교모세포종
"오늘의AI위키"의 AI를 통해 더욱 풍부하고 폭넓은 지식 경험을 누리세요.
1. 개요
교모세포종은 뇌에서 발생하는 악성 종양으로, 발작, 두통, 기억 상실 등의 증상을 동반한다. 원인은 불분명하며, 이온화 방사선 노출이 위험 요소로 알려져 있다. 진단은 MRI, CT 등의 영상 검사와 조직 검사를 통해 이루어지며, 뇌종양의 분류 및 분자적 특성 분석이 중요하다. 치료는 수술, 방사선 치료, 화학 요법을 병행하며, 종양 전기장 치료 및 바이러스 요법 등의 새로운 치료법도 연구되고 있다. 예후는 매우 불량하며, 생존 기간은 짧고 재발이 흔하다.
더 읽어볼만한 페이지
- 뇌종양 - 신경아세포종
신경아세포종은 주로 소아에게 발생하는 교감신경계 종양으로, 초기 증상이 모호하여 진단이 어렵고 전이를 동반하는 경우가 많으며, 임상 양상, 현미경 소견, 생화학적 검사, 영상 검사 등을 종합하여 진단하고, 위험군에 따라 다양한 치료법을 적용하며, 맞춤형 치료법 개발 연구가 진행 중이다. - 뇌종양 - 뇌실막세포종
뇌실막세포종은 뇌실과 척수를 덮는 뇌실막세포에서 기원하여 5세에서 35세 사이에서 주로 발생하며 뇌척수액 흐름을 막아 두통, 메스꺼움, 구토, 수두증 등을 유발하는 종양으로, 수술적 절제와 방사선 치료를 통해 치료한다. - 빈 문단이 포함된 문서 - 광주고등법원
광주고등법원은 1952년에 설치되어 광주광역시, 전라남도, 전북특별자치도, 제주특별자치도를 관할하며, 제주와 전주에 원외재판부를 두고 있다. - 빈 문단이 포함된 문서 - 1502년
1502년은 율리우스력으로 수요일에 시작하는 평년으로, 이사벨 1세의 이슬람교 금지 칙령 발표, 콜럼버스의 중앙아메리카 해안 탐험, 바스쿠 다 가마의 인도 상관 설립, 크리미아 칸국의 킵차크 칸국 멸망, 비텐베르크 대학교 설립, 최초의 아프리카 노예들의 신대륙 도착 등의 주요 사건이 있었다.
| 교모세포종 | |
|---|---|
| 개요 | |
![]() | |
| 분야 | 신경 종양학, 신경외과학 |
| 증상 | 초기에는 비특이적, 두통, 성격 변화, 구역질, 뇌졸중과 유사한 증상 |
| 발병 연령 | ~64세 |
| 원인 | 일반적으로 불분명함 |
| 위험 요인 | 유전 질환 (신경 섬유종증, 리-프라우메니 증후군), 이전 방사선 치료 |
| 진단 | CT 촬영, MRI 촬영, 조직 생검 |
| 예방 | 알려진 바 없음 |
| 치료 | 수술, 화학 요법, 방사선 치료 |
| 약물 | 테모졸로마이드, 스테로이드 |
| 예후 | 치료 시 기대 수명 ~ 12개월 (5년 생존율 <10%) |
| 빈도 | 연간 10만 명당 3명 |
| 상세 정보 | |
| 학문 분야 | 신경 종양학, 신경외과학 |
| 기타 명칭 | 교모세포종 다형 |
| 외부 링크 | |
| 온라인 정보 | 성인 교모세포종 치료 (미국 국립암연구소) 뇌종양 등록 중앙 |
| 참고 문헌 | |
| 추가 정보 | 출처 필요 |
2. 징후와 증상
흔한 증상으로는 발작, 두통, 메스꺼움과 구토, 기억 상실, 성격, 기분 또는 집중력의 변화, 국소적인 신경학적 문제 등이 있다.[17] 나타나는 증상의 종류는 종양의 병리학적 특성보다는 위치에 더 많이 의존한다. 종양은 빠르게 증상을 나타낼 수 있지만, 때로는 매우 커질 때까지 무증상 상태로 있다가 발견되기도 한다.[18]
급속하게 증대하는 종양에 의한 두개 내압 항진 증상이 나타난다. 첫 증상은 두통이 많다. 다른 뇌종양과 마찬가지로 아침에 심한 두통이 나타나는 경우가 많다(morning headache). 그 외에 운동 마비, 경련, 지남력 저하 등이 나타난다.
2. 1. 일반적인 증상
흔한 증상으로는 발작, 두통, 메스꺼움과 구토, 기억 상실, 성격, 기분 또는 집중력의 변화, 국소적인 신경학적 문제 등이 있다.[17] 나타나는 증상의 종류는 종양의 병리학적 특성보다는 위치에 더 많이 의존한다. 종양은 빠르게 증상을 나타낼 수 있지만, 때로는 매우 커질 때까지 무증상 상태로 있다가 발견되기도 한다.[18]급속하게 증대하는 종양에 의한 두개 내압 항진 증상이 나타난다. 첫 증상은 두통이 많다. 다른 뇌종양과 마찬가지로 아침에 심한 두통이 나타나는 경우가 많다(morning headache). 그 외에 운동 마비, 경련, 지남력 저하 등이 나타난다.
2. 2. 증상의 발현
교모세포종의 흔한 증상으로는 발작, 두통, 메스꺼움과 구토, 기억 상실, 성격, 기분 또는 집중력의 변화, 국소적인 신경학적 문제 등이 있다.[17] 나타나는 증상의 종류는 종양의 병리학적 특성보다는 위치에 더 많이 의존한다. 종양은 빠르게 증상을 나타낼 수 있지만, 때로는 매우 커질 때까지 무증상 상태로 있다가 발견되기도 한다.[18]급속하게 증대하는 종양에 의한 두개 내압 항진 증상이 나타난다. 첫 증상은 두통이 많으며, 다른 뇌종양과 마찬가지로 아침에 심한 두통이 나타나는 경우가 많다(morning headache). 그 외에 운동 마비, 경련, 지남력 저하 등이 나타난다.
3. 발생 관련 위험 요소
대부분의 경우 원인은 불분명하다.[4] 가장 잘 알려진 위험 요소는 이온화 방사선 노출이며, CT 스캔 방사선이 중요한 원인이다.[19][20] 약 5%는 특정 유전 증후군에서 발생한다.[17]
드물게는 신경섬유종증, 리-프라우메니 증후군, 결절 경화증, 투르코 증후군과 같은 유전 질환이 위험 요소로 작용한다.[17] 과거 방사선 치료 또한 위험 요소이다.[4] 알려지지 않은 이유로 남성에게 더 흔하게 발생한다.[21]
흡연, 살충제 노출, 정유 공장 또는 합성 고무 제조 분야에서의 근무 등은 교모세포종과 관련이 있는것으로 알려져 있다.[17] 교모세포종은 SV40,[22] HHV-6,[23][24] 및 거대세포바이러스(CMV)와 관련이 있다.[25] 종양 발생 CMV에 감염되는 것이 교모세포종 발병에 필요할 수도 있다.[26][27]
절인 고기 섭취, 포름알데히드 노출, 휴대폰 및 가정 내 전기 배선과 같은 주거 전자기장 등이 위험 요인으로 연구되었으나, 2015년 현재 교모세포종을 유발하는 것으로 나타나지 않았다.[17][29][30]
3. 1. 알려진 위험 요소
드물게는 신경섬유종증, 리-프라우메니 증후군, 결절 경화증, 투르코 증후군과 같은 유전 질환이 위험 요소로 작용한다.[17] 과거 방사선 치료 또한 위험 요소이다.[4] 알려지지 않은 이유로 남성에게 더 흔하게 발생한다.[21] 흡연, 살충제 노출, 정유 공장 또는 합성 고무 제조 분야에서의 근무 등도 관련이 있다.[17]교모세포종은 SV40,[22] HHV-6,[23][24] 및 거대세포바이러스 (CMV)와 관련이 있다.[25] 종양 발생 CMV에 감염되는 것이 교모세포종 발병에 필요할 수도 있다.[26][27] 호발 연령은 45~79세이며 중년 이후에 많이 발생한다. 남성이 여성보다 약간 더 많다(1.4배). 원발성 뇌종양의 약 9.0%를 차지한다. 전두엽에 가장 많고, 다음으로 측두엽, 두정엽에 호발한다.
3. 2. 논란이 있는 위험 요소
흡연, 살충제 노출, 정유 공장 또는 합성 고무 제조 분야에서의 근무 등은 교모세포종과 관련이 있는것으로 알려져 있다.[17] 교모세포종은 SV40,[22] HHV-6,[23][24] 및 거대세포바이러스(CMV)와 관련이 있다.[25] 종양 발생 CMV에 감염되는 것이 교모세포종 발병에 필요할 수도 있다.[26][27]절인 고기 섭취, 포름알데히드 노출, 휴대폰 및 가정 내 전기 배선과 같은 주거 전자기장 등이 위험 요인으로 연구되었으나, 2015년 현재 교모세포종을 유발하는 것으로 나타나지 않았다.[17][29][30]
3. 3. 예방
교모세포종을 예방할 수 있는 알려진 방법은 없다. 다른 일부 암과 달리, 대부분의 신경교종은 특별한 징후 없이 발생하며, 이를 예방할 수 있는 알려진 방법도 없다.[65]4. 질병 발생 기전
교모세포종의 세포 기원은 알려져 있지 않다. 신경교 세포와 교모세포종의 면역 염색 유사성 때문에, 교모세포종과 같은 신경교종은 오랫동안 뇌실 하 구역에서 발견되는 신경교 세포형 줄기세포에서 기원하는 것으로 추정되었다. 보다 최근의 연구에 따르면 별세포, 희소돌기아교세포 전구 세포 및 신경 줄기 세포 모두 기원 세포 역할을 할 수 있다.[31][32]
교모세포종은 대개 대뇌 백질에서 형성되며, 빠르게 성장하고 증상을 나타내기 전에 매우 커질 수 있다. 뇌에서 신경교 세포의 기능은 뉴런을 지원하는 것이므로, 이들은 분열하고, 확대되며, 뉴런과 혈관을 따라 세포 돌기를 연장할 수 있다. 일단 암세포가 되면, 이 세포들은 뇌의 기존 경로를 따라 퍼지기 쉽고, 전형적으로 백질 경로, 혈관 및 혈관 주위 공간을 따라 퍼진다.[33] 종양은 수막 또는 뇌실 벽으로 확장되어 뇌척수액(CSF)의 단백질 함량이 높고(> 100 mg/dl), 때때로 10~100개의 세포, 대부분 림프구의 세포 증가증을 유발할 수 있다. CSF에 실린 악성 세포는 (드물게) 척수로 퍼지거나 수막 신경교종증을 유발할 수 있다. 그러나 GBM이 중추 신경계를 넘어 전이되는 것은 매우 드물다. 약 50%의 GBM은 반구의 두 개 이상의 엽을 차지하거나 양측성이다. 이러한 유형의 종양은 대개 대뇌에서 발생하며, 뇌량을 가로지르는 고전적인 침윤을 보이며 나비 모양(양측성) 신경교종을 생성할 수 있다.[34]
뇌종양 분류는 전통적으로 육안 수준에서 헤마톡실린-에오신 염색을 통해 측정한 조직 병리학을 기반으로 해왔다. 세계 보건 기구는 1979년에 첫 번째 표준 분류를 발표했으며[35], 그 이후로 계속해오고 있다. 2007년 세계 보건 기구의 중추신경계 종양 분류[36]는 주로 현미경적 특징을 기반으로 한 마지막 분류였다. 새로운 2016년 세계 보건 기구의 중추신경계 종양 분류[37]는 패러다임의 전환을 가져왔다: 일부 종양은 세포 형태뿐만 아니라 유전적 구성에 의해서도 정의되었다.
2021년, 세계 보건 기구의 중추신경계 종양 분류 제5판이 발표되었다. 이 업데이트에서는 이차성 교모세포종의 분류가 삭제되었고, 해당 종양은 별세포종, IDH 변이, 등급 4로 재분류되었다. 이제 IDH 야생형 종양만이 교모세포종으로 분류된다.[38]
교모세포종(GBM)은 형태와 기능이 파괴된 비정상적인 혈관의 특징을 보인다.[58] 혈관의 높은 투과성과 빈약한 관류는 종양 내에서 무질서한 혈류를 초래하며, 이는 저산소증을 증가시키고, 면역 억제와 같은 과정을 촉진하여 암의 진행을 돕는다.[58][59]
급속한 종양 증대로 인해 매우 빠르게 진행된다. 수 주 단위로 증상이 악화되는 경우도 나타난다.
4. 1. 세포 기원
세계 보건 기구는 1979년에 뇌종양의 첫 번째 표준 분류를 발표했으며[35], 2007년 분류[36]는 현미경적 특징을 주로 기반으로 하였다. 2016년 분류[37]에서는 세포 형태뿐만 아니라 유전적 구성에 의해서도 종양을 정의하는 변화가 있었다.2021년에 발표된 세계 보건 기구 중추신경계 종양 분류 제5판에서는 이차성 교모세포종 분류가 삭제되었고, 해당 종양은 별세포종, IDH 변이, 등급 4로 재분류되었다. 이에 따라 IDH 야생형 종양만이 교모세포종으로 분류된다.[38] 교모세포종(IDH 야생형, WHO 4)은 별세포에서 기원하며[39], 진단 시 중간 연령은 약 62세이다.[39]
신경교 세포(주로 별아교 세포)에서 기원하는 악성 종양 중, 극도로 미분화되어 증식 능력이 높은 것을 교모세포종이라 한다. 종양은 출혈을 동반하는 경우가 많으며, 종양 내부에 괴사 덩어리가 관찰되기도 한다. 종양 세포는 원형, 방추형 등 다양한 형태를 가지며, 크기가 일정하지 않다.
4. 2. 종양의 성장 및 확산
교모세포종은 급속한 종양 증대로 인해 매우 빠르게 진행된다. 수 주 단위로 증상이 악화되는 경우도 나타난다.4. 3. 분자적 이상
현재 교모세포종은 유전자 발현을 기반으로 고전적(Classical), 전신경성(proneural), 중간엽(mesenchymal)의 세 가지 분자 아형으로 분류된다.[40] 고전적 아형은 상피 성장 인자 수용체(`EGFR`) 유전자의 증폭과 높은 발현을 보이며, `TP53`(p53) 돌연변이는 드물게 나타난다.[41] 염색체 7 증폭과 함께 염색체 10의 이형접합성 소실이 자주 관찰된다.[42] 전신경성 아형은 `TP53`(p53)와 `PDGFRA` 유전자의 높은 변이율을 보인다.[43] 중간엽 아형은 뉴로피브로민 1을 암호화하는 `NF1` 유전자의 높은 변이율 또는 기타 변이와 낮은 `EGFR` 유전자 변이 및 발현을 특징으로 한다.[44] 초기 유전자 발현 분석에서는 네 번째 신경 아형이 발견되었으나, 추가 분석 결과 정상 세포에 의한 오염으로 밝혀졌다.[43][40]교모세포종에서는 RB와 PI3K/AKT의 두 가지 주요 경로에 집중된 유전자 변이가 다수 보고되었다.[45] 교모세포종의 68–78%와 88%가 각각 이 경로에 변이를 보인다.[1] 또한, MGMT의 메틸화는 DNA 전사를 손상시켜 DNA 복구 능력을 저하시키며,[62][46] 이는 테모졸로마이드와 같은 화학요법에 대한 반응 개선과 관련이 있다.[47]
분자 조사를 통해 교모세포종 발달에 세 가지 뚜렷한 경로가 확인되었다.[49] 첫 번째 경로는 수용체 티로신 키나아제(RTK) 유전자의 증폭 및 돌연변이 활성화를 통해 성장 인자 신호 전달 장애를 유발한다. 상피 성장 인자(EGF), 혈관 내피 성장 인자(VEGF), 혈소판 유래 성장 인자(PDGF) 등이 RTK에 의해 인식된다.[49] 두 번째 경로는 세포 생존을 제어하는 PI3K/AKT/mTOR 신호 전달 시스템을 활성화한다.[49] 세 번째 경로는 p53 및 Rb 종양 억제 경로 비활성화로 정의된다.[49]
4. 4. 뇌종양 줄기 유사 세포
교모세포종의 종양세포에서는 유사줄기세포의 특성이 확인되었고 기존치료에 대한 저항성 또는 높은 재발률의 원인으로 추정된다.[50] 이 교모세포종 줄기-유사 세포는 미세혈관의 주변에 존재한다. 교모세포종에서 전구 세포와 유사한 특성을 가진 세포(교모세포종 암 줄기 세포)가 발견되었다. 교모세포종 암 줄기 세포는 신경 전구 세포와 유사점을 보이며, 두 세포 모두 표면 수용체 CD133을 발현한다.[51] CD44 역시 교모세포종 종양 세포의 일부에서 암 줄기 세포 마커로 사용될 수 있다.[52] 교모세포종 암 줄기 세포는 DNA 손상 반응의 상향 조절에 의해, 적어도 부분적으로 방사선 치료 및 화학 요법에 대한 향상된 내성을 나타내는 것으로 보인다.[53]4. 5. 대사
IDH1 유전자는 효소 이소시트르산 탈수소효소 1을 암호화하며 교모세포종에서는 변이되지 않는다. 따라서 이러한 종양은 IDH1 변이 별세포종에 비해 더 공격적인 경향을 보인다.[46]4. 6. 이온 통로
교모세포종은 이온 통로를 암호화하는 유전자에서 수많은 변이를 보인다. 여기에는 gBK 칼륨 채널과 ClC-3 염소 채널의 상향 조절이 포함된다. 이러한 이온 통로의 상향 조절은 교모세포종 종양 세포가 세포막을 통한 이온 이동을 촉진하여 삼투 현상을 통해 H2O 이동을 증가시키는 것으로 추정된다. 이는 교모세포종 세포가 세포 부피를 매우 빠르게 변화시키는 데 도움을 주며, 뇌의 구불구불한 세포외 기질을 통한 이동을 촉진하여 교모세포종의 공격적인 침습적 행동에 기여한다.4. 7. 마이크로 RNA (miRNA)
2012년 기준으로, RNA 간섭(일반적으로 마이크로 RNA)은 교모세포종의 조직 배양, 병리학적 표본, 전임상 동물 모델에서 연구되고 있었다.[55] 실험적 관찰에 따르면 마이크로 RNA-451은 배양된 신경교종 세포에서 LKB1/AMPK 신호 전달의 핵심 조절 인자이며[56], miRNA 클러스터링이 이 질병의 후성 유전적 경로를 제어하는 것으로 나타났다.[57]5. 진단
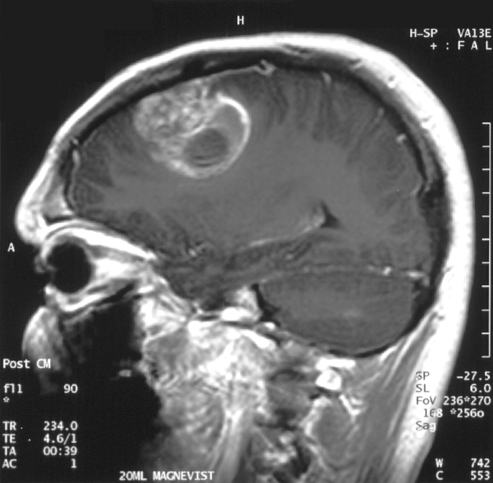
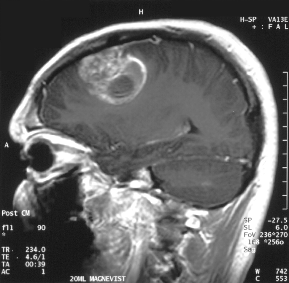
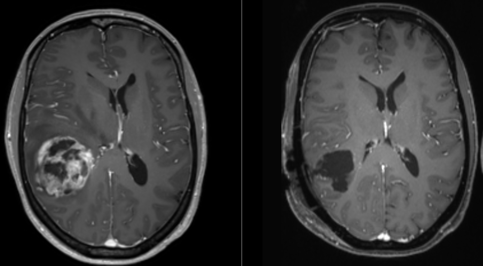
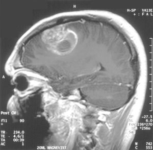
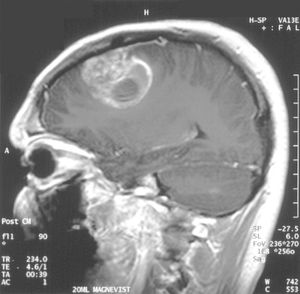
MRI로 볼 때, 교모세포종은 종종 환상 강화 병변으로 나타난다. 그러나 농양, 전이, 종괴성 다발성 경화증 등도 유사한 모습을 보일 수 있어 이 모습만으로는 특정할 수 없다.[61] CT 또는 MRI에서 교모세포종으로 의심되는 질환의 확진은 정위 생검 또는 종양 절제 및 병리적 확인을 위한 개두술이 필요하다. 종양 등급은 종양의 가장 악성인 부분에 기반하므로, 생검 또는 아전 절제술은 병변의 등급을 낮게 평가하는 결과를 초래할 수 있다.

관류 MRI를 사용하여 종양 혈류를 영상화하고 MR 분광법으로 종양 대사물 농도를 측정하는 것은 각각 상대적 뇌혈류량 증가 및 콜린 피크 증가를 보여줌으로써 특정 경우에 표준 MRI에 진단적 가치를 더할 수 있지만, 병리학적 검사는 진단 및 분자적 특성 규명에 대한 금본위적 방법으로 남아있다.

교모세포종과 고등급 별세포종을 구별하는 것은 환자의 예후 및 치료를 결정하는 데 매우 중요하다.[62][63] 교모세포종은 예후가 더 나쁘고 종양 생물학이 다르며 치료에 대한 반응도 다를 수 있으므로 환자의 예후 및 치료를 결정하는 데 매우 중요한 평가가 된다.[1] 별세포종은 ''IDH1'' 또는 ''IDH2''의 돌연변이를 가지고 있지만, 교모세포종에는 이러한 돌연변이가 존재하지 않는다. 따라서 ''IDH1'' 및 ''IDH2'' 돌연변이는 조직병리학적으로 유사하며 분자 바이오마커가 없이는 구별하기 어려운 교모세포종과 별세포종을 구별하는 데 유용하다.[46] IDH 야생형 교모세포종은 일반적으로 IDH 돌연변이 저등급 별세포종보다 낮은 ''OLIG2'' 발현을 보인다.[64]
기존 저등급 신경교종이 없고, 비중앙선 종양 위치를 가지며, 핵 ATRX 발현을 유지하는, 조직학적으로 전형적인 교모세포종을 가진 55세 이상의 환자에서는 IDH1 R132H에 대한 면역조직화학적 음성이 IDH 야생형 교모세포종으로 분류하기에 충분하다.[60] 다른 모든 경우의 미만성 신경교종에서는 IDH1 R132H 면역양성이 나타나지 않으면, 비정형 돌연변이의 존재를 감지하거나 배제하기 위해 IDH1 및 IDH2 DNA 서열 분석을 수행해야 한다.[60] 미세혈관 증식 또는 괴사가 없는 IDH 야생형 미만성 별세포 신경교종의 경우, IDH 야생형 교모세포종의 분자적 특성인 EGFR 증폭, TERT 프로모터 돌연변이 및 +7/–10 염색체 지표에 대한 검사를 받아야 한다.[60]
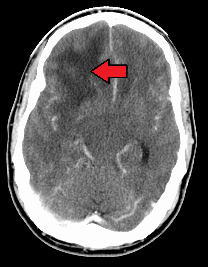
; CT
: 단순 CT에서는 종양 실질이 고흡수역, 주변의 괴사부나 낭포는 저흡수역으로 조영된다. 조영제를 사용한 조영 CT에서는 종양 실질이 불균일하게 증강된다.
; MRI
: T1 강조 영상에서는 종양이 약간 저신호역, T2 강조 영상에서는 종양과 그 주변의 뇌부종이 고신호역이 된다. 가돌리늄을 사용한 조영 MRI에서는 종양의 변연이 고신호역이 되는 한편, 종양 내부는 괴사 등을 반영하여 저~고신호역이 뒤섞인 영상이 되는 경우가 많다. 이 소견을 링 강화라고 칭한다. 또한, 링 강화는 교모세포종에 특이적인 소견이 아니며, 뇌농양, 전이성 뇌종양 등이 감별로서 거론되는 경우가 많다.
임상 증상으로부터 뇌종양을 의심하고, CT나 MRI의 결과를 바탕으로 확진한다.
5. 1. 영상 검사
MRI로 볼 때, 교모세포종은 종종 환상 강화 병변으로 나타난다. 그러나 농양, 전이, 종괴성 다발성 경화증 등도 유사한 모습을 보일 수 있어 이 모습만으로는 특정할 수 없다.[61] CT 또는 MRI에서 교모세포종으로 의심되는 질환의 확진은 정위 생검 또는 종양 절제 및 병리적 확인을 위한 개두술이 필요하다. 종양 등급은 종양의 가장 악성인 부분에 기반하므로, 생검 또는 아전 절제술은 병변의 등급을 낮게 평가하는 결과를 초래할 수 있다.관류 MRI를 사용하여 종양 혈류를 영상화하고 MR 분광법으로 종양 대사물 농도를 측정하는 것은 각각 상대적 뇌혈류량 증가 및 콜린 피크 증가를 보여줌으로써 특정 경우에 표준 MRI에 진단적 가치를 더할 수 있지만, 병리학적 검사는 진단 및 분자적 특성 규명에 대한 금본위적 방법으로 남아있다.
교모세포종과 고등급 별세포종을 구별하는 것은 환자의 예후 및 치료를 결정하는 데 매우 중요하다.[62][63] 별세포종은 ''IDH1'' 또는 ''IDH2''의 돌연변이를 가지고 있지만, 교모세포종에는 이러한 돌연변이가 존재하지 않는다. 따라서 ''IDH1'' 및 ''IDH2'' 돌연변이는 분자 바이오마커가 없이는 구별하기 어려운 교모세포종과 별세포종을 구별하는데 유용하다.[46]
기존 저등급 신경교종이 없고, 비중앙선 종양 위치를 가지며, 핵 ATRX 발현을 유지하는, 조직학적으로 전형적인 교모세포종을 가진 55세 이상의 환자에서는 IDH1 R132H에 대한 면역조직화학적 음성이 IDH 야생형 교모세포종으로 분류하기에 충분하다.[60]
- CT: 단순 CT에서는 종양 실질이 고흡수역, 주변의 괴사부나 낭포는 저흡수역으로 조영된다. 조영제를 사용한 조영 CT에서는 종양 실질이 불균일하게 증강된다.
- MRI: T1 강조 영상에서는 종양이 약간 저신호역, T2 강조 영상에서는 종양과 그 주변의 뇌부종이 고신호역이 된다. 가돌리늄을 사용한 조영 MRI에서는 종양의 변연이 고신호역이 되는 한편, 종양 내부는 괴사 등을 반영하여 저~고신호역이 뒤섞인 영상이 되는 경우가 많다. 이 소견을 링 강화라고 칭한다. 또한, 링 강화는 교모세포종에 특이적인 소견이 아니며, 뇌농양, 전이성 뇌종양 등이 감별로서 거론되는 경우가 많다.
5. 2. 조직 검사
MRI에서 교모세포종은 종종 환상 강화 병변으로 나타나지만, 농양, 전이, 종괴성 다발성 경화증 등과 유사하여 이 모습만으로는 특정할 수 없다.[61] CT 또는 MRI에서 교모세포종(GBM)으로 의심되는 질환의 확진은 정위 생검 또는 종양 절제 및 병리적 확인을 위한 개두술이 필요하다. 종양 등급은 종양의 가장 악성인 부분에 기반하므로, 생검 또는 아전 절제술은 병변의 등급을 낮게 평가할 수 있다. 관류 MRI를 사용하여 종양 혈류를 영상화하고 MR 분광법으로 종양 대사물 농도를 측정하는 것은 각각 상대적 뇌혈류량 증가 및 콜린 피크 증가를 보여줌으로써 특정 경우에 표준 MRI에 진단적 가치를 더할 수 있지만, 병리학적 검사는 진단 및 분자적 특성 규명에 대한 금본위적 방법으로 남아있다.교모세포종과 고등급 별세포종을 구별하는 것은 환자의 예후 및 치료를 결정하는 데 매우 중요하다.[62][63] 교모세포종은 예후가 더 나쁘고 종양 생물학이 다르며 치료에 대한 반응도 다를 수 있다.[1] 별세포종은 ''IDH1'' 또는 ''IDH2''의 돌연변이를 가지고 있지만, 교모세포종에는 이러한 돌연변이가 존재하지 않는다. 따라서 ''IDH1'' 및 ''IDH2'' 돌연변이는 조직병리학적으로 유사하며 분자 바이오마커가 없이는 구별하기 어려운 교모세포종과 별세포종을 구별하는 데 유용하다.[46] IDH 야생형 교모세포종은 일반적으로 IDH 돌연변이 저등급 별세포종보다 낮은 ''OLIG2'' 발현을 보인다.[64]
기존 저등급 신경교종이 없고, 비중앙선 종양 위치를 가지며, 핵 ATRX 발현을 유지하는, 조직학적으로 전형적인 교모세포종을 가진 55세 이상의 환자에서는 IDH1 R132H에 대한 면역조직화학적 음성이 IDH 야생형 교모세포종으로 분류하기에 충분하다.[60] 다른 모든 경우의 미만성 신경교종에서는 IDH1 R132H 면역양성이 나타나지 않으면, 비정형 돌연변이의 존재를 감지하거나 배제하기 위해 IDH1 및 IDH2 DNA 서열 분석을 수행해야 한다.[60] 미세혈관 증식 또는 괴사가 없는 IDH 야생형 미만성 별세포 신경교종의 경우, IDH 야생형 교모세포종의 분자적 특성인 EGFR 증폭, TERT 프로모터 돌연변이 및 +7/–10 염색체 지표에 대한 검사를 받아야 한다.[60]
- CT: 단순 CT에서는 종양 실질이 고흡수역, 주변의 괴사부나 낭포는 저흡수역으로 조영된다. 조영제를 사용한 조영 CT에서는 종양 실질이 불균일하게 증강된다.
- MRI: T1 강조 영상에서는 종양이 약간 저신호역, T2 강조 영상에서는 종양과 그 주변의 뇌부종이 고신호역이 된다. 가돌리늄을 사용한 조영 MRI에서는 종양의 변연이 고신호역이 되는 한편, 종양 내부는 괴사 등을 반영하여 저~고신호역이 뒤섞인 영상이 되는 경우가 많다. 이 소견을 링 강화라고 칭한다. 링 강화는 교모세포종에 특이적인 소견이 아니며, 뇌농양, 전이성 뇌종양 등이 감별로서 거론되는 경우가 많다.
임상 증상으로부터 뇌종양을 의심하고, CT나 MRI의 결과를 바탕으로 확진한다.
진료과는 신경외과, 신경내과가 담당한다.
6. 치료
교모세포종은 다음과 같은 특성으로 치료가 매우 어렵지만 치료방법이 있다.
- 종양세포가 기존 치료법에 저항한다.
- 뇌는 기존 치료법으로 손상되기 쉽다.
- 뇌는 자체적으로 회복할 수 있는 능력이 제한적이다.
- 많은 약물이 종양에 작용하기 위해 혈액뇌 장벽을 통과할 수 없다.[66]
교모세포종의 치료는 수술적 치료, 표준요법 항암방사선 동시치료(테모졸로마이드-방사선 복합치료) 그리고 표준요법 항암치료 순서로 진행된다. 환자의 상태와 세부 진단에 따라 추가적인 치료가 고려될 수 있다.

원발성 뇌종양 치료는 증상 완화를 위한 완화 치료와 생존율 개선을 위한 치료로 구성된다. 교모세포종은 침윤성이 있어 정상 조직과의 경계가 불분명하여 완전 절제가 불가능하므로, 근치적 치료법은 없다. 수술로 최대한 종양을 제거한 후 방사선 치료나 화학 요법을 병용하는 것이 일반적이며, 현재 화학 요법은 테모졸로미드를 주로 사용한다.
최근에는 [https://www.ted.com/talks/bill_doyle_treating_cancer_with_electric_fields 종양 전기장 치료]를 도입하는 시설도 늘고 있다. 도쿄 대학 의과학 연구소는 단순 헤르페스 바이러스를 이용한 바이러스 요법을 연구하여 유전자를 변형한 "G47Δ"가 2021년 재생 의료 제품으로 승인되었다.[123][124]
6. 1. 일반적인 치료 원칙
교모세포종은 치료가 매우 어렵지만, 수술, 항암화학요법, 방사선 치료 등을 병행하여 치료한다. 치료의 어려움은 다음과 같은 요인에 기인한다.[66]- 종양 세포의 치료 저항성
- 정상 뇌 조직의 손상 가능성
- 뇌의 제한적인 회복 능력
- 약물의 혈액뇌 장벽 통과 어려움
교모세포종의 일반적인 치료는 수술적 치료, 표준요법 항암방사선 동시치료(테모졸로마이드-방사선 복합치료) 그리고 표준요법 항암치료 순서로 진행된다. 환자의 상태와 세부 진단에 따라 추가적인 치료가 고려될 수 있다.
원발성 뇌종양 치료는 증상 완화를 위한 완화 치료와 생존율 개선을 위한 치료로 구성된다. 지지 요법은 항경련제와 코르티코스테로이드를 사용하여 증상을 완화하고 신경 기능을 개선한다.[67]
- 항경련제는 발작 예방을 위해 사용되지만, 모든 환자에게 필요한 것은 아니다. 페니토인과 방사선 치료를 병행할 경우 다형 홍반, 스티븐스-존슨 증후군과 같은 심각한 피부 반응이 나타날 수 있다.
- 코르티코스테로이드(주로 덱사메타손)는 종양 주변 부종을 줄여 두개 내압을 낮추고 두통, 졸음 등의 증상을 완화한다.
교모세포종은 침윤성이 있어 정상 조직과의 경계가 불분명하여 완전 절제가 불가능하므로, 근치적 치료법은 없다. 수술로 최대한 종양을 제거한 후 방사선 치료나 화학 요법을 병용하는 것이 일반적이며, 현재 화학 요법은 테모졸로미드를 주로 사용한다.[123][124]
최근에는 [https://www.ted.com/talks/bill_doyle_treating_cancer_with_electric_fields 종양 전기장 치료]를 도입하는 시설도 늘고 있다. 도쿄 대학 의과학 연구소는 단순 헤르페스 바이러스를 이용한 바이러스 요법을 연구하여 유전자를 변형한 "G47Δ"가 2021년 재생 의료 제품으로 승인되었다.
6. 2. 치료 방법
교모세포종은 종양세포의 강한 저항성, 정상 뇌조직 손상 가능성, 뇌의 제한적인 회복 능력, 약물의 뇌혈관장벽 통과 어려움 등으로 치료가 매우 어렵다.[66] 치료는 수술, 표준요법 항암방사선 동시치료(테모졸로마이드-방사선 복합치료), 표준요법 항암치료 순서로 진행되며, 환자 상태에 따라 추가적인 치료가 고려될 수 있다.1차 치료는 수술이며, 종양을 최대한 많이 제거하는 것이 효과적이다.[68] 글리올란(5-aminolevulinic aicd), 수술용 네비게이션 시스템 등을 사용하여 종양제거정도를 늘리고, 수술 중 모니터링이나 각성수술방법을 통해 환자의 신경학적 기능을 보존한다. 교모세포종은 뇌조직 침윤성이 높아 완전 제거 후에도 재발 가능성이 높아 항암치료와 방사선치료가 필요하다.[72]

수술 후에는 테모졸로미드(테모달) 병행 방사선 치료가 주요 치료법이다.[78] 1970년대 연구에 따르면 방사선 치료를 받은 환자의 중앙 생존 기간이 그렇지 않은 환자보다 두 배 이상 길었다.[79] 전뇌 방사선 치료보다는 3차원 입체 조형 방사선 치료가 효과적이며, 총 방사선량 60–65 Gy가 최적이다.[81]

교모세포종 종양은 저산소증을 보이는 조직 구역을 포함하여 방사선 치료에 저항성을 가지므로, 화학 요법 방사선 감작제가 시도되었으나 성공은 제한적이었다. 트랜스 소듐 크로세티네이트와 같은 산소 확산 촉진 화합물을 방사선 감작제로 사용하는 연구가 진행 중이다.[82] [83] 붕소 중성자 포획 치료는 대체 치료법으로 테스트되었지만 일반적으로 사용되지는 않는다.
대부분의 연구에서 화학 요법 추가에 따른 이점은 없었으나, 테모졸로미드 병용 치료는 생존 기간을 연장시키는 것으로 나타났다.[78][84] 이 치료법은 현재 임상 시험에 참여하지 않는 대부분의 교모세포종 환자에게 표준으로 사용된다.[85][86] 테모졸로미드는 ''MGMT'' 프로모터 메틸화가 있는 종양에 더 효과적이다.[87] 항혈관 신생 치료는 증상 조절에는 도움이 되지만, 전체 생존 기간에는 영향을 미치지 않는 것으로 보인다.[89]
교류 전기장 치료는 FDA 승인을 받은 치료법으로,[92][93] 테모졸로마이드와 병용 시 무진행 생존 기간과 전체 생존 기간을 개선하는 것으로 나타났다.[94][95]
최근에는 [https://www.ted.com/talks/bill_doyle_treating_cancer_with_electric_fields 종양 전기장 치료]를 도입한 시설도 늘고 있다.
도쿄 대학 의과학 연구소는 단순 헤르페스 바이러스를 사용한 바이러스 요법을 연구하여, 유전자를 개변한 "G47Δ"가 재생 의료 등 제품으로 2021년에 승인되었다[123][124]。
교모세포종 환자의 60-85%는 수술 후 암 관련 인지 장애를 겪으며,[73][74][75] 이는 인지 행동 치료,[76][74] 신체 운동, 요가 및 명상으로 관리할 수 있다.[76][74][77]
7. 예후
교모세포종은 뇌종양 중에서도 예후가 가장 나쁜 편에 속하며, 모든 악성 종양과 비교해도 최악의 부류에 속한다.[98][99][3] 진단 후 생존 기간은 일반적으로 10~13개월이며, 최근 연구에서는 중앙 생존 기간이 15개월로 보고되기도 한다. 5년 이상 생존하는 환자는 1~3% 미만이다.[4][12][100] 2012년에서 2016년 사이 미국에서 5년 생존율은 6.8%였다.[12] 치료를 받지 않으면 생존 기간은 대개 3개월에 불과하다.[13] 완전한 완치는 매우 드물지만 보고된 사례가 있다.[101][104]
나이가 많을수록(60세 이상) 예후가 좋지 않으며, 사망 원인은 주로 뇌부종과 증가된 두개내압을 동반한 광범위한 종양 침윤이다.[102] 초기 카르노프스키 수행 점수(KPS)가 높고 MGMT 메틸화가 이루어진 경우 생존 기간이 더 길어질 수 있다.[102] ''MGMT'' 유전자의 프로모터 메틸화 여부에 따라 테모졸로마이드에 대한 감수성이 달라지기 때문에, DNA 검사를 통해 이를 확인하기도 한다.[103]
수술, 방사선 치료, 테모졸로마이드 화학 요법을 병행하는 환자에게서 장기적인 생존 이점이 나타나지만,[102] 일부 환자가 더 오래 생존하는 이유에 대해서는 아직 밝혀지지 않은 부분이 많다. 50세 미만의 젊은 환자일수록, 98% 이상의 종양 절제술을 받은 경우, 테모졸로마이드 화학 요법을 사용한 경우, 그리고 KPS가 좋은 경우 더 긴 생존과 관련이 있는 것으로 알려져 있다. 최근 연구에서는 40세 미만의 환자 중 일부에서 인구 기반 완치가 가능하다는 보고도 있다. GBM에서 완치는 10년 후에 사망 위험이 일반 인구 수준으로 돌아갈 때 발생한다고 여겨진다.[104]
UCLA 신경종양학에서는 교모세포종 환자의 실시간 생존 데이터를 제공하고 있다.[105]
2003년 연구에서는 KPS, 환자 연령, 치료법에 따라 GBM 예후를 세 가지 하위 그룹으로 분류했다.[106]
| 재귀적 분할 분석 (RPA) 등급 | 정의 | 과거 중앙 생존 시간 | 과거 1년 생존율 | 과거 3년 생존율 | 과거 5년 생존율 |
|---|---|---|---|---|---|
| III | 50세 미만, KPS ≥ 90 | 17.1개월 | 70% | 20% | 14% |
| IV | 50세 미만, KPS < 90 | 11.2개월 | 46% | 7% | 4% |
| 50세 이상, KPS ≥ 70, 양호한 신경 기능으로 수술 제거 | |||||
| V + VI | 50세 이상, KPS ≥ 70, 수술 제거 없음 | 7.5개월 | 28% | 1% | 0% |
| 50세 이상, KPS < 70 |
교모세포종은 원격 전이는 거의 하지 않고, 주로 뇌 내에서만 전이되는 특징을 보인다. 1년 생존율은 51.6%, 3년 생존율은 13.1%, 5년 생존율은 7.8%이다.
8. 역사
다형성 교모세포종은 1926년 퍼시벌 베일리와 하비 쿠싱에 의해 처음 문헌으로 남겨졌다.[110] 이는 교세포의 전단계로 추정되던 신경아교모세포에서 기원한다는 추정과 종양의 구조가 괴사, 출혈 낭종 등 다양한 모습이 보인다는 것에서 만들어진 이름이다.[110] 현재는 교모세포종이라고 부르지만 이름에서와 달리 외배엽의 기원을 가지고 있다.
9. 연구
교모세포종 치료를 위한 다양한 연구가 활발하게 진행되고 있다. 유전자 치료는 동물 모델과 초기 임상 시험에서 성공적인 결과를 보였지만,[111][112][113] 2017년 기준 3상 임상 시험에서는 실패했다.[111] 과학자들은 효과적인 유전자 전달 및 추적을 위해 코어-쉘 나노구조 LPLNP-PPT(장기 지속 발광 나노입자)를 개발하여 긍정적인 결과를 얻었다.[115] 이는 암세포, 특히 교모세포종의 세포 사멸을 유도하도록 암호화된 TRAIL 리간드이다.[114][115]
자살 유전자 치료를 포함하여 교모세포종과 관련된 다른 유전자 치료 접근법도 연구되었으나, 대규모 임상 연구에서는 생존 이점을 보여주지 못했다.[116] 새로운 전달 벡터와 자살 유전자-프로드러그 시스템을 사용하면 이러한 치료법의 임상적 이점을 개선할 수 있다.[116] 종양용해 바이러스 치료법은 전임상 및 임상 단계에서 모두 연구 중인 새로운 치료법으로 부상하고 있다.[117] 단순 헤르페스 바이러스, 아데노바이러스, 폴리오바이러스, 레오바이러스 등 여러 바이러스가 현재 임상 시험 1상 및 2상에서 시험되고 있으며, 전체 생존율을 향상시키는 것으로 나타났다.[117]
뇌로의 직접적인 약물 전달은 뇌에서 더 높고, 더 효과적인 약물 농도를 달성하기 위한 수단으로 연구되고 있다.[118][119] 브라질에서는 페릴릴 알코올이라는 천연 화합물을 에어로졸 형태로 코를 통해 투여하는 방식이 조사되었고, 고무적인 결과를 얻었다.[118][120][121] 2016년에는 미국에서 유사한 임상 시험이 시작되었다.[122] 한편, 교모세포종에 대한 면역 치료의 3상 임상 시험은 대체로 실패했다.[91]
10. 치료 가이드라인
교모세포종의 치료 가이드라인은 현재 비어있다. 내용을 추가해야 한다.
참조
[1]
논문
Recent advances in the molecular understanding of glioblastoma
2012-05
[2]
논문
Management of glioblastoma: State of the art and future directions
Wiley
2020-07
[3]
논문
Survival comparison between glioblastoma multiforme and other incurable cancers
2010-04
[4]
서적
World Cancer Report 2014
World Health Organization
2014
[5]
논문
Current trends in the surgical management and treatment of adult glioblastoma
2015-06
[6]
서적
World Cancer Report 2014
World Health Organization
2014
[7]
논문
Nonsurgical treatment of recurrent glioblastoma
2015-08
[8]
논문
Temozolomide for high grade glioma
2013-04
[9]
논문
Exciting new advances in neuro-oncology: the avenue to a cure for malignant glioma
2010
[10]
논문
Radiomic Analysis to Predict Histopathologically Confirmed Pseudoprogression in Glioblastoma Patients
2022-02-06
[11]
논문
Effects of radiotherapy with concomitant and adjuvant temozolomide versus radiotherapy alone on survival in glioblastoma in a randomised phase III study: 5-year analysis of the EORTC-NCIC trial
2009-05
[12]
논문
CBTRUS Statistical Report: Primary Brain and Other Central Nervous System Tumors Diagnosed in the United States in 2012–2016
2019-11
[13]
서적
Neurology and clinical neuroscience
https://books.google[...]
Mosby Elsevier
2007
[14]
논문
Epidemiology of Brain Tumors
2016-11
[15]
논문
CBTRUS Statistical Report: Primary Brain and Other Central Nervous System Tumors Diagnosed in the United States in 2013–2017
2020-10
[16]
논문
Survival of adults with primary malignant brain tumours in Europe; Results of the EUROCARE-5 study
2015-10
[17]
논문
Glioblastoma multiforme: Pathogenesis and treatment
2015-08
[18]
논문
Current data and strategy in glioblastoma multiforme
2009-11-25
[19]
논문
Computed tomography scan radiation and brain cancer incidence
2023-07-06
[20]
논문
Exposure to ionizing radiation and brain cancer incidence: The Life Span Study cohort
2016-06
[21]
논문
Population-based studies on incidence, survival rates, and genetic alterations in astrocytic and oligodendroglial gliomas
2005-06
[22]
논문
Simian virus 40 in human cancers
2003-06
[23]
논문
Detection of human herpesvirus-6 variants in pediatric brain tumors: association of viral antigen in low grade gliomas
2009-09
[24]
논문
Human herpesvirus 6 latent infection in patients with glioma
2012-11
[25]
논문
The Viral Connection to Glioblastoma
2017-02
[26]
논문
EZH2-Myc driven glioblastoma elicited by cytomegalovirus infection of human astrocytes
2023-06-09
[27]
논문
Generation of glioblastoma in mice engrafted with human cytomegalovirus-infected astrocytes
2024-03-29
[28]
논문
Dietary cured meat and the risk of adult glioma: a meta-analysis of nine observational studies
2003
[29]
논문
Cellular phone use and brain tumor: a meta-analysis
2008-01
[30]
논문
Epidemiological evidence for an association between use of wireless phones and tumor diseases
2009-08
[31]
논문
The cellular origin for malignant glioma and prospects for clinical advancements
2012-05
[32]
논문
Cell of origin for malignant gliomas and its implication in therapeutic development
2015-01
[33]
논문
Tumor Cell Infiltration into the Brain in Glioblastoma: From Mechanisms to Clinical Perspectives
2022
[34]
논문
MRI evaluation of pathologies affecting the corpus callosum: A pictorial essay
2013-10
[35]
서적
Histological Typing of Tumours of the Central Nervous System
1993
[36]
논문
The 2007 WHO classification of tumours of the central nervous system
2007-08
[37]
논문
The 2016 World Health Organization Classification of Tumors of the Central Nervous System: a summary
2016-06
[38]
논문
The 2021 WHO Classification of Tumors of the Central Nervous System: a summary
2021-08
[39]
논문
The 2021 WHO Classification of Tumors of the Central Nervous System: a summary
2021-08-02
[40]
논문
Tumor Evolution of Glioma-Intrinsic Gene Expression Subtypes Associates with Immunological Changes in the Microenvironment
2017-07
[41]
논문
Genomics boosts brain-cancer work
2010-01
[42]
논문
Biomarkers and therapeutic advances in glioblastoma multiforme
2018-02
[43]
논문
Integrated genomic analysis identifies clinically relevant subtypes of glioblastoma characterized by abnormalities in PDGFRA, IDH1, EGFR, and NF1
2010-01
[44]
논문
Genomics illuminates a deadly brain cancer
2010-03
[45]
논문
Mutational profiling of kinases in glioblastoma
2014-09
[46]
논문
The driver and passenger effects of isocitrate dehydrogenase 1 and 2 mutations in oncogenesis and survival prolongation
2014-12
[47]
논문
MGMT gene silencing and benefit from temozolomide in glioblastoma
2005-03
[48]
논문
Malignant astrocytic glioma: genetics, biology, and paths to treatment
2007-11
[49]
서적
Handbook of Neurosurgery
2016
[50]
논문
Stem cell-related "self-renewal" signature and high epidermal growth factor receptor expression associated with resistance to concomitant chemoradiotherapy in glioblastoma
2008-06
[51]
논문
Making a tumour's bed: glioblastoma stem cells and the vascular niche
2007-10
[52]
서적
Stem Cells Heterogeneity in Cancer
2019
[53]
논문
Chemotherapeutic Drugs: DNA Damage and Repair in Glioblastoma
2017-05
[54]
논문
Ion channels in glioblastoma
2011
[55]
논문
A systematic review of microRNA in glioblastoma multiforme: micro-modulators in the mesenchymal mode of migration and invasion
2013-02
[56]
논문
MicroRNA-451 regulates LKB1/AMPK signaling and allows adaptation to metabolic stress in glioma cells
2010-03
[57]
논문
The functional synergism of microRNA clustering provides therapeutically relevant epigenetic interference in glioblastoma
2019-01
[58]
논문
The glioblastoma vasculature as a target for cancer therapy
https://portlandpres[...]
2014-12
[59]
논문
Normalizing tumor microenvironment to treat cancer: bench to bedside to biomarkers
2013-06
[60]
논문
EANO guidelines on the diagnosis and treatment of diffuse gliomas of adulthood
2021-03
[61]
논문
Patterns of contrast enhancement in the brain and meninges
2007
[62]
논문
The combination of IDH1 mutations and MGMT methylation status predicts survival in glioblastoma better than either IDH1 or MGMT alone
2014-09
[63]
논문
Liquid biopsy and glioblastoma
2023-02
[64]
논문
Isocitrate Dehydrogenase Mutations Are Associated with Different Expression and DNA Methylation Patterns of OLIG2 in Adult Gliomas
2022-08
[65]
웹사이트
Gliomas Prevention
https://cancer.osu.e[...]
Ohio State University
2021-10-09
[66]
논문
Interstitial chemotherapy for malignant gliomas: the Johns Hopkins experience
2007-05
[67]
논문
Antiepileptic therapy in patients with central nervous system malignancies
2006-07
[68]
논문
Angiogenesis in glioblastoma
2013-10
[69]
논문
A multivariate analysis of 416 patients with glioblastoma multiforme: prognosis, extent of resection, and survival
2001-08
[70]
논문
Fluorescence-guided surgery with 5-aminolevulinic acid for resection of malignant glioma: a randomised controlled multicentre phase III trial
2006-05
[71]
논문
Outcomes after combined use of intraoperative MRI and 5-aminolevulinic acid in high-grade glioma surgery
2015-12
[72]
논문
DDRugging glioblastoma: understanding and targeting the DNA damage response to improve future therapies
2022-01
[73]
논문
A systematic review of cognitive function in patients with glioblastoma undergoing surgery
2020-03
[74]
논문
Cognitive Impairment Associated with Cancer: A Brief Review
2018-02
[75]
논문
Prevalence, mechanisms, and management of cancer-related cognitive impairment
2014-02
[76]
논문
Cancer-related cognitive impairment: an update on state of the art, detection, and management strategies in cancer survivors
2019-12
[77]
논문
Cancer, cognitive impairment, and meditation
2009
[78]
논문
Concurrent therapy to enhance radiotherapeutic outcomes in glioblastoma
2016-02
[79]
논문
Evaluation of BCNU and/or radiotherapy in the treatment of anaplastic gliomas. A cooperative clinical trial
1978-09
[80]
논문
Multifocal glioblastoma multiforme: prognostic factors and patterns of progression
2007-11
[81]
논문
Increasing radiation dose intensity using hyperfractionation in patients with malignant glioma. Final report of a prospective phase I-II dose response study
1992-09
[82]
논문
Improving the radiosensitivity of radioresistant and hypoxic glioblastoma
2010-10
[83]
간행물
Safety and Efficacy Study of Trans Sodium Crocetinate (TSC) With Concomitant Radiation Therapy and Temozolomide in Newly Diagnosed Glioblastoma (GBM)
NCT01465347
ClinicalTrialsGov
2016-02-01
[84]
논문
Radiotherapy plus concomitant and adjuvant temozolomide for glioblastoma
2005-03
[85]
논문
Radiotherapy with Concurrent and Adjuvant Temozolomide: A New Standard of Care for Glioblastoma Multiforme
2006
[86]
웹사이트
Temozolomide Plus Radiation Helps Brain Cancer – National Cancer Institute
http://www.cancer.go[...]
2007-09-15
[87]
논문
Early necrosis following concurrent Temodar and radiotherapy in patients with glioblastoma
2007-03
[88]
논문
Dose-intensity temozolomide after concurrent chemoradiotherapy in operated high-grade gliomas
2008-12
[89]
논문
Anti-angiogenic therapy for high-grade glioma
2018-11
[90]
논문
Treatment of newly diagnosed glioblastoma in the elderly: a network meta-analysis
2020-03
[91]
논문
Challenges in glioblastoma immunotherapy: mechanisms of resistance and therapeutic approaches to overcome them
2022-10
[92]
웹사이트
FDA approves expanded indication for medical device to treat a form of brain cancer
https://www.fda.gov/[...]
2016-03-19
[93]
웹사이트
FDA approval letter – NovoTTF-100A System
http://www.accessdat[...]
2014-12-26
[94]
논문
Maintenance Therapy With Tumor-Treating Fields Plus Temozolomide vs Temozolomide Alone for Glioblastoma: A Randomized Clinical Trial
2015-12
[95]
논문
Alternating Electric Fields for the Treatment of Glioblastoma
2015-12
[96]
논문
TTFields: where does all the skepticism come from?
2016-03
[97]
논문
Tumour treating fields therapy for glioblastoma: current advances and future directions
2021-02
[98]
논문
Epidemiology of Glioblastoma Multiforme-Literature Review
2022-05
[99]
논문
Improved survival time trends for glioblastoma using the SEER 17 population-based registries
2012-03
[100]
논문
Long-term survival of patients with glioblastoma multiforme (GBM)
2013-05
[101]
논문
A very rare case report of long-term survival: A patient operated on in 1994 of glioblastoma multiforme and currently in perfect health
2017-02-20
[102]
논문
Long-term survival with glioblastoma multiforme
2007-10
[103]
논문
Frequent hypermethylation of the DNA repair gene MGMT in long-term survivors of glioblastoma multiforme
2007-05
[104]
논문
The cure fraction of glioblastoma multiforme
2012
[105]
웹사이트
University of California, Los Angeles Neuro-Oncology : How Our Patients Perform : Glioblastoma Multiforme [GBM]
http://www.neuroonco[...]
[106]
논문
Reexamining the radiation therapy oncology group (RTOG) recursive partitioning analysis (RPA) for glioblastoma multiforme (GBM) patients
[107]
논문
Geographic Variations in the Incidence of Glioblastoma and Prognostic Factors Predictive of Overall Survival in US Adults from 2004–2013
[108]
논문
Brain Tumours: Rise in Glioblastoma Multiforme Incidence in England 1995–2015 Suggests an Adverse Environmental or Lifestyle Factor
[109]
논문
Geographic Variation in Pediatric Cancer Incidence – United States, 2003–2014
2018-06
[110]
서적
Tumors of the Glioma Group
JB Lippincott, Philadelphia
1926
[111]
논문
Insights into molecular therapy of glioma: current challenges and next generation blueprint
2017-05
[112]
논문
The art of gene therapy for glioma: a review of the challenging road to the bedside
2013-02
[113]
논문
The status of gene therapy for brain tumors
2007-02
[114]
논문
Programming pluripotent precursor cells derived from Xenopus embryos to generate specific tissues and organs
MDPI AG
2010-11
[115]
논문
A Dual-Functional Persistently Luminescent Nanocomposite Enables Engineering of Mesenchymal Stem Cells for Homing and Gene Therapy of Glioblastoma
2017-03
[116]
논문
Suicide gene therapy for the treatment of high-grade glioma: past lessons, present trends, and future prospects
2020-01-01
[117]
논문
Oncolytic Viruses for Malignant Glioma: On the Verge of Success?
2021-07
[118]
논문
Formulations for Intranasal Delivery of Pharmacological Agents to Combat Brain Disease: A New Opportunity to Tackle GBM?
2013-08
[119]
논문
Direct nose to brain drug delivery via integrated nerve pathways bypassing the blood-brain barrier: an excellent platform for brain targeting
2013-07
[120]
논문
A systematic review of inhaled intranasal therapy for central nervous system neoplasms: an emerging therapeutic option
2014-02
[121]
논문
Preclinical development and clinical use of perillyl alcohol for chemoprevention and cancer therapy
2015
[122]
ClinicalTrialsGov
Safety and Efficacy Study in Recurrent Grade IV Glioma
[123]
뉴스
ウイルスの力でがん撃退/東大発 逆転の発想の治療法
https://mainichi.jp/[...]
毎日新聞
2023-06-01
[124]
웹사이트
世界初の脳腫瘍ウイルス療法が承認~東大発のアカデミア主導創薬で新しいがん治療モダリティ実用化~
https://www.ims.u-to[...]
東京大学医科学研究所
2023-06-01
[125]
저널 인용
Recent advances in the molecular understanding of glioblastoma
[126]
서적 인용
World Cancer Report 2014
https://archive.org/[...]
World Health Organization
2014
본 사이트는 AI가 위키백과와 뉴스 기사,정부 간행물,학술 논문등을 바탕으로 정보를 가공하여 제공하는 백과사전형 서비스입니다.
모든 문서는 AI에 의해 자동 생성되며, CC BY-SA 4.0 라이선스에 따라 이용할 수 있습니다.
하지만, 위키백과나 뉴스 기사 자체에 오류, 부정확한 정보, 또는 가짜 뉴스가 포함될 수 있으며, AI는 이러한 내용을 완벽하게 걸러내지 못할 수 있습니다.
따라서 제공되는 정보에 일부 오류나 편향이 있을 수 있으므로, 중요한 정보는 반드시 다른 출처를 통해 교차 검증하시기 바랍니다.
문의하기 : help@durumis.com
