승모판 역류
"오늘의AI위키"의 AI를 통해 더욱 풍부하고 폭넓은 지식 경험을 누리세요.
1. 개요
승모판 역류는 좌심실 수축 시 혈액이 승모판을 통해 좌심방으로 역류하는 질환으로, 승모판 폐쇄 부전 또는 기능 부전으로도 불린다. 급성 및 만성 형태로 나타나며, 급성 시 호흡 곤란, 폐부종 등의 증상이 나타날 수 있고, 만성 시에는 무증상일 수 있으나 심부전으로 진행될 수 있다. 진단은 심장 초음파 검사 등을 통해 이루어지며, 역류 분획으로 중증도를 평가한다. 치료는 내과적 치료와 수술적 치료가 있으며, 환자의 상태와 질환의 심각도에 따라 결정된다. 심각한 승모판 역류는 인구의 약 2%에서 나타나며, 노인에게 흔하게 발생한다.
더 읽어볼만한 페이지
2. 정의
승모판 역류는 승모판 폐쇄 부전 또는 승모판 기능 부전으로도 알려져 있으며, 좌심실이 수축할 때 좌심실에서 승모판을 통해 좌심방으로 혈액이 역류하는 현상이다. 이로 인해 좌측 겨드랑이로 방사되는 수축기 심잡음이 발생한다.[5][3]
3. 증상
승모판 역류는 뚜렷한 증상이 나타나기까지 수년이 걸릴 수 있다.[1] 승모판 역류(MR)와 관련된 증상은 환자가 질병 과정의 어느 단계(급성 또는 만성)에 있는지에 따라 다르게 나타난다.[11] 자세한 증상은 각 단계별 하위 문서를 참고할 수 있다.
3. 1. 급성 승모판 역류
급성 승모판 역류(MR) 환자는 일반적으로 증상이 심하며, 급성 대상 부전으로 인한 울혈성 심부전의 징후와 증상을 보인다. 예를 들어 호흡 곤란, 폐부종, 기좌호흡, 발작성 야간 호흡 곤란 등이 나타날 수 있다.[11] 급성인 경우에는 심잡음과 빈맥(빠른 심장 박동)만이 유일하게 나타나는 특징적인 징후일 수도 있다.[12]
심장 마비의 합병증으로 유두근이 손상되거나 파열되어 급성 승모판 역류가 발생할 수 있으며, 이는 심인성 쇼크로 이어질 위험이 있다.[7]
3. 2. 만성 승모판 역류
만성적으로 보상 상태가 유지되는 승모판 역류(MR) 환자는 오랫동안 증상 없이 지낼 수 있으며, 정상적인 운동 능력을 보이고 심부전의 징후가 나타나지 않는다.[11] 그러나 시간이 지나면서 심장 기능이 저하되는 대상 부전 상태로 진행될 수 있으며, 이 경우 환자는 체액 과부하로 인한 울혈성 심부전 증상을 경험하게 된다. 대상 부전 단계로 접어들면 피로감, 특히 운동 시 호흡 곤란, 다리 부종 등의 증상이 나타날 수 있다. 또한, 심방 세동으로 알려진 불규칙한 심장 박동이 발생하기도 한다.[11]
만성 승모판 역류 환자의 임상 검사 소견은 역류의 심각도와 지속 기간에 따라 다양하게 나타난다. 청진 시 제1심음의 승모판 쪽 소리가 약하게 들리는 경우가 많고, 심장의 꼭대기 부분에서 느껴지는 박동인 심첨 박동이 정상 위치보다 왼쪽으로 이동해 있으며[11], 종종 가슴뼈 왼쪽 가장자리 부분이 튀어나와 보이는 흉골 옆 융기가 관찰된다.[12] 제1심음 이후에는 심첨 부위에서 시작하여 등이나 쇄골 부위로 퍼져나가는 고음조의 전 수축기 잡음이 들린다.[11] 이 잡음은 이름 그대로 심장이 수축하는 전체 기간 동안 지속된다. 잡음의 크기가 반드시 역류의 심각도를 반영하는 것은 아니다. 환자를 왼쪽으로 눕혔을 때 더 잘 들리는 크고 만져질 정도의 폐동맥판 닫힘 소리(P2)가 동반될 수 있으며[11], 제3심음이 들리는 경우도 흔하다.[11]
3. 3. 일반적인 증상
승모판 역류는 뚜렷한 증상이 나타나기까지 수년이 걸릴 수 있다.[1] 증상은 질병의 진행 단계에 따라 다르게 나타난다.
급성 승모판 역류의 경우, 환자는 일반적으로 증상이 심하며 급성 대상 부전성 울혈성 심부전의 징후와 증상을 보인다. 예를 들어 호흡 곤란, 폐부종, 누우면 숨쉬기 힘든 기좌호흡, 잠자는 중 숨쉬기 힘들어 깨는 발작성 야간 호흡 곤란 등이 나타날 수 있다.[11] 급성기에는 심잡음과 빠른 맥박(빈맥)만이 유일하게 나타나는 특징적인 징후일 수도 있다.[12]
만성 보상성 승모판 역류 환자는 오랫동안 증상 없이 지낼 수 있으며, 정상적인 운동 능력을 보이고 심부전의 증거가 없을 수 있다. 그러나 시간이 지나면서 심장 기능이 점차 저하(대상 부전)될 수 있고, 이 경우 체액 과부하(울혈성 심부전)가 발생할 수 있다. 대상 부전 단계로 진행하면 피로감, 특히 운동 시 호흡 곤란, 다리 부종 등의 증상이 나타날 수 있다. 또한, 심장이 불규칙하게 뛰는 심방 세동이 발생할 수도 있다.[11]
신체 검진 소견은 승모판 역류의 심각도와 지속 기간에 따라 다르다. 제1심음 중 승모판이 닫히는 소리는 일반적으로 약하게 들리며, 심장 박동이 가장 강하게 느껴지는 지점(심첨 박동)이 정상보다 왼쪽으로 이동해 있을 수 있다.[11] 종종 가슴뼈(흉골) 옆 부분이 튀어나와 보이는 흉골 옆 융기가 관찰되기도 한다.[12] 제1심음 다음에는 심장 끝부분(심첨)에서 시작하여 등이나 쇄골 부위로 퍼져나가는 고음의 전 수축기 잡음이 들린다.[11] 이 잡음은 이름 그대로 심장이 수축하는 전체 기간 동안 지속된다. 잡음의 크기가 반드시 역류의 심각도를 나타내는 것은 아니다. 환자를 왼쪽으로 눕혔을 때 폐동맥 판막이 닫히는 소리(P2 박동)가 크고 강하게 만져질 수 있으며,[11] 제3심음이 들리는 경우도 흔하다.[11]
승모판 탈출증이 있는 환자는 전 수축기 잡음이 들리거나, 종종 수축 중간 또는 후반에 '딸깍'하는 소리(클릭)와 함께 수축 후반기 잡음이 들릴 수 있다. 수축 후반기에만 역류 잡음이 들리는 경우라도 심각한 혈역학적 문제를 동반할 수 있다.[6]
유두근 손상이나 파열로 인한 승모판 역류는 심장 마비의 합병증으로 발생할 수 있으며, 심각한 경우 심인성 쇼크로 이어질 수 있다.[7]
주요 증상은 다음과 같다.3. 4. 승모판 탈출증
승모판 탈출증 환자는 전 수축기 잡음이 있거나, 중-후 수축기에 딸깍하는 소리(클릭)와 함께 후기 수축기 잡음이 들리는 경우가 많다. 후기 수축기 역류 잡음만 있는 경우라도 심각한 혈역학적 결과로 이어질 수 있다.[6]
승모판 탈출증과 관련된 증상으로는 피로감, 호흡 곤란 등이 있으며, 중증의 경우에는 실신이나 급사가 발생할 수도 있다. 급사는 연간 1.0~7.8%의 환자에게서 나타날 수 있는데, 이는 판막 첨판 탈출과 관련된 유두근의 기계적 자극이나 좌심실 부하와 관련된 심실성 부정맥 때문에 발생하는 것으로 추정된다.
4. 원인
승모판 역류는 다양한 원인에 의해 발생할 수 있다. 크게 승모판 자체의 구조적 이상으로 인한 일차성 승모판 역류와, 좌심실 확장 등 다른 심장 문제로 인해 승모판 기능에 이차적으로 문제가 생기는 이차성(기능적) 승모판 역류로 나눌 수 있다.[10]
주요 일차성 원인으로는 승모판 탈출증[8], 류마티스열, 심내막염[11], 마르판 증후군, 엘러스-단로스 증후군[11][9], 유두근 파열[11] 등이 있다. 승모판 협착증이 있는 경우에도 판막이 제대로 닫히지 않아 역류가 발생할 수 있다.
이차성 원인은 주로 좌심실이 확장되는 질환들, 예를 들어 허혈성 심장 질환, 확장성 심근병증, 비후성 심근증, 대동맥판 폐쇄 부전 등에 의해 발생한다.[10] 이러한 경우 승모판 자체는 정상이지만, 좌심실 구조 변화로 인해 판막 기능에 문제가 생긴다.
승모판 역류는 원인에 따라 급성으로 발생하거나 만성적으로 진행될 수 있으며, 급성 승모판 역류는 주로 심내막염이나 유두근 파열 등으로 인해 발생한다.[11]
4. 1. 주요 원인

승모판 장치는 두 개의 판막 엽, 판막 엽 주위를 둘러싸는 승모판 륜, 그리고 판막 엽을 좌심실 벽에 연결하여 판막이 좌심방 쪽으로 밀려나는 것을 막는 유두근으로 구성된다. 판막 엽과 유두근 사이는 힘줄 끈으로 연결되어 있다. 승모판 장치를 이루는 이 부분들 중 어느 하나라도 제대로 기능하지 못하면 역류가 발생할 수 있다.
선진국에서 승모판 역류(MR)의 가장 흔한 원인은 승모판 탈출증(MVP)이다.[8] 특히 미국에서는 일차성 승모판 역류 원인의 약 50%를 차지한다. 승모판의 점액종 변성은 여성에게서 더 흔하고 나이가 들수록 발생 빈도가 높아지는데, 이로 인해 판막 엽과 힘줄 끈이 늘어나게 된다. 이렇게 늘어난 판막은 심장이 수축할 때 완전히 닫히지 못하고 판막 엽이 좌심방 쪽으로 밀려나면서 승모판 역류를 유발한다.
허혈성 심장 질환은 유두근의 기능 장애와 좌심실 확장을 일으켜 승모판 역류를 유발할 수 있다. 이로 인해 유두근의 위치가 변하고 승모판 륜이 늘어나 판막이 제대로 닫히지 않게 된다.
류마티스열, 마르판 증후군, 엘러스-단로스 증후군 등도 승모판 역류의 다른 흔한 원인이다.[11] 승모판 협착증(MVS) 역시 승모판 역류의 원인이 될 수 있다. 협착증으로 인해 판막이 석회화되고 뻣뻣해져 움직임이 제한되면, 판막이 완전히 닫히지 않아 혈액이 역류할 수 있기 때문이다. 대부분의 승모판 협착증은 류마티스열의 후유증으로 발생하므로, 류마티스열이 승모판 협착증이나 승모판 역류, 또는 둘 다의 근본적인 원인이 될 수 있다. 승모판 역류와 승모판 탈출증은 엘러스-단로스 증후군 환자에게서도 흔하게 발견된다.[9]
이차성 승모판 역류는 좌심실이 커지면서 승모판 륜이 늘어나고 유두근의 위치가 바뀌어 발생하는 경우를 말한다. 좌심실 확장은 대동맥판 폐쇄 부전, 비허혈성 확장 심근증, 비후성 심근증 등 다양한 원인에 의해 발생할 수 있다. 이러한 경우에는 유두근, 힘줄 끈, 판막 엽 자체는 정상인 경우가 많아 기능적 승모판 역류라고도 부른다.[10]
급성 승모판 역류는 주로 심내막염, 특히 황색포도상구균 감염에 의해 발생한다.[11] 유두근의 파열이나 기능 장애 또한 급성 승모판 역류의 흔한 원인이며[11], 이러한 기능 장애에는 승모판 탈출증이 포함될 수 있다.[12]
4. 2. 이차성 승모판 역류
이차성 승모판 역류는 좌심실의 확대로 인해 승모판 륜이 늘어나고 유두근이 변위되어 발생한다. 이러한 좌심실 확장은 대동맥판 폐쇄 부전, 비허혈성 확장 심근증, 및 비후성 심근증을 포함한 모든 확장성 심근병증의 원인으로 인해 발생할 수 있다. 유두근, 힘줄 끈 및 판막 엽은 일반적으로 이러한 상태에서 정상이므로, 이를 기능적 승모판 역류라고도 한다.[10]5. 병태 생리

승모판 역류(Mitral Regurgitation, MR)의 병태생리는 질병 과정의 세 단계, 즉 급성기, 만성 보상기, 만성 비보상기로 나눌 수 있다. 각 단계는 심장의 변화와 환자가 경험하는 증상 면에서 뚜렷한 특징을 보인다.
5. 1. 급성기
급성 승모판 역류(MR)는 힘줄건이나 유두근의 갑작스러운 파열 등으로 인해 발생할 수 있으며, 좌심방과 좌심실 모두에 갑작스러운 용적 과부하를 유발한다. 좌심실은 수축할 때마다 대동맥으로 보내는 혈액량(전방 심박출량 또는 전방 일회 박출량)뿐만 아니라, 좌심방으로 역류하는 혈액(역류량)도 함께 펌핑해야 하므로 용적 과부하가 발생한다. 전방 일회 박출량과 역류량을 합친 것을 좌심실의 총 일회 박출량이라고 한다.[13]급성 상태에서는 좌심실의 일회 박출량이 증가하며(박출 계수 증가), 이는 심장이 더 완전하게 비워지기 때문에 나타나는 현상이다. 그러나 상태가 진행됨에 따라 좌심실 용적이 증가하고 수축 기능이 악화되어 좌심실 기능 부전 및 박출 계수 감소로 이어질 수 있다.[14] 일회 박출량이 증가하는 것은 프랭크-스타링 기전으로 설명되는데, 심실에 가해지는 부하가 증가하면 심근이 늘어나면서 수축이 더욱 강력하게 일어나는 원리이다.
역류량은 좌심방과 좌심실에 용적 과부하와 압력 과부하를 동시에 유발한다. 심장 좌측의 압력이 증가하면 폐정맥을 통해 폐로부터 혈액이 원활하게 배출되는 것을 억제하여 울혈성 심부전을 유발할 수 있다.[13]
5. 2. 만성기
만성 승모판 역류는 급성기를 지나 수개월에서 수년에 걸쳐 서서히 진행되는 상태를 의미한다. 이 만성기는 심장이 역류하는 혈액량에 적응하여 증상이 거의 없는 보상성 단계와, 심장 기능이 점차 저하되어 증상이 다시 나타나는 비보상성 단계로 나눌 수 있다. 각 단계별로 좌심실과 좌심방의 변화 양상 및 환자가 겪는 증상에 차이가 있다.5. 2. 1. 보상성
만약 승모판 역류가 수개월에서 수년에 걸쳐 서서히 진행되거나 급성기를 약물 치료로 관리할 수 없는 경우, 환자는 질병의 만성 보상 단계에 진입하게 된다. 이 단계에서 좌심실은 정상보다 더 큰 일회 박출량을 더 잘 관리하기 위해 편심성 비대를 겪게 된다. 편심성 비대와 확장된 이완기 용적은 일회 박출량을 증가시켜(정상 수준보다 훨씬 높게) 전방 일회 박출량(전방 심박출량)이 정상 수준에 근접하도록 한다. 좌심방에서는 용적 과부하로 인해 좌심방이 확대되어 좌심방의 충만 압력이 감소한다. 이는 폐정맥의 배출을 개선하고 폐울혈의 징후와 증상을 감소시킨다.좌심실과 좌심방의 이러한 변화는 질병의 급성기에 발생하는 낮은 전방 심박출량 상태와 폐울혈을 개선한다. 만성 보상 단계에 있는 환자는 무증상일 수 있으며 정상적인 운동 능력을 가질 수 있다.[15]
5. 2. 2. 비보상성
만성 승모판 역류 환자는 오랜 기간 보상 상태를 유지할 수 있지만, 결국 좌심실 기능이 떨어지는 비보상 단계에 이르게 된다. 어떤 요인이 비보상 단계로 이어지는지는 아직 명확하지 않으나, 이 단계는 심장 심근 세포 내 칼슘이 과도하게 쌓이는 특징을 보인다.이 단계에서는 심실 근육이 승모판 역류로 인한 혈액량 과부하를 감당할 만큼 충분히 수축하지 못하게 되어, 좌심실에서 한 번에 내보내는 혈액량(일회 박출량)이 줄어든다. 줄어든 일회 박출량은 전체 심박출량 감소와 함께, 심장이 수축한 뒤에도 좌심실에 남는 혈액량(수축 말기 용적) 증가를 일으킨다. 늘어난 수축 말기 용적은 좌심실이 혈액으로 채워질 때의 압력을 높이고 폐정맥의 울혈을 심화시킨다. 이로 인해 환자는 다시 울혈성 심부전 증상을 겪을 수 있다.[15]
비보상 단계에서는 좌심실이 확장되기 시작한다. 이는 승모판이 붙어있는 테두리(승모판륜)까지 넓어지게 만들어 승모판 역류를 더욱 악화시킬 수 있다. 또한, 확장된 좌심실은 심장 안쪽 벽에 가해지는 스트레스를 증가시킨다. 박출 계수는 급성기나 만성 보상 단계보다 비보상 단계에서 낮아지지만, 여전히 정상 범위(50% 초과)일 수 있으며 질병이 상당히 진행된 후에야 감소하는 경우도 있다. 따라서 다른 심장 문제가 없는 승모판 역류 환자에게서 박출 계수가 감소한다면, 질병이 비보상 단계에 접어들었을 가능성을 염두에 두어야 한다.
6. 진단
승모판 역류(MR) 진단을 위해 다양한 검사가 시행된다. 심전도(ECG)나 흉부 X선 검사 등에서 이상 소견이 나타날 수 있으며, 이는 추가적인 정밀 검사의 필요성을 시사한다. 승모판 역류의 심각성을 평가하기 위한 정량적 검사도 중요한데, 주로 심장 초음파 검사나 자기 공명 혈관 조영술과 같은 영상 검사가 이용된다.
6. 1. 일반적인 검사
승모판 역류(MR)가 있는 경우 이상 소견을 보이는 진단 검사가 많다. 이러한 검사는 MR의 진단을 시사하며, 의사에게 추가 검사가 필요함을 나타낼 수 있다. 예를 들어, 오래 지속된 MR의 심전도(ECG)는 좌심방 비대와 좌심실 확장의 증거를 보일 수 있다. 만성 승모판 역류가 있는 개인의 ECG에서 심방 세동이 나타날 수도 있다. 급성 MR의 경우 ECG에서 이러한 소견이 나타나지 않을 수 있다.
MR의 정량화는 일반적으로 영상 검사를 사용하며, 여기에는 심장 초음파 검사 또는 자기 공명 혈관 조영술이 포함된다.
만성 승모판 역류가 있는 환자의 흉부 X-ray는 좌심방 및 좌심실 비대가 특징이며, 이후 승모판 석회화가 나타날 수 있다.[16]

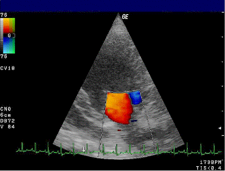
심장 초음파 검사는 승모판 역류(MR)의 진단을 확인하는 데 일반적으로 사용된다.[16] 경흉부 심장 초음파(TTE)에서 컬러 도플러 혈류 검사는 심실 수축기 동안 좌심실에서 좌심방으로 혈액의 제트가 흐르는 것을 보여준다. 또한 확장된 좌심방과 심실, 그리고 감소된 좌심실 기능을 감지할 수 있다.[11] 필요한 경우, 심장의 뒤쪽도 볼 수 있으므로 경식도 심장 초음파 검사(TEE)로 더 선명한 영상을 얻을 수 있다.[17]
6. 2. 정량적 검사
승모판 역류의 심각도 정도는 역류 분획으로 정량화할 수 있는데, 이는 좌심실 일회 박출량에서 좌심방으로 역류되는 혈액의 백분율이다.:역류 분획 =
여기서 V승모판 및 V대동맥은 각각 심장 주기 동안 승모판 및 대동맥판을 통해 전방으로 흐르는 혈액의 양이다. 승모판 역류에서 역류 분획을 평가하는 데 사용된 방법으로는 심장 초음파 검사, 심장 카테터 삽입술, 고속 CT 스캔 및 심장 MRI가 있다. 역류 분획을 측정하는 심장 초음파 검사 기법은 심실 이완기 동안 승모판을 통해 전방으로의 흐름(좌심방에서 좌심실로)을 측정하고 이를 심실 수축기에 대동맥판을 통해 좌심실에서 나가는 흐름과 비교하는 것이다. 이 방법은 대동맥판에 대동맥 부전이 없다고 가정한다.
승모판 역류(MR)의 정도를 정량화하는 또 다른 방법은 판막 수준에서 역류 흐름의 면적을 결정하는 것이다. 이것을 역류 개구부 면적이라고 하며, 이는 승모판의 결함 크기와 상관관계가 있다. 개구부 면적을 측정하는 데 사용되는 특정 심장 초음파 검사 기법 중 하나는 근위 등속 표면 면적 (PISA, Proximal Isovelocity Surface Area) 측정이다. PISA를 사용하여 승모판 역류 개구부 면적을 결정하는 단점은 심장 주기의 한 시점에서 흐름을 측정하므로 역류 제트의 평균 성능을 반영하지 못할 수 있다는 것이다.
6. 3. 심전도 특징
승모판 역류(MR)가 있는 경우 이상 소견을 보이는 진단 검사가 많다. 이러한 검사는 MR의 진단을 시사하며, 의사에게 추가 검사가 필요함을 나타낼 수 있다. 예를 들어, 오래 지속된 MR의 심전도 (ECG)는 좌심방 비대와 좌심실 확장의 증거를 보일 수 있다. 만성 승모판 역류가 있는 개인의 ECG에서 심방 세동이 나타날 수도 있다. 급성 MR의 경우 ECG에서 이러한 소견이 나타나지 않을 수 있다.P 미트랄레는 여러 유도에서 폭이 넓고 이중으로 갈라진 노치형 P파이며, V₁ 유도에서 P파의 후반부에 두드러진 음성 성분을 보인다. 이는 승모판 협착증뿐만 아니라 승모판 역류(MR)에서도 나타날 수 있으며, 잠재적으로 좌심방에 과부하를 유발하는 모든 원인에서도 나타날 수 있다.[18]
6. 4. 승모판 역류 정량화
승모판 역류의 심각도 정도는 역류 분획으로 정량화할 수 있는데, 이는 좌심실 일회 박출량에서 좌심방으로 역류되는 혈액의 백분율이다.역류 분획 =
여기서 V승모판 및 V대동맥은 각각 심장 주기 동안 승모판 및 대동맥판을 통해 전방으로 흐르는 혈액의 양이다. 승모판 역류에서 역류 분획을 평가하는 데 사용된 방법으로는 심장 초음파 검사, 심장 카테터 삽입술, 고속 CT 스캔 및 심장 MRI가 있다. 역류 분획을 측정하는 심장 초음파 검사 기법은 심실 이완기 동안 승모판을 통해 전방으로의 흐름(좌심방에서 좌심실로)을 측정하고 이를 심실 수축기에 대동맥판을 통해 좌심실에서 나가는 흐름과 비교하는 것이다. 이 방법은 대동맥판에 대동맥 부전이 없다고 가정한다.
승모판 역류의 정도를 정량화하는 또 다른 방법은 판막 수준에서 역류 흐름의 면적을 결정하는 것이다. 이것을 역류 개구부 면적이라고 하며, 이는 승모판의 결함 크기와 상관관계가 있다. 개구부 면적을 측정하는 데 사용되는 특정 심장 초음파 검사 기법 중 하나는 근위 등속 표면 면적 (PISA) 측정이다. PISA를 사용하여 승모판 역류 개구부 면적을 결정하는 단점은 심장 주기의 한 시점에서 흐름을 측정하므로 역류 제트의 평균 성능을 반영하지 못할 수 있다는 것이다.
7. 치료
승모판 역류증의 치료는 질환의 급성 정도와 혈역학적 손상 징후 유무에 따라 달라진다. 일반적으로 내과적 치료는 비수술적 방법으로, 증상이 경미하거나 중등도인 경우, 또는 환자가 수술을 견디기 어려운 상태일 때 고려된다.[15]
심장 구조의 기계적 문제(예: 유두근 또는 건삭 파열)로 인해 갑자기 발생한 급성 승모판 역류증의 경우, 승모판 수술이 주요 치료법이다. 만약 수술 전에 환자의 혈압이 낮은 상태라면, 대동맥 내 풍선 펌프(IABP)를 삽입하여 주요 장기로 가는 혈액 순환을 개선하고 승모판 역류의 정도를 줄일 수 있다.[11]
7. 1. 내과적 치료
급성 승모판 역류(MR) 환자가 정상 혈압일 경우, 혈관 확장제를 사용하여 좌심실이 받는 후부하를 줄여 역류하는 혈액량을 감소시키는 것이 도움이 될 수 있다. 이때 가장 흔히 사용되는 혈관 확장제는 니트로프루시드이다.[20]만성 MR 환자도 후부하를 줄이기 위해 혈관 확장제로 치료할 수 있다.[11] 만성 상태에서는 주로 ACE 억제제와 히드랄라진이 사용된다. 과거 연구에서는 ACE 억제제와 히드랄라진 사용이 MR의 수술적 치료 시기를 늦출 수 있다고 보고되었으나,[21][22] 현재 MR 치료 지침은 혈관 확장제 사용을 고혈압이 있는 환자에게만 권장하고 있다. 고혈압은 이뇨제 사용이나 저나트륨 식단 등을 통해 적극적으로 관리해야 한다.[11][12] 고혈압 환자뿐만 아니라 정상 혈압 환자에게도 디곡신이나 항부정맥제를 투여할 수 있다.[11][12] 또한, 승모판 탈출증[12]이나 심방 세동이[11] 동반된 경우에는 만성적으로 항응고 요법을 시행한다.
7. 2. 수술적 치료
수술은 승모판 역류를 치료하는 방법이다. 주요 수술 방법으로는 승모판 치환술과 승모판 성형술 두 가지가 있다.[11] 승모판 성형술은 자신의 판막을 보존하는 방법으로, 가능할 경우 승모판 치환술보다 선호된다. 이는 생체 조직 판막의 수명이 10~15년으로 제한적이고, 기계 판막은 뇌졸중 위험을 줄이기 위해 평생 항응고제를 복용해야 하기 때문이다.승모판 성형술에는 여러 기법이 있다.
- 판막 절제술 ("카펜티어(Carpentier)" 기법): 판막이 늘어나거나 탈출된 부분을 잘라내어 혈액 누출을 막는 방법이다.
- 인공 건삭(힘줄) 재건술 ("데이비드(David)" 기법): 끊어지거나 늘어난 건삭(판막을 잡아주는 힘줄)을 ePTFE|eng(팽창 폴리테트라플루오로에틸렌, 또는 고어텍스)라는 인공 소재로 만든 실로 대체하거나 보강하여 판막의 원래 구조와 기능을 회복시키는 방법이다.
- 판막륜 성형술: 위의 두 기법과 함께, 늘어난 판막 입구(판막륜)를 조여주기 위해 인공 링(판막륜 성형링)을 삽입하는 경우가 많다. 이는 판막이 제대로 닫히도록 돕고 수술 결과를 오래 유지하는 데 도움을 준다.
- 이중 개구부(double-orifice) 또는 알피에리(Alfieri) 봉합술: 승모판의 앞엽과 뒤엽의 중앙 부분을 봉합하여 판막 입구를 두 개의 작은 구멍으로 만드는 방법이다. 이를 통해 혈액 역류를 줄이면서 좌심실로 혈액이 들어오고 나가는 통로는 유지할 수 있다.
일반적으로 승모판 수술은 심장을 멈추고 인공심폐기를 사용하여 혈액 순환을 유지하는 개심술 방식으로 진행된다. 이를 통해 정지된 환경에서 복잡한 수술을 진행할 수 있다. 하지만 개심술은 신체에 부담이 크기 때문에, 고령이거나 다른 심각한 질환을 앓고 있는 환자에게는 위험이 높을 수 있다. 이러한 환자들을 위해 심장을 멈추지 않고 박동하는 상태에서 시술하는 방법들이 개발되고 있다. 대표적인 예로, 경피적 카테터 시술을 통해 MitraClip이라는 장치를 삽입하여 알피에리 봉합술과 유사한 효과를 내는 방법이 있다.[23][24]
만성 승모판 역류의 수술 적응증은 다음과 같다.
- 좌심실 박출률이 60% 미만이면서 좌심실 기능 부전 징후가 있는 경우
- 안정 시 폐동맥 수축기압이 50mmHg 이상이거나 활동 시 60mmHg 이상인 심한 폐고혈압이 있는 경우
- 새로 심방 세동이 발생한 경우
아래 표는 만성 승모판 역류 환자의 증상과 심장 기능에 따른 구체적인 수술 적응증을 보여준다.
7. 3. 만성 승모판 역류 수술 적응증
만성 승모판 역류(MR) 수술의 적응증으로는 60% 미만의 박출 분획을 동반한 좌심실 기능 부전 징후, 안정 시 50mmHg 이상 또는 활동 시 60mmHg 이상의 폐동맥 수축기 압력을 동반한 심한 폐고혈압, 그리고 새로 발생한 심방 세동 등이 있다.
8. 역학
심각한 승모판 역류는 전체 인구의 약 2%에서 나타나는 유병률을 보이며, 남성과 여성에게서 비슷한 비율로 발생한다.[26] 이는 노인에게 가장 흔하게 발생하는 두 가지 판막 심장 질환 중 하나이다.[27] 또한, 저소득 및 중간 소득 국가에서는 가장 흔한 유형의 판막 심장 질환이기도 하다.[3]
18세에서 38세 사이의 엘리트 축구 선수 595명과 운동하지 않는 일반인 47명을 비교한 연구 결과, 승모판 역류는 축구 선수 중 20%, 일반인 대조군 중 15%에서 발견되었다. 승모판 역류가 있는 축구 선수는 그렇지 않은 선수에 비해 승모판륜 직경이 더 컸으며, 좌심방 직경 역시 승모판 역류가 있는 선수에게서 더 큰 것으로 나타났다.[28]
참조
[1]
웹사이트
Mitral valve regurgitation - Symptoms and causes
https://www.mayoclin[...]
2021-12-01
[2]
웹사이트
Mitral Regurgitation: Practice Essentials, Background, Pathophysiology
https://emedicine.me[...]
2021-12-08
[3]
간행물
Mitral Regurgitation
https://www.ncbi.nlm[...]
StatPearls Publishing
2021-12-19
[4]
웹사이트
Mitral valve regurgitation
http://www.mountsina[...]
[5]
웹사이트
What is mitral regurgitation? {{!}} Heart Disease
https://patient.info[...]
2021-02-15
[6]
논문
Mitral valve prolapse with a late-systolic regurgitant murmur may be associated with significant hemodynamic consequences.
2009-08
[7]
서적
Harrison's principles of internal medicine.
McGraw-Hill
2012
[8]
웹사이트
Mitral Valve Prolapse (MVP)
http://www.medicinen[...]
MedicineNet, Inc
2010-01-18
[9]
웹사이트
NIH US National Library of Medicine, A.D.A.M. Medical Encyclopedia, Ehlers Danlos Syndrome- PMH0002439
https://www.ncbi.nlm[...]
[10]
웹사이트
Functional mitral regurgitation
http://www.uptodate.[...]
William H Gaasch, MD
2010-08-22
[11]
서적
Step-Up to Medicine (Step-Up Series)
https://archive.org/[...]
Lippincott Williams & Wilkins
[12]
문서
VOC=VITIUM ORGANICUM CORDIS, a compendium of the Department of Cardiology at Uppsala Academic Hospital. By Per Kvidal September 1999, with revision by Erik Björklund May 2008
[13]
웹사이트
Aortic Regurgitation
https://www.lecturio[...]
2021-06-29
[14]
서적
Harrison's Internal Medicine 17th edition
[15]
웹사이트
Mitral Regurgitation
https://www.lecturio[...]
2021-08-11
[16]
서적
Clinical Medicine
Saunders
2002
[17]
웹사이트
Transoesophageal echocardiogram (TOE) {{!}} Royal Brompton & Harefield hospitals
https://www.rbht.nhs[...]
2021-12-19
[18]
웹사이트
medilexicon.com < P mitrale
http://www.medilexic[...]
2011-11-03
[19]
논문
Recommendations for Noninvasive Evaluation of Native Valvular Regurgitation: A Report from the American Society of Echocardiography Developed in Collaboration with the Society for Cardiovascular Magnetic Resonance
https://pubmed.ncbi.[...]
2017-04
[20]
웹사이트
Sodium Nitroprusside
https://www.drugs.co[...]
The American Society of Health-System Pharmacists
2016-12-08
[21]
논문
Beneficial effects of hydralazine in severe mitral regurgitation
[22]
논문
Medical treatment of valvular heart disease
[23]
논문
The new world of cardiac interventions: a brief review of the recent advances in non-coronary percutaneous interventions
2008-06
[24]
논문
Percutaneous Repair or Surgery for Mitral Regurgitation
https://semanticscho[...]
2011-04-14
[25]
논문
2008 Focused update incorporated into the ACC/AHA 2006 guidelines for the management of patients with valvular heart disease: a report of the American College of Cardiology/American Heart Association Task Force on Practice Guidelines (Writing Committee to Revise the 1998 Guidelines for the Management of Patients With Valvular Heart Disease): endorsed by the Society of Cardiovascular Anesthesiologists, Society for Cardiovascular Angiography and Interventions, and Society of Thoracic Surgeons.
[26]
웹사이트
The Cleveland Clinic Center for Continuing Education > Mitral Valve Disease: Stenosis and Regurgitation
http://www.cleveland[...]
[27]
웹사이트
Valvular heart disease in elderly adults
http://www.uptodate.[...]
[28]
논문
Atrial Size and Function in Athletes
http://www.thieme-co[...]
2015-12
본 사이트는 AI가 위키백과와 뉴스 기사,정부 간행물,학술 논문등을 바탕으로 정보를 가공하여 제공하는 백과사전형 서비스입니다.
모든 문서는 AI에 의해 자동 생성되며, CC BY-SA 4.0 라이선스에 따라 이용할 수 있습니다.
하지만, 위키백과나 뉴스 기사 자체에 오류, 부정확한 정보, 또는 가짜 뉴스가 포함될 수 있으며, AI는 이러한 내용을 완벽하게 걸러내지 못할 수 있습니다.
따라서 제공되는 정보에 일부 오류나 편향이 있을 수 있으므로, 중요한 정보는 반드시 다른 출처를 통해 교차 검증하시기 바랍니다.
문의하기 : help@durumis.com

