뼈
"오늘의AI위키"의 AI를 통해 더욱 풍부하고 폭넓은 지식 경험을 누리세요.
1. 개요
뼈는 척추동물의 골격을 구성하는 단단한 조직으로, 역사적으로 도구, 예술품, 점술 등에 사용되었으며, 현대에는 의학, 고고학 등 다양한 분야에서 연구된다. 뼈는 겉질뼈, 해면질, 골수로 구성되며, 신체 지지, 장기 보호, 운동 촉진, 혈액 세포 생성, 무기질 저장 등의 기능을 수행한다. 뼈 관련 질환으로는 골절, 골다공증, 골수염, 뼈 종양 등이 있으며, 뼈 건강 관리를 위해 영양 섭취, 운동, 생활 습관 개선이 중요하다.
더 읽어볼만한 페이지
- 결합 조직 - 근막
근막은 근육과 장기를 지지하는 결합 조직으로, 마찰 감소, 장력 분산, 안정성 유지, 탄성 에너지 저장 및 방출 등의 역할을 하며, 근막 구획을 형성하고 관련 연구가 진행 중이다. - 결합 조직 - 지방 조직
지방 조직은 에너지 저장, 단열, 장기 보호 기능을 하는 결합 조직으로, 백색, 갈색, 베이지색 지방 등으로 나뉘며 과도한 축적은 비만을 유발한다. - 뼈 - 음경골
음경골은 포유류 수컷의 음경에 위치하여 교미에 사용되는 뼈이며, 종에 따라 크기와 형태가 다르고 사람을 포함한 일부 종에서는 존재하지 않는다. - 뼈 - 발꿈치뼈
발꿈치뼈는 발목뼈 중 가장 크고 발에서 가장 큰 뼈로, 목말뼈, 발배뼈, 입방뼈, 종아리뼈와 관절을 이루며, 걷기, 달리기, 점프 시 발과 다리의 움직임을 돕고, 발의 외반, 내반과 관련되며 골절 및 족근골 유합과 같은 임상적 의의를 갖는다. - 뼈대계 - 외골격
외골격은 다양한 생물에서 발견되는 외부 보호막 또는 지지 구조로, 포식 방어, 근육 부착, 탈수 방지 등의 역할을 하며, 화석 연구에 기여하고 신소재 개발에 영감을 주지만, 화석 기록 편향과 해양 환경의 영향을 받는다. - 뼈대계 - 내골격
내골격은 동물의 몸속에서 지지, 운동, 보호 기능을 하는 골격 구조로, 척삭동물, 극피동물, 해면동물 등에서 발견되며, 척삭동물의 경우 척추, 두개골 등으로 구성되고 뼈, 연골, 콜라겐 등으로 이루어질 수 있다.
2. 역사적 배경
고대 사회에서 뼈는 다양한 용도로 활용되었다. 선사 시대에는 뼈 도구를 만드는 데 사용되었으며,[99] 골각에 사용되어 선사 미술에서 중요하게 다뤄졌다.
갑골문은 뼈에 새긴 비문을 기반으로 한 고대 중국의 문자 체계이다. 주로 소의 쇄골인 갑골에서 유래했으며, 고대 중국인(주로 상 왕조)은 질문을 갑골에 적고 뼈를 태워 뼈가 갈라진 부분으로 답을 얻었다.
골각기가 알려져 있으며, Bone carving|뼈 조각품영어도 만들어졌다. 해골잔은 많은 문화에서 용기로 사용되었다.
중국에서는 갑골문 등 점에 뼈가 사용되었다. 유럽에서는 거위의 경골(wishbone)이 점 등에 사용되었다.
2. 1. 고대 사회
고대 사회에서 뼈는 다양한 용도로 활용되었다. 선사 시대에는 뼈 도구를 만드는 데 사용되었으며,[99] 골각에 사용되어 선사 미술에서 중요하게 다뤄졌다.갑골문은 뼈에 새긴 비문을 기반으로 한 고대 중국의 문자 체계였다. 이름은 주로 소의 쇄골인 갑골에서 유래했다. 고대 중국인(주로 상 왕조)은 질문을 갑골에 적고 뼈를 태웠으며, 뼈가 갈라진 부분이 질문에 대한 답이 되었다.
골각기가 알려져 있다. 또한 Bone carving|뼈 조각품영어도 만들어졌다. 용기로서의 해골잔은 많은 문화에서 찾아볼 수 있다.
중국에서는 갑골문 등 점에 사용되었다. 또한 유럽에서는 거위의 경골(wishbone)이 점 등에 사용되었다.
3. 구조
뼈는 겉질뼈와 해면질로 구성된다. 뼈는 비교적 단단하고 가벼운 복합 물질이며, 주로 수산화인회석이라는 인산칼슘 화합물로 이루어져 있다. 이는 높은 압축강도를 가지지만 낮은 인장강도를 가진다. 뼈는 기본적으로 깨지기 쉬우나, 자체 유기 성분(주로 콜라겐) 덕분에 탄력성을 가진다.
뼈는 유기물(주로 콜라겐)과 무기물(주로 수산화인회석)로 구성되어 뼈의 강도와 탄력성을 제공한다. 뼈 기질의 90~95%는 탄성 콜라겐 섬유(오세인)로 구성되며, 나머지는 기질이다.[5][6] 콜라겐의 탄성은 골절 저항성을 향상시킨다.[7] 뼈의 주요 무기질 성분은 수산화인회석이며, 이는 Ca10(PO4)6(OH)2의 조성을 갖는 뼈 무기질이다.[22] 칼슘, 인산염을 포함한 다른 화합물, 그리고 염 등을 포함한다. 뼈의 세포 외 성분 중 약 30%는 유기 물질로 구성되어 있으며, 질량으로 대략 70%는 무기상에 기인한다. 콜라겐 섬유는 뼈에 인장 강도를, 수산화인회석의 섞인 결정은 뼈에 압축 강도를 부여하며, 이러한 효과는 상승 작용을 한다.
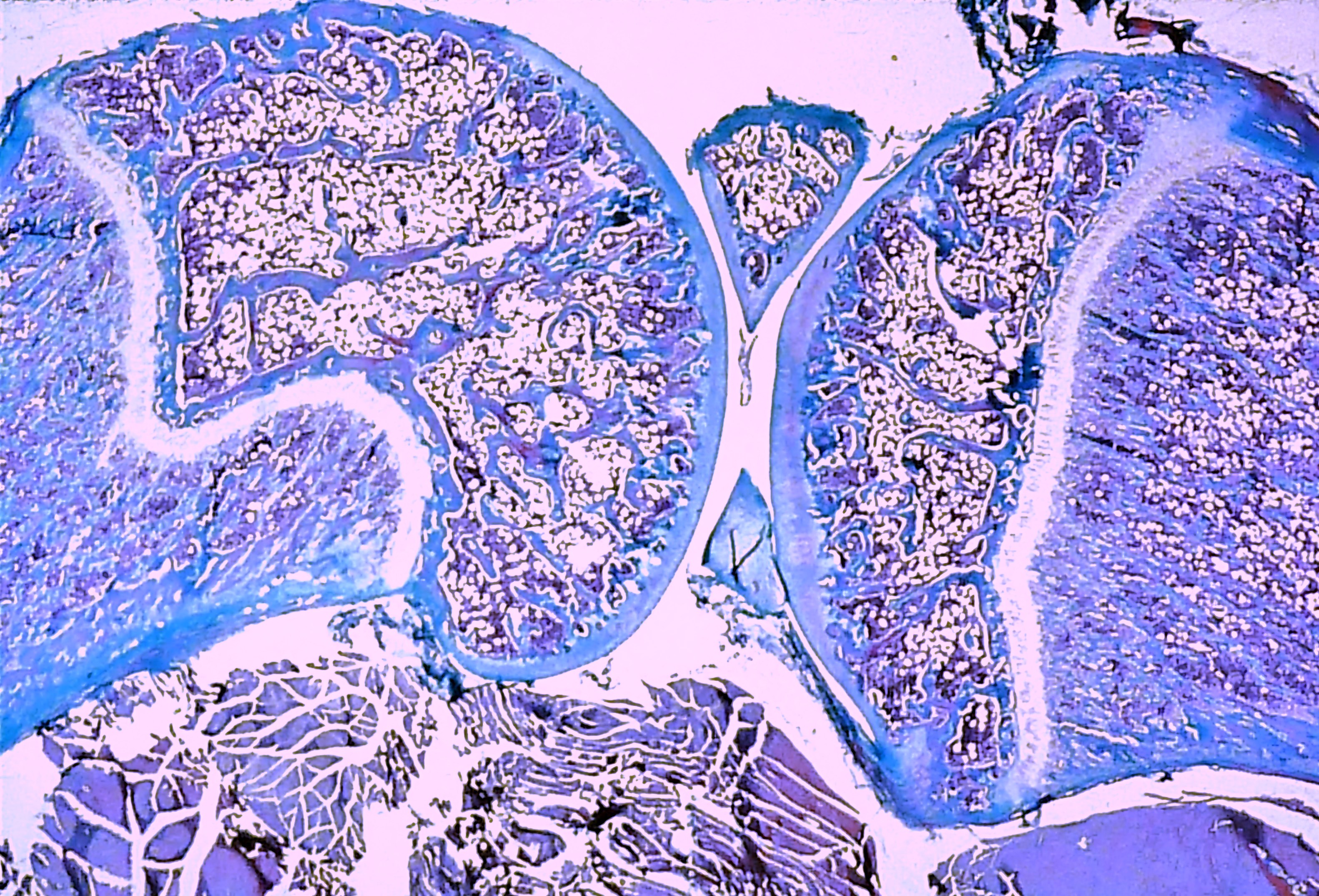
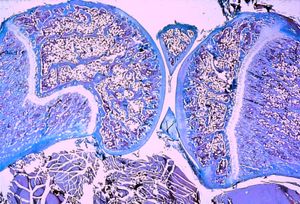
뼈의 전형적인 구조는 치밀질 부분에서 볼 수 있으며, 가느다란 혈관을 중심으로 하는 동심원상 단면 구조를 가진 원주(圓柱)가 단위 구조를 이룬다. 이것을 하버스관(管) 또는 오스테온(골단위)이라 한다. 그 구조는 철근 콘크리트 기둥에 비유된다. 철근에 해당하는 것은 교원 섬유로 짜여진 바구니이며, 그 그물눈을 채우고 있는 시멘트에 해당하는 것이 골질이다. 골질은 탄산 칼슘·인산 칼슘 등의 무기질과 단백질이 결합된 것이다.
뼈의 단단한 바깥층은 '''피질골'''(겉질뼈)로 구성되어 있으며, 해면골보다 밀도가 높아 '''치밀골'''이라고도 한다. 뼈의 단단한 바깥 부분(피질)을 형성한다. 겉질뼈는 뼈에 매끄럽고 흰색이며 단단한 외관을 부여하며, 성인 인간 골격 전체 뼈 질량의 80%를 차지한다.[10]
뼈는 골아세포와 파골세포라고 알려진 특수한 뼈 세포에 의해 평생 동안 적극적으로 건설되고 재형성된다. 뼈 조직은 단일 뼈 내에서 피질골과 해면골이라고 알려진 두 가지 주요 패턴으로 엮여 있으며, 각기 다른 외관과 특징을 가지고 있다.
3. 1. 겉질뼈 (피질골, 치밀골)
뼈의 단단한 바깥층은 '''겉질뼈'''(피질골)로 구성되어 있으며, 해면골(갯솜뼈)보다 훨씬 밀도가 높기 때문에 '''치밀골'''이라고도 한다. 겉질뼈는 뼈에 매끄럽고 흰색이며 단단한 외관을 부여하며, 성인 인간 골격 전체 뼈 질량의 80%를 차지한다.[10] 겉질뼈는 신체를 지지하고, 장기를 보호하며, 움직임을 위한 지렛대를 제공하고, 주로 칼슘을 포함한 화학 원소를 저장하고 방출하는 뼈의 주요 기능을 돕는다.겉질뼈는 각기 오스테온(하버시안 계통)이라고 하는 여러 개의 미세한 기둥으로 구성된다. 각 기둥은 골아세포(뼈모세포)와 골세포(뼈세포)가 오스테온관이라고 하는 중심 관 주위에 여러 겹으로 이루어져 있다. 수직으로 된 볼크만관은 오스테온을 서로 연결한다. 기둥은 신진대사가 활발하며, 뼈가 재흡수되고 생성됨에 따라 오스테온 내 세포의 성질과 위치가 변화한다.
겉질뼈는 바깥 표면에 골막(뼈막)으로 덮여 있고, 안쪽 표면에는 골내막(뼈속막)으로 덮여 있다. 골내막은 겉질뼈와 해면골 사이의 경계이다. 겉질뼈의 주요 해부학적 및 기능적 단위는 오스테온이다.
3. 2. 해면질 (해면골)
해면질(해면골)은 뼈의 안쪽을 구성하는 스펀지 모양의 부분으로, 겉질뼈보다 가볍고 골수를 포함하고 있다. 골수는 골수 조직이라고도 하며, 해면골을 포함하는 거의 모든 뼈에서 발견될 수 있다.[17] 영아의 경우 모든 뼈가 전적으로 적색 골수 또는 조혈 골수로 채워지지만, 성장함에 따라 조혈 분획의 양은 감소하고 골수 지방 조직(MAT)이라고 하는 지방/황색 분획의 양이 증가한다. 성인의 경우 적색 골수는 주로 넙다리뼈, 갈비뼈, 척추뼈 및 골반뼈의 골수에서 발견된다.[17]
3. 3. 골수
골수는 해면골을 포함하는 거의 모든 뼈에서 발견될 수 있는 조직이다. 영아기에는 모든 뼈에 적색 골수 또는 조혈 골수가 가득 차 있지만, 성장하면서 조혈 분획은 감소하고 골수 지방 조직(MAT)이라고 하는 지방/황색 분획이 증가한다. 성인의 경우 적색 골수는 주로 넙다리뼈, 갈비뼈, 척추뼈 및 골반뼈의 골수에서 발견된다.[17]3. 4. 미세 구조
뼈는 여러 종류의 세포로 구성된 대사적으로 활발한 조직이다. 뼈 조직을 생성하고 광물화하는 골아세포(조골세포), 골세포, 그리고 뼈 조직을 재흡수하는 파골세포가 있다. 골아세포와 골세포는 골모세포에서 유래하지만, 파골세포는 대식세포와 단핵구를 형성하기 위해 분화되는 동일한 세포에서 유래한다.[10] 뼈의 골수 안에는 조혈모세포가 있어 백혈구, 적혈구, 혈소판을 생성한다.[10]

- '''골아세포(조골세포)'''는 단핵 골 형성 세포이다. 골기질 이음새 표면에 위치하며, 단백질 혼합물인 골기질을 생성하여 광물화되어 뼈가 된다.[10] 골기질은 주로 I형 콜라겐으로 구성된다. 골모세포는 프로스타글란딘과 같은 호르몬을 생성하여 뼈 자체에 작용한다. 골모세포는 콜라겐 섬유를 세워 작업 틀로 사용하고, 인산칼슘을 침착시켜 뼈를 만든다. 골모세포가 만든 새로운 뼈를 골기질이라고 한다.[19] 골모세포가 작업을 마치면 뼈가 경화되면서 갇히게 되고, 이때 골세포가 된다. 다른 골모세포는 새로운 뼈 위에 남아 뼈를 보호하는 골 내피 세포가 된다.[20]
- '''골세포'''는 중간엽 유래 세포로, 골기질로 이동하여 갇히게 되어 스스로 생성한 골기질에 둘러싸인 골아세포에서 유래한다.[10] 골세포의 세포체가 석회화된 콜라겐 I형 기질 내에서 차지하는 공간은 소강이며, 골세포의 세포 과정은 세관이라고 하는 채널을 차지한다. 골세포는 간극 연접을 통해 뼈 속의 다른 골세포와 접촉을 유지하며, 이는 세관 채널을 통과하는 결합된 세포 과정이다.[21]
- '''파골 세포'''는 매우 크고 다핵 세포로, 골 흡수 과정을 통해 뼈를 분해하는 역할을 한다. 새로운 뼈는 골아세포에 의해 형성된다. 뼈는 파골 세포의 흡수와 골아세포의 생성에 의해 끊임없이 리모델링된다.[10] 파골 세포는 뼈 표면에 위치한 여러 개의 세포 핵을 가진 큰 세포로, ''하우십 빈와''(Howship's lacunae) 또는 ''흡수 구덩이''라고 불리는 곳에 위치한다.[10] 이 빈와는 주변의 뼈 조직이 재흡수된 결과이다.[10] 파골 세포는 단핵구 줄기 세포 계열에서 유래하기 때문에, 순환하는 대식 세포와 유사한 식세포 작용과 같은 메커니즘을 갖추고 있다.[10] 파골 세포는 성숙하거나 특정 뼈 표면으로 이동한다. 도착하면 주석산 저항성 산성 인산 분해 효소와 같은 활성 효소가 미네랄 기질에 대해 분비된다. 파골 세포에 의한 뼈의 재흡수는 칼슘 항상성 유지에 역할을 한다.[10]
뼈의 전형적인 구조는 치밀질 부분에서 볼 수 있으며, 가느다란 혈관을 중심으로 하는 동심원상 단면 구조를 가진 원주(圓柱)가 단위 구조를 이룬다. 이것을 '''하버스관(管)''' 또는 '''오스테온(골단위)'''이라 한다. 뼈의 단단한 바깥층은 '''피질골'''로 구성되어 있으며, 해면골보다 밀도가 높아 '''치밀골'''이라고도 한다. 피질골은 뼈에 매끄럽고 흰색이며 단단한 외관을 부여하며, 성인 인간 골격 전체 뼈 질량의 80%를 차지한다.[10] 각기 오스테온 또는 하버시안 계통이라고 하는 여러 개의 미세한 기둥으로 구성된다. 각 기둥은 골아세포와 골세포가 오스테온관이라고 하는 중심 관 주위에 여러 겹으로 이루어져 있다. 수직으로 된 볼크만관은 오스테온을 서로 연결한다. 피질골은 바깥 표면에 골막으로 덮여 있고, 안쪽 표면에는 골내막으로 덮여 있다. 골내막은 피질골과 해면골 사이의 경계이다. 피질골의 주요 해부학적 및 기능적 단위는 오스테온이다.
4. 분류
뼈는 모양에 따라 여러 종류로 분류할 수 있다. 크게 세로로 긴 모양의 장골(긴뼈), 정육면체 모양의 단골(짧은뼈), 평평한 모양의 편평골(납작뼈), 특수한 모양을 가진 불규칙골, 힘줄이나 인대 속에 존재하는 종자골(종자뼈) 등으로 나뉜다.[29]
뼈는 치밀질 부분과 해면질 부분으로 구성되어 있다. 뼈 안에 공기가 들어있는 경우(예: 위턱뼈) 이러한 뼈를 공기뼈라고 하며, 위에 언급된 여러 모양이 혼합되어 있는 뼈는 혼합뼈라고 한다.
4. 1. 장골 (긴뼈)
긴 뼈는 폭보다 훨씬 길고, 뼈몸통(골간)과 양 끝에 둥근 머리(골단)를 가진 뼈이다.[30] 대부분 피질골로 구성되어 있으며, 골수가 있는 수질강과 뼈 끝부분에 해면골이 있다.[30] 사지의 대부분의 뼈와 손가락, 발가락 뼈는 긴 뼈에 속한다. 단, 손목의 8개 손목뼈, 발목의 7개 발목뼈, 슬개골은 예외이다.[30] 뼈몸통이나 끝 모양이 다른 긴 뼈는 '변형된 긴 뼈'라고도 한다.
4. 2. 단골 (짧은뼈)
짧은 뼈는 대략 정육면체 모양이며, 해면질 내부를 둘러싼 얇은 층의 치밀골을 가지고 있다. 짧은 뼈는 안정성과 지지력을 제공하며 약간의 제한적인 움직임을 제공한다.[31] 손목과 발목의 뼈는 짧은 뼈이다. 긴뼈와 유사한 구조를 가지고 있지만, 골수공간이 없다.4. 3. 편평골 (납작뼈)
편평뼈는 얇고 일반적으로 굽은 모양이며, 해면골 층을 사이에 두고 두 개의 평행한 치밀골 층을 가지고 있다. 두개골의 대부분의 뼈와 흉골은 편평뼈이다.[32] 납작뼈는 두 개의 치밀뼈판으로 구성되며 가운데에 샌드위치처럼 해면뼈가 있다. 이 해면뼈를 판사이층(diploe)이라고 한다.4. 4. 불규칙골
불규칙뼈는 긴뼈, 짧은뼈, 납작뼈, 종자뼈 등 다른 뼈의 형태에 속하지 않는 뼈를 말한다. 불규칙뼈는 해면질 내부를 둘러싼 얇은 층의 치밀골로 구성되어 있다.[34] 이름에서 알 수 있듯이 모양이 불규칙하고 복잡하다. 이러한 불규칙한 모양은 여러 개의 골화 중심점 때문이거나 골성 동굴을 포함하기 때문이다.[34] 척추, 골반, 두개골의 일부 뼈가 불규칙뼈에 속한다. 사골과 접형골이 그 예이다.[34]4. 5. 종자골 (종자뼈)
종자뼈는 힘줄이나 인대 속에 존재하는 작은 뼈이다. 무릎뼈가 그 예이다.[29] 종자뼈는 힘줄을 관절에서 더 멀리 떨어뜨려 놓는 역할을 하기 때문에, 힘줄의 각도가 증가하여 근육의 지렛대 작용이 증가한다.[33] 종자뼈의 예로는 슬개골과 콩알뼈가 있다.[33]5. 기능
뼈는 다양한 기능을 수행한다. 뼈의 기능은 크게 기계적, 합성, 대사 기능으로 나눌 수 있다.
골수는 적색 골수, 즉 골수 조직이라고도 하며, 해면골을 포함하는 거의 모든 뼈에서 발견될 수 있다. 영아의 경우 모든 뼈가 적색 골수 또는 조혈 골수로 채워져 있지만, 아이가 성장함에 따라 조혈 분획의 양은 감소하고 골수 지방 조직(MAT)이라고 하는 지방/황색 분획의 양이 증가한다. 성인의 경우 적색 골수는 주로 넙다리뼈, 갈비뼈, 척추뼈 및 골반뼈의 골수에서 발견된다.[17]
5. 1. 물리적 기능
뼈는 신체를 지탱하고 형태를 유지하며, 뇌, 척수, 심장, 폐 등 중요한 장기를 보호한다. 또한 뼈는 근육과 함께 작용하여 다양한 움직임을 가능하게 한다.[44][45]뼈는 압축 강도가 높고, 인장 강도는 낮으며, 전단 응력 강도는 매우 낮아 밀어내는 힘에는 잘 저항하지만, 당기는 힘에는 덜 저항하고 비틀림에는 매우 약하다.[7] 뼈는 기본적으로 취성을 띠지만, 콜라겐 덕분에 상당한 탄성을 가진다.[7]
사람 뼈대의 뼈들은 골격근, 힘줄, 인대, 관절과 함께 신체 각 부분을 3차원 공간에서 움직이게 한다. 예를 들어, 가운데 귀의 작은 뼈는 소리 전달에 중요한 역할을 한다.[7]

5. 2. 생리적 기능
뼈는 다양한 생리적 기능을 수행한다.- '''조혈 작용:''' 골수는 조혈이라는 과정을 통해 적혈구, 혈소판, 백혈구를 생성한다.[46] 조혈모 세포는 미토시스를 통해 분열하여 백혈구 전구체와 적아구를 생성한다. 혈소판은 거핵세포에서 떨어져 나오며, 이러한 분화 과정은 골수 내에서 이루어진다. 매일 25억 개 이상의 적혈구와 혈소판, 500억~1000억 개의 과립구가 생성된다. 골수는 또한 결함이 있거나 노화된 적혈구가 파괴되는 주요 부위이다.
- '''무기질 저장:''' 뼈는 칼슘과 인 등 신체에 중요한 무기질의 저장고 역할을 한다.[47][48][49] 성장 인자도 저장하는데, 인슐린 유사 성장 인자, 형질전환 성장 인자, 골형성 단백질 등이 뼈 기질에 저장된다.[50]
- '''지방 저장:''' 골수 지방 조직(MAT)은 지방산의 저장고 역할을 한다.[51]
- '''산-염기 균형:''' 뼈는 알칼리염을 흡수하거나 방출하여 혈액의 pH 변화를 완충한다.[52]
- '''해독 작용:''' 뼈 조직은 중금속 등 유해 물질을 혈액에서 제거하여 다른 조직에 미치는 영향을 줄이고, 배설을 위해 점진적으로 방출한다.[53]
- '''내분비 기능:''' 뼈는 섬유아세포 성장 인자 23(FGF-23)을 방출하여 인산염 대사를 제어하고, 신장에 작용하여 인산염 재흡수를 줄인다. 또한 오스테오칼신이라는 호르몬을 방출하여 혈당(포도당)과 지방 축적을 조절하는데, 인슐린 분비와 민감성을 증가시키고, 인슐린 생산 세포 수를 늘리며 지방 축적을 줄인다.[54]
- '''칼슘 균형:''' 파골세포에 의한 뼈 흡수는 저장된 칼슘을 순환계로 방출하여 칼슘 균형을 조절한다. 뼈 형성은 순환하는 칼슘을 고정하여 혈류에서 제거하고, 흡수는 칼슘 수치를 높인다. 이 과정은 부위별로 동시에 발생한다.[55]
6. 발생과 성장
뼈의 형성은 골화(ossification)라고 불리며, 태아 발달 단계 동안에는 막내 골화와 연골내 골화의 두 가지 과정으로 발생한다.[35] 뼈는 성장판(골단판)을 통해 길이 성장을 한다.
형성된 뼈가 계속해서 건강하게 유지되기 위해서는 칼슘, 인, 비타민 D 등 영양소와 적절한 운동이 중요하다.
- 영양: 칼슘, 인, 비타민 D 등의 영양소를 규칙적으로 섭취해야 한다. 술, 담배 등은 뼈를 형성하는 물질대사에 부정적인 영향을 줄 수 있다.
- 운동: 뼈의 밀도를 높이거나 유지하기 위해서는 웨이트 트레이닝, 30분 이상 걷기, 체조 등 중력을 이용하는 운동이 효과적이다. 균형감각을 이용하는 운동, 코어근육을 기반으로 하는 근육 운동, 줄넘기나 계단 오르기 등도 도움이 된다.
어린 시절의 뼈 발달은 향후 골격계 합병증을 예방하는 데 매우 중요하다. 아동기 및 청소년기 동안의 규칙적인 운동은 뼈를 더 탄력적으로 만들고 성인기에 골절 위험을 줄일 수 있다. 신체 활동, 특히 저항 훈련은 뼈 밀도와 강도를 모두 증가시켜 뼈의 성장을 자극한다. 연구에 따르면 저항 훈련과 뼈 밀도 사이에 긍정적인 상관관계가 있다.[41] 영양 및 약리학적 접근 방식도 뼈 건강을 개선할 수 있지만, 저항 훈련으로 인한 강도 및 균형 적응은 상당한 추가 이점을 제공한다.[41] 체중 부하 운동은 골아세포(뼈 형성 세포) 형성을 돕고 뼈 무기질 함량을 증가시킨다. 방향을 빠르게 바꾸고, 점프하고, 달리는 것을 포함하는 고강도 스포츠는 청소년의 뼈 성장을 자극하는 데 특히 효과적이다.[42] 축구, 농구, 테니스와 같은 스포츠는 청소년의 뼈 무기질 밀도 및 뼈 무기질 함량에 긍정적인 영향을 미치는 것으로 나타났다.[42] 아동기에 이러한 고강도 골 형성 스포츠에 참여하면 성인기의 뼈 무기질 밀도에 긍정적인 영향을 미칠 수 있다.[43] 규칙적인 신체 활동에 참여하는 어린이와 청소년은 골다공증과 같은 뼈 관련 질환의 위험을 줄일 수 있다.[43]
인간의 경우, 어느 정도 크기로 성장하면 더 이상 성장이 이루어지지 않지만, 그 후에도 파골세포와 조골세포는 뼈에서 활동을 계속하며, 낡은 뼈를 새로운 뼈로 변환하는 작업을 사망할 때까지 계속한다. 사지골은 개인의 근육 활동 수준에 따라 굵게 성장하는 성질이 있으며, 보트 경기 선수의 상완골이 굵다는 것이 그 예시이다.[121]
6. 1. 막내 골화
'''막내 골화'''는 중간엽 조직과 같은 결합 조직으로부터 뼈가 형성되는 과정이다. 주로 머리뼈의 편평골, 턱뼈, 위턱뼈, 쇄골이 형성될 때 발생한다.[36]막내 골화 과정은 다음과 같다.[36]
6. 2. 연골내 골화
연골내 골화는 긴 뼈와 신체의 대부분의 다른 뼈에서 발생하며, 연골로부터 뼈가 발달하는 것을 포함한다. 이 과정에는 연골 모델의 발달, 성장 및 발달, 원발성 및 이차성 골화 중심의 발달, 관절 연골 및 뼈단판의 형성이 포함된다.[37]

연골내 골화는 "원발성 골화 중심"이라고 하는 연골 내의 지점에서 시작된다. 이들은 대부분 태아 발달 동안 나타나지만, 몇몇 짧은 뼈는 출생 후에 원발성 골화를 시작한다. 이들은 긴 뼈, 짧은 뼈 및 불규칙한 뼈의 특정 부분의 골간 형성을 담당한다. 이차성 골화는 출생 후에 발생하여 긴 뼈의 뼈끝(epiphyses)과 불규칙하고 편평한 뼈의 말단을 형성한다. 긴 뼈의 골간과 두 뼈끝은 성장하는 연골 구역(뼈단판)에 의해 분리된다. 골격 성숙(18~25세) 시, 모든 연골이 뼈로 대체되어 골간과 두 뼈끝이 함께 융합된다(뼈끝 폐쇄).[38] 상지에서는 긴 뼈와 어깨뼈의 골간만 골화된다. 뼈끝, 손목뼈, 부리돌기, 어깨뼈의 내측 경계, 봉우리 부분은 여전히 연골이다.[39]
연골이 뼈로 변환되는 과정은 다음과 같다.
# 예비 연골 구역: 골수강에서 가장 멀리 떨어진 이 영역은 아직 뼈로 변환될 징후가 없는 전형적인 유리 연골로 구성된다.[40]
# 세포 증식 구역: 골수강에 조금 더 가까운 곳에서 연골 세포가 증식하여 평평한 소강의 종열을 형성한다.[40]
# 세포 비대 구역: 연골 세포는 분열을 멈추고 비대(확대)되기 시작하며, 태아의 원발성 골화 중심에서와 유사하다. 소강 사이의 기질 벽은 매우 얇아진다.[40]
# 석회화 구역: 광물질이 소강의 열 사이의 기질에 침착되어 연골을 석회화한다. 이것들은 뼈의 영구적인 광물 침착물이 아니라, 확대된 소강의 붕괴로 인해 약해질 연골에 대한 일시적인 지지일 뿐이다.[40]
# 뼈 침착 구역: 각 열 내에서 소강 사이의 벽이 파괴되고 연골 세포가 죽는다. 이것은 각 열을 종 방향 채널로 변환하며, 이는 골수강에서 혈관과 골수에 의해 즉시 침입된다. 골아세포는 이러한 채널의 벽을 따라 정렬되어 동심원판의 기질을 침착하기 시작하는 반면, 파골 세포는 임시로 석회화된 연골을 용해한다.[40]
인간의 경우, 뼈는 중배엽에서 발생한다. 중배엽의 일부가 조골세포와 파골세포로 분화하여 뼈를 형성해 간다.[119] 뼈가 될 부분에서 석회화를 일으키고, 조골세포는 골세포로 분화하여 뼈를 형성해 간다.
경골은 기존 부분이 그대로 늘어나거나 커지지는 않는다.[120] 연골은 조직을 크게 할 수 있으므로,[120] 먼저 연골을 만들고 그 부분을 경골로 변환해 가는 방법으로 경골을 크게 한다.
7. 뼈와 관련된 질환

뼈에는 다양한 질병이 발생할 수 있다. 여기에는 관절염, 골절, 감염, 골다공증, 종양 등이 포함된다. 이러한 질환은 류마티스 전문의나 정형외과 외과의 등 다양한 의사가 관리할 수 있다.[26]
- '''골절''': 정상적인 뼈에서도 강한 힘이 가해지거나 반복적인 외상이 있을 때 골절이 발생할 수 있다. 골다공증과 같이 뼈가 약해진 경우에도 발생할 수 있다.[67] 흔한 골절로는 손목 골절, 고관절 골절, 척추 골절 등이 있다. 골절의 합병증으로는 동요 가슴, 구획 증후군, 지방 색전증 등이 있을 수 있다. 개방 골절은 뼈가 피부를 관통하는 경우를 말하며, 복잡한 골절은 뼈 이식으로 치료하기도 한다. 골절은 X-선, CT 스캔, MRI 등으로 진단할 수 있다.[67]
- '''뼈 종양''': 뼈에는 여러 종류의 종양이 발생할 수 있다. 골종, 골연골종과 같은 양성 종양도 있지만, 암이 뼈 조직에서 발생하거나 다른 부위에서 뼈로 전이될 수도 있다.[68] 뼈에서 발생하는 암은 드물며, 유방암, 폐암, 전립선암 등이 뼈로 전이되는 경우가 많다.[68] 백혈병이나 다발성 골수종과 같은 골수 암도 뼈에 영향을 줄 수 있다. 뼈 종양은 방사선 치료나 화학 요법 등으로 치료한다.
8. 뼈 건강 관리
뼈에는 관절염, 골절, 감염, 골다공증, 종양 등 다양한 질병이 영향을 미칠 수 있다. 뼈와 관련된 질환은 류마티스 전문의, 정형외과 외과의 등 다양한 의사가 관리할 수 있다. 재활 전문의는 회복에 관여하며, 방사선사는 영상 검사 결과를 해석하고, 병리학자는 질병의 원인을 조사한다. 가정의는 골다공증과 같은 뼈 질환의 합병증을 예방하는 데 중요한 역할을 할 수 있다.
의사는 환자를 진찰할 때 병력과 신체 검사를 하고, 뼈의 방사선 촬영이라고 하는 영상 검사를 실시한다. 여기에는 초음파, X-선, CT 스캔, MRI 스캔, 뼈 스캔 등 다양한 영상 검사가 포함될 수 있다. 자가면역 표지자에 대한 혈액 검사나 활액 흡입과 같은 다른 검사를 할 수도 있다.
뼈 건강을 위해서는 규칙적인 영양 섭취, 운동, 올바른 생활 습관이 중요하다.
8. 1. 영양 섭취
뼈가 건강하게 유지되기 위해서는 다른 기관들과 마찬가지로 칼슘, 미네랄, 비타민 D, 채소 등과 같은 영양분을 규칙적으로 공급하는 것이 중요하다.[127][128] 또한, 술, 담배 등 특정 음식의 과도한 섭취는 뼈를 형성하는 물질대사에 부정적인 영향을 줄 수 있으므로 주의해야 한다.최근 연구[57]에 따르면, 다양한 인종의 어린이와 청소년을 대상으로 칼슘 섭취와 골밀도 간의 강한 상관관계가 나타났다. 특히, 8세에서 19세 사이의 10,000명 이상의 어린이를 대상으로 한 연구에서 여성, 아프리카계 미국인, 12-15세 청소년 그룹은 체중 2.6-2.8g/kg에서 골밀도 감소가 시작되었으며, 이는 사춘기 동안의 낮은 칼슘 섭취량과 관련이 있는 것으로 나타났다. 유전적인 요인도 칼슘 흡수에 영향을 줄 수 있다.[57]
따라서 청소년기에 충분한 칼슘을 섭취하는 것이 매우 중요하다. 9세에서 18세 사이에는 하루 1300mg의 칼슘 섭취[56]가 권장되며, 이는 뼈 건강을 개선하고 골다공증 및 성장 부진의 위험을 줄이는 데 도움이 된다. 칼슘 보충제나 잎채소, 우유와 같은 음식 및 음료를 통해 칼슘 섭취를 늘리면, 사춘기 이전 또는 초기 사춘기 어린이의 골밀도를 높일 수 있다는 연구 결과도 있다.[57]
뼈의 단백질인 콜라겐과 오스테오칼신 합성에도 여러 영양소가 필요하다. 특히 오스테오칼신의 전사에는 비타민 D가 필요하며,[112] 정상적인 합성을 위해서는 비타민 K와 비타민 C도 필수적이다.[113] 콜라겐 합성에도 비타민 C가 필요하다.
8. 2. 운동
규칙적인 운동은 뼈의 구조를 개선하여 뼈를 더 탄력적으로 만들고, 성인이 되었을 때 골절 위험을 줄일 수 있다.[41] 신체 활동, 특히 저항 훈련은 뼈 밀도와 강도를 모두 증가시켜 뼈의 성장을 자극한다. 저항 훈련과 뼈 밀도 사이에는 긍정적인 상관관계가 있다는 연구 결과가 있다.[41] 영양 및 약리학적 접근 방식도 뼈 건강을 개선할 수 있지만, 저항 훈련으로 인한 강도 및 균형 적응은 상당한 추가 이점을 제공한다.[41]균형감각을 이용하는 운동, 코어근육을 기반으로 하는 근육 운동, 줄넘기나 계단 오르기처럼 체중을 실어 옮기는 무게중심 이동 운동은 뼈가 중력을 이용하는 대표적인 세 가지 방법이다. 뼈가 중력을 이용하려면 중력의 스트레스를 견뎌야 하는데, 이때 뼈는 물리적으로 더 높은 강도를 필요로 한다.
체중 부하 운동은 골모세포(뼈 형성 세포) 형성을 돕고 뼈 무기질 함량을 증가시킨다. 방향을 빠르게 바꾸고, 점프하고, 달리는 고강도 스포츠는 청소년의 뼈 성장에 특히 효과적이다.[42] 축구, 농구, 테니스와 같은 스포츠는 청소년의 뼈 무기질 밀도 및 뼈 무기질 함량에 긍정적인 영향을 미치는 것으로 나타났다.[42] 아동기에 이러한 고강도 골 형성 스포츠에 참여하면 성인의 뼈 무기질 밀도에 긍정적인 영향을 줄 수 있다.[43] 규칙적인 신체 활동을 하는 어린이와 청소년은 골다공증과 같은 뼈 관련 질환의 위험을 줄일 수 있다.[43]
발달성 협응 장애가 있는 어린이를 대상으로 한 연구에서는 13주간의 훈련 기간 동안 경골의 피질 부위에서만 골량이 최대 4%에서 5% 증가했다.[85]
8. 3. 생활 습관 개선
뼈 건강은 평생 동안 매우 중요하며, 어릴 때 튼튼한 뼈를 만드는 것이 중요하다. 청소년기는 뼈 발달에 중요한 시기이며, 이 시기의 식단과 운동은 성인의 최대 골밀도에 큰 영향을 미칠 수 있다.최대 골밀도는 대부분 20대에서 30대 사이에 나타나기 때문에, 건강하고 활동적인 생활을 하고, 칼슘과 비타민 D가 풍부한 식단을 섭취하는 것이 중요하다. 이를 통해 골량을 최대한 확보하고 골밀도(BMD)와 골무기질 함량(BMC)을 증가시켜 노년에도 뼈 건강을 유지하고 골다공증과 같은 질환의 위험을 줄일 수 있다.[86]
9. 뼈와 관련된 문화 및 사회
뼈는 음식, 예술, 도구 등 다양한 문화 및 사회 분야에서 중요한 역할을 해왔다.
- 음식: 육수, 곰탕 등의 재료로 사용된다.
- 예술: 조각, 공예 등 예술 작품의 재료로 활용된다.
- 도구: 선사 시대에는 뼈 도구 제작,[99] 선사 미술에는 골각 재료로 사용되었다. 현대에는 단추, 구슬, 손잡이, 실패, 계산 보조 도구, 헤드 너트, 주사위, 포커 칩, 픽업 스틱, 화살, 스크림쇼, 장식품 등 다양한 용도로 활용된다.
- 기타:
- 뼈 접착제: 뼈를 끓여 만들며, 골동품 복원 등에 사용된다.
- 젤라틴: 뼈 접착제를 정제 및 건조하여 만든다.
- 골탄: 뼈를 탄화시켜 만든 검은색 과립으로, 여과 및 안료로 사용된다.
- 갑골문: 고대 중국에서 뼈에 새긴 문자로, 점술에 사용되었다.
- 일부 문화권에서는 뼈를 가리키는 것을 불운으로 여긴다. (호주 원주민, 쿠르다이차 등)
- 새의 행운의 뼈는 점술에 사용되며, 소원을 비는 전통이 있다.
- 인위적인 두개골 변형, 전족 등 뼈와 관련된 역사적 관습이 존재한다.
- 골탄, 골분, 골지, 교 등의 소재로 사용된다.
- 골각기, Bone carving|뼈 조각품영어, 해골잔 등 뼈로 만든 다양한 물건들이 존재한다.
- 유럽에서는 거위의 경골 (wishbone)이 점술에 사용되었다.
- 영국에서는 뼈의 재를 사용한 도자기 본차이나가 만들어졌다.
- 플루트[122], 캉링[123], 키하다, 본즈 등 뼈로 만든 악기들이 존재한다.
9. 1. 고고학 및 인류학
뼈는 고고학 및 인류학 연구에서 중요한 자료로 활용된다. 뼈를 통해 과거 인류의 생활 방식, 질병, 식습관 등을 추정할 수 있다. 호모 사피엔스와 네안데르탈인이 만든 뼈 도구를 연구한다. 뼈는 투사체나 예술적 안료와 같은 다양한 용도로 사용될 수 있으며, 사슴 뿔과 같은 외부 뼈로 만들 수도 있다.[99]도살된 동물의 뼈는 선사 시대에는 뼈 도구를 만드는 데 사용되었다. 또한, 선사 미술에서 이미 중요했던 골각에 사용되었으며, 현대에는 단추, 구슬, 손잡이, 실패, 계산 보조 도구, 헤드 너트, 주사위, 포커 칩, 픽업 스틱, 화살, 스크림쇼, 장식품 등의 제작 재료로도 사용된다.
갑골문은 뼈에 새긴 비문을 기반으로 한 고대 중국의 문자 체계였다. 이름은 주로 소의 쇄골인 갑골에서 유래했다. 고대 중국인(주로 상 왕조)은 질문을 갑골에 적고 뼈를 태웠으며, 뼈가 갈라진 부분이 질문에 대한 답이 되었다.
또한 뼈로 만든 낚시 도구 등 다양한 골각기가 알려져 있다. Bone carving|뼈 조각품영어도 만들어졌다. 용기로서의 해골잔은 많은 문화에서 찾아볼 수 있다.
요리로는 육수를 내는 데 사용된다. 중국에서는 갑골문 등 점에 사용되었다. 또한 유럽에서는 거위의 경골(wishbone)이 점 등에 사용되었다.
9. 2. 의학
뼈와 관련된 질환은 정형외과, 재활의학과 등 다양한 과에서 진단 및 치료를 받을 수 있다. 류마티스 전문의는 관절 관련 질환을 담당하며, 정형외과 외과의는 골절 수술을 시행할 수 있다. 재활 전문의는 회복을 돕고, 방사선사는 영상 검사 결과를 해석한다. 병리학자는 질병의 원인을 조사하고, 가정의는 골다공증과 같은 뼈 질환 합병증 예방에 중요한 역할을 한다.의사는 환자를 진찰할 때 병력과 신체 검사를 진행한다. 이후 뼈의 방사선 촬영을 실시하는 경우가 많다. 여기에는 초음파, X-선, CT 스캔, MRI 스캔 및 암을 조사하는 데 사용될 수 있는 뼈 스캔과 같은 영상 검사가 포함될 수 있다. 자가면역 표지자에 대한 혈액 검사 또는 활액 흡입과 같은 다른 검사를 할 수도 있다.
9. 3. 기타
뼈는 음식(육수, 곰탕 등), 예술 작품 (조각, 공예 등) 등 다양한 분야에서 활용된다.
도살된 동물의 뼈는 선사 시대의 뼈 도구 제작,[99] 선사 미술의 골각 재료, 현대의 단추, 구슬, 손잡이, 실패, 계산 보조 도구, 헤드 너트, 주사위, 포커 칩, 픽업 스틱, 화살, 스크림쇼, 장식품 등 여러 용도로 사용된다.
뼈 접착제는 갈거나 금이 간 뼈를 오랫동안 끓여서 만든 다음, 여과하고 증발시켜 생성된 액체를 걸쭉하게 만들어 만든다. 뼈 접착제와 다른 동물성 접착제는 현재 골동품 복원과 같은 몇 가지 특수한 용도로만 사용된다. 젤라틴은 기본적으로 동일한 공정을 추가로 정제하고, 걸쭉하게 하고, 건조하여 만든다.
육수는 여러 재료를 오랫동안 끓여서 만드는데, 전통적으로 뼈를 포함한다. 골탄은 다공성의 검은색 과립 물질로, 주로 여과에 사용되며 검은색 안료로도 사용된다. 골탄은 포유류의 뼈를 탄화시켜 생산된다.
갑골문은 뼈에 새긴 비문을 기반으로 한 고대 중국의 문자 체계였다. 이름은 주로 소의 쇄골인 갑골에서 유래했다. 고대 중국인(주로 상 왕조)은 질문을 갑골에 적고 뼈를 태웠으며, 뼈가 갈라진 부분이 질문에 대한 답이 되었다.
일부 문화권에서는 누군가를 향해 뼈를 가리키는 것은 불운으로 여겨진다. (호주 원주민, 쿠르다이차 등)
새의 행운의 뼈는 점술에 사용되었으며, 두 사람이 뼈의 양쪽 갈래를 잡아당겨 소원을 빌 수 있는 전통으로 여전히 관습적으로 사용된다.
역사를 통틀어 다양한 문화권에서 인위적인 두개골 변형을 통해 아기의 머리 모양을 만드는 관습을 채택했다. 중국에서 널리 행해지던 관습은 발의 정상적인 성장을 제한하기 위한 전족이었다.
골탄, 골분, 골지, 교 등의 소재가 되었다.
또한 뼈로 만든 낚시 도구 등 다양한 골각기가 알려져 있다. Bone carving|뼈 조각품영어도 만들어졌다. 용기로서의 해골잔은 많은 문화에서 찾아볼 수 있다.
요리로는 육수를 내는 데 사용된다.
중국에서는 갑골문 등 점에 사용되었다. 또한 유럽에서는 거위의 경골(wishbone)은 점 등에 사용되었다.
영국에서는 뼈의 재를 사용한 도자기 본차이나가 만들어졌다.
사람은 척추동물의 뼈를 생체에서 얻을 수 있는 재료 중 하나로 사용하는 역사를 가지고 있다. 예를 들어, 에어 리드(Air reed) 방식의 목관악기로 알려진 플루트의 재료로 뼈를 사용했다고 전해진다.[122] 즉, 긴 뼈의 파이프 구조를 이용하여 가공하여 플루트를 만들었다.
티베트의 종교 악기로, 사람의 대퇴골로 만들어진 캉링 (崗鈴)이라고 불리는 2개 1조의 인골 피리가 제작된다.[123]
또한, 라틴 아메리카에는 키하다라는 체명악기에 분류되는 타악기가 있다. 아일랜드에서 미국으로 전해진 갈비뼈를 손가락에 끼워 연주하는 본즈라는 타악기도 있다.
참조
[1]
서적
The Bone Organ System: Form and Function
https://www.scienced[...]
Academic Press
2001-01
[2]
서적
Vertebrate skeletal histology and paleohistology
https://books.google[...]
CRC Press
2021
[3]
서적
The Anatomy and Biology of the Human Skeleton
https://archive.org/[...]
Texas A&M University Press
[4]
서적
Mammal anatomy: an illustrated guide
Marshall Cavendish
2010
[5]
웹사이트
Ossein
http://medical-dicti[...]
[6]
서적
Textbook of Medical Physiology
https://archive.org/[...]
Elsevier
2011
[7]
서적
Scaling: Why Is Animal Size So Important?
https://archive.org/[...]
Cambridge University Press
[8]
논문
A mineralogical perspective on the apatite in bone
[9]
논문
Bone Apatite Nanocrystal: Crystalline Structure, Chemical Composition, and Architecture
2023-02
[10]
웹사이트
Structure of Bone
https://flexbooks.ck[...]
CK12-Foundation
2020-05-28
[11]
웹사이트
Structure of Bone Tissue
https://training.see[...]
Surveillance, Epidemiology, and End Results Program (SEER) U.S. National Cancer Institute
2023-01-25
[12]
논문
Biological materials: Structure and mechanical properties
https://www.scienced[...]
2008-01
[13]
논문
Hierarchical organization of bone in three dimensions: A twist of twists
2022
[14]
논문
On estimating the directionality distribution in pedicle trabecular bone from micro-CT images
2014-12
[15]
서적
Basic Biomechanics with OLC.
McGraw-Hill Higher Education
2007
[16]
논문
Crisóstomo Martinez, 1638-1694: the discoverer of trabecular bone
2002-02
[17]
서적
The Handy Anatomy Answer Book : Includes Physiology
Visible Ink Press
2016
[18]
논문
The Key Role of the Blood Supply to Bone
2013-09
[19]
웹사이트
The O' Cells
http://depts.washing[...]
The University of Washington
2013-04-03
[20]
논문
Bone Lining Cells: Normal Physiology and Role in Response to Anabolic Osteoporosis Treatments
2017-04-28
[21]
논문
Regulation of cortical and trabecular bone mass by communication between osteoblasts, osteocytes and osteoclasts
2014-11
[22]
간행물
Enhancement of Hydroxyapatite Dissolution
https://arxiv.org/ft[...]
[23]
웹사이트
The Structure of Bone Tissue
http://press.princet[...]
Princeton University Press
2017-04-25
[24]
문서
Biology of Mineralized Tissues: Cartilage and Bone
Columbia University College of Dental Medicine
2007
[25]
서적
Connective Tissue and Its Heritable Disorders: Molecular, Genetic, and Medical Aspects
https://books.google[...]
John Wiley & Sons
2003-04-14
[26]
논문
Crossfibrillar mineral tessellation in normal and Hyp mouse bone as revealed by 3D FIB-SEM microscopy
https://escholarship[...]
2020-11
[27]
논문
Morphological and dimensional characteristics of bone mineral crystals
[28]
논문
Morphological Characterization of Femur and Parietal Bone Mineral of Rats at Different Ages
[29]
웹사이트
Types of bone
http://www.mananatom[...]
mananatomy.com
2016-02-06
[30]
웹사이트
DoITPoMS – TLP Library Structure of bone and implant materials – Structure and composition of bone
https://www.doitpoms[...]
University of Cambridge
[31]
서적
Anatomy & Physiology
OpenStax CNX
2023-06-08
[32]
논문
Normal Bone Anatomy and Physiology
[33]
논문
Occurrence and distribution of sesamoid bones in squamates: a comparative approach
[34]
웹사이트
Bone as an Organ
https://www.zoylo.co[...]
Amirsys, Inc.
2012-09-28
[35]
서적
Anatomy and Physiology
OpenStax
2013-04-25
[36]
웹사이트
Bone Growth and Development
https://courses.lume[...]
lumenlearning.com
2020-05-28
[37]
서적
Principles of Anatomy and Physiology
https://books.google[...]
John Wiley & Sons
[38]
웹사이트
6.4B: Postnatal Bone Growth
https://med.libretex[...]
2020-05-28
[39]
서적
Grant's Atlas of Anatomy
Lippincott, Williams, and Wilkins
[40]
서적
Anatomy and Physiology: The Unity of Form and Function
McGraw-Hill
[41]
간행물
The effects of progressive resistance training on bone density: a review
1999-01
[42]
간행물
Evaluación del mineral óseo con la dexa en futbolistas juveniles
https://revistas.uam[...]
2019-12-16
[43]
간행물
Influence of participation in high-impact sports during adolescence and adulthood on bone mineral density in middle-aged men: a 27-year follow-up study
2003-09
[44]
서적
BENG 112A Biomechanics, Winter Quarter, 2013
Department of Bioengineering, University of California
2015-03-24
[45]
간행물
Shear strength and fatigue properties of human cortical bone determined from pure shear tests
2001-12
[46]
간행물
Development of the hematopoietic system and disorders of hematopoiesis that present during infancy and early childhood
2013-12
[47]
간행물
The skeleton: endocrine regulator of phosphate homeostasis
2008-12
[48]
웹사이트
Bone Health In Depth
https://lpi.oregonst[...]
2022-09-13
[49]
웹사이트
Bone
https://www.britanni[...]
2017-10-05
[50]
서적
Ciba Foundation Symposium 136 - Cell and Molecular Biology of Vertebrate Hard Tissues
1988
[51]
간행물
Exercise Decreases Marrow Adipose Tissue Through ß-Oxidation in Obese Running Mice
2017-08
[52]
서적
Radionuclide and Hybrid Bone Imaging
https://books.google[...]
Springer
[53]
웹사이트
Bone
http://flipper.diff.[...]
2020-05-28
[54]
간행물
Endocrine regulation of energy metabolism by the skeleton
2007-08
[55]
웹사이트
Bones
https://www.ck12.org[...]
2020-05-29
[56]
서적
Endotext
MDText.com, Inc.
2024-11-15
[57]
간행물
Association between dietary calcium intake and BMD in children and adolescents
2020-01
[58]
간행물
Adequate calcium intake during long periods improves bone mineral density in healthy children. Data from the Childhood Obesity Project
2018-06
[59]
간행물
Birth and death of bone cells: basic regulatory mechanisms and implications for the pathogenesis and treatment of osteoporosis
2000-04
[60]
간행물
Bone remodeling
2006-12
[61]
서적
Anatomy, physiology, and metabolic disorders
Novartis Pharmaceutical Corp.
1999
[62]
서적
Radionuclide and Hybrid Bone Imaging
https://books.google[...]
Springer
2013
[63]
웹사이트
Introduction to cell signaling (article)
https://www.khanacad[...]
2020-12-24
[64]
서적
Medical physiology: a cellular and molecular approach
Saunders
[65]
간행물
Bone growth factors
1991-02
[66]
간행물
Bone formation and resorption as the determinants of trabecular bone volume in postmenopausal osteoporosis
1981-08
[67]
간행물
Injuries Involving the Epiphyseal Plate
http://jbjs.org/cont[...]
2016-12-02
[68]
웹사이트
Benign Bone Tumours
http://my.clevelandc[...]
2017-03-29
[69]
간행물
Insulin Resistance, Type 1 and Type 2 Diabetes, and Related Complications 2017
2017
[70]
간행물
Elucidating the Underlying Mechanisms of the Marked Increase in Childhood Type 1 Diabetes During the COVID-19 Pandemic-The Diabetes Pandemic
2023-06
[71]
논문
Bone Mineral Density and Type 1 Diabetes in Children and Adolescents: A Meta-analysis
2021-08
[72]
논문
Diabetes and bone
2022-11
[73]
논문
The role of osteocalcin in human glucose metabolism: marker or mediator?
2013-01
[74]
웹사이트
Osteomyelitis
https://www.lecturio[...]
2021-08-26
[75]
웹사이트
Osteomalacia and Rickets
https://www.lecturio[...]
2021-08-26
[76]
웹사이트
Osteogenesis Imperfecta
https://www.lecturio[...]
2021-08-26
[77]
웹사이트
Osteochondritis Dissecans
https://www.lecturio[...]
2021-08-26
[78]
웹사이트
Ankylosing Spondylitis
https://www.lecturio[...]
2021-08-26
[79]
논문
Intake and metabolism of fluoride
1994-06
[80]
논문
Assessment of fracture risk and its application to screening for postmenopausal osteoporosis. Report of a WHO Study Group
[81]
문서
DNA damage drives accelerated bone aging via an NF-κB-dependent mechanism
2013
[82]
문서
Davidson
2010
[83]
웹사이트
2012 Osteopathic Medical Profession Report
http://www.osteopath[...]
American Osteopathic Organisation
2014-11-26
[84]
논문
Musculoskeletal health in children and adolescents
2023
[85]
논문
Impact of a multimodal exercise program on tibial bone health in adolescents with Development Coordination Disorder: an examination of feasibility and potential efficacy
2020-12
[86]
논문
Editorial: Bone health and development in children and adolescents
2022
[87]
논문
Bone density and the lightweight skeletons of birds
2010-07
[88]
논문
Formation, structure, and function of extra-skeletal bones in mammals
2020-08
[89]
논문
Hard fallow deer antler: a living bone till antler casting?
1999-05
[90]
웹사이트
Dunkleosteus
https://www.amnh.org[...]
[91]
웹사이트
My, What a Big Mouth You Have {{pipe}} Cleveland Museum of Natural History
https://www.cmnh.org[...]
[92]
논문
Bone histology of the ichthyosaurs: comparative data and functional interpretation
[93]
논문
Bone microanatomy and lifestyle: a descriptive approach
[94]
논문
An analysis of vertebral 'pachyostosis' in Carentonosaurus mineaui (Mosasauroidea, Squamata) from the Cenomanian (early Late Cretaceous) of France, with comments on its phylogenetic and functional significance
https://doi.org/10.1[...]
2008-09-12
[95]
논문
Evolution of Sirenian Pachyosteosclerosis, a Model-case for the Study of Bone Structure in Aquatic Tetrapods
2010-06
[96]
논문
Generalized Osteosclerotic Condition in the Skeleton of Nanophoca vitulinoides, a Dwarf Seal from the Miocene of Belgium
https://hal.sorbonne[...]
2019-12
[97]
논문
Hypersalinity drives convergent bone mass increases in Miocene marine mammals from the Paratethys
2022-01
[98]
논문
Evolution: Back to heavy bones in salty seas
https://hal.archives[...]
2022-01
[99]
서적
People and Nature in Historical Perspective
https://books.google[...]
Central European University Press
2003-01
[100]
서적
リハビリテーション医学
医歯薬出版
1991-07-05
[101]
서적
リハビリテーション医学
医歯薬出版
1991-07-05
[102]
문서
ヒトではカルシウムの99パーセント、リンの8割以上が骨に集中して存在している。なお、骨に含有される有機物の約9割は、コラーゲンとされている。
[103]
서적
標準組織学 総論(第3版)
医学書院
1988-02-01
[104]
서적
元素111の新知識
講談社(ブルーバックスB1192)
1997-10-20
[105]
서적
標準組織学 総論(第3版)
医学書院
1988-02-01
[106]
서적
標準組織学 総論(第3版)
医学書院
1988-02-01
[107]
서적
新しい機能形態学 ―ヒトの成り立ちとその働き―(第2版)
廣川書店
2007-03-25
[108]
서적
やさしい生理学(改訂第5版)
南江堂
2005-10-01
[109]
서적
新しい機能形態学 ―ヒトの成り立ちとその働き―(第2版)
廣川書店
2007-03-25
[110]
서적
新しい機能形態学 ―ヒトの成り立ちとその働き―(第2版)
廣川書店
2007-03-25
[111]
서적
ぜんぶわかる呼吸の事典
成美堂出版
2020-01-01
[112]
서적
Illustrated ハーパー・生化学(原書27版)
丸善
2007-01-30
[113]
서적
Illustrated ハーパー・生化学(原書27版)
丸善
2007-01-30
[114]
서적
Illustrated ハーパー・生化学(原書27版)
丸善
2007-01-30
[115]
문서
α-ケトグルタル酸
[116]
서적
Illustrated ハーパー・生化学(原書27版)
丸善
2007-01-30
[117]
서적
Illustrated ハーパー・生化学(原書27版)
丸善
2007-01-30
[118]
웹사이트
骨格形成、軟骨代謝に必須の新規遺伝子SLC35D1を発見
http://www.riken.go.[...]
独立行政法人 理化学研究所
2008-02-20
[119]
서적
新しい機能形態学 ―ヒトの成り立ちとその働き―(第2版)
廣川書店
2007-03-25
[120]
서적
新しい機能形態学 ―ヒトの成り立ちとその働き―(第2版)
廣川書店
2007-03-25
[121]
웹사이트
日本一“マッチョな”縄文人集団 ~保ほ美び貝塚かいづか(愛知県田原市)の縄文人とその極端に太い上腕骨の成因について~
https://acrobat.adob[...]
独立行政法人国立科学博物館
2018-08-27
[122]
서적
見て読む本 世界なるぼど楽器百科(改訂第2版)
ヤマハミュージックメディア
2010-06-10
[123]
웹사이트
楽器編|文化デジタルライブラリー
https://www2.ntj.jac[...]
2023-09-02
[124]
서적
元素111の新知識
講談社(ブルーバックスB1192)
1997-10-20
[125]
서적
鉱物の不思議がわかる本
成美堂出版
2006-12-20
[126]
서적
鉱物の不思議がわかる本
成美堂出版
2006-12-20
[127]
뉴스
헬스경향-튼튼한 뼈 원하면 이렇게 운동하세요
http://www.k-health.[...]
[128]
뉴스
서울삼성병원-운동으로 챙기는 뼈 건강
http://samsunghospit[...]
본 사이트는 AI가 위키백과와 뉴스 기사,정부 간행물,학술 논문등을 바탕으로 정보를 가공하여 제공하는 백과사전형 서비스입니다.
모든 문서는 AI에 의해 자동 생성되며, CC BY-SA 4.0 라이선스에 따라 이용할 수 있습니다.
하지만, 위키백과나 뉴스 기사 자체에 오류, 부정확한 정보, 또는 가짜 뉴스가 포함될 수 있으며, AI는 이러한 내용을 완벽하게 걸러내지 못할 수 있습니다.
따라서 제공되는 정보에 일부 오류나 편향이 있을 수 있으므로, 중요한 정보는 반드시 다른 출처를 통해 교차 검증하시기 바랍니다.
문의하기 : help@durumis.com
