폐렴
"오늘의AI위키"의 AI를 통해 더욱 풍부하고 폭넓은 지식 경험을 누리세요.
1. 개요
폐렴은 폐에 염증이 생기는 질환으로, 세균, 바이러스, 곰팡이 등 다양한 원인에 의해 발생하며 기침, 발열, 호흡 곤란 등의 증상을 동반한다. 감염성 폐렴은 세균성, 바이러스성, 진균성으로 나뉘며, 비감염성 폐렴도 존재한다. 진단은 흉부 X선 사진과 신체 검사를 통해 이루어지며, 심각도에 따라 항생제, 항바이러스제, 또는 입원 치료가 필요하다. 예방을 위해서는 예방 접종, 금연, 위생 관리 등이 중요하며, 합병증으로는 농흉, 폐농양, ARDS, 패혈증 등이 있다. 폐렴은 전 세계적으로 흔하며 주요 사망 원인 중 하나이며, 특히 어린이와 노인에게서 발병률이 높다.
더 읽어볼만한 페이지
- 폐렴 - 흡인성 폐렴
흡인성 폐렴은 구강이나 위 내용물이 폐로 흡인되어 발생하는 폐렴으로, 연하 기능 장애, 의식 저하, 불량한 구강 위생 등이 주요 원인이며, 고령자에게 흔하게 발생하고 높은 입원 사망률과 재발 위험을 가진다. - 폐렴 - 바이러스성 폐렴
바이러스성 폐렴은 인플루엔자 바이러스 등 바이러스 감염으로 발생하는 폐렴으로, 발열, 기침 등의 증상이 나타나며, 백신 접종을 통해 예방하고 항바이러스제 투여 및 대증 치료를 통해 치료한다. - 코로나바이러스 감염증 - 코로나바이러스감염증-19
코로나바이러스감염증-19(COVID-19)는 SARS-CoV-2 코로나바이러스에 의해 발생하며, 2019년 중국 우한에서 시작되어 전 세계적으로 유행했고, 발열, 기침, 호흡 곤란 등의 증상을 유발하며 사회적 거리두기, 마스크 착용, 백신 접종 등으로 예방하고, 덱사메타손 등 약물로 치료한다. - 코로나바이러스 감염증 - 감기
감기는 다양한 바이러스에 의해 발생하는 상기도 감염으로, 기침, 콧물, 재채기 등의 증상이 나타나며, 특별한 치료법은 없고 증상 완화를 위한 대증요법을 사용한다. - 질병 및 장애에 관한 - 야맹증
야맹증은 어두운 곳에서 시력 저하를 보이는 증상으로, 유전 질환, 비타민 A 결핍, 망막 질환, 약물 복용 등 다양한 원인으로 발생하며, 비타민 A 보충 등으로 치료한다. - 질병 및 장애에 관한 - 중독
중독은 유해 물질 노출로 신체적, 정신적 건강에 해로운 영향을 미치는 상태로, 급성·만성, 외인성·내인성으로 분류되며, 다양한 물질이 원인이 될 수 있으므로 예방을 위해 안전 수칙 준수와 응급 처치가 중요하다.
| 폐렴 | |
|---|---|
| 기본 정보 | |
![]() | |
| 동의어 | 폐장염 |
| 분야 | 호흡기학, 감염병 |
| 증상 | 기침, 호흡 곤란, 가슴 통증, 발열 |
| 지속 시간 | 몇 주 |
| 원인 | 세균, 바이러스, 흡인성 폐렴 |
| 위험 요인 | 낭포성 섬유증, 만성 폐쇄성 폐질환, 겸상 적혈구병, 천식, 당뇨병, 심부전, 흡연 경력, 매우 어린 나이, 고령 |
| 진단 | 증상 기반, 흉부 X선 |
| 감별 진단 | 만성 폐쇄성 폐질환, 천식, 폐부종, 폐색전증 |
| 예방 | 백신, 손 씻기, 금연 |
| 치료 | 항생제, 항바이러스제, 산소 요법 |
| 발병 빈도 | 매년 4억 5천만 건 (7%) |
| 사망자 수 | 매년 4백만 명 |
| 질병 데이터베이스 | |
| DiseasesDB | 10166 |
| ICD10 | , , , , , , , |
| ICD9 | -, |
| MedlinePlus | 000145 |
| eMedicineSubj | search |
| eMedicineTopic | pneumonia |
| MeshID | D011014 |
| 한국어 외 표기 | |
| 문화어 | 페염 |
| 추가 정보 | |
| 참고 | 폐렴이라는 용어는 때때로 자가 면역 질환, 화학적 화상, 특정 약물로 인한 폐의 염증을 포함한 모든 상태에 더 넓게 적용되지만, 이러한 염증은 더 정확하게는 폐렴염이라고 한다. |
2. 원인
폐렴은 다양한 원인에 의해 발생할 수 있으며, 크게 감염성 원인과 비감염성 원인으로 나뉜다.
폐렴 위험을 높이는 요인으로는 흡연, 면역 결핍, 알코올 중독, 만성 폐쇄성 폐 질환, 겸상 적혈구 빈혈(SCD), 천식, 만성 신장 질환, 간 질환, 노화 등이 있다.[140][25][12] 어린이의 경우 모유 수유를 하지 않거나, 담배 연기 등 대기 오염에 노출되거나, 영양 실조 및 빈곤 상태에 있으면 폐렴 위험이 커진다.[26] 프로톤 펌프 억제제나 H2 차단제와 같은 위산 억제제 사용도 폐렴 위험 증가와 관련이 있다.[27]
인공호흡기 치료를 받는 사람들의 약 10%는 인공호흡기 관련 폐렴이 발생하고,[28] 위관 영양을 하는 사람들은 흡인성 폐렴 발생 위험이 증가한다.[29] 영양 튜브가 잘못된 위치에 있으면 흡인성 폐렴으로 이어질 수 있는데, 튜브 위치 오류의 28%가 폐렴을 유발한다.[30][31] Avanos Medical의 영양 튜브 위치 확인 시스템인 CORTRAK* 2 EAS는 2022년 5월 FDA에 의해 폐렴을 포함한 부작용 보고로 리콜되었으며, FDA 발표에 따르면 총 60건의 부상과 23명의 환자 사망을 초래했다.[32][33][34] FER 유전자의 특정 변이가 있는 사람들은 폐렴으로 인한 패혈증 사망 위험이 감소하지만, TLR6 변이가 있는 사람들은 레지오넬라증 감염 위험이 증가한다.[78]
2. 1. 감염성 원인

폐렴은 주로 세균이나 바이러스 감염에 의해 발생하며, 덜 흔하게는 곰팡이와 기생충에 의해 발생한다. 100가지 이상의 감염성 병원체가 확인되었지만, 대부분의 경우는 몇 가지 병원체만이 원인이 된다. 바이러스와 세균의 혼합 감염은 어린이의 약 45%, 성인의 약 15%에서 발생할 수 있다.[16] 신중한 검사에도 불구하고 약 절반의 경우 원인 병원체를 분리할 수 없다.[19]
2010년 1월부터 2012년 6월까지 시카고와 내슈빌의 5개 병원에서 입원이 필요한 지역사회 획득 폐렴에 대한 활동적인 인구 기반 감시 결과, 폐렴의 방사선학적 증거와 원인 병원체를 검사할 수 있는 검체가 있는 환자 2259명이 확인되었다.[24] 대부분의 환자(62%)는 검체에서 검출 가능한 병원체가 없었으며, 호흡기 바이러스가 세균보다 더 자주 검출되었다.[24] 구체적으로, 23%는 하나 이상의 바이러스를, 11%는 하나 이상의 세균을, 3%는 세균성 및 바이러스성 병원체를 모두 가지고 있었고, 1%는 진균 또는 항산균 감염을 가지고 있었다. 가장 흔한 병원체는 인간 라이노바이러스(9%), 인플루엔자 바이러스(6%), ''Streptococcus pneumoniae''(5%)였다.[24]

세균은 세균성 폐렴(CAP)의 가장 흔한 원인이며, 약 50%의 경우 ''폐렴구균(Streptococcus pneumoniae)''이 분리된다.[72][35] 다른 흔하게 분리되는 세균으로는 ''인플루엔자 균(Haemophilus influenzae)''(20%), ''폐렴 클라미디아(Chlamydophila pneumoniae)''(13%), ''폐렴 마이코플라스마(Mycoplasma pneumoniae)''(3%)가 있다.[72] ''황색포도상구균(Staphylococcus aureus)'', ''카타르 막스균(Moraxella catarrhalis)'', ''레지오넬라 뉴모필라(Legionella pneumophila)''도 포함된다.[19] 약물 내성 폐렴구균(DRSP)과 메티실린 내성 황색포도상구균(MRSA)을 포함한 약물 내성 균주들이 점점 더 흔해지고 있다.[140]
미생물 확산은 특정 위험 요인에 의해 촉진된다.[19] 알코올 중독은 ''폐렴구균'', 혐기성 미생물, ''결핵균(Mycobacterium tuberculosis)''과 관련이 있으며, 흡연은 ''폐렴구균'', ''인플루엔자 균'', ''카타르 막스균'', ''레지오넬라 뉴모필라''의 영향을 악화시킨다. 조류 노출은 ''사이타시 클라미디아(Chlamydia psittaci)'', 가축 접촉은 ''버네티콕시엘라(Coxiella burnetti)'', 위 내용물 흡인은 혐기성 미생물, 낭포성 섬유증은 ''녹농균(Pseudomonas aeruginosa)''과 ''황색포도상구균''과 관련이 있다.[19] ''폐렴구균''은 겨울에 더 흔하며,[19] 다량의 혐기성 미생물을 흡인한 사람에게서 의심되어야 한다.[140]

성인의 경우 바이러스가 폐렴의 약 1/3, 어린이의 경우 약 15%를 차지한다.[16][50] 일반적으로 관련된 원인균으로는 라이노바이러스, 코로나바이러스, 인플루엔자 바이러스, 호흡기세포융합바이러스(RSV), 아데노바이러스, 파라인플루엔자 바이러스가 있다.[16][52] 헤르페스 바이러스는 신생아, 암 환자, 장기이식 수혜자, 심한 화상 환자와 같은 특정 집단을 제외하고는 폐렴을 드물게 일으킨다.[36] 장기이식 후 또는 면역력이 저하된 사람들에게는 사이토메갈로바이러스 폐렴 발생률이 높다.[50][36] 바이러스 감염이 있는 사람들은 특히 다른 건강 문제가 있는 경우 ''폐렴 연쇄상구균'', ''황색포도상구균'', ''인플루엔자 균''과 같은 세균에 이차 감염될 수 있다.[140][50] 독감철에는 인플루엔자 바이러스가 모든 바이러스성 폐렴의 절반 이상을 차지할 수 있는 것처럼, 서로 다른 바이러스가 연중 다른 시기에 우세하게 나타난다.[50] 한타바이러스 및 코로나바이러스를 포함한 다른 바이러스의 발생도 종종 발생한다.[50] 중증급성호흡기증후군 코로나바이러스 2(SARS-CoV-2) 또한 폐렴을 유발할 수 있다.[37]
진균성 폐렴은 드물지만, AIDS, 면역억제제 또는 기타 의학적 문제로 인해 면역 체계가 약화된 사람들에게서 더 흔하게 발생한다.[19][38] 가장 흔한 원인균은 ''히스토플라스마 캡슐라툼''(''Histoplasma capsulatum''), ''블라스토마이세스''(''Blastomyces''), ''크립토코쿠스 네오포르만스''(''Cryptococcus neoformans''), ''폐렴구균 지로베시''(''Pneumocystis jiroveci'')(폐렴구균 폐렴, 또는 PCP), ''콕시디오이데스 이미티스''(''Coccidioides immitis'')이다. 히스토플라스마증은 미시시피 강 유역에서 가장 흔하며, 콕시디오이도미코시스는 미국 남서부에서 가장 흔하다.[19] 여행 증가와 인구의 면역억제율 증가로 인해 20세기 후반 진균성 폐렴 사례가 증가했다.[38] HIV/AIDS 감염자의 경우 PCP는 흔한 기회 감염이다.[39]
다양한 기생충이 폐에 영향을 미칠 수 있는데, ''톡소플라스마 곤디'', ''스트롱기로이데스 스테르코랄리스'', ''회충'', ''말라리아 원충''이 포함된다.[40] 이러한 기생충들은 일반적으로 피부와의 직접 접촉, 섭취 또는 곤충 매개체를 통해 체내로 들어온다.[40] ''폐흡충''을 제외한 대부분의 기생충은 폐에 특이적으로 영향을 미치는 것이 아니라 다른 부위를 침범한 후 이차적으로 폐에 영향을 미친다.[40] 특히 ''회충속''과 ''스트롱기로이데스속''에 속하는 일부 기생충은 강한 호산구성 반응을 유발하며, 이는 호산구성 폐렴을 초래할 수 있다.[40] 말라리아와 같은 다른 감염에서는 폐 병변이 주로 사이토카인에 의해 유도된 전신 염증 때문이다.[40] 선진국에서는 여행 후 귀국자나 이민자에게서 이러한 감염이 가장 흔하다.[40] 전 세계적으로 기생충성 폐렴은 면역결핍자에게서 가장 흔하다.[41]
감염성 폐렴은 세균성, 바이러스성, 진균성 폐렴으로 나뉜다. 일반적으로 감기, 상기도염 이후의 속발성 폐렴은 세균성이지만, 때로는 바이러스 자체에 의한 폐렴·간질성 폐렴을 일으키는 경우도 있다. 인플루엔자 바이러스 폐렴, 코로나바이러스 폐렴, 홍역 폐렴 등이 있다.
세균은 원내 폐렴(CAP)에서 가장 흔한 원인이며, 그 중 50%가 폐렴구균 단독 감염에 의한 것이다.[195][196] 다른 세균으로는 인플루엔자균(20%), 클라미디아(13%), 마이코플라스마(3%)[195] 등과 황색포도상구균, 모락셀라 카타랄리스, 레지오넬라균, 그람음성균 등이 있다.[177] 많은 경우 약제 내성균이며, 약제 내성 폐렴구균(DRSP)이나 메티실린 내성 황색포도상구균(MRSA) 등으로 불린다.[179]
- 비정형 폐렴
- * 마이코플라스마 폐렴
- ** 마이코플라스마에 의한 폐렴. 잠복기 2~3주. 원내 폐렴이 아닌 원외 폐렴이 많다. 혈액 검사에서 냉응집 반응이나 항마이코플라스마 항체의 상승을 본다. 흉부 X선 사진은 부위별 소견을 보이지 않고, 모래알 모양의 간질성 음영을 보는 경우가 많다. 루틴 검사의 객담 배양 검사에서도 검출되지 않으므로 참고가 되지 않는다. 항마이코플라스마 항체의 상승으로 확진된다.
치료는 항마이코플라스마 항체가 상승하는 데 며칠 걸리므로 확진을 기다리기보다, 냉응집 반응에서 경험적 치료에 기초하여 화학 요법(항생 물질)을 실시한다. 마이코플라스마는 세포벽이 없으므로 베타락탐계 등의 세포벽 합성 저해제는 무효이다. 아미노글리코시드계도 기도 이동성이 나쁘므로 무효이다. 마크로라이드계, 테트라사이클린계, 케토라이드계를 제1 선택 약으로 한다.
성인의 경우 1/3, 어린이의 경우 15%가 바이러스가 원인이다.[197] 라이노바이러스(Rhinovirus), 코로나바이러스(Coronavirus), 인플루엔자 바이러스(Influenza virus), RS바이러스(Respiratory syncytial virus), 아데노바이러스(Adenovirus), 파라인플루엔자 바이러스(Parainfluenza virus) 등이 있다.[171][198] 단순포진바이러스(Herpes simplex virus)는 드물지만, 예외적으로 신생아, 암 환자, 장기 이식 수혜자, 중증 화상 환자가 있다.[199] 사이토메갈로바이러스(Cytomegalovirus)는 장기 이식 환자나 면역 결핍 환자에게 발생할 수 있다.[197][199]

히스토플라스마 캡슐라툼(''Histoplasma capsulatum''), 블라스토미세스(''Blastomyces''), 크립토코쿠스(''Cryptococcus''), 폐렴구균(''Pneumocystis''), 코시디오이데스(''Coccidioides'') 등이 있다. 이전에는 원충으로 여겨졌던 폐렴구균은 현재는 곰팡이로 분류된다.
2. 2. 비감염성 원인
"폐렴"이라는 용어는 자가면역 질환, 화학적 화상, 약물 반응 등 염증으로 인한 폐의 모든 상태에 광범위하게 적용되기도 하지만, 이러한 염증은 엄밀히 말해 폐렴이라고 부르지 않는다.[8][9]확산성 폐 질환의 일종인 특발성 간질성 폐렴(비감염성 폐렴)[42]에는 확산성 폐포 손상, 조직화성 폐렴, 비특이성 간질성 폐렴, 림프구성 간질성 폐렴, 탈락성 간질성 폐렴, 호흡 기관지염 간질성 폐 질환, 일반 간질성 폐렴이 포함된다.[43] 지방폐렴은 폐로 유입되는 지질이 원인인 드문 질환이다.[44] 지질은 흡입되거나 신체 다른 부위에서 폐로 퍼질 수 있다.[44]
이 외 비감염성 원인으로는 다음과 같은 것들이 있다.
- 기계적 폐렴
- 흡인성 폐렴(연하성 폐렴)
- 폐쇄성 폐렴
- 흡입성 폐렴
- 약제성 폐렴[200]
- 인터페론 - 간질성 폐렴 유발 가능
- 항암제
- 한방약
- 증후성 폐렴
- 결합조직병성 폐렴 (류마티스 관절염에서 류마티스 폐가 대표적)
- 기타
- 호산구성 폐렴, 과민성 폐렴
- 화학성 폐렴
- 불소 화합물(방수 스프레이) 흡입[201]
3. 병태생리
폐렴은 폐포에서 병원체의 증식과 이에 대한 인체 반응으로 발생하며, 미생물은 여러 방식으로 하기도에 도달한다. 입인두로부터의 흡인이 가장 흔하다. 소량의 흡인은 수면 중에 자주 발생하며 의식이 저하된 환자에서 잘 발생한다.[232]
코털, 코선반, 나뭇가지 모양의 기관지 갈라짐, 구역반사, 기침은 흡인을 막는 중요한 방어 기전이다. 입인두 점막세포에 있는 정상 상재균은 병독성이 더 강한 병원체가 여기에 부착되는 것을 방해하여 폐렴의 위험을 감소시킨다. 미생물이 폐포까지 흡입되면, 폐포대식세포가 이들 병원체를 청소하거나 죽인다. 하지만 폐포대식세포가 미생물을 제거할 수 있는 능력을 초과하면 임상적 폐렴이 발생한다.[232]
폐렴은 종종 상기도 감염으로 시작하여 하기도로 진행된다.[45] 상기도의 정상적인 미생물총은 병원체와 영양분을 경쟁함으로써 방어 작용을 한다. 하기도에서는 성문 반사작용, 보체 단백질과 면역글로불린의 작용이 중요한 방어 기전이다. 오염된 분비물의 미세 흡입은 하기도를 감염시켜 폐렴을 유발할 수 있다. 폐렴의 진행은 미생물의 독성, 감염을 시작하는 데 필요한 미생물의 양, 그리고 감염에 대한 신체의 면역 반응에 따라 결정된다.[78]
대부분의 세균은 목이나 코에 서식하는 미생물을 소량 흡인하는 과정을 통해 폐로 들어간다.[140] 정상인의 절반은 수면 중 이러한 소량의 흡인을 경험한다.[134] 목에는 항상 세균이 존재하지만, 감염 가능성이 있는 세균은 특정 시간과 조건에서만 존재한다.[134] 일부 세균, 예를 들어 ''결핵균 (Mycobacterium tuberculosis)'' 및 ''레지오넬라 뉴모필라 (Legionella pneumophila)''와 같은 종은 오염된 공기 중의 미립자를 통해 폐에 도달한다.[140] 세균은 혈액을 통해서도 퍼질 수 있다.[89] 폐에 도달한 세균은 세포 사이와 폐포 사이의 공간으로 침입할 수 있으며, 이곳에서 대식세포와 호중구(방어적인 백혈구)가 세균을 무력화시키려고 한다.[47] 호중구는 사이토카인을 방출하여 면역 체계를 전반적으로 활성화시킨다.[48] 이로 인해 세균성 폐렴에서 흔히 나타나는 발열, 오한 및 피로가 발생한다.[48] 호중구, 세균 및 주변 혈관의 체액이 폐포를 채우면서 흉부 X선 사진에서 보이는 폐렴의 침윤 소견이 나타난다.[49]
바이러스는 여러 경로를 통해 폐에 도달할 수 있다. 호흡기세포융합바이러스(Respiratory syncytial virus)는 일반적으로 사람들이 오염된 물체를 만진 후 눈이나 코를 만질 때 감염된다.[50] 다른 바이러스 감염은 오염된 공기 중의 비말을 코나 입을 통해 흡입할 때 발생한다.[140] 상기도에 도달한 바이러스는 기도, 폐포 또는 폐실질(폐실질)의 세포를 침범하여 폐로 이동할 수 있다.[50] 홍역이나 단순포진 바이러스와 같은 일부 바이러스는 혈액을 통해 폐에 도달할 수 있다.[51] 폐 침범은 다양한 정도의 세포 사멸을 초래할 수 있다.[50] 면역 체계가 감염에 반응하면 더 많은 폐 손상이 발생할 수 있다.[50] 주로 백혈구, 특히 단핵구가 염증을 유발한다.[51] 많은 바이러스는 폐를 손상시키는 것 외에도 동시에 다른 장기에 영향을 미쳐 다른 신체 기능을 방해한다. 또한 바이러스는 세균 감염에 대한 신체의 감수성을 높이므로, 바이러스성 폐렴과 동시에 세균성 폐렴이 발생할 수 있다.[52]
4. 증상
폐렴의 주요 증상은 발열, 기침, 가래와 같은 감기와 유사한 증상과 호흡곤란, 전신 권태감, 가슴 통증 등이다.[202]
감염성 폐렴 환자는 종종 가래를 동반한 기침, 떨림과 함께 하는 발열, 호흡곤란, 심호흡 시 날카로운 또는 찌르는 듯한 가슴 통증, 그리고 증가된 호흡 속도를 경험한다.[20] 고령자의 경우 혼란이 가장 두드러진 징후일 수 있다.[20]
5세 미만 어린이의 전형적인 징후 및 증상은 발열, 기침 및 빠르거나 힘든 호흡이다.[141] 발열은 다른 많은 흔한 질병에서도 발생하고 심한 질병, 영양실조 또는 고령자에게는 나타나지 않을 수 있으므로 특이적이지 않다. 또한, 2개월 미만의 어린이에게서는 기침이 자주 나타나지 않는다.[141] 어린이에게서 더 심각한 징후 및 증상에는 푸른색을 띤 피부, 음료를 마시려 하지 않음, 경련, 지속적인 구토, 극심한 체온 변화 또는 의식 수준 저하가 포함될 수 있다.[141][140]
세균성 및 바이러스성 폐렴의 경우 일반적으로 유사한 증상을 나타낸다.[89] 일부 원인은 고전적이지만 비특이적인 임상적 특징과 관련이 있다. 레지오넬라균에 의한 폐렴은 복통, 설사 또는 혼란과 함께 발생할 수 있다.[21] 폐렴구균에 의한 폐렴은 녹슨 빛깔의 가래와 관련이 있다.[22] 클렙시엘라균에 의한 폐렴은 종종 "건포도 젤리"로 묘사되는 피가 섞인 가래가 있을 수 있다.[23] 피가 섞인 가래 (객혈로 알려짐)는 결핵, 그람 음성 폐렴, 폐농양 및 보다 일반적으로 급성 기관지염에서도 발생할 수 있다.[140] 마이코플라스마 뉴모니아에 의한 폐렴은 목의 림프절 붓기, 관절 통증 또는 중이 감염과 함께 발생할 수 있다.[140] 바이러스성 폐렴은 세균성 폐렴보다 천명이 더 흔하게 나타난다.[89]
하지만 고령자의 경우, 발열이 나타나지 않는 등 비전형적인 증상을 보이는 경우가 많으며, 식욕 저하, 무기력감 등 사소한 컨디션 변화를 계기로 폐렴 진단으로 이어지는 경우도 적지 않으므로 주의가 필요하다.
5. 진단
폐렴은 일반적으로 신체 징후와 흉부 X선 사진을 함께 사용하여 진단한다.[53] 활력 징후와 폐 검사가 모두 정상이면 폐렴 진단은 드물다.[54] 그러나 세균성과 비세균성 원인을 구별하는 확실한 검사가 없어 정확한 원인을 밝히기는 어렵다.[16][53] 의사의 전반적인 판단은 진단 규칙만큼이나 폐렴 진단을 내리거나 제외하는 데 효과적이다.[55]
세계보건기구(WHO)는 소아 폐렴을 기침이나 호흡 곤란, 그리고 빠른 호흡, 가슴 함몰, 의식 수준 저하 중 하나 이상의 증상을 기준으로 임상적으로 정의한다.[56] 빠른 호흡은 2개월 미만 영아는 분당 60회 이상, 2개월~1세 영아는 분당 50회 이상, 1세~5세 영아는 분당 40회 이상으로 정의된다.[56] 소아의 경우, 낮은 산소 수치와 가슴 함몰은 청진기로 들리는 폐렴음이나 빠른 호흡수보다 민감도가 높다.[57]
숨소리가 없는 것은 폐렴이 있는 어린이의 ''마이코플라즈마 뉴모니아'' 감염을 나타내는 지표이지만, 마크로라이드 치료 필요 여부를 결정하기에는 충분히 정확하지 않다.[59] 폐렴이 있는 어린이의 가슴 통증은 ''마이코플라즈마 뉴모니아'' 감염 확률을 두 배로 높인다.[59]
일반적으로 성인의 경증 폐렴은 추가 검사가 필요하지 않다.[65] 모든 활력징후와 청진 결과가 정상이면 폐렴 위험은 매우 낮다.[60] C-반응성 단백질(CRP) 수치는 진단을 뒷받침하는 데 도움이 될 수 있다.[61] 폐렴의 확실한 증거가 없고 CRP 수치가 20 mg/L 미만이면 항생제 사용은 권장되지 않는다.[78]
프로칼시토닌은 원인을 밝히고 항생제 투여 여부를 결정하는 데 유용하다.[62] 프로칼시토닌 수치가 0.25 μg/L에 도달하면 항생제 사용이 권장되고, 0.5 μg/L에 도달하면 강력하게 권장되지만, 0.10 μg/L 미만이면 강력하게 권장되지 않는다.[78] 입원이 필요한 경우 맥박 산소 측정법, 흉부 X선 촬영, 혈액 검사 (혈액 완전 검사, 혈청 전해질, C-반응성 단백질 수치, 간 기능 검사)가 권장된다.[65]
인플루엔자 유사 질환 진단은 징후와 증상을 기반으로 할 수 있지만, 인플루엔자 감염을 확인하려면 검사가 필요하다.[63] 따라서 치료는 종종 지역 사회 내 인플루엔자 유행 여부나 신속 인플루엔자 진단 검사 결과에 따라 결정된다.[63]
65세 이상 성인, 흡연자, 기저 질환자는 폐렴 위험이 높다.[64] 신체 검사에서 저혈압, 빠른 맥박, 낮은 산소 수치가 나타날 수 있다.[140] 호흡수가 정상보다 빨라질 수 있으며, 이는 다른 증상보다 1~2일 먼저 나타날 수 있다.[140][134] 흉부 검사는 정상일 수 있지만, 병변 부위의 팽창이 감소할 수 있다. 염증이 생긴 폐를 통해 전달되는 큰 기도에서 발생하는 거친 숨소리는 기관지 호흡이라고 하며, 청진기로 들을 수 있다.[140] 숨을 들이쉴 때 병변 부위에서 숨소리(rale)가 들릴 수 있다.[140] 폐 타진 시 병변 부위에서 둔탁음이 들릴 수 있으며, 감소된 것이 아니라 증가된 음성 진동은 폐렴과 흉막삼출을 구별하는 데 도움이 된다.[20]
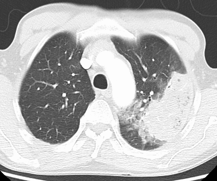
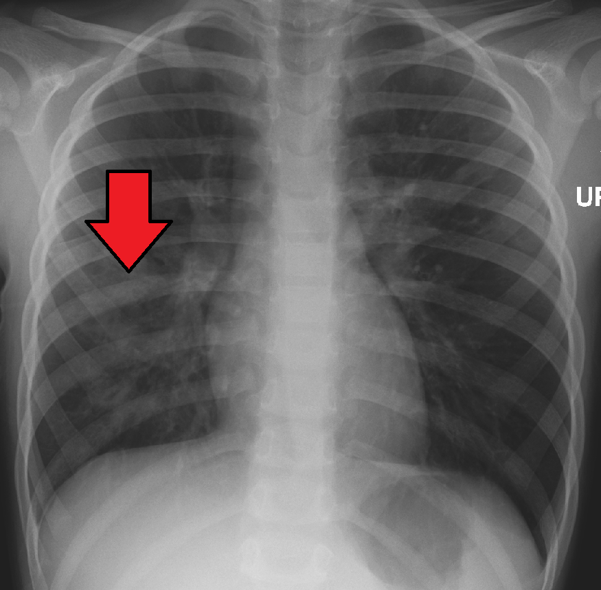
흉부 방사선 사진은 폐렴 진단에 흔히 사용된다.[141] 경증 환자는 잠재적 합병증이 있거나, 치료에 호전되지 않거나, 원인이 불확실한 경우에만 영상 검사가 필요하다.[141][65] 입원이 필요할 정도로 중증인 경우 흉부 방사선 사진이 권장된다.[65] 방사선 소견이 항상 질병의 중증도와 일치하지는 않으며, 세균성과 바이러스성 감염을 확실하게 구분하지 못한다.[141]
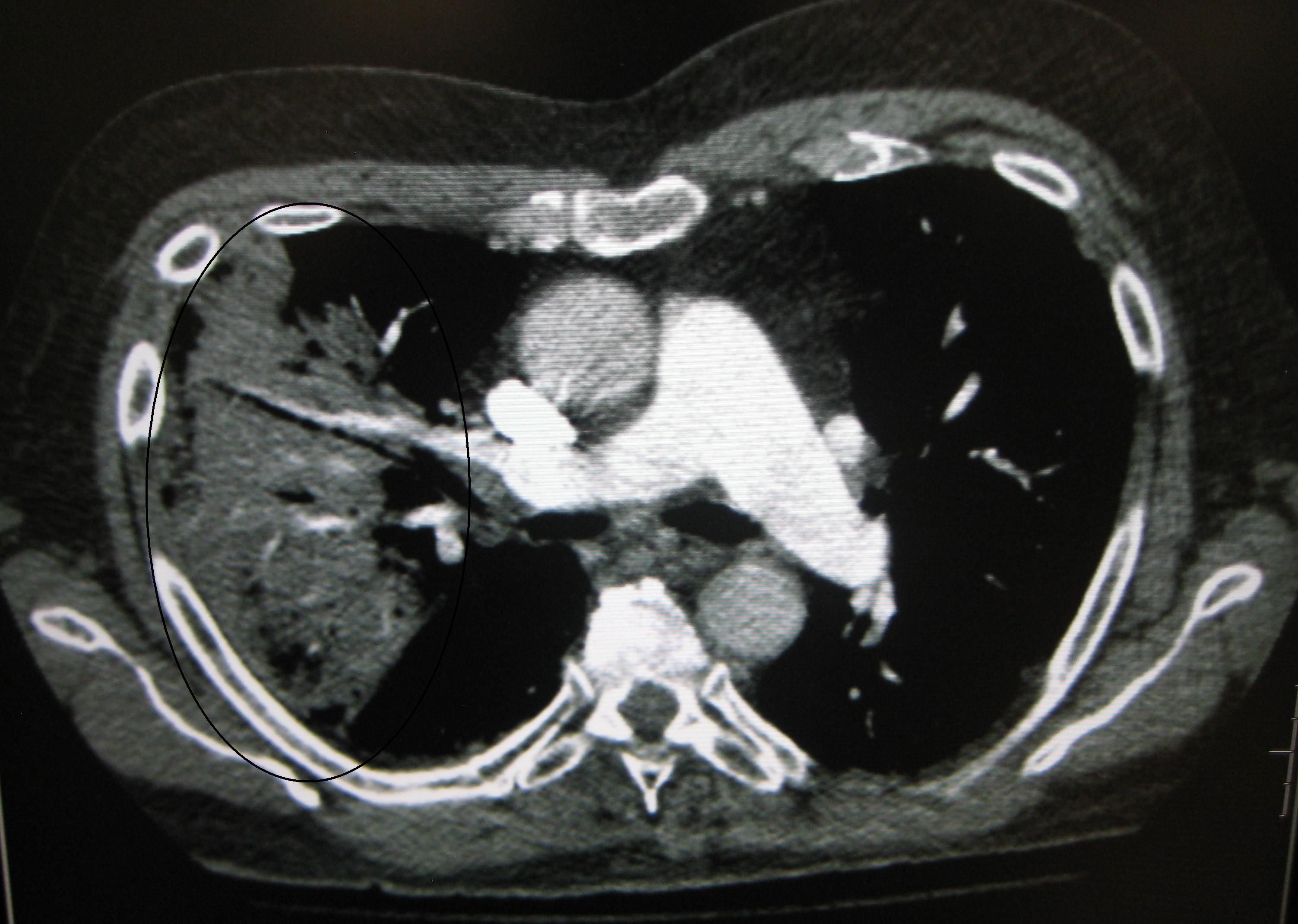
폐렴의 X선 사진 소견은 섬엽 폐렴, 세기관지 폐렴, 소엽 폐렴, 간질성 폐렴으로 분류할 수 있다.[66] 세균성, 급성 폐렴은 고전적으로 폐 분절엽 하나의 폐 실질 침윤을 보이는데, 이를 섬엽 폐렴이라고 한다.[72] 그러나 소견은 다양할 수 있으며, 다른 유형의 폐렴에서는 다른 양상이 흔하다.[72] 흡인성 폐렴은 주로 폐 아래쪽과 오른쪽에 양측성 음영으로 나타날 수 있다.[72] 바이러스성 폐렴의 X선 사진은 정상, 과팽창, 양측성 반점, 또는 섬엽 폐렴과 유사한 폐 실질 침윤으로 나타날 수 있다.[72] 특히 탈수가 있는 경우 질병 초기에는 방사선학적 소견이 없거나, 비만 또는 폐 질환 병력이 있는 사람은 해석하기 어려울 수 있다.[140] 흉막 삼출과 같은 합병증도 흉부 방사선 사진에서 발견될 수 있다. 측면 흉부 방사선 사진은 폐 실질 침윤과 흉막 삼출 진단 정확도를 높일 수 있다.[78]


CT 스캔은 불확실한 경우 추가 정보를 제공할 수 있으며,[72] 흉부 방사선 사진이 불분명한 경우(예: 만성 폐쇄성 폐 질환에서 숨겨진 폐렴) 더 자세한 정보를 제공할 수 있다. 치료에 반응하지 않는 사람들의 폐색전증과 진균성 폐렴을 배제하고, 폐농양을 검출하는 데 사용될 수 있다.[78] 그러나 CT 스캔은 비용이 더 비싸고, 방사선량이 더 높으며, 병상 옆에서 시행할 수 없다.[78]
폐 초음파도 진단에 도움이 될 수 있다.[67] 초음파는 방사선이 없고 병상 옆에서 시행할 수 있다. 그러나 초음파는 기계를 작동하고 소견을 해석하는 데 특정 기술이 필요하다.[78] 흉부 X선보다 더 정확할 수 있다.[68]
지역사회에서 관리되는 사람들의 경우, 원인균 확인은 비용 효율적이지 않고 일반적으로 치료법을 바꾸지 않는다.[141] 치료에 반응하지 않는 사람은 객담 배양을 고려해야 하며, 만성적인 기침을 하는 사람은 ''결핵균'' 배양을 실시해야 한다.[65] 미생물학적 평가는 중증 폐렴, 알코올 중독, 무비장증, 면역억제, HIV 감염, 그리고 MRSA 또는 녹농균에 대한 경험적 치료를 받는 사람들에게도 필요하다.[78][70] 양성 혈액 배양 및 흉막액 배양은 관련 미생물의 종류를 확실히 진단하지만, 양성 객담 배양은 호흡기계 세균 감염 가능성을 고려하여 주의 깊게 해석해야 한다.[78] 공중 보건상의 이유로 발생 상황 동안에는 다른 특정 미생물 검사가 권장될 수 있다.[65] 중증 질환으로 입원한 사람은 객담과 혈액 배양을 모두 권장하며,[65] ''레지오넬라'' 및 ''연쇄상구균'' 항원 검사를 위해 소변 검사도 실시한다.[81] 바이러스 감염은 배양 또는 중합효소 연쇄 반응(PCR) 등 다양한 기술을 사용하여 바이러스나 그 항원을 검출하여 확인할 수 있다.[16] ''마이코플라스마'', ''레지오넬라'', ''연쇄상구균'', ''클라미디아''는 기관지폐포 세척액 및 비인두 도말검체에서 PCR 기술로 검출할 수도 있다.[78] 일반적인 미생물 검사로는 원인균이 15%의 경우에서만 확인된다.[20]
폐렴과 유사한 징후와 증상을 보이는 질병에는 만성 폐쇄성 폐질환, 천식, 폐부종, 기관지확장증, 폐암, 폐색전증 등이 있다.[20] 폐렴과 달리 천식과 만성 폐쇄성 폐질환은 쌕쌕거림, 폐부종은 비정상적인 심전도, 암과 기관지확장증은 장기간 지속되는 기침, 폐색전증은 급성 발병의 날카로운 가슴 통증과 숨 가쁨을 동반한다.[20] 경증 폐렴은 상기도 감염과 감별해야 한다. 중증 폐렴은 급성 심부전과 감별해야 한다. 기계적 환기를 시행한 후 소실된 폐렴의 침윤은 폐렴보다는 심부전과 무기폐를 시사한다. 재발성 폐렴의 경우, 기저 폐암, 전이, 결핵, 이물질, 면역억제 및 과민증을 의심해야 한다.[78]
객관적인 폐렴 중증도 평가 지표(PSI, CURB-65)를 활용하면 불필요한 입원 횟수를 줄일 수 있다. CURB-65 지표에는 다음 5가지 변수가 포함된다.
| 변수 | 설명 |
|---|---|
| C | 의식 혼탁 (confusion) |
| U | 요소 (urea > 7 mmol/L) |
| R | 호흡수 (분당 ≥ 30 회) |
| B | 혈압 (수축기 ≤ 90 mmHg 또는 이완기 ≤ 60 mmHg) |
| 65 | 나이 (≥ 65세) |
[233]
가래의 그람 염색은 유용하며, 호중구에 의한 탐식상은 기원균 동정으로 이어질 수 있다(특히 폐렴구균). 그러나 임상 연구에서는 가래 그람 염색과 기원균이 일치하지 않아 미국의 가이드라인에서는 권장되지 않는다.
최근에는 신속 진단 키트를 이용하여 폐렴구균, 레지오넬라에 대해 소변 검사로 검사할 수 있다. 농피증 연쇄구균 검사 키트는 인두 점액을 검체로 한다.
폐렴 원인균 중 특수한 결핵은 항상 감별 진단에 포함시켜야 한다. 결핵을 의심하는 경우 칠-닐센 염색, 형광 도말 검사, T-SPOT 등을 시행한다.
6. 분류
폐렴은 원인, 발병 위치, 발생 시기, 병변의 형태에 따라 다양하게 분류될 수 있다.
- 원인에 따른 분류
- 기계적 폐렴: 기식성 폐렴, 폐쇄성 폐렴, 흡입 폐렴
- 약으로 인한 폐렴: 인터페론, 항암제, 약초 등
- 증상 폐렴: 교원병 폐렴 (관절염에서 류마티스 폐가 대표적), 폐포성 폐렴 (대엽성 폐렴, 기관지 폐렴), 간질성 폐렴
- 획득 경로 또는 방법에 따른 분류[72]
- 획득성 폐렴(community-acquired pneumonia; CAP): 일상생활에서 발생한 폐렴.[75][77] 퇴원 후 2주 이내에 발생한 폐렴은 병원성 폐렴으로 간주하여 원인균 예측의 타당성을 높인다.
- 병원성 폐렴(hospital-acquired pneumonia; HAP): 의료기관에서 치료 중인 환자 또는 다른 질환을 가진 환자에게 발생한 폐렴.[77][75] 입원 후 48시간 이내에 발생한 폐렴은 획득성 폐렴으로 간주하여 원인균 예측의 타당성을 높인다.
- 의료 관련 폐렴(Healthcare-associated Pneumonia; HCAP): 요양원 등 의료·간호 시설에서 발생한 폐렴.[205]
- 인공호흡기 관련 폐렴: 기계적 환기를 통해 호흡하는 사람들에게 발생하며, 특히 기관내 삽관 후 48~72시간 이상에 발생하는 폐렴으로 정의된다.[77]
7. 치료
대부분의 폐렴은 경구 항생제, 휴식, 간단한 진통제, 수액 공급으로 완치된다.[65] 그러나 다른 의학적 상태가 있는 사람, 노인, 호흡 곤란이 심한 사람은 더욱 고도의 치료가 필요할 수 있다. 증상이 악화되거나, 가정 치료로 폐렴이 호전되지 않거나, 합병증이 발생하는 경우 입원이 필요할 수 있다.[65] 전 세계적으로 소아의 약 7~13%가 입원하며,[141] 선진국에서는 폐렴에 걸린 성인의 22~42%가 입원한다.[65]
CURB-65 점수는 성인의 입원 필요성을 판단하는 데 유용하다.[65] CURB-65 지표에는 다음 5가지 변수가 포함된다. 의식혼탁 (confusion; C), 요소(urea > 7 mmol/L; U), 호흡수(분당 ≥ 30 회; R), 혈압(수축기 ≤ 90 mmHg 또는 이완기 ≤ 60 mmHg; B), 나이(65세 이상; 65).[233]
| CURB-65 (커브65) | |
|---|---|
| 증상 | 점수 |
| 혼돈(Confusion) | 1 |
| 혈중 요소 질소(BUN) > 7 mmol/L | 1 |
| 호흡수 > 30회/분 | 1 |
| 수축기 혈압(SBP) < 90 mmHg, 이완기 혈압(DBP) < 60 mmHg | 1 |
| 연령 ≥ 65세 | 1 |
점수가 0 또는 1이면 일반적으로 가정에서 관리할 수 있고, 2이면 단기 입원 또는 밀접한 추적 관찰이 필요하며, 3~5이면 입원이 권장된다.[65] 소아의 경우 호흡곤란이나 산소 포화도가 90% 미만인 경우 입원해야 한다.[104]
폐렴에서의 흉부 물리 치료의 유용성은 아직 결정되지 않았다.[105][106] 일반의약품인 기침약은 효과가 없는 것으로 나타났으며,[107] 소아에서 아연 보충제의 사용도 마찬가지다.[108] 점액 용해제에 대한 충분한 증거는 없다.[107] 홍역 관련이 없는 폐렴에 걸린 어린이에게 비타민 A 보충제를 권장해야 한다는 강력한 증거는 없다.[109] 2023년 현재 비타민 D의 소아에 대한 효능은 불확실하다.[110] 폐렴에서 비타민 C 투여는 추가 연구가 필요하지만, 비용이 저렴하고 위험이 낮으므로 저농도의 혈장 비타민 C 환자에게 투여할 수 있다.[101]
폐렴은 여러 가지 방법으로 심각한 질병을 유발할 수 있으며, 장기 기능 장애의 증거가 있는 폐렴은 관찰과 특정 치료를 위해 중환자실 입원이 필요할 수 있다.[111] 주요 영향은 호흡기계와 순환기계에 미친다. 일반적인 산소 요법에 반응하지 않는 호흡 부전은 비강 캐뉼라를 통해 전달되는 가열 가습 고유량 요법,[111] 비침습적 환기,[112] 또는 심한 경우 기관 내 튜브를 통한 기계적 환기가 필요할 수 있다.[111] 패혈증의 일부로서 순환 문제와 관련하여 혈류 불량 또는 저혈압의 증거는 처음에는 정맥 내로 30ml의 결정질 용액을 주입하여 치료한다.[78] 수액만으로 효과가 없는 경우 혈관 수축제가 필요할 수 있다.[111]
기계적 환기를 받는 중등도 또는 중증의 급성 호흡 곤란 증후군(ARDS) 성인의 경우 하루에 최소 12시간 이상 엎드려(복와위) 있으면 사망률이 감소한다. 그러나 이는 기관 내 튜브 폐색 및 욕창의 위험을 증가시킨다.[113]
세균성 폐렴 환자의 경우 항생제 치료가 결과를 개선한다.[17] 항생제는 가능한 한 빨리 첫 투여해야 한다.[78] 그러나 항생제 사용 증가는 항생제 내성 세균 균주의 발생으로 이어질 수 있다.[114] 항생제 선택은 초기에는 환자의 특징, 예를 들어 연령, 기저 질환 및 감염이 발생한 장소에 따라 달라진다. 항생제 사용은 또한 메스꺼움, 설사, 어지러움, 미각 변형 또는 두통과 같은 부작용과 관련이 있다.[114]
영국에서는 배양 결과 이전 치료로 아목시실린을 원인 미상의 폐렴에 대한 1차 치료제로 권장하며, 독시사이클린 또는 클라리스로마이신을 대안으로 사용한다.[65] 북미에서는 아목시실린, 독시사이클린, 그리고 일부 지역에서는 마크롤라이드(예: 아지트로마이신 또는 에리스로마이신)가 성인의 1차 외래 치료제이다.[35][115][70] 경증 또는 중등증 증상이 있는 어린이의 경우, 경구 아목시실린이 1차 치료제이다.[104][116][117] 합병증이 없는 경우 플루오로퀴놀론 사용은 부작용 및 내성 발생에 대한 우려 때문에 권장되지 않는다. 더 큰 이점이 없기 때문입니다.[35][118]
입원이 필요하고 지역사회에서 폐렴에 걸린 환자의 경우 세파졸린과 같은 β-락탐과 아지트로마이신과 같은 마크롤라이드의 병용이 권장된다.[119][70] 플루오로퀴놀론이 아지트로마이신을 대체할 수 있지만 덜 선호된다.[70] 경구 및 주사 항생제는 중증 폐렴 어린이에게 유사하게 효과적인 것으로 나타났다.[120]
치료 기간은 전통적으로 7일에서 10일이었지만, 증거가 증가함에 따라 특정 유형의 폐렴에 대해서는 더 짧은 기간(3~5일)이 효과적일 수 있으며 항생제 내성 위험을 줄일 수 있다.[121][122][123][124] 어린이에 대한 연구에 따르면, 3일 동안 아목시실린을 단기간 투여하는 것이 이 인구 집단의 폐렴 치료에 7일 동안 장기간 투여하는 것과 마찬가지로 효과적이었다.[125][126] 비발효 그람 음성 간균(NF-GNB)에 의한 인공호흡기 관련 폐렴의 경우 항생제 투여 기간을 단축하면 폐렴이 재발할 위험이 증가한다.[123]
병원에서 발생한 폐렴에 대한 권장 사항에는 3세대 및 4세대 세팔로스포린, 카바페넘, 플루오로퀴놀론, 아미노글리코사이드 및 반코마이신이 포함된다.[77] 이러한 항생제는 종종 정맥 주사로 투여되고 병용된다.[77] 병원에서 치료받은 환자 중 90% 이상이 초기 항생제로 호전된다.[134] 인공호흡기 관련 폐렴 환자의 경우, 항생제 치료 선택은 다제 내성 세균 균주 감염 위험에 따라 달라진다.[28] 임상적으로 안정되면 정맥 주사 항생제를 경구 항생제로 전환해야 한다.[78] ''메티실린 내성 황색포도상구균(MRSA) 또는 ''레지오넬라'' 감염 환자의 경우 장기간 항생제가 유익할 수 있다.[78]
표준 항생제 치료에 코르티코스테로이드를 추가하면 결과가 개선되는 것으로 보이며, 중증 원인 미상의 폐렴 성인의 사망률과 이환율을 줄이고, 중증이 아닌 원인 미상의 폐렴 성인과 어린이의 사망률을 줄입니다.[127][128] 따라서 2017년 검토에서는 중증 원인 미상의 폐렴 성인에게 코르티코스테로이드를 권장했다.[127] 그러나 2019년 지침에서는 불응성 쇼크가 없는 한 일반적인 사용을 권장하지 않았다.[70] 코르티코스테로이드 사용과 관련된 부작용에는 고혈당이 있다.[127] 표준 PCP 폐렴 치료에 코르티코스테로이드를 추가하면 HIV 감염자에게 유익할 수 있다는 일부 증거가 있다.[39]
항생제와 함께 과립구 콜로니 자극 인자(G-CSF)를 사용해도 사망률이 감소하지 않는 것으로 보이며, 폐렴 치료를 위한 일상적인 사용은 증거에 의해 뒷받침되지 않는다.[129]
뉴라미니다제 억제제는 인플루엔자 바이러스(인플루엔자 A형 및 인플루엔자 B형)가 원인인 바이러스성 폐렴 치료에 사용될 수 있다.[16] SARS 코로나바이러스(SARS), 아데노바이러스, 한타바이러스, 파라인플루엔자 바이러스 등 기타 유형의 지역사회 획득 바이러스성 폐렴에는 특정 항바이러스제가 권장되지 않는다.[16] 인플루엔자 A형은 리만타딘 또는 아만타딘으로 치료할 수 있으며, 인플루엔자 A형 또는 B형은 오셀타미비르, 자나미비르 또는 페라미비르로 치료할 수 있다.[16] 이러한 치료제는 증상 발현 후 48시간 이내에 시작하는 경우 가장 효과적이다.[16] 조류 인플루엔자 또는 "조류독감"으로도 알려진 H5N1 인플루엔자 A형의 많은 균주는 리만타딘과 아만타딘에 대한 내성을 보이는 것으로 나타났다.[16] 일부 전문가들은 합병된 세균 감염을 배제할 수 없으므로 바이러스성 폐렴에 항생제 사용을 권장한다.[16] 영국 흉부학회는 경증 질환 환자에게는 항생제 사용을 보류할 것을 권장한다.[16] 코르티코스테로이드 사용은 논란의 여지가 있다.[16]
일반적으로, 흡인성 폐렴은 흡인성 폐렴에만 적용되는 항생제를 사용하는 보존적 치료를 한다.[130] 항생제 선택은 의심되는 원인균과 폐렴이 지역사회에서 발생했는지 또는 병원 환경에서 발생했는지 등 여러 요인에 따라 달라진다. 일반적인 선택에는 클린다마이신, 베타락탐계 항생제와 메트로니다졸의 병용 또는 아미노글리코사이드가 포함된다.[131]
흡인성 폐렴에 코르티코스테로이드를 사용하는 경우도 있지만, 그 효과를 뒷받침할 증거는 제한적이다.[130]
영국 흉부학회(British Thoracic Society)는 지속적인 증상을 보이는 사람, 흡연자, 50세 이상의 사람들에게 추적 흉부 X선 촬영을 권장한다.[65] 미국 가이드라인은 추적 흉부 X선 촬영을 일반적으로 권장하는 것[132]부터 추적 검사에 대해 전혀 언급하지 않는 것까지 다양하다.[81]
세균성 폐렴이 의심되는 경우에는 원인균에 대한 항균력이 있는 항생물질을 투여하지만, 원인균을 특정하는 데는 객담 배양 동정·감수성 검사 등 시간이 오래 걸리는 경우가 많아 균의 종류를 추정하여 항생제를 선택하는 경우가 많다.
폐진균증에는 항진균제, 바이러스성 폐렴에는 해당하는 항바이러스제를 사용한다.
시설에 따라 차이는 있지만, 미국식 방식을 따르는 시설에서는 균의 종류를 추정하지 않고, 지역사회획득성 폐렴인지 원내 폐렴인지에 따라 항생제를 달리 사용한다. 이는 흉부 엑스선 사진으로 균의 종류를 구분할 수 없다는 임상 연구 결과에 따른 것이다.
그러나 일본의 일반적인 의료기관에서는 우선 광범위 항생제라고 불리는 여러 종류의 세균에 효과가 있는 항생제를 환자의 상황 등을 고려하여 경험적으로 투여하고, 배양 검사(폐렴의 경우 객담을 배양하여 원인균을 조사하고, 어떤 항생제가 유효한지 조사하는 검사) 결과가 나온 시점에서 항생제를 적절히 변경하는 것이 표준이다.
- 입원이 필요 없는 지역사회획득성 폐렴에서는 폐렴구균, 인플루엔자균, 클라미디아, 마이코플라스마, 황색포도상구균, 모락셀라, 레지오넬라를 주요 표적으로 마크롤라이드계 항생제 (클라리스로마이신, 아지스로마이신)나 신세대 퀴놀론계 (레보플록사신, 가티플록사신)를 사용하지만, 폐렴구균에 대한 클라리스로마이신의 감수성이 저하(효과가 불충분)되고 있는 것을 비롯하여, 최근 몇 년간 현저한 변화는 없지만 감기약에 대한 항균제 남용이 한 원인으로 생각되는 여러 종류의 항균제에 대한 내성화가 심각한 문제가 되고 있다. 입원이 필요한 지역사회획득성 폐렴에서는 β락타마제 저해제를 포함한 페니실린 제제인 암피실린·술박탐 배합제의 고용량 투여나 피페라실린·타조박탐 배합제가 자주 사용된다.
- 세균성 지역사회획득성 폐렴의 원인이 되는 빈도로는 폐렴구균이 가장 많고, 특히 65세 이상에서는 28.1%를 차지했다.[213] 또한 65세 이상에서는 클렙시엘라 등 그람 음성 간균에 의한 폐렴도 약 4.4% 정도 나타나고 있다.
최근에는 폐렴구균의 페니실린 내성화가 진행되어 PISP/PRSP는 2003년 조사에서 59.8%에 달했다.[214] - 입원이 필요한 지역사회획득성 폐렴에서는 항균제 투여는 5일로 제한하는 것이 권장된다[215][216](치료가 잘 되지 않는 경우 약제를 변경하여 연장된다).
- 원내 폐렴에서는 그람 음성 간균, 예를 들어 녹농균이나 세라티아균을 표적으로 제3세대 세팔로스포린 (세포탁심 등)을 사용한다.
- 과민성 폐렴에서는 원인 항원으로부터의 격리[217][218]
소아 폐렴의 경우, 경험적 치료는 크게 달라진다. 그 차이는 폐렴의 원인균의 차이에 따른 것이다.
신생아를 제외한 영유아에서는 폐렴의 3대 원인균이라고 할 수 있는 것은 인플루엔자 간균, 폐렴구균, 모락셀라 카타랄리스이다. 성인과 달리 클레브시엘라속이나 녹농균은 적기 때문에, 3세대 세파계 항생제보다 항균 스펙트럼이 좁은 페니실린계 항생물질을 선택하는 것이 일반적이다(시설에 따라 세파계를 선택하는 곳도 있다).
모락셀라(모락셀라, 브란하멜라라고도 함)는 거의 100%의 균주가 β-락탐 분해효소(β-락타마제)를 가지고 있기 때문에, 베타락탐 분해효소 저해제를 배합한 항균제 제제(술박탐·암피실린, 타조박탐·피페라실린 등)을 선택하는 경우가 많다. 객담 도말 그람 염색을 참고할 수 있는 시설에서는, 폐렴구균이 의심되는 경우 암피실린 등 더 좁은 스펙트럼을 가진 약제를 선택한다.
특히 영아에서는 이물 흡인성 폐렴도 적지 않게 볼 수 있지만, 고령자와 달리 이물 흡인성 폐렴에서도 녹농균 감염증은 적기 때문에, 술박탐·암피실린(혐기성균에도 유효하기 때문에)을 선택한다. 이물 흡인성 폐렴이 의심되는 경우에는, 기도 증상이 가라앉을 때까지 경구 수유 금지가 필요할 수도 있다.
학령기 이상의 아동에서는 마이코플라즈마에 의한 폐렴이 많아진다. 세균성 폐렴과의 감별은 X선 영상으로는 거의 불가능하며, 혈액 소견(호중구 증가의 유무, C-반응성 단백질(CRP) 상승의 유무, 마이코플라스마 IgM 신속 검사 등)이나 전신 상태, 기도 증상의 정도 등이 참고가 된다.
마이코플라즈마에는 β-락탐계 항균제가 무효하지만, 테트라사이클린계 항생물질(미노사이클린 등)이나 퀴놀론계 항균제는 부작용의 문제로 소아에게 투여하기 어렵거나 할 수 없기 때문에, 마크롤라이드계 항생물질을 선택한다(영구치가 나지 않은 소아에게 테트라사이클린을 투여하면, 나중에 난 영구치에 노랗게 색소 침착되는 경우가 있다. 또한 골 성장 장애가 부작용으로 나타나는 것도 알려져 있다.[219]).
퀴놀론계 대부분의 소아에 대한 투여는 동물 실험에서 관절 장애가 확인되었기 때문에 일본에서는 금기되어 있다. 토스플록사신(상품명: 오제크스 소아용 세립)은 예외로 소아에 대한 적응증을 가진다.
기저 질환이나 장애가 있는 환아에서는, 그 질환에 따라 폐렴의 원인균에 특징이 있다. 또한, 과거의 세균 검사 결과도 원인균 추정에 도움이 된다.
8. 예방
예방접종, 환경 개선, 그리고 다른 건강 문제의 적절한 치료를 통해 폐렴을 예방할 수 있다.[141] 전 세계적으로 적절한 예방 조치가 시행되면 어린이 사망률을 40만 명, 적절한 치료가 제공되면 추가로 60만 명을 줄일 수 있을 것으로 예상된다.[89]
인플루엔자 백신은 인플루엔자 증상 예방에 효과적이다.[16][79] 미국 질병통제예방센터(CDC)는 6개월 이상 모든 사람에게 매년 인플루엔자 예방접종을 권장한다.[80] 의료 종사자의 예방접종은 환자의 바이러스성 폐렴 위험을 낮춘다.[81]
폐렴간균과 폐렴구균에 대한 예방접종은 효과가 입증되었다.[45] 특히 2세 미만 영유아에 대한 폐렴구균 예방접종(폐렴구균 접합 백신)은 효과가 확실하다.[82][83][84] 소아의 폐렴구균 예방접종은 성인의 감염률 감소로도 이어진다. 성인을 위한 폐렴구균 백신은 침습성 폐렴구균 질환의 위험을 74% 감소시키지만, 일반 성인 인구에서 폐렴이나 사망 예방 효과는 충분히 입증되지 않았다.[85] CDC는 어린아이와 65세 이상 성인, 그리고 폐렴구균 질환 위험이 높은 사람에게 폐렴구균 백신 접종을 권장한다.[84] 만성 폐쇄성 폐질환 환자의 경우, 폐렴구균 백신은 지역사회 획득 폐렴 위험을 줄이지만, 사망률이나 입원 위험 감소 효과는 뚜렷하지 않다.[86] 그럼에도 여러 지침에서 만성 폐쇄성 폐질환 환자에게 폐렴구균 예방접종을 권장한다.[86] 백일해, 수두, 홍역도 폐렴 예방에 효과가 있다.[90]
인플루엔자 발생 시 아만타딘(amantadine)이나 리만타딘(rimantadine) 같은 약물이 예방에 도움이 될 수 있지만, 부작용이 있을 수 있다.[87] 잔아미비르(Zanamivir)나 오셀타미비르(oseltamivir)는 바이러스 노출 시 증상 발생 가능성을 줄여주지만, 잠재적 부작용을 고려해야 한다.[88]
금연[65] 및 실내 공기 오염 감소(예: 나무, 농작물 잔류물 또는 배설물을 이용한 실내 취사)[141][89]는 폐렴 예방에 권장된다. 흡연은 건강한 성인의 폐렴구균 폐렴의 가장 큰 위험 요인이다.[81] 손 위생 및 소매로 기침하는 것도 효과적인 예방 조치이며,[90] 환자가 수술용 마스크를 착용하는 것도 질병 예방에 도움이 될 수 있다.[81]
기저 질환(예: HIV/AIDS, 당뇨병 및 영양실조)을 적절하게 치료하면 폐렴 위험을 줄일 수 있다.[89][90][91] 6개월 미만 영아의 경우 모유 수유만으로 질병의 위험과 중증도를 모두 감소시킬 수 있다.[89] HIV/AIDS 환자 중 CD4 수치가 200 cells/uL 미만인 경우 트리메토프림/설파메톡사졸 항생제가 폐렴구균 폐렴의 위험을 감소시키며,[92] 면역력이 저하되었지만 HIV가 없는 사람의 예방에도 유용하다.[93]
임산부의 B형 연쇄구균 및 클라미디아 트라코마티스(Chlamydia trachomatis) 검사 및 필요한 경우 항생제 치료는 영아의 폐렴 발생률을 감소시킨다.[94][95] 모체에서 자녀로의 HIV 전염 예방 조치도 효과적일 수 있다.[96] 양수에 태변이 묻은 영아의 구강 및 인후 흡인은 흡인성 폐렴 발생률을 낮추지 않고 잠재적 해를 초래할 수 있으므로, 대부분 권장되지 않는다.[97] 노인의 경우 구강 건강 관리가 양호하면 흡인성 폐렴 위험이 감소할 수 있지만,[98] 요양원에서 발생하는 폐렴 예방에 어떤 구강 관리 방법이 더 효과적인지에 대한 확실한 증거는 없다.[99] 2개월에서 5세 어린이의 아연 보충제는 폐렴 발생률을 감소시키는 것으로 나타났다.[100]
식단이나 혈액 내 비타민 C 수치가 낮은 사람의 경우, 비타민 C 보충제를 섭취하여 폐렴 위험을 줄이는 것이 제안될 수 있지만, 이점에 대한 확실한 증거는 없다.[101] 일반인이 폐렴 예방이나 치료를 위해 비타민 C를 섭취하는 것이 권장될 만한 충분한 증거는 없다.[101]
호흡기를 필요로 하는 병원의 성인 및 어린이의 경우, 폐렴 예방에 있어서 가습기와 가열식 가습기 사이에 차이가 있음을 나타내는 확실한 증거는 없다.[102] 기관 삽관된 사람의 경우 반 앙와위보다 앙와위로 누워 있으면 폐렴 위험이 증가한다는 잠정적인 증거가 있다.[103]
폐렴 연쇄상구균에 의한 폐렴은 폐렴구균 백신 접종을 통해 예방할 수 있다. 일본에서는 1988년 성인용 23가 불활화 백신이 승인되었고,[208] 2014년에는 65세 이상 고령자에 대한 정기 접종 대상이 되었다.[209] 2009년에는 소아용 7가 백신이 승인되었고,[210] 2013년 4월에는 정기 접종 대상이 되어, 같은 해 11월에는 13가 백신으로 바뀌었다.[211]
9. 합병증
치료를 받으면 대부분의 세균성 폐렴은 3~6일 이내에 안정되지만, 증상이 완전히 사라지기까지는 몇 주가 걸릴 수 있다.[133] 흉부 X선 검사 결과는 보통 4주 안에 정상으로 돌아오며, 사망률은 1% 미만으로 낮다.[140][135] 그러나 노인이나 다른 폐 질환이 있는 사람은 회복에 12주 이상 걸릴 수 있다. 입원 환자의 사망률은 최대 10%이며, 집중 치료가 필요한 경우 30~50%에 달한다.[140] 폐렴은 사망 원인이 되는 가장 흔한 병원 감염이다.[134]
합병증은 특히 노인이나 기저 질환이 있는 사람에게서 발생할 수 있다.[135] 여기에는 농흉, 폐농양, 폐렴성 기관지폐쇄증, 급성 호흡곤란 증후군, 패혈증 및 기저 질환의 악화 등이 포함될 수 있다.[135]
폐렴의 결과를 예측하기 위해 임상 예측 규칙이 개발되었으며, 환자의 입원 여부를 결정하는 데 사용된다.[134] 이러한 규칙에는 다음이 포함된다.

폐렴의 경우, 폐 주위 공간인 흉막강에 체액이 고일 수 있다.[137] 이 체액이 미생물에 감염되면 흉막 농흉이 발생할 수 있다.[137] 흉막 농흉은 바늘을 이용한 흉막천자 검사로 진단할 수 있으며, 흉관 삽입이나 흉막 박리술이 필요할 수 있다.[137] 감염된 체액을 배액하지 않으면 항생제가 흉막강으로 잘 침투하지 못해 감염이 지속될 수 있다.[137]
드물게 폐에 세균이 감염된 체액 주머니인 폐농양이 형성될 수 있다.[137] 폐농양은 흉부 X선이나 CT 스캔으로 확인할 수 있으며, 흡인성 폐렴에서 주로 발생한다.[137] 장기간 항생제 치료가 필요하며, 때로는 외과 의사나 중재 방사선과 의사의 배액이 필요할 수 있다.[137]
폐렴은 감염과 염증 반응의 복합적인 작용으로 급성 호흡곤란 증후군(ARDS)을 유발할 수 있다. 폐가 체액으로 차고 굳어지면서 산소 공급에 심각한 문제가 발생하여 장기간의 기계적 환기가 필요할 수 있다.
패혈증은 폐렴의 잠재적 합병증이며, 면역력이 약하거나 비장 기능이 저하된 사람에게서 주로 발생한다. ''폐렴 연쇄상구균'', ''인플루엔자 균'', ''폐렴 간균''이 가장 흔한 원인균이다. 심근경색이나 폐색전증과 같은 다른 원인도 고려해야 한다.
10. 역학
폐렴은 전 세계적으로 매년 약 4억 5천만 명에게 영향을 미치는 흔한 질병이다.[16] 모든 연령대에서 주요 사망 원인이며, 매년 400만 명(세계 사망자의 7%)의 사망자를 발생시킨다.[16][17] 특히 5세 미만의 어린이와 75세 이상의 성인에게서 발병률이 가장 높다.[16] 개발도상국에서 선진국보다 약 5배 더 흔하게 발생하며,[16] 바이러스성 폐렴은 약 2억 건의 사례를 차지한다.[16] 미국에서는 2009년 기준으로 폐렴이 사망 원인 8위였다.[140]
2008년, 폐렴은 약 1억 5600만 명의 어린이들에게 발생했으며(개발도상국 1억 5100만 명, 선진국 500만 명),[16] 2010년에는 130만 명의 사망 원인이 되었고, 이는 5세 미만 아동 사망의 18%를 차지하며, 그중 95%는 개발도상국에서 발생했다.[16][141][142] 질병 부담이 가장 큰 국가는 인도(4300만 명), 중국(2100만 명), 파키스탄(1000만 명)이다.[143] 폐렴은 저소득 국가 어린이의 주요 사망 원인이다.[16][17] 세계보건기구(WHO)는 신생아 사망 3명 중 1명이 폐렴으로 인한 것이라고 추산한다.[144] 이러한 사망의 약 절반은 효과적인 백신이 있는 세균에 의한 것이므로 예방할 수 있다.[145] 2011년 미국에서는 응급실 방문 후 입원의 가장 흔한 이유가 영유아의 폐렴이었다.[147]
11. 사회와 문화
질병에 대한 상대적으로 낮은 인식 때문에, 2009년 11월 12일은 매년 세계 폐렴의 날로 선포되었으며, 이 날은 관련 시민들과 정책 입안자들이 질병에 대항하기 위해 행동을 취하는 날이다.[162][163]
전 세계적으로 급성 지역사회획득 폐렴의 경제적 비용은 연간 170억달러로 추산된다.[140] 2012년 미국에서 폐렴 치료에 대한 총 비용은 200억달러로 추산되었으며,[164] 폐렴 관련 입원 중간 비용은 15000USD가 넘는다.[165] 미국 의료보험 및 의료급여 서비스 센터(Centers for Medicare and Medicaid Services)에서 발표한 자료에 따르면, 2012년 미국의 단순 폐렴 환자 입원 치료에 대한 평균 병원 청구액은 24549USD였으며, 최대 124000USD에 달했다. 폐렴 응급실 진료 평균 비용은 943USD였고, 약물 치료 평균 비용은 66USD였다.[166] 유럽에서 폐렴 치료 연간 총 비용은 100억유로로 추산된다.[167]
참조
[1]
웹사이트
Pneumonia – Symptoms NHLBI, NIH
https://www.nhlbi.ni[...]
2022-10-01
[2]
웹사이트
Pneumonia – Causes and Risk Factors NHLBI, NIH
https://www.nhlbi.ni[...]
2022-10-01
[3]
논문
Risk of pneumonia associated with use of angiotensin converting enzyme inhibitors and angiotensin receptor blockers: systematic review and meta-analysis
2012-07-01
[4]
서적
Respiratory disease and its management
Springer
[5]
서적
Acute and Critical Care Medicine at a Glance
https://books.google[...]
Wiley-Blackwell
[6]
서적
The encyclopedia of infectious diseases
https://books.google[...]
Facts on File
2011-04-21
[7]
서적
Alcamo's Fundamentals of Microbiology
https://books.google[...]
Jones & Bartlett
[8]
서적
Pathology
https://books.google[...]
Mosby
[9]
서적
Transplant infections
Wolters Kluwer Health/Lippincott Williams & Wilkins
[10]
웹사이트
How Is Pneumonia Diagnosed?
http://www.nhlbi.nih[...]
2016-03-03
[11]
웹사이트
Types of Pneumonia
http://www.nhlbi.nih[...]
2016-03-02
[12]
웹사이트
Complications and Treatments of Sickle Cell Disease CDC
https://www.cdc.gov/[...]
2020-05-06
[13]
웹사이트
How Can Pneumonia Be Prevented?
http://www.nhlbi.nih[...]
2016-03-03
[14]
웹사이트
What Is Pneumonia?
http://www.nhlbi.nih[...]
2016-03-02
[15]
웹사이트
How Is Pneumonia Treated?
http://www.nhlbi.nih[...]
2016-03-03
[16]
논문
Viral pneumonia
2011-04-01
[17]
논문
Antibiotics for community-acquired pneumonia in children
2013-06-01
[18]
서적
Chest medicine: essentials of pulmonary and critical care medicine
https://books.google[...]
Lippincott Williams & Wilkins
[19]
논문
Community-Acquired Pneumonia: From Common Pathogens To Emerging Resistance
https://www.ebmedici[...]
2005-12-01
[20]
논문
Pneumonia: update on diagnosis and management
2006-05-01
[21]
논문
Could it be Legionella?
2008-10-01
[22]
논문
Streptococcus pneumoniae: epidemiology, risk factors, and clinical features
2005-12-01
[23]
서적
Emergency Medicine: A Comprehensive Study Guide (Emergency Medicine (Tintinalli))
McGraw-Hill Companies
[24]
논문
Community-Acquired Pneumonia Requiring Hospitalization among U.S. Adults
2015-07-01
[25]
서적
Community-acquired pneumonia
https://books.google[...]
Kluwer Academic Publishers
2002-01-01
[26]
논문
Risk factors for child pneumonia – focus on the Western Pacific Region
2017-01-01
[27]
논문
Use of acid-suppressive drugs and risk of pneumonia: a systematic review and meta-analysis
2011-02-01
[28]
논문
Antibiotics for ventilator-associated pneumonia
2016-10-01
[29]
논문
Post-pyloric versus gastric tube feeding for preventing pneumonia and improving nutritional outcomes in critically ill adults
2015-08-01
[30]
웹사이트
Interprofessional Task force Uses a collaborative approach for internal feeding tube management
https://issuu.com/um[...]
2013-03-05
[31]
논문
ASPEN Safe Practices for Enteral Nutrition Therapy
https://eclass.hua.g[...]
2016-11-17
[32]
논문
Urgent: Field Correction Cortrak* 2 Enteral Access System (EAS)
https://static.foxne[...]
2022-03-21
[33]
웹사이트
Avanos Medical faces Class I recall for feeding tube system linked to 23 deaths since 2015
https://www.fiercebi[...]
2023-01-16
[34]
논문
Avanos Medical Recalls Cortrak*2 Enteral Access System for Risk of Misplaced Enteral Tubes Could Cause Patient Harm
https://www.fda.gov/[...]
2022-05-16
[35]
논문
Community acquired bacterial pneumonia
2010-02-01
[36]
서적
Textbook of pulmonary medicine
https://books.google[...]
Jaypee Brothers Medical Pub.
2023-09-00 # Dead link date, approximated to the beginning of the month.
[37]
학술지
Severe acute respiratory syndrome coronavirus 2 (SARS-CoV-2) and coronavirus disease-2019 (COVID-19): The epidemic and the challenges
2020-03-00
[38]
서적
Oxford Desk Reference: Respiratory Medicine
https://books.google[...]
Oxford University Press
[39]
학술지
Adjunctive corticosteroids for Pneumocystis jiroveci pneumonia in patients with HIV infection
2015-04-00
[40]
서적 # 추정
Chapter 37
[41]
학술지
Parasitic lung infections
2009-05-00
[42]
서적
Clinical infectious diseases: a practical approach
https://books.google[...]
Oxford Univ. Press
[43]
서적
Diffuse parenchymal lung disease: 47 tables
Karger
[44]
학술지
Lipoid pneumonia: an overview
https://www.worldcat[...]
2010-12-00
[45]
학술지
Pneumonia and other respiratory infections
2009-02-00
[46]
서적
Dorland's illustrated medical dictionary
https://archive.org/[...]
Saunders
2000-00-00
[47]
서적
Pathophysiology of disease: an introduction to clinical medicine
McGraw-Hill Medical
[48]
서적
Diagnosis and management of pneumonia and other respiratory infections
https://books.google[...]
Professional Communications
[49]
서적
Robbins and Cotran pathologic basis of disease.
Saunders/Elsevier
[50]
서적 # 추정
Chapter 31
[51]
서적
Textbook of pediatric emergency medicine
https://books.google[...]
Wolters Kluwer/Lippincott Williams & Wilkins Health
[52]
학술지
Viral pneumonia: epidemiological, clinical, pathophysiological and therapeutic aspects
2009-09-00
[53]
학술지
A systematic review on the diagnosis of pediatric bacterial pneumonia: when gold is bronze
2010-08-00
[54]
학술지
Signs and Symptoms That Rule out Community-Acquired Pneumonia in Outpatient Adults: A Systematic Review and Meta-Analysis
2019-00-00
[55]
학술지
Clinical gestalt to diagnose pneumonia, sinusitis, and pharyngitis: a meta-analysis
2019-07-00
[56]
서적
Comparative quantification of health risks
https://books.google[...]
World Health Organization
[57]
학술지
Does This Child Have Pneumonia?: The Rational Clinical Examination Systematic Review
2017-08-00
[58]
학술지
Clinical features for diagnosis of pneumonia in children younger than 5 years: a systematic review and meta-analysis
2015-04-00
[59]
학술지
Clinical symptoms and signs for the diagnosis of ''Mycoplasma pneumoniae'' in children and adolescents with community-acquired pneumonia
2012-10-00
[60]
학술지
[Predictive value of history and physical examination for the diagnosis of community-acquired pneumonia in adults: a literature review]
2007-04-00
[61]
학술지
Accuracy of Biomarkers for the Diagnosis of Adult Community-acquired Pneumonia: A Meta-analysis
2020-03-00
[62]
학술지
Effect of procalcitonin-guided antibiotic treatment on mortality in acute respiratory infections: a patient level meta-analysis
2018-01-00
[63]
학술지
Does this patient have influenza?
2005-02-00
[64]
웹사이트
Risk Factors for Pneumonia
https://www.cdc.gov/[...]
2022-09-30
[65]
학술지
BTS guidelines for the management of community acquired pneumonia in adults: update 2009
2009-10-00
[66]
서적
Fundamentals of diagnostic radiology
https://books.google[...]
Wolters Kluwer/Lippincott Williams & Wilkins
2012-03-20
[67]
학술지
Accuracy of Lung Ultrasonography in the Diagnosis of Pneumonia in Adults: Systematic Review and Meta-Analysis
https://journal.ches[...]
2017-02-00
[68]
학술지
Accuracy of Lung Ultrasonography versus Chest Radiography for the Diagnosis of Adult Community-Acquired Pneumonia: Review of the Literature and Meta-Analysis
2015-00-00
[69]
웹사이트
UOTW No. 34 – Ultrasound of the Week
https://www.ultrasou[...]
2015-01-20
[70]
학술지
Diagnosis and Treatment of Adults with Community-acquired Pneumonia. An Official Clinical Practice Guideline of the American Thoracic Society and Infectious Diseases Society of America
2019-10-00
[71]
서적
Stedman's medical dictionary.
https://archive.org/[...]
Lippincott Williams & Wilkins
[72]
논문
Radiological imaging in pneumonia: recent innovations
2007-05-00
[73]
논문
Pneumonia: classification, diagnosis and nursing management
https://journals.rcn[...]
2005-06-29
[74]
서적
Pocket Book of Hospital Care for Children: Guidelines for the Management of Common Illnesses with Limited Resources
https://books.google[...]
World Health Organization
[75]
논문
The alphabet soup of pneumonia: CAP, HAP, HCAP, NHAP, and VAP
2009-02-00
[76]
논문
Individualizing Risk of Multidrug-Resistant Pathogens in Community-Onset Pneumonia
2015-04-10
[77]
논문
Guidelines for the management of adults with hospital-acquired, ventilator-associated, and healthcare-associated pneumonia
https://www.atsjourn[...]
2005-02-00
[78]
논문
Community-acquired pneumonia
2015-09-00
[79]
논문
Vaccines for preventing influenza in healthy adults
2018-02-00
[80]
웹사이트
Seasonal Influenza (Flu)
https://www.cdc.gov/[...]
2011-06-29
[81]
논문
Infectious Diseases Society of America/American Thoracic Society consensus guidelines on the management of community-acquired pneumonia in adults
2007-03-00
[82]
논문
Pneumococcal conjugate vaccines for preventing vaccine-type invasive pneumococcal disease and X-ray defined pneumonia in children less than two years of age
2009-10-00
[83]
웹사이트
WHO Pneumococcal conjugate vaccines
https://www.who.int/[...]
2018-01-16
[84]
웹사이트
Pneumococcal Disease Vaccines – PCV13 and PPSV23 CDC
https://www.cdc.gov/[...]
2018-01-16
[85]
논문
Vaccines for preventing pneumococcal infection in adults
2013-01-00
[86]
논문
Pneumococcal vaccines for preventing pneumonia in chronic obstructive pulmonary disease
2017-01-00
[87]
논문
Amantadine and rimantadine for influenza A in adults
2006-04-00
[88]
논문
Neuraminidase inhibitors for preventing and treating influenza in healthy adults and children
2014-04-00
[89]
웹사이트
Pneumonia (Fact sheet N°331)
https://www.who.int/[...]
2012-08-00
[90]
웹사이트
Pneumonia Can Be Prevented – Vaccines Can Help
https://www.cdc.gov/[...]
2012-10-22
[91]
논문
Community-acquired pneumonia in HIV-infected children: a global perspective
https://journals.lww[...]
2010-05-00
[92]
논문
HIV-associated Pneumocystis pneumonia
2011-06-00
[93]
논문
Prophylaxis for Pneumocystis pneumonia (PCP) in non-HIV immunocompromised patients
2014-10-00
[94]
논문
Screening for group B Streptococcus in pregnant women: a systematic review and meta-analysis
2011-11-00
[95]
논문
Chlamydia trachomatis infections in neonates and young children
https://www.scienced[...]
2005-10-00
[96]
서적
Global Action Plan for Prevention and Control of Pneumonia (GAPP)
http://whqlibdoc.who[...]
World Health Organization
[97]
논문
Management of meconium at birth
https://www.scienced[...]
2009-04-00
[98]
논문
Oral health care and aspiration pneumonia in frail older people: a systematic literature review
https://onlinelibrar[...]
2013-03-00
[99]
논문
Oral care measures for preventing nursing home-acquired pneumonia
2018-09-00
[100]
논문
Zinc supplementation for the prevention of pneumonia in children aged 2 months to 59 months
2016-12-00
[101]
논문
Vitamin C supplementation for prevention and treatment of pneumonia
2021-11-18
[102]
논문
Heat and moisture exchangers versus heated humidifiers for mechanically ventilated adults and children
2017-09-00
[103]
논문
Semi-recumbent position versus supine position for the prevention of ventilator-associated pneumonia in adults requiring mechanical ventilation
2016-01-00
[104]
논문
The management of community-acquired pneumonia in infants and children older than 3 months of age: clinical practice guidelines by the Pediatric Infectious Diseases Society and the Infectious Diseases Society of America
2011-10-00
[105]
논문
Chest physiotherapy for pneumonia in children
2019-01-00
[106]
논문
Chest physiotherapy for pneumonia in adults
2022-09-06
[107]
논문
Over-the-counter (OTC) medications to reduce cough as an adjunct to antibiotics for acute pneumonia in children and adults
2014-03-01
[108]
논문
Zinc supplementation as an adjunct to antibiotics in the treatment of pneumonia in children 2 to 59 months of age
2011-10-01
[109]
논문
Vitamin A for non-measles pneumonia in children
2005-07-01
[110]
논문
Vitamin D as an adjunct to antibiotics for the treatment of acute childhood pneumonia
2023-01-12
[111]
논문
Severe community-acquired pneumonia: timely management measures in the first 24 hours
2016-08-01
[112]
논문
Oxygen therapy for pneumonia in adults
https://www.cochrane[...]
2012-03-01
[113]
논문
Prone Position for Acute Respiratory Distress Syndrome. A Systematic Review and Meta-Analysis
https://www.atsjourn[...]
2017-10-01
[114]
논문
Antibiotics for community-acquired pneumonia in adult outpatients
2014-10-01
[115]
논문
Diagnosis and treatment of community-acquired pneumonia
http://www.aafp.org/[...]
2006-02-01
[116]
웹사이트
Pneumonia Fact Sheet
https://www.who.int/[...]
2016-09-01
[117]
논문
Antibiotics for community-acquired pneumonia in children
2013-06-01
[118]
논문
Empiric antibiotic coverage of atypical pathogens for community-acquired pneumonia in hospitalized adults
2012-09-01
[119]
논문
Antibiotic Therapy for Adults Hospitalized With Community-Acquired Pneumonia: A Systematic Review
https://jamanetwork.[...]
2016-02-01
[120]
논문
Oral antibiotics versus parenteral antibiotics for severe pneumonia in children
2006-04-01
[121]
논문
Systematic Review and Meta-analysis of the Efficacy of Short-Course Antibiotic Treatments for Community-Acquired Pneumonia in Adults
2018-09-01
[122]
논문
How long should we treat community-acquired pneumonia?
2007-04-01
[123]
논문
Short-course versus prolonged-course antibiotic therapy for hospital-acquired pneumonia in critically ill adults
2015-08-01
[124]
논문
Short-course versus long-course antibiotic therapy for non-severe community-acquired pneumonia in children aged 2 months to 59 months
https://ecommons.aku[...]
2008-04-01
[125]
논문
3 days' antibiotic is effective in childhood pneumonia
https://evidence.nih[...]
2022-05-27
[126]
논문
Amoxicillin duration and dose for community-acquired pneumonia in children: the CAP-IT factorial non-inferiority RCT
https://www.journals[...]
2021-11-04
[127]
논문
Corticosteroids for pneumonia
2017-12-01
[128]
논문
Efficacy of corticosteroid treatment for severe community-acquired pneumonia: A meta-analysis
https://www.scienced[...]
2018-02-01
[129]
논문
Granulocyte-colony stimulating factor (G-CSF) as an adjunct to antibiotics in the treatment of pneumonia in adults
https://www.cochrane[...]
2007-04-01
[130]
논문
Pulmonary aspiration syndromes
https://journals.lww[...]
2011-05-01
[131]
논문
Aspiration pneumonia and pneumonitis
[132]
논문
Management of community-acquired pneumonia in the home: an American College of Chest Physicians clinical position statement
2005-05-01
[133]
서적
Textbook of pulmonary medicine
https://books.google[...]
Jaypee Brothers Medical Pub.
[134]
서적
Chapter 32
[135]
서적
[136]
논문
Demographics, guidelines, and clinical experience in severe community-acquired pneumonia
[137]
논문
Management of pleural effusion, empyema, and lung abscess
2011-03-01
[138]
서적
[139]
웹사이트
Mortality and Burden of Disease Estimates for WHO Member States in 2002
https://www.who.int/[...]
[140]
논문
Community-acquired pneumonia: an unfinished battle
2011-11-01
[141]
논문
Pneumonia – management in the developing world
https://www.scienced[...]
2011-03-00
[142]
논문
Global, regional, and national causes of child mortality: an updated systematic analysis for 2010 with time trends since 2000
https://www.thelance[...]
2012-06-00
[143]
논문
Epidemiology and etiology of childhood pneumonia
2008-05-00
[144]
논문
The magnitude of mortality from acute respiratory infections in children under 5 years in developing countries
[145]
논문
Pneumococcal vaccines. WHO position paper
1999-06-00
[146]
웹사이트
Community-Acquired Pneumonia in Infants and Children
https://www.idsociet[...]
2023-01-16
[147]
논문
Overview of Emergency Department Visits in the United States, 2011
https://www.hcup-us.[...]
Agency for Healthcare Research and Quality
2014-06-00
[148]
서적
Textbook of Pediatric Infectious Diseases
https://books.google[...]
W. B. Saunders
[149]
서적
Oxford Dictionary of English
https://books.google[...]
OUP Oxford
2010-00-00
[150]
서적
On acute diseases
https://en.wikisourc[...]
[151]
서적
Fusul Musa ("Pirkei Moshe")
[152]
논문
Beiträge zur Kenntniss der pathogenen Schistomyceten. VII Die Monadinen
1875-12-10
[153]
논문
Über die Schizomyceten bei der acuten fibrösen Pneumonie
https://zenodo.org/r[...]
1882-02-04
[154]
논문
Über die genuine Pneumonie, Verhandlungen des Congress für innere Medicin
1884-04-21
[155]
논문
Über die isolierte Färbung der Schizomyceten in Schnitt- und Trocken-präparaten
1884-03-15
[156]
서적
Scientific American
https://books.google[...]
Munn & Company
1887-09-24
[157]
서적
Dail and Hammar's pulmonary pathology
https://books.google[...]
Springer
[158]
서적
The principles and practice of medicine: designed for the use of practitioners and students of medicine
https://archive.org/[...]
D. Appleton
[159]
웹사이트
Thomas Jefferson University: Tradition and Heritage
https://jdc.jefferso[...]
1989-00-00
[160]
논문
Decline of childhood Haemophilus influenzae type b (Hib) disease in the Hib vaccine era
1993-01-00
[161]
논문
Decline in invasive pneumococcal disease after the introduction of protein-polysaccharide conjugate vaccine
2003-05-00
[162]
웹사이트
World Pneumonia Day Official Website
http://worldpneumoni[...]
Fiinex
2011-08-13
[163]
논문
Call to action on world pneumonia day
2012-11-00
[164]
웹사이트
Household Component Summary Data Tables
http://meps.ahrq.gov[...]
[165]
웹사이트
Household Component Summary Data Tables
http://meps.ahrq.gov[...]
[166]
뉴스
One hospital charges $8,000 – another, $38,000
https://www.washingt[...]
[167]
논문
Clinical and economic burden of community-acquired pneumonia among adults in Europe
2012-01-00
[168]
웹사이트
What Is Pneumonia?
http://www.nhlbi.nih[...]
2011-03-01
[169]
웹사이트
How Is Pneumonia Treated?
http://www.nhlbi.nih[...]
2011-03-01
[170]
웹사이트
How Can Pneumonia Be Prevented?
http://www.nhlbi.nih[...]
2011-03-01
[171]
논문
Viral pneumonia
2011-04-09
[172]
논문
Antibiotics for community-acquired pneumonia in children.
2013-06-04
[173]
간행물
平成30年(2018)人口動態統計月報年計(概数)の概況
https://www.mhlw.go.[...]
[174]
서적
Principles and Practice of Medicine, 4th Edition
http://mcgovern.libr[...]
D. Appleton and Company
[175]
웹사이트
11月12日は世界肺炎デー:COVID-19で医療用酸素不足、医療サービスの中断も影響
https://medical.jiji[...]
時事メディカル
2020-11-12
[176]
서적
Chest medicine : essentials of pulmonary and critical care medicine
https://books.google[...]
Lippincott Williams & Wilkins
[177]
학술지
Community-Acquired Pneumonia: From Common Pathogens To Emerging Resistance
https://www.ebmedici[...]
2005-12
[178]
광고
Pyny-Pectoral 広告
https://dl.ndl.go.jp[...]
1898
[179]
학술지
Community-acquired pneumonia: an unfinished battle
2011-11
[180]
간행물
平成22年(2010)人口動態統計(確定数)の概況>人口動態統計年報 主要統計表(最新データ、年次推移)>14ページ 第7表 死因順位(第5位まで)別にみた死亡数・死亡率(人口10万対)の年次推移
https://www.mhlw.go.[...]
厚生労働省
[181]
간행물
平成23年度>第6表 死亡数・死亡率(人口10万対),死因簡単分類別
https://www.mhlw.go.[...]
厚生労働省
[182]
간행물
平成23年度>第7表 死因順位(1~5位)別死亡数・死亡率(人口10万対),性・年齢(5歳階級)別
https://www.mhlw.go.[...]
厚生労働省
[183]
간행물
平成25年度>第6表 死亡数・死亡率(人口10万対),死因簡単分類別
https://www.mhlw.go.[...]
厚生労働省
[184]
간행물
平成25年度>第7表 死因順位(1~5位)別死亡数・死亡率(人口10万対),性・年齢(5歳階級)別
https://www.mhlw.go.[...]
厚生労働省
[185]
간행물
平成27年度>第6表 死亡数・死亡率(人口10万対),死因簡単分類別
https://www.mhlw.go.[...]
厚生労働省
[186]
간행물
平成27年度>第7表 死因順位(1~5位)別死亡数・死亡率(人口10万対),性・年齢(5歳階級)別
https://www.mhlw.go.[...]
厚生労働省
[187]
학술지
Pneumonia - management in the developing world
2011-03
[188]
학술지
Global, regional, and national causes of child mortality: an updated systematic analysis for 2010 with time trends since 2000
2012-06
[189]
학술지
Epidemiology and etiology of childhood pneumonia
2008-05
[190]
학술지
The magnitude of mortality from acute respiratory infections in children under 5 years in developing countries
[191]
학술지
Pneumococcal vaccines. WHO position paper
1999-06
[192]
웹사이트
Overview of Emergency Department Visits in the United States, 2011
https://www.hcup-us.[...]
Agency for Healthcare Research and Quality
2014-06
[193]
웹사이트
人口動態調査
https://www.mhlw.go.[...]
厚生労働省
2022-01-23
[194]
보고서
令和2年(2020)人口動態統計(確定数)の概況 結果の概要
https://www.mhlw.go.[...]
2021-09-10
[195]
학술지
Radiological imaging in pneumonia: recent innovations
2007-05
[196]
학술지
Community acquired bacterial pneumonia
2010-02
[197]
서적
Chapter 31
[198]
학술지
Viral pneumonia: epidemiological, clinical, pathophysiological, and therapeutic aspects
2009-09
[199]
서적
Textbook of pulmonary medicine
https://books.google[...]
Jaypee Brothers Medical Pub.
[200]
학술지
薬剤性肺炎の病態、診断、治療
https://doi.org/10.5[...]
日本臨床薬理学会
[201]
학술지
防水スプレーの吸入により急性肺障害を呈した一例
https://doi.org/10.3[...]
松江市立病院
[202]
서적
Emergency Medicine: A Comprehensive Study Guide (Emergency Medicine (Tintinalli))
McGraw-Hill Companies
[203]
학술지
Prospective Evaluation of Point-of-Care Ultrasonography for the Diagnosis of Pneumonia in Children and Young Adults
[204]
학술지
Ultrasonography of the Lungs and Pleurae for the Diagnosis of Pneumonia in Children
[205]
학술지
医療ケア関連肺炎
[206]
웹사이트
特発性器質化肺炎
https://www.jrs.or.j[...]
日本呼吸器学会
[207]
학술지
Vitamin C for preventing and treating pneumonia
http://cochranelibra[...]
2013-08
[208]
서적
予防接種の現場で困らない まるわかりワクチンQ&A
日本医事新報社
2015-04-10
[209]
서적
ワクチンと予防接種のすべて 見直されるその威力
金原出版
2019-10-15
[210]
서적
予防接種の現場で困らない まるわかりワクチンQ&A
日本医事新報社
2015-04-10
[211]
서적
ワクチンと予防接種のすべて 見直されるその威力
金原出版
2019-10-15
[212]
웹사이트
Fall vaccination roundup
https://www.health.h[...]
2022-09-01
[213]
논문
Prospective multicenter study of the causative organisms of community-acquired pneumonia in adults in Japan
https://doi.org/10.1[...]
[214]
논문
順天堂医院における耐性菌の年次推移と現状
https://search.jamas[...]
順天堂大学
[215]
논문
Excess antibiotic treatment duration and adverse events in patients hospitalized with pneumonia: A multihospital cohort study
[216]
논문
Duration of antibiotic therapy: Shorter is better
[217]
웹사이트
과민성 폐렴
https://www.msdmanua[...]
[218]
논문
過敏性肺炎の最近の動向
[219]
간행물
添付文書 テトラサイクリン系抗生物質製剤
http://database.japi[...]
[220]
서적
The encyclopedia of infectious diseases
https://books.google[...]
Facts on File
2011-04-21
[221]
서적
Textbook of pulmonary medicine
https://books.google[...]
Jaypee Brothers Medical Pub.
[222]
서적
Respiratory disease and its management
https://archive.org/[...]
Springer
[223]
서적
Alcamo's Fundamentals of Microbiology
https://books.google[...]
Jones & Bartlett
[224]
웹사이트
Who Is at Risk for Pneumonia?
http://www.nhlbi.nih[...]
2011-03-01
[225]
웹사이트
How Is Pneumonia Diagnosed?
http://www.nhlbi.nih[...]
2011-03-01
[226]
논문
Pneumonia: update on diagnosis and management
http://www.bmj.com/c[...]
2006-05-01
[227]
웹사이트
How Can Pneumonia Be Prevented?
http://www.nhlbi.nih[...]
2011-03-01
[228]
웹사이트
How Is Pneumonia Treated?
http://www.nhlbi.nih[...]
2011-03-01
[229]
논문
Viral pneumonia
2011-04-01
[230]
논문
Antibiotics for community-acquired pneumonia in children
2013-06-01
[231]
기타
[232]
서적
Harrison's Principles of Interal Medicine
[233]
서적
Harrison's Principles of Interal Medicine
본 사이트는 AI가 위키백과와 뉴스 기사,정부 간행물,학술 논문등을 바탕으로 정보를 가공하여 제공하는 백과사전형 서비스입니다.
모든 문서는 AI에 의해 자동 생성되며, CC BY-SA 4.0 라이선스에 따라 이용할 수 있습니다.
하지만, 위키백과나 뉴스 기사 자체에 오류, 부정확한 정보, 또는 가짜 뉴스가 포함될 수 있으며, AI는 이러한 내용을 완벽하게 걸러내지 못할 수 있습니다.
따라서 제공되는 정보에 일부 오류나 편향이 있을 수 있으므로, 중요한 정보는 반드시 다른 출처를 통해 교차 검증하시기 바랍니다.
문의하기 : help@durumis.com
