갈비뼈
"오늘의AI위키"의 AI를 통해 더욱 풍부하고 폭넓은 지식 경험을 누리세요.
1. 개요
갈비뼈는 흉곽을 이루는 납작뼈로, 사람을 포함한 다양한 동물에서 발견된다. 사람은 12쌍의 갈비뼈를 가지며, 흉추에 부착되어 내부 장기를 보호한다. 갈비뼈는 구조와 형태에 따라 참갈비뼈, 거짓갈비뼈, 뜬갈비뼈로 구분된다. 갈비뼈는 호흡에 관여하며, 골절이나 늑연골염과 같은 임상적 문제의 원인이 되기도 한다. 또한, 음식으로도 널리 사용되며, 다양한 요리에 활용된다.
더 읽어볼만한 페이지
- 몸통 뼈대 - 쇄골
쇄골은 어깨뼈와 위팔을 연결하는 뼈로, 어깨 구조를 지지하고 충격을 흡수하며, 견쇄관절을 형성하고, 골절이 흔하게 발생하여 골절 유형에 따라 치료 방법이 달라진다. - 몸통 뼈대 - 몸통뼈대
몸통뼈대는 몸의 중심으로서 골반을 몸통에 연결하고 주요 장기를 보호하며, 머리, 목, 등, 사지 움직임에 관여하는 근육의 부착 지점 역할을 하는 뼈대로, 뇌머리뼈, 얼굴뼈, 귓속뼈, 목뿔뼈, 척추, 가슴우리 등으로 구성되고 인간은 총 81개의 뼈로 이루어져 있다. - 가슴 - 식도
식도는 소화계의 상부 기관으로, 입 뒤에서 시작하여 위까지 연결되며, 음식물 역류를 막고 삼키는 기능을 수행하며 다양한 질환이 발생할 수 있다. - 가슴 - 미주신경
미주신경은 뇌에서 시작하여 내장을 지배하며 심박수 조절, 위장관 운동 등 다양한 기능을 수행하고, 미주신경 자극술은 치료에 사용되며 기능 장애는 다양한 증상을 유발할 수 있다. - 뼈대계 - 외골격
외골격은 다양한 생물에서 발견되는 외부 보호막 또는 지지 구조로, 포식 방어, 근육 부착, 탈수 방지 등의 역할을 하며, 화석 연구에 기여하고 신소재 개발에 영감을 주지만, 화석 기록 편향과 해양 환경의 영향을 받는다. - 뼈대계 - 내골격
내골격은 동물의 몸속에서 지지, 운동, 보호 기능을 하는 골격 구조로, 척삭동물, 극피동물, 해면동물 등에서 발견되며, 척삭동물의 경우 척추, 두개골 등으로 구성되고 뼈, 연골, 콜라겐 등으로 이루어질 수 있다.
2. 인체 해부학
인간은 24개(12쌍)의 갈비뼈를 가지고 있다. 첫 7쌍은 참갈비뼈(true ribs)라고 하며, 복장뼈(sternum)에 갈비연골(costal cartilage)을 통해 관절한다. 나머지 5쌍은 거짓갈비뼈(false ribs)라 하며, 이 중 셋은 하나의 갈비연골을 통해 복장뼈에 연결되어 있고, 둘(11번째와 12번째 갈비뼈)은 뜬갈비뼈(floating ribs) 또는 척추갈비뼈라 하여 복장뼈와 관절하지 않는다. 일부 사람에게는 뜬갈비뼈 두 개 중 하나가 없거나, 세 개인 경우도 있다. 성경의 아담과 하와 이야기에 빗대어 남자가 여자보다 갈비뼈가 하나 적다고 생각하는 것은 잘못된 상식이다.[12]
갈비뼈는 뒤쪽 끝에서 흉추의 늑골와 및 횡돌기 늑골와에서 관절을 형성하고, 앞쪽 끝에서는 늑연골로서 흉골과 결합하고 있다.
2. 1. 갈비뼈의 구조

갈비뼈는 머리, 목, 몸통(또는 ''자루''), 결절, 각 부분으로 구성된다.
'''갈비뼈 머리'''는 척추 옆에 위치하며, 머리와 목에 각각 하나씩 있는 두 개의 늑골척추관절로 척추에 연결된다. 갈비뼈 머리는 위쪽과 아래쪽 관절 부위를 가지고 있으며, 능선으로 분리되어 있다. 이들은 연결된 척추의 위늑골오목면과 아래늑골오목면과 관절을 이룬다.[5] 능선은 같은 번호의 척추에 갈비뼈를 연결하는 갈비뼈머리내관절인대에 부착된다. 방사늑골머리인대는 갈비뼈 머리를 위쪽 척추의 몸통과 아래쪽 척추의 몸통 모두에 연결하며, 인대의 작은 중간 부분은 추간판에 연결된다. 이 평면관절을 갈비뼈 머리 관절이라고 한다.
늑골횡돌기관절은 목의 결절과 같은 갈비뼈 번호의 흉추 가로돌기 사이에 있는 또 다른 늑골척추관절이다. 위늑골횡돌기인대는 결절의 비관절면에서 척추의 가로돌기에 부착된다.
'''갈비뼈 목'''은 머리에서 가쪽으로 뻗어 있는 평평한 부분으로, 길이는 약 3cm이다. 앞면은 평평하고 매끄러운 반면, 뒷면에는 수많은 구멍이 뚫려 있고 표면이 거칠어 목의 인대에 부착된다. 위쪽 경계는 앞쪽 늑골횡돌기인대에 부착하기 위한 거친 능선(''crista colli costae'')을 나타내며, 아래쪽 경계는 둥글다.
'''갈비뼈 결절'''은 갈비뼈 목의 뒷면에 있으며, 관절면과 비관절면 두 개의 면(표면)을 가진다. 관절면은 작고 타원형이며 두 개 중 아래쪽에 있고 더 안쪽에 있으며, 같은 갈비뼈 번호의 흉추 횡늑골면에 연결된다.[5] 횡늑골면은 머리가 연결된 두 개의 척추 중 아래쪽 척추의 가로돌기 끝에 있다. 비관절 부분은 거친 융기이며 결절의 인대에 부착된다. 결절은 아래쪽 갈비뼈보다 위쪽 갈비뼈에서 훨씬 더 두드러진다.
2. 2. 흉곽

가슴우리(흉곽)는 가로막(횡격막, diaphragm)으로, 호흡 조절에 관여하는 아래 복부와 구분된다.[2] 가로막이 수축하면 가슴우리가 팽창하며, 이는 가슴 내의 기압을 떨어뜨려 폐 안으로 공기가 들어올 수 있게 해준다.[2] 횡격막이 연결된 하부 갈비뼈가 근육에 의해 안정되고 중심 힘줄이 움직일 때, 근육이 수축하면 중심 힘줄이 아래로 당겨져 그 아래의 강을 압축하고 흉강을 아래로 확장시킨다. 중심 힘줄이 안정되고 하부 갈비뼈가 움직일 때, 횡격막의 수축은 갈비뼈를 들어 올리며, 이는 다른 근육과 함께 흉부 들여쓰기를 위로 확장하는 데 작용한다.
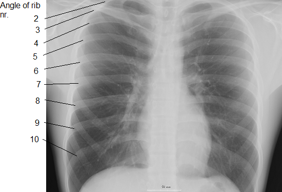
사람은 12쌍(총 24개)의 갈비뼈를 가지고 있다. 앞쪽에서 늑연골로서 흉골과 결합하고 있다.
- '''참갈비뼈(진늑골)''' : 1번 ~ 7번 갈비뼈(7쌍)는 갈비연골(costal cartilage)을 통해 복장뼈(흉골, sternum)에 직접 연결된다.[6] 1번 갈비뼈는 짧고 평평하며 C자형으로, 흉골병에 부착된다. 2번에서 7번 갈비뼈는 아래로 내려갈수록 길어지고 덜 휘어진다.[7]
- '''거짓갈비뼈(가늑골)''' : 8번 ~ 12번 갈비뼈(5쌍).[12]
- 8번 ~ 10번 갈비뼈(3쌍)는 하나의 갈비연골을 통해 복장뼈에 간접적으로 연결된다.
- '''뜬갈비뼈(부유늑골)''' : 11번 ~ 12번 갈비뼈(2쌍)는 복장뼈와 연결되지 않고 척추에만 연결되어 있다.[2]
일반적으로 사람의 갈비뼈는 1번에서 7번 갈비뼈까지 길이가 증가하고, 12번 갈비뼈를 거쳐 다시 길이가 감소한다. 이러한 크기 변화와 함께 갈비뼈는 1번에서 9번 갈비뼈까지 점차 기울어지며, 12번 갈비뼈를 거쳐 덜 기울어진다.[7]
3. 발생학
초기 인간 배아 발생 시기 동안, 체절이 형성되고 곧 세 개의 중배엽 성분, 즉 근절, 피부절, 경절로 세분된다. 척추와 갈비뼈는 경절에서 발달한다.[8]
수정 후 4주차 (인간 수정) 동안 척추체에 늑골 돌기가 형성된다. 이러한 돌기는 척추 아치와 연관되어 발달하는 중간엽의 작고 측면으로 튀어나온 부분이다. 5주차 동안 흉추의 늑골 돌기가 길어져 갈비뼈를 형성한다. 6주차에는 늑골-척추 관절이 발달하기 시작하여 갈비뼈를 척추와 분리한다. 앞쪽에서 처음 7쌍의 갈비뼈, 즉 진갈비뼈가 흉골 막대에 연결된다. 태아 단계가 되면 흉골 막대가 완전히 융합된다.[8]
갈비뼈는 연골로 시작하여 나중에 골화되는데, 이를 연골내 골화라고 한다. 1차 골화 중심은 각 갈비뼈의 각도 근처에 위치하며, 골화는 머리와 목에서 멀어지는 방향으로 계속된다. 청소년기 동안 2차 골화 중심이 갈비뼈의 결절과 머리에 형성된다.[8]
갈비뼈는 척추체와 마찬가지로, 연속하는 2개의 중배엽 체절의 골편 형성 세포의 작용을 받아 체절 사이에서 생긴다. 갈비뼈의 기원은 경절에 있지만, 발생 과정에서 경절과 근절의 상호 작용이 갈비뼈의 발달에 필요하다는 것이 확인되었다. 갈비뼈는 연골의 골화에 의해 형성되며, 진피성 외골격에서 유래하는 것으로 추정되는 복늑과는 형성 과정을 달리한다.[10]
4. 동물 해부학


포유류는 보통 가슴 부위에만 갈비뼈가 있다고 생각하기 쉽지만, 일부 척추 동물은 목이나 엉덩뼈에서 융합된 갈비뼈의 흔적이 발견되기도 한다. 단공류는 경추 갈비뼈가 존재하며, 수아강 포유류에서 경추 및 요추 갈비뼈는 척추에 융합된 작은 잔재인 '''횡돌기'''로만 발견된다. 일반적으로 인간의 갈비뼈 구조와 수는 다른 포유류와 유사하며, 미추 갈비뼈는 발견되지 않는다.[9] 개는 보통 26개의 갈비뼈를 가지고 있다.
투아타라는 체간의 거의 모든 부분에 긴 갈비뼈를 가지며, 꼬리뼈에도 갈비뼈가 존재한다. 도마뱀은 악어와 유사하지만, 기저 종과 파생 종에서 차이가 보인다. 게코는 모든 경추에 갈비뼈를 가지는 반면, 더 특수화된 도마뱀은 환추와 축추에 갈비뼈를 가지지 않는다. 날도마뱀은 체간 후부에 매우 긴 갈비뼈를 가지고 있으며, 이를 바깥쪽으로 회전시켜 막을 이용하여 활공할 수 있다.[10]
거북은 경늑골을 가지지 않는다. 2개의 천늑골을 제외한 체간의 갈비뼈는 등갑과 유합되어 거북 특유의 갑각을 형성하며, 천늑골의 원위단은 장골과 유착되어 뒷다리 띠의 고정에 기여한다.[10]
조류는 대부분 첫 번째와 두 번째 갈비뼈가 경추와 관절하며, 세 번째 갈비뼈부터 여덟 번째 갈비뼈까지는 흉골을 가진다. 또한, 많은 흉늑골은 구상돌기라고 불리는 돌기를 가지며, 골격을 조여준다. 흉곽 뒤쪽의 갈비뼈는 복합 천골의 아래면에 유합된다.[10]
고래 중 일부는 9쌍, 나무늘보는 24쌍의 흉골을 가지기도 하지만, 사람을 포함한 대다수 유인원(오랑우탄 제외)은 12쌍을 가진다. 제11·12 늑골은 늑연골이 흉골과 관절하지 않아 전복부가 열린 상태를 이룬다.[10] 유인원은 요추에 2쌍의 늑골을 가지며, 사람도 기형으로 경추나 요추에 늑골을 가지는 경우가 있다.[10]
사지동물의 갈비뼈는 늑골두와 늑골결절을 가지며, 척추와 관절한다. 늑골결절은 횡돌기의 선단과 관절하지만, 늑골두의 관절 패턴은 주로 4가지가 알려져 있다.[10]
양막류는 갈비뼈가 척추에 인접하는 늑골 척추부와, 복측에서 흉골과 관절하는 경우도 있는 늑골 흉골부로 크게 나뉜다. 사람의 늑골 흉골부는 연골성이며, 이처럼 Costal cartilage|늑연골영어을 유지하는 동물도 알려져 있다.[10]
4. 1. 어류
턱어류는 척추에 부착된 두 세트의 갈비뼈를 가진 경우가 많다. 한 세트인 '''등쪽 갈비뼈'''는 주요 근육 분절의 위쪽과 아래쪽 부분을 나누는 중격에서 발견되며, 척추에서 대략 옆으로 뻗어 있다. 다른 세트인 '''배쪽 갈비뼈'''는 등쪽 갈비뼈 바로 아래 척추에서 나오며, 하체를 둘러싸고 있으며, 종종 끝에서 연결된다. 모든 종이 두 유형의 갈비뼈를 모두 가지고 있는 것은 아니며, 등쪽 갈비뼈가 가장 흔하게 없다. 예를 들어 상어는 배쪽 갈비뼈가 없고, 매우 짧은 등쪽 갈비뼈만 가지고 있다. 일부 경골어에서는 근육 덩어리 내에 갈비뼈와 같은 뼈가 더 있을 수 있다.[9]어류는 바깥쪽으로 뻗는 등쪽 갈비뼈와 배쪽으로 활 모양으로 뻗는 배쪽 갈비뼈의 2가지 유형의 갈비뼈를 가진다. 항문 앞쪽의 배쪽 갈비뼈는 배쪽의 정중선에 도달하지 않고, 항문 뒤쪽의 배쪽 갈비뼈 또는 그 기부는 유합되어 혈관궁을 형성한다.[10]
원시적인 조기강으로 여겨지는 폴립테루스나 일부 경골어류(농어 등)는 등쪽 갈비뼈와 배쪽 갈비뼈를 모두 가지고 있다. 대다수의 어류는 배쪽 갈비뼈만, 상어 등은 등쪽 갈비뼈만 가지고 있으며, 해마, 은상어, 가오리와 같은 소수의 경골어류는 갈비뼈 자체가 없다. 칠성장어와 먹장어는 현존하는 무악류로, 갈비뼈를 가지고 있지 않지만, 이는 애초에 그들이 갈비뼈가 관절하는 척추체를 가지고 있지 않기 때문으로 생각된다.[10]
4. 2. 사지동물
사지동물은 어류의 등쪽 갈비뼈와 상동일 가능성이 있는 한 세트의 갈비뼈만 가지고 있다. 초기 조류에서는 모든 척추가 한 쌍의 갈비뼈를 가지고 있었지만, 흉추에 있는 갈비뼈가 가장 길었다. 천추는 골반의 일부를 형성하여 척추를 엉덩이뼈에 연결했기 때문에 튼튼하고 짧았다.[9]대부분의 현존하는 사지동물에서는 이러한 초기 갈비뼈 중 많은 수가 사라졌으며, 양서류와 파충류에서는 갈비뼈 구조와 수에 큰 변화가 있다.
양서류의 갈비뼈는 흉곽을 형성하지 않는다. 무미목(개구리)이나 유미목(도롱뇽)의 갈비뼈는 짧으며, 특히 무미목에서는 가로돌기와 유합한다. 또한, 무미목에서만 갈비뼈 머리와 갈비뼈 결절로의 분화가 일어나지 않는다.[10] 반면에 무족류(무족영원)의 갈비뼈는 길고, 파충류의 뱀과 마찬가지로 운동 능력에 기여한다.[10]
파충류에서는 갈비뼈가 목에서 엉치뼈까지 척추 모든 부분을 따라 있는 경우도 있다. 거북은 단 8쌍의 갈비뼈만 가지고 있으며, 이는 뼈 또는 연골질의 등갑과 배갑으로 발달한다.[9] 반면, 뱀은 몸통 전체 길이를 따라 많은 갈비뼈를 가지고 있으며, 두 번째 척추뼈부터 꼬리뼈까지 갈비뼈를 가진다. 뱀의 갈비뼈는 흉골이 아닌 인대에 의해 복측에서 연결된다. 코브라는 날도마뱀과 마찬가지로 갈비뼈를 펼쳐 위협 행동을 할 수 있다.[10] 악어는 체간의 많은 척추뼈에 긴 갈비뼈를, 경추의 대부분에 짧은 갈비뼈를 가지고 있다.[10]
조류에서는 갈비뼈가 흉부 부위에만 별개의 뼈로 존재하지만, 작은 융합된 갈비뼈는 경추에 존재한다. 조류의 흉부 갈비뼈는 뒤쪽으로 넓은 돌출부인 '''갈고리 돌기'''를 가지고 있으며, 어깨 근육의 부착 부위이다.[9]
포유류의 갈비뼈는 흉곽에만 한정되어 있으며[10], 이를 통해 흉추와 요추의 정의가 가능하게 된다.[11]
5. 임상적 중요성
갈비뼈는 미용 또는 치료 목적으로 수술을 통해 제거하기도 한다. 사람의 갈비뼈는 폐와 심장을 보호하고, 간, 비장을 거의 내부에 수납하며 신장도 일부 보호한다.
5. 1. 갈비뼈 골절
갈비뼈 골절은 흉부 외상 중 흔하게 나타나는 것으로, 주요 원인으로는 외부 충격 외에 기침 등으로 인한 피로 골절이 있다. 심폐 및 대혈관 손상이 없는 경우, 압통, 피하 출혈, 종창, 압박 시 마찰음 등이 증상으로 나타난다.5. 2. 늑연골염
감염성 늑연골염의 경우 해당 부위를 수술로 제거한다.[13]5. 3. 갈비뼈 수술
의료 목적으로 신장 수술 시 방해가 되는 제9 늑골, 제10 늑골, 제11 늑골, 제12 늑골 중 하나를 제거하는 경우가 있다.[14][15]한국 정부 인증 미용 성형외과에서는 코 성형 시 "비중격 연장술"에 필요한 연골이 부족한 경우, 갈비뼈 끝부분에서 채취한 Costal cartilage|늑연골영어을 사용하기도 한다.[16][17] 늑연골은 자신의 조직 중 채취 가능한 양이 많다는 장점이 있지만,[16] 시간이 지나면서 휘는 성질 때문에 콧대나 코끝이 휠 가능성이 있고, 흉부에 흉터가 남는다는 단점도 있다.[17][18]
스웨덴 출신 모델 픽시 폭스는 2015년 허리 40cm를 만들기 위해 미용 목적으로 허리 부위 갈비뼈 6개를 제거하는 수술을 받았다.[19]
6. 음식으로서의 갈비뼈
음식으로서의 갈비는 여러 동물에게서 얻을 수 있으며 다양한 요리에 사용된다. 갈비찜에 사용되는 갈비는 살코기가 적은 부위이며, 보통 여러 개를 한 덩어리로 요리한다. 5개 이상의 갈비는 '랙(rack)'이라고 부르며, 양 갈비가 대표적인 예이다.
쇼트립은 소고기 갈비 부위로, 한 개 또는 여러 개를 묶어 '플레이트'로 제공한다. 립 스테이크는 소고기 갈비로 만든 스테이크로, 여러 나라에서 인기 있는 요리이다. 돼지 갈비와 스페어 립은 유럽 요리와 아시아 요리에서 널리 사용된다.
7. 기타
참조
[1]
간행물
Chapter 18 - Trunk Control: Supporting Functional Independence
http://www.sciencedi[...]
Mosby
2016-01-01
[2]
간행물
Chapter 7 - Applied Clinical Respiratory Physiology
http://www.sciencedi[...]
Mosby
2008-01-01
[3]
논문
Evaluation of congenital rib anomalies with multi-detector computed tomography in the Turkish population
2023-01-26
[4]
서적
Clinically Oriented Anatomy
Wolters Kluwer
2018
[5]
서적
Atlas of human anatomy
Saunders
2014
[6]
간행물
Chapter 7 - Applied Clinical Respiratory Physiology
http://www.sciencedi[...]
Mosby
2008-01-01
[7]
문서
Anatomy and Physiology: The Unity of Form and Function
McGraw-Hill
2010
[8]
서적
Human embryology
Churchill Livingstone
2001
[9]
서적
The Vertebrate Body
Holt-Saunders International
[10]
서적
ケント 脊椎動物の比較解剖学
緑書房
[11]
논문
脊柱と椎骨の形態学
https://doi.org/10.2[...]
[12]
웹사이트
肋骨 {{!}} 看護師の用語辞典 {{!}} 看護roo![カンゴルー]
https://www.kango-ro[...]
2022-06-16
[13]
논문
開胸手術後に生じた肋骨弓を含む感染性肋軟骨炎の治療経験
https://doi.org/10.1[...]
[14]
웹사이트
根治的腎摘除術
https://medical.nikk[...]
2022-06-16
[15]
웹사이트
開放性腎部分切除術を受けられる方へ
http://www.uro.med.t[...]
2022-06-16
[16]
웹사이트
自分にぴったりの鼻整形手術を選択 韓国政府認証JK美容外科
https://www.jkplasti[...]
2022-06-16
[17]
웹사이트
鼻中隔延長術・鼻の整形|神戸大学医学部附属病院 美容外科~Kobe University Hospital Aesthetic Surgery~
https://www.med.kobe[...]
2022-06-16
[18]
웹사이트
鼻の肋軟骨移植術の効果やデメリットについて美容外科医が解説 共立美容外科【公式コラム】|美容整形、美容医療専門クリニック
https://www.kyoritsu[...]
2022-03-13
[19]
웹사이트
"「アニメキャラになりたい」と整形を繰り返す女性に賛否 肋骨を6本切除、眼球にインプラントを注入"
https://nlab.itmedia[...]
2016-06-03
[20]
웹사이트
肋骨骨折
https://www.jsfr.jp/[...]
日本骨折治療学会
2022-02-26
본 사이트는 AI가 위키백과와 뉴스 기사,정부 간행물,학술 논문등을 바탕으로 정보를 가공하여 제공하는 백과사전형 서비스입니다.
모든 문서는 AI에 의해 자동 생성되며, CC BY-SA 4.0 라이선스에 따라 이용할 수 있습니다.
하지만, 위키백과나 뉴스 기사 자체에 오류, 부정확한 정보, 또는 가짜 뉴스가 포함될 수 있으며, AI는 이러한 내용을 완벽하게 걸러내지 못할 수 있습니다.
따라서 제공되는 정보에 일부 오류나 편향이 있을 수 있으므로, 중요한 정보는 반드시 다른 출처를 통해 교차 검증하시기 바랍니다.
문의하기 : help@durumis.com