뇌종양
"오늘의AI위키"의 AI를 통해 더욱 풍부하고 폭넓은 지식 경험을 누리세요.
1. 개요
뇌종양은 뇌에서 발생하는 종양으로, 양성 또는 악성일 수 있으며, 위치, 크기, 성장 속도에 따라 다양한 징후와 증상을 나타낸다. 두통, 구토, 시야 결손, 마비, 언어 장애 등이 나타날 수 있으며, 여성의 경우 모유가 나오는 증상이 나타나기도 한다. 뇌종양의 원인은 명확히 밝혀지지 않았지만, 방사선 노출, 유전 질환 등이 위험 요인으로 작용할 수 있다. 진단에는 MRI, CT, PET 등의 영상 검사와 조직 검사가 사용되며, 종양의 종류와 악성도에 따라 수술, 방사선 치료, 화학 요법 등의 치료법이 사용된다. 예후는 종양의 종류와 환자의 상태에 따라 다르며, 교모세포종의 경우 생존 기간이 짧다. 뇌종양 발병률은 소득 수준이 높은 국가에서 더 높게 나타나는 경향이 있다.
더 읽어볼만한 페이지
- 두경부암 - 구강암
구강암은 구강에 생기는 악성 종양으로, 흡연, 음주, 인유두종 바이러스 감염 등이 주요 원인이며, 수술, 방사선 치료, 항암화학요법 등으로 치료한다. - 두경부암 - 후두암
후두암은 후두에 발생하는 암으로, 쉰 목소리, 목의 혹, 인후통 등의 증상을 보이며, 흡연과 과도한 음주가 주요 위험 요인이며, 병기에 따라 수술, 방사선 치료, 항암 화학 요법 등의 치료법이 적용된다. - 뇌 질환 - 진행성 다초점 백질뇌병증
진행성 다초점 백질뇌병증은 JC 바이러스 감염으로 생기는 희귀한 탈수초성 질환으로, 면역력 저하 환자에게 주로 발병하여 뇌 백질 손상과 다양한 신경학적 증상을 유발하며, 면역 결핍 회복이 중요하지만 효과적인 치료법은 아직 없다. - 뇌 질환 - 뇌증
뇌증은 뇌 기능 이상으로 발생하는 질환을 포괄하는 용어이며, 다양한 원인에 의해 정신 상태 변화, 인지 기능 상실 등의 증상을 보이며, 원인과 심각성에 따라 치료 방법과 예후가 달라진다. - 뇌종양 - 교모세포종
교모세포종은 별아교세포에서 발생하는 악성 뇌종양으로, 빠른 증식과 다양한 유전자 변이를 보이며, IDH 야생형 종양으로 분류되고, 유전자 발현에 따라 세 가지 분자 아형으로 나뉘며, 수술, 방사선 치료, 화학 요법 등으로 치료하지만 예후가 좋지 않다. - 뇌종양 - 신경아세포종
신경아세포종은 주로 소아에게 발생하는 교감신경계 종양으로, 초기 증상이 모호하여 진단이 어렵고 전이를 동반하는 경우가 많으며, 임상 양상, 현미경 소견, 생화학적 검사, 영상 검사 등을 종합하여 진단하고, 위험군에 따라 다양한 치료법을 적용하며, 맞춤형 치료법 개발 연구가 진행 중이다.
| 뇌종양 | |
|---|---|
| 일반 정보 | |
![]() | |
| 분야 | 신경외과 신경종양학 |
| 증상 | 뇌의 해당 부위에 따라 다름, 두통, 발작, 시력 문제, 구토, 정신 변화 |
| 종류 | 악성, 양성 |
| 원인 | 대개 알려지지 않음 |
| 위험 요인 | 신경섬유종증 염화 비닐 노출 엡스타인-바 바이러스 이온화 방사선 |
| 진단 | 컴퓨터 단층 촬영 자기 공명 영상 조직 생검 |
| 치료 | 수술 방사선 치료 화학 요법 |
| 약물 | 항경련제 덱사메타손 푸로세미드 |
| 예후 | 미국 기준 평균 5년 생존율 33% |
| 빈도 | 2015년 기준 신경계 암 120만 건 |
| 사망자 | 2015년 기준 전 세계 228,800명 |
| 외부 링크 | |
| NCI | 성인 뇌종양에 대한 일반 정보 |
| NCI 치료 (전문가용) | 성인 뇌종양 치료 |
| NHS | 양성 뇌종양 (비암성) |
| SEER | 뇌 및 기타 신경계 암 – 암 통계 자료 |
| 호주 뇌종양 연합 | 뇌종양 사실 자료 2011 |
2. 징후 및 증상
뇌종양의 징후와 증상은 다양하며, 종양이 양성인지 암인지에 관계없이 나타날 수 있다.[13] 원발성 및 속발성 뇌종양은 종양의 위치, 크기, 성장 속도에 따라 유사한 증상을 보인다.[14] 예를 들어, 전두엽의 큰 종양은 사고 능력 변화를 일으킬 수 있지만, 베르니케 영역처럼 언어 이해를 담당하는 작은 영역의 종양은 더 큰 기능 상실을 초래할 수 있다.[15]
뇌종양은 어느 정도 성장하여 뇌부종을 일으키는 경우가 많으며, 두개내압 상승으로 두통, 구역질, 구토 등의 증상이 나타난다. 또한 발생 부위에 따라 시야 결손, 난청, 운동 마비, 언어 장애 등이 동반될 수 있고, 피질에 병소가 있는 경우에는 경련 발작을 일으키기도 한다. 두통은 아침에 가장 심하게 나타나는 경향이 있으며, 이를 'morning headache'라고 부른다.
여성의 경우(때로는 남성도) 초기 징후로, 임신하지 않았음에도 모유가 나오는 유즙 누출이 나타날 수 있다. 이는 유즙 분비 호르몬(프로락틴) 과잉 생산으로 인한 시상하부 및 뇌하수체 기능 장애 때문이며, 터키 안 근처 종양에서 특징적으로 나타난다.
2. 1. 두통
뇌종양으로 인한 두개내압 상승은 두통을 유발할 수 있다.[16] 그러나 두통만 단독으로 나타나는 경우는 드물고, 시각 이상 등 다른 증상이 먼저 나타나는 경우가 많다.[16] 뇌종양과 관련된 두통은 몇 가지 특징이 있는데, 비정상적인 신경학적 검사 결과, 발살바 수기에 의해 악화, 수면 중 각성, 고령층에서 새롭게 발생, 점진적 악화, 비전형적인 두통 양상, 편두통의 진단 기준 미충족 등이 있다.[16] 또한 아침에 심해지거나 구토 후 완화되는 경향이 있다.[17] 뇌종양이 어느 정도 커지면 뇌부종을 일으켜 두개 내압이 높아지면서 두통, 구역, 구토 등의 증상이 나타나며, 발생 부위에 따라 시야 결손, 난청, 운동 마비, 언어 장애 등이 동반될 수 있다. 뇌 피질에 종양이 있으면 경련 발작이 나타나기도 한다. 아침 기상 직후 심한 두통은 'morning headache'라고 불린다.2. 2. 위치별 증상
뇌는 여러 엽으로 나뉘며, 각 엽은 고유한 기능을 수행한다.[18][19] 뇌의 특정 부위에 종양이 발생하면 해당 영역의 기능에 영향을 미쳐 다양한 증상이 나타날 수 있다.[20]- 전두엽: 종양은 추론 능력 저하, 부적절한 사회적 행동, 성격 변화, 계획 능력 저하, 억제력 감소, 언어 생성 감소(브로카 영역)를 유발할 수 있다.[20]
- 측두엽: 이 엽의 종양은 기억력 감퇴, 청력 손실, 언어 이해 어려움(베르니케 영역)을 유발할 수 있다.[19]
- 두정엽: 이 부위의 종양은 언어 해석 능력 저하, 말하기, 쓰기, 그림 그리기, 명명 및 인식의 어려움, 공간 및 시각적 인식 저하를 초래할 수 있다.[21]
- 후두엽: 이 엽의 손상은 시력 저하 또는 시력 상실을 초래할 수 있다.[22]
- 소뇌: 이 부위의 종양은 균형 감각, 근육 운동, 자세 불량을 유발할 수 있다.[23]
- 뇌 줄기: 뇌간의 종양은 발작, 내분비 문제, 호흡 변화, 시각 변화, 두통 및 부분적인 마비를 유발할 수 있다.[23]
- 연수막: 뇌를 덮고있는 연수막으로 전이된 종양은 안면 마비, 눈 움직임 이상, 안면 감각 이상 또는 삼킴 곤란과 같은 뇌신경 마비를 유발할 수 있다.[24]
2. 3. 행동 변화
뇌종양으로 인해 뇌의 특정 부위가 손상되면 성격이 바뀔 수 있다. 전두엽, 측두엽, 두정엽[14]은 억제, 감정, 기분, 판단력, 추론 및 행동을 제어하는 기능을 담당한다. 이 부위에 종양이 생기면 부적절한 사회적 행동,[25] 분노 발작,[25] 가치가 없는 일에 웃음,[25] 우울증과 불안과 같은 심리적 증상까지 유발할 수 있다.[20] 뇌종양 환자의 우울증 치료를 위한 약물의 효과와 안전성에 대한 추가 연구가 필요하다.[26]성격 변화는 실업, 불안정한 관계, 통제력 부족과 같은 파괴적인 결과를 초래할 수 있다.[18]
3. 원인
뇌종양의 명확한 원인은 아직 밝혀지지 않았지만, 다음과 같은 요인들이 위험을 증가시킬 수 있다.
전리 방사선은 뇌종양의 알려진 원인 중 하나이다.[6][27] 일반 인구에서 발생하는 뇌종양의 약 4%는 CT 스캔 방사선에 의해 발생하며,[6] CT 스캔 후 2년 이상 지나서 발생하는 뇌종양의 경우 40%가 CT 스캔 방사선 때문인 것으로 추정된다.[6] 뇌종양의 위험은 방사선량에 비례하며, 전리 방사선을 100 그레이 받을 때마다 상대 위험이 0.8 증가한다. 이 정도 양의 방사선으로 뇌종양 1건을 발생시키려면 약 6391명이 방사선에 노출되어야 한다.[6] 다른 암 치료를 위해 머리에 쬐는 전리 방사선 역시 뇌종양 발생 위험을 높인다.[24]
P53과 같은 종양 억제 유전자의 돌연변이 및 손실은 일부 뇌종양의 원인으로 생각된다.[28] 폰 히펠-린다우병, 결절성 경화증, 다발성 내분비 종양증, 신경섬유종증 2형과 같은 유전 질환은 뇌종양 발병 위험을 높인다.[4][29][30] 셀리악병 환자는 뇌종양 발생 위험이 약간 증가한다.[31] 흡연이 뇌종양 위험을 높일 수 있다는 증거는 불분명하다.[32]
휴대폰 또는 이동 전화 방사선과 뇌종양 발생 사이의 연관성을 보여주는 연구는 없지만,[33] 세계 보건 기구는 이동 전화 방사선을 IARC 척도에서 그룹 2B(발암 가능성이 있음)로 분류했다.[34] 휴대폰 사용이 뇌종양을 유발할 수 있다는 주장은 무선 전화 과다 사용자의 교종 위험이 약간 증가하는 것을 관찰한 역학 연구에 근거한다. 이러한 연구가 수행되었을 때는 GSM(2G) 전화가 사용되었다. 현대의 3세대(3G) 전화는 평균적으로 GSM(2G) 전화에서 방출되는 에너지의 약 1%를 방출하므로, 휴대폰 사용과 뇌종양 위험 증가 사이의 연관성을 발견한 것은 현재의 전화 사용에 근거하지 않는다.[10]
4. 병태 생리
인간의 뇌는 두개골과 분리되는 결합 조직 막인 수막으로 둘러싸여 있다. 이 세 겹의 막은 바깥쪽부터 안쪽으로 경막, 거미막, 연막으로 구성된다. 거미막과 연막 사이에는 지주막하 공간이 있으며, 이 공간에는 뇌척수액 (CSF)이 있다. 이 체액은 뇌 조직을 지지하고 보호하기 위해 세포 사이의 좁은 공간과 뇌실계라고 하는 뇌의 구멍을 통해 순환한다. 혈관은 연막 위의 혈관 주위 공간을 통해 중추 신경계로 들어간다. 혈관 벽의 세포는 단단하게 결합되어 혈액-뇌 장벽을 형성하여 혈액을 통해 들어올 수 있는 독소로부터 뇌를 보호한다.[35]
뇌의 세 가지 주요 부분은 대뇌 피질, 소뇌 및 뇌간이다.[35] 이 영역은 뉴런과 신경교라는 두 가지 광범위한 세포 유형으로 구성된다. 신경교 세포는 대뇌 피질에서 뉴런보다 약 4:1의 비율로 더 많다. 신경교는 여러 유형으로 존재하며, 구조적 지원, 대사 지원, 절연 및 발달 안내를 포함한 여러 중요한 기능을 수행한다.[37]
시상과 시상하부는 간뇌의 주요 부분이며, 뇌하수체와 송과체가 그 아래에 부착되어 있다. 뇌하수체[39] 및 송과체[40] 종양은 종종 양성이다.
뇌간은 큰 대뇌 피질과 척수 사이에 위치한다. 이는 중뇌, 교, 연수로 나뉜다.[35]
4. 1. 수막
인간의 뇌는 뇌를 두개골과 분리하는 결합 조직 막인 수막으로 둘러싸여 있다. 이 세 겹의 막은 바깥쪽부터 안쪽으로 경막, 거미막, 연막으로 구성된다. 거미막과 연막은 물리적으로 연결되어 있어 종종 단일 층, 즉 '연수막'으로 간주된다. 거미막과 연막 사이에는 지주막하 공간이 있으며, 이 공간에는 뇌척수액 (CSF)이 있다. 이 체액은 뇌 조직을 지지하고 보호하기 위해 세포 사이의 좁은 공간과 뇌실계라고 하는 뇌의 구멍을 통해 순환한다. 혈관은 연막 위의 혈관 주위 공간을 통해 중추 신경계로 들어간다. 혈관 벽의 세포는 단단하게 결합되어 혈액-뇌 장벽을 형성하여 혈액을 통해 들어올 수 있는 독소로부터 뇌를 보호한다.[35]수막의 종양은 수막종이며, 종종 양성이다. 기술적으로는 뇌 조직의 종양은 아니지만, 뇌가 있는 공간으로 돌출되어 증상을 유발하므로 종종 뇌종양으로 간주된다. 수막종은 일반적으로 천천히 자라는 종양이므로 증상이 나타날 때쯤에는 꽤 커질 수 있다.[36]
4. 2. 뇌 조직
뇌의 세 가지 주요 부분은 대뇌 피질, 소뇌 및 뇌간이다.[35] 이 영역은 뉴런과 신경교라는 두 가지 광범위한 세포 유형으로 구성된다. 신경교 세포는 대뇌 피질에서 뉴런보다 약 4:1의 비율로 더 많다. 신경교는 여러 유형으로 존재하며, 구조적 지원, 대사 지원, 절연 및 발달 안내를 포함한 여러 중요한 기능을 수행한다.[37] 신경교 세포의 원발성 종양은 교종이라고 하며, 진단 시점에 종종 악성이다.[38]시상과 시상하부는 간뇌의 주요 부분이며, 뇌하수체와 송과체가 그 아래에 부착되어 있다; 뇌하수체[39] 및 송과체[40] 종양은 종종 양성이다.
뇌간은 큰 대뇌 피질과 척수 사이에 위치한다. 이는 중뇌, 교, 연수로 나뉜다.[35]
5. 진단
뇌종양은 특별한 징후나 증상이 없지만, 여러 증상이 함께 나타나고 다른 원인이 없을 때는 뇌종양을 의심해 볼 수 있다.[41] 진단을 위해서는 환자의 병력을 확인하고, 신경학적 검사를 통해 증상의 원인이 감염이 아니라는 것을 확인해야 한다.
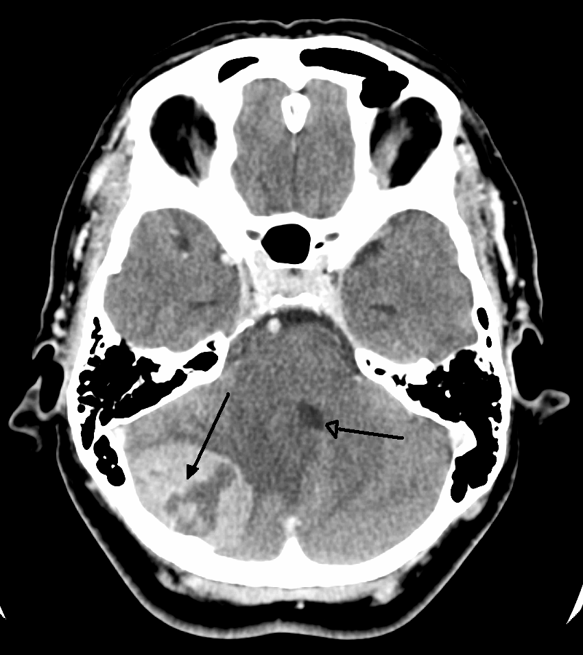
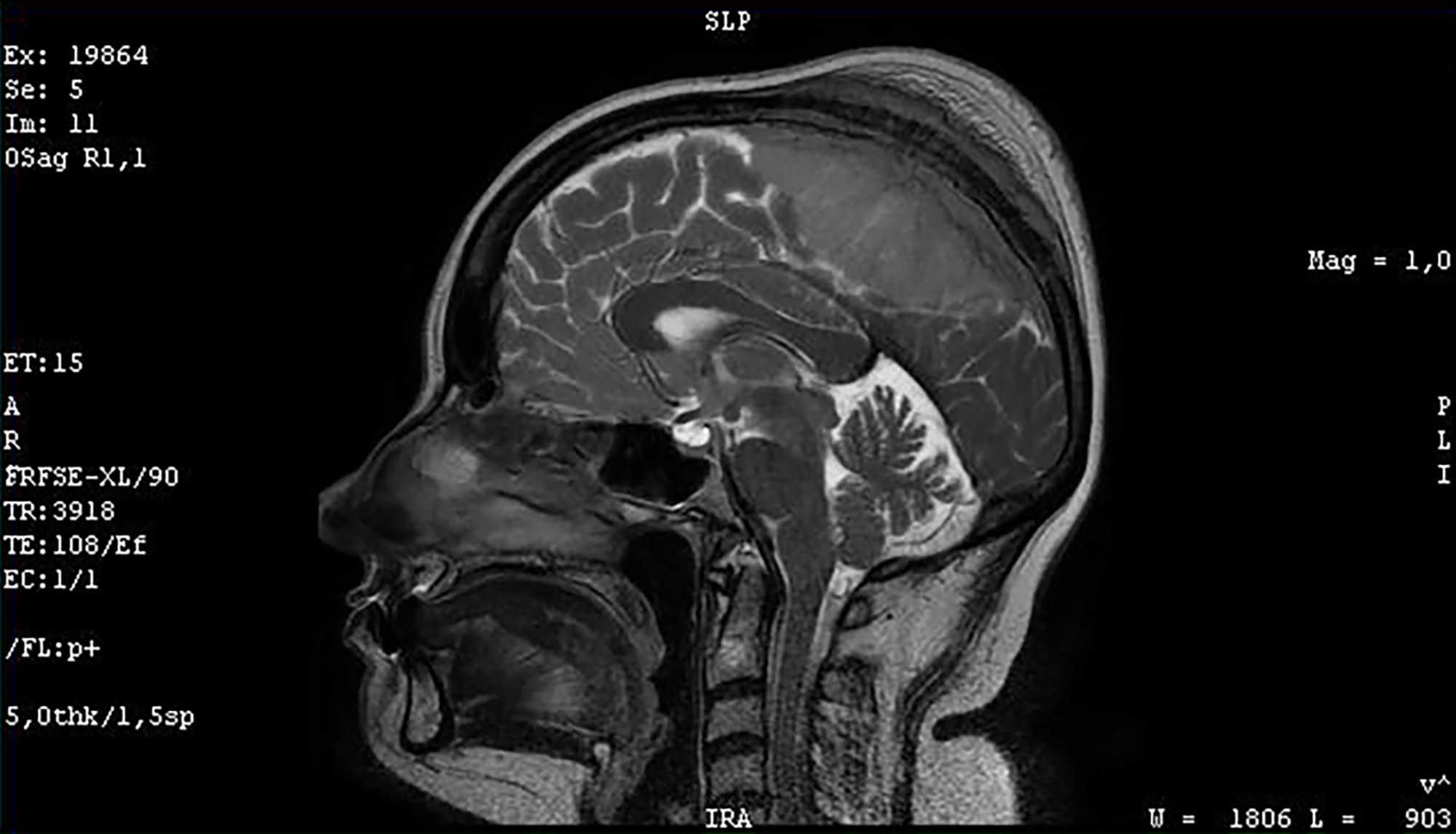
뇌종양은 다른 부위의 종양과는 다르게 진단이 까다롭다. 보통은 방사성 추적자를 이용하여 종양을 촬영하지만, 뇌는 혈액-뇌 장벽(BBB)이라는 막으로 보호되어 있어 추적자가 종양에 도달하기 어렵다. BBB가 파괴되어야 추적자가 뇌종양에 도달할 수 있으며, 이는 자기 공명 영상(MRI)이나 컴퓨터 단층 촬영(CT) 스캔을 통해 확인할 수 있다. 따라서 BBB의 파괴는 악성 교종, 수막종, 뇌 전이의 주요 진단 지표가 된다.[41]
두개인두종은 석회화가 자주 관찰된다. 수막종 또한 종종 석회화를 동반하며, 조영제 사용 CT 또는 MRI에서 균일한 조영 증강 효과를 보인다. 신경교종은 뇌 실질과의 경계가 불분명하며, 조영 시 불균일한 농염상 또는 링 엔핸스먼트가 관찰된다. 그 외에 링 엔핸스먼트가 나타나는 질환으로는 뇌 농양과 전이성 뇌종양이 있다. 악성도가 낮은 신경교종은 일반적으로 조영 효과가 낮다.
5. 1. 영상 검사
의학 영상은 뇌종양 진단에 핵심적인 역할을 한다. 초기에는 침습적이고 위험한 방법들이 사용되었지만, 현재는 비침습적이고 고해상도 기술인 자기 공명 영상(MRI)과 컴퓨터 단층 촬영(CT) 스캔이 주로 사용된다.[42]| 검사 종류 | 설명 | 특징 |
|---|---|---|
| 자기 공명 영상(MRI) | 뇌종양 진단에 가장 선호되는 영상 검사이다.[24][43] | 교모세포종은 T1 강조 MRI에서 조영 증강, T2 및 FLAIR 영상에서 고신호 뇌부종을 보인다.[24] 저등급 신경교종은 T1 MRI에서 저신호, T2 및 FLAIR MRI에서는 고신호를 보인다. 수막종은 MRI에서 경막 비후와 함께 균일하게 조영 증강된다.[24] |
| 자기 공명 혈관 조영술(MRA) | 뇌 혈관을 관찰하며, 수술 전 종양 혈관 구조를 파악하는 데 도움을 준다. | 양성 및 악성 뇌종양 구분에 활용될 수 있다는 연구 결과가 있다.[45] |
| 자기 공명 분광법(MRS) | 종양 내부의 대사 또는 화학적 변화를 측정한다. | 신경교종 또는 악성 뇌종양은 정상 뇌 조직과 다른 스펙트럼을 보인다.[46] 종양 유형, 공격성, 양성 뇌종양, 흉터 조직, 농양 등을 구별하는 데 도움을 준다.[47] |
| 관류 자기 공명 영상(pMRI) | 뇌와 뇌종양의 혈액량 및 혈류를 평가한다. | 종양 혈관성과 혈관 신생을 보여주는 뇌 혈류량 지도를 제공하며, 종양 등급과 악성도 결정, 생검 부위 결정, 치료 후 잔존 종양 확인 등에 유용하다.[48] |
| 기능적 MRI(fMRI) | 뇌 활동 중 혈류 변화를 측정하여 특정 기능과 관련된 뇌 위치를 파악한다. | 수술 전 뇌 기능 손상 위험을 최소화하는 데 중요한 역할을 한다.[49] |
| 확산 강조 영상(DWI) | 물 분자의 확산 운동을 측정하여 종양 유형을 분류하고, 치료 반응을 평가하는 데 사용된다.[50] | |
| 컴퓨터 단층 촬영(CT) | 자기 공명 영상(MRI) 촬영이 어려운 경우 대안으로 사용된다. | 종양 근처 뼈 구조를 자세히 보여주고, 종양 크기 측정에 유용하다.[51] |
| CT 혈관 조영술(CTA) | 뇌 혈관 정보를 제공하며, MRA의 대안으로 사용된다. | |
| 양전자 방출 단층 촬영(PET) | 방사성 표지 물질을 이용하여 종양 세포를 영상화한다. | 고등급 종양에 더 자주 사용되며, 치료 후 잔존 종양과 흉터 조직을 구별하는 데 유용하다.[51] |
두개인두종은 석회화가 자주 관찰된다. 수막종도 석회화를 동반하며, 조영 증강 컴퓨터 단층 촬영(CT) 또는 자기 공명 영상(MRI)에서 균일한 조영 증강 효과를 보인다. 신경교종은 뇌 실질과의 경계가 불분명하고, 조영 시 불균일한 농염상 또는 링 엔핸스먼트가 관찰된다. 뇌 농양과 전이성 뇌종양도 링 엔핸스먼트가 나타날 수 있다. 악성도가 낮은 신경교종은 조영 효과가 낮다.
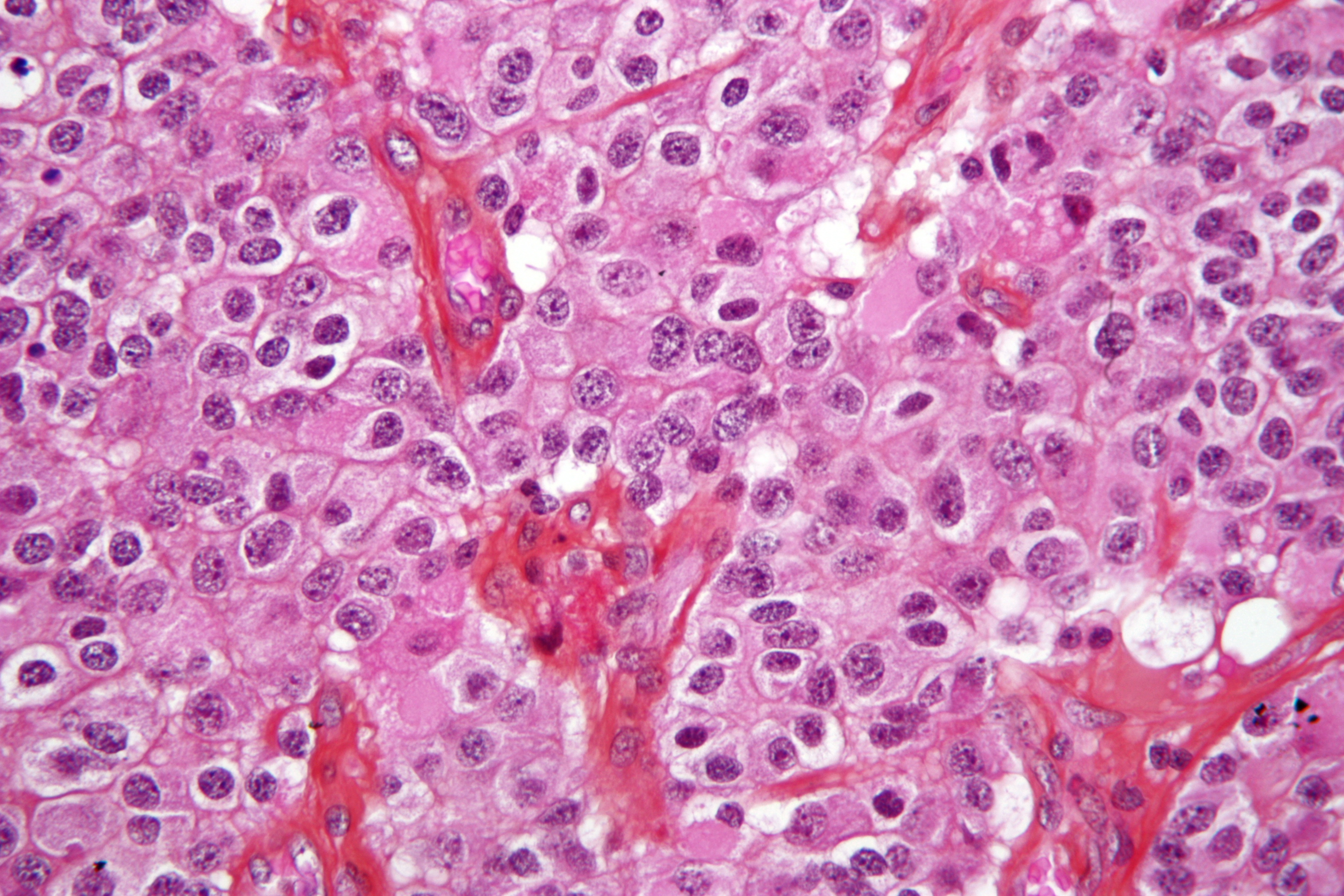
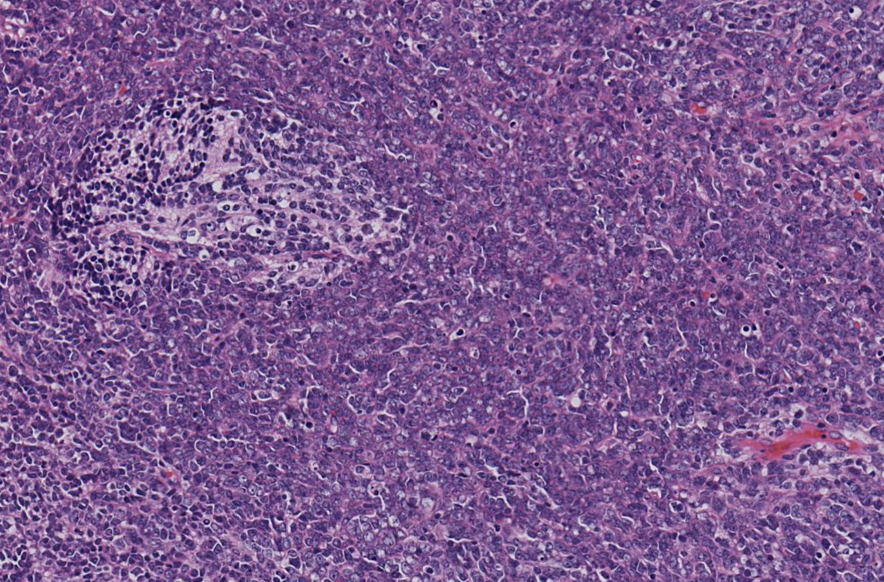
5. 2. 병리

뇌암에 대한 특정한 징후나 증상은 없지만, 증상 조합이 존재하고 다른 원인이 없다는 점은 뇌종양을 시사할 수 있다.[41] 병력은 진단에 도움이 된다. 임상 및 실험실 검사는 증상의 원인이 감염인지 배제하는 데 사용된다.
뇌종양은 신체의 다른 부위 종양과 비교할 때 진단이 어렵다. 일반적으로, 종양 세포의 높은 활성으로 인해 방사성 추적자가 종양에서 많은 양으로 흡수되어 종양의 방사성 영상을 얻을 수 있다. 그러나 뇌의 대부분은 혈액-뇌 장벽(BBB)에 의해 혈액과 분리되어 있으며, 이 막은 어떤 물질이 뇌로 통과하도록 허용되는지에 대해 엄격한 통제를 한다. 따라서 다른 신체 부위 종양에 쉽게 도달할 수 있는 많은 추적자들은 종양에 의한 BBB 파괴가 있기 전까지는 뇌종양에 도달할 수 없다. BBB의 파괴는 MRI 또는 CT 스캔을 통해 잘 영상화되며, 따라서 악성 교종, 수막종, 뇌 전이의 주요 진단 지표로 간주된다.[41]

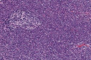
최대한 안전한 외과적 절제술(가능한 한 많은 신경 기능을 보존하기 위해)과 종양의 조직학적 검사가 진단에 도움이 된다.[24] 암세포는 특정한 특징을 가질 수 있다.
- 괴사: 감염, 독소 또는 외상과 같은 외부 요인에 의해 유발된 세포의 (조기) 사망. 괴사된 세포는 죽은 세포를 처리하는 탐식 세포를 방해하는 잘못된 화학 신호를 보내어 괴사된 세포 부위 또는 그 근처에 죽은 조직, 세포 잔해 및 독소가 축적되게 한다.[55]
6. 분류
뇌종양은 발생 기원, 악성도, 유전자 변이 등에 따라 다양하게 분류된다.
세계 보건 기구(WHO)는 뇌종양을 조직학적으로 분류하여 약 130가지 종류를 정의하고 있다.[58] 주요 분류는 다음과 같다:
- 신경 상피성 종양 (예: 별세포종, 희소돌기아교종, 교모세포종, 신경교종, 상피세포종)
- 신경초성 종양 (예: 신경초종, 신경섬유종)
- 수막성 종양 (예: 수막종, 악성 흑색종)
- 림프종 및 조혈 세포성 신생물 (예: 악성 림프종, 형질세포종)
- 배아 세포성 종양 (예: 배아세포종, 난황낭 종양, 융모상피암, 기형종)
- 터키 안부 종양 (예: 두개인두종, 뇌하수체 세포종)
- 전이성 종양
중추신경계 종양의 등급은 1993년 WHO가 만든 4단계 척도(I-IV)를 따른다.[58] 1등급 종양은 가장 심각성이 낮고 장기 생존과 관련이 있으며, 등급이 높아질수록 심각성과 예후가 나빠진다. 저등급 종양은 양성, 고등급 종양은 악성 및/또는 전이성을 보인다.
뇌종양은 발병 연령과 부위에 따라서도 특징적인 유형을 보인다. 예를 들어 성인이 양측성 반맹을 호소하면 뇌하수체 선종을, 소아의 경우 두개인두종이나 배세포종양을 의심해 볼 수 있다.
6. 1. 원발성 뇌종양
양성 종양 또는 악성 종양일 수 있으며, 뇌의 다른 부분에서 발생할 수 있고, 원발성 또는 속발성으로 분류될 수 있다. 원발성 종양은 뇌에서 시작된 종양인 반면, 전이성 종양은 신체의 다른 부위에서 뇌로 전이된 종양이다.[57] 전이성 종양의 발생률은 원발성 종양보다 약 4배 더 높다.[9]중추신경계 종양의 등급은 일반적으로 1993년 세계 보건 기구(WHO)가 만든 4단계 척도(I-IV)로 이루어진다. 등급 I 종양은 가장 심각성이 낮으며 일반적으로 장기 생존과 관련이 있으며, 등급이 증가함에 따라 심각성과 예후가 악화된다. 저등급 종양은 종종 양성이며, 고등급 종양은 공격적인 악성 및/또는 전이성을 나타낸다. 다른 등급 척도도 존재하며, 대부분 WHO 척도와 동일한 기준에 따라 I-IV 등급으로 매겨진다.[58]

가장 흔한 원발성 뇌종양은 다음과 같다:[59]
- 교종[60] (50.4%)
- 수막종[60] (20.8%)
- 뇌하수체 선종[60] (15%)
- 신경초 종양 (10%)
이러한 흔한 종양은 기원 조직에 따라 아래와 같이 분류할 수도 있다:[61]
뇌종양은 매우 다양한 조직에서 발생하므로, 분류에는 발생 모지를 기준으로 한 세계 보건 기구(WHO)의 뇌종양 조직 분류(histological typing of tumours of the central nervous system)가 세계적으로 사용되고 있으며, 2006년도 판에서는 다음과 같이 크게 분류되어 약 130가지 종류의 뇌종양 조직형이 정의되어 있다.
- 신경 상피성 종양 (별세포종, 희소돌기아교종, 교모세포종 등의 신경교종, 상피세포종, 맥락총 종양, 기타 신경 상피성 종양, 신경 세포성 종양, 송과체부 종양, 태아성 종양 등)
- 신경초성 종양 (신경초종, 신경섬유종 등)
- 수막성 종양 (수막종, 기타 간엽성 종양, 악성 흑색종 등)
- 림프종 및 조혈 세포성 신생물 (악성 림프종, 형질세포종 등)
- 배아 세포성 종양 (배아세포종, 난황낭 종양, 융모상피암, 기형종 등)
- 터키 안부 종양 (두개인두종, 뇌하수체 세포종 등)
- 전이성 종양
6. 2. 속발성 뇌종양 (전이성 뇌종양)
뇌의 이차 종양은 전이성이며, 다른 장기에서 시작된 암으로부터 뇌로 전이된 것이다. 전이는 보통 혈액을 통해 일어난다. 뇌로 전이되는 가장 흔한 암의 유형은 폐암 (전체 사례의 절반 이상을 차지), 유방암, 흑색종 피부암, 신장암 및 결장암이다.[62] 전이성 종양의 발생률은 원발성 종양보다 약 4배 더 높다.[9]6. 3. 악성도 (WHO 등급)
중추신경계 종양의 등급은 1993년 세계 보건 기구(WHO)에서 만든 4단계 척도(I-IV)를 따른다.[58] 등급 I 종양은 가장 심각성이 낮고 장기 생존과 관련이 있으며, 등급이 높아질수록 심각성과 예후가 나빠진다. 저등급 종양은 양성, 고등급 종양은 악성 및/또는 전이성을 보인다. 다른 등급 척도도 존재하지만, 대부분 WHO 척도와 동일한 기준에 따라 I-IV 등급으로 매겨진다.[58]뇌종양의 병리조직학적 악성도 또한 WHO 분류법에 따라 4단계로 나뉜다.
| 등급 | 악성도 | 특징 |
|---|---|---|
| Grade I | 가장 낮음 | 국소적, 양성 |
| Grade II | 낮음 | 침윤성, 세포 이형성 |
| Grade III | 높음 | 퇴형성 (세포 이형성, 핵분열상) |
| Grade IV | 가장 높음 | 악성 (세포 이형성, 핵분열상, 미세 혈관 증생, 괴사) |
이 등급은 예후와 상관관계가 있으며, 치료법 선택에 영향을 준다.
하지만 뇌는 인간의 사고, 인격 및 각 장기 기능을 담당하고, 두개골로 둘러싸인 좁은 공간이라는 특수 조건 때문에, 병리학적 소견뿐 아니라 임상적인 악성도(발생 부위, 크기, 침윤성, 방사선/약물 반응성 등)도 함께 고려해야 한다.
6. 4. 유전자 변이
세계보건기구(WHO)는 2016년에 종양 유형, 예후, 치료 반응을 구별하는 데 유용한 고유한 유전자 변이를 포함하도록 일부 교종 범주의 분류를 재구성했다. 유전자 변이는 일반적으로 면역조직화학을 통해 감지되는데, 이는 염색을 통해 표적 단백질의 유무를 시각화하는 기술이다.[43]- IDH1 및 IDH2 유전자의 변이는 저등급 교종에서 흔히 발견된다.
- IDH 유전자 두 개와 염색체 팔 1p 및 19q의 손실이 함께 나타나면 종양이 희소돌기아교종임을 나타낸다.[64]
- TP53 및 ATRX의 손실은 별세포종의 특징이다.
- EGFR, TERT, PTEN 유전자는 교종에서 흔히 변형되며 종양 등급과 생물학을 구별하는 데 유용하다.[43]
6. 5. 발병 연령 및 부위
뇌종양은 발병 연령과 부위에 따라 특징적인 유형을 보인다. 뇌종양은 매우 다양한 조직에서 발생하기 때문에, 세계 보건 기구(WHO)의 뇌종양 조직 분류가 국제적으로 사용된다.성인과 어린이에게 흔한 뇌종양은 다음과 같이 구분할 수 있다.
| 구분 | 흔한 뇌종양 |
|---|---|
| 소아 | 수모세포종, 상유종, 맥락총 유두종, 배세포종양, 두개인두종, 소아 뇌간부 신경교종 |
| 성인 | 수막종, 뇌하수체 선종, 신경교종, 신경초종 |
성인이 양측성 반맹을 호소하면 뇌하수체 선종을 의심하는 것이 일반적이다. 뇌하수체 선종은 터키 안 부위에 잘 발생하기 때문에 양측성 반맹으로 나타나는 경우가 많다.
천막상 종양은 신경교종, 수막종, 제3뇌실의 상의세포종 등이 있으며, 주로 성인에게 많이 발생한다. 반면 천막하 종양은 수모세포종, 상의세포종, 성상세포종, 신경초종 등이 있으며, 주로 어린이에게 많이 발생한다.
다음은 뇌종양으로 사망한 유명인 목록이다.
- 노다 히데오(화가): 1938년에 발병하여 1939년에 30세로 사망했다. 신경교종으로 추정된다.[119]
- 시바타 켄시(배우)
- 테라사와 부이치(만화가): 치료와 재활을 반복했으나, 심근 경색으로 인해 2023년 9월 8일 68세로 사망했다.
- 야마자키 후쿠야(프로 야구 선수): 2008년 고등학교 입학 전 건강 검진에서 발병하여 수술 후 극복했다.
- 가토 키미에(가수, 미소라 히바리의 친모·매니저): 전이성 뇌종양으로 1981년 7월 29일 68세로 사망했다.
- 쓰다 쓰네미(프로 야구 선수): 1991년 발병하여 회복했으나 재발하여 1993년 7월 20일 32세로 사망했다.
- 키요노 사치코(그림책 작가)
- 니주야마 카츠히코(전 스모씨름꾼): 2006년 3월 신장암 전이에 의한 악성 뇌종양 진단을 받고, 6월 23일 45세로 사망했다.
- 나가타 요코(연합 적군 최고간부): 공판 중 발병하여 옥중 투병 생활을 했다. 2011년 사망.
- 사쿠마 마사히데(뮤지션): 말기 스키루스 위암의 전이에 의한 악성 뇌종양으로 2014년 1월 16일 61세로 사망했다.
- 마루야마 카린(가수, 탤런트): 초등학교 2학년 때 발병하여 7번의 수술을 받았으나, 2015년 5월 22일 폐암으로 21세로 사망했다.
- 하나키 쿄(개그맨): 2002년 8월 뇌종양 절제 수술을 받았고, 2015년 8월 5일 폐렴으로 78세로 사망했다.
- 모리타 사키히(프로 야구 선수): 1998년 발병하여 회복했으나, 은퇴 후 재발과 수술을 반복, 전이성 악성 선종으로 2015년 10월 16일 45세로 사망했다.
- 카와시마 미치유키(BOOM BOOM SATELLITES): 28세에 처음 발병하여 5번 재발했고, 2016년 10월 47세로 사망했다.
- 구로사와 겐이치(뮤지션, L⇔R 멤버): 2016년 10월 3일 발병 사실을 알리고 치료 중이었으나, 12월 5일 48세로 사망했다.
- 이와모토 야스오(성대모사 탤런트)의 아내: 2008년 발병하여 후유증으로 휠체어 생활을 하고 있다.
- 요코타 신타로(프로 야구 선수): 2017년 춘계 캠프 중 발병하여 치료를 받았으나 후유증으로 2019년 은퇴, 2023년 7월 18일 28세로 사망했다.
- 이마후지 코지(축구 선수): 경기 중 머리를 부딪힌 후 검사에서 발병이 확인되었고, 치료에 전념했으나 2003년 4월 17일 사망했다.
- 요코야마 토모노부(축구 선수): 2018년 말 발병하여 수술 후 회복했으나, 2020년 은퇴 후 재발하여 2024년 1월 4일 38세로 사망했다.
- 조지 거슈윈(작곡가): 1937년 뇌종양에 걸려 수술 후 뇌 탈출로 7월 11일 38세로 사망했다.
- 리처드 조던(배우): 1993년 4월 뇌종양이 발견되어 같은 해 8월 30일 사망했다.
- 척 슐디너(뮤지션): 일시적으로 회복했으나 재발하여 2001년 12월 13일 34세로 사망했다.
- 보 바이든(변호사, 조 바이든의 장남): 2013년 수술 후 회복했으나 2015년 봄 재발하여 5월 사망했다.
- 밥 말리(음악가): 흑색종의 뇌 및 폐 전이로 1981년 사망했다.
- 리처드 번스(랠리 드라이버): 2003년 악성 성상세포종 진단을 받고 회복했으나 재발하여 2005년 11월 25일 34세로 사망했다.
6. 5. 1. 소아에게 흔한 뇌종양

소아에게 흔한 뇌종양은 수모세포종, 상유종, 맥락총 유두종, 배세포종양, 두개인두종, 소아 뇌간부 신경교종 등이다.[106]
2세 미만 어린이의 경우, 뇌종양의 약 70%가 수모세포종, 뇌실막세포종, 저등급 교종이다.[107] 덜 흔하지만, 일반적으로 유아에게서 발견되는 것은 기형종과 비정형 기형종양 횡문근종이다.[107] 생식 세포 종양은 기형종을 포함하여 소아 원발성 뇌종양의 3%를 차지하지만, 전 세계 발생률은 상당히 다양하다.[108]
어린이가 양측성 반맹을 호소하면 두개인두종이나 배세포종양을 의심하는 것이 일반적이다. 두개인두종과 배세포종양은 모두 터키 안 부위에 호발하기 때문에 양측성 반맹으로 인지되는 경우가 많다.
6. 5. 2. 성인에게 흔한 뇌종양
수막종, 뇌하수체 선종, 신경교종, 신경초종은 성인에게 흔히 발생하는 뇌종양이다.[60]7. 치료
뇌종양 치료는 종양의 종류, 위치, 크기, 그리고 환자의 전반적인 건강 상태를 종합적으로 고려하여 결정된다.[60] 의료진은 다양한 치료 옵션을 평가하고 환자와 가족에게 최선의 방법을 제시한다. 종양의 유형과 위치에 따라 여러 치료법이 있으며, 생존율을 높이기 위해 여러 치료법을 병행하기도 한다.[60]
주요 치료법은 다음과 같다.
- 수술: 가능한 한 많은 종양 세포를 제거하기 위해 종양을 완전히 또는 부분적으로 절제한다.[60]
- 방사선 치료: 뇌종양에 가장 흔히 사용되는 치료법으로, 종양에 베타선, X선, 감마선 등을 조사한다.[60]
- 화학 요법: 암세포를 죽이는 약물을 사용하는 치료법이다.[60] 하지만 뇌혈관 장벽이 일부 약물의 전달을 막을 수 있어 뇌종양 치료에 항상 사용되지는 않는다.
- 실험적 치료법: 다양한 실험적 치료법이 임상 시험을 통해 연구되고 있다.[65][66]
원발성 뇌종양의 생존율은 종양 유형, 환자 나이, 기능 상태, 수술적 제거 범위 등 여러 요인에 따라 달라진다.[67] 역형성 희소돌기교종 및 역형성 희소성상세포종의 표준 치료법은 수술 후 방사선 치료이며, 화학 요법을 추가하면 생존율이 더 향상된다는 연구 결과가 있다.[68]
방사선 치료는 50~60 Gy (그레이)를 수십 회에 걸쳐 조사하는 것이 일반적이며, 배아 세포종, 림프종, 수모세포종 등은 방사선에 민감하다. 특히 배아종은 방사선 치료만으로 완치되기도 한다. 일부 종양에는 감마 나이프나 사이버 나이프와 같이 환부에 집중적으로 방사선을 쪼이는 기계를 사용하기도 한다.
뇌종양은 다양한 종류로 구성되어 있어 치료법 또한 종양마다 다르다. 양성 종양은 완전히 절제하면 완치가 가능하지만, 뇌간이나 두개저 등에 발생한 종양은 완전 절제가 어렵거나 후유증이 남을 수 있다. 악성 종양은 수술, 방사선 치료, 항암 화학 요법 등을 병행하며, 재발이나 전이 시에는 추가적인 치료가 필요하다. 하지만 악성 뇌종양, 특히 교모세포종의 예후는 여전히 좋지 않다.[118]


수두증은 션트를 이용하여 뇌척수액의 흐름을 조절하여 두개내압으로 인한 증상을 완화할수 있다.[81] 뇌부종은 코르티코스테로이드로 관리하며, 덱사메타손이 주로 사용된다. 베바시주맙은 스테로이드에 반응하지 않는 환자의 뇌부종 개선에 사용될 수 있다.[24]
전이성 뇌종양의 경우, 항부종 요법과 방사선 치료를 병행하여 일시적인 증상 개선을 꾀할 수 있다.
면역 요법, 유전자 치료, 중입자선 치료, 양성자선 치료, 온열 요법 등도 연구되고 있지만, 현재로서는 큰 효과를 기대하기는 어렵다.
7. 1. 수술
교모세포종 환자의 경우, 조영 증강되는 뇌종양을 최대한 광범위하게 외과적으로 절제하는 것(육안적 완전 절제)은 전체 생존율 및 무진행 생존율 증가와 관련이 있다. 육안적 완전 절제는 다른 뇌종양에서도 종종 필요하다.[24] 최소 침습 기술은 신경외과 종양학 분야의 주요 추세가 되고 있다.[69] 수술의 주요 목표는 가능한 많은 종양 세포를 제거하는 것이며, 완전 제거가 최상의 결과이고, 종양의 세포 감소술("디벌킹")을 수행할 수 있다. 교모세포종은 침윤성이 높아 일반적으로 완전 절제가 불가능하며, 수술 후 진행이 보통 발생하며, 수술 후 약 7개월 후에 진행이 발생한다.[24]일부 두개저에 위치한 종양을 제외한 많은 수막종은 외과적으로 성공적으로 제거할 수 있다. 대부분의 뇌하수체 선종은 종종 비강과 두개저를 통한 최소 침습적 접근법(경비강, 경접형골 접근법)을 사용하여 외과적으로 제거할 수 있다. 큰 뇌하수체 선종은 제거를 위해 개두술(두개골 열기)이 필요하다. 정위 방사선 수술을 포함한 방사선 치료는 수술 불가능한 경우에 사용된다.[70]
7. 2. 방사선 치료
방사선 치료의 목표는 정상적인 뇌 조직에는 해를 끼치지 않으면서 종양 세포를 죽이는 것이다. 표준 외부 방사선 치료에서는 여러 번에 걸쳐 표준 용량의 방사선을 뇌에 조사한다. 이 과정은 종양의 종류에 따라 총 10~30회의 치료로 반복된다. 이러한 치료는 일부 환자에게 더 나은 결과와 더 긴 생존율을 제공한다.방사선 수술은 컴퓨터 계산을 통해 주변 뇌 조직에 대한 방사선량을 최소화하면서 종양 부위에 방사선을 집중시키는 치료 방법이다. 방사선 수술은 다른 치료법의 보조 요법이거나 일부 종양에 대한 주요 치료 기법이 될 수 있다. 사용되는 형태로는 정위적 방사선 수술 (예: 감마 나이프, 사이버나이프, 노발리스 Tx) 등이 있다.[73]
방사선 치료는 이차성 뇌종양의 가장 일반적인 치료법이다. 방사선 치료량은 암의 영향을 받는 뇌 부위의 크기에 따라 다르다. 만약 다른 이차 종양이 ভবিষ্যতে 발생할 위험이 있는 경우, 일반적인 외부 빔을 이용한 "전뇌 방사선 치료"(WBRT) 또는 "전뇌 조사"가 권장될 수 있다.[74] 정위적 방사선 치료는 일반적으로 3개 미만의 작은 이차성 뇌종양이 있는 경우에 권장된다. 방사선 치료는 종양 절제술 후에 사용되거나, 경우에 따라 절제술 대신 사용될 수도 있다. 뇌암에 사용되는 방사선 치료 형태로는 가장 일반적인 외부 빔 방사선 치료와 근접 방사선 치료, 양성자 치료가 있으며, 특히 양성자 치료는 어린이에게 주로 사용된다.
전이성 뇌종양 치료를 위해 정위적 방사선 수술(SRS)과 전뇌 방사선 치료(WBRT)를 받는 사람들은 SRS 단독으로 치료받는 사람들보다 학습 및 기억력 문제가 발생할 위험이 두 배 이상 높다.[75][76] 2021년 체계적 검토 결과에 따르면, SRS를 초기 치료로 사용할 때 뇌 전이와 관련된 생존 또는 사망은 WBRT를 사용한 SRS와 비교하여 단독으로 사용했을 때와 차이가 없었다.[77]
수술 후 매일 방사선 치료를 받는 것은 기능적 웰빙 상태가 좋고 고등급 신경교종이 있는 성인의 생존율을, 수술 후 방사선 치료를 받지 않는 경우보다 향상시킨다. 분할 방사선 치료는 특히 교모세포종이 있는 60세 이상 개인의 생존율에 대해 일반적인 방사선 치료와 유사한 효능을 가진다.[78]
방사선 치료는 방사선을 사용하여 종양 세포를 파괴하는 것으로, 50~60 Gy(그레이)를 수십 회에 걸쳐 조사하는 것이 일반적이다. 방사선 감수성이 높은(효과가 나타나기 쉬운) 종양에는 배아 세포종, 림프종, 수모세포종 등이 있으며, 이 중에서 배아종은 특히 감수성이 높아 방사선 조사만으로 완치되는 경우도 있다. 또한 일부 종양에서는 감마 나이프나 사이버 나이프와 같이 환부에 집중적으로 방사선을 쪼이는 기계를 사용한 치료가 이루어진다.
7. 3. 화학 요법
화학 요법은 항암제를 사용하여 종양 세포를 죽이는 치료법이다. 화학 요법은 가장 악성인 원발성 뇌종양 환자의 전체 생존율을 향상시킬 수 있지만, 환자의 약 20%에서만 효과가 있다.[60] 어린 아이들의 경우, 방사선이 발달 중인 뇌에 부정적인 영향을 미칠 수 있으므로 방사선 대신 화학 요법을 자주 사용한다. 화학 요법 처방 여부는 환자의 전반적인 건강 상태, 종양 유형 및 암의 진행 정도에 따라 결정된다. 약물의 독성과 많은 부작용, 그리고 뇌종양에 대한 화학 요법의 불확실한 결과로 인해 수술 및 방사선 치료가 우선시되면서 이 치료법은 치료 옵션에서 뒤로 밀려난다.[79]UCLA 신경종양학과는 교모세포종 진단을 받은 환자의 실시간 생존 데이터를 발표하는데, 이는 미국에서 뇌종양 환자가 현재 치료법에 어떻게 반응하는지 보여주는 유일한 기관이다. 또한, 고등급 신경교종 종양을 치료하는 데 사용되는 화학 요법 제제의 목록도 제공한다.[80]
유전자 돌연변이는 화학 요법의 효과에 큰 영향을 미친다. IDH1 또는 IDH2 돌연변이가 있는 신경교종은 돌연변이가 없는 경우보다 화학 요법에 더 잘 반응하며, 염색체 팔 1p 및 19q의 손실 또한 화학 방사선 요법에 더 나은 반응을 보인다.[43]
7. 4. 기타 치료
션트는 두개내압으로 인해 유발되는 증상을 완화하고, 뇌척수액의 자유로운 흐름이 막혀 발생하는 체액 축적(수두증)을 감소시킨다.[81] 뇌종양으로 인한 뇌부종은 코르티코스테로이드로 관리하며, 덱사메타손은 반감기가 길고 수분 저류에 미치는 영향이 적어 선호된다. 베바시주맙은 스테로이드에 반응하지 않는 환자의 뇌부종을 개선할 수 있다.[24]전이성 뇌종양의 경우, 항부종 요법으로 글리세롤 200ml를 하루 두 번, 덱사메타손 6.6mg 또는 프레드니솔론 20mg을 하루 두 번 투여하여 일시적인 증상 개선을 꾀할 수 있다. 30Gy의 전뇌 조사 등 방사선 치료를 병행하기도 한다.
이 외에도 생체의 면역 작용을 높여 종양 성장을 억제하는 면역 요법, 유전자 치료, 중입자선 치료, 양성자선 치료, 온열 요법 등이 고안되었지만, 현재 단계에서는 큰 기대를 걸기 어렵다.
8. 예후
뇌종양의 예후는 진단된 암의 종류에 따라 달라진다. 수모세포종은 화학 요법, 방사선 요법, 수술적 절제를 통해 좋은 예후를 보이지만, 교모세포종은 공격적인 화학 방사선 요법과 수술에도 불구하고 중앙 생존 기간이 15개월에 불과하다.[82] 뇌간 신경교종은 모든 형태의 뇌암 중에서 가장 나쁜 예후를 보이며, 대부분의 환자는 종양에 대한 방사선 치료와 함께 코르티코스테로이드로 구성된 치료법을 사용하더라도 1년 이내에 사망한다. 그러나 소아의 국소 뇌간 신경교종의 한 유형은 예외적인 예후를 보이며 장기 생존이 자주 보고되고 있다.[83]
예후는 유전자 돌연변이의 존재에 의해서도 영향을 받는다. 특정 돌연변이는 다른 돌연변이보다 더 나은 예후를 제공한다. 신경교종에서 IDH1 및 IDH2 돌연변이, 그리고 염색체 팔 1p 및 19q의 결실은 일반적으로 더 나은 예후를 나타낸다. TP53, ATRX, EGFR, PTEN, 및 TERT 돌연변이도 예후를 결정하는 데 유용하다.[43]
교모세포종은 가장 공격적인 형태의 악성 원발성 뇌종양으로, 4등급이며 가장 흔한 형태이다. 방사선 치료, 화학 요법, 수술적 절제로 구성된 공격적인 다중 치료법을 사용하더라도 중앙 생존 기간은 15~18개월에 불과하다.[82] 교모세포종에 대한 표준 치료법은 종양의 최대한의 수술적 절제이며, 암 제거 개두술 후 2~4주 후에 화학 요법 (예: 테모졸로마이드)과 방사선 치료를 받는다.[84] 교모세포종 환자 대부분은 증상 완화를 위해 질병 기간 동안 일반적으로 덱사메타손과 같은 코르티코스테로이드를 복용한다. 실험적 치료법으로는 표적 치료, 감마 나이프 방사선 수술[85], 붕소 중성자 포획 치료법, 유전자 치료, 화학 웨이퍼 이식 등이 있다.[86][87]
희소돌기아교종은 치료가 불가능하지만 천천히 진행되는 악성 뇌종양이다. 구획 절제술, 화학 요법, 방사선 치료 또는 이들의 조합으로 치료할 수 있다. 일부 의심되는 저등급(2등급) 종양의 경우, 주의 깊은 관찰과 증상 치료만 선택된다. 이러한 종양은 1번 염색체와 19번 염색체의 p 및 q 암의 공동 결실(1p19q 공동 결실)을 보이며, 특히 화학 요법에 민감한 것으로 밝혀졌으며, 한 보고서에서는 가장 화학 요법에 민감한 종양 중 하나라고 주장했다.[82][88] 2등급 희소돌기아교종의 중앙 생존 기간은 최대 16.7년으로 보고되었다.[89]
등급 III 및 IV의 종양을 지칭한다. 수술 가능한 부위라면 가능한 한 종양을 절제하고, 방사선 치료, 항암 화학 요법, 보조 요법 등을 병용하며, 재발, 전이한 경우에는 화학 요법, 경우에 따라서는 여러 차례의 수술이 이루어진다. 그러나 악성 뇌종양, 특히 예후가 가장 나쁜 교모세포종의 생명 예후는 여전히 불량하다.[118]
9. 역학
뇌종양 발병률은 소득이 높은 국가에서 더 높게 나타난다.[92] 이는 소득이 낮은 국가에서는 뇌종양 진단이 제대로 이루어지지 않아 관련 사망자가 누락되거나, 빈곤으로 인해 뇌종양 발생 전에 다른 원인으로 조기 사망하는 경우가 많기 때문일 수 있다.
미국, 이스라엘, 북유럽 국가에서는 중추신경계 종양 발병률이 비교적 높게 나타나는 반면, 일본 및 아시아 국가에서는 발병률이 낮게 나타난다.[93][94]
2015년 미국에서는 약 166,039명이 뇌 또는 기타 중추신경계 종양을 앓고 있었다. 2018년에는 뇌종양 신규 환자가 23,880명, 사망자가 16,830명으로 추산되었으며, 이는 모든 암의 1.4%, 모든 암 사망의 2.8%를 차지했다.[96] 진단 중앙 연령은 58세, 사망 중앙 연령은 65세였다. 남성의 경우 인구 10만 명당 약 7.5건으로 진단이 약간 더 흔했고, 여성은 5.4건으로 2건 적었다. 뇌암으로 인한 사망은 남성 10만 명당 5.3명, 여성 10만 명당 3.6명으로, 뇌암은 미국에서 10번째로 흔한 암 사망 원인이 되었다. 뇌암 발생 평생 위험은 남녀 모두 약 0.6%로 추정된다.[97]
영국에서는 뇌, 기타 중추신경계 또는 두개 내 종양이 9번째로 흔한 암이며(2013년 약 10,600명 진단), 암 사망 원인 중 8번째로 흔하다(2012년 약 5,200명 사망).[98] 영국에서는 백인 뇌종양 환자가 다른 민족 환자보다 진단 후 1년 이내에 사망할 확률이 30% 더 높지만, 그 이유는 아직 밝혀지지 않았다.[99]
10. 연구 동향
암 면역 요법은 활발히 연구되고 있다. 2015년 현재 악성 신경교종의 경우 생존 기간을 연장하는 것으로 나타난 치료법은 없다.[110]
2000년에 연구자들은 건강한 세포에 영향을 미치지 않으면서 암세포를 감염시키고 죽이기 위해 수포성 구내염 바이러스(VSV)를 사용했다.[111][112]
노리 카사하라 교수(Prof. Nori Kasahara)가 이끄는 USC 연구진(현재는 UCLA 소속)은 2001년, 레트로바이러스 복제 벡터를 사용하여 고형 종양에서 유래한 세포주를 형질 도입하는 데 성공한 최초의 사례를 보고했다.[113] 이 초기 연구를 바탕으로 연구진은 이 기술을 ''생체 내'' 암 모델에 적용했으며, 2005년에는 실험적 뇌종양 동물 모델에서 장기 생존 이점을 보고했다.[114] 이후, 인간 임상 시험을 준비하면서 이 기술은 뇌암 치료에 주력하는 제약 회사인 토카젠(Tocagen)에 의해 병용 치료법(토카 511 & 토카 FC)으로 더 발전되었다. 이는 재발성 고등급 신경교종(교모세포종 및 역형성 성상세포종 포함)의 잠재적 치료를 위한 1/2상 임상 시험에서 2010년부터 연구되어 왔다. 아직 결과는 발표되지 않았다.[115]
혈액, 뇌척수액 또는 소변에서 액체 생검을 통해 뇌종양의 발달 및 치료 반응을 감지하고 모니터링하려는 노력은 초기 개발 단계에 있다.[116][117]
참조
[1]
논문
Global, regional, and national incidence, prevalence, and years lived with disability for 310 diseases and injuries, 1990-2015: a systematic analysis for the Global Burden of Disease Study 2015
2016-10
[2]
논문
Global, regional, and national life expectancy, all-cause mortality, and cause-specific mortality for 249 causes of death, 1980-2015: a systematic analysis for the Global Burden of Disease Study 2015
2016-10
[3]
웹사이트
General Information About Adult Brain Tumors
http://www.cancer.go[...]
2014-04-14
[4]
웹사이트
Adult Brain Tumors Treatment
http://www.cancer.go[...]
2014-02-28
[5]
서적
Harrison's principles of internal medicine
McGraw-Hill
[6]
논문
Computed tomography scan radiation and brain cancer incidence
2023-07-06
[7]
웹사이트
Benign brain tumour (non-cancerous)
https://www.nhs.uk/c[...]
2017-10-20
[8]
웹사이트
Cancer of the Brain and Other Nervous System – Cancer Stat Facts
https://seer.cancer.[...]
[9]
논문
Brain tumors
2012-12
[10]
서적
World Cancer Report 2014.
World Health Organization
2014
[11]
서적
World Cancer Report 2014.
World Health Organization
2014
[12]
웹사이트
Brain Tumour Facts 2011
http://www.btaa.org.[...]
[13]
웹사이트
Brain Tumors
http://www.merckmanu[...]
[14]
웹사이트
Mood Swings and Cognitive Changes {{!}} American Brain Tumor Association
http://www.abta.org/[...]
[15]
웹사이트
Coping With Personality & Behavioral Changes
http://www.brainscie[...]
[16]
논문
It IS a tumor -- current review of headache and brain tumor
2014-06
[17]
웹사이트
Nosebleeds & Headaches: Do You Have Brain Cancer?
https://ana-neurosur[...]
2020-11-19
[18]
논문
Neurobehavioural changes in patients following brain tumour: patients and relatives perspective
2014-11
[19]
웹사이트
Coping With Personality & Behavioral Changes
http://www.brainscie[...]
[20]
웹사이트
Mood Swings and Cognitive Changes {{!}} American Brain Tumor Association
http://www.abta.org/[...]
[21]
웹사이트
Brain Tumors: an introduction
https://mayfieldclin[...]
2018-08
[22]
웹사이트
Changes in Vision – Brain Tumour Symptoms
https://www.thebrain[...]
[23]
웹사이트
Brain Tumors
https://www.chw.org/[...]
2019-03-06
[24]
논문
Glioblastoma and Other Primary Brain Malignancies in Adults: A Review
2023-02-21
[25]
웹사이트
Brain Tumor Symptoms {{!}} Miles for Hope {{!}} Brain Tumor Foundation
http://milesforhope.[...]
[26]
논문
Pharmacological treatment of depression in people with a primary brain tumour
2020-07
[27]
논문
Exposure to ionizing radiation and brain cancer incidence: The Life Span Study cohort
2016-06
[28]
서적
Molecular Neuro-oncology and Its Impact on the Clinical Management of Brain Tumors
Springer
[29]
Review
Neurological Management of Von Hippel-Lindau Disease
2016-09
[30]
Review
Meningiomas: knowledge base, treatment outcomes, and uncertainties. A RANO review
2015-01
[31]
Review
The molecular basis of coeliac disease
2006-06
[32]
웹사이트
Brain Cancer Causes, Symptoms, Stages & Life Expectancy
https://www.medicine[...]
[33]
논문
Use of mobile phones and risk of brain tumours: update of Danish cohort study
2011-10
[34]
간행물
IARC classifies radiofrequency electromagnetic fields as possibly carcinogenic to humans
http://www.iarc.fr/e[...]
"[[International Agency for Research on Cancer]]"
2011-05-31
[35]
서적
Clinically oriented anatomy
Lippincott Williams and Wilkins
2017-09
[36]
웹사이트
Meningioma Brain Tumor
http://neurosurgery.[...]
2019-07-29
[37]
웹사이트
Neurons & Glial Cells SEER Training
https://training.see[...]
2019-07-29
[38]
논문
CBTRUS statistical report: Primary brain and central nervous system tumors diagnosed in the United States in 2006-2010
2013-11
[39]
웹사이트
Pituitary tumours
https://www.cancerre[...]
2024-04-18
[40]
웹사이트
What to Know About Pineal Tumors
https://www.webmd.co[...]
2024-07-04
[41]
논문
Brain tumors
2012-11
[42]
웹사이트
Adult Central Nervous System Tumors Treatment (PDQ®)–Patient Version – National Cancer Institute
https://www.cancer.g[...]
2020-05-11
[43]
논문
Current Clinical State of Advanced Magnetic Resonance Imaging for Brain Tumor Diagnosis and Follow Up
2018-01
[44]
논문
Brain Metastasis Recurrence Versus Radiation Necrosis
2020-10
[45]
간행물
Determining Malignancy of Brain Tumors by Analysis of Vessel Shape
Springer Berlin Heidelberg
2004
[46]
논문
Imaging of brain tumors: MR spectroscopy and metabolic imaging
2010-08
[47]
웹사이트
MRI (magnetic resonance imaging)
https://mayfieldclin[...]
2022-11-28
[48]
논문
Perfusion MR imaging of brain tumors
2004-10
[49]
논문
Functional MRI in the brain tumor patient
2004-10
[50]
논문
Diffusion imaging of brain tumors
2010-08
[51]
웹사이트
Tests for Brain and Spinal Cord Tumors in Adults
https://www.cancer.o[...]
2022-11-28
[52]
웹사이트
Recognizing intra-axial tumors on brain computed tomography (CT) {{!}} Medmastery
https://public-nuxt.[...]
2022-11-28
[53]
논문
Significance of "Atypia" Found on Needle Biopsy of the Breast: Correlation with Surgical Outcome
https://elischolar.l[...]
2007-01-01
[54]
웹사이트
Neoplasia
https://www.cancer.g[...]
National Cancer Institute
2011-02-02
[55]
MedlinePlus
Necrosis
[56]
논문
The role of hypoxia in the tumor microenvironment and development of cancer stem cell: a novel approach to developing treatment
2021-01
[57]
웹사이트
What you need to know about brain tumors
http://www.cancer.go[...]
National Cancer Institute
2012-02-25
[58]
논문
A Simplified Overview of World Health Organization Classification Update of Central Nervous System Tumors 2016
2017-10
[59]
서적
Meningiomas: Diagnosis, Treatment, and Outcome
Springer
[60]
웹사이트
Brain Tumors – Classifications, Symptoms, Diagnosis and Treatments
https://www.aans.org[...]
2021-01-29
[61]
웹사이트
Classifications of Brain Tumors
http://www.aans.org/[...]
American Association of Neurological Surgeons
2017-04-23
[62]
논문
Review of Current Principles of the Diagnosis and Management of Brain Metastases
2022-05-24
[63]
논문
The 2021 WHO Classification of Tumors of the Central Nervous System: a summary
2021-08
[64]
웹사이트
Oligodendroglioma
https://www.lecturio[...]
2021-08-21
[65]
논문
Strategies for Improved Intra-arterial Treatments Targeting Brain Tumors: a Systematic Review
2020-08-26
[66]
논문
Advances in Intraarterial Chemotherapy Delivery Strategies and Blood-Brain Barrier Disruption
2022-04
[67]
논문
Prognostic factors in low-grade supratentorial astrocytomas: a uni-multivariate statistical analysis in 76 surgically treated adult patients
1995-09
[68]
논문
Adjuvant treatment of anaplastic oligodendrogliomas and oligoastrocytomas
2014-05
[69]
논문
The quiet revolution: retractorless surgery for complex vascular and skull base lesions
2012-02
[70]
논문
Stereotactic Radiation Therapy in Pituitary Adenomas, is it Better than Conventional Radiation Therapy?
2017
[71]
논문
Comprehensive Commissioning and Clinical Implementation of GammaTiles STaRT for Intracranial Brain Cancer
2022-07
[72]
논문
Brain tumors
2001-01
[73]
웹사이트
Radiosurgery treatment comparisons – Cyberknife, Gamma knife, Novalis Tx
http://www.sdcyberkn[...]
2014-07-22
[74]
웹사이트
Treating secondary brain tumours with WBRT
http://www.cancerhel[...]
Cancer Research UK
2012-06-05
[75]
웹사이트
Whole Brain Radiation increases risk of learning and memory problems in cancer patients with brain metastases
http://www.mdanderso[...]
MD Anderson Cancer Center
2012-06-05
[76]
웹사이트
Metastatic brain tumors
http://www.irsa.org/[...]
International RadioSurgery Association
2012-06-05
[77]
서적
Radiation Therapy for Brain Metasases
2021-06-09
[78]
논문
External beam radiation dose escalation for high grade glioma
2020-05
[79]
논문
Primary Brain Tumors in Adults: Diagnosis and Treatment
2016-02
[80]
웹사이트
How Our Patients Perform: Glioblastoma Multiforme
http://www.neuroonco[...]
UCLA Neuro-Oncology Program
2012-06-05
[81]
웹사이트
Normal Pressure Hydrocephalus Causes, Symptoms, Treatment
http://www.emedicine[...]
Emedicinehealth.com
2012-02-17
[82]
서적
Central Nervous System Tumours
International Agency for Research on Cancer
[83]
웹사이트
Brain Stem Gliomas in Childhood
http://www.childhood[...]
Childhoodbraintumor.org
2012-02-17
[84]
논문
Biomarkers and therapeutic advances in glioblastoma multiforme
2018-02
[85]
웹사이트
GBM Guide – MGH Brain Tumor Center
http://brain.mgh.har[...]
Brain.mgh.harvard.edu
2012-02-17
[86]
논문
Replication-competent retrovirus vectors for cancer gene therapy
2008-01
[87]
논문
Current status of gene therapy for brain tumors
2013-04
[88]
논문
Oligodendroglial tumor chemotherapy using "decreased-dose-intensity" PCV: A Singapore experience
2006-01-24
[89]
웹사이트
Neurology
http://www.neurology[...]
Neurology
2012-02-17
[90]
웹사이트
Acoustic Neuroma (Vestibular Schwannoma)
https://www.hopkinsm[...]
2019-07-19
[91]
웹사이트
UpToDate
https://www.uptodate[...]
2019-07-19
[92]
논문
Brain tumor epidemiology: consensus from the Brain Tumor Epidemiology Consortium
2008-10
[93]
문서
Low-Grade Astrocytoma
[94]
웹사이트
CANCERMondial
http://www-dep.iarc.[...]
International Agency for Research on Cancer
2012-02-17
[95]
웹사이트
Cancer Stat Facts: Brain and Other Nervous System Cancer
https://seer.cancer.[...]
2019-03-31
[96]
웹사이트
What are the key statistics about brain and spinal cord tumors?
http://www.cancer.or[...]
American Cancer Society
2012-05-01
[97]
웹사이트
2018 CBTRUS Fact Sheet
http://www.cbtrus.or[...]
2019-02-14
[98]
웹사이트
Brain, other CNS and intracranial tumours statistics
http://www.cancerres[...]
2014-10-27
[99]
뉴스
White British brain tumour patients 'more likely to die in a year'
https://www.theguard[...]
The Guardian
[100]
웹사이트
Quick Brain Tumor Facts
http://braintumor.or[...]
2019-02-14
[101]
웹사이트
CBTRUS – 2018 CBTRUS Fact Sheet
http://www.cbtrus.or[...]
2019-02-14
[102]
논문
Robbins Basic Pathology
2017-11-06
[103]
논문
Practical guidelines for the treatment of malignant gliomas
1998-02
[104]
웹사이트
Childhood Brain Cancer Now Leads to More Deaths than Leukemia
http://fortune.com/2[...]
2019-02-14
[105]
웹사이트
CNS and Miscellaneous Intracranial and Intraspinal Neoplasms
http://seer.cancer.g[...]
National Cancer Institute
2008-12-04
[106]
웹사이트
Ependymoma
https://www.lecturio[...]
2021-07-19
[107]
웹사이트
Infantile Brain Tumors
http://www.childhood[...]
The Childhood Brain Tumor Foundation
2014-07-23
[108]
논문
Pediatric central nervous system germ cell tumors: a review
2008-06
[109]
웹사이트
About childhood brain tumours
https://www.thebrain[...]
2016-06-16
[110]
서적
Current Understanding and Treatment of Gliomas
2015
[111]
논문
Oncolytic viruses: smart therapeutics for smart cancers
2012-01
[112]
논문
China approves world's first oncolytic virus therapy for cancer treatment
2006-03
[113]
논문
A uniquely stable replication-competent retrovirus vector achieves efficient gene delivery in vitro and in solid tumors
2001-05
[114]
논문
Single-shot, multicycle suicide gene therapy by replication-competent retrovirus vectors achieves long-term survival benefit in experimental glioma
2005-11
[115]
ClinicalTrialsGov
A Study of a Retroviral Replicating Vector Combined With a Prodrug Administered to Patients With Recurrent Malignant Glioma
[116]
논문
Toward the Early Detection of Cancer by Decoding the Epigenetic and Environmental Fingerprints of Cell-Free DNA
2019-10
[117]
논문
Liquid Biopsy and Primary Brain Tumors
2021-10
[118]
서적
悪性グリオーマを発症した脳外科医と、彼の妻による闘病記が残されている(岩田隆信『医者が末期がん患者になってわかったこと』、岩田隆信、岩田規子『続・医者が末期がん患者になってわかったこと』)。
[119]
서적
異端・放浪・夭折の画家たち
ブレーン出版
1989
본 사이트는 AI가 위키백과와 뉴스 기사,정부 간행물,학술 논문등을 바탕으로 정보를 가공하여 제공하는 백과사전형 서비스입니다.
모든 문서는 AI에 의해 자동 생성되며, CC BY-SA 4.0 라이선스에 따라 이용할 수 있습니다.
하지만, 위키백과나 뉴스 기사 자체에 오류, 부정확한 정보, 또는 가짜 뉴스가 포함될 수 있으며, AI는 이러한 내용을 완벽하게 걸러내지 못할 수 있습니다.
따라서 제공되는 정보에 일부 오류나 편향이 있을 수 있으므로, 중요한 정보는 반드시 다른 출처를 통해 교차 검증하시기 바랍니다.
문의하기 : help@durumis.com
