류마티스열
"오늘의AI위키"의 AI를 통해 더욱 풍부하고 폭넓은 지식 경험을 누리세요.
1. 개요
류마티스열은 A군 연쇄상구균 감염 후 발생하는 전신 질환으로, 심장, 관절, 뇌 등에 영향을 미친다. 연쇄상구균 감염에 대한 자가면역 반응이 주요 원인으로, 심장 판막 손상, 관절염, 무도병 등의 증상을 유발한다. 진단은 수정된 존스 기준을 따르며, 항스트렙토라이신 O 역가 검사 등을 활용한다. 치료는 항생제 투여와 소염제를 사용하며, 류마티스성 심장 질환으로 진행될 수 있으므로 예방이 중요하다.
더 읽어볼만한 페이지
- 심장병 - 관상동맥질환
관상동맥질환은 동맥경화증으로 인해 관상동맥이 좁아지거나 막혀 심장 근육에 혈액 공급이 부족해지는 질환으로, 협심증, 심근경색, 심부전 등의 합병증을 유발하며 흡연, 고혈압, 고지혈증, 당뇨병, 비만, 운동 부족, 스트레스 등이 위험 요인이고, 생활 습관 개선, 약물 치료, 경피적 관상동맥 중재술, 관상동맥 우회술 등으로 치료하며 예방을 위해 위험 요인 관리와 건강한 생활 습관 유지가 중요하다. - 심장병 - 심내막염
심내막염은 심장 내벽인 심내막, 특히 심장 판막에 세균 감염이 발생하는 질환으로, 발열, 피부 출혈, 심잡음 등의 증상을 보이며 판막 기능 부전, 심부전, 뇌졸중과 같은 합병증을 유발할 수 있고, 듀크 기준에 따라 진단 후 정맥 내 항생제 투여를 통해 치료하며 심한 경우 수술이 필요하다. - 류마티스내과 - 섬유근육통
섬유근육통은 중추신경계의 통증 신호 처리 이상으로 발생하는 만성 전신 통증 질환으로, 만성적인 전신 통증, 피로, 수면 장애가 주요 증상이며, 삶의 질 저하를 초래한다. - 류마티스내과 - 관절염
관절염은 관절에 염증이 생겨 통증, 부종, 강직 등을 유발하는 질환을 통칭하며, 다양한 종류가 있고, 약물 치료, 물리 치료, 수술적 치료 등으로 치료하며, 고령화 사회에서 유병률이 증가할 것으로 예상된다. - 소아청소년과 - 신체검사
신체검사는 건강 상태 평가를 위한 의료 행위로 병력 청취, 신체 진찰, 필요시 추가 검사 등을 포함하며, 정기 건강검진의 효과에 대해서는 신중한 접근이 필요하다는 의견이 있다. - 소아청소년과 - 골육종
골육종은 뼈, 특히 장골의 골간단 부위에서 발생하는 악성 종양으로, 밤에 심해지는 통증, 부종, 병적 골절 등의 증상을 보이며, 유전적, 환경적 요인이 복합적으로 작용하는 것으로 추정되고, 수술 및 항암화학요법을 통해 치료하며, 예후는 병기 및 치료 반응에 따라 달라진다.
2. 원인
A군 연쇄상구균(GAS)인 ''Streptococcus pyogenes'' 감염 후, 치료받지 않은 연쇄상구균 인후염에 의해 류마티스열이 발생할 수 있다. ''Streptococcus pyogenes''의 항원과 여러 심장 단백질 간의 유사성은 제2형 과민 반응을 일으킬 수 있다.[12] 일반적으로 자기 반응성 B 세포는 T 세포 공동 자극 없이 주변에서 클론 무반응 상태를 유지한다. 연쇄상구균 감염 동안 B 세포와 같은 성숙된 항원 제시 세포는 세균 항원을 CD4+T 세포에 제시하며, 이 세포는 도움 T2 세포로 분화한다. 도움 T2 세포는 이어서 B 세포를 활성화하여 형질 세포가 되게 하고 연쇄상구균 세포벽에 대한 항체 생성을 유도한다. 그러나 항체는 심근과 관절에 대해 반응하여[13] 류마티스열의 증상을 유발할 수도 있다.
류마티스열의 증상은 일반적으로 인후 감염 후 2~4주 후에 발생한다.[1] 주요 증상과 일반적인 증상으로 구분할 수 있다.
''S. pyogenes''는 세포벽을 가지고 있으며, 이 세포벽은 때때로 매우 항원성인 독성 인자인 M 단백질을 포함한다. 면역 체계가 M 단백질에 대해 생성하는 항체는 심근 세포 단백질 미오신과[15] 심근 글리코겐 및 동맥의 평활근 세포와 교차 반응하여 사이토카인 방출 및 조직 파괴를 유도할 수 있다. 그러나 유일하게 입증된 교차 반응은 혈관 주위 결합 조직과의 반응이다. 이러한 염증은 보체의 직접적인 부착과 중성구 및 대식세포의 Fc 수용체 매개 모집을 통해 발생한다.
만성 류마티스 심장 질환(RHD)은 섬유성 복구와 함께 반복적인 염증이 특징이다. 이는 A군 β-용혈성 연쇄상구균(GAS)에 대한 자가면역 반응으로 인해 발생하며, 이는 판막 손상을 초래한다.[17] RHD의 복잡한 발병 기전은 완전히 이해되지 않았지만, A군 연쇄상구균 탄수화물을 통한 분자 모방과 유전적 소인이 HLA Class II 유전자를 포함하여 자가면역 반응을 유발하는 것으로 관찰되었다.[20]
분자 모방은 숙주 항원과 ''연쇄상구균'' 항원 간에 에피토프가 공유될 때 발생한다.[21] 이는 에피토프 공유로 인해 생성된 항체의 교차 반응으로 인해 "이물질"로 잘못 인식된 심장의 고유 조직에 대한 자가면역 반응을 유발한다. CD4+ T 세포는 RHD에서 심장 조직 자가면역 반응의 주요 이펙터이다.[22] RHD에서 분자 모방은 잘못된 T 세포 활성화를 초래하며, 이 T 림프구는 B 세포를 활성화시켜 자가 항원 특이적 항체를 생성하기 시작할 수 있다. 이는 병원체로 잘못 식별된 심장 조직에 대해 수행되는 면역 반응 공격으로 이어진다. 류마티스 판막은 림프구의 부착을 매개하는 단백질인 VCAM-1의 발현 증가를 나타낸다.[23]
유전적 소인의 메커니즘은 아직 불분명하지만, RHD에서 자가면역 반응에 대한 감수성을 증가시키는 몇 가지 유전적 요인이 발견되었다. 주요 기여자는 림프구와 항원 제시 세포에서 발견되는 MHC 클래스 II 분자의 구성 요소, 특히 DR 및 DQ 대립 유전자인간 6번 염색체이다.[24] 사람 백혈구 항원 (HLA) 클래스 II 대립 유전자 DR7 (HLA-DR7)은 RHD와 가장 자주 관련이 있다.[24] 또한 인간 6번 염색체에서 발견되는 사이토카인인 TNF-α도 RHD와 관련이 있다.[24] 만노스 결합 렉틴 (MBL)은 병원체 인지에 관여하는 염증성 단백질이다. ''MBL2'' 유전자 영역의 다른 변이는 RHD와 관련이 있다.
3. 증상
주요 증상
일반적인 증상
4. 진단

류마티스 심장 질환을 진단하는 원래 방법은 심장 청진, 특히 기능 부전이 있을 수 있는 판막에서 혈액 역류의 소리를 듣는 것이었다. 그러나 연구에 따르면 심장 초음파 검사는 높은 민감도로 인해 류마티스 심장 질환(RHD)을 감지하는 데 훨씬 더 효율적인 것으로 나타났다. 심장 초음파 검사는 조직 흉터 및 협착과 같은 더 뚜렷한 증상이 나타나기 전에 RHD의 징후를 감지할 수 있다.[31]
류마티스열의 진단은 수정된 존스 기준(Jones criteria)에 따라 내릴 수 있다. 1944년 T. 덕켓 존스 박사에 의해 처음 발표된 이 기준은[32] 미국 심장 협회가 다른 단체와 협력하여 주기적으로 수정해 왔다.[33][36]
수정된 존스 기준에 따르면, 류마티스열은 주요 기준 2개 또는 주요 기준 1개와 부요소 기준 2개가 연쇄상구균 감염의 증거와 함께 나타날 때 진단할 수 있다. 연쇄상구균 감염의 증거는 증가하거나 상승하는 항스트렙토라이신 O 역가[34] 또는 항-DNase B가 해당된다.[2][35] 재발 에피소드는 부요소 기준 3개가 존재할 때 진단할 수 있다.[36] 예외는 무도병과 서서히 진행되는 심장염이며, 각각 자체로 류마티스열을 나타낼 수 있다.[37][38][39]
2015년의 마지막 개정에서는 저위험 및 고위험 인구 집단에서 가변적 진단 기준을 제안했다.[36] 저위험 인구 집단은 급성 류마티스열 연간 발생률이 학령기 아동 10만 명당 ≤2명 또는 전 연령 류마티스 심장 질환 유병률이 1,000명당 ≤1명으로 정의되었다.[36] 다른 모든 인구 집단은 중간 또는 고위험으로 분류되었다.[36]
주요 기준
- '''다발성 관절염'''[41](일시적으로 다리에 시작하여 위로 이동하는 큰 관절의 염증)만이 저위험 인구 집단에서 주요 기준으로 간주되는 반면, '''단일 관절염''', '''다발성 관절염''', '''다발성 관절통'''(부종이 없는 관절 통증)은 모두 고위험 인구 집단에서 주요 기준으로 포함된다.[36]
- '''심장염''': 심장염은 심낭(후유증 없이 해결되는 심낭염), 심근의 일부 영역(수축기 기능 장애를 유발하지 않을 수 있음) 및 판막염 형태의 심내막을 더 일관되게 포함할 수 있다.[42] 심장염은 임상적으로(두근거림, 호흡 곤란, 심부전 또는 새로운 심장 잡음) 또는 심장 초음파/도플러 연구를 통해 승모판 또는 대동맥 판막염을 나타내는 방식으로 진단된다. 임상 및 무증상 심장염 모두 현재 주요 기준으로 간주된다.[36][42]
- '''피하 결절''': 뼈나 힘줄 위에 있는 통증이 없고 단단한 콜라겐 섬유 덩어리. 손목 뒤쪽, 팔꿈치 바깥쪽, 무릎 앞쪽에 흔히 나타난다.
- '''가장자리 홍반''': 줄기에 시작하여 반점으로 팔로 시작하여 바깥쪽으로 퍼지고 중간이 맑아져 링을 형성하는 오래 지속되는 붉은 발진으로, 계속 퍼져 다른 링과 합쳐져 결국 뱀과 같은 외관을 갖는다. 이 발진은 일반적으로 얼굴을 제외하고 열에 의해 악화된다.
- '''시덴함 무도병'''(성 비투스 무도병): 얼굴과 팔의 특징적인 일련의 불수의적인 빠른 움직임. 이는 감염 발생 후 최소 3개월 동안 질병의 매우 늦은 시기에 발생할 수 있다.
부요건
- '''관절통''': 저위험 인구 집단에서는 '''다발성 관절통''', 다른 집단에서는 '''단일 관절통'''.[36] 그러나 관절 증상은 동일한 환자에서 주요 및 부요건 범주 모두에서 고려될 수 없다.[36]
- '''열''': 저발병률 인구 집단에서는 ≥ 38.5 °C(약 38.5°C), 고위험 인구 집단에서는 ≥ 38 °C(약 38.0°C).[36]
- '''상승된 적혈구 침강 속도'''(저위험 인구 집단에서는 첫 번째 시간에 ≥60 mm, 다른 집단에서는 ≥30 mm/h) 또는 '''C 반응 단백'''(>3.0 mg/dL).[36]
- ECG는 연령 가변성을 고려한 후 '''PR 간격''' 연장을 보여준다.[36][43][44] (심장염이 주요 증상으로 나타나는 경우 포함될 수 없음)
선행하는 연쇄상구균 감염의 징후에는 다음이 포함된다. 최근의 성홍열, 상승된 항스트렙토라이신 O 또는 기타 연쇄상구균 항체 역가 또는 양성 인두 배양.[43]
검사
- 적혈구 침강 속도 증가, C 반응 단백(CRP) 검사 양성, 백혈구 수 증가 등 염증 증상을 나타낸다.
- ASO 값이 상승하여 연쇄상구균 감염을 나타낸다.
- PR 간격(심전도) 연장.
- 흉부 X선 검사로 심장 음영의 좌우 확대를 확인할 수 있다. 또한, 심낭의 장측 엽과 벽측 엽 사이에 심장 초음파로 무에코 공간이 관찰된다(심낭강으로의 삼출액 저류).
5. 역학
전 세계적으로 약 3300만 명이 류마티스성 심장 질환을 앓고 있으며, 2010년 기준으로 연간 345,000명이 이로 인해 사망한다. 이는 1990년의 463,000명에 비해 감소한 수치이다.[57] 무증상 심장 판막 손상을 겪는 사람은 4700만 명에 이른다.[56]
서구 선진국에서는 1960년대 이후 연쇄상구균 감염 치료를 위한 항생제 사용이 보편화되면서 류마티스열 발생이 줄어들었다. 미국에서는 20세기 초부터 드물게 발생했지만, 1980년대 이후 몇 차례 발병 사례가 보고되었다.[58]
반면, 호주 원주민(특히 호주 중부 및 북부), 마오리, 태평양 섬 주민에게 가장 흔하며, 사하라 사막 이남 아프리카, 라틴 아메리카, 인도 아대륙, 북아프리카에서도 흔하게 발생한다.[59]
류마티스열은 주로 5세에서 17세 사이의 어린이에게 발생하며, 연쇄상구균 인두염 발생 후 약 20일 후에 나타난다. 최대 3분의 1의 경우, 연쇄상구균 감염이 아무런 증상을 보이지 않았을 수도 있다.
치료받지 않은 연쇄상구균 감염자의 류마티스열 발병률은 약 3%로 추정된다. 후속 치료를 받지 않은 감염 시 재발률은 약 50%로 훨씬 높다.[60] 항생제 치료를 받은 개인의 발병률은 현저히 낮다. 류마티스열을 앓았던 사람은 반복적인 연쇄상구균 감염 시 재발하는 경향이 있다.
류마티스열 재발은 저용량 항생제를 유지하지 않을 경우, 특히 첫 번째 발병 후 3~5년 이내에 비교적 흔하게 발생한다. 류마티스열의 재발은 판막 심장 질환으로 이어질 수 있다. 심장 합병증은 장기적이고 심각할 수 있으며, 특히 판막이 손상된 경우 더욱 그렇다. 동남아시아, 사하라 사막 이남 아프리카 및 오세아니아 국가에서 심장 청진으로 류마티스성 심장 질환이 발견된 비율은 어린이 1000명당 2.9명이었고, 심장 초음파 검사로는 어린이 1000명당 12.9명이었다.[61][62][63][64]
6. 예방
연쇄상구균 인두염을 항생제로 효과적이고 신속하게 치료하면 류마티스열을 예방할 수 있다.[45] 특히, 사회경제적으로 불리하고 의료 서비스 접근성이 제한적인 인구 집단에서 류마티스열 발생률이 높으므로, 이러한 취약 계층에 대한 의료 접근성 향상이 중요하다.[56] 과밀[56][46]과 가정 내 공기 오염[46]도 위험 요소로 작용한다.
이전에 류마티스열을 앓았던 사람들은 재발 방지를 위해 항생제를 이차 예방 방식으로 사용할 수 있다.[45] 급성 류마티스열 에피소드 후에는 재발 가능성이 높기 때문에 항생제 예방 요법이 권장된다.[47] 미국 심장 협회(AHA)는 류마티스성 심장 질환으로 인한 승모판 협착증 환자에게 10년 또는 40세 중 더 긴 기간 동안 예방적 항생제 투여를 권장한다.[48]
현재 ''S. 피오게네스'' 감염을 예방할 수 있는 백신은 없지만, 개발을 위한 연구가 진행 중이다.[49]
7. 치료
급성기에는 염증을 줄이기 위해 소염제인 아스피린 또는 코르티코스테로이드와 같은 약물을 사용한다. Streptococcus pyogenes 배양 검사 결과가 양성이면 알레르기가 없는 한 페니실린으로 치료해야 한다.[41] 항생제 사용은 류마티스열 발병 시 심장 침범을 변화시키지 않는다.[41]
류마티스열 발병 이력이 있는 환자는 5년 동안 지속적으로 장기간 작용하는 페니실린을 매달 주사해야 한다. 심장염의 증거가 있는 경우, 치료 기간은 최대 40년까지 연장될 수 있다. 재발을 방지하기 위해 저용량 항생제(페니실린, 설파디아진, 또는 에리스로마이신)를 지속적으로 사용하는 것도 중요하다.
고용량의 아스피린은 역사적으로 류마티스열 치료에 사용되어 왔으나,[51] 위염 및 살리실산염 중독과 같은 부작용으로 인해 혈청 살리실산염 수치를 모니터링해야 한다. 특히 어린이에게는 레이 증후군의 위험 때문에 아스피린의 대안이 모색되어 왔다.[47] 나프록센이 류마티스열 관련 관절염 치료에 아스피린만큼 효과적일 수 있다는 증거가 있지만,[47][52] 심장염 관리 역할은 아직 확립되지 않았다.[53] 코르티코스테로이드는 특히 비스테로이드성 소염 진통제(NSAIDs) 알레르기가 있거나 중증 질환을 앓는 사람에게 고려될 수 있지만,[47] 스테로이드 사용은 조직 위축을 유발하여 향후 판막 수술 시 어려움을 야기할 수 있다.[54]
일부 환자에게는 심각한 심장염이 발생하여 울혈성 심부전으로 나타날 수 있다. 이 경우 심부전에 대한 일반적인 치료법, 즉 ACE 억제제, 이뇨제, 베타 차단제, 디곡신이 필요하다. 일반적인 심부전과는 달리 류마티스 심부전은 코르티코스테로이드에 잘 반응한다.
그 외에 절대 안정과 영양 보급, 페니실린 투여, 부신피질 스테로이드제 또는 살리실산제(저용량 아스피린) 투여, 디기탈리스 투여, 염분 제한(심부전 발생 시) 등이 있다. 또한, 재발 방지에는 장기간의 페니실린 투여가 필요하다.
8. 합병증
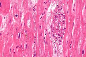
류마티스성 심장 질환은 류마티스열의 가장 심각한 합병증이다. 반복적인 염증으로 인해 섬유성 복구가 일어나면서 판막에 주요 해부학적 변화가 생긴다. 여기에는 잎의 비후, 틈새 융합, 힘줄 끈의 단축 및 비후가 포함된다.[16] 이는 A군 β-용혈성 연쇄상구균(GAS)에 대한 자가면역 반응으로 인해 발생하며, 판막 손상을 초래한다.[17] 판막 잎, 틈새, 첨판의 섬유증과 흉터는 판막 협착 또는 역류를 유발할 수 있다.[18] 류마티스열 환자의 약 절반은 판막 내피를 포함하는 염증을 겪는다.[19]
분자 모방은 숙주 항원과 ''연쇄상구균'' 항원 간에 에피토프가 공유될 때 발생한다. 이는 에피토프 공유로 인해 생성된 항체의 교차 반응으로 인해 "이물질"로 잘못 인식된 심장의 고유 조직에 대한 자가면역 반응을 유발한다. 판막 내피는 림프구 유도 손상의 두드러진 부위이다. CD4+ T 세포는 류마티스 심장 질환에서 심장 조직 자가면역 반응의 주요 이펙터이다.[22] 류마티스 판막은 림프구의 부착을 매개하는 단백질인 VCAM-1의 발현 증가를 나타낸다.[23]

심한 심장염은 울혈성 심부전으로 나타날 수 있다.
참조
[1]
논문
Kawasaki disease: laboratory findings and an immunopathogenesis on the premise of a "protein homeostasis system".
2012-03-01
[2]
서적
The Encyclopedia of Infectious Diseases
Facts On File
2007-01-01
[3]
웹사이트
Rheumatic Fever 1997 Case Definition
http://wwwn.cdc.gov/[...]
2015-02-19
[4]
논문
Antibiotics for treatment of sore throat in children and adults
2021-12-09
[5]
논문
Global, regional, and national incidence, prevalence, and years lived with disability for 310 diseases and injuries, 1990-2015: a systematic analysis for the Global Burden of Disease Study 2015.
2016-10-08
[6]
서적
Robbins Basic Pathology
Saunders Elsevier
2007-01-01
[7]
논문
Rheumatic heart disease.
2012-03-10
[8]
논문
Global, regional, and national life expectancy, all-cause mortality, and cause-specific mortality for 249 causes of death, 1980-2015: a systematic analysis for the Global Burden of Disease Study 2015.
2016-10-08
[9]
논문
Global, regional, and national age-sex specific all-cause and cause-specific mortality for 240 causes of death, 1990–2013: a systematic analysis for the Global Burden of Disease Study 2013.
2014-12-17
[10]
논문
Did scarlet fever and rheumatic fever exist in Hippocrates' time?
1991-01-01
[11]
백과사전
rheumatic fever
[12]
서적
Comprehensive Biomaterials II
https://www.scienced[...]
Elsevier
2017-01-01
[13]
서적
Basic immunology: functions and disorders of the immune system
Elsevier Saunders
2004-01-01
[14]
웹사이트
Streptococcus pyogenes – Pathogen Safety Data Sheets
http://www.phac-aspc[...]
Public Health Agency of Canada
2017-04-15
[15]
논문
Mimicry in recognition of cardiac myosin peptides by heart-intralesional T cell clones from rheumatic heart disease
2006-05-01
[16]
서적
Robbins and Cotran pathologic basis of disease
http://www.robbinspa[...]
Elsevier Saunders
2005-01-01
[17]
논문
Presence of Bound Immunoglobulins and Complement in the Myocardium in Acute Rheumatic Fever. Association with Cardiac Failure
1964-01-01
[18]
서적
Essential Cardiology: Principles and Practice
Humana Press
2005-01-01
[19]
논문
What is the true frequency of carditis in acute rheumatic fever? A prospective clinical and Doppler blind study of 56 children with up to 60 months of follow-up evaluation
2008-01-01
[20]
논문
Molecular mimicry in the autoimmune pathogenesis of rheumatic heart disease
http://www.tandfonli[...]
2006-01-01
[21]
논문
Molecular mimicry in the autoimmune pathogenesis of rheumatic heart disease
2006-01-01
[22]
논문
Identification of mononuclear cells and T cell subsets in rheumatic valvulitis
1989-01-01
[23]
논문
Pathogenic mechanisms in rheumatic carditis: Focus on valvular endothelium
2001-01-01
[24]
논문
HLA class II associations with rheumatic heart disease among clinically homogeneous patients in children in Latvia
2003-01-01
[25]
논문
Cytokine imbalance in acute rheumatic fever and rheumatic heart disease: Mechanisms and therapeutic implications
https://www.scienced[...]
2022-12-01
[26]
논문
High-producing MBL2 genotypes increase the risk of acute and chronic carditis in patients with history of rheumatic fever
2008-01-01
[27]
논문
Association of Mannose-Binding Lectin Gene Polymorphism but Not of Mannose-Binding Serine Protease 2 with Chronic Severe Aortic Regurgitation of Rheumatic Etiology
2008-01-01
[28]
논문
Genetics of rheumatic fever and rheumatic heart disease
https://www.nature.c[...]
2020-03-01
[29]
서적
Oxford American Handbook of Clinical Medicine
https://books.google[...]
OUP
2013-01-01
[30]
서적
StatPearls
StatPearls Publishing
2019-12-19
[31]
논문
Rheumatic heart disease screening: Current concepts and challenges
2017-01-01
[32]
논문
The diagnosis of rheumatic fever
1944-01-01
[33]
논문
Proceedings of the Jones Criteria workshop
http://circ.ahajourn[...]
Jones Criteria Working Group
2002-01-01
[34]
웹사이트
Antistreptolysin O (ASO)
https://labtestsonli[...]
2020-07-24
[35]
웹사이트
Anti-DNase B
https://labtestsonli[...]
2021-06-28
[36]
저널
Revision of the Jones Criteria for the Diagnosis of Acute Rheumatic Fever in the Era of Doppler Echocardiography
2015-05-19
[37]
웹사이트
Rheumatic Fever
http://www.emedicine[...]
DO, FACOEP, FACEP
2007-07-14
[38]
저널
Guidelines for the diagnosis of rheumatic fever. Jones Criteria, 1992 update
Special Writing Group of the Committee on Rheumatic Fever, Endocarditis, and Kawasaki Disease of the Council on Cardiovascular Disease in the Young of the American Heart Association
1992
[39]
저널
Diagnosis of rheumatic fever: Current status of Jones criteria and role of echocardiography
2000
[40]
저널
Rheumatic fever & rheumatic heart disease: The last 50 years
2013
[41]
웹사이트
WHO Rheumatic fever and rheumatic heart disease
https://www.who.int/[...]
2017-02-01
[42]
저널
Acute rheumatic fever
2018-07
[43]
서적
Davidson's General Practice of Medicine
[44]
웹사이트
Rheumatic Fever
http://www.utmb.edu/[...]
University of Texas
2011-08-06
[45]
저널
Prevention of rheumatic fever and diagnosis and treatment of acute Streptococcal pharyngitis: a scientific statement from the American Heart Association Rheumatic Fever, Endocarditis, and Kawasaki Disease Committee of the Council on Cardiovascular Disease in the Young, the Interdisciplinary Council on Functional Genomics and Translational Biology, and the Interdisciplinary Council on Quality of Care and Outcomes Research: endorsed by the American Academy of Pediatrics.
2009-03-24
[46]
저널
Air pollution in early life and adult mortality from chronic rheumatic heart disease
2017
[47]
서적
StatPearls
StatPearls Publishing
2023-08-02
[48]
저널
2014 AHA/ACC Guideline for the Management of Patients With Valvular Heart Disease
2014
[49]
웹사이트
Collaboration aims for rheumatic fever vaccine
http://www.scienceme[...]
2014-09-18
[50]
웹사이트
Initiative for Vaccine Research (IVR) – Group A Streptococcus
https://www.who.int/[...]
World Health Organization
2012-05-13
[51]
웹사이트
Aspirin Monograph for Professionals - Drugs.com
https://www.drugs.co[...]
American Society of Health-System Pharmacists
2017-03-30
[52]
저널
Naproxen as an alternative to aspirin for the treatment of arthritis of rheumatic fever: a randomized trial
2003
[53]
저널
The efficacy and safety of naproxen in acute rheumatic fever: The comparative results of 11-year experience with acetylsalicylic acid and naproxen
2016
[54]
저널
Anti-inflammatory treatment for carditis in acute rheumatic fever
2015
[55]
웹사이트
WHO Disease and injury country estimates
https://www.who.int/[...]
World Health Organization
2009-11-11
[56]
저널
Rheumatic Heart Disease: The Unfinished Global Agenda.
2017-02
[57]
저널
Global and regional mortality from 235 causes of death for 20 age groups in 1990 and 2010: a systematic analysis for the Global Burden of Disease Study 2010
https://zenodo.org/r[...]
2012
[58]
웹사이트
Rheumatic fever
https://www.nlm.nih.[...]
NLM/NIH
2016-04-07
[59]
웹사이트
Rheumatic heart disease
https://www.menzies.[...]
Menzies Institute for Medical Research
2018-09-01
[60]
서적
Essentials of pathophysiology: concepts of altered health states
Lippincott Williams & Wilkins
[61]
저널
Prevalence of rheumatic heart disease detected by echocardiographic screening
2007-08-02
[62]
저널
Active surveillance for rheumatic heart disease in endemic regions: a systematic review and meta-analysis of prevalence among children and adolescents
https://boris.unibe.[...]
2014-12-01
[63]
저널
Prevalence of subclinical rheumatic heart disease in eastern nepal: A school-based cross-sectional study
2016-03-02
[64]
저널
Echocardiography screening for rheumatic heart disease in Ugandan schoolchildren
2012-06-26
[65]
저널
World Heart Federation criteria for echocardiographic diagnosis of rheumatic heart disease—an evidence-based guideline
2012
[66]
저널
Effectiveness of Systematic Echocardiographic Screening for Rheumatic Heart Disease in Nepalese Schoolchildren: A Cluster Randomized Clinical Trial
2021
[67]
저널
Secondary Antibiotic Prophylaxis for Latent Rheumatic Heart Disease
2022
[68]
저널
Chronic post-rheumatic fever (Jaccoud's) arthropathy
1970
[69]
저널
Kawasaki disease: laboratory findings and an immunopathogenesis on the premise of a "protein homeostasis system".
2012-03
[70]
서적
The encyclopedia of infectious diseases
https://books.google[...]
Facts On File
2007
[71]
웹사이트
Rheumatic Fever 1997 Case Definition
http://wwwn.cdc.gov/[...]
2015-02-19
[72]
저널
Antibiotics for treatment of sore throat in children and adults
2021-12-09
[73]
저널
Global, regional, and national incidence, prevalence, and years lived with disability for 310 diseases and injuries, 1990-2015: a systematic analysis for the Global Burden of Disease Study 2015.
2016-10-08
[74]
서적
Robbins Basic Pathology
Saunders Elsevier
[75]
저널
Rheumatic heart disease.
2012-03-10
[76]
저널
Global, regional, and national life expectancy, all-cause mortality, and cause-specific mortality for 249 causes of death, 1980-2015: a systematic analysis for the Global Burden of Disease Study 2015.
2016-10-08
[77]
저널
Global, regional, and national age-sex specific all-cause and cause-specific mortality for 240 causes of death, 1990–2013: a systematic analysis for the Global Burden of Disease Study 2013.
2014-12-17
[78]
저널
Did scarlet fever and rheumatic fever exist in Hippocrates' time?
1991
[79]
백과사전
rheumatic fever
본 사이트는 AI가 위키백과와 뉴스 기사,정부 간행물,학술 논문등을 바탕으로 정보를 가공하여 제공하는 백과사전형 서비스입니다.
모든 문서는 AI에 의해 자동 생성되며, CC BY-SA 4.0 라이선스에 따라 이용할 수 있습니다.
하지만, 위키백과나 뉴스 기사 자체에 오류, 부정확한 정보, 또는 가짜 뉴스가 포함될 수 있으며, AI는 이러한 내용을 완벽하게 걸러내지 못할 수 있습니다.
따라서 제공되는 정보에 일부 오류나 편향이 있을 수 있으므로, 중요한 정보는 반드시 다른 출처를 통해 교차 검증하시기 바랍니다.
문의하기 : help@durumis.com
