정단복합체충류
"오늘의AI위키"의 AI를 통해 더욱 풍부하고 폭넓은 지식 경험을 누리세요.
1. 개요
정단복합체충류는 정단 복합체라는 독특한 구조를 가진 기생성 진핵생물 문(phylum)이다. 이들은 복잡한 생활환을 거치며 무성 생식과 유성 생식을 모두 수행한다. 대부분의 종은 숙주 세포 침투에 필요한 정단 복합체를 가지며, 형태학적으로 다양하다. 아피콤플렉사문은 크게 그레가리나류, 콕시디아류, 혈구충류, 피로플라스마류로 분류되며, 말라리아, 톡소플라즈마증 등 인간과 가축에게 심각한 질병을 유발하는 병원체를 포함한다. 최근 유전체 연구를 통해 이들의 진화와 생화학적 특성에 대한 이해가 깊어지고 있다.
더 읽어볼만한 페이지
- 정단복합체충류 - 톡소포자충
톡소포자충은 고양이과 동물을 종숙주로, 사람을 포함한 다양한 동물들을 중간숙주로 삼는 세포 내 기생 원생생물로, 덜 익힌 고기 섭취나 고양이 분변 등을 통해 사람에게 감염될 수 있으며, 면역력이 약한 사람에게는 심각한 질병을 일으킬 수 있고 숙주의 행동 변화와도 관련이 있다는 연구가 진행 중이다. - 정단복합체충류 - 말라리아원충
말라리아원충은 아피콤플렉사문에 속하는 진핵생물로서, 적혈구 내 무성 생식, 헤모조인 생성, 곤충과 척추 숙주를 오가는 복잡한 생활사, 다양한 종과 아속을 가지며, 인간에게 말라리아를 유발하는 병원체이다.
2. 특징
아피콤플렉사문은 정단 복합체라고 불리는 독특한 구조와 세포 소기관 집합체를 가진 진핵생물들을 포함한다.[7] 이 복합체는 기생 단계에서 숙주 세포 침투에 필요한 구조 요소와 분비 세포 소기관으로 구성된다.[7] 아피콤플렉사는 복잡한 생활사를 가지고 있으며, 여러 단계를 거치며 일반적으로 무성 생식과 유성 생식을 모두 거친다.[7] 모든 아피콤플렉사는 생활사의 일부 기간 동안 절대 기생 생물이며, 일부는 무성 생식 단계와 유성 생식 단계에 대해 두 개의 다른 숙주에 기생한다.[7]
보존된 정단 복합체 외에도 아피콤플렉사는 형태학적으로 다양하다. 아피콤플렉사 내의 서로 다른 유기체뿐만 아니라 주어진 아피콤플렉사의 서로 다른 생활 단계는 크기, 모양 및 세포 내 구조에서 실질적으로 다를 수 있다.[7]
2. 1. 세포 구조
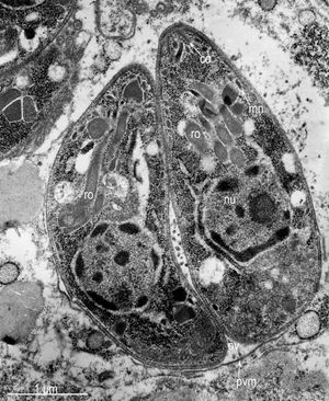
아피콤플렉사문은 정단 복합체라고 불리는 독특한 구조와 세포 소기관 집합체를 가진 진핵생물들을 포함한다.[7] 이 복합체는 기생 단계에서 숙주 세포 침투에 필요한 구조 요소와 분비 세포 소기관으로 구성된다.[7]다른 진핵생물처럼 아피콤플렉사는 세포핵, 소포체, 골지체를 가진다.[7] 또한, 일반적으로 하나의 미토콘드리아와 아피코플라스트라고 불리는 공생 발생 유래 세포 소기관을 가지는데, 이 소기관은 35 킬로베이스의 원형 게놈을 유지한다. (예외: 크립토스포리디움 종, 아피코플라스트가 없는 ''Gregarina niphandrodes'').[7]
아피콤플렉사문의 모든 구성원은 감염성 단계인 포자체(sporozoite)를 가지며, 이는 정단 복합체에 세 가지 뚜렷한 구조를 가진다.[7] 정단 복합체는 나선형으로 배열된 미세 소관 (원추체), 분비체 (롭트리), 하나 이상의 극환으로 구성된다. 하나 또는 두 개의 극환으로 둘러싸인 가늘고 전자 밀도가 높은 분비체(미크로네임)도 존재한다. 이러한 구조는 이 문에 그 이름을 부여한다. 정단 복합체에 국한되지 않고 세포 전체에 분포하는 구형 소기관 그룹인 밀집 과립은 일반적으로 약 0.7 μm의 평균 직경을 갖는다. 밀집 과립 내용물의 분비는 기생충 침투 및 기생충포자공포 내에서의 국소화 후에 일어나며 몇 분 동안 지속된다.
- 전방 극 링
- 내 원추체 미세 소관
- 원추체
- 후방 극 링
- 내막 복합체
- 부피클 미세 소관
- 롭트리 (숙주 침투 동안 방출되는 효소를 포함)
- 미크로네임 (숙주 세포 침투 및 활주 운동성에 중요)
- 미토콘드리아 (세포에 ATP (에너지) 생성, 관형 크리스타)
- 미세공
- 밀집 과립
- 아피코플라스트 막 (4개, 2차 적색, 비광합성)
- 골지체 (단백질을 수정하고 세포 밖으로 보냄)
- 세포핵
- 소포체 (세포의 특정 부분으로 가는 분자를 위한 수송 네트워크)
아피콤플렉사문의 세포 구조 특징은 다음과 같다:
- 편모는 운동성 배우자에서만 발견되며, 후방으로 향하고 보통 1~3개이다.
- 기저체가 존재한다. 혈구포자충과 피로플라스마류는 기저체에 정상적인 미세 소관 3중체를 가지지만, 콕시디아류와 그레가린류는 9개의 단일체를 가진다.
- 미토콘드리아는 관형 크리스타를 가진다.
- 중심체, 엽록체, 사출 소기관 및 내포물은 없다.
- 세포는 미세공으로 관통된 세 층의 막(알베올라 구조)의 펠리클로 둘러싸여 있다.
아피콤플렉사류는 기본적으로 단세포 생물이지만, 크기는 수 μm에서 수 mm까지 매우 다양하다. 세포막은 '''알베올'''(alveole, 포실)이라는 소포체에 의해 뒷받침되며, 다소 굳은 '''펠리클'''(pellicle, 외피)을 형성하고 있다. 알베올의 존재와 그 외 특징으로 인해 아피콤플렉사류는 알베올라타라는 그룹에 속한다. 펠리클은 세포의 거의 전체를 덮고 있지만, 음세포작용(피노사이토시스)을 수행하는 '''미세공'''(micropore, 미소공)에는 없다.
세포 전단에 있는 아피칼 복합체는 원래는 미조사이토시스에 사용되는 구조로 생각되었지만, 대부분의 종에서는 숙주 세포와의 접촉이나 세포 내 침투에 관여하는 것으로 생각된다. 선단은 '''극륜'''(polar ring)이라는 미세소관 띠로 둘러싸여 있으며, 많은 원생동물에는 추가로 '''코노이드'''(conoid, 원추체)라는 깔때기 모양의 미세소관 다발이 있다. 개구하는 '''롭트리'''(rhoptry)와 '''미크로네메'''(microneme)라는 소포체가 있으며, 원생동물이 숙주 세포에 침투하기 위한 효소를 분비한다.
또 다른 특징으로, 아피콤플렉사류의 세포에는 아피코플라스트라고 불리는 세포소기관이 있으며, 3~4겹의 막으로 둘러싸여 있다는 점이다. 그 기능은 지질 합성 등일 것으로 보이지만, 원생동물의 생존에 필수적인 것으로 보인다. 다만 크립토스포리디움과 (적어도 일부) 그레가리나류에는 아피코플라스트가 존재하지 않는다고 생각된다.[53]
2. 2. 생활사
아피콤플렉사문은 복잡한 생활환을 가지고 있으며, 여러 단계를 거치며 일반적으로 무성 생식과 유성 생식을 모두 거친다.[7] 모든 아피콤플렉사는 생활환의 일부 기간 동안 절대 기생 생물이며, 일부는 무성 생식 단계와 유성 생식 단계에 대해 두 개의 다른 숙주에 기생한다.[7]대부분의 구성원은 무성생식과 유성생식을 모두 포함하는 복잡한 생활사를 가지고 있다. 일반적으로 숙주는 기생충의 능동적인 침입(엔토시스와 유사)을 통해 감염되며, 기생충은 분열하여 숙주 세포에 들어가는 포자충을 생성한다. 결국 세포가 파열되어 분열소체가 방출되고, 분열소체는 새로운 세포를 감염시킨다. 이는 배우체가 생성되어 새로운 낭포를 형성하기 위해 융합하는 배우자를 형성할 때까지 여러 번 발생할 수 있다. 그러나 이러한 기본 패턴에 대한 많은 변형이 발생하며, 많은 아피콤플렉사는 둘 이상의 숙주를 가지고 있다.[10]
아피콤플렉사류는 무성생식과 유성생식으로 구성된 복잡한 생활환을 가지고 있으며, 일반적으로 다음 세 시기로 구분할 수 있다.
# '''메로고니'''(merogony, 자충체 형성)
#: 개체수를 늘리기 위한 무성생식기로, 숙주 세포 내에서 분열하여 '''메로조이트'''(merozoite, 자충)를 생성한다. 전형적으로 분열생식이라고 불리는 다분열을 수행하지만, 내생출아(endodyogeny)를 수행하는 것도 알려져 있다.
# '''게메토고니'''(gametogony, 생식체 형성)
#: '''게메트'''(gamete, 생식체, 배우자)를 형성하는 유성생식기이지만, 이때 암수의 '''생식모체'''(gamont, 가몬트, gametocyte, 게메토사이트)로부터 무성적으로 여러 개의 게메트를 생성하는 경우가 많다.
# '''스포로고니'''(sporogony, 포자충 형성)
#: 게메트가 접합하여 생성되는 '''오오시스트'''(oocyst) 내에서 무성적으로 여러 개의 '''스포로조이트'''(sporozoite, 포자충)를 생성한다.
표준적으로는, 숙주가 오오시스트를 섭취함으로써 감염이 성립된다. 먼저 오오시스트 내의 스포로조이트가 세포에 침입하여 메로고니를 수행하여 개체수를 늘린다. 생성된 메로조이트는 다시 주변 세포에 침입하여 메로고니를 반복한다(1). 그 후, 암수의 생식모체가 분화하여 게메토고니를 수행하고(2), 생성된 게메트가 접합하면(3) 스포로고니에 의해 새로운 오오시스트가 생성된다(4). 이 기본적인 패턴 외에도 다양한 변형이 있으며, 단일 숙주뿐만 아니라 여러 숙주를 가지는 것도 다수 있다.
3. 분류
정단복합체충류는 크게 4개의 주요 그룹으로 분류된다.[54]
- 그레가리나류 (Gregarines)
- 콕시디아류 (Coccidians)
- 혈구포자충류 (Haemosporidians)
- 피로플라스마류 (Piroplasms)
이들은 각각 강 또는 아강 수준의 분류군으로 간주된다. 이들 4개 그룹의 상호 관계 및 각 그룹 내부에 대해서는 분자 계통 분석을 통해 재검토가 진행 중이다. 2019년에는 새로운 계통 관계가 제시되었으며,[54] 향후 이를 반영하여 분류 체계가 변경될 것으로 예상된다.
과거에는 퍼킨서스류와 콜포델라류도 정단복합체충류에 포함되었으나, 현재는 분자 계통 분석 결과에 따라 와편모충류와의 근연 관계가 밝혀져 제외되었다.
또한, 점액포자충류, 미포자충류, 아세토포라류는 과거 "포자충"으로 분류되었으나, 현재는 완전히 다른 생물군으로 분류된다.
아피콤플렉스문이라는 명칭은 노먼 D. 레빈(Norman D. Levine)이 제안했으며, "포자충"이라는 명칭과의 오랜 논쟁 끝에 널리 받아들여졌다. 1988년, 레빈은 아피콤플렉스문에 코노이드 유무에 따라 2개의 강(Conoidasida, Aconoidasida)을 두는 분류 체계를 제안했으나, 분자 계통 분석 결과 Conoidasida는 단일 계통이 아닌 것으로 밝혀져 향후 변경될 예정이다.
3. 1. 그레가리나류 (Gregarines)
그레가린은 일반적으로 환형동물, 절지동물, 연체동물의 기생충이다. 종종 숙주의 장에서 발견되지만, 다른 조직을 침범할 수도 있다. 전형적인 그레가린의 생활 주기에서, 영양체는 숙주 세포 내에서 분열체로 발달한다. 그런 다음 분열생식을 통해 다수의 분열소체로 분열한다. 분열소체는 숙주 세포를 용해시켜 방출되며, 이는 다시 다른 세포를 침범한다. 어떤 시점에서, 배우자체가 형성된다. 이들은 숙주 세포의 용해에 의해 방출되어 함께 뭉친다. 각 배우자체는 여러 개의 배우자를 형성한다. 배우자는 서로 융합하여 난포자를 형성한다. 난포자는 숙주를 떠나 새로운 숙주에 의해 섭취된다.[16]
절지동물이나 환형동물의 소화관 등에 기생하며, 세포 외에서 크게 성장한다. 수컷과 암컷의 생식모체가 접착하여 가메토시스트를 형성하고, 그 내부에서 유성 생식을 하여 다수의 오시스트가 생긴다. 그레가리나(''Gregarina'') 등이 이에 해당한다.
크립토스포리디움(''Cryptosporidium'')은 종래 콕시디아류라고 생각되어 왔지만, 분자 계통 분석에 따르면 오히려 그레가리나류에 근연한 것으로 나타났다. 실제로 배양 실험에 의해, 세포 외에서 그레가리나류와 유사한 형태를 취하는 시기의 존재가 판명되었다.[55][56]
2019년에 제시된 분자 계통 분석에 따르면[54] 그레가리나류는 다음과 같은 계통 관계를 가진다.
3. 2. 콕시디아류 (Coccidians)
일반적으로 콕시디아는 척추동물의 기생충이다. 그리개린과 마찬가지로 장의 상피 세포에 기생하는 경우가 많지만, 다른 조직을 감염시킬 수도 있다.콕시디아의 생활환은 분열생식, 배우자생식, 포자생식을 포함한다. 그리개린의 생활환과 유사하지만 접합자 형성에서 차이가 있다. 일부 영양체는 비대해져 대배우자가 되는 반면, 다른 영양체는 반복적으로 분열하여 소배우자를 형성한다(부등배우자생식). 소배우자는 운동성이 있으며 수정하기 위해 대배우자에 도달해야 한다. 수정된 대배우자는 접합자를 형성하고, 이 접합자는 다시 포낭을 형성하며, 포낭은 일반적으로 몸 밖으로 배출된다. 시지지는 발생할 경우 현저하게 부등배우자생식을 포함한다. 생활환은 일반적으로 반수체이며, 유일한 이배체 단계는 접합자에서 발생하며, 접합자는 일반적으로 수명이 짧다.[17]
콕시디아와 그리개린의 주요 차이점은 배우체에 있다. 콕시디아에서 배우체는 작고 세포 내에 있으며, 에피머라이트나 뮤크론이 없다. 그리개린에서 배우체는 크고 세포 외에 있으며, 에피머라이트 또는 뮤크론을 가지고 있다. 콕시디아와 그리개린의 두 번째 차이점 또한 배우체에 있다. 콕시디아에서는 단일 배우체가 대배우자모세포가 되는 반면, 그리개린에서는 배우체가 여러 배우자모세포를 생성한다.[18]

무척추동물이나 척추동물의 세포 내에 기생한다. 접합자는 부동성이며, 환경 내성을 가진 오시스트가 생긴다. 콕시디아(''Eimeria''), 육포자충 (''Sarcocystis''), 톡소포자충 (''Toxoplasma'') 등이 이에 해당한다.
혈구충 (혈충)류나 피로플라스마류를 콕시디아류에 포함시키는 경우가 있다.
크립토스포리디움 (''Cryptosporidium'')은 종래 콕시디아류라고 생각되어 왔지만, 분자 계통 분석에 따르면 오히려 그레가리나류에 근연한 것으로 나타났다. 실제로 배양 실험을 통해 세포 외에서 그레가리나류와 유사한 형태를 취하는 시기가 존재한다는 것이 밝혀졌다.[55][56]
단백질 유전자 약 300개를 사용한 분자 계통 분석[54]에 따른 정단복합체충 문 내의 계통 관계는 다음과 같다.
{| class="wikitable"
|-
! style="text-align: center;" | 광의의 콕시디아류
! style="text-align: center;" | (불확실)
|-
| style="text-align: center;" |
{| class="wikitable"
|-
| style="text-align: center;" |
|-
| style="text-align: center;" |
|}
|-
| style="text-align: center;" | 아가모콕시디아목
|}
| style="text-align: center;" |
{| class="wikitable"
|-
! style="text-align: center;" | 그레가리나류
|-
| style="text-align: center;" |
{| class="wikitable"
|-
| style="text-align: center;" | 진그레가리나목
|-
| style="text-align: center;" |
|}
|-
| style="text-align: center;" | 크립토스포리디움
|}
|}
|}
3. 3. 혈구포자충류 (Haemosporidians)
혈구포자충아강(Haemosporasina)은 절지동물과 척추동물 숙주 사이를 오가는 복잡한 생활사를 가진다. 영양체는 척추동물 숙주의 적혈구나 다른 조직에 기생하며, 미세 배우체와 거대 배우체는 항상 혈액에서 발견된다.[19] 배우체는 흡혈을 통해 곤충 매개체에 섭취된다. 미세 배우체는 곤충 매개체의 장내에서 이동하여 거대 배우체와 융합한다. 수정된 거대 배우체는 오오키네트가 되어 매개체의 몸체를 관통한다. 오오키네트는 오오시스트로 변하고 감수 분열, 유사 분열을 거쳐 포자체를 생성한다. 포자체는 오오시스트에서 탈출하여 매개체의 몸체 내에서 타액선으로 이동하며, 곤충 매개체가 다시 흡혈할 때 새로운 척추동물 숙주에 주입된다.[19]
혈구충류에는 말라리아 원충(''Plasmodium'')과 같이 사람에게 질병을 일으키는 병원체가 포함되어 있다. 대표적인 질병은 말라리아(말라리아 원충, ''Plasmodium'')이다.
혈구충류는 혈액 중의 적혈구 등에 세포 내 기생하며, 흡혈 동물에 의해 매개된다. 접합자는 운동성이 있으며, 생긴 오시스트는 환경 내성을 가지지 않는다.[54] 말라리아 원충(''Plasmodium''), 백혈구원충(''Leucocytozoon'') 등이 혈구충류에 속한다.
아피콤플렉사 내에는 세 개의 기생충 하위목이 있다.[12]
- 하위목 아델레오리나—8개 속
- 하위목 라베라니이나(구 Haemosporina)—이 하위목의 모든 속
- 하위목 아이메리오리나—2개 속 (''랭케스테렐라'' 및 ''셸라키아'')
이 중 혈구충류는 콕시디아류에 포함시키기도 한다.
3. 4. 피로플라스마류 (Piroplasms)
이형열원충목 (Piroplasmida)에 속하는 생물군으로, 혈구충류와 같이 오시스트(oocyst)를 전혀 생성하지 않는다. 바베시아(Babesia)와 타일레리아(Theileria) 등이 이에 속한다.[54]4. 질병
정단복합체충류에 속하는 대부분의 기생충은 사람과 가축에게 중요한 병원체이다. 이들은 세균과 달리 진핵생물이며, 숙주와 많은 대사 경로를 공유하기 때문에 치료제 개발이 어렵다. 현재 대부분의 질병에 대한 효과적인 백신은 없다.
최근 유전체 염기서열 분석을 통해 기생충의 진화와 생화학적 능력에 대한 연구가 진행되고 있다. 유전체 정보는 EuPathDB[21] 웹사이트에서 제공되며, 말라리아 원충(PlasmoDB),[22][23] 콕시디아(ToxoDB),[24][25] 파이로플라스마(PiroplasmaDB),[26] 크립토스포리디움 종(CryptoDB)에 대한 정보를 얻을 수 있다.[27][28]
엽록체는 약물의 가능한 표적 중 하나이며, 테트라사이클린과 같은 기존 약물이 엽록체에 작용하는 것으로 보인다.[29]
많은 콕시디아강은 중간 숙주를 가지며, 숙주의 진화는 다양하게 진행되었다. 일부는 원래 숙주가 중간 숙주가 되었고, 다른 경우에는 최종 숙주가 되었다. 수평 유전자 이동은 이 문의 진화 초기에 발생했으며, 히스톤 H4 라이신 20 (H4K20) 변형자인 KMT5A (Set8)가 동물 숙주에서 정단복합체충류의 조상으로 이동했다.[30]
정단복합체충류는 다양한 숙주에 기생하며, 장관, 체강, 조직, 혈구 등 다양한 부위에 기생한다. 세포 내 기생 또는 세포 외 기생을 한다. 정단복합체충류에 의해 유발되는 대표적인 질병은 다음과 같다.
5. 진화
안토니 판 레이우엔훅은 1674년에 토끼의 담낭에서 ''Eimeria stiedae''의 낭포로 추정되는 것을 관찰하면서 정단복합체충류 원생생물을 처음으로 관찰했다.[31] 1828년에는 뒤푸르가 귀청벌레의 창자 내에서 발견한 ''Gregarina ovata''를 문에 속하는 최초의 종으로 기술했는데, 그는 이를 흡충류와 관련된 특이한 연충류 그룹으로 생각했다.[31]
1826년부터 1850년까지 41종 6속, 1951년부터 1975년까지 1873개의 새로운 종과 83개의 새로운 속이 추가로 명명되었다.[31]
루돌프 로이카르트는 1879년에 포자충 분류군을 만들었고,[32] 오토 뷔취리는 1880년에 이를 채택했다.[33] 포자충은 아세토스포레아, 미포자충, 점액포자충, ''Helicosporidium'', ''Blastocystis'', ''Dermocystidium'' 등 정단복합체충류와 관련 없는 여러 그룹을 포함했으나, 현재는 생물학적으로 유효하지 않은 것으로 간주되어 사용이 권장되지 않는다.[34][35]
1970년에 정단복합체충류 분류가 공식적으로 명명된 이후, ''Perkinsus''와 ''Colpodella'' 등이 제외되면서 분류 체계는 계속 변화했다.[1] 1987년까지 총 4516종 339속이 명명되었으며, 여기에는 원뿔충강의 Gregarinasina (1624종 231속), Coccidiasina (1771종 43속), 무원뿔충강의 혈구충목 (444종 9속), 피로플라즈마목 (173종 20속) 등이 포함된다.[36][31]
정단복합체충류는 광합성 색소체를 제외하고는 기생충이며, 와편모충류와의 분기 시기에 자유 생활 조상으로부터 진화한 것으로 추정된다. 이 문의 추가적인 진화는 약 8억년 전에 발생했으며, 가장 오래된 현존 분류군은 고그레가린류(archigregarines)이다.[46]
계통 발생 관계는 혈액포자충류가 그레가린류와 관련 있고, 피로플라스마류와 콕시디아류가 자매 그룹이며, 혈액포자충류와 피로플라스마류는 콕시디아류와 더 가깝다는 것을 보여준다.[49][50]
다음은 피하낭류의 계통 분류이다.[64][65][66]
{{clade| style=font-size:85%;line-height:85%
|label1= Myzozoa
|1={{clade
|label1= '''정단복합체충류''' s.l.
|1={{clade
|1= Squirmida (''Digyalum'', ''Filipodium'', ''Platyproteum'')
|2={{clade
|label1=Chrompodellids/Apicomonadea
|1={{clade
|1= Chromerida (''Chromera'', ''Vitrella'', ''Piridium'')
|2= Colpodellida (''Colpodella'')
|3= Voromonadida (''Alphamonas'', ''Voromonas'')
}}
|label2= 정단복합체충류 s.s.
|2={{clade
|label1='''그레가린류''' s.l.
|1={{clade
|1= ''Cryptosporidium''
|2= 그레가린류 s.s.
}}
|2={{clade
|label1= '''Marosporida'''
|1={{clade
|1= Aggregatidae (''Aggregata'', ''Merocystis'')
|2={{clade
|1=''Margolisiella''
|2= Rhytidocystidae (''Rhytidocystis'')
}}
}}
|label2=Coccidiomorphea
|2={{clade
|label1= '''Coccidia'''
|1={{clade
|1= Hemogregarines
|2= 단일 숙주 콕시디아류 (''Eimeria'', ''Isospora'', ''Cyclospora'')
|3= 낭포 형성 콕시디아류 (''Toxoplasma'', ''Sarcocystis'', ''Frenkellia'')
}}
|label2= Hematozoa
|2={{clade
|1= 피로플라스마류 (''Babesia'', ''Theileria'')
|2= '''혈액포자충류''' (''Plasmodium'', ''Leucocytozoon'')
}}
}}
}}
}}
}}
|2= 와편모충류 & Perkinsozoa
}}
}}
참조
[1]
논문
Taxonomy of the Sporozoa
[2]
논문
Uniform Terminology for the Protozoan Subphylum Apicomplexa
1971-05
[3]
서적
Marine fish parasitology: an outline
VCH
[4]
논문
Nephromyces, a beneficial apicomplexan symbiont in marine animals
[5]
논문
Apicomplexan gliding motility and host cell invasion: overhauling the motor model
http://www.cell.com/[...]
2004-01
[6]
논문
How apicomplexan parasites move in and out of cells
2010-10
[7]
웹사이트
Apicomplexa, Levine 1970
http://tolweb.org/Ap[...]
2011
[8]
간행물
Q123558544
[9]
논문
Intracellular Parasite Invasion Strategies
https://www.science.[...]
2004-04-09
[10]
논문
Comparative Analysis of Apicomplexa and Genomic Diversity in Eukaryotes
2004-09
[11]
웹사이트
The Coccidia of the World
http://biology.unm.e[...]
Department of Biology, University of New Mexico, and Division of Biology, Kansas State University
2006-10-04
[12]
서적
Medical Parasitology
http://worldcat.org/[...]
EDTECH
2018
[13]
논문
Diversity and evolutionary history of plastids and their hosts
[14]
논문
DNA organization by the apicoplast-targeted bacterial histone-like protein of Plasmodium falciparum
2008-07
[15]
논문
Parvilucifera infectans norén et moestrup gen. et sp. nov. (perkinsozoa phylum nov.): a parasitic flagellate capable of killing toxic microalgae
1999-10
[16]
논문
Modeling the genetic relatedness of Plasmodium falciparum parasites following meiotic recombination and cotransmission
2018-01-09
[17]
논문
Revisions to the Classification, Nomenclature, and Diversity of Eukaryotes
2019
[18]
논문
Sexual Development in Non-Human Parasitic Apicomplexa: Just Biology or Targets for Control?
2021-10-04
[19]
논문
"Plasmodium Sporozoite Biology"
2017-01-20
[20]
논문
Phylogenomics Identifies a New Major Subgroup of Apicomplexans, Marosporida class nov., with Extreme Apicoplast Genome Reduction
Oxford University Press
2020-11-18
[21]
웹사이트
EuPathDB
http://eupathdb.org
2012-01-02
[22]
논문
PlasmoDB: The Plasmodium genome resource. A database integrating experimental and computational data
[23]
웹사이트
PlasmoDB
http://plasmodb.org
2012-01-02
[24]
논문
ToxoDB: Accessing the Toxoplasma gondii genome
[25]
웹사이트
ToxoDB
http://toxodb.org
2012-01-02
[26]
웹사이트
PiroplasmaDB
http://piroplasmadb.[...]
2012-01-02
[27]
논문
CryptoDB: A Cryptosporidium bioinformatics resource update
[28]
웹사이트
CryptoDB
http://cryptodb.org
2012-01-02
[29]
논문
Tetracyclines specifically target the apicoplast of the malaria parasite Plasmodium falciparum
2006-09
[30]
논문
Horizontal gene transfer of epigenetic machinery and evolution of parasitism in the malaria parasite Plasmodium falciparum and other apicomplexans
[31]
논문
Progress in taxonomy of the Apicomplexan protozoa
[32]
서적
Die menschlichen Parasiten
https://www.european[...]
Winter
[33]
문서
Dr. H.G. Bronn's Klassen und Ordnungen des Thier-Reichs
1880-82
[34]
논문
Finding of Blastocystis sp. in bivalves of the genus Donax
[35]
웹사이트
Introduction to the Apicomplexa
http://www.ucmp.berk[...]
2009-05-31
[36]
서적
The protozoan phylum Apicomplexa
CRC Press
[37]
논문
Highly rearranged mitochondrial genome in Nycteria parasites (Haemosporidia) from bats
2016-08-15
[38]
서적
Apicomplexa, 2: Hémosporidioses, Fascicule 1: Plasmodiidés, Haemoproteidés "Piroplasmes" (caractères généraux)
Fondation Marcel Merieux
[39]
논문
A three-genome phylogeny of malaria parasites (Plasmodium and closely related genera): evolution of life-history traits and host switches
2008-04
[40]
서적
Foundations of Parasitology
Wm. C. Brown
[41]
서적
An Illustrated guide to the Protozoa : organisms traditionally referred to as protozoa, or newly discovered groups
Society of Protozoologists
[42]
논문
"[The origin of heteroxeny in Sporozoa]"
[43]
논문
A widespread coral-infecting apicomplexan with chlorophyll biosynthesis genes
[44]
논문
Nephromyces represents a diverse and novel lineage of the Apicomplexa that has retained apicoplasts. Genome Biol Evol
2019
[45]
논문
A photosynthetic alveolate closely related to apicomplexan parasites
2008-02
[46]
논문
The phylogeny of colpodellids (Alveolata) using small subunit rRNA gene sequences suggests they are the free-living sister group to apicomplexans
2002-11
[47]
논문
Morphostasis in alveolate evolution
2003-08
[48]
논문
Evolutionary origin of Plasmodium and other Apicomplexa based on rRNA genes
1995-06
[49]
논문
Evolution of the Apicomplexa: where are we now?
2009-08
[50]
논문
A genome-sequence survey for Ascogregarina taiwanensis supports evolutionary affiliation but metabolic diversity between a ''Gregarine'' and ''Cryptosporidium''
2010-02
[51]
논문
Protists and the Wild, Wild West of Gene Expression: New Frontiers, Lawlessness, and Misfits
Annual Reviews (publisher)
2016-09-08
[52]
논문
Taxonomy of the sporozoa
[53]
논문
Gregarina niphandrodes may lack both a plastid genome and organelle
[54]
논문
Apicomplexan-like parasites are polyphyletic and widely but selectively dependent on cryptic plastid organelles
[55]
논문
Extracellular like-gregarine stages of Cryptosporidium parvum
[56]
논문
The Ultra-Structural Similarities between Cryptosporidium parvum and the Gregarines
[57]
논문
Zoospores of the Oyster Pathogen, Dermocystidium marinum. I. Fine Structure of the Conoid and Other Sporozoan-Like Organelles
[58]
논문
Perkinsus gen. n. and Other New Taxa in the Protozoan Phylum Apicomplexa
[59]
논문
A newly revised classification of the protozoa
[60]
논문
Réflexions et suggestions a propos de la systématique des sporozoaires : Création d'une classe des Hematozoa
[61]
논문
Taxonomy of the Sporozoa.
1970
[62]
논문
Uniform Terminology for the Protozoan Subphylum Apicomplexa.
1971
[63]
웹인용
기생충학 학술용어 (II)
http://www.parasitol[...]
2011-02-15
[64]
저널 인용
A higher level classification of all living organisms
[65]
저널 인용
Protistes Eucaryotes: Origine, Evolution et Biologie des Microbes Eucaryotes
https://hal.archives[...]
[66]
저널 인용
Kingdom Chromista and its eight phyla: a new synthesis emphasising periplastid protein targeting, cytoskeletal and periplastid evolution, and ancient divergences
2017-09-05
본 사이트는 AI가 위키백과와 뉴스 기사,정부 간행물,학술 논문등을 바탕으로 정보를 가공하여 제공하는 백과사전형 서비스입니다.
모든 문서는 AI에 의해 자동 생성되며, CC BY-SA 4.0 라이선스에 따라 이용할 수 있습니다.
하지만, 위키백과나 뉴스 기사 자체에 오류, 부정확한 정보, 또는 가짜 뉴스가 포함될 수 있으며, AI는 이러한 내용을 완벽하게 걸러내지 못할 수 있습니다.
따라서 제공되는 정보에 일부 오류나 편향이 있을 수 있으므로, 중요한 정보는 반드시 다른 출처를 통해 교차 검증하시기 바랍니다.
문의하기 : help@durumis.com
