피하낭류
"오늘의AI위키"의 AI를 통해 더욱 풍부하고 폭넓은 지식 경험을 누리세요.
1. 개요
피하낭류는 세포 표면 바로 아래에 있는 피질 소포(낭)를 특징으로 하는 단세포 진핵생물 그룹이다. 이 그룹에는 섬모충류, 와편모조류, 정단복합체충류, 크로메라류 등이 포함되며, 이들은 미세구조 및 발생학적 유사성을 공유한다. 피하낭류는 다양한 계통 분류를 통해 연구되고 있으며, 진화 과정에서 광합성 조상을 가졌을 가능성이 제기된다.
더 읽어볼만한 페이지
- 피하낭류 - 페르킨수스류
페르킨수스류는 페르킨수스강에 속하는 원생생물 분류군으로, 다양한 속과 과로 구성되며, 해양 및 담수 환경에서 다양한 생물의 세포 내 기생충으로 발견된다. - 피하낭류 - 크로메라류
크로메라류는 피하낭류에 속하는 생물 분류군으로, 크로메라과, 비트렐라과 등의 과와 크로메라속, 비트렐라속 등의 속으로 구성되며 섬모충류 등과 계통적으로 가깝다. - 토머스 캐빌리어 스미스가 명명한 분류군 - 코아노조아
코아노조아는 칼라 구조를 특징으로 하는 깃편모충류와 동물을 포함하는 계통 분류군으로, 동물의 기원과 밀접한 관련이 있으며, 동물 진화 연구에 중요한 연결고리를 제공한다. - 토머스 캐빌리어 스미스가 명명한 분류군 - 합티스타
합티스타는 2015년 캐빌리어-스미스에 의해 명명된 생물 분류군으로, 엑스카바타 생물군 중 디스코바에 속하며, 하위 분류로 알베이다아문, 육질태양충아문, 착편모조아문 등이 있다. - 원생생물 - 유공충
유공충은 단단한 껍질을 가진 원생생물로, 껍질 형태와 구성에 따라 분류되며, 해양 환경에서 생물 층서 및 고기후 연구, 석유 탐사 등 다양한 분야에 활용된다. - 원생생물 - 코아노조아
코아노조아는 칼라 구조를 특징으로 하는 깃편모충류와 동물을 포함하는 계통 분류군으로, 동물의 기원과 밀접한 관련이 있으며, 동물 진화 연구에 중요한 연결고리를 제공한다.
| 피하낭류 - [생물]에 관한 문서 | |
|---|---|
| 분류 정보 | |
| 학명 | Alveolata Cavalier-Smith, 1991 |
| 이명 | Alveolatobiontes |
| 상위 분류 | SAR 슈퍼그룹 |
| 계급 | 상문 |
| 권위자 | Cavalier-Smith, 1991 |
| 하위 분류군 계급 | 문 |
| 하위 분류군 | 섬모충류 미조조아 |
| 화석 범위 | 에디아카라기 – 최근 |
| 하위 분류 | |
![]() | |
2. 특징
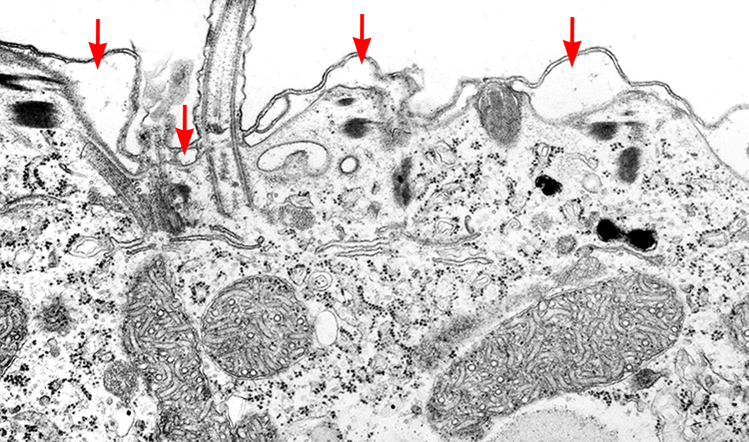
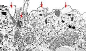
가장 두드러진 공유 특징은 피질 소포(알베올)의 존재이다. 이는 세포막 바로 아래에 위치하여 층을 이루고 세포막을 지지하는 평평한 소포이다. 이 소포들은 보통 유연한 외피(펠리클)를 형성하며, 갑옷판을 가진 와편모조류에서는 이 안에 단단한 판이 만들어지기도 한다. 피하낭류는 관 모양의 크리스테(함입)를 가진 미토콘드리아를 가지며, 세포 표면에는 종종 구멍과 같은 함입 구조가 있다. 이 그룹에는 자유 생활을 하거나 기생하는 생물, 포식성 편모충류, 그리고 광합성을 하는 생물 등 다양한 종류가 포함된다.
섬모충류와 아피콤플렉사의 미토콘드리아 유전체는 거의 대부분 선형이다.[5] 미토콘드리아는 거의 모두 자체적인 mtDNA를 가지고 있지만, 그 유전체의 크기는 상당히 줄어든 경우가 많다. 예외적으로 ''Cryptosporidium''은 미토콘드리아 대신 미토솜만 가지고 있으며, ''Acavomonas''와 ''Babesia microti''는 원형의 미토콘드리아 유전체를 가진다.[6][7] 또한 ''Toxoplasma''의 미토콘드리아 유전체는 매우 단편화되어, 21개의 서열 블록이 재조합되어 더 긴 조각을 만드는 방식으로 구성된다.[8][9]
계통발생학적으로는 아피콤플렉사와 와편모조류가 섬모충류보다 서로 더 가까운 관계에 있는 것으로 추정된다. 이 두 그룹은 다음과 같은 공통점을 가진다.
- 둘 다 색소체를 가진다. 와편모조류의 약 절반은 엽록체를 가지며, 이것이 원래 형태였을 것으로 생각된다. 아피콤플렉사는 엽록체는 없지만, 엽록체에서 유래한 것으로 보이는 아피코플라스트라는 세포 소기관을 가진다.
- 대부분 세포의 정점에 미세 소관 다발이나 원뿔 모양 구조를 가진다. 아피콤플렉사에서는 이 구조가 숙주 세포 침입에 사용되는 복합체의 일부가 되며, 일부 색소가 없는 와편모조류에서는 먹이를 섭취할 때 사용하는 페둔클(peduncle)이라는 구조가 된다.
이 두 그룹과 가까운 관계에 있는 속으로는 자유 생활을 하는 Oxyrrhis, Colponema 와 기생성인 Perkinsus, Parvilucifera, Rastrimonas, 그리고 광합성을 하며 산호와 공생하는 Chromera, 엘로비옵시스류 등이 알려져 있다. 이들은 대개 유사한 정점부 구조를 가진 편모충이다.
3. 하위 분류
피하낭류는 형태적으로 매우 다양한 여러 문(門) 또는 주요 그룹으로 구성되어 있지만, 다양한 미세구조 및 발생학적 유사성에 기초하여 현재는 밀접하게 관련된 분류군으로 여겨진다.[13] 이들의 가장 두드러진 공통 특징은 세포막 바로 아래에 위치하여 세포를 지지하는 납작한 소포인 피질 소포(피하낭)의 존재이다.
피하낭류는 매우 다양한 생활 방식을 가지며, 자유 생활을 하는 종, 기생 생활을 하는 종, 포식성 편모충류, 그리고 광합성을 하는 종 등을 포함한다. 국제 원생생물 학회(ISOP)의 2019년 분류 체계[29] 등을 바탕으로 한 주요 하위 분류군은 다음과 같다. 각 그룹에 대한 자세한 내용은 해당 하위 섹션을 참조하라.
- '''섬모충류 (Ciliophora)''': 세포 표면에 수많은 짧은 섬모가 배열된 매우 흔한 원생동물 그룹이다.[13][29]
- '''와편모조류 (Dinoflagellata)''': 주로 바다에 서식하는 편모충 그룹으로, 상당수가 엽록체를 가지고 광합성을 한다.[13][29]
- '''정단복합체충류 (Apicomplexa)''': 대부분 기생 생활을 하며, 배우자 단계를 제외하고는 운동 기관이 없는 원생동물 그룹이다.[13][29]
- '''크로메라류 (Chromerida)''': 광합성을 하는 해양 원생생물 그룹이다.[13]
이 외에도 콜포델라목(Colpodellida), 퍼킨수스목(Perkinsida), 콜포네미다(Colponemida) 등 여러 하위 분류군이 피하낭류에 포함된다.[13][29] 이들에 대한 자세한 내용은 기타 하위 분류군 섹션을 참조하라.
3. 1. 섬모충류 (Ciliophora)
섬모충류(Ciliophora)는 매우 흔한 원생동물의 한 그룹이다.[13][29] 세포 표면에 짧고 무수한 섬모가 줄지어 나 있는 것이 주요 특징이며,[13] 짚신벌레, 종벌레 등이 잘 알려진 예시다.[29] 또한 크기가 다른 두 종류의 핵(대핵과 소핵)을 가지는 점도 특징이다.[13]미토콘드리아 유전체의 경우, 거의 모든 섬모충류에서 선형 구조를 가진다는 점이 확인되었다.[5] 아피콤플렉사(정단복합체충류)나 와편모충류보다는 상대적으로 먼저 분기한 것으로 추정된다.
3. 2. 와편모조류 (Dinoflagellata)
와편모조류(Dinoflagellata)는 주로 바다에 서식하는 편모충의 한 그룹으로, 민물에서도 발견된다.[29] 이 그룹의 약 절반은 엽록체를 가지고 있어 광합성을 할 수 있으며,[29] 이는 와편모조류의 원시적인 특징으로 여겨진다. 대표적인 예로는 밤바다에서 빛을 내는 야광충이 있다.[29]와편모조류는 피하낭류에 속하며, 다른 피하낭류처럼 세포 표면 아래에 피질 소포(알베올) 층을 가지고 있다. 일부 와편모조류의 경우, 이 소포 안에 셀룰로오스 등으로 이루어진 단단한 판인 갑옷판(테카)이 들어 있어 세포를 보호하는 갑피(껍질)를 형성하기도 한다.
분류학적으로 와편모조류는 정단복합체충류(Apicomplexa)와 가까운 관계에 있는 것으로 생각되며, 섬모충류보다는 이들과 더 유연관계가 깊다고 여겨진다. 와편모조류와 정단복합체충류는 몇 가지 공통된 특징을 공유한다.
- 둘 다 색소체를 가진다. 와편모조류는 약 절반이 엽록체를 가지지만, 정단복합체충류는 광합성 능력은 없지만 엽록체에서 유래한 것으로 보이는 아피코플라스트라는 세포 소기관을 가진다.
- 많은 종들이 세포 앞쪽 끝(정점)에 미세소관 다발이나 원뿔 모양 구조를 가진다. 정단복합체충류에서는 이 구조가 숙주 세포에 침입하는 데 사용되지만, 엽록체가 없는 일부 와편모조류에서는 이 구조가 먹이를 섭취하는 데 사용되는 페던클(peduncle)이라는 기관을 형성한다.
와편모조류와 가까운 관계에 있는 다양한 생물들이 알려져 있다. 여기에는 자유롭게 생활하는 ''Oxyrrhis''나 ''Colponema'' 같은 편모충류뿐만 아니라, 다른 생물에 기생하는 ''Perkinsus'',[14] ''Parvilucifera'', ''Rastrimonas'', 그리고 엘로비옵시드 등이 포함된다. 산호와 공생하며 광합성을 하는 ''Chromera''도 이 그룹과 관련이 있다. 또한, 해양 피코플랑크톤 샘플에서 발견된 rRNA 유전자 분석을 통해 새로운 피하낭류 계통(그룹 I, II)이 밝혀졌는데, 그룹 II는 기존에 Syndiniales 목으로 분류되었던 기생성 와편모조류인 ''Amoebophrya''와 관련이 있는 것으로 나타났다.[15][16]
국제 원생생물 학회(ISOP)의 2019년 분류 체계[29]에서는 와편모조류를 다음과 같이 설명한다.
3. 3. 정단복합체충류 (Apicomplexa)
정단복합체충류(Apicomplexa)는 피하낭류에 속하는 원생생물의 한 문이다. 배우자 단계를 제외하고는 일반적으로 축사와 같은 운동 기관이 없으며[29], 대부분 기생 생활을 한다. 이차적으로 광합성 능력을 잃은 것으로 여겨진다. 대표적인 예로는 말라리아를 일으키는 말라리아 원충과 톡소플라스마증의 원인인 톡소플라스마 등이 있다.[29]이들의 가장 큰 특징은 세포 앞쪽 끝에 숙주 세포에 침입하기 위한 독특한 구조인 정단 복합체(apical complex)를 가지고 있다는 점이다. 이 복합체는 미세소관 다발 또는 원뿔 등으로 구성되어 숙주 침입 과정에서 중요한 역할을 한다.
정단복합체충류는 엽록체를 직접 가지고 있지는 않지만, 아피코플라스트(apicoplast)라고 불리는 세포 소기관을 가지고 있다. 이는 과거 광합성을 했던 조상으로부터 유래한 색소체의 흔적으로 추정되며, 와편모조류와의 가까운 관계를 시사하는 증거 중 하나이다.
미토콘드리아 유전체는 대부분 선형 구조를 가지지만[5], 일부 종에서는 특징적인 변화를 보인다. 예를 들어 ''Cryptosporidium''은 미토콘드리아가 미토솜으로 크게 퇴화하였고[6][7], ''Toxoplasma''는 미토콘드리아 유전체가 매우 단편화되어 여러 조각으로 나뉘어 있다.[8][9]
계통학적으로 정단복합체충류는 와편모조류와 함께 색소체 또는 그 흔적(아피코플라스트)을 공유하고, 세포 정단에 유사한 미세소관 구조를 가진다는 점에서 섬모충류보다는 와편모조류와 더 가까운 관계에 있는 것으로 여겨진다.
3. 4. 크로메라류 (Chromerida)
크로메라류(Chromerida)는 피하낭류에 속하는 문의 하나로,[13] 광합성을 하는 해양 원생생물이다.[13] 이 그룹에 속하는 ''크로메라''(''Chromera'') 속은 산호와 공생 관계를 맺는 것으로 알려져 있다.3. 5. 기타 하위 분류군
피하낭류 내에는 주요 그룹 외에도 여러 하위 분류군이 존재한다. 이들은 형태적으로 다양하지만 미세 구조 및 유전적 유사성을 통해 서로 관련되어 있는 것으로 알려져 있다.[13]- 아카보모나스류: 과거 콜포네미드류와 함께 분류되었으나, 고유한 미세구조적 특징을 가져 현재는 독립된 분류군으로 인정된다. 콜포네미드류보다는 와편모조류 및 퍼킨수스류 그룹과 더 가깝다.[13]
- 콜포네미드류: 아카보모나스류와 함께 과거 '콜포네미드류'로 묶였으나, 현재는 별개의 그룹이다. 비공식적으로 '콜포네미드류'라는 용어는 아카보모나스류와 콜포네미드류 두 그룹을 함께 지칭하기도 한다.[13] ''Colponema'' 속 등이 여기에 포함될 수 있다. 국제 원생생물 학회(ISOP)의 2019년 분류 체계에서는 콜포네미다(Colponemida)를 피하낭류의 하위 분류군으로 인정한다.[29]
- 퍼킨수스류: 와편모조류 및 아피콤플렉사와 가까운 관계에 있는 그룹으로, 기생성 원생동물인 ''Perkinsus''[14], ''Parvilucifera'', ''Rastrimonas'' 등이 포함된다. ISOP 2019년 분류 체계에서는 퍼킨수스목(Perkinsida)을 피하낭류의 하위 분류군으로 인정한다.[29]
- 콜포델라류: 아피콤플렉사 및 와편모조류와 유사한 정점 구조를 가진 편모충류 그룹이다. ISOP 2019년 분류 체계에서도 피하낭류의 한 목(콜포델라목, Colpodellida)으로 인정된다.[29]
- 크로메리다: 광합성을 하는 해양 원생동물 문이다.[13]
- 보로모나스류[13]
- 엘로비옵시드: 피하낭류 내에서의 정확한 위치는 아직 불확실하다. 2004년 계통 발생 분석을 통해 엘로비옵시드의 ''Thalassomyces'' 속이 피하낭류임이 밝혀졌지만, 세부적인 관계는 연구가 더 필요하다.[17][18]
- 그룹 I 및 그룹 II: 2001년 해양 피코플랑크톤 샘플에서 rRNA 유전자를 직접 증폭하여 새롭게 발견된 피하낭류 계통이다.[15][16] 그룹 I은 배양된 가까운 종이 없으며, 그룹 II는 와편모조류 기생충인 ''Amoebophrya''(과거 Syndiniales 목)와 관련이 있다.[15][16]
과거 하플로스포리드가 피하낭류에 속할 수 있다는 주장이 있었으나, 피포가 없고 현재는 Cercozoa에 포함되는 것으로 여겨진다.
4. 계통 분류
피하낭류의 가장 두드러진 공유 특징은 피질(표면 근처) 소포(낭)의 존재이다. 이것들은 세포막 바로 아래에 층을 이루며 이를 지지하는 평평한 소포 (낭)로, 일반적으로 유연한 펠리클(얇은 피부)을 형성한다. 갑피를 가진 와편모조류에서는 딱딱한 판을 포함할 수 있다. 피하낭류는 관 모양의 크리스테(함입)를 가진 미토콘드리아를 가지고 있으며, 세포는 종종 세포 표면에 구멍과 같은 침투를 가지고 있다. 이 그룹은 자유 생활 및 기생 생물, 포식성 편모충류, 그리고 광합성 생물을 포함한다.
섬모충류와 정단복합체충류의 거의 모든 서열 분석된 미토콘드리아 유전체는 선형이다.[5] 미토콘드리아는 거의 모두 자체적인 mtDNA를 가지고 있지만, 유전체 크기는 크게 줄어들었다. 예외는 단지 미토솜만 남은 ''Cryptosporidium'', ''Acavomonas''와 ''Babesia microti''의 원형 미토콘드리아 유전체,[6][7] 그리고 더 긴 세그먼트를 생성하기 위해 재조합되는 21개의 서열 블록으로 구성된 ''Toxoplasma''의 매우 단편화된 미토콘드리아 유전체이다.[8][9]
정단복합체충류, 와편모조류, 섬모충류의 관계는 1980년대에 제기되었으며, 이는 1990년대 초 가자다르(Gajadhar) 등의 리보솜 RNA 서열 비교를 통해 확인되었다.[10] 토머스 캐벌리어-스미스는 1991년에 공식 명칭인 "피하낭류(Alveolata)"를 도입했지만, 당시 그는 이 그룹을 측계통군으로 간주했다. 많은 생물학자들은 비공식적인 명칭인 '피하낭류'의 사용을 선호한다.[12]
피하낭류에는 약 9개의 주요 및 부 그룹이 포함된다. 형태가 다양하며 다양한 미세 구조 및 유전적 유사성으로 관련되어 있는 것으로 알려져 있다:[13]
- 섬모충류 - 많은 짧은 섬모가 열을 지어 배열된 매우 흔한 원생동물이며, 두 개의 핵을 가지고 있다.
- 아카보모나스류[13]
- 콜포네미드류[13]
- 와편모조류 s.l. - 대부분 해양 편모충류이며, 많은 종류가 엽록체를 가지고 있다.
- 페르킨수스류
- 크로메라류 - 광합성 원생동물의 해양 문
- 콜포델라류
- 보로모나스류
- 정단복합체충류 - 축사 운동 구조(배우자에서 제외)가 없는 기생 및 이차 비광합성 원생동물
아카보모나스류와 콜포네미드류는 이전에 콜포네미드류로 함께 분류되었지만, 각각 고유한 조직 또는 미세구조적 정체성을 가지고 있어 현재는 분리된 분류군이다. 아카보모나스류는 콜포네미드류보다 와편모조류/페르킨수스류 그룹에 더 가깝다.[13] 따라서, 현재로서는 비공식 용어인 "콜포네미드류"는 피하낭류 내에서 두 개의 자매군이 아닌 그룹, 즉 아카보모나스류와 콜포네미드류를 포함한다.[13]
정단복합체충류와 와편모조류는 섬모충류보다 서로 더 밀접하게 관련되어 있을 수 있다. 둘 다 색소체를 가지고 있으며, 대부분 세포 상단에 미세소관 묶음 또는 원뿔을 공유한다. 정단복합체충류에서는 이것이 숙주 세포에 들어가기 위해 사용되는 복합체의 일부를 형성하는 반면, 일부 무색 와편모조류에서는 먹이를 섭취하는 데 사용되는 자루를 형성한다. 다른 다양한 속들이 이 두 그룹과 밀접하게 관련되어 있으며, 대부분 유사한 정점 구조를 가진 편모충류이다. 여기에는 ''Oxyrrhis''와 ''Colponema''의 자유 생활 구성원과 ''Perkinsus'',[14] ''Parvilucifera'', ''Rastrimonas'' 및 엘로비옵시드의 기생충이 포함된다. 2001년, 해양 피코플랑크톤 샘플에서 rRNA 유전자의 직접 증폭을 통해 그룹 I 및 II라는 두 개의 새로운 피하낭류 계통이 존재함이 밝혀졌다.[15][16] 그룹 I에는 배양된 친척이 없는 반면, 그룹 II는 현재까지 Syndiniales 와편모조류 목에 분류되었던 와편모조류 기생충인 ''Amoebophrya''와 관련이 있다.
일부 연구에서는 대부분 해양 무척추 동물의 기생충인 하플로스포리드가 피하낭류에 속할 수 있다고 제안했지만, 피포가 없고 현재는 Cercozoa에 속하는 것으로 간주된다.
엘로비옵시드는 피하낭류 내에서 관계가 불확실하다. 2004년 Silberman 등은 계통 발생 분석을 사용하여 엘로비옵시드의 ''Thalassomyces'' 속이 피하낭류임을 밝혔지만, 2016년 현재 그들의 위치에 대한 더 이상의 확신은 없다.[17][18]
베이즈 추정치는 피하낭류의 진화를 약 8억 5천만 년 전에 위치시킨다.[21] 피하낭류는 흡충류, 섬모충류, 그리고 콜포네미드를 포함한다. "먹이로부터 내용물을 빨아들인다"는 의미의 흡충작용(Myzocytosis)이라는 용어는 섬모충류나 콜포네미드가 아닌 피하낭류의 하위 집단의 공통 조상에게 비공식적으로 적용될 수 있다. 조류를 포식하는 것은 피하낭류 진화의 중요한 원동력인데, 이는 새로운 색소체의 공생의 원천을 제공할 수 있기 때문이다. 따라서 흡충작용이라는 용어는 피하낭류 문(phylum)의 역사를 추적하는 데 유용한 개념이다.
피하낭류 그룹의 조상은 광합성일 수 있었다.[22] 조상 피하낭류는 아마도 색소체를 가지고 있었을 것이다. 크로메리드, 정단복합체충류, 그리고 페리디닌 와편모충류는 이 세포 소기관을 유지해 왔다.[23] 더 나아가, 크로메리드, 페리디닌 와편모충류, 그리고 부등편모조류는 공통적으로 단계통의 색소체 계통을 가지고 있다고 주장되어 왔는데, 즉 홍조류로부터 색소체를 얻었으며,[20] 따라서 피하낭류와 부등편모조류의 공통 조상 또한 광합성이었을 가능성이 높다.
어떤 학설에서는 와편모조류, 정단복합체충류, ''Colpodella'', 크로메라류, 그리고 ''Voromonas''의 공통 조상이 두 개의 이질역학적 편모, 미세공, 자포, 로프트리, 마이크로네메, 극환 및 나선형 열린 측면 원추체를 가진 흡충 포식자였다고 본다.[24] 피하낭류의 공통 조상 또한 이러한 특성 중 일부를 가지고 있었을 수 있지만, 섬모충류가 다른 메커니즘으로 먹이를 섭취하기 때문에 흡충작용은 이러한 특성 중 하나가 아니라고 주장되어 왔다.[13]
진행 중인 논쟁은 정단복합체충류와 특정 와편모충류에서 색소체를 둘러싼 막의 수와 이러한 막의 기원에 관한 것이다. 이 초미세 구조적 특징은 유기체를 분류하는 데 사용될 수 있으며, 만약 이 특징이 공통적으로 나타난다면, 이 문들이 공통적인 광합성 조상을 가졌다는 것을 암시할 수 있다. 정단복합체충류가 4개의 막으로 둘러싸인 색소체를 가지고 있고, 페리디닌 와편모충류가 3개의 막으로 둘러싸인 색소체를 가지고 있다는 사실에 근거하여, Petersen 등은[25] 공유된 부등편모조류-피하낭류 색소체가 피하낭류 문에서 여러 번 재활용되었을 가능성을 배제할 수 없으며, 그 원천은 섭취 및 공생을 통해 부등편모조류-피하낭류 기증자일 수 있다고 주장한다.
섬모충류는 피하낭류의 모델 생물로, 피하낭류 계통 중 가장 오랜 기간 동안 유전적으로 깊이 연구되어 왔다. 이들은 진핵생물 중에서 소핵과 대핵을 포함하는 번식을 한다는 점에서 특이하다. 그들의 번식은 실험실에서 쉽게 연구되었고, 역사적으로 모델 진핵생물로 만들었다. 완전히 포식적이며 잔여 색소체가 없는 이들의 문으로서의 발달은 포식과 독립영양[22]이 역동적인 균형을 이루고 있으며, 혼합 영양 조상으로부터 새로운 문이 기원하는 시점에서 균형이 한쪽으로 기울어지면서 하나의 능력이 상실될 수 있음을 보여준다.
아래는 피하낭류의 주요 그룹 예시이다.


5. 진화
베이즈 추정에 따르면 피하낭류는 약 8억 5천만 년 전에 진화한 것으로 추정된다.[21] 피하낭류의 조상은 광합성을 하는 생물이었을 가능성이 있으며,[22] 색소체(플라스티드)는 여러 번의 독립적인 획득 또는 손실을 거쳐 현재의 다양성에 이른 것으로 보인다.
피하낭류 내 엽록체의 발달 과정은 복잡하다. 토머스 캐벌리어-스미스는 피하낭류가 엽록체를 포함하는 조상으로부터 발달했으며, 이 조상이 크로미스타와 공통 조상을 갖는다고 제안했다(크로말베올라타 가설).[32] 그러나 다른 연구자들은 피하낭류가 원래 엽록체가 없었으며, 와편모조류와 정단복합체충류가 각각 독립적으로 엽록체를 획득했을 가능성을 제기했다. 현재는 피하낭류, 와편모조류, 크로메라(크로메리다), 그리고 이형편모조류가 홍조류로부터 엽록체를 획득했으며, 이 네 그룹 모두에서 엽록체의 공통 기원에 대한 증거가 있는 것으로 보인다.[20] 이 가설에 따르면, 피하낭류와 이형편모조류의 공통 조상 역시 광합성을 했을 가능성이 높다.
정단복합체충류는 색소가 없는 흔적 플라스티드(아피코플라스트)를 가지고 있으며, 여기서 엽록체와 유사한 DNA가 발견되었다. 이는 정단복합체충류의 조상이 광합성 능력을 가졌을 수 있음을 시사한다. 특히, 계통적으로 정단복합체충류와 가까운 ''Chromera''가 광합성을 하므로, 정단복합체충류의 조상이 ''Chromera''와 유사한 광합성 생물이었을 가능성이 제기된다.[32] 와편모조류의 경우, 약 절반 정도만이 엽록체를 가지며, 일부는 규조류나 크립토조류에서 유래한 엽록체를 가지는 등 그 기원이 다양하여 엽록체 진화 연구를 더욱 복잡하게 만든다.
흡충 작용(myzocytosis, "먹이로부터 내용물을 빨아들인다"는 의미)은 피하낭류 진화의 중요한 원동력 중 하나로 여겨진다. 이는 조류를 포식하는 과정에서 새로운 색소체의 공생 원천을 제공할 수 있기 때문이다.[21] 흡충 작용이라는 용어는 섬모충류나 콜포네미드를 제외한 피하낭류 하위 집단의 공통 조상에게 비공식적으로 적용될 수 있다. 일부 학설에서는 와편모조류, 정단복합체충류, ''Colpodella'', 크로메리다, 그리고 ''Voromonas''의 공통 조상이 두 개의 이질적인 편모, 미세공, 자포, 로프트리, 마이크로넴, 극성 고리 및 나선형 개방형 원추체를 가진 흡충 포식자였다고 본다.[24] 그러나 섬모충류는 다른 방식으로 먹이를 섭취하므로, 피하낭류 전체의 공통 조상이 흡충 작용을 했는지에 대해서는 논란이 있다.[13]
섬모충류는 피하낭류 중 가장 오랫동안 유전적으로 연구된 모델 생물이다. 이들은 소핵과 대핵을 가지는 독특한 번식 방식을 가지고 있으며, 실험실에서 번식을 연구하기 용이하여 역사적으로 모델 진핵생물로 사용되었다. 섬모충류는 완전히 포식성이며 잔여 색소체가 없는데, 이는 혼합 영양을 하던 조상으로부터 진화 과정에서 한쪽 능력(광합성)을 잃고 포식성이 강화된 결과일 수 있음을 보여준다.[22]
6. 연구사
아피콤플렉스, 와편모조류, 섬모충류 사이의 가까운 관계는 1980년대부터 제기되었다.[10][30] 1991년, 토머스 캐벌리어-스미스는 이 세 그룹을 묶어 공식적으로 '피하낭류'(Alveolatala)라는 이름을 도입했다.[10][30] 다만 그는 초기에 이 그룹을 측계통군으로 간주하기도 했다.[10] 이후 1990년대 초, Gajadhar 등이 수행한 리보솜 RNA 서열 비교와 같은 분자 계통 분석을 통해 이들의 근연성이 확인되었다.[10][31] 많은 생물학자들은 비공식적인 명칭인 '피하낭류' 사용을 선호하기도 한다.[12]
한편, 과거 해양 무척추동물의 기생충인 아세토스포라류도 피하낭류에 포함될 수 있다는 연구가 있었으나, 피하낭이 없어 현재는 켈코조아로 분류된다.[30]
7. 후성 유전학
몇몇 조류는 후성 유전학 연구의 대상이 되고 있다.[26] 일부 피하낭류(와포말류)에서도 후성 유전학적 데이터가 확인되었다.[26]
참조
[1]
논문
Ciliated protozoans from the Precambrian Doushantuo Formation, Wengan, South China
[2]
웹사이트
alveolate
http://www.memidex.c[...]
2011-01-26
[3]
논문
The revised classification of eukaryotes
[4]
논문
A higher level classification of all living organisms
[5]
논문
The mitochondrial genome sequence of the ciliate ''Paramecium caudatum'' reveals a shift in nucleotide composition and codon usage within the genus ''Paramecium''
[6]
논문
The Organellar Genomes of Chromera and Vitrella, the Phototrophic Relatives of Apicomplexan Parasites
https://www.annualre[...]
2024-04-15
[7]
논문
Sequencing of the smallest Apicomplexan genome from the human pathogen ''Babesia microti''
[8]
논문
A novel fragmented mitochondrial genome in the protist pathogen Toxoplasma gondii and related tissue coccidia
2021-05
[9]
논문
Massive invasion of organellar DNA drives nuclear genome evolution in Toxoplasma
2023-11-07
[10]
논문
Ribosomal RNA sequences of ''Sarcocystis muris'', ''Theilera annulata'', and ''Crypthecodinium cohnii'' reveal evolutionary relationships among apicomplexans, dinoflagellates, and ciliates
[11]
서적
The Biology of free-living heterotrophic flagellates
Oxford University Press
[12]
논문
Evolutionary relationships of eukaryotic kingdoms
[13]
논문
Description of ''Colponema vietnamica'' sp.n. and ''Acavomonas peruviana'' n. gen. n. sp., two new alveolate phyla (Colponemidia nom. nov. and Acavomonidia nom. nov.) and their contributions to reconstructing the ancestral state of alveolates and eukaryotes
[14]
논문
Spliced leader RNAs, mitochondrial gene frameshifts and multi-protein phylogeny expand support for the genus ''Perkinsus'' as a unique group of Alveolates
[15]
논문
Unexpected diversity of small eukaryotes in deep-sea Antarctic plankton
[16]
논문
Oceanic 18S rDNA sequences from picoplankton reveal unsuspected eukaryotic diversity
[17]
논문
Dinoflagellate taxonomy — a review and proposal of a revised classification
Senckenberg Institute
2016-04-29
[18]
논문
Illumination or confusion? Dinoflagellate molecular phylogenetic data viewed from a primarily morphological standpoint
Japanese Society of Phycology
[19]
논문
Kingdom Chromista and its eight phyla: a new synthesis emphasising periplastid protein targeting, cytoskeletal and periplastid evolution, and ancient divergences
2017-09-05
[20]
논문
A common red algal origin of the apicomplexan, dinoflagellate, and heterokont plastids
[21]
논문
A molecular time-scale for eukaryote evolution recalibrated with the continuous microfossil record
[22]
논문
Multiple genes of apparent algal origin suggest ciliates may once have been photosynthetic.
2008
[23]
논문
A photosynthetic alveolate closely related to apicomplexan parasites
[24]
논문
The phylogeny of colpodellids (Alveolata) using small subunit rRNA gene sequences suggests they are the free living sister group to apicomplexans
[25]
논문
''Chromera velia'', endosymbioses and the rhodoplex hypothesis—plastid evolution in cryptophytes, alveolates, stramenopiles, and haptophytes (CASH lineages)
[26]
서적
Epigenetics in Aquaculture
Wiley
[27]
논문
The Revised Classification of Eukaryotes
http://www.paru.cas.[...]
[28]
논문
The New Tree of Eukaryotes
https://linkinghub.e[...]
2020-01
[29]
논문
Revisions to the Classification, Nomenclature, and Diversity of Eukaryotes
https://onlinelibrar[...]
2018-09-26
[30]
서적
The Biology of free-living heterotrophic flagellates
https://www.worldcat[...]
Published for the Systematics Association by Clarendon Press
1991
[31]
논문
Ribosomal RNA sequences of Sarcocystis muris, Theileria annulata and Crypthecodinium cohnii reveal evolutionary relationships among apicomplexans, dinoflagellates, and ciliates
https://linkinghub.e[...]
1991-03
[32]
논문
A photosynthetic alveolate closely related to apicomplexan parasites
[33]
웹인용
WordNet Search - 3.0
http://wordnetweb.pr[...]
2009-01-16
[34]
저널 인용
Phylogenomics Places Orphan Protistan Lineages in a Novel Eukaryotic Super-Group
2018-01-19
[35]
저널 인용
Picozoa are archaeplastids without plastid
http://urn.kb.se/res[...]
[36]
논문
Microbial predators form a new supergroup of eukaryotes
2022-12
[37]
논문
전 지구적인 계통발생학적 관점에서 본 진핵생물의 생명나무
2014-05
[38]
논문
Untangling the early diversification of eukaryotes: a phylogenomic study of the evolutionary origins of Centrohelida, Haptophyta and Cryptista
http://rspb.royalsoc[...]
2016-01-27
[39]
논문
A Eukaryote without a Mitochondrial Organelle
http://linkinghub.el[...]
[40]
논문
A higher level classification of all living organisms
[41]
논문
Protistes Eucaryotes: Origine, Evolution et Biologie des Microbes Eucaryotes
https://hal.archives[...]
[42]
논문
Kingdom Chromista and its eight phyla: a new synthesis emphasising periplastid protein targeting, cytoskeletal and periplastid evolution, and ancient divergences
2017-09-05
본 사이트는 AI가 위키백과와 뉴스 기사,정부 간행물,학술 논문등을 바탕으로 정보를 가공하여 제공하는 백과사전형 서비스입니다.
모든 문서는 AI에 의해 자동 생성되며, CC BY-SA 4.0 라이선스에 따라 이용할 수 있습니다.
하지만, 위키백과나 뉴스 기사 자체에 오류, 부정확한 정보, 또는 가짜 뉴스가 포함될 수 있으며, AI는 이러한 내용을 완벽하게 걸러내지 못할 수 있습니다.
따라서 제공되는 정보에 일부 오류나 편향이 있을 수 있으므로, 중요한 정보는 반드시 다른 출처를 통해 교차 검증하시기 바랍니다.
문의하기 : help@durumis.com
