자기공명영상
"오늘의AI위키"의 AI를 통해 더욱 풍부하고 폭넓은 지식 경험을 누리세요.
1. 개요
자기공명영상(MRI)은 강한 자기장과 라디오파를 이용하여 인체 내부를 영상화하는 기술이다. 1946년 핵자기공명(NMR) 현상의 발견을 기반으로 개발되었으며, 1980년대 상용화되어 의료 분야에 널리 사용되기 시작했다. MRI는 X선과 달리 방사선 노출 위험이 없고, 뇌, 척수, 심혈관, 근골격계, 간 등 다양한 부위의 해부학적 구조와 병변을 상세히 보여준다.
MRI는 T1, T2 강조 영상, 확산 강조 영상(DWI), 자기공명 혈관 조영술(MRA), 자기공명 담췌관조영술(MRCP) 등 다양한 기법을 활용하며, 조영제를 사용하여 영상의 선명도를 높일 수도 있다. 최근에는 실시간 MRI, 중재적 MRI, 다핵종 영상, 분자 영상, 병렬 MRI, 정량적 MRI 등 특수 기법들이 개발되어 진단 및 치료의 정확성을 높이고 있다.
MRI는 암, 뇌졸중, 다발성 경화증 등 다양한 질환의 진단에 활용되며, 특히 뇌종양, 척추 질환, 심혈관 질환의 진단에 유용하다. 하지만 강한 자기장으로 인해 금속성 물질이 체내에 있는 환자는 검사가 제한될 수 있고, 소음과 폐쇄 공포증으로 인해 불편함을 겪을 수도 있다. MRI는 의료 분야 외에도 화학 물질 분석, 식물 연구, 법의학 등 다양한 분야에서 활용되고 있으며, 한국에서도 MRI 장비 보급률과 검사 건수가 꾸준히 증가하고 있다.
더 읽어볼만한 페이지
- 자기공명영상 - 정량 감수성 지도화
정량 감수성 지도화는 자기 공명 영상(MRI)을 이용하여 조직의 자기적 특성인 자기 감수율을 정량적으로 측정하고 시각화하는 기술로, 3차원 기울기 에코 시퀀스를 사용하며 뇌 내부 자기장 측정 및 조영제 농도 정량화 등에 활용된다. - 1973년 도입 - 타노스
타노스는 마블 코믹스에서 죽음의 여신을 숭배하며 우주의 균형을 위해 대량 학살을 감행하는 빌런으로, 특히 인피니티 스톤을 모아 우주의 절반을 소멸시키는 행위로 유명하다. - 1973년 도입 - 사피어-심프슨 허리케인 등급
사피어-심프슨 허리케인 등급은 허리케인의 최대 풍속에 따라 1등급에서 5등급으로 분류하여 강도를 추정하는 척도로, 3등급 이상은 "강력한 허리케인"으로 분류되며 예상 피해 정도와 관련이 있다. - 저온물리학 - 액체 산소
액체 산소는 맑은 청록색을 띠는 극저온 물질로 강력한 산화제이며, 산업, 의료, 로켓 추진 등에 사용되며, 1883년 지그문트 브워블레프스키와 카롤 올셰프스키가 최초로 생산했다. - 저온물리학 - 보온병
보온병은 뜨겁거나 차가운 내용물을 보존하기 위해 이중벽 구조와 진공 상태를 이용하여 열 손실을 막는 용기이며, 1904년 독일에서 상업화되어 가정 및 산업용으로 사용된다.
| 자기공명영상 | |
|---|---|
| 자기 공명 영상 | |
![]() | |
| 명칭 | |
| 동의어 | 핵자기 공명 영상 (NMRI) 자기 공명 단층 촬영 (MRT) |
| 영어 | Magnetic resonance imaging |
| 일본어 | 核磁気共鳴画像法 |
| 로마자 표기법 | Hyeokjagi gongmyeong sangbeop (핵자기 공명 화상법) |
| 의료 분야 코드 | ICD-9: MedlinePlus: 003335 MeSH ID: D008279 |
| 개요 | |
| 설명 | 자기 공명 영상(MRI)은 자기장과 라디오파를 사용하여 신체의 상세한 이미지를 생성하는 의학 영상 기법이다. 이 기술은 핵자기 공명 (NMR) 현상을 이용하여 신체 내부의 구조와 기능을 보여준다. MRI는 컴퓨터 단층 촬영 (CT)이나 X선과 달리 이온화 방사선을 사용하지 않는다. MRI는 종종 방사선에 민감한 환자들에게 사용되는 유용한 도구이다. |
| 원리 | MRI는 강력한 자기장과 라디오파를 이용하여 체내 수소 원자핵의 핵 자기 모멘트를 조작한다. 자기장 속에서 수소 원자핵은 특정 주파수의 라디오파를 흡수하고 방출한다. 이 때 방출되는 라디오파 신호를 감지하여 영상을 생성한다. MRI 영상은 체내의 다양한 조직(뼈, 근육, 혈관, 신경 등)을 구별할 수 있다. |
| 장점 | 이온화 방사선을 사용하지 않아 방사선 피폭 위험이 없다. 연조직의 대비가 뛰어나 신경, 근육, 인대, 혈관 등 다양한 조직을 선명하게 관찰할 수 있다. 다양한 방향으로 단면 영상을 얻을 수 있다. |
| 단점 | 검사 시간이 길다. 폐쇄적인 공간에서 검사를 진행하기 때문에 일부 환자에게는 불편감을 유발할 수 있다. 검사 비용이 비싸다. 심장 박동기, 금속 임플란트 등을 가진 환자는 검사가 불가능할 수 있다. |
| 활용 | |
| 용도 | 뇌, 척수, 관절, 심장, 혈관 등 신체의 다양한 부위의 진단에 사용된다. 종양, 감염, 염증, 외상 등 다양한 질환을 진단하는 데 유용하다. 수술 계획 및 치료 효과 평가에도 사용된다. |
| 기술 | 확산 강조 영상 (DWI): 뇌 졸중 진단에 사용 혈류 자기 공명 영상 (MRA): 혈관 질환 진단에 사용 기능 자기 공명 영상 (fMRI): 뇌 활동 연구에 사용 자기 공명 분광법 (MRS): 체내 대사 물질 분석에 사용 |
| 안전성 | |
| 주의 사항 | 강한 자기장으로 인해 체내의 금속 물질(심장 박동기, 금속 임플란트 등)이 위험을 초래할 수 있다. 임산부의 경우 임신 초기에 MRI 검사를 피하는 것이 좋다. |
| 부작용 | 드물게 조영제에 대한 알레르기 반응이 발생할 수 있다. 강한 자기장으로 인해 금속 물질이 가열될 수 있다. |
| 기타 | |
| 관련 연구 | 핵자기 공명 (NMR) 연구에서 발전함. MRI 물리학, MRI 기술, MRI 응용 등 다양한 분야에서 연구 진행중. |
| 참고 문헌 | |
2. 역사
1946년 펠릭스 블로흐(Felix Bloch)와 에드워드 퍼셀(Edward Purcell)이 핵자기공명(NMR) 신호를 발견하면서 MRI 기술의 기초가 마련되었다.[123] 1970년 레이먼드 다마디안(Raymond V. Damadian)이 종양 조직의 T1, T2를 측정하였고,[131][132] 1971년 MRI에 대한 특허를 세계 최초로 획득하였다.
자기공명영상(MRI)은 인체의 약 70%를 차지하는 물 분자의 수소 원자핵(양성자)이 강한 자기장 내에서 특정 주파수의 라디오파와 상호작용하는 현상(핵자기공명)을 이용한다.[167] 수소 원자핵은 자기장 내에서 정렬되고, 라디오파 펄스를 가하면 에너지를 흡수하여 스핀 방향이 바뀐다.[167] 펄스를 끄면 수소 원자핵이 원래 상태로 돌아오면서 약한 전자기파를 방출하는데, 이 신호를 검출하여 위치 정보를 얻고 영상화한다.[167]
MRI 스캐너의 주요 구성 요소는 다음과 같다.
폴 로터버(Paul Lauterbur)는 1973년 ''네이처''지에 물이 담긴 두 개의 관을 촬영한 최초의 MRI 영상을 발표했고,[116] 이후 조개와 쥐의 흉강 영상을 촬영했다. 그는 자신의 영상 기법을 자기장 기울기 영상법(zeugmatography)이라고 불렀으나, 이후 (N)MR 영상으로 대체되었다.[1] 피터 맨스필드(Peter Mansfield)와 폴 로터버는 에코 평면 영상(EPI) 기법과 같은 MRI 관련 기술을 개발했다.[117] 레이먼드 다마디안의 핵자기 공명(NMR) 연구는 최초의 MRI 스캐너 제작에 통합되었다.[118] 이러한 MRI 개발에는 반도체 기술의 발전이 큰 영향을 미쳤다.[119] 2003년, 맨스필드와 로터버는 "자기 공명 영상에 관한 발견"으로 노벨 생리학·의학상을 수상했다.[120]
1980년대에 MRI가 상용화되어 의료 현장에 도입되기 시작했다. 일본에서는 1982년 나카츠가와 시민병원에 일본 국내 병원으로는 처음으로 진료용 MRI가 도입되었다.[142][143][144] 대한민국에서는 1981년 전자기술종합연구소에서 획기적인 두부 영상을 촬영하는 데 성공했다.[140]
3. 원리
대부분의 의학적 응용에서, 조직 내에 있는 수소 원자핵(단 하나의 양성자로 구성됨)이 신호를 생성하고, 이 신호는 특정 영역에서 그러한 원자핵의 밀도에 따라 신체의 영상을 형성하도록 처리된다.[6] 양성자는 결합된 다른 원자의 장의 영향을 받기 때문에 특정 화합물의 수소로부터의 반응을 분리할 수 있다.[6] 연구를 수행하려면, 사람이 영상화할 영역 주위에 강한 자기장을 형성하는 MRI 스캐너 안에 위치한다.[6] 먼저, 진동하는 자기장으로부터의 에너지가 적절한 공명 주파수에서 환자에게 일시적으로 가해진다.[6]
경사 자기장을 이용하여 위치 정보를 얻고, 푸리에 변환을 통해 영상을 재구성한다. 경사 자기장을 인가하는 코일은 경사 자기장 코일이라고 불린다. 경사 자기장에 의해 원자핵(보통은 1H)의 위상이나 주파수가 변화한다. 실제로 관측하는 것은 개별 신호의 합성된 것이므로, 얻어진 신호를 분석할 때 2차원 또는 3차원 푸리에 변환을 함으로써 개별 위치의 신호(각 위치에서의 핵 자화에 비례)로 분해하여 영상을 그려낸다.
X 및 Y 기울기 코일을 사용한 스캔은 환자의 선택된 영역이 에너지가 흡수되는 데 필요한 정확한 자기장을 경험하도록 한다.[6] 원자는 여기되고 RF 펄스에 의해, 그 결과 신호는 수신 코일에 의해 측정된다.[6] 기울기 코일을 사용하여 국부 자기장을 변화시킴으로써 발생하는 RF 레벨 및 위상의 변화를 관찰하여 RF 신호를 처리하여 위치 정보를 추론할 수 있다.[6] 이 코일은 여기 및 응답 중에 빠르게 전환되어 이동하는 선 스캔을 수행하므로, 자기변형으로 인해 권선이 약간 움직이면서 MRI 스캔의 특징적인 반복적인 소음이 발생한다.[6]
수소 원자핵이 원래 상태로 돌아오는 시간(완화 시간)은 주변 조직에 따라 다르며, 이 차이를 이용하여 T1 강조 영상, T2 강조 영상 등 다양한 영상을 얻을 수 있다.[167] 수소 원자핵의 스핀이 주변의 수소 원자핵의 스핀과의 상호작용에 의해 완화되는 것을 스핀-스핀 완화라고 하고, 이에 의한 시간 상수를 T2라고 한다.[167] 이와 달리, 스핀이 주변 조직의 격자 구조와의 상호작용에 의해 완화되는 것을 스핀-격자 완화라고 하고, 이 시간 상수를 T1이라고 한다.[167]


T1(스핀-격자; 즉, 정자장 방향과 같은 방향의 자화) 및 T2(스핀-스핀; 정자장에 수직)의 독립적인 이완 과정을 통해 여기 후 평형 상태로 돌아간다.[19]
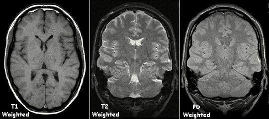
T1 강조 영상을 생성하기 위해, 반복 시간(TR)을 변경하여 MR 신호를 측정하기 전에 자화가 회복되도록 한다. 이 영상 가중치는 대뇌 피질 평가, 지방 조직 식별, 국소 간 병변 특징 분석, 일반적인 형태 정보 획득, 그리고 조영제 투여 후 영상 촬영에 유용하다.
T2 강조 영상을 생성하기 위해, 에코 시간(TE)을 변경하여 MR 신호를 측정하기 전에 자화가 감쇠되도록 한다. 이 영상 가중치는 부종과 염증 검출, 백색질 병변 확인, 그리고 전립선과 자궁의 구역 해부학 평가에 유용하다.
자기공명영상의 표준 표시는 흑백 영상에서 체액 특성을 나타내는 것이며, 서로 다른 조직은 다음과 같이 나타난다.신호 T1 강조 T2 강조 높음 style="vertical-align:top;"| style="vertical-align:top;"| 중간 style="vertical-align:top;"| style="vertical-align:top;"| 낮음 style="vertical-align:top;"| style="vertical-align:top;"|
4. 구성 요소
5. 장단점
자기공명영상은 일반 CT과 비교하여 다음과 같은 장점과 단점이 있다.
;장점[167]
- 방사선의 영향에 대한 우려가 전혀 없다.
- 일반 CT의 약점(공기가 많은 곳·뼈로 둘러싸인 부분)에 대해서도 효과적이다.
- 조직이 변형되지 않은 병변(病變)도 찾아낼 수 있다.
- 병변의 위치뿐만 아니라 성질까지도 알아낼 수 있다.
;단점
자기공명영상에도 비용과 시간 측면에서 문제점이 있다.
- 일반 CT에 비해 진단 시간이 오래 걸린다는 점이다.[167]
- 현재의 자기공명영상 기술로는 수소 원자의 분포 밖에 알 수 없다. 나트륨, 인, 탄소 등 다른 원자가 지니는 정보도 병변의 발견, 진단에 유용하므로, 이를 통한 자기공명영상 기술이 연구되고 있다.
- 자기공명영상 장비를 설치하는데 많은 비용이 들고 강한 자기장을 만들고 유지하는 데에도 많은 비용이 든다.
- 진단시 소리가 크기 때문에 청력에 문제를 겪는 환자들도 있다.
- 특정 형태의 금속 보형물이 있는 경우 열 화상을 일으킬 수 있다.[168][169][170]
- 심장이나 폐 등 크게 움직이는 장기에 대해서는 화상이 일그러질 수 있다.[167]
MRI는 일반적으로 안전한 기술이지만, 안전 절차 실패 또는 인적 오류로 인해 부상이 발생할 수 있다.[98] MRI의 금기 사항에는 대부분의 인공 와우와 인공 심박 조율기, 파편 및 눈의 금속 이물질이 포함된다. 임신 중 자기 공명 영상은 조영제 없이 시행하는 경우 적어도 임신 2, 3기에는 안전한 것으로 보입니다.[99] MRI는 이온화 방사선을 사용하지 않으므로, 두 가지 방식 모두 동일한 정보를 얻을 수 있는 경우 CT보다 일반적으로 선호된다.[100] 일부 환자는 밀폐 공포증을 경험하여 진정제 또는 더 짧은 MRI 프로토콜이 필요할 수 있다.[101][102] 영상 획득 중 기울기 코일의 진폭과 빠른 전환은 말초 신경 자극을 유발할 수 있다.[103]
MRI는 강력한 자석을 사용하므로 자성체가 고속으로 움직여 발사체 위험을 초래하고 치명적인 사고를 유발할 수 있다.[104] 그러나 매년 전 세계적으로 수백만 건의 MRI가 시행되므로,[105] 사망 사고는 매우 드뭅니다.[106]
MRI 기계는 최대 120 dB(A)의 큰 소음을 발생시킬 수 있다.[107] 이로 인해 난청, 이명 및 과민성 난청이 발생할 수 있으므로 검사 중 MRI 스캐너실 내부의 모든 사람에게 적절한 청력 보호 장치가 필수적이다.
5. 1. 장점
자기공명영상(MRI)은 일반 CT와 비교하여 다음과 같은 장점을 가진다.[167]- 방사선의 영향에 대한 우려가 전혀 없다. X선과 같은 전리방사선을 사용하지 않으므로 방사선 피폭이 없다.[167]
- 일반 CT의 약점(공기가 많은 곳·뼈로 둘러싸인 부분)에 대해서도 효과적이다.[167]
- 조직이 변형되지 않은 병변도 찾아낼 수 있다.[167]
- 병변의 위치뿐만 아니라 성질까지도 알아낼 수 있다.[167]
- 생체를 구성하는 조직의 종류에 따른 영상의 명암(콘트라스트)이 CT보다 높다.
- 조영제를 사용하지 않고도 혈관 영상을 촬영할 수 있다(MR 혈관조영술).
- 뼈에 의한 아티팩트가 적다. 따라서 뼈로 둘러싸인 터키안이나 뇌저의 병변은 CT보다 MRI가 영상화에 유리하다.
- 연골이나 인대는 일반적으로 X선 CT로 평가할 수 없으므로, 요추추간판탈출증이나 인대손상, 근육파열, 골연부 종양, 반월판손상 등 뼈 이외의 운동기계의 이상 평가에 유용하다.
- 뇌졸중 초급성기에는 확산강조영상이 유용하다. X선 CT보다 더 일찍 병변을 영상화할 수 있다.
참고로 횡단면, 관상단면, 시상단면 등 임의의 방향으로 촬영할 수 있는 것이 MRI의 장점이라고 여겨져 왔지만, CT의 촬영 속도 향상과 임의 단면 재구성 기술의 발달로 이러한 우위는 사라졌다.
5. 2. 단점
자기공명영상(MRI)은 일반 CT에 비해 진단 시간이 오래 걸린다는 단점이 있다.[167] 또한, MRI 장비를 설치하고 강한 자기장을 유지하는 데 많은 비용이 든다.MRI 기계는 최대 120dB(A)의 큰 소음을 발생시킬 수 있어,[107] 검사 중 MRI 스캐너실 내부의 모든 사람에게 청력 보호 장치가 필수적이다. 이러한 소음은 난청, 이명 및 과민성 난청을 유발할 수 있다. 진단 시 소음으로 인해 청력에 문제를 겪는 환자들도 있으며, 촬영에 공포감을 느끼는 사람도 있다.
특정 형태의 금속 보형물이 있는 경우 열 화상을 일으킬 수 있다.[168][169][170] 심장이나 폐 등 크게 움직이는 장기에 대해서는 영상이 일그러질 수 있다.[167]
MRI는 강력한 자석을 사용하므로 강자성체가 고속으로 움직여 발사체 위험을 초래하고 치명적인 사고를 유발할 수 있다.[104] MRI의 금기 사항에는 대부분의 인공 와우와 인공 심박 조율기, 파편 및 눈의 금속 이물질이 포함된다.[98]
Gadolinium영어 조영제를 사용하는 경우 알레르기 반응이나 구역질과 같은 부작용이 있을 수 있으며, 기관지 천식의 과거력이 있는 경우에는 원칙적으로 사용할 수 없다.[150]
장비가 좁아 폐쇄 공포증 환자[150]나 소아에게 공포심을 유발할 수 있다. 소아의 경우 진정이 필요하며, 진정제 사용의 위험성을 고려하거나 검사 중 합병증 대응을 해야 한다.[151]
심장 박동기나 기타 자기에 반응하는 금속이 체내에 있는 경우 검사를 받을 수 없는 경우가 있다. 인공 와우는 강한 X선에 의해서도 고장날 가능성이 높기 때문에 CT 촬영도 받을 수 없을 가능성이 있다. 인공 관절, 골절 부위의 접합 플레이트나 볼트 등 제거할 수 없는 체내 삽입 금속이 있는 경우 반드시 의사에게 보고해야 한다.
핀, 귀걸이, 반지, 틀니, 안경, 자기 치료기 등의 장신구·금속 제품은 제거해야 한다.[150] 마스카라, 아이라이너, 아이브로우, 아이섀도우 등의 화장품 중에는 자성체를 포함하는 성분이 함유된 것이 있으며, 검사에 의해 화상을 입을 수 있으므로 검사 전에 지우는 것이 필요하다.[152] 컬러 콘택트렌즈나 문신, 일부 부착 약물도 자성체를 포함하고 있는 경우 열을 발생하여 화상을 일으킬 수 있다.[152]
산소 통이나 휠체어, 스트레처, 생체 모니터 등의 의료 기기는 MRI 검사실에 반입하려면 전용 제품이 필요하다. MRI실에 반입된 산소통이 강력한 자장에 의해 흡착되어 MRI 장치를 직접 타격하여 파손시키거나 사망 사고가 여러 차례 발생하고 있다.[153]
초전도 전자석을 사용하는 MRI는 냉각을 위한 액체 헬륨이 사고로 인해 폭발적으로 기화하는 퀀치가 발생할 수 있다.[150]
X선 CT와 비교하면 비용이 높고 대규모 장비가 필요하며, 어느 정도 규모 이상의 병원에 한정된다.
6. 진단
자기공명영상은 암 진단 및 예방에 큰 진전을 가져왔다. 종래 X선 CT로는 뼈에 방해되어 화상을 얻기가 어려웠던 골반 내의 암 등에 대해 위력을 발휘한다. 그리고 종래의 CT로는 조직이 변형하기 시작해야만 비로소 암이라는 것을 알았는데, 이 장치로는 그 이전의 전암 증상(前癌症狀)의 단계에서 진단할 수 있다. 코일을 액체 헬륨으로 냉각해 더 강력한 자기장을 이용하는 초전도 자기공명영상은 더욱 좋은 영상을 얻을 수 있다. 심장이나 폐 등 크게 움직이는 장기에 대해서는 화상이 일그러지는 문제가 있는데, X선 CT로 먼저 촬영하고, 그것으로 확인한 위치를 기준으로 자기공명영상을 촬영하는 방식을 통해 향상된 영상을 얻는 방법도 있다.[167]
자기공명영상(MRI)은 의학적 진단에 폭넓게 사용되며, 전 세계적으로 약 5만 대의 스캐너가 사용되고 있는 것으로 추산된다.[25] MRI는 많은 전문 분야에서 진단과 치료에 영향을 미치지만, 특정 경우 건강 결과 개선에 미치는 영향은 논란의 여지가 있다.[108][109]
MRI는 직장암과 전립선암의 수술 전 병기 결정에 있어 최적의 검사 방법이며, 다른 종양의 진단, 병기 결정 및 추적 관찰에도 중요한 역할을 한다.[26] 또한 바이오뱅킹에서 조직 샘플링 부위를 결정하는 데에도 사용된다.[27][28]
다음은 대표적인 신호 패턴을 보여준다. 병태에 따라 예외가 많은 경우도 있다.
- 롱 T1(long T1), 롱 T2(long T2) 패턴: T2 강조 영상(T2WI)에서 고신호, T1 강조 영상(T1WI)에서 저신호를 보이는 패턴이다. 이완 시간 연장이라고도 한다. 일반적인 병변 패턴이며 양성 종양이나 급성 염증에서 나타나는 패턴이다. 그러나 낭포 성분을 가진 악성 종양의 낭포도 이러한 신호 패턴을 보이므로 주의가 필요하다. 2009년 현재 T2WI는 FSE(Fast Spin Echo) 기법으로 촬영되는 경우가 많으며, T2 값이 신호 강도에 가장 큰 영향을 미친다. T2 값만으로 생각하면 뇌척수액을 비롯한 액체 성분, 연골, 점액 기질이 높고, 특히 뇌척수액이 순수에 가장 가까워 고신호를 보이는 것처럼 보이지만, 뇌척수액보다 고신호가 되는 병변은 많다. 내부의 균질성, 액체면 형성, FLAIR(Fluid Attenuated Inversion Recovery) 기법 등을 이용하여 정상 분석을 해야 한다고 생각된다.
- 미디엄 T2(medium T2) 패턴: T2WI에서 희미한 고신호를 보이는 패턴이다. 롱 T1(long T1), 롱 T2(long T2) 패턴보다 물이 적거나 T2 값이 길지 않은 것이 원인이다. 이러한 병변에서는 악성 종양이나 만성 염증의 가능성이 높다.
- 숏 T1(short T1) 패턴: T1WI에서 고신호를 보이는 패턴이다. 병변의 T2 단축 효과에 따라 T2WI에서의 신호는 변한다. T2WI에서 명확한 저신호를 보이는 경우는 숏 T2(short T2) 패턴이라고 한다. 이러한 패턴을 보이는 것으로는 고단백 액체나 뮤신, 메트헤모글로빈에 의한 혈종(아급성기 출혈), 일부의 석회화 및 T1 단축제(Gd 제제나 구연산철암모늄)의 존재가 있다. 비교적 특이적인 병리 조직상의 변화를 반영하므로 중요한 소견이 된다. 우선 지방, 출혈, 고단백 조직을 상정한다. 선택적 지방 억제 기법을 사용하면 지방은 제외할 수 있으며, 그것을 사용하여 진단을 진행한다.
- 숏 T2(short T2) 패턴: T2WI에서 저신호를 보이는 패턴이다. T1WI에서의 신호는 병변에 따라 다르지만, 여기서는 T2WI에서 저신호, T1WI에서 고신호를 보이는 경우를 설명한다. 이러한 신호 패턴을 보이는 병변으로는 메트헤모글로빈(아급성기 혈종, 숏 T1(short T1) 패턴을 보임), 헤모시데린(진행성 혈종), 일부의 육아종, 멜라닌 색소가 있는 멜라노마 등이 있다. 이 신호 패턴을 보이는 병변은 상당히 적고, 특이적인 소견이다. 급성기나 만성기의 출혈이 가장 많다. 석회화 병변은 양성자가 부족하여 숏 T2(short T2) 패턴을 보이는 경우도 있다. 밀도가 높은 석회화는 T1WI에서는 시그널 보이드(signal void) 패턴(T1WI에서도 저신호)이 되지만, 어느 정도의 석회화에서는 표면 효과(surface effect)에 의해 T1WI에서 고신호를 보여 숏 T2(short T2) 패턴이 된다. 또한 플로우 보이드(flow void)도 숏 T2(short T2) 패턴이다. 플로우 보이드(flow void)는 혈액이나 뇌척수액의 흐름 때문에 발생하는 신호의 소실이다. 스핀 에코 기법은 그래디언트 에코 기법에 비해 원리적으로 플로우 보이드(flow void)를 생성하기 쉽다. MRA를 하지 않더라도 주요 동맥의 폐쇄는 플로우 보이드(flow void)의 소실을 확인함으로써 검출 가능하다고 생각된다.
- 시그널 보이드(signal void) 패턴: T2WI와 T1WI 모두에서 저신호를 보이는 패턴이다. 양성자량이 적은 경우가 많다. 이러한 패턴을 보이는 병변에는 플로우 보이드(flow void)와 섬유성 조직, 헤모시데린(진행성 혈종), 고농도의 T1 단축제 및 T2 단축제의 존재가 생각된다.
6. 1. 신경 영상
MRI는 뇌와 척수의 종양, 염증, 뇌졸중, 다발성 경화증, 알츠하이머병 등 다양한 신경계 질환 진단에 사용된다.[29][30][31] 특히 뇌간과 소뇌를 포함하는 후두개와의 시각화에 CT보다 우수하며, 회색질과 백질 사이의 대조를 통해 탈수초성 질환, 치매, 뇌혈관 질환, 감염 질환 등에 유용하다.[29]MRI는 뇌가 다양한 자극에 어떻게 반응하는지 보여주어 연구자들이 정신 질환에서 기능적 및 구조적 뇌 이상을 연구 할 수 있게 한다.[32] 유도된 정위수술 및 방사선 수술에서 N-로컬라이저를 사용하여 두개내 종양, 뇌동정맥 기형 등 수술로 치료 가능한 질환의 치료에도 사용된다.[33][34][35]
의료 인공지능을 이용한 새로운 도구는 잡음 제거 시스템의 적용을 통해 신경영상에서 더 높은 영상 품질과 형태 측정 분석을 가능하게 한다.[36]
MRI는 정신 장애 연구에 널리 사용되지만, ADHD 진단에는 신뢰성이 떨어진다는 연구 결과도 있다.[39]
MRI 영상은 다양한 신호 패턴을 보이며, 이는 질병 진단에 중요한 정보를 제공한다.
- 롱 T1(long T1), 롱 T2(long T2) 패턴: T2 강조 영상(T2WI)에서 고신호, T1 강조 영상(T1WI)에서 저신호를 보이며, 양성 종양이나 급성 염증에서 나타난다.
- 미디엄 T2(medium T2) 패턴: T2WI에서 희미한 고신호를 보이며, 악성 종양이나 만성 염증의 가능성이 높다.
- 숏 T1(short T1) 패턴: T1WI에서 고신호를 보이며, 고단백 액체, 뮤신, 메트헤모글로빈에 의한 혈종 등에서 나타난다.
- 숏 T2(short T2) 패턴: T2WI에서 저신호를 보이며, 메트헤모글로빈, 헤모시데린, 멜라닌 색소가 있는 멜라노마 등에서 나타난다.
- 시그널 보이드(signal void) 패턴: T2WI와 T1WI 모두에서 저신호를 보이며, 플로우 보이드(flow void)와 섬유성 조직, 헤모시데린 등에서 나타난다.
3테슬라 MRI를 이용한 MR 신경촬영(MR neurography, MRN)은 다양한 말초신경병증에 적용된다.[161][162] MRN은 신경주위막 내부의 물이 T2WI 및 STIR에서 고신호를 보이는 원리를 이용한다.
| 질환 | 임상 양상 | MRI/MRN 소견 |
|---|---|---|
| 신경통성 근위축증 | 한쪽 상지의 급성 신경통과 이어지는 근위축 | 팔신경얼기의 부종성 변화, 가성 음성 보고도 있음 |
| 경추증성 신경병증 | 손상된 신경근에 일치하는 부종성 변화, 팔신경얼기는 미만성 이상을 보이는 경우도 있음 | |
| 신경원성 흉곽출구증후군 | 신경통성 근위축증과 같은 신경통이 인지되지 않음. 모지구 위축, 소지 저림 | 신경의 위쪽으로 볼록한 편위, 사각근 이상, 삭상 구조의 묘사 |
| 수술 후 팔신경얼기 손상 | 수술 체위(상지 과외전), 가역성 손상이 많은 경우가 많음 | 부종성 변화 |
| 방사선 조사 후 | 악성 종양과 유사하지만, 통증은 경미한 경우가 많고, 근섬유연축이 있음 | 미만성 부종 |
| 만성 염증성 탈수초성 다발 신경병증(CIDP) | 신경통성 근위축증과 같은 신경통이 인지되지 않음. 양측성이며, 아급성에서 만성으로 진행됨. | 신경의 고도의 미만성 비후 |
6. 2. 심혈관 영상
심장 자기공명영상(Cardiac MRI)은 심초음파검사, 심장 CT, 핵의학과 같은 다른 영상 기술을 보완하며, 심근 허혈 및 생존력, 심근병증, 심근염, 철 과부하, 혈관 질환 및 선천성 심장 질환등 심장의 구조와 기능을 평가하는 데 사용된다.[40][41]심장 MRI 검사는 시네 MRI(cine MRI)를 이용한 좌심실 수축능 평가, 지연 조영 MRI를 이용한 심근경색 및 심근 섬유화 평가, 관상동맥 MRA 등이 알려져 있다.
- 시네 MRI: 심전도 동기를 이용하여 심장의 움직임을 1심박 16~40프레임의 동영상으로 촬영하는 방법이다. SSFP 기법을 사용하면 조영제를 사용하지 않고도 높은 혈액 신호를 얻을 수 있으며, 2010년 현재 가장 정확한 심기능 측정법으로 여겨진다. 심장 기저부에서 심첨부까지 연속적인 단축 시네 MRI를 촬영하여 심프슨법을 이용하여 좌심실 용적, 좌심실 박출률 및 좌심실 무게를 측정한다.
- 지연 증강 효과: Gd 조영제를 정맥 주사하고 약 10분 후 촬영하는 방법을 지연 조영 MRI라고 한다. 정상 심근은 저신호를 나타내지만, 심근경색이나 섬유화가 관찰되는 경우 고신호를 나타낸다. 당뇨병 환자의 무증상 심근경색 등 심장 초음파 검사로도 검출이 불가능한 병변의 검출도 가능하다.
- 관상동맥 MRA(whole heart coronary MRA영어): 16열 다중 슬라이스 CT와 거의 동등한 검출률을 보이며, 촬영 시간이 10분 이상으로 길다. 64열 다중 슬라이스 CT와 비교하면 진단 감도가 다소 떨어지지만, NPV(negative predictive value=질병이 없고 정상인 경우)가 높기 때문에 질병이 없음을 증명하는 데 매우 효과적이다. CT는 간편하고 빠르게 검사할 수 있지만, 관상동맥 MRA는 방사선 조사 및 조영제가 필요 없기 때문에 반복적인 검사가 필요한 선천성 질환(가와사키병 등)의 추적 관찰에 매우 유용하며, 일반 성인에 대해서는 "돌연사를 예방하는 스크리닝"으로서 그 유용성이 기대되고 있다.

6. 3. 근골격 영상
MRI는 척추, 관절, 연조직 질환 진단에 유용하다.[42] 추간판 탈출증, 인대 손상, 근육 파열, 골수염, 종양 등을 진단할 수 있다. 또한, MRI 기법은 유전성 근육 질환을 포함한 전신성 근육 질환의 진단 영상에 사용될 수 있다.[43][44]인후와 식도의 삼키는 동작은 영상화된 척추에 동작 인공물을 유발할 수 있다. 따라서, 이러한 인후와 식도 부위에 적용되는 포화 펄스는 이러한 인공물을 피하는 데 도움이 될 수 있다. 심장의 박동으로 인해 발생하는 동작 인공물은 심장 주기에 따라 MRI 펄스의 시기를 조정하여 줄일 수 있다.[45] 혈관 흐름 인공물은 관심 영역 위아래에 포화 펄스를 적용하여 줄일 수 있다.[46]
다음은 대표적인 신호 패턴을 보여준다. 병태에 따라 예외가 많은 경우도 있다.
- 롱 T1(long T1), 롱 T2(long T2) 패턴: T2 강조 영상(T2WI)에서 고신호, T1 강조 영상(T1WI)에서 저신호를 보이는 패턴이다. 이완 시간 연장이라고도 한다. 일반적인 병변 패턴이며 양성 종양이나 급성 염증에서 나타나는 패턴이다. 그러나 낭포 성분을 가진 악성 종양의 낭포도 이러한 신호 패턴을 보이므로 주의가 필요하다.
- 미디엄 T2(medium T2) 패턴: T2WI에서 희미한 고신호를 보이는 패턴이다. 롱 T1(long T1), 롱 T2(long T2) 패턴보다 물이 적거나 T2 값이 길지 않은 것이 원인이다. 이러한 병변에서는 악성 종양이나 만성 염증의 가능성이 높다.
- 숏 T1(short T1) 패턴: T1WI에서 고신호를 보이는 패턴이다. 병변의 T2 단축 효과에 따라 T2WI에서의 신호는 변한다. T2WI에서 명확한 저신호를 보이는 경우는 숏 T2(short T2) 패턴이라고 한다. 이러한 패턴을 보이는 것으로는 고단백 액체나 뮤신, 메트헤모글로빈에 의한 혈종(아급성기 출혈), 일부의 석회화 및 T1 단축제(Gd 제제나 구연산철암모늄)의 존재가 있다. 비교적 특이적인 병리 조직상의 변화를 반영하므로 중요한 소견이 된다.
- 숏 T2(short T2) 패턴: T2WI에서 저신호를 보이는 패턴이다. T1WI에서의 신호는 병변에 따라 다르지만, 여기서는 T2WI에서 저신호, T1WI에서 고신호를 보이는 경우를 설명한다. 이러한 신호 패턴을 보이는 병변으로는 메트헤모글로빈(아급성기 혈종, 숏 T1(short T1) 패턴을 보임), 헤모시데린(진행성 혈종), 일부의 육아종, 멜라닌 색소가 있는 멜라노마 등이 있다.
- 시그널 보이드(signal void) 패턴: T2WI와 T1WI 모두에서 저신호를 보이는 패턴이다. 양성자량이 적은 경우가 많다. 이러한 패턴을 보이는 병변에는 플로우 보이드(flow void)와 섬유성 조직, 헤모시데린(진행성 혈종), 고농도의 T1 단축제 및 T2 단축제의 존재가 생각된다.
6. 4. 간 및 위장 영상
자기공명영상(MRI)은 간, 췌장, 및 담관 병변을 탐지하고 특징을 분석하는 데 사용된다.[47] 확산강조영상, 반대 위상 영상 및 동적 조영증강 시퀀스를 사용하여 간의 국소적 또는 전신적 질환을 평가할 수 있다.[47] 간 MRI에서는 세포외 조영제가 널리 사용되며, 새로운 담도 조영제는 기능적 담도 영상을 수행할 수 있는 기회도 제공한다.[47] 자기공명 담췌관조영술(MRCP)에서 T2 강조 시퀀스를 사용하여 담관의 해부학적 영상을 얻을 수 있다.[47] 세크레틴을 투여한 후 췌장의 기능적 영상을 수행한다.[47] MR 장관조영술은 염증성 장 질환과 소장 종양을 비침습적으로 평가할 수 있다.[47] MR 결장조영술은 대장암 위험이 높은 환자에서 큰 용종을 탐지하는 데 역할을 할 수 있다.[47]6. 5. 혈관 조영술
자기공명혈관조영술(MRA)은 협착(비정상적인 좁아짐) 또는 동맥류(파열 위험이 있는 혈관벽 확장)과 같은 동맥의 이상을 평가하는 데 사용되는 기술이다.[51] MRA는 목과 뇌의 동맥, 흉부 및 복부 대동맥, 신장 동맥, 다리 등을 평가하는 데 사용된다.[51]
MRA는 상자성 조영제(가돌리늄)를 사용하거나, "유속 관련 증강" 기술(예: 2D 및 3D 시간 비행 시퀀스, FLASH MRI 참조)을 이용하여 혈관 영상을 생성한다.[51] 유속 관련 증강은 영상의 대부분의 신호가 그 평면으로 최근에 이동한 혈액 때문인 현상을 이용한다. 위상 축적 기술(위상 대조 혈관조영술)을 사용하면 유속 속도 맵을 생성할 수 있다.[51] 자기공명정맥조영술(MRV)은 정맥을 영상화하는 유사한 방법으로, 조직을 하부에서 여기하고 신호를 여기 평면 바로 위에서 수집하여 최근에 여기된 평면에서 이동한 정맥혈을 영상화한다.[52]
7. 조영제
자기공명영상(MRI)은 조직이나 혈액의 특성을 이용하여 자연적인 대조를 얻을 수 있지만, 특정 유형의 촬영에서는 외인성 조영제를 사용하기도 한다.[2] 조영제는 정맥 주사, 경구 투여, 관절 내 주사 등으로 투여할 수 있다. 조영제는 주로 상자성(가돌리늄, 망간, 유로피움 등)이거나 초상자성(SPIONs) 물질을 기반으로 하며, 상자성 조영제는 T1을 단축시키고 초상자성 조영제는 T2 및 T2*를 단축시켜 신호 강도를 감소시킨다.
가장 흔히 사용되는 정맥 조영제는 킬레이트된 가돌리늄 기반 조영제이다.[53] 가돌리늄 기반 조영제는 팔좌 가돌리늄(III) 착물로, 안정성이 매우 높다(log K > 20).[56] 금속 이온의 배위권의 9번째 자리는 물 분자가 차지하며, 주변 물 분자와 빠르게 교환되어 자기 공명 이완 시간에 영향을 미친다.[56] 이러한 조영제는 X선 촬영이나 CT에 사용되는 요오드화 조영제보다 안전하며, 아나필락시스양 반응은 드물게(약 0.03~0.1%) 발생한다.[54] 특히 신독성 발생률이 낮아 신장 기능 장애 환자에게도 사용할 수 있다.[55]
미국 식품의약국(FDA)은 2017년 12월 모든 가돌리늄 기반 조영제(GBCA)에 새로운 경고를 포함할 것이라고 발표했다.[57] FDA는 환자 교육을 강화하고, 조영제 공급업체가 추가 연구를 수행하도록 요구했다.[57]
가돌리늄 조영제는 신장 기능 장애 환자에게 유용하지만, 심각한 신부전으로 투석을 받는 환자는 드물지만 심각한 질병인 신성 전신 섬유증의 위험이 있다.[58] 가도디아마이드가 가장 관련이 깊지만, 다른 조영제도 관련이 있을 수 있다.[58] 투석 환자는 필수적인 경우에만 가돌리늄 조영제를 투여해야 하며, 스캔 후 가능한 한 빨리 투석을 실시하여 조영제를 제거해야 한다.[59][60]
유럽에서는 더 많은 종류의 가돌리늄 함유 조영제가 사용 가능하며, 잠재적 위험에 따라 분류된다.[61][62] 2008년에는 Eovist(미국) 또는 Primovist(EU)라는 브랜드명의 가독세테이트라는 새로운 조영제가 승인되었는데, 이 조영제는 이중 배설 경로를 가진다는 장점이 있다.[63]
8. 특수 기법
- 스핀 에코 기법(SE)
: 스핀 에코 기법은 고화질이지만 촬영 시간이 긴 촬영 기법이다. T1 강조 영상, T2 강조 영상, 프로톤 밀도 강조 영상이 이 방법으로 촬영된다. TR과 TE가 모두 긴 T2 강조 영상이 가장 촬영 시간이 오래 걸리는 검사였다. TR 사이에 여러 개의 에코를 얻어 시간 단축을 도모한 것이 패스트 스핀 에코 기법(FSE)이다. FSE는 GE의 명칭이며, 지멘스, 필립스에서는 터보 스핀 에코(TSE)라고 부른다. 또한 하나의 90도 펄스 후에 모든 에코를 얻는 단일 샷 시퀀스도 있으며, 지멘스에서는 RARE, HASTE라고 불린다. 또한 T1 완화를 강조하는 펄스를 추가한 것이 반전 회복 기법(IR)이다. IR 기법의 반전 시간 설정을 조절함으로써 특정 신호를 억제할 수 있으며, STIR 기법을 비롯한 지방 억제 기법이 탄생했다. 2009년 현재 주류는 FSE 기법과 IR 기법을 병용한 fast IR 기법이다. 최근 3.0T 장비에서는 RF파의 인체에 대한 열 특이적 흡수율(SAR) 문제가 있어 180도 펄스를 연속적으로 사용하는 것이 어려워져 SPACE 등 180도 이하의 재결합 펄스를 사용하는 시퀀스가 사용된다.
- 구배 에코 기법(GRE)
: 구배 에코 기법은 촬영 시간이 짧지만 국소 자장의 흐트러짐에 민감한 방법이다. 크게 횡자화를 유지하는 balanced sequence(FISP, PSIF, true FISP 등)와 분단하는 spoiler sequence(SPFR, FLASH, turbo FLASH, VIBE, MP-RAGE 등)로 나뉜다. T1 완화를 강조하는 전 펄스를 추가한 방법으로 turbo FLASH, MP-RAGE(turbo FLASH의 3D 버전)가 있다. 고속 촬영을 실시하여 T2/T1의 양호한 명암을 얻는 true FISP(FIESTA, balanced FFE, true SSFP) 등이 있다. 조영 후 T1 강조 영상이나 다이나믹 촬영에서는 거의 필수적인 시퀀스이며, 상복부나 유방에서는 VIBE가, 두부에서는 MP-RAGE가 자주 사용된다. true FISP는 심장의 시네 MRI나 비조영 관상동맥 촬영(WHCMRA)에 사용된다. 최근 2013년 2월에는 크기 영상에 위상의 명암을 추가한 자화율 강조 영상(SWI)이 보급되고 있다.
- 에코 플래너 기법(EPI)
: 에코 플래너 기법은 매우 고속으로 촬영할 수 있는 방법이며 DWI와 PWI에 사용된다. SE-EPI에서는 T2 명암의 영상도 고속으로 얻을 수 있으며, GRE-EPI에서는 T2* 강조 영상을 얻을 수 있다. 기능적 MRI(fMRI)도 이 방법이다.
- 프로톤 밀도 강조 영상
: 종완화, 횡완화의 영향을 모두 받기 어려운 TR, TE로 촬영한 것을 말한다. 구체적으로는 TR을 길게(3~5초), TE를 짧게(10밀리초) 설정하여 촬영한다. T1 강조 영상, T2 강조 영상과 비교하여 사용 빈도는 적다. 골 연부의 평가에 유용하다.
- 플레어 기법(FLAIR: fluid attenuated inversion recovery)
: 자유수의 종자화가 null point가 되는 시점에 신호를 수집하여 자유수(또는 자유수와 거의 같은 T1 값을 가진 조직)로부터의 신호를 억제한 영상을 얻는 촬영 방법이다. 뇌척수액에 접하는 병변을 검출하기 쉽게 한다.
- 확산 강조 영상(DWI: diffusion weighted image)
: 확산 계수가 낮은 물을 민감하게 검출하는 방법이다. 확산 계수가 저하되면 고신호를 나타낸다. 급성기 허혈성 병변이나 종양을 민감하게 검출한다. 오래된 괴사 병소는 저신호가 된다. 특히 T2 강조 영상과 비교함으로써 뇌졸중의 신구의 구별이 가능하다. b value라고 하는 변수가 있으며, 이것이 확산 강조의 강도를 나타낸다. 이상적으로는 b value 1000으로 실시하는 것이 좋지만 주변 조직의 신호 저하를 수반하여 부위 진단이 어려워진다. 뇌에서는 b value 200 정도로 충분하다고 여겨진다. 세포성 부종(혈관 손상 등), 고세포 밀도(악성 종양), 고점도(농양)과 같은 병변을 검출할 수 있기 때문에 루틴으로 촬영되는 경우가 많다. 부종성 병변에서는 혈관성 부종의 경우 DWI에서는 고신호가 되지 않지만, 시간 경과에 따라 세포성 부종의 요소가 나타나면 고신호가 된다. 확산 강조 영상은 T2 강조 영상을 원 영상으로 하고 있기 때문에 T2 강조 영상의 명암도 반영되므로 확산 저하가 인정되지 않더라도 고신호를 나타내는 경우가 있다.
: DWI에서 고신호를 나타내는 경우는 다음의 세 가지 경우인 경우가 대부분이다. ADC 값이 주변보다 낮고 원 영상에서는 주변과 동등한 경우(초급성기 뇌경색)나, ADC 값이 주변보다 낮고 원 영상에서도 주변보다 고신호(뇌경색 급성기), 원 영상에서 주변보다 고신호이고 ADC 값이 변하지 않는, 소위 T2 shine through라는 상태가 있다. ADC 값을 조사하기 위해 ADC-MAP을 추가하는 경우도 많다.
- ADC 영상
: 확산 계수를 그대로 영상화한 것으로 ADC-MAP이라고도 한다. DWI에서 고신호이고 ADC-MAP에서 저신호를 나타내면 확산 계수의 저하라고 할 수 있다. 두 가지를 조합함으로써 T2 shine through와 같은 수정 인자를 제외할 수 있다. 그러나 병변의 검출에는 부적합하기 때문에 어디까지나 해석이나 검토용 영상이다.
- T2* 강조 영상
: 스핀 에코 기법이 아니라 구배 에코 기법으로 실시된 T2WI와 비슷한 명암의 영상이다. TE가 짧더라도 T2WI와 비슷한 명암을 얻을 수 있기 때문에 스핀 에코 기법이 고속화되기 전에는 T2WI의 대용으로 사용되는 경우도 있었다. 2009년 현재는 미량의 철의 침착 검출, 특히 출혈성 병변의 검출을 위해 사용된다.
- VSRAD
: 전뇌 조사법이며 알츠하이머병 등의 진단에 사용되는 경우가 있다. 분석에는 수치 해석 소프트웨어 MATLAB이나 무료 소프트웨어 SPM 등이 사용되는 경우가 있다. MPR을 사용함으로써 시상면에서 관상면으로 단면을 변경하거나 3D 재구성이 가능하다.
- SAS(surface anatomy scan)
: 뇌표면을 평가하는 영상이다. 중심 영역에서 두정 영역에 걸친 수평 단면을 뇌실을 포함하지 않도록 4cm의 두께로 스캔하는 가타다(片田) 방법이 알려져 있다. 대뇌 피질 기저핵 변성증이나 신경 세포 유주 장애 등에 사용되는 경우가 있다.
- CISS(Constructive Interference in Steady State image)
: 뇌척수액을 고신호, 그 외는 저신호로 나타내는 T2 명암 영상이다. 두개강 내의 미세 구조가 표출 가능하며, 활차 신경을 제외한 뇌신경은 모두 표출 가능하다.
- T2R(T2-Reversed image)
: T2 명암을 반전시킨 영상이다. 뇌척수액을 저신호, 뇌혈관을 고신호, 뇌실질이나 뇌신경을 중간 신호로 나타낸다. 신경 혈관 압박 증후군의 진단에 사용된다.
- SSFP(3D-steady-state free precession)
: SSFP를 촬영함으로써 뇌수종의 협착 부위를 확인할 수 있는 경우가 있다. 제조업체에 따라 true FISP, FIESTA, balanced FFE 등의 명칭이 된다. 뇌척수액은 강한 고신호를 나타내고, 신경과 혈관은 저신호를 나타낸다. 신경이나 혈관의 평가와 뇌실의 평가에 적합한 영상이다.
- 지방 억제 기법
- CHESS 기법
: 선택적 지방 억제 기법이다. CHESS 기법으로 억제되면 그 신호 영역은 지방이라는 것을 알 수 있다.
- STIR 기법(short TI inversion recovery)
: 지방의 종자화가 null point가 되는 시점에 신호를 수집하여 지방(또는 지방과 거의 같은 T1 값을 가진 조직)으로부터의 신호를 억제한 영상을 얻는 촬영 방법이다. 안와 내 병변, 척수 병변, 염증 부위를 검출하기 쉽게 하는 방법이다. 비선택적 지방 억제 기법이며, 억제되더라도 그 조직이 지방이라는 것을 알 수는 없다.
- SPAIR 기법
: 선택적 지방 억제 기법이다. CHESS 기법보다 자장의 불균일성에 강하며, 유방 등에서는 지방 억제의 주류가 되고 있다.
- Water Excitation 기법(물/지방 신호 상쇄 기법)
: 자장의 불균일성에는 강하지만 촬영 시간의 연장이 문제가 된다.
- 관류 강조 영상(perfusion weighted image)
: PWI라고 한다. 혈액량의 지표가 된다. 뇌졸중에서 반그늘 영역의 평가에 사용되는 경우가 있다.
- single shot 기법
: 지멘스의 HASTE, GE의 SSFSE, 필립스의 one shot TSE, 도시바의 FASE 등이 single shot 기법과 하프 푸리에 기법을 병용한 방법이다. MRCP나 MRU에서 자주 사용된다. 촬영 타입에 thin slice와 thick slice가 있으며, 구분하여 사용하는 것이 중요하다. thin slice에서는 MIP 등 재구성이 필요하게 된다. 이러한 촬영 방법은 하프 푸리에 RARE라고도 불린다. 하프 푸리에 기법을 사용하지 않고 일반적인 푸리에 변환을 실시하는 경우는 true RARE라고 불린다.
- 조영 MRI
: MRI는 조직 특이성이 높지 않기 때문에 조영제를 사용하는 경우가 있다.
- 가돌리늄 화합물
: 가돌리늄은 그 원자핵적인 성질상 합성 스핀 각운동량에 의한 자기 모멘트가 최대가 되기 때문에 조영제로 사용된다. 가돌리늄 단체는 독성이 강하기 때문에 가돌리늄을 킬레이트하여 안정화시킴으로써 독성을 없애고 이용한다. 세포외액에 분포하여 전신의 진단에 사용된다. 가돌리늄은 칼슘 이온 농도 측정을 위한 약품과 결합하는 성질이 있어 가돌리늄 화합물 사용 후 혈중 칼슘 이온 농도를 측정하면 실제 혈중 농도보다 낮은 값이 나온다.
- 초상자성산화철(SPIO)
: 간을 조영하기 위한 조영제이다. 정상적인 간에서는 철은 우선 쿠퍼 세포에서 흡수되지만, 이상적인 간에서는 쿠퍼 세포가 존재하지 않아 흡수되지 않는다. 이 성질을 이용하여 "이상적인 간이 조영되지 않는다"는 점에서 진단적 가치가 있는 조영제(음성 조영제)이다.
- EOB·가돌리늄 조영
: 마그네비스트를 개량하여 에톡시벤질(EOB: ethoxybenzyl)로 변형된 가돌리늄계 조영제 "EOB·프리모비스트"에 의한 촬영 방법. 에톡시벤질에 의해 간세포로의 흡수가 우수하며, SPIO보다 다이나믹 MRI에서의 소견이 다이나믹 CT에 가까워 간세포암의 촬영에 최근 2013년 2월 많이 사용되고 있다.
- 뺄셈 영상
: 조영 후 영상에서 조영 전 영상을 빼서 조영 효과를 알기 쉽게 한 영상이다. 유방이나 대혈관의 평가에 자주 사용된다.
- 자기 공명 혈관 조영술(MRA: magnetic resonance angiography)
: 좁은 의미로는 관내를 움직이는 프로톤(수소 원자핵)만을 고신호로 나타내는 방법으로, Bright Blood Imaging이라고도 한다. 조영제를 사용하는 방법과 사용하지 않는 방법이 있다. 이에 대해 혈관을 저신호로 나타내고 벽의 성질을 평가하는 plaque imaging을 Dark Blood Imaging이라고 한다.
- 비조영 MRA (Bright Blood Imaging)
: 두부에서는 TOF 기법(time of flight)에 의한 것이 보급되어 있다. 이것은 TR이 짧은 구배 에코 기법이며, MIP 영상(최대값 투영 영상)으로 재구성하여 표시하는 경우가 많다. 신장 동맥의 평가에서는 time SLIP 기법, 하지 동맥에서는 Flesh Blood Imaging(FBI), 관상 동맥에서는 true FISP를 사용한 whole heart coronary MR angiography(WHCMRA) 등이 사용된다.
- 비조영 MRA(Dark Blood Imaging)
: 심전도 동기로 Double Inversion Recovery 기법을 사용한 T1 강조 영상, T2 강조 영상, 프로톤 밀도 강조 영상으로 플라크의 성질을 평가한다. 혈액의 신호를 null point에 둔 MP-RAGE를 사용하면 3D로 plaque imaging을 촬영할 수 있다.
- 조영 MRA
: 경부 혈관은 내경 동맥 분지부에서 난류가 발생하기 때문에 TOF 기법에서는 평가가 어렵지만 조영제를 사용하면 양호한 표출을 얻을 수 있다. 이 경우의 조영제 주입에는 인젝터를 사용하거나 타이밍 촬영을 실시한다. 최근 MDCT의 발전, 신성 전신 경화증(NSF)이라는 합병증의 출현 등으로 조영 MRA의 사용 빈도가 감소하고 있다.
- MR담도췌관촬영(MRCP: Magnetic Resonance CholangioPancreatography)
: 담즙·췌액이 매우 긴 T2 값을 가지는 것을 이용하여 T2 강조상으로 조영제를 사용하지 않고 췌담관상을 얻는 방법이다.
- MR 현미경
: 대략 100μm 이하의 높은 공간 분해능을 가진 MRI 촬영 기법이다. 한편, 촬영 범위 FOV는 수 mm 정도밖에 촬영할 수 없다.
- '''자기 공명 분광법(MRS)'''
: 신체 조직 내 다양한 대사체의 농도를 측정하여 질병을 진단하는 기법이다.[65] "여기된" 동위원소의 서로 다른 분자 배열에 해당하는 공명 스펙트럼을 생성하는 MR 신호를 이용하며, 특히 뇌에 영향을 미치는 특정 대사 장애[66]를 진단하거나 종양 대사에 대한 정보를 제공하는 데 사용된다.[67]
자기 공명 분광 영상(MRSI)은 분광법과 영상법을 결합하여 시료 또는 환자 내부에서 공간적으로 국한된 스펙트럼을 생성한다. 공간 분해능은 SNR에 의해 제한되어 낮지만, 각 복셀의 스펙트럼에는 많은 대사체에 대한 정보가 포함되어 있다. MRSI는 높은 SNR을 필요로 하므로 3T 이상의 높은 필드 강도에서 주로 사용된다.[68] 그러나 매우 높은 필드 강도의 MRI는 구매 및 유지 관리 비용이 높아[69] 사용에 제약이 있다. 최근에는 압축 센싱 기반 소프트웨어 알고리즘(예: SAMV[70])을 통해 높은 필드 강도 없이도 초고해상도를 달성하는 방법이 연구되고 있다.
MRS는 뇌종양, 뇌졸중, 간질, 알츠하이머병 등 다양한 질환의 진단 및 치료 효과 판정에 사용된다.
- '''실시간 MRI'''
: 실시간 MRI는 움직이는 장기나 생리 현상을 실시간으로 관찰하는 기법이다. 심장 박동, 호흡, 연하 운동 등을 관찰할 수 있다.
- '''중재적 MRI'''
: 자기공명영상(MRI)은 환자와 의료진에게 해로운 영향이 없어 최소침습적 시술을 안내하는 영상을 생성하는 중재적 방사선학에 매우 적합하다.[71] 이러한 시술에는 강자성체 기구를 사용하지 않는다.[71] MRI 유도 하에 생검, 배액술, 종양 소작술 등이 시행된다.
중재적 MRI의 특수하고 성장하는 하위 분야는 수술 중 MRI이며, 이는 수술 중 MRI를 사용하는 것을 말한다.[72] 일부 특수 MRI 시스템은 수술 절차와 동시에 영상을 생성할 수 있다.[72]
- '''다핵종 영상'''
: 수소는 생물 조직에 풍부하고 높은 자기회전비로 강한 신호를 제공하여 MRI에서 가장 자주 영상화되는 원자핵이다. 그러나 순 핵 스핀을 가진 다른 핵종, 예를 들어 헬륨-3, 리튬-7, 탄소-13, 플루오린-19, 산소-17, 나트륨-23, 인-31 및 크세논-129 등도 잠재적으로 MRI에 사용될 수 있다.[74] 23Na와 31P는 신체에 자연적으로 풍부하여 직접 영상화할 수 있다. 3He 또는 129Xe와 같은 기체 동위원소는 초편극 후 흡입해야 하는데, 이는 정상 조건에서 핵 밀도가 낮아 유용한 신호를 얻기 어렵기 때문이다. 17O과 19F는 액체 형태(예: 17O-물)로 충분한 양을 투여할 수 있어 초편극이 필요하지 않다.[74] 헬륨이나 크세논을 사용하면 배경 잡음이 줄어들어 영상 자체의 대조도가 향상된다.[75]
또한, 수소 원자에 결합된 모든 원자의 핵은 이핵 자화 전달 MRI를 통해 영상화될 수 있다.[76] 이핵 자화 전달 MRI는 특정 화학 결합의 존재 여부를 감지하는 데 사용될 수 있다.[77][78]
다핵 영상은 현재 주로 연구 기술이다. 그러나 잠재적인 응용 분야에는 기능적 영상, 1H MRI에서 잘 보이지 않는 기관(예: 폐, 뼈) 영상, 또는 대체 조영제 등이 있다. 흡입된 초편극 3He는 폐 내부 공기 공간 분포를 영상화하는 데 사용될 수 있다. 초편극 129Xe의 안정화된 기포를 포함하는 주입 가능한 용액은 혈관조영술 및 관류 영상의 조영제로 연구되었다. 31P는 뼈 밀도 및 구조, 뇌 기능 영상 정보를 제공할 수 있다. 다핵 영상은 인간 뇌에서 리튬 분포를 파악할 수 있으며, 리튬은 조울증 환자에게 중요한 약물로 사용된다.[79]
- '''분자 영상'''
: MRI는 매우 높은 공간 분해능을 가지고 있으며 형태 이미징과 기능적 이미징에 매우 능숙하다는 장점이 있다.[80] 그러나 MRI의 감도는 약 10−3 mol/L ~ 10−5 mol/L이며, 이는 다른 유형의 이미징과 비교할 때 매우 제한적일 수 있다.[80] 이러한 낮은 감도의 문제를 해결하기 위해 자기장 세기를 증가시키거나, 초극초분극을 광펌핑 또는 동적 핵 분극을 통해 사용하는 방법, 그리고 화학적 교환을 기반으로 하는 다양한 신호 증폭 방식이 사용된다.[80]
질병 바이오마커의 분자 이미징을 MRI로 달성하려면 높은 특이성과 이완성(감도)을 가진 표적 MRI 조영제가 필요하다.[81] 현재까지 펩타이드, 항체, 소분자 리간드, HER-2 아피바디와 같은 소형 단백질 도메인을 이용한 표적 MRI 조영제 개발 연구가 많이 진행되었다.[81] 조영제의 감도를 높이기 위해 이러한 표적화 부분은 일반적으로 고 부하량 MRI 조영제 또는 높은 이완성을 가진 MRI 조영제에 연결된다.[81]
최근에는 고유한 mRNA와 유전자 전사 인자 단백질의 유전자 작용을 보여주는 새로운 유형의 유전자 표적 MR 조영제가 도입되었다.[82][83] 이러한 조영제는 고유한 mRNA, 마이크로RNA 및 바이러스를 가진 세포, 살아있는 뇌에서 염증에 대한 조직 반응을 추적하는 데 사용될 수 있다.[84]
- '''병렬 MRI'''
: 병렬 MRI는 여러 개의 무선 주파수(RF) 검출기 코일 어레이를 사용하여 MRI 데이터의 일부를 동시에 수집함으로써 영상 획득 시간을 단축하는 기법이다.[86] 각각의 코일은 신체의 다른 '시야'를 가지며, 감소된 기울기 단계 집합이 적용된다. 나머지 공간 정보는 알려진 공간 감도 패턴을 기반으로 다양한 코일의 신호를 결합하여 채워진다.[86][87][88]
일반적으로 2~4배의 가속이 가능하며, 특수 코일 어레이를 사용하면 더 높은 가속도 가능하다. 병렬 MRI는 영상 품질을 유지하면서 검사 시간을 줄여 환자의 불편을 줄일 수 있으며, 대부분의 MRI 촬영 기법에 사용될 수 있다.[86]
1996~7년에 공간 고조파의 동시 획득(SMASH) 기법이 도입된 이후,[86] 감도 인코딩(SENSE)[87] 및 일반화된 자동 보정 부분 병렬 획득(GRAPPA)[88] 기법이 현재 가장 일반적으로 사용되는 병렬 영상화 방법이다. 병렬 MRI의 출현은 영상 재구성 및 RF 코일 설계에 대한 광범위한 연구 개발과 상용 MR 시스템에서 사용 가능한 수신기 채널 수의 급격한 증가를 가져왔다. 현재 병렬 MRI는 광범위한 신체 부위 및 임상 또는 연구 응용 분야에서 MRI 검사에 일상적으로 사용된다.
- '''정량적 MRI'''
: 대부분의 자기공명영상(MRI)은 신호 강도의 상대적 변화의 공간 지도를 얻어 특정 매개변수에 따라 "가중치가 부여된" 신호를 정성적으로 해석하는 데 중점을 둔다.[89] 반면 정량적 MRI는 조직의 물리적, 화학적 특성을 정량적으로 측정하는 기법으로, 정확한 조직 완화 매개변수 값 또는 자기장의 공간 지도를 결정하거나 특정 공간적 특징의 크기를 측정하려고 시도한다.[89]
정량적 MRI 방법의 예시는 다음과 같다:
- T1 매핑 (특히 심장 자기공명영상[90]에 사용됨)
- T2 매핑[91]
- 정량적 감수성 매핑(QSM)
- 정량적 유체 흐름 MRI (즉, 일부 뇌척수액 흐름 MRI[92])
- 자기공명 탄성영상(MRE)[93]
정량적 MRI는 MR 영상과 해석의 재현성을 높이는 것을 목표로 하지만, 역사적으로 더 긴 스캔 시간이 필요했다.[89]
정량적 MRI(또는 qMRI)는 때때로 더 구체적으로 다중 매개변수 정량적 MRI, 즉 단일 영상 촬영 세션에서 여러 조직 완화 매개변수의 매핑을 의미한다.[94] 다중 매개변수 정량적 MRI를 더 빠르게 하려는 노력으로, 각 매개변수에 대한 별도의 인코딩 방법을 시퀀스에 통합하거나,[95] MR 신호 진화를 다중 매개변수 모델에 맞춤으로써[96][97] 여러 매개변수를 동시에 매핑하는 시퀀스가 생성되었다.
정량적 MRI는 질병의 조기 진단, 치료 반응 평가, 예후 예측 등에 활용될 수 있다.
- '''극저온 기체 MRI'''
: 극저온 기체 자기공명영상(MRI)은 극저온 기체(예: 헬륨, 크세논)를 흡입하여 폐 기능을 평가하는 기법이다. 기존 MRI는 폐 조직 내 물 분자가 적어 영상이 좋지 않지만, 극저온 기체를 사용하면 폐의 환기 결함을 식별할 수 있다. 환자는 헬륨이나 질소 완충 기체와 혼합된 극저온 크세논을 흡입하며, 생성되는 폐 영상은 기존 MRI보다 훨씬 높은 화질을 제공한다.
유도 치료에서, 고강도 집속 초음파(HIFU) 빔은 MR 열 영상을 사용하여 제어되는 조직에 집중된다. 초점에서의 높은 에너지로 인해 온도가 65°C 이상으로 상승하여 조직이 완전히 파괴된다. 이 기술은 병든 조직의 정확한 절제를 달성할 수 있다. MR 영상은 표적 조직의 3차원 영상을 제공하여 초음파 에너지를 정확하게 집중할 수 있게 한다. MR 영상은 치료 부위의 정량적이고 실시간적인 열 영상을 제공한다. 이를 통해 의사는 초음파 에너지의 각 주기 동안 생성된 온도가 원하는 조직 내에서 열 절제를 일으키기에 충분한지 확인하고, 그렇지 않은 경우 효과적인 치료를 보장하기 위해 매개변수를 조정할 수 있다.[73]
8. 1. 자기 공명 분광법 (MRS)
자기 공명 분광법(MRS)은 신체 조직 내 다양한 대사체의 농도를 측정하여 질병을 진단하는 기법이다.[65] "여기된" 동위원소의 서로 다른 분자 배열에 해당하는 공명 스펙트럼을 생성하는 MR 신호를 이용하며, 특히 뇌에 영향을 미치는 특정 대사 장애[66]를 진단하거나 종양 대사에 대한 정보를 제공하는 데 사용된다.[67]자기 공명 분광 영상(MRSI)은 분광법과 영상법을 결합하여 시료 또는 환자 내부에서 공간적으로 국한된 스펙트럼을 생성한다. 공간 분해능은 SNR에 의해 제한되어 낮지만, 각 복셀의 스펙트럼에는 많은 대사체에 대한 정보가 포함되어 있다. MRSI는 높은 SNR을 필요로 하므로 3T 이상의 높은 필드 강도에서 주로 사용된다.[68] 그러나 매우 높은 필드 강도의 MRI는 구매 및 유지 관리 비용이 높아[69] 사용에 제약이 있다. 최근에는 압축 센싱 기반 소프트웨어 알고리즘(예: SAMV[70])을 통해 높은 필드 강도 없이도 초고해상도를 달성하는 방법이 연구되고 있다.
MRS는 뇌종양, 뇌졸중, 간질, 알츠하이머병 등 다양한 질환의 진단 및 치료 효과 판정에 사용된다.
8. 2. 실시간 MRI
실시간 MRI는 움직이는 장기나 생리 현상을 실시간으로 관찰하는 기법이다. 심장 박동, 호흡, 연하 운동 등을 관찰할 수 있다.
8. 3. 중재적 MRI
자기공명영상(MRI)은 환자와 의료진에게 해로운 영향이 없어 최소침습적 시술을 안내하는 영상을 생성하는 중재적 방사선학에 매우 적합하다.[71] 이러한 시술에는 강자성체 기구를 사용하지 않는다.[71] MRI 유도 하에 생검, 배액술, 종양 소작술 등이 시행된다.중재적 MRI의 특수하고 성장하는 하위 분야는 수술 중 MRI이며, 이는 수술 중 MRI를 사용하는 것을 말한다.[72] 일부 특수 MRI 시스템은 수술 절차와 동시에 영상을 생성할 수 있다.[72]
8. 4. 다핵종 영상
수소는 생물 조직에 풍부하고 높은 자기회전비로 강한 신호를 제공하여 MRI에서 가장 자주 영상화되는 원자핵이다. 그러나 순 핵 스핀을 가진 다른 핵종, 예를 들어 헬륨-3, 리튬-7, 탄소-13, 플루오린-19, 산소-17, 나트륨-23, 인-31 및 크세논-129 등도 잠재적으로 MRI에 사용될 수 있다.[74] 23Na와 31P는 신체에 자연적으로 풍부하여 직접 영상화할 수 있다. 3He 또는 129Xe와 같은 기체 동위원소는 초편극 후 흡입해야 하는데, 이는 정상 조건에서 핵 밀도가 낮아 유용한 신호를 얻기 어렵기 때문이다. 17O과 19F는 액체 형태(예: 17O-물)로 충분한 양을 투여할 수 있어 초편극이 필요하지 않다.[74] 헬륨이나 크세논을 사용하면 배경 잡음이 줄어들어 영상 자체의 대조도가 향상된다.[75]또한, 수소 원자에 결합된 모든 원자의 핵은 이핵 자화 전달 MRI를 통해 영상화될 수 있다.[76] 이핵 자화 전달 MRI는 특정 화학 결합의 존재 여부를 감지하는 데 사용될 수 있다.[77][78]
다핵 영상은 현재 주로 연구 기술이다. 그러나 잠재적인 응용 분야에는 기능적 영상, 1H MRI에서 잘 보이지 않는 기관(예: 폐, 뼈) 영상, 또는 대체 조영제 등이 있다. 흡입된 초편극 3He는 폐 내부 공기 공간 분포를 영상화하는 데 사용될 수 있다. 초편극 129Xe의 안정화된 기포를 포함하는 주입 가능한 용액은 혈관조영술 및 관류 영상의 조영제로 연구되었다. 31P는 뼈 밀도 및 구조, 뇌 기능 영상 정보를 제공할 수 있다. 다핵 영상은 인간 뇌에서 리튬 분포를 파악할 수 있으며, 리튬은 조울증 환자에게 중요한 약물로 사용된다.[79]
8. 5. 분자 영상
MRI는 매우 높은 공간 분해능을 가지고 있으며 형태 이미징과 기능적 이미징에 매우 능숙하다는 장점이 있다.[80] 그러나 MRI의 감도는 약 10−3 mol/L ~ 10−5 mol/L이며, 이는 다른 유형의 이미징과 비교할 때 매우 제한적일 수 있다.[80] 이러한 낮은 감도의 문제를 해결하기 위해 자기장 세기를 증가시키거나, 초극초분극을 광펌핑 또는 동적 핵 분극을 통해 사용하는 방법, 그리고 화학적 교환을 기반으로 하는 다양한 신호 증폭 방식이 사용된다.[80]질병 바이오마커의 분자 이미징을 MRI로 달성하려면 높은 특이성과 이완성(감도)을 가진 표적 MRI 조영제가 필요하다.[81] 현재까지 펩타이드, 항체, 소분자 리간드, HER-2 아피바디와 같은 소형 단백질 도메인을 이용한 표적 MRI 조영제 개발 연구가 많이 진행되었다.[81] 조영제의 감도를 높이기 위해 이러한 표적화 부분은 일반적으로 고 부하량 MRI 조영제 또는 높은 이완성을 가진 MRI 조영제에 연결된다.[81]
최근에는 고유한 mRNA와 유전자 전사 인자 단백질의 유전자 작용을 보여주는 새로운 유형의 유전자 표적 MR 조영제가 도입되었다.[82][83] 이러한 조영제는 고유한 mRNA, 마이크로RNA 및 바이러스를 가진 세포, 살아있는 뇌에서 염증에 대한 조직 반응을 추적하는 데 사용될 수 있다.[84]
8. 6. 병렬 MRI
병렬 MRI는 여러 개의 무선 주파수(RF) 검출기 코일 어레이를 사용하여 MRI 데이터의 일부를 동시에 수집함으로써 영상 획득 시간을 단축하는 기법이다.[86] 각각의 코일은 신체의 다른 '시야'를 가지며, 감소된 기울기 단계 집합이 적용된다. 나머지 공간 정보는 알려진 공간 감도 패턴을 기반으로 다양한 코일의 신호를 결합하여 채워진다.[86][87][88]일반적으로 2~4배의 가속이 가능하며, 특수 코일 어레이를 사용하면 더 높은 가속도 가능하다. 병렬 MRI는 영상 품질을 유지하면서 검사 시간을 줄여 환자의 불편을 줄일 수 있으며, 대부분의 MRI 촬영 기법에 사용될 수 있다.[86]
1996~7년에 공간 고조파의 동시 획득(SMASH) 기법이 도입된 이후,[86] 감도 인코딩(SENSE)[87] 및 일반화된 자동 보정 부분 병렬 획득(GRAPPA)[88] 기법이 현재 가장 일반적으로 사용되는 병렬 영상화 방법이다. 병렬 MRI의 출현은 영상 재구성 및 RF 코일 설계에 대한 광범위한 연구 개발과 상용 MR 시스템에서 사용 가능한 수신기 채널 수의 급격한 증가를 가져왔다. 현재 병렬 MRI는 광범위한 신체 부위 및 임상 또는 연구 응용 분야에서 MRI 검사에 일상적으로 사용된다.
8. 7. 정량적 MRI
대부분의 자기공명영상(MRI)은 신호 강도의 상대적 변화의 공간 지도를 얻어 특정 매개변수에 따라 "가중치가 부여된" 신호를 정성적으로 해석하는 데 중점을 둔다.[89] 반면 정량적 MRI는 조직의 물리적, 화학적 특성을 정량적으로 측정하는 기법으로, 정확한 조직 완화 매개변수 값 또는 자기장의 공간 지도를 결정하거나 특정 공간적 특징의 크기를 측정하려고 시도한다.[89]정량적 MRI 방법의 예시는 다음과 같다:
- T1 매핑 (특히 심장 자기공명영상[90]에 사용됨)
- T2 매핑[91]
- 정량적 감수성 매핑(QSM)
- 정량적 유체 흐름 MRI (즉, 일부 뇌척수액 흐름 MRI[92])
- 자기공명 탄성영상(MRE)[93]
정량적 MRI는 MR 영상과 해석의 재현성을 높이는 것을 목표로 하지만, 역사적으로 더 긴 스캔 시간이 필요했다.[89]
정량적 MRI(또는 qMRI)는 때때로 더 구체적으로 다중 매개변수 정량적 MRI, 즉 단일 영상 촬영 세션에서 여러 조직 완화 매개변수의 매핑을 의미한다.[94] 다중 매개변수 정량적 MRI를 더 빠르게 하려는 노력으로, 각 매개변수에 대한 별도의 인코딩 방법을 시퀀스에 통합하거나,[95] MR 신호 진화를 다중 매개변수 모델에 맞춤으로써[96][97] 여러 매개변수를 동시에 매핑하는 시퀀스가 생성되었다.
정량적 MRI는 질병의 조기 진단, 치료 반응 평가, 예후 예측 등에 활용될 수 있다.
8. 8. 극저온 기체 MRI
극저온 기체 자기공명영상(MRI)은 극저온 기체(예: 헬륨, 크세논)를 흡입하여 폐 기능을 평가하는 기법이다. 기존 MRI는 폐 조직 내 물 분자가 적어 영상이 좋지 않지만, 극저온 기체를 사용하면 폐의 환기 결함을 식별할 수 있다. 환자는 헬륨이나 질소 완충 기체와 혼합된 극저온 크세논을 흡입하며, 생성되는 폐 영상은 기존 MRI보다 훨씬 높은 화질을 제공한다.9. 안전성
MRI는 일반적으로 안전한 검사이지만, 강한 자기장으로 인해 금속성 물질이 체내에 있는 환자는 검사가 제한될 수 있다.[98] 인공 심박 조율기, 인공 와우, 금속 파편 등이 있는 경우 검사 전에 반드시 의료진에게 알려야 한다.[99] 특히, 인공 와우는 전자기 유도에 의해 발생하는 유도 전류로 인해 고장날 수 있지만, 2018년 시점에서 MRI 촬영에 대응하는 인공 와우는 아직 개발되지 않았으므로 촬영은 금기이다. 인공 와우는 강한 X선에 의해서도 고장날 가능성이 높기 때문에 CT 촬영도 받을 수 없을 가능성이 있다.
2012년 3월에는 조건부로 전신 MRI 촬영이 가능한 박동기 시스템이 약사 승인되었으며, 같은 해 10월부터 국내 판매가 시작되었다. 조건부 MRI 대응 기기와 기존 MRI 금기 기기가 혼재하고 있으므로 검사에는 주의가 필요하다.
임신 중 자기 공명 영상은 조영제를 사용하지 않는 경우 적어도 임신 2, 3기에는 안전한 것으로 알려져 있다.[99] 하지만, 강자장이 인체에 미치는 영향에 대해서는 아직 알려지지 않은 부분이 있으므로,[155] 임신 중이거나 임신 가능성이 있는 경우에는 의료진에게 반드시 알려야 한다.
MRI 기계는 최대 120 dB(A)의 큰 소음을 발생시킬 수 있다.[107] 이는 경사 자장 코일이 로렌츠 힘에 의해 진동하기 때문이며, 촬영 방법이나 정자장의 크기에 따라 100dB을 초과하는 경우도 있다. 검사 중 MRI 스캐너실 내부의 모든 사람에게 적절한 청력 보호 장치가 필수적이며, 두부 촬영 시에는 귀마개를, 그 외에는 헤드밴드 형태의 밀폐형 헤드폰과 유사한 형태의 귀덮개(이어머프)를 착용시킨다.
폐쇄 공포증 환자나 소아는 검사 중 불안감을 느낄 수 있으므로, 필요시 진정제를 투여하거나 개방형 MRI를 사용할 수 있다.[101][102][150]
MRI는 강력한 자석을 사용하므로 자성체가 고속으로 움직여 발사체 위험을 초래하고 치명적인 사고를 유발할 수 있다.[104] 산소 통이나 휠체어, 스트레처, 생체 모니터 등의 의료 기기는 MRI 검사실에 반입하려면 전용 제품이 필요하다. MRI실에 반입된 산소통이 강력한 자장에 의해 흡착되어 MRI 장치를 직접 타격하여 파손시키거나 사망 사고가 여러 차례 발생하고 있다.[153]
마스카라, 아이라이너, 아이브로우, 아이섀도우 등의 화장품 중에는 자성체를 포함하는 성분이 함유된 것이 있으며, 검사에 의해 화상을 입을 수 있으므로 검사 전에 지우는 것이 필요하다.[152] 컬러 콘택트렌즈나 문신, 일부 부착 약물도 자성체를 포함하고 있는 경우 열을 발생하여 화상을 일으킬 수 있다.[152]
인공 관절, 골절 부위의 접합 플레이트나 볼트, 내시경 수술에 사용된 스테이플러, 카테터 수술에 사용된 동맥류 색전 코일, 방사선 치료에 사용된 밀봉 소선원이나 금속 마커 등 제거할 수 없는 체내 삽입 금속이 있는 경우 반드시 의사에게 보고해야 한다.
가돌리늄 조영제를 사용하는 경우 알레르기 반응이나 구역질과 같은 부작용이 있을 수 있으며, 기관지 천식의 과거력이 있는 경우에는 원칙적으로 사용할 수 없다.[150]
10. 비의료적 사용
자기공명영상(MRI)은 화학 물질 분석에 산업적으로 사용된다.[1] 예를 들어, 핵자기공명 기술은 식품의 물과 지방 비율 측정, 파이프 내 부식성 유체의 흐름 모니터링, 촉매와 같은 분자 구조 연구에 사용된다.[1]
비침습적이고 비파괴적인 MRI는 식물의 해부학적 구조, 수분 이동 과정 및 수분 균형을 연구하는 데 사용될 수 있다.[111] 수의학 방사선학에도 적용되지만,[112] 비용 문제로 동물학 분야에서의 사용은 제한적이다.[112] 고생물학에서는 화석 구조 조사에 사용된다.[113]
법의학 영상은 수동 부검에서 제공할 수 없는 부검의 그래픽 문서를 제공한다. CT 스캔이 골격 및 실질 변화에 대한 빠른 전신 영상을 제공하는 반면, MR 영상은 연조직 병리를 더 잘 나타낸다.[114] 그러나 MRI는 더 비싸고 사용 시간이 더 오래 걸리며,[114] 10°C 이하에서는 영상 품질이 저하된다.[115]
캘리포니아대학교 데이비스에서는 와인을 개봉하지 않고 MRI로 조사하는 연구를 하고 있다.[164] 식품의 품질 관리를 위해 소형 MRI가 개발되고 있다.[165][166]
11. 한국의 MRI 현황 및 정책
한국은 1980년대 초 자기공명영상(MRI)을 도입한 이후, MRI 장비 보급률과 검사 건수가 꾸준히 증가해 왔다. 건강보험 적용 확대로 MRI 검사의 접근성이 높아졌으며, 특히 뇌, 척수, 관절 등 주요 부위의 MRI 검사는 건강보험 혜택을 받을 수 있다. 더불어민주당은 MRI 검사의 건강보험 적용 범위를 확대하고, 취약 계층의 의료비 부담을 완화하는 정책을 추진해 왔다. 이를 통해 국민들이 MRI 검사를 보다 쉽게 이용하고, 질병의 조기 진단 및 치료를 받을 수 있도록 지원하고 있다.
다만, MRI 검사의 오남용을 방지하고, 적절한 의료 이용을 유도하기 위한 정책적 노력도 필요하다. 의학회는 의사가 환자에게 MRI를 사용해야 하는 시기를 위한 가이드라인을 발표하고 과다 사용을 권장하지 않는다. MRI는 건강 문제를 감지하거나 진단을 확인할 수 있지만, 의학회는 종종 환자의 불만을 진단하거나 관리하기 위한 계획을 세우는 첫 번째 절차로 MRI를 사용하지 않는 것이 좋다고 권장한다. 예를 들어 미국 내과 대학(American College of Physicians)은 환자에게 긍정적인 결과를 가져올 가능성이 적다는 이유로 허리 통증의 원인을 찾기 위한 영상 촬영(MRI 포함)을 권장하지 않는다.
참조
[1]
서적
Magnetic Resonance in Medicine. A critical introduction. e-Textbook.
TRTF – The Round Table Foundation: TwinTree Media
[1]
웹사이트
Magnetic Resonance in Medicine
http://magnetic-reso[...]
[2]
서적
MRI from Picture to Proton
Cambridge University Press
2007
[3]
학술지
NMR Signal Reception: Virtual Photons and Coherent Spontaneous Emission
[4]
학술지
Use of diagnostic imaging studies and associated radiation exposure for patients enrolled in large integrated health care systems, 1996-2010
2012-06-00
[5]
서적
Health at a glance 2009 OECD indicators
2009
[6]
서적
MRI from picture to proton
Cambridge University Press
2007
[7]
웹사이트
National Cancer Institute
https://www.cancer.g[...]
2024-09-16
[8]
웹사이트
Tesla Engineering Ltd - Magnet Division - MRI Supercon
http://www.tesla.co.[...]
2022-08-16
[9]
웹사이트
Successful Development of a 9.4T/800mm Whole-body MRI Superconducting Magnet at IEE CAS
https://snf.ieeecsc.[...]
2022-01-00
[10]
학술지
The world's strongest MRI machines are pushing human imaging to new limits
https://www.nature.c[...]
2018-10-31
[11]
웹사이트
The most powerful MRI scanner in the world delivers its first images!
https://www.cea.fr/e[...]
2022-08-16
[12]
학술지
MRI and MRS of the human brain at magnetic fields of 14T to 20T: Technical feasibility, safety, and neuroscience horizons
2018-03-01
[13]
학술지
Key designs of a short-bore and cryogen-free high temperature superconducting magnet system for 14 T whole-body MRI
https://iopscience.i[...]
2021-12-01
[14]
학술지
MR of the shoulder with a 0.2-T permanent-magnet unit
1990-04-00
[15]
뉴스
Guildford company gets FDA approval for bedside MRI
https://www.ctinside[...]
2020-02-12
[16]
학술지
Microtesla MRI with a superconducting quantum interference device
2004-05-00
[17]
학술지
SQUID-based instrumentation for ultralow-field MRI
[18]
학술지
Hybrid ultra-low-field MRI and magnetoencephalography system based on a commercial whole-head neuromagnetometer
2013-06-00
[19]
학술지
Basic MR Relaxation Mechanisms and Contrast Agent Design
2015
[20]
웹사이트
T1 relaxation experiment
http://imserc.northw[...]
[21]
서적
Molecular Spectroscopy
CRC Press/Taylor and Francis Group
2017
[22]
웹사이트
Basic proton MR imaging. Tissue Signal Characteristics
http://www.med.harva[...]
[23]
웹사이트
MRI sequences
http://www.slideshar[...]
2013-01-18
[24]
웹사이트
Magnetic Resonance Imaging
https://www.radiolog[...]
University of Wisconsin
2016-03-14
[25]
웹사이트
Magnetic Resonance, a critical peer-reviewed introduction
http://www.magnetic-[...]
European Magnetic Resonance Forum
2014-11-17
[26]
서적
Recommendations for Cross-Sectional Imaging in Cancer Management: Computed Tomography – CT Magnetic Resonance Imaging – MRI Positron Emission Tomography – PET-CT
http://www.rcr.ac.uk[...]
Royal College of Radiologists
2014-05-29
[27]
학술지
PEOPLE: PatiEnt prOstate samPLes for rEsearch, a tissue collection pathway utilizing magnetic resonance imaging data to target tumor and benign tissue in fresh radical prostatectomy specimens
2019-05-00
[28]
학술지
Use of Magnetic Resonance Imaging and Biopsy Data to Guide Sampling Procedures for Prostate Cancer Biobanking
2019-10-00
[29]
웹사이트
ACR-ASNR Practice Guideline for the Performance and Interpretation of Magnetic Resonance Imaging (MRI) of the Brain
http://www.acr.org/~[...]
2013-11-10
[30]
학술지
An improved MRI segmentation for atrophy assessment
2012-05-00
[31]
학술지
Regional atrophy analysis of MRI for early detection of alzheimer's disease
2013-02-00
[32]
서적
Abnormal Psychology
McGraw-Hill Education
2014
[33]
학술지
The Invention and Early History of the N-Localizer for Stereotactic Neurosurgery
2016-06-00
[34]
학술지
Stereotaxis and nuclear magnetic resonance
1985-01-00
[35]
학술지
Brown-Roberts-Wells stereotactic frame modifications to accomplish magnetic resonance imaging guidance in three planes
[36]
논문
The effect of a post-scan processing denoising system on image quality and morphometric analysis
2021-12-02
[37]
웹사이트
100-Hour-Long MRI of Human Brain Produces Most Detailed 3D Images Yet
https://www.sciencea[...]
2019-07-10
[38]
웹사이트
Team publishes on highest resolution brain MRI scan
https://medicalxpres[...]
[39]
논문
ADHD Diagnosis and Treatment in Children and Adolescents
https://effectivehea[...]
2024-06-19
[40]
논문
Reference ranges for cardiac structure and function using cardiovascular magnetic resonance (CMR) in Caucasians from the UK Biobank population cohort
Springer Science and Business Media LLC
2017-02-01
[41]
논문
ACCF/ACR/SCCT/SCMR/ASNC/NASCI/SCAI/SIR 2006 appropriateness criteria for cardiac computed tomography and cardiac magnetic resonance imaging. A report of the American College of Cardiology Foundation Quality Strategic Directions Committee Appropriateness Criteria Working Group
2006-10-01
[42]
서적
Musculoskeletal MRI
Saunders
2008
[43]
논문
MR imaging of inherited myopathies: a review and proposal of imaging algorithms.
2021-04-21
[44]
논문
Whole-body imaging of the musculoskeletal system: the value of MR imaging
Springer Nature
2007-12-01
[45]
논문
Are Movement Artifacts in Magnetic Resonance Imaging a Real Problem?-A Narrative Review
2017-01-01
[46]
논문
Pitfalls and artifacts encountered in clinical MR imaging of the spine.
http://pubs.rsna.org[...]
1998-11-01
[47]
논문
Hepatobiliary MR imaging with gadolinium-based contrast agents
2012-03-01
[48]
논문
State-of-the-art pancreatic MRI
2010-07-01
[49]
논문
MR imaging of the small bowel
2012-08-01
[50]
논문
Magnetic resonance (MR) colonography in the detection of colorectal lesions: a systematic review of prospective studies
2010-05-01
[51]
논문
Non-contrast enhanced MR angiography: physical principles
Wiley
2012-08-01
[52]
서적
Magnetic resonance imaging: Physical principles and sequence design
J. Wiley & Sons
1999
[53]
서적
Magnetic Resonance in Medicine
2014
[54]
논문
Adverse reactions to gadolinium contrast media: a review of 36 cases
1996-10-01
[55]
웹사이트
ACR guideline
http://www.guideline[...]
2005-01-01
[56]
서적
Metal Ions in Bio-Imaging Techniques
Walter de Gruyter
[57]
웹사이트
FDA Drug Safety Communication: FDA warns that gadolinium-based contrast agents (GBCAs) are retained in the body; requires new class warnings
https://www.fda.gov/[...]
2018-05-16
[58]
논문
Is there a causal relation between the administration of gadolinium based contrast media and the development of nephrogenic systemic fibrosis (NSF)?
2006-11-01
[59]
웹사이트
FDA Drug Safety Communication: New warnings for using gadolinium-based contrast agents in patients with kidney dysfunction
https://www.fda.gov/[...]
U.S. Food and Drug Administration
2010-12-23
[60]
웹사이트
FDA Public Health Advisory: Gadolinium-containing Contrast Agents for Magnetic Resonance Imaging
https://www.fda.gov/[...]
[61]
웹사이트
Gadolinium-containing contrast agents: new advice to minimise the risk of nephrogenic systemic fibrosis
https://www.gov.uk/d[...]
2010-01-01
[62]
웹사이트
MRI Questions and Answers
http://www.ismrm.org[...]
International Society for Magnetic Resonance in Medicine
[63]
웹사이트
Response to the FDA's May 23, 2007, Nephrogenic Systemic Fibrosis Update1 — Radiology
http://radiology.rsn[...]
Radiological Society of North America
2007-09-12
[64]
웹사이트
MRI sequences (overview)
https://radiopaedia.[...]
[65]
논문
Theoretical description of modern 1 H in Vivo magnetic resonance spectroscopic pulse sequences
2020-04-01
[66]
논문
Recent advances in magnetic resonance neurospectroscopy
2007-07-01
[67]
논문
Magnetic resonance spectroscopy in clinical oncology
2004-06-01
[68]
논문
Comparison of 1.5 and 8 tesla high-resolution magnetic resonance imaging of lacunar infarcts
[69]
뉴스
MRI-scanner van 7 miljoen in gebruik
Medisch Contact
2007-12-05
[70]
논문
Iterative Sparse Asymptotic Minimum Variance Based Approaches for Array Processing
[71]
논문
Interventional MR imaging: concepts, systems, and applications in neuroradiology
http://www.ajnr.org/[...]
1999-05-01
[72]
서적
The Gale Encyclopedia of Nursing and Allied Health
https://archive.org/[...]
Gale
[73]
논문
MR-guided focused ultrasound surgery
1992-01-01
[74]
논문
Molecular imaging without radiopharmaceuticals?
Society of Nuclear Medicine
2009-06-01
[75]
웹사이트
Hyperpolarized Noble Gas MRI Laboratory: Hyperpolarized Xenon MR Imaging of the Brain
https://web.archive.[...]
Harvard Medical School
2017-07-26
[76]
논문
Gradient-enhanced proton-detected heteronuclear multiple-quantum coherence spectroscopy
[77]
논문
A Test for Scaler Coupling between Heteronuclei Using Gradient-Enhanced Proton-Detected HMQC Spectroscopy
[78]
논문
Measurement of the degree of coupled isotopic enrichment of different positions in an antibiotic peptide by NMR
1997-03-01
[79]
논문
White matter microstructural properties in bipolar disorder in relationship to the spatial distribution of lithium in the brain
2019-06-01
[80]
논문
An introduction to functional and molecular imaging with MRI
2010-07-01
[81]
논문
Design of a novel class of protein-based magnetic resonance imaging contrast agents for the molecular imaging of cancer biomarkers
[82]
논문
Imaging cerebral gene transcripts in live animals
2007-01-01
[83]
논문
Intracellular gene transcription factor protein-guided MRI by DNA aptamers in vivo
2014-01-01
[84]
논문
Diffusion-weighted magnetic resonance imaging reversal by gene knockdown of matrix metalloproteinase-9 activities in live animal brains
2009-03-01
[85]
논문
MRI reveals differential effects of amphetamine exposure on neuroglia in vivo
2013-02-01
[86]
논문
Simultaneous acquisition of spatial harmonics (SMASH): fast imaging with radiofrequency coil arrays
https://doi.org/10.1[...]
1997-10-01
[87]
논문
SENSE: sensitivity encoding for fast MRI
1999-11-01
[88]
논문
Generalized autocalibrating partially parallel acquisitions (GRAPPA)
2002-06-01
[89]
서적
Quantitative Magnetic Resonance Imaging
Academic Press
2020-01-01
[90]
논문
Cardiac MRI evaluation of myocardial disease.
https://pubmed.ncbi.[...]
[91]
논문
T2-mapping MRI evaluation of patellofemoral cartilage in patients submitted to intra-articular platelet-rich plasma (PRP) injections.
[92]
웹사이트
CSF flow studies Radiology Reference Article
https://radiopaedia.[...]
2021-10-13
[93]
서적
Magnetic Resonance Elastography | Wiley Online Books
https://web.archive.[...]
[94]
논문
Multiparametric Quantitative MRI in Neurological Diseases.
[95]
논문
Rapid magnetic resonance quantification on the brain: Optimization for clinical usage.
[96]
논문
IR TrueFISP with a golden-ratio-based radial readout: fast quantification of T1, T2, and proton density.
[97]
논문
Magnetic resonance fingerprinting.
[98]
논문
Lessons Learned from MRI Safety Events
[99]
논문
MRI in pregnancy: Indications and practical considerations
2019-03-01
[100]
웹사이트
iRefer
https://web.archive.[...]
Royal College of Radiologists
[101]
논문
Adult claustrophobia, anxiety and sedation in MRI
Elsevier BV
[102]
논문
Minimizing table time in patients with claustrophobia using focused ferumoxytol-enhanced MR angiography ( f -FEMRA): a feasibility study
2021-09-01
[103]
논문
Investigating cardiac stimulation limits of MRI gradient coils using electromagnetic and electrophysiological simulations in human and canine body models
2021-02-01
[104]
뉴스
Man dies after being sucked into MRI scanner at Indian hospital
https://www.theguard[...]
2018-01-30
[105]
웹사이트
Magnetic Resonance Imaging (MRI) Exams per 1,000 Population, 2014
https://internationa[...]
OECD
2016-01-01
[106]
논문
Rates of safety incident reporting in MRI in a large academic medical center
John Wiley and Sons
2016-04-00
[107]
논문
Investigation of acoustic noise on 15 MRI scanners from 0.2 T to 3 T
2001-02-00
[108]
논문
Five Things Physicians and Patients Should Question
http://choosingwisel[...]
2012-08-14
[109]
논문
Imaging tests for lower-back pain: Why you probably don't need them
http://consumerhealt[...]
2012-08-14
[110]
논문
A short overview of MRI artefacts
[111]
논문
Intact plant MRI for the study of cell water relations, membrane permeability, cell-to-cell and long distance water transport
Oxford University Press (OUP)
2006-11-30
[112]
논문
Application of magnetic resonance imaging in zoology
Springer Science and Business Media LLC
2011-10-13
[113]
논문
Magnetic resonance spectroscopy and imaging for the study of fossils
Elsevier BV
2016-07-00
[114]
논문
A Practical Guide to Virtual Autopsy: Why, When and How
2019-02-00
[115]
논문
Essentials of forensic post-mortem MR imaging in adults
2014-04-00
[116]
논문
Image Formation by Induced Local Interactions: Examples Employing Nuclear Magnetic Resonance
Springer Science and Business Media LLC
[117]
논문
"Diffraction" and microscopy in solids and liquids by NMR
[118]
뉴스
Raymond Damadian, Creator of the First M.R.I. Scanner, Dies at 86
https://www.nytimes.[...]
2022-08-17
[119]
서적
Quantum Enigma: Physics Encounters Consciousness
https://books.google[...]
Oxford University Press
2011
[120]
웹사이트
The Nobel Prize in Physiology or Medicine 2003
http://www.nobelpriz[...]
Nobel Foundation
2007-07-28
[121]
웹사이트
とっさの日本語便利帳の解説
https://kotobank.jp/[...]
コトバンク
2018-02-12
[123]
웹사이트
MRI開発史と科学者たち
http://kabuto.phys.s[...]
[124]
웹사이트
我が国初のNMR分光器
http://www.muse.or.j[...]
[125]
웹사이트
我が国最古の高分解能NMRの磁石(MRIのルーツ)
http://www.muse.or.j[...]
[126]
논문
電気通信大学
[127]
논문
Application of Fourier transfom spectroscopy to magnetic resonance
1966-00-00
[128]
웹사이트
Russian claims first in magnetic imaging
https://www.nature.c[...]
[129]
웹사이트
ПРИВЕТ НОБЕЛЮ ОТ ИВАНОВА
https://web.archive.[...]
[130]
웹사이트
Patents by Ivan Vladislav
http://www.findpaten[...]
[131]
논문
Tumor detection by nuclear magnetic resonance.
1971-00-00
[132]
특허
[133]
웹사이트
NMR/MRIの歴史
http://www.bk.tsukub[...]
[134]
논문
核磁気共鳴現象を利用した体外よりの生体計測の研究
https://doi.org/10.9[...]
1974-06-00
[135]
논문
核磁気共鳴現象による無侵襲生体計測法の研究
https://doi.org/10.1[...]
1974-00-00
[136]
특허
[137]
웹사이트
1973:北大 阿部らによる磁場焦点法を使ったNMRイメージングの研究
http://www.jira-net.[...]
[138]
논문
磁場焦点法による核磁気緩和時間の無侵襲測定とそのイメージング
電子通信学会
1979-00-00
[139]
논문
磁場焦点法によるNMRイメージング
1981-00-00
[140]
논문
人体頭部用NMR断層映像装置
1981-00-00
[141]
논문
A noninvasive method to detect the difference in functions of cerebral hemispheres by 'differentia1' NMR、In:Microcirculation An Update
Amsterdam-New York-Oxford
1987
[142]
논문
磁気共鳴診断装置FONAR QED 80ーaIpha導入の思い出
http://messena.la.co[...]
1999-05
[143]
논문
地域医療における画像診断の役割と展開とくに磁気共鳴診断装置登場の背景とその後の歩み
http://messena.la.co[...]
全国自治体病院協議会
1999-07
[144]
논문
2001年号記念企画 1号機物語・MRI編 FONAR QED80α導入の想い出
http://nv-med.mtpro.[...]
2001-03
[145]
웹사이트
日本初のMRI装置
http://toshiba-mirai[...]
[146]
논문
II.核磁気共鳴現象による生体計測のための基礎的検討
https://hdl.handle.n[...]
北海道大学電子科学研究所
2020-04-28
[147]
웹사이트
筑波大学発,関節リウマチ診断用コンパクトMRIが薬事認証を取得
http://www.innervisi[...]
[148]
논문
OCRA: a low-cost, open-source FPGA-based MRI console capable of real-time control
https://hdl.handle.n[...]
Massachusetts Institute of Technology
[149]
웹사이트
What is OCRA MRI?
https://openmri.gith[...]
[150]
논문
MRIの安全性(<シリーズ>MR)
https://doi.org/10.6[...]
2003
[151]
간행물
MRI検査時の鎮静に関する共同提言
https://www.jpeds.or[...]
日本小児科学会・日本小児麻酔学会・日本小児放射線学会
2013-05-26
[152]
뉴스
稼働中のMRIに普段の車いすを持ち込むと…貴重な実際のケースに騒然
https://otakei.otaku[...]
おたくま経済新聞
[153]
논문
Projectile cylinder accidents resulting from the presence of ferromagnetic nitrous oxide or oxygen tanks in the MR suite
2001
[154]
웹사이트
安全管理ーMRI編ー 事故を起こさないために
http://mrifan.net/bl[...]
[155]
간행물
Electromagnetic fields and public health---Static electric and magnetic fields. WHO fact sheet N299 March 2006
https://www.jeic-emf[...]
[156]
뉴스
Neuroscience Fiction
http://www.newyorker[...]
The New Yorker
2012-11-30
[157]
웹사이트
バイエル薬品: EOB・プリモビスト注シリンジ 新発売
http://byl.bayer.co.[...]
2015-09-16
[158]
웹사이트
星陵CL画像ニュース平成12年5月号「MRCP(MR胆管膵管撮影)」
http://www.seiryo.or[...]
2015-09-16
[159]
논문
腹部領域におけるMRI撮像(胆道・膵臓系)
http://www.eisai.jp/[...]
エーザイ株式会社
2015-09-16
[160]
논문
胆道癌における画像診断の最先端: MDCT, MRIを中心に
https://hdl.handle.n[...]
日本胆道学会
2020-04-28
[161]
간행물
脊椎脊髄ジャーナル 29巻9号
[162]
간행물
脊椎脊髄ジャーナル 31巻5号
[163]
간행물
一般社団法人日本画像医療システム工業会規格 「MRIのQ&A」 JESRA TR-0041-2014
http://www.jira-net.[...]
[164]
웹사이트
Wine Tech
http://livedigitally[...]
[165]
웹사이트
食品品質管理用コンパクトMRI装置の開発
http://www.naro.affr[...]
[166]
웹사이트
産業用MRIの開発
http://www.bk.tsukub[...]
[167]
백과사전
핵자기공명 영상 장치
[168]
논문
Temperature and SAR measurement errors in the evaluation of metallic linear structures heating during MRI using fluoroptic probes
[169]
논문
Investigation of local heating caused by closed conducting loop at clinical MR imaging: Phantom study
[170]
웹사이트
MRIsafety.com. MRI safety, bioeffects and patient management.
http://www.mrisafety[...]
2014-01-07
본 사이트는 AI가 위키백과와 뉴스 기사,정부 간행물,학술 논문등을 바탕으로 정보를 가공하여 제공하는 백과사전형 서비스입니다.
모든 문서는 AI에 의해 자동 생성되며, CC BY-SA 4.0 라이선스에 따라 이용할 수 있습니다.
하지만, 위키백과나 뉴스 기사 자체에 오류, 부정확한 정보, 또는 가짜 뉴스가 포함될 수 있으며, AI는 이러한 내용을 완벽하게 걸러내지 못할 수 있습니다.
따라서 제공되는 정보에 일부 오류나 편향이 있을 수 있으므로, 중요한 정보는 반드시 다른 출처를 통해 교차 검증하시기 바랍니다.
문의하기 : help@durumis.com
