황달
"오늘의AI위키"의 AI를 통해 더욱 풍부하고 폭넓은 지식 경험을 누리세요.
1. 개요
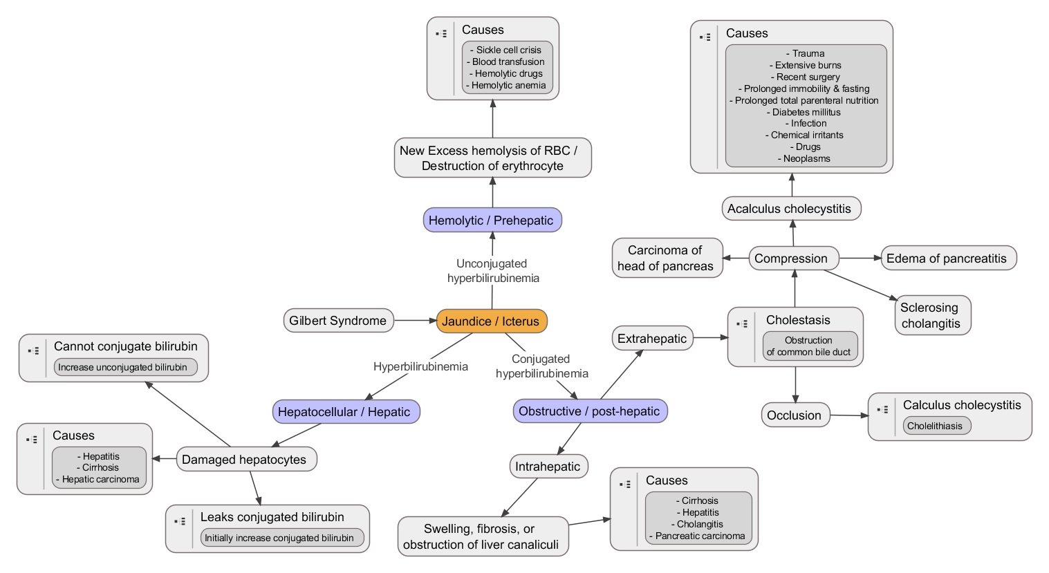
황달은 혈액 내 빌리루빈 수치가 증가하여 피부와 눈 흰자위가 노랗게 변색되는 증상으로, 다양한 원인 질환의 징후로 나타난다. 황달은 빌리루빈 대사, 간 기능 장애, 담도 폐쇄 등 병리에 따라 간 전성, 간성, 간 후성 황달로 분류된다. 간 전성 황달은 적혈구 과다 파괴로 인해, 간성 황달은 간세포 손상으로 인해, 간 후성 황달은 담도 폐쇄로 인해 발생한다.
황달은 피부와 눈의 황달 외에도 소변 색 변화, 가려움증 등의 증상을 동반하며, 혈액 검사, 영상 검사 등을 통해 진단한다. 치료는 원인 질환에 따라 다르며, 신생아의 경우 광선요법이나 교환 수혈이 사용될 수 있다. 심한 황달은 핵황달, 다장기부전 등의 합병증을 유발할 수 있다. 신생아 황달은 생리적 황달이 흔하며, 조발 황달, 지연성 황달 등으로 분류된다.
더 읽어볼만한 페이지
- 소화계통 및 복부의 증상 및 징후 - 구토
구토는 다양한 원인으로 위장 내용물이 입을 통해 배출되는 반사 작용으로, 메스꺼움을 동반하거나 탈수와 같은 합병증을 유발할 수 있으며, 토사물의 색깔과 성분은 원인 질환 진단에 중요한 단서가 된다. - 소화계통 및 복부의 증상 및 징후 - 설사
설사는 세계보건기구(WHO) 정의에 따라 하루 세 번 이상 묽은 변을 보거나 평소보다 많은 변을 보는 상태로, 급성, 지속성, 만성으로 나뉘며, 소화흡수능력 저하, 감염, 약물 부작용 등 다양한 원인으로 발생하고, 물 같은 변, 복통, 구토, 탈수 증상을 동반하며, 위생적인 생활 습관과 수분 및 전해질 보충으로 예방 및 치료가 가능하다. - 증상 - 피로
피로는 신체적, 정신적 에너지 고갈 상태로, 다양한 원인으로 인해 발생하며, 약물 치료, 정신 건강 도구 활용, 생활 습관 개선 등 다양한 방식으로 관리될 수 있다. - 증상 - 설사
설사는 세계보건기구(WHO) 정의에 따라 하루 세 번 이상 묽은 변을 보거나 평소보다 많은 변을 보는 상태로, 급성, 지속성, 만성으로 나뉘며, 소화흡수능력 저하, 감염, 약물 부작용 등 다양한 원인으로 발생하고, 물 같은 변, 복통, 구토, 탈수 증상을 동반하며, 위생적인 생활 습관과 수분 및 전해질 보충으로 예방 및 치료가 가능하다.
2. 원인

황달은 빌리루빈 대사 과정의 이상, 간 기능 장애, 또는 담도 폐쇄 등 기저 질환의 존재를 나타내는 징후이다. 일반적으로 혈중 빌리루빈 수치가 3mg/dL을 초과하면 황달이 나타난다.[20] 황달은 병리가 생리적 기전의 어느 부분에 영향을 미치는지에 따라 세 가지 범주로 분류된다.
각각의 자세한 내용은 간 전성 황달, 간성 황달, 간 후성 황달 하위 섹션을 참고하라.
2. 1. 간 전성 황달 (용혈성 황달)
간 전성 황달은 가장 흔하게 적혈구(RBC) 용혈의 병적인 증가율에 의해 발생한다. 적혈구 파괴 증가 → 비결합 혈청 빌리루빈 증가 → 점막 조직으로의 비결합 빌리루빈 침착 증가.[21] 다음 질환들은 적혈구 용혈 증가로 인해 황달을 유발할 수 있다.[22]- 겸상 적혈구 빈혈[23]
- 구상 적혈구 증[24]
- 탈라세미아[25]
- 피루브산 키나아제 결핍증
- 포도당-6-인산 탈수소효소 결핍증
- 미세혈관 병성 용혈성 빈혈
- 용혈성 요독 증후군
- 심한 말라리아 (풍토병 지역)
2. 2. 간성 황달 (간세포성 황달)

간성 황달(간세포성 황달)은 간에서의 비정상적인 빌리루빈 대사로 인해 발생한다.[26] 간성 황달의 주요 원인은 감염, 약물/의약품 유발, 자가면역 원인으로 인한 간세포의 심각한 손상 또는 드물게 유전 질환 때문이다.[27]
다음은 황달의 간 원인에 대한 부분적인 목록이다.[28]
- 급성 간염
- 만성 간염
- 간독성
- 간경변
- 약물 유발성 간염
- 알코올성 간 질환
- 길버트 증후군 (인구의 약 5%에서 발견되며, 경도의 황달을 유발함)
- 크리글러-나자르 증후군 I형
- 크리글러-나자르 증후군 II형
- 레프토스피라증
2. 3. 간 후성 황달 (폐쇄성 황달)
간 후성 황달(폐쇄성 황달)은 간에서 생성된 빌리루빈이 담도를 통해 장으로 배출되지 못하고 혈액으로 역류하는 경우이다. 주로 담도 폐쇄가 원인이며, 다음과 같은 질환들이 해당된다.
- 담관결석증(총담관 담석): 폐쇄성 황달의 가장 흔한 원인이다.[29]
- 췌장두부 췌장암
- 담도 협착
- 담도폐쇄
- 원발성 담즙성 담관염
- 임신성 담즙울체증
- 급성 췌장염
- 만성 췌장염
- 췌장 가성낭종
- Mirizzi 증후군
- 기생충 (간흡충과 같은 Opisthorchiidae과 및 Fasciolidae과)[30]
3. 증상

황달의 가장 특징적인 증상은 피부와 눈 흰자위(공막)가 노랗게 변색되는 것이다. 성인에서 황달의 가장 흔한 증상은 눈의 흰자위(결막)와 피부가 노랗게 변색되는 것이며,[13] 결막에 황달 증상이 나타나는 것은 혈청 빌리루빈 수치가 3mg/dl 이상임을 나타낸다.[20]
다른 흔한 증상으로는 소변 색이 진해지는 것(빌리루빈뇨)과 창백하고 기름진 변(지방변)이 있다.[14] 빌리루빈은 피부 자극제이기 때문에 황달은 심한 가려움증과 흔히 동반된다.[15][16]
눈의 결막은 엘라스틴 함량이 높기 때문에 빌리루빈이 특히 많이 축적된다. 따라서 혈청 빌리루빈이 약간만 증가해도 결막의 황변을 관찰하여 조기에 감지할 수 있다. 전통적으로 결막황달이라고 불리지만, 빌리루빈이 실제로 혈관이 없는 공막 위의 결막에 축적되기 때문에 이 용어는 잘못된 명칭이다. 따라서 "눈의 흰자위"가 노랗게 변하는 현상에 대한 적절한 용어는 결막 황달이다.[17]
소아에게 특히 나타나는 훨씬 드문 황달 증상은 이가 황색 또는 녹색으로 변하는 것이다. 발달 중인 어린이의 경우, 치아 형성 과정 중 빌리루빈이 축적되어 고빌리루빈혈증으로 인해 이가 노란색 또는 녹색으로 변색될 수 있다.[18] 고빌리루빈혈증이 있는 어린이에게 발생할 수 있지만, 고빌리루빈혈증으로 인한 치아 변색은 성인 발병 간 질환이 있는 사람에게서는 관찰되지 않는다. 초기 발달 과정에서 결합형 빌리루빈의 혈청 수치 상승과 관련된 질환은 치아 저형성증을 유발할 수 있다.[19]
; 잠재성 황달(고빌리루빈혈증)
: 혈청 빌리루빈이 정상치를 초과하지만 육안으로 황달이 나타나지 않는 경우.
빌리루빈에 대한 혈액검사 참고 기준치는 다음과 같다.
; 아황달
: 안구 결막에만 황색이 나타나는 상태.
; 현성황달
: 피부와 점막의 황색 변화(T-Bil이 2~3mg/dL).
일반적으로 자각 증상이 부족하다. 진단학에서는 황달은 하나의 징후로서 인식되고 있다.
- 피부 소양감(피부가 가려운 증상): 피부의 가려움. 직접적으로 비릴루빈 우위성인 경우에 나타난다.
- 안구결막황달
- : 안구결막황달은 눈의 결막이 황색으로 변하는 것이다. 혈중 빌리루빈 농도가 3mg/dl 이상이 되면 나타난다.
피부 소양감에 관해서는 약간의 이견도 존재한다. 빌리루빈 이외의 담즙 배출이 정상인(간, 담도계의 효소는 상승하지 않는) 체질성 황달(의 일부)에서는 피부 소양감이 나타나지 않는 것으로 알려져 있다.
4. 병태생리

황달은 헤모글로빈 대사 과정의 이상으로 발생한다.
비장 내 대식세포는 수명이 다하거나 손상된 적혈구를 제거한다. 적혈구 내 헤모글로빈은 헤모글로빈과 글로빈으로 분해된다. 헤모글로빈의 포르피린 고리는 헤모옥시게나제에 의해 녹색 빌리베르딘으로 분해되고, 빌리베르딘 환원효소에 의해 노란색 빌리루빈으로 환원된다.
헤모글로빈 분해로 생성된 빌리루빈은 수용성이 낮은 비결합형 빌리루빈(간접 빌리루빈)으로, 알부민과 결합하여 혈장으로 방출되어 간으로 운반된다. 간에서 글루쿠론산 결합을 받아 결합형 빌리루빈(직접 빌리루빈)이 되어 담즙 속으로 방출되고, 담관을 통해 십이지장으로 분비된다.
십이지장으로 분비된 결합형 빌리루빈은 소장 장내 세균에 의해 탈결합되어 비결합형 빌리루빈이 된다. 이 비결합형 빌리루빈은 장내 세균에 의해 환원되어 우로빌리노겐이 된다. 우로빌리노겐은 소장에서 재흡수되어 소변으로 배설되거나, 흡수되지 않은 우로빌리노겐은 스테르코빌리노겐을 거쳐 갈색 스테르코빌린으로 변화하여 대변으로 배설된다.
장관 내 비결합형 빌리루빈과 우로빌리노겐은 장간 순환을 통해 혈액으로 돌아간다. 담도 폐쇄 시에는 소변 내 우로빌리노겐이 음성이 된다. 소변 내 빌리루빈은 결합형 빌리루빈을 측정하는 것이다. 물에 녹지 않는 비결합형 빌리루빈은 신장에서 여과되지 않으므로, 소변 내 빌리루빈은 담도 폐쇄 등 직접 빌리루빈이 증가하는 질환에서 관찰된다.
고빌리루빈혈증으로 황달이 발생하는 이유는 빌리루빈이 탄력섬유와 친화성이 높아 피부, 공막, 혈관 등에 침착하여 노랗게 되기 때문이다. 특히 공막과 친화성이 높아 황달 검사는 안구 결막 색깔로 진행한다.
빌리루빈 조직 침착 중 대뇌 기저핵에 침착되는 핵황달(빌리루빈 뇌병증)이 중요하다. 이는 알부민에 결합하지 않은 비결합형 빌리루빈이 침착하는 것으로, 신생아에게 발생하며 모로 반사 소실, 경련 등의 증상을 일으킨다.
4. 1. 정상적인 헤모글로빈 대사
적혈구는 수명이 약 120일로, 수명을 다하거나 손상되면 망상내피계를 통과하는 과정에서 파괴된다. 이때 세포 내용물인 헤모글로빈이 순환계로 방출된다. 대식세포는 유리 헤모글로빈을 포식 작용을 통해 흡수하여 헤미와 글로빈으로 분해한다.헤미 분자는 두 가지 반응을 거친다. 첫 번째 산화(oxidation) 반응은 미소체 효소인 헤미옥시게나아제에 의해 촉매되며, 빌리베르딘(녹색 색소), 철, 일산화탄소를 생성한다. 이후 세포질 효소인 빌리베르딘 환원효소에 의해 빌리베르딘이 노란색의 테트라피롤 색소인 빌리루빈으로 환원된다. 이 빌리루빈은 "비결합형", "유리형", 또는 "간접형" 빌리루빈이다.
매일 혈액 1kg당 약 4mg의 빌리루빈이 생성되는데,[31] 이 중 대부분은 노화된 적혈구의 헤미 분해에서 비롯된다. 그러나 약 20%는 비효율적인 적혈구 생성이나 근육의 미오글로빈, 시토크롬과 같은 다른 헤미 함유 단백질 분해에서 유래한다.[31]
비결합형 빌리루빈은 수용성이 아니기 때문에 혈청 알부민에 결합된 형태로 혈류를 통해 간으로 이동한다.
신생아에게는 생리적 황달이라는 용어가 있듯이, 황달이 나타나더라도 정상적인 상태가 있다. 이는 신생아의 생리학적 특징으로 이해된다. 태아기에는 간 기능이 미숙하기 때문에 태아 간은 거의 글루쿠론산 결합을 하지 않는다. 태아기에는 태반에서 모체혈에 물에 녹지 않는 비결합형 빌리루빈을 전달함으로써 고빌리루빈혈증을 예방하고 있다. 출생 후에는 HbF의 분해에 의한 빌리루빈 생성과 간 기능 미숙이 겹쳐 생리적 황달이 발생한다고 생각된다. '''신생아 황달'''은 신생아에게 나타나는 황달이다. 병태는 고빌리루빈혈증에 의한다. 빌리루빈에는 물에 녹지 않고, 수명을 다한 적혈구(수명 약 120일)가 파괴되어 알부민을 타고 체순환을 거치는 간접 빌리루빈과, 알부민을 타고 체순환을 거친 간접 빌리루빈이 간세포 내에서 글루쿠론산 결합을 받아 변화된 물에 녹는 직접 빌리루빈의 두 가지가 있다. 신생아 황달은 황달이 보이는 시기에 따른 분류와 황달의 병태에 따른 분류로 나눌수 있다. 시기에 따라 분류하면 조발 황달, 생리적 황달, 지연성 황달의 세 가지로 나눌 수 있다. 병태에 따라 분류하면 고간접 빌리루빈혈증, 고직접 빌리루빈혈증의 두 가지로 나눌 수 있다. 조발 황달은 생후 24시간 이내에 나타나는 황달, 생리적 황달은 생후 2일~2주 정도에 나타나는 황달, 지연성 황달은 생후 2주 이상 나타나는 황달이다.
치료는 대증요법으로 광선요법, 혈장교환 등이 있다.
; 광선요법
: 광선을 쬐어 혈중 빌리루빈을 분해하는 치료법이다. 광선에 의해 소변으로의 배출을 촉진한다. 이 치료법은 비결합형 빌리루빈을 저하시키는 목적으로만 사용할 수 있으며, 결합형 빌리루빈이 높으면 브론즈베이비 증후군(bronze baby syndrome)을 일으키므로 금기이다. 적응은 총 빌리루빈 값이 17을 초과한 경우이다.
; 교환 수혈
: 혈중 항체 및 항체와 결합한 적혈구를 교환함으로써 근치적으로 중증 황달(신생아 용혈성 질환=모자간 혈액형 부적합)을 치료한다. 요골동맥에 유치 카테터를 삽입하여 거기서 사혈하여 전혈의 2배의 교환 혈액을 말초 정맥에 주입하여 교환 수혈을 실시한다.
; 혈장 교환
: 핵황달에서는 총 빌리루빈 값이 20을 초과한 경우 적응이 된다.
; 감마글로불린 점적 요법
: 약 30년 전부터 시작된 이 치료법은 교환 수혈 이상의 효과가 있음에도 불구하고, 최근에야 주목받아 교환 수혈의 빈도는 크게 감소하고 있다. 그러나, 보건복지부는 건강보험 적용을 승인하지 않고 있다.
4. 2. 황달 발생 기전
황달은 헤모글로빈 대사 과정 중 어느 한 단계에서 이상이 발생하여 혈액 내 빌리루빈 수치가 증가하면서 발생한다.황달은 일반적으로 헤모글로빈 대사의 정상적인 생리적 경로에서 발생하는 병리적 과정 때문에 나타난다.
적혈구는 수명이 약 120일이 지나거나 손상되면 망상내피계를 거치면서 파괴되고, 헤모글로빈을 포함한 세포 내용물이 순환계로 방출된다. 대식세포는 유리 헤모글로빈을 포식 작용으로 흡수하여 헤미와 글로빈으로 분해한다. 헤미 분자는 두 가지 반응을 거친다. 첫 번째 산화 반응은 미소체 효소인 헤미옥시게나아제에 의해 촉매되어 빌리베르딘(녹색 색소), 철, 일산화탄소를 생성한다. 다음 단계는 세포질 효소인 빌리베르딘 환원효소에 의해 빌리베르딘이 노란색 테트라피롤 색소인 빌리루빈으로 환원되는 것이다. 이 빌리루빈은 "비결합형", "유리형", 또는 "간접형" 빌리루빈으로 불린다. 매일 혈액 1kg당 약 4mg의 빌리루빈이 생성되는데,[31] 이 중 대부분은 노화된 적혈구의 헤미 분해에서 비롯된다. 약 20%는 비효율적인 적혈구 생성이나 근육의 미오글로빈, 시토크롬 등 다른 헤미 함유 단백질 분해에서 유래한다.[31] 비결합형 빌리루빈은 수용성이 아니므로 혈청 알부민에 결합된 형태로 혈액을 통해 간으로 이동한다.
간에 도착한 미결합 빌리루빈은 간 효소인 UDP-글루쿠로닐 전이효소에 의해 글루쿠론산과 결합하여 빌리루빈 디글루쿠로나이드(결합 빌리루빈)가 된다. 결합 빌리루빈은 수용성이므로 담낭으로 배설된다.
빌리루빈은 담즙을 통해 장관으로 들어간다. 장에서 빌리루빈은 공생 장내 세균에 의해 우로빌리노겐으로 전환된다. 대부분의 우로빌리노겐은 스테르코빌리노겐으로 전환된 후 산화되어 스테르코빌린이 된다. 스테르코빌린은 대변을 통해 배설되어 특징적인 갈색을 띠게 한다.[32] 소량의 우로빌리노겐은 위장관 세포로 재흡수된다. 재흡수된 우로빌리노겐 대부분은 간담도 재순환을 거치고, 일부는 신장으로 여과된다. 소변에서 우로빌리노겐은 우로빌린으로 전환되어 특징적인 노란색을 띠게 한다.[32]
황달의 병태생리는 빌리루빈 생성 증가(이상 헤모글로빈 대사) 또는 빌리루빈 배설 감소(이상 헤모글로빈 배설)를 유발하는 질환으로 분류하여 이해할 수 있다.
비장 내 대식세포는 순환 중인 노화되거나 손상된 적혈구를 제거한다. 적혈구 내 헤모글로빈은 헤모글로빈과 글로빈으로 분해된다. 헤모글로빈 분해는 대식세포에 의해 시작된다. 헤모글로빈의 포르피린 고리는 헤모옥시게나제에 의해 녹색 빌리베르딘으로 분해된다. 두 번째 반응으로 빌리베르딘은 빌리베르딘 환원효소에 의해 노란색 빌리루빈으로 환원된다.
헤모글로빈 분해로 생성된 빌리루빈은 수용성이 낮은 비결합형 빌리루빈(간접 빌리루빈)으로, 혈장 내 단백질인 알부민과 결합하여 혈장으로 방출되어 간으로 운반된다. 간에서 글루쿠론산 결합을 받아 결합형 빌리루빈(직접 빌리루빈)이 되어 담즙 속으로 방출되고, 담관을 통해 십이지장으로 분비된다. 담즙의 주성분은 담즙산(콜산 등)이다.
십이지장으로 분비된 결합형 빌리루빈은 소장 장내 세균에 의해 탈결합되어 비결합형 빌리루빈이 된다. 이 비결합형 빌리루빈은 장내 세균에 의해 환원되어 우로빌리노겐이 된다. 우로빌리노겐은 소장에서 재흡수되어 소변으로 배설되거나, 흡수되지 않은 우로빌리노겐은 장내 세균에 의해 스테르코빌리노겐을 거쳐 갈색 스테르코빌린으로 변화하여 대변으로 배설된다. 이러한 경로에 이상이 생기면 고빌리루빈혈증이 발생한다.
장관 내 비결합형 빌리루빈과 우로빌리노겐은 장간 순환을 통해 혈액으로 돌아간다. 우로빌리노겐은 소변으로 배출될 수 있다. 담도 폐쇄 시에는 소변 내 우로빌리노겐이 음성이 되는 병적인 소견이 나타난다. 소변 내 빌리루빈은 결합형 빌리루빈을 측정하는 것이다. 물에 녹지 않는 비결합형 빌리루빈은 신장에서 여과되지 않는다. 소변 내 빌리루빈은 담도 폐쇄 등 직접 빌리루빈(결합형 빌리루빈)이 증가하는 질환에서 관찰된다.
고빌리루빈혈증으로 황달이 발생하는 이유는 노란색 빌리루빈이 조직에 침착하여 노랗게 되기 때문이다. 빌리루빈은 탄력섬유와 친화성이 높아 피부, 공막, 혈관 등 탄력섬유가 풍부한 조직에 침착한다. 특히 공막과 친화성이 높아 황달 검사는 안구 결막 색깔로 진행한다. 황변은 조직 침착을 반영하므로 혈액 생화학 데이터보다 변동이 늦다.
빌리루빈 조직 침착 중 대뇌 기저핵에 침착되는 핵황달(빌리루빈 뇌병증)이 중요하다. 이는 비결합형 빌리루빈 중 알부민에 결합하지 않은 빌리루빈이 침착하는 것이다. 신생아에게 발생하는 질환으로, 젖을 먹지 않고 모로 반사가 소실되는 등의 증상으로 시작하여 경련이나 후궁 반장을 일으킨다.
5. 진단
황달의 진단에는 간 기능 검사를 포함한 다양한 검사 방법이 사용된다. 황달을 보이는 대부분의 사람들은 간 패널 이상의 다양하고 예측 가능한 패턴을 보이지만, 상당한 변이가 존재한다.[36] 일반적인 간 패널에는 아미노트랜스퍼라제(ALT, AST), 알칼리성 인산가수분해효소(ALP), 빌리루빈, 총 단백질, 알부민 수치 등이 포함된다. 이 외에도 감마-글루타밀 트랜스펩티다아제(GGT)와 프로트롬빈 시간(PT) 검사가 간 기능 평가에 활용된다.[36]
다양한 황달의 종류를 단일 검사만으로 구별하기는 어렵기 때문에, 간 기능 검사 결과와 다른 신체 검사 소견을 종합하여 진단을 내리는 것이 필수적이다.[37]

초음파, CT 스캔, HIDA 스캔과 같은 의료 영상 기법은 담관 폐쇄 여부를 확인하는 데 유용하다.[40]
5. 1. 혈액 검사
황달 진단을 위해서는 혈액 검사가 필요하다. 일반적인 간 패널에는 간에서 주로 발견되는 효소의 혈중 수치 (아미노트랜스퍼라제 (ALT, AST), 알칼리성 인산가수분해효소 (ALP)), 황달을 유발하는 빌리루빈 (총 빌리루빈, 직접 빌리루빈, 간접 빌리루빈), 총 단백질, 알부민 수치가 포함된다.[36] 간 기능에 대한 추가 검사로는 감마-글루타밀 트랜스펩티다아제 (GGT)와 프로트롬빈 시간 (PT)이 있다.[36]어떤 단일 검사만으로는 다양한 황달을 분류할 수 없으므로, 간 기능 검사와 기타 신체 검사 결과를 종합해야 진단이 가능하다.[37]
ALP와 GGT 수치는 한 패턴으로 상승하고, 아스파르트산 아미노전이효소 (AST)와 알라닌 아미노전이효소 (ALT)는 다른 패턴으로 상승한다. ALP (10–45 IU/L)와 GGT (18–85 IU/L) 수치가 AST (12–38 IU/L)와 ALT (10–45 IU/L) 수치만큼 비례적으로 높으면 담즙 정체, AST와 ALT의 상승이 ALP와 GGT의 상승보다 훨씬 높다면 간 문제가 의심된다.
AST 수치가 ALT보다 높은 것은 간염을 제외한 대부분의 간 질환에서 나타나며, 알코올성 간 손상의 경우 ALT 수치는 정상에 가깝고 AST는 ALT보다 10배 높을 수 있다. ALT가 AST보다 높으면 간염을 나타낸다. ALT와 AST 수치는 간 손상 정도와는 큰 관련이 없지만, 매우 높은 수치에서 급격히 감소하면 심한 괴사를 의미할 수 있다. 알부민 수치가 낮으면 만성 질환일 가능성이 높고, 간염과 담즙 정체에서는 정상 수치를 보인다.
AST:ALT 비율은 알코올성 간 손상(10 이상), 다른 형태의 간 손상(1 이상), 간염(1 미만) 여부를 파악하는 지표가 될 수 있다. 정상보다 10배 이상 높은 빌리루빈 수치는 종양성 또는 간내 담즙 정체를, 이보다 낮은 수치는 간세포 원인을 나타낼 수 있다. 정상보다 15배 이상 높은 AST 수치는 급성 간세포 손상을, 이보다 낮은 수치는 폐쇄성 원인을 시사한다. 정상보다 5배 이상 높은 ALP 수치는 폐쇄를, 정상보다 10배 이상 높은 수치는 약물(독소) 유발 담즙 정체성 간염 또는 거대세포바이러스 감염을 나타낼 수 있다. 이 두 상태 모두 ALT와 AST가 정상보다 20배 이상 높을 수 있다. 정상보다 10배 이상 높은 GGT 수치는 담즙 정체를, 5~10배 수치는 바이러스성 간염을, 정상보다 5배 미만의 수치는 약물 독성을 나타낼 수 있다. 급성 간염은 ALT와 AST 수치가 정상보다 20~30배(1000 이상) 상승하며, 수 주 동안 높은 수치를 유지할 수 있다. 아세트아미노펜 독성은 ALT와 AST 수치가 정상보다 50배 이상 높아질 수 있다.
- 소변 검사: 직접 빌리루빈 존재, 우로빌리노겐은 2 단위 이상이나 변수가 있다(영유아 제외).
- 혈장 단백질 변화: 혈장 알부민 수치는 낮지만, 항체 생성 증가로 글로불린이 증가한다.
간접 빌리루빈은 소수성이므로 소변으로 배설되지 않는다. 소변에 빌리루빈이 없고(비결합) 우로빌리노겐이 증가하면 용혈성 황달을 의심할 수 있다.[39] 용혈성 빈혈은 헤모글로빈 대사 증가로 우로빌리노겐이 2단위보다 커진다(유아는 장내 세균총 미발달로 예외). 직접 빌리루빈은 친수성이므로 소변에서 검출(빌리루빈뇨)되지만, 간접 빌리루빈은 그렇지 않다.[40]
잠재성 황달 (고빌리루빈혈증)혈청 빌리루빈이 정상치를 초과하지만 육안으로 황달이 나타나지 않는 경우이다.
빌리루빈에 대한 혈액검사 참고 기준치는 다음과 같다.
아황달안구 결막에만 황색이 나타나는 상태이다.
현성황달피부와 점막의 황색 변화(총 빌리루빈 2~3mg/dL)가 나타나는 상태이다.
5. 2. 영상 검사
초음파, CT 스캔, HIDA 스캔과 같은 의료 영상 기법은 담관 폐쇄를 감지하는 데 유용하다.[40]
6. 치료
황달의 치료는 원인 질환에 따라 다르다.[9] 담관 폐쇄가 있는 경우에는 일반적으로 수술이 필요하지만, 그렇지 않은 경우에는 약물 치료가 이루어진다.[9][42][43][44] 고빌리루빈혈증에는 현재 치료법이 없으며, 신생아 황달의 경우에는 광선요법이나 교환수혈이 시행될 수 있다.
1789년 천명(天明) 연간의 『식품국가(食品國歌)』에는 "시지미(シジミ)가 황달을 치료하고 술독을 푼다"라고 적혀 있으며, 시지미 국이 황달을 치료한다고 알려져 있다.[71][72]
6. 1. 간 전성 황달
전간성 황달은 가장 흔하게 적혈구 용혈의 병적인 증가율에 의해 발생한다. 적혈구의 파괴 증가 → 비결합 혈청 빌리루빈 증가 → 점막 조직으로의 비결합 빌리루빈 침착 증가.[21] 다음 질환은 적혈구 용혈 증가로 인해 황달을 유발할 수 있다.[22]- 겸상 적혈구 빈혈[23]
- 구상 적혈구 증[24]
- 탈라세미아[25]
- 피루브산 키나아제 결핍증
- 포도당-6-인산 탈수소효소 결핍증
- 미세혈관 병성 용혈성 빈혈
- 용혈성 요독 증후군
- 심한 말라리아 (풍토병 지역)
6. 2. 간성 황달
간성 황달은 간에서 빌리루빈 대사가 비정상적으로 이루어져 발생한다.[26] 간성 황달의 주요 원인은 감염, 약물/의약품 유발, 자가면역 원인으로 인한 간세포의 심각한 손상 또는 드물게 유전 질환 때문이다.[27] 황달의 간 원인에는 다음과 같은 것들이 있다.[28]
- 급성 간염
- 만성 간염
- 간독성
- 간경변
- 약물 유발성 간염
- 알코올성 간 질환
- 길버트 증후군 (인구의 약 5%에서 발견되며, 경도의 황달을 유발함)
- 크리글러-나자르 증후군 I형
- 크리글러-나자르 증후군 II형
- 레프토스피라증
6. 3. 간 후성 황달
담관결석증(총담관 담석)은 간 후성 황달의 가장 흔한 원인이다.[29] 이 외에도 췌장 머리 부분의 췌장암, 담도 협착, 담도폐쇄, 원발성 담즙성 담관염, 임신성 담즙울체증, 급성 췌장염, 만성 췌장염, 췌장 가성낭종, Mirizzi 증후군, 기생충(간흡충과 같은 Opisthorchiidae과 및 Fasciolidae과) 등에 의해 간 후성 황달이 발생할 수 있다.[30]담관 폐쇄가 있는 경우에는 일반적으로 수술이 필요하지만, 그렇지 않은 경우에는 약물 치료가 이루어진다.[9][42][43][44]
7. 합병증
비정상적으로 높은 빌리루빈혈증, 보다 정확히는 비결합형 빌리루빈의 증가는 빌리루빈이 뇌 회색질에 축적되어 중추 신경계에 돌이킬 수 없는 신경 손상을 일으켜 핵황달이라는 상태를 유발할 수 있다. 노출 수준에 따라 그 영향은 미미한 것부터 심각한 뇌 손상, 심지어 사망에 이르기까지 다양하다. 신생아는 특히 빌리루빈혈증으로 인한 신경 손상에 취약하므로 혈청 빌리루빈 수치의 변화를 주의 깊게 모니터링해야 한다.
실질성 간 질환을 앓고 있는 사람 중 지혈 기능이 손상된 사람은 출혈 문제가 발생할 수 있다.[45]
황달의 말기 증상은 BBB가 미숙한 신생아의 경우 핵황달, 성인의 경우에는 빌리루빈의 미토콘드리아에 대한 침착에 의한 다장기부전이다.
8. 신생아 황달
신생아 황달은 신생아에게 흔히 나타나는 증상으로, 대부분 생리적 황달이다. 빌리루빈 수치가 높아져 발생하며, 빌리루빈에는 물에 녹지 않는 간접 빌리루빈과 간에서 글루쿠론산과 결합하여 물에 녹는 직접 빌리루빈이 있다.
신생아 황달은 발생 시기에 따라 조발 황달(출생 후 24시간 이내), 생리적 황달(출생 후 2일~2주), 지연성 황달(2주 이상 지속)로 나뉜다. 생리적 황달은 태아 헤모글로빈(HbF)이 파괴되고 신생아의 간 기능이 미숙하여 발생하며, 보통 2주 이내에 사라진다.[52] 출생 후 24시간 이내에 나타나거나 2주 이상 지속되는 황달은 병적인 원인을 의심해야 한다.
치료법으로는 광선요법, 교환 수혈, 혈장 교환 등이 있다. 광선요법은 빛을 쬐어 빌리루빈을 분해하는 것으로, 비결합형 빌리루빈 수치를 낮추는 데 효과적이다.
8. 1. 원인
영아 황달의 가장 흔한 원인은 생리적 황달이다. 신생아 황달의 병적 원인에는 다음이 포함된다.[52]- 조제분유 황달
- 유전성 구상 적혈구증
- 포도당-6-인산 탈수소효소 결핍증
- 피루브산 키나아제 결핍증
- ABO/Rh 혈액형 자가항체
- 알파-1-안티트립신 결핍증
- 알라질 증후군
- 진행성 가족성 간내 담즙 정체증
- 피크노사이토시스
- 크레틴병
- 패혈증 또는 기타 감염성 원인
생리적 황달은 출생 후 2일~2주 정도에 나타나는 정상적인 황달이다. 태아 헤모글로빈(HbF)이 파괴되는 용혈과, 그 결과 발생하는 빌리루빈을 처리하는 능력(글루쿠론산 포합능)이 신생아는 미숙하기 때문에 발생한다. 출생 후 3~5일에 증강하고, 2주 이내에 소실된다. 따라서 출생 후 24시간 이내에 나타나거나, 2주 이상 경과해도 소실되지 않는 경우는 병적 황달을 고려한다.
신생아 황달은 신생아에게 나타나는 황달로, 고빌리루빈혈증에 의해 발생한다. 빌리루빈에는 물에 녹지 않는 간접 빌리루빈(수명을 다한 적혈구가 파괴되어 알부민과 결합하여 체순환)과, 간접 빌리루빈이 간세포 내에서 글루쿠론산 결합을 받아 물에 녹는 형태로 변화된 직접 빌리루빈이 있다.
신생아 황달은 발생 시기와 병태에 따라 분류할 수 있다. 시기에 따라서는 조발 황달(생후 24시간 이내), 생리적 황달(생후 2일~2주), 지연성 황달(생후 2주 이상)로 나뉜다. 병태에 따라서는 고간접 빌리루빈혈증, 고직접 빌리루빈혈증으로 나뉜다.
8. 2. 증상
황달의 가장 흔한 증상은 눈의 흰자위(결막)와 피부가 노랗게 변색되는 것이다.[13] 혈청 빌리루빈 수치가 3mg/dl 이상이면 결막 황달이 나타난다.[20] 다른 흔한 증상으로는 소변 색이 진해지거나(빌리루빈뇨), 창백하고 기름진 변(지방변)이 있다.[14] 빌리루빈은 피부 자극 물질이기 때문에 황달은 심한 가려움증과 흔히 동반된다.[15][16]
눈의 결막은 엘라스틴 함량이 높아 빌리루빈이 특히 많이 축적된다. 따라서 혈청 빌리루빈이 약간만 증가해도 결막의 황변을 통해 조기에 황달을 발견할 수 있다. "눈의 흰자위"가 노랗게 변하는 현상을 정확하게는 결막 황달이라고 한다.[17]
드물게 소아에게서 이가 노랗거나 녹색으로 변하는 황달 증상이 나타나기도 한다. 이는 발달 중인 어린이의 치아 형성 과정 중 빌리루빈이 축적되어 나타나는 현상이다.[18] 고빌리루빈혈증이 있는 어린이에게서 나타날 수 있지만, 성인에게서는 관찰되지 않는다. 초기 발달 과정에서 결합형 빌리루빈의 혈청 수치 상승과 관련된 질환은 치아 저형성증을 유발할 수도 있다.[19]
신생아 황달은 피부와 공막의 황변으로 나타난다. 신생아 황달은 머리에서 시작하여 몸통과 하지로 퍼지는 양상을 보인다.[51] 심한 경우 얼굴과 목에 먼저 나타난 후 몸통과 하지로 퍼진다. 다른 증상으로는 졸음, 수유 부진이 있으며, 심한 경우 비결합형 빌리루빈이 혈액-뇌 장벽을 통과하여 영구적인 신경 손상(핵황달)을 유발할 수 있다.
피부 가려움증은 빌리루빈이 직접적인 원인인 경우에 나타난다. 안구결막황달은 눈의 결막이 황색으로 변하는 것이다. 혈중 빌리루빈 농도가 3mg/dl 이상이 되면 나타난다.
황달의 말기 증상은 신생아의 경우 핵황달, 성인의 경우에는 빌리루빈의 미토콘드리아 침착에 의한 다장기부전이다.
8. 3. 치료
신생아 황달의 치료는 혈청 빌리루빈 수치가 4~21 mg/dL (68~360 μmol/L)를 초과하는 경우, 영아의 나이와 미숙아 여부에 따라 광선요법 또는 교환 수혈로 치료할 수 있다.[10]; 광선요법
: 광선을 쬐어 혈중 빌리루빈을 분해하는 치료법이다. 광선에 의해 소변으로의 배출을 촉진한다. 이 치료법은 비결합형 빌리루빈을 저하시키는 목적으로만 사용할 수 있으며, 결합형 빌리루빈이 높으면 브론즈베이비 증후군(bronze baby syndrome)을 일으키므로 금기가 된다. 총 빌리루빈 값이 17을 초과한 경우에 적용된다. 초기 치료에는 종종 빌리라이트(bili light)를 사용하며, 이는 아기를 집중적인 광선요법에 노출시키는 것으로, 간헐적이거나 지속적일 수 있다.[57][58]
; 교환 수혈
: 혈중 항체 및 항체와 결합한 적혈구를 교환함으로써 근치적으로 중증 황달(모자간 혈액형 부적합)을 치료한다. 요골동맥에 유치 카테터를 삽입하여 거기서 사혈하여 전혈의 2배의 교환 혈액을 말초 정맥에 주입하여 교환 수혈을 실시한다.
; 혈장 교환
: 핵황달에서는 총 빌리루빈 값이 20을 초과한 경우 적응이 된다.
; 감마글로불린 점적 요법
: 약 30년 전부터 시작된 이 치료법은 교환 수혈 이상의 효과가 있음에도 불구하고, 최근에야 주목받아 교환 수혈의 빈도는 크게 감소하고 있다. 그러나, 보건복지부는 건강보험 적용을 승인하지 않고 있다.
9. 역학
성인에서 황달은 드물다.[46][47][48] 영국의 5년 DISCOVERY 프로그램에 따르면, 45세 이상 성인의 황달 연간 발생률은 1000명당 0.74명이었지만, 이 프로그램의 주요 목표가 인구의 암 데이터를 수집하고 분석하는 것이었기 때문에 이 수치는 약간 과장되었을 수 있다.[49] 황달은 질병의 중증도와 흔히 관련이 있으며, 중환자실(ICU)에서 치료받는 환자의 최대 40%가 황달을 경험한다.[48] 중환자실에서 황달의 원인은 황달이 중환자실 입원의 주요 원인이거나 기저 질환(예: 패혈증)의 합병증으로 나타나는 경우 모두 포함된다.[48]
선진국에서는 담즙관 폐쇄나 약물 유발이 황달의 가장 흔한 원인이다. 개발도상국에서는 바이러스성 간염, 렙토스피라증, 주혈흡충증 또는 말라리아와 같은 감염이 황달의 가장 흔한 원인이다.[7]
10. 기타
황달은 '노란색'을 뜻하는 프랑스어 jaune프랑스어와 '황색 질환'을 뜻하는 jaunisse프랑스어에서 유래했다. 의학 용어는 그리스어 에서 온 ''icterus''이다.[62] ''icterus''라는 용어는 때때로 공막의 황달을 특히 가리키는 데 잘못 사용되기도 한다.[62][63] 또한 노란가슴솔새(''Icteria virens'')의 과학적 이름에도 언급되어 있는데, 이 새의 모습이 황달을 치료한다고 믿었기 때문이다.[64]
카로티노혈증은 손바닥과 발바닥의 피부가 황색으로 변색되지만 공막이나 구강 내부는 변색되지 않는 무해한 질환이다.[41] 피부의 황색 변색은 고구리혈증에서도 드물게 발생할 수 있는데, 이는 윌슨병 또는 다른 대사 이상 때문일 수 있다. 마찬가지로, 홍채 가장자리에 금색 고리가 나타날 수 있다(--).
황달은 다음 질환과 감별해야 한다.
- 감귤류 과다 섭취 증후군: 감귤류 과다 섭취 증후군에서는 안구 결막 황달이 약하다.
- 노화에 따른 안구 황변: 노화에 따른 안구 황변은 지방 조직의 축적으로 인한 것으로, 중심부에 강하다.
- 황달: 비교적 초기에 안구 결막 주변부에 황달이 나타난다.
참조
[1]
서적
Kochar's Clinical Medicine for Students
Lippincott Williams & Wilkins
2009
[2]
서적
Jaundice
https://medlineplus.[...]
2016-08-13
[3]
서적
Primary Care: A Collaborative Practice
https://books.google[...]
Elsevier Health Sciences
2012
[4]
서적
Internal Medicine
2017
[5]
학술지
Hereditary Contribution to Neonatal Hyperbilirubinemia
Elsevier
2017
[6]
학술지
Jaundice associated {{sic|hide=y|pruritis}}: a review of pathophysiology and treatment
2015-02
[7]
서적
Oxford Textbook of Primary Medical Care
https://books.google[...]
Oxford University Press
2004
[8]
학술지
Diagnostic approach to the patient with jaundice
2011-09
[9]
서적
Ferri's Clinical Advisor 2015: 5 Books in 1
https://books.google[...]
Elsevier Health Sciences
2014
[10]
학술지
Managing the jaundiced newborn: a persistent challenge
2015-03
[11]
서적
Dr. Chase's Family Physician, Farrier, Bee-keeper, and Second Receipt Book: Being an Entirely New and Complete Treatise ...
https://books.google[...]
Chase Publishing Company
1873
[12]
서적
Pediatric Gastrointestinal and Liver Disease
Elsevier
2011
[13]
학술지
A Systematic Approach to Patients with Jaundice
2016-12
[14]
서적
Primary care medicine : office evaluation and management of the adult patient
https://books.google[...]
Wolters Kluwer Health/Lippincott Williams & Wilkins
2009
[15]
서적
Andrews' diseases of the skin : clinical dermatology
Saunders Elsevier
2006
[16]
학술지
Jaundice associated pruritis: a review of pathophysiology and treatment
2015-02
[17]
서적
Evidence-Based Physical Diagnosis
Elsevier
2018
[18]
서적
Oral and Maxillofacial Pathology
Elsevier
[19]
학술지
Unconjugated hyperbilirubinemia and early childhood caries in a diverse group of neonates
2010-05
[20]
서적
Textbook of Clinical Gastroenterology and Hepatology
John Wiley & Sons, Ltd
2012
[21]
서적
StatPearls
StatPearls Publishing
2022-04-23
[22]
웹사이트
What causes jaundice in hemolytic anemia?
https://www.medscape[...]
2022-04-26
[23]
웹사이트
What Is Sickle Cell Disease?
http://www.nhlbi.nih[...]
2015-06-12
[24]
서적
Hematology in clinical practice: a guide to diagnosis and management
https://books.google[...]
McGraw-Hill Professional
2010-11-15
[25]
웹사이트
Thalassemia
https://www.lecturio[...]
2021-07-27
[26]
서적
StatPearls
http://www.ncbi.nlm.[...]
StatPearls Publishing
2022-04-23
[27]
서적
StatPearls
StatPearls Publishing
2022-04-23
[28]
서적
Merck Manual. Professional Version
https://www.merckman[...]
Merck
2022-04-12
[29]
웹사이트
Bilirubin Metabolism – an overview {{!}} ScienceDirect Topics
https://www.scienced[...]
2022-04-23
[30]
웹사이트
CDC – Liver Flukes
https://www.cdc.gov/[...]
2020-06-05
[31]
학술지
Jaundice in older children and adolescents
2001-07
[32]
서적
Bilirubin
CRC Press
2018
[33]
서적
Medicine: Prep Manual for Undergraduates
Elsevier India
2008
[34]
서적
Textbook of Medical Physiology
Saunders/Elsevier
2011
[35]
학술지
ABC of diseases of liver, pancreas, and biliary system. Investigation of liver and biliary disease
2001-01
[36]
웹사이트
Liver Function Tests
https://medlineplus.[...]
US National Library of Medicine
2021-01-16
[37]
논문
Jaundice in the Adult Patient
https://www.aafp.org[...]
2020-09-22
[38]
서적
Oxford Handbook of Clinical Diagnosis
https://books.google[...]
Oxford University Press
2014
[39]
웹사이트
Bilirubin and Jaundice
https://litfl.com/bi[...]
2019-04-21
[40]
논문
Jaundice in the adult patient
2004-01
[41]
EMedicine
Carotenemia
[42]
논문
Obstructive jaundice and perioperative management
2014-03
[43]
서적
Management of Benign Biliary Stenosis and Injury
2015
[44]
논문
Management of Malignant Biliary Obstruction
2016-12
[45]
서적
Oral and Maxillofacial Pathology
Elsevier
[46]
서적
Mount Sinai Expert Guides: Hepatology
https://books.google[...]
John Wiley & Sons
2014
[47]
논문
Fate of patients with obstructive jaundice
2008-03
[48]
논문
Jaundice in the intensive care unit
2006-12
[49]
논문
Jaundice in primary care: a cohort study of adults aged >45 years using electronic medical records
2012-08
[50]
논문
Serum bilirubin levels in the U.S. population: gender effect and inverse correlation with colorectal cancer
2004-10
[51]
서적
Nelson Pediatric Symptom-Based Diagnosis
Elsevier
2018
[52]
논문
Is breastfeeding really favoring early neonatal jaundice?
2001-03
[53]
논문
Managing the jaundiced newborn: a persistent challenge
2015-03
[54]
서적
Oxford Handbook of Clinical Specialties
Oxford University Press
[55]
웹사이트
Facts about Jaundice and Kernicterus
https://www.cdc.gov/[...]
2015-02-23
[56]
논문
An osteopathic approach to reduction of readmissions for neonatal jaundice
[57]
논문
Intermittent phototherapy versus continuous phototherapy for neonatal jaundice
2023-03
[58]
웹사이트
Bili Lights for Jaundice: Effectiveness for Neonatal and Adults {{!}} Heliotherapy Research Institute
https://heliotherapy[...]
[59]
논문
Home- versus hospital-based phototherapy for the treatment of non-haemolytic jaundice in infants at more than 37 weeks' gestation
2014-06
[60]
논문
Sunlight for the prevention and treatment of hyperbilirubinemia in term and late preterm neonates
2021-07
[61]
논문
Increased vigilance needed to prevent kernicterus in newborns
http://aapnews.aappu[...]
2001-05
[62]
웹사이트
Definition of Icterus
http://www.medterms.[...]
MedicineNet.com
[63]
웹사이트
Icterus | Define Icterus at Dictionary.com
http://dictionary.re[...]
2013-12-23
[64]
논문
True Colors
http://archderm.jama[...]
2015-06-01
[65]
문서
Derived from mass values using molar mass of 585g/mol
[66]
서적
First Aid for the USMLE Step 1 2008 (First Aid for the Usmle Step 1)
McGraw-Hill Medical
[67]
문서
Reference range list from Uppsala University Hospital ("Laborationslista"). Artnr 40284 Sj74a. Issued on April 22, 2008
2008-04-22
[68]
웹사이트
Normal Reference Range Table
http://pathcuric1.sw[...]
[69]
문서
Derived from molar values using molar mass of 585g/mol
[70]
웹사이트
Blood Test Results - Normal Ranges
http://www.bloodbook[...]
[71]
웹사이트
しじみ
https://www.town.oto[...]
大任町
2024-06-24
[72]
웹사이트
オルニチンの秘密(1)江戸っ子も実感 シジミの効能
https://www.sankei.c[...]
産経新聞
2024-06-24
[73]
서적
Textbook of Medical Physiology
Saunders
2005
본 사이트는 AI가 위키백과와 뉴스 기사,정부 간행물,학술 논문등을 바탕으로 정보를 가공하여 제공하는 백과사전형 서비스입니다.
모든 문서는 AI에 의해 자동 생성되며, CC BY-SA 4.0 라이선스에 따라 이용할 수 있습니다.
하지만, 위키백과나 뉴스 기사 자체에 오류, 부정확한 정보, 또는 가짜 뉴스가 포함될 수 있으며, AI는 이러한 내용을 완벽하게 걸러내지 못할 수 있습니다.
따라서 제공되는 정보에 일부 오류나 편향이 있을 수 있으므로, 중요한 정보는 반드시 다른 출처를 통해 교차 검증하시기 바랍니다.
문의하기 : help@durumis.com
