털세포 백혈병
"오늘의AI위키"의 AI를 통해 더욱 풍부하고 폭넓은 지식 경험을 누리세요.
1. 개요
털세포 백혈병은 악성 B세포가 골수에 축적되어 백혈구, 적혈구, 혈소판 생성을 방해하는 혈액암이다. 감염, 빈혈, 출혈 경향 등의 증상을 보이며, 원인은 아직 명확히 밝혀지지 않았다. 2011년 연구에서 BRAF V600E 체세포 돌연변이가 모든 환자에게서 확인되었으며, 제초제 노출과 관련이 있을 수 있다는 연구 결과도 있다. 퓨린 유사체인 클라드리빈과 펜토스타틴이 1차 치료법으로 사용되며, BRAF 억제제, 리툭시맙, 인터페론 알파 등이 2차 치료법으로 사용될 수 있다. 털세포 백혈병은 희귀한 질환으로, 남성에게 더 흔하게 나타나며, 클라드리빈 또는 펜토스타틴으로 치료받은 환자의 95% 이상이 좋은 결과를 얻는다.
더 읽어볼만한 페이지
- 림프구성 백혈병 - 만성 림프구성 백혈병
만성 림프구성 백혈병은 림프구의 과도한 증식을 특징으로 하는 혈액 암으로, 혈액 검사 및 유세포 분석으로 진단하며, 증상과 병기에 따라 화학 요법, 표적 치료 등을 시행하고, 예후는 유전자 변이 등에 따라 달라진다. - 림프구성 백혈병 - 거대 과립 림프구성 백혈병
거대 과립 림프구성 백혈병은 과립을 가진 비정상적인 T 림프구 증식으로 인해 자가면역 질환과 관련되어 빈혈, 호중구 감소증, 림프구 증가증을 유발하며 혈액 검사 등으로 진단하고 면역억제제 등으로 치료하는 드문 혈액 질환입니다. - 피부 질환 - 류마티스 관절염
류마티스 관절염은 관절 활막의 만성 염증성 질환으로, 조기 진단과 적극적인 치료를 통해 질병 진행을 늦추고 삶의 질을 향상시키는 것이 중요하며, 진단에는 류마티스 인자와 항CCP 항체가 사용되고 메토트렉세이트 등의 약물로 치료한다. - 피부 질환 - 두드러기
두드러기는 피부에 붉은 팽진과 가려움증을 동반하는 질환으로, 다양한 원인에 의해 발생하며 급성 및 만성으로 분류되고, 항히스타민제 등의 치료를 받는다.
| 털세포 백혈병 | |
|---|---|
| 질병 정보 | |
![]() | |
| 분야 | 혈액학 종양학 |
| DiseasesDB | 5589 |
| ICD-10 | C91.4 |
| ICD-9 | 202.4 |
| ICD-O | 9940/3 |
| OMIM | 해당 없음 |
| MedlinePlus | 000592 |
| eMedicineSubj | med |
| eMedicineTopic | 937 |
| MeSH ID | D007943 |
| 일반 사항 | |
| 다른 이름 | 해당 없음 |
| 발음 | 해당 없음 |
| 증상 | 해당 없음 |
| 합병증 | 해당 없음 |
| 발병 시기 | 해당 없음 |
| 지속 기간 | 해당 없음 |
| 유형 | 해당 없음 |
| 원인 | 해당 없음 |
| 위험 요소 | 해당 없음 |
| 진단 | 해당 없음 |
| 감별 진단 | 해당 없음 |
| 예방 | 해당 없음 |
| 치료 | 해당 없음 |
| 약물 | 해당 없음 |
| 예후 | 해당 없음 |
| 빈도 | 해당 없음 |
| 사망자 수 | 해당 없음 |
2. 증상 및 징후
털세포 백혈병에서 "털세포"(hairy cells)는 악성 B세포로, 골수에 축적되어 정상적인 백혈구, 적혈구, 혈소판의 생성을 방해한다. 결과적으로 털세포 백혈병 환자는 백혈구감소증으로 인한 감염, 빈혈과 적혈구 감소로 인한 피로감, 혈소판 수 감소로 인한 출혈 경향 등을 보일 수 있다.[77] 털세포 백혈병 환자의 혈소판 기능이 다소 손상되는 경우도 있으나, 이것이 어떤 임상적으로 중대한 효과를 일으키는 것으로 보이지는 않는다.[78]
다른 여러 암들과 마찬가지로 털세포 백혈병의 원인은 알려져 있지 않다. 담배 연기, 전리 방사선, 산업용 화학물 (경유는 예외일 수 있음) 등에 노출되는 것은 털세포 백혈병의 발생 위험을 높이지 않는 것으로 추정된다.[81] 일부 연구에서 농업과 원예업은 털세포 백혈병의 발생 위험과 상관관계를 보인다고 밝혔으나, 이것이 인과관계를 암시하는 것은 아니다.[82]
털세포 백혈병에서 나타나는 범혈구감소증은 주로 골수 부전과 비장비대로 인해 발생한다. 골수 부전은 털세포의 축적과 골수의 레티큘린 섬유화로 인해 주로 발생하며, 조절 과정에 이상이 생긴 채 사이토카인이 생산되며 유해한 효과를 일으키는 것도 이에 기여한다.[88] 비장비대는 비장 내에서 건강한 혈구들을 격리시키고 파괴하면서 혈구의 수를 감소시킨다.[88]
일반 혈액 검사(CBC) 결과에 이상이 있다면 털세포 백혈병 진단에 도움이 될 수 있지만, 확진을 위해서는 추가 검사가 필수적이다. 털세포 백혈병 환자의 CBC 결과에서는 백혈구, 적혈구, 혈소판 수가 줄어드는 것이 일반적이다. 그러나 혈액 내에 털세포 수가 많다면 림프구의 수가 적거나 심지어는 증가하는 경우도 있을 수 있다.
털세포 백혈병은 다양한 치료법으로 성공적인 관리가 가능하다. 모든 환자가 즉시 치료를 필요로 하는 것은 아니며, 병의 진행이 완만한 특성 때문에 심각한 혈구 감소증, 증상성 장기 비대, 재발성 감염, 전신 증상이 없는 환자에게는 "관찰 대기" 접근 방식을 적용할 수 있다. 이는 약 10~20%의 환자에게 해당된다.
종양 부하(tumor burden)가 큰 환자들은 콜레스테롤 농도가 다소 내려가기도 하는데,[79] 특히 비장비대가 있는 환자에서 더욱 그런 경향을 보인다.[80] 털세포 백혈병 환자는 발열, 오한, 체중 감소 또는 오한과 같은 전신 증상을 거의 보이지 않는다. 20-30%는 면역 기능 손상으로 인해 기회 감염이 발생할 수 있다. 드물게 재발성 질환의 경우, 다발성 골수종과 같은 다른 악성 종양으로 오인될 수 있는 골 병변이 나타날 수 있다.[8]
전신 쇠약감, 발열, 식욕 부진, 비장 비대(80~90%), 간 비대(30~40%), 피하 출혈, 점상 출혈이 나타나며,[64] 만성적으로 경과하며 범혈구 감소증을 보이고, 골수는 골수 천자를 해도 천자액이 나오지 않는 상태(dry tap)[65]가 된다.[66]
3. 원인
2011년의 연구에서는 47명의 털세포 백혈병 환자를 연구 대상으로 ''BRAF'' V600E 체세포 돌연변이가 모든 환자에서 확인된다는 것을 밝혔다.[83]
미국 의학원(IOM)은 제초제 노출과 이후 만성 B세포 백혈병과 림프종 발생 간의 상관관계를 발견하였다. 미국 의학원 보고서에서는 동물 연구나 인간 연구 어느 쪽에서도 제초제와 털세포 백혈병이 특히 관련되어 있지는 않았다고 강조했다. 그러나 만성 림프구성 백혈병과 비호지킨 림프종의 자료를 통해 추정한 결과, 털세포 백혈병이나 다른 희귀 B세포 종양이 이러한 위험 인자를 공유할 수 있다고 결론 내렸다.[84]
사람T세포림프친화바이러스 2형(HTLV-2)이 적은 수의 변이형 털세포 백혈병 환자에서 분리되기도 하였다.[85] 1980년대, HTLV-2는 T세포 림프구증식성 질환 환자에서 분리되었던 바이러스로, 이 환자는 이후 털세포 백혈병에 걸렸으나 털세포 클론에서는 HTLV-2가 발견되지 않았다.[86] HTLV-2가 털세포 백혈병을 포함한 그 어떠한 혈액의 악성 종양을 일으킨다는 근거는 현재까지 존재하지 않는다.[87]
4. 병태생리학
털세포는 거의 성숙이 끝난 B세포로, VH 유전자 분화 소견을 보이는 활성화 상태의 클론성 세포이다.[92] 털세포는 혈장으로 이동하기 전 변연부의 B세포,[88] 또는 기억 B세포와 관련되어 있을 수 있다.
털세포 백혈병에서는 사이토카인 생산이 방해를 받는다. 털세포는 종양괴사인자 알파를 생산하며 보다 풍족하게 만든다.[88] 종양괴사인자 알파는 골수에서 건강한 혈구가 만들어지는 것을 억제한다.[88]
정상적인 B세포와 달리, 털세포는 인터루킨 2 수용체(IL-2R)라는 면역계 단백질을 발현하여 분비한다.[88] HCL-V에서는 IL-2R의 일부만이 발현된다.[88] 그 결과, 혈청 내 IL-2R 양의 변화를 측정하여 질환의 상태를 감시할 수 있다.[88]
털세포는 T세포가 정상적으로 생산하는 일부 사이토카인에 반응하여 성장이 증가할 수 있다. 인터페론 알파로 치료할 시 T세포에서 이러한 전성장(pro-growth) 사이토카인이 생산되는 것을 억제할 수 있다.[88] 클라드리빈이나 펜토스타틴 치료 후에 볼 수 있는 T세포 수의 감소와 사이토카인 감소는 털세포 수의 감소로 이어진다.
거의 모든 털세포 백혈병의 경우 ''BRAF'' 돌연변이 V600E가 나타나며, 이는 이 질환의 주동 돌연변이로 제안된다.[18][8]
5. 진단
신체검사에서는 환자의 80~90%가 비장비대 소견을 보이며, 매우 심한 경우도 있다.[88] 초기에 진단하는 경우 비장비대가 생겼을 가능성은 낮다. 말초의 림프절병증(림프절 비대)은 전체 환자의 5% 미만에서 나타나 비교적 드물지만, 복부 림프절병증은 CT 스캔에서 비교적 흔하게 나타나는 소견이다.[88]
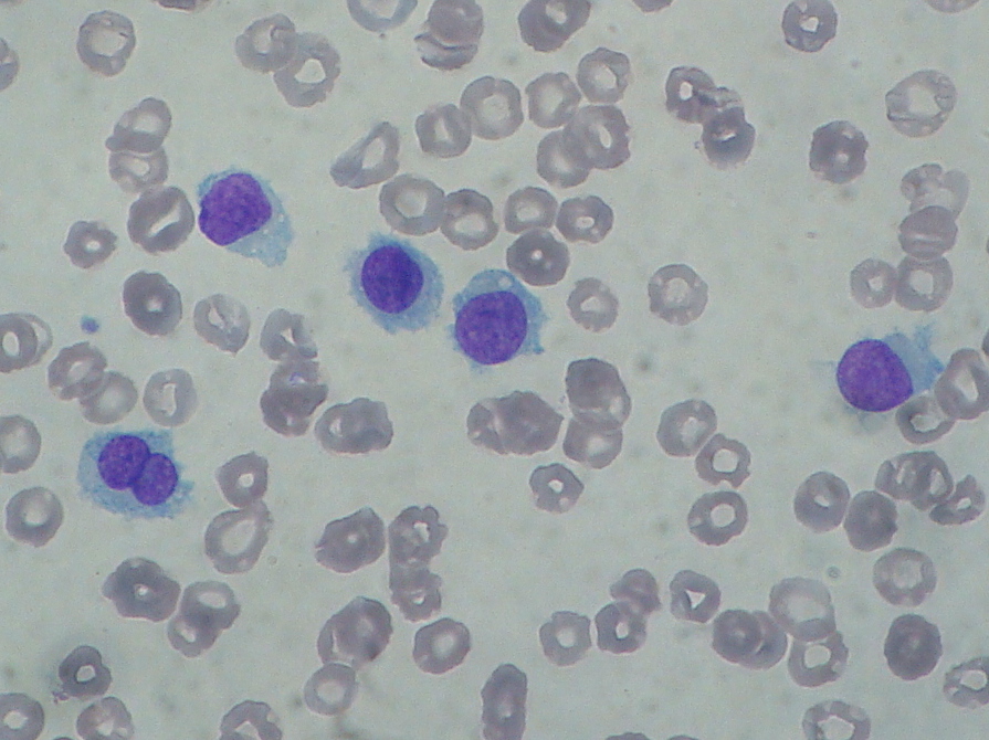
가장 중요한 검사 소견은 혈액 내 털세포의 존재이다.[88] 털세포는 세포질에 털이 자라는 것처럼 보이는 비정상적인 백혈구로, 혈액도말이나 골수 생검 표본에서 찾아낼 수 있다. 혈액도말 검사 시 혈구를 라이트 염색으로 염색하여 현미경으로 관찰한다. 이렇게 검사를 실시했을 때 털세포는 전체 환자의 85%에서 발견된다.[88]
대부분의 환자는 최종 진단을 위해 골수 생검이 필요하다. 골수 생검은 털세포 백혈병이 있다는 것을 확진하며, 동시에 비장변연부림프종이나 B세포 전림프구백혈병(B-PLL) 등 다른 질환이 없는 것도 확인하기 위해 실시한다. 확진을 위해 세포를 TRAP(타르타르산 저항성 산성인산분해효소)라는 특수 염색을 이용하여 염색할 수 있다. 최근에는 DB44 검사로 더 정확한 결과를 얻을 수 있다.
혈액이나 골수에서 유세포 분석을 통해 털세포 백혈병을 확진하는 것 역시 가능하다. 털세포는 CD19, CD20, CD22, CD11c, CD25, CD103, FMC7 항원 등에 양성을 보인다.[89] CD103, CD22, CD11c은 강하게 발현된다.[90]
일부 특징을 B세포 전림프구백혈병과 공유하는 변이형 털세포 백혈병(HCL-V)은 CD25를 발현하지 않는다.
감별진단이 필요한 질환에는 골수황폐증이나 재생불량성 빈혈과 같은 여러 종류의 빈혈,[91] 골수이형성증후군, 비정형 만성 림프구성 백혈병, B세포 전림프구백혈병, 특발성 골수섬유증 등의 혈액 종양이 있다.[92]
6. 치료
일반적으로 1차 치료에는 퓨린 유사체인 클라드리빈과 펜토스타틴이 사용된다. 경우에 따라 항-CD20 단클론 항체인 리툭시맙을 초기 치료에 추가할 수 있다. 클라드리빈 또는 펜토스타틴에 내성이 있거나 재발한 경우에는 2차 치료법으로 베무라페닙 또는 다브라페닙과 같은 BRAF 억제제, 리툭시맙, 모세투모맙 파수도톡스, 인터페론-알파 등을 사용한다.
다른 치료법이 실패하고 비장에 많은 질병 부담이 있는 경우에는 비장 절제술을 수행할 수 있다.[8] 빈혈이나 혈소판 감소증이 있는 환자는 수혈을 받을 수 있으며, 호중구 수가 낮은 환자는 필그라스팀과 같은 약물을 투여받을 수 있다. 조혈모 세포 이식은 높은 사망률 때문에 권장되지 않는다.[8]
6. 1. 1차 치료
퓨린 유사체인 클라드리빈과 펜토스타틴은 털세포 백혈병의 1차 치료법이다. 퓨린 유사체는 털세포 백혈병 치료에 매우 효과적이며, 80~90%의 관해율을 보인다. 관해는 정상 또는 거의 정상적인 혈구 수, 촉진되는 비장 비대 없음, 골수 생검 또는 면역 염색 없이 말초 혈액에서 털세포 없음, 또는 면역 염색으로 최소 털세포(측정 가능한 잔존 질환이라고 함)로 정의된다.[8] 퓨린 유사체의 중앙값 재발 없는 기간은 10년 이상이다.[8]
퓨린 유사체의 가능한 부작용으로는 발진, 발열, 호중구 감소증, 감염 및 낮은 T 세포 수(특히 CD4+ T 세포)가 있다.[8] 퓨린 유사체는 시간이 지남에 따라 면역 억제를 유발할 수 있으며, 환자에게 활동성 감염이 있는 경우에는 사용해서는 안 된다.[8]
항-CD20 단클론 항체인 리툭시맙은 초기 치료 시 퓨린 유사체에 추가될 수 있으며, 관해율을 거의 100%까지 높이는 것과 관련이 있다.[8] 퓨린 유사체는 재발한 질환이 있는 사람에게 리툭시맙과 함께 또는 없이 다시 시작할 수 있다.[8]
클라드리빈은 피하 주사, 정맥 내 몇 시간 동안 주입(정맥 내 - IV), 또는 하루 종일 정맥 내로 천천히 떨어뜨리는 펌프를 환자가 착용하여 투여할 수 있다. 대부분의 환자는 5~7일 동안 하루에 한 번 IV 주입으로 클라드리빈을 투여받지만, 더 많은 환자가 6주 동안 일주일에 한 번 이 약을 복용하는 옵션을 받고 있다. 클라드리빈에 사용되는 다양한 투여 일정은 거의 동일하게 효과적이고 안전하다.[36] 피로와 암세포의 죽음으로 인한 고열 외에 상당한 부작용을 보이는 환자는 비교적 적지만, 감염 및 급성 신부전과 같은 합병증이 관찰되었다. 펜토스타틴은 클라드리빈과 화학적으로 유사하며, 유사한 성공률과 부작용 프로파일을 가지고 있지만, 항상 훨씬 더 오랜 기간 동안 투여되며, 일반적으로 3~6개월 동안 2주마다 한 번 IV 주입으로 투여된다.
치료 후 몇 주 동안, 환자의 면역 체계는 심하게 약화되지만, 골수는 다시 정상적인 혈구를 생성하기 시작할 것이다. 치료는 종종 장기적인 관해를 초래한다. 암세포가 돌아오면 치료를 반복할 수 있으며, 다시 관해를 초래해야 하지만, 반복적인 치료로 치료 반응이 감소할 수 있다.[37]
클라드리빈은 펜토스타틴에 내성이 있는 털세포 백혈병 환자에서 완전 관해를 유도하여, 교차 내성이 없음을 시사한다.[38] 무증상으로 진행하지 않는 경우에는 경과 관찰을 하는 경우도 있지만, 비장 비대나 혈구 감소, B 증상을 동반하는 경우에는 화학 요법을 실시한다. 이전에는 인터페론 α가 사용되었지만, 현재는 더 효과가 높은 퓨린 유사체를 사용한다. 일본에서는 클라드리빈 (로이스타틴)이 보험 적용을 받는다.[71] 털세포 백혈병은 B 세포 유래이므로 항 CD20 항체인 리툭시맙의 병용을 고려한다.
초발 털세포 백혈병 환자에 대한 퓨린 유사체 치료 효과는 완전 관해가 80~90%로 보고되고 있다.[72] VRAF V600E 변이를 가지므로 VRAF 억제제인 베무라페닙의 유효성이 기대되고 있지만, 2020년 현재 베무라페닙의 적응 질환에는 포함되어 있지 않다.[73]
6. 2. 2차 치료
클라드리빈 또는 펜토스타틴에 내성이 있거나 재발성 질환이 있는 환자에게는 2차 치료법이 사용된다.
치료 첫 1-2개월 동안 혈구 수 감소가 관찰될 수 있지만, 대부분의 환자는 몇 주 안에 혈구 수가 개선되기 시작한다.[46] 일반적으로 치료 효과를 확인하는 데 6개월이 걸리며, 다음 기준을 통해 치료 성공 여부를 판단한다.
인터페론-알파는 활동성 HCL이 있는 임산부에게 선택되는 약물로 간주된다.[8] 털세포를 면역 체계 호르몬 TNF-알파의 살상 효과에 민감하게 만들고, 이 호르몬의 생성을 촉진하여 작용한다.[47]
일본에서는 클라드리빈 (로이스타틴)이 보험 적용을 받는다.[71] 털세포 백혈병은 B 세포 유래이므로 항 CD20 항체인 리툭시맙의 병용을 고려한다. 초발 털세포 백혈병 환자에 대한 퓨린 유사체 치료 효과는 완전 관해가 80-90%로 보고되고 있다.[72] VRAF V600E 변이를 가지므로 VRAF 억제제인 베무라페닙의 유효성이 기대되지만, 2020년 현재 베무라페닙의 적응 질환에는 포함되어 있지 않다.[73]
6. 3. 기타 치료
비장 절제술(과거 털세포 백혈병 치료에 흔히 사용됨)은 퓨린 유사체 및 기타 1차 치료법으로 대체되었으며, 이는 더 높은 반응률과 더 긴 반응 기간과 관련이 있다. 그러나 다른 치료법이 실패하고 비장에 많은 질병 부담(B 세포)이 있는 경우 비장 절제술을 수행할 수 있다.[8]
빈혈로 적혈구 수가 적거나 혈소판 감소증으로 혈소판 수가 적은 환자는 수혈을 통해 적혈구와 혈소판을 공급받을 수 있다. 영향을 받는 사람들은 또한 적혈구 생성을 자극하는 호르몬을 투여받을 수도 있다.
호중구 수가 낮은 환자는 백혈구 생성을 자극하기 위해 필그라스팀 또는 유사한 호르몬을 투여받을 수 있다. 그러나 1999년 연구에 따르면, 이 비싼 주사제의 일상적인 투여는 클라드리빈 투여 후 털세포 백혈병 환자에게 실질적인 가치가 없다.[48] 이 연구에서 필그라스팀을 투여받은 환자는 약물을 투여받지 않은 환자와 마찬가지로 고열을 경험하고 입원할 가능성이 높았으며, 이는 약물이 백혈구 수를 증가시켰음에도 불구하고 나타났다.
털세포 백혈병에 대한 조혈모 세포 이식은 5년 무재발 생존율을 개선하지 않으며, 15% 이상의 높은 사망률과 관련이 있어 권장되지 않는다.[8] 무증상으로 진행하지 않는 경우에는 경과 관찰을 하는 경우도 있지만, 비장 비대나 혈구 감소, B 증상을 동반하는 경우에는 화학 요법을 실시한다. 이전에는 인터페론 α가 사용되었지만, 현재는 더 효과가 높은 퓨린 유사체를 사용한다. 일본에서는 클라드리빈 (로이스타틴)이 보험 적용을 받는다.[71] 털세포 백혈병은 B 세포 유래이므로 항 CD20 항체인 리툭시맙의 병용을 고려한다.
초발 털세포 백혈병 환자에 대한 퓨린 유사체 치료 효과는 완전 관해가 80-90%로 보고되고 있다.[72]
VRAF V600E 변이를 가지므로 VRAF 억제제인 베무라페닙의 유효성이 기대되고 있지만, 2020년 현재 베무라페닙의 적응 질환에는 포함되어 있지 않다.[73]
7. 변이형 털세포 백혈병 (HCL-V)
털세포 백혈병 변이형(HCL-V)은 1980년에 처음 기술되었으며,[26] 일반적으로 HCL의 림프모구 변이형으로 묘사된다.[25] HCL 환자의 약 10%가 이 변이형을 가지고 있으며, 이는 미국에서 매년 약 건의 새로운 HCL-V 사례를 나타낸다. 고전적인 HCL은 주로 남성에게 영향을 미치는 반면, HCL-V는 남성과 여성 간의 비율이 더 균등하다.[27] 이 질환은 모든 연령대에서 나타날 수 있지만, 진단 시 중앙 연령은 70세 이상이다.[28]
만성 림프구성 백혈병의 B 세포 림프모구 백혈병(B-PLL)과 유사하게, HCL-V는 더 공격적인 질환이다. 역사적으로 고전적인 HCL보다 성공적으로 치료될 가능성이 낮고, 관해 기간이 더 짧은 경향이 있었다. 그러나 리툭시맙과 클라드리빈 병용 요법을 도입한 결과, 초기 추적 관찰에서 우수한 결과를 보였다.[29] 2016년 현재, 이 요법은 많은 HCL-V 환자에게 1차 치료법으로 간주된다.[30]
인터페론 알파, "CHOP" 병용 화학 요법, 사이클로포스파미드와 같은 일반적인 알킬화제와 같은 많은 이전 치료법은 거의 효과가 없었다.[27] 펜토스타틴과 클라드리빈 단독 요법(리툭시맙 병용 없이)은 많은 HCL-V 환자에게 어느 정도 효과가 있지만, 일반적으로 고전적인 HCL에서 사용될 때보다 관해 기간이 짧고 반응률이 낮다. 환자의 절반 이상이 비장 절제술에 부분적으로 반응한다.[27]
HCL-V는 주로 다음과 같은 점에서 고전적인 HCL과 다르다.
- 더 높은 백혈구 수치, 때로는 마이크로리터당 100,000개 이상의 세포
- 더 빈번한 치료가 필요한 더 공격적인 질병 경과
- 크기에 비해 비정상적으로 큰 핵소체를 가진 털 세포
- 고전적인 털 세포에서 생성되는 과도한 피브로넥틴 생성이 적어 골수 생검을 방해함[31]
- CD25(인터루킨-2(IL-2) 수용체 알파 사슬, 또는 p55)의 세포 표면 발현이 낮거나 없음.[32]
핵심 면역 조절 호르몬에 대한 수용체의 일부인 낮은 수준의 CD25는 HCL-V 사례가 일반적으로 면역 체계 호르몬에 의한 치료에 훨씬 더 저항적인 이유를 설명할 수 있다.[25]
기능적인 ''p53'' 종양 억제 유전자가 없는 털 세포의 비율이 높은 HCL-V는 다소 더 높은 등급의 악성 종양으로 변형될 가능성이 있다. 영국에서 5-6%의 전형적인 변형률이 가정되었으며, 이는 융모 림프구가 있는 비장 림프종(SLVL) 및 만성 림프구성 백혈병(CLL)에 대한 리히터 변형률과 유사하다.[27][33] HCL-V 환자 중 가장 공격적인 사례는 일반적으로 p53 유전자 활동이 가장 적다.[34] ''p53'' 유전자가 없는 털 세포는 시간이 지남에 따라 덜 공격적인 p53(+) 털 세포를 대체하는 경향이 있다.
일부 증거에 따르면, HCL-V 환자의 약 40%와 고전적인 HCL 환자의 10%에서 발견되는 면역글로불린 유전자 ''VH4-34''의 재배열이 변이형 상태보다 더 중요한 불량 예후 인자일 수 있으며, VH4-34 재배열이 없는 HCL-V 환자는 고전적인 HCL 환자와 거의 같은 정도로 반응한다.[35]
8. 역학
털세포 백혈병은 매우 드문 질병으로, 평생 동안 10,000명 중 1명 미만이 걸린다. 남성이 여성보다 털세포 백혈병에 걸릴 가능성이 4~5배 정도 높다.[93] 미국의 경우 연간 발병률은 남성 100만 명 중 약 3명, 여성 100만 명 중 약 0.6명이다.[88]
대부분 환자는 50세 이상의 백인 남성이지만,[88] 10대에서 발병한 경우도 있다.[94] 유럽계보다 아프리카나 아시아계에서 발병률이 낮다.
털세포 백혈병은 유전되는 것으로 추정되지는 않으나, 가족 내에서 발생하는 경우가 드물게 보고되어 유전적 소인이 있을 가능성을 시사한다.[95] 이 경우, 거의 대부분 공통된 종류의 인간백혈구항원을 가진다.[88]
털세포 백혈병은 남성에게 더 흔하며, 남녀 비율은 4:1이다. 진단 시 평균 연령은 55-60세이다.[8] 어린이에게는 발생하지 않는다.[8] 미국과 유럽에서의 발병률은 인구 10만 명당 0.28-0.3건이며, 유럽에서는 유병률이 인구 10만 명당 3건이다. 아프리카, 중동, 아시아에서는 덜 흔하게 나타난다.[8]
유전적인 요인은 없는 것으로 보이지만, 드물게 가족력이 있는 사례가 보고되었으며, 이는 유전적 소인이 있음을 시사한다.[55] 일반적으로 공통적인 인간 백혈구 항원 유형을 보인다.[17] 서구에서는 비교적 발병 빈도가 높으며, 미국에서는 전체 백혈병 환자의 2%에서 3%를 차지한다고 알려져 있지만, 일본을 포함한 아시아 및 아프리카에서는 발병 빈도가 낮아 지역차가 보고되고 있다. 남녀 비율은 4:1에서 5:1로 남성에게서 발병 빈도가 높다. 진단 당시의 평균 연령은 50세에서 55세이다.
9. 예후
클라드리빈이나 펜토스타틴으로 치료받은 새로운 환자의 95% 이상이 좋은 결과를 얻거나, 적절하게 치료된다.[49] 이 약들을 한 번만 투여해도 새로운 환자의 대다수는 약 10년, 때로는 그보다 훨씬 더 오랫동안 병이 없는 상태를 유지할 수 있다. 재치료가 필요한 경우, 보통 약물이 다시 효과를 보이지만, 이후 치료에서는 병이 없는 기간이 다소 짧아진다. 클라드리빈 치료 후에는 대상포진과 말초 신경병증의 위험이 있다.
B 세포 만성 림프구성 백혈병과 마찬가지로, 털세포의 IGHV 돌연변이는 초기 치료에 대한 더 나은 반응 및 생존 기간 연장과 관련이 있다.[50]
치료 후 환자가 얼마나 빨리 "정상"이라고 느끼는지는 다음의 여러 요인에 따라 달라진다.
- 치료 당시 질병의 진행 정도
- 환자의 건강 상태
- 환자가 치료에 "완전 반응"을 보였는지, 아니면 부분적인 반응만 보였는지 여부
- 환자가 신부전과 같은 드물지만 심각한 부작용을 경험했는지 여부
- 개인의 질병이 얼마나 공격적인지
- 환자가 "암" 진단으로 인해 심리적 외상을 겪고 있는지 여부
- 환자가 치료 전 에너지 수준과 일상적인 기능에 대해 어떻게 인식했는지 여부
적절한 치료를 받으면 환자의 전체 예상 수명은 정상 또는 거의 정상이다. 모든 환자에서 진단 후 처음 2년 동안 사망 위험이 가장 높다. 일반적으로 5년 생존은 질병의 좋은 관리를 예측한다. 5년 동안 임상적으로 병이 없는 상태가 유지되면, 정상적인 혈구 수치를 가진 미국의 환자는 종종 일부 미국 회사에서 개인 생명 보험에 가입할 수 있다.[51]
변이형 질환(HCL-V) 환자의 생존율을 정확하게 측정하는 것은 진단 시 중앙 연령(70세)이 상대적으로 높기 때문에 복잡하다. 그러나 HCL-V 환자는 일반적으로 10년 이상 생존하며, 젊은 환자는 더 오래 살 수 있다.
털세포 백혈병은 수십 년 동안 병이 없고 치료 후 수년간 매우 정상적인 삶을 살았음에도 불구하고, 공식적으로 불치병으로 간주된다. 고형 종양 생존자는 2년, 3년 또는 5년 후에 영구적인 완치를 선고받는 것이 일반적이지만, 털세포 백혈병 환자는 '완치'된 것으로 간주되지 않는다. 털세포 백혈병의 재발은 20년 이상 지속된 병이 없는 기간 후에도 발생했다. 환자는 평생 동안 추적 관찰이 필요하며, 수십 년 동안 건강을 유지한 후에도 질병이 재발할 수 있음을 알고 있어야 한다.
대부분의 종양 전문의들은 털세포 백혈병을 불치병으로 여기지만, 일부 환자가 실제로 치료 후에 완치된다는 증거가 있다. 스크립스 클리닉에서 클라드리빈으로 치료받은 358명의 환자 중, 중앙값 16년 동안 지속적인 완전 관해(CR)를 보인 19명 중 9명은 털세포 백혈병에서 벗어났으며, 이는 측정 가능한 최소 잔존 질환(MRD)에 대한 민감한 검사에서도 털세포가 없다는 것을 발견했다.[52] 이것은 적어도 일부 환자의 질병이 완치될 수 있음을 시사한다.[53]
병이 없는 상태의 사람들은 치료가 끝난 후 정기적인 추적 검사가 필요하다. 대부분의 의사는 환자의 남은 평생 동안 최소 1년에 한 번 환자를 진찰하고, 1년에 약 두 번 혈액 검사를 받도록 한다. 정기적인 추적 관리는 환자가 신중하게 관찰되고, 건강의 변화가 논의되며, 새롭거나 재발하는 암을 가능한 한 빨리 감지하고 치료할 수 있도록 한다. 정기적인 예약 간에는 털세포 백혈병이 있는 사람들은 건강 문제, 특히 바이러스 또는 세균 감염이 나타나는 즉시 보고해야 한다.
털세포 백혈병 환자는 또한 삶의 어느 시점에 대장암이나 폐암과 같은 두 번째 종류의 암이 발생할 위험이 평균보다 약간 높다. 이는 다양한 형태의 치료가 아닌 털세포의 수와 가장 관련이 있는 것으로 보인다.[54] 평균적으로, 환자는 털세포 백혈병 진단 후 약 2년 후에 최고점에 도달하고 그 후 꾸준히 감소하면서, 털세포 백혈병이 성공적으로 치료되었다는 가정 하에, 다른 암이 발생할 위험이 두 배 정도 증가할 것으로 예상할 수 있다. 털세포 백혈병 진단 후 두 번째 암이 발생할 평생 확률이 여전히 50% 미만이지만, 적극적인 감시 및 예방 노력이 일반적으로 필요하다.
또한 자가면역 질환이 발생할 위험이 더 높다.[17] 결절성 다발 동맥염은 특정 경우에 기저 털세포 백혈병과 관련이 있다. 자가면역 질환도 털세포 백혈병 치료 후 병이 없는 상태가 될 수 있다.[17]
10. 연구 방향
2008년에 이 질병에 대한 연구의 장기적인 미래에 대한 연구자들의 우려를 해결하기 위해 털세포 백혈병 컨소시엄이 설립되었다.[56]
2013년에는 털세포 백혈병 컨소시엄과 털세포 백혈병 연구 재단이 합쳐져 [http://www.hairycellleukemia.org 털세포 백혈병 재단]이 설립되었다. HCLF는 환자의 결과 개선과 HCL 연구 발전에 전념하고 있다.[57]
세 가지 면역독성 약물이 미국 국립 보건원(NIH) 국립 암 연구소의 환자들을 대상으로 연구되었다. BL22,[58] HA22[59] 및 LMB-2.[60] 이러한 단백질 기반 약물은 항-B 세포 항체의 일부와 세균 독소를 결합하여 내재화 시 세포를 죽인다. BL22 및 HA22는 털세포와 건강한 B 세포에 존재하는 CD22라는 공통 단백질을 공격한다. LMB-2는 HCL-변종에는 존재하지 않는 CD25라는 단백질을 공격하므로 LMB-2는 전형적인 HCL 환자에게만 유용하다. 현재 moxetumomab pasudotox로 이름이 변경된 HA-22는 재발성 털세포 백혈병 환자에서 연구되고 있다.[61]
다른 임상 시험[62]에서는 클라드리빈 또는 펜토스타틴으로 치료 후 남아있는 잔여 털세포를 제거하는 데 클라드리빈 다음 리툭시맙의 효과를 연구하고 있다. 이러한 잔여 세포의 제거가 더 지속적인 관해를 가져올지는 현재 알려져 있지 않다.
주요 연구 과제는 HCL의 원인을 규명하고 털세포가 정상적으로 성숙하는 것을 막는 요인을 파악하는 것이다.[63]
참조
[1]
웹사이트
Hairy cell leukemia: MedlinePlus Medical Encyclopedia
https://medlineplus.[...]
2018-04-17
[2]
논문
"Hairy" cells in blood in lymphoreticular neoplastic disease and "flagellated" cells of normal lymph nodes
1966-02
[3]
웹사이트
Hairy cell leukemia {{!}} Genetic and Rare Diseases Information Center (GARD) – an NCATS Program
https://rarediseases[...]
2018-04-17
[4]
웹사이트
Hairy Cell Leukemia Treatment
https://www.cancer.g[...]
National Cancer Institute
2007-09-07
[5]
논문
Platelet function in hairy-cell leukaemia
[6]
논문
Hypocholesterolemia in hairy cell leukemia: a marker for proliferative activity
1997-07
[7]
논문
Mechanisms behind hypocholesterolaemia in hairy cell leukaemia
1995-07
[8]
논문
Hairy-Cell Leukemia
2024-10-10
[9]
논문
Hairy cell leukaemia, occupation, and smoking
[10]
논문
Transient autonomic nervous system dysfunction during hyperacute stroke
[11]
논문
"BRAF" Mutations in Hairy-Cell Leukemia
[12]
서적
Veterans and Agent Orange: Update 2008
http://www.nap.edu/c[...]
Institute of Medicine
[13]
논문
Comparative biology of human T-cell lymphotropic virus type 1 (HTLV-1) and HTLV-2
2005-09
[14]
논문
Integrated human T-cell leukemia virus II genome in CD8 + T cells from a patient with "atypical" hairy cell leukemia: evidence for distinct T and B cell lymphoproliferative disorders
http://www.bloodjour[...]
1988-02
[15]
논문
The epidemiology and disease outcomes of human T-lymphotropic virus type II
[16]
논문
Farming, pesticide use and hairy-cell leukemia
1996-08
[17]
서적
Wintrobe's clinical hematology
Lippincott Williams & Wilkins
[18]
논문
BRAF mutations in hairy-cell leukemia
2011-06
[19]
논문
Comparative expressed sequence hybridization studies of hairy cell leukemia show uniform expression profile and imprint of spleen signature
[20]
웹사이트
Clinical Flow Cytometry Case #54
http://www.flowcases[...]
2007-09-07
[21]
논문
Hairy cell leukemia: current concepts
2008-10
[22]
문서
Hairy Cell Leukemia
[23]
논문
Hairy Cell Leukemia: An Elusive but Treatable Disease
2006-07
[24]
논문
Hairy Cell Leukemia Variant: Fact or Fiction
2005-01
[25]
논문
A variant form of hairy cell leukemia resistant to ''alpha''-interferon: clinical and phenotypic characteristics of 17 patients
http://www.bloodjour[...]
1990-07
[26]
논문
A chronic lymphoproliferative disorder with distinctive features: a distinct variant of hairy-cell leukaemia
[27]
논문
The natural history and clinico-pathological features of the variant form of hairy cell leukemia
[28]
논문
Hairy Cell Leukemia Variant With Features of Intrasinusoidal Bone Marrow Involvement
2005-03-01
[29]
논문
Cladribine with Immediate Rituximab for the Treatment of Patients with Variant Hairy Cell Leukemia
2013-12-15
[30]
웹사이트
HCL-V
https://www.hairycel[...]
2016-05-31
[31]
논문
The bone marrow fibrosis of hairy-cell leukemia is caused by the synthesis and assembly of a fibronectin matrix by the hairy cells
http://www.bloodjour[...]
1994-01
[32]
논문
Phenotypic analysis of hairy cell leukemia: "variant" cases express the interleukin-2 receptor ''beta'' chain, but not the ''alpha'' chain (CD25)
http://www.bloodjour[...]
1993-07
[33]
논문
The variant form of hairy-cell leukaemia
[34]
논문
p53 gene deletion and trisomy 12 in hairy cell leukemia and its variant
[35]
논문
VH4-34+ hairy cell leukemia, a new variant with poor prognosis despite standard therapy
2009-11-19
[36]
논문
Cladribine in a weekly versus daily schedule for untreated active hairy cell leukemia: final report from the Polish Adult Leukemia Group (PALG) of a prospective, randomized, multicenter trial
https://web.archive.[...]
2007-07-04
[37]
논문
Long remissions in hairy cell leukemia with purine analogs: a report of 219 patients with a median follow-up of 12.5 years
[38]
논문
Complete Remissions in Hairy Cell Leukemia with 2-Chlorodeoxyadenosine after Failure with 2-Deoxycoformycin
1993-08-15
[39]
논문
Rituximab in relapsed or refractory hairy cell leukemia
2003-12-01
[40]
논문
Phase 2 study of rituximab in the treatment of cladribine-failed patients with hairy cell leukemia
2003-08-01
[41]
논문
Successful treatment of hairy cell leukemia variant with rituximab
2005-08
[42]
논문
Rituximab-induced serum sickness: A systematic review
2015-12
[43]
EMedicine
Hairy Cell Leukemia
[44]
논문
Alpha interferon for induction of remission in hairy-cell leukemia
1984-01
[45]
논문
The current role of interferon in hairy cell leukaemia: clinical and molecular aspects
https://pubmed.ncbi.[...]
2021-07
[46]
논문
Treatment of hairy cell leukemia with recombinant alpha 2 interferon
[47]
논문
Response of hairy cells to IFN-alpha involves induction of apoptosis through autocrine TNF-alpha and protection by adhesion
[48]
논문
Filgrastim for Cladribine-Induced Neutropenic Fever in Patients With Hairy Cell Leukemia
1999-04-15
[49]
논문
Long remissions in hairy cell leukemia with purine analogs: a report of 219 patients with a median follow-up of 12.5 years
2005-12
[50]
논문
Hairy cell leukemias with unmutated IGHV genes define the minor subset refractory to single agent cladribine and with more aggressive behavior
http://bloodjournal.[...]
2009-11
[51]
논문
Hairy Cell Leukemia
https://web.archive.[...]
2018-11-29
[52]
논문
Measurable residual disease in hairy cell leukemia: Technical considerations and clinical significance
NIH
2022
[53]
웹사이트
Update on Hairy Cell Leukemia – Hematology & Oncology
http://www.hematolog[...]
[54]
논문
Second malignancies in patients with hairy cell leukemia in British columbia: a 20-year experience
http://www.bloodjour[...]
1998-08
[55]
논문
Three cases of familial hairy cell leukemia
1993-04
[56]
논문
Has success spoiled hairy cell leukemia research? Key questions go unanswered, despite big gains
2009-03
[57]
웹사이트
"| Hairy Cell Leukemia Foundation"
http://www.hairycell[...]
Hairycellleukemia.org
2015-12-24
[58]
ClinicalTrialsGov
BL22 Immunotoxin in Treating Patients Previously Treated With Cladribine for Hairy Cell Leukemia
[59]
ClinicalTrialsGov
Safety Study of CAT-8015 Immunooxin in Patients With HCL With Advance Disease
[60]
ClinicalTrialsGov
LMB-2 to Treat Hairy Cell Leukemia
[61]
웹사이트
Moxetumomab Pasudotox for Advanced Hairy Cell Leukemia - Full Text View
http://clinicaltrial[...]
ClinicalTrials.gov
2015-12-24
[62]
ClinicalTrialsGov
NCT00412594 and NCT00923013
[63]
웹사이트
The Biology of the Disease Including Unanswered Questions | HairyCell.org
https://web.archive.[...]
2010-06-23
[64]
서적
イヤーノート 2015: 内科・外科編
メディック・メディア
[65]
웹사이트
血液造血器の病気:血液疾患における末梢血と骨髄の検査
https://www.tokushuk[...]
徳洲会
2023-01-09
[66]
서적
病気がみえるVol.5 P129
メディックメディア社発行
[67]
서적
造血器腫瘍アトラス〈第5版〉形態、免疫、染色体から分子細胞治療へ
日本医事新報社
[68]
논문
The natural history and clinico-pathological features of the variant form of hairy cell leukemia
2001
[69]
논문
BRAF Mutations in Hairy-Cell Leukemia
2011
[70]
논문
Mutations of the BRAF gene in human cancer
2002
[71]
문서
ロイスタチン注 8mg 添付文書
[72]
논문
Therapeutic advances in the treatment of hairy cell leukemia
2001-05
[73]
문서
ゼルボラフ錠240mg 添付文書
[74]
웹인용
Hairy cell leukemia: MedlinePlus Medical Encyclopedia
https://medlineplus.[...]
2018-04-17
[75]
저널
'"Hairy" cells in blood in lymphoreticular neoplastic disease and "flagellated" cells of normal lymph nodes'
1966-02
[76]
웹인용
'Hairy cell leukemia {{!}} Genetic and Rare Diseases Information Center (GARD) – an NCATS Program'
https://rarediseases[...]
2018-04-17
[77]
웹인용
Hairy Cell Leukemia Treatment
https://www.cancer.g[...]
National Cancer Institute
2007-09-07
[78]
저널
Platelet function in hairy-cell leukaemia
https://archive.org/[...]
[79]
저널
Hypocholesterolemia in hairy cell leukemia: a marker for proliferative activity
1997-07
[80]
저널
Mechanisms behind hypocholesterolaemia in hairy cell leukaemia
1995-07
[81]
저널
Hairy cell leukaemia, occupation, and smoking
https://archive.org/[...]
[82]
저널
Transient autonomic nervous system dysfunction during hyperacute stroke
[83]
저널
"BRAF'' Mutations in Hairy-Cell Leukemia"
[84]
서적
Veterans and Agent Orange: Update 2008
http://www.nap.edu/c[...]
Institute of Medicine
[85]
저널
Comparative biology of human T-cell lymphotropic virus type 1 (HTLV-1) and HTLV-2
2005-09
[86]
저널
'Integrated human T-cell leukemia virus II genome in CD8 + T cells from a patient with "atypical" hairy cell leukemia: evidence for distinct T and B cell lymphoproliferative disorders'
http://www.bloodjour[...]
1988-02
[87]
저널
The epidemiology and disease outcomes of human T-lymphotropic virus type II
[88]
서적
Wintrobe's clinical hematology
Lippincott Williams & Wilkins
[89]
웹인용
Clinical Flow Cytometry Case #54
http://www.flowcases[...]
2007-09-07
[90]
저널
Hairy cell leukemia: current concepts
2008-10
[91]
EMedicine
Hairy Cell Leukemia
[92]
저널
Hairy Cell Leukemia: An Elusive but Treatable Disease
http://theoncologist[...]
2023-09-19
[93]
웹인용
Hairy cell leukemia
http://www.pennhealt[...]
2007-09-07
[94]
저널
Relapse in hairy cell leukemia due to isolated nodular skin infiltration
https://archive.org/[...]
2001-09
[95]
저널
Three cases of familial hairy cell leukemia
1993-04
본 사이트는 AI가 위키백과와 뉴스 기사,정부 간행물,학술 논문등을 바탕으로 정보를 가공하여 제공하는 백과사전형 서비스입니다.
모든 문서는 AI에 의해 자동 생성되며, CC BY-SA 4.0 라이선스에 따라 이용할 수 있습니다.
하지만, 위키백과나 뉴스 기사 자체에 오류, 부정확한 정보, 또는 가짜 뉴스가 포함될 수 있으며, AI는 이러한 내용을 완벽하게 걸러내지 못할 수 있습니다.
따라서 제공되는 정보에 일부 오류나 편향이 있을 수 있으므로, 중요한 정보는 반드시 다른 출처를 통해 교차 검증하시기 바랍니다.
문의하기 : help@durumis.com
