간독성
"오늘의AI위키"의 AI를 통해 더욱 풍부하고 폭넓은 지식 경험을 누리세요.
1. 개요
간독성은 약물이나 독소로 인해 간이 손상되는 현상을 의미한다. 간독성은 약물의 고유한 부작용인 A형과 특이 체질 반응인 B형으로 나뉘며, A형은 예측 가능한 용량 반응 곡선을 보이고, B형은 예측 불가능하게 나타난다. 아세트아미노펜, 비스테로이드성 소염진통제, 이소니아지드, 천연물 등이 간독성을 유발할 수 있으며, 산업 독소도 원인이 될 수 있다. 간 손상은 간세포성, 담즙 정체성, 혼합형으로 분류되며, 진단은 임상 척도를 통해 이루어진다. 치료는 원인 약물 중단이 가장 중요하며, 심한 경우 간 이식이 필요할 수 있다.
더 읽어볼만한 페이지
- 간질환 - 지방간
지방간은 간에 중성 지방이 과도하게 축적되어 발생하는 질환으로, 알코올성 및 비알코올성으로 분류되며, 비만, 당뇨병 등과 관련이 깊고 간 섬유화, 간경변, 간암으로 진행될 수 있어 섭취 칼로리 조절, 약물 치료 등을 통해 치료한다. - 간질환 - 윌슨병
윌슨병은 구리가 간과 뇌에 축적되어 발생하는 유전 질환으로, ATP7B 유전자 돌연변이가 원인이며, 간 기능 장애, 신경정신과적 증상, 카이저-플라이셔 고리 등의 증상이 나타난다. - 위장병학 - 간염
간염은 바이러스 감염, 알코올 남용, 약물, 자가면역 질환 등 다양한 원인으로 간에 염증이 생기는 질환으로, 급성과 만성으로 나뉘며 A형, B형 간염은 백신으로 예방 가능하고 C형 간염은 효과적인 치료제가 개발되었다. - 위장병학 - 크론병
크론병은 위장관에 만성 염증을 일으키는 질환으로, 유전적 요인, 면역계 이상, 환경적 요인이 복합적으로 작용하며 복통, 설사, 합병증 등을 유발할 수 있고, 약물 요법, 영양 요법, 수술 등으로 치료하며 완치 치료법은 없다. - 간장학 - 간세포암
간세포암은 간에서 발생하는 악성 종양으로, 만성 간 질환 환자에게서 주로 발생하며, 다양한 원인과 위험 요인에 의해 발생하고, 복통, 황달 등의 증상이 나타날 수 있으며, 수술, 간 이식 등의 치료 방법이 사용되고, 예방을 위해 B형 간염 예방 접종 등이 중요하다. - 간장학 - 담관
담관은 간에서 십이지장으로 연결되는 관 네트워크로, 담즙을 운반하여 지방의 소화와 흡수를 돕고, 폐쇄 시 황달을 유발하며, 담관 배액 시술 등으로 치료한다.
| 간독성 | |
|---|---|
| 일반 정보 | |
| 분야 | 위장병학, 독성학 |
| 증상 | (정보 없음) |
| 합병증 | 간경변, 간부전 |
| 발병 | (정보 없음) |
| 지속 기간 | (정보 없음) |
| 유형 | (정보 없음) |
| 원인 | (정보 없음) |
| 위험 요소 | (정보 없음) |
| 진단 | (정보 없음) |
| 감별 진단 | (정보 없음) |
| 예방 | (정보 없음) |
| 치료 | (정보 없음) |
| 약물 | (정보 없음) |
| 예후 | (정보 없음) |
| 빈도 | (정보 없음) |
| 사망 | (정보 없음) |
| 로마자 표기 | gandokseong |
| 동의어 | 약물 유발 간 손상 (DILI) 중독성 간 질환 독소성 간 질환 약제성 간 질환 간성 중독 |
| 병태생리 | |
| 설명 | 간에 유해한 영향을 미치는 약물 또는 기타 비인간적 제제에 의해 발생하는 간 손상 |
| 추가 정보 | |
| 관련 질병 | 급성 간부전 |
2. 원인

약물로 인한 유해 반응은 크게 두 가지 유형으로 나눌 수 있다.[6][63][118]
- A형 (내인성 또는 약리학적): 이 유형은 약물이나 독소의 고유한 특성에 의해 발생하며, 전체 약물 독성의 약 80%를 차지한다.[7][64][119] A형 간독성은 예측 가능한 용량 반응 곡선을 따른다. 즉, 약물 농도가 높아질수록 간 손상 위험이 커진다. 이러한 약물은 간 조직을 직접 손상시키거나 필수적인 대사 과정을 방해하는 방식으로 작용한다. 대표적인 예로 아세트아미노펜 과다 복용이 있으며, 특정 용량 이상을 복용했을 때 간 손상이 발생한다. 사염화탄소 역시 동물 실험에서 A형 간 손상을 유발하는 데 사용되는 물질이다.
- B형 (특이체질성): 이 유형은 특정 개인에게 예측 불가능하게 나타나는 반응이다. 약물에 대한 개인의 민감성 차이 때문에 발생하며, 복용량과 직접적인 관련이 없고 언제 증상이 나타날지 예측하기 어렵다(가변적인 잠복기).[8][65][120] B형 간독성은 명확한 용량-반응 관계나 시간적 규칙성이 없어 예측 모델을 만들기 어렵다. 이로 인해 엄격한 임상 시험을 통과하여 시판 허가를 받은 약물 중에서도 B형 간독성 문제로 시장에서 퇴출되는 경우가 있다. 트로글리타존(상품명 레줄린)[2][9][59][66]과 트로바플록사신(상품명 트로반)[8] 등이 대표적인 예이다. 허브의 일종인 카바 역시 증상이 없는 경우부터 심각한 간 손상까지 다양한 형태의 B형 간독성을 유발할 수 있다.[8] 항진균제인 케토코나졸의 경구 투여도 드물게 간독성과 관련이 있으며, 일부 사망 사례도 보고되었으나[10][67], 이러한 부작용은 주로 7일 이상 장기 복용한 경우에 나타나는 것으로 보인다.[11][68]
2. 1. 파라세타몰 (아세트아미노펜)

파라세타몰(아세트아미노펜)은 타이레놀, 파나돌 등의 상품명으로도 알려져 있으며, 한국에서 해열진통제로 매우 흔하게 사용되는 약물이다. 일반적으로 처방된 용량에서는 안전하게 사용될 수 있지만, 과다 복용 시 심각한 간 손상을 유발할 수 있으며, 전 세계적으로 약물 유발성 간 질환 및 급성 간부전의 가장 흔한 원인으로 꼽힌다.[36]
파라세타몰로 인한 간 손상은 약물 자체보다는 간에서 시토크롬 P-450 효소에 의해 생성되는 독성 대사물질인 N-아세틸-p-벤조퀴논 이민(NAPQI) 때문에 발생한다.[12] 정상적인 상황에서는 NAPQI가 글루타티온과 결합하여 무해하게 해독된다. 그러나 파라세타몰을 과다 복용하면 많은 양의 NAPQI가 생성되어 간의 해독 능력을 넘어서게 되고, 결국 간세포 손상으로 이어진다. 일산화 질소 또한 이러한 독성 과정에 관여하는 것으로 알려져 있다.[13]
간 손상의 위험은 여러 요인에 따라 달라진다. 섭취한 파라세타몰의 양, 알코올이나 다른 약물의 동시 복용 여부, 약물 복용 후 해독제 투여까지 걸린 시간 등이 중요한 영향을 미친다. 간에 독성을 나타내는 용량은 개인마다 차이가 크며, 특히 만성적으로 음주하는 사람의 경우 더 낮은 용량에서도 간 손상이 발생할 수 있어 각별한 주의가 필요하다.[14][15] 혈중 파라세타몰 농도를 측정하는 것은 환자의 상태를 예측하는 데 중요하며, 농도가 높을수록 예후가 좋지 않다.
파라세타몰 과다 복용 시에는 해독제로 아세틸시스테인을 투여한다. 아세틸시스테인은 글루타티온의 생성을 도와 독성 물질인 NAPQI를 제거하고 간 손상의 정도를 줄이는 데 도움을 줄 수 있다. 급성 간부전이 발생한 경우에도 자연적으로 회복될 수 있지만, 뇌병증(의식 저하 등 뇌 기능 장애)이나 응고병증(혈액 응고 장애)과 같은 심각한 증상이 나타나면 간 이식이 필요할 수 있다(킹스 칼리지 기준 참조).[16]
2. 2. 비스테로이드성 소염진통제 (NSAIDs)
개별 진통제는 광범위하게 사용되지만 드물게 간 손상을 유발할 수 있는데, 비스테로이드성 소염진통제(NSAIDs)는 간독성을 나타내는 주요 약물 그룹으로 부상했다.[71] NSAIDs로 인한 간 손상은 크게 두 가지 유형으로 나뉜다. 하나는 용량에 비례하여 예측 가능한 손상을 일으키는 고유 간독성(intrinsic hepatotoxicity, 용량 의존적 반응)이고, 다른 하나는 개인의 특이 체질에 따라 예측 불가능하게 발생하는 특이 체질적 반응(idiosyncratic reaction, 용량 비의존적 반응)이다.[71]아스피린과 페닐부타존은 고유 간독성과 관련이 있으며, 이부프로펜, 설린닥, 페닐부타존, 피록시캄, 디클로페낙, 인도메타신 등은 특이 체질적 반응과 관련이 있는 것으로 보고되었다.[71]
2. 3. 글루코코르티코이드
글루코코르티코이드는 탄수화물 대사에 미치는 영향 때문에 이러한 이름이 붙었으며, 간에서 글리코겐 저장을 촉진한다. 장기간 사용 시 소아에게는 간 비대증이 드물게 나타날 수 있는 부작용이며,[18][72] 성인과 소아 모두에게 나타나는 전형적인 부작용은 지방간(지방변성증)이다.[19][73]2. 4. 이소니아지드
이소니아지드(INH)는 결핵 치료에 가장 널리 사용되는 약물 중 하나이지만, 일부 환자에게서 간독성을 유발할 수 있다. 환자의 최대 20%에서 경미한 간 효소 수치 상승이 나타나며, 1~2%의 환자에서는 심각한 간독성이 발생하기도 한다.[20][74]2. 5. 기타 하이드라진 유도체 약물
하이드라진 유도체 약물 중 일부는 간 손상을 유발할 수 있다. 대표적인 예로 MAO 억제제(MAOI) 계열 항우울제인 이프로니아지드가 있으며, 간 손상과의 관련성이 보고되었다.[21][22][75][76] 또한 페넬진 역시 간 기능 검사 수치 이상과 관련이 있다는 지적이 있다.[23][77]2. 6. 천연물
카바는 허브의 일종으로, 증상이 없는 경우부터 치명적인 경우까지 다양한 특이 체질적 간 손상을 일으킬 수 있다.
간독성을 유발할 수 있는 천연물의 예시는 다음과 같다.
- 알파-아마니틴을 함유한 버섯
- 아플라톡신을 생성하는 곰팡이
- 일부 식물에서 발견되는 피롤리지딘 알칼로이드[25][26][79][80]
- 녹차 추출물: 많은 제품에 포함되면서 간부전의 원인으로 지목되는 사례가 늘고 있다.[27][28][29][81][82][83]
- 아키 열매
- 팔각련
- 장뇌 (캄파)
- 코팔트라
- 사이카신
- 가르시니아[84]
- 마로니에 잎
- 서양 발레리안
- 컴프리[85][86]
중국 한약 중에서는 금불환, 마황, 수량산, 백선편 등이 간독성 사례와 관련이 있는 것으로 보고된다.[87][88]
2. 7. 대체 의약품
일부 허브나 식물 성분을 포함한 대체 의약품도 간독성을 유발할 수 있다. 이러한 간독성은 예측이 어려운 특이 체질적 반응(B형)으로 나타나는 경우가 많다. 특이 체질적 손상은 특정 개인에게 예고 없이 발생하며, 복용량과 관계없이 나타나고 잠복기도 다양하다.[8]카바라는 허브는 특이 체질적 간 손상을 일으키는 대표적인 예로, 증상이 없는 경우부터 심각하면 사망에 이르는 경우까지 다양한 사례가 보고되었다.[8]
간독성을 유발할 수 있는 다른 대체 의약품 및 식물 성분의 예시는 다음과 같다.
아키 열매
- 팔각련
- 장뇌
- 코팔트라
- 사이카신
- 가르시니아[30][84]
- 피롤리지딘 알칼로이드를 함유한 식물[79][80]
- 마로니에 잎
- 서양 발레리안 (쥐오줌풀)
- 컴프리[31][32][85][86]
- α-아마니틴을 포함하는 특정 버섯
- 아플라톡신을 생성하는 곰팡이
- 녹차 추출물 (일부 간부전 사례 보고)[81][82][83]
또한, 중의학에서 사용되는 일부 약재도 간독성과 관련이 있는 것으로 알려져 있다. 예를 들어 진부환, 마황, 하수오, 백선피 등이 있다.[33][34][87][88] 대한민국에서도 한약재로 인한 간 손상 사례가 보고되고 있다.
2. 8. 산업 독소
예시로는 비소, 사염화 탄소, 염화 비닐 등이 있다.[35][89]3. 간 손상의 기전
약물 유발 간독성이 늦게 발견되어 시장에서 퇴출되는 사례가 계속 발생하고 있다.[36][90] 간은 독특한 대사 작용과 소화계(특히 위장관)와의 밀접한 관계로 인해 약물 및 기타 물질에 의한 손상에 취약하다. 간으로 유입되는 혈액의 75%는 위장관과 비장으로부터 간문맥을 통해 직접 공급되는데, 이 혈액은 약물과 생체 이물질을 농축된 형태로 간에 전달한다.[115][36][90] 간 손상을 유발하거나 손상 과정을 악화시키는 데에는 여러 가지 기전이 작용한다.
많은 화학물질은 세포 내에서 에너지를 생산하는 소기관인 미토콘드리아를 손상시킨다. 미토콘드리아의 기능 장애는 과도한 산화제를 방출하여 간세포를 손상시킨다. 또한, CYP2E1과 같은 시토크롬 P-450 시스템의 일부 효소가 활성화되어 산화 스트레스를 유발하기도 한다.[116][37][91] 간세포와 담관 세포의 손상은 간 내부에 담즙산의 흐름이 막히는 담즙 정체를 유발하고 담즙산이 축적되게 하며, 이는 추가적인 간 손상을 촉진한다.[117][38][92] 쿠퍼 세포, 콜라겐을 생성하는 간성상세포, 그리고 백혈구(예: 호중구, 단핵구)와 같은 비실질 세포들도 간 손상 기전에 관여한다.[38][92]
약물 부작용은 크게 두 가지 유형으로 분류된다.[6][63]
- A형 (약리학적 또는 내인성) 반응: 전체 약물 독성의 약 80%를 차지하며[7][64], 예측 가능한 용량 반응 곡선을 보인다. 즉, 약물 농도가 높을수록 간 손상이 심해진다. 이러한 약물은 간 조직을 직접 손상시키거나 대사 과정을 차단하는 등 독성 기전이 비교적 잘 알려져 있다. 아세트아미노펜 과다 복용으로 인한 간 손상이 대표적인 예이며, 독성 역치에 도달하면 손상이 발생한다. 사염화탄소는 동물 실험에서 급성 A형 간 손상을 유발하는 데 자주 사용된다.
- B형 (특이 체질적 또는 특발성) 반응: 예고 없이 발생하며, 특정 약물에 민감한 일부 개인에게 예측 불가능한 간독성을 유발한다.[8][65] 용량과 관련성이 적고 잠복기가 다양하며 명확한 용량-반응 관계나 시간적 관계가 없어 예측하기 어렵다. 이러한 예측 불가능성 때문에 엄격한 임상 시험을 거쳐 승인된 약물이라도 시판 후 B형 간독성 문제로 시장에서 퇴출되는 경우가 있다. 트로글리타존[2][9][59][66]과 트로바플록사신[2][9] 등이 대표적인 예이다. 허브 식물인 카바 역시 무증상부터 치명적인 경우까지 다양한 특이 체질적 간 손상을 일으키는 것으로 알려져 있다. 항진균제인 케토코나졸의 경구 투여도 일부 사망 사례를 포함한 간독성과 관련이 있으나[10][67], 이러한 부작용은 주로 7일 이상 장기 복용한 경우에 나타나는 것으로 보인다.[11][68]
3. 1. 약물 대사
인체는 대부분의 약물을 외부 물질(생체 이물)로 인식하며, 이를 제거하기 위해 다양한 화학적 과정, 즉 대사를 거친다. 이 과정에는 물질의 지용성을 줄이고 생물학적 활성을 변화시키는 화학적 변형이 포함된다. 신체의 거의 모든 조직이 화학 물질을 대사할 능력이 있지만, 간의 활면소포체는 내인성 화학 물질(예: 콜레스테롤, 스테로이드 호르몬, 지방산, 단백질)과 외인성 물질(예: 약물, 알코올) 모두를 처리하는 주요 "대사 중심지"이다.[111][39][93] 간은 화학 물질의 제거(클리어런스)와 변형에 핵심적인 역할을 하므로, 약물로 인한 손상에 취약하다.
약물대사는 일반적으로 1단계(1상)와 2단계(2상)로 나뉜다. 1단계 반응은 보통 2단계 반응을 위한 준비 과정으로 여겨지지만, 많은 화합물이 1단계를 거치지 않고 직접 2단계에서 대사되거나 배설될 수도 있다. 1단계 반응에는 산화, 환원, 가수분해, 수화 등 다양한 화학 반응이 포함된다. 이러한 과정은 약물의 수용성을 증가시키는 경향이 있으며, 때로는 더 화학적으로 활성이 높거나 독성을 가질 수 있는 대사 산물을 생성하기도 한다. 2단계 반응은 대부분 세포질에서 일어나며, 전달 효소를 통해 체내 생성 화합물과의 결합(conjugation)이 이루어진다. 1단계에서 화학적으로 활성화된 생성물은 이 단계를 거치면서 상대적으로 비활성 상태가 되어 제거에 더 적합하게 된다.[111][39][93]
소포체에 위치한 시토크롬 P450(CYP450) 효소군은 간에서 가장 중요한 대사 효소군이다. 시토크롬 P-450은 전자전달계의 최종 산화효소 구성 요소이다. 이는 단일 효소가 아니라, 밀접하게 관련된 약 50가지의 이소형(isoform)으로 구성된 패밀리이며, 이 중 6가지 이소형이 약물의 90%를 대사한다.[112][113][40][41] 각 P-450 유전자 산물은 매우 다양하며, 이러한 이질성 덕분에 간은 1단계에서 광범위한 종류의 화학 물질(거의 모든 약물 포함)을 산화시킬 수 있다.[111][39][93]
P-450 시스템의 다음 세 가지 특징은 약물 유발 독성에 중요한 역할을 한다.
;1. 유전적 다양성
: 각각의 P-450 단백질은 고유하며, 개인 간 약물 대사 차이의 원인이 된다. 환자가 일반적인 용량의 약물에 대해 비정상적인 감수성이나 내성을 보일 경우, P-450 대사의 유전적 변이(다형성)를 고려해야 한다. 이러한 다형성은 또한 서로 다른 민족적 배경을 가진 환자들 사이에서 약물 반응이 다르게 나타나는 원인이 되기도 한다.[111][39][93]
;2. 효소 활성의 변화
:
| 강력한 유도제 | 강력한 억제제 | 기질 |
|---|---|---|
| 리팜피신, 카르바마제핀, 페노바르비탈, 페니토인, 세인트 존스 워트 | 아미오다론, 시메티딘, 시프로플록사신, 플루코나졸, 플루옥세틴, 에리스로마이신, 아이소니아지드, 딜티아젬 | 카페인, 클로자핀, 오메프라졸, 로사르탄, 테오필린 |
: 많은 물질이 P-450 효소 메커니즘에 영향을 줄 수 있다. 약물은 여러 방식으로 효소군과 상호작용하며[114][44][94], 시토크롬 P-450 효소 활성을 조절하는 약물은 억제제 또는 유도제로 불린다. 효소 억제제는 하나 또는 여러 P-450 효소의 대사 활성을 차단하며, 이러한 효과는 일반적으로 즉시 나타난다. 반면, 효소 유도제는 P-450의 합성을 늘리거나(예: 대부분의 유도제) 프로테아좀에서의 분해를 막음으로써(예: CYP2E1 유도제) P-450 활성을 증가시킨다. 유도제의 효과는 약물의 반감기에 따라 다르지만, 일반적으로 효소 활성이 증가하기까지 시간이 걸린다.[113][41][95]
;3. 경쟁적 억제
: 일부 약물은 동일한 P-450 효소를 공유하여 서로의 생체 변환(대사)을 경쟁적으로 억제할 수 있다. 이로 인해 해당 효소에 의해 대사되는 약물이 체내에 축적될 수 있다. 또한, 이러한 유형의 약물 상호작용은 독성 대사 산물의 생성 속도를 감소시키는 효과를 나타낼 수도 있다.[111][39][93]
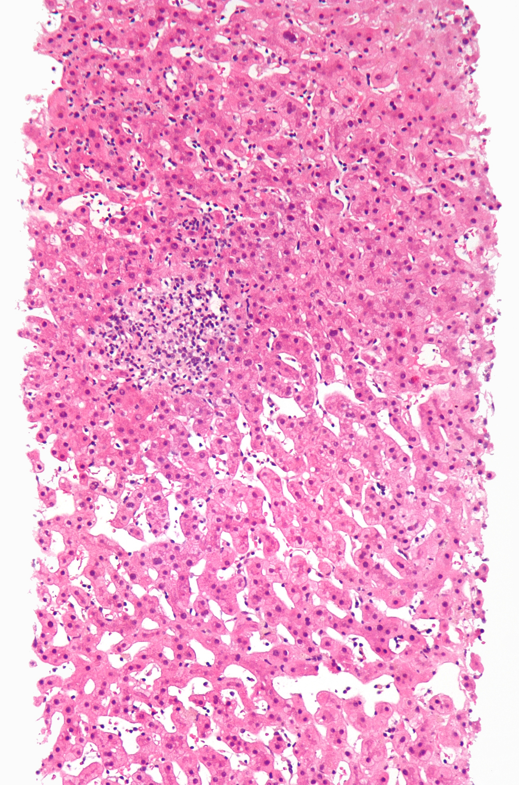
3. 2. 간 손상 유형
화학 물질은 다양한 임상적이고 병적인 간 손상을 초래한다. 알라닌 아미노기 전이효소(ALT), 알칼리성 인산가수분해효소(ALP), 빌리루빈과 같은 생화학적 지표들이 간 손상을 나타내는 데 자주 사용된다. 간 손상은 다음 기준으로 정의된다.[121][122][45][46][96][97]간 손상은 주로 나타나는 효소 상승에 따라 간세포형(주로 ALT 상승)과 담즙 정체성(주로 ALP 상승)으로 나눌 수 있다. 하지만 이 분류는 명확히 구분되지 않으며, 혼합된 형태의 손상도 자주 발견된다.
| 손상 유형: | 간세포성 | 담즙 정체성 | 혼합형 |
|---|---|---|---|
| ALT | ULN의 3배 이상 증가 | 정상 또는 경미한 증가 | ULN의 3배 이상 증가 |
| ALP | 정상 또는 경미한 증가 | ULN의 2배 이상 증가 | ULN의 2배 이상 증가 |
| ALT: ALP 비율 | 높음 (≥5) | 낮음 (≤2) | 2–5 |
| 예시 | 아세트아미노펜 알로푸리놀 아미오다론 HAART NSAID | 아나볼릭 스테로이드 클로르프로마진 클로피도그렐 에리스로마이신 호르몬 피임법 (경구 피임약) | 아미트립틸린 에날라프릴 카바마제핀 설폰아미드 페니토인 |
약물로 인한 간 손상의 구체적인 조직병리학적 양상은 다음과 같다.
'''구역 괴사''' (Zonal Necrosis)
약물 유발성 간 괴사 중 가장 흔한 형태이다. 손상이 주로 간 소엽의 특정 구역에 한정되어 나타난다. ALT 수치가 매우 높게 나타날 수 있으며, 심각한 간 기능 장애를 동반하여 급성 간부전으로 이어질 수 있다.
- 원인 약물: 파라세타몰(아세트아미노펜), 사염화탄소
'''간염''' (Hepatitis)
간세포 괴사와 함께 염증 세포의 침윤이 동반되는 양상이다. 약물 유발성 간염은 다음 세 가지 유형으로 나눌 수 있다.
- 바이러스성 간염형: 가장 흔하며, 조직학적 특징이 급성 바이러스성 간염과 유사하다.
- 원인 약물: 할로세인, 이소니아지드, 페니토인
- 국소성 또는 비특이성 간염: 산재된 세포 괴사 부위에 림프구 침윤이 동반될 수 있다.
- 원인 약물: 아스피린
- 만성 간염형: 임상적, 혈청학적, 조직학적으로 자가면역간염과 매우 유사하다.
- 원인 약물: 메틸도파, 디클로페낙
'''담즙 정체''' (Cholestasis)
간 손상으로 인해 담즙의 흐름에 장애가 생겨 가려움증과 황달이 주요 증상으로 나타난다. 조직학적으로 염증이 동반될 수도(담즙 정체성 간염) 있고, 염증이 없을 수도 있다. 드물게는 작은 담관이 점진적으로 파괴되어 원발성 담즙성 간경변증과 유사한 증상(소실성 담관 증후군)을 유발하기도 한다.
'''지방증''' (Steatosis)
간에 트리글리세리드가 축적되어 작은 방울(미세소포성) 또는 큰 방울(거대소포성) 형태의 지방간을 유발한다. 다른 형태로는 인지질이 축적되어 유전성 인지질 대사 결함 질환(예: 테이-삭스병)과 유사한 양상을 보이는 인지질증이 있다.
- 원인 약물:
- 미세소포성: 아스피린 (라이 증후군), 케토프로펜, 테트라시클린 (특히 유통기한 지난 경우)
- 거대소포성: 아세트아미노펜, 메토트렉세이트
- 인지질증: 아미오다론, 총 비경구 영양법
- 기타: 뉴클레오사이드 유사체 (항바이러스제), 코르티코스테로이드, 타목시펜
'''육아종''' (Granuloma)
약물 유발성 간 육아종은 대개 다른 조직의 육아종과 함께 나타나며, 환자는 전신적인 혈관염이나 과민 반응의 특징을 보이는 경우가 많다. 50가지 이상의 약물이 관련되어 있다.
'''맥관 손상''' (Vascular lesions)
혈관 내피 세포의 손상으로 인해 발생한다.
'''종양''' (Neoplasm)
약물이나 독소에 장기간 노출될 경우 신생물(종양)이 발생할 수 있다. 간세포암종, 혈관육종, 간 선종 등이 보고된다.
4. 진단
약물 유발 간독성의 진단은 신뢰할 수 있는 지표가 부족하여 임상 현장에서 여전히 어려운 과제이다.[47] 다른 많은 질병들이 유사한 임상적 및 병리학적 소견을 보이기 때문이다.
간독성을 진단하기 위해서는 화학 물질이나 약물 사용과 그에 따른 간 손상 사이에 인과 관계를 확립하는 것이 중요하지만, 특이 반응이 의심되는 경우에는 특히 어려울 수 있다.[48] 여러 약물을 동시에 사용하는 경우 진단은 더욱 복잡해진다. 반면, 아세트아미노펜 독성처럼 잘 알려진 용량 의존적 약리학적 간독성은 상대적으로 식별하기 쉽다.
화학 물질은 다양한 임상적 및 병리학적 간 손상을 유발할 수 있다. 간 손상을 나타내는 데는 주로 생화학적 지표들이 사용된다. 일반적으로 간 손상은 다음 기준으로 정의된다.[45][46]
- (a) ALT 수치가 정상 상한선(ULN)의 3배 이상 상승
- (b) ALP 수치가 ULN의 2배 이상 상승
- (c) ALT 또는 ALP 상승과 함께 총 빌리루빈 수치가 ULN의 2배 이상 상승
간 손상은 주로 나타나는 초기 생화학적 지표 상승에 따라 간세포성(주로 ALT 상승)과 담즙 정체성(주로 ALP 상승) 유형으로 분류된다. 그러나 이 두 유형은 명확히 구분되지 않으며 혼합형 손상도 자주 발생한다.
| 손상 유형 | 간세포성 | 담즙 정체성 | 혼합형 |
|---|---|---|---|
| ALT | 3배 이상 증가 | 정상 | 3배 이상 증가 |
| ALP | 정상 | 2배 이상 증가 | 2배 이상 증가 |
| ALT: ALP 비율 | 높음, ≥5 | 낮음, ≤2 | 2–5 |
| 예시[45] | 아세트아미노펜 알로푸리놀 아미오다론 HAART NSAID | 아나볼릭 스테로이드 클로르프로마진 클로피도그렐 에리스로마이신 호르몬 피임법 | 아미트립틸린 에날라프릴 카바마제핀 설폰아미드 페니토인 |
원인 약물과 간 손상 간의 인과 관계를 객관적으로 평가하기 위해 CIOMS/RUCAM 척도 및 Maria와 Victorino 기준과 같은 여러 임상 척도가 제안되었다. CIOMS/RUCAM 척도는 여러 항목을 평가하여 점수를 매기고, 총점에 따라 인과 관계의 가능성을 "확실 또는 매우 가능성 있음" (점수 > 8), "가능성 있음" (점수 6–8), "가능성 있음" (점수 3–5), "가능성 없음" (점수 1–2), "제외됨" (점수 ≤ 0) 등으로 분류한다.
그러나 실제 임상 진료에서는 이러한 척도보다는 환자의 생화학적 검사 결과 패턴과 의심되는 약물의 알려진 간독성 패턴(예: 아목시실린-클라불란산 유발 담즙 정체성 손상) 사이의 유사성을 비교하는 방식이 더 중요하게 고려되는 경우가 많다.[47]
5. 치료 및 예후
대부분의 경우, 문제가 되는 약물의 복용을 조기에 중단하면 간 기능은 정상으로 회복된다.[123][124] 필요한 경우 환자는 보조적인 치료(대증 치료)를 받을 수 있다.
파라세타몰(아세트아미노펜) 과다 복용은 전 세계적으로 약물 유발 간 질환과 급성 간부전의 가장 흔한 원인이다.[36] 처방된 용량에서는 일반적으로 내약성이 좋지만, 과다 복용 시 간에서 생성되는 독성 대사물질(N-아세틸-p-벤조퀴논 이민, NAPQI)로 인해 간 손상이 발생한다.[12] 정상적인 경우 이 대사 물질은 글루타티온과 결합하여 해독되지만, 과다 복용 시 해독 과정을 넘어서는 많은 양의 NAPQI가 생성되어 간세포 손상을 일으킨다. 일산화 질소도 독성에 관여하는 것으로 알려져 있다.[13] 간 손상 위험은 섭취 용량, 알코올 등 다른 약물 동시 복용 여부, 복용 후 해독제 투여까지의 시간 등 여러 요인에 따라 달라진다. 독성 용량은 개인차가 크며, 만성 알코올 중독자의 경우 더 낮을 수 있다.[14][15] 아세트아미노펜 중독의 경우, 초기 손상이 치명적일 수 있으며, 혈중 농도 측정은 예후 평가에 중요하다. 글루타티온의 전구체인 아세틸시스테인을 투여하면 독성 NAPQI를 제거하여 간 손상의 심각성을 줄일 수 있다.
약물 유발 간독성으로 인해 급성 간부전이 발생한 경우 간 이식이 필요할 수 있다. 뇌병증이나 응고병증과 같은 불량한 예후 징후가 나타나면 이식을 고려해야 한다(킹스 칼리지 기준 참조).[16]
과거에는 알레르기 특징이 있는 경우 글루코코르티코이드를, 담즙 정체성 간 손상에는 우르소데옥시콜산을 사용하기도 했으나, 그 효과를 뒷받침할 만한 충분한 근거는 없다.
혈청 빌리루빈 수치가 정상 상한치(ULN)의 2배 이상으로 상승하고, 관련 아미노기전이효소(트란스아미나제) 수치가 함께 상승하는 것은 예후가 좋지 않음을 시사한다. 이는 하이의 법칙으로 알려져 있으며, 심각한 간독성을 의미한다. 특히 원인 약물 투여를 중단하지 않으면 환자의 10~15%가 사망에 이를 수 있다.[49][50][102][103] 이는 빌리루빈 배설 장애가 발생할 정도로 간 손상이 심각하다는 것을 의미하며, 경미한 손상(담도 폐쇄나 길버트 증후군이 없는 경우)만으로는 황달이 발생하지 않기 때문이다. 다른 좋지 않은 예후 인자로는 고령, 여성, 높은 AST 수치 등이 있다.[51][52][104][105]
6. 대한민국에서의 현황 및 관리
이소니아지드(INH)는 결핵 치료에 가장 널리 사용되는 약물 중 하나이지만, 환자의 20%에서 경미한 간 효소 수치 상승이, 1~2%에서 심각한 간독성이 나타나는 것으로 알려져 있다.[74]
참조
[1]
서적
Current diagnosis & treatment in gastroenterology
https://archive.org/[...]
Lang Medical Books/McGraw-Hill
[2]
논문
A simple model to solve a complex drug toxicity problem
2019-03
[3]
논문
Stem Cell-Based Toxicity Screening: Recent Advances in Hepatocyte Generation
[4]
서적
GI/Liver Secrets: with STUDENT CONSULT Access
C.V. Mosby
[5]
논문
Results of a prospective study of acute liver failure at 17 tertiary care centers in the United States
2002-12
[6]
서적
Textbook of adverse drug reactions
https://archive.org/[...]
Oxford University Press
[7]
논문
Adverse drug reactions
1998-04
[8]
논문
Drug-induced liver disease
[9]
논문
Toxic metabolite formation from Troglitazone (TGZ): new insights from a DFT study
2011-07
[10]
웹사이트
Ketoconazole Tablets
https://www.drugs.co[...]
[11]
논문
Ketoconazole-Associated Liver Injury in Drug-Drug Interaction Studies in Healthy Volunteers
2016-10
[12]
논문
Acetaminophen hepatotoxicity: NO to the rescue
2004-09
[13]
논문
Acetaminophen-induced hepatotoxicity
2003-12
[14]
논문
Alcohol exposure and paracetamol-induced hepatotoxicity
[15]
논문
Paracetamol, alcohol and the liver
2000-04
[16]
논문
Early indicators of prognosis in fulminant hepatic failure
1989-08
[17]
논문
Hepatotoxicity of anti-inflammatory and analgesic drugs: ultrastructural aspects
[18]
논문
Hepatomegaly following short-term high-dose steroid therapy
[19]
서적
Diseases of the liver
JB Lippincott
[20]
논문
Inhibition of isoniazid-induced hepatotoxicity in rabbits by pretreatment with an amidase inhibitor
[21]
논문
The lack of hepatotoxicity in the rat with the new and reversible MAO-A inhibitor moclobemide in contrast to iproniazid
1985
[22]
논문
Jaundice And Its Relation To Therapeutic Agents
1965-01
[23]
논문
Toxic and other side effects of nardil phenelzine sulphate W-1544A
1960-02
[24]
웹사이트
Amoxicillin
http://davisplus.fad[...]
Davis
2017
[25]
웹사이트
Foodborne Pathogenic Microorganisms and Natural Toxins Handbook: Pyrrolizidine Alkaloids
https://www.fda.gov/[...]
United States Food and Drug Administration
2009-07-11
[26]
논문
Liver lesions in young rats suckled by mothers treated with the pyrrolizidine (Senecio) alkaloids, lasiocarpine and retrorsine
1959-04
[27]
서적
GreenTea
https://livertox.nih[...]
National Institute of Diabetes and Digestive and Kidney Diseases
[28]
웹사이트
Liver Damage from Supplements is on the Rise
https://www.consumer[...]
2017-05-19
[29]
논문
ACG Clinical Guideline: the diagnosis and management of idiosyncratic drug-induced liver injury
2014-07
[30]
논문
Garcinia Cambogia attenuates diet-induced adiposity but exacerbates hepatic collagen accumulation and inflammation
2013-08
[31]
논문
Flavokawain B, the hepatotoxic constituent from kava root, induces GSH-sensitive oxidative stress through modulation of IKK/NF-kappaB and MAPK signaling pathways
2010-12
[32]
논문
Hepatotoxicity of herbal remedies: an emerging dilemma
2004-06
[33]
논문
Hepatitis associated with Chinese herbs
2002-05
[34]
논문
Toxic hepatitis induced by show-wu-pian, a Chinese herbal preparation
2010
[35]
논문
Hepatoprotective activity of Clearliv a polyherbal formulation in Wistar rats
[36]
서적
Handbook of liver diseases
https://archive.org/[...]
Churchill Livingstone
[37]
논문
Mechanisms of hepatotoxicity
[38]
논문
Dysregulation of apoptosis as a mechanism of liver disease: an overview
[39]
서적
Goodman and Gilman's Pharmacological Basis of Therapeutics Digital Edition
McGraw-Hill Professional
[40]
서적
Introduction to drug metabolism
Nelson Thornes Publishers
[41]
논문
The effect of cytochrome P450 metabolism on drug response, interactions, and adverse effects
[42]
서적
Concise Guide to Drug Interaction Principles for Medical Practice: Cytochrome P450s, Ugts, P-Glycoproteins
https://archive.org/[...]
American Psychiatric Association
[43]
웹사이트
P450 Table
http://medicine.iupu[...]
2007-09-29
[44]
논문
Update: clinically significant cytochrome P-450 drug interactions
1998
[45]
논문
Drug-related hepatotoxicity
[46]
논문
Criteria of drug-induced liver disorders. Report of an international consensus meeting
1990-09
[47]
논문
Assessment of drug-induced hepatotoxicity in clinical practice: a challenge for gastroenterologists
[48]
논문
Drug-induced liver disease in 2006
[49]
논문
Hy's law
2004-02
[50]
논문
Anticoagulants and transaminase elevation
[51]
논문
Outcome of acute idiosyncratic drug-induced liver injury: Long-term follow-up in a hepatotoxicity registry
[52]
논문
Outcome and prognostic markers in severe drug-induced liver disease
[53]
논문
Drug-induced hepatotoxicity: pharmacokinetic perspectives and strategies for risk reduction
1999-11
[54]
EMedicine
Drug-Induced Hepatotoxicity
[55]
웹사이트
重篤副作用疾患別対応マニュアル 薬物性肝障害
https://www.mhlw.go.[...]
厚生労働省
2019-09
[56]
논문
漢方薬による薬物性肝障害の症例検討
https://doi.org/10.3[...]
日本東洋医学会
[57]
논문
漢方薬による肝障害:その診断,頻度,臨床像について
https://doi.org/10.3[...]
日本東洋医学会
[58]
서적
Current diagnosis & treatment in gastroenterology
https://archive.org/[...]
Lang Medical Books/McGraw-Hill
[59]
논문
A simple model to solve a complex drug toxicity problem
2019
[60]
논문
Stem Cell-Based Toxicity Screening: Recent Advances in Hepatocyte Generation
[61]
서적
GI/Liver Secrets: with STUDENT CONSULT Access
C.V. Mosby
[62]
논문
Results of a prospective study of acute liver failure at 17 tertiary care centers in the United States
[63]
서적
Textbook of adverse drug reactions
https://archive.org/[...]
Oxford University Press
[64]
논문
Adverse drug reactions
[65]
논문
Drug-induced liver disease
[66]
논문
Toxic Metabolite Formation from Troglitazone (TGZ): New Insights from a DFT Study
2011-07-18
[67]
웹사이트
Ketoconazole Tablets
https://www.drugs.co[...]
2021-09-21
[68]
논문
Ketoconazole-Associated Liver Injury in Drug-Drug Interaction Studies in Healthy Volunteers
https://semanticscho[...]
2016-02-01
[69]
논문
Acetaminophen hepatotoxicity: NO to the rescue
[70]
논문
Acetaminophen-induced hepatotoxicity
https://semanticscho[...]
[71]
논문
Hepatotoxicity of anti-inflammatory and analgesic drugs: ultrastructural aspects
[72]
논문
Hepatomegaly following short-term high-dose steroid therapy
[73]
서적
Diseases of the liver
JB Lippincott
[74]
논문
Inhibition of isoniazid-induced hepatotoxicity in rabbits by pretreatment with an amidase inhibitor
[75]
논문
The lack of hepatotoxicity in the rat with the new and reversible MAO-A inhibitor moclobemide in contrast to iproniazid
[76]
논문
Jaundice and its relation to therapeutic agents
[77]
논문
Toxic and Other Side Effects of Nardil Phenelzine Sulphate W-1544A
[78]
웹사이트
Amoxicillin
http://davisplus.fad[...]
Davis
2017-03-24
[79]
웹사이트
Foodborne Pathogenic Microorganisms and Natural Toxins Handbook: Pyrrolizidine Alkaloids
https://www.fda.gov/[...]
United States [[Food and Drug Administration]]
2009-07-11
[80]
논문
Liver lesions in young rats suckled by mothers treated with the pyrrolizidine (Senecio) alkaloids, lasiocarpine and retrorsine.
1959-04
[81]
웹사이트
GreenTea
https://www.ncbi.nlm[...]
2021-09-21
[82]
웹사이트
Liver Damage from Supplements is on the Rise
https://www.consumer[...]
2021-09-21
[83]
논문
ACG Clinical Guideline: The Diagnosis and Management of Idiosyncratic Drug-Induced Liver Injury
[84]
논문
''Garcinia Cambogia'' attenuates diet-induced adiposity but exacerbates hepatic collagen accumulation and inflammation
[85]
논문
Flavokawain B, the hepatotoxic constituent from kava root, induces GSH-sensitive oxidative stress through modulation of IKK/NF- B and MAPK signaling pathways
[86]
논문
Hepatotoxicity of herbal remedies: an emerging dilemma
[87]
논문
Hepatitis associated with Chinese herbs
[88]
논문
Toxic Hepatitis Induced by Show-Wu-Pian, a Chinese Herbal Preparation
[89]
논문
Hepatoprotective activity of Clearliv a polyherbal formulation in Wistar rats
[90]
서적
Handbook of liver diseases
https://archive.org/[...]
Churchill Livingstone
[91]
논문
Mechanisms of hepatotoxicity
[92]
논문
Dysregulation of apoptosis as a mechanism of liver disease: an overview
[93]
서적
Goodman and Gilman's Pharmacological Basis of Therapeutics Digital Edition
McGraw-Hill Professional
[94]
논문
Update: clinically significant cytochrome P-450 drug interactions
[95]
논문
The effect of cytochrome P450 metabolism on drug response, interactions, and adverse effects
[96]
논문
Drug-related hepatotoxicity
[97]
논문
Criteria of drug-induced liver disorders. Report of an international consensus meeting
[98]
논문
Assessment of drug-induced hepatotoxicity in clinical practice: a challenge for gastroenterologists
[99]
논문
Drug-induced liver disease in 2006
[100]
문서
Council for International Organizations of Medical Sciences or Rousel Uclaf Causality Assessment Method scale
[101]
웹사이트
Maria and Victorino (M & V) System of Causality Assessment in Drug Induced Liver Injury
http://www.ncbi.nlm.[...]
National Institute of Diabetes and Digestive and Kidney Diseases
2012-01-01
[102]
논문
Hy's law
[103]
논문
Anticoagulants and transaminase elevation
[104]
논문
Outcome of acute idiosyncratic drug-induced liver injury: Long-term follow-up in a hepatotoxicity registry
[105]
논문
Outcome and prognostic markers in severe drug-induced liver disease
[106]
간행물
Drug-induced hepatotoxicity: pharmacokinetic perspectives and strategies for risk reduction
[107]
웹사이트
Drug-Induced Hepatotoxicity
[108]
서적
Current diagnosis & treatment in gastroenterology
Lang Medical Books/McGraw-Hill
[109]
서적
GI/Liver Secrets: with STUDENT CONSULT Access
https://archive.org/[...]
C.V. Mosby
[110]
저널
Results of a prospective study of acute liver failure at 17 tertiary care centers in the United States
[111]
서적
Goodman and Gilman's Pharmacological Basis of Therapeutics Digital Edition
McGraw-Hill Professional
[112]
서적
Introduction to drug metabolism
https://archive.org/[...]
Nelson Thornes Publishers
[113]
저널
The effect of cytochrome P450 metabolism on drug response, interactions, and adverse effects
[114]
저널
Update: clinically significant cytochrome P-450 drug interactions
[115]
서적
Handbook of liver diseases
https://archive.org/[...]
Churchill Livingstone
2007-09-07
[116]
저널
Mechanisms of hepatotoxicity
[117]
저널
Dysregulation of apoptosis as a mechanism of liver disease: an overview
[118]
서적
Textbook of adverse drug reactions
https://archive.org/[...]
Oxford University Press
[119]
저널
Adverse drug reactions
[120]
저널
Drug-induced liver disease
[121]
저널
Drug-related hepatotoxicity
[122]
저널
Criteria of drug-induced liver disorders. Report of an international consensus meeting
[123]
저널
Hy's law
[124]
저널
Anticoagulants and transaminase elevation
본 사이트는 AI가 위키백과와 뉴스 기사,정부 간행물,학술 논문등을 바탕으로 정보를 가공하여 제공하는 백과사전형 서비스입니다.
모든 문서는 AI에 의해 자동 생성되며, CC BY-SA 4.0 라이선스에 따라 이용할 수 있습니다.
하지만, 위키백과나 뉴스 기사 자체에 오류, 부정확한 정보, 또는 가짜 뉴스가 포함될 수 있으며, AI는 이러한 내용을 완벽하게 걸러내지 못할 수 있습니다.
따라서 제공되는 정보에 일부 오류나 편향이 있을 수 있으므로, 중요한 정보는 반드시 다른 출처를 통해 교차 검증하시기 바랍니다.
문의하기 : help@durumis.com