둔기외상
"오늘의AI위키"의 AI를 통해 더욱 풍부하고 폭넓은 지식 경험을 누리세요.
1. 개요
둔기외상은 신체에 가해지는 외부의 둔탁한 힘에 의해 발생하는 손상을 의미하며, 자동차 사고, 추락, 폭행 등이 주요 원인이다. 둔기외상은 복부, 흉부, 두개골, 골반, 사지 등 다양한 부위에서 발생할 수 있으며, 손상 부위와 정도에 따라 타박상에서부터 장기 파열, 뇌 손상, 골절 등 심각한 결과를 초래할 수 있다. 초기 평가 및 진단을 통해 생명을 위협하는 손상을 먼저 치료하고, 손상 정도에 따라 수술 또는 보존적 치료를 시행한다. 둔기외상은 전 세계적으로 젊은 층의 주요 사망 원인 중 하나이며, 예방을 위해 안전 수칙 준수가 중요하다.
더 읽어볼만한 페이지
- 외상 - 감전
감전은 전류가 인체를 통과하며 발생하는 전기적 충격으로, 다양한 요인에 따라 위험성이 달라지며 심각한 경우 사망에 이를 수 있고, 예방을 위해 안전 수칙 준수가 필수적이지만, 의료적 목적으로 활용되기도 하며 윤리적 논란의 여지도 있다. - 외상 - 칼부림
칼부림은 인류 역사에서 발생해 온 사건으로, 암살에 사용되기도 하며, 칼에 찔릴 경우 내부 출혈, 쇼크, 감염 등으로 사망에 이를 수 있다. - 응급질환 - 저혈량증
저혈량증은 순환혈액량 감소로 인해 조직 관류가 저하되는 상태로, 출혈, 위장관 문제, 과도한 발한, 신장 기능 장애 등의 다양한 원인으로 발생하며 두통, 피로, 저혈압, 빈맥 등의 증상을 유발하고 심각한 경우 쇼크로 이어질 수 있다. - 응급질환 - 저혈당증
저혈당증은 혈당 수치가 70 mg/dL 미만으로 감소한 상태를 의미하며, 뇌에 포도당 공급 부족으로 신경당결핍 증상과 교감신경성 증상이 나타나고, 당뇨병 환자에게서 흔히 발생하며, 인슐린 과다 복용 등이 주요 원인이다. - 사인별 죽음 - 뇌졸중
뇌졸중은 뇌로 가는 혈액 공급이 막혀 뇌세포가 손상되는 질환으로, 허혈성 뇌졸중과 출혈성 뇌졸중으로 나뉘며, 조기 진단과 치료, 그리고 위험 요인 관리를 통한 예방이 중요하다. - 사인별 죽음 - 감전
감전은 전류가 인체를 통과하며 발생하는 전기적 충격으로, 다양한 요인에 따라 위험성이 달라지며 심각한 경우 사망에 이를 수 있고, 예방을 위해 안전 수칙 준수가 필수적이지만, 의료적 목적으로 활용되기도 하며 윤리적 논란의 여지도 있다.
| 둔기외상 | |
|---|---|
| 일반 정보 | |
![]() | |
| 동의어 | 둔기 손상 비관통 외상 외상 |
| 분야 | 해당 없음 |
| 증상 | |
| 주요 증상 | 타박상 |
| 부수적인 합병증 | 저산소증 환기-관류 불일치 혈액량 감소 감소된 심박출량 |
| 원인 | |
| 원인 | 해당 없음 |
| 진단 및 치료 | |
| 진단 | 해당 없음 |
| 감별 진단 | 해당 없음 |
| 예방 | 해당 없음 |
| 치료 | 해당 없음 |
| 약물 | 해당 없음 |
| 예후 및 빈도 | |
| 예후 | 해당 없음 |
| 빈도 | 해당 없음 |
| 사망 | 해당 없음 |
2. 분류
둔기 외상은 가격 부위에 따라 다음과 같이 분류할 수 있다.
2. 1. 복부 둔기 외상

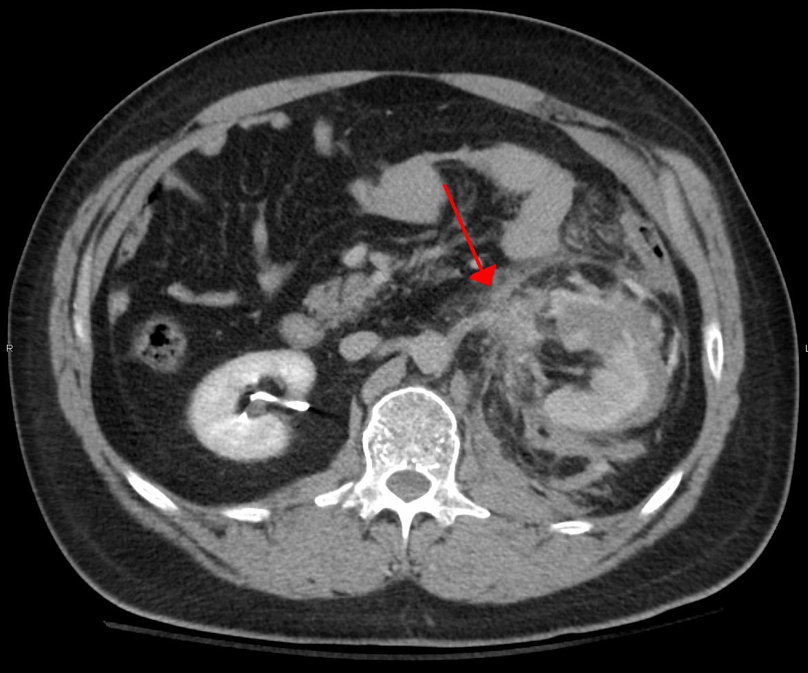
둔기 복부 외상(BAT)은 모든 둔기 외상의 75%를 차지하며, 자동차 사고가 가장 흔한 원인이다.[3][4] 자동차 사고 시 급격한 감속으로 인해 운전자가 스티어링 휠, 대시보드, 안전 벨트 등에 부딪히면서 발생할 수 있다.[5] 충격의 정도에 따라 가벼운 타박상부터 심각한 내부 장기 파열까지 다양한 손상이 나타날 수 있다. 특히, 내부 장기 파열은 초기 징후가 뚜렷하지 않아 진단이 어려울 수 있으므로, 높은 수준의 임상적 의심이 필요하다.[6]
복강 내 장기 손상은 주로 압축과 감속이라는 두 가지 물리적 기전에 의해 발생한다.[7] 압축은 직접적인 타격이나 안전벨트, 스티어링 휠과 같은 물체에 의해 복부가 눌리면서 발생하며, 속이 빈 장기를 변형시켜 내부 압력을 높이고 파열을 유발할 수 있다.[7] 감속은 복부 내 위장관과 같이 움직이는 장기가 고정된 부위에 부딪히면서 발생하며, 장간막 파열 및 혈관 손상을 일으킬 수 있다. 간의 원 인대 파열이나 신동맥 손상이 대표적인 예시이다.[7]
둔기 복부 외상으로 인한 내부 손상은 간과 지라(둔한 지라 외상 참조)에서 가장 흔하게 발생하며, 소장이 그 다음으로 흔하다.[8]
드물게 하임리히 요법,[9] CPR 시도, 기도 확보를 위한 수동 압박과 같은 의료 기술로 인해 복부 둔기 외상이 발생할 수 있다. 이러한 응급 처치 시 과도한 압력이 가해지는 경우 발생할 수 있다는 보고가 있다. 또한, 전염성 단핵구증(미국 외 지역, 특히 영국에서는 '선열'이라고도 함) 회복 중인 환자에게서 경미한 둔기 복부 외상으로 인한 지라 파열이 발생한 사례도 보고되고 있다.[10]
스포츠 관련 둔기 복부 외상은 대부분 감독 하에 발생하므로, 부상 기전을 더 정확하게 파악할 수 있어 ATLS(advanced trauma life support, 응급 외상 처치)와 같은 표준 외상 치료 지침에서 약간 벗어날 수 있다. 스포츠 관련 둔기 외상 평가 시에는 타박상, 근건 부상과 내부 장기 손상을 구별하고, 출혈 가능성을 인지하여 대처하는 것이 중요하다. 미식축구, 축구, 무술, 사륜차 충돌 등에서 헬멧, 숄더 패드, 무릎 등에 의한 신장 둔상 발생이 보고된다.[11]
2. 2. 흉부 둔기 외상
둔기 흉부 외상은 흉부에 가해지는 외상으로, 다음과 같은 원인으로 발생한다.- 직접적인 둔력 (예: 폭행 시 주먹이나 야구 방망이)
- 가속 또는 감속 (예: 후방 추돌 자동차 사고)
- 전단력 (가속 및 감속의 조합)
- 압좌 손상 (예: 무거운 물체가 사람에게 떨어지는 경우)
- 폭발 손상 (예: 어떤 종류의 폭발)[12]

일반적인 증상으로는 단순한 멍에서부터 저산소증, 환기 관류 불균형, 저혈량증, 심박출량 감소 등 다양하다. 둔상 흉부 외상은 외부에서 항상 보이는 것은 아니며, 내부 손상은 외상 발생 초기나 몇 시간 후에도 의학적 징후나 증상을 나타내지 않을 수 있다. 이러한 손상을 식별하기 위해 높은 수준의 임상적 의심이 필요할 수 있으며, CT 스캔이 유용할 수 있다. 심각한 합병증을 겪는 환자는 외상 초음파 검사(FAST)를 받을 수 있는데, 이는 음파를 이용하여 심장 주변이나 폐에 상당량의 혈액이 있는지 확인하는 검사이다.[12]
가장 즉각적인 생명 위협 손상으로는 긴장성 기흉, 개방성 기흉, 혈흉, 연속성 늑골 골절, 심장 압전, 기도 폐쇄/파열 등이 있다.[12]

이러한 손상은 시술을 필요로 할 수 있으며, 가장 흔한 것은 늑간 배액관(흉관 삽입)이다. 흉관은 폐의 팽창을 방해하는 압력 불균형(주로 공기나 혈액)을 회복시켜 가스 교환을 돕는다.[13] 덜 흔한 시술은 심낭 천자로, 심장 주변 혈액을 제거하여 심장 박동을 돕는다.[14][15] 응급 개흉술이 필요한 경우도 있다.[16]
흉부 외상 환자 10명 중 9명은 수술 없이 치료 가능하다.[37] 수술이 필요한 경우, 환자 상태와 부상에 따라 적절한 방법을 선택한다. 개방 기도 유지, 산소 공급, 흉관 삽관, 수액 공급 등 보존적 조치가 자주 사용된다.[37] 심한 통증은 호흡을 방해하여 폐 기능을 악화시키므로 통증 조절이 중요하다.[37] 통증 관리는 호흡, 폐 분비물 배출, 염증 및 저산소증 악화 감소에 도움이 된다.[37] 비스테로이드성 소염제, 오피오이드, 국소 마취제 등이 통증 조절에 사용될 수 있다.[37]
2. 3. 두개골 둔기 외상
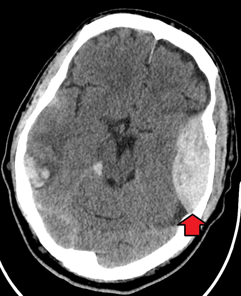
머리에 가해지는 둔기 외상은 주로 뇌 손상을 일으키며, 두개골, 얼굴, 안와, 목 등 다른 부위도 위험할 수 있다.[8] 환자의 기도, 순환, 호흡을 평가한 후, 목 부위 외상이 의심되면 목 깃을 착용할 수 있다. 두개 외상의 증거를 확인하기 위해 타박상, 좌상, 열상, 찰과상 등을 검사하고, 뇌 손상 여부를 평가하기 위해 신경학적 검사를 시행한다. CT 스캔은 두개골 내 출혈이나 두개골 뼈 골절을 평가하는 데 사용된다.[17]
외상성 뇌 손상(TBI)은 심각한 이환율과 사망률의 원인이며, 낙상, 자동차 사고, 스포츠 및 업무 관련 부상, 폭행으로 인해 가장 흔하게 발생한다. 특히 25세 미만 환자 사망의 가장 흔한 원인이다. TBI는 경증에서 중증까지 등급이 매겨지며, 심각도가 높을수록 이환율과 사망률이 증가한다.[17][18]
심각한 외상성 뇌 손상을 겪는 환자는 미만성 축삭 손상, 뇌 타박상, 지주막하 출혈, 경막하 혈종, 경막외 혈종, 뇌실질 내 출혈 등 다양한 뇌내 손상을 겪을 수 있다.[8][17] 뇌 기능 회복은 뇌내 손상에 따라 다르지만, 초기 손상의 심각성과 신경 기능 수준, 지속적인 신경 결손 수준 사이에 상관관계가 있다.[17] 초기 치료는 두개 내압을 감소시키는 것을 목표로 할 수 있으며, 반두개 절제술과 같은 수술이 필요할 수 있다.[8][17]
2. 4. 골반 둔기 외상
자동차 사고와 다층 건물에서의 추락은 둔기 외상의 가장 흔한 원인이며, 따라서 골반 부상은 다른 부위의 추가적인 외상과 흔히 연관되어 있다.[27] 특히 골반에서는 골반뼈, 상부 넙다리뼈, 엉덩동맥과 같은 주요 혈관, 요로, 생식 기관, 그리고 직장 등이 위험한 구조물이다.[27][30]
골반 골절은 가장 중요한 우려 사항 중 하나이며, 이는 출혈, 요도 및 방광 손상, 신경 손상을 포함한 수많은 합병증과 관련이 있다.[28] 골반 외상이 의심되는 경우, 응급 의료 서비스 직원은 환자의 골반을 안정시키고 환자를 병원으로 이송하는 동안 이러한 구조물의 추가 손상을 방지하기 위해 골반 결합기를 착용할 수 있다. 응급실에서 외상 환자를 평가하는 동안 골반의 안정성은 일반적으로 골절이 발생했는지 여부를 결정하기 위해 의료 제공자에 의해 평가된다. 의료 제공자는 골절을 감지하기 위해 X-ray 또는 CT 스캔과 같은 이미징을 주문할 수 있지만, 생명을 위협하는 출혈에 대한 우려가 있는 경우 환자는 골반 X-ray를 받아야 한다.[29] 환자에 대한 초기 치료 후, 심각한 골절의 경우 수술적 치료가 필요할 수 있으며, 일부 경미한 골절은 수술 없이 치유될 수 있다.[27]
생명을 위협하는 우려는 출혈이며, 이는 대동맥, 엉덩동맥 또는 골반의 정맥 손상으로 인해 발생할 수 있다. 골반 외상으로 인한 출혈의 대부분은 정맥 손상으로 인한 것이다.[28] 외상 후 종종 수행되는 FAST 스캔 동안 초음파를 통해 골반에서 체액(종종 혈액)이 감지될 수 있다. FAST 스캔에서 명백한 혈액이 없는 상태에서 환자가 혈역학적으로 불안정한 것으로 보이면, 후복막강으로의 출혈, 즉 후복막 혈종에 대한 우려가 있을 수 있다. 출혈을 멈추기 위해서는 위치 및 심각성에 따라 혈관 내 중재 또는 수술이 필요할 수 있다.[30]
2. 5. 사지 둔기 외상
사지(팔, 다리, 손, 발 등) 부상은 매우 흔하다.[19] 낙상은 상지 부상의 30%, 하지 부상의 60%를 차지하는 가장 흔한 병인이다. 단독 상지 부상의 가장 흔한 기전은 기계 조작이나 도구 사용이다. 업무 관련 사고와 차량 충돌 또한 흔한 원인이다.[20] 부상당한 사지는 계통의 4가지 주요 기능적 구성 요소, 즉 연조직, 신경계, 순환계, 골격에 대해 검사한다.[21] 혈관은 확장되는 혈종, 잡음, 원위부 맥박 검사, 허혈 징후/증상에 대해 검사한다. "부상 부위를 통해 혈액이 부상 부위를 지나 충분히 공급되는가?"라는 질문에 답이 "그렇다"는 것이 명확하지 않은 경우, 부상당한 사지 지수 또는 발목-상완 지수를 사용하여 CT 스캔 혈관조영술을 통한 추가 평가 필요성을 판단할 수 있다. 이는 특수 스캐너와 인체를 통해 인간의 손으로 느끼거나 육안으로 볼 수 있는 것보다 더 세밀하게 혈관을 검사할 수 있게 해주는 물질을 사용한다.[22][23] 연조직 손상은 횡문근융해증(손상된 근육의 급속한 파괴로 신장에 과부하를 줄 수 있음)을 유발하거나, 구획 증후군(압력이 근막 구획에 축적되어 동일 구획의 신경과 혈관을 손상시키는 경우)이 발생할 수 있다.[24][25] 뼈는 변형(기형), 멍, 관절 이완(평소보다 느슨하거나 유연함)이 관찰될 경우 방사선 촬영 또는 컴퓨터 단층 촬영으로 평가한다. 신경학적 검사는 상지에서 상완 신경, 요골 신경, 정중 신경의 주요 신경 기능을, 하지에서 넙다리 신경, 좌골 신경, 심비골 신경, 경골 신경을 검사한다. 부상 정도와 관련된 구조에 따라 수술 치료가 필요할 수 있지만, 많은 경우 비수술적으로 관리한다.[26]3. 평가 및 진단
둔기 외상 환자의 초기 평가는 기도(Airway), 호흡(Breathing), 순환(Circulation)을 확인하는 것(A, B, C)으로 시작한다.[8] 이는 모든 소생술의 첫 단계이다. 이후 가족, 친구, 이전 치료 의사 등으로부터 환자의 병력, 사고 경위, 마지막 식사 시간, 알레르기 등 자세한 정보를 얻는다(SAMPLE).[34]
신체 검진을 통해 손상 부위를 확인하고, 타박상, 좌상, 열상, 찰과상 등 외상 징후를 찾는다. 특히 복부 둔기 외상의 경우, 초기에는 심각한 내부 손상 징후가 없을 수 있으므로 주의 깊은 관찰이 필요하다.[6]
필요에 따라 X-ray, CT, 초음파(FAST) 등 영상 검사를 시행하여 내부 손상 여부를 확인한다.[8] 특히, 복부 둔기 외상의 경우 진단적 복막 세척(DPL) 또는 CT 검사를 통해 복강 내 출혈 여부를 확인하는 것이 중요하다.[34][35] CT 검사는 손상 부위를 자세히 보여주지만, 시간이 걸리고 응급 상황에서는 즉시 확인하기 어렵다는 단점이 있다.[35]
둔기 흉부 외상의 경우, 외상 초음파 검사(FAST)를 통해 심장 주변이나 폐에 혈액이 고여 있는지 확인할 수 있다.[12]
머리 둔기 외상의 경우, 두개골 및 뇌 CT 스캔을 통해 두개 내 출혈이나 두개골 골절 여부를 확인한다.[17]
사지(팔, 다리, 손, 발) 둔기 외상의 경우, 혈관조영술 CT 스캔을 통해 혈관 손상 여부를 자세히 확인할 수 있다.[23]
골반 둔기 외상의 경우, X-ray나 CT 스캔을 통해 골절 여부를 확인하고, FAST 스캔을 통해 골반 내 출혈 여부를 확인한다.[29][30]
2011년에는 둔기 복부 외상을 입은 환자를 추가 평가 없이 안전하게 퇴원시킬 수 있는 기준이 마련되었다. 이 기준은 다음과 같다.
- 음주 상태가 아닐 것
- 저혈압 또는 맥박수 증가의 증거가 없을 것
- 복통 또는 압통이 없을 것
- 소변 내 혈액이 없을 것
위의 모든 기준을 만족해야 저위험군으로 간주된다.[36]
4. 치료
둔기 외상의 치료는 환자의 상태와 손상 정도에 따라 달라진다. 우선 기도 유지, 호흡 보조, 수액 공급, 지혈 등 생명 유지 조치가 시행된다.[1]
- 정형외과적 손상 (골절, 탈구 등): 부목 고정, 견인, 수술적 정복 등이 필요할 수 있다.[26]
- 내부 장기 손상: 손상 정도에 따라 보존적 치료 또는 수술적 치료를 시행한다.
- 둔기 흉부 외상: 흉관 삽입, 심낭 천자 등의 응급 처치가 필요할 수 있으며, 심각한 경우 개흉술이 필요할 수 있다.[16] 흉부 외상 환자 10명 중 9명은 수술 없이 치료할 수 있다.[37] 보존적 조치(기도 유지, 산소 공급, 흉관 삽관, 수액 공급)를 사용하며 통증 조절이 기본적인 치료법이다.[37] 통증 조절에는 비스테로이드성 소염제, 오피오이드, 국소 마취제 등을 사용한다.[37]
- 두개골 둔기 외상: 뇌압 상승을 조절하고, 혈종 제거, 두개골 골절 정복 등의 수술적 치료가 필요할 수 있다.[17] 효과적인 호흡 유지가 중요하며, 혈중 산소 농도를 90% 이상 유지해야 한다.[17]
- 기타: 통증 조절, 항생제 투여, 재활 치료 등 보존적 치료도 중요하다.[7][37]
소장 손상 및 천공의 경우, 탐색 수술, 감염된 체액 배액, 상처 세척, 예방적 항생제 투여 등이 필요하다.[7]
5. 역학
전 세계적으로 35세 미만 인구의 장애와 사망의 주요 원인은 외상이며, 그 대부분은 둔기 외상에 기인한다.[1]
참조
[1]
논문
Blunt Force Trauma
https://www.ncbi.nlm[...]
StatPearls Publishing
2020
[2]
웹사이트
Hard Hits: Blunt Force Trauma
https://reference.me[...]
Medscape
2021-01-01
[3]
논문
Advances in abdominal trauma
2007-08
[4]
논문
Assessment of abdominal trauma – Differential diagnosis of symptoms
https://bestpractice[...]
2021-01-01
[5]
논문
The utility of seat belt signs to predict intra-abdominal injury following motor vehicle crashes
2009-12
[6]
서적
Clinical Surgery: A Practical Guide
CRC Press
[7]
논문
Intestinal Injury from Blunt Abdominal Trauma: A Study of 47 Cases
2009-10
[8]
서적
Advanced Trauma Life Support Student Course Manual
https://www.44c.in.u[...]
American College of Surgeons
2018-12-17
[9]
논문
Acute aortic thrombosis following incorrect application of the Heimlich maneuver
2002-01
[10]
논문
Return to contact sports following infectious mononucleosis: the role of serial ultrasonography
2011-08
[11]
논문
Kidney injuries in professional American football: implications for management of an athlete with 1 functioning kidney
2008-01
[12]
논문
Thoracic trauma
2014-03
[13]
서적
Intercostal Chest Drain Insertion
Springer, London
2012
[14]
서적
Interventional Pericardiology
Springer
2011
[15]
논문
Interventional Pericardiology
2016-03
[16]
논문
Thoracic Trauma: Injuries, Evaluation, and Treatment
2017-08
[17]
논문
Blunt Head Trauma
https://www.ncbi.nlm[...]
2018-12-11
[18]
웹사이트
Traumatic Brain Injury
https://lifeinthefas[...]
2018-12-13
[19]
논문
A contemporary analysis of the management of the mangled lower extremity
2013-02
[20]
논문
Epidemiology of major trauma
2009-07
[21]
논문
Objective criteria accurately predict amputation following lower extremity trauma
1990-05
[22]
웹사이트
Annual Report of the National Trauma Data Bank (NTDB)
https://www.facs.org[...]
2018-12-16
[23]
논문
Can Doppler pressure measurement replace "exclusion" arteriography in the diagnosis of occult extremity arterial trauma?
1991-12
[24]
논문
Compartment Syndrome
2017-11
[25]
논문
Rhabdomyolysis and acute kidney injury
2009-07
[26]
논문
Emergency Treatment of Extremity Fractures
1932-09
[27]
웹사이트
UpToDate
https://www.uptodate[...]
[28]
웹사이트
Pelvic Trauma
https://lifeinthefas[...]
2018-12-20
[29]
웹사이트
Initial Management of Pelvic Fractures
https://www.facs.org[...]
American College of Surgeons
2018-12-20
[30]
논문
Clinical review: Initial management of blunt pelvic trauma patients with haemodynamic instability
2007
[31]
웹사이트
Blunt Cardiac Injury
https://www.aast.org[...]
2023-09-22
[32]
논문
Points & Pearls: Blunt cardiac injury: emergency department diagnosis and management
https://pubmed.ncbi.[...]
2019-03-01
[33]
논문
Assessment of blunt abdominal trauma
1995-02
[34]
논문
Screening US and CT for blunt abdominal trauma: a retrospective study
2005-10
[35]
논문
Investigation of blunt abdominal trauma
2008-04
[36]
논문
Blunt abdominal trauma patients are at very low risk for intra-abdominal injury after emergency department observation
2011-11
[37]
논문
Blunt trauma related chest wall and pulmonary injuries: An overview
2020-06
[38]
웹인용
Hard Hits: Blunt Force Trauma
https://reference.me[...]
Medscape
2020-05-28
[39]
서적
2007-11-06
[40]
간행물
https://www.ncbi.nlm[...]
2020
본 사이트는 AI가 위키백과와 뉴스 기사,정부 간행물,학술 논문등을 바탕으로 정보를 가공하여 제공하는 백과사전형 서비스입니다.
모든 문서는 AI에 의해 자동 생성되며, CC BY-SA 4.0 라이선스에 따라 이용할 수 있습니다.
하지만, 위키백과나 뉴스 기사 자체에 오류, 부정확한 정보, 또는 가짜 뉴스가 포함될 수 있으며, AI는 이러한 내용을 완벽하게 걸러내지 못할 수 있습니다.
따라서 제공되는 정보에 일부 오류나 편향이 있을 수 있으므로, 중요한 정보는 반드시 다른 출처를 통해 교차 검증하시기 바랍니다.
문의하기 : help@durumis.com
