호지킨 림프종
"오늘의AI위키"의 AI를 통해 더욱 풍부하고 폭넓은 지식 경험을 누리세요.
1. 개요
호지킨 림프종은 1832년 토마스 호지킨에 의해 처음 기술된 림프계 암의 일종이다. 고전형과 결절성 림프구 우세형 두 가지 주요 유형으로 분류되며, 림프절 비대, 전신 증상, 그리고 현미경 검사로 확인되는 리드-슈테른베르크 세포의 존재가 특징이다. 진단은 림프절 생검을 통해 이루어지며, 병기 결정에는 다양한 영상 검사가 사용된다. 치료는 화학 요법, 방사선 치료, 그리고 최근에는 면역 관문 억제제와 같은 표적 치료법을 포함하며, 예후는 환자의 병기, 예후 인자, 그리고 치료에 대한 반응에 따라 달라진다.
더 읽어볼만한 페이지
- 림프종 - 림프절 변연부 B세포 림프종
제공된 텍스트는 위키백과 문서의 개요가 아니라 문서 작성 과정에 대한 설명이므로, 림프절 변연부 B세포 림프종에 대한 요약문을 생성할 수 없습니다. - 림프종 - 성인 T세포 백혈병
성인 T세포 백혈병은 사람 T세포 림프친화 바이러스 1형에 의해 유발되는 고위험성 비호지킨 림프종의 일종으로, 고칼슘혈증, 피부 질환, 용해성 골병변 등의 증상을 동반하며 급성형, 림프종형, 만성형, 연성형으로 분류된다. - 감염성 암원 - 결핵
결핵은 결핵균에 의해 발생하는 감염성 질환으로, 주로 폐에 영향을 미치며 기침, 객혈 등의 증상을 보이지만 무증상일 수도 있고, 호흡기 비말 전파를 통해 감염되며, 항생제 치료를 하지만 약물 내성 문제로 인해 공중 보건 문제로 남아있다. - 감염성 암원 - 자궁경부암
자궁경부암은 인유두종바이러스 감염이 주원인인 자궁 경부의 악성 종양으로, 초기에는 증상이 미미하지만 진행 시 질 분비물 증가, 성교통, 골반통이 나타날 수 있으며, 자궁경부 세포진 검사, 조직 생검 등으로 진단하고 수술, 방사선 치료, 항암 치료 등으로 치료하며, HPV 백신 접종과 정기 검진으로 예방이 가능하다. - 감염병에 관한 - 피로
피로는 신체적, 정신적 에너지 고갈 상태로, 다양한 원인으로 인해 발생하며, 약물 치료, 정신 건강 도구 활용, 생활 습관 개선 등 다양한 방식으로 관리될 수 있다. - 감염병에 관한 - SARS-CoV-2
SARS-CoV-2는 COVID-19 팬데믹을 일으킨 양성 단일 가닥 RNA 바이러스로, 스파이크 단백질의 후린 절단 부위와 다양한 변이체를 가지며, 말굽박쥐에서 유래했을 것으로 추정되고, RT-PCR 검사로 진단한다.
2. 역사
WHO 분류에 따르면 호지킨 림프종은 크게 "고전형"과 "결절성 림프구 우세형" 두 가지로 분류된다. 침범된 림프절(대부분 후경부 림프절)은 커지지만, 피막이 침범되지 않기 때문에 모양은 유지된다. 일반적으로 절단면은 흰색 또는 회색이며 균일하다. 일부 조직학적 아형(예: 결절성 경화증)에서는 결절성 양상이 나타날 수 있다.[37]
호지킨 림프종은 1832년 토마스 호지킨(Thomas Hodgkin)의 보고서에서 처음 기술되었지만, 호지킨은 1666년 마르첼로 말피기(Marcello Malpighi)가 이 질환에 대한 초기 언급을 했을 가능성을 언급했다.[79][2] 런던 가이 병원(Guy's Hospital) 박물관 큐레이터로 재직하던 호지킨은 무통성 림프절 비대를 보이는 7명의 환자를 연구했다. 이들 중 2명은 리처드 브라이트의 진료를 받았고, 1명은 토마스 애디슨(Thomas Addison)의 환자였으며, 다른 1명은 로버트 카스웰의 환자였다.[79] 카스웰이 보고한 7번째 환자의 보고서에는 이 질병의 초기 설명에 도움이 되는 수많은 그림이 첨부되어 있었다.[80]
"흡수샘과 비장의 일부 병적 양상에 관하여(On some morbid appearances of the absorbent glands and spleen)"라는 제목의 호지킨의 7가지 사례에 대한 보고서는 1832년 1월 런던 의학 외과 학회(Medical and Chirurgical Society of London)에 발표되었고, 이후 학회지인 ''Medical-Chirurgical Society Transactions''에 게재되었다.[79] 그러나 호지킨의 논문은 1838년 브라이트가 이를 강조했음에도 불구하고 대부분 주목받지 못했다.[79] 실제로 호지킨 자신도 자신의 기여를 특별히 중요하게 생각하지 않았다.[81]
1856년, 새뮤얼 윌크스(Samuel Wilks)는 호지킨이 이전에 기술했던 것과 동일한 질병을 앓고 있는 일련의 환자들을 독립적으로 보고했다.[81] 가이 병원에서 호지킨의 후임이었던 윌크스는 호지킨의 이전 연구를 알지 못했다. 브라이트는 윌크스에게 호지킨의 기여를 알렸고, 1865년 윌크스는 "림프선과 비장의 비대 사례(Cases of enlargement of the lymphatic glands and spleen)"라는 제목의 두 번째 논문을 발표하여 그의 전임자를 기리며 이 질병을 "호지킨병(Hodgkin's disease)"이라고 명명했다.[81]
테오도어 랑한스(Theodor Langhans)와 W.S. 그린필드(W.S. Greenfield)는 각각 1872년과 1878년에 호지킨 림프종의 미세 특징을 처음으로 기술했다.[79] 1898년과 1902년에 칼 슈테른베르크(Carl Sternberg)와 도로시 리드는 각각 독립적으로 호지킨 림프종의 악성 세포의 세포 유전학적 특징을 기술했는데, 이는 현재 리드-슈테른베르크 세포라고 불린다.[79]
호지킨의 7가지 사례의 조직 표본은 가이 병원에 보관되었다. 호지킨의 초기 발표 후 거의 100년이 지난 후, 조직병리학적 재검사에서 7명 중 3명에게서만 호지킨 림프종이 확인되었다.[81] 나머지 사례에는 비호지킨 림프종, 결핵, 매독이 포함되었다.[81]
호지킨 림프종은 방사선 치료로 성공적으로 치료된 최초의 암 중 하나였으며, 나중에는 병합 화학 요법으로 치료된 최초의 암 중 하나였다.
3. 조직학적 분류
섬유소 고리 육아종이 관찰될 수 있다.
고전형 호지킨 림프종은 다시 4가지 아형으로 나뉜다.3. 1. 고전형 호지킨 림프종 (Classical Hodgkin Lymphoma, CHL)
WHO 분류에 따르면 호지킨 림프종은 크게 "고전형"과 "결절성 림프구 우세형" 두 가지로 분류된다. 고전적 호지킨 림프종과 결절 림프구 우세 호지킨 림프종의 유병률은 각각 약 90%와 10%이다.[23][32] 두 유형은 형태, 표현형, 분자적 특징이 다르며, 이에 따라 임상적 행동과 양상도 달라진다.[24]
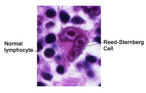
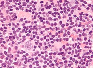
림프절 생검 현미경 검사에서는 림프절 구조가 완전하거나 부분적으로 소실된 것을 확인할 수 있다. 림프구, 조직구, 호산구, 형질 세포 등 반응성 세포 침윤 내에 리드-슈테른베르크 세포(RSC)(전형적 및 변이체)라고 불리는 큰 악성 세포들이 흩어져 있다. 리드-슈테른베르크 세포는 현저한 인(核小体)과 비정상적인 CD45-, CD30+, CD15+/- 면역표현형을 가진 크고 종종 이핵성인 세포로 확인된다. 약 50%의 경우, 리드-슈테른베르크 세포는 에프스타인-바 바이러스에 감염되어 있다.[38]
고전적 리드-슈테른베르크 세포는 크기가 크고(20~50 마이크로미터), 풍부하고 양성 친화성이며 미세 과립/균질한 세포질을 가지고 있다. 또한 각각 호산성 인과 두꺼운 핵막을 가진 두 개의 거울상 핵(올빼미 눈)을 포함한다.( 염색질은 핵막 가까이 분포).[39]
리드-슈테른베르크 세포의 변이체는 다음과 같다.
호지킨 림프종은 조직학적 유형에 따라 하위 분류될 수 있다. 고전적 호지킨 림프종의 치료 및 예후는 일반적으로 조직 유형보다는 질병의 병기(stage)에 따라 달라진다.[41] 고전형 호지킨 림프종에는 다음과 같은 4가지 아형이 있다.3. 2. 결절성 림프구 우세형 호지킨 림프종 (Nodular Lymphocyte Predominant Hodgkin Lymphoma, NLPHL)
WHO 분류에 따르면, 호지킨 림프종은 크게 "고전형"과 "결절성 림프구 우세형"으로 나뉜다. 결절성 림프구 우세형 호지킨 림프종(NLPHL)은 전체 호지킨 림프종의 약 10%를 차지한다.[23][32] 이 유형은 형태, 표현형, 분자적 특징, 임상적 행동 및 양상이 고전형 호지킨 림프종과 다르다.[24]
결절성 림프구 우세형 호지킨 림프종에서 나타나는 특징적인 세포는 "팝콘 세포"(림프구-조직구 변이체)라고 불리는 리드-슈테른베르크 세포(RSC)의 변이체인데, 이는 매우 엽상의 핵과 작은 인을 가진 작은 세포이다.
4. 증상
호지킨 림프종의 가장 흔한 증상은 하나 이상의 림프절이 통증 없이 커지는 림프절병증이다.[13] 만져보면 고무 같고 부어 있는 느낌일 수 있다. 목, 겨드랑이, 사타구니의 림프절 (경부 및 쇄골상)이 가장 흔하게(평균 80~90%) 영향을 받는다.[13] 흉부 림프절도 자주 영향을 받는데, 이는 흉부 X선 사진에서 확인될 수 있다.[13]
호지킨병 환자의 약 1/3은 다음과 같은 전신 증상을 보일 수 있다.[14]
- 가려움증[14]
- 밤에 땀을 많이 흘림[14]
- 6개월 이내에 체중의 10% 이상의 설명할 수 없는 체중 감소[14]
- 저열[14]
- 피로(권태감)[14]
발열, 야간 발한, 체중 감소와 같은 전신 증상은 B 증상으로 알려져 있으며, 이러한 증상이 나타나면 환자의 병기가 예를 들어 2A가 아닌 2B임을 나타낸다.[14]
- 비장비대: 비장의 확대는 호지킨 림프종 환자에게 자주 나타난다. 비장의 확대는 거의 심하지 않으며, 치료 과정에서 비장의 크기가 변할 수 있다.[13]
- 간비대: 간의 침범으로 인한 간의 확대는 호지킨 림프종 환자에게 드물다.[13]
- 간비장비대: 간과 비장의 확대는 동일한 질병으로 인해 발생할 수 있다.
- 알코올 섭취 후 통증: 고전적으로, 관련 림프절은 알코올 섭취 후 통증이 있지만, 이 현상은 매우 드물며,[15] 호지킨 림프종 환자의 2~3%에서만 발생하므로 민감도가 낮다.[16] 반면, 그 양성 예측치는 호지킨 림프종의 특징적 증상으로 간주될 만큼 충분히 높다.[16] 통증은 일반적으로 알코올 섭취 후 몇 분 이내에 시작되며, 일반적으로 관련 림프절이 있는 부위에서 느껴진다.[16] 통증은 날카롭고 찌르는 듯하거나 둔하고 아픈 것으로 묘사되었다.[16]
- 요통: 비특이적 요통(검사나 스캔 기술로 원인을 확인할 수 없는 통증)이 호지킨 림프종의 일부 사례에서 보고되었다. 가장 자주 허리가 영향을 받는다.[17]
- 주기적 발열: 환자는 펠-엡스타인 발열[18] 또는 간단히 "P-E 발열"이라고 알려진 주기적인 고열을 보일 수도 있다. 그러나 P-E 발열이 실제로 존재하는지에 대한 논쟁이 있다.[19]
- 네프로제 증후군은 호지킨 림프종 환자에게 발생할 수 있으며, 가장 흔한 원인은 최소 변화 질환이다.[20]
- 기도 폐쇄, 흉막/심막 삼출, 간세포 기능 장애 또는 골수 침윤이 나타날 수 있다.
5. 진단
호지킨 림프종은 림프절 종대의 비암성 원인(다양한 감염 등) 및 다른 유형의 암과 구분되어야 한다. 확진은 림프절 생검(일반적으로 현미경 검사를 동반한 절제 생검)을 통해 이루어진다. 주요 장기의 기능 및 항암 화학 요법의 안전성을 평가하기 위해 혈액 검사도 시행한다.[21] 양전자 방출 단층 촬영(PET)은 CT 스캔에 나타나지 않는 작은 침착물을 검출하는 데 사용된다. PET 스캔은 또한 기능적 영상(고대사 조직을 영상화하기 위해 방사성 표지된 포도당을 사용)에도 유용하다. 어떤 경우에는 PET 스캔 대신 갈륨 스캔을 사용할 수 있다.[22]
침범된 림프절(대부분 후경부 림프절)은 커지지만, 피막이 침범되지 않기 때문에 모양은 유지된다. 일반적으로 절단면은 흰색 또는 회색이며 균일하다. 일부 조직학적 아형(예: 결절성 경화증)에서는 결절성 양상이 나타날 수 있다.[37]
섬유소 고리 육아종이 관찰될 수 있다. 림프절 생검이 이루어진다. WHO 분류에서는 4가지 종류(림프구 감소형, 림프구 우세형, 결절경화형, 혼합세포형)가 있다.[135] 가장 일반적인 진단 시기는 20세에서 40세 사이이다.
6. 병기
호지킨 림프종 진단 후에는 병기를 결정한다. 이는 신체의 어느 부위가 영향을 받았는지 확인하기 위한 일련의 검사 및 절차를 거치는 것을 의미한다. 이러한 절차에는 조직 검사 결과 기록, 신체 검사, 혈액 검사, 흉부 X선 촬영, 흉부, 복부 및 골반의 컴퓨터 단층 촬영(CT)/양전자 방출 단층 촬영(PET)/자기 공명 영상(MRI) 스캔, 그리고 일반적으로 골수 생검이 포함될 수 있다. 병기 결정에는 현재 갈륨 스캔 대신 PET 스캔을 사용한다. PET 스캔에서 림프종이 있는 부위는 매우 밝게 나타나 정확하고 재현 가능한 영상을 얻을 수 있다.[34] 과거에는 림프관 조영술이나 복강을 열고 종양을 직접 관찰하는 외과적 개복술이 시행되었으나, CT 스캔과 PET 스캔의 영상 기술 향상으로 림프관 조영술이나 개복술은 매우 드물게 시행된다.[17]
이러한 병기 결정을 바탕으로, 환자는 병기 분류 체계에 따라 분류된다:[35]
- I기: 단일 림프절 영역(I)(주로 경부 영역) 또는 단일 림프절 외 부위(Ie)에 병변이 있는 경우.
- II기: 횡격막의 같은 쪽에 있는 두 개 이상의 림프절 영역(II) 또는 하나의 림프절 영역과 인접한 림프절 외 부위(IIe)에 병변이 있는 경우.
- III기: 횡경막의 양쪽에 있는 림프절 영역에 병변이 있는 경우로, 비장(IIIs) 또는 제한적인 인접 림프절 외 장기 또는 부위(IIIe, IIIes)를 포함할 수 있다.
- IV기: 하나 이상의 림프절 외 장기로 전이된 경우.
전신 증상이 없으면 병기에 "A"를 추가하고, 전신 증상이 있으면 "B"를 추가한다. 병기를 진행시키지 않는 병변의 국소적 림프절 외 확장의 경우, 아래첨자 "E"를 추가한다. 비장 병변은 병기에 "S"를 추가한다. "대량 질환"은 "X"로 표시한다.[36]
7. 치료
고전 호지킨 림프종과 결절성 림프구 우세형 호지킨 림프종은 치료 방식이 다르다.[136] 호지킨 림프종은 비호지킨 림프종과 병기가 동일하며, 진단 후에는 병기를 통해 신체의 어느 부위가 영향을 받았는지 확인하는 일련의 검사 및 절차를 거치게 된다.
현재 호지킨 림프종 치료는 림프종과 관련된 급성 및 장기적인 독성(예: 심장 손상 및 이차암)을 줄이고 전체 생존율을 높이는 것을 목표로 한다.[69] 초기 단계(IA 또는 IIA) 환자는 방사선 치료 또는 화학요법으로 효과적으로 치료할 수 있다. 후기 단계(III, IVA 또는 IVB) 환자는 병합 화학요법 단독으로 치료하며, 흉부에 큰 종괴가 있는 모든 단계의 환자는 일반적으로 병합 화학요법과 방사선 치료를 병행한다.[43]
일반적인 비호지킨 림프종 치료제인 리툭시맙은 대부분 CD20 표면 항원이 부족하여 호지킨 림프종 치료에 일반적으로 사용되지 않지만, 림프구 우세형을 포함한 호지킨 림프종에서는 사용이 검토되기도 한다.[47]
고령 환자의 경우, 주요 동반 질환이 없다면 치유 목적의 치료를 충분히 견딜 수 있지만, 젊은 환자에 비해 치료 결과가 좋지 않을 수 있다.[49][50]
최근에는 재발성 및 불응성 호지킨 림프종 환자를 위해 세포독성 성분 MMAE와 결합된 CD30 항체인 브렌툭시맙 베도틴,[51] 면역관문억제제인 니볼루맙과 펨브롤리주맙과 같은 새로운 표적 약물이 개발되었다.[52][53][54][55]
호지킨 림프종의 경우, 방사선 종양학자는 외부 빔 방사선 치료(EBRT)를 사용하며, 고에너지 X선과 전자를 생성하는 선형 가속기를 이용한다. 치료는 통증이 없고 X선 촬영과 유사하며, 각 30분 미만이 소요된다. 암세포를 표적으로 하는 방법에는 병소 방사선, 맨틀 필드 방사선, 역 Y 필드 방사선, 전체 림프절 조사 등이 있다.[56][57]
소아 호지킨 림프종의 경우, 장기적인 내분비계 부작용, 특히 생식선 기능 장애와 성장 지연이 주요 관심사이다.[59] 화학 요법을 받는 환자는 혈소판 수혈이 필요할 수 있으며,[60][61] 재발 치료에 줄기세포 이식이 필요한 경우 이식편대숙주병이 발생할 수 있다.[62]
7. 1. 고전형 호지킨 림프종
고전 호지킨 림프종은 결절성 호지킨 림프종과 치료 방식이 다르다. 호지킨 림프종 진단 후에는 병기를 결정한다. 이는 신체의 어느 부위가 영향을 받았는지 확인하기 위한 일련의 검사 및 절차를 거치는 것을 의미한다. 이러한 절차에는 조직 검사 결과 기록, 신체 검사, 혈액 검사, 흉부 X선 촬영, 흉부, 복부 및 골반의 컴퓨터 단층 촬영(CT)/양전자 방출 단층 촬영(PET)/자기 공명 영상(MRI) 스캔, 그리고 일반적으로 골수 생검이 포함될 수 있다. 현재는 갈륨 스캔 대신 PET 스캔을 사용하여 병기를 결정한다. PET 스캔에서 림프종이 있는 부위는 매우 밝게 나타나 정확하고 재현 가능한 영상을 얻을 수 있다.[34] 과거에는 림프관 조영술이나 외과적 개복술이 시행되었으나, CT 스캔과 PET 스캔의 영상 기술 향상으로 매우 드물게 시행된다.[17]병기 결정에는 Ann Arbor 병기 분류 체계가 일반적으로 사용된다.[35]
- I기: 단일 림프절 영역(주로 경부 영역) 또는 단일 림프절 외 부위에 병변이 있는 경우
- II기: 횡경막의 같은 쪽에 있는 두 개 이상의 림프절 영역 또는 하나의 림프절 영역과 인접한 림프절 외 부위에 병변이 있는 경우
- III기: 횡경막의 양쪽에 있는 림프절 영역에 병변이 있는 경우로, 비장 또는 제한적인 인접 림프절 외 장기 또는 부위를 포함할 수 있다.
- IV기: 하나 이상의 림프절 외 장기로 전이된 경우
전신 증상이 없으면 병기에 "A"를 추가하고, 전신 증상이 있으면 "B"를 추가한다. 병기를 진행시키지 않는 병변의 국소적 림프절 외 확장의 경우, 아래첨자 "E"를 추가한다. 비장 병변은 병기에 "S"를 추가한다. "대량 질환"은 "X"로 표시한다.[36]
현재 호지킨 림프종 치료는 림프종과 관련된 급성 및 장기적인 독성(예: 심장 손상 및 이차암)을 줄이고 전체 생존율을 높이는 것을 목표로 한다.[69]
초기 단계 질환(IA 또는 IIA) 환자는 방사선 치료 또는 화학요법으로 효과적으로 치료할 수 있다. 치료법 선택은 연령, 성별, 종양 크기 및 질병의 조직학적 아형에 따라 달라진다. 화학요법 요법 후 국소 방사선 치료를 추가하면 화학요법 단독 치료와 비교하여 더 긴 무진행 생존 기간을 제공할 수 있다.[42] 후기 질환(III, IVA 또는 IVB) 환자는 병합 화학요법 단독으로 치료한다. 흉부에 큰 종괴가 있는 모든 단계의 환자는 일반적으로 병합 화학요법과 방사선 치료를 병행하여 치료한다.[43]
일반적인 비호지킨 림프종 치료제인 리툭시맙은 대부분의 경우 CD20 표면 항원이 부족하기 때문에 호지킨 림프종 치료에 일반적으로 사용되지 않는다. 림프구 우세 아형을 포함한 호지킨 림프종에서 리툭시맙의 사용이 최근 검토되었다.[47] 니볼루맙이 호지킨 림프종 환자의 전체 생존율에 미치는 영향에 대한 증거는 매우 불확실하다.[48]
고령은 호지킨 림프종의 불리한 위험 요인이지만, 일반적으로 주요 동반 질환이 없는 고령자(≥60세)는 치유 목적의 치료를 충분히 견딜 수 있다. 그럼에도 불구하고 고령 환자의 치료 결과는 젊은 사람들과 비교할 수 없으며, 고령 환자에게는 질병이 다른 실체이며 치료 결정에 다른 고려 사항이 개입된다.[49][50]
최근 재발성 및 불응성 호지킨 림프종 환자를 위한 두 가지 새로운 표적 약물이 개발되었다. 세포독성 성분 MMAE와 결합된 CD30 항체인 브렌툭시맙 베도틴,[51] 그리고 면역관문억제제인 니볼루맙과 펨브롤리주맙이다.[52][53][54][55]
호지킨 림프종의 경우 방사선 종양학자는 일반적으로 외부 빔 방사선 치료(EBRT 또는 XRT)를 사용한다. 방사선 종양학자는 고에너지 X선과 전자를 생성하는 선형 가속기라는 기계를 사용하여 림프종에 외부 빔 방사선 치료를 제공한다. 치료는 통증이 없고 X선 촬영과 비슷하며, 각각 30분 미만이 걸린다.
림프종의 경우 방사선 종양학자가 암세포를 표적으로 하는 몇 가지 다른 방법이 있다. 병소 방사선은 방사선 종양학자가 암이 있는 것으로 알려진 환자 신체 부위에만 방사선을 조사하는 것이다.[56] 이것은 매우 자주 화학요법과 병행된다. 횡격막 위쪽의 목, 가슴 또는 겨드랑이로 방사선 치료를 하는 것을 맨틀 필드 방사선이라고 한다. 횡격막 아래쪽의 복부, 비장 또는 골반에 방사선을 조사하는 것을 역 Y 필드 방사선이라고 한다. 전체 림프절 조사는 치료사가 신체의 모든 림프절에 방사선을 조사하여 전이될 수 있는 세포를 파괴하는 것이다.[57]
ABVD 요법 4코스 후, 진행례 이외에는 방사선 국소 조사(involved field radiation therapy; IFRT) 30Gy가 표준으로 여겨진다. 부피가 큰 병변이 없는 경우에는 ABVD 요법 6코스를 시행하고 방사선 조사를 생략하는 것도 선택이 될 수 있다. 예후가 좋은 군에 대해서는 치료 독성 감소를 위해 ABVD 요법 2코스 + IFRT 20Gy가 선택이 될 수 있다. ABVD 요법 6회에서 8회가 표준 치료가 된다. 다만, “6회에서 8회”의 의미는 확산성 거대 B세포 림프종과 달리 “4회까지 완전 관해가 되면 6회로 종료, 6회에서 완전 관해가 되면 8회로 종료”라는 의미이다. ABVD 요법 이외의 선택지로는 블레오마이신 대신 브렌툭시맙 베도틴(BV)을 사용하는 BV 병용 AVD 요법 6회도 진행기 대한 표준 치료가 된다.
진행기에서는 예후 인자로 치료 방법을 바꾸는 근거는 없다. 화학 요법의 효과가 부분 관해인 경우에는 추가 치료로 방사선 조사가 고려된다. 완전 관해에 이른 경우 방사선 조사를 하는 것은 권장되지 않는다.
7. 2. 결절성 림프구 우세형 호지킨 림프종
결절성 림프구 우세형 호지킨 림프종은 고전적 호지킨 림프종과 치료 방식이 다르다. 방사선 국소 조사 단독이 표준으로 여겨지는데, 이는 고전적 호지킨 림프종과 달리 방사선 국소 조사만으로도 방사선 광범위 조사나 항암 화학 요법을 병용한 방사선 조사와 치료 성적에 큰 차이가 없기 때문이다.[138][139] 표준 치료법은 확립되어 있지 않으며, 고전적 호지킨 림프종에 준하는 경우가 많다.7. 3. 재발/불응성 호지킨 림프종
고전 호지킨 림프종과 결절성 호지킨 림프종은 치료 방식이 다르다.[63] 혈액암(예: 호지킨 림프종) 성인 환자의 표준 치료에 운동을 추가하면 사망률, 삶의 질, 신체 기능에 거의 또는 전혀 차이가 없을 수 있다. 이러한 운동은 우울증을 약간 감소시킬 수 있으며, 유산소 운동은 피로를 줄이는 데 도움이 될 가능성이 높다. 불안 및 심각한 부작용에 대한 영향에 대한 증거는 매우 불확실하다.[63]브렌툭시마브 베도틴(Brentuximab vedotin), 니볼루마브(Nivolumab), 펨브롤리주맙(Pembrolizumab)의 효과가 나타났다. 그 외 비호지킨 림프종의 재발·난치례에 사용되는 치료법(ESHAP 요법[140] 등)이 사용된다. 젊은 환자라면 고용량 화학요법 병용 자가 말초혈액 줄기세포 이식도 선택지로 고려될 수 있다.
- 일본에서는 2014년 1월 (CD30 양성) 재발·난치성 호지킨 림프종에 대한 치료제로 브렌툭시마브 베도틴(Brentuximab vedotin)이 제조 허가되었다. 해외에서 실시된 2상 시험(SG035-0003 시험) 결과는 효과율 75%였다.[141]
- 종양 세포는 T세포의 면역 반응에 제동을 거는 PD-1 리간드(PD-L1)의 생성이 항진되어 있으며, 면역에 의한 배제를 회피하고 있다. 항PD-1 항체인 니볼루마브(Nivolumab)는 재발·난치성 호지킨 림프종을 대상으로 한 2상 시험에서 전체 효과율 87%, 완전 관해율 13%, 24주 시점의 무진행 생존율 86%로 높은 치료 효과가 인정되었다.[142] 2016년 12월, 재발 또는 난치성 고전적 호지킨 림프종에 대해 니볼루마브(Nivolumab)가 적응 승인되었다.[143]
8. 예후
호지킨 림프종 치료는 지난 수십 년 동안 개선되어 왔다. 최근 새로운 유형의 화학요법을 사용한 임상 시험에서 높은 생존율이 나타났다. 2007년 유럽 임상 시험에서 예후가 좋은 환자(FFP)의 5년 생존율은 98%였으며, 예후가 좋지 않은 환자의 경우 최소 85%였다.[64]
1998년 국제적인 노력을 통해[65] 국소 진행성 또는 진행성 호지킨 림프종 환자에서 기존 치료의 성공률을 예측하는 7가지 예후 인자가 확인되었다. 5년 무진행 생존율(FFP)은 환자에게 존재하는 인자의 수와 직접적인 관련이 있었다. 인자가 0개인 환자의 5년 FFP는 84%였다. 추가되는 각 인자마다 5년 FFP 비율이 7%씩 감소하여, 인자가 5개 이상인 환자의 5년 FFP는 42%였다.[66]
국제 연구에서 확인된 불량 예후 인자는 다음과 같다.
다른 연구에서는 혼합 세포성 또는 림프구 고갈성 조직학, 남성, 많은 림프절 병소, 진행된 병기, 40세 이상, B 증상(발열, 체중 감소, 야간 발한)의 존재, 높은 적혈구 침강 속도 및 덩어리 질환(종격동 확장이 3분의 1 이상이거나 어떤 차원에서든 10cm 이상의 림프절 종괴가 있는 경우)이 가장 중요한 불량 예후 인자임을 보고했다.[67]
최근에는 화학요법 시작 후 조기에 양전자 방출 단층촬영(PET)을 사용하는 것이 강력한 예후 능력을 가지고 있음을 보여주었다.[68] 이를 통해 반응하는 환자의 경우 PET 활동이 빠르게 감소함에 따라 화학요법에 대한 개인의 반응을 평가할 수 있다. 이 연구에서 ABVD 화학요법 2주기 후, PET 음성인 환자의 83%가 3년 후 질병이 없었던 반면, PET 양성인 환자는 28%에 불과했다. 이 예후 방법은 7가지 기존 인자에 기반한 FFP 추정치를 개선한다. 반응하지 않는 환자에게 화학요법을 조기에 변경하여 환자의 결과를 개선할 수 있는지 여부를 확인하기 위해 여러 임상 시험이 진행 중이다.
호지킨 림프종 환자의 중간 PET 스캔 결과(음성 = 양호한 예후, 양성 = 불량한 예후)가 무진행 생존율에 미치는 영향에 대한 증거는 매우 불확실하다. 조정된 결과를 측정한 경우와 비교하여 중간 PET 스캔 결과가 음성이면 무진행 생존율이 증가할 수 있다. 중간 PET 스캔 결과가 음성이면 중간 PET 스캔 결과가 양성인 환자와 비교하여 전체 생존율이 크게 증가하는 것으로 나타났다.[69]
9. 역학
비호지킨 림프종과는 달리 호지킨 림프종은 이봉형 곡선을 보인다. 즉, 15~35세 사이의 젊은 층과 55세 이상의 두 연령대에서 가장 흔하게 발생한다. 다만 이러한 발생 양상은 국가에 따라 다소 차이를 보일 수 있다.[71] 전체적으로는 남성에게 더 흔하지만, 결절 경화 변이형은 여성에게서 더 많이 발생한다. 호지킨 림프종의 연간 발생률은 인구 10만 명당 2.7명이며, 이는 전체 암 발생의 1% 미만을 차지한다.[72]
2010년에는 전 세계적으로 약 18,000명이 호지킨 림프종으로 사망했으며, 이는 1990년의 19,000명보다 감소한 수치이다.[73] 2012년 전 세계적으로 호지킨 림프종 환자 수는 65,950명, 사망자 수는 25,469명으로 추정되었으며, 선진국(28,852건)과 개발도상국(37,098건)에서 발생했다.[74] 그러나 연령 표준화 발생률은 선진국에서 더 높았으며, 아메리카 지역(10만 명당 1.5명), 동지중해 지역(10만 명당 1.5명), 유럽(10만 명당 2.0명) 순으로 높게 나타났다.[74] 동지중해 지역은 또한 10만 명당 1.0명으로 가장 높은 연령 표준화 사망률을 보였는데, 이는 흡연, 비만, 신체 활동 부족, 생식 행동과 같은 생활 습관 및 환경적 위험 요인과 진단 관행의 가용성, 질병에 대한 인식 부족 등에 기인한다.[74]
HIV 감염 환자에게서 호지킨 림프종 발생률이 증가한다.[75] HIV 감염과 관련된 다른 많은 림프종과는 달리, 호지킨 림프종은 CD4 양성 T세포 수가 더 많은 사람에게서 가장 흔하게 발생한다.
영국에서는 호지킨 림프종이 전체 암 환자 및 사망자의 1% 미만을 차지한다. 2011년에는 약 1,800명이 이 질병을 진단받았고, 2012년에는 약 330명이 사망했다.[77] 2016년 미국에서는 새로운 환자 수가 8,389명, 사망자 수가 1,000명으로, 2015년의 8,625명, 1,120명에 비해 감소했다.[78] 2016년 1월 1일 기준, 호지킨 림프종의 5년 제한 유병률은 37,513명으로, 미국에서 진단된 모든 암의 0.71%를 차지했다.[78] 일본에서는 모든 악성 림프종의 약 10%를 차지하며, 전 세계적으로는 발생률이 낮다.
- 데이터 없음
- 1.8 미만
- 1.8~3.6
- 3.6~5.4
- 5.4~7.2
- 7.2~9
- 9~10.8
- 10.8~12.6
- 12.6~14.4
- 14.4~16.2
- 16.2~18
- 18~19.8
- 19.8 이상
10. 유명 사례
다음은 호지킨 림프종을 앓았던 유명인 사례이다.
참조
[1]
서적
Lecture Notes: Oncology
https://books.google[...]
Wiley
2011
[2]
학술지
On some morbid experiences of the absorbent glands and spleen
[3]
웹사이트
Adult Hodgkin Lymphoma Treatment (PDQ) – Patient Version
http://www.cancer.go[...]
2016-08-03
[4]
서적
World Cancer Report 2014
World Health Organization
2014
[5]
학술지
Hodgkin's lymphoma and its association with EBV and HIV infection
2018-03-01
[6]
학술지
Epstein-Barr virus (EBV)-associated lymphoid proliferations, a 2018 update
2018-09-01
[7]
웹사이트
Adult Hodgkin Lymphoma Treatment (PDQ) – Patient Version
http://www.cancer.go[...]
2016-08-03
[8]
학술지
Childhood and adolescent cancer statistics, 2014
2014
[9]
학술지
Early-stage Hodgkin's lymphoma
2010-08-01
[10]
학술지
Global, regional, and national incidence, prevalence, and years lived with disability for 310 diseases and injuries, 1990–2015: a systematic analysis for the Global Burden of Disease Study 2015
2016-10-01
[11]
학술지
Global, regional, and national life expectancy, all-cause mortality, and cause-specific mortality for 249 causes of death, 1980–2015: a systematic analysis for the Global Burden of Disease Study 2015
2016-10-01
[12]
웹사이트
SEER Stat Fact Sheets: Hodgkin Lymphoma
http://seer.cancer.g[...]
2016-04-01
[13]
학술지
Hodgkin Lymphoma: Diagnosis and Treatment
2015-11-01
[14]
웹사이트
Hodgkin Lymphoma
http://www.merck.com[...]
2008-07-01
[15]
학술지
Alcohol-related pain and Hodgkin's disease
1983-06-01
[16]
서적
Cancer: A Comprehensive Clinical Guide
https://books.google[...]
Taylor & Francis
[17]
웹사이트
Hodgkin Lymphoma
https://www.lecturio[...]
[18]
서적
Hodgkin's disease
Lippincott Williams & Wilkins
[19]
학술지
Pel-Ebstein fever
1995-07-01
[20]
학술지
Occurrence of minimal change nephrotic syndrome in classic Hodgkin lymphoma is closely related to the induction of c-mip in Hodgkin-Reed Sternberg cells and podocytes
2010-05-01
[21]
웹사이트
Hodgkin Lymphoma Diagnosis {{!}} Tests for Hodgkin Lymphoma
https://www.cancer.o[...]
[22]
학술지
Feasibility of blood testing combined with PET-CT to screen for cancer and guide intervention
2020-07-03
[23]
학술지
Guidelines for the investigation and management of nodular lymphocyte predominant Hodgkin lymphoma
2016-01-01
[24]
학술지
From Hodgkin disease to Hodgkin lymphoma: biologic insights and therapeutic potential
https://ashpublicati[...]
2005-06-15
[25]
학술지
Hodgkin lymphoma
https://linkinghub.e[...]
2013-02-01
[26]
학술지
Epstein-Barr virus-associated Hodgkin's lymphoma: Review
2004-05-01
[27]
웹사이트
HMDS: Hodgkin's Lymphoma
http://www.hmds.org.[...]
[28]
학술지
Biology of Hodgkin's lymphoma
[29]
학술지
Molecular biology of Hodgkin's and Reed/Sternberg cells in Hodgkin's lymphoma
2006-04-01
[30]
학술지
Rare expression of T-cell markers in classic Hodgkin's lymphoma
2005-12-01
[31]
학술지
Aberrant expression of the Th2 cytokine IL-21 in Hodgkin lymphoma cells regulates STAT3 signaling and attracts Treg cells via regulation of MIP-3alpha
2008-10-01
[32]
서적
WHO classification of tumours of haematopoietic and lymphoid tissues
International Agency for Research on Cancer, World Health Organization
2017-09-18
[33]
학술지
Hodgkin Lymphoma: Diagnosis and Treatment
[34]
학술지
Observer variation in interpreting 18F-FDG PET/CT findings for lymphoma staging
2009-10-01
[35]
서적
PDQ Cancer Information Summaries [Internet]
2022-04-08
[36]
논문
Non-Hodgkin Lymphoma
http://www.ncbi.nlm.[...]
StatPearls Publishing
2022-11-09
[37]
서적
TUMORS OF HEMATOPOIETIC AND LYMPHOID TISSUES
https://www.ncbi.nlm[...]
The Publishing House of the Romanian Academy
2007-00-00
[38]
학술지
Epstein-Barr virus and the origin of Hodgkin lymphoma
2014-12-00
[39]
학술지
Genomic analyses of flow-sorted Hodgkin Reed-Sternberg cells reveal complementary mechanisms of immune evasion
2019-12-00
[40]
논문
Reed Sternberg Cells
http://www.ncbi.nlm.[...]
StatPearls Publishing
2022-11-09
[41]
웹사이트
Hodgkin lymphoma
https://www.nhs.uk/c[...]
2021-07-25
[42]
학술지
Chemotherapy alone versus chemotherapy plus radiotherapy for adults with early stage Hodgkin lymphoma
2017-04-00
[43]
학술지
Combined chemo-radiotherapy in locally advanced nasopharyngeal carcinomas
2013-05-10
[44]
학술지
ABVD versus modified stanford V versus MOPPEBVCAD with optional and limited radiotherapy in intermediate- and advanced-stage Hodgkin's lymphoma: final results of a multicenter randomized trial by the Intergruppo Italiano Linfomi
2005-12-00
[45]
학술지
Stanford V program for locally extensive and advanced Hodgkin lymphoma: the Memorial Sloan-Kettering Cancer Center experience
2010-03-00
[46]
웹사이트
Home | German Hodgkin Study Group
http://ghsg.org/en/
Ghsg.org
2012-08-26
[47]
학술지
Rituximab in Hodgkin lymphoma: is the target always a hit?
2011-08-00
[48]
학술지
Rituximab in lymphocyte-predominant Hodgkin disease: results of a phase 2 trial
2003-06-01
[49]
학술지
Hodgkin lymphoma in elderly patients
2018-09-00
[50]
학술지
Hodgkin's lymphoma in the elderly: a different disease in patients over 60
http://www.cancernet[...]
2007-07-00
[51]
학술지
Hodgkin's lymphoma in adults
2012-09-00
[52]
학술지
Hodgkin lymphoma: 2014 update on diagnosis, risk-stratification, and management: Hodgkin lymphoma
2014-07-00
[53]
학술지
Hodgkin lymphoma
http://dx.doi.org/10[...]
2012-10-01
[54]
학술지
Hodgkin's lymphoma: ESMO Clinical Practice Guidelines for diagnosis, treatment and follow-up
http://dx.doi.org/10[...]
2014-09-00
[55]
학술지
Brentuximab vedotin: An anti-CD30 antibody–drug conjugate
http://dx.doi.org/10[...]
2013-04-01
[56]
학술지
Modern radiation therapy for Hodgkin lymphoma: field and dose guidelines from the international lymphoma radiation oncology group (ILROG)
2014-07-00
[57]
웹사이트
RTanswers.com
http://www.rtanswers[...]
RTanswers.com
2012-08-26
[58]
학술지
Strategies for optimizing the response of cancer and normal tissues to radiation
2013-00-00
[59]
학술지
Long-term endocrine side effects of childhood Hodgkin's lymphoma treatment: a review
[60]
학술지
Prophylactic platelet transfusion for prevention of bleeding in patients with haematological disorders after chemotherapy and stem cell transplantation
2012-05-00
[61]
학술지
Comparison of different platelet count thresholds to guide administration of prophylactic platelet transfusion for preventing bleeding in people with haematological disorders after myelosuppressive chemotherapy or stem cell transplantation
2015-11-00
[62]
학술지
Mesenchymal stromal cells as treatment or prophylaxis for acute or chronic graft-versus-host disease in haematopoietic stem cell transplant (HSCT) recipients with a haematological condition
2019-01-00
[63]
학술지
Aerobic physical exercise for adult patients with haematological malignancies
2019-01-00
[64]
학술지
Chemotherapy plus involved-field radiation in early-stage Hodgkin's disease
2007-11-00
[65]
학술지
A prognostic score for advanced Hodgkin's disease. International Prognostic Factors Project on Advanced Hodgkin's Disease
1998-11-00
[66]
학술지
Decreased Prognostic Value of International Prognostic Score in Chinese Advanced Hodgkin Lymphoma Patients Treated in the Contemporary Era
2016-12-05
[67]
학술지
Chemotherapy alone or combined chemotherapy and involved field radiotherapy in favorable risk early-stage classical Hodgkin lymphoma-a 10 years experience
2016-00-00
[68]
학술지
International validation study for interim PET in ABVD-treated, advanced-stage hodgkin lymphoma: interpretation criteria and concordance rate among reviewers
2013-05-00
[69]
학술지
Interim PET-results for prognosis in adults with Hodgkin lymphoma: a systematic review and meta-analysis of prognostic factor studies
2020-01-00
[70]
웹사이트
WHO Disease and injury country estimates
https://www.who.int/[...]
2009-11-11
[71]
서적
Hodgkin's Disease
Lippincott Williams & Wilkins
[72]
웹사이트
SEER Stat Fact Sheets: Leukemia
http://seer.cancer.g[...]
2014-08-18
[73]
논문
Global and regional mortality from 235 causes of death for 20 age groups in 1990 and 2010: a systematic analysis for the Global Burden of Disease Study 2010
https://zenodo.org/r[...]
2012-12
[74]
논문
Epidemiological Overview of Hodgkin Lymphoma across the Mediterranean Basin
2014-06-29
[75]
논문
Hodgkin lymphoma and immunodeficiency in persons with HIV/AIDS
2006-12
[76]
웹사이트
Canadian Cancer Statistics
http://www.cancer.ca[...]
2018-02-08
[77]
웹사이트
Hodgkin lymphoma statistics
http://www.cancerres[...]
2014-10-27
[78]
웹사이트
Lymphoma CDC
https://www.cdc.gov/[...]
2019-01-16
[79]
서적
Hodgkin Lymphoma
Wolters Kluwer Health/Lippincott Williams & Wilkins
[80]
논문
The original illustrations of Hodgkin's disease
1999-12
[81]
논문
Comments on the anniversary of the description of Hodgkin's disease
1984-08
[82]
웹사이트
Microsoft co-founder Paul Allen diagnosed with cancer
http://edition.cnn.c[...]
CNN
2017-12-23
[83]
웹사이트
Eric Berry has Hodgkin's lymphoma
https://www.espn.com[...]
ESPN
2014-12-08
[84]
웹사이트
Bournemouth midfielder David Brooks diagnosed with cancer
https://www.skysport[...]
Sky Sports
2021-10-13
[85]
웹사이트
Dale Carnagie at Biography.com
https://www.biograph[...]
2024-02-06
[86]
웹사이트
Dale Carnagie page: strategies for influence
https://strategiesfo[...]
2024-02-06
[87]
서적
Book: Words that Shaped our World, ref to Dale Carnagie+death
https://books.google[...]
Sound Wisdom
2024-02-06
[88]
서적
Howard Carter: The Path to Tutankhamun
https://books.google[...]
Tauris Parke Paperbacks
[89]
ODNB
[90]
뉴스
Teen, court reach agreement over cancer care
http://www.nbcnews.c[...]
NBC News
2006-09-05
[91]
웹사이트
James Conner Announces Cancer Diagnosis
http://www.pittsburg[...]
[92]
웹사이트
Childhood Cancer Research Program—Michael Cuccione Foundation
http://www.childhood[...]
www.childhoodcancerresearch.org
[93]
문서
Michael Cuccione
[94]
웹사이트
Victoria Duval battling cancer
https://www.espn.com[...]
2014-07-04
[95]
웹사이트
Gerald Finzi biography
http://www.geraldfin[...]
[96]
뉴스
Vá, hvað get ég gert meira?
https://timarit.is/p[...]
2015-10-16
[97]
뉴스
Ótrúleg endurkoma eftir röð áfalla
https://www.ruv.is/f[...]
2020-10-11
[98]
잡지
Delta Goodrem Hospitalized With Cancer
https://www.billboar[...]
2003-07-14
[99]
Youtube
So, I've got cancer
https://www.youtube.[...]
2023-05-19
[100]
Youtube
Remission
https://www.youtube.[...]
2023-08-25
[101]
서적
Nevyjasněná úmrtí V
The World Circle Foundation
[102]
웹사이트
Cancer-Free Michael C. Hall Back to Work on Dexter—Health, Dexter, Michael C. Hall
http://www.people.co[...]
2010-07-23
[103]
웹사이트
Lionhearted—Death, Richard Harris
http://www.people.co[...]
[104]
뉴스
Minnesota: Evaluation Ordered for a 13-Year-Old With Cancer
https://www.nytimes.[...]
2009-05-16
[105]
웹사이트
Tessa James reveals she is in remission
https://au.news.yaho[...]
Yahoo! News Australia
[106]
뉴스
Comedian Sean Kent laughs off hecklers, cancer to stay on road
https://www.columbia[...]
2023-05-19
[107]
뉴스
Funnyman Sean Kent winning fight vs. cancer
https://www.tahoedai[...]
2023-05-19
[108]
웹사이트
Mario Lemieux Foundation
http://www.mariolemi[...]
2013-04-11
[109]
웹사이트
Dinu Lipatti: Prince of Pianists
http://www.markainle[...]
markainley.com
2002
[110]
뉴스
Cancer fight gives Lisowski new angle on life
https://www.telegrap[...]
[111]
문서
Mamta Mohandas
[112]
웹사이트
FILM; An Italian Satirist Takes a Very Serious Turn
https://www.nytimes.[...]
2002
[113]
웹사이트
Denver health care activist speaking at Democratic convention
https://www.denverpo[...]
Denver Post
2020-08-18
[114]
웹사이트
Nikola Pokrivač: Nema predaje, sve ću podnijeti za ženu i kćer
https://www.vecernji[...]
2017-06-08
[115]
웹사이트
Emma: Anthony Rizzo's Indelible Impact
http://chicago.cbslo[...]
CBS Chicago
2014-05-08
[116]
웹사이트
'04 Red Sox hero Roberts treated for lymphoma
https://www.espn.com[...]
2010-05-03
[117]
뉴스
Chip Roy's plan to get Washington out of the way includes going there himself
https://www.expressn[...]
ExpressNews.com
2018-05-13
[118]
웹사이트
Minnesota Timberwolves Say Head Coach Flip Saunders Has Died
https://abcnews.go.c[...]
abc.go.com
2015-10-25
[119]
웹사이트
Specter diagnosed with Hodgkin's disease
https://www.cnn.com/[...]
CNN
2005-02-16
[120]
뉴스
Brandon Tartikoff, Former NBC Executive Who Transformed TV in the 80's, Dies at 48
https://www.nytimes.[...]
1997-08-28
[121]
웹사이트
Portuguese midfielder Bernardo Tengarrinha diagnosed with linfoma de Hodgkin
https://www.abola.pt[...]
2021-10-30
[122]
웹사이트
Ethan Zohn is a survivor in more ways than one
http://articles.chic[...]
2014-06-18
[123]
뉴스
Richard Holliday completes cancer treatment
https://www.postwres[...]
2023-02-17
[124]
웹사이트
Home
http://www.rickczapl[...]
2023-09-30
[125]
서적
Lecture Notes: Oncology
https://books.google[...]
John Wiley & Sons
2011
[126]
간행물
On some morbid experiences of the absorbent glands and spleen
[127]
웹사이트
Adult Hodgkin Lymphoma Treatment (PDQ®)–Patient Version
http://www.cancer.go[...]
2016-08-03
[128]
서적
World Cancer Report 2014
World Health Organization
2014
[129]
웹사이트
Adult Hodgkin Lymphoma Treatment (PDQ®)–Patient Version
http://www.cancer.go[...]
2016-08-03
[130]
간행물
Childhood and adolescent cancer statistics, 2014.
http://onlinelibrary[...]
2014
[131]
간행물
Early-stage Hodgkin's Lymphoma
http://www.nejm.org/[...]
2010-08
[132]
웹사이트
WHO Disease and injury country estimates
http://www.who.int/h[...]
[133]
간행물
Global, regional, and national incidence, prevalence, and years lived with disability for 301 acute and chronic diseases and injuries in 188 countries, 1990-2013: a systematic analysis for the Global Burden of Disease Study 2013.
2015-08-22
[134]
간행물
Global, regional, and national age-sex specific all-cause and cause-specific mortality for 240 causes of death, 1990-2013: a systematic analysis for the Global Burden of Disease Study 2013.
2015-01-10
[135]
웹사이트
SEER Stat Fact Sheets: Hodgkin Lymphoma
http://seer.cancer.g[...]
2016-04
[136]
웹사이트
ホーム|造血器腫瘍診療ガイドライン 2018年版補訂版|一般社団法人 日本血液学会
http://www.jshem.or.[...]
[137]
간행물
Chemotherapy of advanced Hodgkin's disease with MOPP, ABVD, or MOPP alternating with ABVD.
[138]
간행물
Extended field radiotherapy, combined modality treatment or involved field radiotherapy for patients with stage IA lymphocyte-predominant Hodgkin's lymphoma: a retrospective analysis from the German Hodgkin Study Group (GHSG).
[139]
간행물
Clinical presentation, course, and prognostic factors in lymphocyte-predominant Hodgkin's disease and lymphocyte-rich classical Hodgkin's disease: report from the European Task Force on Lymphoma Project on Lymphocyte-Predominant Hodgkin's Disease.
[140]
간행물
ESHAP is an active regimen for relapsing Hodgkin's disease.
[141]
웹사이트
アドセトリス®点滴静注用50mg「タケダ」 薬剤添付文書
http://www.takedamed[...]
武田薬品工業株式会社
2014-03-28
[142]
논문
PD-1 Blockade with Nivolumab in Relapsed or Refractory Hodgkin's Lymphoma
[143]
웹사이트
オプジーボ®点滴静注(一般名:ニボルマブ)国内において再発又は難治性の古典的ホジキンリンパ腫に対する効能・効果の追加承認取得
https://www.bms.com/[...]
小野薬品工業、ブリストル・マイヤーズ スクイブ
2016-12-09
[144]
서적
Scientific Style and Format: The CBE Manual for Authors, Editors, and Publishers
https://books.google[...]
Cambridge University Press
본 사이트는 AI가 위키백과와 뉴스 기사,정부 간행물,학술 논문등을 바탕으로 정보를 가공하여 제공하는 백과사전형 서비스입니다.
모든 문서는 AI에 의해 자동 생성되며, CC BY-SA 4.0 라이선스에 따라 이용할 수 있습니다.
하지만, 위키백과나 뉴스 기사 자체에 오류, 부정확한 정보, 또는 가짜 뉴스가 포함될 수 있으며, AI는 이러한 내용을 완벽하게 걸러내지 못할 수 있습니다.
따라서 제공되는 정보에 일부 오류나 편향이 있을 수 있으므로, 중요한 정보는 반드시 다른 출처를 통해 교차 검증하시기 바랍니다.
문의하기 : help@durumis.com
