부비동염
"오늘의AI위키"의 AI를 통해 더욱 풍부하고 폭넓은 지식 경험을 누리세요.
1. 개요
부비동염은 부비동 점막의 염증으로, 급성, 아급성, 만성으로 분류되며, 코막힘, 안면 통증, 두통, 콧물 등의 증상을 보인다. 급성 부비동염은 바이러스 감염이 원인이며, 만성 부비동염은 급성 부비동염의 만성화 또는 알레르기성 비염이 원인이 될 수 있다. 진단은 증상, 내시경, 영상 촬영 등을 통해 이루어지며, 치료는 스테로이드, 진통제, 항생제 등의 약물 치료와 수술적 치료가 시행될 수 있다.
더 읽어볼만한 페이지
- 코 질환 - 비염
비염은 코 점막에 염증이 생기는 질환으로, 감염성, 알레르기성, 비알레르기성 등으로 분류되며, 원인에 따라 항히스타민제, 스테로이드, 회피 요법 등으로 치료한다. - 코 질환 - 코피
코피는 콧구멍에서 발생하는 출혈 증상으로, 외상, 염증, 건조한 환경 등 다양한 원인으로 발생하며, 직접 압박 등의 치료를 하지만 심할 경우 병원 진료가 필요하고 문화 콘텐츠에서 시각적 상징으로 사용되기도 한다. - 두통 - 숙취
숙취는 과도한 알코올 섭취 후 두통, 피로, 메스꺼움, 인지 기능 저하 등의 불쾌한 증상들이 나타나는 현상으로, 아세트알데히드 축적, 탈수, 저혈당, 면역 체계 불균형 등 다양한 요인이 복합적으로 작용하여 발생하며, 개인의 요인에 따라 다르게 나타나 사회 경제적 손실을 초래하기도 한다. - 두통 - 편두통
편두통은 신경혈관 질환으로, 심한 박동성 두통과 함께 메스꺼움, 광과민성 등을 동반하며, 유전적 요인과 환경적 요인이 복합적으로 작용하여 발병하는 것으로 추정된다. - 이비인후과 - 구강암
구강암은 구강에 생기는 악성 종양으로, 흡연, 음주, 인유두종 바이러스 감염 등이 주요 원인이며, 수술, 방사선 치료, 항암화학요법 등으로 치료한다. - 이비인후과 - 벨 마비
벨 마비는 얼굴 신경의 기능 장애로 얼굴 한쪽이 처지는 질환으로, 바이러스 감염 등이 원인으로 추정되며, 스테로이드 투여, 눈 보호, 물리치료 등으로 회복을 도울 수 있고 뇌졸중 등 유사 질환과의 감별이 필요하다.
2. 분류
부비동염은 증상이 나타나는 기간에 따라 급성과 만성으로 나뉜다. 급성은 증상이 4주 이하, 아급성은 4~12주, 만성은 12주 이상 지속되는 것을 의미한다. 부비동염은 증상만으로는 종류를 구별하기 어렵다.[59]

4쌍의 부비동은 전두동, 사골동, 상악동, 접형동으로 이루어져 있다. 사골동은 중비갑개의 기저판을 기준으로 전사골동과 후사골동으로 나뉜다. 부비동염은 영향을 받는 부비동강에 따라 다음과 같이 분류할 수 있다.[24]
- 상악동: 뺨 부위에 통증이나 압력을 유발하며, 치통이나 두통으로 나타날 수 있다.
- 전두동: 눈 위쪽의 전두동강에 통증이나 압력을 유발하며, 이마 부위의 두통으로 나타날 수 있다.
- 사골동: 눈 사이 또는 뒤쪽, 코 윗부분 옆면(내안각)에 통증이나 압력을 유발하며, 두통을 동반한다.
- 접형동: 눈 뒤에 통증이나 압력을 유발하지만, 머리꼭대기나 유양돌기, 또는 머리 뒤쪽에서 느껴지기도 한다.
부비동염(또는 비부비동염)은 점막의 염증으로 정의되며, 시간 경과에 따라 다음과 같이 분류된다.[60]
- 급성 부비동염: 최대 4주까지 지속될 수 있는 새로운 감염으로, 증상에 따라 중증과 비중증으로 나눌 수 있다.
- 재발성 급성 부비동염: 1년 이내에 4회 이상 완전한 급성 부비동염 증상이 나타난다.
- 아급성 부비동염: 4주에서 12주 사이에 지속되는 감염으로, 급성 감염과 만성 감염 사이의 과도기적 상태를 나타낸다.
- 만성 부비동염: 증상이 12주 이상 지속되는 경우이다.
- 만성 부비동염의 급성 악화: 만성 부비동염 증상이 악화되지만 치료 후에는 이전 상태로 돌아간다.
최근 '부비동염 진료 지침'(2007년)[113], '급성 비부비동염 가이드라인'(2010년)이 발간되어 진단과 치료가 개선되었다. 성인의 약 90%가 일생 동안 부비동염을 겪는다.[61]
2. 1. 급성 부비동염
급성 부비동염은 주로 바이러스로 인한 상기도 감염이 원인이 된다. 바이러스로 인해 손상된 조직 표면에 세균이 군체를 생성해서 발생한다. 원인균으로는 인플루엔자균(''Haemophilus influenzae''), 폐렴구균(''Streptococcus pneumoniae''), 모락셀라 카타랄리스(''Moraxella catarrhalis''), 황색포도상구균(''Staphylococcus aureus'')이 있다.[34][35] 충치나 진균 감염으로도 부비강염이 발생할 수 있으며, 특히 면역부전 환자에게서 자주 발견된다.급성 부비동염은 일반적으로 초기 상기도 감염에 의해 유발되며, 주로 리노바이러스, 코로나바이러스, 인플루엔자 바이러스와 같은 바이러스가 원인이다. 세균 감염의 경우, 가장 흔한 세 가지 원인균은 폐렴구균(38%), 인플루엔자균(36%), 모락셀라 카타랄리스(16%)이다.[34][35]
곰팡이 침입으로 인해 급성 부비동염이 발생할 수도 있다. 이러한 감염은 당뇨병 환자나 AIDS 등 면역 결핍이 있는 사람들에게서 나타나며 생명을 위협할 수 있다. 제1형 당뇨병 환자의 경우, 케톤산증이 점액진균증으로 인한 부비동염과 관련될 수 있다.[36]
급성 부비동염을 방치하면 만성 부비동염으로 발전하기 쉽다.
2. 2. 만성 부비동염
만성 부비동염은 급성 부비동염이 발전한 형태이거나 알레르기성 비염이 원인이 되어 발생한다. 만성 부비동염은 12주 이상 지속되는 부비동의 만성 염증을 공통 증상으로 하는 다양한 질환을 통칭한다. 이는 비용종의 유무에 따라 세분화된다. 비용종이 있는 경우, 만성 과형성 부비동염이라고 부르지만, 그 원인은 잘 알려져 있지 않다.[37] 콧대 기형, 콧살(중간 콧살의 공기화)의 존재와 같은 해부학적 이상으로 인해 점액 배출이 억제되거나, 알레르기 비염, 천식, 낭성 섬유증, 치아 감염과 함께 발생할 수 있다.[38]만성 비부비동염은 단순히 지속적인 세균 감염이 아닌 다인자성 염증 질환이다.[37] 의학적 관리는 폐쇄의 소인을 제공하는 염증을 제어하고 감염 발생률을 줄이는 데 초점을 맞추고 있으며, 약물 치료가 효과가 없을 경우 수술이 필요할 수 있다.[39]
2. 2. 1. 호산구성 부비동염
만성 비부비동염의 하위 유형에 대한 명칭은 여러 번 변경되었다. 코와 부비동의 점액질 내벽에서 많은 사람들에게 호산구가 존재한다는 것이 밝혀졌으며, 이를 호산구성 뮤신 비부비동염(EMRS)이라고 명명했다.[40] EMRS의 경우는 알레르기 반응과 관련이 있을 수 있지만, 알레르기가 자주 문서화되지 않아 알레르기성 및 비알레르기성 EMRS로 추가 세분화된다.[40]호산구성 부비동염은 부비동 내에 호산구가 과도하게 증가하고, 코 용종이 다발하며, 후각 장애를 동반한다.[114] 50세 전후 발병이 많으며, 일본 국내 환자 수는 20만 명 정도이며 그 중 약 2만 명이 중증 환자로 추정된다.[114] 약 30%가 천식을 병발한다.[114] 외과 수술로 코 용종을 절제해도 약 25%가 재발하여 난치성이다.[114] 이 때문에 후생노동성이 2015년, 난치병으로 지정하고[114], 난치병 의료비 지원 제도의 대상 질병 목록에 추가되었다.[115] 증상을 경감시킬 수 있는 스테로이드제 내복은 부작용 때문에 장기적인 지속이 어렵지만, 일본에서는 두필루맙 사용이 2020년에 승인되었으며, 준텐도 대학 의학부 부속 준텐도 병원, 준텐도 대학 의학부 부속 준텐도 도쿄 고령자 의료 센터, 준텐도 대학 의학부 부속 우라야스 병원에 전문 외래가 설치되어 치료에 진전이 나타나게 되었다.[114]
2. 2. 2. 부비동 진균증
부비동 진균증은 부비동(주로 상악동)에 진균(곰팡이) 덩어리가 있어 염증을 일으키는 질환이다. 효과적인 약물 치료법은 확립되지 않았다.[41] 최근 곰팡이가 만성 부비동염 발병에 기여할 수 있다는 이론에 근거하여 항진균제를 시험적으로 사용해 왔으나, 그 결과는 엇갈리고 있다.[37] 진균이 만성 부비동염 발병의 확실한 요인인지, 만약 그렇다면 질병이 발생하는 사람과 증상이 없는 사람 사이에 어떤 차이가 있는지는 여전히 불분명하다. 항진균 치료법의 임상 실험 결과 역시 엇갈렸다.[42]3. 원인
급성 부비동염은 주로 바이러스로 인한 상기도 감염이 원인이다. 바이러스로 인해 손상된 조직 표면에 세균이 군집을 생성해서 발생한다. 원인균으로는 인플루엔자균(''Haemophilus influenzae''), 폐렴구균(''Streptococcus pneumoniae''), 모락셀라 카타랄리스(''Moraxella catarrhalis''), 황색포도상구균(''Staphylococcus aureus'')이 있다. 충치나 진균 감염으로도 부비강염이 발생할 수 있으며, 특히 면역부전 환자에게서 자주 발견된다.
급성 부비동염을 방치하면 만성 부비동염으로 발전하기 쉽다. 만성 부비동염은 급성 부비동염이 발전한 형태이거나 알레르기성 비염이 원인이 되어 발생한다. 급성 부비동염은 리노바이러스, 코로나바이러스, 인플루엔자 바이러스 등에 의해 발생하며, 세균 감염의 경우 폐렴구균, 인플루엔자균, 모락셀라 카타랄리스가 주 원인균이다.[34][35] 바이러스성 부비동염은 일반적으로 7~10일 동안 지속된다.[37]
곰팡이 침입으로 인한 급성 부비동염은 당뇨병 환자나 AIDS 등 면역 결핍 환자에게서 나타날 수 있으며, 생명을 위협할 수 있다. 제1형 당뇨병 환자의 경우, 케톤산증이 점액진균증으로 인한 부비동염과 관련될 수 있다.[36]
최근 부비동염 관련 이론에서는 부비동염이 종종 호흡기 질환의 일부로 발생하며 천식과 연관되어 있다고 제시한다.[43][44] 흡연과 간접 흡연 또한 만성 부비동염과 관련이 있다.[45]
미세먼지 (PM2.5)에 노출되면 부비동염 발병 위험이 증가한다.[46][47] PM2.5 입자는 직경이 2.5 마이크로미터 미만으로, 호흡기를 통해 코와 부비동 점막에 도달하여 염증을 유발하고 점액 섬모 청소 기능을 손상시킨다.[48] PM2.5 농도가 높은 지역에 거주하는 사람들은 만성 부비동염 증상이 악화되고 빈번하게 나타난다.[49]
세계 보건 기구(WHO)는 PM2.5의 연평균 농도가 '''5 µg/m³'''를 초과하지 않아야 하며, 24시간 평균 노출은 '''15 µg/m³'''를 초과하지 않아야 한다고 권고한다.[53]
만성 부비동염을 유발할 수 있는 다른 질환으로는 낭성 섬유증과 다발 혈관염을 동반한 육아종증(구 베게너 육아종증) 등이 있다.[55]
코 안쪽에는 점막으로 덮인 빈 공간인 부비강이 존재한다. 코 안의 염증은 부비강으로 번질 수 있으며, 이를 부비동염이라고 부른다. 감기 등으로 인해 부비강에 염증이 발생하면, 염증으로 발생한 고름이 자연공을 통해 배출되지 않고 고여 만성화된다. 고인 고름은 점막에 비후성 변성을 일으켜 고름 배출을 더욱 어렵게 하고, 점성이 높은 콧물이 콧구멍 밖으로 배출되지 않고 목으로 계속 흘러내리는 후비루를 유발하여 악순환을 일으킨다.
3. 1. 상악동염의 특수한 원인
치성 부비동염 (ODS)은 치아 또는 치과 시술에서 기원한 감염이 상악동에 영향을 미칠 때 발생한다.[32] 치성 부비동염은 종종 사골, 전두동, 접형동 및 반대쪽 비강을 포함한 인접 부비동으로 퍼질 수 있다.[33] 드물게 이러한 감염은 안와로 퍼져 안와 봉와직염으로 이어질 수 있다.상악 부비동염은 치아 문제로 인해 발생할 수도 있는데, 여러 연구에서 이러한 사례가 약 40~50%를 차지하는 것으로 나타났다.[93] 이러한 상황의 원인은 대개 상악 후방 치아의 염증성 삼출물이 위쪽 뼈를 침식하여 상악동으로 배출되는 치근단 또는 치주 감염이다.[93]
4. 증상
코막힘, 안면 통증, 두통, 열, 불쾌감, 옅은 녹색이나 노란색의 농성 비루, 머리 무거움, 구취, 상악동염이 겹칠 경우 치통 등이 나타날 수 있다. 기억력 감퇴가 초래되기도 한다. 통상적으로 고개를 숙이면 코막힘, 두통 등의 증상이 심해지는 경향이 있으며, 이로 인해 학생의 학업 성적에 간접적으로 악영향을 줄 수 있는 것으로 판단된다. 상악동염의 경우 윗니의 치통이 심하며, 치통이라고 해서 치과에서 치료하는 것이 아니라 이비인후과에서 치료해야 한다.[17]
급성 부비동염은 얼굴 통증 및 압통으로 나타날 수 있으며, 이는 찌푸리거나 앞으로 숙일 때 악화될 수 있다. 두통, 기침, 구취, 코 막힘, 귀 통증, 귀의 압박감 또는 일반적으로 녹색을 띠며 고름이나 혈액이 포함될 수 있는 콧물이 나타날 수 있다.[17] 치통도 발생할 수 있는데, 부비동염 관련 통증은 일반적으로 머리를 앞으로 기울이거나 발살바 수기를 수행할 때 악화된다는 특징이 있다.[18]
만성 부비동염은 코 막힘과 같은 더 미묘한 증상으로 나타나며, 열과 통증 호소가 적다.[19] 얼굴 통증, 두통, 야간 기침, 이전에 경미하거나 조절되던 천식 증상의 증가, 전반적인 불쾌감, 짙은 녹색 또는 노란색 콧물, 앞으로 숙일 때 악화될 수 있는 얼굴의 충만감 또는 팽팽함, 어지럼증, 치통 및 구취가 나타날 수 있다.[20] 종종 만성 부비동염은 후각 상실을 유발할 수 있다.[20]
2005년의 검토에 따르면 대부분의 "부비동 두통"은 편두통이다.[21] 이러한 혼동은 부분적으로 편두통이 부비동 부위와 뇌를 둘러싼 수막 모두에 신경을 공급하는 삼차 신경의 활성화를 포함하기 때문에 발생한다. 그 결과, 통증이 발생하는 부위를 정확하게 결정하기가 어렵다. 편두통 환자는 일반적으로 부비동 감염의 흔한 증상인 짙은 콧물을 흘리지 않는다.[22]
이 외에도 점성이 높은 후비루로 인한 목의 가려움, 기도 폐쇄로 인한 기침, 천식, 기침 천식, 수면 장애가 나타날 수 있다.
5. 합병증
합병증은 드물게 발생한다고 여겨진다(10,000명 중 1명). 급성 세균성 부비동염의 감염성 합병증에는 눈 및 두개강, 뼈 합병증이 있다.
챈들러 분류는 안와 합병증을 심각도에 따라 5단계로 분류하는 데 사용된다.[26]
- 1단계는 안와 전 중격 봉와직염으로 알려져 있으며, 이는 안와 중격 앞에 감염이 발생할 때 발생한다.[27] 이는 부비동의 제한된 정맥 배액으로 인해 발생하며, 눈꺼풀 및 기타 표면 구조의 연조직에 영향을 미치는 것으로 생각된다.[27]
- 2단계는 안와 봉와직염으로 알려져 있으며, 안와 중격 뒤에 감염이 발생하여 안와에 영향을 미칠 때 발생한다.[27] 이는 안구 운동 마비, 안구 돌출, 및 결막 부종을 유발할 수 있다.[27]
- 3단계는 골막하 농양으로 알려져 있으며, 고름이 안와 벽과 주변 골막 구조 사이에 모일 때 발생한다.[27] 이는 안구 운동 및 시력 저하를 유발할 수 있다.[27]
- 4단계는 안와 농양으로 알려져 있으며, 안와 조직 내에 농양이 형성될 때 발생한다.[27] 이는 심각한 시력 손상을 유발할 수 있다.[27]
- 5단계는 해면 정맥동 혈전증으로 알려져 있으며, 이는 두개 내 합병증으로 간주된다. 이는 박테리아의 확산이 진행됨에 따라 발생할 수 있으며, 해면 정맥동 내에 갇히는 혈전을 유발한다.[28] 이는 반대쪽 눈에서 앞서 설명한 증상을 유발할 수 있으며, 심한 경우 수막염을 유발할 수 있다.[27]
부비동이 뇌와 인접해 있기 때문에 뇌 감염은 급성 세균성 부비동염의 가장 위험한 합병증 중 하나이며, 특히 전두동과 사골동이 관련된 경우 더욱 그렇다. 이러한 감염은 뼈 또는 혈관을 통해 혐기성 세균의 침입으로 발생할 수 있다. 농양, 수막염 및 기타 생명을 위협하는 질환이 발생할 수 있다. 드물게는 가벼운 성격 변화, 두통, 의식 변화, 시각 문제, 발작, 혼수 및 심지어 사망까지 발생할 수 있다.[29]
급성 부비동염의 드문 합병증은 골수염으로 알려진 뼈 감염이며, 이는 전두골 및 기타 얼굴뼈에 영향을 미친다.[30] 특히, 전두동 부비동염, 골수염 및 골막하 농양 형성의 조합을 포트 종창이라고 한다.[31][30]
'''기타 합병증'''
- 치아 또는 치과 시술에서 기원한 감염이 상악동에 영향을 미치면 치성 부비동염 (ODS)으로 이어질 수 있다.[32] 치성 부비동염은 종종 사골, 전두동, 접형동 및 반대쪽 비강을 포함한 인접 부비동으로 퍼질 수 있다.[33] 드물게 이러한 감염은 안와로 퍼져 안와 봉와직염으로 이어질 수 있다.
- 코 폴립
- (비성) 두개 내 합병증: 뇌농양, 수막염, 해면정맥동 혈전증 등이 부비동염의 악화로 인해 발생할 수 있다.
- 안(眼) 합병증: 안와 내 농양, 시신경염 등 시력 장애가 부비동 염증이 눈 주위로 파급되어 발생한다.
- 부비동기관지증후군: 부비동염에 다양한 기관지 병변이 합병되는 경우가 있다.
- * 범세기관지염: 본증이 범세기관지염에 선행되는 경우가 있다.
- * 카르타게너 증후군: 본증이 카르타게너 증후군을 포함하는 섬모 기능 부전 증후군의 부분 증상인 경우가 있다.
- 점성이 강한 콧물을 억지로 빼내려고 코를 심하게 풀면 이관에서 중이로 고름이 이동하여 이로 인해 중이염이 발생할 수 있다.
- 매우 불쾌한 후비루로 인한 심한 스트레스, 기침, 가래, 구호흡으로 인한 구갈, 구취 악화, 이로 인한 대인 기피, 우울증 증상.
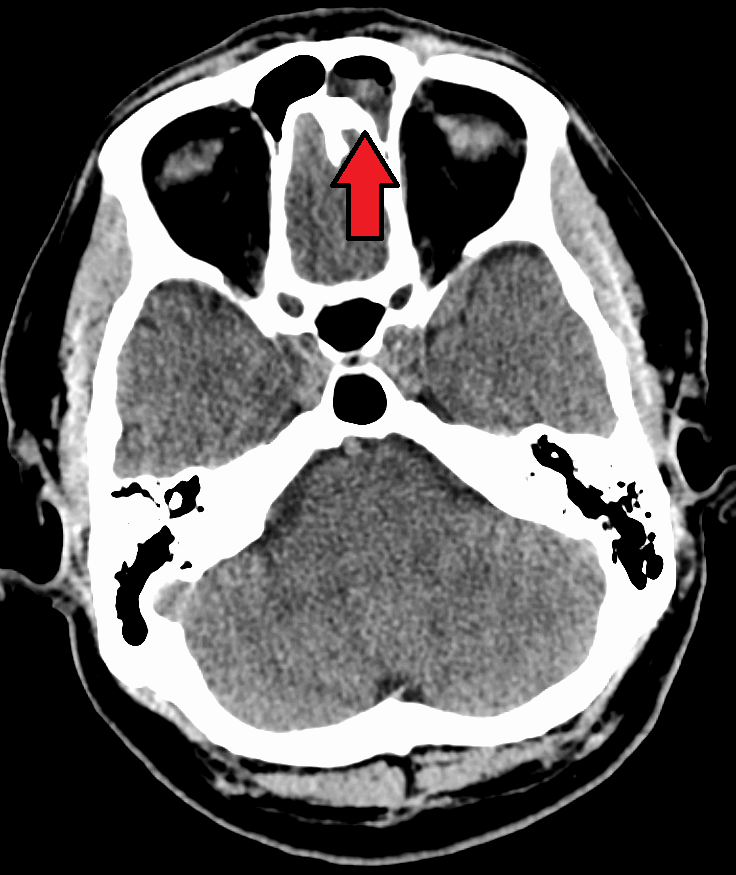
6. 진단
부비동염의 진단은 주로 콧물의 성상, 양, 그리고 호흡기 증상을 통해 이루어진다. 알레르기가 의심될 경우 알레르기 검사를 시행하며, 단층 촬영(CT)을 실시하기도 한다.[60] 의료 제공자는 관찰 대기를 통해 세균성 부비동염과 바이러스성 부비동염을 구별한다. 증상이 악화되지 않은 채 10일 미만 지속되면 바이러스성 감염으로 추정한다.[60] 반면, 증상이 10일 이상 지속되거나 그 사이에 악화되면 세균성 부비동염으로 간주한다.[63] 치아 통증과 구취 또한 세균성 질환을 시사하는 지표이다.[62]
합병증이 없다면 X-ray, CT, MRI와 같은 영상 촬영은 일반적으로 권장되지 않는다.[63] 부비동염으로 인한 통증은 상악 치아의 치수염(치통)으로 인한 통증과 혼동될 수 있으며, 그 반대의 경우도 마찬가지이다. 머리를 앞으로 숙일 때 통증이 심해지는 것은 부비동염을 치수염과 구별하는 특징적인 증상이다.
상악 부비동염의 경우, CBCT와 같은 제한된 범위의 영상 촬영은 치근단 방사선 사진보다 치아가 부비동염의 원인인지 더 정확하게 감지할 수 있다. 관상 CT 사진 또한 유용하다.[93]
부비동염 진단 방법은 다음과 같다.
- 내시경을 사용하여 코 안의 콧물 상태나 점막 부종 여부를 확인한다.
- X선 촬영, 컴퓨터 단층 촬영(CT)으로 부비동 내 고름 축적 여부를 확인한다.
- 자연공에 탐침을 삽입하여 고름 유무를 확인한다.
- 증상과 비강 내 소견을 종합하여 부비동염으로 진단하며, 필요에 따라 다음과 같은 영상 진단을 추가한다.
- 시진 또는 내시경으로 부비동 내 고름을 확인한다.
7. 치료
만성 부비동염이 12주 이상 지속되면 CT 스캔을 받는 것이 좋다.[63] CT 스캔에서 급성 부비동 분비물은 10~25 하운스필드 단위(HU)의 방사선 밀도를 나타내지만, 만성 상태에서는 점성이 증가하여 방사선 밀도가 30~60 HU가 된다.[64]
코 내시경 검사와 임상 증상은 확진을 위해 사용된다.[37] 조직 검사 및 배양 검사를 위한 조직 샘플을 채취하여 검사할 수도 있다.[65] 코 내시경 검사는 빛과 카메라가 부착된 유연한 광섬유 튜브를 코에 삽입하여 비강과 부비동을 검사하는 것이다.
부비동 감염으로 치통이 발생하면, 일반적으로 여러 개의 위쪽 치아와 관련된 통증이 나타나는 반면, 치통은 보통 하나의 치아와 관련된다. 치과 검사 및 적절한 방사선 촬영은 치아에서 발생하는 통증을 배제하는 데 도움이 된다.[66]

''유럽 시클라멘''과 같은 식물 추출물이 급성 부비동염 치료를 위한 비강 세척으로 효과적인지에 대한 명확한 증거는 없다.[75] 항진균 치료가 증상이나 삶의 질을 향상시키는지에 대한 증거는 결론적이지 않다.[76] 환자에게 0.73 mg의 트레카마라(가용성 세포 간 부착 분자 1 [ICAM-1] 수용체) 스프레이 제형을 투여한 결과 질병의 심각성이 감소했다는 연구 결과가 있다.[35]
7. 1. 일반적인 치료
급성과 만성 부비동염 모두 증상 완화를 위해 스테로이드, 진통제를 사용하고, 근본적인 치료를 위해 항생제를 투여한다. 보통 약물 치료 시작 3~4일 후면 증상이 크게 완화된다.[67] 증상은 빠르게 사라지고 각 주기마다의 치료도 빠르지만, 한번 발병하면 쉽게 재발한다. 부비동염을 방치하면 외과적 수술로 점막을 제거(하비갑개 점막하 절제술)해야 할 수도 있다. 비중격만곡증이 함께 나타나는 경우도 많다. 일반 코감기에 사용되는 항히스타민제는 별 효과가 없으며, 오히려 콧물의 농도를 진하게 만들어 부비동염 증상을 악화시킬 수 있다. 식염수 세척으로 단기적인 증상 완화 효과를 볼 수 있지만, 근본적인 치료법으로는 한계가 있다는 것이 일반적인 의견이다. 그러나 최근 풍선 카테터 부비동 수술을 통해 많은 환자들이 도움을 받고 있어 치료 가능성이 넓어졌다.[67]대부분의 부비동염 치료에는 휴식과 점액을 묽게 하는 충분한 수분 섭취가 권장된다.[70] 항생제는 대부분 권장되지 않는다.[70][71] 뜨거운 샤워나 가글 등으로 낮은 온도의 수증기를 들이마시는 것이 증상 완화에 도움이 될 수 있다.[70][72] 상기도 감염과 같은 급성 부비동염의 경우, 코 세척에 대한 제한적인 증거가 있다.[69] oxymetazoline을 포함하는 충혈 완화제 비강 스프레이는 증상을 완화할 수 있지만, 권장 기간 이상 사용해서는 안 된다. 더 오래 사용하면 반동성 부비동염을 유발할 수 있다.[73] 급성 부비동염이 있는 어린이에게 코 세척, 항히스타민제, 충혈 완화제가 효과가 있는지 여부는 불분명하다.[74]
- 단백질 분해 효소를 사용하여 고름 배출을 돕는다.
- 소염진통제로 염증과 통증을 억제한다.
- 네뷸라이저 치료
- 침술: 얼굴 정면 중앙의 머리카락이 나는 부분에서 조금 위에 있는 상성혈(귀당혈, 명당혈, 신당혈)이라는 혈자리는 부비동염에 효과가 있다고 여겨진다.[117] 또한, 눈썹과 눈썹 사이에 있는 인당혈이라는 혈자리는 두통, 불면, 고혈압, 코막힘, 콧물, 비염, 현기증 등에 효과가 있다고 여겨진다.[118]
- 한방: 체력이 중등도 이상이고, 피부색이 옅은 검은색이며, 때때로 손발바닥에 땀이 많이 나고 복벽이 긴장되며, 부비동염, 만성 비염, 만성 편도선염, 여드름 등의 증상이 있는 경우에는 형개연교탕[119]이 사용된다. 또한 코막힘, 부비동염, 만성 비염 등의 증상에는 갈근탕가천궁신이[120]가 사용된다.
- 약모밀 요법: 생잎을 으깬 것을 콧속에 넣고 잠시 후에 콧물과 함께 풀어서 뱉어내는 민간요법. 페니실린을 능가하는 항균 작용과 배농 작용이 있는 데카노일아세토알데히드 등의 유효 성분을 이용한 것이다.
7. 2. 약물 치료
급성과 만성 부비동염 모두 증상 완화를 위해 스테로이드, 진통제를 사용하고, 근본적인 치료를 위해 항생제를 투여한다. 보통 약물 치료 시작 3~4일 후면 증상이 크게 완화된다.[37] 증상은 빠르게 사라지고 각 주기마다의 치료도 빠르지만, 한번 발병하면 쉽게 재발한다.대부분의 부비동염은 바이러스에 의해 발생하며 항생제 없이 치료된다.[37] 하지만 증상이 10일 이내에 호전되지 않으면 아목시실린 또는 아목시실린/클라불란산을 초기 치료에 사용한다. 아목시실린/클라불란산 단독 사용이 아목시실린 단독 사용보다 약간 더 효과적이지만 부작용이 더 많다.[77][37] 2018년 코크란 리뷰에서는, 의사와 상담하기 전에 증상이 7일 이상 지속된 사람이 세균성 부비동염일 가능성이 더 높다는 증거는 발견되지 않았다.[103] 항생제는 부작용, 항생제 내성, 비용의 위험 때문에 감염 첫 주 동안 경증/중등도 질환 환자에게는 권장되지 않는다.[78]
페니실린에 심각한 알레르기가 있는 사람들에게는 플루오로퀴놀론, 클래리스로마이신과 같은 새로운 마크로라이드 항생제 또는 독시사이클린과 같은 테트라사이클린을 사용한다.[79] 미국 감염병 학회의 2012년 가이드라인에서는 세균성 부비동염의 초기 치료제로 아목시실린-클라불란산을 권장한다.[80] 아지트로마이신, 클래리스로마이신, 트리메토프림/설파메톡사졸을 포함한 다른 일반적으로 사용되는 항생제는 항생제 내성이 증가하고 있기 때문에 사용하지 않도록 권장한다. FDA는 심각한 부작용의 위험이 더 높기 때문에 다른 선택지가 있을 경우 플루오로퀴놀론의 사용을 권장하지 않는다.[81]
임상적으로 진단된 급성 세균성 부비동염 환자 중 다른 심각한 질환이나 복합적인 요인이 없는 경우에는 짧은 기간(3–7일)의 항생제가 전형적인 장기간(10–14일)의 항생제만큼 효과적인 것으로 보인다.[82] IDSA 가이드라인은 5~7일의 항생제 투여가 내성을 유발하지 않고 세균 감염을 치료하기에 충분하다고 제안한다. 이 가이드라인은 여전히 어린이가 10일에서 2주 동안 항생제 치료를 받도록 권장한다.[80]
확진되지 않은 급성 부비동염의 경우, 코르티코스테로이드를 사용한 코 스프레이는 단독으로 또는 항생제와 함께 사용해도 위약보다 효과적이지 않다.[83] 방사선 촬영 또는 비강 내시경으로 확진된 경우에는, 비강 내 코르티코스테로이드를 단독으로 또는 항생제와 함께 사용하는 치료가 뒷받침된다.[84] 그러나 그 효과는 미미하다.[85]
확진된 만성 비부비동염의 경우, 비강 내 스테로이드가 증상을 개선한다는 증거는 제한적이며, 어떤 종류의 스테로이드가 더 효과적인지에 대한 증거는 불충분하다.[86][87] 코르티코스테로이드를 경구 투여하는 단기 치료는 비강 폴립이 있는 만성 비부비동염에 대한 지지 증거가 제한적이다.[88][89][90] 급성 부비동염에 항생제와 함께 코르티코스테로이드를 경구 투여하는 것은 증상 개선에 단기적인 효과만 있다는 제한적인 증거가 있다.[91][92]
- 단백질 분해 효소를 사용하여 고름 배출을 돕는다.
- 소염진통제로 염증과 통증을 억제한다.
- 네뷸라이저 치료
7. 3. 수술
만성 또는 재발성 부비동염의 경우, 이비인후과 전문의에게 의뢰하는 것이 적절할 수 있으며, 치료 옵션에는 코 수술이 포함될 수 있다. 수술은 약물 치료에 효과가 없거나 비침습성 진균성 부비동염이 있는 사람에게만 고려해야 한다.[94][89][95] 코 폴립이 있는 환자에서 수술의 이점이 약물 치료와 어떻게 비교되는지는 연구가 부족하여 불분명하다.[96][97]부비동에 접근하기 위해 다양한 수술적 접근법이 사용될 수 있으며, 이러한 접근법은 일반적으로 외부/비강 외 접근법에서 비강 내 내시경 접근법으로 바뀌었다. 기능적 내시경 부비동 수술(FESS)의 이점은 영향을 받은 부비동에 보다 표적화된 접근 방식을 허용하고, 조직 파괴를 줄이며, 수술 후 합병증을 최소화할 수 있다는 것이다.[98] 그러나 Messerklinger 기술을 이용한 전통적인 FESS를 따르는 경우 성공률이 30%에 불과하며, 환자의 70%가 3년 이내에 재발하는 경향이 있다.[99] 반면에, 내비게이션 시스템, 변연 절제기 및 풍선 부비동 성형술 또는 EBS와 함께 TFSE 기술을 사용하면 성공률이 99.9% 이상 나올 수 있다.[99] 생체 흡수성 스텐트와 같은 프로펠 모메타손 푸로에이트 임플란트와 같은 약물 용출 스텐트의 사용은 수술 후 회복에 도움이 될 수 있다.[100]
최근 개발된 또 다른 치료법은 풍선 부비동 성형술이다. 이 방법은 심장의 동맥을 "막히지 않도록" 하기 위해 사용되는 풍선 혈관 성형술과 유사하며, 덜 침습적인 방식으로 부비동 입구를 확장하기 위해 풍선을 사용한다.[39] 기능적 내시경 풍선 확장 접근법의 효과는 기존의 FESS와 비교하여 알려져 있지 않다.[39]
수술로 제거된 비강 부비동 내용물의 조직병리학은 진단적으로 가치가 있을 수 있다.
- 단백질 분해 효소를 사용하여 고름 배출을 돕는다.
- 소염진통제로 염증과 통증을 억제한다.
- 네뷸라이저 치료
- 비강 내시경 수술: 현재는 내시경을 이용한 수술이 대부분이다.
- 전두동 수술: 전두동의 병변에 대해서는 현재에도 외절개에 의한 치료가 행해지는 경우가 있다.
- 상악동 근본술: 과거에는 행해졌지만, 현재는 부비강염에 대해서는 행해지지 않는다.
참조
[1]
논문
Clinical practice guideline (update): Adult Sinusitis Executive Summary
2015-04
[2]
논문
Systemic and topical antibiotics for chronic rhinosinusitis
http://discovery.ucl[...]
2019-09-17
[3]
간행물
Sinusitis
https://www.ncbi.nlm[...]
StatPearls Publishing
2024
[4]
서적
Middleton's allergy: principles and practice
https://books.google[...]
Elsevier Saunders
2014
[5]
웹사이트
Sinus Infection (Sinusitis)
https://www.cdc.gov/[...]
2015-04-06
[6]
논문
Clinical practice guideline (update): Adult Sinusitis Executive Summary
2015-04
[7]
서적
Middleton's allergy: principles and practice
https://books.google[...]
Elsevier Saunders
2014
[8]
서적
Middleton's allergy: principles and practice
Elsevier/Saunders
2014
[9]
논문
Clinical practice guideline (update): Adult Sinusitis Executive Summary
2015-04
[10]
웹사이트
Sinus Infection (Sinusitis)
https://www.cdc.gov/[...]
2015-04-06
[11]
논문
Clinical practice guideline (update): Adult Sinusitis Executive Summary
2015-04
[12]
논문
Saline nasal irrigation for acute upper respiratory tract infections
http://espace.librar[...]
2018-04-20
[13]
논문
International consensus statement on allergy and rhinology: rhinosinusitis 2021
https://ueaeprints.u[...]
Wiley
2023-01-21
[14]
웹사이트
How Is Sinusitis Treated
https://www.niaid.ni[...]
2015-04-06
[15]
논문
Clinical practice guideline (update): Adult Sinusitis Executive Summary
2015-04
[16]
서적
Middleton's allergy: principles and practice
https://books.google[...]
Elsevier Saunders
2014
[17]
웹사이트
Sinusitis
http://www.herbs2000[...]
herb2000.com
[18]
논문
Rhinosinusitis in oral medicine and dentistry
2014-09
[19]
서적
Otolaryngology-Head and Neck Surgery: Clinical Reference Guide
Plural Publishing Inc.
[20]
웹사이트
Sinusitis
http://www.cleveland[...]
Cleveland Clinic
2012-11-26
[21]
논문
Sinus headache, migraine, and the otolaryngologist
2005-10
[22]
논문
The International Classification of Headache Disorders: 2nd edition
[23]
논문
Rhinosinusitis in oral medicine and dentistry
2014-09
[24]
서적
Physical evaluation in dental practice
https://archive.org/[...]
Wiley-Blackwell
[25]
서적
ENT secrets
Elsevier Health Sciences
2022-05-09
[26]
논문
The pathogenesis of orbital complications in acute sinusitis
1970-09
[27]
간행물
Periorbital Cellulitis
https://www.ncbi.nlm[...]
StatPearls Publishing
2024
[28]
간행물
Cavernous Sinus Thrombosis
https://pubmed.ncbi.[...]
StatPearls Publishing
2024
[29]
웹사이트
Sinusitus Complications
http://www.umm.edu/p[...]
University of Maryland
[30]
논문
Osteomyelitis of Frontal Sinus: A Rare Sequelae of Acute Bacterial Sinusitis Associated With Anatomical Variations in the Frontal Sinus Drainage Pathway
2024-02-13
[31]
웹사이트
Sinusitus Complications
http://www.umm.edu/p[...]
University of Maryland
[32]
논문
Diagnosing odontogenic sinusitis: An international multidisciplinary consensus statement
2021-02-14
[33]
논문
Redefining boundaries in odontogenic sinusitis: a retrospective evaluation of extramaxillary involvement in 315 patients: Odontogenic sinusitis extramaxillary involvement
http://doi.wiley.com[...]
2021-03-27
[34]
논문
Acute Sinusitis
2020
[35]
논문
Are rhinoviruses implicated in the pathogenesis of sinusitis and chronic rhinosinusitis exacerbations? A comprehensive review
[36]
EMedicine
Mucormycosis
[37]
간행물
The diagnosis and management of acute and chronic sinusitis
2008-03
[38]
서적
Oral radiology: principles and interpretation
Elsevier
2018-09-12
[39]
간행물
Functional endoscopic balloon dilation of sinus ostia for chronic rhinosinusitis
2011-07
[40]
간행물
Fungal rhinosinusitis: a categorization and definitional schema addressing current controversies
2009-09
[41]
뉴스
Mayo Report on Sinusitis Draws Skeptics
https://www.washingt[...]
1999-11-23
[42]
간행물
Antifungal therapy for chronic rhinosinusitis: the controversy persists
2009-02
[43]
간행물
One airway, one disease
1997-02
[44]
간행물
The 'united airways' require an holistic approach to management
2005-07
[45]
간행물
Chronic rhinosinusitis: epidemiology and medical management
2011-10
[46]
간행물
Effects of Particulate Matter (PM2.5) on Nasal Mucociliary Transport and Mucus Secretion in Human Nasal Epithelial Cells
[47]
간행물
Long-term exposure to ambient air pollutants and chronic rhinosinusitis in adulthood
[48]
간행물
Environmental exposures and chronic rhinosinusitis: a systematic review
[49]
간행물
Association between indoor air pollution and chronic rhinosinusitis: a systematic review
[50]
간행물
Mucosal inflammation in chronic rhinosinusitis: response to medical treatment
https://escholarship[...]
2024-11-23
[51]
간행물
High atmospheric particulate matter (PM2.5) exposure is associated with increased nasal inflammation in allergic rhinitis
[52]
간행물
Climate change, air pollution, and allergic respiratory diseases: a call to action for health professionals
[53]
서적
WHO global air quality guidelines: Particulate matter (PM2.5 and PM10), ozone, nitrogen dioxide, sulfur dioxide and carbon monoxide
https://www.who.int/[...]
World Health Organization
2021-09-22
[54]
간행물
Mechanisms of pollution-induced airway disease: in vivo studies
[55]
간행물
Management of sinusitis in adult cystic fibrosis
[56]
간행물
European Position Paper on Rhinosinusitis and Nasal Polyps 2020
https://www.rhinolog[...]
2020-02-01
[57]
간행물
Mechanisms and pathogenesis of chronic rhinosinusitis
2022-05
[58]
서적
ENT secrets
Elsevier Health Sciences
2022-05-09
[59]
웹사이트
Sinusitis
http://www.cleveland[...]
Cleveland Clinic
2012-11-26
[60]
간행물
Clinical practice guideline (update): Adult Sinusitis Executive Summary
2015-04
[61]
간행물
Review of current guidelines related to the diagnosis and treatment of rhinosinusitis
2008-06
[62]
간행물
Accuracy of Signs and Symptoms for the Diagnosis of Acute Rhinosinusitis and Acute Bacterial Rhinosinusitis
2019-03
[63]
간행물
Clinical practice guideline: adult sinusitis
2007-09
[64]
서적
Cummings Otolaryngology – Head and Neck Surgery, 3-Volume Set
Elsevier Health Sciences
[65]
문서
Harrison's Manual of Medicine 16/e
[66]
서적
Burket's oral medicine
Burket's oral medicine
2014-06-30
[67]
웹사이트
Treating sinusitis: Don't rush to antibiotics
http://consumerhealt[...]
Consumer Reports
2012-04
[68]
웹사이트
Five things physicians and patients should question
http://choosingwisel[...]
American Academy of Allergy, Asthma, and Immunology
[69]
간행물
Saline nasal irrigation for acute upper respiratory tract infections
http://espace.librar[...]
2018-04-20
[70]
간행물
Treating sinusitis: Don't rush to antibiotics
http://consumerhealt[...]
Consumer Reports
2012-07
[71]
논문
Antibiotics for acute rhinosinusitis in adults
2018-09
[72]
논문
Nasal saline irrigations for the symptoms of chronic rhinosinusitis
2007-07
[73]
EMedicine
Rhinitis medicamentosa
[74]
논문
Decongestants, antihistamines and nasal irrigation for acute sinusitis in children
2014-10
[75]
논문
Cyclamen europaeum extract for acute sinusitis
2018-05
[76]
논문
Topical and systemic antifungal therapy for chronic rhinosinusitis
2018-09
[77]
논문
International consensus statement on allergy and rhinology: rhinosinusitis 2021
https://ueaeprints.u[...]
Wiley
2023-01-21
[78]
논문
Treatment of mild to moderate sinusitis
2012-03
[79]
논문
Fluoroquinolones compared with beta-lactam antibiotics for the treatment of acute bacterial sinusitis: a meta-analysis of randomized controlled trials
2008-03
[80]
논문
IDSA clinical practice guideline for acute bacterial rhinosinusitis in children and adults
2012-04
[81]
웹사이트
Fluoroquinolone Antibacterial Drugs: Drug Safety Communication – FDA Advises Restricting Use for Certain Uncomplicated Infections
https://www.fda.gov/[...]
2016-05-12
[82]
논문
Effectiveness and safety of short vs. long duration of antibiotic therapy for acute bacterial sinusitis: a meta-analysis of randomized trials
2009-02
[83]
논문
Antibiotics and topical nasal steroid for treatment of acute maxillary sinusitis: a randomized controlled trial
2007-12
[84]
논문
Intranasal steroids for acute sinusitis
2013-12
[85]
논문
Intranasal corticosteroids in management of acute sinusitis: a systematic review and meta-analysis
[86]
논문
Intranasal steroids versus placebo or no intervention for chronic rhinosinusitis
https://kclpure.kcl.[...]
2016-04
[87]
논문
Different types of intranasal steroids for chronic rhinosinusitis
2016-04
[88]
논문
Short-course oral steroids alone for chronic rhinosinusitis
2016-04
[89]
논문
European position paper on rhinosinusitis and nasal polyps 2007
[90]
논문
EPOS Primary Care Guidelines: European Position Paper on the Primary Care Diagnosis and Management of Rhinosinusitis and Nasal Polyps 2007 - a summary
2008-06
[91]
논문
Systemic corticosteroids for acute sinusitis
https://pure.bond.ed[...]
2014-03
[92]
논문
Short-course oral steroids as an adjunct therapy for chronic rhinosinusitis
2016-04
[93]
웹사이트
Maxillary Sinusitis of Endodontic Origin
https://www.aae.org/[...]
2018
[94]
웹사이트
Fungal sinusitis - causes, symptoms, and treatment
https://www.medyblog[...]
2022-12-16
[95]
웹사이트
FAQ — Sinusitis
http://www.sinuses.c[...]
2007-04-22
[96]
논문
Surgical versus medical interventions for chronic rhinosinusitis with nasal polyps
2014-12-01
[97]
논문
Surgical interventions for chronic rhinosinusitis with nasal polyps
2014-11
[98]
논문
Endoscopic endonasal surgery--concepts in treatment of recurring rhinosinusitis. Part I. Anatomic and pathophysiologic considerations
1986-02
[99]
웹사이트
Sinusitis Surgery: An Overview of the Different Technologies
https://www.medyblog[...]
2023-02-07
[100]
논문
Topical Drug Delivery for Chronic Rhinosinusitis
2013-03
[101]
논문
Extranodal NK/T-Cell Lymphoma, Nasal Type: Genetic, Biologic, and Clinical Aspects with a Central Focus on Epstein-Barr Virus Relation.
[102]
논문
Extranodal Natural Killer/T-Cell Lymphoma: An Incidental Finding.
[103]
논문
Antibiotics for acute rhinosinusitis in adults
2018-09
[104]
논문
Upper respiratory infections
2010-04
[105]
논문
Rhinitis and sinusitis
2010-02
[106]
웹사이트
Sinus Infection (Sinusitis)
https://www.cdc.gov/[...]
2013-09-30
[107]
논문
Clinical practice guideline (update): adult sinusitis executive summary.
2015-04
[108]
서적
Middleton's allergy: principles and practice
https://books.google[...]
Elsevier Saunders
2014
[109]
웹사이트
Sinusitis
https://www.niaid.ni[...]
U.S. National Institute of Allergy and Infectious Diseases
2012-04-03
[110]
논문
Chronic rhinosinusitis: epidemiology and medical management
2011-10
[111]
논문
Saline nasal irrigation for acute upper respiratory tract infections.
http://espace.librar[...]
2015-04-20
[112]
웹사이트
How Is Sinusitis Treated?
https://www.niaid.ni[...]
2012-04-03
[113]
서적
日本鼻科学会『副鼻炎診療の手引き』
金原出版
2007-09
[114]
뉴스
【健康まっぷ】難病の副鼻腔炎で専門外来 順天堂大が3病院で開設
東京新聞
2022-06-29
[115]
웹사이트
公益財団法人難病医学研究財団/難病情報センター好酸球性副鼻腔炎(指定難病306)
http://www.nanbyou.o[...]
2022-06-30
[116]
논문
The diagnosis and management of acute and chronic sinusitis
2008-03
[117]
웹사이트
上星穴-颈部 面部穴位图
http://www.21nx.com/[...]
[118]
웹사이트
印堂穴-人体穴道图谱
http://www.21nx.com/[...]
[119]
웹사이트
伸和製薬|荊芥連翹湯(一般用医薬品)
https://www.shinwa-s[...]
[120]
웹사이트
伸和製薬|葛根湯加川芎辛夷(一般用医薬品)
https://www.shinwa-s[...]
[121]
웹사이트
岸田首相が手術を受ける「慢性副鼻腔炎」 近年は難治性が増加 医師「内視鏡手術は有効性が高い」
https://dot.asahi.co[...]
dot.asahi
2023-02-11
[122]
웹사이트
대한의협 의학용어 사전
https://www.kmle.co.[...]
[123]
웹사이트
대한의협 의학용어 사전
https://www.kmle.co.[...]
본 사이트는 AI가 위키백과와 뉴스 기사,정부 간행물,학술 논문등을 바탕으로 정보를 가공하여 제공하는 백과사전형 서비스입니다.
모든 문서는 AI에 의해 자동 생성되며, CC BY-SA 4.0 라이선스에 따라 이용할 수 있습니다.
하지만, 위키백과나 뉴스 기사 자체에 오류, 부정확한 정보, 또는 가짜 뉴스가 포함될 수 있으며, AI는 이러한 내용을 완벽하게 걸러내지 못할 수 있습니다.
따라서 제공되는 정보에 일부 오류나 편향이 있을 수 있으므로, 중요한 정보는 반드시 다른 출처를 통해 교차 검증하시기 바랍니다.
문의하기 : help@durumis.com