담관암
"오늘의AI위키"의 AI를 통해 더욱 풍부하고 폭넓은 지식 경험을 누리세요.
1. 개요
담관암은 담관에 발생하는 암으로, 간 기능 이상, 황달, 복통, 체중 감소 등의 증상을 보인다. 위험 요인으로는 원발성 경화성 담관염, 기생충 감염, 만성 간 질환, 선천성 간 이상 등이 있으며, 담관암은 담관 상피 세포의 선암으로 조직학적 특징을 갖는다. 진단은 혈액 검사, 복부 영상 검사, 담관의 의학 영상, 수술적 탐색을 통해 이루어지며, 수술적 절제가 주요 치료법이다. 수술 후 보조 화학 요법이나 방사선 치료가 시행될 수 있으며, 진행성 질환에는 고식적 화학 요법, 방사선 요법, 표적 치료제, 면역 항암제가 사용된다. 담관암은 예후가 좋지 않아 5년 생존율이 낮으며, 비교적 드문 암으로 아시아에서 유병률이 더 높다.
더 읽어볼만한 페이지
- 소화기 신생물 - 간세포암
간세포암은 간에서 발생하는 악성 종양으로, 만성 간 질환 환자에게서 주로 발생하며, 다양한 원인과 위험 요인에 의해 발생하고, 복통, 황달 등의 증상이 나타날 수 있으며, 수술, 간 이식 등의 치료 방법이 사용되고, 예방을 위해 B형 간염 예방 접종 등이 중요하다. - 소화기 신생물 - 쓸개암
쓸개암은 담낭에 발생하는 악성 종양으로, 초기 증상이 미미하여 진단이 어렵고, 여성, 고령, 비만, 담석증 등의 위험 요인이 있으며, 영상 검사 및 생검을 통해 진단하고 수술, 항암화학요법 등으로 치료하며, 예후는 좋지 않지만 조기 발견과 치료가 중요하고, 발생률은 낮으나 특정 지역에서 높게 나타난다. - 암의 종류 - 피부암
피부암은 피부 세포에서 발생하는 악성 종양으로, 자외선 노출, 유전적 요인, 면역 저하 등이 원인이 되며 기저세포암, 편평상피세포암, 흑색종으로 나뉘고 조기 발견과 자외선 차단이 중요하다. - 암의 종류 - 전립선암
전립선암은 전립선 세포 DNA의 유전자 돌연변이로 발생하는 남성 암으로, 초기 증상이 없다가 진행되면 배뇨장애, 발기부전 등이 나타날 수 있으며, PSA 검사, 직장수지검사, 생검 등을 통해 진단하고, 병기, 글리슨 등급, PSA 수치에 따라 치료하며, 전이성 암에는 호르몬 요법, 거세 저항성 암에는 추가 치료를 시행하고, 발병 위험은 나이, 유전, 생활 습관 등에 영향을 받는다. - 감염성 암원 - 결핵
결핵은 결핵균에 의해 발생하는 감염성 질환으로, 주로 폐에 영향을 미치며 기침, 객혈 등의 증상을 보이지만 무증상일 수도 있고, 호흡기 비말 전파를 통해 감염되며, 항생제 치료를 하지만 약물 내성 문제로 인해 공중 보건 문제로 남아있다. - 감염성 암원 - 자궁경부암
자궁경부암은 인유두종바이러스 감염이 주원인인 자궁 경부의 악성 종양으로, 초기에는 증상이 미미하지만 진행 시 질 분비물 증가, 성교통, 골반통이 나타날 수 있으며, 자궁경부 세포진 검사, 조직 생검 등으로 진단하고 수술, 방사선 치료, 항암 치료 등으로 치료하며, HPV 백신 접종과 정기 검진으로 예방이 가능하다.
| 담관암 | |
|---|---|
| 일반 정보 | |
![]() | |
| 분야 | 종양학 |
| 증상 | 복통 노란 피부 체중 감소 전신 가려움증 발열 |
| 발병 연령 | 70세 |
| 종류 | 간내 간문부 원위부 |
| 원인 및 위험 요인 | |
| 위험 요인 | 원발성 경화성 담관염 궤양성 대장염 특정 간흡충 감염 일부 선천성 간 기형 |
| 진단 및 치료 | |
| 진단 | 현미경으로 종양 검사하여 확인 |
| 치료 | 외과적 절제 화학 요법 방사선 요법 스텐트 시술 간 이식 |
| 예후 및 빈도 | |
| 예후 | 일반적으로 좋지 않음 |
| 빈도 | 서구 세계에서 연간 100,000명당 1–2명 |
| 기타 | |
| 영어 명칭 | Cholangiocarcinoma |
2. 징후 및 증상
담관암은 담도를 둘러싸고 있는 상피 세포의 선암과 조직학적 및 분자적 특징을 보이는 것으로 알려져 있지만, 실제 기원 세포는 아직 밝혀지지 않았다. 최근 연구에 따르면 원발성 종양을 생성하는 초기 형질 전환 세포는 만능 간 줄기세포에서 유래할 수 있다고 한다.[148][149][150] 담관암은 초기 증식 및 전이를 거쳐 이형성으로 발전하고, 최종적으로 암종이 되는 단계를 거친다. 이는 대장암 발생 과정과 유사하다. 담관의 만성 염증과 폐쇄, 그리고 이로 인한 담즙 흐름 장애는 이러한 진행에 중요한 역할을 한다.[151][152][153]
담관암의 일반적인 증상으로는 황달(눈과 피부가 노랗게 변함), 복통(30~50%), 가려움증(66%), 체중 감소(30~50%), 발열(최대 20%), 대변이나 소변 색깔 변화 등이 있다.[10] 간 바깥 담관에 암이 생기면 황달이, 간 속 담관에 암이 생기면 황달 없이 통증이 나타나는 경우가 많다.[11]
담관암의 가장 흔한 신체적 징후는 간 기능 검사 이상, 황달(담관이 종양에 의해 막혀 눈과 피부가 노랗게 변하는 증상), 복통(30~50%), 전신 가려움증(66%), 체중 감소(30~50%), 발열(최대 20%), 대변이나 소변 색 변화 등이다.[118] 증상은 종양의 위치에 따라 어느 정도 달라지는데, 간외 담관(간 바깥쪽)에 담관암이 있는 사람은 황달이 나타날 가능성이 높고, 간내 담관에 종양이 있는 사람은 황달 없이 통증만 있는 경우가 더 흔하다.[119]
담관암 환자의 간 기능 혈액 검사에서 빌리루빈, 알칼리성 포스파테이스, 감마 글루타밀 전이효소 수치는 상승하고 트랜스아미네이스 수치는 비교적 정상인 소위 "폐쇄성 소견"이 나타나는 경우가 많다. 이러한 실험실 소견은 황달의 주요 원인으로 간 실질의 염증이나 감염이 아닌 담관 폐쇄를 시사한다.[120]
3. 위험 요소

대부분의 담관암 환자들은 뚜렷한 위험 요인을 발견하지 못하지만, 여러 위험 요인들이 알려져 있다. 서양에서는 원발성 경화성 담관염(PSC)이 가장 흔한 위험 요인으로, 이는 궤양성 대장염과 밀접하게 관련된 담관의 염증성 질환이다.[13][121] 역학 연구에 따르면 원발성 경화성 담관염 환자의 평생 담관암 발병 위험은 10~15% 정도이지만,[14][122] 부검에서는 30%까지 높은 발병률을 보이기도 한다.[105][123] DNA 복구 기능이 저하된 염증성 장 질환 환자의 경우, 담도 염증과 담즙산으로 인한 DNA 손상으로 인해 원발성 경화성 담관염에서 담관암으로 진행될 수 있다.[15][124]
특정 기생충성 간 질환도 위험 요인이 될 수 있다. 간흡충인 ''오피스토키스 비베리니''(태국, 라오스, 베트남에서 발견)[16][17][18][125][126][127] 또는 ''클로노르키스 시넨시스''(중국, 대만, 러시아 동부, 한국, 베트남에서 발견)[19][20][128][129]의 군집화는 담관암 발병과 관련이 있다. 대한민국에서도 발견되는 간흡충(클로노르키스 시넨시스) 감염은 민물고기 생식 등을 통해 이루어질 수 있으므로 주의가 필요하다. 일부 국가에서는 날 음식과 덜 익힌 음식 섭취를 줄이기 위한 통제 프로그램(통합 간흡충 구제 프로그램)이 담관암 발생을 줄이는 데 성공했다.[21][130] 바이러스성 간염(예: B형 간염 또는 C형 간염)[22][23][24][131][132][133], 알코올성 간 질환, 기타 원인으로 인한 간경변 등 만성 간 질환이 있는 사람은 담관암 발생 위험이 상당히 높다.[25][107][134][135] HIV 감염도 한 연구에서 담관암의 잠재적 위험 요인으로 확인되었지만, HIV 자체 또는 다른 상관관계가 있는 혼란 요인(예: C형 간염 감염)이 연관성을 유발하는지는 불분명하다.[107][134]
''헬리코박터 필리스'' 및 ''헬리코박터 헤파티쿠스'' 박테리아에 감염되면 담도암이 발생할 수 있다.[26][136]
캐롤리병(5가지 담낭 낭종의 특정 유형)과 같은 선천성 간 이상은 담관암의 평생 발병 위험과 약 15%의 연관이 있는 것으로 알려져 있다.[27][28][137][138] 희귀 유전 질환인 린치 증후군 II와 담도 유두종증도 담관암과 관련이 있는 것으로 밝혀졌다.[29][30][139][140] 담석(담석증)은 담관암과 명확하게 연관되어 있지 않다. 그러나 서양에서는 드물지만 아시아 일부 지역에서는 흔한 간 내 담석(간담석증)은 담관암과 밀접한 관련이 있는 것으로 알려져 있다.[31][32][33][141][142][143] 방사선 조영제로 사용되는 이산화토륨의 한 형태인 토로트라스트에 노출되면 노출 후 30~40년 후에 담관암이 발생하는 것으로 알려져 있으며, 토로트라스트는 발암성 때문에 1950년대에 미국에서 사용이 금지된 바 있다.[34][35][36][144][145][146]
그 외에도 궤양성 대장염, 크론병 등도 위험 요인이다. 또한 유기 용매로 사용되는 1,2-디클로로프로판(1,2-dichloropropane), 디클로로메탄에 대한 노출이 발병 원인으로 알려져 있다. 2012년에는 이러한 유기계 세척제를 다량 사용하여 작업해 온 인쇄 공장 직원들이 매우 높은 빈도로 담관암에 걸린 것이 보고되어 큰 사회 문제가 되었다.
4. 병태생리학
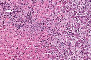
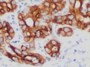
조직학적으로 담관암은 미분화에서 잘 분화된 것까지 다양하게 나타난다. 담관암은 종종 활발한 섬유화 또는 탈형성 조직 반응으로 둘러싸여 있다. 광범위한 섬유화가 동반될 경우, 잘 분화된 담관암과 정상적인 반응성 상피를 구별하기 어려울 수 있다. 사이토케라틴, 카르시노 배아 항원, 뮤신 염색은 진단에 도움이 될 수 있지만, 악성 담관 조직과 양성 담관 조직을 완벽하게 구별할 수 있는 면역 조직 화학 염색법은 아직 없다.[154] 대부분의 담관암(>90%)은 선암이다.[155]
5. 진단
담관암 환자는 간 기능 검사에서 빌리루빈, 알칼리성 인산가수분해효소, 감마 글루타밀 전이효소 수치가 높아지고, 트랜스아미나제 수치는 비교적 정상인 경우가 많다.[12]
담관암은 특징적인 영상 소견과 종양 표지자를 통해 진단한다. 주요 진단 방법은 다음과 같다:
MDCT의 보급으로 고해상도 영상을 얻게 되면서, 암의 진행 정도를 더 정확하게 진단하려는 시도가 이루어지고 있다.
5. 1. 혈액 검사
담관암을 단독으로 진단할 수 있는 특정 혈액 검사는 없다. 혈청 내 암배아항원(CEA)과 CA19-9 수치는 종종 상승하지만, 일반적인 선별 검사 도구로 사용할 만큼 민감도나 특이도가 충분하지 않다. 그러나 담관암이 의심되는 진단을 뒷받침하는 데 영상 검사 방법과 함께 사용하면 유용할 수 있다.[156][45]
담도 폐쇄에 의한 혈중 빌리루빈 및 담도계 효소의 상승, 그리고 종양표지자의 상승이 관찰된다.
| 종양표지자 |
|---|
| CEA |
| CA 19-9 |
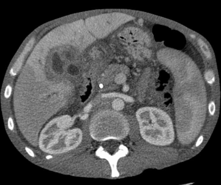
5. 2. 복부 영상

간 및 담도 초음파는 폐쇄성 황달이 의심되는 환자의 초기 영상 검사로 자주 사용된다.[157][158] 초음파는 폐쇄와 담관 확장을 확인할 수 있으며, 경우에 따라 담관암을 진단하는 데 충분할 수 있다.[159] 컴퓨터 단층촬영(CT) 스캔도 담관암 진단에 중요한 역할을 할 수 있다.[160][161][162]
5. 3. 담관의 의학 영상

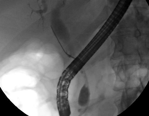
복부 영상은 담관암 진단에 유용하지만, 담관을 직접 촬영하는 것이 필요한 경우가 많다. 내시경 역행성 담췌관 조영술(ERCP)은 소화기내과 전문의 또는 특수 훈련을 받은 외과의가 시행하는 내시경 시술로, 이러한 목적으로 널리 사용된다. ERCP는 침습적인 시술로 위험성이 수반되지만, 생검을 하고 스텐트를 삽입하거나 담도 폐쇄를 완화하기 위한 기타 중재를 수행할 수 있다는 장점이 있다.[163] 내시경 초음파는 ERCP 시에도 시행할 수 있으며 생검의 정확성을 높이고 림프절 침범 및 수술 가능성에 대한 정보를 얻을 수 있다.[164] ERCP의 대안으로 경피 경간 담관 조영술(PTC)을 사용할 수 있다. 자기공명 담췌관 조영술(MRCP)은 ERCP의 비침습적 대안이다.[165][166][167] 일부 저자는 MRCP가 종양을 더 정확하게 정의할 수 있고 ERCP의 위험을 피할 수 있으므로 담도암 진단에서 ERCP를 대체해야 한다고 제안했다.[168][169][170]
5. 4. 수술


담관암 환자의 적절한 생검을 얻고 정확하게 병기를 분류하기 위해 수술적 탐색이 필요할 수 있다. 복강경 검사는 병기 결정을 위해 사용될 수 있으며, 어떤 사람들에게는 개복술과 같은 보다 침습적인 수술 절차를 피할 수 있다.[171][172][59][60]
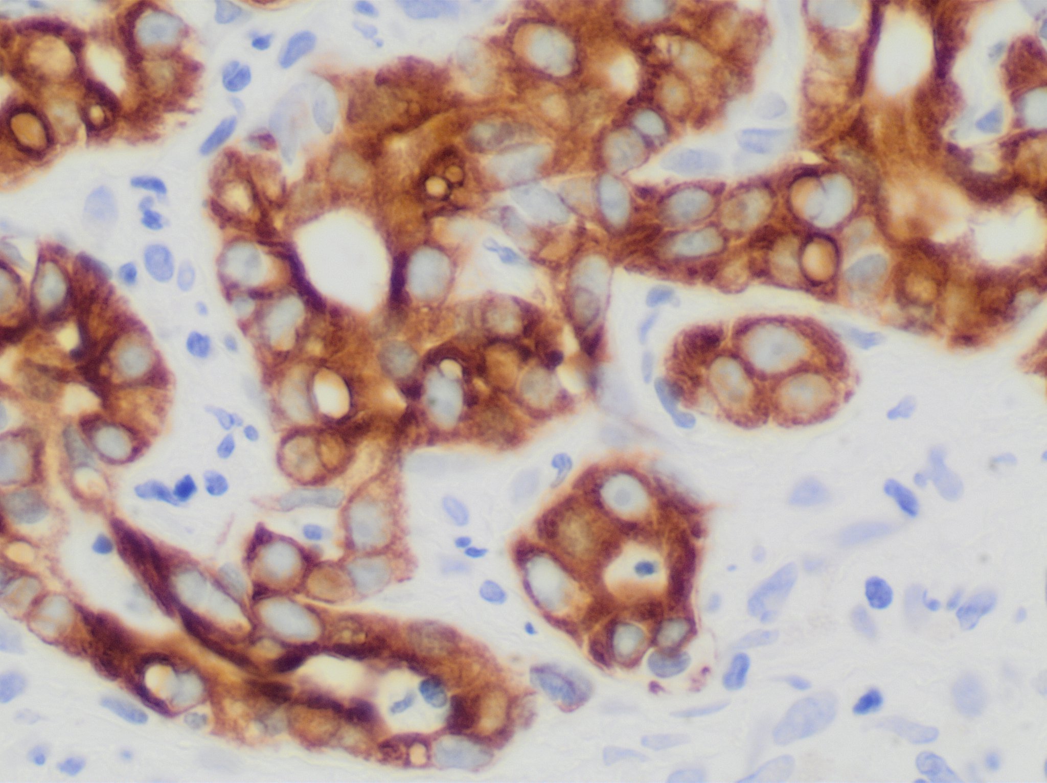
5. 5. 병리
조직학적으로 담관암은 일반적으로 잘 분화된 선암에서 중간 정도 분화된 선암이다. 면역조직화학은 담관암과 간세포암, 다른 위장관 종양의 전이를 구별하는 데 유용하며 진단에 도움을 준다.[62] 세포학적 소파 검사는 종종 비진단적인데,[63] 이 종양들은 전형적으로 결합조직증식 기질을 가지고 있어 소파 검사로 진단용 종양 세포가 방출되지 않기 때문이다.

- 담즙세포진 - PTC나 ERC 시술 시 채취한 담즙을 현미경으로 관찰하여 암세포 유무를 확인한다.
- 생검 - 담도경을 이용하여 병변에서 조직을 채취하여 현미경으로 관찰한다. 전형적인 담관암에서는 선암이 관찰된다.
5. 6. 병기
담관암에 대한 병기 체계는 최소 세 가지(예: 비스무트, 블룸가트, 미국 암 공동 위원회)가 있지만, 생존을 예측하는 데 유용한 것으로 밝혀진 것은 하나도 없다.[163] 가장 중요한 병기 문제는 종양을 수술로 제거할 수 있는지, 아니면 수술적 치료가 성공하기에는 너무 진행된 상태인지 여부이다. 종종 이러한 결정은 수술 시점에만 내릴 수 있다.[163]수술에 대한 일반적인 가이드라인은 다음과 같다.[173][174]
국제적으로는 TNM 분류가 사용된다.
6. 치료
담관암의 근치적 치료는 수술적 절제이며, 종양을 완전히 절제할 수 없는 경우에는 빠르게 치명적인 질병으로 간주된다.[175][176][67] 대부분의 경우 수술 가능 여부는 수술 중에만 평가할 수 있기 때문에, 수술 불가능 징후가 명확하지 않다면 탐색적 수술을 받는다.[12] 그러나 메이요 클리닉에서는 간 이식을 통해 조기 담관암을 치료하는 데 성공했다고 보고했다.[177][68]
간 이식 후 보조 요법은 절제 불가능한 특정 사례의 치료에 역할을 할 수 있다.[178][69] 경동맥화학색전술(TACE), 경동맥방사색전술(TARE) 및 절제 요법을 포함한 국소 요법은 간내 변종 담관암에서 수술 후보가 아닌 사람들에게 완화 또는 잠재적 완치를 제공하는 역할을 한다.[179][70]
2008년 12월 기준으로 담관암의 근치적 치료법은 수술뿐이다.[67] 암이 담관 주위에 국한되어 있고 절제로 근치를 기대할 수 있는 경우에는 수술을 시행한다. 주요 동맥 침윤이나 원격 장기 전이가 있어 근치를 기대할 수 없는 경우에는 전신 화학요법 또는 방사선 치료를 시행한다.
암의 진행 정도에 따라 절제 범위가 결정된다.
- 간문부 담관암: 肝門部(간문부)담관을 포함하는 대규모 간 절제술을 시행한다. 수술 전 절제할 간의 문맥 가지를 색전하여 남은 간의 용적을 확대하기도 한다.
- 상부 담관암: 암이 상부 담관에 국한되어 있다면 간외 담관 절제술을 시행하지만, 肝門部담관에 침윤이 있는 경우에는 肝門部담관암과 동일한 수술을 시행한다.
- 중부 담관암: 암이 중부 담관에 국한되어 있다면 간외 담관 절제술을 시행하지만, 하부 담관에 침윤이 있는 경우에는 췌두십이지장절제술을, 肝門部담관에 침윤이 있는 경우에는 肝門部담관암과 동일한 수술을 시행한다.
- 하부 담관암: 췌두십이지장절제술을 시행한다.
- 암이 광범위한 담관으로 진행된 경우에는 간 절제술을 포함하는 췌두십이지장절제술을 시행하는 경우가 있다. 침습적이고 위험도가 높기 때문에 신중하게 검토한다.
수술로 완치가 불가능한 경우에도 증상 완화를 목적으로 담관공장문합술 등의 고식적 수술을 시행하기도 한다.
6. 1. 보조 화학 요법 및 방사선 요법
수술로 종양을 제거할 수 있는 경우, 완치 가능성을 높이기 위해 수술 후 보조 화학 요법이나 방사선 치료를 받을 수 있다. 조직 변연이 음성(종양이 완전히 절제된 경우)이면 보조 요법의 이점은 불확실하다. 이러한 환경에서 보조 방사선 요법에 대해 양성[180][181] 및 음성[182][183][184] 결과가 모두 보고되었으며, 2007년 3월 현재 전향적 무작위 대조 시험은 수행되지 않았다. 보조 화학 요법은 종양이 완전히 절제된 환자에게는 효과가 없는 것으로 보인다.[185][186] 이 환경에서 병용 화학 방사선 요법의 역할은 불분명하다. 그러나 종양 조직 변연이 양성(수술로 종양이 완전히 제거되지 않은 경우)이면, 이용 가능한 데이터에 근거하여 일반적으로 방사선 및 화학 요법을 포함한 보조 요법을 권장한다.[187][188]수술이 불가능한 국소 담관암에는 방사선 치료를 시행할 수 있다. 방사선 치료 단독으로는 담관암을 근치할 수 없으며, 보조적으로 시행된다. 방사선 치료 방법은 다음과 같다.
- 체외조사 - 체외에서 방사선을 조사하는 방법이다.
- 강내조사 - 선원을 담관 내에 넣어 강내에서 방사선을 조사하는 방법이다.
- 수중조사 - 개복하에 병변 부위에 직접 방사선을 조사하는 방법이다.
6. 2. 진행성 질환의 치료
담관암은 대부분 수술이 불가능한 상태로 발견되며, 이 경우 생존 기간 연장과 삶의 질 개선을 위해 고식적 화학 요법을 시행한다.[189][190] 보편적으로 사용되는 단일 화학 요법은 없으며, 가능하면 임상 시험에 등록하는 것이 권장된다.[188]담관암 치료에 사용되는 화학 요법에는 다음 약물들이 있다.
소규모 연구에서는 엘로티닙과 같은 티로신 키나아제 억제제가 진행성 담관암 환자에게 도움이 될 수 있다고 보고되었다.[196] 절제 불가능한 담관암에 방사선 요법을 사용했을 때 생존율이 개선되었다는 보고가 있지만, 그 수는 적다.[197]
최근에는 표적 치료제 및 면역 항암제도 사용되고 있다.
6. 3. 담도 배액술
심한 황달이 나타나는 경우, 이를 완화하기 위해 담도 배액술을 시행할 수 있다. 방법으로는 내시경을 이용하는 내시경적 담도 배액술(ECP)과 피부를 통해 접근하는 경피경간적 담도 배액술(PTCD), 경피경간적 담낭 배액술(PTGBD)이 있다. 이러한 방법들은 기본적으로 대증요법이며, 이를 통해 황달을 완화한 후 수술 등 다른 치료법으로 완치를 목표로 한다.[1]7. 예후
담관암은 치료가 어렵고 예후가 좋지 않은 암으로 알려져 있다. 수술적 절제가 가능한 경우에도 5년 생존율은 30~50% 정도이다.[208] 절제가 불가능한 경우에는 5년 생존율이 5% 미만이며, 원위 림프절에 전이가 있는 경우에는 0%이다.[203][204] 전이성 질환을 가진 환자의 평균 생존 기간은 6개월 미만이다.[205]
수술의 경우, 종양의 위치와 완전 절제 가능 여부에 따라 완치 확률이 달라진다. 원위부 담관암은 휘플 시술로 치료하며, 장기 생존율은 15~25%이지만, 림프절 침범이 없는 환자의 5년 생존율은 54%라는 연구 결과도 있다.[206] 간내 담관암은 부분 간 절제술로 치료하며, 수술 후 생존율은 22~66%로 보고되고 있다.[207] 담관 주위 담관암은 수술 가능성이 가장 낮으며, 수술이 가능한 경우 5년 생존율은 20~50%이다.[208]
원발성 경화성 담관염 환자에서 담관암이 발생하면 암이 진행될 때까지 발견되지 않아 예후가 더 나쁠 수 있다.[209][210]
8. 역학
담관암은 비교적 드문 암으로, 미국에서는 매년 약 2,000~3,000건의 새로운 사례가 진단되며, 이는 인구 10만 명당 1~2건의 연간 발병률로 환산할 수 있다.[213] 부검에서는 0.01%에서 0.46%의 유병률을 보고했다.[214][215]
일본 후생노동성의 인구동태조사에 따르면, 2005년 일본에서 담관암 및 담낭암으로 사망한 사람은 16,586명이며, 남성이 7,845명, 여성이 8,741명이다.
아시아에서는 담관암의 유병률이 더 높은데, 이는 풍토성 만성 기생충 감염에 기인한 것으로 알려져 있다. 담관암의 발생률은 나이가 들면서 증가하며, 여성보다 남성에서 약간 더 흔하다(남성의 주요 위험 요인인 원발성 경화성 담관염의 비율이 높기 때문일 수 있다).[216] 부검 연구에 따르면 원발성 경화성 담관염 환자의 담관암 유병률은 30%까지 높을 수 있다.[217]
여러 연구에 따르면 간내 담관암 발생률이 꾸준히 증가하고 있으며 북미, 유럽, 아시아, 호주에서 증가 추세를 보이고 있다.[218] 담관암 발생이 증가하는 이유는 명확하지 않으며, 진단 방법의 개선이 부분적인 원인일 수 있지만, 이 기간 동안 HIV 감염과 같은 담관암의 잠재적 위험 인자의 유병률도 증가하고 있다.[219]

9. 유명한 담관암 환자
- 산오카 히사노 (배우, 1999년 2월 15일 72세로 사망)
- 오기시마 신이치 (배우, 2004년 11월 11일 58세로 사망)
- 가와시마 나오미 (여배우, 2015년 9월 24일 54세로 사망)
- 이와타 사토루 (게임 크리에이터, 닌텐도 사장, 2015년 7월 11일 55세로 사망)
- 히라오 세이지 (일본 럭비 대표 선수·감독, 2016년 10월 20일 53세로 사망)
산오카 히사노를 제외한 4명은 모두 50대에 사망하였다.
참조
[1]
웹사이트
cholangiocarcinoma
https://www.cancer.g[...]
2019-01-21
[2]
웹사이트
Bile Duct Cancer (Cholangiocarcinoma) Treatment
https://www.cancer.g[...]
2021-05-29
[3]
논문
Biliary tract cancers: SEOM clinical guidelines
2015-12
[4]
논문
Thinking beyond Opisthorchis viverrini for risk of cholangiocarcinoma in the lower Mekong region: a systematic review and meta-analysis
2018-05
[5]
웹사이트
Bile Duct Cancer (Cholangiocarcinoma)
https://www.cancer.g[...]
2019-01-21
[6]
논문
A Predictive Model Based on the Gut Microbiota Improves the Diagnostic Effect in Patients with Cholangiocarcinoma
[7]
논문
Cholangiocarcinoma
2014-06
[8]
서적
World Cancer Report
https://publications[...]
the International Agency for Research on Cancer, World Health Organization
2014
[9]
논문
Biliary Tract Cancer: Epidemiology, Radiotherapy, and Molecular Profiling
2016
[10]
논문
Outcomes after curative resections of cholangiocarcinoma
1993-08
[11]
논문
Cholangiocarcinoma. A spectrum of intrahepatic, perihilar, and distal tumors
1996-10
[12]
서적
Sleisenger and Fordtran's Gastrointestinal and Liver Disease
https://archive.org/[...]
Saunders
2006-07-21
[13]
논문
Risk factors for biliary tract carcinogenesis
[14]
논문
Hepatic and extrahepatic malignancies in primary sclerosing cholangitis
2002-03
[14]
논문
Risk factors and clinical presentation of hepatobiliary carcinoma in patients with primary sclerosing cholangitis: a case-control study
1998-02
[14]
논문
Incidence and risk factors for cholangiocarcinoma in primary sclerosing cholangitis
2004-03
[15]
논문
Molecular Pathogenesis of Cholangiocarcinoma
[16]
논문
Liver fluke-associated cholangiocarcinoma
2002-08
[17]
논문
Liver fluke induces cholangiocarcinoma
2007-07
[18]
서적
Food-borne trematodiases in Southeast Asia epidemiology, pathology, clinical manifestation and control
[19]
논문
Risk factors for gallbladder cancer and cholangiocarcinoma: similarities, differences and updates
2012-06
[20]
논문
Clonorchis sinensis and clonorchiasis, an update
2012-03
[21]
논문
The Lawa model: A sustainable, integrated opisthorchiasis control program using the EcoHealth approach in the Lawa Lake region of Thailand
2017-08
[22]
논문
Incidence of primary cholangiocellular carcinoma of the liver in Japanese patients with hepatitis C virus-related cirrhosis
2000-06
[23]
논문
Hepatitis C virus infection as a likely etiology of intrahepatic cholangiocarcinoma
2004-07
[24]
논문
Detection of hepatitis C virus RNA sequences in cholangiocarcinomas in Chinese and American patients
2000-12
[25]
논문
Risk of liver and other types of cancer in patients with cirrhosis: a nationwide cohort study in Denmark
1998-10
[26]
논문
Role of bacteria in oncogenesis
2010-10
[27]
논문
Choledochal cyst disease. A changing pattern of presentation
1994-11
[28]
논문
Caroli's Disease: a premalignant condition?
1983-01
[29]
논문
The association between cholangiocarcinoma and hereditary nonpolyposis colorectal carcinoma
1992-03
[30]
논문
Clinicopathologic review of 58 patients with biliary papillomatosis
2004-02
[31]
논문
What is the impact of coexistence of hepatolithiasis on cholangiocarcinoma?
2002-09
[32]
논문
Hepatolithiasis associated with cholangiocarcinoma
1997-07
[33]
논문
Intrahepatic cholangiocarcinoma and hepatitis C and B virus infection, alcohol intake, and hepatolithiasis: a case-control study in Italy
2001-12
[34]
논문
Thorotrast-induced cholangiocarcinoma: case report
[35]
논문
Cholangiocarcinoma in association with Thorotrast exposure
[36]
논문
Thorotrast-induced liver neoplasia: a collective review
2002-11-01
[37]
논문
Adenocarcinoma of the Hepatic Duct at Its Bifurcation Within The Porta Hepatis. An Unusual Tumor With Distinctive Clinical And Pathological Features
1965-02-01
[38]
논문
Liver stem cells and their implication in hepatocellular and cholangiocarcinoma
2006-06-01
[39]
논문
Possible stem cell origin of human cholangiocarcinoma
2004-11-01
[40]
논문
Evidence for the stem cell origin of hepatocellular carcinoma and cholangiocarcinoma
1989-06-01
[41]
논문
Cholangiocarcinoma: molecular targeting strategies for chemoprevention and therapy
2005-01-01
[42]
논문
Mechanisms of biliary carcinogenesis: a pathogenetic multi-stage cascade towards cholangiocarcinoma
[43]
논문
Cholangiocarcinoma: current concepts and insights
2003-05-01
[44]
논문
Biliary tract cancers
1999-10-28
[45]
논문
Serum and bile markers for cholangiocarcinoma
2004-05-01
[45]
논문
Detecting cholangiocarcinoma in patients with primary sclerosing cholangitis
2002-07-01
[45]
논문
The value of serum CA 19-9 in predicting cholangiocarcinomas in patients with primary sclerosing cholangitis
2005-09-01
[45]
논문
The utility of CA 19-9 in the diagnoses of cholangiocarcinoma in patients without primary sclerosing cholangitis
2000-01-01
[46]
논문
Imaging of the hepatobiliary tract
1997-06-26
[47]
논문
Aetiological spectrum of obstructive jaundice and diagnostic ability of ultrasonography: a clinician's perspective
[48]
논문
Role of US in the detection, characterization, and staging of cholangiocarcinoma
[49]
논문
Intrahepatic peripheral cholangiocarcinoma: CT evaluation
[50]
논문
Multiphasic helical CT in diagnosis and staging of hilar cholangiocarcinoma
1998-09-01
[51]
논문
Intrahepatic peripheral cholangiocarcinoma: comparison of dynamic CT and dynamic MRI
[52]
논문
Diagnosis of portal venous invasion by pancreatobiliary carcinoma: value of endoscopic ultrasonography
[53]
논문
Neoplastic pancreaticobiliary duct obstruction: evaluation with breath-hold MR cholangiopancreatography
1998-06-01
[54]
논문
Performance characteristics of magnetic resonance cholangiography in the staging of malignant hilar strictures
2000-01-01
[55]
논문
Preoperative evaluation of hilar cholangiocarcinoma with contrast-enhanced three-dimensional fast imaging with steady-state precession magnetic resonance angiography: comparison with intraarterial digital subtraction angiography
2003-03-01
[56]
논문
Malignant perihilar biliary obstruction: magnetic resonance cholangiopancreatographic findings
2000-02-01
[57]
논문
A modern approach to malignant hilar biliary obstruction
[58]
논문
Preoperative imaging of biliary tract cancers
2002-10-01
[59]
논문
Staging laparoscopy in patients with extrahepatic biliary carcinoma. Analysis of 100 patients
2002-03-01
[60]
논문
Staging laparoscopy with laparoscopic ultrasonography: optimizing resectability in hepatobiliary and pancreatic malignancy
1997-07-01
[61]
웹사이트
Cytokeratin 19 (CK19, K19)
https://www.patholog[...]
2013-10-01
[62]
논문
[The importance of immunohistochemistry for the diagnosis of cholangiocarcinomas]
2006-07-01
[63]
웹사이트
Cholangiocarcinoma
https://www.ncbi.nlm[...]
[64]
논문
Stage does not predict survival after resection of hilar cholangiocarcinomas promoting an aggressive operative approach
2005-11-01
[65]
논문
Management of hilar cholangiocarcinoma: comparison of an American and a Japanese experience
2000-08-01
[66]
논문
Gallbladder and biliary tract carcinoma: A comprehensive update, Part 1
2004-06-01
[67]
논문
Factors influencing postoperative morbidity, mortality, and survival after resection for hilar cholangiocarcinoma
1996-04-01
[68]
논문
Surgery for cholangiocarcinoma: the role of liver transplantation
[69]
논문
Predictors of disease recurrence following neoadjuvant chemoradiotherapy and liver transplantation for unresectable perihilar cholangiocarcinoma
2006-12-01
[70]
논문
Locoregional therapy for cholangiocarcinoma
2013-05-01
[71]
논문
Benefits of adjuvant radiotherapy after radical resection of locally advanced main hepatic duct carcinoma
2000-02-00
[72]
논문
The impact of radiation dose in combined external beam and intraluminal Ir-192 brachytherapy for bile duct cancer
1994-03-00
[73]
논문
Role of radiotherapy, in particular intraluminal brachytherapy, in the treatment of proximal bile duct carcinoma
[74]
논문
Perihilar cholangiocarcinoma. Postoperative radiotherapy does not improve survival
1995-06-00
[75]
논문
Postoperative adjuvant chemotherapy for resectable cholangiocarcinoma.
2021-09-13
[76]
논문
Is postoperative adjuvant chemotherapy useful for gallbladder carcinoma? A phase III multicenter prospective randomized controlled trial in patients with resected pancreaticobiliary carcinoma
2002-10-00
[77]
웹사이트
National Comprehensive Cancer Network (NCCN) guidelines on evaluation and treatment of hepatobiliary malignancies
https://www.nccn.org[...]
2007-03-13
[78]
웹사이트
NCCN Guidelines for Patients: Gallbladder and Bile Duct Cancers; Hepatobiliary Cancers
https://www.nccn.org[...]
National Comprehensive Cancer Network
2021-02-10
[79]
논문
Recent advances in the management of cholangiocarcinomas
1994-05-00
[80]
논문
Chemotherapy improves survival and quality of life in advanced pancreatic and biliary cancer
1996-08-00
[81]
논문
Effects of 5-fluorouracil and leucovorin in the treatment of pancreatic-biliary tract adenocarcinomas
2000-08-00
[82]
논문
Single-agent gemcitabine in the treatment of advanced biliary tract cancers: a phase II study
2005-02-00
[83]
논문
Gemcitabine and cisplatin for inoperable and/or metastatic biliary tree carcinomas: a multicenter phase II study of the Gruppo Oncologico dell'Italia Meridionale (GOIM)
2006-06-00
[84]
논문
Gemcitabine and irinotecan in locally advanced or metastatic biliary cancer: preliminary report
2003-09-00
[85]
논문
Combining gemcitabine and capecitabine in patients with advanced biliary cancer: a phase II trial
2005-04-00
[86]
논문
Phase II study of erlotinib in patients with advanced biliary cancer
2006-07-00
[87]
논문
Is adjuvant radiotherapy needed after curative resection of extrahepatic biliary tract cancers? A systematic review with a meta-analysis of observational studies
[88]
보도자료
BridgeBio Pharma's Affiliate QED Therapeutics and Partner Helsinn Group Announce FDA Approval of Truseltiq (infigratinib) for Patients with Cholangiocarcinoma
https://www.globenew[...]
BridgeBio Pharma
2021-05-28
[89]
웹사이트
Pemazyre Prescribing Information
https://www.accessda[...]
2022-03-05
[90]
웹사이트
FDA approves ivosidenib for advanced or metastatic cholangiocarcinoma
https://www.fda.gov/[...]
2022-02-01
[91]
웹사이트
Imfinzi plus chemotherapy reduced risk of death by 20% in 1st-line advanced biliary tract cancer
https://www.astrazen[...]
2022-03-05
[92]
보도자료
FDA Approves Taiho's Lytgobi (futibatinib) Tablets for Previously Treated, Unresectable, Locally Advanced or Metastatic Intrahepatic Cholangiocarcinoma
https://www.prnewswi[...]
Taiho Oncology
2022-09-30
[93]
논문
Lymph node metastasis in intrahepatic cholangiocarcinoma
1999-03-00
[94]
논문
'Natural history' of unresected cholangiocarcinoma: patient outcome after noncurative intervention
1995-05-00
[95]
논문
Role of radiation after operative palliation in cancer of the proximal bile ducts
1991-04-00
[96]
논문
[96]
논문
Cholangiocarcinoma. A spectrum of intrahepatic, perihilar, and distal tumors
1996-10-00
[96]
논문
Actual long-term outcome of extrahepatic bile duct cancer after surgical resection
2005-01-00
[96]
논문
Adenocarcinoma of the distal bile duct. A clinicopathologic outcome analysis after curative resection
[96]
논문
Outcome of treatment for distal bile duct cancer
1996-12-00
[97]
논문
[97]
논문
Cholangiocarcinoma. A spectrum of intrahepatic, perihilar, and distal tumors
1996-10-00
[97]
논문
Surgical management of intrahepatic cholangiocarcinoma: a 31-year experience
[97]
논문
Resection of intrahepatic cholangiocarcinoma: a Western experience
[97]
논문
Aggressive surgical resection for hilar-invasive and peripheral intrahepatic cholangiocarcinoma
2003-03-00
[97]
논문
Intrahepatic cholangiocarcinoma: resectability, recurrence pattern, and outcomes
2001-10-00
[98]
논문
[98]
논문
Hilar Cholangiocarcinoma: patterns of spread, the importance of hepatic resection for curative operation, and a presurgical clinical staging system
1998-09-00
[98]
논문
Management of hilar cholangiocarcinoma: comparison of an American and a Japanese experience
2000-08-00
[98]
논문
Hilar cholangiocarcinoma: a review and commentary
[98]
논문
Aggressive surgical resection for cholangiocarcinoma
1995-03-00
[98]
논문
Segmental liver resections for hilar cholangiocarcinoma
[98]
논문
Major hepatic resection for hilar cholangiocarcinoma: analysis of 46 patients
2004-05-00
[98]
논문
Surgery for hilar cholangiocarcinoma: French experience in a collective survey of 552 extrahepatic bile duct cancers
[99]
논문
Treatment of cholangiocarcinoma complicating primary sclerosing cholangitis: the Mayo Clinic experience
2001-04-00
[100]
논문
Improved survival in resected biliary malignancies
2002-10-00
[101]
논문
Changing international trends in mortality rates for liver, biliary and pancreatic tumours
2002-12-00
[102]
논문
Cancer statistics, 1998
[103]
웹사이트
Cancer Statistics Home Page — National Cancer Institute
http://www.cancer.go[...]
[104]
논문
Carcinoma of the extrahepatic bile ducts. Histologic types, stage of disease, grade, and survival rates
1992-09-00
[105]
논문
Cholangiocarcinoma complicating primary sclerosing cholangitis
1991-01-00
[106]
논문
Worldwide trends in mortality from biliary tract malignancies
2002-05-01
[106]
논문
Increasing incidence and mortality of primary intrahepatic cholangiocarcinoma in the United States
2001-06-01
[106]
논문
Rising incidence of intrahepatic cholangiocarcinoma in the United States: a true increase?
2004-03-01
[106]
논문
Trends in the incidence of primary liver and biliary tract cancers in England and Wales 1971-2001
2006-06-01
[106]
논문
Changing international trends in mortality rates for liver, biliary and pancreatic tumours
2002-12-01
[106]
논문
Impact of classification of hilar cholangiocarcinomas (Klatskin tumors) on the incidence of intra- and extrahepatic cholangiocarcinoma in the United States
2006-06-01
[107]
논문
Risk factors of intrahepatic cholangiocarcinoma in the United States: a case-control study
2005-03-01
[108]
서적
Sternberg's diagnostic surgical pathology
LWW
[109]
웹인용
cholangiocarcinoma
https://www.cancer.g[...]
2011-02-02
[110]
웹인용
Bile Duct Cancer (Cholangiocarcinoma) Treatment
https://www.cancer.g[...]
2020-09-23
[111]
웹인용
Bile Duct Cancer (Cholangiocarcinoma)
https://www.cancer.g[...]
2018-07-05
[112]
논문
Biliary tract cancers: SEOM clinical guidelines
2015-12-01
[113]
논문
Cholangiocarcinoma
2014-06-01
[114]
논문
Thinking beyond Opisthorchis viverrini for risk of cholangiocarcinoma in the lower Mekong region: a systematic review and meta-analysis
2018-05-01
[115]
논문
A Predictive Model Based on the Gut Microbiota Improves the Diagnostic Effect in Patients with Cholangiocarcinoma
[116]
논문
Biliary Tract Cancer: Epidemiology, Radiotherapy, and Molecular Profiling
2016-01-01
[117]
서적
World Cancer Report
https://publications[...]
the International Agency for Research on Cancer, World Health Organization
2014-01-01
[118]
논문
Outcomes after curative resections of cholangiocarcinoma
1993-08-01
[119]
논문
Cholangiocarcinoma. A spectrum of intrahepatic, perihilar, and distal tumors
1996-10-01
[120]
서적
Sleisenger and Fordtran's Gastrointestinal and Liver Disease
https://archive.org/[...]
Saunders
2006-07-21
[121]
논문
Risk factors for biliary tract carcinogenesis
[122]
논문
Hepatic and extrahepatic malignancies in primary sclerosing cholangitis
2002-03-01
[122]
논문
Risk factors and clinical presentation of hepatobiliary carcinoma in patients with primary sclerosing cholangitis: a case-control study
1998-02-01
[122]
논문
Incidence and risk factors for cholangiocarcinoma in primary sclerosing cholangitis
2004-03-01
[123]
논문
Cholangiocarcinoma complicating primary sclerosing cholangitis
1991-01-01
[124]
논문
Molecular Pathogenesis of Cholangiocarcinoma
[125]
논문
Liver fluke-associated cholangiocarcinoma
2002-08-01
[126]
논문
Liver fluke induces cholangiocarcinoma
2007-07-01
[127]
서적
Food-borne trematodiases in Southeast Asia epidemiology, pathology, clinical manifestation and control
[128]
논문
Risk factors for gallbladder cancer and cholangiocarcinoma: similarities, differences and updates
2012-06-01
[129]
논문
Clonorchis sinensis and clonorchiasis, an update
2012-03-01
[130]
논문
The Lawa model: A sustainable, integrated opisthorchiasis control program using the EcoHealth approach in the Lawa Lake region of Thailand
2017-08-01
[131]
논문
Incidence of primary cholangiocellular carcinoma of the liver in Japanese patients with hepatitis C virus-related cirrhosis
2000-06-01
[132]
논문
Hepatitis C virus infection as a likely etiology of intrahepatic cholangiocarcinoma
2004-07-01
[133]
논문
Detection of hepatitis C virus RNA sequences in cholangiocarcinomas in Chinese and American patients
2000-12-01
[134]
논문
Risk factors of intrahepatic cholangiocarcinoma in the United States: a case-control study
2005-03-01
[135]
논문
Risk of liver and other types of cancer in patients with cirrhosis: a nationwide cohort study in Denmark
1998-10-01
[136]
논문
Role of bacteria in oncogenesis
2010-10-01
[137]
논문
Choledochal cyst disease. A changing pattern of presentation
1994-11-01
[138]
논문
Caroli's Disease: a premalignant condition?
1983-01-01
[139]
논문
The association between cholangiocarcinoma and hereditary nonpolyposis colorectal carcinoma
1992-03-01
[140]
논문
Clinicopathologic review of 58 patients with biliary papillomatosis
2004-02-01
[141]
저널
What is the impact of coexistence of hepatolithiasis on cholangiocarcinoma?
2002-09-01
[142]
저널
Hepatolithiasis associated with cholangiocarcinoma
1997-07-01
[143]
저널
Intrahepatic cholangiocarcinoma and hepatitis C and B virus infection, alcohol intake, and hepatolithiasis: a case-control study in Italy
2001-12-01
[144]
저널
Thorotrast-induced cholangiocarcinoma: case report
[145]
저널
Cholangiocarcinoma in association with Thorotrast exposure
[146]
저널
Thorotrast-induced liver neoplasia: a collective review
2002-11-01
[147]
저널
Adenocarcinoma of the Hepatic Duct at Its Bifurcation Within The Porta Hepatis. An Unusual Tumor With Distinctive Clinical And Pathological Features
1965-02-01
[148]
저널
Liver stem cells and their implication in hepatocellular and cholangiocarcinoma
2006-06-01
[149]
저널
Possible stem cell origin of human cholangiocarcinoma
2004-11-01
[150]
저널
Evidence for the stem cell origin of hepatocellular carcinoma and cholangiocarcinoma
1989-06-01
[151]
저널
Cholangiocarcinoma: molecular targeting strategies for chemoprevention and therapy
2005-01-01
[152]
저널
Mechanisms of biliary carcinogenesis: a pathogenetic multi-stage cascade towards cholangiocarcinoma
[153]
저널
Cholangiocarcinoma: current concepts and insights
2003-05-01
[154]
저널
Biliary tract cancers
1999-10-28
[155]
저널
Carcinoma of the extrahepatic bile ducts. Histologic types, stage of disease, grade, and survival rates
1992-09-15
[156]
저널
Serum and bile markers for cholangiocarcinoma
2004-05-01
[156]
저널
Detecting cholangiocarcinoma in patients with primary sclerosing cholangitis
2002-07-01
[156]
저널
The value of serum CA 19-9 in predicting cholangiocarcinomas in patients with primary sclerosing cholangitis
2005-09-01
[156]
저널
The utility of CA 19-9 in the diagnoses of cholangiocarcinoma in patients without primary sclerosing cholangitis
2000-01-01
[157]
저널
Imaging of the hepatobiliary tract
1997-06-26
[158]
저널
Aetiological spectrum of obstructive jaundice and diagnostic ability of ultrasonography: a clinician's perspective
[159]
저널
Role of US in the detection, characterization, and staging of cholangiocarcinoma
[160]
저널
Intrahepatic peripheral cholangiocarcinoma: CT evaluation
[161]
저널
Multiphasic helical CT in diagnosis and staging of hilar cholangiocarcinoma
1998-09-01
[162]
저널
Intrahepatic peripheral cholangiocarcinoma: comparison of dynamic CT and dynamic MRI
[163]
서적
Sleisenger and Fordtran's Gastrointestinal and Liver Disease
https://archive.org/[...]
Saunders
2006-07-21
[164]
저널
Diagnosis of portal venous invasion by pancreatobiliary carcinoma: value of endoscopic ultrasonography
[165]
저널
Neoplastic pancreaticobiliary duct obstruction: evaluation with breath-hold MR cholangiopancreatography
1998-06-01
[166]
저널
Performance characteristics of magnetic resonance cholangiography in the staging of malignant hilar strictures
2000-01-01
[167]
저널
Preoperative evaluation of hilar cholangiocarcinoma with contrast-enhanced three-dimensional fast imaging with steady-state precession magnetic resonance angiography: comparison with intraarterial digital subtraction angiography
2003-03-01
[168]
저널
Malignant perihilar biliary obstruction: magnetic resonance cholangiopancreatographic findings
2000-02-01
[169]
저널
A modern approach to malignant hilar biliary obstruction
[170]
저널
Preoperative imaging of biliary tract cancers
2002-10-01
[171]
저널
Staging laparoscopy in patients with extrahepatic biliary carcinoma. Analysis of 100 patients
2002-03-01
[172]
저널
Staging laparoscopy with laparoscopic ultrasonography: optimizing resectability in hepatobiliary and pancreatic malignancy
1997-07-01
[173]
저널
Management of hilar cholangiocarcinoma: comparison of an American and a Japanese experience
2000-08-01
[174]
저널
Gallbladder and biliary tract carcinoma: A comprehensive update, Part 1
2004-06-01
[175]
저널
Factors influencing postoperative morbidity, mortality, and survival after resection for hilar cholangiocarcinoma
1996-04-01
[176]
서적
Sleisenger and Fordtran's Gastrointestinal and Liver Disease
https://archive.org/[...]
Saunders
2006-07-21
[177]
저널
Surgery for cholangiocarcinoma: the role of liver transplantation
[178]
저널
Predictors of disease recurrence following neoadjuvant chemoradiotherapy and liver transplantation for unresectable perihilar cholangiocarcinoma
2006-12-00
[179]
저널
Locoregional therapy for cholangiocarcinoma
2013-05-00
[180]
저널
Benefits of adjuvant radiotherapy after radical resection of locally advanced main hepatic duct carcinoma
2000-02-00
[181]
저널
The impact of radiation dose in combined external beam and intraluminal Ir-192 brachytherapy for bile duct cancer
1994-03-00
[182]
저널
Cholangiocarcinoma. A spectrum of intrahepatic, perihilar, and distal tumors
1996-10-00
[183]
저널
Role of radiotherapy, in particular intraluminal brachytherapy, in the treatment of proximal bile duct carcinoma
[184]
저널
Perihilar cholangiocarcinoma. Postoperative radiotherapy does not improve survival
1995-06-00
[185]
저널
Postoperative adjuvant chemotherapy for resectable cholangiocarcinoma.
2021-09-13
[186]
저널
Is postoperative adjuvant chemotherapy useful for gallbladder carcinoma? A phase III multicenter prospective randomized controlled trial in patients with resected pancreaticobiliary carcinoma
2002-10-00
[187]
웹인용
National Comprehensive Cancer Network (NCCN) guidelines on evaluation and treatment of hepatobiliary malignancies
https://www.nccn.org[...]
2007-03-13
[188]
웹인용
NCCN Guidelines for Patients: Gallbladder and Bile Duct Cancers; Hepatobiliary Cancers
https://www.nccn.org[...]
National Comprehensive Cancer Network
2021-02-10
[189]
저널
Recent advances in the management of cholangiocarcinomas
1994-05-00
[190]
저널
Chemotherapy improves survival and quality of life in advanced pancreatic and biliary cancer
1996-08-00
[191]
저널
Effects of 5-fluorouracil and leucovorin in the treatment of pancreatic-biliary tract adenocarcinomas
2000-08-00
[192]
저널
Single-agent gemcitabine in the treatment of advanced biliary tract cancers: a phase II study
2005-02-00
[193]
저널
Gemcitabine and cisplatin for inoperable and/or metastatic biliary tree carcinomas: a multicenter phase II study of the Gruppo Oncologico dell'Italia Meridionale (GOIM)
2006-06-00
[194]
저널
Gemcitabine and irinotecan in locally advanced or metastatic biliary cancer: preliminary report
2003-09-00
[195]
저널
Combining gemcitabine and capecitabine in patients with advanced biliary cancer: a phase II trial
2005-04-00
[196]
저널
Is adjuvant radiotherapy needed after curative resection of extrahepatic biliary tract cancers? A systematic review with a meta-analysis of observational studies
[197]
저널
Biliary Tract Cancer: Epidemiology, Radiotherapy, and Molecular Profiling
2016-00-00
[198]
보도자료
BridgeBio Pharma's Affiliate QED Therapeutics and Partner Helsinn Group Announce FDA Approval of Truseltiq (infigratinib) for Patients with Cholangiocarcinoma
https://www.globenew[...]
BridgeBio Pharma
2021-05-28
[199]
웹인용
Pemazyre Prescribing Information
https://www.accessda[...]
2022-03-05
[200]
저널
FDA approves ivosidenib for advanced or metastatic cholangiocarcinoma
https://www.fda.gov/[...]
2022-02-01
[201]
웹사이트
Imfinzi plus chemotherapy reduced risk of death by 20% in 1st-line advanced biliary tract cancer
https://www.astrazen[...]
2022-03-05
[202]
보도자료
FDA Approves Taiho's Lytgobi (futibatinib) Tablets for Previously Treated, Unresectable, Locally Advanced or Metastatic Intrahepatic Cholangiocarcinoma
https://www.prnewswi[...]
Taiho Oncology
2022-10-04
[203]
저널
Lymph node metastasis in intrahepatic cholangiocarcinoma
1999-03-00
[204]
저널
'Natural history' of unresected cholangiocarcinoma: patient outcome after noncurative intervention
1995-05-00
[205]
저널
Role of radiation after operative palliation in cancer of the proximal bile ducts
1991-04-00
[206]
문서
Outcome of treatment for distal bile duct cancer
1996-12-00
[207]
문서
Intrahepatic cholangiocarcinoma: resectability, recurrence pattern, and outcomes
2001-10-00
[208]
문서
Surgery for hilar cholangiocarcinoma: French experience in a collective survey of 552 extrahepatic bile duct cancers
2004-05-00
[209]
저널
Treatment of cholangiocarcinoma complicating primary sclerosing cholangitis: the Mayo Clinic experience
2001-04-00
[210]
저널
Cholangiocarcinoma complicating primary sclerosing cholangitis
1991-01-00
[211]
저널
Improved survival in resected biliary malignancies
2002-10-01
[212]
저널
Changing international trends in mortality rates for liver, biliary and pancreatic tumours
2002-12-01
[213]
저널
Cancer statistics, 1998
[214]
저널
Recent advances in the management of cholangiocarcinomas
1994-05-01
[215]
웹사이트
Cancer Statistics Home Page — National Cancer Institute
http://www.cancer.go[...]
[216]
저널
Carcinoma of the extrahepatic bile ducts. Histologic types, stage of disease, grade, and survival rates
1992-09-15
[217]
저널
Cholangiocarcinoma complicating primary sclerosing cholangitis
1991-01-01
[218]
저널
Worldwide trends in mortality from biliary tract malignancies
2002-05-01
[218]
저널
Increasing incidence and mortality of primary intrahepatic cholangiocarcinoma in the United States
2001-06-01
[218]
저널
Rising incidence of intrahepatic cholangiocarcinoma in the United States: a true increase?
2004-03-01
[218]
저널
Trends in the incidence of primary liver and biliary tract cancers in England and Wales 1971-2001
2006-06-01
[218]
저널
Changing international trends in mortality rates for liver, biliary and pancreatic tumours
2002-12-01
[218]
저널
Impact of classification of hilar cholangiocarcinomas (Klatskin tumors) on the incidence of intra- and extrahepatic cholangiocarcinoma in the United States
2006-06-01
[219]
저널
Risk factors of intrahepatic cholangiocarcinoma in the United States: a case-control study
2005-03-01
[220]
서적
Table 37.2
https://basicmedical[...]
LWW
본 사이트는 AI가 위키백과와 뉴스 기사,정부 간행물,학술 논문등을 바탕으로 정보를 가공하여 제공하는 백과사전형 서비스입니다.
모든 문서는 AI에 의해 자동 생성되며, CC BY-SA 4.0 라이선스에 따라 이용할 수 있습니다.
하지만, 위키백과나 뉴스 기사 자체에 오류, 부정확한 정보, 또는 가짜 뉴스가 포함될 수 있으며, AI는 이러한 내용을 완벽하게 걸러내지 못할 수 있습니다.
따라서 제공되는 정보에 일부 오류나 편향이 있을 수 있으므로, 중요한 정보는 반드시 다른 출처를 통해 교차 검증하시기 바랍니다.
문의하기 : help@durumis.com
