맨위로가기

뇌출혈

"오늘의AI위키"는 AI 기술로 일관성 있고 체계적인 최신 지식을 제공하는 혁신 플랫폼입니다.
"오늘의AI위키"의 AI를 통해 더욱 풍부하고 폭넓은 지식 경험을 누리세요.

1. 개요

뇌출혈은 뇌 조직, 심실 또는 둘 다에서 갑작스러운 출혈이 발생하는 질환으로, 뇌졸중의 한 종류이다. 출혈 부위에 따라 뇌실질내 출혈, 뇌실내 출혈, 지주막하 출혈, 피질하 출혈, 뇌간 출혈, 소뇌 출혈 등으로 분류된다. 뇌출혈의 원인으로는 고혈압, 뇌 아밀로이드 혈관병증, 뇌동맥류, 외상 등이 있으며, 두통, 편측 마비, 언어 장애, 의식 저하 등의 증상이 나타난다. 진단은 CT 스캔, MRI 등을 통해 이루어지며, 치료는 약물 치료, 수술, 재활 치료 등이 시행된다. 예후는 출혈의 심각도와 위치에 따라 다르며, 사망률은 30일 이내에 34~50%로 보고된다. 뇌내출혈의 발병률은 10만 명당 24.6건으로 추정되며, 고령층에서 더 흔하게 발생한다.

더 읽어볼만한 페이지

  • 뇌혈관 질환 - 모야모야병
    모야모야병은 뇌 속 특정 혈관이 좁아지거나 막혀 뇌혈류가 감소하고 비정상적인 혈관이 생성되는 진행성 뇌혈관 질환으로, 뇌허혈증, 뇌졸중, 뇌전증 발작 등을 유발하며 유전적 요인과 관련 있고 동아시아인에게 발병률이 높으며 뇌혈류 재건술 등의 치료를 시행하고 대한민국에서는 난치병으로 분류된다.
  • 뇌혈관 질환 - 거미막밑출혈
    거미막밑출혈은 뇌를 덮는 막 중 하나인 거미막 아래 공간에서 출혈이 발생하는 질환으로, 외상이나 뇌동맥류 파열이 주요 원인이며 벼락 두통, 구토, 의식 혼탁 등의 증상을 동반하고, CT 촬영이나 요추 천자를 통해 진단하며, 환자 안정화, 재출혈 방지, 혈관 연축 예방 등을 목표로 치료하고, 초기 출혈 및 합병증에 따라 예후가 달라 다양한 분류 척도로 심각도를 평가한다.
  • 신경외상 - 신경가소성
    신경가소성은 뇌의 구조와 기능이 경험, 학습, 손상에 따라 변화하는 능력이며, 시냅스 가소성, 구조적 가소성으로 나뉘어 뇌졸중, 학습 장애 등의 치료와 재활, 명상, 예술 활동 등 다양한 분야에 응용된다.
  • 신경외상 - 뇌성마비
    뇌성마비는 태아 또는 영유아기의 비진행성 뇌 손상으로 운동 및 자세 발달에 영구적인 장애를 초래하는 질환으로, 다양한 원인으로 발생하며 감각, 인지 등의 문제가 동반될 수 있고, 치료는 불가능하지만 다양한 중재를 통해 증상 완화 및 기능 향상을 도모할 수 있다.

2. 종류

뇌출혈은 출혈 부위에 따라 다음과 같이 분류된다.


  • '''뇌실질내 출혈''': 뇌 조직 내에서 발생하는 출혈이다.[58][59][60]
  • '''뇌실내 출혈''': 뇌실 안으로 피가 나는 것이다.[22]
  • '''지주막하 출혈''': 뇌동맥류 파열 등으로 발생할 수 있다.
  • '''피질하 출혈''': 고령자에게 흔하며, 출혈 부위에 따라 다양한 증상이 나타난다.[63]
  • '''뇌간 출혈''': 혼수상태, 사지 마비, 축동 등의 증상을 유발하며, 예후가 매우 좋지 않다.[54]
  • '''소뇌 출혈''': 두통, 메스꺼움, 구토, 현기증 등의 증상을 유발하며, 심하면 수두증으로 혼수상태에 빠질 수 있다.[63]


뇌내출혈은 외과적 치료가 필요한 경우가 많다. 혈종 제거술을 통해 뇌 헤르니아를 막고, 압박된 뇌를 감압하며, 출혈 원인을 찾아 지혈한다. 수술 여부, 방식, 시기는 출혈 크기, 신경 증상, 전신 합병증, 연령, 수술 전 ADL 등을 고려하여 결정한다.

2. 1. 뇌실질내 출혈 (Intraparenchymal hemorrhage)

뇌 조직(예: 실질), 심실 또는 둘 다에서 갑작스럽게 출혈이 발생하는 것이다.[58][59][60] 이 질환은 두개골 내 출혈의 한 유형이자 뇌졸중의 한 종류이다(다른 하나는 허혈성 뇌졸중이다).[58][59] 증상은 출혈의 심각도(혈액량), 급성 여부(기간), 위치(해부학적)에 따라 크게 달라질 수 있지만, 두통, 편측 부전 마비, 무감각, 따끔거림 또는 마비, 언어 문제, 시력 또는 청력 문제, 기억 상실, 주의력 문제, 협응 문제, 균형감 문제, 어지럼증 또는 현훈, 메스꺼움/구토, 발작, 의식 저하 또는 의식 상실, 목 경직 및 발열 등이 나타날 수 있다.[62][60]

출혈성 뇌졸중은 뇌 아밀로이드 혈관병증, 뇌동정맥 기형, 뇌 외상, 뇌종양, 뇌동맥류와 같은 뇌혈관의 변화를 배경으로 발생할 수 있으며, 이는 실질내 출혈 또는 지주막하 출혈을 유발할 수 있다.[60]

자연 출혈의 가장 큰 위험 요인은 고혈압과 아밀로이드증이다.[62] 다른 위험 요인으로는 알코올 중독, 낮은 콜레스테롤, 혈액 희석제, 코카인 복용 등이 있다.[62] 진단은 일반적으로 CT 스캔을 통해 이루어진다.[60]

치료는 일반적으로 집중치료실에서 이루어져야 하며, 엄격한 혈압 목표와 승압제 및 항고혈압제의 빈번한 사용이 필요하다.[60][61] 가능하면 항응고제를 역전시켜야 하며, 혈당은 정상 범위로 유지해야 한다.[60] 수두증이나 두개내압 상승을 치료하기 위해 외부 심실 배액 장치를 삽입하는 시술을 할 수 있지만, 코르티코스테로이드 사용은 피하는 경우가 많다.[60] 때로는 혈액을 직접 제거하는 수술이 치료에 도움이 될 수 있다.[60]

뇌출혈은 매년 10,000명당 약 2.5명에게 발생한다.[62] 남성과 노년층에서 더 자주 발생한다.[62] 뇌출혈 환자의 약 44%가 한 달 이내에 사망한다.[62] 약 20%는 호전을 보인다.[62] 뇌내출혈은 출혈성 뇌졸중의 일종으로, 1823년에 혈류 부족으로 인한 허혈성 뇌졸중과 처음으로 구별되었다.[63]

뇌실질내 출혈(IPH)은 뇌 실질 내에서 출혈이 발생하는 뇌내 출혈의 한 형태이다.[16] 뇌실질내 출혈은 전체 뇌졸중의 약 8~13%를 차지하며, 다양한 질환에서 발생할 수 있다. 이는 허혈성 뇌졸중이나 지주막하 출혈보다 사망 또는 심각한 장애를 초래할 가능성이 더 높아 즉각적인 응급 의료 상황으로 간주된다. 뇌내 출혈과 동반된 부종은 인접한 뇌 조직을 파괴하거나 압박하여 신경 기능 장애를 유발할 수 있다. 뇌 실질이 크게 변위되면 두개 내압 (ICP) 상승을 유발하고 잠재적으로 치명적인 뇌 탈출 증후군을 초래할 수 있다.

2. 2. 뇌실내 출혈 (Intraventricular hemorrhage)

뇌실내 출혈(IVH)은 뇌실 안으로 피가 나는 것으로, 뇌의 뇌실계에서 발생한다. 뇌실계는 뇌척수액이 만들어져 지주막하 공간으로 순환하는 곳이다. 뇌실내 출혈은 신체적 외상이나 출혈성 뇌졸중 때문에 발생할 수 있다.[22]

뇌실내 출혈의 30%는 일차적이며 뇌실계에 국한되어 나타난다. 주로 뇌실 내 외상, 동맥류, 혈관 기형, 종양(특히 맥락얼기 종양) 때문에 발생한다. 반면 70%는 이차적인데, 기존의 뇌실질 내 출혈이나 지주막하 출혈이 확대되어 발생한다. 뇌실내 출혈은 중등도 또는 중증의 외상성 뇌 손상 환자의 35%에서 발견된다.[27] 따라서 뇌실내 출혈은 보통 광범위한 뇌 손상과 함께 발생하며, 예후가 좋지 않은 경우가 많다.[30][31]

성인의 뇌실내 출혈은 뇌혈관 이상이 원인인 경우가 많아, 뇌혈관 조영술 등을 통해 출혈 원인을 정밀하게 검사한다. 급성 수두증이 발생하면 뇌실 배액술을 고려하기도 한다.

2. 3. 지주막하 출혈 (Subarachnoid hemorrhage)

뇌동맥류는 전교통동맥(Acom), 중대뇌동맥의 첫 번째 분지부, 내경동맥-후교통동맥(IC-PC)에서 주로 발생한다. 전교통동맥류는 전두엽 하내측 및 투명 중격에, IC-PC 동맥류는 측두엽에, 중대뇌동맥류는 외포 및 측두엽에, 전대뇌동맥 원위부 동맥류는 뇌량에서 대상회에 뇌내 혈종을 형성한다. 이는 고혈압으로 인한 출혈과는 분포가 다르며, 대개 근처에 지주막하 출혈을 동반한다. 아급성 세균성 심내막염이나 융모암 등도 동맥류를 유발하여 지주막하 출혈을 일으킬 수 있다. 파열 동맥류의 약 30%에서 지주막하 출혈이 함께 나타난다.

2. 4. 피질하 출혈 (Subcortical hemorrhage)

피질하 출혈은 고령자에게 흔하며, 출혈 부위에 따라 둥지 증상(고위 뇌 기능 장애)이 나타나는 경우가 있다.[63] 혈종이 50ml 이상으로 크고, 의식 수준이 기면(JCS10)에서 반혼수(JCS100) 상태일 경우 수술을 고려한다. 피질하 출혈은 고혈압성이 많은 편이지만, 피각 출혈, 시상 출혈에 비하면 고혈압성 비율이 낮아 다른 출혈 원인에 대해서도 적극적으로 정밀 검사를 할 필요가 있다. 젊은 층에서는 동정맥 기형이, 고령층에서는 뇌 아밀로이드 혈관병증이 많이 발견된다.[63]

2. 5. 뇌간 출혈 (Brainstem hemorrhage)

뇌간 출혈은 뇌 조직(예: 실질), 심실 또는 둘 다에서 갑작스럽게 출혈이 발생하는 질환이다.[58][59][60] 두개골 내 출혈 유형이자 뇌졸중의 한 종류이다(다른 하나는 허혈성 뇌졸중).[58][59]

뇌간 출혈은 급속하게 혼수상태에 빠지게 하고, 사지 마비, 축동(동공 수축) 등의 증상을 유발한다. 단기간 내에 사망하는 경우가 많아 예후가 매우 좋지 않다. 수술의 효과가 없는 것으로 확인되어 수술은 시행되지 않는다. 출혈량이 많은 경우 전격성 뇌졸중이라고 하며, 발작과 동시에 사망하기도 한다.[54]

2. 6. 소뇌 출혈 (Cerebellar hemorrhage)

소뇌 손상으로 사지 마비는 발생하지 않지만, 보행 불능 등의 증상이 나타난다. 그 외에 두통, 메스꺼움, 구토, 현기증 등이 나타난다. 중증의 경우 폐쇄성 수두증으로 인해 단기간에 혼수 상태에 빠질 수 있다.[63] 혈종의 최대 직경이 3cm 이상이고 뇌간을 압박하며 수두증을 동반하는 경우에는 수술이 필요할 수 있다. 혈종량은 11ml 정도이다.

3. 원인

뇌출혈은 뇌 조직, 심실, 또는 둘 다에서 갑작스럽게 출혈이 발생하는 질환이다.[58][59][60] 이는 두개골 내 출혈 유형이자 뇌졸중의 한 종류이며, 뇌혈관의 변화를 배경으로 발생할 수 있다.[58][59][60]



자연 출혈의 가장 큰 위험 요인은 고혈압아밀로이드증이다.[62] 알코올 중독, 낮은 콜레스테롤, 혈액 희석제, 코카인 복용 등도 위험 요인에 포함된다.[62] 뇌내 출혈은 뇌졸중으로 인한 입원 환자의 10%를 차지하는, 뇌졸중의 두 번째로 흔한 원인이다.[18] 고혈압은 자발적인 뇌내 출혈의 위험을 2~6배 높인다.[17]

뇌내 출혈의 위험 요소는 다음과 같다:[22]

뇌 아밀로이드 혈관병증은 55세 이상 환자에게 뇌내 출혈의 드문 원인이 아니다. 이 질환은 뇌의 작은 혈관 벽에 아밀로이드 베타 펩타이드가 침착되어 혈관 벽이 약해지고 출혈 위험이 증가하는 질환이다.[24][25] 흡연은 위험 요소일 수 있지만, 연관성은 약하다.[26]

추위 노출 등의 자연 환경 외에도 노동 조건이나 스트레스 등의 사회적, 정신적 요인이 뇌출혈의 원인이 될 수 있다. 또한 흡연, 염분 섭취, 알코올 등의 기호, 비만, 고혈압, 운동 부족 등도 위험 요인이다.

고혈압성 뇌내출혈은 고혈압증 및 동맥경화가 일어나는 50~70대에서 많이 발생한다고 알려져 있지만, 최근 고혈압증의 조기 치료가 보급되면서 감소 추세에 있다. 다른 위험 인자로는 흡연, 당뇨병, 동맥경화증, 여러 종류의 출혈성 질환이 있다.

비고혈압성 뇌내출혈은 뇌동맥류, 모야모야병, 뇌동정맥 기형, 뇌 아밀로이드 혈관 장애 (뇌 아밀로이드 혈관병증), 뇌종양 내 출혈, 항응고 요법에 합병되는 것, 암페타민 남용, 혈소판 기능 장애 등이 원인이 될 수 있다. 노인에게 있어서는 뇌 아밀로이드 혈관 장애에 의한 뇌출혈이 매우 많으며, 고혈압성에 이어 두 번째로 많다. 뇌 아밀로이드 혈관 장애에서는 피질하 출혈이 많으며, 재발을 반복하는 경우가 많다.

4. 증상

뇌 조직, 심실, 또는 둘 다에서 갑작스러운 출혈이 발생하면 뇌출혈의 증상이 나타난다.[58][59][60] 증상은 출혈의 심각도, 급성 여부, 위치에 따라 다를 수 있지만, 일반적으로 다음과 같은 증상들이 나타날 수 있다.[62][60]

증상
두통[62][60]
편측 부전 마비(신체 한쪽에 힘이 없음)[62][60]
무감각, 따끔거림, 마비[62][60]
언어 문제[62][60]
시력 또는 청력 문제[62][60]
기억 상실[62][60]
주의력 문제[62][60]
협응 문제 (신체 움직임을 조절하는 능력)[62][60]
균형감 문제[62][60]
어지럼증 또는 현훈 (빙빙 도는 느낌)[62][60]
메스꺼움/구토[62][60]
발작[62][60]
의식 저하 또는 의식 상실[62][60]
목 경직[62][60]
발열[62][60]



뇌출혈로 손상된 뇌 부위가 제어하는 기능에 따라 특정 증상이 나타날 수 있다.[9] 예를 들어 반신 마비(신체 한쪽의 쇠약) 및 감각 이상(감각 상실)이 발생할 수 있다.[23] 이러한 증상은 보통 빠르게 나타나며, 때로는 수분 내에 발생하기도 한다.[23]

뇌졸중의 경고 징후를 기억하기 위해 FAST (얼굴 처짐, 팔 약화, 언어 장애, 응급 서비스 호출 시간)라는 기억술이 사용된다.[11]

커다란 덩어리(혈종)가 뇌에 압력을 가하면 두개 내압 상승 증상이 나타날 수 있다.[9] 이러한 증상에는 두통, 메스꺼움, 구토, 의식 저하, 혼미 등이 포함된다.[23]

기저핵이나 시상 출혈은 내부 캡슐 손상으로 인해 반대쪽 반신 마비를 유발할 수 있다.[23] 소뇌 출혈은 운동 실조, 현기증, 사지 협응 부전 및 구토를 유발할 수 있다.[23] 뇌간 출혈은 호흡 곤란, 뇌신경 마비, 안면 쇠약 등을 유발할 수 있다.[23]

5. 진단

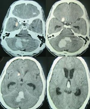
뇌출혈 진단은 일반적으로 CT 스캔을 통해 이루어진다.[60] CT 스캔에서 뇌출혈은 혈액이 다른 조직보다 밝게 나타나기 때문에 식별할 수 있다. 출혈 주변 조직은 부종으로 인해 뇌의 나머지 부분보다 밀도가 낮아 CT 스캔에서 더 어둡게 나타난다.[28] 출혈 주변의 부종은 처음 48시간 동안 빠르게 증가하고 14일째에 최대 크기에 도달하며, 혈종의 크기가 클수록 주변 부종도 커진다.[29]

컴퓨터 단층 촬영 혈관 조영술(CTA)과 자기 공명 혈관 조영술(MRA)은 뇌혈관 기형 진단에 효과적이다.[27] 따라서 출혈의 이차적인 원인을 배제하거나 "스팟 사인"을 감지하기 위해 CT 혈관 조영술을 자주 시행한다.[28]

CT 스캔 외에도 경두개 초음파를 사용하여 뇌내 출혈의 혈종 진행을 모니터링할 수 있다. 초음파 프로브를 측두엽에 배치하여 뇌 내 혈종의 부피를 추정하여 출혈을 멈추기 위한 추가 개입이 필요한 활동성 출혈 환자를 식별할 수 있다. 초음파를 사용하면 CT 스캔으로 인한 대상의 방사선 위험도 줄일 수 있다.[31]

혈액이 혈관 밖으로 유출되면 응고되어 혈장 성분이 흡수되므로 헤모글로빈 농도가 상승한다. 따라서 CT에서는 고흡수역을 나타내 진단이 비교적 용이하다. 혈종량(ml)은 최대 장경(cm) × 최대 단경(cm) × 슬라이스 두께(cm) × 슬라이스 수 / 2 로 추정한다.

고혈압성 출혈은 피각, 시상, 교, 소뇌나 대뇌 피질하에 호발한다. 이러한 부위 이외에 혈종이 존재하는 경우에는 뇌 동정맥 기형, 해면상 혈관종 등의 뇌혈관 기형, 아밀로이드 혈관병증, 뇌종양, 출혈성 경색, 혈액 응고 이상을 동반한 출혈 등 다른 원인도 고려한다.

초급성기에는 뇌출혈과 뇌경색의 감별을 MRI로 할 수 있지만, CT에서도 뇌출혈의 검출 능력은 거의 차이가 없다고 알려져 있다.

영상초급성기 뇌출혈초급성기 뇌경색
발병 직후 소견발병 직후부터 T2WI, DWI에서 신호 변화가 나타난다.발병 직후에는 소견이 나타나지 않는다.
T2WIT2WI에서는 혈종 중심부의 중등도 고신호와 주변부의 저신호, 주변 부종성 변화T2WI에서는 발병 후 수 시간이 지나야 혈관성 부종에 의한 신호 변화가 나타난다.
DWI혈종 중심부의 고신호와 그 주변부의 저신호발병 30분 이후라면 소견이 나타날 수 있지만, 최종 경색과 비교하면 아직 국한되어 있다.



MRI는 헤모글로빈의 생화학적 상태를 감별할 수 있다.

병기헴철의 성상자성국재T2WIT1WICT
초급성기(24시간 이내)옥시헤모글로빈Fe2+/반자성적혈구 내경도 고신호경도 저신호고흡수역
급성기(3일 이내)데옥시헤모글로빈Fe2+/상자성적혈구 내저신호경도 저신호고흡수역
급성기(7일 이내)메트헤모글로빈Fe3+/상자성적혈구 내저신호고신호고흡수역
아급성기(2주 이내)프리 메트헤모글로빈Fe3+/상자성적혈구 외고신호고신호변연부부터 저하
만성기(1개월 이후)헤모시데린Fe3+/상자성적혈구 외저신호저신호저흡수역


6. 치료

뇌출혈 치료는 뇌내출혈의 유형에 따라 크게 달라지며, CT 스캔 등의 진단 방법을 통해 약물 치료, 수술 등 적절한 치료법을 결정한다.


  • 의식 저하나 기도 폐쇄 위험이 있는 환자는 기관 내 삽관이 필요하다.[39]
  • 정맥 내 수액 요법으로 등장성 수액을 사용하여 체액 균형을 유지한다.[39]
  • 4시간 이내에 제7인자a를 투여하면 출혈과 혈종 형성을 제한할 수 있지만, 혈전색전증 위험도 증가한다.[39] 따라서 혈우병이 없는 환자에게는 전반적으로 더 나은 결과를 가져오지 않는다.[40]
  • 신선 동결 혈장, 비타민 K, 프로타민, 혈소판 수혈 등은 응고병증이 있는 경우 투여할 수 있다.[39] 하지만 혈소판은 항혈소판제를 복용하는 뇌내 출혈 환자의 예후를 악화시키는 것으로 보인다.[41]
  • 이다루시주맙과 안덱사넷 알파는 직접 작용 경구용 항응고제(예: Xa 인자 억제제, 직접 트롬빈 억제제) 복용 환자의 뇌내 출혈을 멈추기 위해 사용할 수 있다.[23] 만약 이러한 약물을 사용할 수 없다면, 프로트롬빈 복합체 농축액을 사용할 수 있다.[23]
  • 뇌내 출혈 환자의 7%만이 발작의 임상적 특징을 보이며, 최대 25%는 무증상 발작을 겪는다. 발작은 사망 또는 장애 위험 증가와 관련이 없지만, 항경련제 투여는 사망 위험을 증가시킬 수 있다. 따라서 항경련제는 발작의 임상적 특징이 있거나 뇌파 검사 (EEG)에서 발작 활동이 나타난 환자에게만 사용된다.[42]
  • H2 길항제 또는 프로톤 펌프 억제제는 스트레스 궤양 예방을 위해 흔히 투여된다.[39]
  • 코르티코스테로이드는 부종을 줄이는 것으로 생각되었으나, 대규모 대조 연구에서 사망률을 증가시키는 것으로 밝혀져 더 이상 권장되지 않는다.[43][44]


수술혈종 크기가 3cm 이상이거나, 젊은 환자에게 구조적인 혈관 병변 또는 엽 출혈이 있는 경우 필요하다.[39] 시상 출혈 및 뇌간 출혈은 혈종량에 관계없이 수술 적응증이 없으며,[57] 그 외 부위에서도 혈종량이 10ml 이하이거나 신경학적 증상이 경미한 경우에는 수술 적응증이 없다.[57] 뇌 헤르니아가 보이면 긴급 개두술을 실시하고, 자연 흡수되지 않는 크기의 혈종은 재출혈 우려가 없고 뇌부종이 가라앉은 시점에 정위 뇌 수술을 시행한다.

카테터를 뇌 혈관에 삽입하여 침습적 수술 절차를 피하고 혈관을 막거나 확장할 수 있다.[45] 정위 수술 또는 내시경 배액을 통한 흡인은 기저핵 출혈에 사용될 수 있지만, 성공적인 보고는 제한적이다.[39] 개두술은 사망률 감소 가능성이 있지만, 장기적인 신경학적 결과에 대한 영향은 논란의 여지가 있다.[46]

6. 1. 급성기 치료

치료는 일반적으로 집중치료실에서 이루어져야 하는데, 이는 엄격한 혈압 목표와 승압제 및 항고혈압제의 빈번한 사용 때문이다.[60][61] 가능하면 항응고제를 역전시켜야 하며 혈당은 정상 범위로 유지되어야 한다.[60] 수두증이나 두개내압 상승을 치료하기 위해 외부 심실 배액 장치를 삽입하는 절차를 사용할 수 있지만 코르티코스테로이드 사용은 피하는 경우가 많다.[60] 때로는 혈액을 직접 제거하는 수술이 치료될 수 있다.[60]

발병 후 24시간 이내에는 재출혈의 위험이 있다. 그러나 서구에서는 예전부터 혈압을 지나치게 낮추는 것은 오히려 뇌 혈류 저하를 초래하므로 금기시되어 왔다. 최근 혈종 주변의 신경 세포는 휴면 상태의 저대사 상태가 되므로, 뇌 혈류 저하는 반드시 허혈을 의미하지 않는다는 새로운 생각이 발표되었다.[55] 따라서 발병 급성기에 강압 치료를 실시하여 재출혈을 예방하는 치료가 가능하고 유효할지도 모른다고 생각하게 되었다.

국내 검토에서는 발병 3시간 이내의 초급성기 고혈압성 뇌출혈도 적극적으로 평균 혈압 110mmHg 이하로 낮추는 것(내원 시 혈압을 20% 정도 낮추는 것)으로 출혈 증가(재출혈)의 위험을 낮추고, 예후 악화를 방지하는 것이 제시되어[56], 내원 직후부터 뇌출혈 환자를 적극적으로 강압하는 치료가 주류가 되어가고 있다. 또한 필요에 따라 침투압성 이뇨제스테로이드 약 등으로 두개 내압 항진 증상을 경감시킨다.

6. 2. 재활 치료

보통 1~2주에서 수개월 동안은 급성기 병원에서 치료가 중심이 되며, 이후에는 후유증으로 나타나는 팔다리 마비, 저림, 언어 능력 저하 정도의 개선을 위한 재활 치료가 주축이 된다.[63] 다만, 에드윈 O. 라이샤워와 같은 다국어 구사자에게서 외국어 능력 저하에 대한 재활 치료 방법은 확립되어 있지 않다. 또한 고혈압이 있는 경우에는 뇌출혈 재발 예방을 위해 혈압 강하제 복용을 계속해야 한다.

7. 예후

뇌출혈은 매년 10,000명당 약 2.5명에게 발생하며, 남성과 노년층에서 더 자주 발생한다.[62] 영향을 받은 사람들의 약 44%가 한 달 이내에 사망하고, 약 20%는 좋은 결과를 얻는다.[62] 뇌내출혈은 1823년에 혈류 부족으로 인한 허혈성 뇌졸중과 처음으로 구별되었다.[63]

뇌내 출혈 환자의 약 8~33%는 병원 입원 후 24시간 이내에 신경학적 악화를 겪으며, 이 중 상당수는 6~12시간 이내에 발생한다. 혈종 확장 속도, 혈종 주위 부종의 부피 및 발열은 신경학적 합병증 발생 가능성에 영향을 미칠 수 있다.[47]

외상성 뇌 손상에서 뇌실질 내 출혈로 인한 사망 위험은 특히 손상이 뇌간에서 발생할 때 높다.[48] 숨뇌 내의 뇌실질 내 출혈은 거의 항상 치명적인데, 이는 뇌순환과 호흡에 중요한 역할을 하는 미주 신경에 손상을 주기 때문이다.[19] 이러한 종류의 출혈은 대뇌 피질 또는 피질하 부위, 일반적으로 두부 손상으로 인해 전두엽 또는 측두엽에서 발생하며 때로는 소뇌에서도 발생할 수 있다.[19][49]

병원 입원 시 혈종 부피가 클수록, 그리고 이후 평가(일반적으로 증상 발현 후 6시간 이내에 발생)에서 혈종이 더 많이 확장될수록 예후가 좋지 않다.[23][50] 혈종 주위 부종은 이차적인 뇌 손상과 관련이 있으며, 신경학적 기능 악화 및 불량한 결과와 관련이 있다.[23] 뇌실 내 출혈은 환자의 30~50%에서 발생할 수 있으며, 장기적인 장애 및 불량한 예후와 관련이 있다.[23] 뇌 탈출은 불량한 예후와 관련이 있다.[23]

CT 스캔에서 확인된 자연 발생 뇌내 출혈의 경우, 사망률은 부상 후 30일 이내에 34~50%이며,[17] 사망의 절반은 처음 2일 이내에 발생한다.[51] 뇌내 출혈 후 사망의 대부분이 처음 며칠 이내에 발생하지만, 생존자는 일반 인구에 비해 27%의 장기 초과 사망률을 보인다.[52] 뇌내 출혈에서 생존한 환자 중 12~39%는 자가 관리에 있어 독립적이며, 다른 환자는 다양한 정도의 장애를 가지고 있어 보살핌이 필요하다.[7]

뇌간 출혈에서는 호흡 마비, 다른 부위에서는 뇌 탈출이 치명적일 수 있다. 발열이 있는 경우, 머리를 너무 차게 하면 대사성 산증이 발생하여 기능을 저하시키므로 주의해야 한다.

8. 역학

뇌출혈은 매년 10,000명당 약 2.5명에게 발생하며, 남성과 노년층에서 더 자주 발생한다.[62] 영향을 받은 사람들의 약 44%가 한 달 이내에 사망하지만, 약 20%는 좋은 결과를 얻는다.[62] 뇌내출혈의 발병률은 10만 명당 24.6건으로 추정되며, 남성과 여성의 발병률은 유사하다.[23][7] 발병률은 노인, 특히 85세 이상에서 훨씬 더 높으며, 중년층에 비해 9.6배 더 뇌내출혈이 발생할 가능성이 높다.[7] 미국에서는 모든 뇌혈관 질환 사례의 20%를 차지하며, 뇌혈전증(40%) 및 뇌색전증(30%) 다음으로 많은 비중을 차지한다.[8]

참조

[1] 웹사이트 Brain Bleed/Hemorrhage (Intracranial Hemorrhage): Causes, Symptoms, Treatment https://my.cleveland[...]
[2] 서적 Imaging of the Brain, Expert Radiology Series,1: Imaging of the Brain https://books.google[...] Elsevier Health Sciences 2012
[3] 논문 Guidelines for the Management of Spontaneous Intracerebral Hemorrhage: A Guideline for Healthcare Professionals From the American Heart Association/American Stroke Association 2015-07
[4] 논문 Blood Pressure Management for Acute Ischemic and Hemorrhagic Stroke: The Evidence 2017-12
[5] 논문 Intracranial hemorrhage 2012-08
[6] 서적 Imaging in Stroke https://books.google[...] Remedica 2003
[7] 논문 Incidence, case fatality, and functional outcome of intracerebral haemorrhage over time, according to age, sex, and ethnic origin: a systematic review and meta-analysis 2010-02
[8] 서적 Neurology practice guidelines M. Dekker
[9] 웹사이트 Penetrating Head Trauma http://www.emedicine[...] 2006
[10] 논문 Early Stroke Recognition and Time-based Emergency Care Performance Metrics for Intracerebral Hemorrhage 2020-02
[11] 논문 Rapid ambulance protocol for acute stroke 1999-06
[12] 논문 Design and retrospective analysis of the Los Angeles Prehospital Stroke Screen (LAPSS) 1998-01
[13] 논문 Cincinnati Prehospital Stroke Scale: reproducibility and validity 1999-04
[14] 논문 Clinical audit to assess implications of implementing National Institute for Health and Clinical Excellence (NICE) guideline 32: Department of Nutrition and Dietetics at Barts and the London National Health Service (NHS) Trust 2007 2009
[15] 논문 Posterior circulation ischaemic stroke 2014-05
[16] 논문 Brain herniations in patients with intracerebral hemorrhage 2009-04
[17] 논문 Endoscopic management of hypertensive intraventricular haemorrhage with obstructive hydrocephalus 2007-01
[18] 논문 Heart disease and stroke statistics--2013 update: a report from the American Heart Association 2013-01
[19] 웹사이트 CMSD 336 Neuropathologies of Language and Cognition http://www.csuchico.[...] California State University 2007-06-19
[20] 웹사이트 Overview of Adult Traumatic Brain Injuries http://www.orlandore[...] 2008-01-16
[21] 웹사이트 Head Trauma http://www.emedicine[...] 2007-06-19
[22] 논문 Major risk factors for intracerebral hemorrhage in the young are modifiable 2005-09
[23] 논문 Spontaneous Intracerebral Hemorrhage 2022-10
[24] 논문 Low-density lipoprotein cholesterol and risk of intracerebral hemorrhage: A prospective study 2019-07
[25] 논문 Epidemiology, Risk Factors, and Clinical Features of Intracerebral Hemorrhage: An Update 2017-01
[26] 서적 Intracerebral Hemorrhage https://books.google[...] Cambridge University Press 2009
[27] 논문 Computed tomography angiography or magnetic resonance angiography for detection of intracranial vascular malformations in patients with intracerebral haemorrhage 2014-09
[28] 논문 Comparison of CTA to DSA in determining the etiology of spontaneous ICH 2009-03
[29] 논문 Natural history of perihematomal edema after intracerebral hemorrhage measured by serial magnetic resonance imaging 2011-01
[30] 논문 Mechanisms of edema formation after intracerebral hemorrhage: effects of extravasated red blood cells on blood flow and blood-brain barrier integrity 2001-12
[31] 논문 Time course of early postadmission hematoma expansion in spontaneous intracerebral hemorrhage 2014-04
[32] 서적 Handbook of Neurosurgery Thieme 2016
[33] 서적 Neuropathology https://books.google[...] Elsevier Health Sciences 2012
[34] 논문 Implications of INTERACT2 and other clinical trials: blood pressure management in acute intracerebral hemorrhage 2015-01
[35] 논문 Effects of early intensive blood pressure-lowering treatment on the growth of hematoma and perihematomal edema in acute intracerebral hemorrhage: the Intensive Blood Pressure Reduction in Acute Cerebral Haemorrhage Trial (INTERACT) 2010-02
[36] 논문 The Intracerebral Hemorrhage Acutely Decreasing Arterial Pressure Trial 2013-03
[37] 논문 Effects of Intensive Blood Pressure Lowering on Intracerebral Hemorrhage Outcomes: A Meta-Analysis of Randomized Controlled Trials 2015
[38] 논문 Intensive blood pressure lowering in patients with acute intracerebral haemorrhage: clinical outcomes and haemorrhage expansion. Systematic review and meta-analysis of randomised trials 2017-04
[39] 웹사이트 Intracranial Haemorrhage: Treatment & Medication http://emedicine.med[...] 2006-08-07
[40] 논문 A meta-analysis of the efficacy and safety of recombinant activated factor VII for patients with acute intracerebral hemorrhage without hemophilia 2010-06
[41] 논문 Haemostatic therapies for stroke due to acute, spontaneous intracerebral haemorrhage 2023-10-23
[42] 논문 Intracranial haemorrhage: therapeutic interventions and anaesthetic management 2014-12
[43] 논문 Effect of intravenous corticosteroids on death within 14 days in 10008 adults with clinically significant head injury (MRC CRASH trial): randomised placebo-controlled trial 2016-10-09
[44] 논문 Final results of MRC CRASH, a randomised placebo-controlled trial of intravenous corticosteroid in adults with head injury-outcomes at 6 months 2005
[45] 웹사이트 Cerebral Hemorrhages http://www.csmc.edu/[...] 2009-02-25
[46] 논문 Decompressive craniectomy for the treatment of high intracranial pressure in closed traumatic brain injury 2019-12
[47] 논문 Time course and predictors of neurological deterioration after intracerebral hemorrhage 2015-03
[48] 서적 Mosby's Paramedic Textbook Mosby 2001
[49] 서적 Pathology of Brain Damage After Head Injury Morgan Hill 2000
[50] 논문 Volume of intracerebral hemorrhage. A powerful and easy-to-use predictor of 30-day mortality 1993-07
[51] 논문 Guidelines for the management of spontaneous intracerebral hemorrhage in adults: 2007 update: a guideline from the American Heart Association/American Stroke Association Stroke Council, High Blood Pressure Research Council, and the Quality of Care and Outcomes in Research Interdisciplinary Working Group 2007-06
[52] 논문 Long term (13 years) prognosis after primary intracerebral haemorrhage: a prospective population based study of long term mortality, prognostic factors and causes of death http://jnnp.bmj.com/[...] 2013-10
[53] 웹사이트 西川史子が発症した右脳内出血とは?手足まひや言語障害も 自身はメールも可能 https://www.daily.co[...] デイリースポーツ 2021-08-19
[54] 문서 마이페디아(전자사전 수록판)보다.
[55] 문서 Qureshi AI et al; J Intensive Care Med 20:34-42,2005
[56] PMID Fujii M et al. J Clin Neurosci 17:1136-9,2010
[57] 문서 『뇌졸중치료가이드라인2004』p.114
[58] 웹인용 Brain Bleed/Hemorrhage (Intracranial Hemorrhage): Causes, Symptoms, Treatment https://my.cleveland[...]
[59] 서적 Imaging of the Brain, Expert Radiology Series,1: Imaging of the Brain https://books.google[...] Elsevier Health Sciences 2012
[60] 저널 Guidelines for the Management of Spontaneous Intracerebral Hemorrhage: A Guideline for Healthcare Professionals From the American Heart Association/American Stroke Association 2015-07
[61] 저널 Blood Pressure Management for Acute Ischemic and Hemorrhagic Stroke: The Evidence 2017-12
[62] 저널 Intracranial hemorrhage 2012-08
[63] 서적 Imaging in Stroke https://books.google[...] Remedica 2003



본 사이트는 AI가 위키백과와 뉴스 기사,정부 간행물,학술 논문등을 바탕으로 정보를 가공하여 제공하는 백과사전형 서비스입니다.
모든 문서는 AI에 의해 자동 생성되며, CC BY-SA 4.0 라이선스에 따라 이용할 수 있습니다.
하지만, 위키백과나 뉴스 기사 자체에 오류, 부정확한 정보, 또는 가짜 뉴스가 포함될 수 있으며, AI는 이러한 내용을 완벽하게 걸러내지 못할 수 있습니다.
따라서 제공되는 정보에 일부 오류나 편향이 있을 수 있으므로, 중요한 정보는 반드시 다른 출처를 통해 교차 검증하시기 바랍니다.

문의하기 : help@durumis.com