간질성 폐질환
"오늘의AI위키"의 AI를 통해 더욱 풍부하고 폭넓은 지식 경험을 누리세요.
1. 개요
간질성 폐질환은 폐포와 모세혈관을 둘러싼 조직에 염증과 섬유화가 발생하는 질환으로, 원인이 알려지지 않은 경우(특발성)와 알려진 경우(속발성)로 분류된다. 원인으로는 흡입 물질, 약제, 방사선, 감염, 교원병 등이 있으며, 특발성 간질성 폐렴(IIPs)이 전체의 약 2/3를 차지한다. 주요 증상으로는 호흡곤란과 마른 기침이 있으며, 진단에는 증상 평가, 병력 조사, 흉부 CT, 폐 기능 검사 등이 활용된다. 치료는 원인 제거, 약물 치료(스테로이드, 면역억제제, 항섬유화제 등), 산소 치료, 폐 재활, 폐 이식 등이 있으며, 예방을 위해 환경 관리, 예방 접종, 급성 악화 방지가 중요하다. 예후는 질환 유형, 중증도, 치료 반응에 따라 다르며, 진행 시 호흡 부전, 폐렴 등의 합병증이 발생할 수 있다.
더 읽어볼만한 페이지
| 간질성 폐질환 | |
|---|---|
| 질병 개요 | |
| 분야 | 폐병학 |
| 합병증 | 호흡 부전 |
| 발병 시기 | 원인/유형에 따라 수개월 - 수년 |
| 지속 기간 | 원인/유형에 따라 수개월 - 수년 |
| 역학 | |
| 빈도 (2015년) | 190만 명 |
| 사망 (2015년) | 12만 2천 명 |
| 상세 정보 | |
| 동의어 | 간질성 폐렴 미만성 실질 폐질환 (DPLD) |
| 진단 및 치료 | |
| 추가 정보 | |
2. 원인
간질성 폐질환은 다양한 원인에 의해 발생할 수 있으며, 크게 원인이 알려진 경우와 알려지지 않은 경우(특발성)로 나뉜다.[9]
원인이 알려지지 않은 경우는 '''특발성 간질성 폐렴'''(IIPs: Idiopathic Interstitial Pneumonias)이라고 불리며, 임상 병형이나 조직형에 따라 몇 가지로 분류된다. 박리성 간질성 폐렴, 호흡 세기관지염 관련 간질성 폐렴은 흡연과의 관련성이 밝혀졌다.
2. 1. 원인이 알려진 경우
원인이 알려진 간질성 폐질환은 다음과 같다.[6]- 흡입 물질
- * 무기물: 규폐증, 석면폐증, 베릴륨 폐증, 산업 인쇄 화학 물질(예: 카본 블랙, 잉크 미스트)
- * 유기물: 과민성 폐렴(외인성 알레르기성 폐포염)[6], 곰팡이, 버섯 포자, 동물성 단백질 등[27]
- 약제
- * 항생제(예: 니트로푸란토인 및 설파제)
- * 항암 화학 치료제
- * 항부정맥제
- * 블레오마이신, 게피티니브 등의 항암제, 정신 작용성 간질 치료제인 카르바마제핀[28][29], 한약인 소시호탕[30], PHMG, 인터페론, 담도 질환 개선제 (우루데스톤 정)
- 방사선
- * 방사선 치료 정도의 강한 피폭
- 감염
- * 바이러스 감염 (예: 거대세포 바이러스, 인플루엔자 바이러스)
- * 비정형 폐렴
- * 폐포자충 폐렴
- * 결핵
- * ''클라미디아 트라코마티스''
- * 호흡기 세포 융합 바이러스
- * 림프관 암종증
- 교원병 (결합 조직 질환 및 자가면역 질환)
- * 류마티스 관절염
- * 전신성 홍반 루푸스
- * 전신 경화증
- * 다발성 근염
- * 피부근염
- * 항합성 효소 증후군
- 기타
- * 흡연 관련 간질성 섬유증(SRIF)[12]
- * 코로나19 (COVID-19)[13]
특히 게피티니브에 의한 간질성 폐질환은 일본에서의 발병률이 높아, 해외 데이터를 바탕으로 약사 승인되었기 때문에 출시 후에 위험성이 현저해져 사회적으로 큰 영향을 미쳤다.
2. 2. 특발성 간질성 폐렴 (IIPs)
특발성 간질성 폐렴은 원인이 알려지지 않은 간질성 폐 질환에 주어지는 용어이다. 이는 간질성 폐 질환의 대다수 사례(최대 2/3의 사례)를 차지한다.[10] 2002년 미국 흉부 학회에서 7개의 하위 그룹으로 세분화되었다:[11]- 특발성 폐섬유증 (IPF): ILD의 30% 이상을 차지하는 가장 흔한 하위 그룹[6]
- 박리성 간질성 폐렴 (DIP)
- 급성 간질성 폐렴 (AIP): 하만-리치 증후군으로도 알려져 있다.
- 비특이성 간질성 폐렴 (NSIP)
- 호흡 세기관지염 관련 간질성 폐 질환 (RB-ILD)
- 특발성 폐렴 (COP): 이전 명칭인 폐쇄세기관지염 폐렴(BOOP)으로도 알려져 있다.
- 림프성 간질성 폐렴 (LIP)
위에 열거한 명확한 원인을 갖지 않는 것은 '''특발성 간질성 폐렴''' (IIPs: Idiopathic Interstitial Pneumonias)이라고 불리며, 임상 병형이나 조직형에 따라 몇 가지로 분류된다. 박리성 간질성 폐렴, 호흡 세기관지염 관련 간질성 폐렴은 흡연과의 관련성이 밝혀졌다.
2002년 ATS (American thoracic society) /ERS (European respiratory society) 분류에서는 다음과 같은 7가지로 분류하였다.
# 통상형 간질성 폐렴 (UIP: usual interstitial pneumonia) ※ 특발성 폐섬유증 (IPF: Idiopathic Pulmonary Fibrosis)
# 비특이성 간질성 폐렴 (NSIP: Non-Specific Interstitial Pneumonia)
# 특발성 기질화 폐렴 (COP: Cryptogenic Organizing Pneumonia)
# 박리성 간질성 폐렴 (DIP: Desquamative Interstitial Pneumonia)
# 호흡 세기관지염 관련 간질성 폐렴 (RB-ILD: Respiratory Bronchiolitis - associated Interstitial Lung Disease)
# 급성 간질성 폐렴 (AIP: Acute Interstitial Pneumonia)
# 림프구성 간질성 폐렴 (LIP: Lymphocytic Interstitial Pneumonia)
2013년에 분류가 개정되어 2019년 현재의 최신판은 다음과 같다.
- 만성 섬유화성 간질성 폐렴
- * 특발성 폐섬유증 (IPF: Idiopathic Pulmonary Fibrosis)
- * 특발성 비특이성 간질성 폐렴 (NSIP: Non-Specific Interstitial Pneumonia)
- 흡연 관련 간질성 폐렴
- * 호흡 세기관지염 관련 간질성 폐렴 (RB-ILD: Respiratory Bronchiolitis - associated Interstitial Lung Disease)
- * 박리성 간질성 폐렴 (DIP: Desquamative Interstitial Pneumonia)
- 급성·아급성 간질성 폐렴
- * 특발성 기질화 폐렴 (COP: Cryptogenic Organizing Pneumonia)
- * 급성 간질성 폐렴 (AIP: Acute Interstitial Pneumonia)
위의 주요 6가지 질환에 더해 드문 간질성 폐렴으로 림프구성 간질성 폐렴, 특발성 PPFE의 2가지 병형이 추가되었으며, 또한 어느 것에도 해당하지 않는 경우에는 분류 불가능형 간질성 폐렴이라는 카테고리에 들어가게 되었다.
2. 3. 소아 간질성 폐 질환
소아 간질성 폐 질환의 일부 유형과 성인 간질성 폐 질환의 몇 가지 형태는 유전적 원인이 확인되었다. 이는 혈액 검사를 통해 확인할 수 있다. 제한적인 경우이지만, 정확한 분자 진단을 내릴 수 있어 폐 생검이 필요하지 않은 경우도 있다. 다음은 검사가 가능한 경우이다.| 질환명 | 관련 유전자 |
|---|---|
| 계면활성제 단백질 B 결핍 | SFTPB |
| 계면활성제 단백질 C 결핍 | SFTPC |
| ABCA3 결핍 | ABCA3 |
| 뇌-폐-갑상선 증후군 | TTF1 |
| 선천성 폐포 단백증 | CSFR2A 및/또는 CSFR2B |
| 폐포 모세혈관 이형성증 | FoxF1 |
| 텔로머라아제 역전사 효소 | TERT |
| 텔로머라아제 RNA 구성 요소 | TERC |
| 텔로미어 신장 헬리케이즈 1 조절 | RTEL1 |
| 폴리(A)-특이적 리보핵산분해효소 | PARN |
우리의 신체는 폐를 통해 공기 중의 산소를 흡입한다. 코와 입으로 들이마신 산소는 기관지의 가장 끝에 있는 작은 공기주머니인 폐포까지 도달한 후 그 주위에 있는 작은 모세혈관으로 녹아들어 간다. 혈액 속에 녹아들어 간 산소가 심장을 통해 몸의 여러 조직에 공급된다. 반대로 이산화탄소는 모세혈관으로부터 폐포로 나와 다시 호흡을 통해 공기 중으로 배출된다. 간질(間質, interstitium)이란 폐포의 벽에서부터 주위 모세혈관의 벽까지의 공간을 말한다. 산소와 이산화탄소의 교환이 일어나는 벽이라고 할 수 있다. 간질성 폐질환이란 결국 이 공간에 이상이 생기는 것을 말한다.
3. 병태 생리
일반적으로 폐렴(폐포성 폐렴)은 기관지 또는 폐포강 내에서 발생하는 염증을 의미하지만, 간질성 폐렴은 폐포성 폐렴과 달리, 폐포와 모세혈관을 둘러싼 간질이라고 하는 조직에 염증과 섬유화를 일으킨다. 폐포성 폐렴과는 다른 증상과 경과를 보인다.
폐 컴플라이언스의 저하, 즉 "폐가 굳어지는" 상태로, 폐 지지 조직에 염증이 발생하여 비후되면서 폐의 팽창과 수축이 방해받는다. 폐활량이 감소하고, 공기 교환 속도도 느려진다.
간질 조직의 비후로 인해 모세혈관과 폐포가 분리된다. 그 결과, 혈관과 폐포 사이의 가스 교환(확산) 효율이 저하되고, 특히 산소의 확산이 강하게 방해받는다.
4. 증상
간질성 폐질환의 가장 흔한 증상은 호흡곤란과 마른 기침이다.[6] 특히 여러 간질성 폐질환에서 공통적으로 나타나는 초기 증상은 숨이 차는 것이다. 평소에는 괜찮다가도 평지를 걷거나 계단을 오를 때, 아침에 일어나 움직일 때 숨이 가빠진다. 이는 폐의 간질에 염증과 섬유화가 생겨 산소가 혈액으로 잘 흡수되지 못하기 때문이다.
또 다른 흔한 증상은 마른 기침이다. 염증과 섬유화가 기도와 폐를 자극하여 발생하는데, 만성 기관지염이나 폐렴과 달리 가래가 없거나 투명한 점액성 가래를 동반하는 경우가 많다. 섬유화가 진행된 폐 조직은 뻣뻣해져서 신체 활동 시 기도와 폐를 자극하므로, 운동성 기침 또는 운동 유발 기침이라고도 한다.
이러한 증상들은 간질성 폐질환만의 특징은 아니므로, 증상만으로 판단하기는 어렵다. 따라서 다른 질환과 구별이 어렵거나 진단이 늦어질 수 있다.
발병 시기는 대개 50대이며 흡연 경험이 있는 경우가 많지만, 비흡연자에게도 발생할 수 있다. 홍반성 낭창(루푸스), 류마티스 관절염, 피부근염과 같은 결체조직 질환의 일환으로 나타나기도 한다.
증상과 진행 속도는 환자마다 다르다. 원인 물질이나 질환에 따라 발열, 체중 감소, 피로감, 근육통, 관절통 등이 나타날 수 있다. 경증의 경우 무증상일 수도 있는데, 최근 CT 촬영의 보급으로 초기 간질성 폐렴이 발견되는 경우가 늘면서 무증상 간질성 폐렴도 드물지 않게 되었다.
기침은 비교적 초기에 나타나는 증상 중 하나로, 가래를 동반하지 않는 마른 기침이 주로 나타난다. 활동 시 호흡 곤란 또한 초기에 나타나며, 병이 진행되면 안정 시에도 호흡 곤란이 나타나고, 저산소혈증이나 호흡 부전을 동반할 수 있다.
5. 진단
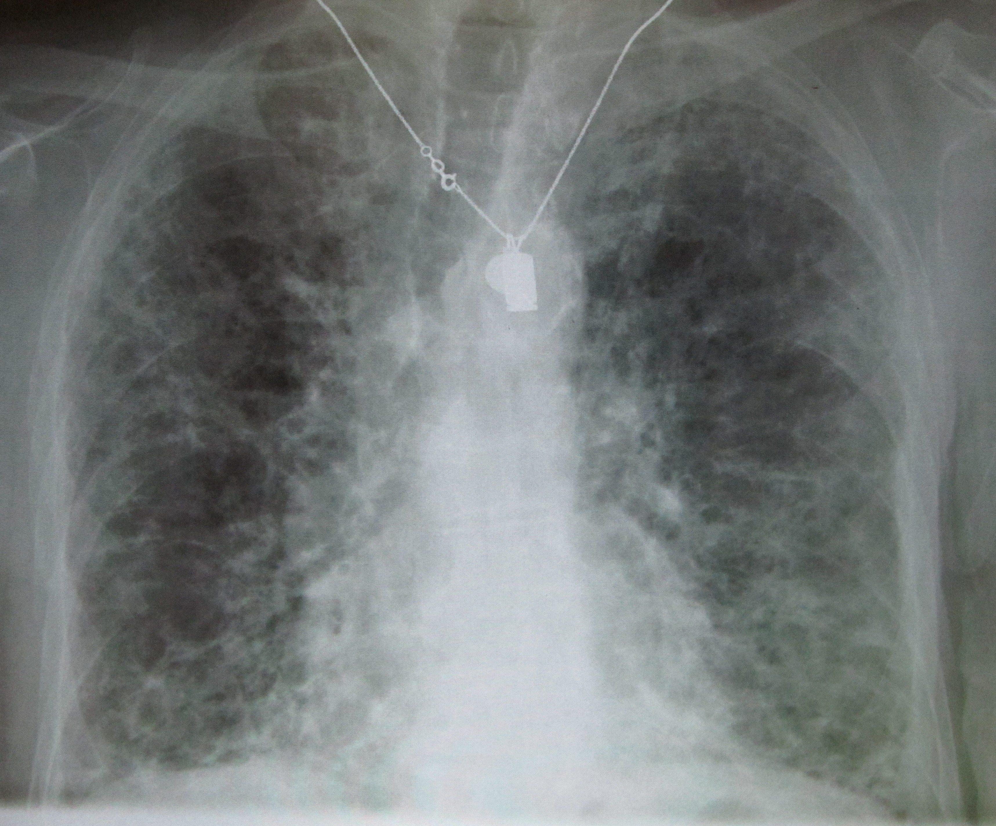
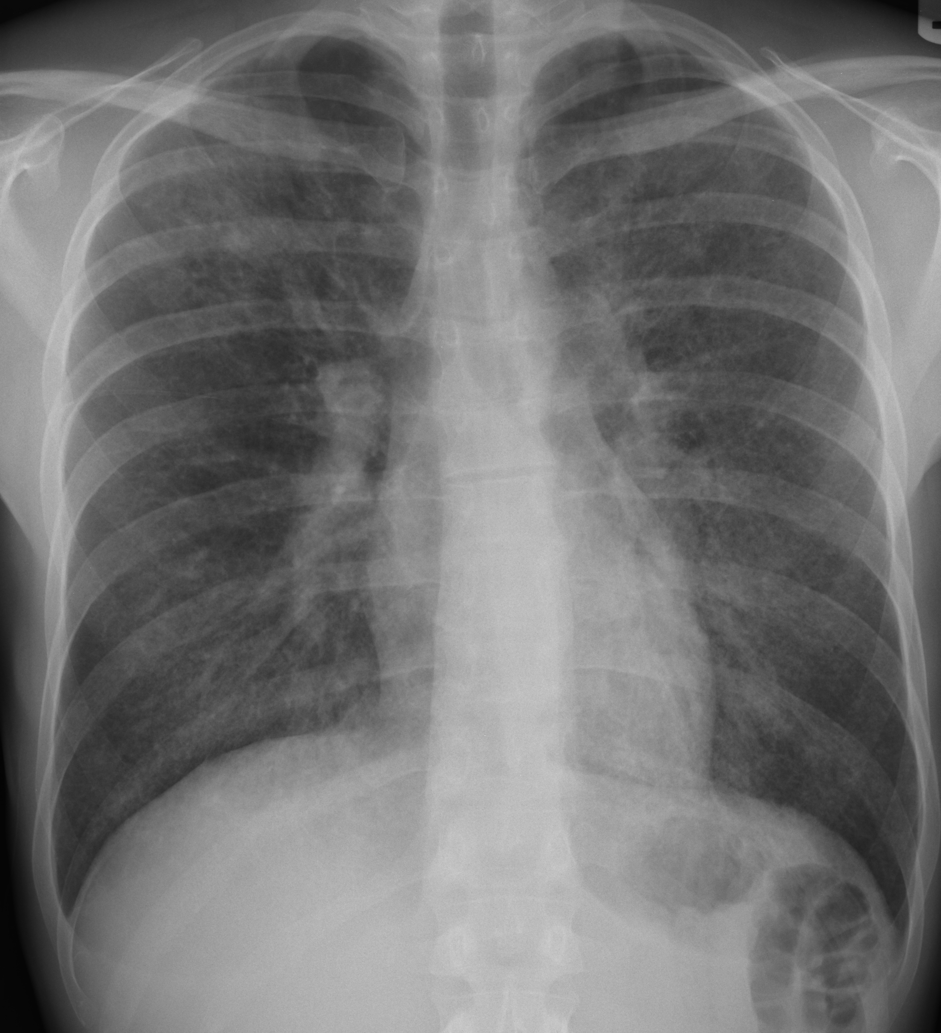
섬유화된 부위는 흉부 CT 상의 음영 차이로 확인할 수 있다. 폐 바깥쪽부터 섬유화가 진행되는 경향이 있는데, 이는 폐혈관에서 모세혈관으로 갈수록 혈관이 좁아져 구석까지 도달하기 어려워지는 부위에 더 많이 발생하기 때문이다.[6]
정확한 진단을 위해 기관지 내시경을 이용한 조직 검사를 시행할 수 있다. 하지만 얻을 수 있는 폐 조직의 양이 적어 정확한 진단이 어려운 경우가 있어, 충분한 양의 폐 조직을 얻기 위해 수술을 통해 가슴을 열고 폐 조직을 얻기도 한다. 최근에는 흉강경 수술을 통해 작은 절개만으로 수술을 진행하기도 한다.[6]
임상 병력과 영상 검사로 특정 진단이 명확하지 않거나, 암을 다른 방법으로 배제할 수 없는 경우 폐 생검이 필요할 수 있다. 외과적 폐 생검 또는 비디오 흉강경 수술(VATS) 생검은 최대 1-2%의 사망률과 관련이 있다. 기관지 내시경 경기관지 냉동 생검은 카메라를 기도에 삽입한 후 생검 전에 폐 조직 부위를 빠르게 냉동시키는 방식으로, VATS 또는 외과적 생검에 비해 합병증 발생률이 낮고 사망률이 훨씬 낮으며 진단 정확도는 거의 비슷하다.[15]
간질성 폐질환(ILD) 진단에는 증상 평가와 직업적 노출에 대한 상세한 병력 조사가 포함된다. ILD는 일반적으로 호흡 곤란, 운동 내성 악화로 나타나며, ILD 환자의 30-50%는 만성 기침을 보인다. 신체 검사에서 벨크로를 풀 때 나는 소리와 유사한 벨크로 갈라짐 소리가 ILD에서 흔하게 나타난다.[6]
폐 기능 검사는 일반적으로 일산화탄소의 확산 능력(DLCO) 감소와 함께 제한성 폐 질환을 보여준다.[6] 폐 기능 검사는 ILD가 있는 모든 사람에게 적용되며, FVC 손실과 DLCO는 예후를 예측하며, 연간 5% 이상의 FVC 손실은 ILD의 섬유증 하위 유형에서 불량한 예후와 관련이 있다.[6]
흉부 엑스레이는 ILD에 대해 63%의 민감도와 93%의 특이도를 보인다.[6] 컴퓨터 단층 촬영의 발전으로 인해 흉부 CT 스캔은 ILD의 선호되는 진단 검사로 폐 생검을 대체했다. 흉부 CT 스캔은 ILD에 대해 91%의 민감도와 71%의 특이도를 보인다.[6] 고소득 국가에서는 ILD 환자의 10% 미만이 진단 평가의 일환으로 폐 생검을 받는다.[14]
대부분의 간질성 폐 질환(ILD) 의심 환자는 완전한 폐 기능 검사를 받게 된다. 이러한 검사는 질병의 진단 및 중증도 결정에 유용하다.[16]
간질성 폐 질환에는 큰 다양성이 있지만, 대부분 제한성 폐 질환 패턴을 따른다. 제한성 장애는 총 폐 용량(TLC), 잔기량(RV), 노력성 폐활량(FVC) 및 1초간 노력성 호기량(FEV1)의 감소로 정의된다. FVC와 FEV1 모두 감소하므로 FVC 대 FEV1 비율은 정상으로 유지되거나 증가한다.[16] 질병이 진행되고 폐가 뻣뻣해짐에 따라 폐 용량이 계속 감소한다. 낮은 TLC, RV, FVC 및 FEV1 점수는 더 심각한 질병 진행과 더 나쁜 예후와 관련이 있다.[16]
흉부 방사선 사진은 일반적으로 간질성 폐 질환을 감지하기 위한 첫 번째 검사이지만, 특히 질병 과정의 초기에는 흉부 방사선 사진이 최대 10%의 환자에서 정상으로 나타날 수 있다.[17][18]
고해상도 CT는 선호되는 방식이며 일반 흉부 CT와 다르다. 일반 (정규) 흉부 CT는 10mm 간격으로 얻은 7–10mm 슬라이스를 검사하고, 고해상도 CT는 고해상 주파수 재구성 알고리즘을 사용하여 10mm 간격으로 1–1.5mm 슬라이스를 검사한다. 따라서 HRCT는 일반 흉부 CT보다 약 10배 더 높은 해상도를 제공하므로 HRCT를 통해 다른 방법으로는 시각화할 수 없는 세부 사항을 얻을 수 있다.[17][19]
진찰상 특징적인 것은 흉부 청진음으로, 파치파치하는 '''갈라진 소리'''가 알려져 있다. 이는 벨크로 테이프를 떼는 소리와 비슷하여, 벨크로 테이프의 제조사(벨크로사)를 따서 '''벨크로 라음'''이라고도 불린다. 또한, 호흡기 장애를 반영하여 곤봉지가 나타나는 경우도 있다.
혈액 검사에서는 비특이적이지만 LDH, ESR의 상승이 알려져 있다. KL-6의 상승이 있으며, 질환의 활동성과 상관관계가 있는 것으로 여겨진다. SP-A, SP-D도 상승하지만, 폐포성 폐렴에서도 상승할 수 있으므로 주의가 필요하다.
진단상 중요한 것은 영상 검사이다. 단순 X선 촬영 및 흉부 CT에서는 '''유리 갈림 음영'''이 특징적이다. 이는 비교적 균일하게 농도가 올라간, 흐릿한 폐 음영이다. 진행되면 섬유화를 반영하여 벌집 모양을 띠게 된다.
호흡 생리학 검사에서는 폐활량, 일산화탄소 확산능 저하가 나타난다. 이는 중증도 판정의 지표가 된다. 간질성 폐렴은 기본적으로 '''제한성 환기 장애'''를 나타내므로, 만성 폐쇄성 폐 질환(COPD) 등의 폐쇄성 폐 질환을 동반하지 않는 한, 1초율은 저하되지 않는다.
6분 걷기 검사(6MWT)는 보행 거리나 신체 활동 시의 저산소 혈증 유무 등으로 중증도를 평가하기 위해 시행한다. 보행 거리가 짧은 환자, SpO2 < 90%의 저산소 혈증을 나타낸 환자는 상대적으로 예후가 불량한 것으로 알려져 있다.[32]
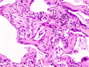
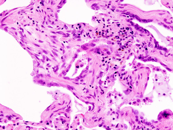
병형에 따라 소견이 다르지만, 유리질막 형성, II형 상피의 종대·증식, 폐포벽으로의 염증 세포 침윤 등이 나타난다. 말기에는 벌집 폐가 된다.
6. 치료
간질성 폐질환의 치료는 원인과 질환의 유형에 따라 다르다. 원인을 알 수 있는 경우에는 원인을 제거하거나 피하는 방법으로 치료할 수 있다. 그러나 원인을 알 수 없는 경우가 더 많기 때문에 증상에 맞춘 일반적인 치료를 실시한다.
특정 직업적 노출이 원인으로 밝혀진 경우, 해당 환경을 피해야 한다. 약물이 원인으로 의심되는 경우 해당 약물 투여를 중단해야 한다.[20]
폐조직이 뻣뻣해지면서 폐 고유의 탄력을 잃게 되어 폐활량이 줄어들고, 굳은 폐조직은 산소 투과를 힘들게 만들기 때문에 폐조직을 부드럽고 촉촉하게 만들어주는 치료가 효과가 있을 수 있다. 증상이 심하면 간질의 염증을 가라앉히기 위해 스테로이드를 사용하거나 면역억제제를 사용하는 경우도 있다.[33]
자가 산소 치료는 산소 수치가 현저히 낮은 사람에게 권장된다.[20] 장기적인 산소 치료는 가스 교환을 향상시키고, 호흡곤란을 줄이며, 신체 활동을 증가시켜 간질성 폐질환 및 저산소혈증 환자에게 유익할 수 있다.[21]
폐 재활은 운동 능력, 호흡 곤란, 삶의 질 향상에 도움이 되는 것으로 보인다.[22][6]
폐 이식은 다른 금기 사항이 없는 환자에서 치료에도 불구하고 간질성 폐질환이 진행되는 경우 선택할 수 있는 옵션이다.[23][24]
항섬유화제인 피르페니돈과 닌테다닙은 간질성 폐질환 환자에서 폐 기능 감소 속도를 늦추는 것으로 나타났다.[6] 피르페니돈은 특발성 폐섬유증 환자를 대상으로 한 임상 시험에서 52주차에 강제 폐활량(FVC) 감소가 45% 적었고, 진행성 폐섬유증 환자에서도 FVC 감소 속도가 더 느렸다.[25] 닌테다닙 또한 간질성 폐질환 환자에서 FVC 감소 속도가 느리고 평균 생존율이 증가하는 것과 관련이 있었다.[6] 일본에서는 2008년에 항섬유화제인 피르페니돈이 판매 승인되어 출시되었다.[34]
면역 조절제인 토실리주맙은 경피증 관련 간질성 폐질환 환자에서 폐 기능 보존에 도움이 된다.[6] 사이클로포스파미드, 미코페놀레이트 모페틸, 리툭시맙은 전신 경화증 또는 경피증 관련 간질성 폐질환 환자에서 개선된 폐 기능을 보였다.[6]
흡입 혈관 확장제인 트레프로스티닐은 간질성 폐 질환으로 인한 폐 고혈압 치료에 사용되며, 운동 능력이 개선되는 것과 관련이 있다.[26]
간질성 폐 질환 환자는 흡연을 하는 경우 담배를 끊어야 한다. 폐렴구균, 코로나19, RSV 및 인플루엔자 예방 접종은 모든 간질성 폐 질환 환자에게 권장된다.[6]
대증 요법으로 호흡 부전이 된 경우 산소 투여가 이루어진다. 이산화탄소 배출도 불충분하게 된 경우에는 인공 호흡기의 도입이 필요할 때도 있다.
근본적인 치료로서 폐 이식이 있다. 일본에서는 1998년부터 실시되어, 2015년 말까지 464례에 시행되었다.[35]
7. 예방
일상생활에서 노출되는 여러 가지 환경적 유해요소가 간질성 폐질환의 원인이 될 수 있으므로 환경을 깨끗이하고 해로운 요소에 노출되지 않도록 주의해야 한다. 광산 등 직업적으로 유해물질에 노출될 위험성이 많은 직업에 종사하는 경우에는 보호장구를 철저히 착용하는 것이 무엇보다 중요하다. 또한 말을 많이 하거나, 에어컨, 히터, 온풍기 등의 호흡기를 건조하게 만들 수 있는 환경을 피하고, 평소 가습기를 틀어서 습도를 유지하면서, 운동, 온욕 등을 통해 땀을 내고 피부를 촉촉하게 만드는 것이 중요하다.
간질성 폐 질환 환자는 흡연을 하는 경우 담배를 끊어야 한다. 폐렴구균, 코로나19, RSV 및 인플루엔자 예방 접종은 모든 간질성 폐 질환 환자에게 권장된다.[6]
간질성 폐렴은 원인 질환의 병세, 치료제의 부작용, 감염 등을 계기로 급격하게 증상이 악화되는 경우가 있는데, 이를 급성 악화라고 하며, 관리상 가장 큰 문제가 된다. 급성 악화로 악화된 폐 기능은 회복이 불가능에 가까우며, 긴급하게 스테로이드 펄스 요법이 시행되지만 치명적인 결과를 초래할 수도 있다. 따라서 간질성 폐렴 환자에게 급성 악화를 일으키지 않도록, 일상생활에 주의를 기울이는 것은 매우 중요한 일이다.
8. 예후
간질성 폐질환의 예후는 질환의 유형, 중증도, 치료 반응 등에 따라 다양하다. 일부 간질성 폐질환은 진행성이며 치료에 저항성을 보여 수 주 이내에 사망할 수도 있다. 만성적으로 진행되는 경우에는 10년 이상 생존하는 경우도 많다.[6] 특발성 폐섬유증의 중앙 생존 기간은 3~3.5년이다. 폐 이식을 받은 환자의 경우 특발성 폐섬유증의 중앙 생존 기간은 5.2년으로, 다른 유형의 간질성 폐 질환(ILD) 환자의 6.7년에 비해 짧다.[6] 간질성 폐질환은 폐암 위험을 3배 증가시키는 것으로 연관되어 있다.[6]
참조
[1]
논문
Clinical advances in the diagnosis and therapy of the interstitial lung diseases
2005-08
[2]
웹사이트
Frequently Asked Questions About Interstitial Lung Disease
http://www.uchospita[...]
[3]
논문
Role of pirfenidone in the management of pulmonary fibrosis
2017-04-03
[4]
논문
European protocols for the diagnosis and initial treatment of interstitial lung disease in children
2015-11
[5]
논문
Nintedanib in children and adolescents with fibrosing interstitial lung diseases
2023-02
[6]
논문
Interstitial Lung Disease: A Review
2024-04-22
[7]
논문
Global, regional, and national incidence, prevalence, and years lived with disability for 310 diseases and injuries, 1990–2015: a systematic analysis for the Global Burden of Disease Study 2015
2016-10-08
[8]
논문
Global, regional, and national life expectancy, all-cause mortality, and cause-specific mortality for 249 causes of death, 1980–2015: a systematic analysis for the Global Burden of Disease Study 2015
2016-10-08
[9]
논문
Interstitial lung disease: progress and problems
2006-08
[10]
논문
Exploring Clinical and Epidemiological Characteristics of Interstitial Lung Diseases: Rationale, Aims, and Design of a Nationwide Prospective Registry—The EXCITING-ILD Registry
2015
[11]
웹사이트
Interstitial Lung Diseases
https://www.lecturio[...]
2020-09-23
[12]
논문
Smoking-related interstitial fibrosis (SRIF) in patients presenting with diffuse parenchymal lung disease
2022-12
[13]
웹사이트
Dr. Daniele Macchini, Treating COVID-19 Patients in Bergamo, Italy, Describes Horrible Situation
https://oaklandnewsn[...]
2020-03-11
[14]
논문
Lung biopsy in interstitial lung disease: balancing the risk of surgery and diagnostic uncertainty
2016-11
[15]
논문
Diagnostic accuracy of transbronchial lung cryobiopsy for interstitial lung disease diagnosis (COLDICE): a prospective, comparative study
2020-02
[16]
웹사이트
Approach to the adult with interstitial lung disease: Diagnostic testing
https://www.uptodate[...]
2023-02-27
[17]
논문
Diagnostic approach to the patient with diffuse lung disease
2002-11
[18]
웹사이트
What Is Pulmonary Fibrosis?
http://fibrosis.nort[...]
Northwestern Medicine
2014-02-22
[19]
논문
Radio-pathological correlation of organizing pneumonia (OP): a pictorial review
2017-03
[20]
논문
Home Oxygen Therapy for Children. An Official American Thoracic Society Clinical Practice Guideline.
2019-02-01
[21]
논문
Role of long-term oxygen therapy in interstitial lung diseases
2023-10-16
[22]
논문
Pulmonary rehabilitation for interstitial lung disease
2021-02-01
[23]
논문
Lung transplantation
2011-07
[24]
논문
Lung transplantation for interstitial lung disease
2012-03
[25]
논문
A Phase 3 Trial of Pirfenidone in Patients with Idiopathic Pulmonary Fibrosis
2014-05-29
[26]
논문
Pulmonary Arterial Hypertension
2021-12-16
[27]
웹사이트
過敏性肺炎(外因性アレルギー性肺胞炎)
https://www.msdmanua[...]
[28]
웹사이트
カルバマゼピン
https://www.kegg.jp/[...]
[29]
논문
偶然の再投与により確定診断したカルバマゼピンによる薬剤性肺炎の1例
http://www.jrs.or.jp[...]
2005
[30]
논문
小柴胡湯による薬剤誘起性肺炎の1例
doi:10.11389/jjrs196[...]
1989
[31]
웹사이트
4月から「特発性間質性肺炎」の厚生労働省の診断基準、重症度分類が変更
https://www.jrs.or.j[...]
2024-03-15
[32]
간행물
Respirology 2017;22:1609-1614.
[33]
논문
【原著】重症間質性肺疾患患者に対する呼吸リハビリテーションの効果
https://doi.org/10.1[...]
2010
[34]
뉴스
オフェブ:特発性肺線維症に初の分子標的薬
https://medical.nikk[...]
日経メディカル
2015-09-11
[35]
웹사이트
肺移植|一般社団法人日本呼吸器学会
http://www.jrs.or.jp[...]
2019-07-23
[36]
논문
Global, regional, and national incidence, prevalence, and years lived with disability for 310 diseases and injuries, 1990–2015: a systematic analysis for the Global Burden of Disease Study 2015.
2016-10-08
[37]
논문
Global, regional, and national life expectancy, all-cause mortality, and cause-specific mortality for 249 causes of death, 1980–2015: a systematic analysis for the Global Burden of Disease Study 2015.
2016-10-08
본 사이트는 AI가 위키백과와 뉴스 기사,정부 간행물,학술 논문등을 바탕으로 정보를 가공하여 제공하는 백과사전형 서비스입니다.
모든 문서는 AI에 의해 자동 생성되며, CC BY-SA 4.0 라이선스에 따라 이용할 수 있습니다.
하지만, 위키백과나 뉴스 기사 자체에 오류, 부정확한 정보, 또는 가짜 뉴스가 포함될 수 있으며, AI는 이러한 내용을 완벽하게 걸러내지 못할 수 있습니다.
따라서 제공되는 정보에 일부 오류나 편향이 있을 수 있으므로, 중요한 정보는 반드시 다른 출처를 통해 교차 검증하시기 바랍니다.
문의하기 : help@durumis.com