탄력섬유성위황색종
"오늘의AI위키"의 AI를 통해 더욱 풍부하고 폭넓은 지식 경험을 누리세요.
1. 개요
탄력섬유성위황색종은 막 수송에 관여하는 유전자 변이로 인해 발생하는 유전 질환이다. 피부, 눈, 심혈관계에 병변이 나타나며, 피부와 혈관벽의 탄력 섬유 변성, 파열, 석회화가 주요 원인이다. ABCC6 유전자 변이가 가장 흔한 원인이며, 상염색체 열성 유전 방식으로 유전된다. 증상으로는 피부에 황색 구진, 시력 저하, 심혈관 질환 등이 나타날 수 있으며, 확진은 피부 생검과 망막 검사를 통해 이루어진다. 현재까지 완치법은 없으며, 증상 완화를 위한 대증 치료와 연구 중인 치료법들이 있다.
더 읽어볼만한 페이지
- 상염색체 열성 질환 - 윌슨병
윌슨병은 구리가 간과 뇌에 축적되어 발생하는 유전 질환으로, ATP7B 유전자 돌연변이가 원인이며, 간 기능 장애, 신경정신과적 증상, 카이저-플라이셔 고리 등의 증상이 나타난다. - 상염색체 열성 질환 - 색소성 건피증
색소성 건피증은 자외선에 손상된 DNA 복구 기능 저하로 발생하는 유전 질환으로, 햇빛 과민반응, 피부암, 신경계 이상을 유발하며, 자외선 차단과 피부암 예방을 주요 치료 목표로 하는 '어둠의 아이들'이라고도 불리는 질환이다. - 피부 질환 - 류마티스 관절염
류마티스 관절염은 관절 활막의 만성 염증성 질환으로, 조기 진단과 적극적인 치료를 통해 질병 진행을 늦추고 삶의 질을 향상시키는 것이 중요하며, 진단에는 류마티스 인자와 항CCP 항체가 사용되고 메토트렉세이트 등의 약물로 치료한다. - 피부 질환 - 두드러기
두드러기는 피부에 붉은 팽진과 가려움증을 동반하는 질환으로, 다양한 원인에 의해 발생하며 급성 및 만성으로 분류되고, 항히스타민제 등의 치료를 받는다.
탄력섬유성위황색종 | |
---|---|
개요 | |
![]() | |
다른 이름 | 그뢴블라드-스트란드베리 증후군 그론블라드-스트란드베리 증후군 |
임상 정보 | |
증상 | 불특정 |
합병증 | 불특정 |
발병 시기 | 불특정 |
지속 기간 | 불특정 |
종류 | 불특정 |
원인 | |
원인 | 유전적 요인 |
위험 요인 | 불특정 |
진단 | |
진단 방법 | 불특정 |
감별 진단 | 불특정 |
예방 및 치료 | |
예방 | 불특정 |
치료 | 불특정 |
약물 | 불특정 |
예후 및 빈도 | |
예후 | 불특정 |
빈도 | 불특정 |
사망률 | 불특정 |
2. 원인
탄력섬유성위황색종(가성 탄력섬유종) 임상 사례의 80%에서 ''ABCC6'' 유전자 변이가 감지된다.[18][19][20][21] 유전자의 거의 모든 부분에서 모든 유형(미스센스, 넌센스, 스플라이스 변이, 삽입, 소규모 결손 또는 대규모 결손)의 변이가 보고되었다. 상염색체 우성 유전 보고도 있었지만, 일반적으로 상염색체 열성 유전이다(양쪽 부모 모두 보인자여야 하고, 자녀가 유전자 비정상 사본을 ''둘 다'' 물려받아 질병이 발생할 확률은 25%이다).[3]
ABCC6 단백질을 암호화하는 ''ABCC6'' 유전자 변이와 강력한 유전적 연관성이 발견되었는데, 이 단백질은 대규모 ATP-결합 카세트 수송체 계열의 막 수송체이다. 이 단백질은 대부분의 기관에서 발현되지만, 주로 간과 신장에서 발현된다. ABCC6는 간에서 ATP 방출을 매개한다. 이는 순환하는 피로인산(PPi)의 주요 공급원이며, 탄력섬유성위황색종 환자는 혈장 PPi 수치가 현저히 감소하여 석회화 장애를 설명한다.[22] 한 연구에 따르면 ABCC6 단백질이 완전히 부재하게 만드는 변이가 더 심각한 질병을 유발한다고 제안했지만,[23] 이후의 사례 연구에서 이를 확인할 수 없었다.[24] 발병 연령과 중증도의 변동을 고려할 때, 다른 알려지지 않은 위험 요소(유전적, 환경적, 생활 방식)가 관련될 가능성이 높다.[3]
조기 죽상경화증 또한 탄력섬유성위황색종이 없는 사람에서도 ''ABCC6'' 유전자 변이와 관련이 있다.[25] 혈색소병증(겸상 적혈구 빈혈 및 지중해 빈혈) 환자에서, 잘 알려지지 않은 메커니즘을 통해 유전성 탄력섬유성위황색종과 거의 구별할 수 없는 증후군이 기술되었다.[3] 또한, 유사한 표현형을 나타내지만 다른 유전자, 감마-글루타밀 카르복실화 효소의 문제로 인한 또 다른 탄력섬유성위황색종 유사 증후군이 있는 것으로 보인다.[26] ''ABCC6'' 유전자 변이는 영아의 전신 동맥 석회화를 유발할 수도 있다.[27] 탄력섬유성위황색종의 일부 경우, ''ABCC6'' 유전자 변이를 찾을 수 없으며, ''ENPP1''과 같은 다른 유전자가 연루될 수 있다.[28]
탄력섬유성위황색종은 막 수송에 관여하는 유전자(MRP6, 다약제 내성 연관 단백질 6/multidrug resistance-associated protein 6영어, ABCC6, ATP 결합 카세트 하위군 C 구성원 6/ATP-binding cassette sub-family C member 6영어)의 이상으로 발생하는 유전성 질환이다. 피부, 눈, 심혈관계에 병변이 생긴다. 피부와 혈관벽의 탄력 섬유의 변성, 파열, 석회화가 병태의 주된 원인이다.
ABCC6의 변이는 열성 유전한다. 병원 유전자 ABCC6이 특정된 것은 1999년이다.
2. 1. 유전적 요인
탄력섬유성위황색종(가성 탄력섬유종) 임상 사례의 80%에서 ''ABCC6'' 유전자 변이가 감지된다.[18][19][20][21] 유전자의 거의 모든 부분에서 모든 유형(미스센스, 넌센스, 스플라이스 변이, 삽입, 소규모 결손 또는 대규모 결손)의 변이가 보고되었다. 상염색체 우성 유전 보고도 있었지만, 일반적으로 상염색체 열성 유전이다(양쪽 부모 모두 보인자여야 하고, 자녀가 유전자 비정상 사본을 ''둘 다'' 물려받아 질병이 발생할 확률은 25%이다).[3]
ABCC6 단백질을 암호화하는 ''ABCC6'' 유전자 변이와 강력한 유전적 연관성이 발견되었는데, 이 단백질은 대규모 ATP-결합 카세트 수송체 계열의 막 수송체이다. 이 단백질은 대부분의 기관에서 발현되지만, 주로 간과 신장에서 발현된다. ABCC6는 간에서 ATP 방출을 매개한다. 이는 순환하는 피로인산(PPi)의 주요 공급원이며, 탄력섬유성위황색종 환자는 혈장 PPi 수치가 현저히 감소하여 석회화 장애를 설명한다.[22] 한 연구에 따르면 ABCC6 단백질이 완전히 부재하게 만드는 변이가 더 심각한 질병을 유발한다고 제안했지만,[23] 이후의 사례 연구에서 이를 확인할 수 없었다.[24] 발병 연령과 중증도의 변동을 고려할 때, 다른 알려지지 않은 위험 요소(유전적, 환경적, 생활 방식)가 관련될 가능성이 높다.[3]
조기 죽상경화증 또한 탄력섬유성위황색종이 없는 사람에서도 ''ABCC6'' 유전자 변이와 관련이 있다.[25] 혈색소병증(겸상 적혈구 빈혈 및 지중해 빈혈) 환자에서, 잘 알려지지 않은 메커니즘을 통해 유전성 탄력섬유성위황색종과 거의 구별할 수 없는 증후군이 기술되었다.[3] 또한, 유사한 표현형을 나타내지만 다른 유전자, 감마-글루타밀 카르복실화 효소의 문제로 인한 또 다른 탄력섬유성위황색종 유사 증후군이 있는 것으로 보인다.[26] ''ABCC6'' 유전자 변이는 영아의 전신 동맥 석회화를 유발할 수도 있다.[27] 탄력섬유성위황색종의 일부 경우, ''ABCC6'' 유전자 변이를 찾을 수 없으며, ''ENPP1''과 같은 다른 유전자가 연루될 수 있다.[28]
탄력섬유성위황색종은 막 수송에 관여하는 유전자(MRP6, 다약제 내성 연관 단백질 6/multidrug resistance-associated protein 6영어, ABCC6, ATP 결합 카세트 하위군 C 구성원 6/ATP-binding cassette sub-family C member 6영어)의 이상으로 발생하는 유전성 질환이다. 피부, 눈, 심혈관계에 병변이 생긴다. 피부와 혈관벽의 탄력 섬유의 변성, 파열, 석회화가 병태의 주된 원인이다.
ABCC6의 변이는 열성 유전한다. 병원 유전자 ABCC6이 특정된 것은 1999년이다.
2. 1. 1. 유전자 변이와 질병의 발현
가성 탄력섬유종 임상 사례의 80%에서 ''ABCC6'' 유전자 변이가 감지된다.[18][19][20][21] 유전자의 거의 모든 부분에서, 모든 유형(미스센스, 넌센스, 스플라이스 변이, 삽입, 소규모 결손 또는 대규모 결손)의 변이가 보고되었다. 상염색체 우성 유전의 보고도 있었지만, 일반적으로 상염색체 열성 유전이며(양쪽 부모 모두 보인자여야 하고, 자녀가 유전자 비정상 사본을 ''둘 다'' 물려받아 질병이 발생할 확률은 25%이다).[3]
ABCC6 단백질을 암호화하는 ''ABCC6'' 유전자 변이와 강력한 유전적 연관성이 발견되었는데, 이 단백질은 대규모 ATP-결합 카세트 수송체 계열의 막 수송체이다. 이 단백질은 대부분의 기관에서 발현되지만, 주로 간과 신장에서 발현된다. ABCC6는 간에서 ATP 방출을 매개한다. 이는 순환하는 피로인산(PPi)의 주요 공급원이며, 가성 탄력섬유종 환자는 혈장 PPi 수치가 현저히 감소하여 석회화 장애를 설명한다.[22] 한 연구에 따르면 ABCC6 단백질이 완전히 부재하게 만드는 변이가 더 심각한 질병을 유발한다고 제안했지만,[23] 이후의 사례 연구에서 이를 확인할 수 없었다.[24] 발병 연령과 중증도의 변동을 고려할 때, 다른 알려지지 않은 위험 요소(유전적, 환경적, 생활 방식)가 관련될 가능성이 높다.[3]
조기 죽상경화증 또한 가성 탄력섬유종이 없는 사람에서도 ''ABCC6'' 유전자 변이와 관련이 있다.[25] 혈색소병증(겸상 적혈구 빈혈 및 지중해 빈혈) 환자에서, 잘 알려지지 않은 메커니즘을 통해 유전성 가성 탄력섬유종과 거의 구별할 수 없는 증후군이 기술되었다.[3] 또한, 유사한 표현형을 나타내지만 다른 유전자, 감마-글루타밀 카르복실화 효소의 문제로 인한 또 다른 가성 탄력섬유종 유사 증후군이 있는 것으로 보인다.[26] ''ABCC6'' 유전자 변이는 영아의 전신 동맥 석회화를 유발할 수도 있다.[27] 가성 탄력섬유종의 일부 경우, ''ABCC6'' 유전자 변이를 찾을 수 없으며, ''ENPP1''과 같은 다른 유전자가 연루될 수 있다.[28]
탄력섬유성가성황색종은 막 수송에 관여하는 유전자(MRP6 [다약제 내성 연관 단백질 6], ABCC6 [ATP 결합 카세트 하위군 C 구성원 6])의 이상으로 발생하는 유전성 질환이다. 피부, 눈, 심혈관계에 병변이 생긴다. 피부와 혈관벽의 탄력 섬유의 변성, 파열, 석회화가 병태의 주된 원인이다.
ABCC6의 변이는 열성 유전한다. 병원 유전자 ABCC6이 특정된 것은 1999년이다.
2. 2. 기타 요인
탄력섬유성가성황색종은 막 수송에 관여하는 유전자(MRP6 [다약제 내성 연관 단백질 6], ABCC6 [ATP 결합 카세트 하위군 C 구성원 6])의 이상으로 발생하는 유전성 질환이다. 피부, 눈, 심혈관계에 병변이 생긴다. 피부와 혈관벽의 탄력 섬유의 변성, 파열, 석회화가 병태의 주된 원인이다. ABCC6의 변이는 열성 유전한다. 병원 유전자 ABCC6이 특정된 것은 1999년이다.3. 증상
옆목, 겨드랑이, 사타구니, 팔꿈치 안쪽 등에 황색조를 띤 편평한 구진이 나타난다. 가려움이나 통증과 같은 자각 증상은 동반되지 않는다.[10]
눈의 경우 시력 장애로 자각되며, 안저 소견으로 혈관 모양 선조(angeoid streaks)가 나타난다.[12][3][4] 또한 탄력섬유성위황색종(PXE)에서는 망막 색소 상피와 맥락막 사이에 존재하는 브루크막에 변성, 파열이 일어나 황반 변성이나 망막 색소 선조 등이 나타난다. 또한 브루크막의 변성으로 인해 경미한 충격에도 안저 출혈이나 망막 박리가 발생할 수 있다.[13]
고혈압, 동맥 경화, 협심증, 뇌경색, 소화관 출혈, 간헐성 파행 등이 나타난다.[14][15][16] 심혈관 병변은 사망의 원인이 되기도 한다.
3. 1. 피부 증상
일반적으로 탄력섬유성위황색종은 소아기 또는 초기 청소년기에 피부에 먼저 영향을 미치는 경우가 많다.[7] 작고 노란색의 구진 병변이 형성되며, 피부 이완은 주로 목, 겨드랑이, 사타구니 및 굴곡 부위(팔꿈치 안쪽과 무릎)에 영향을 미친다.[3][8] 피부가 이완되고 헐거워질 수 있다. 많은 사람들에게 "사선 턱 주름"(턱의 수평 홈)이 나타난다.[9] 옆목, 겨드랑이, 사타구니, 팔꿈치 안쪽 등에 황색조를 띤 편평한 구진이 나타나는데, 가려움이나 통증과 같은 자각 증상은 동반되지 않는다. 병변은 무증상이며 성장과 확산의 확률적 패턴을 보인다.[10]3. 2. 눈 증상
PXE는 먼저 브루크막(혈관이 풍부한 층을 망막의 색소층과 분리하는 얇은 막)의 함몰을 통해 망막에 영향을 미치며, 이는 안과 검사 중에만 관찰할 수 있다.[11] 이것을 오렌지 껍질이라고 한다. 결국 브루크 막의 탄력 섬유의 광물화는 혈관줄이라고 하는 균열을 생성하며, 이는 시신경에서 방사형으로 뻗어 나간다. 혈관줄 자체는 시야 왜곡을 일으키지 않으며, 황반 영역으로 교차하더라도 마찬가지이다. 이 증상은 거의 모든 PXE 환자에게 나타나며, 일반적으로 피부 병변이 시작된 지 몇 년 후에 발견된다.[12] 이러한 균열은 브루크 막에 의해 처음에는 억제되었던 작은 혈관이 망막으로 침투하도록 허용할 수 있다. 이러한 혈관은 때때로 누출되며, 이러한 망막 출혈은 중심 시력 상실로 이어질 수 있다. 시력 상실은 많은 PXE 환자에게 주요 문제이다.[12][3][4]또한, PXE 환자는 시신경 유두(ONH) 드루젠, 즉 시신경 내 석회화된 병변이 발생할 위험이 더 크다. 망막 동맥 폐쇄 및 시신경병증과 같은 추가적인 합병증을 예방하기 위해 주의 깊은 모니터링을 고려해야 한다.[13] 탄력섬유성위황색종(PXE)에서는 망막 색소 상피와 맥락막 사이에 존재하는 브루크막에 변성, 파열이 일어나 황반 변성이나 망막 색소 선조 등이 나타난다. 또한 브루크막의 변성으로 인해 경미한 충격에도 안저 출혈이나 망막 박리가 발생할 수 있다.
3. 3. 심혈관계 증상
탄력섬유성위황색종(PXE)은 혈관벽에 석회화 물질이 축적되어 다양한 심혈관계 문제를 일으킨다.[14] 환자는 운동 시 다리에 경련성 통증이 유발되는 간헐성 파행과 말초 동맥 질환의 위험이 높아질 수 있다.[15] 뇌 동맥 폐쇄는 혈류 감소 또는 차단을 유발하여 일과성 허혈 발작(TIA) 및 뇌졸중과 같은 심각한 합병증을 초래할 수 있다. 관상 동맥 질환으로 인한 관상 순환계 막힘은 협심증 및 심근 경색(심장 마비)으로 이어질 수 있다.[16] PXE에서의 뇌 허혈은 작은 혈관 폐쇄성 질환으로 인해 발생한다.고혈압, 동맥 경화, 협심증, 뇌경색, 소화관 출혈 등도 나타날 수 있으며, 이러한 심혈관 병변은 사망의 원인이 되기도 한다.
3. 4. 기타 증상
위장관 출혈은 드문 증상이며, 주로 위에서의 출혈과 관련된다.다른 드문 신경학적 합병증으로는 두개 내 동맥류, 지주막하 출혈 및 뇌내 출혈이 있을 수 있다.[17] 피부에는 옆목, 겨드랑이, 사타구니, 팔꿈치 안쪽 등에 황색조를 띤 편평한 구진이 나타나는데, 가려움이나 통증과 같은 자각 증상은 동반되지 않는다. 눈의 경우 시력 장애로 자각되며, 안저 소견으로 혈관 모양 선조(angeoid streaks)가 나타난다. 또한 탄력섬유성위황색종(PXE)에서는 브루크막에 변성, 파열이 일어나 황반 변성이나 망막 색소 선조 등이 나타나고, 경미한 충격에도 안저 출혈이나 망막 박리가 발생할 수 있다. 심혈관계에는 고혈압, 동맥 경화, 협심증, 뇌경색, 소화관 출혈, 간헐성 파행 등이 나타나며, 심혈관 병변은 사망의 원인이 되기도 한다.
4. 병태 생리
결합 조직의 탄성 섬유를 포함하는 섬유, 특히 진피의 중간층, 브루크막 및 중간 크기의 동맥에서 칼슘 및 기타 무기질의 축적인 석회화가 발생한다.[29] 최근 연구에 따르면 탄력섬유성위황색종은 대사 질환이며, 비타민 K의 대사 산물이 말초 조직에 도달할 수 없기 때문에 이러한 특징이 나타난다고 확인되었다.[30] PPi의 낮은 수치는 말초 조직의 석회화를 유발한다.[22]
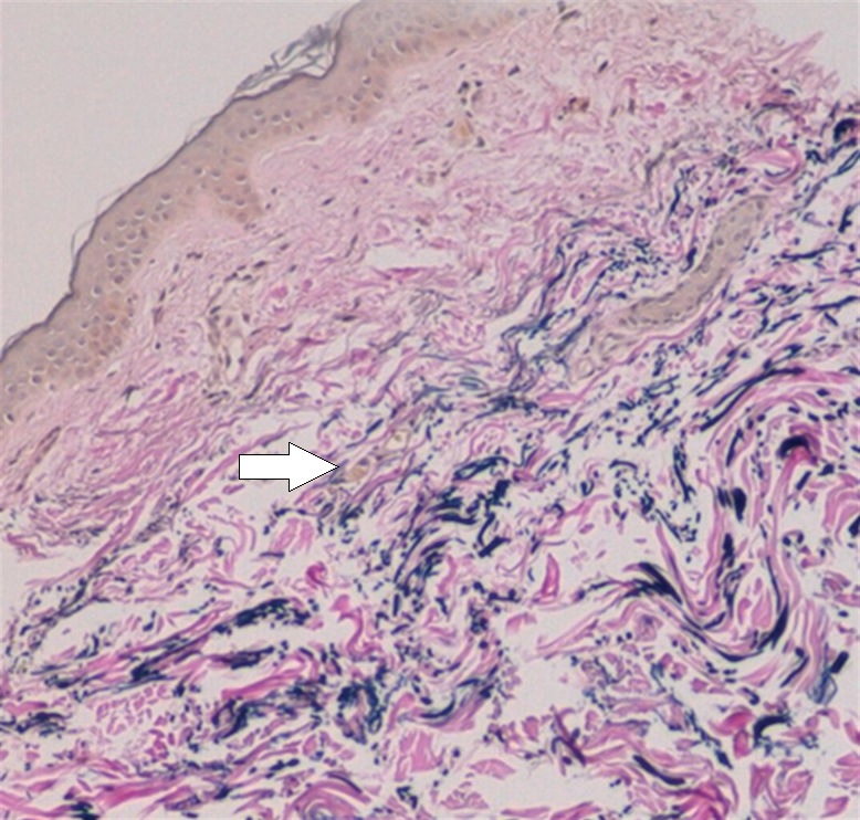
5. 진단
탄력섬유성위황색종(PXE)의 진단 기준은 전형적인 피부 생검 소견과 망막의 맥락막 균열의 존재 여부이다.[33] 이 기준은 2010년 PXE 연구 컨소시엄의 격년 연구 회의에서 임상의와 연구자들의 합의를 통해 수립되었으며,[31] 2014년 회의에서 확인되었다.[32]
이러한 합의 기준에 따르면 확정적인 PXE는 ''ABCC6'' 유전자의 두 가지 병원성 돌연변이 또는 눈 소견(20세 미만의 개인에서 맥락막 균열 > 1 DD 또는 오렌지 껍질 모양)과 함께 다음과 같은 피부 소견으로 특징지어진다.
- 목이나 굴곡 부위에 특징적인 가성황색종성 구진 및 반점.
- 병변 피부의 진단적 조직병리학적 변화: 중간 및 하부 진피의 석회화된 탄성 섬유로, 칼슘 염색 양성으로 확인.


5. 1. 진단 기준
탄력섬유성위황색종(PXE)의 진단 기준은 전형적인 피부 생검 소견과 망막의 맥락막 균열의 존재 여부이다.[33] 이 기준은 2010년 PXE 연구 컨소시엄의 격년 연구 회의에서 임상의와 연구자들의 합의를 통해 수립되었으며,[31] 2014년 회의에서 확인되었다.[32]이러한 합의 기준에 따르면 확정적인 PXE는 ''ABCC6'' 유전자의 두 가지 병원성 돌연변이 또는 눈 소견(20세 미만의 개인에서 맥락막 균열 > 1 DD 또는 오렌지 껍질 모양)과 함께 다음과 같은 피부 소견으로 특징지어진다.
- 목이나 굴곡 부위에 특징적인 가성황색종성 구진 및 반점.
- 병변 피부의 진단적 조직병리학적 변화: 중간 및 하부 진피의 석회화된 탄성 섬유로, 칼슘 염색 양성으로 확인.
5. 2. 감별 진단
6. 치료
확실하게 질병 과정을 직접적으로 방해하는 치료법은 없다.[5][6]
탄력섬유성위황색종(PXE) 환자들의 미용적인 외관을 개선하기 위해 과도한 피부를 제거하는 성형 수술이 사용되어 왔지만,[5] 이러한 증상이 생명을 위협하는 것은 아니기 때문에 신중하게 사용해야 한다.[6]
PXE의 가장 중요한 증상 중 하나는 시력 저하를 유발할 수 있는 맥락막 신생혈관이다. 광역학 치료법이 치료법으로 사용되었지만, 현재는 혈관 내피 성장 인자 (VEGF) 억제제(예: 베바시주맙, 라니비주맙, 아플리버셉트)[6]로 대체되었으며, 이는 황반 변성 치료에서 사용되는 것과 유사한 효과를 보인다.[4]
심혈관 증상을 제한하기 위해 생활 방식의 변화를 통해 심혈관 위험 요소를 줄이는 것이 권장된다.[6] 일반적으로 임상의는 눈과 위장관 출혈을 예방하기 위해 아스피린 및 이부프로펜과 같이 출혈 위험을 증가시키는 비스테로이드성 소염제(NSAIDs)의 사용을 피하도록 권장한다.[6]
과거에는 칼슘 섭취 제한이 시도되었으나 효과가 없었으며, 실제로 쥐의 석회화를 가속화시켰다.[34] 현재 시험 중이거나 시험을 막 마친 여러 가지 잠재적 치료법이 있으며, 여기에는 마그네슘,[35] 에티드로네이트,[36] PPi,[37] 및 조직 비특이적 알칼라인 포스파타제 억제제가 포함된다.[38]
ABCC6 이형접합 돌연변이가 PXE의 증상을 거의 유발하지 않는다는 점을 감안할 때, 이 질환은 유전자 치료의 후보가 된다. 일부 초기 증명 실험이 PXE의 일부 증상을 완화시킨 쥐에서 수행되었지만, 모든 유전자 치료법과 마찬가지로 치료 효과의 지속성을 보장하고 삽입 돌연변이 및 심각한 면역 반응의 위험을 줄이는 것을 포함하여 극복해야 할 많은 과제가 있다.[6]
대증 요법만으로는 완치시키는 치료법은 없다.
6. 1. 대증 치료
확실하게 질병 과정을 직접적으로 방해하는 치료법은 없다.[5][6]탄력섬유성위황색종(PXE) 환자들의 미용적인 외관을 개선하기 위해 과도한 피부를 제거하는 성형 수술이 사용되어 왔지만,[5] 이러한 증상이 생명을 위협하는 것은 아니기 때문에 신중하게 사용해야 한다.[6]
PXE의 가장 중요한 증상 중 하나는 시력 저하를 유발할 수 있는 맥락막 신생혈관이다. 광역학 치료법이 치료법으로 사용되었지만, 현재는 혈관 내피 성장 인자 (VEGF) 억제제(예: 베바시주맙, 라니비주맙, 아플리버셉트)[6]로 대체되었으며, 이는 황반 변성 치료에서 사용되는 것과 유사한 효과를 보인다.[4]
심혈관 증상을 제한하기 위해 생활 방식의 변화를 통해 심혈관 위험 요소를 줄이는 것이 권장된다.[6] 일반적으로 임상의는 눈과 위장관 출혈을 예방하기 위해 아스피린 및 이부프로펜과 같이 출혈 위험을 증가시키는 비스테로이드성 소염제(NSAIDs)의 사용을 피하도록 권장한다.[6]
과거에는 칼슘 섭취 제한이 시도되었으나 효과가 없었으며, 실제로 쥐의 석회화를 가속화시켰다.[34] 현재 시험 중이거나 시험을 막 마친 여러 가지 잠재적 치료법이 있으며, 여기에는 마그네슘,[35] 에티드로네이트,[36] PPi,[37] 및 조직 비특이적 알칼라인 포스파타제 억제제가 포함된다.[38]
ABCC6 이형접합 돌연변이가 PXE의 증상을 거의 유발하지 않는다는 점을 감안할 때, 이 질환은 유전자 치료의 후보가 된다. 일부 초기 증명 실험이 PXE의 일부 증상을 완화시킨 쥐에서 수행되었지만, 모든 유전자 치료법과 마찬가지로 치료 효과의 지속성을 보장하고 삽입 돌연변이 및 심각한 면역 반응의 위험을 줄이는 것을 포함하여 극복해야 할 많은 과제가 있다.[6]
대증 요법만으로는 완치시키는 치료법은 없다.
6. 2. 연구 중인 치료법
확실하게 질병 과정을 직접적으로 방해하는 치료법은 없다.[5][6] 과거에는 칼슘 섭취 제한이 시도되었으나 효과가 없었으며, 실제로 쥐의 석회화를 가속화시켰다.[34] 현재 시험 중이거나 시험을 막 마친 여러 가지 잠재적 치료법이 있으며, 여기에는 마그네슘,[35] 에티드로네이트,[36] PPi,[37] 및 조직 비특이적 알칼라인 포스파타제 억제제가 포함된다.[38] ABCC6 이형접합 돌연변이가 탄력섬유성위황색종의 증상을 거의 유발하지 않는다는 점을 감안할 때, 이 질환은 유전자 치료의 후보가 된다. 일부 초기 증명 실험이 탄력섬유성위황색종의 일부 증상을 완화시킨 쥐에서 수행되었지만, 모든 유전자 치료법과 마찬가지로 치료 효과의 지속성을 보장하고 삽입 돌연변이 및 심각한 면역 반응의 위험을 줄이는 것을 포함하여 극복해야 할 많은 과제가 있다.[6]7. 역학
탄력섬유성위황색종(PXE)의 보고된 유병률은 약 1:25,000이다.[39] 여성은 남성보다 2배 더 많이 이 질환의 영향을 받는다.[39] 이 질환은 모든 인종에서 발생하지만, 아프리카너는 창시자 효과의 결과로 PXE를 가질 가능성이 더 높다.[39] 즉, 아프리카너가 유래된 소수의 사람들에서 더 높은 유병률을 보인다.[39] 통계적으로는 수만 명 중 한 명의 비율로 발병한다.
8. 역사
탄력섬유성위황색종(PXE)을 다른 황색종 질환과 구별하여 처음으로 기술한 것은 1896년 페르디난드-장 다르리에 박사였다.[40] "그뢴블라드-스트란드베르크 증후군"이라는 명칭은 이 질환의 증상에 대해 더 많은 발견을 한 두 의사의 이름을 따서, 오래된 문헌에서 사용된다.[41]
PXE는 일반인이 돌연변이 유전자를 발견한 유일한 질병이라는 점에서 특이하다. ''ABCC6'' 유전자 돌연변이는 4개의 연구팀에 의해 동시에 발견되었으며, 모두 같은 시기에 발표되었다. 주요 연구자들은 (발표 순서대로) 요니 우이토,[18] 아서 버겐,[19] 찰스 보이드,[20] 그리고 클라우스 린드페인터였다.[21] 이 유전자는 찰스 D. 보이드, 카탈린 시사르, 올리비에 르소, 졸트 어번, 샤론 테리에 의해 특허를 받았으며, 이 공동 발명가들에 의해 PXE 인터내셔널에 할당되었다. 미국 대법원이 유전자에 대한 특허를 허용하지 않는다고 판결한 2013년까지[42] PXE 인터내셔널은 임상 검사 및 연구를 위해 유전자를 모든 연구소에 자유롭게 라이선스했다. PXE 인터내셔널은 다른 특허(진단 및 치료 특허)를 계속 보유하고 유지하고 있다.[43][44]
지원 단체인 PXE 인터내셔널은 두 자녀의 진단을 받은 후 1995년 패트릭과 샤론 테리에 의해 설립되었다.[45][46][47][48] 이 단체는 4,600명의 환자 등록부를 보유하고 있다.
9. 기타
참조
[1]
서적
Dermatology: 2-Volume Set
Mosby
[2]
논문
Pseudoxanthoma Elasticum as a Paradigm of Heritable Ectopic Mineralization Disorders: Pathomechanisms and Treatment Development
2019-02
[3]
논문
Pseudoxanthoma elasticum: a clinical, pathophysiological and genetic update including 11 novel ABCC6 mutations
2005-12
[4]
논문
Pseudoxanthoma elasticum: genetics, clinical manifestations and therapeutic approaches
[5]
논문
Pseudoxanthoma elasticum and skin: Clinical manifestations, histopathology, pathomechanism, perspectives of treatment
2015-08
[6]
논문
Pseudoxanthoma elasticum
2017-05
[7]
논문
Manifestations of pseudoxanthoma elasticum in childhood
2009-09
[8]
서적
Connective Tissue and Its Heritable Disorders: Molecular, Genetic, and Medical Aspects
John Wiley & Sons
2003
[9]
논문
Prominent mental (chin) crease: a new sign of pseudoxanthoma elasticum
2003-04
[10]
논문
Pseudoxanthoma elasticum and skin: Clinical manifestations, histopathology, pathomechanism, perspectives of treatment
https://www.jstage.j[...]
2015
[11]
논문
Frequency, Phenotypic Characteristics and Progression of Atrophy Associated With a Diseased Bruch's Membrane in Pseudoxanthoma Elasticum
2016-06
[12]
논문
Visual Acuity in Pseudoxanthoma Elasticum
2019-08
[13]
간행물
Optic Disc Drusen
http://www.ncbi.nlm.[...]
StatPearls Publishing
2024
[14]
논문
Pseudoxanthoma elasticum
2017-05-10
[15]
논문
Relationship between ankle brachial index and arterial remodeling in pseudoxanthoma elasticum
2011-11
[16]
논문
Prevalence and severity of arterial calcifications in pseudoxanthoma elasticum (PXE) compared to hospital controls. Novel insights into the vascular phenotype of PXE
2017-01
[17]
논문
Cerebral disease in a nationwide Dutch pseudoxanthoma elasticum cohort with a systematic review of the literature
2017-02
[18]
논문
Pseudoxanthoma elasticum: mutations in the MRP6 gene encoding a transmembrane ATP-binding cassette (ABC) transporter
2000-05
[19]
논문
Mutations in ABCC6 cause pseudoxanthoma elasticum
2000-06
[20]
논문
Mutations in a gene encoding an ABC transporter cause pseudoxanthoma elasticum
2000-06
[21]
논문
Mutations of the gene encoding the transmembrane transporter protein ABC-C6 cause pseudoxanthoma elasticum
[22]
논문
ABCC6-mediated ATP secretion by the liver is the main source of the mineralization inhibitor inorganic pyrophosphate in the systemic circulation-brief report
2014-09
[23]
논문
Novel mutations in the ABCC6 gene of German patients with pseudoxanthoma elasticum
2005-06
[24]
논문
Mutation detection in the ABCC6 gene and genotype-phenotype analysis in a large international case series affected by pseudoxanthoma elasticum
2007-10
[25]
논문
Frequent mutation in the ABCC6 gene (R1141X) is associated with a strong increase in the prevalence of coronary artery disease
2002-08
[26]
논문
Pseudoxanthoma elasticum-like phenotype with cutis laxa and multiple coagulation factor deficiency represents a separate genetic entity
2007-03
[27]
논문
Mutations in the ABCC6 gene as a cause of generalized arterial calcification of infancy: genotypic overlap with pseudoxanthoma elasticum
2014-03
[28]
논문
Genetic heterogeneity of pseudoxanthoma elasticum: the Chinese signature profile of ABCC6 and ENPP1 mutations
2015-05
[29]
논문
Extracutaneous ultrastructural alterations in pseudoxanthoma elasticum
[30]
논문
Pseudoxanthoma elasticum: clinical phenotypes, molecular genetics and putative pathomechanisms
2009-01
[31]
논문
Pseudoxanthoma elasticum: progress in diagnostics and research towards treatment : Summary of the 2010 PXE International Research Meeting
2011-07
[32]
논문
Visual Acuity in Pseudoxanthoma Elasticum
2014-06
[33]
논문
Histopathology of Pseudoxanthoma Elasticum and Related Disorders: Histological Hallmarks and Diagnostic Clues
[34]
논문
Restricting dietary magnesium accelerates ectopic connective tissue mineralization in a mouse model of pseudoxanthoma elasticum (Abcc6(-/-) )
2012-09
[35]
논문
Magnesium supplementation in the treatment of pseudoxanthoma elasticum: A randomized trial
2019-07
[36]
논문
Etidronate for Prevention of Ectopic Mineralization in Patients With Pseudoxanthoma Elasticum
2018-03
[37]
논문
Oral administration of pyrophosphate inhibits connective tissue calcification
2017-11
[38]
논문
"-/- Mouse Model of PXE but Not in the Enpp1 Mutant Mouse Models of GACI"
2019-02
[39]
논문
Evidence for a founder effect for pseudoxanthoma elasticum in the Afrikaner population of South Africa
2002-10
[40]
논문
Pseudoxanthoma elasticum
1896
[41]
문서
WhoNamedIt
[42]
뉴스
Justices, 9-0, Bar Patenting Human Genes
https://www.nytimes.[...]
The New York Times
2013-06-13
[43]
웹사이트
Methods and Composition for Diagnosing and Treating Pseudoxanthoma Elasticum and Related Conditions
https://assignment.u[...]
United States Patent and Trademark Office
2019-08-24
[44]
웹사이트
Methods for Diagnosing Pseudoxanthoma Elasticum
https://assignment.u[...]
United States Patent and Trademark Office
2019-08-24
[45]
논문
Learning genetics
2003
[46]
논문
Life as a numerator: Putting the person in personal genomics
2016-03
[47]
간행물
Science didn't understand my kids' rare disease until I decided to study it
https://www.ted.com/[...]
2017-06-15
[48]
웹사이트
Sharon Terry: When Siblings Get A Rare Diagnosis, Can Their Parents Find the Cure? TED Radio Hour.
https://www.npr.org/[...]
2019-08-24
[49]
서적
Dermatology: 2-Volume Set
Mosby
[50]
저널
Pseudoxanthoma elasticum: a clinical, pathophysiological and genetic update including 11 novel ABCC6 mutations
http://jmg.bmj.com/c[...]
[51]
저널
Pseudoxanthoma elasticum: genetics, clinical manifestations and therapeutic approaches
본 사이트는 AI가 위키백과와 뉴스 기사,정부 간행물,학술 논문등을 바탕으로 정보를 가공하여 제공하는 백과사전형 서비스입니다.
모든 문서는 AI에 의해 자동 생성되며, CC BY-SA 4.0 라이선스에 따라 이용할 수 있습니다.
하지만, 위키백과나 뉴스 기사 자체에 오류, 부정확한 정보, 또는 가짜 뉴스가 포함될 수 있으며, AI는 이러한 내용을 완벽하게 걸러내지 못할 수 있습니다.
따라서 제공되는 정보에 일부 오류나 편향이 있을 수 있으므로, 중요한 정보는 반드시 다른 출처를 통해 교차 검증하시기 바랍니다.
문의하기 : help@durumis.com