간염
"오늘의AI위키"의 AI를 통해 더욱 풍부하고 폭넓은 지식 경험을 누리세요.
1. 개요
간염은 간에 발생하는 염증성 질환으로, 감염, 대사 이상, 자가면역 반응, 유전적 요인 등 다양한 원인에 의해 발생한다. 바이러스성 간염은 A형, B형, C형, D형, E형 등 여러 종류가 있으며, 전 세계적으로 가장 흔한 간염 형태이다. 간염은 급성 또는 만성으로 나타날 수 있으며, 증상은 무증상에서부터 피로, 황달, 간부전까지 다양하다. 진단은 혈액 검사, 영상 검사, 간 생검 등을 통해 이루어지며, 치료는 간염의 유형, 중증도, 환자의 상태에 따라 다르다. 예방을 위해서는 백신 접종과 위생 관리가 중요하며, 과도한 알코올 섭취와 비만 등 위험 요인을 관리해야 한다. 간염은 만성 간 질환, 간경변증, 간세포암종 등 심각한 합병증을 유발할 수 있으며, HIV 감염인, 임산부 등 특정 집단에서 더욱 주의가 필요하다.
더 읽어볼만한 페이지
- 생리학에 관한 - 신장염
신장염은 콩팥에 발생한 염증으로, 자가면역질환, 요로감염, 루푸스, 격렬한 운동 등이 원인이 되어 혈뇨, 핍뇨, 요독증, 고혈압 등의 증상을 유발하며, 혈액 검사, X레이, 초음파 등으로 진단하고 원인에 따라 치료한다. - 생리학에 관한 - 신우신염
신우신염은 신장의 신우와 신실질에 발생하는 감염으로, 급성(고열, 배뇨통, 옆구리 통증)과 만성(지속적인 옆구리 통증, 체중 감소)으로 나뉘며, 대장균과 장구균이 주요 원인균이고, 항생제로 치료하며, 요로의 구조적 이상, 당뇨병, 면역 저하 등이 위험 요인이다. - 면역학에 관한 - 신장염
신장염은 콩팥에 발생한 염증으로, 자가면역질환, 요로감염, 루푸스, 격렬한 운동 등이 원인이 되어 혈뇨, 핍뇨, 요독증, 고혈압 등의 증상을 유발하며, 혈액 검사, X레이, 초음파 등으로 진단하고 원인에 따라 치료한다. - 면역학에 관한 - 신우신염
신우신염은 신장의 신우와 신실질에 발생하는 감염으로, 급성(고열, 배뇨통, 옆구리 통증)과 만성(지속적인 옆구리 통증, 체중 감소)으로 나뉘며, 대장균과 장구균이 주요 원인균이고, 항생제로 치료하며, 요로의 구조적 이상, 당뇨병, 면역 저하 등이 위험 요인이다. - 간염 - B형 간염
B형 간염은 B형 간염 바이러스 감염으로 발생하는 질환으로, 혈액과 정액을 통해 전염되며 백신 접종으로 예방 가능하고 만성화될 경우 항바이러스제 치료가 필요하다. - 간염 - C형 간염
C형 간염은 오염된 혈액으로 전파되는 C형 간염 바이러스 감염 질환으로, 만성 감염 시 간경변이나 간암으로 진행될 수 있으며, 직접 작용 항바이러스제로 치료하지만 백신은 개발되지 않아 감염 경로 차단과 조기 진단이 중요하다.
2. 원인
간염의 원인은 크게 감염성, 대사성, 허혈성, 자가면역성, 유전성 및 기타 요인으로 나눌 수 있다.[24]
- 감염성 원인: 바이러스, 세균, 기생충 등이 있다.
- 대사성 원인: 처방약, 독소 (알코올이 가장 대표적), 비알코올성 지방간 질환 등이 있다.
- 기타: 자가면역성 및 유전적 요인도 특정 인구 집단에서 간염을 유발할 수 있다.[24]
과도한 알코올 섭취는 간염의 주요 원인이며 미국에서 가장 흔한 간경변의 원인이다.[31] 남성의 경우 하루 80g, 여성의 경우 하루 40g 이상의 장기간 알코올 섭취는 알코올성 간염 발생과 관련이 있다(맥주 1병 또는 와인 4온스는 알코올 12g에 해당한다).[31]
자가면역성 간염은 면역 체계가 간세포를 공격하여 발생하는 만성 질환이다.[45] 이 질환은 특정 인간 백혈구 항원과 관련이 있어 유전적 소인이 있는 것으로 추정된다.[46]
신생아 간염은 다양한 원인으로 발생할 수 있으며, 그중 일부는 성인에게서 흔히 나타나지 않는 원인이다.[53]
2. 1. 감염성 간염
간염의 원인은 감염성, 대사성, 허혈성, 자가면역성, 유전성 등으로 나눌 수 있다.[24] 감염성 원인에는 바이러스, 세균, 기생충이 포함된다.바이러스성 간염 외에도 톡소플라즈마, 렙토스피라, Q열, 록키산 반점열과 같은 비바이러스성 감염도 간염을 유발할 수 있다.
2. 1. 1. 바이러스성 간염
바이러스성 간염은 간염의 가장 흔한 원인 중 하나로, A형, B형, C형, D형, E형, G형, TT형 등 다양한 종류가 있다.[23] 이 외에도 헤르페스, 사이토메갈로바이러스, 황열바이러스, 아데노바이러스 등도 바이러스성 간염을 일으킬 수 있다.- A형 간염: 주로 오염된 음식이나 물을 통해 경구로 감염된다. 급성 간염만 일으킨다.
- B형 간염: 수직 감염이나 성 접촉을 통해 전염될 수 있다. D형 간염은 B형 간염과 함께 발생한다.
- C형 간염: 주로 혈액을 통해 감염되며, 마약 주사기 공유, 문신, 수혈 등이 원인이 될 수 있다.
- E형 간염: A형 간염과 마찬가지로 경구로 감염되며, 급성 간염만 일으킨다.
2. 1. 2. 기생충성 간염
기생충은 간을 감염시켜 면역 반응을 활성화하여 혈청 IgE 증가와 함께 급성 간염 증상을 유발할 수 있다(만성 감염의 경우 만성 간염이 가능하지만).[32] 원생동물 중에서는 크루지 트리파노소마(Trypanosoma cruzi), 리슈마니아(Leishmania) 종, 그리고 말라리아를 유발하는 말라리아 원충(Plasmodium) 종 모두 간염을 일으킬 수 있다.[32] 또 다른 원생동물인 엔타메바 히스톨리티카(Entamoeba histolytica)는 뚜렷한 간농양을 동반한 간염을 유발한다.[32]충류 중에서는 개회충으로도 알려진 조충 에키노코쿠스 그란눌로수스(Echinococcus granulosus)가 간을 감염시켜 특징적인 간 포낭을 형성한다.[32] 간 흡충인 간흡충(Fasciola hepatica)과 간디스토마(Clonorchis sinensis)는 담관에 서식하여 진행성 간염과 간섬유화를 유발한다.[32]
2. 1. 3. 세균성 간염
세균 감염은 간에 화농성 간농양, 급성 간염, 또는 육아종성(또는 만성) 간 질환을 유발할 수 있다.[33] 화농성 농양은 ''대장균''과 ''폐렴간균''과 같은 장내 세균이 흔히 원인이며, 최대 50%의 경우 다양한 세균이 관여한다.[33] 급성 간염은 ''수막염균'', ''임균'', ''헨셀라 바르토넬라'', ''보렐리아 부르그도르페리'', 살모넬라 속, 브루셀라 속, 캄필로박터 속에 의해 발생한다.[33] 만성 또는 육아종성 간염은 항산균 종, ''트로페리마 위플리'', ''매독 트레포네마'', ''콕시엘라 부르네티'', 그리고 리케차 종 감염에서 볼 수 있다.[33]2. 2. 비감염성 간염
비감염성 간염은 바이러스 감염 외의 다양한 원인으로 발생한다. 여기에는 알코올, 독성 물질, 약물, 자가면역 질환, 물질대사성 질환 등이 포함된다.- 알코올: 과도한 알코올 섭취는 간 손상의 주요 원인 중 하나이며, 알코올성 간염을 유발할 수 있다.
- 독성 물질: 버섯의 아마니타(Amanita), 사염화탄소, 아사페티다와 같은 독성 물질은 간염을 일으킬 수 있다.
- 약물: 파라세타몰, 아목시실린, 일부 결핵 치료약, 미노실린 등 특정 약물들은 간 손상을 유발할 수 있다.
- 자가면역 질환: 전신 홍반 루푸스(SLE)와 같은 자가면역 질환은 면역 체계가 간을 공격하여 간염을 일으킬 수 있다.
- 물질대사성 질환: 윌슨병과 같은 물질대사성 질환도 간염의 원인이 될 수 있다.
- 기타: 순환 부족, 임신 등도 비감염성 간염을 유발할 수 있다.
이 외에도, 초기 담즙 경변이나 초기 쓸개관 경화도 때때로 만성 간염과 비슷한 증상을 보일 수 있다.
2. 2. 1. 알코올성 간염
알코올성 간염은 간염의 주요 원인 중 하나이다.2. 2. 2. 비알코올성 지방간 질환
비알코올성 지방간은 간염의 주요 원인 중 하나이다.[25]2. 2. 3. 약물성 간염
여러 화학 물질, 예를 들어 약물, 산업용 독소, 한약 및 건강기능식품 등이 간염을 유발할 수 있다.[35][40] 약물 유발 간 손상의 범위는 급성 간염부터 만성 간염, 급성 간부전까지 다양하다.[35] 아세트아미노펜과 같은 일부 약물은 예측 가능한 용량 의존적인 간 손상을 나타내는 반면, 이소니아지드와 같은 다른 약물은 사람에 따라 다르게 나타나는 특이적이고 예측 불가능한 반응을 일으킨다.[35] 간 손상 기전과 노출부터 임상 질환 발생까지의 잠복기에는 큰 차이가 있다.[31]진통제인 아세트아미노펜과 항생제인 이소니아지드, 니트로푸란토인, 아목시실린-클라불란산, 에리스로마이신, 트리메토프림-설파메톡사졸, 항경련제인 발프로산과 페니토인, 콜레스테롤 저하제인 스타틴, 경구 피임약과 단백동화 스테로이드와 같은 스테로이드, 그리고 HIV/AIDS 치료에 사용되는 고활성 항레트로바이러스 치료제 등 많은 종류의 약물이 간 손상을 유발할 수 있다.[31] 이 중 아목시실린-클라불란산이 약물 유발 간 손상의 가장 흔한 원인이며, 미국과 유럽에서는 아세트아미노펜 중독이 급성 간부전의 가장 흔한 원인이다.[35]
한약과 건강기능식품은 간염의 또 다른 중요한 원인이며, 한국에서는 약물 유발 간염의 가장 흔한 원인이다.[37] 미국 기반의 [http://www.dilin.org/ Drug Induced Liver Injury Network]는 간독성 사례의 16% 이상을 한약 및 건강기능식품과 연관 지었다.[38] 미국에서는 의약품과 달리 한약 및 건강기능식품이 식품의약국의 규제를 받지 않는다.[38] 국립보건원은 소비자들이 간 손상과 관련된 모든 알려진 처방 및 비처방 화합물을 추적할 수 있도록 [https://livertox.nlm.nih.gov LiverTox] 데이터베이스를 운영하고 있다.[39]
사염화탄소와 독버섯인 황토색 갓버섯(Amanita phalloides)은 잘 알려진 간독소이다.[35][40][41]
2. 2. 4. 자가면역성 간염
자가면역성 간염은 자신의 면역 체계가 간을 공격하여 발생하는 질환이다.[25]2. 2. 5. 기타
많은 화학 물질, 예를 들어 약물, 산업용 독소, 그리고 한약 및 건강기능식품 등이 간염을 유발할 수 있다.[35][40] 약물 유발 간 손상의 범위는 급성 간염부터 만성 간염, 급성 간부전까지 다양하다.[35] 독소와 약물은 직접적인 세포 손상, 세포 대사의 교란, 구조적 변화 등 다양한 기전을 통해 간 손상을 일으킬 수 있다.[36] 아세트아미노펜과 같은 일부 약물은 예측 가능한 용량 의존적인 간 손상을 나타내는 반면, 이소니아지드와 같은 다른 약물은 사람에 따라 다르게 나타나는 특이적이고 예측 불가능한 반응을 일으킨다.[35] 간 손상 기전과 노출부터 임상 질환 발생까지의 잠복기에는 큰 차이가 있다.[31]진통제인 아세트아미노펜, 이소니아지드, 니트로푸란토인, 아목시실린-클라불란산, 에리스로마이신, 트리메토프림-설파메톡사졸과 같은 항생제, 발프로산과 페니토인과 같은 항경련제, 콜레스테롤 저하제인 스타틴, 경구 피임약과 단백동화 스테로이드와 같은 스테로이드, 그리고 HIV/AIDS 치료에 사용되는 고활성 항레트로바이러스 치료제 등 많은 종류의 약물이 간 손상을 유발할 수 있다.[31] 이 중 아목시실린-클라불란산이 약물 유발 간 손상의 가장 흔한 원인이며, 미국과 유럽에서는 아세트아미노펜 중독이 급성 간부전의 가장 흔한 원인이다.[35]
한약과 건강기능식품은 간염의 또 다른 중요한 원인이며, 한국에서는 약물 유발 간염의 가장 흔한 원인이다.[37] 미국 기반의 [http://www.dilin.org/ Drug Induced Liver Injury Network]는 간독성 사례의 16% 이상을 한약 및 건강기능식품과 연관 지었다.[38] 미국에서는 의약품과 달리 한약 및 건강기능식품이 식품의약국의 규제를 받지 않는다.[38] 국립보건원은 소비자들이 간 손상과 관련된 모든 알려진 처방 및 비처방 화합물을 추적할 수 있도록 [https://livertox.nlm.nih.gov LiverTox] 데이터베이스를 운영하고 있다.[39]
다른 간독소에 대한 노출은 섭취, 흡입, 피부 흡수를 통해 우연히 또는 의도적으로 발생할 수 있다. 산업용 독소인 사염화탄소와 독버섯인 알광대버섯은 다른 알려진 간독소이다.[35][40][41]
3. 증상
간염은 증상이 전혀 없는 경우부터 심각한 간부전에 이르기까지 다양한 양상을 보인다.[17][18][19] 일반적으로 바이러스 감염으로 인한 급성 간염은 전신 증상을 특징으로 하며, 자연적으로 회복되는 경우가 많다.[17][18] 반면 만성 간염은 장기간의 염증과 장기 손상으로 인한 간 기능 장애에 특이적인 징후와 증상이 나타날 수 있다.[19][20]
3. 1. 급성 간염
초기에는 불쾌감, 근육통, 관절통, 신열, 메스꺼움, 구토, 설사, 두통 등 전형적인 감기와 유사한 증상이 나타나는데, 이는 거의 모든 급성 바이러스성 감염에서 공통적으로 나타난다.[186] 급성 간염에서 더 구체적으로 나타나는 증상으로는 심한 신경성 식욕 부진증, 흡연가에게서 나타나는 흡연에 대한 혐오감, 검은색 소변, 황달, 복부 불편감 등이 있다.[186]신체 검사 결과는 대개 미미하지만, 10%에서 가벼운 간 비대가 나타나고, 5%에서는 림프샘 장애나 비장 비대증이 나타나기도 한다.[186]
급성 바이러스성 간염은 세 단계를 거친다.
1. 초기 전구기(증상이 나타나기 전)에는 피로, 오심, 구토, 식욕 부진, 관절통, 두통 등 비특이적이고 인플루엔자와 유사한 증상이 나타난다.[17][18] A형 간염 및 E형 간염에서 발열이 가장 흔하게 나타난다.[17] 이 단계 후반에는 담뇨(진한 소변) 및 회색 변과 같은 간 특이적 증상이 나타날 수 있다.[17][18]
2. 황달(피부와 눈 흰자위가 노랗게 변함)은 전구기 후 약 1~2주 후에 나타나며 최대 4주까지 지속될 수 있다.[17][18] 전구기의 비특이적 증상은 보통 사라지지만, 간 비대와 우상복부 통증 또는 불편감이 나타난다.[17] 10~20%의 환자는 비장 비대를 겪으며, 일부는 경미한 체중 감소를 겪기도 한다.[17][19]
3. 회복기는 간염의 임상 증상이 사라지고 간 기능 수치가 지속적으로 상승하며 간이 계속 비대해지는 것을 특징으로 한다.[17] A형 간염 및 E형 간염은 1~2개월 후 완전히 회복될 것으로 예상된다.[17] 대부분의 B형 간염도 자연 치유되며 3~4개월 안에 회복된다. C형 간염은 완전히 회복되는 경우가 드물다.[17]
약물 유발성 간염과 자가면역성 간염은 급성 바이러스성 간염과 매우 유사하게 나타날 수 있지만, 증상에 약간의 차이가 있다.[21][22] 약물 유발성 간염의 경우 발진, 발열, 장막염(특정 장기를 덮는 막의 염증), 호산구(백혈구의 일종) 증가, 골수 활동 억제 등 알레르기 반응의 전신 징후가 나타날 수 있다.[21]
급성 간염 환자 일부는 급성 간부전으로 진행되기도 하는데, 이때 간은 해로운 물질을 혈액에서 제거하지 못해 간성뇌병증을 일으켜 혼수상태를 초래할 수 있으며, 혈액단백질을 생성하지 못해 말초 부종과 출혈을 일으킬 수 있다.[187] 이는 생명을 위협할 수 있으며, 종종 간 이식이 필요하다.[187]
3. 2. 만성 간염
만성 간염은 종종 불안감, 피로, 쇠약 같은 불특정한 증상을 초래하며, 증상이 전혀 없을 수도 있다. 만성 간염은 보통 검진이나 불특정 증상을 판정하기 위한 혈액 검사로 확인한다.[188]광범위한 손상과 간경변으로는 체중 감소, 피로, 출혈 경향, 팔다리 부종, 복수 등이 나타날 수 있다. 간경변은 식도정맥류, 간성뇌병증, 간신증후군 등의 합병증을 초래할 수 있다.
자가면역성 간염에 걸린 여성에서는 여드름, 비정상적인 월경, 폐 반흔(lung scarring)이 있을 수 있고, 갑상선이나 신장이 붓기도 한다.[188]
만성 간염은 임상적으로 6개월 이상 간 기능 검사 이상과 바이러스 감염이 지속되는 상태를 말한다. 조직학적으로는 문맥 영역에 림프구를 중심으로 한 세포 침윤과 섬유화를 보이며, 간 실질 내에는 다양한 정도의 간세포 변성·괴사 소견을 보인다. 만성 간염의 활동성은 piecemeal necrosis, 소엽내 세포 침윤, 간세포의 변성·괴사(spotty necrosis, bridging necrosis 등)에 따라 None(A0), Mild(A1), Moderate(A2), Severe(A3)의 4단계로 나눈다. 섬유화 정도에 따라서는 섬유화 없음(F0), 문맥 영역의 섬유성 확대(F1), bridging necrosis(F2), 소엽의 왜곡을 동반하는 bridging fibrosis(F3)의 4단계로 나눈다. 이는 “신 이누야마 분류”[184](제19회 이누야마 심포지엄, 1995년)의 골자이며, 서구에서는 Desmet 등의 새로운 유럽 분류도 사용되고 있다[184].
간경변이나 간세포암으로 진행될 위험이 있다. C형 간염이 가장 흔하지만, AST, ALT와 같은 아미노전이효소 상승이 두드러지는 경우에는 자가면역성 간염을, ALP, γ-GTP와 같은 담도계 효소가 두드러지는 경우에는 원발성 담즙성 담관염, 원발성 경화성 담관염을 의심해야 한다. B형 간염이 원인일 가능성도 있으며, 바이러스 항원, 항체 검사가 필요하다. 자가면역성 간염이라면 항핵항체, 항평활근항체, 항간 가용성 항원 항체를 측정하고, 원발성 담즙성 담관염이라면 항미토콘드리아 항체를 측정해야 한다. 원발성 경화성 담관염은 영상 소견으로 비교적 진단하기 쉽다.
일반적으로 만성 간 기능 장애에서는 고글로불린혈증이 나타난다. 아미노전이효소의 상승이 경미하고, 간의 예비능이 명확히 저하되어 간경변까지 이르지 않은 상황이라면, 이 소견은 매우 중요해진다. IgG, IgM을 측정하면 되지만, 측정의 간편성 측면에서 ZTT와 TTT가 자주 이용된다. TTT는 혈청 IgM량을, ZTT는 혈청 IgG량을 반영한다. 그러나 고글로불린혈증은 염증이 발생하는 경우 대부분 발생하는 비특이적인 소견이다. A형 간염에서는 TTT가 상승하지만 IgM도 상승하므로 당연하다. 검사 수치로 간 기능 장애를 알기 어려운 경우에 측정하는 항목이다.
만성 간염에서 간경변으로의 이행 여부를 확인하는 것이 중요하다. 혈소판 수, 콜린에스테라제, 알부민, 프로트롬빈 시간 등으로 간 기능을 조사하고, 혈청 히알루론산으로 간의 섬유화를, 초음파로 형태 변화를 확인한다. 바이러스성 간염의 경우 간경변에 이르기 전에 인터페론 치료 등을 하는 것이 바람직하다. 또한, 만성 간염에서는 광범위한 철 과잉이 있다는 지적이 있다.[185]
4. 진단
간염 진단은 환자의 증상 및 징후, 병력(성생활, 약물 사용 등), 혈액 검사, 영상 검사, 간 생검 등을 종합하여 이루어진다.[31]
혈액 검사
- 간 효소: AST, ALT 등 간 효소 수치 상승은 간염의 특징적인 소견이다.[31] AST와 ALT 상승 정도, AST/ALT 비율 등은 간염의 원인이나 단계를 추정하는 데 유용한 정보를 제공한다.[31]
- 혈청학 검사: 자가항체 검사 등을 통해 자가면역성 간염 여부를 확인할 수 있다.[31]
- 핵산 검사: 간염 바이러스 DNA/RNA 검사를 통해 바이러스성 간염을 진단한다.[31]
- 혈액 화학 검사, 혈구 수 검사[31]
- IgM 항체: 감염 초기(1주 이내)에 발견된다.[31]
- IgG 항체: 감염 후기 및 회복 후에 나타나며, 수년 동안 체내에 남아있다. IgG 항체 양성, IgM 항체 음성은 과거 감염/회복 또는 예방 접종으로 인한 면역 상태를 의미한다.[31]
B형 간염 혈액 검사B형 간염은 다양한 바이러스 항원 및 항체 검사를 통해 감염 단계, 바이러스 복제 정도, 감염성 등을 파악할 수 있다.[73]
알코올성 vs 비알코올성 지방간염알코올성 지방간염(ASH)과 비알코올성 지방간염(NASH)의 주요 감별점은 과도한 알코올 섭취 여부이다.[74] 알코올 섭취가 없거나 미미한 환자는 비알코올성 간염일 가능성이 높다. 알코올 섭취 환자의 경우, 특히 비만, 당뇨병, 대사증후군 동반 시 알코올성 또는 비알코올성 간염 가능성이 모두 존재한다. 이 경우, 간 효소 이상 패턴으로 구분할 수 있다.[74]
- 알코올성 지방간염: AST > ALT, AST:ALT 비율 > 2:1
- 비알코올성 지방간염: ALT > AST, ALT:AST 비율 > 1.5:1
영상 검사초음파, CT, MRI 검사는 간 조직의 지방변성, 간경변증을 시사하는 결절 등을 확인할 수 있다.[70][71] CT, 특히 MRI는 혈관, 종양 등 간 내부 구조를 더 자세히 보여준다.[72] 그러나 영상 검사로는 간 염증이나 섬유화를 감지할 수 없다.[31]
간 생검간 생검은 간의 염증과 섬유화를 평가할 수 있는 유일한 확정적 진단 검사이다.[31] 조직병리학적 분석을 통해 염증 및 섬유화 정도를 정확히 파악할 수 있다.[31] 간 생검은 침습적이며 출혈 위험이 있어 초기 진단 검사로 사용되지는 않는다.[67]
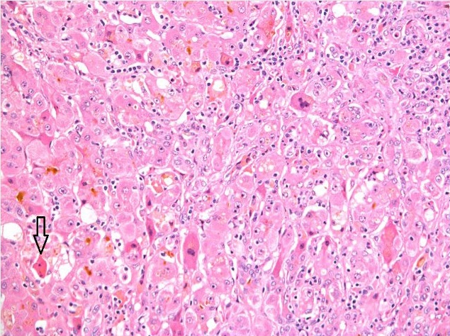
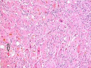
ASH와 NASH 환자의 간 생검 소견은 유사하다. 다형핵 백혈구 침윤, 간세포 괴사 및 세포자멸사(풍선변성, 말로리 소체), 정맥/동굴 주변 섬유화 등이 나타난다.[31]
만성 간염만성 간염은 6개월 이상 지속되는 간 기능 검사 이상과 바이러스 감염을 특징으로 한다. 조직학적으로는 문맥 영역에 림프구를 중심으로 한 세포 침윤과 섬유화를 보이며, 간 실질 내에는 다양한 정도의 간세포 변성·괴사 소견을 보인다. 만성 간염의 활동성은 다음 4단계로 나뉜다.[184]
- None(A0)
- Mild(A1)
- Moderate(A2)
- Severe(A3)
섬유화 정도에 따라 4단계로 나뉜다.[184]
- 섬유화 없음(F0)
- 문맥 영역의 섬유성 확대(F1)
- bridging necrosis(F2)
- 소엽의 왜곡을 동반하는 bridging fibrosis(F3)
이는 “신 이누야마 분류”의 골자이다.[184]
간경변이나 간세포암으로 진행될 위험이 있으며, C형 간염에서 가장 흔하다. AST, ALT와 같은 아미노전이효소 상승이 두드러지는 경우 자가면역성 간염, ALP, γ-GTP와 같은 담도계 효소가 두드러지는 경우 원발성 담즙성 담관염, 원발성 경화성 담관염을 의심해야 한다. B형 간염이 원인일 가능성도 있으며, 바이러스 항원, 항체 검사가 필요하다. 자가면역성 간염이라면 항핵항체, 항평활근항체, 항간 가용성 항원 항체를 측정하고, 원발성 담즙성 담관염이라면 항미토콘드리아 항체를 측정해야 한다. 원발성 경화성 담관염은 영상 소견으로 비교적 진단하기 쉽다.
일반적으로 만성 간 기능 장애에서는 고글로불린혈증이 나타난다. ZTT와 TTT가 자주 이용된다. TTT는 혈청 IgM량을, ZTT는 혈청 IgG량을 반영한다.
만성 간염에서 간경변으로의 이행 여부 확인이 중요하며, 혈소판 수, 콜린에스테라제, 알부민, 프로트롬빈 시간, 혈청 히알루론산, 초음파 등으로 확인한다.

5. 치료
간염 치료는 간염의 유형, 급성인지 만성인지, 그리고 질병의 중증도에 따라 달라진다.
- 활동: 많은 간염 환자들이 안정을 취하는 것을 선호하지만, 회복 중에 모든 신체 활동을 피할 필요는 없다.[17]
- 식단: 고칼로리 식단이 권장된다.[17] 많은 사람들이 메스꺼움을 느끼고 하루 중 후반에 음식을 섭취할 수 없기 때문에, 대부분의 섭취는 하루의 전반부에 집중될 수 있다.[17] 급성기에는 환자가 음식을 섭취할 수 없고 메스꺼움과 구토로 인해 경구 섭취가 불량한 경우 정맥 영양이 필요할 수 있다.[17]
- 약물: 간염 환자는 간에서 대사되는 약물을 복용하지 않아야 한다.[17] 급성 바이러스성 간염에 대한 치료법으로 글루코코르티코이드는 권장되지 않으며, 만성 간염의 발생과 같은 해를 끼칠 수도 있다.[17]
- 예방 조치: 보편적 예방 조치를 준수해야 한다. A형 간염 및 E형 간염 환자 중 대변 실금이 있는 경우와 B형 간염 및 C형 간염 환자 중 출혈이 조절되지 않는 경우를 제외하고는 일반적으로 격리는 필요하지 않다.[17]
비알코올성 지방간 질환 치료에 대한 자세한 내용은 해당 문서를 참조.
5. 1. 바이러스성 간염
바이러스성 간염은 주로 혈액 검사를 통해 바이러스 항원 (예: B형 간염 표면 항원 또는 코어 항원) 수치, 항바이러스 항체 (예: 항-B형 간염 표면 항체 또는 항-A형 간염 항체) 또는 바이러스 DNA/RNA를 검사하여 진단한다.[17][31] 감염 초기(즉, 1주 이내)에는 혈액에서 IgM 항체가 발견된다.[31] 감염 후기 및 회복 후에는 IgG 항체가 존재하며 최대 수년 동안 체내에 남아 있다.[31] 따라서 환자가 IgG 항체는 양성이지만 IgM 항체는 음성인 경우 이전 감염 및 회복 또는 이전 예방 접종을 통해 바이러스에 대해 면역이 된 것으로 간주된다.[31]B형 간염의 경우, 여러 바이러스 항원(바이러스 입자의 서로 다른 구성 요소) 및 항체에 대한 혈액 검사가 존재한다.[73] 항원 및 항체 양성의 조합은 감염 단계(급성 또는 만성), 바이러스 복제 정도 및 바이러스의 감염성에 대한 정보를 제공할 수 있다.[73]
간세포 바이러스가 바이러스성 간염을 일으키는 경로는 B형 간염과 C형 간염의 경우 가장 잘 이해되고 있다.[17] 바이러스는 세포자멸사(세포사멸)를 직접 활성화시키지 않는다.[17][57] 오히려 간세포 감염은 선천적 및 획득적 면역계를 활성화시켜 염증 반응을 일으키고, 이는 세포 손상 및 사멸(사망 수용체 매개 신호 전달 경로 유도를 통한 바이러스 유도 세포자멸사 포함)을 유발한다.[17][57][58][59] 면역 반응의 강도, 관여하는 면역 세포의 유형 및 바이러스가 신체 방어를 회피하는 능력에 따라 감염은 바이러스의 제거(급성 질환) 또는 지속(만성 질환)으로 이어질 수 있다.[17] 간세포 내 바이러스의 만성적인 존재는 여러 차례의 염증, 손상 및 상처 치유를 초래하여 시간이 지남에 따라 흉터 또는 섬유화를 유발하고 간세포암종으로 이어진다.[57][60] 면역 반응이 저하된 사람들은 만성 감염이 발생할 위험이 더 크다.[17] 자연살해세포는 초기 선천적 반응의 주요 원인이며, CD4 T 보조 세포와 CD8 세포독성 T 세포의 모집으로 이어지는 사이토카인 환경을 만든다.[61][62] I형 인터페론은 항바이러스 반응을 유도하는 사이토카인이다.[62] 만성 B형 간염 및 C형 간염에서 자연 살해 세포 기능은 손상된다.[61]
간염 치료는 간염의 유형, 급성인지 만성인지, 그리고 질병의 중증도에 따라 다르다.
- 활동: 많은 간염 환자들이 안정을 취하는 것을 선호하지만, 회복 중에 모든 신체 활동을 피할 필요는 없다.[17]
- 식단: 고칼로리 식단이 권장된다.[17] 많은 사람들이 메스꺼움을 느끼고 하루 중 후반에 음식을 섭취할 수 없기 때문에, 대부분의 섭취는 하루의 전반부에 집중될 수 있다.[17] 질병의 급성기에는 환자가 음식을 섭취할 수 없고 메스꺼움과 구토로 인해 경구 섭취가 불량한 경우 정맥 영양이 필요할 수 있다.[17]
- 약물: 간염 환자는 간에서 대사되는 약물을 복용하지 않아야 한다.[17] 급성 바이러스성 간염에 대한 치료법으로 글루코코르티코이드는 권장되지 않으며, 만성 간염의 발생과 같은 해를 끼칠 수도 있다.[17]
- 예방 조치: 보편적 예방 조치를 준수해야 한다. A형 간염 및 E형 간염 환자 중 대변 실금이 있는 경우와 B형 간염 및 C형 간염 환자 중 출혈이 조절되지 않는 경우를 제외하고는 일반적으로 격리는 필요하지 않다.[17]
A형 간염은 일반적으로 만성 상태로 진행되지 않으며, 입원이 필요한 경우는 드물다.[17][86] 치료는 지지 요법이며, 정맥 수액 공급 및 적절한 영양 섭취 유지와 같은 조치가 포함된다.[17][86] 드물게, A형 간염 바이러스 감염자는 특히 고령자 또는 기존 간 질환(특히 C형 간염)이 있는 사람들에게서 '급성 간부전'이라 불리는 간부전이 빠르게 발생할 수 있다.[17][86] 사망 위험 요인에는 고령 및 만성 C형 간염이 포함된다.[17] 이러한 경우, 보다 적극적인 지지 요법과 간 이식이 필요할 수 있다.[17]
B형 간염은 건강한 환자의 경우 95~99%가 장기적인 후유증 없이 회복되며, 항바이러스 치료는 필요하지 않다.[17] 연령 및 동반 질환은 질병을 더 오래 지속되고 심각하게 만들 수 있다. 복수, 말초 부종, 간성 뇌병증과 같은 임상 징후와 저혈당(저혈당증), 연장된 프로트롬빈 시간(프로트롬빈 시간), 낮은 혈청 알부민(알부민), 그리고 매우 높은 혈청 빌리루빈(빌리루빈)과 같은 검사 결과를 보이는 특정 환자들은 입원 치료가 필요하다.[17] 이러한 드문 심각한 급성기의 경우, 만성 B형 간염 치료에 사용되는 것과 유사한 항바이러스 요법, 예를 들어 엔테카비어(엔테카비어) 또는 테노포비어(테노포비어(테노포비르 디소프록실))와 같은 뉴클레오시드 유사체를 사용하여 성공적으로 치료된 사례가 있다. 임상 시험 데이터가 부족하고 사용되는 약물이 약물 내성(약물 내성)을 갖기 쉽기 때문에 전문가들은 경증에서 중등증의 경우가 아닌 심각한 급성기의 경우에만 치료를 보류할 것을 권장한다.[17] 만성 B형 간염 치료는 질병의 진행과 상관관계가 있는 바이러스 복제를 조절하는 것을 목표로 한다.[20] 미국에서는 7가지 약물이 승인되었다.[20]
- 아데포비르 디피복실(Adefovir dipivoxil)은 뉴클레오티드 유사체로, 내성이 생긴 환자의 라미부딘 치료를 보충하는 데 사용되었지만, 더 이상 1차 치료로 권장되지 않는다.[20]
- 엔테카비르(Entecavir)은 안전하고 내약성이 좋으며 내성이 생길 가능성이 적고 기존 B형 간염 항바이러스제 중 가장 강력하기 때문에 1차 치료 선택으로 고려된다.[20] 라미부딘 내성 환자 또는 HIV 양성 환자의 단독 요법에는 권장되지 않는다.[20]
- 주사제 인터페론 알파(interferon alpha)는 만성 B형 간염 치료제로 최초로 승인된 약물이었다.[20] 여러 가지 부작용이 있지만, 대부분 치료 중단으로 회복되지만, 이러한 적응증에 대해서는 새로운 치료법으로 대체되었다.[20] 여기에는 폴리에틸렌 글리콜(polyethylene glycol)(PEG)에 결합된 장기 작용형 인터페론(페길화 인터페론)과 경구 뉴클레오시드 유사체가 포함된다.[20]
- 라미부딘(Lamivudine)은 최초로 승인된 경구 뉴클레오시드 유사체였다.[20] 효과적이고 강력하지만, 서구권에서는 더 새롭고 강력한 치료법으로 대체되었으며, 더 이상 1차 치료로 권장되지 않는다.[20] 새로운 약제가 승인되지 않았거나 비용이 너무 많이 드는 지역에서는 여전히 사용되고 있다.[20] 일반적으로 치료 기간은 최소 1년이며, 최소 6개월간의 추가적인 "강화 치료"가 필요하다.[20] 바이러스 반응에 따라 더 긴 치료가 필요할 수 있으며, 특정 환자는 무기한 장기 치료가 필요하다.[20] 아시아 환자의 반응이 저조하기 때문에 강화 치료(consolidation therapy)는 최소 1년으로 연장하는 것이 권장된다.[20] 모든 환자는 바이러스 재활성화 여부를 모니터링해야 하며, 확인될 경우 치료를 재개해야 한다.[20] 라미부딘은 일반적으로 안전하고 내약성이 좋다.[20] 많은 환자에게서 내성이 생기는데, 이는 더 긴 치료 기간과 상관관계가 있다.[20] 내성이 생기면 추가 항바이러스제를 추가한다. 단일 치료제로서 라미부딘은 HIV에 동시 감염된 환자에게는 금기이며, 내성이 신속하게 발생하지만, 다약물 요법의 일부로 사용될 수 있다.[20]
- 페길화 인터페론(Pegylated interferon)(PEG IFN)은 피하 주사로 일주일에 한 번만 투여하며, 표준 인터페론보다 편리하고 효과적이다.[20] 많은 경구 항바이러스제와 달리 내성이 생기지 않지만, 내약성이 좋지 않아 면밀한 모니터링이 필요하다.[20] 미국에서 PEG IFN의 연간 비용은 약 18000USD로 추산되는 반면, 경구 약물은 2500USD~8700USD이다. 경구 항바이러스제는 대부분의 환자에게 무기한 치료(최소 1년)가 필요한 반면, PEG IFN의 치료 기간은 48주이다.[20] PEG IFN은 바이러스 활동 수준이 높은 환자에게는 효과가 없으며, 면역억제 환자나 간경변증 환자에게는 사용할 수 없다.[20]
- 텔비부딘(Telbivudine)은 효과적이지만 1차 치료로 권장되지 않는다. 엔테카비르와 비교하여 효능이 낮고 내성이 더 잘 생긴다.[20]
- 테노포비르(Tenofovir)는 뉴클레오티드 유사체이자 항레트로바이러스제로, HIV 감염 치료에도 사용된다.[20] 라미부딘 내성 환자와 초기 치료 모두에서 아데포비르보다 더 강력하고 내성이 생길 가능성이 적기 때문에 선호된다.[20]
현재 사용되는 1차 치료제는 환자와 의사의 선호도에 따라 PEG IFN, 엔테카비르 및 테노포비르가 있다.[20] 치료 시작은 미국 간 연구 학회(AASLD)와 유럽 간 연구 학회(EASL)에서 발표한 권고안에 따라 진행되며, 검출 가능한 바이러스 수치, HBe 항원(HBeAg) 양성 또는 음성 여부, ALT 수치, 특정 경우에는 HCC의 가족력 및 간 생검을 기반으로 한다.[20] 보상성 간경변증 환자의 경우 HBeAg 상태 또는 ALT 수치에 관계없이 치료가 권장되지만, HBV DNA 수치에 대한 권고는 다르다. AASLD는 DNA 수치가 2x103 IU/mL 이상인 경우 치료를 권장하지만, EASL과 WHO는 HBV DNA 수치가 검출 가능한 수준이면 치료를 권장한다.[20][82] 보상되지 않는 간경변증 환자의 경우 HBV DNA가 검출되면 모든 경우에 치료와 간 이식 평가가 권장된다.[20][82] 현재 만성 HBV 치료에 다약물 치료는 엔테카비르 또는 테노포비르를 이용한 단일 약물 치료보다 장기적으로 더 효과적이지 않기 때문에 권장되지 않는다.[20]
C형 간염은 미국 간 질환 연구 협회 및 미국 감염병 학회(AASLD-IDSA)는 수명을 단축시키는 다른 만성 질환이 있는 환자를 제외한 모든 만성 C형 간염 감염 환자에게 항바이러스 치료를 권장한다.[9]
일단 감염되면 C형 간염 바이러스의 지속 감염이 일반적이며, 만성 C형 간염으로 이어진다. 치료 목표는 간세포암(HCC)의 예방이다.[105] HCC의 장기적 위험을 줄이는 가장 좋은 방법은 지속적인 바이러스학적 반응(SVR)을 달성하는 것이다.[105] SVR은 치료 완료 후 12주 후 바이러스량이 검출되지 않는 것으로 정의되며 완치를 의미한다.[106][107] 현재 사용 가능한 치료제에는 간접 작용 항바이러스제와 직접 작용 항바이러스제가 있다.[106][107] 간접 작용 항바이러스제에는 페길화 인터페론(PEG IFN)과 리바비린(RBV)이 있으며, 이들의 병용 요법은 역사적으로 HCV 치료의 기본이었다.[106][107] 이러한 치료의 기간과 반응은 유전형에 따라 다르다.[106][107] 이 약물들은 내약성이 좋지 않지만 일부 자원이 부족한 지역에서는 여전히 사용되고 있다.[106][107] 자원이 풍부한 국가에서는 2011년에 처음 등장한 직접 작용 항바이러스제로 대체되었는데, 이 약제들은 바이러스 복제에 관여하는 단백질을 표적으로 하며 다음과 같은 세 가지 계열이 있다.[106][107]
- NS3 및 NS4A 프로테아제 억제제, 텔라프레비어, 보세프레비어, 시메프레비어 등을 포함
- NS5A 억제제, 레디파스비어, 다클라타스비어 등을 포함
- NS5B 억제제, 소포스부비어, 다사부비어 등을 포함
이 약물들은 환자의 유전형(1~6형으로 구분됨)에 따라 리바비린과 병용하여 다양한 조합으로 사용된다.[107] 미국과 전 세계에서 가장 흔한 유전형인 1형(GT1)은 이제 직접 작용 항바이러스 요법으로 치료할 수 있다.[107] GT1의 1차 치료는 대부분의 환자(진행된 섬유화 또는 간경변증 환자 포함)에게 소포스부비어와 레디파스비어(SOF/LDV)의 12주간 병용 요법이다.[107] 초기 질환 환자의 경우 8주 치료만 필요하고, 이전 치료에 반응하지 않은 진행된 섬유화 또는 간경변증 환자는 24주 치료가 필요하다.[107] 특히 자원이 부족한 국가에서는 비용이 이러한 약물 접근성을 제한하는 주요 요인으로 남아 있으며, 12주 GT1 요법(SOF/LDV)의 비용은 미화 94500USD로 추산되었다.[106]
D형 간염은 치료가 어렵고 효과적인 치료법이 부족하다. 인터페론 알파는 바이러스 활동을 억제하는 데 효과가 있음이 입증되었지만 일시적인 효과에 불과하다.[108]

A형 간염과 유사하게, E형 간염의 치료는 지지 요법이며 휴식과 충분한 영양 섭취 및 수분 공급을 포함한다.[109] 특히 중증인 경우나 임산부의 경우 입원이 필요할 수 있다.[109]
5. 2. 비바이러스성 간염
비알코올성 간염은 비알코올성 간질환(NALD)의 범위에 속하며, 비알코올성 지방간 질환에서 비알코올성 지방간염(NASH), 간경변, 간암까지 진행될 수 있어 알코올성 간질환과 유사한 양상을 보인다.[42]비알코올성 간질환은 알코올 섭취가 거의 없거나 전혀 없는 사람에게서 발생하며, 대사증후군, 비만, 인슐린 저항성, 당뇨병, 고중성지방혈증과 관련이 깊다.[31] 시간이 지나면서 비알코올성 지방간 질환은 간세포 손상, 간염, 섬유화를 동반하는 비알코올성 지방간염으로 진행될 수 있다.[31] 비만, 고령, 아프리카계 미국인이 아닌 인종, 여성, 당뇨병, 고혈압, 높은 ALT 또는 AST 수치, 높은 AST/ALT 비율, 낮은 혈소판 수, 초음파 지방증 점수 등이 NAFLD에서 NASH로의 진행을 촉진하는 요인으로 알려져 있다.[31]
초기 단계(NAFLD 및 초기 NASH)에서는 대부분 증상이 없거나 가벼운 우상복부 통증을 느끼며, 주로 비정상적인 간 기능 검사 결과를 통해 진단이 이루어진다.[31] 질병이 진행되면 만성 간염의 전형적인 증상이 나타날 수 있다.[43] 영상 검사로 지방간을 확인할 수 있지만, 간 생검을 통해서만 NASH의 특징인 염증과 섬유화를 확인할 수 있다.[44] NASH 환자의 9~25%는 간경변으로 진행된다.[31] NASH는 미국에서 세 번째로 흔한 간 질환이다.[43]
알코올성 지방간염(ASH)과 비알코올성 지방간염(NASH)의 주요 감별점은 과도한 알코올 섭취 여부이다.[74] 알코올 섭취가 없거나 미미한 환자는 알코올성 간염일 가능성이 낮다. 알코올을 섭취하는 환자의 경우, 특히 비만, 당뇨병, 대사증후군이 동반되면 알코올성 간염 또는 비알코올성 간염일 가능성이 비슷하다. 이 경우, AST > ALT이며 AST:ALT 비율이 2:1보다 크면 알코올성 지방간염, ALT > AST이며 ALT:AST 비율이 1.5:1보다 크면 비알코올성 지방간염으로 구분할 수 있다.[74]
간 생검 결과 ASH와 NASH 환자 모두에서 다형핵 백혈구 침윤, 간세포 괴사 및 세포자멸사(풍선변성, 말로리 소체 형태), 정맥 및 동굴 주변 섬유화가 관찰된다.[31]
신생아 간염은 다양한 원인으로 발생하며, 일부는 성인에게 흔하지 않은 원인이다.[53] 간염 바이러스, 톡소플라스마, 풍진, 거대세포바이러스, 매독의 선천적 또는 신생아기 감염이 신생아 간염을 유발할 수 있다.[53] 담도폐쇄증, 담관낭종과 같은 구조적 이상은 담즙울체성 간 손상을 일으켜 신생아 간염으로 이어질 수 있다.[53] 대사 질환인 글리코겐 저장 질환, 리소좀 저장 질환도 관련이 있다.[53] 원인을 알 수 없는 특발성 신생아 간염의 경우, 생검에서 간 조직에 큰 다핵 세포가 나타나는 경우가 많다.[54] 이 질환은 거대 세포 간염이라고 하며, 바이러스 감염, 자가면역 질환, 약물 독성과 관련이 있을 수 있다.[55][56]
6. 예방
간염은 백신 접종과 생활 습관 개선을 통해 예방할 수 있다.
중국에서는 C형 간염 치료약 수입이 금지되어 있어 많은 중국인들이 한국에서 치료약을 구입하고 있기 때문에, C형 간염이 적은 대한민국에서는 중국인(조선족 포함)에 의한 C형 간염 전파에 주의가 필요하다.[189] 동남아시아에서는 음식 등으로 감염되는 A형 간염이 많으므로, 여행 전 A형 간염 예방 주사를 맞는 것이 좋다.
6. 1. 백신

질병통제예방센터(CDC)는 모든 어린이에게 1세부터 A형 간염 백신 접종을 권장하며, 이전에 면역되지 않았고 질병에 걸릴 위험이 높은 사람들에게도 권장한다.[86][87]
12개월 이상 어린이의 경우, 6~18개월 간격으로 근육 주사를 두 차례 접종하며, 24개월 미만에 시작해야 한다.[88] 성인의 경우 백신 종류에 따라 용량이 약간 다르다. A형 간염 백신만 접종하는 경우, 제조업체에 따라 6~18개월 간격으로 두 차례 접종한다.[78] A형 및 B형 간염 혼합 백신의 경우 최대 4회 접종이 필요할 수 있다.[78]

미국 질병통제예방센터(CDC)는 19세 미만 모든 어린이의 B형 간염 백신 접종을 권장한다.[89] 또한, 희망하거나 고위험군에 속하는 사람들에게도 권장한다.[87]
B형 간염 예방 접종은 신생아가 병원에서 퇴원하기 전에 근육 주사로 첫 번째 접종을 시작한다. 18개월이 되기 전에 추가 접종 두 번을 더 실시해야 한다.[88]
B형 간염 표면항원 양성 산모에게서 태어난 아기의 경우 첫 번째 접종이 특별하다. 백신 외에도 면역글로불린도 출생 후 12시간 이내에 투여해야 한다. 이러한 신생아는 생후 첫해 동안 감염 여부를 정기적으로 검사해야 한다.[88]
A형 및 B형 간염 백신을 모두 포함하는 복합 제제도 있다.[90]
현재 미국에서는 C형 간염이나 E형 간염 백신이 없다.[129][95][94] 2015년, 중국의 한 연구팀이 E형 간염 백신 개발에 관한 논문을 발표했다.[91] 2016년 3월 현재, 미국 정부는 E형 간염 백신의 4상 시험 참가자를 모집 중이었다.[92] 특히 A형 간염과 B형 간염에 의한 감염에 대한 필수적인 예방책은 간염 백신 접종이다. B형 간염 백신은 매우 효과적이며 흔히 사용된다. 예방 접종 캠페인을 통해 간염 관련 간 질환 및 사망률이 상당히 감소했다.[175]
6. 2. 행동 변화
A형 간염은 주로 경구-분변 경로를 통해 전파되므로, 예방접종 외 주요 예방법은 철저한 위생, 깨끗한 물 확보 및 하수 처리가 적절하게 이루어지는 것이다.[87] B형 간염과 C형 간염은 혈액과 여러 체액을 통해 전파되므로, 예방을 위해서는 수혈 전 혈액 검사, 주사제 사용 금지, 의료 현장에서의 안전한 주사기 및 날카로운 물체 취급, 그리고 안전한 성관계 실천을 목표로 한다.[127][129]D형 간염 바이러스는 사람이 먼저 B형 간염 바이러스에 감염되어야 하므로 예방 노력은 B형 간염의 확산을 제한하는 데 중점을 두어야 한다. 만성 B형 간염 감염이 있고 D형 간염 바이러스에 의한 중복감염 위험이 있는 사람의 경우 예방 전략은 B형 간염과 동일하다.[94]
A형 간염과 마찬가지로, E형 간염의 주요 예방법은 위생 및 깨끗한 물 사용과 같은 위생 관리이다.[95] E형 간염은 주로 구강-분변 경로를 통해 전파되지만, 혈액이나 수직 감염(모체에서 태아로)을 통해서도 전파될 수 있다.
과도한 음주는 간염과 간경화로 이어질 수 있으므로, 최대 음주 권장량은 다음과 같다.[96]
비알코올성 지방간 질환(MAFLD)을 예방하려면 정상 체중을 유지하고, 건강한 식단을 섭취하며, 첨가당을 피하고, 규칙적으로 운동하는 것이 좋다.[97][98]
6. 3. 기타
지방간염은 알코올성 및 비알코올성 지방간 질환 모두에서 관찰되며, 손상으로 시작되는 일련의 사건들의 최종 결과이다. 비알코올성 지방간염의 경우, 이러한 연쇄 반응은 비만, 인슐린 저항성 및 지질 조절 이상과 관련된 신진대사 변화에 의해 시작된다.[63][64] 알코올성 간염에서는 만성적인 과도한 알코올 섭취가 원인이다.[132] 원인 사건은 다를 수 있지만, 사건의 진행 과정은 유사하며, 지방산과 그 분해 산물이 지방증이라는 과정을 통해 간세포에 축적되는 것으로 시작된다.[63][64][132]이 초기에는 가역적인 과정이 간세포의 지질 항상성을 유지하는 능력을 압도하여 지방 분자가 축적되고 산화 스트레스 반응 환경에서 분해됨에 따라 독성 효과를 유발한다.[63][64][132] 시간이 지남에 따라 이러한 비정상적인 지질 침착은 톨-유사 수용체 4를 통해 면역 체계를 활성화하여 간세포 손상 및 사멸을 유발하는 TNF와 같은 염증성 사이토카인의 생성을 초래한다.[63][64][132] 이러한 사건은 지방간염으로의 전환을 나타내며, 만성 손상이 있는 경우 섬유증이 결국 발생하여 간경변증과 간세포암종으로 이어지는 사건을 설정한다.[63]
현미경적으로 관찰할 수 있는 변화에는 크고 부어오른 간세포를 동반한 지방증(풍선화), 세포 손상 및 세포 사멸(아폽토시스, 괴사)의 증거, 특히 간의 3구역에서의 염증 증거, 다양한 정도의 섬유증 및 말로리 소체가 포함된다.[63][65][66]
알코올성 지방간염(ASH, Alcoholic steatohepatitis)과 비알코올성 지방간염(NASH, Nonalcoholic steatohepatitis)을 가장 명확하게 구분하는 요소는 과도한 알코올 사용의 병력이다.[74] 따라서 알코올 섭취가 없거나 무시할 만한 수준인 환자에게는 알코올성 간염일 가능성이 낮다. 알코올을 섭취하는 환자의 경우, 특히 비만, 당뇨병 및 대사 증후군이 동반될 경우 알코올성 간염 또는 비알코올성 간염일 가능성이 동일하다. 이 경우, 알코올성 간염과 비알코올성 간염은 간 효소 이상의 패턴으로 구분할 수 있다. 구체적으로, 알코올성 지방간염에서는 AST>ALT이며 AST:ALT 비율이 2:1보다 크고, 비알코올성 지방간염에서는 ALT>AST이며 ALT:AST 비율이 1.5:1보다 크다.[74]
간 생검은 ASH와 NASH 환자 모두에서 동일한 소견을 보인다. 구체적으로, 다형핵 백혈구 침윤, 간세포 괴사 및 세포자멸사(풍선변성, 말로리 소체 형태), 정맥 및 동굴 주변 섬유화가 나타난다.[31]
7. 합병증
급성 간염의 드물지만 생명을 위협하는 합병증인 급성 간부전(fulminant hepatitis) 또는 광범위 간세포괴사(massive hepatic necrosis)는 B형 간염, D형 간염, E형 간염뿐만 아니라 약물 유발성 간염과 자가면역성 간염에서도 발생할 수 있다.[17][21][22] 이 합병증은 B형 간염과 D형 간염이 동시에 감염될 시 2~20%의 비율로, E형 간염에 걸린 임산부의 경우 15~20%의 비율로 더 자주 발생한다.[17][18] 급성 간염의 증상 외에도, 환자는 응고장애(이상 출혈 경향과 쉽게 생기는 멍 등 비정상적인 응고 검사 결과)와 뇌병증(혼란, 방향 감각 상실, 졸음)의 징후를 보일 수 있다.[17][18] 급성 간부전으로 인한 사망은 일반적으로 뇌부종, 위장관 출혈, 패혈증, 호흡부전, 또는 신부전을 포함한 다양한 합병증의 결과이다.[17]
8. 역학
중국에서는 백신과 치료제가 모두 없는 C형 간염 환자가 전체 인구의 30%가 넘는다는 베이징대학 백신연구개발센터의 조사 결과가 있다. 중국에서는 C형 간염 치료약 수입이 금지되어 있어, 많은 중국인들이 한국 약국에서 C형 간염 치료약을 구매하고 있다. 따라서 C형 간염이 적은 대한민국에서는 중국인(조선족 포함)에 의한 C형 간염 전파에 주의해야 한다.[189] 동남아시아에는 음식 등으로 감염되는 A형 간염이 많아, 여행 전 A형 간염 예방 주사를 맞는 것이 좋다.
바이러스성 간염 선별 검사의 목적은 증상이나 트랜스아미나제 수치 상승이 나타나기 전이라도 감염자를 조기에 확인하는 것이다. 이를 통해 조기 치료가 가능하며, 질병 진행을 예방하고 타인에게 전파될 가능성을 줄일 수 있다.[75]
A형 간염은 만성 간 질환으로 진행되지 않는 급성 질환을 유발한다. 따라서 선별 검사는 A형 간염 바이러스 감염 위험이 높은 사람들과 A형 간염 감염으로 간부전이 발생할 수 있는 간 질환자들의 면역 상태를 평가하는 것이다.[76][77] 이미 면역력이 없는 사람들은 A형 간염 백신을 접종받을 수 있다.
A형 간염 선별 검사가 필요한 고위험군은 다음과 같다.[86][87][78]
- A형 간염 환자와 밀접 접촉(동거 또는 성적 접촉)하는 사람
- A형 간염이 풍토병인 지역으로 여행하는 사람
- 깨끗한 물을 이용할 수 없는 사람
- 불법 약물을 사용하는 사람
- 간 질환이 있는 사람
- 위생 습관이 좋지 않은 사람
혈액 내 항-A형 간염 IgG의 존재는 과거 바이러스 감염 또는 이전 예방 접종을 나타낸다.[79]

미국 질병통제예방센터(CDC), 세계보건기구(WHO) 등은 특정 고위험군에 대한 B형 간염 검사를 권장한다.[80][81][82][83]
B형 간염 검사는 B형 간염 표면 항원(HBsAg)을 검출하는 혈액 검사로 이루어진다. HBsAg가 있는 경우, B형 간염 코어 항원 항체(항-HBcAg) 검사를 통해 급성 감염과 만성 감염을 구분할 수 있다.[80][84] 고위험군 중 HBsAg 검사 결과가 음성인 사람은 B형 간염 백신을 접종받을 수 있다.[80][81][82][83]
미국 질병통제예방센터(CDC), 세계보건기구(WHO) 등은 C형 간염 감염 위험이 높은 사람들의 선별 검사를 권장한다.[83][173][129][85][9]
위 그룹에 속한 사람들 중 노출이 계속되는 경우, 정기적인 검사를 받아야 한다.[85] AASLD는 HIV 양성인 남성 동성애자의 경우 매년 선별 검사를 권장한다.[9] 1945년과 1965년 사이에 태어난 미국인은 한 번 검사를 받아야 한다.[173][85][9]
C형 간염 선별 검사는 항-C형 간염 바이러스 항체를 검출하는 혈액 검사로 구성된다. 항체가 존재하는 경우, HCV RNA 검사를 통해 만성 질환 여부를 확인한다.[129][9]
질병통제예방센터(CDC), 세계보건기구(WHO) 등은 B형 간염 감염 위험이 높은 사람들을 대상으로 D형 간염 선별 검사를 권장한다.[83][173][129][85][9]
D형 간염은 매우 드물며 만성 설사, 항문 및 장내 물집, 자주색 소변, 팝콘 탄 냄새가 나는 입김 등의 증상이 있다.[80][81][82]
D형 간염 선별 검사는 D형 간염 바이러스 항체를 검출하는 혈액 검사로 이루어진다. D형 간염 바이러스 항체가 있는 경우, HDV RNA DNA를 검출하는 확인 검사를 통해 만성 질환 여부를 확인한다.[129][9]
A형 간염은 전 세계적으로 발견되며, 물과 식품의 분변 오염과 관련된 대규모 발병 및 유행병으로 나타난다.[122] A형 간염 바이러스 감염은 5~14세 어린이에게서 주로 발생하며, 영아 감염은 드물다.[122] 감염된 어린이는 성인과 달리 임상적으로 증상이 거의 없거나 전혀 없는 경우가 많다. 성인의 경우 감염 시 80% 이상이 증상을 나타낸다.[123] 감염률은 공중 위생 시설이 부족하고 인구 밀도가 높은 저개발 국가에서 가장 높다.[17][124] 이러한 지역에서는 10세 미만 어린이의 최대 90%가 감염되어 면역력을 갖게 된다.[122][124][125] 소아용 백신의 등장으로 미국에서는 감염이 크게 줄었으며, 2013년 기준으로 발생률이 95% 이상 감소했다.[126] 현재 새로운 감염률이 가장 높은 집단은 젊은 성인과 성인이며, 이들은 더 심각한 임상 질환을 보인다.[17] 특히 위험이 높은 집단으로는 풍토병 지역 여행자, 남성 동성애자, 비인간 영장류에 직업적으로 노출된 사람, 응고 장애가 있어 응고 인자를 투여받은 사람, 만성 간 질환 병력이 있는 사람, 정맥 주사 약물 사용자(드물다) 등이 있다.[122]
B형 간염은 전 세계적으로 가장 흔한 바이러스성 간염의 원인이며, 2억 4천만 명이 넘는 만성 보균자가 있으며, 그중 100만 명은 미국에 있다.[127][122] 급성 B형 간염 감염이 발생한 환자의 약 3분의 2에서는 노출 원인을 알 수 없다.[17] 급성 감염자 중 25%는 평생 바이러스 보균자가 된다.[122] 감염 위험은 정맥 주사 약물 사용자, 고위험 성행위를 하는 사람, 의료 종사자, 수혈을 여러 번 받은 사람, 장기 이식 환자, 투석 환자 및 출산 과정에서 감염된 신생아에게 가장 높다.[122] 전 세계적으로 B형 간염으로 인한 사망자는 약 78만 명에 달한다.[127] 가장 풍토병 지역은 사하라 사막 이남 아프리카와 동아시아이며, 성인의 최대 10%가 만성 보균자이다.[127] 선진국의 보균율은 훨씬 낮아 인구의 1% 미만이다.[127] 풍토병 지역에서는 출산 시 노출 및 영유아 간의 밀접 접촉과의 연관성이 있는 것으로 생각된다.[17][127]
만성 C형 간염은 간경변증과 간세포암의 주요 원인이다.[128] 심각한 합병증으로 인해 간 이식의 흔한 의학적 이유가 된다.[128] 전 세계적으로 1억 3천만 명에서 1억 8천만 명이 이 질병으로 고통받고 있으며, 이는 세계 인구의 3%가 조금 넘는 수치로 추산된다.[129][122][128] 아프리카, 아시아, 남미의 개발도상국에서는 인구의 10%까지 높은 유병률을 보일 수 있다.[122] 이집트에서는 20%에 달하는 높은 C형 간염 감염률이 기록되었으며, 이는 1950년대~1980년대 의원성 오염과 관련된 혈관주혈흡충증 치료와 관련이 있다.[17][122] 현재 미국에서는 약 350만 명의 성인이 감염된 것으로 추산된다.[130] C형 간염은 특히 1945년에서 1965년 사이에 태어난 약 80만 명의 사람들에게서 흔하며, 유병률은 미국 전체 인구의 1.6%에 비해 최대 3.2%에 달한다.[17] 만성 C형 간염 보균자 대부분은 자신의 감염 상태를 알지 못한다.[17] C형 간염 바이러스의 가장 흔한 전파 경로는 수혈(1992년 이전)과 정맥 주사를 통한 혈액 노출이다.[17][122] 정맥 주사 약물 사용 경험은 만성 C형 간염의 가장 중요한 위험 요소이다.[128] 기타 취약 집단으로는 고위험 성행위에 종사하는 사람, 감염된 어머니의 영아, 의료 종사자 등이 포함된다.[122]
D형 간염 바이러스는 B형 간염 바이러스와의 동시 감염 시 만성 및 급성 간염을 유발한다.[122] 주로 비성적 접촉과 주사기를 통해 전파된다.[17][122] D형 간염에 대한 감수성은 지역에 따라 다릅니다.[17][122] 미국과 북유럽에서는 정맥 주사 약물 사용자와 여러 차례 수혈을 받은 사람들이 위험 집단이다.[17][122] 지중해 지역에서는 B형 간염 바이러스에 동시 감염된 사람들 사이에서 D형 간염이 주로 나타난다.[17][122]
A형 간염과 유사하게, E형 간염은 수원의 분변 오염과 관련된 대규모 발병 및 유행으로 나타난다.[17] 매년 5만 5천 명 이상의 사망자를 발생시키며, 전 세계적으로 약 2천만 명이 이 바이러스에 감염된 것으로 추정된다.[95] 주로 젊은 성인에게 영향을 미쳐 급성 간염을 유발한다.[17][131] 감염된 임산부의 경우, E형 간염 감염은 제3분기 사망률이 최대 30%에 달하는 급성 간염으로 이어질 수 있다.[122][131] 장기 이식 수혜자와 같이 면역 체계가 약화된 사람들도 감염되기 쉽습니다.[131] 미국에서는 감염이 드물지만 개발도상국(아프리카, 아시아, 중앙아메리카, 중동)에서는 발병률이 높다.[17][131] 여러 유전형이 존재하며 전 세계적으로 차별적으로 분포되어 있다.[95] 동물의 E형 간염 감염에 대한 증거가 있으며, 이는 인간 감염의 저장소 역할을 한다.[122]
알코올성 간염은 중증일 경우 사망률이 한 달 내 50%에 달한다.[132][65][133] 알코올성 간염에 걸리는 사람 대부분은 남성이지만, 여성은 고체지방량과 알코올 대사의 차이로 인해 알코올성 간염과 그 합병증이 발생할 위험이 더 높다.[65] 기타 위험 요인으로는 60세 미만의 젊은 나이, 폭음, 영양 상태 불량, 비만 및 C형 간염 동시 감염이 있다.[65] 알코올성 간염 환자의 최대 20%가 C형 간염에 감염된 것으로 추정된다.[134] 이러한 환자 집단에서 C형 간염 바이러스는 질병을 더욱 악화시켜 간경변증, 간세포암으로의 진행 속도를 높이고 사망률을 증가시킨다.[65][134][135] 비만은 알코올성 간염에서 간경변증으로의 진행 가능성을 높인다.[65] 알코올성 간염 환자의 70%가 간경변증으로 진행될 것으로 추정된다.[65]
비알코올성 지방간염(NASH)은 2020년까지 미국에서 간 이식의 가장 큰 원인이 될 것으로 예상되며, C형 간염으로 인한 만성 간 질환을 대체할 것으로 예상된다.[136] 미국의 약 20~45%가 비알코올성 지방간(NAFLD)을 앓고 있으며, 그중 6%는 NASH를 앓고 있다.[31][42] 세계적으로 NASH의 유병률은 3~5%로 추정된다.[137] 간경변증이 발생한 NASH 환자 중 약 2%가 매년 간세포암종으로 진행될 가능성이 있다.[137] 전 세계적으로 NAFLD와 관련된 간세포암종의 유병률은 15~30%로 추정된다.[138] NASH는 미국 환자의 약 25%에서 간경변의 주요 원인으로 여겨지며, 전체 인구의 1~2%를 차지한다.[138]
9. 사회 및 문화
바이러스성 간염 선별 검사의 목적은 증상이나 트랜스아미나제 수치 상승이 나타나기 전이라도 감염자를 가능한 한 조기에 확인하는 것이다.[75] 조기 치료를 통해 질병 진행을 예방하고 다른 사람에게 전파될 가능성을 줄일 수 있다.[75]
미국 질병통제예방센터(CDC), 세계보건기구(WHO) 등 여러 기관에서는 특정 고위험군에 대한 B형 간염 검사를 권장한다.[80][81][82][83] 검사는 B형 간염 표면 항원(HBsAg) 검출 혈액 검사로 이루어진다. HBsAg 양성이면 추가 검사(항-HBcAg)를 통해 급성/만성 감염을 구분한다.[80][84] 고위험군 중 HBsAg 음성인 사람은 B형 간염 백신 접종을 받을 수 있다.[80][81][82][83]
B형 간염 검사 대상은 다음과 같다.
- 면역억제제 또는 세포독성 치료를 시작하는 사람[80]
- 혈액, 장기 또는 조직 기증자[82]
- B형 간염 유병률이 높은 국가(인구의 2% 이상) 출신[80][81]
- 부모가 B형 간염 유병률이 매우 높은 국가(인구의 8% 이상) 출신[80][81]
- 원인을 알 수 없는 간 기능 검사 수치 상승[80]
- HIV 양성[80][81][82]
- B형 간염 환자와 밀접 접촉자[80][81][82]
- 수감자[82]
- 정맥 주사 약물 사용자[80][81][82]
- 남성 동성애자[80][81][82]
- 혈액투석 환자[80]
- 임산부[80][81][83]
CDC, WHO 등은 C형 간염 고위험군 선별 검사를 권장한다.[83][173][129][85][9] 검사는 항-C형 간염 바이러스 항체 검출 혈액 검사로 구성된다. 항체 양성이면 HCV RNA 추가 검사로 만성 질환 여부를 확인한다.[129][9] 지속 노출 시 정기 검사가 필요하며, AASLD는 HIV 양성 남성 동성애자에게 매년 검사를 권장한다.[9] 1945~1965년생 미국인은 1회 검사가 권장된다.[173][85][9]
C형 간염 검사 대상은 다음과 같다.
- 1945~1965년 사이 미국 출생 성인[85][9]
- 혈액/장기 기증자[9]
- C형 간염 양성 산모에게서 태어난 사람[9]
- HIV 양성[173][129][85][9]
- 수감 경험자[173][129][85][9]
- 비강/정맥 주사 약물 사용자[173][129][85][9]
- 남성 동성애자[9]
- 장기 투석 환자[173][129][85][9]
- 임산부 중 고위험 행동[83]
- 1992년 이전 혈액 제제/장기 수혈자[173][85][9]
- 비규제 환경 문신[85][9]
- 성노동자[129]
- 의료 환경 바늘 찔림 사고[9]
B형 간염의 경우, CDC, WHO 등은 B형 간염 감염 위험이 높은 사람들을 대상으로 선별 검사를 권장한다.[83][173][129][85][9]
- 혈액 또는 장기 기증자[9]
- 수감자 또는 과거 수감 경험이 있는 사람[173][129][85][9]
- 비강을 통한 불법 약물 사용자[173][129][85][9]
- 정맥 주사 약물 사용자(과거 또는 현재)[173][129][85][9]
- 성 노동자[129]
- 의료 환경에서 근무하는 동안 바늘에 찔린 적이 있는 사람[9]
D형 간염은 매우 드물며 만성 설사, 항문 및 장내 물집, 자주색 소변, 팝콘 탄 냄새가 나는 입김 등의 증상이 있다.[80][81][82] 선별 검사는 D형 간염 바이러스 항체를 검출하는 혈액 검사로 이루어지며, D형 간염 바이러스 항체가 있는 경우, HDV RNA DNA를 검출하는 확인 검사를 통해 만성 질환 여부를 확인한다.[129][9]
9. 1. 경제적 부담
전반적으로 간염은 개발도상국과 선진국 모두에서 의료비 지출의 상당 부분을 차지하며, 여러 개발도상국에서는 증가할 것으로 예상된다.[152][153]A형 간염 감염은 자연적으로 회복되는 질환이지만, 미국에서는 상당한 비용이 발생한다.[154] 추정에 따르면, 각 환자당 직접 및 간접 비용은 각각 약 1817USD와 2459USD이며, 감염된 성인의 경우 평균 27일의 작업일수가 손실되는 것으로 나타났다.[154] 1997년 보고서에 따르면, A형 간염과 관련된 단일 입원 치료 비용은 평균 6900USD였으며, 연간 총 의료비는 약 5억달러에 달했다.[155]
B형 간염은 아시아와 같은 풍토병 지역에서 의료비 지출의 훨씬 더 큰 비율을 차지한다.[157][158] 1997년에는 한국 전체 의료비 지출의 3.2%를 차지했으며, 직접 비용은 6.96억달러에 달했다.[158] 이 금액의 대부분은 질병 증상과 합병증 치료에 사용되었다.[159] 만성 B형 간염 감염은 미국에서는 풍토병이 아니다. 하지만 1990년 입원 비용으로 3.57억달러가 발생했다.[152] 이 수치는 2003년 15억달러로 증가했지만, 2006년 현재는 안정적인 수준을 유지하고 있는데, 이는 효과적인 약물 치료와 예방 접종 캠페인의 도입 때문일 수 있다.[152][153]
만성 C형 간염에 감염된 사람들은 전 세계적으로 의료 시스템을 자주 이용하는 경향이 있다.[160] 미국에서 C형 간염에 감염된 사람은 매달 691USD의 비용이 발생하는 것으로 추산된다.[160] 보상성(안정적인) 간경변증 환자의 경우 그 수치는 거의 두 배인 1227USD가 되는 반면, 보상되지 않는(악화되는) 간경변증 환자의 월 비용은 거의 5배인 3682USD에 달한다.[160] 간염의 광범위한 영향으로 간접 비용을 추정하기 어렵지만, 연구에 따르면 미국의 연간 총 비용은 65억달러로 추정된다.[152] 캐나다의 경우 HCV 관련 비용의 56%가 간경변증으로 인한 것이며, 바이러스와 관련된 총 지출은 2032년에 3.96억캐나다 달러로 정점에 이를 것으로 예상된다.[161]
9. 2. 2003년 모나카 A형 간염 발생
2003년 말, 미국 펜실베이니아주 모나카의 한 멕시코 음식점에서 미국 역사상 가장 큰 A형 간염 바이러스 발생이 있었다.[162] 2003년 9월부터 10월 사이에 550명이 넘는 사람들이 바이러스에 감염되었고, 그중 3명이 사망했다.[163]지역 응급의학 의사들이 A형 간염 사례 증가를 발견하면서 보건 당국이 조사에 착수했다.[163] 질병통제예방센터(CDC)는 멕시코 농장에서 구입한 오염된 생파(Scallion, 쪽파)가 원인이라고 밝혔다.[162] 오염 원인으로는 작물 관개, 세척 또는 얼음에 오염된 물을 사용하거나 감염된 사람이 채소를 다룬 것이 꼽혔다.[162]
CDC는 해당 음식점에서 잘게 썬 생파를 담는 공용 용기를 사용하여 오염되지 않은 쪽파가 오염된 쪽파와 섞이면서 감염이 확대되었다고 추정했다.[162] 이후 해당 음식점은 문을 닫았고, 9,000명이 넘는 사람들에게 A형 간염 면역 글로불린(immune globulin)이 제공되었다.[162]
10. 특수 집단
A형 간염 백신은 1세 이상의 모든 어린이에게 권장되며, 이전 면역력이 없고 질병 위험이 높은 사람들에게도 권장된다.[86][87] 12개월 이상 어린이는 6~18개월 간격으로 두 번 근육 주사를 맞아야 하며, 24개월 이전에 시작해야 한다.[88] 성인의 경우 백신 종류에 따라 용량이 다르며, A형 간염 백신만 접종하는 경우 6~18개월 간격으로 두 번 접종한다.[78] A형 및 B형 간염 혼합 백신은 최대 4회 접종이 필요할 수 있다.[78]
B형 간염 백신은 19세 미만 모든 어린이에게 권장되며,[89] 고위험군에게도 권장된다.[87] B형 간염 예방 접종은 신생아가 병원에서 퇴원하기 전 첫 번째 접종을 시작하여 18개월 전까지 두 번 더 접종해야 한다.[88] B형 간염 표면항원 양성 산모에게서 태어난 아기는 첫 번째 접종 시 백신 외에 면역글로불린도 출생 후 12시간 이내에 투여해야 하며, 생후 첫해 동안 정기 검사를 받아야 한다.[88]
A형 및 B형 간염 백신을 모두 포함하는 복합 제제도 있다.[90] 현재 미국에서는 C형 간염이나 E형 간염 백신이 없지만,[129][95][94] 2015년 중국 연구팀이 E형 간염 백신 개발 관련 논문을 발표했고,[91] 2016년 3월 미국 정부는 E형 간염 백신의 4상 시험 참가자를 모집했다.[92]
10. 1. HIV 동시 감염
HIV 감염인은 특히 HIV-C형 간염 동시 감염의 부담이 매우 크다.[164][165] 최근 WHO의 연구에 따르면, HIV 감염인의 경우 C형 간염 바이러스에 감염될 가능성이 6배 더 높았다.[165] 전 세계적으로 HIV-C형 간염 동시 감염의 유병률은 6.2%로 추정되며, 이는 220만 명 이상에 해당한다.[165] 정맥 주사 약물 사용은 C형 간염 감염의 독립적인 위험 요인이었다.[128] WHO 연구에서, 마약을 주사한 사람들의 HIV-C형 간염 동시 감염 유병률은 일반 인구(2.4%)와 비교하여 82.4%로 현저히 높았다.[165] 남성 동성애자(MSM) 중 HIV-C형 간염 동시 감염 연구에서, 항-C형 간염 항체의 전반적인 유병률은 8.1%로 추정되었으며, 마약을 주사한 HIV 양성 MSM의 경우 40%로 증가했다.[164]10. 2. 임신
신생아 간염은 다양한 원인으로 발생할 수 있으며, 그중 일부는 성인에게서 일반적으로 나타나지 않는 원인이다.[53] 간염 바이러스, 톡소플라스마, 풍진, 거대세포바이러스, 매독의 선천적 또는 신생아기 감염은 신생아 간염을 유발할 수 있다.[53] 담도폐쇄증 및 담관낭종과 같은 구조적 이상은 담즙울체성 간 손상을 초래하여 신생아 간염으로 이어질 수 있다.[53] 글리코겐 저장 질환 및 리소좀 저장 질환과 같은 대사 질환도 관련이 있다.[53] 신생아 간염은 특발성일 수 있으며, 이러한 경우 생검에서 종종 간 조직에 큰 다핵 세포가 나타난다.[54] 이 질환은 거대 세포 간염이라고 하며 바이러스 감염, 자가면역 질환 및 약물 독성과 관련이 있을 수 있다.[55][56]수직 감염은 매년 새로운 B형 간염 바이러스(HBV) 감염 사례의 상당 부분을 차지하며, 풍토병 지역에서는 35~50%가 모체에서 신생아로 전파된다.[83][166] 수직 감염은 주로 출산 중 신생아가 모체의 혈액과 질 분비물에 노출됨으로써 발생한다.[166] 바이러스에 감염된 성인의 만성 감염으로 진행될 위험은 약 5%인 반면, 수직 감염된 신생아의 경우 최대 95%에 달한다.[83][167] 모체의 혈액에서 HBsAg가 양성인 경우 바이러스 전파 위험은 약 10~20%이며, HBeAg도 양성인 경우 최대 90%까지 증가한다.[83]
질병관리본부(CDC)는 모든 임산부에 대해 첫 산전 검진 시 HBV 검사를 권장한다.[83][168] 면역력이 없는 임산부도 HBV 백신을 안전하게 접종받을 수 있다.[83][166] 미국 간 질환 연구 협회(AASLD)는 바이러스량이 200000IU/mL를 초과하는 임산부에게 항바이러스 치료를 권장한다.[169] 항바이러스 치료가 신생아로의 전파를 상당히 감소시킨다는 증거들이 늘어나고 있다.[166][169] 항레트로바이러스 임신 등록 데이터베이스에 대한 체계적인 검토 결과, 테노포비르(Tenofovir disoproxil)에 의한 선천적 기형 위험 증가는 없었으며, AASLD는 이러한 이유와 함께 강력한 효능과 낮은 내성 위험으로 이 약물을 권장한다.[169][170] 2010년 체계적 검토 및 메타 분석에 따르면, 임신 3분기 초기에 시작된 라미부딘(Lamivudine) 또한 알려진 부작용 없이 모체-신생아 간 HBV 전파를 상당히 감소시킨다.[171]
미국 산부인과 의사회(ACOG)는 현재까지의 증거로 볼 때, HBV에 감염된 산모의 경우 특정 분만 방식(질 분만 대 제왕절개)이 수직 감염 감소에 더 효과적이라고 제시하는 증거는 없다고 명시한다.[83]
세계보건기구(WHO)와 CDC는 HBV에 감염된 산모에게서 태어난 신생아는 출생 후 12시간 이내에 B형 간염 면역 글로불린(Hepatitis B immune globulin, HBIG)과 B형 간염 백신(HBV vaccine)을 접종받아야 한다고 권장한다.[80][82] HBIG와 HBV 백신을 접종받은 영아의 경우 모유 수유는 안전하다.[83][166]
수직 감염을 통한 C형 간염 바이러스(HCV) 감염률은 2~8%로 추정되며, 2014년 체계적 문헌 고찰 및 메타 분석 결과 C형 간염 양성, HIV 음성 여성의 위험률은 5.8%로 나타났다.[83][172] 같은 연구에서 C형 간염 양성, HIV 양성 여성의 수직 감염 위험률은 10.8%로 나타났다.[172] 다른 연구에서는 HIV 양성 여성의 수직 감염 위험률이 최대 44%에 달하는 것으로 나타났다.[83] 수직 감염 위험률은 산모의 혈액에서 바이러스가 검출될 때 더 높다.[172]
출산 방식(질 분만 대 제왕절개)이 수직 감염에 영향을 미친다는 증거는 없다.[83]
C형 간염 양성, HIV 음성 여성의 경우 모유 수유는 안전하다. 질병관리본부(CDC) 지침에서는 수직 감염 위험을 줄이기 위해 유두에 균열이나 출혈이 있는 경우 모유 수유를 피할 것을 권장한다.[83][173]
임신 중 HEV에 감염된 여성은 특히 임신 3기에는 치명적인 간염에 걸릴 위험이 높으며, 모성 사망률이 20~30%에 달할 수 있다.[17][83][166] 3968명을 포함한 47건의 연구에 대한 2016년 체계적 검토 및 메타 분석에 따르면 산모의 치사율(CFR)은 20.8%, 태아의 CFR은 34.2%였으며, 급성 간부전이 발생한 여성의 CFR은 61.2%였다.[174]
참조
[1]
웹사이트
Hepatitis
https://www.niaid.ni[...]
2016-11-02
[2]
웹사이트
Hepatitis
https://medlineplus.[...]
2020-07-19
[3]
웹사이트
Hepatitis
https://medlineplus.[...]
2016-11-10
[4]
웹사이트
Hepatitis (Hepatitis A, B, and C) ACG Patients
http://patients.gi.o[...]
[5]
논문
Acute Liver Failure
[6]
웹사이트
Esto es la hepatitis: Conócela, enfréntate a ella
https://www.infoteri[...]
2022-08-08
[7]
웹사이트
What is hepatitis?
https://www.who.int/[...]
2016-07
[8]
웹사이트
Fatty Liver Disease (Nonalcoholic Steatohepatitis)
https://web.archive.[...]
2014-05
[9]
논문
Hepatitis C guidance: AASLD-IDSA recommendations for testing, managing, and treating adults infected with hepatitis C virus
2015-09-01
[10]
웹사이트
Autoimmune Hepatitis
https://web.archive.[...]
2014-03
[11]
웹사이트
Liver Transplant
https://web.archive.[...]
2012-04
[12]
논문
Global, regional, and national incidence, prevalence, and years lived with disability for 310 diseases and injuries, 1990–2015: a systematic analysis for the Global Burden of Disease Study 2015
2016-10
[13]
논문
Definition, epidemiology and magnitude of alcoholic hepatitis
2011
[14]
논문
Global, regional, and national life expectancy, all-cause mortality, and cause-specific mortality for 249 causes of death, 1980–2015: a systematic analysis for the Global Burden of Disease Study 2015
2016-10
[15]
웹사이트
Statistics & Surveillance Division of Viral Hepatitis CDC
https://www.cdc.gov/[...]
2016-11-10
[16]
웹사이트
Online Etymology Dictionary
http://www.etymonlin[...]
Etymonline.com
2012-08-26
[17]
서적
Harrison's Principles of Internal Medicine, 19e
McGraw-Hill
[18]
서적
CURRENT Diagnosis & Treatment: Gastroenterology, Hepatology, & Endoscopy, 3e
McGraw-Hill
[19]
서적
Pathophysiology of Disease: An Introduction to Clinical Medicine, 7e
McGraw-Hill
[20]
서적
Harrison's Principles of Internal Medicine, 19e
McGraw-Hill
[21]
논문
Clinical Features, Diagnosis, and Natural History of Drug-Induced Liver Injury
2014-05-01
[22]
논문
Autoimmune hepatitis – Update 2015
[23]
서적
API Textbook of Medicine, Ninth Edition, Two Volume Set
https://books.google[...]
JP Medical Ltd
2012
[24]
웹사이트
Viêm gan tự miễn
https://www.vinmec.c[...]
Bệnh viện đa khoa quốc tế Vinmec
2023-12-28
[25]
웹사이트
Hepatitis
https://www.who.int/[...]
World Health Organization
2013-11-25
[26]
웹사이트
Hepatitis A Questions and Answers for the Public Division of Viral Hepatitis CDC
https://www.cdc.gov/[...]
2016-03-14
[27]
웹사이트
Hepatitis E
https://www.who.int/[...]
2016-03-14
[28]
웹사이트
When Someone Close to You Has Hepatitis
https://www.cdc.gov/[...]
2016-03-14
[29]
웹사이트
Hepatitis A
https://www.who.int/[...]
2023-05-07
[30]
웹사이트
Hepatitis C FAQs for the Public Division of Viral Hepatitis CDC
https://www.cdc.gov/[...]
2016-03-14
[31]
서적
Current Medical Diagnosis & Treatment 2016 55e
McGraw Hill
[32]
서적
Comparative Hepatitis
https://archive.org/[...]
Birkhauser
[33]
서적
Comparative Hepatitis
https://archive.org/[...]
Birkhauser
[34]
서적
Harrison's Principles of Internal Medicine 19e
McGraw-Hill
[35]
서적
Harrison's Principles of Internal Medicine 19e
McGraw-Hill
[36]
논문
Drug-Induced Hepatotoxicity
2003-07-31
[37]
논문
Drug-induced liver injury: present and future
[38]
웹사이트
Herbals_and_Dietary_Supplements
http://livertox.nih.[...]
2016-03-14
[39]
뉴스
NIH launches free database of drugs associated with liver injury
https://www.nih.gov/[...]
2018-09-18
[40]
논문
Toxic hepatitis in occupational exposure to solvents
[41]
서적
Tintinalli's Emergency Medicine: A Comprehensive Study Guide.
McGraw-Hill
2013-11-26
[42]
서적
Harrison's Principles of Internal Medicine 19e
McGraw-Hill
[43]
웹사이트
Nonalcoholic Steatohepatitis
http://digestive.nid[...]
National Digestive Diseases Information Clearinghouse (NDDIC)
2013-11-27
[44]
논문
Nonalcoholic fatty liver disease: an emerging threat to obese and diabetic individuals
2013-04
[45]
웹사이트
Autoimmune Hepatitis
https://web.archive.[...]
National Digestive Diseases Information Clearinghouse (NDDIC)
2013-11-27
[46]
논문
Update on autoimmune hepatitis
[47]
논문
Diagnosis and Management of Autoimmune Hepatitis: Current Status and Future Directions
[48]
논문
Diagnosis and Management of Autoimmune Hepatitis: Current Status and Future Directions
2016-03-15
[49]
논문
Clinical features and management of autoimmune hepatitis
[50]
논문
Liver Disease in Alpha-1 Antitrypsin Deficiency: Current Understanding and Future Therapy
2013-03-07
[51]
웹사이트
Hepatic ischemia
https://www.nlm.nih.[...]
National Library of Medicine
2012-08-10
[52]
서적
Sleisenger and Fordtran's Gastrointestinal and Liver Disease
Saunders
2013-12-04
[53]
논문
Liver and Biliary Disease in Infancy
2015-11
[54]
논문
Neonatal hepatitis syndrome
2003-10-01
[55]
서적
Current diagnosis & treatment: pediatrics
McGraw-Hill Medical
2012-06-21
[56]
논문
A fatal case of postinfantile giant cell hepatitis in a patient with chronic lymphocytic leukaemia
2003-05
[57]
논문
Mechanisms of viral hepatitis induced liver injury
2003-09-01
[58]
논문
Interference of Apoptosis by Hepatitis B Virus
2017-08
[59]
논문
Mechanism of Hepatocyte Apoptosis
2016
[60]
논문
Prediction of fibrosis progression in chronic viral hepatitis
2014-09-01
[61]
논문
Natural Killer Cells in Viral Hepatitis
2015-11-01
[62]
논문
Innate and adaptive immune responses in HCV infections
2014-11-01
[63]
논문
Nonalcoholic Fatty Liver Disease: Pathogenesis and Disease Spectrum
https://zenodo.org/r[...]
2016-03-03
[64]
논문
Pathogenesis and therapeutic approaches for non-alcoholic fatty liver disease
2014-11-27
[65]
논문
Definition, epidemiology and magnitude of alcoholic hepatitis
2011-05-27
[66]
논문
Nonalcoholic fatty liver disease and hepatic cirrhosis: Comparison with viral hepatitis-associated steatosis
2015-12-14
[67]
논문
Guidelines on the use of liver biopsy in clinical practice
[68]
논문
AGA technical review on the evaluation of liver chemistry tests
2002-10
[69]
논문
Evaluation of abnormal liver-enzyme results in asymptomatic patients
2000-04-27
[70]
논문
Imaging Diagnosis of Cirrhosis and Chronic Hepatitis
[71]
논문
Accuracy of ultrasound to identify chronic liver disease
2010-07-28
[72]
논문
Imaging the Liver
2004-07-01
[73]
논문
Update on hepatitis B and C virus diagnosis
2015
[74]
논문
Alcoholic and non-alcoholic steatohepatitis
2014-12-01
[75]
웹사이트
Hepatitis Testing
https://www.testing.[...]
2023-05-12
[76]
웹사이트
Guidelines For Viral Hepatitis Surveillance And Case Management
https://www.cdc.gov/[...]
2016-03-12
[77]
서적
Harrison's Manual of Medicine
McGraw-Hill
2013
[78]
웹사이트
Adult Immunization Schedule by Vaccine and Age Group
https://www.cdc.gov/[...]
2016-03-07
[79]
서적
Chapter 163: "Acute Hepatitis." Harrison's Manual of Medicine, 18e.
McGraw-Hill
2013
[80]
웹사이트
Recommendations for Identification and Public Health Management of Persons with Chronic Hepatitis B Virus Infection
https://www.cdc.gov/[...]
2016-03-11
[81]
서적
Screening for Hepatitis B Virus Infection in Nonpregnant Adolescents and Adults: Systematic Review to Update the 2004 U.S. Preventive Services Task Force Recommendation
https://www.ncbi.nlm[...]
Agency for Healthcare Research and Quality (US)
2014-01-01
[82]
웹사이트
Guidelines for the prevention, care and treatment of persons with chronic hepatitis B infection
https://www.who.int/[...]
2016-03-11
[83]
웹사이트
ACOG Practice Bulletin: Clinical Management Guidelines for Obstetrician-Gynecologists: Viral Hepatitis in Pregnancy
http://www.acog.org/[...]
2016-03-12
[84]
서적
CURRENT Practice Guidelines in Primary Care 2015
McGraw-Hill
2015
[85]
웹사이트
Final Recommendation Statement: Hepatitis C: Screening – US Preventive Services Task Force
https://www.uspreven[...]
2016-03-21
[86]
웹사이트
Hepatitis A Fact sheet N°328
https://www.who.int/[...]
2016-03-07
[87]
논문
Advisory Committee on Immunization Practices (ACIP) of the Centers for Disease Control and Prevention. A shot at hepatitis prevention.
2011-10
[88]
웹사이트
Birth-18 Years and Catchup Immunization Schedules for Providers.
https://www.cdc.gov/[...]
2016-03-07
[89]
웹사이트
Update: recommendations to prevent hepatitis B virus transmission—United States. MMWR 1999
https://www.cdc.gov/[...]
2016-03-07
[90]
웹사이트
Hepatitis A And Hepatitis B Vaccine (Intramuscular Route)
https://www.mayoclin[...]
2018-01-25
[91]
논문
Long-Term Efficacy of a Hepatitis E Vaccine
2015-03-05
[92]
웹사이트
Phase IV Clinical Trial of Recombinant Hepatitis E Vaccine(Hecolin) - Full Text View - ClinicalTrials.gov
https://clinicaltria[...]
2016-03-09
[93]
논문
Epidemiology of the Hepatitis D virus
https://en.wikiversi[...]
2020
[94]
웹사이트
WHO Hepatitis D
https://www.who.int/[...]
2016-03-09
[95]
웹사이트
Hepatitis E
https://www.who.int/[...]
2016-03-09
[96]
웹사이트
Drinking Levels Defined National Institute on Alcohol Abuse and Alcoholism (NIAAA)
http://www.niaaa.nih[...]
2011-09-14
[97]
웹사이트
Preventing fatty liver disease before it's too late
https://wexnermedica[...]
2020-06-17
[98]
웹사이트
Nonalcoholic Fatty Liver Disease (NAFLD)
https://liverfoundat[...]
2022-05-23
[99]
논문
Hepatitis A: Epidemiology and prevention in developing countries
2012-03-27
[100]
웹사이트
Pinkbook Hepatitis B Epidemiology of Vaccine Preventable Diseases CDC
https://www.cdc.gov/[...]
2016-03-09
[101]
웹사이트
Commentary U.S. 2013 Surveillance Data for Viral Hepatitis Statistics & Surveillance Division of Viral Hepatitis CDC
https://www.cdc.gov/[...]
2016-03-09
[102]
간행물
What is the evidence for the effectiveness of interventions to reduce hepatitis C infection and the associated morbidity?
http://www.euro.who.[...]
WHO Regional Office for Europe
2016-03-09
[103]
논문
Definition, epidemiology and magnitude of alcoholic hepatitis
2011-05-27
[104]
웹사이트
The Epidemiology of Alcoholic Liver Disease
http://pubs.niaaa.ni[...]
2016-03-09
[105]
논문
Achieving Sustained Virological Response in Hepatitis C Reduces the Long-Term Risk of Hepatocellular Carcinoma: An Updated Meta-Analysis Employing Relative and Absolute Outcome Measures
2015-12-01
[106]
논문
The hepatitis C revolution part 1: antiviral treatment options
2015-12-01
[107]
논문
Enhancing our understanding of current therapies for Hepatitis C virus (HCV)
2015-03-01
[108]
논문
Interferon alpha for chronic hepatitis D
2011-12-07
[109]
웹사이트
HEV FAQs for Health Professionals Division of Viral Hepatitis CDC
https://www.cdc.gov/[...]
2016-03-17
[110]
논문
Comparative Effectiveness of Pharmacological Interventions for Severe Alcoholic Hepatitis: A Systematic Review and Network Meta-analysis
2015-10-01
[111]
논문
The clinical effectiveness and cost-effectiveness of STeroids Or Pentoxifylline for Alcoholic Hepatitis (STOPAH): a 2 × 2 factorial randomised controlled trial
2015-12-01
[112]
논문
Milk thistle for alcoholic and/or hepatitis B or C virus liver diseases
2007-10-17
[113]
웹사이트
Treatment for NAFLD & NASH - NIDDK
https://www.niddk.ni[...]
2023-09-04
[114]
논문
Prednisone for chronic active liver disease: dose titration, standard dose, and combination with azathioprine compared
1975-11-01
[115]
서적
Hepatitis C Virus: From Molecular Virology to Antiviral Therapy
Springer
[116]
논문
Incidence and severity of viral hepatitis in pregnancy
1981
[117]
논문
Acute Liver Failure
2001
[118]
논문
Infection with the delta agent in chronic HBsAg carriers
https://www.gastrojo[...]
1981
[119]
논문
Interferon alpha versus any other drug for chronic hepatitis D
2015-06-02
[120]
논문
Estimation of stage-specific fibrosis progression rates in chronic hepatitis C virus infection: a meta-analysis and meta-regression
2008-08-01
[121]
논문
Morbidity and mortality in compensated cirrhosis type C: a retrospective follow-up study of 384 patients
1997
[122]
서적
Medical Microbiology
McGraw-Hill
[123]
웹사이트
Hepatitis A Information Division of Viral Hepatitis CDC
https://www.cdc.gov/[...]
2016-03-08
[124]
논문
Hepatitis A
[125]
웹사이트
WHO Hepatitis A
https://www.who.int/[...]
2016-03-08
[126]
웹사이트
Hepatitis A Questions and Answers for Health Professionals Division of Viral Hepatitis CDC
https://www.cdc.gov/[...]
2016-03-08
[127]
웹사이트
Hepatitis B
https://www.who.int/[...]
2016-03-09
[128]
논문
Clinical practice. Chronic hepatitis C infection
2011-06-23
[129]
웹사이트
Hepatitis C
https://www.who.int/[...]
2016-03-08
[130]
논문
Toward a more accurate estimate of the prevalence of hepatitis C in the United States
2015-11-01
[131]
웹사이트
HEV FAQs for Health Professionals Division of Viral Hepatitis CDC
https://www.cdc.gov/[...]
2016-03-09
[132]
논문
Alcoholic hepatitis: a comprehensive review of pathogenesis and treatment
2014-05-28
[133]
논문
Alcoholic hepatitis: current challenges and future directions
2014-04-01
[134]
논문
Alcoholic hepatitis and concomitant hepatitis C virus infection
2014-09-14
[135]
논문
Mechanisms of synergy between alcohol and hepatitis C virus
2007-09-01
[136]
논문
From NAFLD to NASH to cirrhosis-new insights into disease mechanisms
2013-11-01
[137]
논문
Non-alcoholic fatty liver disease: epidemiology, clinical course, investigation, and treatment
2014-06-27
[138]
논문
NAFLD, NASH and liver cancer
2013-11-01
[139]
논문
A brief history of hepatitis milestones
2014-02
[140]
논문
Viral hepatitis—the silent killer.
2012-07
[141]
서적
Classic papers in viral hepatitis
Science Press
1988
[142]
논문
The discovery of the hepatitis viruses.
1993-04-00
[143]
논문
Homologous Serum Jaundice
1946-00-00
[144]
서적
Intervention and Reflection: Basic Issues in Medical Ethics
[145]
논문
Ethics and Clinical Research
1966-00-00
[146]
논문
The discovery of the hepatitis viruses.
1993-04-00
[147]
서적
The Oxford Textbook of Clinical Research Ethics
Oxford University Press
[148]
서적
Les Prix Nobel
[149]
논문
The road not taken or how I learned to love the liver: A personal perspective on hepatitis history
2014-01-01
[150]
논문
A "new" antigen in leukemia sera
1965-02-15
[151]
웹사이트
The Nobel Prize in Physiology or Medicine 1976
https://www.nobelpri[...]
2019-10-07
[152]
논문
Current and Future Burden of Chronic Nonmalignant Liver Disease
2015-11-01
[153]
논문
Reducing the neglected burden of viral hepatitis in Africa: Strategies for a global approach
[154]
논문
Hepatitis A: Disease Burden and Current Childhood Vaccination Strategies in the United States
[155]
웹사이트
Hepatitis A
https://www.who.int/[...]
World Health Organization
2016-03-05
[156]
논문
Cost-effectiveness analyses of hepatitis A vaccine: a systematic review to explore the effect of methodological quality on the economic attractiveness of vaccination strategies
2008-01-01
[157]
논문
Chronic hepatitis B in Asia—new insights from the past decade
2011-01-01
[158]
논문
The economics of treating chronic hepatitis B in Asia
2008-09-01
[159]
논문
Hepatitis B virus epidemiology, disease burden, treatment, and current and emerging prevention and control measures
2004-03-01
[160]
논문
The impact of hepatitis C burden: an evidence-based approach
2014-03-01
[161]
논문
Burden of disease and cost of chronic hepatitis C infection in Canada
2014-05-01
[162]
논문
Hepatitis A outbreak associated with green onions at a restaurant—Monaca, Pennsylvania, 2003
2003-11-28
[163]
뉴스
Community Is Reeling From Hepatitis Outbreak
https://www.nytimes.[...]
2016-03-10
[164]
논문
Prevalence of hepatitis C virus infection among HIV+ men who have sex with men: a systematic review and meta-analysis
2016-01-28
[165]
논문
Prevalence and burden of HCV co-infection in people living with HIV: a global systematic review and meta-analysis
http://researchonlin[...]
2016-02-24
[166]
서적
"Hepatic, Biliary, and Pancreatic Disorders." Williams Obstetrics, Twenty-Fourth Edition
McGraw-Hill
[167]
논문
Natural history of acute hepatitis B surface antigen-positive hepatitis in Greek adults.
1987-06-00
[168]
웹사이트
A Comprehensive Immunization Strategy to Eliminate Transmission of Hepatitis B Virus Infection in the United States Recommendations of the Advisory Committee on Immunization Practices (ACIP) Part 1: Immunization of Infants, Children, and Adolescents
https://www.cdc.gov/[...]
2016-03-16
[169]
논문
AASLD guidelines for treatment of chronic hepatitis B
2016-01-01
[170]
논문
Safety of tenofovir during pregnancy for the mother and fetus: a systematic review
2013-12-01
[171]
논문
Lamivudine in late pregnancy to interrupt in utero transmission of hepatitis B virus: a systematic review and meta-analysis
2010-07-01
[172]
논문
Vertical transmission of hepatitis C virus: systematic review and meta-analysis
2014-09-15
[173]
논문
Recommendations for Prevention and Control of Hepatitis C Virus (HCV) Infection and HCV-Related Chronic Disease
https://www.cdc.gov/[...]
2016-03-16
[174]
논문
Case-fatality risk of pregnant women with acute viral hepatitis type E: a systematic review and meta-analysis
2016-03-01
[175]
논문
Hepatitis B vaccine: a review of the clinical data to date
https://linkinghub.e[...]
1985-04-00
[176]
간행물
添付文書 ツムラ大柴胡湯エキス顆粒(医療用)
https://www.tsumura.[...]
[177]
논문
漢方薬による肝障害報告の再検討
[178]
논문
漢方薬による肝障害 -その診断,頻度,臨床像について-
[179]
논문
少量のアセトアミノフェン服用による急性肝障害の2例
[180]
웹사이트
http://www.kanazawa-[...]
[181]
기타
[182]
웹사이트
急性肝不全(劇症肝炎)
http://www.hepatobil[...]
[183]
논문
急性肝不全:わが国における課題
[184]
논문
慢性肝炎の新しい組織分類
[185]
논문
鉄の細胞毒性とC型慢性肝炎での役割
[186]
저널
ABC of diseases of liver, pancreas, and biliary system: Acute hepatitis
[187]
서적
Hepatitis - Hepatitisfolgen. Praxis der Diagnostik, Therapie und Prophylaxe akuter und chronischer Lebererkrankungen
Huber
[188]
웹사이트
Chronic hepatitis
http://www.merck.com[...]
[189]
뉴스
http://news.chosun.c[...]
본 사이트는 AI가 위키백과와 뉴스 기사,정부 간행물,학술 논문등을 바탕으로 정보를 가공하여 제공하는 백과사전형 서비스입니다.
모든 문서는 AI에 의해 자동 생성되며, CC BY-SA 4.0 라이선스에 따라 이용할 수 있습니다.
하지만, 위키백과나 뉴스 기사 자체에 오류, 부정확한 정보, 또는 가짜 뉴스가 포함될 수 있으며, AI는 이러한 내용을 완벽하게 걸러내지 못할 수 있습니다.
따라서 제공되는 정보에 일부 오류나 편향이 있을 수 있으므로, 중요한 정보는 반드시 다른 출처를 통해 교차 검증하시기 바랍니다.
문의하기 : help@durumis.com
