맨위로가기

납 중독

"오늘의AI위키"는 AI 기술로 일관성 있고 체계적인 최신 지식을 제공하는 혁신 플랫폼입니다.
"오늘의AI위키"의 AI를 통해 더욱 풍부하고 폭넓은 지식 경험을 누리세요.

1. 개요

납 중독은 인체에 유해한 납에 노출되어 발생하는 질환으로, 역사적으로 오래 연구된 환경 위해 요인 중 하나이다. 납은 광업과 제련을 통해 사용되었으며, 고대 로마 시대에는 수도관에 사용되어 만성적인 중독을 유발했다는 설이 있다. 산업혁명 이후 납 사용량이 증가하면서 중독 사례가 늘었으며, 유연 휘발유, 납 페인트, 장난감 등 다양한 경로를 통해 납에 노출될 수 있다.

납은 신체에서 생리적 역할을 하지 않으며, 효소의 기능을 저해하여 빈혈, 신경계 손상, 신장 손상 등 다양한 증상을 유발한다. 특히 어린이와 임산부에게 더 치명적이며, 신경계 발달에 영향을 미쳐 지능 저하, 행동 장애를 일으킬 수 있다. 진단은 혈중 납 농도 측정을 통해 이루어지며, 킬레이션 요법과 같은 치료법이 사용된다.

납 중독 예방을 위해 개인 위생 관리, 납 함유 제품 사용 자제, 공공 규제 강화 등이 필요하며, 한국은 1995년 이후 수도관 납 사용 금지, 유연 휘발유 판매 중단 등 노력을 기울여왔다. 납 중독은 야생동물에게도 영향을 미치며, 납탄, 납 페인트 등이 주요 원인으로 작용한다.

더 읽어볼만한 페이지

  • 납 중독 - 플린트 수질 위기
    플린트 수질 위기는 2014년 플린트시가 상수원을 변경하면서 발생, 부식성이 강한 강물로 인해 납 수도관이 부식되어 식수에 납이 유출됨으로써 주민들이 납 중독 위험에 노출된 심각한 공중 보건 위기이다.
  • 인간이 환경에 미치는 영향 - 환경 문제
    환경 문제는 인간의 활동으로 인해 발생하는 생물물리학적 변화로, 지구 온난화, 환경 악화, 멸종, 생태 위기 등을 초래하며, 인류의 생존을 위협하며, 오염자 부담 원칙, 사회적 책임, 톱다운 및 보텀업 방식의 환경 관리, 국제 협력 등을 통해 해결해야 한다.
  • 인간이 환경에 미치는 영향 - 기후변화
    기후변화는 자연적 요인과 인간 활동으로 지구 기후 시스템이 점진적으로 변화하는 현상으로, 산업 혁명 이후 온실 기체 농도 증가로 지구 평균 기온이 지속적으로 상승하며 해수면 상승, 극한 기상 현상 증가 등 심각한 영향을 초래한다.
  • 표시 이름과 문서 제목이 같은 위키공용분류 - 라우토카
    라우토카는 피지 비치레부섬 서부에 위치한 피지에서 두 번째로 큰 도시이자 서부 지방의 행정 중심지로, 사탕수수 산업이 발달하여 "설탕 도시"로 알려져 있으며, 인도에서 온 계약 노동자들의 거주와 미 해군 기지 건설의 역사를 가지고 있고, 피지 산업 생산의 상당 부분을 담당하는 주요 기관들이 위치해 있다.
  • 표시 이름과 문서 제목이 같은 위키공용분류 - 코코넛
    코코넛은 코코넛 야자나무의 열매로 식용 및 유지로 사용되며, 조리되지 않은 과육은 100g당 354kcal의 열량을 내는 다양한 영양 성분으로 구성되어 있고, 코코넛 파우더의 식이섬유는 대부분 불용성 식이섬유인 셀룰로오스이며, 태국 일부 지역에서는 코코넛 수확에 훈련된 원숭이를 이용하는 동물 학대 문제가 있다.
납 중독
지도 정보
기본 정보
이름납 중독
다른 이름연독
그림자의 복통
토성 중독
데번 산통
화가의 산통
분야독성학
증상지적 장애
복통
변비
두통
과민성
기억력 문제
불임
손과 발의 감각 이상
합병증빈혈
발작
혼수
원인에 오염된 공기, 물, 먼지, 식품, 소비재에 노출
위험 요인어린 나이
이식증
진단혈중 납 농도
감별 진단철 결핍성 빈혈
흡수 장애
ADHD
불안 장애
다발성 신경병증
예방가정에서 납 제거
작업장에서 개선된 모니터링 및 교육
제품의 납 사용을 금지하는 법률
치료킬레이트 요법
약물디메르카프롤
에데테이트 칼슘 이나트륨
석시머
사망자 수 (2016년)540,000 명
이미지
인간의 납 중독에서 특징적인 소견을 보여주는 X선 사진 - 밀집된 [[골간단]] 선
납 중독 환자의 X선 사진
추가 정보
관련 질병납 중독

2. 역사

납 중독은 기원전 6500년경 아나톨리아에서 납이 처음 채굴된 이후 인류 역사와 함께 해왔다.[350] 고대 그리스와 로마 시대에는 납의 유해성이 이미 알려져 있었다. 기원전 2세기 그리스 식물학자 니칸데르는 납 중독으로 인한 산통과 마비를 기록했고,[27][18] 1세기경 그리스 의사 디오스코리데스는 납이 정신에 미치는 영향을 언급했다.[106][261]

1세기경 페다니우스 디오스코리데스(Pedanius Dioscorides)는 납이 정신에 미치는 영향을 언급했다.


로마 시대에는 납이 수도관에 널리 사용되었는데,[108]
로마 시대 납 수도관과 수도꼭지
카이사르의 기술자 비트루비우스는 납 파이프의 유해성을 경고했다.[262] 로마인들은 납으로 만든 조리기구에서 과일을 졸여 만든 ''defrutum'', ''carenum'', ''sapa''를 섭취했고,[265] 와인을 달게 만드는 데 사용된 납당은 통풍을 유발했다.[263]

17세기 독일에서는 납으로 오염된 와인이 산통 유행의 원인으로 밝혀져 1696년 뷔르템베르크 공작이 납 첨가를 금지하는 칙령을 발표했다.[274] 18세기에는 납 성분이 있는 증류기로 만든 럼주로 인해 납 중독이 빈번하게 발생했으며,[275][276] 벤자민 프랭클린은 1786년에 납의 위험성을 경고했다.[278] 루트비히 판 베토벤은 다량의 납이 함유된 와인을 즐겨 마셨는데, 그의 높은 납 수치는 이 때문일 가능성이 있으며, 그의 청력 상실과 사망에 영향을 미친 요인 중 하나로 여겨진다.[279][280][281]

산업혁명 이후 유럽에서는 납 사용량이 급격히 증가하여 납 중독이 확대되었다.[106] 일본에서는 메이지 시대 이후 어린이 장난감에 납이 사용되어 문제가 되었다. 1934년에는 납을 사용한 분 제조가 금지되었다.

20세기에는 유연 휘발유 사용으로 인한 대기 오염이 심각했으며, 1980년대 이후 무연 휘발유 사용으로 전환되면서 대기 중 납 농도가 감소했다.[128] 한국에서는 1980년대 후반까지 상수도관에 납관이 사용되었고,[340][341] 1995년에 수도 급수관에 대한 납 사용이 전면 금지되었다.[342]

현대에도 여전히 납 페인트, 오염된 식품, 일부 전통 의약품 등을 통해 납 중독이 발생할 수 있다.

3. 납의 독성

납은 신경계, 뼈, 치아, 신장, 심혈관계, 면역계, 생식계 등 신체의 거의 모든 기관에 영향을 미친다.[165] 특히 소량이라도 뇌와 간 등에 축적되어 효소 기능을 저해하고, 헤모글로빈 합성을 방해하여 빈혈을 유발한다.[320]

납의 독성은 다양한 효소에 대한 간섭에서 비롯되는데, 이는 납이 많은 효소에서 발견되는 술프히드릴기에 결합하기 때문이다. 또한 생물학적 과정에 관여하는 다른 금속(칼슘, 철, 아연 등)을 모방하여, 이들을 효소에서 대체함으로써 효소의 정상적인 반응 촉매 능력을 방해한다.[164][170]

납은 헤모글로빈 생합성에 중요한 효소인 δ-아미노레불린산 탈수효소(ALAD)와 페로켈라타제를 억제한다.[172][173][174][24][164] 이는 프로토포르피린과 Fe2+ 결합을 방해하여 아연 프로토포르피린 생성 및 빈혈을 유발하고, 아미노레불린산 축적을 통해 급성 포르피린증과 유사한 증상을 일으킨다.[176][177][178][179][180][181]

납이 결합된 δ-아미노레불린산 탈수효소(ALAD 효소)


소아는 성인보다 소화 기관에서의 납 흡수율이 높아(성인 약 10%, 소아 약 50%) 더 심각한 영향을 받을 수 있다.[321] 이로 인해 소량의 납으로도 지능지수 저하,[322] 신경 장애 등이 발생할 수 있다.[323][324] 임산부가 납에 노출될 경우 태아의 성장 발달에 부정적인 영향을 미치며, 저체중아 출산 위험이 증가한다.[325]

만성 납 중독은 소화기계, 근육신경계, 신경계 증상을 유발한다.[27] 주요 증상으로는 단기 기억 상실, 집중력 저하, 우울증, 메스꺼움, 복통, 협응력 저하, 사지 저림 및 마비, 피로, 수면 장애, 두통, 혼수, 발음 장애, 빈혈 등이 있다.[228][27] 치아 가장자리의 푸른 선(버튼 선)도 만성 중독의 징후 중 하나이다.[34]

3. 1. 신경계에 미치는 영향

납은 중추신경계말초신경계 모두에 영향을 미친다.[164] 특히 어린이에게는 중추신경계에 더 큰 영향을 미치는데,[250] 신경 세포의 축삭 퇴화와 미엘린 손실을 유발한다.[164]

어린이의 경우 납 노출은 학습장애와 관련이 있으며,[241] 지능지수, 비언어적 추론, 단기 기억력, 주의력, 읽기 및 산술 능력, 미세 운동 기술, 정서 조절 및 사회적 참여 감소와 상관관계가 있다.[242] 혈중 납 농도가 10 μg/dL을 초과하면 발달장애 위험이 커진다.[252] 납은 낮은 농도에서도 어린이의 인지 능력에 영향을 미치는데,[43][242][67] 혈중 납 수치가 5 μg/dL 미만이라도 학업 성적 저하와 관련이 있으며,[290][64] 10 μg/dL 미만에서는 IQ 감소 및 행동 문제와 관련이 있다고 보고된다.[21]

성인의 경우 높은 혈중 납 수치는 인지 기능 저하, 우울증, 불안 등의 정신과적 증상과 관련이 있다.[66] 20~50 μg/dL 범위의 혈중 납 수치는 신경인지 결함과 상관관계가 있으며,[255] 약 50 μg/dL에서 약 100 μg/dL로 증가하면 중추신경계 기능의 영구적인 손상과 관련이 있다.[52]

납 노출은 주의력 결핍 과잉 행동 장애(ADHD) 및 반사회적 행동과 같은 신경정신 장애와도 상관관계가 있다.[67] 어린이의 납 수치 상승은 공격성 및 비행 점수와 관련이 있으며,[18] 태아기 및 유아기 납 노출은 성인기 폭력 범죄와도 관련이 있다.[242]

뇌는 납 노출에 가장 민감한 기관으로,[62] 납은 혈뇌장벽을 통과하여 어린이의 뇌와 신경계 발달을 방해한다.[182][183] 납은 시냅스 형성 방해, 신경화학적 발달 방해, 이온 채널 구성 방해 등을 통해 신경계에 영향을 미친다.[176] 또한 뉴런의 수초 손실, 뉴런 수 감소, 신경 전달 방해, 뉴런 성장 감소 등을 유발한다.

납은 NMDA 수용체를 차단하여 장기 강화 작용 (LTP)을 억제하고 장기 저하 작용 (LTD)을 비정상적으로 증가시킨다.[184] 이는 NMDA 수용체의 다운레귤레이션을 유발하여 LTD에 대한 양성 피드백 루프를 시작하게 한다.[184] 이러한 NMDA 수용체 표적화는 납의 신경독성의 주요 원인 중 하나로 여겨진다.[185]




3. 2. 기타 장기에 미치는 영향

납은 신장, 심혈관계, 생식계를 포함한 신체의 여러 기관에 영향을 미친다.[165]

기관영향
신장과다 노출 시 신장 손상 발생. 낮은 수치에서도 신장 손상 유발 가능성 있음.[52] 신병증, 근위세뇨관 기능 손상, 팬코니 증후군 유발 가능.[53] 장기간 노출은 만성 신장 질환, 고혈압, 당뇨병 위험 증가.[54] 요산염 배설 억제로 인한 통풍(납성 통풍) 유발.[55][56][57]
심혈관계고혈압과 관련. 관상 심장 질환, 심박 변이도, 뇌졸중으로 인한 사망과 연관성 존재.[58] 오존과 미세 입자가 높은 날 심장 자율 신경 기능 장애 위험 증가.[59]
생식계남녀 모두에게 영향. 남성은 정자 수 감소, 정액량, 운동성, 형태 변화 (혈중 납 농도 40 μg/dL 초과 시).[60] 여성은 유산, 조산, 저체중아 출산, 아동기 발달 문제 위험 증가 (혈중 납 농도 높을 시).[242] 납은 태반 통과, 모유로 전달 가능.[164]


4. 주요 납 흡수 경로

납은 다양한 경로를 통해 인체에 흡수될 수 있으며, 주요 흡수 경로는 다음과 같다.


  • 납 함유 페인트: 오래된 건물에 사용된 페인트 조각이나 먼지는 주요 납 흡수 경로 중 하나이다. 페인트는 건물의 내구성을 위해 납을 포함하는 경우가 있는데, 이는 중금속 중독의 위험을 높인다. 미국에서는 오래된 페인트 시설에 대한 납 퇴치 운동이 전개되고 있다.[348]

  • 오염된 토양 및 물: 산업 시설, 폐기물 매립지, 과거 유연 휘발유 사용 등으로 인해 토양과 물이 오염될 수 있다. 유연 휘발유는 사에틸납이라는 납 화합물을 포함하여 옥탄가를 높였으나, 심각한 공해 문제로 인해 현재는 무연 휘발유가 사용된다.[348] 납은 토양에 남아 도시 지역의 납 노출에 기여하며, 유연 휘발유와 범죄율 간의 연관성을 시사하는 연구도 있다.[80][81]

  • 납 함유 제품: 일부 장난감, 화장품, 전통 의약품, 낚시용 추 등에 납이 포함될 수 있다. 특히 중국제 장난감에서 납 중독 문제가 발생하기도 한다.[348] 어린이들은 장난감을 입에 넣어 빨기 때문에 납 성분이 흡수될 수 있는데, 이는 납이 혓바닥의 미뢰를 자극하여 단맛을 내기 때문이다.

  • 직업적 노출: 납 제련, 배터리 제조, 용접, 배터리 재활용 등 특정 직업군에서 납 노출 위험이 높다.[18] 성인의 경우 직업적 노출이 납 중독의 주요 원인이다.

  • 기타: 오염된 식품, 납땜 작업, 사격, 총기 손질 등 다양한 경로를 통해 납에 노출될 수 있다. 특히, 납 탄환으로 사냥한 동물을 먹는 경우 납 노출 위험이 증가한다.[138]

5. 증상

납 중독은 다양한 증상을 일으킬 수 있는데, 크게 급성 중독과 만성 중독으로 나뉜다.
급성 중독은 짧은 시간 동안 많은 양의 납에 노출되었을 때 나타난다.


  • 신경학적 증상: 통증, 근육 약화, 저림, 따끔거림, 드물게 뇌염과 관련된 증상.[27]
  • 소화기 증상: 복통, 메스꺼움, 구토, 설사, 변비.[252]
  • 기타 증상: 수렴 작용, 금속성 맛,[252] 위장 장애 (변비, 설사, 식욕 부진, 체중 감소), 쇼크,[252] 빈혈, 혈색소뇨,[252] 획득된 파르코니 증후군, 소변량 감소.[252]

만성 중독은 오랜 기간에 걸쳐 적은 양의 납에 꾸준히 노출되었을 때 나타나며, 증상은 수 주에서 수개월에 걸쳐 서서히 나타난다.[164]

  • 주요 증상: 소화기계, 근육신경계, 신경계 증상.[27]
  • 기타 증상: 단기 기억 상실 또는 집중력 저하, 우울증, 메스꺼움, 복통, 협응력 저하, 사지 저림 및 마비,[228] 피로, 수면 장애, 두통, 혼수, 발음 장애, 빈혈,[27] 창백 또는 청색증을 동반한 피부의 "납색" 변화,[32][33] 버튼 선(잇몸의 푸른 선).[34]

어린이와 성인의 증상은 다르게 나타날 수 있다.어린이에게 납 노출은 특히 위험하며, 낮은 농도에서도 발달 저하 및 건강 문제를 일으킬 수 있다.[128][24]

  • 주요 증상: 식욕 부진, 복통, 구토, 체중 감소, 변비, 빈혈, 신부전, 과민성, 무기력증, 학습 장애, 행동 문제,[39] 발달 지연, 지적장애.[40]
  • 기타 증상: 놀이 거부, 주의력결핍 과잉행동장애 또는 공격적인 행동 장애,[27] 줄무늬 백색반월증(드물게).[40]

성인의 초기 증상은 비특이적이며, 다음을 포함한다.

  • 우울증, 식욕 부진, 간헐적 복통, 메스꺼움, 설사, 변비, 근육통.[158]
  • 권태감, 피로, 성욕 감퇴, 수면 장애.[234]
  • 입안의 이상한 맛, 성격 변화.[228][28]


40 μg/dL 이상에서 증상이 나타날 수 있지만, 50~60 μg/dL 이상에서 더 자주 나타난다.[234]

  • 주요 증상: 두통, 복통, 기억 상실, 신부전, 남성 생식 문제, 사지 약화, 통증 또는 저림.[27]
  • 기타 증상: 불면증, 기억과 집중 장애, 불임, 신장 손상, 고혈압, 임신 중 사산, 유산, 조산 또는 태아의 신경학적 발달 장애.[234]

기타

  • 납에 과다 노출되면 신장 손상, 통풍(납성 통풍) 유발.[52]
  • 납은 헤모글로빈 합성을 저해하여 혈액 도말 표본상 유핵 적혈구와 염기성 점상 관찰.[316]
  • 에 많이 축적, 다른 장기와 조직에도 분포.[320]
  • 주의력 결핍 과잉 행동 장애(ADHD)와 관련성 지적.[317][318][319]

6. 진단

납 중독 진단에는 임상 징후와 병력 확인, 노출 경로에 대한 문의가 포함된다.[186] 중독 분야의 의학 전문가인 임상 독성학자가 진단과 치료에 참여할 수 있다.

납 중독의 진단 및 중증도 평가에 사용되는 주요 도구는 혈중 납 농도(BLL)의 실험실 분석이다.[187]



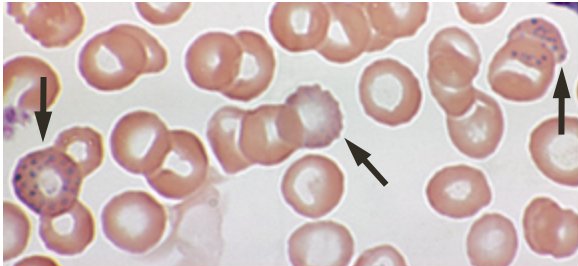
혈액 도말 검사를 통해 적혈구의 호염성 점상 과립구(현미경으로 보이는 적혈구의 점)와 철 결핍성 빈혈(소적혈구증 및 저색소성)과 관련된 변화를 확인할 수 있다.[53] 이는 철 과잉성 빈혈로 알려져 있을 수 있다.[189] 그러나 호염성 점상 과립구는 비타민 B12(코발라민)와 엽산 결핍으로 인한 거대 적아구성 빈혈과 같은 관련 없는 질환에서도 관찰된다.[190] 다른 철 과잉성 빈혈과 달리 골수 도말 검사에서 고리형 철 과잉성 적혈구는 없다.[191]

납 노출은 혈액 샘플에서 적혈구 프로토포르피린(EP)을 측정하여 평가할 수도 있다. EP는 혈중 납 농도가 높을 때 몇 주 후에 증가하는 것으로 알려진 적혈구의 일부이다.[30] 따라서 혈중 납 수치와 함께 EP 수치는 노출 기간을 나타낼 수 있다. 혈중 납 수치가 높지만 EP가 여전히 정상인 경우 최근 노출을 시사한다.[30][29] 그러나 EP 수치만으로는 약 35 μg/dL 미만의 혈중 납 수치 상승을 식별하기에 충분하지 않다.[228] 이러한 더 높은 검출 임계값과 EP 수치가 철 결핍에서도 증가한다는 사실 때문에 납 노출 검출을 위한 이 방법의 사용은 감소했다.[192]

혈중 납 수치는 주로 최근 또는 현재 납 노출을 나타내며, 총 체내 부담량을 나타내지는 않는다.[193] 뼈에 있는 납은 X선 형광 분석법을 통해 비침습적으로 측정할 수 있다. 이것은 누적 노출과 총 체내 부담량을 측정하는 가장 좋은 방법일 수 있다.[29] 그러나 이 방법은 널리 사용 가능하지 않으며 주로 일상적인 진단보다는 연구에 사용된다.[87] 혈중 납 수치가 높다는 또 다른 방사선 사진 징후는 특히 무릎 주변의 성장기 어린이의 장골의 골단에 납 선이라고 하는 방사선 불투과성 선이 있는 것이다.[194] 성장하는 뼈에서 대사 장애로 인한 석회화 증가로 인한 이러한 납 선은 납 노출 기간이 길어짐에 따라 넓어진다.[194] X선은 위장관에서 페인트 조각과 같은 납이 함유된 이물질을 보여줄 수도 있다.[195][194]

며칠 동안 측정된 대변 납 함량은 어린이의 전체 납 섭취량을 추정하는 정확한 방법이 될 수도 있다. 이러한 측정 방법은 모든 식단 및 환경적 납 공급원에서 경구적 납 노출의 정도를 확인하는 유용한 방법으로 사용될 수 있다.[196]

납 중독은 다른 질환과 증상이 유사하여 쉽게 간과될 수 있다.[252] 납 중독 진단 시 배제해야 하는 유사한 증상을 보이는 질환으로는 수근관 증후군, 길랭-바레 증후군, 신장산통, 맹장염, 성인의 뇌염 및 어린이의 바이러스성 위장염이 있다.[186] 어린이의 다른 감별 진단에는 변비, 복통, 철 결핍, 경막하혈종, 중추 신경계의 종양, 정서 및 행동 장애 및 지적 장애가 포함된다.[187]

환경적 납 노출이 과도하지 않은 건강한 사람의 경우, 현재 허용되는 혈중 납 농도 기준치는 다음과 같다.

대상허용 기준치
어린이3.5 μg/dL 미만[5]
성인25 μg/dL 미만[197]



2012년 이전에는 어린이의 허용 기준치가 10 μg/dL였다.[198] 미국에서 납에 노출된 근로자는 건설업 종사자인 경우 혈중 납 농도가 50 μg/dL을 초과하면, 그 외의 경우에는 60 μg/dL을 초과하면 작업에서 제외된다.[199]

2015년 미국 보건복지부(HHS), 질병통제예방센터(CDC), 그리고 국립산업안전보건연구소(NIOSH)는 정맥혈 샘플에서 5μg/dL을 성인의 기준 혈중 납 수치로 지정했다. 상승된 혈중 납 수치(BLL)는 BLL ≥5μg/dL로 정의된다. 이러한 사례 정의는 성인 혈중 납 역학 및 감시(Adult Blood Lead Epidemiology and Surveillance)(ABLES) 프로그램, 주 및 지역 역학자 협의회(CSTE), 그리고 CDC의 국가 신고 감염병 감시 시스템(NNDSS)에서 사용된다. 이전(2009년부터 2015년 11월까지)에는 상승된 BLL에 대한 사례 정의가 BLL ≥10μg/dL였다.[200] 2009년~2010년 미국 전국 성인의 BLL 기하 평균은 1.2μg/dL였다.[201]

납은 헤모글로빈 합성을 저해하기 때문에, 혈액 도말 표본상에서는 유핵 적혈구와 염기성 점상이 관찰된다.

7. 치료

납 중독의 주요 치료법은 납 노출원을 제거하고, 혈중 납 수치가 매우 높거나 중독 증상이 있는 사람에게는 킬레이션 요법을 실시하는 것이다.[217] 철, 칼슘, 아연 결핍 치료 또한 납 중독 치료의 일부이다.[218]

EDTA, 킬레이트제는 중금속과 결합하여 격리시킨다.


킬레이트제는 적어도 두 개의 음전하를 띤 그룹을 가진 분자로, 납과 같은 여러 개의 양전하를 띤 금속 이온과 복합체를 형성할 수 있다.[225] 이렇게 형성된 킬레이트는 무독성이며,[307] 초기에는 정상 속도의 최대 50배까지 소변으로 배설될 수 있다.[226] 납 중독 치료에 사용되는 킬레이트제는 CaNa2EDTA(에데테이트 이나트륨 칼슘), 주사제인 디머카프롤(BAL), 그리고 경구 투여되는 숙시머와 d-페니실아민이 있다.[227]

킬레이션 요법은 급성 납 중독,[228] 심한 중독 및 뇌병증[219]의 경우에 사용되며, 혈중 납 수치가 25 μg/dL을 초과하는 사람에게 고려된다.[252] 납 중독 증상이 있는 사람에 대한 킬레이션 요법의 사용은 널리 지지되지만, 무증상이지만 혈중 납 수치가 높은 사람에 대한 사용은 더 논란의 여지가 있다.[195] 킬레이션 요법은 저농도의 납에 대한 만성 노출의 경우에는 효과가 제한적이다.[229] 킬레이션 요법은 일반적으로 증상이 해결되거나 혈중 납 수치가 발병 전 수준으로 돌아오면 중단된다.[195] 장기간 납에 노출된 경우, 뼈에 저장된 납이 혈액으로 용출되기 때문에 킬레이션 요법 중단 후 혈중 납 수치가 상승할 수 있어[195] 반복적인 치료가 종종 필요하다.[18]

디머카프롤을 투여받는 사람은 상업적 제제에 땅콩 기름이 포함되어 있으므로 땅콩 알레르기를 평가해야 한다. 칼슘 EDTA는 디머카프롤 투여 4시간 후에 투여해도 효과적이다. 중추신경계로의 납 재분포를 방지하려면 칼슘 EDTA 전에 디머카프롤, DMSA(숙시머), 또는 DMPS를 투여해야 한다.[230] 디머카프롤을 단독으로 사용하면 뇌와 고환으로 납이 재분포될 수도 있다.[230] 칼슘 EDTA의 부작용은 신장 독성이다. 숙시머(DMSA)는 경증에서 중등도 납 중독의 경우에 선호되는 약제이다. 이는 어린이의 혈중 납 수치가 25 μg/dL을 초과하는 경우일 수 있다. 숙시머의 가장 많이 보고된 부작용은 위장 장애이다.[11] 또한 킬레이션 요법은 혈중 납 수치만 낮추고 조직 내 낮은 납 수치와 관련된 납 유발 인지 장애를 예방하지 못할 수 있다는 점에 유의해야 한다. 이는 이러한 약제가 조직에서 충분한 양의 납을 제거하지 못하거나 기존의 손상을 되돌릴 수 없기 때문일 수 있다.[11]

킬레이트제는 부작용을 일으킬 수 있다.[87] 예를 들어, 킬레이션 요법은 아연과 같은 필수 영양소의 체내 수치를 낮출 수 있다.[307][231] 경구로 섭취하는 킬레이트제는 장을 통한 납 흡수를 증가시킬 수 있다.

8. 예방

대부분의 경우, 납 중독은 납에 대한 노출을 피함으로써 예방할 수 있다.[203] 예방 전략은 개인(가족이 취하는 조치), 예방 의학(고위험 개인 확인 및 개입), 공중 보건(인구 수준에서 위험 감소)으로 나눌 수 있다.[21]

개인이 할 수 있는 예방 조치에는 다음이 있다.


  • 손 씻기 빈도를 늘린다.
  • 칼슘 및 철분 섭취량을 늘린다.
  • 손을 입에 대는 것을 삼간다.
  • 자주 진공 청소를 한다.
  • 블라인드와 보석류와 같은 납 함유 물건을 집에서 없앤다.[233]
  • 납 파이프나 배관 솔더가 있는 주택에서는 이러한 부분을 교체한다.[233]
  • 오염된 물을 씻어내기 위해 아침에 물을 틀어 놓거나, 파이프 부식을 방지하기 위해 물의 화학적 성질을 조절하는 것은 덜 영구적이지만 저렴한 방법이다.[233]
  • 가정 내 납의 존재 여부를 감지하기 위한 납 검사 키트는 시중에서 구입할 수 있다.[204][205]
  • 뜨거운 물은 차가운 물보다 납 함량이 높을 가능성이 크므로, 식수, 요리 및 분유 제조에는 수도꼭지의 차가운 물만 사용한다.[208]
  • 먼지 제어 및 가정 교육과 같은 조치는 어린이의 혈중 납 수치를 바꾸는 데 효과가 없는 것으로 나타났다.[209]


국가 및 지방 자치 단체 차원의 예방 조치도 있다. 아동 노출을 줄이기 위한 보건 전문가의 권장 사항에는 필수적이지 않은 경우 납 사용을 금지하고 토양, 물, 공기, 가정용 먼지 및 제품의 납 함량을 제한하는 규정을 강화하는 것이 포함된다.[43] 페인트의 납 함량을 제한하는 규정이 있다. 예를 들어, 1978년 미국의 법률은 주택, 가구 및 장난감의 페인트 납 함량을 0.06% 이하로 제한했다.[106] 2008년 10월, 미국 EPA는 허용되는 납 수준을 10분의 1인 1세제곱미터당 0.15마이크로그램으로 줄였으며, 각 주에 5년의 준수 기한을 부여했다.[210] 유럽 연합의 위험 물질 제한 지침은 전자 및 전기 장비의 납 및 기타 유독 물질의 양을 제한한다. 어떤 지역에서는 음용수와 같이 납 함량이 높은 것으로 밝혀진 경우 납의 존재를 줄이기 위한 정화 프로그램이 있다.[233] 항공기 연료에서 납을 제거하는 것도 유용할 것이다.[213]

납 관련 산업 근처에 거주하는 사람들은 고위험군에 속한다.[187] 미국 예방 서비스 태스크포스(USPSTF)는 증상이 없는 사람들에 대한 일반적인 선별검사(소아 및 임산부 포함)의 이점이 불분명하다고 밝혔다(2019년 기준).[214] 그러나 미국 산부인과 의사회(ACOG)와 미국 소아과 학회(AAP)는 위험 요인에 대해 질문하고 위험 요인이 있는 사람들을 검사할 것을 권장한다.[215]

9. 한국의 납 중독 현황 및 관리

한국은 1995년 이후 수도 급수관에 납 사용을 전면 금지하고, 유연 휘발유 판매를 중단하는 등 납 노출 감소를 위한 노력을 기울여왔다.[233][229] 2000년대 들어서는 중국산 장난감에 의한 소아 납중독이 크게 문제되기도 했다. 값싼 장난감에는 페인트의 내구성을 늘리기 위하여 을 섞는 경우가 많기 때문이다. 어린이들이 장난감을 입에 넣어 핥을 경우, 납이 혓바닥의 미뢰를 자극하여 단맛을 내게 하므로, 이러한 납 성분이 함유된 장난감을 계속 맛보게 되는 경우가 있다.[348]

환경부, 식품의약품안전처 등 관련 기관에서 납 노출원 관리, 식품 및 소비재 안전 기준 설정, 납 중독 예방 교육 등을 시행하고 있다. 납 중독은 여전히 주의해야 할 환경 보건 문제이며, 지속적인 관심과 관리가 필요하다.

10. 기타

인간뿐만 아니라 식물과 동물도 납 독성의 영향을 받는다.[116] 동물은 복통, 말초 신경병증, 공격성 증가와 같은 행동 변화 등 인간과 비슷한 납 노출의 영향을 경험한다.[310] 인간의 납 독성 및 그 영향에 대해 알려진 많은 부분은 동물 연구에서 파생되었다.[250] 동물은 킬레이트제와 같은 치료법의 효과를 시험하고[304] 납이 어떻게 흡수되고 체내에 분포되는지에 대한 정보를 제공하는 데 사용된다.[305]

소와 말과 같은 가축[306]뿐만 아니라 애완동물도 납 독성의 영향을 받기 쉽다.[307] 애완동물의 납 노출 원인은 페인트와 블라인드와 같이 인간에게 건강 위협을 제기하는 것과 같을 수 있으며, 때로는 애완동물을 위해 만들어진 장난감에도 납이 들어 있다.[307] 애완견의 납 중독은 같은 가정의 어린이가 납 수치 상승 위험이 증가했음을 나타낼 수 있다.[310]

검은독수리(''Cathartes aura'')와 캘리포니아 콘도르는 납탄으로 사살된 동물의 사체를 먹으면 중독될 수 있다.


납은 수생 조류의 독성의 주요 원인 중 하나이며, 야생 조류 개체군의 떼죽음을 일으키는 것으로 알려져 있다.[307] 사냥꾼들이 납탄을 사용하면, 오리와 같은 수생 조류가 나중에 발사된 납탄을 섭취하여 중독될 수 있으며, 이러한 새들을 잡아먹는 포식자들도 위험에 처하게 된다.[308] 납탄과 관련된 수생 조류 중독은 1880년대 미국에서 처음으로 기록되었다.[310] 1919년까지 수생 조류 사냥에서 나온 납탄이 수생 조류의 사망 원인으로 확인되었다.[309] 납탄은 여러 국가에서 수생 조류 사냥에 금지되었으며,[310] 미국에서는 1991년, 캐나다에서는 1997년에 금지되었다.[311] 야생 동물에 대한 다른 위협에는 납 페인트, 납광산과 제련소에서 나오는 퇴적물, 낚싯줄의 납 추 등이 있다.[311] 일부 낚시 장비에 사용되는 납은 여러 국가에서 금지되었다.[310]

멸종위기에 처한 캘리포니아 콘도르도 납 중독의 영향을 받았다. 청소동물인 콘도르는 사살되었지만 회수되지 않은 사냥감의 사체와 함께 납탄 파편을 먹는데, 이로 인해 납 수치가 증가한다.[312] 그랜드캐니언 주변의 콘도르 중에서 납탄 섭취로 인한 납 중독이 가장 흔한 사망 원인이다.[312] 이 종을 보호하기 위한 노력으로, 캘리포니아 콘도르의 서식지로 지정된 지역에서는 사슴, 들돼지, 엘크, 프롱혼 영양, 코요테, 땅다람쥐 및 기타 비사냥 야생 동물을 사냥하는 데 납이 포함된 발사체의 사용이 금지되었다. 또한, 콘도르를 정기적으로 포획하여 혈중 납 수치를 확인하고 중독 사례를 치료하는 보존 프로그램이 있다.[312]

인간과 동물(야생동물, 가축, 애완동물)의 주요 납 섭취 경로는 다음과 같다.

구분섭취 경로
인간, 동물
(야생동물, 가축, 애완동물)
야생동물


참조

[1] 서적 Ferri's differential diagnosis : a practical guide to the differential diagnosis of symptoms, signs, and clinical disorders Elsevier/Mosby 2010
[2] 웹사이트 Lead Information for Workers https://www.cdc.gov/[...] 2013-09-30
[3] 웹사이트 Lead poisoning and health https://www.who.int/[...] 2016-09-01
[4] 웹사이트 CDC Updates Blood Lead Reference Value for Children https://www.cdc.gov/[...] Centers for Disease Control and Prevention 2021-10-28
[5] 웹사이트 Blood Lead Reference Value Lead https://www.cdc.gov/[...] Centers for Disease Control and Prevention 2021-10-28
[6] 서적 The Code of Federal Regulations of the United States of America https://books.google[...] U.S. Government Printing Office 2005
[7] 학술지 Lead poisoning in children 2014-08-01
[8] 웹사이트 Lead Information for Employers https://www.cdc.gov/[...] 2013-09-30
[9] 학술지 Educational interventions for preventing lead poisoning in workers. Cochrane Database of Systematic Reviews 2020
[10] 웹사이트 What Do Parents Need to Know to Protect Their Children? https://www.cdc.gov/[...] 2012-10-30
[11] 학술지 Lead toxicity and chelation therapy 2007-01-01
[12] 웹사이트 Lead poisoning https://www.who.int/[...]
[13] 학술지 Advancing Knowledge to Reduce Lead Exposure of Children in Data-Poor Low- and Middle-Income Countries https://pubs.acs.org[...] 2022-11-08
[14] 웹사이트 Thousands of US Cities Have Worse Lead Problems Than Flint https://www.lhsfna.o[...] 2017-02-11
[15] 뉴스 Lead exposure in last century shrunk IQ scores of half of Americans https://medicalxpres[...]
[16] 학술지 Half of US population exposed to adverse lead levels in early childhood 2022-03-15
[17] 학술지 Ball and chain: The global burden of lead poisoning https://www.tandfonl[...] 2012-06-29
[18] 학술지 Lead poisoning
[19] 학술지 Deficits in Psychologic and Classroom Performance of Children with Elevated Dentine Lead Levels https://www.nejm.org[...] 1979-03-29
[20] 참고문헌 Grant (2009)
[21] 학술지 Protecting children from toxic exposure: three strategies 2007-04-01
[22] 참고문헌 Trevor, Katzung, Masters (2007)
[23] 웹사이트 Oral Chelation Therapy for Patients with Lead Poisoning https://www.who.int/[...] 2010
[24] 학술지 A critical review of biomarkers used for monitoring human exposure to lead: advantages, limitations, and future needs 2005-12-01
[25] 참고문헌 Grant (2009)
[26] 서적 Principles of Biochemical Toxicology Informa Health Care
[27] 학술지 Burton's line in lead poisoning
[28] 웹사이트 Childhood Lead Exposure, Adult Personality, and Later-Life Mental Health https://edhub.ama-as[...] JN Learning 2019-09-03
[29] 참고문헌 Kosnett (2006)
[30] 참고문헌 Kosnett (2005)
[31] 참고문헌 Henretig (2006)
[32] 서적 Andrews' Diseases of the Skin: Clinical Dermatology Saunders 2005
[33] 학술지 Treatment of periocular hyperpigmentation due to lead of kohl (surma) by penicillamine: a single group non-randomized clinical trial
[34] 참고문헌 Rambousek (2008)
[35] 웹사이트 Wills Eye Resident Case Series http://www.revophth.[...] 2007-01-30
[36] 서적 Advances in Pediatrics, E-Book https://books.google[...] Elsevier Health Sciences 2015
[37] 학술지 Environmental pollutants and disease in American children: estimates of morbidity, mortality, and costs for lead poisoning, asthma, cancer, and developmental disabilities 2002-07-01
[38] 웹사이트 Lead poisoning and health https://www.who.int/[...] 2020-11-28
[39] 웹사이트 Blood Lead Level Testing http://www.ecy.wa.go[...] 2011-01-01
[40] 서적 Baran and Dawber's Diseases of the Nails and their Management https://books.google[...] John Wiley & Sons 2012
[41] 웹사이트 Revealed: A third of world's children poisoned by lead, UNICEF analysis finds https://news.un.org/[...] 2020-07-30
[42] 웹사이트 The Toxic Truth: Children's Exposure to Lead Pollution Undermines a Generation of Future Potential https://www.unicef.o[...] 2020-07-30
[43] 학술지 Low-level environmental lead exposure and children's intellectual function: an international pooled analysis 2005-07-01
[44] 학술지 The distribution of lead in human enamel 1956-06-01
[45] 학술지 Lead in enamel and saliva, dental caries and the use of enamel biopsies for measuring past exposure to lead 1977-10-01
[46] 학술지 Transplacental transport of lead 1990-11-01
[47] 학술지 Association of dental caries and blood lead levels
[48] 학술지 The association between caries and childhood lead exposure 2000-11-01
[49] 학술지 Blood lead level and dental caries in school-age children 2002-10-01
[50] 학술지 Teeth https://pediatrics.a[...] 2004-04-01
[51] 웹사이트 Lead Toxicity: Who Is at Risk of Lead Exposure? https://www.atsdr.cd[...] U.S. Department of Health and Human Services 2007-08-20
[52] 참조 Grant (2009)
[53] 참조 Rubin, Strayer (2008)
[54] 학술지 Lead-related nephrotoxicity: a review of the epidemiologic evidence 2006-12-01
[55] 학술지 Occult lead intoxication in patients with gout and kidney disease 1984-08-01
[56] 학술지 Body lead stores and urate excretion in men with chronic renal disease 1994-04-01
[57] 학술지 Effect of low level lead exposure on hyperuricemia and gout among middle aged and elderly men: the normative aging study 2000-07-01
[58] 학술지 Lead exposure and cardiovascular disease--a systematic review 2007-03-01
[59] 학술지 Air pollution and heart rate variability: effect modification by chronic lead exposure 2008-01-01
[60] 참조 Grant (2009)
[61] 학술지 Teratogen update: lead and pregnancy 2005-06-01
[62] 학술지 Decreased brain volume in adults with childhood lead exposure 2008-05-01
[63] 학술지 The long-term effects of exposure to low doses of lead in childhood. An 11-year follow-up report 1990-01-11
[64] 참조 Casarett, Klaassen, Doull (2007)
[65] 학술지 Confounding and causation in the epidemiology of lead
[66] 학술지 Cumulative lead dose and cognitive function in adults: a review of studies that measured both blood lead and bone lead 2007-03-01
[67] 학술지 Very low lead exposures and children's neurodevelopment 2008-04-01
[68] 웹사이트 Research Links Lead Exposure to Changes in Violent Crime Rates Throughout the 20th century http://www.icfi.com/[...] ICF International
[69] 학술지 How lead exposure relates to temporal changes in IQ, violent crime, and unwed pregnancy https://mpra.ub.uni-[...] 2000-05-01
[70] 학술지 Understanding international crime trends: the legacy of preschool lead exposure https://mpra.ub.uni-[...] 2007-07-01
[71] 뉴스 Research links lead exposure, criminal activity https://www.washingt[...] 2007-07-08
[72] 논문 Lead and Juvenile Delinquency: New Evidence from Linked Birth, School and Juvenile Detention Records http://www.nber.org/[...] 2017-05-01
[73] 논문 Working to prevent lead poisoning in children: getting the lead out 2009-07-01
[74] 웹사이트 Protect Your Family from Sources of Lead https://www.epa.gov/[...] 2013-02-12
[75] 웹사이트 Parkinson s disease in occupational exposure to joss paper, a report of two cases https://www.research[...]
[76] 논문 Heavy metals emissions from joss paper burning rituals and the air quality around a specific incinerator
[77] 웹사이트 Health risk of aerosols and toxic metals from incense and joss paper burning https://www.research[...]
[78] 웹사이트 2013 Minerals Yearbook: LEAD https://minerals.usg[...]
[79] 논문 Lead poisoning cases spark riots in China 2009-09-01
[80] 웹사이트 Lead Poisoning: A Historical Perspective http://www2.epa.gov/[...] EPA 1985-05-01
[81] 간행물 Looney Gas and Lead Poisoning: A Short, Sad History https://www.wired.co[...] 2013-01-05
[82] 간행물 America's Real Criminal Element: Lead https://www.motherjo[...] 2013-01-01
[83] 뉴스 Did removing lead from petrol spark a decline in crime? https://www.bbc.com/[...] BBC 2014-04-20
[84] 논문 Next-generation ice core technology reveals true minimum natural levels of lead (Pb) in the atmosphere: Insights from the Black Death 2017-06-01
[85] 간행물 Humans Polluted the Air Much Earlier than Previously Thought http://www.smithsoni[...] 2017-06-02
[86] 웹사이트 Human Activity Has Polluted European Air for 2000 Years https://eos.org/scie[...] Eos Science News 2017-05-31
[87] 논문 Lead and mercury exposures: interpretation and action 2007-01-01
[88] 웹사이트 Mapping Our 'Pollution Landscape' https://www.resurgen[...]
[89] 서적 Dart, Hurlbut, Boyer-Hassen (2004)
[90] 논문 Lead exposure at firing ranges-a review 2017-04-01
[91] 웹사이트 Occupational health and safety – chemical exposure https://www.sbu.se/e[...] Swedish Agency for Health Technology Assessment and Assessment of Social Services (SBU) 2017-03-28
[92] 서적 Inorganic Lead Exposure and Intoxications https://books.google[...] CRC Press 1994
[93] 논문 Lead, zinc, and cadmium uptake, accumulation, and phytoremediation by plants growing around Tang-e Douzan lead–zinc mine, Iran http://dx.doi.org/10[...] 2018-01-10
[94] 논문 Soil Is an Important Pathway of Human Lead Exposure http://dx.doi.org/10[...] 1998-02-01
[95] 뉴스 Lead found in turmeric https://news.stanfor[...] 2019-09-24
[96] 뉴스 Researchers find lead in turmeric https://phys.org/new[...]
[97] 뉴스 Lead poisoning kills millions annually. One country is showing the way forward. https://www.vox.com/[...] 2023-09-20
[98] 논문 Food safety policy enforcement and associated actions reduce lead chromate adulteration in turmeric across Bangladesh 2023-09-01
[99] 웹사이트 Maximum Permitted Concentration of Certain Metals Present in Specified Foods https://www.elegisla[...]
[100] 웹사이트 Consumer Reports urges dark chocolate makers to reduce lead, cadmium levels https://www.yahoo.co[...] 2023-01-23
[101] 웹사이트 Dark chocolate is high in cadmium and lead. How much is safe to eat? https://www.wbur.org[...]
[102] 웹사이트 Lead-Tainted Marijuana Poisons Users https://abcnews.go.c[...]
[103] 논문 Lead poisoning due to adulterated marijuana in leipzig 2008-10-01
[104] 웹사이트 Cannabis may contain heavy metals and affect consumer health, study finds https://www.scienced[...]
[105] 뉴스 Unlicensed weed tainted with E. coli, lead and salmonella, study finds https://www.cbsnews.[...] 2022-12-01
[106] 논문
[107] 웹사이트 Study results: Malawi and Botswana https://leadeliminat[...] 2021-12-01
[108] 학술지 A rationale for lowering the blood lead action level from 10 to 2 microg/dL 2006-09-00
[109] 학술지 The prevalence of lead-based paint hazards in U.S. housing 2002-10-00
[110] 논문
[111] 논문
[112] 뉴스 The mystery of Caravaggio's death solved at last – painting killed him https://www.theguard[...] 2010-06-16
[113] 학술지 Absorption of lead from dust and soil 1975-11-00
[114] 웹사이트 Living with lead in Uruguay https://toxicnews.or[...] 2022-01-26
[115] 뉴스 For urban gardeners, lead is a concern https://www.nytimes.[...] 2009-05-13
[116] 논문
[117] 학술지 Interfacial solar evaporation driven lead removal from a contaminated soil 2021-09-05
[118] 논문
[119] 논문
[120] 논문
[121] 학술지 Reducing lead exposure from drinking water: recent history and current status
[122] 웹사이트 Alum Wins Investigative Reporting Award with Post Team http://www.journalis[...] University of Maryland 2005-02-25
[123] 뉴스 HONORS 2005-02-23
[124] 뉴스 This is how toxic Flint's water really is https://www.washingt[...] 2016-01-15
[125] 웹사이트 Flint's water crisis: 5 things to know http://edition.cnn.c[...] 2016-01-18
[126] 웹사이트 Wisconsin Senate Unanimously Passes Bill to Remove Lead Water Pipes https://www.wpr.org/[...] 2017-10-30
[127] 웹사이트 Infrastructure Investment and Jobs Act (IIJA): Drinking Water and Wastewater Infrastructure https://crsreports.c[...] Library of Congress 2022-01-04
[128] 학술지 Low level environmental lead exposure--a continuing challenge 2008-05-00
[129] 웹사이트 Lead Exposure in Last Century Shrank IQ Scores of Half of Americans https://today.duke.e[...]
[130] 웹사이트 Era of leaded petrol over, eliminating a major threat to human and planetary health https://www.unep.org[...]
[131] 뉴스 Mattel CEO: 'Rigorous standards' after massive toy recall http://www.cnn.com/2[...] CNN 2007-11-15
[132] 학술지 Lead Poisoning from Mexican Folk Remedies – California https://www.cdc.gov/[...] 1983-10-28
[133] 학술지 Lead shot in the appendix 2006-04-00
[134] 학술지 Blood lead levels in patients with lead shot retained in the appendix
[135] 학술지 Appendicectomy in an unusual case of lead poisoning 1986-03-00
[136] 학술지 Death of a child after ingestion of a metallic charm--Minnesota, 2006 2006-03-00
[137] 웹사이트 The Best Way To Solder Nitinol http://blogs.indium.[...] 2011-02-28
[138] 학술지 Lead bullet fragments in venison from rifle-killed deer: potential for human dietary exposure
[139] 학술지 Choreoathetosis secondary to lead toxicity 2008-09-00
[140] 학술지 A fatal case of lead poisoning due to a retained bullet 1983-06-00
[141] 논문 Increased lead absorption and lead poisoning from a retained bullet 1989-02-01
[142] 웹사이트 Doubts over MSG and Lead Content in Maggi Instant Noodles http://merofact.blog[...] 2015-05-19
[143] 뉴스 Beware! Eating 2 -Minute Maggi Noodles can ruin your Nervous System http://news.biharpra[...] news.biharprabha.com 2015-05-18
[144] 뉴스 Maggi Noodles Packets Recalled Across Uttar Pradesh, Say Food Inspectors: Report http://m.ndtv.com/in[...] 2015-05-20
[145] 뉴스 'Maggi' under regulatory scanner for lead, MSG beyond permissible limit https://timesofindia[...] 2015-05-16
[146] 뉴스 Delhi govt bans sales of Maggi from its stores: Report http://timesofindia.[...] 2015-06-03
[147] 뉴스 Gujarat bans Maggi noodles for 30 days http://timesofindia.[...] The Times Group 2015-06-04
[148] 뉴스 Future Group bans Maggi too: The two-minute death of an India's favourite noodle brand http://www.firstpost[...] 2015-06-03
[149] 웹사이트 Lead Statistics and Information http://minerals.usgs[...] U.S. Department of the Interior
[150] 웹사이트 Trumpeter Swan Society vs EPA https://www.cadc.usc[...]
[151] 웹사이트 Lead Exposure in Wisconsin Birds http://dnr.wi.gov/to[...] Wisconsin Department of Natural Resources 2008-09-03
[152] 뉴스 An Environmental Case for Biodegradable Bullets https://psmag.com/ma[...] 2018-02-08
[153] 논문 Hunting with lead: association between blood lead levels and wild game consumption 2009-11-01
[154] 웹사이트 Epi-AID Trip Report: Assessment of human health risk from consumption of wild game meat with possible lead contamination among the residents of the State of North Dakota http://www.rmef.org/[...] National Center for Environmental Health, Centers for Disease Control and Prevention: Atlanta, Georgia, USA.
[155] 논문 Led Astray 2020-08-01
[156] 논문 Rapid Review of Dermal Penetration and Absorption of Inorganic Lead Compounds for Occupational Risk Assessment https://academic.oup[...] 2022-04-01
[157] 서적 Inorganic Lead Exposure and Intoxications https://books.google[...] CRC Press 1994-11-22
[158] 참고문헌
[159] 참고문헌
[160] 참고문헌
[161] 웹사이트 Biomonitoring Summary, Lead https://www.cdc.gov/[...] CDC 2017-04-07
[162] 논문 Factors influencing bone lead concentration in a suburban community assessed by noninvasive K x-ray fluorescence. https://pubmed.ncbi.[...] 1994-01-19
[163] 논문 Toxicokinetics of bone lead. 1991-02-01
[164] 참고문헌
[165] 논문 New and evolving concepts in the neurotoxicology of lead 2007-11-01
[166] 서적 Reviews of Environmental Contamination and Toxicology
[167] 논문 Heavy metal induced oxidative stress & its possible reversal by chelation therapy 2008-10-01
[168] 참고문헌
[169] 참고문헌
[170] 참고문헌
[171] 논문 Is an electronic shield at the molecular origin of lead poisoning? A computational modeling experiment 2007-01-15
[172] 논문 The molecular mechanism of lead inhibition of human porphobilinogen synthase 2001-01-01
[173] 논문 Lead and delta-aminolevulinic acid dehydratase polymorphism: where does it lead? A meta-analysis 2007-01-01
[174] 웹사이트 Effect of Lead poisoning on heme biosynthetic pathway http://usmle.biochem[...] 2015-11-15
[175] 논문 Lead, chemical porphyria, and heme as a biological mediator 2002-02-01
[176] 논문
[177] 서적 Porphyrins: Their Biological and Chemical Importance https://books.google[...] Hilger & Watts, Hilger Division 1954
[178] 서적 Clinical Hepatology: Principles and Practice of Hepatobiliary Diseases https://books.google[...] Springer Science & Business Media 2009
[179] 학술지 Lead poisoning mimicking acute porphyria! 2014-12
[180] 학술지 Lead Poisoning Can Be Easily Misdiagnosed as Acute Porphyria and Nonspecific Abdominal Pain 2017
[181] 학술지 Hereditary Coproporphyria https://www.ncbi.nlm[...] 2020-02-28
[182] 학술지 Lead neurotoxicity in children: basic mechanisms and clinical correlates 2003-01
[183] 학술지 Neurotoxic effects and biomarkers of lead exposure: a review
[184] 웹사이트 How Lead Changes the Brain to Impair Learning and Memory, How Lead Changes the Brain to Impair Learning and Memory http://www.jhsph.edu[...] 2000-08-03
[185] 학술지 Effects of lead exposure on hippocampal metabotropic glutamate receptor subtype 3 and 7 in developmental rats 2009-04
[186] 논문
[187] 논문
[188] 웹사이트 Images of Memorable Cases: Case 81 http://cnx.org/conte[...] Connexions
[189] 학술지 Lead toxicity and heme biosynthesis 1980
[190] 서적 Kaplan Medical USMLE Steps 2 and 3 Notes: Internal Medicine, Hematology
[191] 서적 Wintrobe's Clinical Hematology Lippincott Williams & Wilkins 2014
[192] 논문
[193] 학술지 Mechanisms of lead-induced hypertension and cardiovascular disease 2008-08
[194] 논문
[195] 논문
[196] 학술지 A noninvasive isotopic approach to estimate the bone lead contribution to blood in children: implications for assessing the efficacy of lead abatement 2005-01
[197] 서적 Tietz Clinical Guide to Laboratory Tests Saunders Elsevier
[198] 웹사이트 Low Level Lead Exposure Harms Children: A Renewed Call for Primary Prevention https://www.cdc.gov/[...]
[199] 웹사이트 CDC - Adult Blood Lead Epidemiology and Surveillance (ABLES): Program Description: NIOSH Workplace Safety and Health Topic https://www.cdc.gov/[...] 2018-11-28
[200] 웹사이트 CDC - Adult Blood Lead Epidemiology and Surveillance (ABLES): Program Description: NIOSH Workplace Safety and Health Topic https://www.cdc.gov/[...] US Center for Disease Control 2017-08-10
[201] 웹사이트 Fourth National Report on Human Exposure to Environmental Chemicals. Updated Tables https://www.cdc.gov/[...] cdc.gov 2012-09
[202] 서적 Disposition of Toxic Drugs and Chemicals in Man Biomedical Publications
[203] 학술지 Identifying and managing adverse environmental health effects: 3. Lead exposure 2002-05
[204] 웹사이트 How to Test Paint With a DIY Lead Test Kit: CR's step-by-step guide to getting accurate results from 3M LeadCheck and D-Lead https://www.consumer[...] Consumer Reports 2017-10-15
[205] 논문
[206] 웹사이트 Lead Test Kits https://www.epa.gov/[...] 2013-02-12
[207] 웹사이트 DIY Lead Paint Test Kits Explained: Do They Really Work? https://jselabs.com/[...] 2020-08-27
[208] 간행물 National Environmental Public Health Tracking Network
[209] 학술지 Household interventions for secondary prevention of domestic lead exposure in children 2020-10-06
[210] 웹사이트 EPA Sets Tightest Lead Air Emission Standard https://web.archive.[...] eFluxMedia 2008-10-19
[211] 뉴스 Polluted Kansas Town Seeks Federal Buyout https://www.npr.org/[...] National Public Radio 2009-08-25
[212] 웹사이트 Treece Journal: Welcome to Our Town. Wish We Weren't Here https://www.nytimes.[...] 2009-09-13
[213] 웹사이트 10 Policies to Prevent and Respond to Childhood Lead Exposure http://www.pewtrusts[...] 2017-08-30
[214] 논문 Screening for Elevated Blood Lead Levels in Children and Pregnant Women: US Preventive Services Task Force Recommendation Statement 2019-04-00
[215] 논문 Screening for Elevated Blood Lead Levels in Children and Pregnant Women https://jamanetwork.[...] 2019-04-00
[216] 서적
[217] 서적
[218] 서적
[219] 서적
[220] 서적
[221] 서적
[222] 서적
[223] 서적 Sur l'emploi de l'iodure de potassium pour combattre les affections saturnines et mercurielles https://books.google[...]
[224] 간행물 On the Employment of Iodide of Potassium as a Remedy for the Affections Caused by Lead and Mercury https://www.ncbi.nlm[...]
[225] 서적
[226] 서적
[227] 서적
[228] 논문 Lead toxicity, a review of the literature. Part 1: Exposure, evaluation, and treatment 2006-03-00
[229] 논문 Global approach to reducing lead exposure and poisoning
[230] 논문 Chelation in metal intoxication 2010-07-00
[231] 논문 A comparison of sodium calcium edetate (edetate calcium disodium) and succimer (DMSA) in the treatment of inorganic lead poisoning 2009-11-00
[232] 논문 Provocative chelation with DMSA and EDTA: evidence for differential access to lead storage sites 1995-01-00
[233] 논문 Lead in drinking water 2008-07-00
[234] 논문 Lead encephalopathy due to traditional medicines 2008-01-00
[235] 웹사이트 The Removal of Lead from Gasoline http://www.unc.edu/c[...] University of North Carolina 1999-06-28
[236] 서적 Global health risks : mortality and burden of disease attributable to selected major risks. https://www.who.int/[...] World Health Organization
[237] 웹사이트 Legally-binding controls on lead paint https://www.who.int/[...]
[238] 서적 Life without lead : contamination, crisis, and hope in Uruguay https://www.worldcat[...] 2019
[239] 논문 Reducing acute poisoning in developing countries--options for restricting the availability of pesticides 2003-11-00
[240] 웹사이트 THE PUBLIC HEALTH IMPACT OF CHEMICALS: KNOWNS AND UNKNOWNS https://www.who.int/[...] 2016-05-23
[241] 논문 A global approach to childhood lead poisoning prevention https://zenodo.org/r[...] 2003-08-00
[242] 논문 Lead hazards for pregnant women and children: part 1: immigrants and the poor shoulder most of the burden of lead exposure in this country. Part 1 of a two-part article details how exposure happens, whom it affects, and the harm it can do 2008-10-00
[243] 논문 Trends in blood lead levels and blood lead testing among US children aged 1 to 5 years, 1988-2004 2009-03-00
[244] 논문 Lead toxicity: does the critical level of lead resulting in adverse effects differ between adults and children?
[245] 논문 Blood lead levels and their associated risk factors in Chinese adults from 1980 to 2018 https://www.scienced[...]
[246] 뉴스 China to relocate 15,000 from lead-poisoned area https://news.yahoo.c[...] AFP 2009-10-16
[247] 뉴스 China to move residents from lead smelter base-report https://www.reuters.[...] Reuters 2009-10-18
[248] 뉴스 Aid groups say lead poisoning has killed 400 children in Nigeria http://edition.cnn.c[...] 2010-10-05
[249] 서적 Chisolm (2004)
[250] 논문 Lead 2004-04
[251] 논문 Update on the clinical management of childhood lead poisoning 2007-04
[252] 서적 Brunton (2007)
[253] 서적 Merrill, Morton, Soileau (2007)
[254] 논문 The epidemiology of lead toxicity in adults: measuring dose and consideration of other methodologic issues 2007-03
[255] 논문 Recommendations for medical management of adult lead exposure 2007-03
[256] 논문 Association of lead-exposure risk and family income with childhood brain outcomes 2020-01
[257] 논문 Childhood Lead Exposure May Affect Personality, Mental Health in Adulthood https://jamanetwork.[...] 2019-03-27
[258] 논문 A General Theory of Crime. By Michael R. Gottfredson and Travis Hirschi. Stanford University Press, 1990. 297 pp. Cloth $39.50; paper $12.95 http://dx.doi.org/10[...] 1992-12-01
[259] 논문 Environmental causes of violence http://www.sciencedi[...] 2010-02-09
[260] 논문 The urban rise and fall of air lead (Pb) and the latent surge and retreat of societal violence http://www.sciencedi[...] 2012-08-01
[261] 논문 Low level lead exposure: history and discovery 2009-04
[262] 서적 A History of Medicine, Volume 3 Of Roman Medicine Horatius Press
[263] 논문 The severe gout of Emperor Charles V 2006-11
[264] 서적 Hodge (1992)
[265] 비디오 Tales of the Living Dead: Poisoned Roman Babies Brighton TV for National Geographic 2004
[266] 논문 Saturnine gout among Roman aristocrats. Did lead poisoning contribute to the fall of the Empire? 1983-03
[267] 논문 The Myth of Lead Poisoning Among the Romans: An Essay Review 1984-10
[268] 논문 Lead in ancient Rome's city waters 2014-05
[269] 웹사이트 Ancient Rome's tap water heavily contaminated with lead, researchers say https://www.theguard[...] 2014-04-21
[270] 웹사이트 Lead in Ancient Rome's Water Was 100 Times Natural Levels http://blogs.discove[...]
[271] 논문 Lead poisoning in a historical perspective 2000-09
[272] 논문 Chronologic history of occupational medicine 2005-02
[273] 웹사이트 The mystery of Caravaggio's death solved at last – painting killed him https://www.theguard[...] 2010-06-16
[274] 논문 Lead and wine. Eberhard Gockel and the colica Pictonum 1982-07
[275] 논문 A Preliminary Investigation of Lead Poisoning in a Napoleonic Era Naval Cemetery in Antigua, W.I. http://journal.field[...] 2012-10
[276] 서적 Death by Migration: Europe's Encounter with the Tropical World in the Nineteenth Century Cambridge University Press 1989-11
[277] 서적 The First American: The Life and Times of Benjamin Franklin Anchor Books
[278] 웹사이트 Benjamin Franklin's Lead Letter, History's Lead Story http://www.fi.edu/le[...] 2010
[279] 논문 Beethoven's terminal illness and death 2006-10
[280] 뉴스 Study Concludes Beethoven Died From Lead Poisoning https://www.washingt[...] 2005-12-06
[281] 뉴스 Locks of Beethoven's Hair Offer New Clues to the Mystery of His Deafness https://www.nytimes.[...] 2024-05-06
[282] 웹사이트 Stoke Museums - Health Risks in a Victorian Pottery Industry http://www.stokemuse[...] 2012-07-07
[283] 웹사이트 Timeline - History of Occupational Safety and Health https://www.historyo[...]
[284] 서적 Leadless Decorative Tiles, Faience, and Mosaic, comprising notes and receipts on the History, Materials, Manufacture & Use of Ornamental Flooring Tiles, Ceramic Mosaic, and Decorative Tiles and Faience W.J. Furival, Stone, Staffordshire
[285] 논문 Lead Poisoning in Illinois 1911-04-01
[286] 서적 Industrial Toxicology University of Michigan
[287] 참고문헌
[288] 서적 The Art of Carol Janeway Friesen Press
[289] 참고문헌
[290] 참고문헌
[291] 서적 Environmental Science https://archive.org/[...] Jones & Bartlett
[292] 논문 Blood lead levels in low-income and middle-income countries: a systematic review 2021-03-01
[293] 참고문헌
[294] 웹사이트 Lead Toxicity Cover Page https://www.atsdr.cd[...] U.S. Department of Health and Human Services 2007-08-20
[295] 서적 Toxic Truth: a scientist, a Doctor, and the battle over Lead https://archive.org/[...] Beacon Press
[296] 서적 Academic Duty https://archive.org/[...] Harvard University Press 1997
[297] 논문 Standing up to the lead industry: an interview with Herbert Needleman. Interview by David Rosner and Gerald Markowitz http://www.publichea[...] 2005-05-01
[298] 웹사이트 Lead Poisoning Prevention Panel Influenced by Industry http://www.ucsusa.or[...] Union of Concerned Scientists 2004-02-08
[299] 웹사이트 Turning Lead Into Gold: How the Bush Administration is Poisoning the Lead Advisory Committee at the CDC http://www.house.gov[...] 2002-10-08
[300] 웹사이트 Lead Paint Companies Hit With Billion Dollar Judgment in California Public Nuisance Case https://media2.mofo.[...]
[301] 웹사이트 The People v. ConAgra Grocery Products Company et al. http://appellatecase[...] Judicial Council of California 2017-11-14
[302] 논문 Did the elimination of lead from petrol reduce crime in the USA in the 1990s? 2013
[303] 뉴스 How 2 Industries Stymied Justice for Young Lead Paint Victims https://www.nytimes.[...] 2022-03-29
[304] 논문 Raptor toxicology 2008-05-01
[305] 참고문헌
[306] 논문 Metabolism and toxicity of cadmium, mercury, and lead in animals: a review 1975-12-01
[307] 논문 Pet bird toxicity and related environmental concerns 2008-05-01
[308] 논문 Recent and chronic exposure of wild ducks to lead in human-modified wetlands in Santa Fe Province, Argentina 2009-07-01
[309] 간행물 Federal Cartridge Company Waterfowl and Steel Shot Guide. Volume I
[310] 논문 Lead poisoning: using transdisciplinary approaches to solve an ancient problem 2008-09-01
[311] 논문 Waterfowl toxicology: a review 2008-05-01
[312] 논문 Effectiveness of action to reduce exposure of free-ranging California condors in Arizona and Utah to lead from spent ammunition
[313] 웹사이트 Lead poisoning: What parents should know and do https://www.health.h[...] 2023-05-01
[314] 서적 毒の科学 毒と人間のかかわり ナツメ社
[315] 논문 航空機用燃料タンク清掃作業において発生した四エチル鉛中毒 1975
[316] 웹사이트 鉛ハンドブック 改訂第三版 3.人体への影響 https://jlzda.gr.jp/[...] 日本鉱業協会 鉛亜鉛需要開発センター 2019-08-29
[317] 논문 The association of environmental toxicants and autism spectrum disorders in children.
[318] 논문 Gut Dysbiosis in Animals Due to Environmental Chemical Exposures.
[319] 논문 金属曝露と神経発達症
[320] 논문 四エチール鉛中毒屍2例に於ける各重要臟器鉛含有量
[321] 웹사이트 鉛の毒性に関する知見について https://www.mhlw.go.[...]
[322] 뉴스 血中鉛濃度が高いほど問題行動も多い https://medical.nikk[...] 日経メディカルオンライン 2014-07-22
[323] 서적 毒の化学 ナツメ社
[324] 웹사이트 重金属中毒 http://akimichi.home[...] 2014-08-18
[325] 논문 子宮内鉛曝露と出生時体重の関連 乳歯切歯エナメル質を用いた評価
[326] 논문 鉛汚染の高い哺乳子牛に対するエデト酸二ナトリウムカルシウム投与の影響 の静脈注射・点滴
[327] 논문 鉛貧血におけるCaEDTAの鉛排泄効果
[328] 웹사이트 道路用塗料:路面標示用塗料 http://www.shintopai[...] 神東塗料株式会社
[329] 논문 鉛中毒が発生した農場における哺乳子牛の鉛汚染の実態
[330] 논문 現在も発生する塗装工の鉛中毒
[331] 논문 陶磁器用絵具による犬・猫の鉛中毒例
[332] 논문 インスリン非依存型糖尿病に発症した漢方薬 (珍氏降糖) による鉛中毒
[333] 논문 ジェンツーペンギンにみられた鉛中毒
[334] 논문 散弾銃による胸腹部損傷の1例
[335] 논문 鉛銃弾遺残症例の検討--とくに鉛中毒からみて
[336] 논문 誤嚥による鉛中毒の1例
[337] 논문 腹痛を呈した鉛中毒の2例
[338] 웹사이트 鳥類の鉛中毒事故の防止について https://www.env.go.j[...] 環境省 2000-01-21
[339] 웹사이트 鉛弾の所持の禁止について http://www.pref.hokk[...] 北海道
[340] 웹사이트 鉛製給水管布設替えに関する手引き https://www.mhlw.go.[...] 厚生労働省 2012-03
[341] 웹사이트 鉛製給水管について http://www.ibananww.[...] 茨城県南水道企業団
[342] 웹사이트 給水管について https://www.waterwor[...] 東京都水道局
[343] 웹사이트 Heavy metals found in popular brands of dark chocolate https://www.health.h[...] 2023-03-01
[344] 웹사이트 Lead and Cadmium Could Be in Your Dark Chocolate https://www.consumer[...]
[345] 웹사이트 Lead and Cadmium Could Be in Your Dark Chocolate https://www.consumer[...]
[346] 서적
[347] 서적 ポンペイの滅んだ日 東洋書林
[348] 논문 Heavy metal induced oxidative stress & its possible reversal by chelation therapy
[349] 서적
[350] 논문 A rationale for lowering the blood lead action level from 10 to 2 μg/dL



본 사이트는 AI가 위키백과와 뉴스 기사,정부 간행물,학술 논문등을 바탕으로 정보를 가공하여 제공하는 백과사전형 서비스입니다.
모든 문서는 AI에 의해 자동 생성되며, CC BY-SA 4.0 라이선스에 따라 이용할 수 있습니다.
하지만, 위키백과나 뉴스 기사 자체에 오류, 부정확한 정보, 또는 가짜 뉴스가 포함될 수 있으며, AI는 이러한 내용을 완벽하게 걸러내지 못할 수 있습니다.
따라서 제공되는 정보에 일부 오류나 편향이 있을 수 있으므로, 중요한 정보는 반드시 다른 출처를 통해 교차 검증하시기 바랍니다.

문의하기 : help@durumis.com