 지속되거나 폐경 후 여성에게서 발생하는 경우에는 더 심각한 질병을 나타낼 수 있으므로 치료가 필요할 수 있다.[33] 특히 가족 구성원이 난소암을 앓은 경우, 초음파 검사 및 복강경 검사를 통해 조사해야 하며, 이러한 낭종은 외과적 생검이 필요할 수 있다.[34]
난포가 배란되지 않고 장기간(2주 이상, 대부분 수개월 이상) 존속하며 질적으로 변성된 이상 난포는 한쪽 또는 양쪽 난소에 모두 생길 수 있다. 소의 경우 농후 사료를 많이 먹이는 축사나, 산유량이 많은 젖소, 비육우에서 많이 발생하며, 직접적인 원인으로는 FSH의 과다 분비, LH의 분비 저하에 의한 것으로 여겨졌으나, 최근에는 FSH, LH 양쪽의 분비 기능 저하가 원인으로 지적되기 시작했다. 황체 낭종, 낭종성 황체, 과립막 세포종과의 감별이 필요하며, 치료에는 hCG의 투여를 실시한다.
난포가 배란되지 않고, 그 벽의 일부 또는 전체가 황체화되어 중심부의 강에 내용액을 저장하며 오래 지속되는 경우, 소의 경우 원인으로는 LH(황체형성 호르몬) 분비 부족이 생각되며, 난포 낭종에서 이행되는 경우가 많다. 직장 검사로는 정상 황체, 난포 낭종과의 감별이 어려우므로, 초음파 검사, 혈액 또는 유즙의 프로게스테론 농도 측정을 실시한다(프로게스테론 농도 이상에서 본 질환을 의심). 치료에는 PGF2α, 또는 그 유사 물질의 투여를 실시한다.
6. 1. 경과 관찰
증상이 없고 양성이거나 정상으로 보이는 낭종(예: 폐경 전 여성의 경우 직경 3cm 미만, 폐경 후 여성의 경우 1cm 미만의 양성 외관을 가진 낭종)[6]은 수술이 불필요할 가능성이 있으므로 수술을 연기하는 것이 적절하며 권장된다.[6] 정상적인 난소 낭종은 치료나 추가적인 검사가 필요하지 않다.[6] 양성이지만 중간 크기의 낭종은 몇 달 후에 추가적인 골반 초음파 검사를 시행할 수 있다.[6] (낭종이 클수록 더 빨리 추적 영상 검사를 시행한다.[6])6. 2. 약물 치료
난소 낭종과 관련된 통증은 여러 가지 방법으로 치료할 수 있다.- 진통제로는 아세트아미노펜, 비스테로이드성 소염 진통제,[1] 또는 오피오이드 등이 있다.
- 호르몬 피임법은 낭종이 자주 생기는 사람들에게 새로운 낭종의 발생을 예방하지만,[1] 현재 있는 낭종의 치료에는 효과가 없다.[2]
6. 3. 수술
낭종 표면이 파열되면 내용물이 새어 나올 수 있으며, 이를 ''낭종 파열''이라고 한다. 주요 증상은 복통이며, 며칠에서 몇 주까지 지속될 수 있지만 무증상일 수도 있다.[7]난소 낭종 파열은 대개 자연적으로 치유되며, 경과를 관찰하고 며칠 동안 진통제를 복용하는 것만으로 치료가 가능하다.[4] 큰 난소 낭종이 파열되면 복강 내 출혈이 발생할 수 있다.[4] 드물게, 출혈량이 많아 저혈량 쇼크가 발생할 수 있으며, 이는 수술이 필요한 응급 상황일 수 있다.[4][8] 하지만 일반적으로 내부 출혈은 미미하며 별다른 처치를 필요로 하지 않는다.[4]
난소 꼬임은 응급 수술이 필요한 매우 고통스러운 의학적 상태이다.[11] 이는 혈류를 차단하는 방식으로 꼬인 유경 난소 낭종에 의해 발생할 수 있다.[11] 생식 연령 여성에게서 가장 흔하게 나타나지만, 어린 소녀들(초경 전)과 폐경기 여성에게서도 발생할 수 있다.[9] 난소 꼬임은 임신 중, 특히 임신 3개월과 4개월 사이에 태아 성장을 수용하기 위해 내부 해부학이 변화하면서 더 발생하기 쉽다.[4] 진단은 임상 검사와 초음파 영상 검사에 의존한다.[4]
대부분의 난소 낭종은 수술 없이 관찰하고 안정되거나 해결되지만, 일부의 경우 수술이 필요하다.[35] 수술적 치료의 일반적인 적응증으로는 난소 꼬임, 낭종 파열, 낭종이 암일 가능성에 대한 우려, 통증 등이 있으며,[9] 일부 외과 의사는 모든 큰 낭종을 제거하는 것을 추가로 권장한다.[9]
수술은 낭종만 제거하는 낭종 절제술이거나, 난소 절제술을 통해 하나 또는 양쪽 난소를 제거하는 것일 수 있다.[9] 특히 폐경기 여성의 매우 크고, 암일 가능성이 있으며, 재발하는 낭종의 경우, 영향을 받은 난소 또는 난소와 나팔관을 모두 제거하는 방법(난관난소절제술)으로 치료할 가능성이 더 높다.[9] 가임기 여성의 경우, 생식 시스템을 최대한 보존하는 것을 목표로 한다. 낭종만 제거하고 양쪽 난소를 모두 그대로 두는 것이 종종 가능하며, 이는 가임력에 영향을 미치지 않음을 의미한다.[36]
단순 양성 낭종은 세침 흡인술을 통해 배액할 수 있다.[4] 그러나 재발 위험이 상당히 높고(33~40%), 암 종양을 잘못 진단한 경우 암이 확산될 수 있다.[4]
수술 기법은 일반적으로 최소 침습 수술 또는 복강경 수술 접근 방식으로, 낭종이 특히 크거나(예: 직경 10cm), 골반 초음파와 같은 수술 전 영상 검사에서 악성 또는 복잡한 해부학적 구조가 의심되는 경우를 제외하고는 전신 마취 하에 수행된다.[9] 큰 낭종의 경우 개복술 또는 미니-개복술(복벽을 통한 더 작은 절개)이 선호될 수 있다.[12] 난소암이 의심되는 경우에는 최소 침습 수술을 사용하지 않는다.[12][9] 또한 골반 수술을 받는 경우, 일부 여성은 향후 암 위험을 줄이기 위해 동시에 예방적 난관 절제술을 선택한다.[9]
수술 중 낭종이 파열되면 내용물이 복막을 자극하여 내부 유착을 일으킬 수 있다.[9] 제거 전에 낭종을 배액하고, 이 위험을 줄이기 위해 복강을 주의 깊게 관개하여 누출된 액체를 제거할 수 있다.[9]
7. 역사
8. 사회와 문화
고대 이집트에서도 양성 종양이 알려져 있었으며, 19세기 초 부검된 이르티예르세누 (기원전 600년경) 미라에서 난소 낭종이 확인되었다.[40]
9. 동물에서의 난소 낭종
수의학적으로 기능성 낭종으로 분류되는 것이 중요하다.
소, 돼지에서 주요한 난소 질환이며, 말, 양, 염소에도 발생한다. 난포 낭종과 황체 낭종으로 구분된다. 증상으로 무발정 또는 수정광을 나타낸다.[41]
| 난포 낭종 | 낭종성 황체 | |
|---|---|---|
| 배란 | 없음 | 있음 |
| 촉진 | 돌기 없음 | 돌기 있음 |
참조
[1]
웹사이트
Ovarian cysts
https://www.womenshe[...]
2019-04
[2]
논문
Oral contraceptives for functional ovarian cysts
2014-04-29
[3]
논문
Épidémiologie des tumeurs ovariennes présumées bénignes
2013-12
[4]
간행물
Ovarian Cysts in Pregnancy
Cambridge University Press
2023-07-31
[5]
논문
Relationship between ovarian cysts and infertility: what surgery and when?
2014-03
[6]
논문
Adnexal incidentalomas on multidetector CT: how to manage and characterise
2020-11-16
[7]
EMedicine
Ovarian Cyst Rupture
[8]
웹사이트
Ovarian cysts
https://www.womenshe[...]
2020-10-29
[9]
간행물
12. Management of Benign Adnexal Masses
De Gruyter
2020-03-23
[10]
논문
Review of 244 cases of ovarian cysts
2015-07
[11]
서적
Oxford Concise Medical Dictionary
Oxford University Press
2020
[12]
간행물
2. Preoperative imaging for minimally invasive surgery in gynecology
De Gruyter
2020-03-23
[13]
간행물
Benign Breast Disease, and Benign Uterine and Ovarian Conditions
Cambridge University Press
2022-04-07
[14]
MedlinePlusEncyclopedia
Ovarian cysts
[15]
논문
Management of Asymptomatic Ovarian and Other Adnexal Cysts Imaged at US: Society of Radiologists in Ultrasound Consensus Conference Statement
2010-09
[16]
논문
Presurgical diagnosis of adnexal tumours using mathematical models and scoring systems: a systematic review and meta-analysis
2014-05-01
[17]
EMedicine
Ovarian Cysts
[18]
논문
Van Wyk and Grumbach Syndrome: An Unusual Case and Review of the Literature
2011-08
[19]
논문
Definition and significance of polycystic ovarian morphology: a task force report from the Androgen Excess and Polycystic Ovary Syndrome Society
2014-05-01
[20]
논문
Treatment of clomiphene citrate-related ovarian cysts in a prospective randomized study. A single center experience
2009-10
[21]
논문
Ovary hyperstimulation syndrome accompanying molar pregnancy: case report and review of the literature
2014-10
[22]
웹사이트
NICE clinical guidelines Issued: April 2011. Guideline CG122. Ovarian cancer: The recognition and initial management of ovarian cancer
http://publications.[...]
2013-09-22
[23]
서적
Epithelial ovarian cancer : a national clinical guideline.
SIGN
2003
[24]
웹사이트
Ovary - nontumor - Nonneoplastic cysts / other - Follicular cysts
https://www.patholog[...]
[25]
웹사이트
Ovary - nontumor - Nonneoplastic cysts / other - Corpus luteum cyst (CLC)
http://www.pathology[...]
[26]
웹사이트
Ovary tumor - serous tumors - Serous cystadenoma / adenofibroma / surface papilloma
https://www.patholog[...]
[27]
논문
Mature cystic teratoma of the ovary: a cutting edge overview on imaging features
2017-04
[28]
웹사이트
Ovary - nontumor - Nonneoplastic cysts / other - Endometriosis
http://www.pathology[...]
[29]
웹사이트
Borderline ovarian tumors
https://www.uptodate[...]
[30]
웹사이트
Ovarian cyst
https://www.nhs.uk/c[...]
2024-05-12
[31]
웹사이트
Symptoms of ovarian cysts
http://www.nhs.uk/Co[...]
2017-10-23
[32]
서적
Ultrasound: A Practical Approach to Clinical Problems
https://books.google[...]
Thieme
[33]
서적
Maternity, Newborn, and Women's Health Nursing: Comprehensive Care Across the Lifespan
https://archive.org/[...]
Lippincott Williams & Wilkins
[34]
MedlinePlusEncyclopedia
CA-125
[35]
서적
Diseases of the Human Body
Library of Congress
[36]
웹사이트
Ovarian cyst - Treatment
https://www.nhs.uk/c[...]
2023-06-28
[37]
논문
Ovarian cysts are common in premenarchal girls: a sonographic study of 101 children 2-12 years old.
1992-07
[38]
논문
Simple ovarian cysts: Frequency and outcome in girls aged 2-9 years
[39]
서적
The Oxford Encyclopedia of the History of American Science, Medicine, and Technology
Oxford University Press
2014
[40]
서적
The Oxford encyclopedia of ancient Egypt
Oxford University Press
2001
[41]
웹사이트
婦人科|クリニックフラウ栄|名古屋市中区栄-乳腺外科・婦人科
https://www.clinic-f[...]
2022-08-29
[42]
웹인용
Ovarian Cysts
http://emedicine.med[...]
2013-08-30
[43]
웹사이트
Ovarian Cyst Rupture
http://emedicine.med[...]
[44]
웹인용
Ovarian Cysts Causes, Symptoms, Diagnosis, and Treatment
http://www.emedicine[...]
[45]
저널
Presurgical diagnosis of adnexal tumours using mathematical models and scoring systems: a systematic review and meta-analysis
[46]
웹사이트
http://www.nhs.uk/Co[...]
본 사이트는 AI가 위키백과와 뉴스 기사,정부 간행물,학술 논문등을 바탕으로 정보를 가공하여 제공하는 백과사전형 서비스입니다.
모든 문서는 AI에 의해 자동 생성되며, CC BY-SA 4.0 라이선스에 따라 이용할 수 있습니다.
하지만, 위키백과나 뉴스 기사 자체에 오류, 부정확한 정보, 또는 가짜 뉴스가 포함될 수 있으며, AI는 이러한 내용을 완벽하게 걸러내지 못할 수 있습니다.
따라서 제공되는 정보에 일부 오류나 편향이 있을 수 있으므로, 중요한 정보는 반드시 다른 출처를 통해 교차 검증하시기 바랍니다.
문의하기 : help@durumis.com
