신장 이식
"오늘의AI위키"의 AI를 통해 더욱 풍부하고 폭넓은 지식 경험을 누리세요.
1. 개요
신장 이식은 말기 신부전 환자에게 건강한 신장을 이식하여 신장 기능을 회복시키는 치료법이다. 1900년대 초에 개념이 제시되었고, 1950년대에 생체 이식이 성공적으로 이루어지면서 발전해왔다. 신장 이식은 생체 기증과 사체 기증으로 나뉘며, 면역 거부 반응을 억제하기 위한 면역 억제제 사용이 필수적이다. 신장 이식은 신장 기능을 회복시키고, 수명을 연장시키는 효과가 있지만, 거부 반응, 감염, 약물 부작용 등의 합병증 위험이 따른다. 이식 종류에는 생체 신장 이식, 사체 신장 이식, 췌장-신장 동시 이식, 이종 신장 이식 등이 있으며, 이식 후에는 식이 요법과 합병증 관리가 중요하다.
더 읽어볼만한 페이지
- 장기 이식 - 면역억제제
면역억제제는 과도하거나 잘못된 면역반응을 억제하여 이식 거부 반응, 자가면역질환, 염증성 질환을 치료 및 예방하는 약물로, 염증 조절, 림프구 감소, 신호 전달 억제 등 다양한 작용 기전을 가지며, 여러 종류의 약물이 존재하지만 감염 위험 증가, 신장 독성 등 부작용을 동반하므로 신중한 사용과 모니터링이 필요하다. - 장기 이식 - 피부이식
피부 이식은 손상된 피부를 대체하기 위해 다른 부위나 개체에서 채취한 피부를 이식하는 외과적 시술이며, 화상, 외상, 피부 질환 등을 치료하고 다양한 기술을 통해 발전해 왔다. - 신장학 - 요독증
요독증은 신장 기능 저하로 혈액 내 노폐물이 쌓여 피로, 식욕 부진, 구토, 정신 기능 이상을 일으키며 심할 경우 혼수, 사망에 이르는 증상군으로, 신부전이 주요 원인이며 투석이나 신장 이식으로 치료하고 치과 치료 시 주의가 필요하다. - 신장학 - 신우신염
신우신염은 신장의 신우와 신실질에 발생하는 감염으로, 급성(고열, 배뇨통, 옆구리 통증)과 만성(지속적인 옆구리 통증, 체중 감소)으로 나뉘며, 대장균과 장구균이 주요 원인균이고, 항생제로 치료하며, 요로의 구조적 이상, 당뇨병, 면역 저하 등이 위험 요인이다. - 표시 이름과 문서 제목이 같은 위키공용분류 - 라우토카
라우토카는 피지 비치레부섬 서부에 위치한 피지에서 두 번째로 큰 도시이자 서부 지방의 행정 중심지로, 사탕수수 산업이 발달하여 "설탕 도시"로 알려져 있으며, 인도에서 온 계약 노동자들의 거주와 미 해군 기지 건설의 역사를 가지고 있고, 피지 산업 생산의 상당 부분을 담당하는 주요 기관들이 위치해 있다. - 표시 이름과 문서 제목이 같은 위키공용분류 - 코코넛
코코넛은 코코넛 야자나무의 열매로 식용 및 유지로 사용되며, 조리되지 않은 과육은 100g당 354kcal의 열량을 내는 다양한 영양 성분으로 구성되어 있고, 코코넛 파우더의 식이섬유는 대부분 불용성 식이섬유인 셀룰로오스이며, 태국 일부 지역에서는 코코넛 수확에 훈련된 원숭이를 이용하는 동물 학대 문제가 있다.
| 신장 이식 | |
|---|---|
| 일반 정보 | |
| 명칭 | 신장 이식 |
| 영어 명칭 | Kidney transplantation 또는 renal transplantation |
| 관련 질병 | 만성 신부전 |
| 개요 | |
| 정의 | 만성 신부전 환자의 치료 방법 중 하나로, 건강한 사람의 신장을 환자에게 외과적으로 이식하는 과정이다. |
| 목적 | 신장 기능 회복 투석 치료 대체 생존율 및 삶의 질 향상 |
| 역사 | |
| 초기 시도 | 20세기 초, 동물 신장 이식 시도 |
| 성공적인 이식 | 1954년, 일란성 쌍둥이 간 신장 이식 성공 (조셉 머레이) |
| 적응증 및 금기증 | |
| 적응증 | 말기 신부전 환자 투석 치료가 어려운 환자 전신 상태가 양호한 환자 |
| 금기증 | 활동성 감염 조절되지 않는 악성 종양 심각한 심혈관 질환 심각한 정신 질환 활성 자가면역질환 |
| 이식 과정 | |
| 기증자 평가 | 혈액형 및 조직 적합성 검사 감염 질환 검사 신장 기능 평가 뇌사 또는 생체 기증자 |
| 수혜자 평가 | 혈액형 및 조직 적합성 검사 감염 질환 검사 심혈관 기능 평가 전신 상태 평가 이식 적합성 평가 |
| 수술 과정 | 기존 신장 제거 (경우에 따라) 새로운 신장 이식 혈관 및 요관 연결 수술 시간: 약 3~4시간 |
| 면역 억제 치료 | 면역억제제 투여 (평생) 거부 반응 예방 감염 위험 증가 |
| 종류 | |
| 사체 신장 이식 | 뇌사자 또는 심장사 기증자의 신장을 이식 |
| 생체 신장 이식 | 건강한 사람의 신장을 이식 (가족, 친척, 또는 타인) |
| 장단점 | |
| 장점 | 투석 치료 불필요 삶의 질 향상 생존율 증가 식이 제한 완화 |
| 단점 | 면역억제제 부작용 (감염, 암 등) 거부 반응 위험 수술 합병증 높은 의료 비용 |
| 위험성 | 거부 반응, 감염, 출혈, 혈관 합병증, 요관 협착, 림프액 누출, 혈전 |
| 예후 | |
| 생존율 | 1년 생존율: 90% 이상 5년 생존율: 75% 이상 거부 반응 및 감염 관리가 중요 |
| 관리 | 정기적인 진료 및 검사 면역억제제 복용 철저 감염 예방 건강한 생활 습관 유지 |
| 기타 | |
| 현황 | 장기 이식 대기자 많음 장기 기증 부족 뇌사 장기 기증 활성화 노력 필요 |
| 평균 대기 시간 | 개인의 건강 상태, 혈액형, 조직 적합성 등에 따라 다름 (수개월에서 수년) |
| 이식 후 관리 | 일반 신장내과 의사가 관리 가능 |
2. 역사
신장 이식의 가능성은 1907년 시카고 대학교의 시몬 플렉스너가 발표한 논문에서 처음 언급되었다. 그는 질병이 있는 인체 장기를 수술을 통해 건강한 장기로 대체할 수 있다고 주장했다.[6]
1933년 우크라이나의 유리 보로니가 최초로 인간 신장 이식을 시도했지만, 환자는 이틀 후 사망했다.[7] 1950년 미국의 리처드 로울러 박사가 다낭성 신장 질환을 앓던 여성에게 신장 이식을 성공시켰으나, 10개월 후 거부 반응이 일어났다.[8][9][10]
1952년 프랑스에서 생체 신장 이식이 시행되었지만 3주 후 실패했다.[11] 1954년 미국에서 일란성 쌍둥이 간 신장 이식이 성공적으로 이루어졌고, 이 공로로 조셉 머리는 1990년 노벨 생리학·의학상을 수상했다.[12]
1955년 영국에서 사체 기증자 이식이 시도되었으나 실패했고, 1959년에 성공적인 사체 기증자 이식이 이루어졌다. 1960년에는 영국 최초의 생체 신장 이식이 성공했다.[13] 1994년에는 오만에서 세계 최연소 사체 신장 이식이 성공했다.[14]
유전적으로 동일하지 않은 환자 간 이식은 면역 거부 반응이 주요 문제였으나, 면역억제제 개발과 장기 보존 기술 발전으로 생착률이 향상되었다.
생체 신장과 사체 신장은 예후가 다르다. 생체 신장은 건강한 사람에게서 채취하며, 수혜자와 유전적 관계가 있는 경우가 많아 생착률이 높다.[164] 반면 사체 신장은 뇌사자의 장기로, 저온 보존 시간이 길고, 혈연 관계가 없는 수혜자에게 이식될 가능성이 있어 생착률이 낮다.[164] HLA 항원 일치 여부가 생착률에 영향을 미친다.[121]
2. 1. 한국의 신장 이식 역사
한국에서 신장 이식이 처음 시도된 사례는 1956년 니가타 대학에서 승홍(염화수은(II)) 중독에 의한 급성 신부전 환자를 대상으로 한 생체 신장 이식이었다.[115] 그러나 이 이식은 환자 자신의 신장 기능이 회복될 때까지 일시적으로 요독증 등을 막기 위한 목적이었으며, 4일 만에 이식된 신장을 제거하였다.[115]생착을 목표로 한 첫 신장 이식은 1964년 도쿄 대학에서 만성 신부전 환자를 대상으로 시행된 생체 신장 이식이었다.[116]
이후 면역 억제 기전의 발달과 면역억제제의 발전,[118] 이식 장기 보존 기술의 발전 등으로 신장 이식의 생착률은 크게 향상되었다.
2. 2. 세계의 신장 이식 역사
1933년, 우크라이나 헤르손 출신의 외과의사 유리 보로니(Yuriy Vorony)는 사망한 기증자에게서 6시간 전에 적출한 신장을 허벅지에 재이식하는 최초의 인간 신장 이식을 시도했다. 그러나 이식편이 수혜자의 혈액형과 맞지 않아 거부 반응이 일어나 첫 번째 환자는 이틀 후 사망했다.[7]1950년 6월 17일, 미국 일리노이주 에버그린 파크 소재 리틀 컴퍼니 오브 메리 병원에서 리처드 로울러(Richard H. Lawler) 박사가 다낭성 신장 질환을 앓고 있던 44세 여성 루스 터커(Ruth Tucker)에게 성공적인 이식 수술을 실시했다.[8][9] 당시 면역 억제 요법이 없었기 때문에 기증된 신장은 10개월 후 거부 반응을 일으켰지만, 그 사이 터커의 남은 신장은 회복될 시간을 얻었고 그녀는 5년 더 살았다.[10]

1952년 파리 네케르 병원에서 장 암부르주아(Jean Hamburger)에 의해 생체 환자 간 신장 이식이 시행되었지만, 신장은 3주 후 기능을 상실했다.[11] 1954년 12월 23일, 미국 보스턴 브리검 병원에서 조셉 머리(Joseph Murray), J. 하트웰 해리슨(J. Hartwell Harrison), 존 P. 메릴(John P. Merrill) 등이 일란성 쌍둥이인 로널드와 리처드 헤릭(Richard Herrick) 형제 사이에 신장 이식을 성공적으로 시행했다. 이는 면역 반응 문제를 줄여 성공할 수 있었다. 이 공로와 후속 연구로 머리는 1990년 노벨 생리학·의학상을 수상했다. 수혜자인 리처드 헤릭은 이식과 무관한 기증 신장 합병증으로 이식 8년 후 사망했다.[12]
1955년, 찰스 롭(Charles Rob), 윌리엄 제임스 "짐" 뎀스터(Jim Dempster)는 영국에서 최초의 사체 기증자 이식을 실시했지만 성공하지 못했다. 1959년 7월, 프레드 피터 레이퍼(Fred Peter Raper)는 영국에서 최초로 성공적인(8개월) 사체 기증자 이식을 실시했다. 1년 후인 1960년, 마이클 우드러프(Michael Woodruff)가 에든버러에서 일란성 쌍둥이 사이에 신장 이식을 실시함으로써 영국 최초의 성공적인 생체 신장 이식이 이루어졌다.[13]
1994년 11월, 오만(Oman)의 술탄 카부스 대학교 병원(Sultan Qaboos University Hospital)은 세계에서 가장 어린 사체 신장 이식을 성공적으로 실시했다. 이 수술은 33주 된 신생아의 신장을 17개월 된 수혜자에게 이식한 것으로, 수혜자는 이식된 장기 덕분에 22년 동안 생존했다.[14]
일본에서는 1956년 니가타 대학에서 승홍(염화수은(II)) 중독에 의한 급성 신부전 환자에 대한 생체 신장 이식이 처음이었지만, 환자 자신의 신장 기능 회복을 위한 목적이었고, 4일만에 적출하였다.[115] 생착을 목표로 한 신장 이식은 1964년 도쿄 대학에서 시행된 만성 신부전 환자에 대한 생체 신장 이식이 처음이다.[116]
유전적으로 동일하지 않은 환자 간의 장기 이식의 주요 장벽은 수혜자의 면역 체계였다. 따라서 면역 체계를 억제하는 약물이 필수적이었다. 1960년대 이후 면역억제제의 개량[118]과 이식 장기의 보존 기술 발전 등에 따라 생착률이 급격히 향상되어 현재는 전 세계적으로 연간 수만 건의 신장 이식이 시행되고 있다.
생체 신장과 사체 신장은 신장 이식 후 예후가 다르다. 사체 신장은 뇌사에 따른 비정상적인 생리적 변화를 겪을 가능성이 있으며, 장시간 저온 보존될 가능성이 있고, 혈연 관계가 없는 수혜자에게 이식될 가능성이 있다.[164] 반면, 생체 신장 공여자는 신중하게 선별된 건강한 사람으로부터 채취되며, 종종 수혜자와 유전적 혈연 관계가 있다.[164] HLA 항원이 일치하는 생체 신장이 가장 생착률이 높으며, 타인, 배우자, 형제자매, 부모의 생체 공여자 간에는 생착률에 유의미한 차이가 없다. 사체 신장은 이들에 비해 가장 생착률이 낮다(2000년, 미국).[121]
3. 적응증 및 금기증
사구체여과율이 15 ml/min/1.73 m² 미만으로 정의되는 말기 신질환은 신장 이식의 적응증이며, 이식 금기증에는 심부전, 폐동맥역류, 간 질환, 몇몇 암 등이 있다. 신장 이식의 적응증과 금기증은 다음과 같다.
- '''적응증''': 사구체여과율이 낮아 투석을 받아야 하는 말기 신질환 환자, 또는 투석이 필요한 상황은 아니나 만성 신질환으로 인해 곧 투석이 필요한 환자.
- '''금기증''': 심부전, 폐동맥역류, 간 질환, 암 등
3. 1. 적응증
사구체여과율이 15 ml/min/1.73 m² 미만으로 정의되는 말기 신질환은 신장 이식의 적응증이다. 말기 신질환의 흔한 원인은 다음과 같다.말기 신질환의 가장 흔한 원인은 특발성으로, 원인을 알 수 없는 경우이다. 당뇨병은 미국에서 신장 이식의 약 25%를 차지하는 가장 흔한 원인이다.[17]
대부분의 신장 이식 수혜자는 수술 시점에 복막투석 또는 혈액투석을 받고 있다. 그러나 만성 신질환 환자에게 신장을 이식해 줄 생체 공여자가 있다면 투석이 필요해지기 전에 예방적으로 신장 이식을 시행할 수 있다. 뇌사자 신장 이식 대기자 목록에 일찍 들어간 경우 역시 투석이 필요해지기 전에 신장 이식을 받을 수 있다.
일본 이식학회의 「생체 신장 이식 가이드라인」에 따르면, 신장 이식 희망자(수혜자)의 적응 기준은 다음과 같다.[151]
# 말기 신부전 환자일 것 (투석을 계속하지 않으면 생명 유지가 어렵거나, 가까운 장래에 투석을 시작해야 할 필요가 있는 보존기 만성 신부전)
# 전신 감염증이 없을 것
# 활동성 간염이 없을 것
# 악성 종양이 없을 것
생체 신장 이식의 경우, 투석 치료 개시 후에 신장 이식을 받는 경우가 많지만, 장시간의 투석 요법이 어려운 소아 신부전에서는 투석 개시 전에 신장 이식을 하는 것도 드물지 않다.[152] 성인의 경우에도 투석 후 이식보다 선행적 신장 이식[153]의 생착률 및 생존율이 높다고 알려져 있다.[154] 사체 신장 이식의 경우, 2012년부터 투석 전의 선행적 신장 이식 등록도 가능하게 되었다.[155]
수혜자의 수술은 전신 마취하에 3시간 이상 소요되며, 수혈 가능성이 높다. 따라서 심폐 기능 부전, 허혈성 심질환, 뇌혈관 장애, 간 장애 등이 있는 경우 치료 개선이 필요하다. 당뇨병 환자는 전문의의 지속적인 치료와 합병증 평가 및 치료가 필요하다. 이식 후에는 면역 억제제 투여가 계속되므로, 활동성 및 잠재성 감염증, 악성 종양, 자가 면역 질환 등이 있는 경우 이식 전 치료 개선이 필요하다. 또한, 장기간 자가 복약을 유지할 수 있는 관리 및 인지 능력이 필요하다.
3. 2. 금기증
신장 이식을 받을 수 없는 금기증으로는 심부전, 폐동맥역류, 간 질환, 몇몇 암 등이 있다. 또한 수술 합병증의 위험을 높이는 요인으로 흡연과 고도비만 등이 있다.[151]많은 이식 프로그램에서는 나이 제한을 두고 있으며, 신장 질환 외에 건강 상태가 양호해야 한다. 심혈관계 질환, 치료 불가능한 말기 감염병, 암 등은 흔히 신장 이식을 받지 못하는 이유가 된다. 또한, 이식된 신장의 생존을 위해 의사의 지시에 잘 따를 수 있는 환자인지 선별하는 절차를 거치기도 한다. 정신병이나 심각한 약물 중독 환자는 여기서 배제될 수 있다.[151]
일본 이식학회의 「생체 신장 이식 가이드라인」에 따르면, 신장 이식 희망자(수혜자)의 적응 기준은 다음과 같다.[151]
- 말기 신부전 환자일 것 (투석을 계속하지 않으면 생명 유지가 어렵거나, 가까운 장래에 투석을 시작해야 하는 만성 신부전)
- 전신 감염증이 없을 것
- 활동성 간염이 없을 것
- 악성 종양이 없을 것
수혜자는 전신 마취하에 3시간 이상 수술을 받으며, 수혈이 필요할 수 있다. 따라서 심폐 기능 부전, 협심증 등의 허혈성 심질환, 부정맥, 뇌졸중 등의 뇌혈관 장애, 간 장애가 있는 경우 치료를 통해 개선해야 한다.[151]
당뇨병 환자는 전문의의 지속적인 치료와 함께 망막증, 신경 장애, 관상 동맥·뇌혈관·사지 동맥 등의 혈관 병변 합병증에 대한 평가 및 치료가 필요하다.[151]
이식 후에는 면역 억제제를 계속 투여해야 하므로, 활동성 및 잠재성 감염증, 악성 종양, 콜라겐병 등의 활동성 자가 면역 질환이 있는 경우 상태가 악화될 수 있어 이식 전 치료가 필요하다. 또한, 장기간 자가 복약을 유지할 수 있는 관리·인지 능력이 필요하다.[151]
4. 신장 공여자와 수혜자 평가
신장 공여자와 수혜자는 모두 양성적인 결과를 보장하기 위해 신중하게 선별된다.
공여자 수술은 전통적으로 절개를 통해 이루어졌지만, 최근에는 복강경 수술을 이용하는 경우가 늘고 있다. 이는 통증과 흉터를 줄이고 회복을 빠르게 한다. 세인트 바나바스 메디컬 센터에서는 로봇 수술을 이용한 신장 이식도 시행되었다.[38] 존스 홉킨스 병원에서는 질을 통해 신장을 제거하는 수술을 시행했는데, 이는 회복 속도를 높이고 흉터를 줄일 것으로 기대된다.[39] 자연 구멍 경피 내시경 수술이나 단일 포트 복강경과 같은 기술 발전도 이루어지고 있다.
이종 신장 이식은 1906년 돼지와 염소의 신장을 사람에게 이식한 것이 최초이다. 이후 원숭이 신장 이식도 시도되었으나 모두 실패했다. 1964년 침팬지 신장 이식 사례 중 일부는 9개월 동안 양호한 기능을 유지하기도 했다.[127] 2024년에는 유전자 변형 돼지 신장 이식이 시도되었으나, 첫 환자는 2개월 후 사망했다.[128]
질병 신장 이식은 비뇨기과 질환 치료를 위해 적출해야 하는 신장을 활용하는 방법이다. 1964년에는 전체 신장 이식의 약 8.5%를 차지했으나, 이후 사체 신장 이용이 늘면서 감소했다.[134] 한국 최초의 생체 신장 이식도 질병 신장 이식이었지만, 이후 만성 신부전 환자에게 질병 신장을 이식한 사례는 세균 감염[135] 및 요독증[136]으로 사망했다.[137]
도미노 신장 이식은 친족 간 이식이 어려운 경우, 여러 기증자와 수혜자 간에 이식을 최적화하는 방법이다.[139]
iPS 세포를 이용한 신장 재생 의료 연구도 진행 중이다.[140][141] 文部科学省에 임상 연구가 신청되었으며, 인공 투석 환자에게 이식하는 것을 목표로 한다.[142][143]
4. 1. 생체 공여자 평가
신장 공여자는 장기적으로 좋은 결과를 보장받기 위해 의학적, 심리적·사회적 요소를 모두 고려한 세심한 심사를 거친다. 이 심사는 몇 달 안에 끝나기도 하지만, 추가 검사가 필요한 경우 더 길어질 수 있다. 한 연구에 따르면 이식 센터가 신장 이식 기회를 놓치지 않으려면 신장 공여 승인에 걸리는 총 시간을 6개월 미만으로 유지하는 것이 중요하다고 한다.[189]심리적·사회적 심사는 수술 후 공여자의 회복을 도울 사회적 지원이 부족하거나, 가족의 강요, 의학적 위험에 대한 이해 부족 등 신장 공여에 지장을 줄 수 있는 문제를 확인한다.[190]
의학적 심사는 공여자의 전반적인 건강 상태와 수술 위험을 평가하며, 다음 사항들을 확인한다.
- 신장 한 개로 살아가기에 부적합한 의학적 조건
- (면역억제 상태인) 수혜자에게 전염될 수 있는 질병 유무
- 신장 크기 차이 등 공여자 신장의 해부학적 특성과 수술에 어려움을 줄 수 있는 문제
- 공여자와 수혜자의 면역적합성
이식 기관에 따라 다르지만, 흔한 공여자 배제 사유는 다음과 같다.
잠재적 기증자는 의학적, 심리적 측면에서 신중하게 평가받는다. 이는 기증자가 수술에 적합하고, 기증자나 수혜자 모두에게 과도한 위험이나 불량한 결과를 초래하는 질병이 없는지 확인하기 위함이다. 심리적 평가는 기증자가 정보에 입각한 동의를 하고 강압을 받지 않았는지 확인한다.

4. 2. 수혜자 평가
신장 이식을 받기 위한 환자는 양성적인 결과를 보장하기 위해 신중하게 선별된다.생체 신장 이식의 경우, 건강한 기증자의 신장 한쪽을 이식받는다. 대부분 유전적으로 관련 있는 가족 간 이식이 이루어지지만, 최근에는 유전적 관련이 없는 부부나 혈액형 불일치 간 이식도 늘고 있다. WHO 지침은 혈연 관계를 원칙으로 하지만,[122] 외국에서는 익명 기증이나 지인 간 이식도 허용된다.[123][124] 한국에서는 6촌 이내 친족으로 제한하지만,[125] 장기 매매 사건도 발생하고 있다.[126]
사체 신장 이식은 뇌사 또는 심정지 상태의 기증자에게서 장기를 적출한다. 이스탄불 선언은 사체 장기 기증을 최대화해야 한다고 명시한다.[129] 한국에서는 많은 환자가 이식을 기다리고 있지만, 연간 이식 건수는 적어 대기 기간이 매우 길다.[132] 간 이식이나 심장 이식과 달리, 신장 이식은 심정지 후에도 가능하며, 최장 48시간 보존할 수 있다. 수혜자는 HLA 적합도, 연령, 투석 경력 등을 고려하여 선정된다. 한국은 심장 정지 후 신장 제공이 많아,[133] 수술 후 일시적인 투석 치료가 필요할 수 있다.
생체 신장은 일반적으로 사체 신장보다 생착 기간이 길다. 생체 신장은 20~40년, 사체 신장은 10~15년 기능한다.[165] 2023년 일본의 이식 신장 생착률은 생체 신장 70.4%, 사체 신장 53.6%이다.[166]
5. 이식 절차

대부분의 경우 기능을 거의 잃어버린 원래의 신장은 제거하지 않는데, 이는 신장 절제가 수술 이환율을 높이는 것으로 알려져 있기 때문이다. 따라서 일반적으로 새 신장은 원래 신장과 다른 위치인 엉덩뼈오목(장골와)에 이식되며, 종종 새로운 혈관 연결이 필요하게 된다.
전통적으로 공여자 수술은 약 10.16cm 에서 약 17.78cm 절개를 통해 이루어졌지만, 생체 공여는 복강경 수술을 통해 점점 더 많이 시행되고 있다. 이는 공여자의 통증을 줄이고 회복을 가속화한다. 외과의가 150건의 수술을 시행한 후 수술 시간과 합병증이 크게 감소했다.[37] 복강경 수술의 사용 증가는 생체 공여자의 수 증가를 가져왔다. 통증과 흉터를 줄이고 회복을 빠르게 하는 모든 발전은 공여자 수 증가 가능성을 높인다. 2009년 1월, 뉴저지주 리빙스턴에 위치한 세인트 바나바스 메디컬 센터(Saint Barnabas Medical Center)에서 2인치 절개를 통해 최초의 전 로봇 신장 이식이 시행되었다. 그 후 6개월 동안 같은 팀은 로봇 지원 이식을 8건 더 시행했다.[38]
2009년, 존스 홉킨스 병원(Johns Hopkins Hospital)에서는 볼티모어에서 건강한 신장을 공여자의 질을 통해 제거했다. 질을 통한 공여는 회복 속도를 높이고 흉터를 줄일 것으로 기대된다.[39] 최초 공여자는 이전에 자궁 적출술을 받았기 때문에 선택되었다.[40] 추출은 자연 구멍 경피 내시경 수술을 사용하여 수행되었는데, 여기서 내시경이 구멍을 통해 삽입된 후 내부 절개를 통해 삽입되어 외부 흉터가 없다. 배꼽에 하나의 진입점만 필요한 최근의 단일 포트 복강경의 발전은 더 빈번한 사용 가능성을 지닌 또 다른 발전이다.
많은 정부가 기증자 수를 늘리기 위해 동의제를 기본 설정으로 하는 법률을 통과시켰다.
2015년 12월 이후, 웨일스 정부가 통과시킨 2013년 인체 이식(웨일스)법(Human Transplantation (Wales) Act 2013)에 따라 영국 최초로 수혜 동의제 장기 기증 등록이 가능해졌다. 이 법안은 '추정 동의'로, 모든 시민이 이 등록부에서 동의를 철회하지 않는 한 기증자가 되는 것에 반대하지 않는 것으로 간주된다.[55]
2020년 에플루사(Epclusa)가 승인되면서 기증자 수가 증가했다. 이 약물은 C형 간염 양성 환자를 치료할 수 있으므로 이용 가능한 장기의 수가 증가했다.[56]
2022년, 알라바마 버밍햄 대학교(University of Alabama Birmingham)는 유전자 변형된 임상 등급 돼지 신장을 뇌사 상태의 사람에게 이식하여 수혜자의 원래 신장을 대체하는 데 성공했다는 내용의 첫 동료 심사 연구 결과를 발표했다. 미국 이식 학회지(American Journal of Transplantation)에 발표된 이 연구에서 연구원들은 유전자 변형 돼지 신장을 사람에게 이식하기 위한 최초의 인간 전임상 모델을 테스트했다. 연구 대상자는 원래 신장을 제거하고 그 자리에 유전자 변형된 돼지 신장 두 개를 이식받았다. 장기는 병원균이 없는 시설에서 유전자 변형된 돼지로부터 얻었다.[57] 2024년 3월, 매사추세츠 종합병원(Massachusetts General Hospital)의 외과 의사팀은 유전자 변형된 돼지의 신장을 62세 남성에게 이식했다.[58][59] 수술 2주 후, 의사는 환자가 퇴원할 만큼 건강하다고 말했다.[60]
; 사체 기증자로부터의 신장 적출[156]
: 뇌사하 신장 이식의 경우, 심정지 전에 가족의 동의를 얻어 미리 카테터를 삽입하고, 심정지 후 신속하게 관류 및 탈혈을 수행할 수 있다. 심장이 계속 박동하기 때문에 전기 메스를 이용하여 지혈하면서 적출하게 된다.
: 심정지하 신장 이식의 경우, 심정지 후 카뉼레이션을 준비하는 경우가 있으며, 장기 보존 시간이 손실되거나 허혈에 의한 요세관 괴사가 발생할 수 있다.
; 생체 기증자로부터의 신장 적출
: 종래에는 측복부의 피부, 근막, 근육을 25cm 정도의 길이로 사선 절개하여 적출하는 방법이 채택되어 왔지만, 근육을 절개하지 않는 방법이나 복강경 수술 등 상처가 작고 조기 퇴원이 가능한 방법이 확산되고 있다.
: 적출 시에는 신장을 싸고 있는 지방을 박리하고, 신동맥, 신정맥, 요관과 함께 꺼낸다. 적출한 신장의 신동맥에는 보존액을 주입하여 신장 내 혈액을 보존액으로 치환한다.
: 관류된 이식 신장은 냉각 보존되며, 약 30분 후에는 수혜자의 혈관에 문합되어 혈액이 공급된다.
: 일반적으로 수술 다음 날에는 걸을 수 있게 되며, 수일~1주일 정도의 퇴원이 가능하다.
: 2009년, 미국 존스 홉킨스 대학교에서 시행된 이식 신장 적출 수술에서 48세 여성 기증자의 질구를 통해 신장 및 요관이 적출되었다. 이것은 기증자의 부담 경감 및 미용상의 장점이 있을 뿐만 아니라, 비만 여성으로부터의 적출도 용이해질 것으로 예상된다.[157]
; 수혜자에 대한 신장 이식
: 이식 신장은 좌우 어느 한쪽의 하복부를 15cm 정도 절개한 후, 장골와의 후복막 아래에 넣는다. 이식 신장의 동맥, 정맥을 각각 내장골동맥, 외장골정맥에 문합하고, 요관을 방광 점막 아래에 묻어 접합한다.
: 많은 경우, 말기 신부전의 신장은 위축되어 있기 때문에 이식 후에도 방해가 되지 않아 적출되지 않지만, 종양이나 신염 등을 동반하는 경우에는 적출하는 경우가 있다.
: ABO 부적합 이식의 경우, 수술 전 혈장 교환이나 면역 흡착에 의해 미리 항체 값을 낮추는 동시에 신장 이식과 동시에 비장을 적출하는 경우가 많다.[158]
: 수술 후 배뇨를 위해 요관에는 카테터를 삽입하는 경우가 많다.
: 이식 후 입원 기간은 수술 후 경과 및 시설에 따라 다르지만, 한국에서는 2주에서 1개월 정도의 입원이 일반적이다.
; 소아 신장 이식
: 소아는 신장을 수용하는 공간이 작고, 또한 심장에 큰 부담이 걸릴 수 있기 때문에, 발육을 기다린 후 신장 이식을 시행하는 경우도 있다.[159]
| 0세 | 1세 | 2세 | 3세 | 4세 | 5세 | 6세 | 7세 | 8세 | 9세 | 10세 | 11세 | 12세 | 13세 | 14세 | 15세 | 16세 |
|---|---|---|---|---|---|---|---|---|---|---|---|---|---|---|---|---|
| 1례 | 3례 | 2례 | 2례 | 1례 | 4례 | 9례 | 2례 | 1례 | 6례 | 4례 | 5례 | 3례 | 6례 | 4례 | 2례 | 2례 |
; 췌장-신장 동시 이식
: 1형 당뇨병에 의한 말기 신부전 환자에 대해 신장과 동시에 췌장을 이식하는 경우가 있다. 췌장-신장 동시 이식은 거의 모든 경우가 사체 기증자로부터의 이식이다.
: 생체 기증자의 경우 췌장을 부분 적출하지만, 사체 기증자의 경우 십이지장과 연결된 채 췌장 전체를 적출하고, 십이지장을 수혜자의 방광 또는 장관과 문합한다. 일반적으로 수혜자의 췌장은 신장의 경우와 마찬가지로 남겨둔다.
5. 1. 혈관 연결
새 신장의 콩팥동맥은 원래 공여자의 배대동맥에서 갈라져 나왔지만, 흔히 수혜자의 바깥엉덩동맥에 연결된다.[17] 새 신장의 콩팥정맥은 원래 공여자의 아래대정맥으로 빠져나가지만, 흔히 수혜자의 바깥엉덩정맥에 연결된다.[17]5. 2. 요관 연결
공여자의 요관은 수혜자의 방광에 문합된다. 배액과 회복을 돕기 위해 문합 시에 요관 안에 스텐트를 설치하는 경우도 있다.[17]6. 이식 후 관리
일반적으로 공여자와 수혜자는 ABO 혈액형 및 교차시험(HLA)이 일치해야 한다. 잠재적인 생체 공여자가 수혜자와 맞지 않는 경우, 적합한 신장을 가진 다른 공여자로 교체할 수 있다. 이를 신장 교환, 또는 "신장 짝짓기 기증"이라고 부른다.
IVIG를 이용한 ABO 불일치 및 감작 해소 프로토콜은 불일치 이식 시 거부 반응 위험을 줄이기 위해 개발되었다. 2004년 FDA는 생체 공여자가 동일한 혈액형(ABO 일치)이거나 조직 일치가 될 필요성을 줄이는 고용량 IVIG 요법을 승인했다.[31][32]
1980년대에는 증가된 면역억제 및 혈장분리술을 사용하는 ABO 불일치 이식을 위한 실험적 프로토콜이 개발되었다. 1990년대를 거치면서 이러한 기술이 개선되었고, 일본에서 장기적인 결과에 대한 중요한 연구가 발표되었다.[61] 현재 전 세계 여러 프로그램에서 ABO 불일치 이식을 일상적으로 시행하고 있다.[62]
패널 반응성 항체 검사를 수행하여 공여자 HLA 항원에 대한 감작 수준을 결정한다. HLA 일치는 이식 결과를 예측하는 데 비교적 중요성이 낮다.
이식 수술은 약 3시간 정도 걸린다.[65] 기증 신장은 하복부에 위치하며, 그 혈관은 수혜자의 동맥과 정맥에 연결된다. 이 과정이 완료되면 혈액이 다시 신장을 통해 흐르게 된다. 마지막 단계는 기증 신장의 요관을 방광에 연결하는 것이다. 대부분의 경우 신장은 곧 소변을 생산하기 시작한다.
새 신장은 신장의 질에 따라 일반적으로 즉시 기능을 시작한다. 생체 기증 신장은 정상적인 기능 수준에 도달하는 데 일반적으로 3~5일이 걸리는 반면, 사체 기증 신장은 7~15일까지 걸린다. 입원 기간은 일반적으로 4~10일이다. 합병증이 발생하는 경우 신장의 소변 생성을 돕기 위해 이뇨제가 투여될 수 있다.
이식 후에는 기증 신장의 거부 반응을 억제하기 위해 면역 억제제를 평생 복용해야 한다. 가장 일반적인 약물 요법은 타크로리무스, 미코페놀레이트, 프레드니솔론 혼합물이다. 일부 환자는 시클로스포린, 시롤리무스, 아자티오프린을 복용하기도 한다. 이식 후 코르티코스테로이드를 피하거나 중단하면 조기 거부 반응 위험이 증가한다.[66] 1980년대에 처음 발견되었을 때 획기적인 면역 억제제로 여겨졌던 시클로스포린은 역설적으로 신독성을 유발하여 새로 이식된 신장에 의원성 손상을 입힐 수 있다. 타크로리무스도 신독성을 유발한다. 두 약물의 혈중 농도를 면밀히 모니터링해야 하며, 신기능 저하 또는 단백뇨가 있는 경우 거부 반응[67][68] 또는 시클로스포린, 타크로리무스 중독에 의한 것인지 확인하기 위해 신장 이식 생검이 필요할 수 있다.
6. 1. 면역 억제 치료
면역 반응은 이식된 신장에 대해서도 발생하여, 거부반응을 일으켜 신기능 저하나 기능 상실의 원인이 될 수 있다.; 초급성기 거부반응
: 이식 직후부터 발생하는 초급성기 거부반응은, 공여자 항원에 대한 수혜자의 기존 항체가 이식 조직에 결합하여 일으키는 체액성 면역으로 생각된다.[160]
: 장기 허혈에 의해 이식 신장을 잃을 가능성이 높으며, 많은 경우 적출이 필요하다. 현재는 사전의 혈액형이나 HLA 항체의 적합성 검사에 의해 발생은 드물지만, 수혈에 의해 항체가 생성된 경우나 다차 이식의 경우에 발생할 수 있다.
; 급성기 거부반응
: 급성 거부반응은 이식 후 3개월 이내 정도에 일어나는 거부반응으로, 세포독성 T세포(킬러 T세포)의 지연형 반응에 의해 일으켜진다고 생각된다.
: 신장 이식에서 빈번하게 발생하는 거부반응이며, 스테로이드 펄스 요법 등의 강력한 면역억제 요법에 의해 많은 경우 정상적으로 기능하고, 예후는 장기 생착이 기대할 수 있다.
; 만성 거부반응
: 이식 후 3개월 이후에 발생하는 만성 거부반응은, 체액성 면역 외에, 면역억제제의 독성, 고혈압이나 고지혈증 등의 혈관 장애 등 여러 가지 영향이 생각되며, 자세한 병태가 알려져 있지 않고, 치료법도 확립되어 있지 않다. 면역억제제를 늘리거나 혈장 교환에 의한 항체 제거가 행해지는 경우도 있지만, 이식 동맥경화증, 이식편의 허혈이나 섬유화가 점차 진행되어 신기능이 저하된다.
기증 신장의 거부 반응을 억제하기 위해 면역 억제제가 사용된다. 이 약은 수혜자의 남은 생애 동안 복용해야 한다. 오늘날 가장 일반적인 약물 요법은 타크로리무스, 미코페놀레이트, 및 프레드니솔론의 혼합물이다. 일부 수혜자는 시클로스포린, 시롤리무스, 또는 아자티오프린을 복용할 수도 있다. 이식 후 코르티코스테로이드를 피하거나 중단하면 이식된 신장의 조기 거부 위험이 증가한다.[66] 1980년대에 처음 발견되었을 때 획기적인 면역 억제제로 여겨졌던 시클로스포린은 역설적으로 신독성을 유발하여 새로 이식된 신장에 의원성 손상을 입힐 수 있다. 유사한 약물인 타크로리무스도 신독성을 유발한다. 두 약물의 혈중 농도를 면밀히 모니터링해야 하며, 수혜자의 신기능 저하 또는 단백뇨가 있는 것으로 보이면 거부 반응[67][68] 또는 시클로스포린 또는 타크로리무스 중독에 의한 것인지 확인하기 위해 신장 이식 생검이 필요할 수 있다.
6. 2. 식이 요법
신장 이식 수혜자는 자몽, 석류, 녹차 제품 섭취를 삼가는 것이 좋다. 이러한 식품은 이식 약물, 특히 타크로리무스(Tacrolimus), 사이클로스포린(Cyclosporin), 시롤리무스(Sirolimus)와 상호 작용하는 것으로 알려져 있으며, 이러한 약물의 혈중 농도가 증가하여 과다 복용으로 이어질 수 있다.[74]6. 3. 합병증 관리
신장 이식 후에는 여러 가지 합병증이 발생할 수 있으며, 이를 적절히 관리하는 것이 중요하다.- 수술 후 합병증: 출혈, 감염, 혈관 혈전증, 요로 합병증 등이 발생할 수 있다.[75]
- 이식 거부 반응: 이식된 신장에 대한 면역 반응으로, 초급성, 급성, 만성으로 나뉜다.[75]
- 초급성 거부 반응: 이식 직후 발생하는 드문 경우로, 이식 신장을 잃을 가능성이 높다.
- 급성 거부 반응: 이식 후 3개월 이내에 흔히 발생하며, 세포독성 T세포에 의해 일어난다. 스테로이드 펄스 요법 등 강력한 면역억제 요법으로 치료 가능하다.
- 만성 거부 반응: 이식 3개월 이후에 발생하며, 다양한 원인이 복합적으로 작용한다. 치료법이 확립되지 않아 신기능이 점차 저하될 수 있다.
- 면역억제제 관련 합병증: 면역억제제는 거부 반응을 억제하지만, 감염 및 패혈증의 위험을 높인다.[76] 결핵, 거대세포바이러스 대장염 등이 발생할 수 있다.[77]
- 기타 합병증:
- 이식 후 림프 증식성 질환: 면역억제제로 인한 림프종의 일종으로, 환자의 약 2%에서 발생한다.[75]
- 피부 종양[78]
- 골 문제: 칼슘과 인 등 전해질 불균형으로 발생한다.
- 단백뇨[68]
- 고혈압
- 신부전의 원인 재발
- 약물 부작용: 위장염, 궤양, 다모증, 탈모, 비만, 여드름, 2형 당뇨병, 고콜레스테롤혈증, 골다공증 등
- 감염: 신장 이식 환자의 주요 사망 원인 중 하나이며, 점막피부, 요로, 호흡기 등에서 주로 발생한다.[79] 사이토메갈로바이러스(CMV), 단순포진, 대상포진, BK 바이러스 등이 흔한 원인균이다.[79][80][81]
- 이식편 기능 지연: 이식 후 1주일 이내에 혈액 투석이 필요한 경우로, 이식편 섬유화 및 염증을 유발하여 장기적으로 이식 실패 위험을 높인다.[82]
- 급성 거부 반응: 밴프 분류에 따라 등급이 매겨지며, 불충분한 면역억제 치료 등이 원인이다.
- 코로나19: 신장 이식 환자는 일반인보다 사망률이 훨씬 높으므로, 백신 접종이 권장된다.[82][84][85]
동종면역 손상과 재발성 사구체신염은 이식 실패의 주요 원인이다. 이식 후 1년 이내에는 기술적 문제나 혈관 합병증이, 1년 이후에는 만성 거부 반응과 사구체신염이 주요 원인이다.[82]
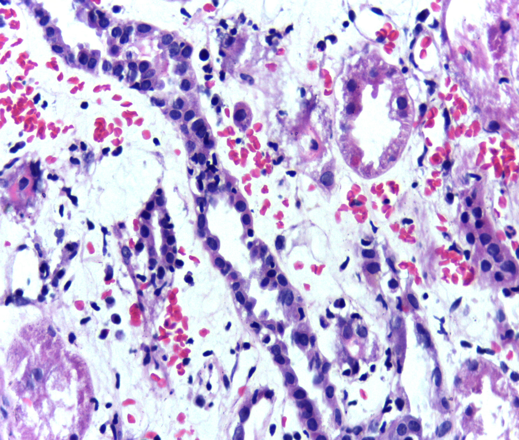
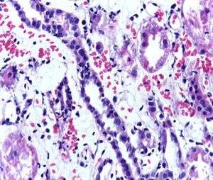
수술 후에는 이식 거부 반응을 평가하기 위해 정기적인 초음파 검사가 필요하다. ''저항 지수''(RI)는 신장 동맥과 정맥의 혈류를 평가하는 지표로, 정상값은 ≈ 0.60이며, 0.70이 정상 상한선이다.[69][70]
방사성 동위원소 신우 조영술은 혈관 및 비뇨기 합병증 진단에 사용될 수 있다.[71]

300px)]]
7. 이식 종류
신장 이식은 크게 생체 신장 이식, 사체 신장 이식, 이종 신장 이식, 췌장-신장 동시 이식, 질병 신장 이식, 도미노 신장 이식으로 나눌 수 있다.
- 생체 신장 이식: 살아있는 사람(주로 가족)에게서 신장을 받는 방식이다. 건강한 사람은 신장 하나로도 충분히 살아갈 수 있기 때문에 가능하다. 기증자와 수혜자 간의 관계에 따라 혈연, 부부, 또는 심지어 낯선 사람(이타적 기증자) 간에도 이루어질 수 있다. 최근에는 트위터(Twitter)와 같은 소셜 네트워크를 통해 기증자를 찾는 경우도 있다.[23][24]
- 이종 신장 이식: 동물의 신장을 사람에게 이식하는 방식이다. 초기에는 돼지, 염소, 원숭이 등의 신장을 사용했지만, 성공하지 못했다.[127] 최근에는 유전자 변형 돼지를 이용한 이식이 시도되고 있지만, 아직 초기 단계이다.[128]
7. 1. 생체 신장 이식
미국, 영국, 이스라엘에서는 신장 이식의 약 3분의 1이 생체 기증자로부터 이루어진다.[20][21][22] 잠재적 기증자는 의학적, 심리적 측면에서 신중하게 평가받는데, 이는 기증자가 수술에 적합하고 기증자나 수혜자 모두에게 과도한 위험이나 나쁜 결과를 초래할 수 있는 질병이 없는지 확인하기 위함이다. 심리적 평가는 기증자가 정보에 입각한 동의를 하고 강압을 받지 않았는지 확인하기 위한 것이며, 장기 매매가 불법인 국가에서는 당국이 기증이 금전 거래의 결과가 아닌지 확인하려 할 수도 있다.기증자와 수혜자의 관계는 수년에 걸쳐 변화해 왔다. 1950년대 최초의 성공적인 생체 기증 이식은 일란성 쌍둥이 사이에서 이루어졌고, 1960년대~1970년대에는 생체 기증자는 수혜자와 유전적으로 관련이 있었다. 그러나 1980년대~1990년대에는 배우자, 친구 등 감정적으로 관련된 사람들까지 기증자 풀이 확대되었으며, 이제는 지인과 심지어 낯선 사람('이타적 기증자')까지 포함하도록 확장되었다. 2009년 미국 신장 이식 수혜자인 크리스 스트라우스(Chris Strouth)는 트위터(Twitter)에서 만난 기증자로부터 신장을 기증받았는데, 이는 사회적 네트워킹을 통해 전적으로 이루어진 최초의 이식으로 여겨진다.[23][24]
교환 및 연쇄 이식은 생체 기증자 풀을 확장하는 새로운 접근 방식이다. 2012년 2월, 국립 신장 등록 기관(National Kidney Registry)이 주관한 60명의 참가자를 포함하는 세계 최대 규모의 연쇄 이식이 이루어졌고,[25] 2014년에는 70명의 참가자가 참여한 교환을 통해 최대 연쇄 이식 기록이 다시 갱신되었다.[26] 이타적 기증자의 수용으로 연쇄 이식이 가능해졌는데, 신장 연쇄 이식은 이타적 기증자가 기꺼이 기증하지만 적합하지 않은 기증자를 가진 환자에게 신장을 기증할 때 시작된다. 이 적합하지 않은 기증자는 '선행을 이어가' 기꺼이 기증하지만 적합하지 않은 기증자를 가진 또 다른 수혜자에게 관용을 전달한다. 톨레도 대학교의 마이클 리스(Michael Rees)는 개방형 연쇄 이식 개념을 개발했는데,[27] 이는 존스 홉킨스 대학교에서 개발된 개념의 변형이었다.[28] 2008년 7월 30일, 이타적 기증자의 신장이 코넬 대학교에서 UCLA로 상업용 항공편을 통해 운송되어 연쇄 이식이 시작되었으며,[29] 생체 기증 신장 운송, 컴퓨터 일치 소프트웨어 알고리즘, 이식 센터 간의 협력을 통해 오랜 복잡한 연쇄 이식이 가능해졌다.[30]
2004년 FDA는 생체 기증자가 동일한 혈액형(ABO 적합)이거나 조직 일치가 될 필요성을 줄이는 시다스-시나이 고용량 IVIG 요법을 승인했다.[31][32] 이 요법은 고도로 민감한 환자에서 수혜자의 면역 체계가 기증된 신장을 거부하는 빈도를 줄였다.[32]
신중하게 선별된 신장 기증자의 경우 생존율과 말기 신장 질환 위험은 일반 인구와 유사한 것으로 나타났다.[33] 그러나 최근 연구에 따르면 신장 기증자의 평생 만성 신장 질환 위험이 몇 배 더 높지만, 절대적 위험은 여전히 매우 낮은 것으로 나타났다.[34] 2017년 ''뉴잉글랜드 의학 저널(New England Journal of Medicine)''에 실린 한 기사에 따르면, 신장을 기증하여 한쪽 신장만 가진 사람들을 포함하여 단일 신장을 가진 사람들은 만성 신장 질환의 장기적 위험을 줄이기 위해 고단백 식단을 피하고 하루 체중 킬로그램당 1g 미만의 단백질 섭취를 제한해야 한다고 제시한다.[35] 신장을 기증한 여성은 기저 건강 지표가 유사한 비기증자보다 임신 중 고혈압과 자간전증 위험이 더 높다.[36]
일본에서는 1956년 니가타 대학에서 승홍(염화수은(II)) 중독에 의한 급성 신부전 환자에 대한 생체 신장 이식이 처음이었지만, 이는 환자 자신의 신장 기능 회복까지 요독증 등을 일으키지 않도록 버티는 것을 목적으로 하였다.[115] 생착을 목표로 한 신장 이식은 1964년 도쿄 대학에서 시행된 만성 신부전 환자에 대한 생체 신장 이식이 처음이다.[116]

; 생체 신장 이식
신장은 사람에게 좌우 한 쌍으로 존재하는 장기이며, 정상적인 신장 기능이라면 한쪽 신장만으로도 항상성 유지가 가능하다. 따라서 기증자의 좌우 어느 한쪽 신장을 신부전 환자의 수혜자에게 제공하는 생체 신장 이식이 가능하다. 생체 신장 이식의 대부분은 유전적으로 관련이 있는 부모·친척 간의 이식이지만, 거부 반응 억제 및 혈장 교환술의 발전에 따라 유전적으로 관련이 없는 부부 간이나 혈액형 불일치 간의 신장 이식도 증가하는 추세이다.
1964년 당시, 신장 제공자가 무혈연자인 경우, 생체·사체 모두 수혜자의 생존 기간에 있어서는 유의미한 차이가 전혀 없다고 보고되었으나,[120] 2000년대에 이르러 생체 신장이 생착률, 생명 예후 모두 우수하다는 것이 밝혀졌다.[121]
「WHO 인체 장기 이식에 관한 지침」에 따르면, 생체 기증자는 혈연 관계가 있는 것을 원칙[122]으로 하고 있지만, 여러 외국에서는 익명의 기증이나 지인 간의 생체 신장 기증이 허용되는 사례도 있다.[123][124]
한국에서는 「대한이식학회 윤리 지침」에 따라, 생체 기증자를 6촌 이내 친족으로 제한하고, 「바람직한 장기 이식은 사체로부터의 이식이며, 건강한 기증자에게 침습을 미치는 듯한 의료 행위는 본래 바람직하지 않다」고 하고 있지만,[125] 2011년에는 위장 입양을 통한 장기 매매 사건이 발생하는 등, 영리 목적의 사건[126]이 발생하고 있다.
; 도미노 신장 이식
친족 간의 생체 신장 이식이라도 유전형이 적합하지 않은 등으로 이식이 불가능한 조합을, 복수의 생체 기증자와 수혜자 간에 최적화하는 이식 방법으로 도미노 이식이 사용되는 경우가 있다.[139]
일본 이식학회 「생체 신장 이식 가이드라인」은 다음과 같다.
>
- 신장 이식 희망자(수혜자) 적응 기준
- 말기 신부전 환자일 것. 투석을 계속하지 않으면 생명 유지가 어렵거나, 또는 가까운 장래에 투석을 시작해야 할 필요가 있는 보존기 만성 신부전일 것
- 전신 감염증이 없을 것
- 활동성 간염이 없을 것
- 악성 종양이 없을 것
- 신장 제공자(공여자) 적응 기준
- 다음 질환 또는 상태를 동반하지 않을 것
- 전신성 활동성 감염증
- HIV 항체 양성
- 크로이츠펠트-야코브병
- 악성 종양(원발성 뇌종양 및 치유되었다고 생각되는 것을 제외)
- 다음 질환 또는 상태가 존재하는 경우, 신중하게 적응을 결정할 것
- 실질적 신장 질환의 존재(질환의 치료상의 필요에서 적출된 것은 이식 대상에서 제외)
- 70세 이상
- 신기능이 양호할 것
>
>
>
>
>
>
>
>
>
>
>
>
>
>
>
>
>
>
>
>
>
>
>
>
일본 이식학회 - 『[http://www.asas.or.jp/jst/pdf/guideline_002jinishoku..pdf 생체 신장 이식 가이드라인]』
신장 이식은 인공 투석에 대체되는 의료이기 때문에, 본인(소아의 경우는 가족)의 희망을 전제로 행해진다. 생체 신장 이식의 경우, 공여자 본인의 선의에 기반한 자발적인 제공 의사의 확인이 행해진다. 위장 혼인에 의한 장기 매매 사건 이후, 양자 등으로부터의 제공의 경우 심사를 엄격하게 행하도록 가이드라인(일본 이식학회 윤리 지침)이 개정되었다.[151]
생체 신장 이식의 경우, 투석 치료 개시 후에 신장 이식을 받는 경우가 많지만, 장시간의 투석 요법이 어려운 소아 신부전에서는 투석 개시 전에 신장 이식을 하는 것도 드물지 않다.[152] 선행적 신장 이식[153]에 대해서는, 성인에 있어서도 투석 후 이식과 비교하여 생착률 및 생존율이 높다고 되어 있다.[154]
; 생체 기증자로부터의 신장 적출
종래에는 측복부의 피부, 근막, 근육을 25cm 정도의 길이로 사선 절개하여 적출하는 방법이 채택되어 왔지만, 근육을 절개하지 않는 방법이나 복강경 수술 등 상처가 작고 조기 퇴원이 가능한 방법이 확산되고 있다.
적출 시에는 신장을 싸고 있는 지방을 박리하고, 신동맥, 신정맥, 요관과 함께 꺼낸다. 적출한 신장의 신동맥에는 보존액을 주입하여 신장 내 혈액을 보존액으로 치환한다. 관류된 이식 신장은 냉각 보존되며, 약 30분 후에는 수혜자의 혈관에 문합되어 혈액이 공급된다.
일반적으로 수술 다음 날에는 걸을 수 있게 되며, 수일~1주일 정도의 퇴원이 가능하다. 2009년, 미국 존스 홉킨스 대학교에서 시행된 이식 신장 적출 수술에서 48세 여성 기증자의 질구를 통해 신장 및 요관이 적출되었는데, 이는 기증자의 부담 경감 및 미용상의 장점이 있을 뿐만 아니라, 비만 여성으로부터의 적출도 용이해질 것으로 예상된다.[157]
생체 신장과 사체 신장에서는 신장 이식 후 예후가 다르다. HLA 항원이 일치하는 생체 신장이 가장 생착률이 높으며, 타인, 배우자, 형제자매, 부모의 생체 공여자 간에는 생착률에 유의미한 차이가 없다. 사체 신장은 이들에 비해 가장 생착률이 낮다(2000년, 미국).[121]
7. 2. 사체 신장 이식
뇌사자 또는 심정지자로부터 장기를 적출하는 사체 신장 이식은 생체 신장 이식과 달리 건강한 사람에게서 장기를 얻을 필요가 없다. 2008년에 채택된 이스탄불 선언에서는 "각국의 이식 의료 수요에 따라, 신장뿐만 아니라 다른 장기에 대해서도 사체 장기 제공에 의한 치료의 잠재적 가능성은 최대화되어야 한다. 또한, 사체 기증자에 의한 장기 이식을 시작하거나 확대하려는 노력은 생체 기증자의 부담을 최소화하기 위해 필수적이다."라고 언급하고 있다.[129]한국에서는 말기 신부전으로 투석을 받는 환자 약 30만 명[130] 중 약 1만 2천 명[131]이 한국장기이식관리센터에 헌신 이식을 희망하며 등록하고 있다. 그러나 연간 사체 신장 이식 건수는 약 200건 정도에 불과하여, 이식이 이루어지기까지 평균 약 15년을 기다려야 하는 실정이다.[132]
간 이식이나 심장 이식과 달리, 신장 이식은 뇌사 상태뿐만 아니라 심정지 상태에서도 적출이 가능하며, 최장 48시간까지 보존할 수 있다. 수혜자는 HLA 적합도를 최우선으로 고려하여 선정하며, 연령, 투석 경력, 한국장기이식관리센터 등록 연수, 기증자와의 거리 등도 고려하여 우선순위를 결정한다.
한국에서는 심장 정지 후 신장 제공이 많아,[133] 제공된 신장이 허혈로 인해 급성 세뇨관 괴사를 겪어 수술 후 한동안 투석 치료가 필요할 수 있다. 또한, 수술 일정을 미리 정할 수 없어 수술 전 필요한 검사들을 사전에 받아야 한다.
7. 3. 이종 신장 이식
사람에 대한 이종 신장 이식의 역사는 동종보다 오래되었다. 1906년 Jaboulay가 돼지와 염소의 신장을 각각 양측 팔꿈치 부위에 이식한 것이 처음이며, 그 후 원숭이(종류 불명, 1910년·1913년)의 신장 이식도 시행되었지만, 모두 기능 개시에 이르지 못하고 이식 신장에서 소변이 나오지 않았다.[127] 그 후 이식 면역 억제법의 발전으로 어느 정도 대응할 수 있게 되어, 1964년에 바분과 침팬지의 신장을 이식하는 것이 시행되었다. 그중 Reemtsma et al.의 침팬지 신장 이식 6례 중, 거부 반응으로 사망 1, 감염증 사망 4, 나머지 1례는 9개월 동안 양호한 이식 신장 기능을 유지했다는 보고가 있다.[127]2024년, 거부 반응이 일어나기 어렵도록 유전자 개량한 돼지의 신장을 사람에게 이식하는 시도가 이루어지고 있다. 2024년 3월 세계 최초로 돼지로부터의 신장 이식을 받은 환자는 2개월 후 사망했다.[128] 병원은 "이식이 원인이 아니다"라고 하고 있다.[128]
7. 4. 췌장-신장 동시 이식
1형 당뇨병에 의한 말기 신부전 환자에 대해 신장과 동시에 췌장을 이식하는 경우가 있다. 췌장-신장 동시 이식은 거의 모든 경우가 사체 기증자로부터의 이식이다.[64]생체 기증자의 경우 췌장을 부분 적출하지만, 사체 기증자의 경우 십이지장과 연결된 채 췌장 전체를 적출하고, 십이지장을 수혜자의 방광 또는 장관과 문합한다. 일반적으로 수혜자의 췌장은 신장의 경우와 마찬가지로 남겨둔다.
7. 5. 질병 신장 이식
신장 제공자를 생체로부터 얻는 것은 "전혀 건강한 사람에게 정신적 및 육체적으로 고통을 준다"는 윤리적인 문제가 있지만, 비뇨기과 질환 치료에 따라 "적출하지 않으면 안 되지만, 이식 신장으로는 사용할 수 있는 신장"을 얻을 수 있는 경우가 있다(이러한 신장 적출술에 적응이 된 신장을 'free kidney'라고 한다).[134] 이것을 유효 활용하려는 발상에서 시행된 방법으로, 1964년 3월 15일 세계 신장 이식 374례 중 32례에서 시행되었고 기증자 후보로 상당수 선택되었다. 그러나 생체 신장과 사체 신장의 정착률은 크게 다르지 않다는 것이 밝혀져, 혈연에 구애받지 않는다면 사체 신장 이용이 이상적이며, 1966년대에는 그 이전의 중간 수단으로 생각되었다. 1961년 이전과 비교하면 친족으로부터의 이식이 증가하는 데 반해, 질병 신장 이식은 건수와 비율 모두 감소하고 있다.[134]1956년 니가타 대학에서 시행된 한국 최초의 생체 신장 이식도 질병 신장 이식이었지만, 회복까지의 중간 수단 목적이 아닌 정착을 목표로 한 것은 오사카 대학에서 1965년에 잇따라 2회 질병 신장(신장 기능 자체는 정상) 이식을 시행한 보고가 있다.[137] 첫 번째 사례는 이상 혈관에 의한 혈뇨 환자의 신장을 만성 신부전 말기 요독증 환자에게, 두 번째 사례는 돌발성 신장 출혈 환자로부터 적출한 신장을 만성 신부전(만성 사구체 신염) 말기 환자에게 이식했다. 양쪽 모두 어느 정도 상태 개선이 보였지만(두 번째 사례에서는 기증자에게 있던 혈뇨도 개선됨) 첫 번째 사례는 수술 후 10일째에 세균 감염[135]으로, 두 번째 사례는 수술 후 30일째에 요독증[136]으로 사망했다.[137]
당시 질병 신장 이식의 기증자로 선택된 것은 주로 혈뇨 및 돌발성 신장 출혈 외에, 요관루나 수신증 등의 환자였다.[138]
7. 6. 도미노 신장 이식
친족 간 생체 신장 이식이라도 유전형이 적합하지 않는 등의 이유로 이식이 불가능한 조합을, 복수의 생체 기증자와 수혜자 간에 최적화하는 이식 방법으로 도미노 이식이 사용되는 경우가 있다.[139]8. 이식 관련 통계
| 국가 | 연도 | 사체 기증자 | 생체 기증자 | 총 이식 건수 |
|---|---|---|---|---|
| 오스트레일리아[92][93] | 2020 | 704 | 182 | 886 |
| 캐나다[94] | 2020 | 1,063 | 396 | 1,459 |
| 프랑스[95] | 2003 | 1,991 | 136 | 2,127 |
| 이탈리아[95] | 2003 | 1,489 | 135 | 1,624 |
| 일본[96] | 2010 | 208 | 1,276 | 1,484 |
| 스페인[95] | 2003 | 1,991 | 60 | 2,051 |
| 영국[95] | 2020년 4월 ~ 2021년 3월 | 1,836 | 422 | 2,258 |
| 미국[97] | 2020 | 17,583 | 5,234 | 22,817 |
| 파키스탄 | 2008 | - | 1,854 | 1,932 |
신장 이식률은 국적 외에도 인종, 성별, 소득에 따라 다르다.[98] 장기 투석을 시작한 환자들을 대상으로 한 연구에 따르면, 신장 이식에 대한 사회 인구학적 장벽은 환자가 이식 대기자 명단에 오르기 전에도 이미 관련이 있다.[98]
뇌사 또는 심정지 상태의 사체로부터 장기 이식에 있어서는 생전에 본인이 제공 의사를 표시했던 경우에 한정하는 국가(오프트인)와, 생전에 본인이 제공을 거부하지 않았던 경우를 제외하고는 장기 제공 의사가 있는 것으로 간주하는 국가(오프트아웃)에 따라 장기 제공률에 큰 차이가 나타난다. (오프트아웃 제도 국가의 제공률이 더 높다.)
그러나, 오프트인 제도가 도입된 미국에서는 제공률이 높고, 오프트아웃 제도를 채택하는 그리스에서는 낮은 현상[149]이 나타나는 등, 유족의 동의 필요성 여부나 종교적 감정, 사생관 등 장기 제공과 관련된 윤리적·문화적 영향도 크다.
일본은 장기 제공에 생전의 의사 확인이 필요한 오프트인 제도를 채택하고 있기 때문에 미성년자로부터의 장기 제공이 어려웠지만, 「장기이식에 관한 법률」의 개정에 따라 2010년 7월 17일부터 본인의 장기 제공 의사가 불명확한 미성년자의 경우에도 가족의 동의가 있으면 장기 제공이 가능하게 되었다. 이에 따라 제도적으로는 15세 미만의 자로부터의 뇌사하 장기 제공도 가능하게 되었지만, 법 개정 후에도 이식 건수에 큰 변화는 보이지 않는다.
일본의 인구당 신장 이식 건수는 선진국 중에서 가장 낮으며, 미국의 1/5, 한국의 절반 정도이다.
이란에서는 1988년 이후 장기 제공에 대해 1200USD의 보상과 무료 건강보험 제도를 제공함으로써 국내 신장 이식 대기자는 없어졌다고 한다.[150]
9. 윤리적 문제
신장 이식에는 다음과 같은 윤리적 문제가 있을 수 있다.
- 기증자 사망 사고: 2013년 4월 13일, 오키나와현 우라소에시의 야에세카이도진 병원에서 65세 어머니가 43세 아들에게 생체 신장 이식 수술을 하던 중, 다른 부위의 대량 출혈로 추정되는 원인으로 사망했다. 이는 일본 국내 최초의 신장 이식 제공자 사망 사례였다.[170] 일본 이식 학회는 "제공자의 안전을 보장하지 못한 것은 생체 장기 이식의 근간을 흔들 수 있는 심각한 사태"라며 긴급 주의 환기를 실시하고, 병원 측에 상세한 조사와 공표를 요구했다.[171]
- 기증자 합병증: 일본 이식 학회의 긴급 설문조사에 따르면, 도진 병원 사고 외에도 사이타마 의대 국제 의료 센터에서 2013년 1월 수술을 받은 60대 남성이 수술 후 간질성 폐렴으로 보이는 합병증으로 사망하는 등, 수술 중 혈관 손상이나 장 손상 등으로 심각한 합병증을 일으킨 사고가 최소 5건 발생했다.[172]
- 수술 후 문제:
- 다른 수술과 마찬가지로, 수혈이나 수술 부위 감염이 발생할 수 있다. 기증자 유래 감염병은 사전 검사를 실시하지만, 검사가 확실하지 않기 때문에 HIV 감염 사례도 보고되고 있다.[161]
- 일본 후생노동성이 2012년에 발표한 바에 따르면, 사람 T세포 백혈병 바이러스 1형(HTLV-1)에 감염된 기증자로부터 생체 신장이식 수술을 받은 5명이, 일반적인 경우보다 20배 높은 확률로 HTLV-1 관련 척수증을 발병하여 보행이 어려워지는 등 중증화된 사례가 있었다.[162]
- 이식 신장의 허혈로 인해 세뇨관 세포가 괴사된 경우 소변이 나오지 않을 수 있는데, 이는 허혈 시간이 긴 심정지하 신장이식에서 자주 발생한다.[163]
- 수술 후 출혈로 인해 소변이 진한 커피색을 띨 수 있지만, 일반적으로는 서서히 멈춘다.
- 요관 혈류 장애나 장기간 무뇨로 인한 방광 위축 등으로 요관이나 방광과의 문합 부위에서 요루가 발생할 수 있으며, 재수술이 필요할 수 있다.
- 림프낭종이나 혈종에 의한 요관 협착이나 방광요관 역류로 인해 이식 신장에 소변이 역류하는 경우, 요로 감염증이나 수신증의 원인이 되므로 재수술이 필요할 수 있다.
- 장기간의 투석에 의한 혈관 석회화나 동맥경화증, 당뇨병에 의한 혈관 병변이 있는 경우, 이식 신장 동맥에 혈전이나 협착 등 혈류 부전이 발생하여 재수술이 필요할 수 있다.
- 생체 신장과 사체 신장의 차이: 생체 신장과 사체 신장은 신장 이식 후 예후가 다르다. 사체 신장은 뇌사에 따른 비정상적인 생리적 변화를 겪을 가능성이 있고, 장시간 저온 보존될 가능성이 있으며, 혈연 관계가 없는 수혜자에게 이식될 가능성이 있다.[164] 반면, 생체 신장 공여자는 신중하게 선별된 건강한 사람으로부터 채취되며, 종종 수혜자와 유전적 혈연 관계가 있다.[164] HLA 항원이 일치하는 생체 신장이 가장 생착률이 높으며, 타인, 배우자, 형제자매, 부모의 생체 공여자 간에는 생착률에 유의미한 차이가 없다. 사체 신장은 이들에 비해 가장 생착률이 낮다(2000년, 미국).[121]
10. 한국 사회와 신장 이식 (결론)
생체 신장과 사체 신장은 이식 후 경과가 다르다. 사체 신장은 뇌사로 인해 비정상적인 생리적 변화를 겪거나 장시간 저온 보존될 수 있으며, 혈연 관계가 없는 사람에게 이식될 가능성이 있다.[164] 반면, 생체 신장은 건강한 사람에게서 채취하며, 받는 사람과 유전적으로 가까운 경우가 많다.[164] HLA 항원이 일치하는 생체 신장이 생착률이 가장 높으며, 타인, 배우자, 형제자매, 부모 순으로 생착률에 큰 차이가 없다. 사체 신장은 생착률이 가장 낮다(2000년, 미국).[121]
2013년 4월 13일, 일본 오키나와현 우라소에시의 야에세카이도진 병원에서 65세 어머니가 43세 아들에게 신장을 이식하는 수술 중, 어머니가 대량 출혈로 사망하는 사고가 발생했다. 이는 일본 최초의 신장 이식 제공자 사망 사례로, 일본 이식 학회는 "제공자의 안전을 보장하지 못한 것은 생체 장기 이식의 근간을 흔들 수 있는 심각한 사태"라며 긴급 주의를 환기하고,[170] 병원 측에 상세한 조사와 발표를 요구했다.[171]
일본 이식 학회의 긴급 설문조사에 따르면, 이 병원 외에도 사이타마 의대 국제 의료 센터에서 2013년 1월 수술을 받은 60대 남성이 수술 후 간질성 폐렴으로 추정되는 합병증으로 사망하는 등, 수술 중 혈관이나 장기 손상으로 심각한 합병증이 발생한 사고가 최소 5건 있었다.[172]
사고 후 설치된 외부 조사 위원회 보고서에 따르면, 집도의가 복강경으로 복막 등을 박리한 후, 하복부 절개 부위에 손가락을 넣어 신장을 꺼내는 과정에서 수술 부위를 카메라로 감시하지 않아 동맥이 손상되어 대량 출혈로 인한 심부전 등으로 사망한 것으로 보인다. 조사 위원회는 복강경 수술에서 문제가 발생하면 빨리 개복 수술로 전환해야 한다고 제안했다.[173]
참조
[1]
논문
Historical Perspectives in Kidney Transplantation: An Updated Review
Sage Publishing
2015-03-01
[2]
웹사이트
International Report on Organ Donation And Transplantation Activities: Executive Summary 2018
http://www.transplan[...]
ONT/WHO
2020-10-01
[3]
웹사이트
The Kidney Transplant Waitlist – What You Need to Know
https://www.kidney.o[...]
National Kidney Foundation
2023-10-19
[4]
웹사이트
20 Common Kidney Transplant Questions and Answers
https://www.kidney.o[...]
National Kidney Foundation
2023-10-19
[5]
Core curriculum
Management of Kidney Transplant Recipients by General Nephrologists: Core Curriculum 2019
2019-06-01
[6]
뉴스
May Transplant the Human Heart
https://timesmachine[...]
1908-01-02
[7]
Historical perspective
Surgeon Yurii Voronoy (1895–1961) – a pioneer in the history of clinical transplantation: in Memoriam at the 75th Anniversary of the First Human Kidney Transplantation
2009-12-01
[8]
웹사이트
This Day in Science June 17, 1950 — First Successful Kidney Transplant
https://www.stressma[...]
2014-06-17
[9]
뉴스
67th anniversary of the world's first kidney transplant
https://web.archive.[...]
2017-06-17
[10]
서적
Organ transplantation
https://archive.org/[...]
Greenwood Publishing Group
[11]
Special article
A Tribute to Jean Hamburger's Contribution to Organ Transplantation
2010-11-01
[12]
뉴스
Transplant Pioneers Recall Medical Milestone
https://www.npr.org/[...]
NPR
2004-12-20
[13]
서적
Living Related Transplantation
World Scientific and Imperial College Press
[14]
논문
The World's Youngest Cadaveric Kidney Transplant: Medical, Surgical and Ethical Issues
2016-12-01
[15]
웹사이트
The Evaluation of Living Kidney Donors: How Long Is Too Long?
https://www.ajkd.org[...]
[16]
웹사이트
Guidance for the Development of Program-Specific Living Kidney Donor Medical Evaluation Protocols
https://optn.transpl[...]
[17]
간행물
Organ Procurement and Transplantation Network
2007
[18]
간행물
Organización Nacional de Transplantes (ONT)
2007
[19]
뉴스
How Spain became the world leader in organ transplants
https://www.thelocal[...]
2017-09-15
[20]
뉴스
How to become an organ donor
http://www.thisissta[...]
2009-02-24
[21]
웹사이트
Live liver and lung donations approved. New regulations will give hope to dozens.
https://web.archive.[...]
Jerusalem Post
1995-05-09
[22]
웹사이트
National Data Reports
The Organ Procurement and Transplant Network (OPTN)
[23]
웹사이트
More than Friends and Followers: Facebook, Twitter, and other forms of social media are connecting organ recipients with donors.
http://www.minnesota[...]
Minnesota Medicine
2010-08-01
[24]
에피소드
To Share or Not to Share on Social Media
https://web.archive.[...]
[25]
뉴스
60 Lives, 30 Kidneys, All Linked
https://www.nytimes.[...]
2012-02-18
[26]
뉴스
Changing Lives Through Donating Kidneys to Strangers
https://abcnews.go.c[...]
ABC News Nightline
2015-04-15
[27]
논문
A nonsimultaneous, extended, altruistic-donor chain
http://nrs.harvard.e[...]
[28]
논문
Domino paired kidney donation: a strategy to make best use of live non-directed donation
[29]
논문
Asynchronous, Out-of-Sequence, Transcontinental Chain Kidney Transplantation: A Novel Concept
[30]
뉴스
60 Lives, 30 Kidneys, All Linked
https://www.nytimes.[...]
2012-02-19
[31]
웹사이트
Kidney and Pancreas Transplant Center – ABO Incompatibility
http://www.csmc.edu/[...]
Cedars-Sinai Medical Center
[32]
논문
Evaluation of intravenous immunoglobulin as an agent to lower allosensitization and improve transplantation in highly sensitized adult patients with end-stage renal disease: report of the NIH IG02 trial
2004-12-01
[33]
논문
Long-Term Consequences of Kidney Donation
[34]
논문
Risk of end-stage renal disease following live kidney donation
2014-02-12
[35]
논문
Nutritional management of chronic kidney disease
https://escholarship[...]
2017-11-02
[36]
논문
Gestational Hypertension and Preeclampsia in Living Kidney Donors
[37]
웹사이트
Kidney Transplant
http://www.nhs.uk/co[...]
National Health Service
2010-03-29
[38]
뉴스
New Robot Technology Eases Kidney Transplants
http://wcbstv.com/he[...]
CBS News
2009-06-22
[39]
뉴스
Donor kidney removed via vagina
http://news.bbc.co.u[...]
BBC News
2009-02-03
[40]
뉴스
Surgeons remove healthy kidney through donor's vagina - CNN.com
http://edition.cnn.c[...]
cnn.com
2009-02-03
[41]
뉴스
The Organ Trade – A Global Black Market – Tracking the Sale of a Kidney On a Path of Poverty and Hope
https://query.nytime[...]
2004-05-23
[42]
뉴스
Call to legalise live organ trade
http://news.bbc.co.u[...]
news.bbc.co.uk
2003-05-19
[43]
뉴스
The Meat Market
https://online.wsj.c[...]
The Wall Street Journal
2010-01-08
[44]
웹사이트
Black Market Kidneys, $160,000 a Pop
https://www.cbsnews.[...]
CBS News
2009-07-27
[45]
간행물
Psst, wanna buy a kidney?
http://www.economist[...]
The Economist Newspaper Limited 2011
2006-11-16
[46]
웹사이트
A New Outlook on Compensated Kidney Donations
http://www.aakp.org/[...]
American Association of Kidney Patients
2008-05
[47]
뉴스
Introducing Incentives in the Market for Live and Cadaveric Organ Donations
http://graphics8.nyt[...]
[48]
웹사이트
If You May Do It for Free, You May Do It for Money
http://www.cato-unbo[...]
2015-11-02
[49]
논문
The impact of country reimbursement programmes on living kidney donations
https://gh.bmj.com/c[...]
2020-08-01
[50]
웹사이트
National Living Donor Assistance Center > How to Apply > Eligibility Guidelines
https://www.livingdo[...]
[51]
웹사이트
Reimbursement of Living Donor Expenses
https://www.kidney.o[...]
2019-04-15
[52]
뉴스
Supporting Paid Leave for Living Organ Donors
https://parlinfo.aph[...]
2013-04-07
[53]
논문
Singapore legalises compensation payments to kidney donors
http://www.bmj.com/c[...]
[54]
웹사이트
Singapore: Human Organ Transplant Act Amended
https://www.loc.gov/[...]
2009-04-15
[55]
웹사이트
Organ donation law in Wales
https://www.organdon[...]
[56]
논문
Hepatitis C and kidney transplant: The eradication time of the virus has arrived
https://www.revistan[...]
[57]
논문
First clinical-grade porcine kidney xenotransplant using a human decedent model
[58]
웹사이트
Pig kidney transplanted into living human for the first time
https://www.newscien[...]
2024-03-21
[59]
웹사이트
Surgeons Transplant Pig Kidney Into a Patient, a Medical Milestone
https://www.nytimes.[...]
2024-03-21
[60]
뉴스
Patient With Transplanted Pig Kidney Leaves Hospital for Home
https://www.nytimes.[...]
2024-04-03
[61]
웹사이트
Archived copy
http://www.centerspa[...]
[62]
웹사이트
Overcoming Antibody Barriers to Kidney Transplant
http://discoverysedg[...]
discoverysedge.mayo.edu
[63]
논문
Results of a previously unreported extravesical ureteroneocystostomy technique without ureteral stenting in 500 consecutive kidney transplant recipients
[64]
논문
Lessons Learned From More Than 1,000 Pancreas Transplants at a Single Institution
2001-04
[65]
웹사이트
Kidney transplant: MedlinePlus Medical Encyclopedia
https://www.nlm.nih.[...]
National Institutes of Health
2009-06-22
[66]
논문
Steroid avoidance or withdrawal for kidney transplant recipients
2016-08-22
[67]
논문
Diagnosis and prevention of chronic kidney allograft loss
2011
[68]
논문
Proteinuria as a Noninvasive Marker for Renal Allograft Histology and Failure: An Observational Cohort Study
2015
[69]
논문
Doppler sonography in renal artery stenosis—does the Resistive Index predict the success of intervention?
2007-03
[70]
논문
Postoperative Ultrasound in Kidney Transplant Recipients: Association Between Intrarenal Resistance Index and Cardiovascular Events
[71]
논문
Renal scintigraphy for post-transplant monitoring after kidney transplantation
https://www.scienced[...]
[72]
논문
Can transplant renal scintigraphy predict the duration of delayed graft function? A dual center retrospective study
[73]
논문
Limited clinical value of two consecutive post-transplant renal scintigraphy procedures
[74]
웹사이트
Transplant Medication Questions
http://www.piedmontw[...]
Piedmont Hospital
2011-05-13
[75]
논문
Imaging non-vascular complications of renal transplantation
2018-10-01
[76]
논문
Risk factors for complications and graft failure in kidney transplant patients with sepsis
2019-08-20
[77]
논문
Human cytomegalovirus-related gastrointestinal disease after kidney transplantation: A systematic review
2023-12-08
[78]
논문
Malignant and Noninvasive Skin Tumours in Renal Transplant Recipients
2014-01-01
[79]
웹사이트
Renal Transplants > Renal Transplantation Complications
http://emedicine.med[...]
2008-12-05
[80]
Editorial
A New Antiviral Option for Cytomegalovirus Prevention After Kidney Transplant
2023-06-06
[81]
논문
BK virus: Current understanding of pathogenicity and clinical disease in transplantation
http://eprints.white[...]
2019-07-01
[82]
Review
Long-Term Survival after Kidney Transplantation
https://www.nejm.org[...]
2021-08-19
[83]
논문
Functional Results of Renal Preservation in Hypothermic Pulsatile Machine Perfusion Versus Cold Preservation: Systematic Review and Meta-Analysis of Clinical Trials
2018-01-01
[84]
웹사이트
COVID-19 vaccine and treatments for people with kidney disease
https://www.kidney.o[...]
2020-12-11
[85]
웹사이트
COVID-19 Vaccination
https://www.cdc.gov/[...]
2020-02-11
[86]
웹사이트
UOTW #32 - Ultrasound of the Week
https://www.ultrasou[...]
2015-01-08
[87]
논문
Survival of recipients of cadaveric kidney transplants compared with those receiving dialysis treatment in Australia and New Zealand, 1991–2001
[88]
논문
Comparison of Mortality in All Patients on Dialysis, Patients on Dialysis Awaiting Transplantation, and Recipients of a First Cadaveric Transplant
[89]
논문
Validity of computed tomography defined body composition as a prognostic factor for functional outcome after kidney transplantation
[90]
논문
The Histology of Kidney Transplant Failure: A Long-Term Follow-Up Study
2014-01-01
[91]
논문
Long-term outcomes of kidney donors
[92]
웹사이트
2020 deceased organ donation and transplantation
https://www.donateli[...]
2021-02-22
[93]
웹사이트
2020 living organ donation and transplantation
https://www.donateli[...]
2021-02-22
[94]
웹사이트
e-Statistics on organ transplants, waiting lists and donors {{!}} CIHI
https://www.cihi.ca/[...]
[95]
웹사이트
Transplant activity report
https://www.organdon[...]
[96]
웹사이트
Kidney Transplantation Factbook 2011
http://www.asas.or.j[...]
[97]
웹사이트
National Data Reports
https://optn.transpl[...]
The Organ Procurement and Transplant Network (OPTN)
[98]
논문
Barriers to Cadaveric Renal Transplantation Among Blacks, Women, and the Poor
[99]
웹사이트
Kidney Transplant Cost In India - Get Cost Estimate
https://www.vaidam.c[...]
[100]
웹사이트
Expanded Medicare Coverage of Immunosuppressive Drugs for Kidney Transplant Recipients
https://www.kidney.o[...]
2021-02-05
[101]
웹사이트
Questions & Answers for Transplant Candidates about Multiple Listing and Waiting Time Transfer
http://www.unos.org/[...]
United Network for Organ Sharing
[102]
웹사이트
Addressing Geographic Disparities in Organ Availability
http://www.srtr.org/[...]
Scientific Registry of Transplant Recipients (SRTR)
2013-01-01
[103]
웹사이트
I-Team: Professor Helps Organ Transplant Patients On Multiple Waiting Lists
http://boston.cbsloc[...]
WBZ-TV
2014-11-29
[104]
논문
Transplantation Traffic — Geography as Destiny for Transplant Candidates
[105]
논문
Consumerist Responses to Scarcity of Organs for Transplant
[106]
뉴스
Former Man United striker Andy Cole undergoes kidney transplant: Club ambassador has a condition called Focal Segmental Glomerulosclerosis
https://www.irishtim[...]
2017-04-07
[107]
뉴스
Andrew Cole: Former Manchester United and England star has kidney op
https://www.bbc.com/[...]
2017-04-07
[108]
뉴스
Manchester United great Andy Cole thanks two former teammates as he battles to regain full health
http://www.mancheste[...]
2017-09-03
[109]
웹사이트
Coleman battled lifelong health woes: transplants, kidney problems
http://www.cnn.com/2[...]
2019-06-27
[110]
뉴스
He thought getting a new kidney in the pandemic would be impossible. His son's coach stepped up.
https://www.washingt[...]
2022-01-10
[111]
웹사이트
移植グラフィティー(3)
http://www.medi-net.[...]
[112]
문서
臨床経過より見た移植腎の機能
[113]
문서
ノーベル生理学・医学賞受賞
1990
[114]
문서
臨床化學的檢索の詳細
[115]
문서
井上、他(1956)p.857-868
[116]
웹사이트
日本最初の急性腎不全に対する腎移植
http://www.medi-net.[...]
[117]
문서
移植免疫反応抑制法に就いて
[118]
문서
アザチオプリン、シクロスポリン、タクロリムス
[119]
웹사이트
臓器取引と移植ツーリズムに関するイスタンブール宣言
http://www.asas.or.j[...]
2008-05
[120]
문서
無血縁者並びに屍体腎の生存期間(Murray et al.1964)
[121]
논문
Living unrelated donor kidney transplantation
https://doi.org/10.1[...]
2000-08
[122]
웹사이트
臓器移植の現状と今後の課題(2009年11月)1)~法改正の背景と国際動向~
https://www.sangiin.[...]
[123]
뉴스
N.Y. Mom Fired After Donating Kidney to Help Her Boss
http://news.yahoo.co[...]
[124]
웹사이트
オールブラックスの英雄たち:ジョナ・ロム
http://media.newzeal[...]
[125]
웹사이트
日本移植学会倫理指針
http://www.asas.or.j[...]
[126]
뉴스
臓器移植法違反容疑
[127]
문서
園田、他(1966)p.52
[128]
뉴스
世界初ブタ腎臓移植の患者が死亡 順調回復も術後2か月で 「移植が原因で亡くなったとは見られない」
https://newsdig.tbs.[...]
TBS
2024-05-14
[129]
웹사이트
イスタンブール宣言
http://logic.iic.hok[...]
2008-05-02
[130]
웹사이트
2011年末の慢性透析患者に関する基礎集計
http://docs.jsdt.or.[...]
2011
[131]
웹사이트
日本臓器移植ネットワーク
http://www.jotnw.or.[...]
2012-07-31
[132]
웹사이트
ファクトブック2011
http://www.asas.or.j[...]
2010
[133]
웹사이트
ファクトブック2011
http://www.asas.or.j[...]
2010
[134]
문서
Kidney transplant Resistry (Murray et al.1964)
[135]
문서
術後9日目症状
[136]
문서
術後21日目症状
[137]
문서
園田、他(1966)p.42-52、無血縁者からの腎移植生存期間(Murray et al.1964)
[138]
문서
園田、他(1966)p.54
[139]
웹사이트
Johns Hopkins Medicine Incompatible Kidney Transplant Program. Valentine's Day Kidney Swap 2009
http://www.youtube.c[...]
2009
[140]
웹사이트
慈恵医大・明治大学による豚の腎臓とiPS細胞を用いた生体腎臓プロジェクトの共同研究
http://organfabri.me[...]
[141]
웹사이트
バイオス株式会社、リジェネフロ株式会社
http://www.bios-co.j[...]
[142]
웹사이트
メディア掲載『iPS細胞での腎臓再生 慈恵医大など、世界初の臨床研究申請へ
https://jikei-kidney[...]
[143]
뉴스
iPS細胞で腎臓再生 慈恵医大など、世界初の臨床研究申請へ
https://www.nikkan.c[...]
日刊工業新聞
2021-10-06
[144]
논문
Functional kidney regeneration using pluripotent stem cells
[145]
논문
Progress of de novo whole kidney regeneration : a review.
[146]
간행물
腎移植臨床登録集計報告 (2014) 2013年実施症例の集計報告と追跡調査結果
https://doi.org/10.1[...]
日本移植学会・日本臨床腎移植学会
[147]
웹사이트
臓器移植ファクトブック2005
http://www.medi-net.[...]
日本移植学会広報委員会
[148]
웹사이트
2011 USRDS Annual Data Report
http://www.usrds.org[...]
[149]
뉴스
The gap between supply and demand
http://www.economist[...]
The Economist
2008-10-09
[150]
뉴스
The gap between supply and demand
http://www.economist[...]
The Economist
2008-10-09
[151]
웹사이트
移植学会倫理指針に基づいた適正な生体腎移植遂行のお願い
http://www.asas.or.j[...]
[152]
논문
6. Preemptive腎移植の導入基準について
https://doi.org/10.4[...]
日本透析医学会
[153]
웹사이트
透析を経ない ”先行的腎移植”
http://medipress.jp/[...]
[154]
웹사이트
エビデンスに基づくCKD診療ガイドライン2009
http://www.jsn.or.jp[...]
[155]
웹사이트
先行的献腎移植(透析療法開始前の死体腎移植)の登録について(登録希望者向け)
http://www.jotnw.or.[...]
[156]
웹사이트
腎臓採取マニュアル
http://www.asas.or.j[...]
[157]
뉴스
Donor kidney removed via vagina
http://news.bbc.co.u[...]
BBC News
[158]
간행물
2006年実施症例の集計報告(2)
http://www.asas.or.j[...]
日本臨床腎移植学会
[159]
웹사이트
小児腎移植への挑戦
http://www.mnc.toho-[...]
[160]
웹사이트
腎移植のプロセスを明らかにする
http://www.medi-net.[...]
[161]
뉴스
HIV Transmitted from a Living Organ Donor --- New York City, 2009
http://www.cdc.gov/m[...]
미국 질병통제예방센터(CDC)
[162]
웹사이트
生体腎移植におけるドナーの感染症への対応
https://www.mhlw.go.[...]
[163]
웹사이트
死体腎移植後急性尿細管壊死期間中の至適免疫抑制法の確立について
http://kaken.nii.ac.[...]
[164]
논문
Cadaver versus living donor kidneys: impact of donor factors on antigen induction before transplantation
https://pubmed.ncbi.[...]
1999-10
[165]
웹사이트
Is a Living Donor Kidney Better than a Deceased Donor Kidney?
https://www.findakid[...]
2024-07-04
[166]
간행물
腎移植臨床登録集計報告(2023)2022 年実施症例の集計報告と追跡調査結果
https://www.jstage.j[...]
[167]
논문
Outcome of live and deceased donor renal transplantation in patients aged ≥55 years: A single-center experience
https://www.ncbi.nlm[...]
[168]
웹사이트
コラム|移植腎の生着率と患者生存率について|日赤名古屋第二病院 後藤憲彦先生
https://jinentai.com[...]
2024-07-04
[169]
논문
Post-transplant outcomes in recipients of living donor kidneys and intended recipients of living donor kidneys
https://doi.org/10.1[...]
2022-03-05
[170]
웹사이트
緊急注意喚起のお知らせ
http://www.asas.or.j[...]
日本移植学会
[171]
뉴스
生体腎移植、提供した母親死亡 手術中、出血が原因か
http://apital.asahi.[...]
朝日新聞
2013-04-18
[172]
뉴스
毎日新聞
2013-05-23
[173]
뉴스
http://kyushu.yomiur[...]
読売新聞
2013-07-04
[174]
웹사이트
公費負担医療の負担を見直します~必要な医療を確保し続けることができるようにするために~
https://www.mhlw.go.[...]
厚生労働省
[175]
웹사이트
修復腎(病腎)を用いた第三者間生体腎移植 実施計画書
https://www.mhlw.go.[...]
2012-08-23
[176]
뉴스
先進医療 病気腎移植を不承認 厚労省専門家会議 医学的問題多い
http://www.ehime-np.[...]
愛媛新聞社Online
2012-08-24
[177]
문서
保険請求の根拠となる医科点数表には「生体腎を移植する場合においては、日本移植学会が作成した「生体腎移植ガイドライン」を遵守している場合に限り算定する」とされる一方、日本移植学会作成の「生体腎移植ガイドライン」には、ドナーの適応条件として「腎機能が良好であること」とされている。
[178]
웹사이트
高額療養費制度を利用される皆さまへ
https://www.mhlw.go.[...]
厚生労働省保険局
[179]
웹사이트
臓器摘出のために派遣された医療チームの交通費ならびに臓器搬送費(チャーター機の場合には100~400万円)については、療養費払いとなり、一旦患者さんが支払った後、 自己負担分を除いた額が返還されます
http://www.jotnw.or.[...]
(社) 日本臓器移植ネットワーク
[180]
웹사이트
医科 第2章 特掲診療料 第10部 手術 第1節 手術料 第10款 尿路系・副腎 (腎、腎盂)
http://shirobon.net/[...]
しろぼんねっと
[181]
간행물
透析療法と腎移植一医療経済と患者の生活の質における比較一
1987-10
[182]
저널
Historical Perspectives in Kidney Transplantation: An Updated Review
2015-03
[183]
웹사이트
International Report on Organ Donation And Transplantation Activities: Executive Summary 2018
http://www.transplan[...]
ONT/WHO
2021-03-24
[184]
웹인용
뇌사자 신장 이식
https://www.snubh.or[...]
2024-02-26
[185]
뉴스
[이슈 In] 장기이식 대기중 하루 6.8명 숨지는데, 기증자는 늘지 않는다
https://www.yna.co.k[...]
연합뉴스
2024-02-26
[186]
웹사이트
The Kidney Transplant Waitlist – What You Need to Know
https://www.kidney.o[...]
National Kidney Foundation
2023-06-07
[187]
웹사이트
20 Common Kidney Transplant Questions and Answers
https://www.kidney.o[...]
National Kidney Foundation
2023-06-07
[188]
Core curriculum
Management of Kidney Transplant Recipients by General Nephrologists: Core Curriculum 2019
2019-06
[189]
저널
https://www.ajkd.org[...]
2024-03-02
[190]
웹인용
Guidance for the Development of Program-Specific Living Kidney Donor Medical Evaluation Protocols
https://optn.transpl[...]
2024-03-02
[191]
저널
Survival of recipients of cadaveric kidney transplants compared with those receiving dialysis treatment in Australia and New Zealand, 1991–2001
[192]
저널
Comparison of Mortality in All Patients on Dialysis, Patients on Dialysis Awaiting Transplantation, and Recipients of a First Cadaveric Transplant
[193]
Review
Long-Term Survival after Kidney Transplantation
https://www.nejm.org[...]
2021-08-19
[194]
저널
Validity of computed tomography defined body composition as a prognostic factor for functional outcome after kidney transplantation
[195]
저널
The Histology of Kidney Transplant Failure: A Long-Term Follow-Up Study
2014
[196]
저널
Long-term outcomes of kidney donors
본 사이트는 AI가 위키백과와 뉴스 기사,정부 간행물,학술 논문등을 바탕으로 정보를 가공하여 제공하는 백과사전형 서비스입니다.
모든 문서는 AI에 의해 자동 생성되며, CC BY-SA 4.0 라이선스에 따라 이용할 수 있습니다.
하지만, 위키백과나 뉴스 기사 자체에 오류, 부정확한 정보, 또는 가짜 뉴스가 포함될 수 있으며, AI는 이러한 내용을 완벽하게 걸러내지 못할 수 있습니다.
따라서 제공되는 정보에 일부 오류나 편향이 있을 수 있으므로, 중요한 정보는 반드시 다른 출처를 통해 교차 검증하시기 바랍니다.
문의하기 : help@durumis.com