경막하출혈
"오늘의AI위키"의 AI를 통해 더욱 풍부하고 폭넓은 지식 경험을 누리세요.
1. 개요
경막하출혈은 두개골 내부의 경막과 거미막 사이 공간에 출혈이 발생하는 질환이다. 두부 손상으로 인해 발생하는 경우가 많으며, 급성, 아급성, 만성으로 분류된다. 증상으로는 의식 변화, 두통, 어지럼증, 발작 등이 나타날 수 있으며, 출혈로 인한 뇌 압박이 심해지면 두개내압 상승 징후가 나타난다. 진단은 CT 또는 MRI 스캔을 통해 이루어지며, 치료는 출혈의 크기와 속도에 따라 다르다. 작은 출혈은 관찰하며, 크거나 증상이 있는 경우 수술적 제거를 시행한다. 예후는 출혈의 심각성과 동반된 뇌 손상에 따라 다르며, 급성 경막하출혈은 사망률이 높고, 만성 경막하출혈은 재발 가능성이 있다.
더 읽어볼만한 페이지
- 뇌혈관 질환 - 모야모야병
모야모야병은 뇌 속 특정 혈관이 좁아지거나 막혀 뇌혈류가 감소하고 비정상적인 혈관이 생성되는 진행성 뇌혈관 질환으로, 뇌허혈증, 뇌졸중, 뇌전증 발작 등을 유발하며 유전적 요인과 관련 있고 동아시아인에게 발병률이 높으며 뇌혈류 재건술 등의 치료를 시행하고 대한민국에서는 난치병으로 분류된다. - 뇌혈관 질환 - 뇌출혈
뇌출혈은 뇌혈관 파열로 뇌 조직 내 출혈이 생기는 질환으로, 뇌졸중의 주요 원인이며, 고혈압, 당뇨병 등이 위험 요인으로 작용하고, 즉각적인 진단과 치료가 중요하다. - 신경외상 - 신경가소성
신경가소성은 뇌의 구조와 기능이 경험, 학습, 손상에 따라 변화하는 능력이며, 시냅스 가소성, 구조적 가소성으로 나뉘어 뇌졸중, 학습 장애 등의 치료와 재활, 명상, 예술 활동 등 다양한 분야에 응용된다. - 신경외상 - 뇌성마비
뇌성마비는 태아 또는 영유아기의 비진행성 뇌 손상으로 운동 및 자세 발달에 영구적인 장애를 초래하는 질환으로, 다양한 원인으로 발생하며 감각, 인지 등의 문제가 동반될 수 있고, 치료는 불가능하지만 다양한 중재를 통해 증상 완화 및 기능 향상을 도모할 수 있다. - 표시 이름과 문서 제목이 같은 위키공용분류 - 라우토카
라우토카는 피지 비치레부섬 서부에 위치한 피지에서 두 번째로 큰 도시이자 서부 지방의 행정 중심지로, 사탕수수 산업이 발달하여 "설탕 도시"로 알려져 있으며, 인도에서 온 계약 노동자들의 거주와 미 해군 기지 건설의 역사를 가지고 있고, 피지 산업 생산의 상당 부분을 담당하는 주요 기관들이 위치해 있다. - 표시 이름과 문서 제목이 같은 위키공용분류 - 코코넛
코코넛은 코코넛 야자나무의 열매로 식용 및 유지로 사용되며, 조리되지 않은 과육은 100g당 354kcal의 열량을 내는 다양한 영양 성분으로 구성되어 있고, 코코넛 파우더의 식이섬유는 대부분 불용성 식이섬유인 셀룰로오스이며, 태국 일부 지역에서는 코코넛 수확에 훈련된 원숭이를 이용하는 동물 학대 문제가 있다.
| 경막하출혈 | |
|---|---|
| 질병 정보 | |
![]() | |
| 다른 이름 | 경막하혈종, 경막하출혈 |
| 분야 | 신경외과, 신경과 |
| 원인 | |
| 원인 | 두부외상, 알코올 의존증, 뇌척수액 압력 감소 |
| 위험 요인 | |
| 위험 요인 | 노화(senescence), 장기간의 과음, 치매, 뇌척수액 누출 |
2. 증상
경막하출혈의 증상은 동맥보다 더 느리게 출혈하는 저압 정맥과 관련되어 있기 때문에 경막외혈종보다 늦게 나타난다. 급성 혈종의 징후 및 증상은 즉시 나타나지 않더라도 수분 내에 나타날 수 있지만,[1] 최대 2주까지 지연될 수도 있다.[2] 만성 경막하혈종의 증상은 일반적으로 부상 후 3주 이상 지나야 나타난다.[3]
출혈이 뇌에 압력을 가할 만큼 크다면, 증가된 두개내압이나 뇌 손상의 징후가 나타난다.[5] 경막하혈종의 다른 증상으로는 다음의 조합이 나타날 수 있다:[4]
- 의식 상실 또는 의식 수준의 변동
- 과민성
- 발작
- 통증
- 무감각
- 두통 (지속적이거나 변동적임)
- 어지럼증
- 방향 감각 상실
- 기억 상실
- 쇠약 또는 무기력
- 메스꺼움 또는 구토
- 식욕 부진
- 성격 변화
- 말을 할 수 없음 또는 어눌한 발음
- 운동 실조 또는 걷기 어려움
- 근육 조절 능력 상실
- 호흡 패턴 변화
- 청력 손실 또는 이명
- 흐릿한 시야
- 주시 편위 또는 눈의 비정상적인 움직임[5]
3. 원인
경막하출혈은 대부분 두부 손상으로 인해 발생하며, 이로 인해 두개골 내부의 급격한 속도 변화로 인해 작은 연결 정맥이 늘어나고 찢어질 수 있다. 경막외 출혈보다 훨씬 흔하며, 경막하 출혈은 일반적으로 다양한 회전 또는 선형 힘으로 인한 전단 손상의 결과로 발생한다.[5][6] 영아 흔들린 증후군의 경우에도 발생할 수 있다는 주장이 있지만, 이에 대한 과학적 증거는 없다.[7]
또한 노인 및 알코올 사용 장애가 있는 사람, 즉 뇌 위축의 증거가 있는 사람에게서 흔히 볼 수 있다.[3] 뇌 위축은 연결 정맥이 두 뇌수막 층 사이를 통과해야 하는 길이를 늘려 전단력으로 인해 파열이 발생할 가능성을 높인다.[8] 항응고제 또는 항혈소판제와 같은 약물, 즉 각각 와파린과 아스피린을 복용하는 환자에게서 더 흔하게 나타난다.[3] 이러한 약물을 복용하는 사람들은 비교적 경미한 외상 사건 후에도 경막하 혈종이 발생할 수 있다. 또 다른 원인은 뇌척수액 압력 감소로, 지주막하 공간의 압력을 감소시켜 지주막이 경막에서 떨어져 혈관이 파열될 수 있다.[9]
경막하 출혈의 위험을 증가시키는 요인으로는 매우 어린 나이 또는 매우 늙은 노쇠가 있다. 뇌가 나이가 들면서 수축함에 따라 경막하 공간이 넓어지고, 이 공간을 가로지르는 정맥은 더 넓은 거리를 덮어야 하므로 파열에 더 취약해진다. 노인들은 또한 정맥이 더 약해져서 만성 경막하 출혈이 더 흔하게 발생한다.[24] 영아 역시 더 큰 경막하 공간을 가지고 있으며 젊은 성인보다 경막하 출혈에 더 취약하다.[5] 흔히 경막하 혈종은 흔들린 아기 증후군에서 흔히 발견되는 소견이라고 주장하지만, 이를 뒷받침할 과학적 근거는 없다.[7] 청소년의 경우 거미막 낭종이 경막하 혈종의 위험 인자이다.[10]
다른 위험 요인으로는 혈액 희석제(항응고제) 복용, 장기간의 과도한 음주, 치매, 뇌척수액 누출 등이 있다.[11]
4. 병태 생리
경막하출혈은 급성과 만성으로 나뉘며, 각각 다른 병태 생리를 보인다. 급성 경막하출혈은 연결 정맥의 손상으로, 만성 경막하출혈은 경막 경계 세포의 손상으로 인해 발생한다.
4. 1. 급성 경막하출혈
급성 경막하출혈은 일반적으로 거미막과 뇌막의 경막층 사이, 즉 경막하 공간을 통과하는 연결 정맥의 벽에 외상으로 인한 장력이 생겨 발생한다. 정맥을 둘러싼 콜라겐의 원형 배열로 인해 찢어지기 쉽다.뇌내출혈과 피질 혈관(뇌 표면의 혈관) 파열도 경막하출혈을 유발할 수 있다. 이러한 경우 혈액은 일반적으로 경막의 두 층 사이에 축적된다. 이는 두 가지 메커니즘으로 허혈성 뇌 손상을 일으킬 수 있다. 첫째, 피질 혈관에 대한 압박[12], 둘째, 혈종에서 방출된 물질로 인한 혈관수축으로 뇌로의 혈류를 제한하여 추가적인 허혈을 유발한다.[13] 뇌에 적절한 혈류가 차단되면 허혈성 연쇄 반응이라고 알려진 생화학적 연쇄 반응이 시작되어 결국 뇌 세포 사멸로 이어질 수 있다.[14]
경막하혈종은 뇌에 가하는 압력으로 인해 계속 커진다. 두개내압이 상승함에 따라 혈액이 경막정맥동으로 밀려 들어가 경막 정맥압이 상승하고 파열된 연결 정맥에서 더 많은 출혈이 발생한다. 혈종의 압력이 두개내압과 같아져 팽창할 공간이 줄어들 때만 성장을 멈춘다.[12]
4. 2. 만성 경막하출혈
만성 경막하 혈종에서는 경막 경계 세포의 손상으로 인해 혈액이 경막 공간에 축적된다.[15] 그 결과 발생하는 염증은 섬유증을 통해 새로운 막을 형성하게 하고, 혈관 신생을 통해 혈관이 취약해지고 누출되어 적혈구, 백혈구, 혈장이 혈종강으로 새어 나오게 한다. 거미막의 외상성 파열 또한 뇌척수액이 혈종강으로 누출되어 시간이 지남에 따라 혈종의 크기를 증가시킨다. 과도한 섬유소 용해 또한 지속적인 출혈을 유발한다.혈종 확장 과정에서 활성화되는 전염증성 매개체에는 인터루킨 1α (IL1A), 인터루킨 6, 인터루킨 8이 있으며, 항염증성 매개체는 인터루킨 10이다. 혈관 신생을 촉진하는 매개체는 안지오포이에틴과 혈관 내피 성장 인자 (VEGF)이다. 프로스타글란딘 E2는 VEGF의 발현을 촉진한다. 기질 금속 단백 분해 효소는 주변 콜라겐을 제거하여 새로운 혈관이 성장할 공간을 제공한다.[15]
파열되지 않은 뇌동맥류에 대한 개두술은 만성 경막하 혈종 발생의 또 다른 위험 요소이다. 수술 중 거미막에 절개가 생기면 뇌척수액이 경막하 공간으로 새어 나와 염증을 유발한다. 이러한 합병증은 대개 저절로 해결된다.[16]
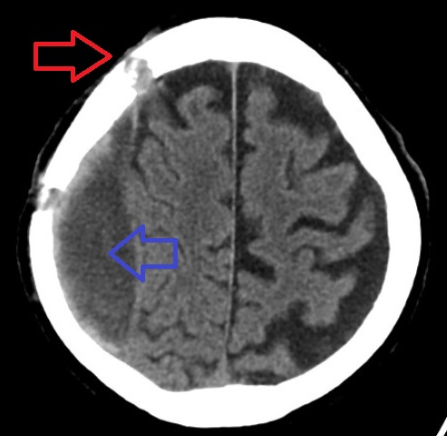
5. 진단
머리 외상 후에는 완전한 신경학적 검사를 포함한 의학적 평가를 받는 것이 중요하다. CT 스캔 또는 MRI 스캔은 일반적으로 심각한 경막하 출혈을 감지한다.
경막하 출혈은 대부분 전두엽과 두정엽의 위쪽과 측면에서 발생한다.[5][6] 또한 후두개와, 대뇌 낫 및 소뇌 천막 근처에서도 발생한다.[5] 두개골의 봉합선을 넘어 확장될 수 없는 경막외 혈종과 달리 경막하 혈종은 두개골 내부를 따라 확장되어 뇌의 곡선을 따라가는 오목한 모양을 생성하며, 소뇌 천막 및 대뇌 낫과 같은 경막 반사에서만 멈춘다.
CT 스캔에서 경막하 혈종은 전형적으로 초승달 모양이며, 두개골에서 멀리 떨어진 오목한 표면을 갖는다. 그러나 출혈 초기 단계에서는 볼록한 모양을 가질 수 있다. 이는 경막하 출혈과 경막외 출혈을 구별하는 데 어려움을 야기할 수 있다. 경막하 출혈의 더 신뢰할 수 있는 지표는 대뇌 반구의 더 큰 부분을 침범한다는 것이다. 경막하 혈액은 소뇌 천막을 따라 층상 밀도로 보일 수도 있다. 이는 공급 시스템이 저압이기 때문에 만성적이고 안정적인 과정일 수 있다. 이러한 경우, 구의 소실 또는 회백질과 백색질 사이의 경계의 내측 변위와 같은 미묘한 출혈 징후가 나타날 수 있다.
신선한 경막하 출혈은 방사선 밀도가 높지만, 세포 요소의 용해로 인해 시간이 지남에 따라 방사선 밀도가 낮아진다. 3~14일 후에는 출혈이 뇌 조직과 등밀도가 되어 놓칠 수 있다.[19] 그 후 뇌 조직보다 저밀도가 된다.[20]
경막하출혈은 발생 속도에 따라 급성, 아급성 또는 만성으로 분류된다.[21]
급성 출혈은 종종 고속 가속 또는 감속 부상 후에 발생한다. 급성 출혈은 뇌좌상이 동반될 경우 가장 심각하다.[5] 만성 경막하 출혈보다 훨씬 빠르지만 급성 경막하 출혈은 보통 정맥에서 발생하므로 동맥에서 출혈이 발생하는 경막외 출혈보다 느리다. 외상으로 인한 급성 경막하 혈종은 모든 두부 손상 중에서 가장 치명적이며, 수술적 감압으로 신속하게 치료하지 않으면 높은 사망률을 보인다.[22] 사망률은 경막외 혈종 및 미만성 뇌 손상보다 더 높은데, 이는 경막하 혈종을 유발하는 힘이 다른 심각한 부상도 유발하는 경향이 있기 때문이다.[23]
만성 경막하 출혈은 며칠에서 몇 주에 걸쳐 발생하며, 종종 경미한 두부 외상 후에 발생하지만, 환자의 50%에서는 원인을 식별할 수 없다.[24] 두부 손상 후 몇 달 또는 몇 년이 지나 임상적으로 나타날 때까지 발견되지 않을 수 있다.[25] 만성 혈종으로 인한 출혈은 느리고 대개 저절로 멈춘다.[6][26] 이러한 혈종은 서서히 진행되기 때문에, 특히 폭이 1cm 미만인 경우, 심각한 손상을 입히기 전에 더 자주 멈출 수 있다. 한 연구에서 만성 경막하 출혈 환자의 22%만이 "좋음" 또는 "완전 회복"보다 나쁜 결과를 보였다.[5] 만성 경막하 혈종은 노인에게 흔하다.[25]
6. 치료
경막하출혈의 치료는 출혈의 크기와 성장 속도에 따라 달라진다. 일부 작은 경막하출혈은 혈전이 자연적으로 흡수되도록 주의 깊게 관찰하여 관리할 수 있다. 다른 경우에는 두개골에 구멍을 뚫어 작은 카테터를 삽입하여 혈종을 흡입하여 치료할 수 있다.
크거나 증상이 있는 혈종은 개두술이 필요하다. 외과의는 두개골과 경막을 열고, 흡입 또는 관류를 통해 혈전을 제거하고, 출혈 부위를 확인하고 제어한다.[28][29] 손상된 혈관은 반드시 복구해야 한다. 수술 후 합병증으로는 증가된 두개내압, 뇌 부종, 신규 또는 재발성 출혈, 감염, 그리고 발작 등이 있을 수 있다. 만성 경막하출혈이 있으나 발작의 병력이 없는 환자의 경우, 항경련제가 해로운지 이로운지는 불분명하다.[30]
만성 경막하 혈종(CSDH)이 있고 증상이 거의 없거나 수술 중 합병증 위험이 높은 환자는 아토르바스타틴, 덱사메타손과 같은 약물로 보존적으로 치료할 수 있다.[31] 만니톨을 사용할 수도 있지만, 보존적 치료를 뒷받침하는 근거는 여전히 부족하다.[32] HMG-CoA 환원 효소 억제제인 아토르바스타틴은 8주 안에 혈종 부피를 줄이고 신경학적 기능을 향상시킬 수 있다.[33] HMG-CoA 환원 효소 억제제는 CSDH의 재발 위험도 줄일 수 있다.[34] 덱사메타손은 수술적 배액과 함께 사용하면 경막하 혈종의 재발률을 줄일 수 있다.[35] 만성 경막하 혈종의 수술적 제거를 시행하더라도 재발률은 7%에서 20%로 높다.[32]
7. 예후
급성 경막하출혈은 모든 머리 손상 중에서 사망률이 가장 높으며, 뇌 기저부 손상에 따라 50~90%의 환자가 사망한다. 환자의 약 20~30%만이 뇌 기능을 회복한다.[36] 글래스고 혼수 척도 점수가 높거나, 젊은 나이, 동공 반응이 좋은 경우는 급성 경막하출혈의 예후가 더 좋은 것과 관련이 있다. 반면, 부상 시점과 수술적 배액 사이의 시간, 또는 수술 유형은 결과에 통계적으로 유의미한 영향을 미치지 않는다.[37] 만성 경막하출혈(CSDH) 또한 비교적 높은 사망률을 보이지만(65세 이상 환자에서 최대 16.7%), 재발률은 훨씬 더 높다.[38] 이러한 이유로, 연구자들은 CSDH 재발 위험이 높은 환자를 식별하기 위한 예측 등급 척도를 개발했으며, 그 중 하나가 Mignucci-Jiménez 등이 개발한 푸에르토리코 재발 척도이다.[38]
참조
[1]
웹사이트
Subdural hematoma : MedlinePlus Medical Encyclopedia
https://www.nlm.nih.[...]
2012-06-28
[2]
논문
Traumatic extradural hematoma in enugu, Nigeria
2012-07
[3]
논문
Clinical analysis of risk factors related to recurrent chronic subdural hematoma
2008-01
[4]
웹사이트
Subdural Hematoma: Types, Symptoms Treatments, Prevention
https://my.cleveland[...]
2022-03-10
[5]
EMedicine
Imaging in Subdural Hematoma
[6]
웹사이트
Neuropathology: Trauma to the CNS.
https://web.archive.[...]
University of Vermont College of Medicine
2007-08-08
[7]
논문
Insufficient evidence for 'shaken baby syndrome' – a systematic review
2017-07
[8]
논문
Clinical factors of recurrent chronic subdural hematoma
2001-08
[9]
논문
Independent predictors of recurrence of chronic subdural hematoma: results of multivariate analysis performed using a logistic regression model
2003-06
[10]
논문
Arachnoid cyst is a risk factor for chronic subdural hematoma in juveniles: twelve cases of chronic subdural hematoma associated with arachnoid cyst
2002-09
[11]
논문
Spinal cerebrospinal fluid leak as the cause of chronic subdural hematomas in nongeriatric patients
2014-12
[12]
논문
Acute subdural hematoma from bridging vein rupture: a potential mechanism for growth
2014-06
[13]
서적
Head Injury
Morgan Hill
2000
[14]
논문
Acute subdural haematoma : a reappraisal
http://www.neurology[...]
2017-11-26
[15]
논문
Pathophysiology of chronic subdural haematoma: inflammation, angiogenesis and implications for pharmacotherapy
2017-05
[16]
논문
Chronic subdural hematoma – an up-to-date concept
http://lib.tmd.ac.jp[...]
2017-11-26
[17]
논문
Dating of Early Subdural Haematoma: A Correlative Clinico-Radiological Study
2016-04
[18]
웹사이트
Subdural haemorrhage
https://radiopaedia.[...]
2018-08-14
[19]
웹사이트
Intracranial Hemorrhage – Subdural Hematomas (SDH)
http://www.stritch.l[...]
2018-01-06
[20]
논문
Traumatic Brain Injury: Imaging Patterns and Complications
2019-10
[21]
EMedicine
Subdural Hematoma Surgery
[22]
웹사이트
Acute Subdural Hematomas
http://neurosurgery.[...]
2011-07-21
[23]
EMedicine
Penetrating Head Trauma
[24]
웹사이트
Tutorial: CT in head trauma
http://www.radiology[...]
2007-08-07
[25]
논문
Mild traumatic brain injury: toward understanding manifestations and treatment
1998
[26]
논문
Correlation between the skull base fracture and the incidence of intracranial hemorrhage in patients with traumatic brain injury
2019-10
[27]
웹사이트
What's the Difference Between a Subdural and Epidural Hematoma?
http://www.brainline[...]
WETA-TV
[28]
논문
Chronic subdural haematoma – to drain or not to drain?
2009-09
[29]
논문
Use of drains versus no drains after burr-hole evacuation of chronic subdural haematoma: a randomised controlled trial
2009-09
[30]
논문
Anticonvulsants for preventing seizures in patients with chronic subdural haematoma
2013-06
[31]
논문
Nonsurgical Treatment of Chronic Subdural Hematoma with Steroids
2015-12
[32]
논문
The conservative and pharmacological management of chronic subdural haematoma
2017
[33]
논문
Safety and Efficacy of Atorvastatin for Chronic Subdural Hematoma in Chinese Patients: A Randomized ClinicalTrial
2018-11
[34]
논문
Chronic subdural hematoma
2016
[35]
논문
Steroid for chronic subdural hematoma? A prospective phase IIB pilot randomized controlled trial on the use of dexamethasone with surgical drainage for the reduction of recurrence with reoperation
2015-12
[36]
웹사이트
Acute Subdural Hematomas – UCLA Neurosurgery, Los Angeles, CA
http://neurosurgery.[...]
2019-02-19
[37]
논문
Acute subdural hematoma: Outcome and outcome prediction
https://pubmed.ncbi.[...]
1997
[38]
논문
Puerto Rico Recurrence Scale: Predicting chronic subdural hematoma recurrence risk after initial surgical drainage
2022-06-03
본 사이트는 AI가 위키백과와 뉴스 기사,정부 간행물,학술 논문등을 바탕으로 정보를 가공하여 제공하는 백과사전형 서비스입니다.
모든 문서는 AI에 의해 자동 생성되며, CC BY-SA 4.0 라이선스에 따라 이용할 수 있습니다.
하지만, 위키백과나 뉴스 기사 자체에 오류, 부정확한 정보, 또는 가짜 뉴스가 포함될 수 있으며, AI는 이러한 내용을 완벽하게 걸러내지 못할 수 있습니다.
따라서 제공되는 정보에 일부 오류나 편향이 있을 수 있으므로, 중요한 정보는 반드시 다른 출처를 통해 교차 검증하시기 바랍니다.
문의하기 : help@durumis.com
![경막하출혈 및 [[뇌탈출(Brain herniation)]]](https://cdn.onul.works/wiki/noimage.png)