간질환
"오늘의AI위키"의 AI를 통해 더욱 풍부하고 폭넓은 지식 경험을 누리세요.
1. 개요
간 질환은 100가지가 넘는 다양한 질병을 포괄하며, 간흡충증, 간염, 알코올성 간 질환, 지방간 질환, 유전 질환, 간경변, 간암 등이 대표적이다. 간 질환은 바이러스 감염, 알코올 과다 섭취, 유전적 요인, 자가면역 반응, DNA 손상, 염증 반응, 섬유화, 장내 미생물, 대기 오염 등 다양한 원인에 의해 발생하며, 황달, 간성 뇌증, 혈액 응고 장애, 위장관 출혈 등의 증상과 징후를 나타낼 수 있다. 진단은 간 기능 검사, 영상 검사(초음파, CT, MRI), 간 생검 등을 통해 이루어지며, 치료는 원인 치료, 증상 완화 치료, 합병증 치료, 간 이식 등을 포함한다. 예방을 위해서는 예방 접종(A형 및 B형 간염), 건강한 생활 습관(금주, 균형 잡힌 식단, 규칙적인 운동, 건강한 체중 유지), 정기적인 검진이 중요하다.
더 읽어볼만한 페이지
- 간질환 - 지방간
지방간은 간에 중성 지방이 과도하게 축적되어 발생하는 질환으로, 알코올성 및 비알코올성으로 분류되며, 비만, 당뇨병 등과 관련이 깊고 간 섬유화, 간경변, 간암으로 진행될 수 있어 섭취 칼로리 조절, 약물 치료 등을 통해 치료한다. - 간질환 - 윌슨병
윌슨병은 구리가 간과 뇌에 축적되어 발생하는 유전 질환으로, ATP7B 유전자 돌연변이가 원인이며, 간 기능 장애, 신경정신과적 증상, 카이저-플라이셔 고리 등의 증상이 나타난다. - 알코올이 건강에 미치는 영향 - 숙취
숙취는 과도한 알코올 섭취 후 두통, 피로, 메스꺼움, 인지 기능 저하 등의 불쾌한 증상들이 나타나는 현상으로, 아세트알데히드 축적, 탈수, 저혈당, 면역 체계 불균형 등 다양한 요인이 복합적으로 작용하여 발생하며, 개인의 요인에 따라 다르게 나타나 사회 경제적 손실을 초래하기도 한다. - 알코올이 건강에 미치는 영향 - 소화기 질환
소화기 질환은 구강부터 항문, 간, 췌장, 담낭 등 소화기관에 발생하는 다양한 질환을 포괄하는 용어로, 위식도 역류 질환, 위염, 궤양, 염증성 장 질환, 췌장염, 간염, 담석증 등이 있으며 감염, 자가면역, 유전, 생활 습관 등 원인이 다양하고, 내시경, 영상, 혈액 검사 등으로 진단하여 약물, 수술, 영양 관리 등으로 치료한다.
| 간질환 | |
|---|---|
| 질병 개요 | |
| 분야 | 간학, 위장병학 |
| 증상 | 해당 없음 |
| 합병증 | 해당 없음 |
| 발병 시기 | 해당 없음 |
| 지속 기간 | 해당 없음 |
| 종류 | 지방간 질환, 간염 (및 기타) |
| 원인 | 해당 없음 |
| 위험 요인 | 해당 없음 |
| 진단 | 간 기능 검사 |
| 감별 진단 | 해당 없음 |
| 예방 | 해당 없음 |
| 치료 | 종류에 따라 다름 (종류 섹션 참조) |
| 약물 | 해당 없음 |
| 예후 | 해당 없음 |
| 빈도 | 해당 없음 |
| 사망자 수 | 해당 없음 |
| 추가 정보 | |
| 관련 질병 | 간 손상 |
2. 간 질환의 종류
간 질환은 매우 다양하며, 100가지가 넘는 종류가 있다.[3] 주요 간 질환은 다음과 같이 분류할 수 있다.
- '''감염성 간 질환''': 간흡충증, 간염 등
- '''알코올성 간 질환''': 지방간, 알코올성 간염, 간경변 등
- '''비알코올성 지방간 질환''': 비만 및 대사 증후군과 관련됨
- '''유전성 간 질환''': 혈색소증, 윌슨병, 알파 1-안티트립신 결핍증, 글리코겐 저장 질환 2형, 트랜스티레틴 관련 유전성 아밀로이드증, 길버트 증후군 등
- '''자가면역성 간 질환''': 자가면역 간염, 원발성 담즙성 간경변증, 원발성 경화성 담관염 등
- '''기타 간 질환'''
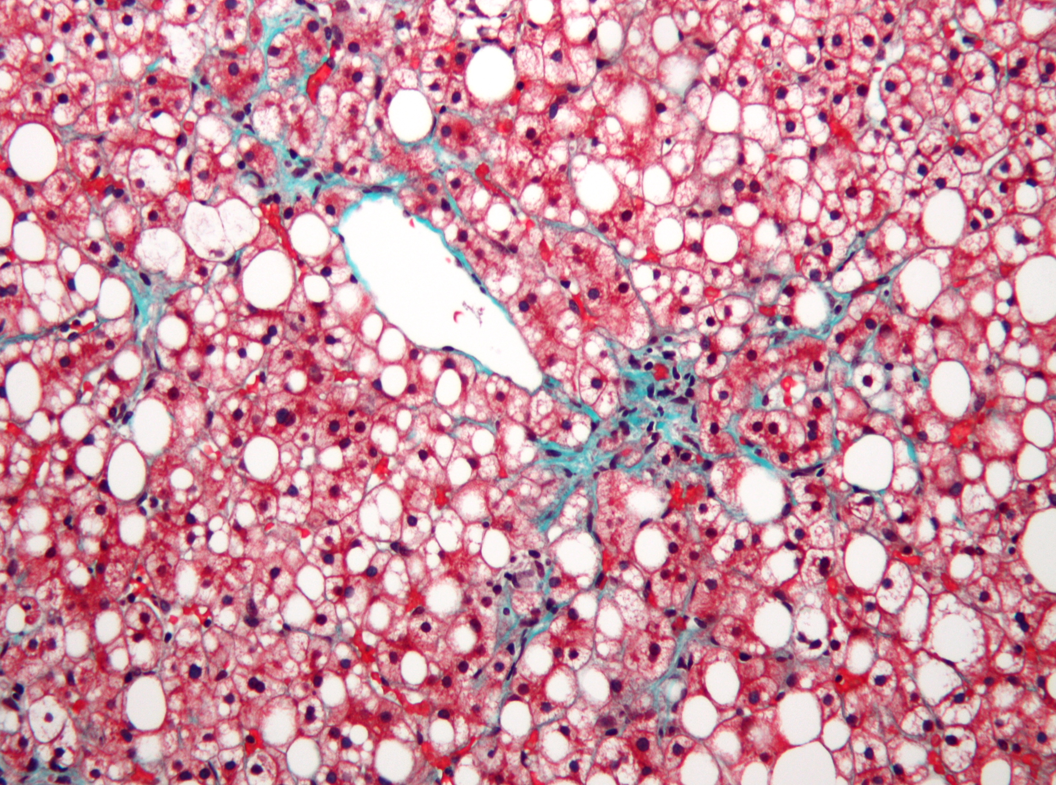
- '''지방간 질환(간 지방증)''': 간세포에 트리글리세리드 지방이 축적되는 가역적인 상태이다.[7]
- '''간경변''': 다양한 원인으로 간세포가 파괴되고 섬유 조직으로 대체되어 발생하며, 만성 간부전을 유발한다.[14]
- '''원발성 간암''': 간세포암, 담관암, 혈관육종, 혈관내피육종 등
- '''버드-키아리 증후군''': 간 정맥 폐쇄로 인해 발생한다.[18]
2. 1. 감염성 간 질환
- 간흡충증은 ''간흡충'' 속의 간흡충에 의해 발생하는 간의 기생충 감염으로, 주로 ''Fasciola hepatica''에 의해 발생한다.[4]
- 간염은 간의 염증으로, 다양한 바이러스(바이러스성 간염)뿐만 아니라 일부 간 독소(예: 알코올성 간염), 자가면역(자가면역 간염) 또는 유전적 질환에 의해 발생한다.[5]
2. 2. 알코올성 간 질환
과도한 음주로 인해 지방간, 알코올성 간염, 간경변 등이 발생할 수 있다. "약물 유발성" 또는 "독성" 간 질환과 같이 다양한 약물에 의해 발생하는 질환을 가리키는 용어도 사용된다.[6]2. 3. 비알코올성 지방간 질환

비알코올성 지방간 질환은 비만 및 대사 증후군과 관련된 일련의 질병이다.[8]
2. 4. 유전성 간 질환
다음은 간에 손상을 유발하는 유전 질환이다.- 혈색소증: 신체 내에 철이 축적되는 질환이다.[9]
- 윌슨병
- 알파 1-안티트립신 결핍증: 간 손상이 나타나는 질환이다.[10]
- 글리코겐 저장 질환 2형: 간 손상이 나타나는 질환이다.[11]
- 트랜스티레틴 관련 유전성 아밀로이드증: 간에서 심각한 신경퇴행성 또는 심장병을 유발하는 돌연변이 트랜스티레틴 단백질을 생성한다. 간 이식을 통해 치료할 수 있다.[12]
- 길버트 증후군: 인구의 소수에서 발견되는 빌리루빈 대사의 유전 질환으로, 경미한 황달을 유발할 수 있다.[13]
2. 5. 자가면역성 간 질환
면역 체계 이상으로 인해 발생하는 간 질환은 다음과 같다.- 자가면역 간염: 간 세포에 대한 면역 반응으로 인해 간에 염증이 생기는 질환이다.[5]
- 원발성 담즙성 간경변증: 담세관에 대한 자가면역 질환으로, 담즙 흐름이 막히면서 간 손상이 발생한다.[16]
- 원발성 경화성 담관염: 담관에 만성적인 염증이 생기는 질환으로, 정확한 원인은 밝혀지지 않았지만 자가면역 기전이 관여하는 것으로 알려져 있다.[17]
2. 6. 기타 간 질환
간 질환은 100가지가 넘으며, 가장 흔한 질환은 다음과 같다.[3]
- 간흡충증은 ''간흡충'' 속의 간흡충에 의해 발생하는 간의 기생충 감염으로, 주로 ''Fasciola hepatica''에 의해 발생한다.[4]
- 간염은 간의 염증으로, 다양한 바이러스(바이러스성 간염)뿐만 아니라 일부 간 독소(예: 알코올성 간염), 자가면역, 유전적 질환에 의해 발생한다.[5]
- 알코올성 간 질환은 과도한 음주의 간 증상으로, 지방간, 알코올성 간염, 간경변을 포함한다. "약물 유발성" 또는 "독성" 간 질환과 같은 유사한 용어도 다양한 약물에 의해 발생하는 질환을 지칭하는 데 사용된다.[6]
- 지방간 질환 (간 지방증)은 간세포에 트리글리세리드 지방의 큰 공포가 축적되는 가역적인 상태이다.[7] 비알코올성 지방간 질환은 비만 및 대사 증후군과 관련된 일련의 질병이다.[8]
- 간에 손상을 유발하는 유전 질환으로는 신체 내 철 축적과 관련된 혈색소증[9]과 윌슨병이 있다. 간 손상은 알파 1-안티트립신 결핍증[10] 및 글리코겐 저장 질환 2형의 임상적 특징이기도 하다.[11]
- 트랜스티레틴 관련 유전성 아밀로이드증에서 간은 심각한 신경퇴행성 또는 심장병 유발 효과가 있는 돌연변이 트랜스티레틴 단백질을 생성한다. 간 이식은 치료가 가능하다.[12]
- 길버트 증후군은 인구의 소수에서 발견되는 빌리루빈 대사의 유전 질환으로, 경미한 황달을 유발할 수 있다.[13]
- 간경변은 바이러스성 간염, 과도한 음주 및 기타 형태의 간 독성을 포함한 다양한 원인으로 사망한 간세포 대신 섬유 조직(섬유증)이 형성되는 것이다. 간경변은 만성 간부전을 유발한다.[14]
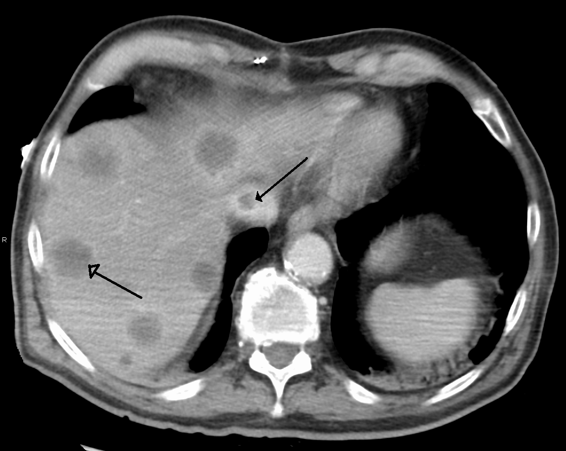
- 원발성 간암은 가장 일반적으로 간세포암 또는 담관암으로 나타난다. 더 드문 형태로는 간의 혈관육종 및 혈관내피육종이 있다. (많은 간 악성 종양은 위장관, 신장, 폐와 같은 다른 장기의 원발성 암에서 전이된 이차 병변이다.)[15]
- 원발성 담즙성 간경변증은 담세관의 심각한 자가면역 질환이다.[16]
- 원발성 경화성 담관염은 담관의 심각한 만성 염증 질환으로, 자가면역 기원으로 여겨진다.[17]
- 버드-키아리 증후군은 간 정맥의 혈관 폐쇄에 의해 발생하는 임상 양상이다.[18]
3. 간 질환의 증상 및 징후
간 질환에서 나타날 수 있는 증상과 징후는 다음과 같다.
3. 0. 1. 황달
황달[58]3. 0. 2. 간성 뇌증
간성 뇌증으로 인한 혼란과 의식 수준 변화가 나타날 수 있다.[59]3. 0. 3. 혈액 응고 장애
간질환에서는 혈소판감소증, 응고병증이 나타날 수 있다.[60] 특히 위장관계 출혈 위험이 높아진다.3. 0. 4. 기타 증상
4. 간 질환의 발생 기전
간 질환은 여러 가지 원인으로 발생할 수 있다. 흔한 질환은 다음과 같다.[3]
- 간흡충증: 간흡충에 의해 발생하는 기생충 감염이다.[4]
- 간염: 간의 염증으로, 바이러스, 간 독소, 자가면역, 유전적 질환 등에 의해 발생한다.[5]
- 알코올성 간 질환: 과도한 음주로 인해 발생하며, 지방간, 알코올성 간염, 간경변 등을 포함한다.[6]
- 지방간 질환: 간세포에 트리글리세리드 지방이 축적되는 상태이다. 비알코올성 지방간 질환은 비만, 대사 증후군과 관련이 있다.[7][8]
- 유전 질환: 혈색소증(철 축적)[9], 윌슨병, 알파 1-안티트립신 결핍증[10], 글리코겐 저장 질환 2형[11], 트랜스티레틴 관련 유전성 아밀로이드증[12], 길버트 증후군(빌리루빈 대사 이상)[13] 등이 간 손상을 유발한다.
- 간경변: 간세포가 섬유 조직으로 대체되는 질환으로, 만성 간부전을 유발한다.[14]
- 간암: 간세포암, 담관암, 혈관육종, 혈관내피육종 등이 있다.[15]
- 원발성 담즙성 간경변증: 담세관의 자가면역 질환이다.[16]
- 원발성 경화성 담관염: 담관의 만성 염증 질환이다.[17]
- 버드-키아리 증후군: 간 정맥 폐쇄로 발생한다.[18]
4. 0. 1. DNA 손상
DNA 손상 증가는 B형 간염 바이러스 또는 C형 간염 바이러스 감염, 과도한 음주, 비만을 포함한 주요 간 질환의 공통적인 특징 중 하나이다.[23]B형 간염 바이러스 또는 C형 간염 바이러스 감염은 활성 산소 증가를 유발한다. 세포 내 활성 산소 증가는 만성 B형 간염 바이러스 감염 시 약 10,000배, C형 간염 바이러스 감염 시 100,000배에 달한다.[24] 이러한 활성 산소 증가는 염증[24]과 20가지 이상의 DNA 손상을 유발한다.[25] 산화적 DNA 손상은 돌연변이를 일으키며,[26] DNA 복구 부위에서 후성 유전적 변형을 일으키기도 한다.[27] 후성 유전학적 변화와 돌연변이는 세포가 더 빨리 복제되거나 세포자멸사를 회피하게 하여 간 질환에 기여할 수 있다.[28] 축적된 후성 유전적 및 돌연변이 변화는 결국 간세포 암종을 유발하는데, 이때 후성 유전적 변화는 돌연변이보다 발암에 더 큰 역할을 하는 것으로 보인다. TP53 유전자만이 간암의 20% 이상에서 돌연변이를 일으키는 반면, 41개의 유전자는 각각 간암의 20% 이상에서 과메틸화된 프로모터(유전자 발현 억제)를 가지고 있다.[29]
과도한 알코올 섭취는 아세트알데히드의 축적을 유발한다. 아세트알데히드와 알코올 대사로 생성된 자유 라디칼은 DNA 손상과 산화 스트레스를 유발한다.[30][31][32] 또한, 알코올성 간 질환에서 호중구의 활성화는 활성 산소(DNA를 손상시킬 수 있음)를 방출하여 간세포 손상에 기여한다.[33] 알코올 섭취로 인한 산화 스트레스와 아세트알데히드 유도 DNA 부가물의 수준은 돌연변이 증가를 일으킬 만큼 충분하지 않은 것으로 보인다.[33] 그러나 산화적 DNA 손상(복구 가능)을 유발하는 알코올 노출은 DNA 복구 부위에서 후성 유전적 변화를 일으킬 수 있다.[27] 알코올 유도 유전자 발현의 후성 유전적 변화는 간 손상 및 궁극적으로 암종으로 이어진다.[34]
비만은 원발성 간암의 위험 증가와 관련이 있다.[35] 쥐를 대상으로 한 연구에서, 비만 쥐는 간암에 걸리기 쉬운데, 이는 두 가지 요인 때문일 가능성이 높다. 비만 쥐는 염증성 사이토카인이 증가한다. 또한 비만 쥐는 특정 장내 미생물에 의한 담즙산 변화의 산물인 데옥시콜산의 수치가 높으며, 이러한 미생물은 비만과 함께 증가한다. 과도한 데옥시콜산은 간에서 DNA 손상과 염증을 유발하며, 이는 간암으로 이어질 수 있다.[36]
4. 0. 2. 장내 미생물
틸그(Tilg) 등은 개인이 겪을 수 있는 다양한 유형의 간 질환에 대해 장내 미생물이 영향을 미치고 병태생리에 관여할 수 있다고 말한다.[43] 단일 세포 시퀀싱 및 키노믹 프로파일링과 같은 새로운 기술적 접근 방식의 도입으로 간의 정확한 원인과 병태생리를 매개하는 메커니즘에 대한 통찰력이 빠르게 발전하고 있다.[44]4. 0. 3. 대기 오염
미세 입자 또는 탄소 검댕은 흔한 대기 오염 물질이다. 이들은 간에 직접적인 독성 영향을 미치고, 간의 염증을 유발하며, 이는 지질 대사 및 지방간 질환에 영향을 미칠 수 있고, 폐에서 간으로 전이될 수 있다.[45]미세 입자와 탄소 검댕은 매우 다양하고 각기 다른 독성 역학을 가지고 있기 때문에 전이에 대한 자세한 메커니즘은 명확하지 않다. 미세 입자의 수용성 부분은 폐외 순환을 통해 간으로 전이되는 가장 중요한 부분이다. 미세 입자가 혈류에 들어가면 면역 세포와 결합하여 선천적 면역 반응을 자극한다. 염증성 사이토카인이 방출되어 질병 진행을 유발한다.[45]
5. 간 질환의 진단
간 기능 검사, 영상 검사, 간 생검 등 다양한 검사를 통해 간 질환을 진단할 수 있다. 간 기능 검사는 혈액 내 효소, 대사 물질, 생성물 등을 검사하는 방법이다.[46] 영상 검사는 일시적 탄성 측정법, 초음파, 자기 공명 영상(MRI) 등을 통해 간 조직과 담관을 확인하는 방법이다.[47] 간 생검은 간 조직을 직접 검사하여 질환을 구별하는 방법이다.[47]
이전에 진단되지 않은 간 질환은 부검 후에 처음으로 발견될 수 있다.
5. 0. 1. 혈액 검사
간 기능의 적절한 기능을 검사하기 위해 여러 간 기능 검사가 사용된다. 이러한 검사는 간 조직에 일반적으로 가장 풍부하게 존재하는 혈액 내 효소, 대사 물질 또는 생성물의 존재 여부를 검사한다. 혈청 단백질, 혈청 알부민, 혈청 글로불린, 알라닌 아미노전이효소, 아스파르테이트 아미노전이효소, 프로트롬빈 시간, 부분 트롬보플라스틴 시간 등이 이에 해당한다.[46]간 질환의 경우 프로트롬빈 시간이 평소보다 길다.[21] 또한, 질병에 걸린 간은 건강할 때처럼 생산적으로 응고 인자와 항응고 인자를 합성할 수 없으므로 두 가지 모두의 양이 감소한다.[48] 이 감소 추세에는 두 가지 예외가 있는데, 응고 인자 VIII과 폰 빌레브란트 인자, 즉 혈소판 접착 단백질이다.[48] 이 두 가지는 간 청소율 감소와 신체의 다른 부위에서 보상적인 생산 때문에 간 기능 부전 상황에서 오히려 상승한다.[48] 섬유소 용해는 일반적으로 만성 간 질환과 달리 급성 간부전 및 진행성 간 질환에서 더 빠르게 진행되며, 피브리노겐 농도는 변하지 않는다.[48]
5. 0. 2. 영상 검사
일시적 탄성 측정법, 초음파 및 자기 공명 영상(MRI)과 같은 영상 검사를 사용하여 간 조직과 담관을 볼 수 있다. 다양한 상태를 구별하기 위해 간 조직을 검사하는 간 생검을 수행할 수 있다. 탄성 측정법과 같은 검사를 통해 일부 상황에서 생검의 필요성을 줄일 수 있다.[47]5. 0. 3. 간 생검
일시적 탄성 측정법, 초음파, MRI와 같은 영상 검사를 통해 간 조직과 담관을 확인할 수 있다. 간 생검은 간 조직을 직접 검사하여 다양한 간 질환을 구별하는 데 사용될 수 있다. 탄성 측정법과 같은 검사는 일부 경우 간 생검의 필요성을 줄일 수 있다.[47]5. 0. 4. 기타 검사
간 기능 검사를 통해 간 기능의 적절한 기능을 검사할 수 있다. 이러한 검사는 간 조직에 가장 풍부하게 존재하는 혈액 내 효소, 대사 물질 또는 생성물의 존재 여부를 검사한다. 혈청 단백질, 혈청 알부민, 혈청 글로불린, 알라닌 아미노전이효소, 아스파르테이트 아미노전이효소, 프로트롬빈 시간, 부분 트롬보플라스틴 시간 등이 있다.[46]일시적 탄성 측정법, 초음파 및 자기 공명 영상과 같은 영상 검사를 사용하여 간 조직과 담관을 보여줄 수 있다. 다양한 상태를 구별하기 위해 간 조직을 검사하기 위해 간 생검을 수행할 수 있으며, 탄성 측정법과 같은 검사를 통해 일부 상황에서 생검의 필요성을 줄일 수 있다.[47]
간 질환의 경우 프로트롬빈 시간이 평소보다 길다.[21] 질병에 걸린 간은 건강할 때처럼 생산적으로 응고 인자와 항응고 인자를 합성할 수 없으므로 두 가지 모두의 양이 감소한다.[48] 이러한 감소 추세에는 두 가지 예외가 있는데, 응고 인자 VIII과 폰 빌레브란트 인자, 즉 혈소판 접착 단백질이다. 이 두 가지는 간 청소율의 감소와 신체의 다른 부위에서 보상적인 생산 때문에 간 기능 부전 상황에서 역으로 상승한다.[48] 섬유소 용해는 일반적으로 만성 간 질환과 달리 급성 간부전 및 진행성 간 질환에서 더 빠르게 진행되며, 피브리노겐 농도는 변하지 않는다.[48]
이전에 진단되지 않은 간 질환은 부검 후에 처음으로 명백해질 수 있다.
6. 간 질환의 치료
간 질환은 100가지가 넘는다.[3] 주요 질환은 다음과 같다.
- 간흡충증은 간흡충에 의해 발생하는 간의 기생충 감염이다.[4]
- 간염은 간의 염증으로, 바이러스, 간 독소, 자가면역, 유전적 질환 등에 의해 발생한다.[5]
- 알코올성 간 질환은 과도한 음주로 인해 발생하며, 지방간, 알코올성 간염, 간경변을 포함한다.[6]
- 지방간 질환은 간세포에 트리글리세리드 지방이 축적되는 상태이다.[7] 비알코올성 지방간 질환은 비만 및 대사 증후군과 관련이 있다.[8]
- 혈색소증[9], 윌슨병과 같은 유전 질환도 간 손상을 유발할 수 있다.
- 트랜스티레틴 관련 유전성 아밀로이드증은 간에서 생성된 돌연변이 트랜스티레틴 단백질이 신경퇴행성 또는 심장병을 유발하는 질환으로, 간 이식이 치료법이다.[12]
- 길버트 증후군은 빌리루빈 대사 이상으로 경미한 황달을 유발하는 유전 질환이다.[13]
- 간경변은 간세포가 섬유 조직으로 대체되는 질환으로, 만성 간부전을 유발한다.[14]
- 원발성 간암은 간세포암이나 담관암이 가장 흔하며, 드물게 혈관육종 등이 있다.[15]
- 원발성 담즙성 간경변증은 담세관의 자가면역 질환이다.[16]
- 원발성 경화성 담관염은 담관의 만성 염증 질환이다.[17]
- 버드-키아리 증후군은 간 정맥 폐쇄로 인해 발생한다.[18]
6. 0. 1. 원인 치료
B형 간염과 같은 감염을 치료하기 위해 항바이러스제가 사용될 수 있다.[49] 다른 질환들은 아래와 같이 질병의 진행을 늦추는 방식으로 관리할 수 있다.7. 간 질환 예방
간 질환을 예방하려면 건강한 생활 습관을 유지하는 것이 중요하다. 과도한 음주는 알코올성 간 질환을 유발할 수 있으므로 절제해야 하며, 비만은 비알코올성 지방간 질환의 원인이 되므로 적절한 체중을 유지해야 한다.[6][8] 또한, 간염 예방을 위해 A형 간염과 B형 간염 예방 접종을 하는 것이 좋다.[5]
참조
[1]
웹사이트
Liver Diseases
https://medlineplus.[...]
[2]
웹사이트
NHS Choices
http://www.nhs.uk/co[...]
2015-10-06
[3]
웹사이트
Liver disease – NHS Choices
http://www.nhs.uk/Co[...]
2015-06-20
[4]
웹사이트
CDC – Fasciola
https://www.cdc.gov/[...]
2015-06-20
[5]
웹사이트
Hepatitis
https://medlineplus.[...]
[6]
간행물
Alcoholic liver disease
MedlinePlusEncyclopedia
[7]
웹사이트
Hepatic steatosis
http://medical-dicti[...]
2015-06-20
[8]
웹사이트
Non-alcoholic fatty liver disease – NHS Choices
http://www.nhs.uk/co[...]
2015-06-20
[9]
웹사이트
Hemochromatosis
https://medlineplus.[...]
[10]
웹사이트
Alpha-1 Antitrypsin Deficiency
https://medlineplus.[...]
[11]
서적
Glycogen Storage Disease Type II (Pompe Disease)
University of Washington, Seattle
1993
[12]
웹사이트
Transthyretin amyloidosis
http://ghr.nlm.nih.g[...]
2015-06-20
[13]
웹사이트
Gilbert syndrome
http://ghr.nlm.nih.g[...]
2015-06-20
[14]
웹사이트
Cirrhosis: MedlinePlus Medical Encyclopedia
https://www.nlm.nih.[...]
2015-06-20
[15]
웹사이트
Liver cancer – Hepatocellular carcinoma: MedlinePlus Medical Encyclopedia
https://www.nlm.nih.[...]
2015-06-20
[16]
웹사이트
Primary biliary cirrhosis: MedlinePlus Medical Encyclopedia
https://www.nlm.nih.[...]
2015-06-20
[17]
웹사이트
Sclerosing cholangitis: MedlinePlus Medical Encyclopedia
https://www.nlm.nih.[...]
2015-06-20
[18]
웹사이트
Hepatic vein obstruction (Budd-Chiari): MedlinePlus Medical Encyclopedia
https://www.nlm.nih.[...]
2015-06-20
[19]
웹사이트
Liver Disease {{!}} NIDDK
https://www.niddk.ni[...]
2021-11-30
[20]
웹사이트
Alcoholic Liver Disease
https://www.lecturio[...]
2021-06-27
[21]
학술
Coagulopathy in liver disease.
[22]
학술
The Coagulopathy of Chronic Liver Disease
Massachusetts Medical Society
2011-07-14
[23]
웹사이트
Chronic Liver Disease/Cirrhosis | Johns Hopkins Medicine Health Library
https://www.hopkinsm[...]
2022-04-12
[24]
학술
Hepatitis B virus infection and alcohol consumption
2017-04-21
[25]
학술
Occurrence, Biological Consequences, and Human Health Relevance of Oxidative Stress-Induced DNA Damage
2016-12
[26]
학술
Oxidatively induced DNA damage: mechanisms, repair and disease
2012-12
[27]
학술
Oxidative stress and epigenetic instability in human hepatocarcinogenesis
[28]
학술
Exploration of liver cancer genomes
2014-06
[29]
학술
Genetics and epigenetics of liver cancer
2013-05
[30]
학술
Formation of acetaldehyde-derived DNA adducts due to alcohol exposure
2010-12
[31]
학술
Interplay of genetic and epigenetic alterations in hepatocellular carcinoma
2016-07
[32]
웹사이트
Drinking alcohol causes cancer by 'damaging DNA' - Independent.ie
https://www.independ[...]
2018-01-05
[33]
학술
Inflammation in alcoholic liver disease
2012-08
[34]
학술
Epigenetic effects of ethanol on the liver and gastrointestinal system
[35]
서적
Obesity and Cancer
[36]
웹사이트
Gut Bugs Could Explain Obesity-Cancer Link | Science | AAAS
https://www.science.[...]
2013-06-26
[37]
논문
Vertical transmission of hepatitis C virus: systematic review and meta-analysis
2014-09
[38]
논문
Hepatitis B virus: where do we stand and what is the next step for eradication?
2014-07
[39]
웹사이트
Hepatitis B and C: ways to promote and offer testing to people at increased risk of infection {{!}} Guidance and guidelines {{!}} NICE
http://www.nice.org.[...]
2012-12-12
[40]
논문
Molecular mechanisms underlying occult hepatitis B virus infection
2012-01
[41]
논문
Alcoholic liver disease: treatment
2014-09
[42]
논문
New advances in molecular mechanisms and emerging therapeutic targets in alcoholic liver diseases
2014-09
[43]
논문
Gut microbiome and liver diseases
2016-12
[44]
논문
Drug Discovery in Liver Disease Using Kinome Profiling
2021-03
[45]
논문
The role of air pollutants in initiating liver disease
2014-06
[46]
MedlinePlusEncyclopedia
Liver function tests
[47]
논문
Use of Liver Imaging and Biopsy in Clinical Practice
2017-08
[48]
논문
Treatment of Coagulopathy Related to Hepatic Insufficiency
Ovid Technologies (Wolters Kluwer Health)
[49]
논문
Antiviral treatment of chronic hepatitis B virus infections
2010-06
[50]
서적
Autoimmune Hepatitis: A Guide for Practicing Clinicians
https://books.google[...]
Springer Science & Business Media
2011-12-02
[51]
웹사이트
Phlebotomy Treatment {{!}} Treatment and Management {{!}} Training & Education {{!}} Hemochromatosis (Iron Storage Disease) {{!}} NCBDDD {{!}} CDC
https://www.cdc.gov/[...]
2015-06-20
[52]
웹사이트
Wilson Disease
http://www.niddk.nih[...]
2015-06-20
[53]
서적
Liver Disease in Children
https://books.google[...]
Cambridge University Press
2014-02-20
[54]
논문
Ursodeoxycholic acid for liver disease related to cystic fibrosis
http://www.cochrane.[...]
2017
[55]
MedlinePlusEncyclopedia
Liver function tests
[56]
웹인용
Liver Diseases
https://medlineplus.[...]
[57]
웹인용
NHS Choices
http://www.nhs.uk/co[...]
2015-10-06
[58]
웹인용
Liver Disease
https://www.niddk.ni[...]
2021-11-30
[59]
웹인용
Alcoholic Liver Disease
https://www.lecturio[...]
2021-06-27
[60]
저널 인용
Coagulopathy in liver disease.
[61]
저널 인용
The Coagulopathy of Chronic Liver Disease
Massachusetts Medical Society
2011-07-14
본 사이트는 AI가 위키백과와 뉴스 기사,정부 간행물,학술 논문등을 바탕으로 정보를 가공하여 제공하는 백과사전형 서비스입니다.
모든 문서는 AI에 의해 자동 생성되며, CC BY-SA 4.0 라이선스에 따라 이용할 수 있습니다.
하지만, 위키백과나 뉴스 기사 자체에 오류, 부정확한 정보, 또는 가짜 뉴스가 포함될 수 있으며, AI는 이러한 내용을 완벽하게 걸러내지 못할 수 있습니다.
따라서 제공되는 정보에 일부 오류나 편향이 있을 수 있으므로, 중요한 정보는 반드시 다른 출처를 통해 교차 검증하시기 바랍니다.
문의하기 : help@durumis.com