굴심방결절
"오늘의AI위키"의 AI를 통해 더욱 풍부하고 폭넓은 지식 경험을 누리세요.
1. 개요
굴심방결절은 바나나 모양의 구조로, 심장의 우심방 벽에 위치하며 심박 조율 기능을 담당한다. 이 결절은 자발적인 탈분극을 통해 활동 전위를 생성하여 심근 세포의 수축을 유발하며, 교감 및 부교감 신경계의 영향을 받아 심박수를 조절한다. 굴심방결절 기능 장애는 부정맥을 유발할 수 있으며, 1907년 마틴 플랙과 아서 키스에 의해 처음 발견되었다. 굴심방결절에서 발생한 흥분은 결절간로와 바흐만 다발을 통해 심방으로, 방실결절을 거쳐 히스 다발, 푸르키녜 섬유를 통해 심실로 전달된다.
더 읽어볼만한 페이지
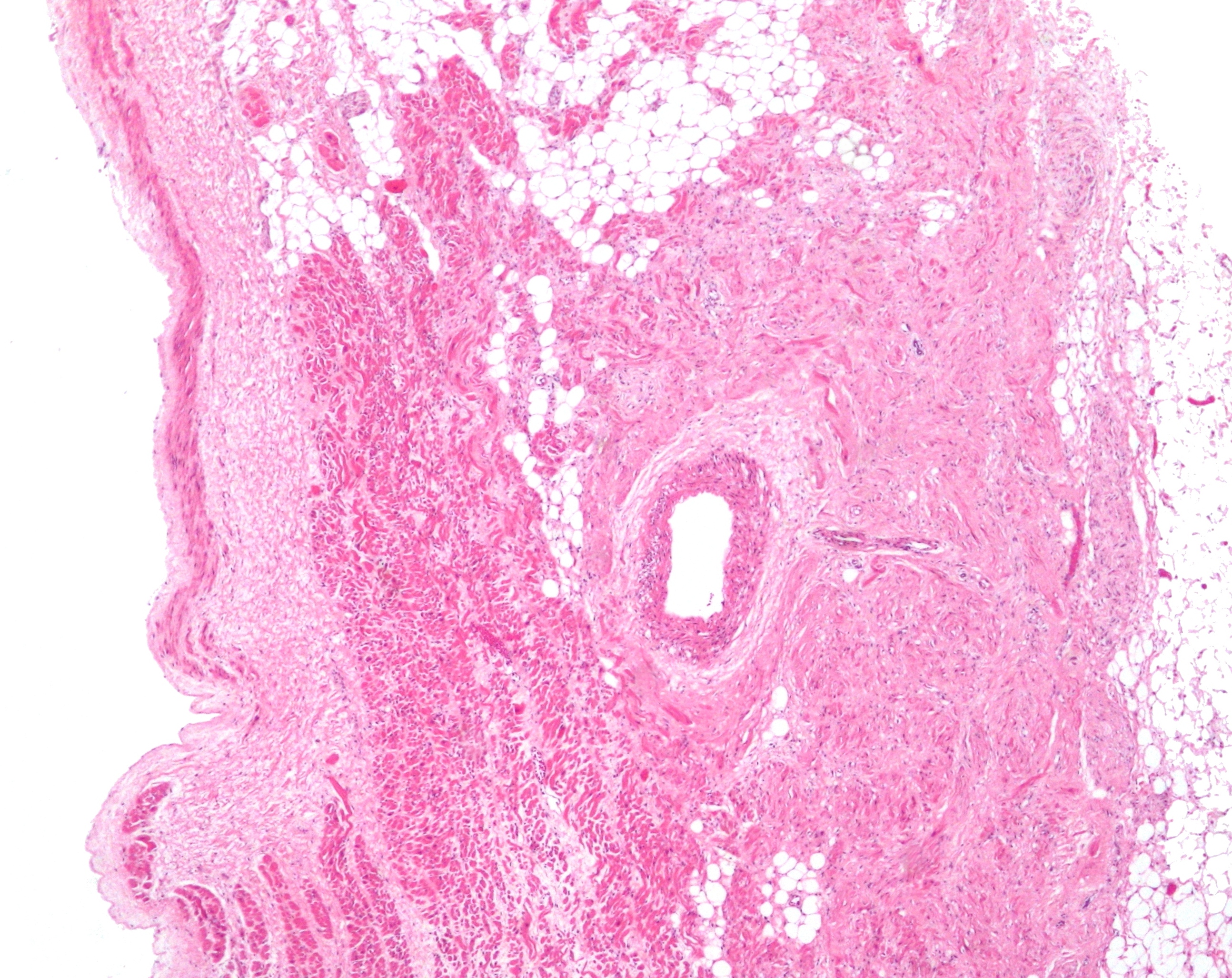
2. 구조
굴심방결절은 바나나 모양의 구조물로, 개인에 따라 크기가 다양하지만 일반적으로 길이는 10~30mm, 너비는 5~7mm, 깊이는 1–2mm 정도이다.[30][31][4][5]
2. 1. 위치
굴심방결절은 우심방 벽의 심장바깥막(심외막)에 위치하며, 위대정맥 입구 가쪽에 있는 대정맥굴에 위치한다.[32] 심장 안쪽 표면의 분계능선과 바깥쪽 표면의 분계고랑 사이에 위치한다.[29] 분계고랑은 위대정맥과 아래대정맥 사이에 있다.2. 2. 미세해부학

굴심방결절 세포는 신경, 혈관, 콜라겐, 지방을 포함하는 결합 조직 그물망 구조 내에 퍼져 있다.[29] 굴심방결절 세포를 직접 둘러싸고 있는 것은 결절주변세포(paranodal cells)이다.[29] 결합 조직은 결절주변세포와 함께 굴심방결절 세포를 나머지 심방과 절연시켜 심방 세포의 전기적 활동이 굴심방결절 세포에 영향을 미치는 것을 방지한다.[29] 굴심방결절 세포는 주변 심방 세포보다 작고 옅으며, 평균 직경은 약 8μm이고 길이는 20~30μm 정도이다.[33] 심방 세포와 달리 굴심방결절 세포에는 더 적은 수의 미토콘드리아와 근섬유가 있고, 근소포체가 더 작아 수축에는 덜 적합하다.[34]
활동전위는 간극연접으로 알려진 구멍을 통해 한 심장 세포에서 다음 심장 세포로 전달된다. 간극연접은 커넥신 단백질로 구성되며, 굴심방결절 내의 간극연접은 수가 적고 크기도 작아 주변 심방 세포와의 절연에 기여한다.[29]
2. 3. 혈액 공급
굴심방결절은 굴심방결절동맥으로부터 혈액 공급을 받는다.[35][10] 그러나 이 혈액 공급은 개인마다 크게 다를 수 있다. 예를 들어, 대부분의 사람에서 굴심방결절동맥은 하나의 동맥이지만 어떤 경우에는 두세 개의 굴심방결절동맥이 혈액을 공급한다.[35][10] 또한 굴심방결절동맥은 주로 오른관상동맥의 가지에서 시작되지만, 일부에서는 왼관상동맥의 휘돌이가지에서 시작된다.[35][10] 굴심방결절동맥은 보통 굴심방결절에 도달하기 전에 위대정맥 뒤쪽을 지나가지만, 어떤 경우에는 앞쪽으로 지나간다.[35][10] 이렇게 많은 차이점이 있지만, 사람마다 가지고 있는 굴심방결절동맥의 수나 시작 위치에 따라 이점이 있지는 않은 것으로 보인다.[35][10]2. 4. 정맥 배출
굴심방결절에서 혈액을 빼내는 큰 정맥은 없다. 대신 작은 세정맥들이 혈액을 우심방으로 직접 배출한다.[36][11]3. 기능
굴심방결절 세포는 심장 활동전위를 발생시켜 심근 세포의 수축을 유발하는 역할을 한다. 굴심방결절의 활동전위는 3단계로 나뉜다. 심장 활동전위에는 0~4단계까지 총 5단계가 있지만, 굴심방결절의 활동전위에는 뚜렷한 1단계나 2단계가 나타나지 않는다.
3. 1. 심박 조율
굴심방결절 세포는 휴지 전위 없이, 재분극 직후 자동으로 느리게 탈분극되는 박동조율기 전위를 가진다. 박동조율기 전위가 문턱값 전위에 도달하면 활동전위가 발생한다.[29] 푸르키네 섬유[37]나 방실결절 같은 다른 세포들도 활동전위를 생성할 수 있지만, 굴심방결절의 활동전위 생성 속도가 더 빨라 일반적으로 굴심방결절이 심박 조율을 주도한다.[38]굴심방결절 활동전위는 3단계로 나뉜다.
3. 2. 활동전위
굴심방결절의 활동전위는 3단계로 나뉜다. 심장 활동전위에는 0~4단계까지 총 5단계가 있지만, 굴심방결절의 활동전위에는 뚜렷한 1단계나 2단계가 나타나지 않는다.'''4단계'''
4단계는 박동조율기 전위라고도 한다. 재분극 직후 막 전위가 매우 음의 값(과분극 상태)일 때, 막 전위는 천천히 증가하기 시작한다. 이는 칼륨 통로가 닫혀 세포 밖으로 흐르는 칼륨 이온 전류(I k)가 감소하기 때문이다.[39] 또한 과분극은 HCN 통로를 활성화시키는데, 음의 막 전위에서 이온 통로가 활성화되는 것은 일반적이지 않으므로 HCN 통로를 통해 흐르는 나트륨 이온과 일부 칼륨 이온의 흐름을 박동조율기 전류(funny current, I f)라고 한다.[40] 이 전류를 통해 양전하(Na+, K+)가 세포 안으로 흘러 막 전위를 점차 증가시킨다.
박동조율기 전위와 관련된 또 다른 기전은 근소포체에서 세포질로 칼슘이 자발적으로 방출되는 것이다. 세포 내 칼슘 농도가 증가하면 나트륨-칼슘 교환체(NCX)가 활성화되어 세포에서 하나의 Ca2+를 내보내고 3Na+를 세포 안으로 들여보내 막 전위를 더욱 증가시킨다. 칼슘은 나중에 SERCA와 세포막의 칼슘 통로를 통해 세포로 다시 들어간다.[41] 막 전위가 증가하면서 T형 칼슘 통로가, 그 다음에는 L형 칼슘 통로(T형보다 매우 느리게 열림)가 활성화된다. 이 통로들을 통해 Ca2+이 세포 안으로 들어와 막 전위를 더 큰 양의 값으로 만든다.
'''0단계'''
0단계는 탈분극 단계이다. 막 전위가 문턱값 전위(약 -20 ~ -50mV)에 도달하면, 세포는 빠르게 탈분극되어 막 전위가 더 양의 값이 된다.[42] 이는 주로 L형 칼슘 통로가 완전히 열려 Ca2+이 세포 안으로 들어오기 때문이다. 이 단계에서 T형 칼슘 통로와 HCN 통로는 비활성화된다.
'''3단계'''
3단계는 재분극 단계이다. 이 단계에서는 L형 칼슘 통로가 비활성화되어 Ca2+의 유입이 막히고, 칼륨 통로가 활성화된다. 칼륨 통로가 활성화되면 K+가 세포 밖으로 나가면서 막 전위가 음의 방향으로 이동한다.[43]
4. 신경 분포
심박수는 굴심방결절이 활동전위를 생성하는 속도에 따라 달라지며, 이는 자율신경계인 교감신경과 부교감신경의 영향을 받는다. 휴식 시 정상 심박수는 분당 60~100회이다.[44] 자율신경계에 의한 심박수 조절은 HCN과 Kir의 두 가지 유형의 채널에 의해 수행된다.
4. 1. 교감신경계
척수신경의 등뼈 부위(특히 T1-T4)에서 교감신경이 시작된다.[45] 이 신경은 노르에피네프린이라는 신경전달물질을 방출하며, 노르에피네프린은 굴심방결절 막의 베타-1 아드레날린 수용체에 결합한다. 이 수용체에 노르에피네프린이 결합하면 G단백질(특히 반응을 자극하는 Gs)을 활성화하여 고리형 아데노신 일인산(cAMP)를 생산하는 일련의 반응(cAMP 의존적 경로)을 개시한다. cAMP는 HCN 통로에 결합하여 Na+와 K+의 세포 내 유입을 유도한다. 이는 박동조율기 전위를 빠르게 하고, 활동전위 생성 속도를 증가시켜 심박수를 증가시킨다.[45] 이러한 심박수 증가는 양성 심박수변동 효과라고 한다.4. 2. 부교감신경계
뇌에서 시작되는 미주신경을 중심으로 한, 굴심방결절에 분포하는 부교감신경은 신경전달물질인 아세틸콜린(ACh)을 방출한다.[46] ACh는 굴심방결절 막에 위치한 무스카린성 아세틸콜린 수용체 M2라는 수용체에 결합한다. M2 수용체가 활성화되면 G단백질(특히 억제성인 Gi)을 활성화시킨다. 이 G단백질이 활성화되면 고리형 아데노신 일인산(cAMP) 경로를 차단하여 교감신경 활동을 억제시키고 활동전위 생성을 늦춘다. 또한 G단백질은 칼륨 통로를 활성화시켜 K+가 세포 밖으로 흘러나가도록 하여 막 전위를 더 음의 방향으로 만들고, 박동조율기 전위를 느리게 하여 활동전위 생성 속도를 감소시키고 결국 심박수를 감소시킨다.[46] 심박수의 감소를 음성 심박수변동(chronotropy) 효과라고 한다.4. 3. 심박조율기 이동
굴심방결절에서 활동전위를 처음 생성하는 세포가 항상 같은 것은 아니다. 이처럼 활동전위를 처음 만드는 세포가 달라지는 현상을 심박조율기 이동(pacemaker shift)이라고 한다. 개와 같은 특정 동물 종에서, 굴심방결절에서 가장 빠른 활동전위를 생성하는 세포의 위치가 이전보다 높아지면 일반적으로 심박수가 증가하고, 반대로 첫 번째 활동전위를 만드는 세포의 위치가 내려가면 심박수가 감소한다.[29]5. 임상적 중요성
굴심방결절 기능 장애는 심장의 잘못된 전기 신호로 인해 심장 박동이 불규칙해지는 것이다. 심장의 굴심방결절에 결함이 있는 경우 심장의 리듬이 비정상적으로 변한다. 일반적으로 너무 느리거나 기능, 조합이 일시 중지되는 식으로 나타나고, 정상보다 박동이 빠른 경우는 매우 드물다.[47] 굴심방결절 기능 부전은 '굴기능 부전 증후군(동기능 부전 증후군)'이라고도 하며, 심장의 전기 신호에 이상이 생겨 발생하는 일련의 부정맥 질환을 의미한다.[22]
굴심방결절로 가는 동맥혈 공급이 차단(가장 일반적으로 심근 경색이나 진행성 관상동맥질환으로 인해 발생)되면 굴심방결절에서 허혈과 세포 사멸을 유발할 수 있다. 이는 굴심방결절의 전기적 박동조율기 기능 장애를 유발하여 굴기능 부전 증후군의 원인이 될 수 있다.
굴심방결절이 제대로 기능하지 못하거나 굴심방결절에서 생성된 전기 신호가 전기 전도계를 따라 이동하기 전에 차단(굴심방차단)되면 아래쪽에 있는 세포들이 대신 박동조율기 역할을 한다.[48][23]
6. 역사
1907년, 영국의 의대생 마틴 플랙은 그의 멘토였던 아서 키스 경과 함께 두더지의 심장에서 굴심방결절을 처음 발견했다.[49][50] 이 발견은 잉글랜드 켄트주의 한 농가(Mann's Place)에 마련된 임시 실험실에서 이루어졌다.
7. 전파 경로
굴심방결절에서 발생한 흥분은 좌우 심방근으로 전파되며, 결절간로를 거쳐 방실결절에 도달한다. 이후 히스 다발을 통해 심실 중격 상부에서 좌우 다발갈래로 분지하며, 좌우 심실의 심내막하에 있는 푸르키녜 섬유를 거쳐 심실근으로 전파된다.
7. 1. 결절간로
동방결절에 의해 유발된 흥분은 좌우 심방근으로 전파되어, 결절간로를 거쳐 방실결절에 도달한다. 동방결절에서 방실결절에 도달하기까지 전결절간로, 중결절간로, 후결절간로의 3가지 전도로가 있다. 좌심방으로는 전결절간로에서 갈라진 바흐만 다발에 의해 동방결절의 흥분이 전달된다.[1]7. 2. 방실결절 이후
방실결절에서 히스 다발로 들어가 심실 중격 상부에서 좌우 다발갈래(각)로 분지하며, 좌우 심실의 심내막하에 존재하는 푸르키녜 섬유를 거쳐 심실근으로 전파된다.[1]참조
[1]
서적
Guyton and Hall textbook of medical physiology
2011
[2]
논문
The anatomy and physiology of the Sinoatrial Node-A contemporary review
[3]
서적
Guyton and Hall textbook of medical physiology
2011
[4]
논문
Human Sinoatrial Node Structure: 3D Microanatomy of Sinoatrial Conduction Pathways
2017-03-01
[5]
논문
Computer three-dimensional anatomical recon-struction of the human sinus node and a novel paranodal area
[6]
Citation
Dorland's Illustrated Medical Dictionary
http://dorlands.com/
Elsevier
[7]
논문
Molecular architecture of the human sinus node: Insights into the function of the cardiac pacemaker
[8]
논문
Correlation between electrical activity and the size of rabbit sino-atrial node cells
[9]
논문
The sinoatrial node, a heterogeneous pace-maker structure
[10]
논문
Anatomical variations in the Sinoatrial Nodal artery: A Meta-Analysis and clinical considerations
[11]
논문
Location and vascular supply of sinus node in human heart
[12]
논문
Ionic mechanisms of pacemaker activity in cardiac Purkinje fibers
1978-06-01
[13]
논문
The relationship among cardiac pacemakers: Overdrive suppression
[14]
논문
Cardiac pacemaking in the sinoatrial node
[15]
논문
The role of the funny current in pacemaker activity
[16]
논문
The role of the calcium and the voltage clocks in sinoatrial node dysfunction
[17]
간행물
'Single cells isolated from human sinoatrial node: Action potentials and numerical reconstruction of pacemaker current'
[18]
논문
A rapidly activating delayed rectifier K+ current reg-ulates pacemaker activity in adult mouse sinoatrial node cells
[19]
논문
Autonomic and endocrine control of cardiovascular function
[20]
간행물
'How is the heart rate regulated in the sinoatrial node? Another piece to the puzzle'
[21]
간행물
On the kinetics of the potassium current activated by acetylcholine in the SA node of the rabbit heart.
[22]
웹사이트
Sinus node dysfunction
http://www.mountsina[...]
[23]
EMedicine
Junctional Rhythm
[24]
논문
Discovery of the sinus node by Keith and Flack: on the centennial of their 1907 publication
2007-10-01
[25]
논문
The sinoatrial node is still setting the pace 100 years after its discovery
2007-06
[26]
웹사이트
대한해부학회 의학용어 사전
https://www.kmle.co.[...]
[27]
웹사이트
대한의협 의학용어 사전
https://www.kmle.co.[...]
[28]
논문
The Form and Nature of the Muscular Connections between the Primary Divisions of the Vertebrate Heart
[29]
논문
The anatomy and physiology of the Sinoatrial Node-A contemporary review
[30]
논문
Human Sinoatrial Node Structure: 3D Microanatomy of Sinoatrial Conduction Pathways
[31]
논문
Computer three-dimensional anatomical recon-struction of the human sinus node and a novel paranodal area
[32]
인용
Dorland's Illustrated Medical Dictionary
http://dorlands.com/
Elsevier
2022-04-21
[33]
논문
Correlation between electrical activity and the size of rabbit sino-atrial node cells
[34]
논문
The sinoatrial node, a heterogeneous pace-maker structure
[35]
논문
Anatomical variations in the Sinoatrial Nodal artery: A Meta-Analysis and clinical considerations
[36]
저널
Location and vascular supply of sinus node in human heart
[37]
저널
Ionic mechanisms of pacemaker activity in cardiac Purkinje fibers
1978-06-01
[38]
저널
The relationship among cardiac pacemakers: Overdrive suppression
[39]
저널
Cardiac pacemaking in the sinoatrial node
[40]
저널
The role of the funny current in pacemaker activity
[41]
저널
The role of the calcium and the voltage clocks in sinoatrial node dysfunction
[42]
간행물
'Single cells isolated from human sinoatrial node: Action potentials and numerical reconstruction of pacemaker current’, Conference proceedings : ... Annual International Conference of the IEEE Engineering in Medicine and Biology Society. IEEE Engineering in Medicine and Biology Society. Annual Conference.,
[43]
저널
A rapidly activating delayed rectifier K+ current reg-ulates pacemaker activity in adult mouse sinoatrial node cells
https://semanticscho[...]
[44]
저널
Autonomic and endocrine control of cardiovascular function
[45]
간행물
'How is the heart rate regulated in the sinoatrial node? Another piece to the puzzle’
[46]
간행물
On the kinetics of the potassium current activated by acetylcholine in the SA node of the rabbit heart
[47]
웹사이트
Sinus node dysfunction
http://www.mountsina[...]
[48]
EMedicine
Junctional Rhythm
[49]
저널
Discovery of the sinus node by Keith and Flack: on the centennial of their 1907 publication
2007-10-01
[50]
저널
The sinoatrial node is still setting the pace 100 years after its discovery
2007-06
본 사이트는 AI가 위키백과와 뉴스 기사,정부 간행물,학술 논문등을 바탕으로 정보를 가공하여 제공하는 백과사전형 서비스입니다.
모든 문서는 AI에 의해 자동 생성되며, CC BY-SA 4.0 라이선스에 따라 이용할 수 있습니다.
하지만, 위키백과나 뉴스 기사 자체에 오류, 부정확한 정보, 또는 가짜 뉴스가 포함될 수 있으며, AI는 이러한 내용을 완벽하게 걸러내지 못할 수 있습니다.
따라서 제공되는 정보에 일부 오류나 편향이 있을 수 있으므로, 중요한 정보는 반드시 다른 출처를 통해 교차 검증하시기 바랍니다.
문의하기 : help@durumis.com
