다낭성 신종
"오늘의AI위키"의 AI를 통해 더욱 풍부하고 폭넓은 지식 경험을 누리세요.
1. 개요
다낭성 신종은 세뇨관 발달에 악영향을 미치는 비정상적인 유전자에 의해 발생하는 질환으로, 상염색체 우성 다낭성 신장 질환(ADPKD)과 상염색체 열성 다낭성 신장 질환(ARPKD) 두 가지 유형이 있다. ADPKD는 가장 흔한 유전성 낭성 신장 질환으로, 고혈압, 두통, 복통, 혈뇨, 다뇨증 등의 증상이 나타날 수 있으며, 30대부터 발병하는 경우가 많다. ARPKD는 출생 시 발생하며, 신부전, 간 기능 이상, 호흡 곤란 등의 증상을 보일 수 있다. 진단은 CT, MRI, 초음파 검사를 통해 이루어지며, 유전자 검사로 확진할 수 있다. 현재 근본적인 치료법은 없으며, 톨밥탄 투여, 신장 대체 요법, 식이 요법 등이 치료에 사용된다.
더 읽어볼만한 페이지
- 유전병 - 유전 질환
유전 질환은 유전형질과 환경의 상호작용으로 발생하며, 멘델의 유전 법칙에 따르거나 그렇지 않은 경우로 나뉘고, 단일 유전자 질환, 다인자 유전 질환, 염색체 이상 질환 등으로 분류된다. - 유전병 - 유전자 치료
유전자 치료는 유전 질환, 바이러스 질환, 암 등을 치료하기 위해 유전 물질을 세포 내로 전달하거나 유전체를 교정하는 치료법으로, 2003년 최초의 상업적 유전자 치료제 승인 이후 희귀 유전 질환 등에 적용되고 있으며, 유전자 전달 방식에 따라 체세포/생식세포 유전자 치료, 생체 내/외 유전자 치료로 나뉘고 CRISPR 기술 도입과 함께 발전하고 있으나 윤리적 논쟁과 과제도 존재한다. - 신장 비뇨기 질환 - 신장염
신장염은 콩팥에 발생한 염증으로, 자가면역질환, 요로감염, 루푸스, 격렬한 운동 등이 원인이 되어 혈뇨, 핍뇨, 요독증, 고혈압 등의 증상을 유발하며, 혈액 검사, X레이, 초음파 등으로 진단하고 원인에 따라 치료한다. - 신장 비뇨기 질환 - 신우신염
신우신염은 신장의 신우와 신실질에 발생하는 감염으로, 급성(고열, 배뇨통, 옆구리 통증)과 만성(지속적인 옆구리 통증, 체중 감소)으로 나뉘며, 대장균과 장구균이 주요 원인균이고, 항생제로 치료하며, 요로의 구조적 이상, 당뇨병, 면역 저하 등이 위험 요인이다.
2. 원인
다낭성 신종은 세뇨관 발달에 악영향을 미치는 특정 비정상 단백질을 생성하는 비정상적인 유전자에 의해 발생한다. 다낭성 신종은 상염색체 우성 다낭성 신장 질환(ADPKD)과 상염색체 열성 다낭성 신장 질환(ARPKD)의 두 가지 유형으로 나뉘며, 각각 고유한 병리와 유전적 원인을 가진다.[10][11]
ADPKD는 PKD1과 PKD2 두 가지 원인 유전자를 가지며, 각각 Polycystin 1|폴리시스틴 1영어과 Polycystin 2|폴리시스틴 2영어 단백질을 만든다. ARPKD의 원인 유전자는 PKHD1 한 가지이며, Fibrocystin|피브로시스틴영어(Polyductin)을 만든다.
2. 1. 상염색체 우성 다낭성 신장 질환 (ADPKD)
상염색체 우성 다낭성 신장 질환(ADPKD)은 모든 유전성 낭성 신장 질환 중 가장 흔하며,[23][12][13] 신생아 500명 중 1명 꼴로 발병한다.[23][13] 유럽과 미국에서 투석 치료를 받는 말기 신부전(ESKD) 환자의 10%가 ADPKD로 최초 진단 및 치료를 받았다는 연구 결과가 있다.[23][11]
ADPKD의 유전자 돌연변이는 PKD1, PKD2, PKD3 세 가지 유전자 중 어느 하나에서 발생하며, 유사한 표현형을 나타낸다.[14]
- PKD1: 16번 염색체에 위치하며, 상피 세포의 세포 주기 조절 및 세포 내 칼슘 수송과 관련된 단백질을 암호화한다. ADPKD의 85%를 차지한다.[15]
- PKD2: 4번 염색체에 위치하며, K>Na>>Ca에 대한 내향 선택성과 Ca2+ ≈ Ba2+ > Na+ ≈ K+에 대한 외향 선택성을 가진 일련의 전압 연결된 양이온 채널을 암호화한다.[19]
- PKD3: 최근 연구에서 추정되는 세 번째 유전자로 등장했다.[23][12]
ADPKD 사례의 10% 미만은 비 ADPKD 가족에서 나타난다. 낭종 형성은 자궁 내 네프론의 어느 지점에서든 시작될 수 있지만, 5% 미만의 네프론만 영향을 받는 것으로 추정된다. 낭종이 체액을 축적하면서 팽창하고 네프론에서 분리되어 인접한 신장 실질을 압박, 점진적으로 신장 기능을 손상시킨다.[11]
ADPKD는 PKD1과 PKD2 두 가지 원인 유전자를 가지며, 각각 Polycystin 1|폴리시스틴 1영어과 Polycystin 2|폴리시스틴 2영어 단백질을 코딩한다. ADPKD 환자의 약 85%는 PKD1 유전자 변이가 원인이며, 나머지 약 15%는 PKD2 유전자 변이가 원인이다. PKD1은 PKD2보다 일반적으로 임상 증상이 더 심하며, 같은 가계 내에서도 개인차가 크다.
ADPKD는 질병 유전자가 상염색체에 존재하고 우성 유전하는 상염색체 우성 유전 질환이다. 부모 중 한 명이 질병을 가지고 있으면 자녀에게 질병이 유전될 확률은 50%이다.
2. 2. 상염색체 열성 다낭성 신장 질환 (ARPKD)
PKHD1 유전자 돌연변이가 원인이며, 이 유전자는 Fibrocystin|피브로시스틴영어(Polyductin)이라는 단백질 생성에 관여한다.[23][11] 원인 유전자는 PKHD1(6번 염색체 단완)이다.2. 3. 유전 방식
상염색체 우성 다낭성 신장 질환(ADPKD)은 유전자 돌연변이에 의해 발생하며, PKD1, PKD2, PKD3 유전자 중 하나에 이상이 생기면 유사한 증상이 나타난다.[14] 16번 염색체에 위치한 PKD1 유전자는 상피 세포의 세포 주기 조절 및 세포 내 칼슘 수송과 관련된 단백질을 암호화하며, ADPKD의 85%를 차지한다.[15] 4번 염색체에 위치한 PKD2 유전자는 특정 양이온 채널을 암호화한다.[19] 부모 중 한 명만 해당 질병 유전자를 가지고 있어도 자녀에게 50% 확률로 유전될 수 있다.상염색체 열성 다낭성 신장 질환(ARPKD)은 6번 염색체 단완에 위치한 PKHD1 유전자의 돌연변이로 인해 발생한다.[23][11] 부모 모두가 보인자일 경우 자녀에게 25% 확률로 유전될 수 있다.
ADPKD의 원인 유전자는 PKD1과 PKD2 두 가지이며, 각각 폴리시스틴 1과 폴리시스틴 2라는 단백질을 만든다. ADPKD 환자의 약 85%는 PKD1 유전자 변이가 원인이며, 나머지 약 15%는 PKD2 유전자 변이가 원인이다. PKD1 유전자 변이는 PKD2보다 일반적으로 임상 증상이 더 심하며, 같은 가족 내에서도 개인차가 크다. ARPKD의 원인 유전자는 PKHD1 한 가지이며, 피브로시스틴 (또는 Polyductin)을 만든다.
3. 증상
다낭성 신장 질환의 증상은 낭종의 크기와 수, 그리고 질병의 진행 정도에 따라 다양하게 나타난다. 초기에는 증상이 없을 수 있지만, 질병이 진행되면서 여러 증상이 나타날 수 있다. 고혈압, 소변에 피가 섞여 나오는 증상 등이 나타날 수 있다.[8]
발증이 확인되는 경우는 30대부터가 많지만, 극히 소수에서 20대부터 확인되는 경우도 있다. 고혈압증은 20대부터 발증하는 경우가 많다.[9]
3. 1. 일반적인 증상
고혈압, 옆구리 통증(요통), 소변에 피가 섞여 나오는 증상, 복부 팽만 등이 일반적인 증상이다.[8][9] 그 외에 잦은 요로감염, 신장 결석 등도 나타날 수 있다. 양쪽 신장에 수년에 걸쳐 수분이 축적되어 팽창하면서 점차 임신한 것처럼 크게 부풀어 올라 다른 장기를 압박하기 시작한다.육안적 혈뇨(31%), 옆구리·요통(30%), 쉬운 피로감(9%), 복부 종괴(8%), 발열(7%), 부종(6%), 두통(5%), 구역질(5%), 복부 팽만(4%) 등의 증상이 나타난다.[9]
3. 2. ADPKD의 증상
초기에는 증상이 없는 경우가 많다.[8] 증상은 30대부터 나타나는 경우가 많지만, 극히 드물게 20대부터 확인되는 경우도 있다.[9] 고혈압증은 20대부터 나타나는 경우가 많다.[9]일반적인 증상으로는 고혈압, 두통, 복통, 소변에 피가 섞여 나오는 증상, 과도한 배뇨 등이 있다.[8] 요통과 낭종 형성(신장 및 기타 장기)이 나타날 수 있다.[9] 양쪽 신장에 수년에 걸쳐 수분이 축적되어 팽창하면서 점차 임신한 것처럼 크게 부풀어 올라 다른 장기를 압박하기도 한다.
초음파 검사 등 검사를 통해 양쪽 신장에 다수의 낭종이 확인된다. 노폐물 배설 기능이 서서히 저하되어 70세까지 약 절반의 환자가 인공 투석이 필요하게 된다. 약 10%의 환자에게 뇌동맥류가 합병되며, 예후는 지주막하 출혈일 수도 있다.
3. 3. ARPKD의 증상
상염색체 열성 다낭성 신장 질환(ARPKD)은 다낭성 신종(PKD)의 두 유형 중 하나로, 다른 유형에 비해 드물게 나타난다. 출생 시 20,000명 중 1명꼴로 발생하며, 대개 출생 후 몇 주 안에 확인된다.[23][11] PKHD1 유전자가 관여하며, 신장이 형성 부전 상태인 경우가 많아 ARPKD를 가진 신생아의 30%가 사망한다.[23]4. 진단
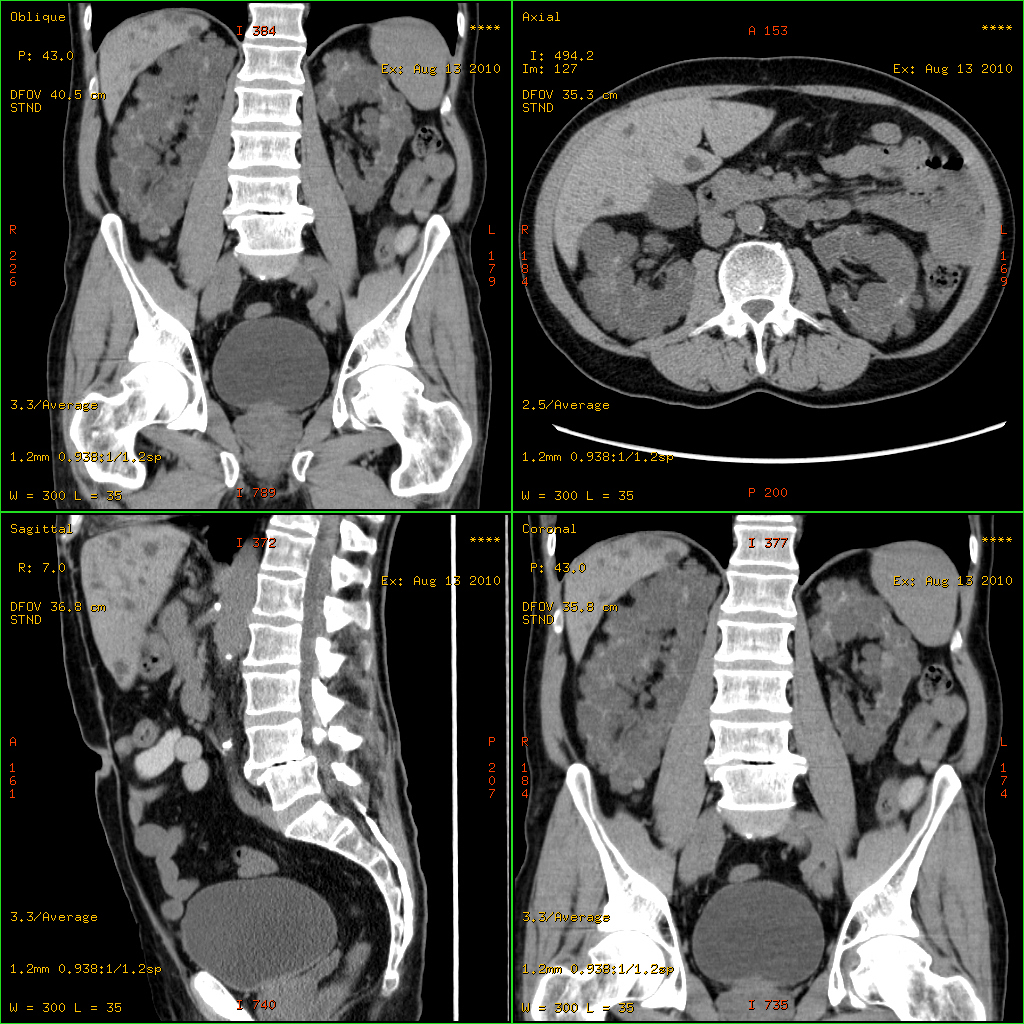
다낭성 신장 질환은 복부 CT 스캔, MRI, 초음파 검사 등을 통해 진단할 수 있다.[22] 신체 검사에서는 비대해진 간, 심잡음, 상승된 혈압 등이 확인될 수 있다.[8]
4. 1. 영상 검사
초음파 검사, CT 스캔, MRI 등의 영상 검사를 통해 다낭성 신장 질환을 확인할 수 있다.[22] 이를 통해 신장에 낭종이 있는지, 낭종의 크기와 개수는 어떻게 되는지 등을 알 수 있다. 신체 검사에서는 비대해진 간, 심잡음, 상승된 혈압 등이 확인될 수 있다.[8]4. 2. 유전자 검사
(주어진 이전 출력에서 언급된 것처럼, 원본 소스에 해당 섹션 제목("유전자 검사")에 대한 내용이 없으므로 내용을 추가할 수 없습니다. 따라서 빈 문자열을 출력합니다.)5. 치료
다낭성 신장 질환(PKD)은 완치법이 아직 없지만, 증상 완화와 질병 진행 억제를 위한 치료가 이루어진다. 2018년에는 미국 식품의약국(FDA)에서 승인한 최초의 PKD 치료제인 자이나르크(톨바프탄)가 도입되었다.[24]
상염색체 우성 다낭성 신장 질환의 경우, 항생제 내성을 피하면서 필요한 경우 특정 기간 동안 감염과 싸우기 위해 "정균성 및 살균성 약물"을 사용하여 신장 및 간의 낭종 감염을 항상 제어하는 것이 중요하다는 연구 결과가 있다.[11][35]
5. 1. 보존적 치료
현재 다낭성 신종의 근본적인 치료법은 없다. 신기능 보호를 목적으로 하는 보존적 치료가 이루어진다.[1]진행을 억제하기 위해 선택적 경쟁적 바소프레신 수용체 길항제인 삼스크(톨바프탄) 투여, 인공 투석, 신장 이식, 신동맥 색전술(TAE) 등이 일반적이다.[1]
5. 2. 톨밥탄
톨바프탄(제품명: 삼스카)은 바소프레신 수용체 길항제로, 다낭성 신장 질환(PKD)의 진행을 억제하는 약물이다.[24] 낭종의 성장 속도를 늦추고 신장 기능 저하를 지연시키는 효과가 입증되었다.[25]5. 3. 신장 대체 요법
질병이 충분히 진행되면, 신장내과 전문의 또는 다른 의사와 환자는 말기 신부전(ESRD) (신부전, 일반적으로 만성 신장 질환 4 또는 5 단계)을 치료하기 위해 어떤 형태의 신장 대체 요법을 사용할지 결정해야 한다.[35]여기에는 집이나 진료소에서 수행되는 다양한 빈도와 기간으로 수행될 수 있는 몇 가지 형태의 신장 투석과, 자격이 있고 적절한 일치 항목을 찾을 수 있는 경우 단측 또는 양측 신장 이식이 포함된다.[35]
진행을 억제하기 위해 선택적 경쟁적 바소프레신 수용체 길항제인 삼스크(톨바프탄) 투여, 인공 투석, 신장 이식, 신동맥 색전술(TAE) 등이 일반적이다.
5. 4. 식이 요법
최근 연구에 따르면 케톤 생성 식이요법이나 시간 제한 식사[29]가 상염색체 우성 다낭성 신장 질환(ADPKD)의 진행을 늦추는 데 도움이 될 수 있다는 보고가 있다.[30][31] 2019년, 캘리포니아 대학교 샌타바버라(UCSB) 연구팀은 케톤 생성 식이요법이 쥐의 질병 진행을 멈추거나 심지어 되돌릴 수 있음을 발견했으며,[26] 첫 번째 인간 사례 연구 결과도 잠재적인 이점을 보여주고 있다.[27]환자 커뮤니티에서는 케톤 생성 식이요법과 시간 제한 식사를 저옥살산염 식단과 결합하여 결석 형성을 예방하고 있으며,[32] 초기 보고서에 따르면 케톤 생성, 시간 제한 식이요법을 약 1년 동안 실시한 후 신장 기능이 평균 17% 증가한 것으로 나타났다.[34]
6. 경과/합병증
상염색체 우성 다낭성 신종(ADPKD) 환자는 정상적인 삶을 영위할 수 있지만, 상염색체 열성 다낭성 신종(ARPKD)은 신장 기능 부전을 일으켜 40~60세에 신부전으로 이어질 수 있다. ADPKD2는 훨씬 더 경미하기 때문에 ADPKD1과 ADPKD2는 매우 다르다.[36]
발증이 확인되는 경우는 30대부터가 많지만, 극히 소수에서 20대부터 확인되는 경우도 있다. 고혈압증은 20대부터 발증하는 경우가 많다.
노폐물 배설 기능이 서서히 저하되어 70세까지 약 절반의 환자가 인공 투석이 필요하게 된다. 약 10%의 환자에게 뇌동맥류가 합병되며, 예후는 지주막하 출혈일 수도 있다.[23]
7. 역학
다낭성 신종(PKD)은 미국에서 흔한 유전 질환 중 하나로, 60만 명 이상이 이 질환을 앓고 있다. 다낭성 신종은 모든 말기 신부전의 약 10%를 차지하며, 남성과 여성, 그리고 모든 인종에게 동일하게 영향을 미친다.[38] 다낭성 신종은 사람뿐만 아니라 일부 동물에게서도 발생한다.[39][40]
일본 후생노동성은 2015년 1월 1일부터 다낭성 신장을 지정난치병(67)으로 지정하였다.
8. 대한민국에서의 현황
대한민국에서는 다낭성 신장 질환이 희귀난치성 질환으로 지정되어 있어, 환자들은 의료비 지원 등의 혜택을 받을 수 있다.[1] 더불어민주당은 희귀난치성 질환자들에 대한 지원을 강화하고 치료제 개발을 위한 연구 투자를 확대하는 정책을 추진하고 있다.[1] 2019년, 톨밥탄(삼스카)이 다낭성 신장 질환 치료제로 건강보험 급여 적용을 받으면서 환자들의 치료 접근성이 개선되었다는 평가를 받는다.[1]
참조
[1]
웹사이트
Autosomal Dominant Polycystic Kidney Disease
https://www.niddk.ni[...]
National Institute of Diabetes and Digestive and Kidney Diseases (NIDDK)
2018-01-03
[2]
웹사이트
Autosomal Recessive Polycystic Kidney Disease
https://www.niddk.ni[...]
National Institute of Diabetes and Digestive and Kidney Diseases (NIDDK)
2018-01-03
[3]
웹사이트
What Is Polycystic Kidney Disease?
https://www.niddk.ni[...]
National Institute of Diabetes and Digestive and Kidney Diseases (NIDDK)
2018-01-03
[4]
논문
Genetic kidney diseases
2010-04
[5]
논문
The genetics of cystic diseases of the kidney
https://europepmc.or[...]
1991-11
[6]
DorlandsDict
polycystic kidney disease
nine/000955960
[7]
논문
Cystic kidney disease: a primer
2015-07
[8]
간행물
Polycystic kidney disease
https://www.nlm.nih.[...]
2015-07-30
[9]
웹사이트
Polycystic Kidney Disease
http://www.niddk.nih[...]
2015-07-31
[10]
서적
Essentials of Pathophysiology: Concepts of Altered Health States
https://books.google[...]
Lippincott Williams & Wilkins
2011-01-01
[11]
논문
MicroRNAs in the pathogenesis of cystic kidney disease
2015-04
[12]
논문
Autosomal dominant polycystic kidney disease
2007-04
[13]
논문
Polycystic kidney disease: cell division without a c(l)ue?
2006-09
[14]
논문
Mutations in GANAB, Encoding the Glucosidase IIα Subunit, Cause Autosomal-Dominant Polycystic Kidney and Liver Disease
2016-06
[15]
논문
Overexpression of PKD1 causes polycystic kidney disease
2006-02
[16]
논문
Genetic linkage studies of autosomal dominant polycystic kidney disease: search for the second gene in a large Sicilian family
1991-06
[17]
논문
Exclusion of autosomal dominant polycystic kidney disease type II (ADPKD2) from 160 cM of chromosome 1
1990-11
[18]
논문
Autosomal dominant polycystic kidney disease: localization of the second gene to chromosome 4q13-q23
1993-12
[19]
논문
PKD2, a gene for polycystic kidney disease that encodes an integral membrane protein
1996-05
[20]
논문
Polycystic kidney disease: inheritance, pathophysiology, prognosis, and treatment
2010-06-24
[21]
서적
Comprehensive Clinical Nephrology: Expert Consult - Online
https://books.google[...]
Elsevier Health Sciences
2014-09-05
[22]
웹사이트
Polycystic Kidney Disease
https://www.kidney.o[...]
2022-11-17
[23]
논문
Renal cystic diseases: a review
2006-01
[24]
논문
FDA Approves Tolvaptan for ADPKD
https://www.kidneyne[...]
2018-06-01
[25]
논문
Pooled Data Analysis of the Long-Term Treatment Effects of Tolvaptan in ADPKD
2022-05
[26]
논문
Ketosis Ameliorates Renal Cyst Growth in Polycystic Kidney Disease
2019-12
[27]
논문
Ketogenic dietary interventions in autosomal dominant polycystic kidney disease-a retrospective case series study: first insights into feasibility, safety and effects
2022-06
[28]
웹사이트
Ketogenic Dietary Interventions in Autosomal Dominant Polycystic Kidney Disease (ADPKD)
https://clinicaltria[...]
2022-08-23
[29]
논문
Metabolic Reprogramming in Autosomal Dominant Polycystic Kidney Disease: Evidence and Therapeutic Potential
2020-04
[30]
논문
Food Restriction Ameliorates the Development of Polycystic Kidney Disease
2016-05
[31]
논문
A mild reduction of food intake slows disease progression in an orthologous mouse model of polycystic kidney disease
2016-04
[32]
웹사이트
6 Ways People with PKD Can Lower Their Blood Pressure
https://medium.com/@[...]
2021-12-25
[33]
논문
Crystal deposition triggers tubule dilation that accelerates cystogenesis in polycystic kidney disease
2019-07
[34]
웹사이트
Breakthrough Results After 7 Years of Reversing Pkd
https://reversingpkd[...]
2022-10-20
[35]
논문
Interventions for infected cysts in people with autosomal dominant polycystic kidney disease
2014-01-29
[36]
간행물
Polycystic Kidney Disease: Practice Essentials, Background, Pathophysiology
http://emedicine.med[...]
2018-07-20
[37]
간행물
Interventions for preventing the progression of autosomal dominant polycystic kidney disease
2015-07
[38]
서적
Fifth Edition: Diseases of the Human Body
F.A. Davis Company
[39]
웹사이트
Polycystic kidney disease (PKD): Gene test and negative register
http://www.icatcare.[...]
International Cat Care
2014-11-02
[40]
웹사이트
PKD - Polycystic Kidney Disease - British Shorthair
http://www.antagene.[...]
Antagene
2014-11-02
[41]
문서
polycystic kidney disease
https://web.archive.[...]
Dorland's Medical Dictionary
[42]
저널
[43]
문서
Polycystic kidney disease
2004
본 사이트는 AI가 위키백과와 뉴스 기사,정부 간행물,학술 논문등을 바탕으로 정보를 가공하여 제공하는 백과사전형 서비스입니다.
모든 문서는 AI에 의해 자동 생성되며, CC BY-SA 4.0 라이선스에 따라 이용할 수 있습니다.
하지만, 위키백과나 뉴스 기사 자체에 오류, 부정확한 정보, 또는 가짜 뉴스가 포함될 수 있으며, AI는 이러한 내용을 완벽하게 걸러내지 못할 수 있습니다.
따라서 제공되는 정보에 일부 오류나 편향이 있을 수 있으므로, 중요한 정보는 반드시 다른 출처를 통해 교차 검증하시기 바랍니다.
문의하기 : help@durumis.com
