내장 역위증
"오늘의AI위키"의 AI를 통해 더욱 풍부하고 폭넓은 지식 경험을 누리세요.
1. 개요
내장 역위증은 흉강과 복강 내 장기의 위치가 정상과 반대인 드문 질환이다. 레오나르도 다빈치가 우심증을 묘사한 것이 최초 보고이며, 유전적 요인, 특히 섬모의 기능 이상과 관련이 있다. 내장 역위증은 원발성 섬모 운동 이상증, 카타게너 증후군과 연관되며, 임신 중 코로나19 감염과의 연관성도 제기된다. 진단은 영상 기술을 통해 이루어지며, 치료는 증상 완화에 초점을 맞춘다. 유명인과 가상 인물 중에도 내장 역위증을 가진 사례가 존재한다.
더 읽어볼만한 페이지
- 운동 기능 - 왼손잡이
왼손잡이는 왼손을 주로 사용하는 사람으로, 유전적, 환경적 요인 등 복합적인 원인으로 발생하며 오른손잡이 중심 사회에서 불편함을 겪지만 특정 분야에서 강점을 보이기도 한다. - 운동 기능 - 양손잡이
양손잡이는 두 손을 모두 능숙하게 사용하는 사람을 의미하며, 라틴어 어원에서 유래되었고, 선천적 또는 훈련이나 환경에 의해 형성되며, 스포츠, 창작 활동, 의료 분야 등에서 장점을 보인다. - 선천성 질환 - 혈관성 치매
혈관성 치매는 뇌혈관 질환으로 뇌 조직 손상으로 인해 인지 기능이 저하되는 치매 유형으로, 기억력 감퇴, 운동 장애, 행동 변화, 언어 문제 등의 증상을 보이며, 심혈관계 질환 및 생활 습관, 유전자형 등이 위험 요인이고, 기저 질환 관리로 진행을 늦추고 증상을 완화하는 것을 목표로 한다. - 선천성 질환 - 엘러스-단로스 증후군
엘러스-단로스 증후군은 유전적 돌연변이로 인해 결합 조직에 영향을 미치는 질환군으로, 관절 과운동성, 피부 과신장성, 혈관 취약성 등의 증상을 보이며, 증상 완화를 위한 보조적인 관리가 주된 치료법이다. - 상염색체 열성 질환 - 윌슨병
윌슨병은 구리가 간과 뇌에 축적되어 발생하는 유전 질환으로, ATP7B 유전자 돌연변이가 원인이며, 간 기능 장애, 신경정신과적 증상, 카이저-플라이셔 고리 등의 증상이 나타난다. - 상염색체 열성 질환 - 색소성 건피증
색소성 건피증은 자외선에 손상된 DNA 복구 기능 저하로 발생하는 유전 질환으로, 햇빛 과민반응, 피부암, 신경계 이상을 유발하며, 자외선 차단과 피부암 예방을 주요 치료 목표로 하는 '어둠의 아이들'이라고도 불리는 질환이다.
| 내장 역위증 | |
|---|---|
| 질병 개요 | |
![]() | |
| 분야 | 의학유전학 |
| 빈도 | 0.01% |
| 질병 명칭 | |
| 영어 | situs inversus, situs transversus, oppositus |
| 어원 | (오른쪽 심장) |
| 특징 | |
| 원인 | 유전자 |
| 관련 질병 | 카르타헤너 증후군 (일부) |
| 기타 | |
| 참고 | http://www.medicinenet.com/script/main/art.asp?articlekey=5499 http://emedicine.medscape.com/article/413679-overview https://www.cnn.co.jp/fringe/35135498-2.html |
2. 역사
레오나르도 다빈치가 우심증(흉강의 오른쪽에 심장이 위치해 있는 증상)을 처음 보고 묘사했으며(1452~1519년), 마르코 아우렐리오 세베리노가 1643년에 인지했다. 매튜 베일리가 내장 역위증을 처음으로 기술했다.[35]
2. 1. 서양
우심증(심장이 흉강의 오른쪽에 위치)은 레오나르도 다 빈치가 관찰하고 그렸으며, 1643년 마르코 아우렐리오 세베리노가 인식했다. 내장 역위증은 한 세기 이상이 지난 후 매튜 베일리가 처음으로 기술했다.[2]3. 원인
내장 역위증은 원발성 섬모 운동 이상(PCD)과 같은 특정 질환과 연관되어 발생할 수 있다. PCD는 초기 배아 발달 과정에서 섬모의 기능 장애로 인해 발생하며, 이로 인해 내부 장기의 위치가 정상과 반대로 배치될 확률이 50%이다.
3. 1. 유전학적 요인
내장 역위증은 우성 유전자에 의한 것이지만 반성 유전이거나 일란성 거울상 쌍둥이로 발견될 수 있다.[36][37] 상염색체 열성 유전 질환이지만, X 염색체 연관되거나 일란성 "거울상" 쌍둥이에서 발견될 수 있다.[5]내장 역위증 환자의 약 25%는 원발성 섬모 운동 이상(PCD)이라는 기저 질환을 앓고 있다. PCD는 초기 배아 발달 동안 발생하는 섬모의 기능 장애이다. 정상적으로 기능하는 섬모는 초기 발달 동안 내부 기관의 위치를 결정하므로, PCD가 있는 배아는 내장 역위증이 발생할 확률이 50%이다. 만약 내장 역위증이 발생하면, 이는 카타게너 증후군으로, ''내장 역위증'', 만성 부비동염, 그리고 기관지 확장증의 삼징으로 특징지어진다. 섬모는 또한 폐에서 점액을 제거하는 역할을 하며, 기능 장애는 폐 감염에 대한 감수성을 증가시킨다. 카타게너 증후군은 또한 정자 편모의 적절한 기능에 기능적인 섬모가 필요하기 때문에 남성 불임으로 나타날 수 있다.


중국의 제로 코로나19 정책 해제 후 몇 달 동안 사례가 현저하게 증가했으며, 이는 SARS-CoV-2 감염 증가와 일치했다. 이 희귀한 임상 증거는 임신 중 감염과 태아의 내장 역위증 발생 사이의 가능한 연관성을 시사하며, 특히 기관 위치 결정의 중요한 시기인 임신 4~6주차 동안에 발생한다.[6]
내장 역위는 원발성 섬모 운동 불능증(Primary Ciliary Dyskinesia: '''PCD''')、섬모 부동 증후군[21] 또는 '''카르타게너 증후군'''(Kartagener Syndrome)과 강한 인과 관계가 있는 것으로 밝혀졌다. 섬모 부동 증후군 환자는 그 약 절반이 내장 역위를 나타낸다. 섬모의 다이닌 팔의 결손으로 발생하는 PCD 환자의 약 50%는 카르타게너 증후군의 임상상을 보이며, 그 세 가지 특징은 부비동염, 기관지 확장증, 내장 역위이다.
HFH-4 녹아웃 마우스[22]나 DNAH5 변이 마우스[23]는 섬모의 이상과 함께 절반이 내장 역위를 나타낸다. 마찬가지로 마우스를 사용한 연구에 따르면, 내장의 좌우는 발생 초기의 원시 융기의 활동에 의해 결정된다[24]。다양한 척추 동물의 배아의 현미경 관찰 결과에 따르면, 배아의 원시 융기 주변에서는 섬모가 고속으로 회전함으로써 물의 흐름이 발생하며, 이것에 의해 신체의 좌우가 결정된다고 한다[25]。카르타게너 증후군 개체는 섬모의 이상으로 인해 물의 흐름을 만들 수 없어, 신체의 좌우가 무작위로 결정된다고 생각된다[26]。
3. 2. 발생학적 요인
내장 역위증은 상염색체 열성 유전 질환이지만, X 염색체 연관되거나 일란성 "거울상" 쌍둥이에서 발견될 수 있다.[5]내장 역위증 환자의 약 25%는 원발성 섬모 운동 이상(PCD)이라는 기저 질환을 앓고 있다. PCD는 초기 배아 발달 과정에서 섬모의 기능에 장애가 발생하는 것이다. 정상적인 섬모는 초기 발달 단계에서 내부 기관의 위치를 결정하는 역할을 하므로, PCD가 있는 배아는 내장 역위증이 발생할 확률이 50%이다. 내장 역위증이 발생하면, 이는 카타게너 증후군으로 분류되며, ''내장 역위증'', 만성 부비동염, 기관지 확장증의 세 가지 징후(삼징)로 특징지어진다. 섬모는 폐에서 점액을 제거하는 역할도 하는데, 기능 장애가 발생하면 폐 감염에 취약해진다. 또한 카타게너 증후군은 정자 편모의 정상적인 기능에 섬모가 필요하기 때문에 남성 불임을 유발할 수 있다.
마우스를 이용한 연구에 따르면, 내장의 좌우 위치는 발생 초기 원시 융기의 활동에 의해 결정된다.[24] 여러 척추동물 배아의 현미경 관찰 결과, 배아의 원시 융기 주변에서 섬모가 빠르게 회전하며 물의 흐름을 만들고, 이를 통해 신체의 좌우가 결정된다고 알려져 있다.[25] 카타게너 증후군 환자는 섬모의 이상으로 인해 이러한 물의 흐름을 생성할 수 없어, 신체의 좌우가 무작위로 결정되는 것으로 추정된다.[26]
4. 증상 및 해부학적 영향
내장 역위증이 있는 사람은 선천성 심장 질환이 없는 경우 항상성을 유지하며, 의학적 상태와 관련된 합병증 없이 표준적이고 건강한 삶을 살 수 있다. 전내장 역위증 환자의 5~10%는 대혈관 전위와 같은 선천성 심장 질환을 겪는다. 심첨부 편위가 있는 ''내장 역위증''의 경우 선천성 심장 질환 발생률은 95%이다.
''전내장 역위증'' 환자 중 많은 사람들은 갈비뼈 골절이나 충수염과 같은 관련 없는 질환으로 의료 서비스를 받기 전까지 자신의 특이한 해부학적 구조를 인지하지 못한다. 또한 특정 약물을 투여하거나 바륨 식사 또는 관장과 같은 검사 중에 발견될 수도 있다.[3] 장기의 역위는 많은 징후와 증상이 비정상적인 측면에 나타나기 때문에 혼란을 야기할 수 있는데, 예를 들어 ''내장 역위증'' 환자가 충수염에 걸리면 충수가 왼쪽에 위치하기 때문에 왼쪽 하복부 통증을 호소하며 의사를 찾을 것이다.[4] 따라서 의학적 문제가 발생할 경우, 환자가 ''내장 역위증''을 가지고 있다는 사실을 알고 있으면 진단을 신속하게 할 수 있다. 이 희귀 질환을 가진 사람들은 검사 전에 의사에게 알려야 의사가 심장음과 기타 징후를 찾는 방향을 바꿀 수 있다. 의료 신분증을 착용하면 환자가 의사소통을 할 수 없는 경우 의료 서비스 제공자에게 알리는 데 도움이 될 수 있다.
''내장 역위증''은 장기 이식 수술을 복잡하게 만드는데, 기증 장기는 ''정상'' 기증자에서 나올 가능성이 더 높기 때문이다. 심장과 간은 카이랄성을 가지므로 거울상으로 형성된 강 내에 장기를 배치할 때 기하학적 문제가 발생한다. 예를 들어, 심장 이식이 필요한 사람은 모든 대혈관을 기증자 심장에 다시 연결해야 하는데, ''내장 역위증'' 환자에서 이러한 혈관의 방향이 반전되어 혈관이 제대로 연결되도록 하는 조치가 필요하다.
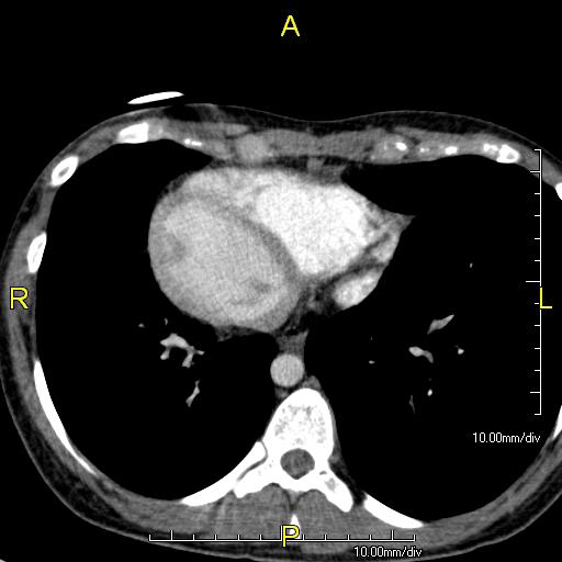
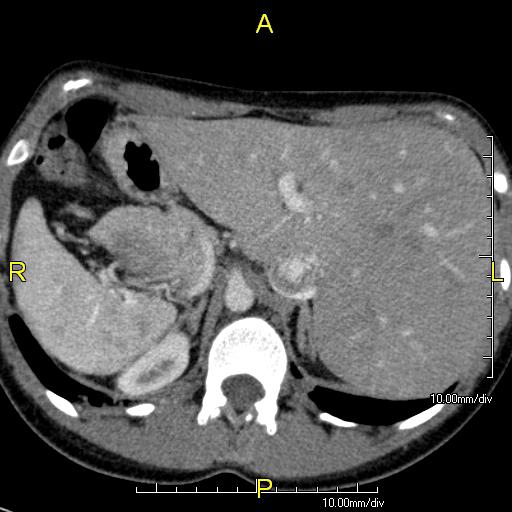
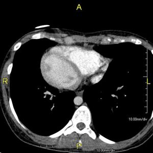
이 상태는 흉강과 복강 내의 모든 주요 구조에 영향을 미친다. 일반적으로 장기는 단순히 시상면을 통해 전위된다. 심장은 흉강의 오른쪽에 위치하고, 위와 비장은 복부의 오른쪽에 위치하며, 간과 담낭은 왼쪽에 위치한다. 심장의 정상적인 오른 심방은 왼쪽에, 왼 심방은 오른쪽에 위치한다. 폐의 해부학적 구조는 반전되어 왼쪽 폐는 세 개의 엽을 가지고 있는 반면, 오른쪽 폐는 두 개의 엽을 가지고 있다. 내장 및 기타 내부 구조 또한 정상과 반전되어 있으며, 혈관, 신경, 림프관 역시 전위된다.
심장이 흉강의 오른쪽으로 바뀌면 이를 "우심증을 동반한 ''내장 역위증''" 또는 "''완전 내장 역위증''"이라고 한다. 심장이 흉강의 정상적인 왼쪽에 남아 있는 경우(일반 인구의 200만 명 중 1명 꼴로 매우 드문 상태) 이를 "좌심증을 동반한 ''내장 역위증''" 또는 "''불완전 내장 역위증''"이라고 한다.
내장 역위는 원발성 섬모 운동 이상증(PCD), 섬모 부동 증후군[21] 또는 카르타게너 증후군과 강한 인과 관계가 있는 것으로 밝혀졌다. 섬모 부동 증후군 환자는 그 약 절반이 내장 역위를 나타낸다. 섬모의 다이닌 팔의 결손으로 발생하는 PCD 환자의 약 50%는 부비동염, 기관지 확장증, 내장 역위의 세 가지 특징을 보이는 카르타게너 증후군의 임상상을 보인다.
HFH-4 녹아웃 마우스[22]나 DNAH5 변이 마우스[23]는 섬모의 이상과 함께 절반이 내장 역위를 나타낸다. 마찬가지로 마우스를 사용한 연구에 따르면, 내장의 좌우는 발생 초기의 원시 융기의 활동에 의해 결정된다.[24] 다양한 척추 동물의 배아의 현미경 관찰 결과, 배아의 원시 융기 주변에서는 섬모가 고속으로 회전함으로써 물의 흐름이 발생하며, 이것에 의해 신체의 좌우가 결정된다고 한다.[25] 카르타게너 증후군 개체는 섬모의 이상으로 인해 물의 흐름을 만들 수 없어, 신체의 좌우가 무작위로 결정되는 것으로 생각된다.[26]
4. 1. 전신 영향
내장 역위증이 있는 사람들은 선천성 심장 결손이 없는 경우, 건강에 특별한 문제가 없이 정상적인 생활을 할 수 있다. 전내장 역위증 환자의 5~10%는 대혈관 전위와 같은 선천성 심장 질환을 겪는다. 심첨부 편위를 동반한 내장 역위증의 경우, 선천성 심장 질환 발생률은 95%에 달한다.[3]많은 전내장 역위증 환자들은 갈비뼈 골절이나 충수염과 같은 다른 질환으로 병원을 찾기 전까지는 자신의 특이한 신체 구조를 알지 못한다. 장기가 뒤바뀌어 있기 때문에, 예를 들어 내장 역위증 환자가 충수염에 걸리면 왼쪽 아랫배에 통증을 느끼게 된다.[4] 따라서 내장 역위증 환자라는 사실을 미리 알면 진단에 도움이 된다. 의료 신분증을 착용하면 응급 상황에서 의료진에게 이 사실을 알릴 수 있다.
내장 역위증은 장기 이식 수술을 복잡하게 만들 수 있다. 기증 장기는 대개 정상 위치에 있기 때문에, 심장이나 간과 같이 비대칭적인 장기를 이식할 때 문제가 발생한다. 예를 들어, 심장 이식이 필요한 내장 역위증 환자는 모든 대혈관을 기증자의 심장에 다시 연결해야 하는데, 혈관의 방향이 반대이므로 이를 위한 조치가 필요하다.
이 상태는 흉강과 복강 내의 모든 주요 장기에 영향을 미친다. 일반적으로 장기는 시상면을 기준으로 좌우가 바뀐다. 심장은 흉강의 오른쪽에, 위와 비장은 복부의 오른쪽에, 간과 담낭은 왼쪽에 위치한다. 심장의 정상적인 오른 심방은 왼쪽에, 왼 심방은 오른쪽에 위치한다. 폐의 구조도 바뀌어 왼쪽 폐는 세 개의 엽, 오른쪽 폐는 두 개의 엽을 가진다. 혈관, 신경, 림프관을 포함한 다른 내부 구조도 마찬가지로 좌우가 바뀐다.
심장이 흉강의 오른쪽에 있는 경우를 "우심증을 동반한 내장 역위증" 또는 "완전 내장 역위증"이라고 한다. 심장이 흉강의 왼쪽에 남아있는 매우 드문 경우(200만 명 중 1명 꼴)는 "좌심증을 동반한 내장 역위증" 또는 "불완전 내장 역위증"이라고 한다.
시신경 유두의 내장 역위증은 한쪽 또는 양쪽 눈에 나타날 수 있으며, 양안시 및 입체시 감소와 관련되어 단안 고정 증후군과 유사하다. 이는 시신경 유두가 기울어져 있고, 망막 혈관이 측두면이 아닌 비측면에서 나오는 비정상적인 방향을 보이는 특징이 있다.[7]
내장 역위증은 왼손잡이 비율에 큰 영향을 주지 않는 것으로 보인다. 2004년 연구에 따르면, 내장 역위증 환자 중 오른손잡이 비율은 정상 내장을 가진 사람들과 유의미한 차이가 없었다.[8] 그러나 2023년 연구에서는 왼손잡이 비율이 일반 인구(10.6%)보다 높은 26%로 나타났다.[9]
내장 역위는 원발성 섬모 운동 이상증(PCD), 섬모 부동 증후군[21] 또는 카르타게너 증후군과 관련이 있다. 섬모 부동 증후군 환자의 약 절반은 내장 역위를 보인다. 섬모의 다이닌 팔 결손으로 발생하는 PCD 환자의 약 50%는 부비동염, 기관지 확장증, 내장 역위의 세 가지 특징을 보이는 카르타게너 증후군 증상을 나타낸다.
HFH-4 녹아웃 마우스[22]나 DNAH5 변이 마우스[23]는 섬모 이상과 함께 절반이 내장 역위를 보인다. 마우스 연구에 따르면, 내장의 좌우는 발생 초기 원시 융기의 활동에 의해 결정된다.[24] 여러 척추 동물 배아의 현미경 관찰 결과, 배아 원시 융기 주변에서 섬모가 빠르게 회전하여 물의 흐름을 만들고, 이것이 신체의 좌우를 결정한다고 한다.[25] 카르타게너 증후군 개체는 섬모 이상으로 물의 흐름을 만들 수 없어, 신체의 좌우가 무작위로 결정되는 것으로 생각된다.[26]
4. 2. 좌심증 동반 내장 역위증
좌심증을 동반한 ''내장 역위증''은 심장이 흉강의 정상적인 왼쪽에 남아 있는 경우를 말하며, 일반 인구의 200만 명 중 1명 꼴로 매우 드문 상태이다. ''불완전 내장 역위증''이라고도 한다.4. 3. 시신경 유두 이상
시신경 유두의 내장 역위증은 한쪽 또는 양쪽 모두에서 나타날 수 있으며, 양쪽 눈을 함께 사용하는 능력(양안시)과 깊이를 인지하는 능력(입체시)이 떨어지는 것과 관련이 있는데, 이는 단안 고정 증후군과 비슷하다. 이 증상은 시신경 유두가 기울어져 있고, 망막 혈관이 비정상적인 방향(옆쪽이 아닌 코쪽)에서 나오는 특징을 보인다.[7]4. 4. 왼손잡이 비율
원발성 섬모 운동 이상증 환자에서 ''내장 역위증''을 기록한 2004년 연구에 따르면, 내장 역위증 환자 중 오른손잡이의 비율은 정상 내장 환자와 유의미한 차이를 보이지 않았다.[8] 2023년 연구에서는 인지 능력의 통계적으로 유의미한 차이를 발견하지 못했지만, 왼손잡이 비율은 일반 인구의 10.6%에 비해 26%로 유의하게 더 높았다.[9]5. 진단 및 치료
잠재적인 치료는 환자의 내장 기관을 완전히 그리고 매우 침습적으로 재배치하는 수술을 포함하지만, ''내장 역위증''은 추가적인 증상을 거의 유발하지 않으므로 이러한 절차는 불필요하다. 의료 전문가들은 ''내장 역위증'' 환자에게 의료적 또는 외과적 치료를 처방하지 않고, 대신 환자의 독특한 해부학적 구조를 인지하면서 환자가 겪을 수 있는 다른 증상을 치료한다.
5. 1. 진단
내장 역위증이 있는 사람은 선천성 심장 결손이 없는 경우 항상성을 유지하며, 의학적 상태와 관련된 합병증 없이 표준적이고 건강한 삶을 살 수 있다. ''전내장 역위증'' 환자의 경우 선천성 심장 질환 유병률은 5~10%이며, 가장 흔한 질환은 대혈관 전위이다. 심첨부 편위가 있는 ''내장 역위증''의 경우 선천성 심장 질환의 발생률은 95%이다.''전내장 역위증'' 환자 중 많은 사람들은 갈비뼈 골절이나 충수염과 같은 관련 없는 질환으로 의료 서비스를 받기 전까지 자신의 특이한 해부학적 구조를 인지하지 못한다. 또한 특정 약물을 투여하거나 바륨 식사 또는 관장과 같은 검사 중에 발견될 수도 있다.[3] 장기의 역위는 많은 징후와 증상이 비정상적인 측면에 나타나기 때문에 혼란을 야기할 수 있다. 예를 들어, ''내장 역위증'' 환자가 충수염에 걸리면 충수가 왼쪽에 위치하기 때문에 왼쪽 하복부 통증을 호소하며 의사를 찾을 것이다.[4] 따라서 의학적 문제가 발생할 경우, 환자가 ''내장 역위증''을 가지고 있다는 사실을 알고 있으면 진단을 신속하게 할 수 있다. 이 희귀 질환을 가진 사람들은 검사 전에 의사에게 알려야 의사가 심장음과 기타 징후를 찾는 방향을 바꿀 수 있다. 의료 신분증을 착용하면 환자가 의사소통을 할 수 없는 경우 의료 서비스 제공자에게 알리는 데 도움이 될 수 있다.
''내장 역위증''은 또한 장기 이식 수술을 복잡하게 만든다. 기증 장기는 ''정상'' 기증자에서 나올 가능성이 더 높기 때문이다. 심장과 간은 카이랄성을 가지므로 거울상으로 형성된 강 내에 장기를 배치할 때 기하학적 문제가 발생한다. 예를 들어, 심장 이식이 필요한 사람은 모든 대혈관을 기증자 심장에 다시 연결해야 한다. 그러나 ''내장 역위증'' 환자의 경우 이러한 혈관의 방향이 반전되어 혈관이 제대로 연결되도록 하는 조치가 필요하다.
''내장 역위증''의 진단은 영상 기술, 예를 들어 X-레이, 초음파, CT 스캔, 자기 공명 영상 (MRI) 등을 사용하여 내릴 수 있다.[10]
5. 2. 치료
내장 역위증의 진단은 X-레이, 초음파, CT 스캔, 자기 공명 영상(MRI) 등의 영상 기술을 사용하여 내릴 수 있다.[10]내장 역위증은 추가적인 증상을 거의 유발하지 않기 때문에, 환자의 내장 기관을 완전히 재배치하는 수술은 매우 침습적이며 불필요하다. 의료 전문가들은 내장 역위증 환자에게 의료적 또는 외과적 치료를 처방하지 않고, 대신 환자의 독특한 해부학적 구조를 인지하면서 환자가 겪을 수 있는 다른 증상을 치료한다.
6. 내장 역위증을 가진 유명인 및 가상 인물
내장 역위증을 가진 유명인 및 가상 인물은 다음과 같다.
실존 인물로는 엔리케 이글레시아스(가수), 캐서린 오하라(배우), 랜디 포이(NBA 농구 선수) 등이 있다. 랜디 포이는 모든 장기가 반대로 위치해 있음에도 뚜렷한 합병증 없이 선수 생활을 이어갔다.[15]
가상 인물로는 북두의 권의 사우저가 대표적이다. 켄시로의 북두신권은 인체 구조를 이용한 공격 기술이지만, 사우저는 내장 역위증으로 인해 공격이 통하지 않았다. 도쿄 이과대학 연구진은 내장 역위증인 파리의 유전자를 발견하고 "사우저 유전자"(Myo31DFsouther)라고 명명했다.[32][33]
6. 1. 실존 인물
| 이름 | 국가 | 직업 | 비고 |
|---|---|---|---|
| 엔리케 이글레시아스 | 스페인 | 가수, 작곡가, 배우, 음반 프로듀서[13] | |
| 캐서린 오하라 | 캐나다, 미국 | 배우, 작가, 코미디언[14][29] | |
| 랜디 포이 | 미국 | NBA 농구 선수[15], 7세 때 밝혀짐. | |
| 깅가우 로소웅넌 | 태국 | 죄수 | 왼쪽 가슴에 총을 맞고 살아남은 후 발견, 시체 안치소에서 깨어난 후 처형[16] |
| 팀 밀러 | 미국 | 아쉬탕가 요가 센터 디렉터[17] | |
| 로즈 마리 벤틀리 | 미국 | 오리건 보건 과학 대학교에 시신 기증, levocardia가 있는 내장 역위증을 알지 못한 채 99세까지 생존[18][19] | |
| 나카우치 이사무 | 일본 | 실업가 | 군대 신체검사에서 발견[27] |
| 후지타 히로시 | 일본 | 정신과 의사 | 취학 전 소아과 진찰에서 발견 |
| 대니 오스먼드 | 미국 | 가수, 배우 | 충수염 오진[28] |
| 찬스 오시로 | 일본 | 개그맨 | 초등학교 내과 검진에서 발견, 오른쪽의 모임 회원[30] |
| 키유즈키 사토코 | 일본 | 만화가 | mixi상의 일기에서 공개 |
| 사쿠라 마코토 | 일본 | AV 여배우 | 인터뷰에서 공개[31] |
6. 2. 가상 인물
- 블랙 잭 만화에서 복통을 호소하는 남자아이가 좌우 역위증을 가지고 있었고, 피노코의 도움으로 거울을 이용해 수술을 성공한다.
- K2 만화의 등장인물 와쿠이 쿄스케는 아버지로부터 유전된 내장 역위증을 가지고 있다.
- 북두의 권 만화의 사우저는 내장 역위증으로 켄시로의 북두신권을 무력화시켰다. 도쿄 이과대학 연구진은 내장 역위증 파리 유전자를 발견하고 "사우저 유전자"라고 명명했다.[32]
- 소년 탐정 김전일 만화에서 내장 역위증인 범인이 아케치 켄고를 살해하려다 실패한다.
- 최상의 명의 만화에서는 내장 완전 역위증인 아이에게 간 이식 수술을 성공시킨다.
- 태양을 쏴라! 드라마에서 미타무라 쿠니히코가 연기한 형사는 내장 역위증 덕분에 총격에서 살아남는다.
- 메탈기어 솔리드 2 게임에서 포춘은 '''행운'''으로 심장이 오른쪽에 있어 리볼버 오셀롯의 총격에서 살아남는다.
- 의룡 -Team Medical Dragon- 드라마에서는 내장 완전 역위증인 영아 환자의 바티스타 수술에 도전한다.
- 정말! 럭키맨 만화의 주인공 럭키맨은 내장 역위증 덕분에 적의 공격에서 살아남는다.
- 고르고 13 만화 에피소드 「ONE SHOT」에서 내장 역위증인 청년이 고르고 13에게 살해당한다.
- 어둠의 처벌인 드라마 22화에서 심장이 오른쪽에 있는 쿠마조는 다이키치의 심장 파괴 기술에 고전한다.
- Hitman (6작) 게임 스테이지 "역위"에서 암살 대상 에릭 소더스는 내장 역위증 때문에 ICA를 배신한다.
- 007 노 박사 영화의 악당 율리우스 노는 내장 역위증 덕분에 살아남아 범죄 조직을 배신하고 새로운 삶을 시작한다.
참조
[1]
웹사이트
Definition of Situs inversus totalis
http://www.medicinen[...]
2015-05-12
[2]
학술지
Situs Inversus Imaging: Overview, Radiography, Computed Tomography
http://emedicine.med[...]
2016-04-26
[3]
eMedicine
Situs inversus of the large intestine discovered after administering a barium enema
http://img.medscapes[...]
[4]
문서
Intestinal malrotation can also cause the appendix to be on the left side.
[5]
학술지
Situs viscerum specularis in monozygotic twins
[6]
학술지
Association between situs inversus and maternal SARS-CoV-2 infection at gestational age 4–6 weeks
https://linkinghub.e[...]
2024-11
[7]
간행물
Unilateral situs inversus of optic disc associated with reduced binocularity and stereoacuity resembling monofixation syndrome
2010-05
[8]
학술지
Handedness and situs inversus in primary ciliary dyskinesia
Royal Society
2004-12-22
[9]
학술지
Brain functional segregation, handedness and cognition in situs inversus totalis: A replication study
https://psyarxiv.com[...]
2023
[10]
간행물
Abdominal Manifestations of Situs Abnormalities in Adults
http://pubs.rsna.org[...]
2002
[11]
학술지
Through the looking-glass what you found there
2012-02
[12]
학술지
Situs Inversus Totalis: A Clinical Review
2022-03-03
[13]
웹사이트
Here's why some people are left-handed, according to science
http://www.scienceal[...]
Science Alert
2015-04-28
[14]
뉴스
Catherine O'Hara: particulars
https://www.theglobe[...]
2021-02-07
[15]
웹사이트
Rookie T-Wolf's Organs Reversed
http://wcco.com/spor[...]
2021-02-07
[16]
서적
The Last Executioner: Memoirs of Thailand's Last Executioner
https://books.google[...]
Maverick House
2015-01-08
[17]
웹사이트
Tuesday September 16th – Encinitas – "God's Hospital"
https://timmiller.ty[...]
[18]
웹사이트
Mollala Woman Lived 99 years with organs inversed
https://www.opb.org/[...]
2021-02-07
[19]
웹사이트
She lived for 99 years with organs in all the wrong places and never knew it
https://www.cnn.com/[...]
2019-04-08
[20]
웹사이트
99歳女性、5000万人に1人の「内臓逆位症」 献体で初めて判明
https://www.cnn.co.j[...]
CNN
2019-05-12
[21]
Radiopaedia.org
Immotile cilia syndrome
http://radiopaedia.o[...]
[22]
간행물
Mutation of the mouse hepatocyte nuclear factor/forkhead homologue 4 gene results in an absence of cilia and random left-right symmetry
http://www.jci.org/c[...]
1998
[23]
간행물
Mutations in DNAH5 cause primary ciliary dyskinesia and randomization of left−right asymmetry
2002
[24]
간행물
Conserved left–right asymmetry of nodal expression and alterations in murine situs inversus
1996
[25]
간행물
Mechanism of Nodal Flow: A Conserved Symmetry Breaking Event in Left-Right Axis Determination
http://www.u-tokyo.a[...]
2005
[26]
웹사이트
The Takeda Foundation Symposium
http://www.takeda-fo[...]
[27]
웹사이트
朝刊5面『〈証言そのとき〉ボス、ときどき僕:2 すべて自己責任』
http://www.asahi.com[...]
朝日新聞社
2012-09-18
[28]
웹사이트
Reversed Heart, Situs Inversus and Dextrocardia
http://health.theidb[...]
[29]
웹사이트
Catherine O'Hara: particulars
https://www.theglobe[...]
[30]
데일리포털Z
心臓が右にある男(1ページ目)
https://dailyportalz[...]
2008-04-25
[31]
웹사이트
桜真琴の部屋へようこそ
https://web.archive.[...]
ベストビデオ1999年11月号
2012-10-11
[32]
웹사이트
科研費NEWS 2012 vol.2 p.14
https://www.jsps.go.[...]
2017-09-08
[33]
간행물
An unconventional myosin in Drosophila reverses the default handedness in visceral organs
2006
[34]
gooテレビ番組
『林先生の痛快!生きざま大辞典』(2014年6月25日放送回)
http://tvtopic.goo.n[...]
[35]
저널
Situs Inversus Imaging: Overview, Radiography, Computed Tomography
http://emedicine.med[...]
2016-04-26
[36]
저널
Left-Sided Acute Appendicitis With Situs Inversus Totalis In A Nigerian Male – A Case Report And Review Of Literature.
http://ispub.com/IJS[...]
[37]
저널
Situs viscerum specularis in monozygotic twins
본 사이트는 AI가 위키백과와 뉴스 기사,정부 간행물,학술 논문등을 바탕으로 정보를 가공하여 제공하는 백과사전형 서비스입니다.
모든 문서는 AI에 의해 자동 생성되며, CC BY-SA 4.0 라이선스에 따라 이용할 수 있습니다.
하지만, 위키백과나 뉴스 기사 자체에 오류, 부정확한 정보, 또는 가짜 뉴스가 포함될 수 있으며, AI는 이러한 내용을 완벽하게 걸러내지 못할 수 있습니다.
따라서 제공되는 정보에 일부 오류나 편향이 있을 수 있으므로, 중요한 정보는 반드시 다른 출처를 통해 교차 검증하시기 바랍니다.
문의하기 : help@durumis.com
