가슴
"오늘의AI위키"의 AI를 통해 더욱 풍부하고 폭넓은 지식 경험을 누리세요.
1. 개요
가슴은 척추동물의 목과 복부 사이에 위치하며, 심장, 폐 등의 중요한 장기를 보호하는 부위이다. 흉곽, 근육, 내부 장기, 외부 구조로 구성되며, 흉곽은 척추, 늑골, 흉골 등으로 이루어져 심장과 폐를 보호하고 호흡 운동을 돕는다. 흉부에는 다양한 질병과 손상이 발생할 수 있으며, 흉통은 심근 경색의 증상일 수 있어 주의해야 한다. 한국어에서 '가슴'은 신체 부위뿐 아니라 감정이나 심리 상태를 나타내는 다양한 표현으로 사용되며, 여성의 유방을 지칭하기도 한다.
인간의 가슴은 골격, 장기, 근육 등의 여러 기관으로 이루어져 있다.
2. 해부학적 구조
인간과 다른 유인원에서 흉부는 목과 복부 사이의 신체 부위로, 내부 기관 및 기타 내용물을 포함한다. 흉부는 주로 갈비뼈, 척주 및 어깨뼈에 의해 보호되고 지지된다.
가슴 안에는 심장, 폐 (및 흉선); 큰 가슴근, 작은 가슴근, 등세모근, 목 근육; 그리고 가로막, 식도, 기관, 그리고 칼돌기로 알려진 흉골의 일부와 같은 내부 구조가 포함된다. 또한 동맥과 정맥 (대동맥, 상대정맥, 하대정맥 및 폐동맥); 뼈 (상부 상완골을 포함하는 어깨 소켓, 어깨뼈, 흉골, 척추의 흉부, 빗장뼈, 갈비뼈와 뜬갈비뼈)가 포함된다.
외부 구조는 인간 피부와 젖꼭지이다.
해부학적으로 가슴으로 취급되는 기관으로는 다음이 있다.
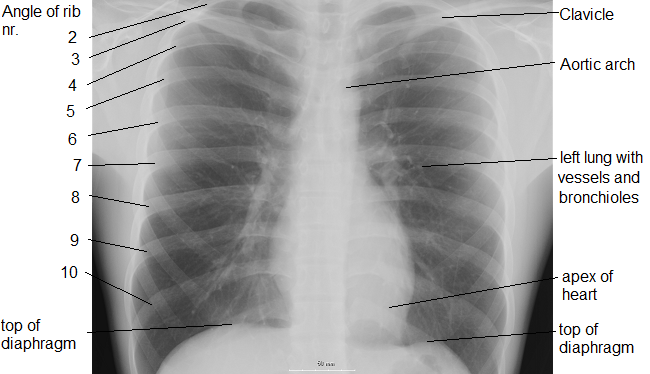
사람의 흉곽(영어: thorax영어, 독일어: Brustkorbde, 라틴어: thorax, pectus)은 목과 복부 사이에 있으며, 심장, 폐 등 생체에 중요한 장기를 담는 체부로, 원뿔대 모양의 뜬장 구조로 되어 있으며, 탄력성이 풍부하다. 흉곽 뒤쪽에는 지주가 되는 12개의 척추가 있다. 이 척추를 기점으로 12쌍의 늑골이 앞쪽 아래로 향하고, 측면에서 다시 위로 향하며, 늑연골을 통해 흉골과 연결되어 늑골 케이지(rib cage)를 구성한다. 이 골격에 늑간근 외 기타 흉부 제근, 근막, 횡격막이 부착되어 흉곽이 되고, 그 내벽을 늑막이 덮어 흉강(thoracic cavity)을 형성한다.
흉강의 중심부에는 심장, 대혈관, 기관, 식도, 신경, 흉선을 내포하는 종격이 있으며, 그 주위에 폐가 있다. 폐는 폐문에서 종격 조직, 기관과 연락된다. 흉곽은 심장, 폐를 외부로부터 보호하는 한편, 늑간근, 횡격막, 복근 외, 필요에 따라 사각근, 흉쇄유돌근, 소흉근 등의 호흡 보조근을 작동시켜 호흡 운동을 한다. 상부의 출구는 목과 연결되고, 하부는 횡격막으로 복부와 구분되어 있다. 선천성 기형, 후천성 변형, 신경근 질환, 외상 등에 의해 흉곽의 구조, 기능이 교란되면 심폐 기능에 장애를 초래한다.
2. 1. 뼈대 (흉곽)
인간의 가슴 부위를 이루는 뼈는 척추, 가슴뼈, 갈비뼈, 빗장뼈 등이다.[6] 흉곽의 뼈는 "흉곽 골격"이라고 불리며, 축 골격의 구성 요소이다. 흉곽은 목과 복부 사이에 있으며, 심장, 폐 등 생체에 중요한 장기를 담는 체부로, 원뿔대 모양의 뜬장 구조로 되어 있으며, 탄력성이 풍부하다. 흉곽 뒤쪽에는 지주가 되는 12개의 척추가 있다. 이 척추를 기점으로 12쌍의 늑골이 앞쪽 아래로 향하고, 측면에서 다시 위로 향하며, 늑연골을 통해 흉골과 연결되어 늑골 케이지(rib cage)를 구성한다.
흉곽의 갈비뼈는 1~12번으로 오름차순으로 번호가 매겨진다. 11번과 12번 갈비뼈는 흉골에 부착되는 연골이 없기 때문에 뜬갈비뼈(부유 갈비뼈)라고 불린다.[6] 8번부터 10번 갈비뼈는 그들의 늑연골이 위의 갈비뼈의 늑연골과 연결되므로 거짓 갈비뼈라고 불린다. 흉곽 뼈는 대동맥과 같은 흉곽 부위의 심장, 폐, 그리고 주요 혈관을 보호하는 주요 기능을 한다.[6]
이 골격에 늑간근 외 기타 흉부 제근, 근막, 횡격막이 부착되어 흉곽이 되고, 그 내벽을 늑막이 덮어 흉강(thoracic cavity)을 형성한다. 흉강의 중심부에는 심장, 대혈관, 기관, 식도, 신경, 흉선을 내포하는 종격이 있으며, 그 주위에 폐가 있다. 폐는 폐문에서 종격 조직, 기관과 연락된다. 흉곽은 심장, 폐를 외부로부터 보호하는 한편, 늑간근, 횡격막, 복근 외, 필요에 따라 사각근, 흉쇄유돌근, 소흉근 등의 호흡 보조근을 작동시켜 호흡 운동을 한다. 상부의 출구는 목과 연결되고, 하부는 횡격막으로 복부와 구분되어 있다. 선천성 기형, 후천성 변형, 신경근 질환, 외상 등에 의해 흉곽의 구조, 기능이 교란되면 심폐 기능에 장애를 초래한다.
2. 2. 근육 및 막
가슴을 이루는 주된 근육은 큰가슴근과 작은가슴근이다. 또한 가슴과 배 사이에는 횡격막이 있어 호흡 운동을 돕는다.
2. 3. 내부 장기
가슴의 내부에는 허파, 심장과 같은 순환기 기관이 있다. 가슴 안에는 심장, 폐 (및 흉선)이 포함된다. 동맥과 정맥 (대동맥, 상대정맥, 하대정맥 및 폐동맥)도 가슴을 통과한다. 그 외에도 가로막, 식도, 기관이 가슴 내부에 위치한다.
2. 4. 외부 구조
인체에서, 몸의 앞쪽, 목과 가로막 사이의 흉부 부위를 가슴이라고 한다. 동물에서도 이와 일치하는 부위를 가슴이라고 부를 수 있다.
가슴의 모양은 흉곽의 일부인 심장과 폐를 둘러싼 부분과는 일치하지 않는다. 어깨의 넓이는 어깨뼈에 기인하며, 겨드랑이와 상완골 머리를 포함한다. 정중선에서는 위쪽에 목패임이 보이며, 그 아래 약 세 손가락 너비 지점에서 가로 능선이 만져지는데, 이는 흉골각으로 알려져 있으며, 흉골의 자루와 몸통 사이의 접합부를 나타낸다. 이 선과 같은 높이에서 두 번째 갈비뼈가 흉골에 연결되며, 이 갈비뼈를 찾으면 아래쪽 갈비뼈도 종종 셀 수 있다. 흉골의 하단부, 즉 일곱 번째 또는 마지막 진성 갈비뼈가 연결되는 부분에서 검상 연골이 시작되며, 이 위에는 종종 위의 오목이라고 알려진 함몰부가 있다.
가슴의 해부학은 해부학적 랜드마크를 사용하여 설명할 수도 있다. 남성의 젖꼭지는 네 번째 갈비뼈 앞이나 약간 아래에 위치하며, 수직적으로는 쇄골 중앙에서 아래로 그은 선의 약간 바깥쪽에 위치한다. 여성의 젖꼭지는 위치가 일정하지 않다. 그 아래 약간 아래에는 큰 가슴 근육의 하한선이 위로 뻗어 겨드랑이로 뻗어 나가는 것을 볼 수 있다. 여성의 경우 이는 유방에 의해 가려지는데, 유방은 수직적으로 두 번째에서 여섯 번째 갈비뼈까지, 가슴뼈의 가장자리에서 중간 겨드랑이선까지 뻗어 있다. 여성의 젖꼭지는 반 인치 정도 더 짙게 착색된 원반인 유륜으로 둘러싸여 있다. 정상적인 심장의 꼭대기는 다섯 번째 왼쪽 늑간 공간에 있으며, 정중선에서 3.5인치 떨어져 있다.
3. 발생과 진화
포유류에서 가슴은 흉골, 흉부 척추와 갈비뼈로 형성된 신체 부위이다. 이는 목에서 가로막까지 뻗어 있으며, 상지는 포함하지 않는다. 심장과 폐는 많은 혈관뿐만 아니라 흉강에 위치해 있다. 내부 장기는 흉곽과 흉골에 의해 보호된다. 흉추는 조류에서도 구별되지만, 파충류에서는 그렇지 않다.
육상 척추동물의 경우, 가슴에는 앞발이 있으며, 주로 몸을 지탱하는 역할을 한다. 체내에는 폐와 심장이 있다. 또한, 사람이나 원숭이의 경우에는 앞에 유방이 있다.
네 발로 걷는 포유류에서는 유방과 젖꼭지가 뒷발 근처에 있는 경우도 많아, 가슴에 포함되지 않는다. 한편, 해부학에서는 그 체내 기관을 가슴에 포함하는 경우가 있다.
절지동물의 경우, 가슴은 머리 뒤, 배 앞의 합체절로, 다리 등이 붙어 있다. 또한, 곤충에서는 등 쪽에 2쌍의 날개가 있다. 일반적으로 몸을 지탱하고 운동의 지점이 되는 부위를 가슴이라고 부른다.
3. 1. 포유류
대부분의 포유류는 인간과 유사한 구조의 가슴을 갖고 있다. 포유류의 가슴은 흉골, 흉부 척추와 갈비뼈로 형성되며, 목에서 가로막까지 뻗어 있다. 심장과 폐는 흉강에 위치하며, 흉곽과 흉골에 의해 보호된다. 육상 척추동물의 가슴에는 앞발이 있어 몸을 지탱하는 역할을 한다.
사람이나 원숭이의 경우에는 가슴에 유방이 있다. 네 발로 걷는 포유류에서는 유방과 젖꼭지가 뒷발 근처에 있어 가슴에 포함되지 않는 경우도 있지만, 해부학에서는 체내 기관을 가슴에 포함하기도 한다.
3. 2. 절지동물
절지동물의 가슴은 머리 뒤, 배 앞의 합체절로, 다리 등이 붙어 있다. 곤충의 경우 등 쪽에 2쌍의 날개가 있다. 일반적으로 몸을 지탱하고 운동의 지점이 되는 부위를 가슴이라고 부른다.
곤충, 갑각류, 그리고 멸종된 삼엽충에서 가슴은 생물의 세 가지 주요 분절 가운데 하나이며, 각 분절은 여러 마디로 구성되어 있다. 곤충의 날개와 다리가 부착되는 부위이며, 삼엽충에서는 여러 개의 관절판이 있는 부위이다.
대부분의 곤충에서 가슴 자체는 앞가슴, 가운데가슴, 뒷가슴의 세 마디로 구성된다. 현존하는 곤충에서 앞가슴에는 날개가 없지만, 성충에는 항상 다리가 존재한다. 날개(존재하는 경우)는 최소한 가운데가슴에 국한되며, 일반적으로 뒷가슴에도 존재하지만, 어느 쪽 또는 두 마디 모두에서 축소되거나 변형될 수 있다. 고생벌 벌목에서는 첫 번째 복부 마디가 뒷가슴과 융합되어 전구를 형성하며, 이러한 곤충에서 기능적인 가슴은 네 개의 마디로 구성되어 중체라고 불린다.
곤충의 각 가슴 마디는 등쪽 부분(등판), 측면 부분(가슴옆판; 각 측면에 하나씩), 배쪽 부분(흉판)으로 세분화된다. 일부 곤충에서는 이러한 각 부분이 멤브레인으로 연결된 하나에서 여러 개의 독립적인 외골격 판(경판)으로 구성되지만, 많은 경우 경판은 다양한 정도로 융합되어 있다.
4. 기능
4. 1. 주요 장기 보호
흉곽은 목과 복부 사이에 있으며, 심장, 폐 등 생체에 중요한 장기를 담는 체부이다. 흉곽은 원뿔대 모양의 뜬장 구조로 되어 있으며, 탄력성이 풍부하다. 흉곽 뒤쪽에는 지주가 되는 12개의 척추가 있고, 이 척추를 기점으로 12쌍의 늑골이 앞쪽 아래로 향하고, 측면에서 다시 위로 향하며, 늑연골을 통해 흉골과 연결되어 늑골 케이지(rib cage)를 구성한다. 흉곽은 심장, 폐를 외부로부터 보호한다.4. 2. 호흡 운동
5. 임상적 중요성

흉부에는 다양한 질병 또는 상태가 발생할 수 있는데, 흉막염, 연가슴, 무기폐, 흉통 등이 있다.[7] 이러한 상태는 유전적이거나 선천성 결함, 또는 외상으로 인해 발생할 수 있다.[7] 깊게 숨을 쉬거나 기침하는 능력을 저하시키는 모든 상태는 흉부 질환 또는 상태로 간주된다.[7]
흉부 손상(흉부 외상, 흉부 손상 또는 흉부 외상이라고도 함)은 미국에서 외상으로 인한 사망의 상당 부분을 차지한다.[7] 둔탁한 흉부 외상에서 발생하는 주요 병태생리는 공기 또는 혈액의 흐름, 또는 둘 다의 혼합에 대한 장애를 포함한다. 식도 천공과 같이 소화관 내용물의 누출로 인한 패혈증 또한 고려해야 한다. 둔탁한 외상은 일반적으로 흉벽 손상(예: 늑골 골절)을 유발한다. 이러한 부상과 관련된 통증은 호흡을 어렵게 만들 수 있으며, 이는 환기를 손상시킬 수 있다. 폐 타박상과 같은 직접적인 폐 손상은 주요 흉부 외상과 자주 관련되어 있으며 유사한 메커니즘으로 환기를 손상시킬 수 있다.
흉통의 또 다른 비심장성 원인은 무기폐이다. 이는 폐의 일부가 무공기 상태로 붕괴될 때 발생하는 질환이다. 기관지가 막히면 이 질환이 발생하여 환자는 숨가쁨을 느낀다. 무기폐의 가장 흔한 원인은 기관에서 뻗어나온 기관지가 막혀 공기를 가두는 경우이다. 막힘은 점액 덩어리, 종양, 또는 동전, 음식 조각, 장난감과 같은 흡입된 이물질과 같이 기관지 내의 무언가에 의해 발생할 수 있다.[9] 기관지 외부의 무언가가 막힘을 유발할 수도 있다.
기흉은 공기 또는 가스가 흉막강에 축적될 수 있는 질환이다. 알려진 원인 없이 발생하거나 폐 질환 또는 급성 폐 손상의 결과로 발생할 수 있다.[10] 기흉의 크기는 공기 또는 가스가 축적됨에 따라 변하므로 의료 시술을 통해 바늘로 압력을 해소할 수 있다. 치료하지 않으면 혈류가 중단되어 긴장성 기흉으로 알려진 혈압 강하를 유발할 수 있다. 작은 경우에는 저절로 치유될 수 있다. 이 질환의 증상은 종종 폐의 한쪽에서만 느껴지거나 숨 가쁨으로 나타난다.
흉통은 호흡 문제, 소화 문제, 근골격계 합병증 등 여러 문제의 결과일 수 있다.[8] 이 통증은 심장 문제를 유발할 수도 있는데, 느껴지는 모든 통증이 심장과 관련된 것은 아니지만 가볍게 넘겨서는 안 된다.[8] 심장 문제는 가슴에 갑작스러운 압박감이나 등, 목, 팔에 짓눌리는 듯한 통증을 유발하는 반면, 비심장 문제로 인한 통증은 소화관을 따라 타는 듯한 느낌이나 깊은 숨을 쉬려고 할 때 통증을 유발한다.[8]
가슴 통증은 심근 경색('심장 마비')의 증상일 수 있다.[8] 이 상태가 몸에 나타나면 몸에 무거운 물건이 올려진 것과 유사한 불편함이 가슴에서 느껴진다.[8] 땀, 숨가쁨, 현기증, 그리고 불규칙한 심장 박동도 경험할 수 있다.[8] 심장 마비가 발생하면 처음 6시간 동안 대부분의 손상이 발생하므로 가능한 한 빨리 적절한 치료를 받는 것이 중요하다.[8] 일부 사람, 특히 노인이나 당뇨병 환자는 전형적인 가슴 통증이 없을 수 있지만 심장 마비의 다른 많은 증상을 보일 수 있으므로, 이러한 환자와 간병인은 심장 마비 증상에 대한 좋은 이해를 갖는 것이 중요하다.[8]
흉부 질환은 다양한 진료과에서 다룬다. 내과에서는 호흡기내과와 순환기내과가, 외과에서는 흉부외과와 유방외과가 흉부 질환을 진료한다. 그 외에도 피부과, 정형외과, 성형외과, 미용외과, 방사선과 등에서 흉부 질환을 진료하는 경우가 있다.
5. 1. 질병 및 손상
흉부에는 다양한 질병 및 손상이 발생할 수 있다.[7] 흉막염, 연가슴, 무기폐 등이 흉부에 영향을 미치는 질환의 예시이다.[7] 이러한 상태는 유전적이거나 선천성 결함, 또는 외상으로 인해 발생할 수 있다. 깊게 숨을 쉬거나 기침하는 능력을 저하시키는 모든 상태는 흉부 질환 또는 상태로 간주된다. 흉부 손상(흉부 외상, 흉부 손상 또는 흉부 외상이라고도 함)은 미국에서 외상으로 인한 사망의 상당 부분을 차지한다.[7]둔탁한 흉부 외상에서 발생하는 주요 병태생리는 공기 또는 혈액의 흐름, 또는 둘 다의 혼합에 대한 장애를 포함한다. 식도 천공과 같이 소화관 내용물의 누출로 인한 패혈증 또한 고려해야 한다. 둔탁한 외상은 일반적으로 흉벽 손상(예: 늑골 골절)을 유발한다. 이러한 부상과 관련된 통증은 호흡을 어렵게 만들 수 있으며, 이는 환기를 손상시킬 수 있다. 폐 타박상과 같은 직접적인 폐 손상은 주요 흉부 외상과 자주 관련되어 있으며 유사한 메커니즘으로 환기를 손상시킬 수 있다.
흉통의 또 다른 비심장성 원인은 무기폐이다. 이는 폐의 일부가 무공기 상태로 붕괴될 때 발생하는 질환이다. 기관지가 막히면 이 질환이 발생하여 환자는 숨가쁨을 느낀다. 무기폐의 가장 흔한 원인은 기관에서 뻗어나온 기관지가 막혀 공기를 가두는 경우이다. 막힘은 점액 덩어리, 종양, 또는 동전, 음식 조각, 장난감과 같은 흡입된 이물질과 같이 기관지 내의 무언가에 의해 발생할 수 있다.[9] 기관지 외부의 무언가가 막힘을 유발할 수도 있다.
기흉은 공기 또는 가스가 흉막강에 축적될 수 있는 질환이다. 알려진 원인 없이 발생하거나 폐 질환 또는 급성 폐 손상의 결과로 발생할 수 있다.[10] 기흉의 크기는 공기 또는 가스가 축적됨에 따라 변하므로 의료 시술을 통해 바늘로 압력을 해소할 수 있다. 치료하지 않으면 혈류가 중단되어 긴장성 기흉으로 알려진 혈압 강하를 유발할 수 있다. 작은 경우에는 저절로 치유될 수 있다. 이 질환의 증상은 종종 폐의 한쪽에서만 느껴지거나 숨 가쁨으로 나타난다.
5. 2. 흉통
흉통은 호흡 문제, 소화 문제, 근골격계 합병증 등 여러 문제의 결과일 수 있다.[8] 이 통증은 심장 문제를 유발할 수도 있는데, 느껴지는 모든 통증이 심장과 관련된 것은 아니지만 가볍게 넘겨서는 안 된다.[8] 심장 문제는 가슴에 갑작스러운 압박감이나 등, 목, 팔에 짓눌리는 듯한 통증을 유발하는 반면, 비심장 문제로 인한 통증은 소화관을 따라 타는 듯한 느낌이나 깊은 숨을 쉬려고 할 때 통증을 유발한다.[8]가슴 통증은 심근 경색('심장 마비')의 증상일 수 있다.[8] 이 상태가 몸에 나타나면 몸에 무거운 물건이 올려진 것과 유사한 불편함이 가슴에서 느껴진다.[8] 땀, 숨가쁨, 현기증, 그리고 불규칙한 심장 박동도 경험할 수 있다.[8] 심장 마비가 발생하면 처음 6시간 동안 대부분의 손상이 발생하므로 가능한 한 빨리 적절한 치료를 받는 것이 중요하다.[8] 일부 사람, 특히 노인이나 당뇨병 환자는 전형적인 가슴 통증이 없을 수 있지만 심장 마비의 다른 많은 증상을 보일 수 있으므로, 이러한 환자와 간병인은 심장 마비 증상에 대한 좋은 이해를 갖는 것이 중요하다.[8]
5. 3. 진료과
흉부 질환은 다양한 진료과에서 다룬다. 내과에서는 호흡기내과와 순환기내과가, 외과에서는 흉부외과와 유방외과가 흉부 질환을 진료한다. 그 외에도 피부과, 정형외과, 성형외과, 미용외과, 방사선과 등에서 흉부 질환을 진료하는 경우가 있다.6. 문화적 의미
한국어에서 "가슴"은 신체 부위뿐만 아니라 마음이나 생각을 나타내는 다양한 표현에 사용된다.
- 가슴을 빌리다
- 가슴을 쓸어내리다
- 가슴이 설레다
- 가슴을 부풀리다
등은 감정이나 심리 상태를 나타내는 관용구로 사용된다.
또한, 여성의 유방은 가슴에 달려 있기 때문에, 유방을 나타내는 말로 사용되기도 한다(예: "가슴이 작다" 등).
6. 1. 마음과 관련된 표현
"가슴을 빌리다", "가슴을 쓸어내리다", "가슴이 설레다", "가슴을 부풀리다" 등은 감정이나 심리 상태를 나타내는 관용구로 사용된다.6. 2. 여성의 유방
여성의 유방은 가슴에 달려 있기 때문에, 유방을 나타내는 말로 사용되기도 한다(예: "가슴이 작다" 등).7. 용어
7. 1. 어원
흉부(Thorax)라는 단어는 고대 그리스어 θώραξ (thṓrax/θώραξgrc) "흉갑, 갑옷, 코르셋"[4]에서 유래되었다.[5]7. 2. 한국어와 영어의 대응
한국어 "가슴"은 영어의 "chest", "breast", "bust", "thorax", "thoracic cavity" 등 다양한 단어의 의미를 포함할 수 있다. "chest"는 흉부를 의미하며, "breast"는 여성의 가슴 앞부분, 즉 어깨에서 허리까지의 범위를 가리킨다. "bust"는 상반신 또는 여성의 가슴을, 특히 의복 위에서의 외형을 가리킬 때 사용된다. 해부학에서 "thorax"는 흉곽을, "thoracic cavity"는 흉강을 의미한다.참조
[1]
웹사이트
Definition: Thorax
https://www.oxfordle[...]
[2]
DorlandsDict
thorax
[3]
MeSH name
Thorax
[4]
문서
θώραξ
https://www.perseus.[...]
[5]
서적
Oxford English Dictionary
https://www.oed.com/[...]
Oxford University Press
[6]
간행물
Anatomy, Thorax, Ribs
https://www.ncbi.nlm[...]
StatPearls Publishing
2024
[7]
문서
Penetrating Chest Trauma
http://www.emedicine[...]
2005
[8]
웹사이트
Chest Diseases
http://www.chestdise[...]
2010-01-26
[9]
웹사이트
Atelectasis
http://www.merck.com[...]
2010-01-26
[10]
웹사이트
Pleurisy
http://www.nhlbi.nih[...]
2010-01-26
[11]
사전
가슴
국립국어원
본 사이트는 AI가 위키백과와 뉴스 기사,정부 간행물,학술 논문등을 바탕으로 정보를 가공하여 제공하는 백과사전형 서비스입니다.
모든 문서는 AI에 의해 자동 생성되며, CC BY-SA 4.0 라이선스에 따라 이용할 수 있습니다.
하지만, 위키백과나 뉴스 기사 자체에 오류, 부정확한 정보, 또는 가짜 뉴스가 포함될 수 있으며, AI는 이러한 내용을 완벽하게 걸러내지 못할 수 있습니다.
따라서 제공되는 정보에 일부 오류나 편향이 있을 수 있으므로, 중요한 정보는 반드시 다른 출처를 통해 교차 검증하시기 바랍니다.
문의하기 : help@durumis.com