포상기태
"오늘의AI위키"의 AI를 통해 더욱 풍부하고 폭넓은 지식 경험을 누리세요.
1. 개요
포상기태는 태반에 포도송이 모양의 소포가 포함된 임신으로, 융모 융모의 액체 팽창과 영양막 조직의 과형성이 특징이다. 완전 포상기태와 부분 포상기태로 나뉘며, 드물게 정상 태아와 공존하기도 한다. 원인은 명확하지 않지만, 난자 결함, 자궁 이상, 영양 결핍 등이 위험 요인으로 작용하며, 20세 미만 또는 40세 이상 여성에게서 발생 위험이 높다. 주요 증상으로는 무통성 질 출혈, 자궁 비대, 과도한 입덧, hCG 수치 증가 등이 나타나며, 초음파 검사로 진단하고 조직 검사로 확진한다. 치료는 자궁 내용물 제거술, hCG 수치 추적 관찰, 항암 화학 요법, 자궁 절제술 등이 있으며, 조기 치료를 통해 융모상피암 발생 위험을 줄이는 것이 중요하다. 치료 후 추적 관찰이 필수적이며, 재발 및 융모상피암으로의 진행 여부를 확인한다.
더 읽어볼만한 페이지
- 산부인과 병리학 - 산욕열
산욕열은 출산 후 여성 생식 기관에 세균 감염으로 인해 발열, 오한, 복통, 악취 나는 분비물 등의 증상이 나타나는 질환으로, 장기간 분만이나 제왕절개 등이 위험 요인으로 작용하며, 항생제 치료가 중요하고, 과거 높은 사망률을 보였으나 현재는 감소 추세이나 저소득 국가에서는 여전히 모성 사망의 주요 원인이다. - 산부인과 병리학 - 사산
사산은 임신 20주 또는 WHO 기준 28주 이후에 태아가 사망하여 출생하는 것으로, 탯줄 관련 사고, 감염, 선천성 기형, 모체 질환 등 다양한 원인으로 발생하며 유산과는 구별되고 부모에게 심리적 고통을 줄 수 있다.
2. 종류
포상기태는 형태학적, 유전학적 특징에 따라 완전 포상기태와 부분 포상기태로 분류된다.
; 완전 포상기태
: 난자의 핵이 불활성화되고 정자의 핵만 분열, 증식하여 발생한다. 난자에 문제가 있는 경우에 발생하며,[24] 염색체 수는 정상이지만 아버지 쪽 유전자로만 발생하므로 태아는 매우 작을 때 사망하고, 태반의 융모 조직은 이상 증식한다.[24]
; 부분 포상기태
: 하나의 난자에 두 개의 정자가 침입, 수정되어 발생하며(2정자 수정), 3배체를 형성한다. 융모의 이상 증식이 확인되지만, 어머니 유전자가 있어 태아가 형성되기도 하며, 융모의 낭포상 변화와 태아 성분이 혼재한다.
드물게, 수포성 기태가 정상적인 태아와 자궁 내에 공존하기도 하는데, 이는 쌍둥이 임신으로 발생한다. 주의 깊은 감시하에, 정상적인 아이를 낳고 포상기태를 치료할 수 있다.[9]
2. 1. 형태 및 유전학적 특징
수포성 포상기태는 태반에 육안으로 보이는 포도송이 모양의 소포(작은 주머니)를 포함하는 임신/태아이다. 이 소포는 융모 융모가 액체로 팽창하여 발생하며, 현미경으로 검사하면 영양막 조직의 과형성이 관찰된다. 치료하지 않으면 수포성 포상기태는 거의 항상 자연 유산으로 끝난다.형태학에 따라 수포성 포상기태는 완전 포상기태와 부분 포상기태 두 가지 유형으로 나눌 수 있다. 완전 포상기태는 모든 융모가 소포성이며, 배아 또는 태아 발달의 징후가 없다. 부분 포상기태는 일부 융모는 소포성이고 다른 융모는 더 정상적으로 보이며, 배아/태아 발달이 보일 수 있지만 태아는 항상 기형이며 생존할 수 없다.
드물게 수포성 포상기태가 정상적이고 생존 가능한 태아와 함께 자궁 내에 공존하는 경우가 있는데, 이는 쌍둥이 임신으로 인해 발생한다. 이 경우 자궁에는 두 가지 임신 산물이 포함되어 있다. 하나는 비정상적인 태반과 생존 가능한 태아가 없는 포상기태이고, 다른 하나는 정상적인 태반과 생존 가능한 태아이다. 주의 깊은 감시하에, 여성은 종종 정상적인 아이를 낳고 포상기태를 치료할 수 있다.[9]
대부분의 완전 포상기태는 모든 핵 유전자가 아버지로부터만 유전되는 반면, 부분 포상기태는 삼배체(염색체 세트 3개)로, 핵에는 한 세트의 모성 유전자와 두 세트의 부성 유전자가 포함되어 있다. 이는 단일 정자로부터의 부성 반수체 세트가 중복되거나, 난자에 두 개의 정자가 수정되어 발생할 수 있다.[10]
드문 경우로, 포상기태는 사배체(염색체 세트 4개)이거나 다른 염색체 이상을 가지기도 한다.
소수의 포상기태는 정상적인 살아있는 사람처럼 양친으로부터 각각 두 세트의 염색체를 상속받은 이배체 유전체를 가지고 있다. 이러한 포상기태 중 일부는 ''NLRP7'' 유전자에 돌연변이를 가진 여성에게서 발생하며, 이 돌연변이는 포상기태 임신에 취약하게 만든다. 이러한 희귀한 포상기태 변이는 완전하거나 부분적일 수 있다.[11][12][13]
2. 1. 1. 완전 포상기태
융모가 모두 수포성으로 변하며, 배아나 태아 발달의 징후가 없다. 핵 유전자는 모두 아버지로부터 유래하며, 대부분 46,XX 또는 46,XY 핵형을 가진다. 빈 난자에 하나의 정자가 수정된 후 염색체가 복제되거나, 빈 난자에 두 개의 정자가 수정되어 발생한다. hCG (사람 융모 성선 자극 호르몬) 수치가 매우 높게 나타난다. 융모상피암 발생 위험이 상대적으로 높다(약 15%).[9]대부분의 완전 포상기태에서 모든 핵 유전자는 아버지로부터만 유전된다(안드로게네시스).[10] 이러한 안드로제네틱 포상기태의 약 80%에서 가장 가능성이 높은 메커니즘은 핵이 비어 있거나 핵이 없는 난자가 단일 정자에 의해 수정된 후 모든 염색체/유전자(내부 중복이라고 하는 과정)가 복제되는 것이다. 완전 포상기태의 약 20%에서 가장 가능성이 높은 메커니즘은 빈 난자가 두 개의 정자에 의해 수정되는 것이다. 두 경우 모두 포상기태는 이배체(즉, 모든 염색체의 사본이 두 개 있다)이다. 이 모든 경우 미토콘드리아 유전자는 평소와 같이 어머니로부터 유전된다.[10]

완전 포상기태는 수정 시 난자 유래의 핵이 불활성화되고, 정자 유래의 핵만이 분열 증식한다. 난자에 문제가 있는 경우에 발생한다.[24] 수정 후 어떠한 원인으로 난자의 핵이 소실되거나, 원래 핵을 가지지 않은 난자에 정자가 수정되어 정자의 염색체만 사용하여 세포 분열이 시작된 것으로, 아버지 쪽 정자 유래의 유핵 발생으로, 46XX의 2배체를 형성하고 있다.[24] 염색체 수는 정상이지만, 포유류의 경우 태아와 태반의 발달에 사용하는 유전자가 각각 어머니와 아버지 유래의 것이므로, 이 경우 (어머니 유래의 유전자가 없기 때문에) 태아가 매우 작을 때 치사하게 되고, 아버지 유래의 유전자가 너무 많아 태반의 융모 조직이 이상 증식한다.[24] 자궁강 내 전체에 포도송이 모양의 융모의 이상 증식이 확인된다.
2. 1. 2. 부분 포상기태
부분 포상기태는 일부 융모가 수포성으로 변하고 다른 융모는 비교적 정상적인 형태를 보인다. 배아/태아 발달이 관찰될 수 있지만, 태아는 항상 기형이며 생존은 불가능하다.[9] 대부분 3배체(69XXX, 69XXY, 69XYY 등) 핵형을 가지는데, 이는 하나의 난자에 두 개의 정자가 침입하여 수정되는 경우(2정자 수정)에 발생한다.[9] 이 경우, 어머니 유래의 유전자도 존재하기 때문에 태아가 형성되기도 하지만, 아버지 유래의 유전자가 너무 많아 융모의 낭포상 변화와 태아 성분이 혼재된 포상기태가 나타난다.[24]2. 2. 임상 경과
포상기태는 자궁 내막에 국한된 비침윤성 포상기태와 자궁 근층을 침범하는 침윤성 포상기태로 나눌 수 있다.[9] 드물게 융모상피암으로 진행될 수 있다.[9]수포성 포상기태는 태반에 육안으로 보이는 포도송이 모양의 소포(작은 주머니)가 포함된 임신/태아이다.[9] 이 소포는 융모 융모가 액체로 팽창하여 발생한다.[9] 현미경으로 검사하면 영양막 조직의 과형성이 관찰된다.[9] 치료하지 않으면 수포성 포상기태는 거의 항상 자연 유산으로 끝난다.[9]
형태학에 따라 수포성 포상기태는 두 가지 유형으로 나눌 수 있다.[9] '완전 포상기태'의 경우, 모든 융모 융모가 소포성이며, 배아 또는 태아 발달의 징후가 없다.[9] '부분 포상기태'의 경우, 일부 융모는 소포성이고 다른 융모는 더 정상적으로 보이며, 배아/태아 발달이 보일 수 있지만 태아는 항상 기형이며 생존할 수 없다.[9]
드문 경우이지만, 수포성 포상기태는 정상적이고 생존 가능한 태아와 함께 자궁 내에 공존한다.[9] 이러한 경우는 쌍둥이로 인해 발생한다.[9] 자궁에는 두 가지 임신 산물이 포함되어 있다.[9] 하나는 비정상적인 태반과 생존 가능한 태아가 없는 경우(포상기태)이고, 다른 하나는 정상적인 태반과 생존 가능한 태아가 있는 경우이다.[9] 주의 깊은 감시하에, 여성은 종종 정상적인 아이를 낳고 포상기태를 치료할 수 있다.[9]
3. 원인 및 병태 생리
포상기태의 정확한 원인은 아직 밝혀지지 않았지만, 난자의 결함, 자궁 내 이상, 영양 결핍 등이 위험 요인으로 알려져 있다.[7] 정자 DNA만의 이배체 세트는 모든 염색체가 정자 패턴의 유전자 메틸화 억제를 갖는다는 것을 의미하며, 이는 융모영양막의 과잉 성장을 초래한다. 반면 난자 패턴의 이중 메틸화는 배아에 자원을 집중시켜 융모영양막의 발달을 저해하는데, 이는 남성 유전자가 태아에 대한 높은 투자를 추진하는 반면 여성 유전자는 자원 제한을 통해 자녀 수를 최대화하려는 진화적 경쟁의 결과로 여겨진다.[8]
3. 1. 위험 요인
이 질환의 원인은 완전히 밝혀지지 않았다. 잠재적인 위험 요소에는 난자의 결함, 자궁 내 이상, 영양 결핍 등이 있을 수 있다. 20세 미만 또는 40세 이상 여성의 위험이 더 높다. 다른 위험 요소로는 단백질, 엽산, 카로틴이 부족한 식단이 있다.[7] 정자 DNA만의 이배체 세트는 모든 염색체가 정자 패턴의 유전자 메틸화 억제를 갖는다는 것을 의미한다. 이것은 융모영양막의 과잉 성장을 초래하는 반면, 난자 패턴의 이중 메틸화는 배아에 자원을 집중시켜 융모영양막의 발달을 저해한다. 이것은 남성 유전자가 태아에 대한 높은 투자를 추진하는 반면 여성 유전자는 자원 제한을 통해 자녀 수를 최대화하려는 진화적 경쟁의 결과로 여겨진다.[8]3. 2. 유전학적 기전
대부분의 완전 포상기태는 모든 핵 유전자가 아버지로부터만 유전된다(안드로게네시스).[8] 이러한 안드로제네틱 포상기태의 약 80%에서 가장 가능성이 높은 기전은 핵이 비어 있거나 핵이 없는 난자가 단일 정자에 의해 수정된 후 모든 염색체/유전자(내부 중복이라고 하는 과정)가 복제되는 것이다. 완전 포상기태의 약 20%에서 가장 가능성이 높은 기전은 빈 난자가 두 개의 정자에 의해 수정되는 것이다. 두 경우 모두 포상기태는 이배체(즉, 모든 염색체의 사본이 두 개 있다)이다. 이 모든 경우 미토콘드리아 유전자는 평소와 같이 어머니로부터 유전된다.[10] 정자 DNA만의 이배체 세트는 모든 염색체가 정자 패턴의 유전자 메틸화 억제를 갖는다는 것을 의미한다.[8]대부분의 부분 포상기태는 삼배체(염색체 세트 3개)이다. 핵에는 한 세트의 모성 유전자와 두 세트의 부성 유전자가 포함되어 있다. 기전은 일반적으로 단일 정자로부터의 부성 반수체 세트의 중복이지만, 난자의 이정자(두 개의 정자) 수정의 결과일 수도 있다.[10]
드문 경우이지만, 포상기태는 사배체(염색체 세트 4개)이거나 다른 염색체 이상이 있다.
소수의 포상기태는 정상적인 살아있는 사람처럼 양친 이배체 유전체를 가지고 있다. 즉, 각 생물학적 부모로부터 상속된 두 세트의 염색체를 가지고 있다. 이러한 포상기태 중 일부는 돌연변이를 운반하는 여성에게서 발생하며, 이 여성은 유전자 ''NLRP7''에 돌연변이를 갖고 있어 포상기태 임신에 취약하다. 이러한 희귀한 포상기태 변이는 완전하거나 부분적일 수 있다.[11][12][13]
4. 증상

포상기태의 일반적인 증상으로는 "입덧이 심한데 절박 유산의 증상이 있다"는 것이 특징적이다. 다만, 이는 전형적인 경우이며, 사람 융모성선 자극 호르몬(hCG) 분비량이 정상이고 입덧 증상도 가벼우며 초음파 소견에서도 과립상 음영이 뚜렷하지 않은 경우가 있어 일반적인 유산과 구별하기 어렵다. 이러한 이유로 유산으로 처치(자궁 내 소파술)하거나, 조직 검사를 한 후에야 포상기태로 판명되는 경우도 있다. 그 외, 자궁경부 미란, 자궁경관 폴립, 기능성 출혈에도 유사한 증상이 나타난다.[5][6]
4. 1. 주요 증상
포상기태는 대개 임신 4~5개월에 무통성 질 출혈로 나타난다.[5] 자궁이 예상보다 커지거나 난소가 비대해질 수 있다. 예상보다 더 많은 구토 (입덧 과다)가 나타날 수도 있다. 때로는 혈압 상승과 함께 소변에서 단백질이 검출되기도 한다. 혈액 검사에서는 사람 융모 성선 자극 호르몬(hCG) 수치가 매우 높게 나타난다.[6]
"입덧이 심한데 절박 유산의 증상이 있다"는 것이 특징적이다. 일반적으로 절박 유산, 즉 유산될 징조가 있는 경우에는 HCG가 감소하여 입덧 증상이 가벼워지는 것이 보통인데 반해, 포상 기태에서는 융모에서 분비되는 HCG가 대량으로 증가하기 때문에 입덧 증상이 악화되고, 융모가 이상 증식하기 때문에 부정 출혈이나 복통을 일으키는 등 절박 유산과는 상반된 상태를 보이게 된다. 다만, 이상은 어디까지나 전형적인 경우의 이야기이며, HCG 분비량이 정상적이고 입덧 증상도 가벼우며 초음파 소견에서도 과립상 음영이 그다지 뚜렷하지 않은 경우가 있어 일반적인 유산과의 감별이 어려워진다. 이러한 이유로 유산으로 처치(자궁 내 소파술)하거나, 조직 검사를 해 보고 나서야 비로소 포상 기태로 판명되는 경우도 있다. 그 외, 자궁 경부 미란, 자궁 경관 폴립, 기능성 출혈에도 유사한 증상이 있다.
4. 2. 특징적인 증상
포상기태는 보통 임신 4~5개월에 통증이 없는 질 출혈로 나타난다.[5] 자궁이 예상보다 커지거나 난소가 비대해질 수 있다. 예상보다 더 심한 구토 (입덧 과다)가 나타날 수도 있다. 때로는 혈압 상승과 함께 소변에서 단백질이 검출되기도 한다. 혈액 검사에서는 사람 융모성선 자극 호르몬(hCG) 수치가 매우 높게 나타난다.[6]"입덧이 심한데 절박 유산의 증상이 있다"는 것이 특징적이다. 일반적인 절박 유산의 경우 HCG가 감소하여 입덧 증상이 가벼워지지만, 포상기태에서는 융모에서 분비되는 HCG가 대량으로 증가하기 때문에 입덧 증상이 심해진다. 또한, 융모가 이상 증식하여 부정 출혈이나 복통을 일으키는 등 절박 유산과는 반대되는 상태를 보인다.
다만, 이는 전형적인 경우이며, HCG 분비량이 정상이고 입덧 증상도 가벼우며 초음파 소견에서도 뚜렷한 이상이 없는 경우도 있어 일반적인 유산과 구별하기 어려울 수 있다. 따라서 유산으로 처치하거나 조직 검사를 한 후에야 포상기태로 판명되는 경우도 있다. 그 외, 자궁경부 미란, 자궁경관 폴립, 기능성 출혈에서도 비슷한 증상이 나타날 수 있다.
- 심한 입덧 (구역, 구토)
- 성기 출혈 (부정 출혈)
- 흑적색 분비물 등
- 임신 초기부터 나타나는 부종이나 고혈압 등 임신 중독증과 같은 증상
5. 진단
포상기태는 초음파 검사를 통해 강하게 의심할 수 있지만, 최종 진단은 조직병리학적 검사가 필요하다.[14] 영양배엽 증식이 증가하고 융모 융모가 커지며, 영양배엽에서 혈관 신생이 손상된다.[15]
전체 포상기태와 부분 포상기태의 주요 차이점은 다음과 같다.[16][17]
5. 1. 영상 검사




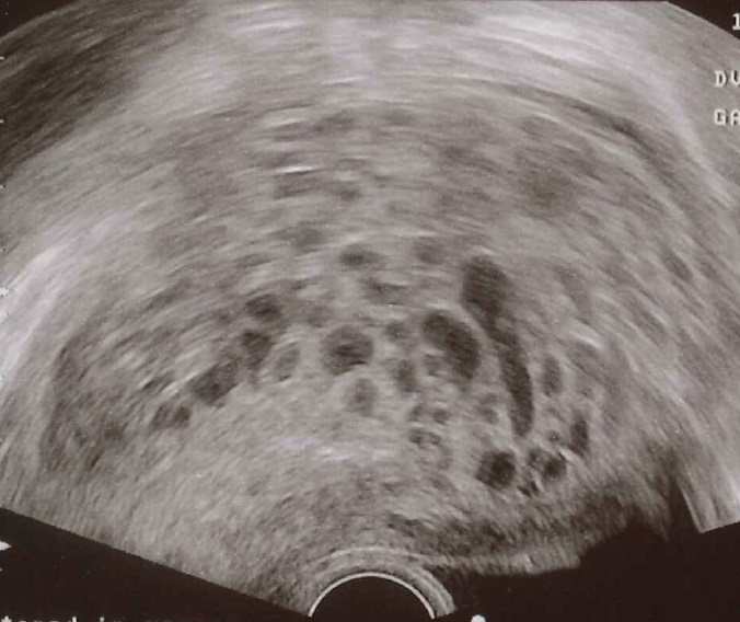
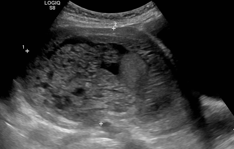
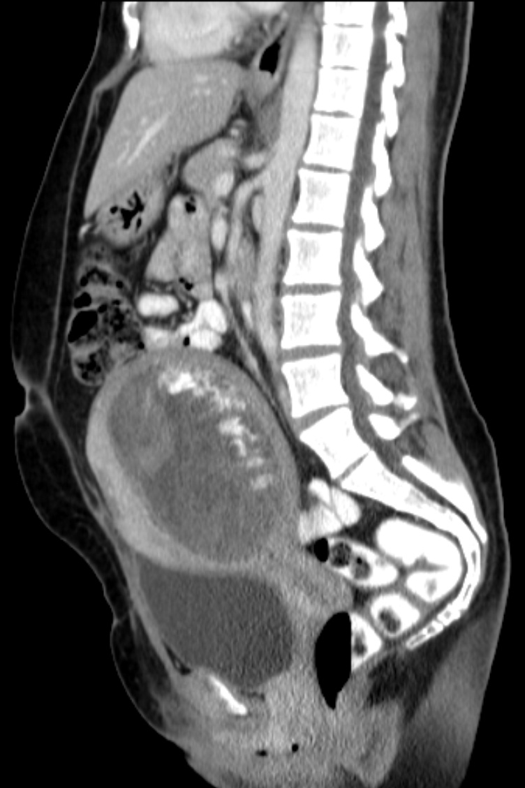
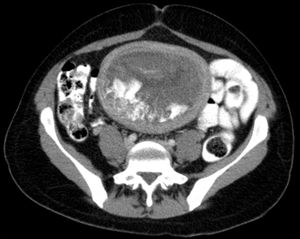
초음파 사진에서 기태는 포도송이("포도송이 떼", "벌집 자궁", "눈보라")와 유사하게 나타난다.[14] CT 촬영을 통해 자궁강 내에 과립상의 구조가 관찰된다.
5. 2. 혈액 검사
hCG 수치가 비정상적으로 높게 나타난다. 때로는 극도로 높은 hCG 수치로 인해 갑상선기능항진증 증상이 나타나기도 하는데, 이는 hCG가 갑상선 자극 호르몬과 유사한 작용을 하기 때문이다.[15]5. 3. 조직병리학적 검사
자궁 내용물을 제거한 후 조직 검사를 통해 확진한다.[14] 융모의 수포성 변화, 영양막 세포 증식 등을 관찰한다.[15]6. 치료
포상기태는 융모상피암 발생 위험을 줄이기 위해 가능한 한 빨리 치료해야 한다.[18] 치료에는 자궁 흡인술 또는 수술적 소파술을 통한 자궁 내용물 제거, hCG 수치 추적 관찰, 필요한 경우 화학 요법 등이 포함된다. 침윤성 또는 전이성 포상기태(암)는 메토트렉세이트 등의 항암제에 잘 반응하며, 부계 항원을 포함하기 때문에 치료 반응률은 거의 100%에 달한다.[18]
hCG 수치가 정상화된 후 6개월 동안은 임신을 피하도록 권고하며, 다시 포상기태 임신이 될 확률은 약 1%이다.[18] 정상 태아와 함께 발생하는 경우 관리가 더 복잡해진다.
일부 여성의 경우 임신성 영양막 질환으로 진행될 수 있다. 완전 포상기태가 있고 이러한 진행 위험이 높은 여성에게는 예방적 화학 요법을 투여하면 발생 위험을 줄일 수 있다는 증거가 있지만,[19] 독성 부작용을 증가시킬 수 있으므로 더 많은 연구가 필요하다.[7]
6. 1. 자궁 내용물 제거술
흡인 소파술 또는 수술적 소파술을 통해 자궁 내 포상기태 조직을 완전히 제거한다.[18] 재발 방지를 위해 일반적으로 2회 시행한다.6. 2. hCG 수치 추적 관찰
수술 후에는 hCG 수치를 정기적으로 측정하여 경과를 관찰한다. hCG 수치가 순조롭게 감소하면 좋은 경과를 보인다. 보통 수술 후 5, 8, 12, 20주에 걸쳐 경과를 관찰한다.[18]hCG 수치가 감소하지 않거나 증가하면 침윤성 기태로 진행되었을 가능성이 높다. 더 나아가 융모상피암으로 진행될 수도 있어 항암제를 투여한다. 향후 임신과 출산을 원하지 않는 환자에게는 항암제 치료 대신 자궁 전절제술을 시행하기도 한다.[18]
6. 3. 항암 화학 요법
침윤성 포상기태 또는 융모상피암으로 진단된 경우 항암제를 투여한다. 메토트렉세이트 등의 항암제에 잘 반응하며, 치료 반응률은 거의 100%에 달한다.[18] hCG 수치가 감소하지 않거나 증가하는 추세를 보이면 침윤성 기태로 진행되었을 가능성이 높으며, 융모상피암으로 진행되었을 가능성도 고려하여 항암제를 투여한다. 임신과 출산을 더 이상 원하지 않는 환자 등에게는 항암제 치료 대신 자궁 전절제술을 시행하기도 한다.6. 4. 자궁 절제술
향후 임신을 원하지 않는 환자에게는 항암제 치료 대신 자궁 전절제술을 시행하기도 한다.[18]6. 5. 마취
자궁 소파술은 일반적으로 마취 하에 시행되며, 혈역학적으로 안정적인 환자의 경우 척추 마취가 선호된다.[20] 전신 마취에 비해 척추 마취는 시술이 쉽고, 폐 기능에 긍정적인 영향을 미치며, 갑상선 기능 항진증 환자에게 안전하고, 자궁 수축 억제제가 아닌 약리학적 특성이 있다는 장점이 있다.[20] 또한 환자가 의식을 유지하므로 자궁 천공, 심폐 기능 부전, 갑상선 발작과 같은 합병증을 환자가 진정되거나 전신 마취 하에 있을 때보다 더 빨리 진단할 수 있다.[20]7. 예후
대부분의 포상기태는 양성이며, 치료 후 예후는 매우 좋다. 드물게 지속성 영양막 질환이나 융모상피암으로 진행될 수 있다. 악성 비전이성 암 환자의 90% 이상이 생존하여 임신 및 출산 능력을 유지할 수 있지만, 전이성 암 환자는 관해율이 75~85%로 높음에도 불구하고 출산 능력을 상실하는 경우가 일반적이다.[21]
7. 1. 추적 관찰
포상기태의 80% 이상은 양성이다. 치료 후 결과는 대개 매우 좋다. 치료 성공 여부를 확인하기 위해 면밀한 추적 관찰이 필수적이다.[21] 최소 6개월에서 12개월 동안 임신을 피하기 위해 매우 효과적인 피임 방법을 권장한다. 부분 또는 완전 포상기태의 병력이 있는 여성은 다음 임신에서 두 번째 수포상 기태가 발생할 위험이 약간 증가하므로, 향후 임신 시 더 조기에 초음파 검사를 받아야 한다.[21]사례의 10~15%에서 수포상 기태는 침윤성 기태로 발전할 수 있다. 이 질환은 지속성 영양막 질환(PTD)이라고 불린다. 기태는 자궁벽 안으로 깊숙이 침투하여 출혈 또는 기타 합병증을 유발할 수 있다. 이러한 이유로 수술 후 복부 전체와 흉부의 X선 촬영을 요청하는 경우가 많다.
사례의 2~3%에서 수포상 기태는 악성, 빠르게 성장하고 전이되는 형태의 암인 융모상피암으로 발전할 수 있다.
일반적으로 hCG 수치가 순조롭게 감소하고 치료 경과가 좋으면 예후가 양호하며, 다음 임신도 가능하다. 드물게 침윤 기태 또는 융모상피암으로 진행된다.
7. 2. 재발 위험
과거 포상기태 병력이 있는 여성은 다음 임신에서 포상기태가 재발할 위험이 약간 증가한다.[21] 따라서 향후 임신 시 더 조기에 초음파 검사를 받아야 한다.[21]7. 3. 융모상피암으로의 진행
포상기태 사례의 10~15%는 침윤성 기태로 발전할 수 있으며, 이를 지속성 영양막 질환(PTD)이라고 부른다.[21] 침윤성 기태는 자궁벽 안으로 깊숙이 침투하여 출혈 등의 합병증을 유발할 수 있다.포상기태 사례의 2~3%는 악성 종양인 융모상피암으로 발전할 수 있으며, 빠르게 성장하고 전이되는 특징을 보인다.[21] 그러나 항암 화학 요법으로 높은 완치율을 보인다. 악성 비전이성 암 환자의 90% 이상은 생존하여 임신 및 출산 능력을 유지할 수 있다. 전이성 암 환자의 경우에도 관해율은 75~85% 정도이지만, 출산 능력은 상실되는 경우가 일반적이다.
8. 어원
"Hydatidiform"은 그리스어 "hydatisia"(물방울)에서 유래되었으며, 낭포의 물 같은 내용물을 가리킨다.[22] "Mole"은 라틴어 "mola"(맷돌/잘못된 임신)에서 유래되었다.[22] 낭포가 에키노코쿠스증의 포충낭과 유사한 외형을 보이기 때문에 포상기태라는 이름이 붙여졌다.[23] 영어의 "hydatidiform"은 그리스어로 포도 송이 모양을 의미하며, "mole"은 라틴어의 "mola"에서 유래되었으며 맷돌을 의미한다.
참조
[1]
웹사이트
About molar pregnancy {{!}} Gestational trophoblastic disease (GTD) {{!}} Cancer Research UK
https://www.cancerre[...]
2022-06-18
[2]
웹사이트
hydatidiform mole
http://www.merriam-w[...]
Merriam Webster
2012-05-07
[3]
서적
Pathologic Basis of Disease
Saunders Elsevier
[4]
논문
The epidemiology of gestational trophoblastic disease
1997-11
[5]
서적
Robbins and Cotran pathologic basis of disease
Elsevier Saunders
[6]
서적
Pathophysiology of Disease: An Introduction to Clinical Medicine (Lange)
McGraw-Hill Medical
[7]
MedlinePlusEncyclopedia
Hydatidiform mole
[8]
논문
Epigenetics in reproductive medicine
2007-05
[9]
논문
Outcome of twin pregnancies with complete hydatidiform mole and healthy co-twin
2002-06
[10]
서적
Gynaecology by Ten Teachers
https://archive.org/[...]
Hodder Arnold
[11]
논문
A prospective genetic study of complete and partial hydatidiform moles
1991-05
[12]
논문
Complete moles have paternal chromosomes but maternal mitochondrial DNA
[13]
논문
The genetics of hydatidiform moles: new lights on an ancient disease
2007-01
[14]
논문
Partial hydatidiform mole: ultrasonographic features
1983-05
[15]
웹사이트
The 6 questions that pregnant women should be ask to the doctor
https://healthbani.b[...]
2019-03-15
[16]
간행물
Hydatidiform Mole
http://www.ncbi.nlm.[...]
StatPearls Publishing
2024-01-16
[17]
논문
The Diagnosis of Choriocarcinoma in Molar Pregnancies: A Revised Approach in Clinical Testing
2015-12
[18]
서적
Robbins and Cotran pathologic basis of disease
Elsevier Saunders
[19]
논문
Prophylactic chemotherapy for hydatidiform mole to prevent gestational trophoblastic neoplasia
2017-09
[20]
논문
Mortality in hydatidiform mole: Should we blame thyroid?
2011-11
[21]
논문
Management of molar pregnancy
2009-01
[22]
문서
Entries HYDATID n. (a.) and MOLE, n.6 in the Oxford English Dictionary online.
http://dictionary.oe[...]
[23]
웹사이트
Hydatidiform
http://medical-dicti[...]
[24]
웹사이트
父親母親由来ゲノムの役割分担
https://www.nig.ac.j[...]
国立遺伝学研究所 遺伝学電子博物館
본 사이트는 AI가 위키백과와 뉴스 기사,정부 간행물,학술 논문등을 바탕으로 정보를 가공하여 제공하는 백과사전형 서비스입니다.
모든 문서는 AI에 의해 자동 생성되며, CC BY-SA 4.0 라이선스에 따라 이용할 수 있습니다.
하지만, 위키백과나 뉴스 기사 자체에 오류, 부정확한 정보, 또는 가짜 뉴스가 포함될 수 있으며, AI는 이러한 내용을 완벽하게 걸러내지 못할 수 있습니다.
따라서 제공되는 정보에 일부 오류나 편향이 있을 수 있으므로, 중요한 정보는 반드시 다른 출처를 통해 교차 검증하시기 바랍니다.
문의하기 : help@durumis.com