횡문근육종
"오늘의AI위키"의 AI를 통해 더욱 풍부하고 폭넓은 지식 경험을 누리세요.
1. 개요
횡문근육종은 골격근에서 발생하는 악성 종양으로, 1845년에 처음 기술되었고 1946년에 공식 분류되었다. 횡문근육종은 배아형, 포상형, 다형성, 방추세포/경화형의 네 가지 조직학적 아형으로 분류되며, 주로 소아에게 발생한다. 증상은 종양 발생 부위에 따라 다르며, 비뇨 생식기, 뇌막 주변, 사지 등에서 나타날 수 있다. 진단은 현미경 검사를 통해 이루어지며, 근육 특이적 단백질에 대한 면역조직화학 염색이 사용된다. 치료는 수술, 항암화학요법, 방사선 치료, 면역 요법을 포함한 다학제적 접근으로 이루어진다. 예후는 나이, 종양의 위치, 크기, 전이 여부 등 여러 요인에 따라 달라지며, 소아 연조직 육종 중 가장 흔한 유형이다.
더 읽어볼만한 페이지
- 결합조직 및 연조직의 신생물 - 중피종
중피종은 석면 노출이 주요 원인이며 20~50년의 잠복기를 거쳐 흉막, 복막 등에서 발생하는 악성 종양으로, 진단은 영상 검사 등을 통해 이루어지고 수술, 항암 치료 등을 병행하며 예후는 좋지 않다. - 결합조직 및 연조직의 신생물 - 카포시육종
카포시육종은 카포시육종 관련 헤르페스 바이러스 감염에 의한 혈관내피세포 암으로, 피부와 다양한 장기에 붉은색, 자주색, 갈색 또는 검은색의 결절이나 반점 형태의 병변을 유발하며, 임상적으로 여러 유형으로 분류되고, 생검 및 현미경 검사로 진단하며, 국소적 또는 전신적 치료, AIDS 관련형의 경우 고활성 항레트로바이러스 치료를 시행한다. - 육종 (종양) - 골육종
골육종은 뼈, 특히 장골의 골간단 부위에서 발생하는 악성 종양으로, 밤에 심해지는 통증, 부종, 병적 골절 등의 증상을 보이며, 유전적, 환경적 요인이 복합적으로 작용하는 것으로 추정되고, 수술 및 항암화학요법을 통해 치료하며, 예후는 병기 및 치료 반응에 따라 달라진다. - 육종 (종양) - 미분화 다형성 육종
미분화 다형성 육종은 다양한 모양과 크기를 가진 악성 연조직 종양으로, 분화의 증거가 거의 없으며, 주로 팔다리, 복부 등에서 발생하고, 수술적 절제, 방사선 치료, 화학 요법 등으로 치료한다. - 해부병리학 - 위축
위축은 정상적인 발달이나 질병으로 인해 신체 조직이나 기관의 크기가 감소하는 현상을 의미하며, 정상적인 발달, 노화, 질병, 약물 사용 등 다양한 원인에 의해 발생한다. - 해부병리학 - 육종 (종양)
육종은 골육종과 연조직 육종으로 분류되며, 뼈와 연부조직에서 발생하는 악성 종양으로, 방사선 노출, 유전적 요인 등이 위험 요인으로 작용하며, 영상 검사, 생검을 통해 진단하고 수술, 화학요법, 방사선 치료 등을 시행한다.
| 횡문근육종 | |
|---|---|
| 질병 개요 | |
| 이름 | 횡문근육종 |
| 영어 이름 | rhabdomyosarcoma |
| 분야 | 종양학 |
| 임상 정보 | |
| 증상 | 해당 정보 없음 |
| 합병증 | 해당 정보 없음 |
| 발병 시기 | 해당 정보 없음 |
| 지속 기간 | 해당 정보 없음 |
| 분류 | |
| 종류 | 해당 정보 없음 |
| ICD-10 | C49.M50 |
| ICD-9 | '171.9' |
| ICD-O | '8900/3-8920/3' |
| OMIM | '268210' |
| DiseasesDB | '11485' |
| MedlinePlus | '001429' |
| eMedicineSubj | ent |
| eMedicineTopic | '641' |
| MeshID | D012208 |
| GeneReviewsID | 해당 정보 없음 |
| GeneReviewsName | 해당 정보 없음 |
| 원인 및 위험 요소 | |
| 원인 | 해당 정보 없음 |
| 위험 요소 | 해당 정보 없음 |
| 진단 및 감별 진단 | |
| 진단 | 해당 정보 없음 |
| 감별 진단 | 해당 정보 없음 |
| 예방 및 치료 | |
| 예방 | 해당 정보 없음 |
| 치료 | 해당 정보 없음 |
| 약물 | 해당 정보 없음 |
| 예후 및 빈도 | |
| 예후 | 해당 정보 없음 |
| 빈도 | 해당 정보 없음 |
| 사망 | 해당 정보 없음 |
| 이미지 | |
![]() | |
2. 역사
횡문근육종은 1845년 독일의 의사 베버(Weber)가 처음 기술하였으나,[85] 1946년 아서 스타우트(Arthur Stout)의 논문에 이르러서야 횡문근육종(RMS)을 공식 분류하였다.[86] 처음 30년간의 연구는 독립적인 국립 암 연구소(NCI)의 지원을 받아 어린이 종양 그룹의 일부가 된 연합체인 IRSG(Intergroup Rhabdomyosarcoma Study Group)에서 수행했다.
횡문근육종은 진단이 어려워 아형을 정확하게 분류하기가 쉽지 않았다. 따라서 과거에는 기관마다 분류 체계가 달랐다. 하지만 2020년 세계보건기구(WHO)는 횡문근육종을 조직학적으로 네 가지 아형으로 분류했다.[17]
3. 종류 (아형)
이 외에, 모든 부위에 발생할 가능성이 있지만, 호발 부위가 존재한다.
전이는 환자의 15-25%에서 발생하며, 가장 흔한 전이 부위는 폐이다. 뼈, 골수, 림프절에도 전이될 수 있다.
소아 횡문근육종은 병리 조직학적 진단을 위해 현미경으로 관찰되는 종양 세포의 증식 패턴 및 형태에 따라[63] 태아형(ERMS)과 포상형(ARMS)의 두 가지 주요 조직형 아형으로 나뉜다.[64]
크게 태아형과 포상형의 2가지 종류로 분류된다.
태아형과 포상형은 다음과 같은 유형으로 더 세분화된다.3. 1. 배아형 (Embryonal)
배아 횡문근육종(ERMS)은 가장 흔한 조직학적 변종으로, 소아 환자의 약 60~70%를 차지한다. 출생 후 4세 미만의 어린이에게 가장 흔하며, 보고된 최대 발병률은 어린이 100만 명당 4건이다. ERMS는 기질이 풍부한 방추형 세포가 특징이며, 형태는 6~8주 된 배아의 발달 중인 근육 세포와 유사하다. 종양은 종종 머리와 목, 그리고 비뇨생식기에 나타난다.[19]
포도상 횡문근육종은 질, 방광 및 비인두(비인두의 경우 대개 나이가 더 많은 어린이에게 나타남)를 포함한 점막으로 덮인 장기에서 거의 항상 발견된다. 영향을 받은 장기에서 둥글고 포도송이 모양의 덩어리로 1세 미만의 유아에게 자주 나타난다. 조직학적으로, 포도상 변이의 세포는 상피(형성층) 아래의 조밀한 종양층으로 정의된다.[19] 이 아형은 예후가 좋다.[10][11] 포도상 횡문근육종은 때때로 성인 여성의 자궁경부나 자궁에서도 발견된다.[13]
발생 가능 부위는 다음과 같다.
전이는 환자의 15-25%에서 발생하며 가장 흔한 부위는 폐이다. 뼈, 골수, 림프절에도 전이된다.
태아형과 포상형의 2가지 종류로 크게 분류된다.
소아 횡문근육종은 병리 조직학적 진단을 위해 현미경으로 관찰되는 종양 세포의 증식 패턴 및 형태에 따라[63] 태아형(ERMS)과 포상형(ARMS)의 두 가지 주요 조직형 아형으로 나뉜다.[64] 태아형은 소아에게 많으며, 안와, 두경부, 비뇨생식기계 등에 종양이 생기는 경우가 많고, 장기적인 예후는 비교적 양호하다.[64] 또한 비강, 질, 방광 등 점막으로 덮인 관강 장기에도 생길 수 있는데, 이 경우에는 태아형의 특수형인 포도송이 모양의 조직 소견이 나타난다.[63]
태아형과 포상형은 다음과 같은 유형으로 더 세분화된다.3. 2. 포상형 (Alveolar)
포상횡문근육종(Alveolar rhabdomyosarcoma, ARMS)은 횡문근육종의 유형 중 두 번째로 흔하다. 횡문근육종 연관 종양의 약 20~25%를 차지하며, 0세에서 19세까지 모든 연령에서 백만 명당 한 건 정도 발생한다고 보고된다.[77][78] 주로 사지, 몸통, 복막에서 더 자주 발견되며, 배아형 횡문근육종(ERMS)보다 더 공격적으로 진행된다.[77][78]
폐포 횡문근육종 (ARMS)은 모든 연령대에서 고르게 분포하며 0세에서 19세 사이 인구 백만 명당 약 1건 정도 발생한다. 따라서 젊은 성인과 십대에서 가장 흔하게 관찰되는 횡문근육종 유형이다. 폐포와 유사한 공간 주위에 배열된 조밀하게 밀집된 둥근 세포가 특징이지만, 폐포 간격이 없는 변종도 발견되었다. 주로 사지, 몸통, 복막에서 형성되며, ERMS보다 더 공격적이다.
포상형 횡문근육종은 PAX3 유전자를 FOXO1 (FKHR) 유전자와 융합시키는 전좌 t(2;13), 그리고 PAX7 유전자를 FOXO1 (FKHR) 유전자와 융합시키는 전좌 t(1;13)과 관련이 있다.3. 3. 다형성 (Pleomorphic)
다형성횡문근육종은 주로 성인에게 발생하며 소아에서는 드물게 발생하고, 주로 사지에서 발견된다. 횡문근육종은 진단이 어려워 정확한 아형 분류에 어려움이 있었다. 다형성 횡문근육종(미분화 횡문근육종)은 역형성 횡문근육종이라고도 하며, 크고 엽상 과염색성 핵과 다극성 유사 분열상을 가진 다형성 세포의 존재로 정의된다. 이러한 종양은 높은 이질성과 극도로 낮은 분화를 보인다. 다형성 세포는 미만성이거나 국소적일 수 있으며, 미만성 변이는 더 나쁜 예후와 관련이 있다.[14] 성인에게서 가장 흔하게 발생하며, 어린이에게서는 드물게 발생하고, 종종 사지에서 발견된다.[9][15] 이러한 유형의 암은 뚜렷한 구분이 부족하기 때문에, 임상의는 특징이 거의 또는 전혀 없는 진단되지 않은 육종을 역형성 RMS로 분류하는 경우가 많다. 이는 RMS의 가장 공격적인 유형이며, 종종 집중적인 치료를 필요로 한다.[16]
3. 4. 방추세포/경화형 (Spindle-cell/sclerosing)
방추세포/경화형 횡문근육종은 2020년 WHO 연부조직 육종 분류에 새롭게 추가된 아형이다.[79]
이 아형은 평활근육종(평활근 암)과 매우 유사하며, 현저한 횡문근아세포 분화를 동반하는 다발성, 방추형, 평활근종성 성장 패턴을 보인다. 주로 고환 주위 부위에서 발생하며, 보고된 5년 생존율은 95%로 예후가 좋다.[11] 이 아형의 경화성 측면은 초자양 경화증과 유사 혈관 발생을 보인다.[18]
4. 증상과 징후
횡문근육종(RMS)은 체내 연조직이라면 거의 모든 곳에서 발생할 수 있지만, 원발 종양의 부위에 따라 증상과 징후가 크게 다를 수 있다. 비뇨기계 종양은 혈뇨, 요로 폐쇄, 고환 또는 질의 덩어리로 나타날 수 있다.[68][71] 후복막공간과 종격에 발생하는 경우에는 증상과 징후가 발생하기 전에 암의 크기가 상당히 증가할 수 있다. 뇌막 주위에 발생하는 종양은 뇌신경 기능 이상, 부비동염 증상, 귀 분비물, 두통, 그리고 얼굴 통증으로 나타날 수 있다.[68][71] 안와에 발생하는 종양은 안와 부종과 안구 돌출로 나타날 수 있다. 사지에 발생하는 종양은 발생 조직에서 빠르게 커지며 단단한 종양으로 나타난다.[68][71]
소아의 전형적인 사례에서는 전신 증상은 나타나지 않는다. 종양 발생 부위를 만져서 판별할 수 있는 단단한 종괴가 확인된다. 심부에 발생한 종양에서는 인접 장기가 압박되어 압박된 장기의 기능 장애나 혈뇨, 목소리 변화, 통증 등이 나타난다.
- 안와 및 상인두: 눈물, 안통, 안구 돌출.
- 상인두강: 코막힘, 목소리 변화, 점액농성 분비물.
- 비뇨생식기: 복통, 촉지 가능한 복부 종괴, 배뇨 곤란, 혈뇨.
- 사지: 밀착된 단단한 종괴가 상지 또는 하지의 모든 부위. 무증상인 채로 림프절로 전이. 폐, 골수
가장 흔한 원발 부위는 다음과 같다.[19]
| 부위 | 비율 |
|---|---|
| 비뇨생식기 | 24% |
| 곁수막 | 16% |
| 사지 | 19% |
| 안와 | 9% |
| 기타 두경부 | 10% |
| 기타 다양한 부위 | 22% |
전이는 환자의 15-25%에서 발생하며 가장 흔한 부위는 폐이다. 뼈, 골수, 림프절에도 전이된다.
5. 위험 인자
횡문근육종의 발생 위험을 증가시키는 요인으로는 다음과 같은 유전 질환이 있다.
성비는 남성(1.4): 여성(1.0)이며[60], 소아암 전체에서 차지하는 비율은 3%[61]에서 8% 정도[63]이다. 1세에서 4세 사이에 특히 많이 발생하며[62], 전체 환자의 2/3가 6세 이하[60]이다. 영아기, 5~7세경, 10대에서 발생 빈도가 높다.[60] 일본에서의 발병자 수는 연간 90명 정도로 추정된다.[63]
횡문근육종의 발병률을 높이는 질환으로 리-프라우메니 증후군, 신경섬유종 1형(NF1), 베크위드-비드만 증후군, 코스텔로 증후군, 누난 증후군, MEN2A 증후군 등이 알려져 있지만, 충분히 밝혀지지 않았다.[63]
다음은 연구 보고서에서 제시된 예후 인자이다.[60]
| 인자 분류 | 예후 양호 | 예후 불량 |
|---|---|---|
| 최초 발병 연령 | 1세 이상, 10세 미만 | 1세 미만, 10세 이상 |
| 종양 인자 종양 원발 부위 | 안와, 부수막을 제외한 두경부 비뇨생식기 (방광, 전립선을 제외), 담도 | 부수막, 방광·전립선, 사지 등 |
| 종양 직경 | 5cm 미만 | 5cm 이상 |
| 절제 가능 여부 | 완전 절제 | 종양 잔존 |
| 원격 전이 (4기) | 원격 전이 없음 | 원격 전이 + |
| 원격 전이 폐 | 2개 미만으로 절제 가능 | 2개 이상으로 절제 불가능 |
| 뼈, 골수 전이 | 없음 | 있음 |
| CPK나 LDH의 현저한 고치 | 없음 | 있음 |
| 병리 조직형 | 태아형 (포도상 육종 등 포함) | 포상형, 미분화 육종 |
| 유전자 이상 | 없음 | 융합 유전자 있음 |
| 유전자 이상 (PAX 유전자 간 비교) | PAX7-FKHR | PAX3-FKHR (FOXO1) |
| 치료 개시 후 100일 미만의 악화 | 없음 | 있음 |
| 방사선 치료 | 규정대로 조사됨 | 규정 조사 없음, 규정 위반 |
※ CPK: 크레아틴 포스포키나아제, LDH: 젖산 탈수소 효소
6. 진단
횡문근육종은 다른 암과의 유사성과 분화 수준의 다양성으로 인해 진단이 어렵다. H&E 염색에서의 소견을 통해 소청색원형세포종양으로 분류되기도 한다. 소청색원형세포종양을 보이는 다른 종류의 암에는 신경모세포종, 유잉육종, 림프종 등이 있으며, 횡문근육종을 진단할 때는 이와 유사한 소견을 보이는 질병들을 명확하게 배제해야 한다.[81]
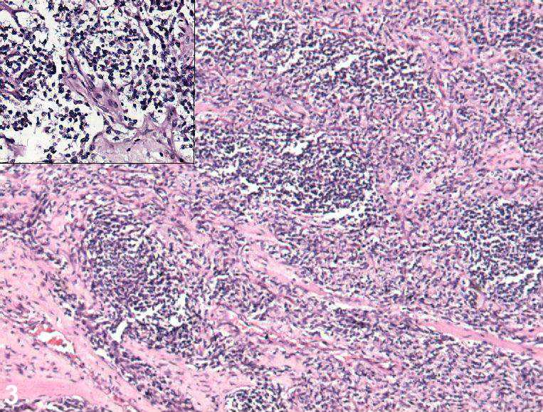
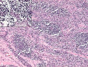
횡문근육종의 결정적인 진단적 특징은 현미경하에서 근육 형성(통통하고 분홍색 세포질로 나타남)을 동반한 악성 골격근 분화를 확인하는 것이다.[4] 가로 줄무늬가 있을 수도 있고 없을 수도 있다. 정확한 진단은 일반적으로 미오제닌, 근육 특이적 액틴, 데스민, D-미오신, myoD1과 같은 근육 특이적 단백질에 대한 면역조직화학 염색을 통해 이루어진다.[33][37][34] 특히 미오제닌은 횡문근육종에 매우 특이적인 것으로 나타났지만,[35] 각 단백질 표지자의 진단적 중요성은 악성 세포의 유형과 위치에 따라 다를 수 있다. 폐포형 횡문근육종은 근육 특이적 단백질 염색이 더 강한 경향이 있다. 전자 현미경 또한 진단에 도움이 될 수 있으며, 액틴과 미오신 또는 Z 띠의 존재는 횡문근육종의 양성 진단을 나타낸다.[4][37]
유형 및 아형으로의 분류는 세포 형태(폐포 간격, 캄비움 층의 존재, aneuploidy 등)에 대한 추가 분석과 종양 세포의 유전자 염기 서열 분석을 통해 이루어진다. 폐포형 횡문근육종에서 ''PAX3-FKHR'' 융합 유전자 발현과 같은 일부 유전자 표지자는 진단에 도움이 될 수 있다. 정확한 진단을 위해 충분한 조직을 얻으려면 일반적으로 절개 생검이 필요하다.
진단에는 혈액 검사, 소변 검사, 영상 검사, 골수 검사(생검)를 조합하여 실시한다.
; 영상 검사: 자기 공명 영상, 전산 단층 촬영, 양전자 방출 단층 촬영
7. 치료
횡문근육종 치료에는 수술, 항암화학요법, 방사선 치료, 면역항암요법을 포함한 다학제적 접근이 필요하다.[82][83] 수술은 보통 치료의 첫 단계이며, 종양 위치에 따라 제거 가능성이 달라진다. 일부 종양은 완전 절제가 불가능하거나 심각한 기능 손실을 일으키는 부위에 생긴다. 음성 절제면을 포함하여 완전히 절제할 수 있는 횡문근육종은 20% 미만이다.[7][39]
횡문근육종은 항암화학요법에 매우 민감하며 약 80%에서 반응을 보인다. 거의 모든 횡문근육종 환자에게 다제 항암화학요법이 권고된다. 수술 전과 수술 후 항암화학요법을 시행하기 이전에는 수술 후 생존율이 20% 미만이었으나, 현대 항암화학요법의 생존율은 약 60~70%이다.[82][83][7][39]
화학 요법 치료에는 빈크리스틴, 악티노마이신 D, 사이클로포스파미드로 구성된 VAC 요법과 이포스파미드, 빈크리스틴, 악티노마이신 D로 구성된 IVA 요법이 주로 쓰인다. 이 약물들은 질병의 병기와 다른 치료법에 따라 9~15주기로 투여된다.[37] VAC 요법에 독소루비신과 시스플라틴을 추가하면 폐포형, 초기 단계 횡문근육종 환자의 생존율이 증가하고, 방광 III기 횡문근육종 환자의 생존율 개선 및 방광 보존율을 두 배로 늘린다는 연구 결과도 있다.[14][37] 그러나 IV기 전이성 횡문근육종을 앓는 어린이 및 젊은 성인의 경우, 고용량 화학 요법이 표준 요법보다 효과적이라는 증거는 아직 부족하다.[40]
방사선 요법은 암세포를 죽이기 위해 집중된 방사선량을 사용하며, 횡문근육종 치료에 자주 권장된다. 이 치료법을 제외하면 재발률이 증가하는 것으로 나타났다. 종양 전체를 절제하는 것이 신체 변형이나 중요한 장기(눈, 방광 등)의 손실을 유발할 경우, 또는 불완전한 절제가 의심되는 경우에 방사선 요법이 사용된다.[19] 보통 화학 요법 6~12주 후에 방사선 요법을 시행하지만, 뇌, 척수, 두개골에 침투한 파라수막 종양의 경우에는 즉시 방사선 치료를 시작한다.[41][42] 고환, 방광, 질과 같이 민감한 부위에 종양이 있는 어린이에게는 근접 치료(작고 방사성인 "씨앗"을 종양 내부에 직접 배치)가 권장될 수 있다. 이는 산란을 줄이고 후기 독성 정도를 줄인다.[43]
면역 요법은 비교적 최근에 개발되고 있는 치료 방식으로, 환자의 면역 체계를 훈련시켜 암세포를 표적으로 삼도록 한다.
8. 예후
횡문근육종 환자의 예후는 다양한 요인에 따라 달라진다.[84][45] 여기에는 환자의 나이, 종양 발생 위치, 종양의 수술적 제거 가능 여부, 종양 크기, 림프절 전이 정도, 다른 부위로의 전이 여부 및 범위, 종양 세포의 생물학적·병리학적 특성이 포함된다.[84] 암 재발 후 생존율은 낮으므로 새로운 구제치료 전략이 필요하다.
소아 횡문근육종은 병리 조직학 진단을 위해 현미경으로 관찰했을 때 보이는 종양 세포의 증식 패턴과 형태에 따라 크게 태아형(ERMS)과 포상형(ARMS) 두 가지 유형으로 나뉜다.[63][64] 태아형은 주로 소아에게서 발견되며, 눈 주위(안와), 머리와 목, 비뇨생식기계에 종양이 발생하고, 장기적인 예후는 비교적 좋다.[64] 비강, 질, 방광 등 점막으로 덮인 관강 장기에도 발생할 수 있는데, 이 경우 포도송이 모양의 조직 소견을 보이는 태아형의 특수한 형태로 나타난다.[63] 포상형은 나이가 많은 어린이나 청소년에게서 주로 나타나며, 몸통과 팔다리에 종양이 발생한다. 포상형은 전이와 재발이 잘 되고, 치료 저항성이 높아 태아형보다 악성으로 간주된다.[64]
예후 인자는 다음과 같다.[60]
| 인자 분류 | 예후 양호 | 예후 불량 |
|---|---|---|
| 최초 발병 연령 | 1세 이상, 10세 미만 | 1세 미만, 10세 이상 |
| 종양 인자 종양 원발 부위 | 안와, 부수막을 제외한 두경부, 비뇨생식기 (방광, 전립선 제외), 담도 | 부수막, 방광·전립선, 사지 등 |
| 종양 직경 | 5cm 미만 | 5cm 이상 |
| 절제 가능 여부 | 완전 절제 | 종양 잔존 |
| 원격 전이 (4기) | 원격 전이 없음 | 원격 전이 있음 |
| 원격 전이 폐 | 2개 미만으로 절제 가능 | 2개 이상으로 절제 불가능 |
| 뼈, 골수 전이 | 없음 | 있음 |
| CPK나 LDH의 현저한 고치 | 없음 | 있음 |
| 병리 조직형 | 태아형 (포도상 육종 등 포함) | 포상형, 미분화 육종 |
| 유전자 이상 | 없음 | 융합 유전자 있음 |
| 유전자 이상 (PAX 유전자 간 비교) | PAX7-FKHR | PAX3-FKHR (FOXO1) |
| 치료 개시 후 100일 미만의 악화 | 없음 | 있음 |
| 방사선 치료 | 규정대로 조사됨 | 규정 조사 없음, 규정 위반 |
※ CPK: 크레아틴 포스포키나아제, LDH: 젖산 탈수소 효소
9. 역학
횡문근육종은 소아에서 가장 흔한 연조직 육종이며, 소아 고형 종양 중 세 번째로 흔하다. 최근 추산에 따르면 이 질환의 발병률은 어린이/청소년 100만 명당 약 4.5건이며, 매년 미국에서 약 250건의 새로운 사례가 발생한다.[44][45] 횡문근육종 사례의 대다수가 어린이 또는 청소년에게서 발생하며, 보고된 사례의 2/3가 10세 미만의 청소년에게서 발생한다.[4]
횡문근육종은 여성보다 남성에게서 약간 더 자주 발생하며, 그 비율은 약 1.3–1.5:1이다. 또한 백인 어린이에 비해 흑인 및 아시아 어린이에게서 질병 유병률이 약간 더 낮게 보고되었다.[46][47][48] 일본에서의 발병자 수는 연간 90명 정도로 추정된다.[63]
대부분의 경우 횡문근육종 발병에 대한 명확한 소인 위험 요소는 없다. 뚜렷한 원인 없이 산발적으로 발생하는 경향이 있다. 그러나 횡문근육종은 신경섬유종증 1형,[49] 베크위드-비드만 증후군,[50][51] 리-프라우메니 증후군,[52] 심장얼굴피부 증후군,[53] 및 코스텔로 증후군을 포함한 가족성 암 증후군 및 선천적 이상과 관련이 있다.[54] 또한 부모의 코카인 및 마리화나 사용과도 관련이 있다.[55]
성비는 남성(1.4): 여성(1.0)[60], 소아암 전체에서 차지하는 비율은 3%[61]에서 8% 정도[63]로, 1세에서 4세 사이에 특히 많이 발생하며[62], 전체의 2/3가 6세 이하[60]이다. 영아기, 5~7세경, 10대에서 발생의 피크가 있다.[60]
참조
[1]
웹사이트
What Is Rhabdomyosarcoma?
https://www.cancer.o[...]
2021-02-11
[2]
서적
Robbins basic pathology
2018
[3]
간행물
Diagnosis of the small round blue cell tumors using multiplex polymerase chain reaction
http://jmd.amjpathol[...]
2021-02-07
[4]
간행물
Common musculoskeletal tumors of childhood and adolescence
null
1999-07
[5]
간행물
The Intergroup Rhabdomyosarcoma Study-I. A final report
null
1988-01
[6]
간행물
The Intergroup Rhabdomyosarcoma Study-II
null
1993-03
[7]
간행물
Biology and therapy of pediatric rhabdomyosarcoma
1995-08-01
[8]
간행물
Metastatic rhabdomyosarcoma and histologically similar tumors in childhood: a retrospective European multi-center analysis
null
1992
[9]
간행물
Disease patterns and survival rate in children with metastatic soft-tissue sarcoma. A report from the Intergroup Rhabdomyosarcoma Study (IRS)-I
null
1988-10
[10]
간행물
Classification of rhabdomyosarcomas and related sarcomas. Pathologic aspects and proposal for a new classification--an Intergroup Rhabdomyosarcoma Study
null
1995-09
[11]
간행물
Intergroup Rhabdomyosarcoma Study: update for pathologists
1998-12-01
[12]
간행물
Recent advances in understanding and managing rhabdomyosarcoma
2015-01-01
[13]
간행물
Embryonal rhabdomyosarcoma (botryoid type) of the uterine corpus and cervix in adult women: report of a case series and review of the literature.
2013-03
[14]
간행물
Biopsy or debulking surgery as initial surgery for locally advanced rhabdomyosarcomas in children?: the experience of the Italian Cooperative Group studies
2007-12-01
[15]
간행물
Primary reexcision for patients with 'microscopic residual' tumor following initial excision of sarcomas of trunk and extremity sites
1989-01-01
[16]
간행물
Analysis of prognostic factors in patients with nonmetastatic rhabdomyosarcoma treated on intergroup rhabdomyosarcoma studies III and IV: the Children's Oncology Group
2006-08-20
[17]
간행물
The 2020 WHO Classification: What's New in Soft Tissue Tumor Pathology?
2021-01
[18]
간행물
Sclerosing rhabdomyosarcoma in adults: report of four cases of a hyalinizing, matrix-rich variant of rhabdomyosarcoma that may be confused with osteosarcoma, chondrosarcoma, or angiosarcoma
2002-09-01
[19]
서적
Holland-Frei Cancer Medicine
BC Decker
2017-09-10
[20]
간행물
Intergroup rhabdomyosarcoma study-IV: results for patients with nonmetastatic disease
2001-06-15
[21]
웹사이트
Risk Factors for Rhabdomyosarcoma
https://www.cancer.o[...]
2021-02-11
[22]
간행물
DICER1 Syndrome: DICER1 Mutations in Rare Cancers.
2018-05-15
[23]
간행물
Fusion of PAX7 to FKHR by the Variant t(1;13)(p36;q14) Translocation in Alveolar Rhabdomyosarcoma
http://cancerres.aac[...]
2016-05-23
[24]
간행물
Rearrangement of the PAX3 paired box gene in the paediatric solid tumour alveolar rhabdomyosarcoma
1993-02-01
[25]
간행물
Molecular assays for chromosomal translocations in the diagnosis of pediatric soft tissue sarcomas
1995-02-15
[26]
간행물
Common and variant gene fusions predict distinct clinical phenotypes in rhabdomyosarcoma
1997-05-01
[27]
간행물
PAX3–FOXO1 Establishes Myogenic Super Enhancers and Confers BET Bromodomain Vulnerability
null
2017-08-01
[28]
간행물
Allelotype of pediatric rhabdomyosarcoma
1997-09-01
[29]
간행물
Amplification of a gene encoding a p53-associated protein in human sarcomas
https://deepblue.lib[...]
2019-09-16
[30]
간행물
Gains, losses, and amplification of genomic material in rhabdomyosarcoma analyzed by comparative genomic hybridization
1996-07-15
[31]
간행물
Pax3 inhibits myogenic differentiation of cultured myoblast cells
1995-05-19
[32]
간행물
MEK inhibition induces MYOG and remodels super-enhancers in RAS-driven rhabdomyosarcoma
2018-07-04
[33]
간행물
Rhabdomyosarcoma—working out the pathways
1999-09-20
[34]
간행물
Are myogenin and myoD1 expression specific for rhabdomyosarcoma? A study of 150 cases, with emphasis on spindle cell mimics
2001-09-01
[35]
간행물
Myogenin is a specific marker for rhabdomyosarcoma: an immunohistochemical study in paraffin-embedded tissues
2000-09-01
[36]
논문
Pretreatment TNM staging of childhood rhabdomyosarcoma: a report of the Intergroup Rhabdomyosarcoma Study Group. Children's Cancer Study Group. Pediatric Oncology Group
1997-09-15
[37]
논문
Rhabdomyosarcoma: an overview
1999-01-01
[38]
논문
Rhabdomyosarcoma: the Stanford experience using a TNM staging system
1986-03-01
[39]
논문
Progress in the diagnosis and treatment of rhabdomyosarcoma and related soft tissue sarcomas
2000-01-01
[40]
논문
High-dose chemotherapy for children and young adults with stage IV rhabdomyosarcoma
2010-12-08
[41]
논문
Improved prognosis with intensive treatment of children with cranial soft tissue sarcomas arising in nonorbital parameningeal sites. A report from the Intergroup Rhabdomyosarcoma Study
1987-01-01
[42]
논문
Treatment of children and adolescents with localized parameningeal sarcoma: experience of the Intergroup Rhabdomyosarcoma Study Group protocols IRS-II through –IV, 1978–1997
2002-01-01
[43]
논문
A 10-year experience of pediatric brachytherapy
1995-05-15
[44]
논문
Trends in childhood rhabdomyosarcoma incidence and survival in the United States, 1975–2005
2009-09-15
[45]
서적
Childhood Rhabdomyosarcoma Treatment (PDQ®): Health Professional Version
https://www.ncbi.nlm[...]
National Cancer Institute (US)
2017-09-10
[46]
서적
Principles and practice of pediatric oncology. 3rd ed
Lippincott-Raven
[47]
논문
Childhood cancer and ethnic group in Britain: a United Kingdom children's Cancer Study Group (UKCCSG) study.
1991-09-01
[48]
논문
International variations in the incidence of childhood soft-tissue sarcomas
1994-01-01
[49]
논문
Association of childhood rhabdomyosarcoma with neurofibromatosis type I and birth defects
https://zenodo.org/r[...]
1995-01-01
[50]
논문
Association of alveolar rhabdomyosarcoma with the Beckwith-Wiedemann syndrome
2001-12-01
[51]
논문
Miscellaneous genodermatoses: Beckwith-Wiedemann syndrome, Birt-Hogg-Dube syndrome, familial atypical multiple mole melanoma syndrome, hereditary tylosis, incontinentia pigmenti, and supernumerary nipples
1995-01-01
[52]
논문
Germ line p53 mutations in a familial syndrome of breast cancer, sarcomas, and other neoplasms
1990-11-30
[53]
논문
Rhabdomyosarcoma in a patient with cardio-facio-cutaneous syndrome
1999-10-01
[54]
논문
Five additional Costello syndrome patients with rhabdomyosarcoma: proposal for a tumor screening protocol
2002-02-15
[55]
논문
Parents' use of cocaine and marijuana and increased risk of rhabdomyosarcoma in their children
https://link.springe[...]
2020-03-29
[56]
논문
Anatomische Untersuchung einer hypertrophischen Zunge nebst Bemerkungen über die Neubildung quergestreifter Muskelfasern
https://zenodo.org/r[...]
2022-11-14
[57]
논문
Rhabdomyosarcoma of the Skeletal Muscles
1946-03-01
[58]
논문
Survivin-responsive conditionally replicating adenovirus kills rhabdomyosarcoma stem cells more efficiently than their progeny.
2014-01
[59]
논문
頬部に発生した胞巣型横紋筋肉腫の1例
https://doi.org/10.5[...]
日本臨床細胞学会
2000
[60]
간행물
横紋筋肉腫 診療ガイドライン
https://www.jspho.jp[...]
日本小児血液・がん学会
[61]
웹사이트
横紋筋肉腫
https://www.msdmanua[...]
[62]
웹사이트
横紋筋肉腫〈小児〉
https://ganjoho.jp/c[...]
[63]
웹사이트
横紋筋肉腫
http://www.f.kpu-m.a[...]
[64]
논문
筋発生分化と横紋筋肉腫の発生病態
http://www.f.kpu-m.a[...]
2013
[65]
간행물
5章 推奨と委員会合意3 治療とケアの実際 1. 医学的適応の検討
http://www.jspm.ne.j[...]
2010
[66]
저널
The 2020 WHO Classification: What’s New in Soft Tissue Tumor Pathology?
https://journals.lww[...]
2021-01
[67]
서적
Robbins basic pathology
https://archive.org/[...]
2018
[68]
저널
Common musculoskeletal tumors of childhood and adolescence
1999-07-29
[69]
저널
The Intergroup Rhabdomyosarcoma Study-I. A final report
1988-01-15
[70]
저널
The Intergroup Rhabdomyosarcoma Study-II
1993-03-01
[71]
논문
Biology and therapy of pediatric rhabdomyosarcoma
1995-08-01
[72]
논문
Metastatic rhabdomyosarcoma and histologically similar tumors in childhood: A retrospective european multi‐center analysis
https://onlinelibrar[...]
1992-01
[73]
논문
Disease patterns and survival rate in children with metastatic soft-tissue sarcoma: A report from the intergroup rhabdomyosarcoma study (IRS)-I
https://onlinelibrar[...]
1988-10-01
[74]
논문
Classification of rhabdomyosarcomas and related sarcomas. Pathologic aspects and proposal for a new classification-an intergroup rhabdomyosarcoma study
https://onlinelibrar[...]
1995-09-15
[75]
논문
Classification of rhabdomyosarcomas and related sarcomas. Pathologic aspects and proposal for a new classification-an intergroup rhabdomyosarcoma study
https://onlinelibrar[...]
1995-09-15
[76]
논문
Intergroup Rhabdomyosarcoma Study: Update for Pathologists
http://journals.sage[...]
1998-11
[77]
논문
Intergroup Rhabdomyosarcoma Study: Update for Pathologists
http://journals.sage[...]
1998-11
[78]
서적
Rhabdomyosarcoma
https://www.ncbi.nlm[...]
BC Decker
2003
[79]
논문
The 2020 WHO Classification: What’s New in Soft Tissue Tumor Pathology?
https://journals.lww[...]
2021-01
[80]
논문
Intergroup Rhabdomyosarcoma Study: Update for Pathologists
http://journals.sage[...]
1998-11
[81]
서적
Rhabdomyosarcoma
https://www.ncbi.nlm[...]
BC Decker
2003
[82]
논문
Biology and therapy of pediatric rhabdomyosarcoma.
https://ascopubs.org[...]
1995-08
[83]
논문
Progress in the Diagnosis and Treatment of Rhabdomyosarcoma and Related Soft Tissue Sarcomas
http://www.tandfonli[...]
2000-01
[84]
서적
Childhood Rhabdomyosarcoma Treatment (PDQ®): Health Professional Version
http://www.ncbi.nlm.[...]
National Cancer Institute (US)
2002
[85]
논문
Anatomische Untersuchung einer hypertrophische Zunge nebst Bemerkungen uber die Neubildung quergestreifter Muskelfasern.
1854
[86]
논문
Rhabdomyosarcoma of the Skeletal Muscles
1946-03-01
본 사이트는 AI가 위키백과와 뉴스 기사,정부 간행물,학술 논문등을 바탕으로 정보를 가공하여 제공하는 백과사전형 서비스입니다.
모든 문서는 AI에 의해 자동 생성되며, CC BY-SA 4.0 라이선스에 따라 이용할 수 있습니다.
하지만, 위키백과나 뉴스 기사 자체에 오류, 부정확한 정보, 또는 가짜 뉴스가 포함될 수 있으며, AI는 이러한 내용을 완벽하게 걸러내지 못할 수 있습니다.
따라서 제공되는 정보에 일부 오류나 편향이 있을 수 있으므로, 중요한 정보는 반드시 다른 출처를 통해 교차 검증하시기 바랍니다.
문의하기 : help@durumis.com
