맨위로가기

동정편모충류

"오늘의AI위키"는 AI 기술로 일관성 있고 체계적인 최신 지식을 제공하는 혁신 플랫폼입니다.
"오늘의AI위키"의 AI를 통해 더욱 풍부하고 폭넓은 지식 경험을 누리세요.

1. 개요

동정편모충류는 편모를 이용하여 물을 흐르게 하고, 미세융모로 먹이를 포획하는 단세포 진핵생물이다. 이들은 칼라라고 불리는 구조를 형성하며, 주로 박테리아를 섭취하여 탄소 순환에 기여한다. 전 세계 해양, 기수, 담수 환경에 분포하며, 동물과 가장 가까운 단세포 생물로 여겨진다. 일부 종은 군체를 이루거나 로리카라는 둥지 모양의 껍질을 형성하기도 하며, 유전체 및 전사체 연구를 통해 다양한 생물학적 특성이 밝혀지고 있다.

더 읽어볼만한 페이지

  • 동정편모충류 - 살핑고이카과
    살핑고이카과는 파키소이카속, 살핑고이카속, 스텔렉소모나스속, 아울로모나스속 등을 포함하는 다양한 속으로 이루어진 단세포 생물 분류군이다.
  • 동정편모충류 - 스테파노이카과
동정편모충류 - [생물]에 관한 문서
개요
Codosiga sp.
학명Choanoflagellata
학명 명명자Kent, 1880–1882
타입 종Monosiga brevicollis
화석 범위신원생대-현재, 백악기 (세노마니안/투로니안)에서 발견된 화석은 추정
동의어Craspedmonadina Stein, 1878
Craspedomonadaceae Senn, 1900
Craspedophyceae Chadefaud, 1960
Craspédomonadophycidées Bourrelly, 1968
Craspedomonadophyceae Hibberd, 1976
Choanomonadea Krylov 외, 1980
Choanoflagellida Levine 외, 1980, Lee 외, 1985
Choanoflagellea Cavalier-Smith, 1997
Choanomonada Adl 외. 2005
Choanoflagellatea Cavalier-Smith, 1998
분류
목 및 과Craspedida
Codonosigidae
Salpingoecidae
Acanthoecida
Stephanoecidae
Acanthoecidae
특징
설명동물과 가장 가까운 살아있는 친척으로 여겨지는 진핵생물 그룹

2. 어원

동정편모충류는 그리스어 χοάνη|코아네grc("깔때기"를 의미, 깃의 모양에서 유래)와 라틴어 단어 flagellum|플라겔룸la(여기에서 영어 편모가 파생됨)의 혼성어이다.

3. 형태

상세한 형태


동정편모충류의 모식도. 편모를 둘러싸는 짙은 남색 부분이 칼라이다.


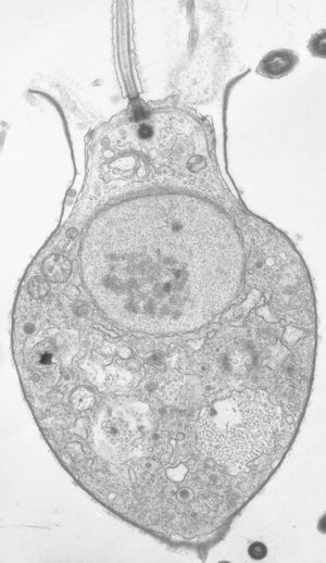
동정편모충류는 작은 편모충으로, 대부분 몸길이가 10μm를 넘지 않는다. 각 세포는 하나의 편모를 가지며, 이 편모는 액틴으로 채워진 손가락 모양의 돌기인 미세융모(microvilli)로 둘러싸여 원통형 또는 원뿔형의 칼라(collar)를 형성한다. 이 칼라 구조는 동정편모충류의 가장 큰 특징이다. 그리스어로 는 깔때기를 의미하는데, 여기서 이름이 유래했다.

편모의 움직임은 물의 흐름을 만들어 칼라 쪽으로 물을 끌어당긴다. 이때 물속의 세균이나 작은 유기물 조각(부스러기) 같은 먹이가 미세융모에 걸려 포획되고 세포 안으로 섭취된다.[13] 먹이를 잡는 것 외에도, 자유롭게 헤엄치는 종류의 경우 편모는 이동에도 사용된다. 편모가 세포 뒤쪽에서 물을 밀어내는 방식으로 움직이는데, 이는 동물정자가 움직이는 방식과 유사하다. 이는 대부분의 다른 편모충들이 편모를 진행 방향으로 뻗어 몸을 '끌고' 가는 것과는 대조적이며[13], 동정편모충류가 후생동물과 가깝다는 근거 중 하나로 여겨진다. 과거에는 동정편모충류도 두 개의 편모를 가졌을 것으로 추정되지만, 현재는 두 번째 편모가 퇴화하여 기저소체의 흔적만 남아있다.

세포 소기관의 배열은 비교적 일정하다.[14] 편모의 뿌리 부분에는 편모 기저체가 있고, 이와 직각 방향으로 두 번째 비편모성 기저체가 존재한다. 세포핵은 세포 앞쪽(정단) 중앙에 위치하며, 먹이를 소화하는 식포는 세포 뒤쪽(기저부)의 세포질에 있다.[14][15]

많은 동정편모충류는 세포체 바깥을 주벽(periplast) 또는 로리카(lorica)라고 불리는 독특한 세포 외 기질로 감싸고 있다. 이 세포 덮개의 구조와 성분은 매우 다양하며, 종을 분류하는 데 중요한 기준으로 사용된다.[14] 특히 많은 종들은 여러 개의 규산(실리카) 조각들을 붙여 바구니처럼 생긴 복잡한 구조의 집, 즉 로리카를 만든다.[14] 담수종의 로리카는 주로 유기질로 이루어져 있지만, 해양종은 유기질과 함께 규산질 성분을 가진다. 특히 얇은 막 형태의 로리카는 테카(theca)라고 부르기도 한다. 규산질 로리카는 바늘 모양의 규산 조각들이 정교하게 엮여 만들어지며, 접합부는 시멘트 같은 물질로 붙어 있다. 로리카의 미세 구조는 종을 구별하는 데 중요하지만, 광학 현미경으로는 자세히 보기 어려워 전자 현미경 관찰이 필요하다. 주벽이나 로리카의 정확한 기능은 아직 완전히 밝혀지지 않았지만, 바닥에 붙어사는(고착성) 종류의 경우 기질에 부착하는 것을 돕고[16], 물에 떠다니는(플랑크톤) 종류의 경우 물의 저항을 높여 편모 운동으로 먹이를 잡는 효율을 높이는 역할을 할 것으로 추정된다.[16]

동정편모충류는 물속을 자유롭게 헤엄치거나(운동성), 주벽이나 얇은 자루를 이용해 바닥 같은 기질에 붙어서 생활한다(부착생활).[17] 고착성 종은 편모 반대쪽에 자루를 가지고 기질에 부착한다.

4. 생태

메치니코프의 동정편모충류 군체 그림, 1886


125종 이상의 현존하는 동정편모충류[13]가 알려져 있으며, 해양, 기수담수 환경에서 북극에서 열대 지역까지 전 세계적으로 분포한다. 이들은 원양 및 저서 지역 모두에서 발견된다. 대부분의 표본은 0m에서 25m 사이 수심에서 채취되었지만, 개방 수역에서는 최대 300m 깊이[19], 남극 빙상 아래에서는 100m 깊이에서도 발견되었다.[20] 많은 종들이 세계적으로 코스모폴리탄 분포를 보이는 것으로 추정된다(예: ''Diaphanoeca grandis''는 북아메리카, 유럽, 오스트레일리아에서 보고됨). 반면, 일부 종들은 제한된 지역에만 분포하는 것으로 보고된다.[21] 같은 지역에 서식하는 동정편모충류 종들이라도 매우 다른 미세 환경을 차지할 수 있지만, 이들의 분포와 분산에 영향을 미치는 구체적인 요인은 아직 명확히 밝혀지지 않았다.

동정편모충류는 작은 편모충으로, 몸길이가 10μm를 넘는 경우는 드물다. 하나의 편모를 가지고 있으며, 그 기부를 미세융모( tentacles영어 또는 microvilli영어 )가 고리 모양으로 둘러싸 '칼라'( collar영어 )라고 불리는 구조를 형성한다. 편모 운동으로 물의 흐름을 만들어 박테리아와 같은 먹이 입자를 모으고, 칼라가 이를 포착하여 섭식한다. 고착성 종은 편모 반대쪽에 자루를 가지고 기질에 부착하여 생활한다.

자유롭게 헤엄치는 종의 경우, 편모는 먹이 섭취뿐만 아니라 세포의 이동에도 사용된다. 이때 편모는 인간의 정자처럼 세포 뒤쪽을 향하는데, 이는 대부분의 다른 편모충이 편모를 진행 방향으로 뻗는 것과 대조적이며, 동정편모충류가 후생동물과 가까운 관계임을 보여주는 근거 중 하나로 여겨진다. 동정편모충류도 과거에는 두 개의 편모를 가졌을 것으로 추정되지만, 두 번째 편모는 퇴화하여 현재는 기저소체의 흔적만 남아있다.

''Proterospongia'' 속의 종들처럼 많은 종들은 단순한 군체를 형성한다.[13] 각 세포가 편모를 가지거나 단일 줄기에 세포들이 모여 작은 포도 송이 모양의 플랑크톤 덩어리를 이루기도 한다.[14][22] 모노 호수의 군체 종인 ''Barroeca monosierra''는 다양한 공생 박테리아의 마이크로바이옴이 서식하는 세포외 기질의 분지된 네트워크로 채워진 구체를 형성한다.[23][24] 2019년 10월에는 동정편모충류가 빛에 반응하여 움직임을 조절하는 새로운 밴드 행동이 관찰되기도 했다.[25]

엽록체를 가진 동정편모충류는 발견되지 않았으며, 그 흔적 기관이나 엽록체 DNA 등도 발견되지 않았다. 모든 동정편모충류는 먹이 입자를 포식하여 살아가는 종속 영양 생물이다. 이들은 박테리아를 먹고 살며, 접근하기 어려운 형태의 탄소를 상위 영양 단계의 유기체에게 전달하는 역할을 한다.[26] 오늘날에도 탄소 순환미생물 먹이 그물에서 중요한 위치를 차지하고 있다.[13] 동정편모충류가 바이러스도 섭취한다는 증거도 있다.[27]

담수와 해수 모두에 널리 분포하지만, 세포 크기가 작고 색소체가 없으며 블룸을 형성하지 않아 눈에 잘 띄지 않는다. 또한, 독소를 생산하거나 기생성, 병원성을 가진 종은 알려져 있지 않다. 모든 종이 종속 영양성이기 때문에 해양에서는 유광층보다 깊은 곳에서도 분포한다. 특히 깨지기 쉬운 로리카(lorica, 외피)를 가진 종은 물리적 교란이 심한 표층보다는 환경이 안정된 심해를 선호하는 경향이 있다.

5. 생활사

동정편모충류는 운동성이 있어 물속을 자유롭게 헤엄치거나, 주벽 또는 얇은 자루를 통해 기질에 붙어 부착생활을 한다.[17] 이들은 스스로 양분을 만들지 못하고 외부 유기물을 섭취하는 종속영양생물이며, 대부분 자유롭게 생활한다. 하지만 Ichthyosporea 또는 Mesomycetozoa 그룹에 속하는 가까운 친척 중에는 기생 생활을 하거나 병원성을 띠는 종류도 있다.[18] 동정편모충류의 전체적인 생활사는 아직 자세히 밝혀지지 않았다. 많은 종이 혼자 생활하지만, 여러 세포가 모여 사는 군체 생활 방식도 이 그룹 내에서 여러 차례 독립적으로 진화한 것으로 보이며, 군체 생활을 하는 종들도 생활사의 특정 단계에서는 혼자 생활하는 단계를 거친다.[17]

주된 번식 방법은 무성 생식인 종분열을 통한 영양 생장이다.[15] 그러나 유성 생식의 가능성도 꾸준히 제기되어 왔다. 동정편모충류의 유전자에서 레트로트랜스포존과 감수 분열에 필요한 주요 유전자들이 발견되었기 때문이다.[30] 배수성 상태는 아직 알려지지 않았다.[29] 2017년 8월 발표된 연구에 따르면, 특정 세균의 존재와 같은 환경 변화가 동정편모충류의 집단 행동과 유성 생식을 유발할 수 있다는 결과가 나왔다.[9] 유성 생식의 구체적인 증거는 ''Salpingoeca rosetta'' 종에서 보고되었으며,[32][33] ''Monosiga brevicollis''와 ''Monosiga ovata''에서도 감수 분열 관련 유전자가 존재한다는 증거가 보고되었다.[42]

일부 동정편모충류는 환경 조건이 나빠지면 낭포(cyst)를 형성하여 휴면 상태에 들어갈 수 있다. 이 과정에서 편모와 칼라 구조가 세포 안으로 들어가고, 세포는 밀도 높은 섬유질 벽에 둘러싸인다. 환경이 다시 좋아지면 낭포에서 빠져나와 활동을 재개하는 것으로 추정되지만(낭포 탈출), 이 탈출 과정이 직접 관찰된 적은 아직 없다.[31]

6. 생체 광물화

동정편모충류는 로리카(lorica)라고 알려진 세포 바깥의 바구니 같은 구조물을 만든다. 이 로리카는 개별적인 갈비뼈 모양의 조각들로 구성되는데, 이 조각들은 규산(실리카)과 단백질이 결합된 생체 복합체로 만들어진다. 각각의 갈비뼈 조각은 동정편모충류 세포 안에서 만들어진 후 세포 표면으로 분비된다. 로리카가 조립되는 방식은 종류에 따라 다르다. 나체형(nudiform) 동정편모충류는 로리카를 구성하기에 충분한 갈비뼈 조각이 만들어지면 여러 개의 촉수를 사용하여 조립한다. 반면, 덮개형(tectiform) 동정편모충류는 갈비뼈 조각들을 목 부분(칼라) 아래에 정해진 배열로 쌓아둔다. 세포가 분열할 때, 새로 생긴 세포는 이 갈비뼈 조각들을 세포질 분열 과정의 일부로 가져가며, 이전에 만들어진 조각들만을 사용하여 자신의 로리카를 조립한다.[34]

동정편모충류의 생체 광물화 과정은 세포 내부에 규산을 농축시키는 과정이 필요하다. 이 역할은 실리콘 수송체(SiT)라는 단백질이 담당한다. 동정편모충류의 SiT를 분석한 결과, 이 단백질들은 규조류 및 다른 규산을 만드는 스트라메노필 생물의 SiT형 실리콘 수송체와 유사하다는 것이 밝혀졌다. SiT 유전자군은 다른 유전자와, 심지어 규산을 만들지 않는 동정편모충류나 스트라메노필의 유전자와도 거의 또는 전혀 상동성을 보이지 않는다. 이는 SiT 유전자군이 동정편모충류와 스트라메노필 사이에서 수평 유전자 이동 사건을 통해 진화했음을 시사한다. 이는 서로 멀리 떨어진 진핵생물 그룹 사이에서 일어난 주목할 만한 수평 유전자 이동 사례로, 고유한 SiT 유전자군의 생화학 및 규산-단백질 상호작용에 대한 단서를 제공했다.[35]

많은 유콜레피스충류는 둥지 모양의 껍질인 로리카를 형성한다. 이 로리카는 민물에 사는 종에서는 유기질만으로 이루어져 있으며, 바다에 사는 종에서는 유기질에 더하여 규산질이다. 특히 얇은 막으로 된 로리카는 theca|테카la라고 부르기도 한다. 규산질 로리카는 복잡한 둥지 모양을 하고 있으며, 바늘 모양의 규산 조각(파츠)들이 가로세로(종횡)로 조합되어 형성된다. 조각들의 접합부는 시멘트 같은 물질로 접착되어 있다. 로리카의 구조는 유콜레피스충류를 분류하는 데 중요한 특징이지만, 광학 현미경으로는 형태를 자세히 보기 어려워 동정에는 전자 현미경이 사용된다.

7. 계통 분류

동정편모충류는 후편모생물(Opisthokonta)에 속하며, 이는 분자 계통 분석 결과 강력하게 지지되는 분류이다.[58][59][60][61] 후편모생물의 공통적인 특징은 세포 뒤쪽에 달린 하나의 편모를 이용하여 유영하는 점이다.[38]

분자 계통 연구 결과, 현존하는 생물 중 동정편모충류는 동물(Animalia)과 가장 가까운 관계에 있는 것으로 밝혀졌다.[13] 이는 동물이 다세포성을 획득하기 직전의 조상과 유사한 형태를 가졌을 것으로 추정되어, 후생동물(Metazoa)의 기원과 초기 진화를 이해하는 데 중요한 단서를 제공한다.[13] 동정편모충류와 동물은 함께 깃편모충류(Choanozoa)라는 분지군을 형성한다.[49]

프랑스의 생물학자 펠릭스 뒤자르댕은 이미 1841년에 동정편모충류와 해면동물의 여름세포(choanocyte) 사이의 형태적 유사성을 지적하며 이들의 가까운 관계를 추측했다.[16] 이후 리보솜 DNA, 핵 단백질 암호 유전자, 미토콘드리아 유전체 등 다양한 분자 데이터를 이용한 분석을 통해 동정편모충류가 동물의 자매군임이 입증되었다.[18] 특히, 동정편모충류의 유전체에서는 후생동물에서 세포 신호 전달과 부착에 관여하는 유전자들과 상동인 유전자들이 발견되었다.[36]

동정편모충류와 동물의 마지막 공통 조상은 단세포 생물이었을 것으로 추정되며, 이 분화는 선캄브리아기 후기인 약 6억 년 이전(\gt600 Ma)에 일어났을 것으로 보인다.[13]

동정편모충류의 구체적인 하위 분류 체계는 연구자 및 분류 기준에 따라 다양하게 제시되어 왔으며, 자세한 내용은 #하위 분류 섹션에서 다룬다.

7. 1. 하위 분류

투과전자현미경(TEM)으로 본 ''Salpingoeca'' sp. 단면


동정편모충류의 하위 분류는 연구 방법과 관점에 따라 다양하게 제시되어 왔다. 과거에는 주로 세포 외부 구조의 형태적 특징에 기반하여 분류했지만, 최근에는 분자 계통 발생 분석을 통해 더 정확한 분류 체계가 정립되고 있다.

=== 분자 계통 발생 연구 ===

최근 핵 SSU, LSU 리보솜 RNA, 알파 튜불린, 열충격 단백질 90(HSP90) 유전자 염기서열 분석 등 분자 계통 연구가 활발히 이루어졌다.[22] 이 연구들은 동정편모충류가 단계통군임을 강력하게 지지하며, 동물의 가장 가까운 현존하는 단세포 친척이라는 기존의 학설을 재확인했다.[22]

분자 계통 분석 결과, 동정편모충류는 크게 세 개의 잘 지지되는 분지군(clade)으로 나뉜다.[22] 분지군 1과 2는 전통적으로 코도노시가과(Codonosigidae)와 살핑고이카과(Salpingoecidae)로 분류되었던 종들을 포함하며, 분지군 3은 아칸토이카과(Acanthoecidae)로 분류되었던 종들로 구성된다.[22] 이러한 계통 발생 분석은 동정편모충류의 최근 공통 조상이 정착성 단계와 운동성 단계를 모두 가지는 복잡한 생물학적 생활환을 가진 해양 생물이었을 가능성을 시사한다.[22]

=== 과거의 형태 기반 분류 ===

과거에는 세포를 둘러싼 주변질(periplast)이나 외피(theca 또는 lorica)의 유무와 구조에 따라 주로 3개의 과로 분류했다.[54]

  • '''코도노시가과''' (Codonosigidae): 주로 담수종. 외피가 없거나, 있더라도 매우 얇아 일반 광학 현미경으로는 관찰하기 어렵다. (예: ''Monosiga'', ''Codosiga'', ''Proterospongia'')
  • '''살핑고이카과''' (Salpingoecidae): 주로 담수종. 셀룰로스 등 유기물로 구성된 단단한 외피(theca)를 가지며, 광학 현미경으로 관찰 가능하다. (예: ''Salpingoeca'', ''Pachysoeca'')[40]
  • '''아칸토이카과''' (Acanthoecidae): 해양종. 바구니 모양의 로리카(lorica)를 가지며, 이 로리카는 종 특이적인 패턴으로 배열된 규소질의 스트립(strip)들로 구성된다. "로리카 동정편모충류"라고도 불린다. (예: ''Bicosta'', ''Diaphanoeca'', ''Stephanoeca'')[14][16]


그러나 분자 계통 연구 결과, 코도노시가과와 살핑고이카과는 측계통군으로 밝혀졌다. 이는 외피가 없거나 단순한 유기질 외피를 가지는 형태가 여러 계통에서 독립적으로 나타나는 수렴 진화의 결과로 해석된다.[40] 반면, 규소질 로리카를 가진 아칸토이카과는 단계통군으로 일관되게 지지받는다.[14][16][22]

=== 현재 분류 체계 ===

분자 계통 연구 결과를 반영하여, 현재 동정편모충류는 크게 2개의 목으로 분류하는 체계가 제안되었다.[50][51][52][53] 이는 세계 해양생물종 등록소(WoRMS) 등의 데이터베이스에서도 유사하게 사용된다.[56][57]

''살핑고에카 로제타'' 위상차 현미경 사진


''코도노시가''(Codosiga) sp. 광학 현미경 사진. 시베리아 토양에서 분리됨.


''데스마렐라''(Desmarella moniliformis) 군체 위상차 현미경 사진


''모노시가 브레비콜리스'' 위상차 현미경 사진


''스파에로에카'' 군체 (약 230개체) 광학 현미경 사진


동정편모충류의 주요 분류 (Nitsche et al. 2011 등 기반)[51][52][53]
주요 속특징
크라스페다목 (Craspedida) Cavalier-Smith 1997 em. Nitsche et al. 2011살핑고이카과 (Salpingoecidae) Kent 1880-1882Salpingoeca, Choanoeca, Codonocladium, Lagenoeca, Monosiga, Kentrosiga (Desmarella의 이명), Pachysoeca, Paramonosiga, Stagonoeca주로 단단한 유기질 외피(theca)를 가짐. 과거 살핑고이카과 및 코도노시가과 일부 포함. 일부 속은 분류 위치 불확실(incertae sedis).
코도노시가과 (Codonosigidae) Kent 1880-1882
(WoRMS 분류에서는 Craspedida 목 하위의 Codonosigaceae 또는 Codosigidae로 표기하기도 함[57])
Codosiga, Desmarella, Proterospongia, Sphaeroeca, Astrosiga, Stylochromonas외피가 없거나 매우 얇음. 군체를 형성하는 경우 많음. 과거 코도노시가과 일부 포함.
아칸토이카목 (Acanthoecida) Norris 1965 em. Nitsche et al. 2011아칸토이카과 (Acanthoecidae) Norris 1965 em. Nitsche et al. 2011Acanthoeca, Polyoeca, Savillea, Enibas, Helgoeca규소질 로리카(lorica)를 가짐. 로리카 스트립이 비교적 단순하게 배열됨 (나출형, Nudiform).
스테파노이카과 (Stephanoecidae) Leadbeater 2011Stephanoeca, Bicosta, Diaphanoeca, Parvicorbicula, Acanthocorbis, Calliacantha, Cosmoeca, Crinolina, Pleurasiga, Syndetophyllum규소질 로리카(lorica)를 가짐. 로리카 스트립이 복잡하게 배열되어 덮개(tectiform) 구조 형성. 일부 속은 분류 위치 불확실(incertae sedis).



위 분류는 주요 데이터베이스 및 연구[51][52][53][55][56][57]를 종합적으로 참고한 것이며, 세부적인 속의 소속이나 과의 지위는 연구자나 데이터베이스에 따라 일부 차이가 있을 수 있다. 예를 들어, 연합 단백질 데이터베이스(UniProt)는 전통적인 동정편모충목(Choanoflagellida) 아래 4과(Acanthoecidae, Stephanoecidae, Codonosigidae, Salpingoecidae)를 두는 분류를 사용하기도 한다.[55]

8. 진화

프랑스의 생물학자 펠릭스 뒤자르댕은 1841년에 이미 여포편모충류와 해면동물의 여름세포가 형태적으로 비슷하다는 점을 기록하고, 이 둘 사이에 밀접한 관계가 있을 가능성을 제기했다.[16] 지난 10여 년간, 여러 독립적인 유전자 서열 분석(18S 리보솜 DNA, 핵 단백질 암호 유전자, 미토콘드리아 유전체 등)을 통해 여포편모충류와 동물 사이의 관계가 입증되었다 (Steenkamp, et al., 2006; Burger, et al., 2003;[18] Wainright, et al., 1993). 특히, 여포편모충류와 세 종류 해면동물의 미토콘드리아 유전체 서열 비교 연구(Lavrov, et al., 2005)는 여포편모충류가 후생동물(동물계)의 자매 그룹임을 확인시켜 주었으며, 여포편모충류가 후생동물로부터 진화했을 가능성은 배제되었다. 2001년 연구에서는 여포편모충류가 후생동물의 세포 신호 전달 및 부착에 관여하는 유전자와 상동인 유전자를 가지고 있음이 밝혀졌다.[36] 유전체 염기 서열 분석 결과에 따르면, 현존하는 생물 중 여포편모충류는 동물과 가장 가까운 관계에 있다.[13]

여포편모충류와 후생동물이 밀접한 관련이 있기 때문에, 두 그룹을 비교하면 이들의 마지막 공통 조상과 후생동물 진화 초기의 사건들에 대한 중요한 단서를 얻을 수 있다. 가장 원시적인 후생동물로 여겨지는 해면동물의 깃세포(choanocyte, "깃칼라 세포"라고도 함)는 여포편모충류와 기본 구조가 같다. 깃세포는 유악동물과 같은 다른 동물 그룹에서도 발견되는데,[37] 이는 이 세포 형태가 동물과 여포편모충류의 마지막 공통 조상 때부터 존재했을 가능성을 시사한다. 동물과 여포편모충류의 마지막 공통 조상은 단세포 생물이었거나 단순한 군체를 이루었을 것으로 추정된다. 반면, 모든 진후생동물의 마지막 공통 조상은 분화된 조직, 뚜렷한 신체 구조, 배아 발생(위배엽 형성 포함) 단계를 거치는 다세포 생물이었을 것이다.[13] 이러한 진화적 분기는 후기 선캄브리아 시대, 대략 6억 년 전보다 이른 시기에 일어났을 것으로 보인다.[13]

계통분류학적으로 여포편모충류는 균류와 함께 후편모생물에 속하며, 더 상세하게는 홀로조아필로조아에 포함된다. 필로조아 내에서 여포편모충류는 필라스테레아와 자매 그룹을 이루는 여포조아를 형성하며, 여포조아는 다시 동물계와 여포편모충류로 나뉜다.[38] 이는 여포편모충류가 현존하는 생물 중 동물계와 가장 가까운 자매 그룹임을 보여준다.

다세포 생물해면동물에 존재하는 깃세포(choanocytes)는 여포편모충류와 구조적으로 매우 유사하다. 깃세포는 편형동물 등 다른 동물 그룹에서도 발견되기 때문에, 군체를 이루어 생활하는 여포편모충류가 다세포 동물의 기원일 것이라는 가설이 있다. 깃세포 외에도 규산 대사 경로, 수축포의 사용 방식 등에서도 후생동물과의 공통점이 발견된다.

''Proterospongia'' 속이나 ''Sphaeroeca volvox''와 같이 큰 군체(직경 300-500μm에 달한다)를 이루는 종에서는 군체 내 세포들의 형태 분화가 관찰된다. 군체 표면의 세포들은 편모와 뚜렷한 깃(collar)을 가지는 반면, 군체 내부의 세포들은 둥근 모양이며 깃, 편모, 로리카(lorica)가 잘 발달하지 않는다. 이러한 세포 형태의 분화가 다세포 생물에서 나타나는 세포 분업 체제의 초기 단계였을 수 있다는 견해도 있다.

9. 유전체 및 전사체

''모노시가 브레비콜리스''(Monosiga brevicollis)의 유전체는 4160만 염기쌍으로,[13] 사상균 및 다른 자유 생활 단세포 진핵생물과 크기가 비슷하지만 일반적인 동물의 유전체보다는 훨씬 작다.[13] 2010년, 계통유전체학 연구에 따르면 ''모노시가 브레비콜리스'' 유전체에는 여러 조류 유전자가 존재한다. 이는 초기 진화 과정에서, 동정편모충류가 식세포 작용을 통해 조류를 먹이로 섭취했기 때문일 수 있다.[41] Carr 등 (2010)[42]은 ''M. brevicollis'' 유전체에서 알려진 진핵생물 감수 분열 유전자를 선별했다. 테스트된 19개의 알려진 진핵생물 감수 분열 유전자 중(감수 분열 외에는 다른 과정에서 기능하지 않는 8개 포함), 18개가 ''M. brevicollis''에서 확인되었다. 감수 분열 특이 유전자를 포함한 감수 분열 유전자의 존재는 동정편모충류 내에서 감수 분열, 그리고 이를 통해 유성 생식이 존재함을 나타낸다.

살핑고에카 로세타(Salpingoeca rosetta)의 게놈 크기는 55 메가베이스이다.[43] 세포 부착, 신경 펩타이드 및 글리코스핑고지질 대사 유전자들의 상동 유전자가 게놈에 존재한다. ''S. rosetta''는 단상체와 이배체 단계 사이의 전환을 보이는 유성 생식 주기를 가지고 있다.[33] 영양분 제한에 반응하여, ''S. rosetta''의 단상체 배양은 이배체가 된다. 이러한 배수성 변화는 작은 편모 세포가 더 큰 편모 세포와 융합하는 배우자 접합과 일치한다. ''S. rosetta''에서 과거의 배우자 접합과 유전자 재조합의 증거도 있다. ''S. rosetta''는 해양 세균 ''비브리오 피셔리(Vibrio fischeri)''에 의해 유성 생식을 하도록 유도된다.[32] 단일 ''V. fischeri'' 단백질인 EroS는 살아있는 ''V. fischeri''의 최음제와 유사한 활성을 완전히 재현한다.

2019년에는 배양되지 않은 해양 동정편모충류 4종(UC1~UC4로 임시 명명)의 단일 세포 증폭 유전체가 해독되었다. UC1과 UC4의 유전체는 비교적 완전하다.[44]

2006년에 ''모노시가 오바타''(Monosiga ovata)의 EST 데이터 세트가 발표되었다.[45]전사체의 주요 발견은 동정편모충류 Hoglet 도메인이었고, 고슴도치 신호 전달 경로의 진화에서 도메인 셔플링의 역할을 밝혀냈다. ''M. ovata''는 최소 4개의 진핵생물 감수 분열 유전자를 가지고 있다.[42]

''스테파노에카 디플로코스타타''(Stephanoeca diplocostata)의 전사체는 2013년에 발표되었다. 이 로리카타 동정편모충류의 첫 번째 전사체[35]는 동정편모충류 규소 수송체의 발견으로 이어졌다. 이후, 유사한 유전자가 두 번째 로리카타 종인 ''디아파노에카 그란디스''(Diaphanoeca grandis)에서도 확인되었다. 이 유전자 분석 결과, 동정편모충류 규소 수송체는 규조류의 SIT형 규소 수송체와 상동성을 보이며 수평 유전자 이동을 통해 진화했다는 것을 알 수 있었다.

2018년에는 추가로 19개의 전사체가 발표되었다. 이로 인해 이전에 동물에만 존재한다고 여겨졌던 많은 유전자 계열이 발견되었다.[46]

참조

[1] 논문 First putative occurrence in the fossil record of choanoflagellates, the sister group of Metazoa 2023-01-23
[2] 논문 Estimating the timing of early eukaryotic diversification with multigene molecular clocks 2011-08
[3] 서적 A manual of Infusoria https://archive.org/[...] London 1880
[4] 논문 Revisions to the Classification, Nomenclature, and Diversity of Eukaryotes
[5] 논문 The genome of the choanoflagellate Monosiga brevicollis and the origin of metazoans 2008-02
[6] 논문 Higher level taxonomy and molecular phylogenetics of the Choanoflagellatea
[7] 서적 Evolutionary relationships among protozoa Kluwer 1998
[8] 서적 The choanoflagellates: evolution, biology, and ecology http://www.cambridge[...] University of Birmingham
[9] 웹사이트 Bacterial protein acts as aphrodisiac for choanoflagellates https://www.scienced[...]
[10] 논문 Re-evaluating Loricate Choanoflagellate Phylogenetics: Molecular Evidence Points to the Paraphyly of Tectiform Species https://www.scienced[...] 2022-12-01
[11] 논문 Extended divergence estimates and species descriptions of new craspedid choanoflagellates from the Atacama Desert, Northern Chile https://www.scienced[...] 2021-06-01
[12] 논문 Dating early animal evolution using phylogenomic data https://www.nature.c[...] 2017-06-15
[13] 논문 The genome of the choanoflagellate Monosiga brevicollis and the origin of metazoans 2008-02
[14] 논문 Order Choanoflagellida
[15] 논문 Cytoskeleton structure and composition in choanoflagellates 1998-05
[16] 논문 Evolution of animals choanoflagellates and sponges
[17] 논문 Life-History and Ultrastructure of a New Marine Species of ''Proterospongia'' (Choanoflagellida) 1983-02
[18] 논문 The class mesomycetozoea: a heterogeneous group of microorganisms at the animal-fungal boundary
[19] 서적 Planktonic choanoflagellates from Disko Bugt, West Greenland, with a survey of the marine nanoplankton of the area
[20] 논문 Distribution and abundance of choanoflagellates (Acanthoecidae) across the ice-edge zone in the Weddell Sea, Antarctica 1988-06
[21] 논문 Choanoflagellates of the central California waters: Taxonomy, morphology and species assemblages
[22] 논문 Molecular phylogeny of choanoflagellates, the sister group to Metazoa 2008-10
[23] 간행물 What choanoflagellates can teach us about symbiosis - PMC https://pmc.ncbi.nlm[...]
[24] 간행물 A large colonial choanoflagellate from Mono Lake harbors live bacteria https://journals.asm[...]
[25] 웹사이트 Newly Discovered Microorganisms Band Together, 'Flip Out' https://www.hhmi.org[...] 2019-10-29
[26] 논문 Plankton ecology and the Proterozoic-Phanerozoic transition http://paleobiol.geo[...] 1997-04-01
[27] 뉴스 Nothing Eats Viruses, Right? Meet Some Hungry Protists: New genetic evidence builds the case that single-celled marine microbes might chow down on viruses https://www.nytimes.[...] 2020-09-24
[28] 논문 Mode of Action of Farnesol, the "Noble Unknown" in Particular in Ca2+ Homeostasis, and its Juvenile Hormone-Esters in Evolutionary Retrospect
[29] 서적 Animal Evolution: Interrelationships of the Living Phyla Oxford University Press
[30] 논문 Conserved meiotic genes point to sex in the choanoflagellates
[31] 논문 Cyst formation in a freshwater strain of the choanoflagellate Desmarella moniliformis Kent 2000-09
[32] 논문 Mating in the Closest Living Relatives of Animals Is Induced by a Bacterial Chondroitinase 2017-09
[33] 논문 Evidence for sex and recombination in the choanoflagellate Salpingoeca rosetta 2013-11
[34] 논문 Three-dimensional images of choanoflagellate loricae 2009-01
[35] 논문 A family of diatom-like silicon transporters in the siliceous loricate choanoflagellates 2013-04
[36] 논문 A receptor tyrosine kinase from choanoflagellates: molecular insights into early animal evolution 2001-12
[37] 논문 Ultrastructure of multiciliated collar cells in the pilidium larva of ''Lineus bilineatus'' (Nemertini) 1982-10
[38] 논문 Phylogenomics Reveals Convergent Evolution of Lifestyles in Close Relatives of Animals and Fungi
[39] 서적 Biologia e Filogenia das Algas https://books.google[...] Editora Artmed 2006
[40] 문서 2005
[41] 논문 Algal genes in the closest relatives of animals 2010-12
[42] 논문 Conserved meiotic genes point to sex in the choanoflagellates
[43] 논문 Premetazoan genome evolution and the regulation of cell differentiation in the choanoflagellate Salpingoeca rosetta 2013-02
[44] 논문 Reconstruction of protein domain evolution using single-cell amplified genomes of uncultured choanoflagellates sheds light on the origin of animals. 2019-11-25
[45] 논문 An unusual choanoflagellate protein released by Hedgehog autocatalytic processing 2006-02
[46] 논문 Gene family innovation, conservation and loss on the animal stem lineage 2018-05-31
[47] 논문 First putative occurrence in the fossil record of choanoflagellates, the sister group of Metazoa 2023-01-23
[48] 논문 Estimating the timing of early eukaryotic diversification with multigene molecular clocks 2011-08
[49] 논문 The origin of the animals and a 'Savannah' hypothesis for early bilaterian evolution
[50] 간행물 Higher level taxonomy and molecular phylogenetics of the Choanoflagellatea
[51] 간행물 The Revised Classification of Eukaryotes http://www.paru.cas.[...]
[52] 간행물 Ecologically relevant choanoflagellates collected from hypoxic water masses of the Baltic Sea have untypical mitochondrial cristae
[53] 웹사이트 Choanoflagellatea 襟鞭毛虫綱 http://www.godac.jam[...] 2013-06-02
[54] 웹사이트 Zoomastigophora: Choanoflagellida http://protist.i.hos[...] 2013-06-02
[55] 웹인용 ORDER Choanoflagellida http://www.uniprot.o[...] 2014-04-19
[56] 웹인용 Acanthoecida http://www.marinespe[...] 2014-04-19
[57] 웹인용 Craspedida http://www.marinespe[...] 2014-04-19
[58] 저널 인용 The Ediacaran emergence of bilaterians: congruence between the genetic and the geological fossil records http://rstb.royalsoc[...] 2008-04-27
[59] 저널 인용 Estimating the timing of early eukaryotic diversification with multigene molecular clocks 2011-08-16
[60] 저널 인용 Novel Predators Reshape Holozoan Phylogeny and Reveal the Presence of a Two-Component Signaling System in the Ancestor of Animals
[61] 저널 인용 High-level classification of the Fungi and a tool for evolutionary ecological analyses 2018-02-22
[62] 문서 BCG1 = basal clone group 1, BCG2 = basal clone group 2



본 사이트는 AI가 위키백과와 뉴스 기사,정부 간행물,학술 논문등을 바탕으로 정보를 가공하여 제공하는 백과사전형 서비스입니다.
모든 문서는 AI에 의해 자동 생성되며, CC BY-SA 4.0 라이선스에 따라 이용할 수 있습니다.
하지만, 위키백과나 뉴스 기사 자체에 오류, 부정확한 정보, 또는 가짜 뉴스가 포함될 수 있으며, AI는 이러한 내용을 완벽하게 걸러내지 못할 수 있습니다.
따라서 제공되는 정보에 일부 오류나 편향이 있을 수 있으므로, 중요한 정보는 반드시 다른 출처를 통해 교차 검증하시기 바랍니다.

문의하기 : help@durumis.com