신장암
"오늘의AI위키"의 AI를 통해 더욱 풍부하고 폭넓은 지식 경험을 누리세요.
1. 개요
신장암은 신장의 악성 종양을 의미하며, 가장 흔한 유형은 신세포암이다. 흡연, 고혈압, 비만, 유전적 요인 등이 위험을 증가시키며, 초기에는 증상이 없다가 혈뇨, 옆구리 통증, 종괴 등이 나타날 수 있다. 진단은 영상 검사, 조직 검사, 혈액 및 소변 검사를 통해 이루어지며, 병기 분류는 TNM 병기 분류 시스템을 따른다. 치료는 수술이 가장 일반적이며, 표적 치료, 면역 요법, 항암 화학 요법 등이 사용될 수 있다. 전 세계적으로 매년 약 20만 건 이상 발생하며, 발생률은 북미에서 가장 높고 아시아와 아프리카에서 가장 낮다.
더 읽어볼만한 페이지
- 신장암 - 신세포암종
신세포암종은 신장의 근위 세뇨관에서 발생하는 악성 종양인 선암종으로, 초기에는 증상이 없다가 진행되면 혈뇨, 옆구리 통증, 복부 종괴 등의 증상을 보일 수 있으며, 흡연, 비만, 고혈압 등이 위험 요인으로 작용하고 다양한 조직학적 아형으로 분류되어 병기와 환자 상태에 따라 수술, 경피적 절제술, 표적 약물 치료 등을 시행한다. - 신장암 - 빌름스 종양
빌름스 종양은 소아에게 주로 나타나는 신장의 악성 종양으로, 유전자 변이와 관련되어 발생하며, 복부 종괴, 복통, 혈뇨 등의 증상을 보일 수 있고, 영상 검사, 생검 등으로 진단하여 수술, 항암 화학 요법 등으로 치료한다. - 암의 종류 - 피부암
피부암은 피부 세포에서 발생하는 악성 종양으로, 자외선 노출, 유전적 요인, 면역 저하 등이 원인이 되며 기저세포암, 편평상피세포암, 흑색종으로 나뉘고 조기 발견과 자외선 차단이 중요하다. - 암의 종류 - 전립선암
전립선암은 전립선 세포 DNA의 유전자 돌연변이로 발생하는 남성 암으로, 초기 증상이 없다가 진행되면 배뇨장애, 발기부전 등이 나타날 수 있으며, PSA 검사, 직장수지검사, 생검 등을 통해 진단하고, 병기, 글리슨 등급, PSA 수치에 따라 치료하며, 전이성 암에는 호르몬 요법, 거세 저항성 암에는 추가 치료를 시행하고, 발병 위험은 나이, 유전, 생활 습관 등에 영향을 받는다.
| 신장암 | |
|---|---|
| 질병 정보 | |
| 이름 | 신장암 |
| 동의어 | 콩팥암 |
| 관련 분야 | 종양학 신장학 비뇨기과학 |
| 증상 | 혈뇨 복부 종괴 등 통증 |
| 발병 시기 | 45세 이후 |
| 종류 | 신세포암 (RCC) 이행상피세포암 (TCC) 윌름스 종양 |
| 위험 요인 | 흡연 특정 진통제 이전 방광암 과체중 고혈압 특정 화학 물질 가족력 |
| 진단 방법 | 조직 생검 |
| 치료 방법 | 수술 방사선 치료 화학 요법 면역 요법 표적 치료 |
| 예후 | 5년 생존율 ~75% (미국, 2015년) |
| 빈도 | 403,300건 (2018년) |
| 사망자 수 | 175,000명 |
2. 종류
신장암은 발생하는 세포의 종류와 위치에 따라 여러 종류로 나뉜다. 크게 악성 종양과 양성 종양으로 구분할 수 있다.
악성 종양
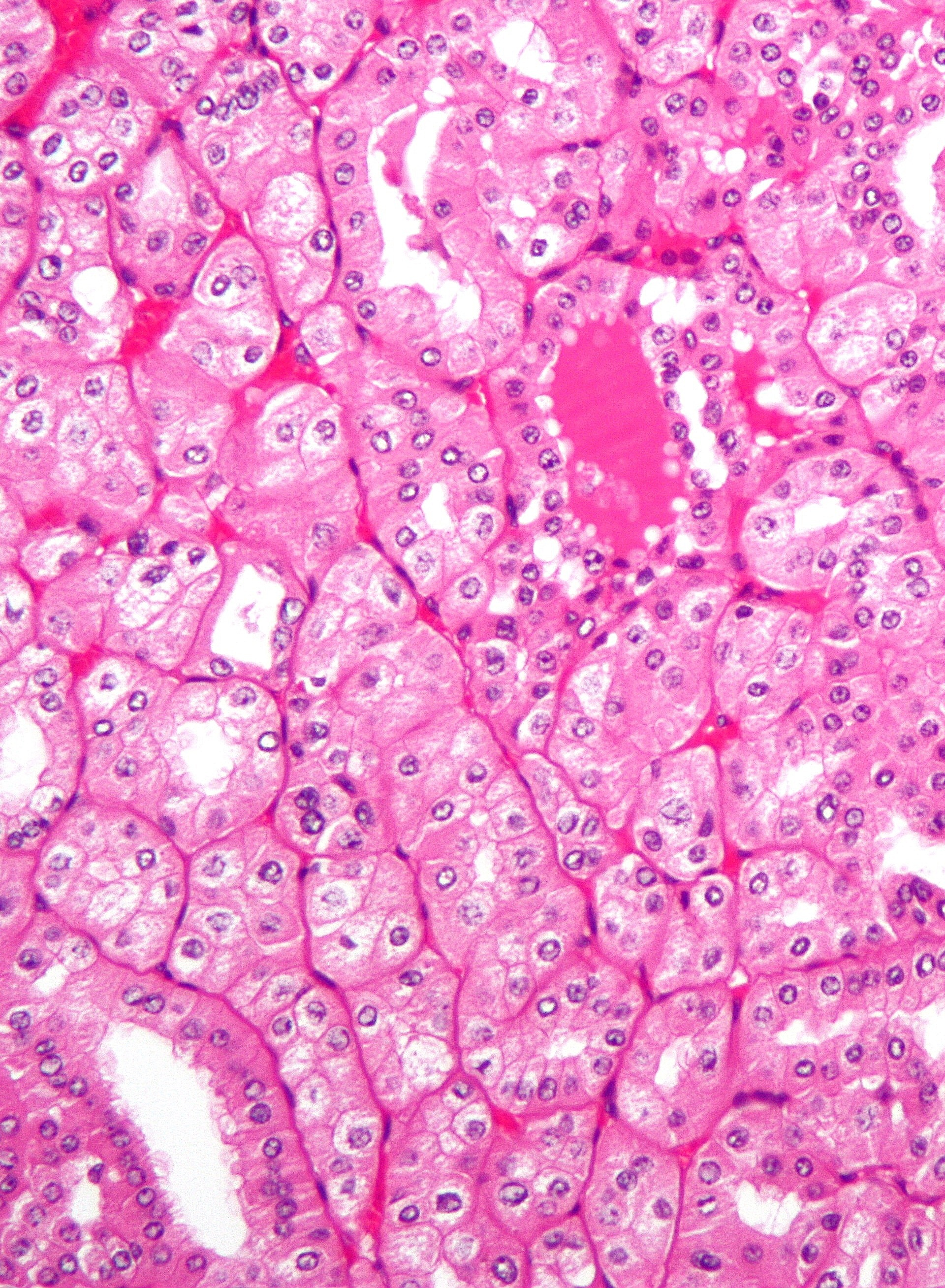
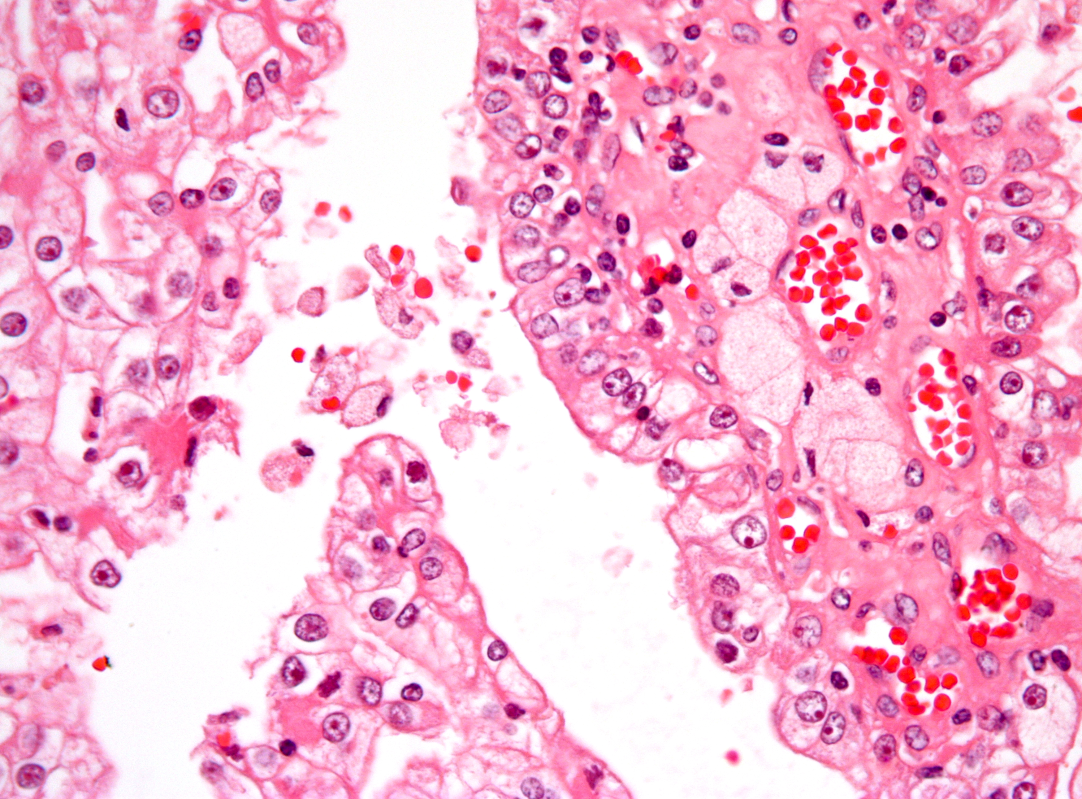
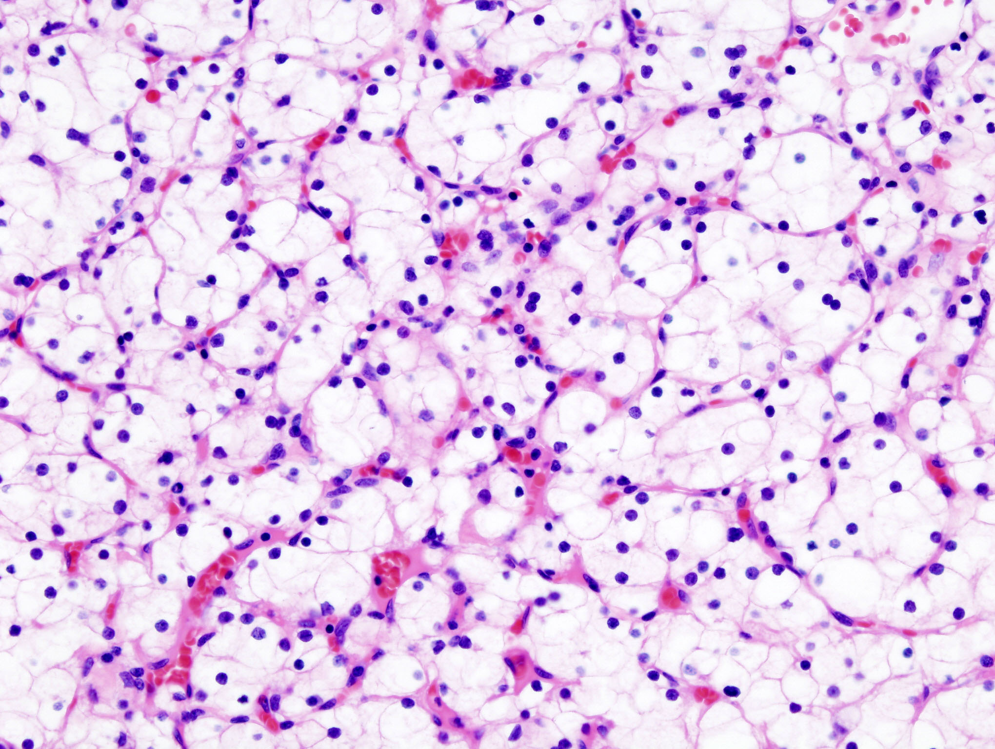
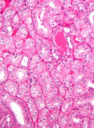
- 신세포암: 신장 악성 종양 중 가장 흔한 형태로, 네프론의 근위세뇨관 세포에서 발생한다.
- 요로상피암(신우암): 신장에서 소변을 모아 요관으로 보내는 깔때기 모양의 신우에서 발생하는 암이다. 신우를 덮고 있는 요로상피세포에서 발생하며, 방광암과 유사하게 진행된다. 드물게 편평세포암이나 선암이 발생하기도 한다.
- 육종: 평활근육종, 지방육종, 혈관육종, 청색세포종, 횡문근육종 등 다양한 종류의 육종이 신장에서 발생할 수 있다.
- 전이성 종양: 다른 장기에서 발생한 암이 신장으로 전이된 경우다.
- 림프종
- 윌름스 종양: 주로 어린이에게서 발견되는 신장암이다.
- 기타: 신우의 카르시노이드 종양[37], 카르시노육종[38], 역위 요로상피 유두종[39] 등도 드물게 발생한다.
양성 종양혈관지방종, 산호세포종, 레니노마(사구체곁세포 종양), 신장 선종 등이 있다.[15]
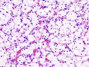
2. 1. 신세포암



신장 악성 종양 중 가장 흔한 유형은 신세포암[34]이며, 네프론의 근위세뇨관 세포에서 기원하는 것으로 여겨진다.[15][35] 신세포암은 조직학적 특징과 유전적 이상을 기반으로 하위 유형으로 더 세분화되었다. 2004년 WHO 성인 신장 종양 분류는 다음과 같다.[40]
- 투명세포 신세포암
- 다방성 투명세포 신세포암
- 유두 신세포암
- 크롬친화성 신세포암
- 벨리니 집합관암
- 신수질암
- Xp11 전좌 암종
- 신경모세포종 관련 암종
- 점액성 관상 및 방추세포암
- 혼합 상피 간질 종양[41]
양성으로 간주되는 종양에는 혈관지방종, 산호세포종, 레니노마 (사구체곁세포 종양) 및 신장 선종이 있다.[15]
신세포암(신장암, 그라비츠 종양)은 신장의 요세관 상피세포의 선암이다. 반복되는 육안적 혈뇨가 관찰되며, 이를 간헐적 육안적 혈뇨라고 한다. 신혈관을 압박하여 신혈관성 고혈압을 나타내는 경우도 있다. 남녀 비율은 3:1이며, 간헐적 혈뇨는 약 50%에서 관찰된다. 신세포암은 독일의 병리학자 그라비츠(Grawitz)에 의해 자세히 설명되었다.
2. 2. 요로상피암 (신우암)
신우는 신장에서 소변을 모아 요관으로 배출하는 부분이다.[36] 신우를 덮고 있는 세포는 이행세포(요로상피세포)이다. 신우의 이행세포는 요관과 방광을 덮고 있는 세포와 같은 유형이다. 이러한 이유로 신우의 이행세포암(TCC)은 신세포암과 구별되며 방광암과 더 유사하게 진행되는 것으로 여겨진다.[36]신우의 요로상피세포에서 발생할 수 있는 다른 드문 유형의 신장암으로는 편평세포암과 선암이 있다.[15] 신우·신배의 상피에서 발생하는 암종으로, 성인에서는 신세포암과 함께 빈도가 높다.
2. 3. 신장 배아종 (윌름스 종양)
신장 배아종은 소아에게 특유한 종양이다.[15] 어린이의 경우 윌름스 종양이 가장 흔한 유형의 신장암이다.[15] 중배엽 신종은 드물지만 일반적으로 어린 시절에 나타난다.소아에게서 보고되는 신장암의 대부분은 윌름스 종양이다. 이 종양은 태아가 자궁 내에서 발달하는 동안 성장을 시작할 수 있으며, 아이가 몇 살이 될 때까지 문제를 일으키지 않을 수도 있다. 윌름스 종양은 5세 미만 어린이에게서 가장 흔하지만, 드물게는 나이가 많은 어린이 또는 성인에게서 진단될 수도 있다. 대부분의 윌름스 종양의 원인은 아직 명확하지 않다. 가장 흔한 증상은 복부 팽창과 혈뇨이다.[64]
2. 4. 기타
신장 악성 종양 중 가장 흔한 유형은 신세포암[34]이며, 네프론의 근위세뇨관 세포에서 기원하는 것으로 여겨진다.[15][35] 신세포암은 조직학적 특징과 유전적 이상을 기반으로 하위 유형으로 더 세분화되었으며, 2004년 WHO 성인 신장 종양 분류는 다음 범주를 설명한다.[40]
| 종양의 종류 |
|---|
| 투명세포 신세포암 |
| 다방성 투명세포 신세포암 |
| 유두 신세포암 |
| 크롬친화성 신세포암 |
| 벨리니 집합관암 |
| 신수질암 |
| Xp11 전좌 암종 |
| 신경모세포종 관련 암종 |
| 점액성 관상 및 방추세포암 |
| 혼합 상피 간질 종양[41] |
드물지만 이행세포암(TCC) 또는 신우의 요로상피암이 있다.[36] 신우는 신장에서 소변을 모아 요관이라는 관으로 배출하는 부분이다.[36] 신우를 덮고 있는 세포는 이행세포라고 하며, 요로상피세포라고도 한다. 신우의 이행세포/요로상피세포는 요관과 방광을 덮고 있는 세포와 같은 유형의 세포이다. 이러한 이유로 신우의 TCC는 신세포암과 구별되며 방광암과 더 유사하게 진행되는 것으로 여겨진다.[36] 신우의 요로상피세포에서 발생할 수 있는 다른 드문 유형의 신장암으로는 편평세포암과 선암이 있다.[15]
신장암의 다른 원인은 다음과 같다.[15]
- 육종 - 예를 들어 평활근육종, 지방육종, 혈관육종, 청색세포종 및 횡문근육종은 신장에서 발생한 육종의 유형이다.
- 원격 장기로부터의 전이성 종양
- 림프종
- 윌름스 종양 - 어린이에게 가장 흔한 유형의 신장암인 배아 종양
- 신우의 카르시노이드 종양[37]
- 카르시노육종[38]
- 역위 요로상피 유두종 - 전통적으로 양성 성장으로 여겨졌다. 그러나 재발 및 TCC로의 전환 위험이 증가할 수 있다.[39]
어린이의 경우 윌름스 종양이 가장 흔한 유형의 신장암이다.[15] 중배엽 신종은 드물지만 일반적으로 어린 시절에 나타난다.
양성으로 간주되는 종양에는 혈관지방종, 산호세포종, 레니노마 (사구체곁세포 종양) 및 신장 선종이 있다.[15]
- 신세포암(신장암, 그라비츠 종양)
- * 신세포암(腎細胞癌)은 신장의 요세관 상피세포의 선암이다.
- * 증상: 반복되는 육안적 혈뇨가 관찰된다. 반복되는 육안적 혈뇨를 간헐적 육안적 혈뇨라고 한다. 신혈관을 압박하여 신혈관성 고혈압을 나타내는 경우도 있다.
- * 통계: 남녀 비율은 3:1이다.
- * 역사: 독일의 병리학자 그라비츠(Grawitz)에 의해 자세히 설명되었다.
- 요로상피암(신우암)
- * 신우·신배의 상피에서 발생하는 암종이다. 성인에서는 신세포암과 함께 빈도가 높다.
- 신배아종(윌름스 종양)
- * 소아에게 특유한 종양이다.
- 그 외에도, 빈도는 드물지만 평활근종 등 다양한 조직 형태의 암이 발생할 수 있다.
3. 원인
신장암의 원인은 다양하며, 흡연, 고혈압, 비만 등이 주요 위험 요인으로 알려져 있다.[19][20][21]
신장암은 남성에게 많이 발생하며, 50~60대가 발병률이 높은 연령대이다. 신부전으로 인해 인공투석을 장기간 받는 환자나 도장 작업원, 금속 가공 작업원, 화학물질을 많이 취급하는 사람도 신장암에 걸릴 위험이 높다.[24] 이는 신장이 체내 노폐물과 유독 물질을 소변으로 배출하는 기능을 하므로, 이러한 물질의 영향을 받기 쉽기 때문이다.
3. 1. 주요 위험 요인
신장암의 위험을 증가시키는 요인으로는 흡연, 고혈압, 비만, 유전적 결함, 1촌 친척의 신장암 가족력,[19] 투석이 필요한 신장 질환, C형 간염 감염, 이전의 고환암 또는 자궁경부암 치료가 있다.[20][21] 신장 결석과 같은 기타 가능한 위험 요인들도 조사 중이다.[22][23]신장암의 약 25~30%는 흡연과 관련이 있다.[21] 흡연자는 비흡연자에 비해 신장암 발생 위험이 1.3배 높다. 암 발생 위험은 용량 의존적으로 증가하는데, 하루 20개 이상 담배를 피우는 남성은 위험이 두 배가 되고, 여성은 비흡연자보다 1.5배의 위험이 있다. 금연 10년 후에는 신장암 발생 위험이 상당히 감소한다.[24]
신장암은 남성에게 많이 발생하며, 50~60대가 발병률이 높은 연령대이다. 신부전으로 인해 인공투석을 장기간 받는 환자나, 도장 작업원, 금속 가공 작업원, 화학물질을 많이 취급하는 사람도 신장암에 걸릴 위험이 높다. 이는 신장이 체내 노폐물과 유독 물질을 소변으로 배출하는 기능을 하므로, 이러한 물질의 영향을 받기 쉽기 때문이다.
당뇨병[72], 비만[73], 항고혈압제의 장기 복용[74], 흡연[75]은 신장암의 위험을 높이는 것으로 보고되고 있다.
3. 2. 기타 위험 요인
신장암의 위험을 증가시키는 요인으로는 흡연, 고혈압, 비만, 유전적 결함, 1촌 친척의 신장암 가족력,[19] 투석이 필요한 신장 질환, C형 간염 감염, 그리고 이전의 고환암 또는 자궁경부암 치료가 있다.[20][21] 신장 결석과 같은 기타 가능한 위험 요인들도 조사 중이다.[22][23]신장암의 약 25~30%는 흡연과 관련이 있다.[21] 흡연자는 비흡연자에 비해 신장암 발생 위험이 1.3배 높다. 또한, 암 발생 위험은 용량 의존적으로 증가한다. 하루 20개 이상 담배를 피우는 남성은 위험이 두 배가 된다. 마찬가지로, 하루 20개 이상 담배를 피우는 여성은 비흡연자보다 1.5배의 위험이 있다. 금연 10년 후에는 신장암 발생 위험이 상당히 감소하는 것으로 나타났다.[24]
당뇨병,[72] 비만,[73] 항고혈압제의 장기 복용,[74] 흡연[75]은 신장암의 위험을 높이는 것으로 보고되고 있다.
4. 증상
초기 신장 종양은 일반적으로 증상이 없고 신체 검사로도 감지되지 않는다.[15] 진행되면 혈뇨, 옆구리나 허리 통증, 종괴가 나타난다.[15] 더 진행되면 체중 감소, 발열, 야간 발한, 목의 림프절 종창, 정계정맥류, 골통, 지속적인 기침, 하퇴부 부종 등이 나타날 수 있다.[15][16][17]
혈뇨, 옆구리 통증, 복부 종괴라는 세 가지 징후는 15% 미만에서만 나타난다. 신세포암은 암세포가 생성하는 물질에 의해 부종양 증후군을 일으킬 수 있다.
부종양 증후군은 내분비 및 비내분비로 나뉜다. 내분비 기능 장애에는 고칼슘혈증, 고혈압, 다혈증, 간 기능 장애, 유즙분비증, 쿠싱 증후군 등이 있다. 비내분비 기능 장애에는 아밀로이드증, 빈혈, 신경근병증, 혈관병증, 응고장애 등이 포함된다.[18]
신세포암의 경우, 반복적인 육안적 혈뇨(간헐적 육안적 혈뇨)가 약 50%에서 관찰되며, 신혈관 압박으로 인한 신혈관성 고혈압이 나타나기도 한다.
4. 1. 초기 증상
초기에는 신장 종양이 일반적으로 어떤 증상도 유발하지 않으며 신체 검사에서도 감지되지 않는다.[15] 신장암이 더 진행되면 혈뇨, 옆구리 또는 허리 통증, 종괴가 나타난다.[15] 진행된 질병과 일치하는 다른 증상으로는 체중 감소, 발열, 야간 발한, 목의 촉지 가능한 종창된 림프절, 감소되지 않는 정계정맥류, 골통, 지속적인 기침, 그리고 양측 하퇴부 부종이 있다.[15][16][17]혈뇨, 옆구리 통증, 그리고 촉지 가능한 복부 종괴라는 고전적인 삼징후는 15% 미만의 경우에만 나타난다. 신세포암은 암세포가 생성하는 물질에 의해 발생하는 징후와 증상(즉, 부종양 증후군)을 나타낼 수 있다.
4. 2. 진행성 신장암의 증상
초기에는 신장 종양이 일반적으로 어떤 증상도 유발하지 않으며 신체 검사에서도 감지되지 않는다.[15] 신장암이 더 진행됨에 따라 고전적으로는 혈뇨, 옆구리 또는 허리 통증, 종괴가 나타난다.[15] 진행된 질병과 일치하는 다른 증상으로는 체중 감소, 발열, 야간 발한, 목의 촉지 가능한 종창된 림프절, 감소되지 않는 정계정맥류, 골통, 지속적인 기침, 그리고 양측 하퇴부 부종이 있다.[15][16][17]혈뇨, 옆구리 통증, 그리고 촉지 가능한 복부 종괴라는 고전적인 삼징후는 15% 미만의 경우에만 나타난다. 신세포암은 암세포가 생성하는 물질에 의해 발생하는 징후와 증상(즉, 부종양 증후군)을 나타낼 수 있다.
신장암에 의한 부종양 증후군은 내분비 및 비내분비로 크게 분류할 수 있다. 내분비 기능 장애에는 혈중 칼슘 수치 증가(고칼슘혈증), 고혈압, 적혈구 증가(다혈증), 간 기능 장애, 정상적인 모유 수유와 관련 없는 우유빛 유두 분비(유즙분비증), 그리고 쿠싱 증후군이 포함된다. 비내분비 기능 장애에는 조직 내 단백질 침착(아밀로이드증), 헤모글로빈 또는 적혈구 감소(빈혈), 신경, 근육 장애(신경근병증), 혈관(혈관병증) 및 혈액 응고 기전(응고장애)이 포함된다.[18]
4. 3. 부종양 증후군
신장암에 의한 부종양 증후군은 내분비 및 비내분비로 크게 분류할 수 있다. 내분비 기능 장애에는 혈중 칼슘 수치 증가(고칼슘혈증), 고혈압, 적혈구 증가(다혈증), 간 기능 장애, 정상적인 모유 수유와 관련 없는 우유빛 유두 분비(유즙분비증), 쿠싱 증후군이 포함된다. 비내분비 기능 장애에는 조직 내 단백질 침착(아밀로이드증), 헤모글로빈 또는 적혈구 감소(빈혈), 신경, 근육 장애(신경근병증), 혈관(혈관병증), 혈액 응고 기전(응고장애)이 포함된다.[18]5. 진단
최근 비특이적 복부 증상으로 인해 초음파 및 CT 영상 검사를 받는 횟수가 늘어나면서, 의학 영상에서 신장 종괴가 우연히 발견되는 경우가 많다.[15][25][26] 가장 흔한 신장암 유형인 신세포암의 60% 이상이 이러한 복부 영상 검사를 통해 우연히 진단된다.[15][27]
신장 종괴는 성장하는 세포의 특성이나 방사선 사진 상의 모습에 따라 분류할 수 있다.[15] 암은 비정상 세포가 제어되지 않고 성장하는 악성 종양을 의미한다.[28] 그러나 신장 종괴는 정상 조직(양성), 염증(면역 체계 반응), 또는 혈관(혈관 세포)의 성장으로 인해 발생할 수도 있다.
5. 1. 영상 검사
비특이적 복부 증상으로 초음파 및 CT 영상 검사를 하는 횟수가 늘어나면서, 의학 영상에서 신장 종괴가 우연히 발견되는 경우가 많다.[15][25][26] 신세포암(가장 흔한 신장암 유형)의 60% 이상이 비특이적 복부 증상에 대한 복부 영상 검사를 통해 우연히 발견된다.[15][27]신장 종괴는 성장하는 세포의 특성이나 방사선 사진 상의 모습에 따라 분류할 수 있다.[15] 암은 비정상 세포가 제어되지 않고 성장하는 악성 종양을 의미한다.[28] 그러나 신장 종괴는 정상 조직(양성), 염증(면역 체계 반응), 또는 혈관(혈관 세포)의 성장으로 인해 발생할 수도 있다.
신장 종양은 감별 진단해야 할 것들이 많기 때문에, 첫 단계는 의학 영상을 사용하여 종괴의 특징을 파악하고 양성인지 악성인지 가능성을 평가하는 것이다. 초음파 검사는 방사선 노출 없이 비교적 저렴한 비용으로 낭성 및 고형 신장 종괴의 특징을 파악할 수 있어, 신장 종괴가 의심되는 경우 평가에 사용되기도 한다.[15] 방사선학적으로 종양은 단순 낭종, 복잡 낭종, 고형 중 하나의 외형으로 분류된다.[15] 영상에서 암성 종양과 비암성 종양을 구별하는 가장 중요한 특징은 조영증강이다.[29] 엄격한 기준[30]으로 정의되는 단순 낭종은 증상이 없으면 관찰해도 안전하다.[15] 그러나 단순 낭종이 아닌 모든 종괴는 다른 영상 기법으로 추가 평가 및 확인해야 한다.[31][15]
복부 CT은 정맥 내 조영제를 사용하거나 사용하지 않고 시행하며, 신장암을 진단하고 병기를 결정하는 이상적인 영상 검사이다.[32][31][15] 사구체 여과율(GFR)이 45ml/min/1.73m2 미만인 만성 신장 질환(CKD) 환자의 경우, 요오드화 조영제가 신기능을 악화시킬 수 있다는 잠정적인 증거가 있어, 이러한 환자들에게는 신중하게 투여해야 한다.[33]
복부 자기공명영상(MRI)은 신장 종괴의 특징을 파악하고 병기를 결정하는 데 사용할 수 있는 대체 영상 기법이다.[32][31][15] 조영제를 사용할 수 없는 경우에 시행할 수 있다.[32] MRI는 종괴가 신장 외부로 확장될 가능성이 있는 경우 하대정맥도 평가할 수 있다.[32]
폐는 신장암이 가장 흔하게 전이되는 장기이므로, 환자의 전이 질환 위험도에 따라 흉부 X선 검사 또는 CT 검사를 시행할 수 있다.[15][31]
5. 2. 조직 검사
비특이적 복부 증상에 대한 초음파 및 CT 영상 검사가 증가하면서, 신장 종괴가 의학 영상에서 우연히 진단되는 경우가 많다.[15][25][26] 신세포암(가장 흔한 신장암 유형)의 60% 이상이 비특이적 복부 증상에 대한 복부 영상 검사를 통해 우연히 진단된다.[15][27]신장 종괴는 성장의 세포 특성 또는 방사선 사진 상의 외관에 따라 분류할 수 있다.[15] 암이라는 용어는 비정상 세포의 제어되지 않은 성장인 악성 종양을 가리킨다.[28] 그러나 신장 종괴는 정상 조직(양성), 염증성(면역 체계의 반응), 또는 혈관성(혈관 세포) 성장으로 인해 발생할 수 있다.
신장 종괴 생검(RMB)은 악성 종양을 신뢰할 수 있게 확인하고, 진단에 기반한 치료를 지시하며, 배액을 제공할 수 있다는 유용성이 있다.[31]
영상 검사가 완료되면, 종괴가 혈액학적, 전이성, 염증성 또는 감염성일 가능성이 높은 경우 신장 종괴 생검을 고려해야 한다.[31] 이러한 유형의 병변은 수술적으로 관리되지 않으며, 신장에서 기원한 암과 다르다. 신장 외부에서 기원한 암과 림프종은 전신적으로 관리된다.[15][31]
RMB는 악성 종양을 정확하게 진단할 수 있지만, 양성 질환을 신뢰할 수 있게 진단할 수는 없다. 다시 말해, 생검 결과가 암으로 나타나면 신장암이 존재할 가능성이 99.8%이다(양성 예측도 = 99.8%). 음성 생검은 암 진단을 배제하지 않는다.[45]
5. 3. 혈액 및 소변 검사
신장암이 의심되는 환자는 치료 방침을 결정하기 위해 신장 기능 평가를 받아야 한다. 신장 기능을 확인하는 혈액 검사에는 종합 대사 패널(CMP), 전혈구 수(CBC)가 포함된다.[44][31] 이러한 검사는 전이성 질환(신장 이외의 부위로 퍼진 질환)의 영향을 받을 수 있는 환자의 전반적인 건강 상태를 이해하는 데도 도움이 된다. 예를 들어, 간이나 뼈에 병변이 있으면 비정상적인 간 효소 수치, 전해질 이상 또는 빈혈이 나타날 수 있다. 소변 검사를 위해 소변 샘플도 채취해야 한다.[31][15]6. 병기
병기는 질병의 범위와 전이 정도를 결정하는 과정이다.[46] 신세포암은 병기 분류가 가능한 유일한 신장암 종류이다. 신세포암의 병기는 TNM 병기 분류 시스템을 따르며, 원발 종양(T), 림프절(N), 원격 전이(M)를 분류한다.[15]
6. 1. TNM 병기 분류 시스템
TNM 병기 분류 시스템은 국제 암 연구소(Union International Contre le Cancer)에서 제안한 것으로, 원발 종양(T), 림프절(N), 원격 전이(M)를 분류한다.[15] 림프절 침범은 국소 림프절 전이(N1) 또는 침범 없음(N0)으로 분류되며,[47] M1은 원격 전이를, M0는 원격 전이가 없음을 의미한다.[47]미국암연구회(American Joint Committee on Cancer, AJCC)는 2010년에 신세포암에 대한 TNM 값을 설명하는 암 병기 분류 매뉴얼 개정판을 발표했다.[47][15] AJCC 8판 암 병기 분류 매뉴얼에 따른 신세포암의 원발 종양 분류는 아래 표와 같다.[48][49]
| 병기 | TNM | 설명 |
|---|---|---|
| Tx, N0, M0 | 종양 평가 불가 | |
| T0, N0, M0 | 원발 종양 없음 | |
| I | T1, N0, M0 | 종양 7cm 이하; 신장에 국한 |
| I | T1a, N0, M0 | 종양 4cm 이하; 신장에 국한 |
| I | T1b, N0, M0 | 종양 4cm 초과 7cm 이하; 신장에 국한 |
| II | T2, N0, M0 | 종양 7cm 초과; 신장에 국한 |
| II | T2a, N0, M0 | 종양 7cm 초과 10cm 이하; 신장에 국한 |
| II | T2b, N0, M0 | 종양 10cm 초과; 신장에 국한 |
| III | T3, N0, M0 | 종양이 주요 정맥이나 신주위 조직으로 확장되었지만, 동측 부신이나 게로타 근막(Gerota's fascia) 바깥으로는 확장되지 않음 |
| III | T3a, N0, M0 | 종양이 신정맥 또는 그 분절 가지로 거대하게 확장되거나, 신우신배계를 침범하거나, 신주위 및/또는 신동 지방을 침범하지만 게로타 근막 바깥으로는 확장되지 않음 |
| III | T3b, N0, M0 | 종양이 횡격막 아래 대정맥으로 거대하게 확장됨 |
| III | T3c, N0, M0 | 종양이 횡격막 위 대정맥으로 거대하게 확장되거나 대정맥 벽을 침범함 |
| III | T1-T3, N1, M0 | 주 종양은 크기가 다양하며 신장 밖에 있을 수 있지만, 게로타 근막을 넘어 확장되지 않았다. 암이 국소 림프절(N1)로 전이되었지만 원격 림프절이나 다른 장기로는 전이되지 않았다(M0). |
| IV | T4, any N, M0 | 종양이 게로타 근막을 넘어 침윤 |
| IV | Any T, any N, M1 | 종양이 원격 림프절 및/또는 다른 장기로 전이됨. |
폐는 가장 흔한 전이 부위이며,[31] 뼈, 뇌, 간, 부신 및 원격 림프절 등도 흔한 전이 부위이다.[44][50][47]
6. 2. AJCC 병기 분류 (8판)
병기는 질병의 범위와 전이 정도를 결정하는 과정이다.[46] 신세포암은 병기 분류가 가능한 유일한 신장암 종류이다. 병기 분류의 첫 단계는 국제 암 연구소(Union International Contre le Cancer)가 제안하고 다른 장기의 암에서 널리 사용되는 TNM 병기 분류 시스템을 따른다.[15] TNM 병기 분류 시스템은 원발 종양(T), 림프절(N), 그리고 원격 전이(M)를 분류한다. 미국암연구회(American Joint Committee on Cancer, AJCC)는 2010년에 신세포암에 대한 TNM 값을 설명하는 암 병기 분류 매뉴얼 개정판을 발표했다.[47][15]림프절 침범은 국소 림프절 전이(N1) 또는 침범 없음(N0)으로 분류된다.[47] 마찬가지로, M1은 원격 전이를, M0는 원격 전이가 없음을 의미한다.[47]
AJCC 8판 암 병기 분류 매뉴얼에 따른 신세포암의 원발 종양 분류는 아래 표와 같다.[48][49]
| 병기 | TNM | 설명 |
|---|---|---|
| Tx, N0, M0 | 종양 평가 불가 | |
| T0, N0, M0 | 원발 종양 없음 | |
| I | T1, N0, M0 | 종양 7cm 이하; 신장에 국한 |
| T1a, N0, M0 | 종양 4cm 이하; 신장에 국한 | |
| T1b, N0, M0 | 종양 4cm 초과, 7cm 이하; 신장에 국한 | |
| II | T2, N0, M0 | 종양 7cm 초과; 신장에 국한 |
| T2a, N0, M0 | 종양 7cm 초과, 10cm 이하; 신장에 국한 | |
| T2b, N0, M0 | 종양 10cm 초과; 신장에 국한 | |
| III | T3, N0, M0 | 종양이 주요 정맥이나 신주위 조직으로 확장되었지만, 동측 부신이나 게로타 근막(Gerota's fascia) 바깥으로는 확장되지 않음 |
| T3a, N0, M0 | 종양이 신정맥 또는 그 분절 가지로 거대하게 확장되거나, 신우신배계를 침범하거나, 신주위 및/또는 신동 지방을 침범하지만 게로타 근막 바깥으로는 확장되지 않음 | |
| T3b, N0, M0 | 종양이 횡격막 아래 대정맥으로 거대하게 확장됨 | |
| T3c, N0, M0 | 종양이 횡격막 위 대정맥으로 거대하게 확장되거나 대정맥 벽을 침범함 | |
| T1-T3, N1, M0 | 주 종양은 크기가 다양하며 신장 밖에 있을 수 있지만, 게로타 근막을 넘어 확장되지 않았다. 암이 국소 림프절(N1)로 전이되었지만 원격 림프절이나 다른 장기로는 전이되지 않았다(M0). | |
| IV | T4, any N, M0 | 종양이 게로타 근막을 넘어 침윤 |
| Any T, any N, M1 | 종양이 원격 림프절 및/또는 다른 장기로 전이됨. |
폐는 가장 흔한 전이 부위이며,[31] 뼈, 뇌, 간, 부신 및 원격 림프절 등도 흔한 전이 부위이다.[44][50][47]
7. 치료
신장암 치료는 질병의 종류와 단계에 따라 달라진다. 신장암은 항암화학요법과 방사선치료에 잘 반응하지 않으므로 수술이 가장 일반적인 치료법이다. 수술의 복잡성은 RENAL 신장절제술 점수 시스템으로 추정할 수 있다.
윌름스 종양은 진단 당시 질병의 단계에 따라 항암화학요법, 방사선치료 및 수술이 허용되는 치료법이다.[64] 소아 신장암의 대부분은 윌름스 종양이다. 이 종양은 태아가 자궁 내에서 발달하는 동안 성장을 시작할 수 있으며, 아이가 몇 살이 될 때까지 발견되지 않을 수도 있다. 윌름스 종양은 5세 미만 어린이에게서 가장 흔하지만, 드물게 나이가 많은 어린이 또는 성인에게서 진단될 수도 있다. 대부분의 윌름스 종양의 원인은 아직 명확하지 않다. 가장 흔한 증상은 복부 팽창과 혈뇨이다.[64]
7. 1. 수술
신장암 치료는 질병의 종류와 단계에 따라 달라진다. 신장암은 항암화학요법과 방사선치료에 잘 반응하지 않으므로 수술이 가장 일반적인 치료법이다. 암이 전이되지 않았다면 일반적으로 수술로 제거한다.[51] 어떤 경우에는 신장 전체를 제거하기도 하지만, 대부분의 경우 종양만 제거하고 정상적인 신장 부분을 보존하는 부분 절제가 가능하다. 환자의 다른 의학적 상태로 인해 수술이 불가능하거나 암이 전신으로 전이되어 제거할 수 없는 경우에는 수술이 항상 가능한 것은 아니다.[51]7. 2. 항암 화학 요법
신장암은 항암화학요법과 방사선치료에 잘 반응하지 않아 수술이 가장 일반적인 치료법이다.[51] 그러나 환자의 상태나 암의 전이 여부에 따라 수술이 불가능한 경우도 있다.[51] 수술로 치료할 수 없는 경우에는 종양을 냉동하거나 고온으로 치료하는 등의 다른 기술을 사용할 수 있지만, 아직 표준 치료법으로 사용되고 있지는 않다.[52]최근 KEYNOTE-564 연구에서 보조적 치료 설정에서 전신 요법, 특히 펨브롤리주맙을 17주기(약 1년) 동안 투여했을 때 특정 명세포 신세포암 종양 특징을 가진 환자의 무병 생존율이 크게 향상되었다는 결과가 나왔다. 그러나 전체 생존율에 대한 결론은 아직 나오지 않았다.[53]
다른 치료 옵션으로는 에베롤리무스, 토리셀, 넥사바, 수텐트, 악시티닙과 같은 생물학적 치료제와 인터페론 및 인터루킨-2를 포함한 면역요법이 있다.[54][55][56] 면역요법은 10~15%의 사람들에게 효과적이다.[57] 수니티닙과 파조파닙은 보조적 치료 설정에서 현재 표준 치료법이며, 이후 에베롤리무스, 악시티닙, 소라페닙 등으로 이어진다. 면역관문억제제도 임상 시험 중이며 일부는 의료용으로 승인받았다.[58]
2차 치료 설정에서 니볼루맙은 2015년, 카보잔티닙은 2016년에 각각 에베롤리무스보다 전반적인 생존율이 높다는 것을 보여주어 FDA의 승인을 받았다.[58][59][60][61][62] 렌바티닙과 에베롤리무스 병용 요법은 2016년 혈관 생성 억제제 치료를 한 차례 받은 환자에게 승인되었다.[63]
윌름스 종양의 경우, 진단 당시 질병의 단계에 따라 항암화학요법, 방사선치료 및 수술이 허용되는 치료법이다.[64]
7. 3. 표적 치료
신장암은 항암화학요법과 방사선치료에 잘 반응하지 않아 수술이 일반적인 치료법이지만, 수술이 불가능한 경우도 있다.[51] 수술로 치료할 수 없는 경우 종양을 냉동하거나 고온으로 치료하는 등의 다른 기술을 사용할 수 있지만, 아직 표준 치료법으로 사용되고 있지는 않다.[52]최근 연구에서는 특정 특징을 보이는 신세포암 환자에게 펨브롤리주맙을 1년 동안 투여했을 때 무병 생존율이 향상되었지만, 전체 생존율에 대한 결론은 아직 나오지 않았다.[53]
다른 치료 옵션으로는 에베롤리무스, 토리셀, 넥사바, 수텐트, 악시티닙과 같은 생물학적 치료제와 인터페론 및 인터루킨-2를 포함한 면역요법이 있다.[54][55][56] 면역요법은 10~15%의 사람들에게 효과적이다.[57] 수니티닙은 파조파닙과 함께 현재 표준 치료법이며, 이후 에베롤리무스, 악시티닙, 소라페닙 등으로 치료가 이어진다. 면역관문억제제도 임상 시험 중이며 일부는 의료용으로 승인받았다.[58]
2차 치료에서 니볼루맙은 2015년 에베롤리무스보다 생존율이 높아 FDA의 승인을 받았다.[58][59] 카보잔티닙 또한 에베롤리무스보다 생존율이 높아 2016년 FDA로부터 2차 치료제로 승인받았다.[60][61][62] 렌바티닙과 에베롤리무스 병용 요법은 2016년 혈관 생성 억제제 치료를 한 차례 받은 환자에게 승인되었다.[63]
7. 4. 면역 요법
에베롤리무스, 토리셀, 넥사바, 수텐트, 악시티닙과 같은 생물학적 치료제와 인터페론 및 인터루킨-2를 포함한 면역요법이 신장암 치료에 사용된다.[54][55][56] 면역요법은 환자의 10~15% 정도에게 효과가 있다.[57] 수니티닙은 파조파닙과 함께 보조적 치료 설정에서 현재 표준 치료법이며, 이러한 치료 후에는 에베롤리무스, 악시티닙, 소라페닙을 사용하기도 한다. 면역관문억제제도 신장암에 대한 임상 시험 중이며 일부는 의료용으로 승인되었다.[58]2015년, 2차 치료에서 니볼루맙은 에베롤리무스보다 진행성 신세포암 환자의 생존율을 높이는 것으로 나타나 FDA의 승인을 받았다.[58][59] 2016년에는 카보잔티닙 또한 에베롤리무스보다 생존율을 높여 FDA의 2차 치료제 승인을 받았다.[60][61][62] 같은 해, 렌바티닙과 에베롤리무스 병용 요법은 한 차례 혈관 생성 억제제 치료를 받은 환자에게 사용하도록 승인되었다.[63]
7. 5. 기타 치료
신장암은 항암화학요법과 방사선치료에 잘 반응하지 않아 수술이 가장 일반적인 치료법이다.[51] 암이 전이되지 않았다면 일반적으로 수술로 제거한다. 신장 전체를 제거하는 경우도 있지만, 대부분 부분 절제를 통해 종양을 제거하고 정상적인 신장 부분을 보존한다.[51]수술이 불가능한 경우에는 종양을 냉동하거나 고온으로 치료하는 기술을 사용할 수 있지만, 아직 표준 치료법으로 사용되지는 않는다.[52] 최근 KEYNOTE-564 연구에서는 보조적 치료 설정에서 전신 요법, 특히 펨브롤리주맙을 17주기(약 1년) 동안 투여했을 때 특정 명세포 신세포암 종양 특징을 가진 환자의 무병 생존율이 향상되었다는 결과가 나왔다. 그러나 전체 생존율에 대한 결론은 아직 나오지 않았다.[53]
다른 치료 옵션으로는 에베롤리무스, 토리셀, 넥사바, 수텐트, 악시티닙과 같은 생물학적 치료제와 인터페론, 인터루킨-2를 포함한 면역요법이 있다.[54][55][56] 면역요법은 10~15%의 사람들에게 효과적이다.[57] 수니티닙과 파조파닙은 보조적 치료 설정에서 현재 표준 치료법이며, 이후 에베롤리무스, 악시티닙, 소라페닙 등이 사용된다. 면역관문억제제도 임상 시험 중이며 일부는 의료용으로 승인받았다.[58]
2차 치료 설정에서 니볼루맙은 2015년, 카보잔티닙은 2016년에 에베롤리무스보다 높은 생존율을 보여 FDA의 승인을 받았다.[58][59][60][61][62] 렌바티닙과 에베롤리무스 병용 요법은 2016년 혈관 생성 억제제 치료를 한 차례 받은 환자에게 승인되었다.[63]
윌름스 종양의 경우, 진단 당시 질병 단계에 따라 항암화학요법, 방사선치료 및 수술이 허용되는 치료법이다.[64]
8. 역학
전 세계적으로 매년 약 20만 8,500건의 새로운 신장암 진단이 이루어지며, 이는 모든 암의 2% 미만을 차지한다.[65] 가장 높은 발병률은 북미에서, 가장 낮은 발병률은 아시아와 아프리카에서 보고된다.[66]
'''생활 습관 위험 요인'''
흡연, 화학적 발암 물질, 방사선, 바이러스, 식단 및 비만, 고혈압, 이뇨제[14], 그리고 알코올 섭취[12]를 포함한 특정 생활 습관 요인이 신장암 발생과 관련이 있는 것으로 나타났지만, 이 모든 요인이 명확한 원인으로 간주될 수 있는 것은 아니다. 신장암 사례 중 유전적 요인과 관련된 경우는 소수에 불과하다.[12] 비만이 위험 요인 중 하나로 언급됨에 따라, 매일의 신체 활동과 건강한 식단은 향후 신장암 발생률을 낮추는 것으로 입증되었다.[14]
'''나이'''
신장암의 발생률은 개인의 나이가 증가함에 따라 증가하며, 2018년 기준으로 최고 발생률의 평균 연령은 약 75세이다.[12] 그러나 모든 사례의 거의 절반이 65세 이전에 진단된다.[12] 남녀 어린이의 경우 신장 종양은 신장암의 2~6%를 차지하며, 가장 흔한 유형은 윌름스 종양이다.[14]
'''성별'''
신장암 발생률은 남성이 여성보다 두 배 더 높으며, 이는 생물학적 차이 때문으로 생각된다. 사망률은 일반적으로 여성이 남성보다 더 빠르게 감소한다.[12]
'''국제적 차이'''
신장암 발생률은 전 세계적으로 다를 수 있다. 2018년 기준으로 체코와 리투아니아는 전 세계에서 신장암 발생률이 가장 높은 국가이며, 남성의 연령 표준화율은 체코가 21.9/10만 명, 리투아니아가 18.7/10만 명이다. 중국, 태국, 아프리카 국가(저위험 국가)는 발생률이 10만 명당 2명 미만이다.[12]
2000년대 초 이후로 오스트리아와 폴란드만이 신장암 발생률 감소를 보고했다.[12]
진단 접근 편향은 신장암 역학에 큰 영향을 미친다. 지역 간 신장암 진단의 차이는 인구의 생물학적 요인보다는 의료 접근성의 차이 때문일 가능성이 높다. 신장암 진단의 불일치는 저소득 국가에서 사망률과 발생률의 과소 보고로 이어졌을 가능성이 높다.
'''인종'''
인종과 민족은 미국 전역에서 신장암 분포에 영향을 미칠 수 있다. 미국에서는 흑인 남성과 히스패닉계 남성의 발생률이 높고, 아메리카 원주민은 평균 수준이며, 아시아계는 낮은 발생률을 보입니다. 미국에서 신장암에 걸린 흑인은 백인보다 사망률이 낮다.[12]
'''선별 검사'''
높은 비용으로 인해 암 선별 검사의 접근성은 그리 높지 않다. 암 등록을 개선하면 신장암 환자에 대한 치료를 개선하고 발생률과 사망률을 낮추는 데 도움이 될 수 있다. 안전하고 신뢰할 수 있는 치료는 선별 검사 및 치료의 핵심이지만, 많은 개발도상국에서는 항상 그런 것은 아니다.[67]
미국 국립보건원(NIH)의 2013년 추산에 따르면 신장암 신규 환자는 약 64,770명, 사망자는 13,570명이다.[68] 미국에서 신장암 발생률 또한 증가하고 있다. 이는 단순히 진단 방법의 변화 때문만이 아니라 실제 증가 추세로 여겨진다.[69]
최근 신장암 발생률 추정치에 따르면, EU25에서는 매년 63,300건의 신규 환자가 발생하는 것으로 나타났다. 유럽에서는 신장암이 모든 암 발생 사례의 거의 3%를 차지한다.[70] 영국에서는 신장암이 여덟 번째로 흔한 암이며(2011년 약 10,100명이 진단받음), 암으로 인한 사망 원인으로는 열네 번째로 흔하다(2012년 약 4,300명 사망).[71]
신장암은 남성에게 많이 발생하며, 50~60대가 발병률이 높은 연령대로 여겨진다. 또한 신부전으로 인해 인공투석을 장기간 받고 있는 환자는 신장암에 걸릴 위험이 높아지는 것으로 알려져 있다. 비교적 림프절로 전이되기 쉽다. 흡연은 물론이고 도장 작업원, 금속 가공 작업원, 화학 물질을 많이 취급하는 사람에게도 많다. 이는 신장이 체내 노폐물과 유독 물질을 소변과 함께 배출하는 기능이 있기 때문에, 결국 그러한 영향을 체내에서 가장 받기 쉽기 때문으로 여겨진다.
당뇨병[72], 비만[73], 항고혈압제의 장기 복용[74], 흡연[75]은 신장암의 위험을 높이는 것으로 보고되고 있다.
9. 한국의 신장암
신장암은 남성에게 많이 발생하며, 50~60대에 발병률이 높은 것으로 알려져 있다. 신부전으로 인공투석을 장기간 받는 환자는 신장암 발병 위험이 높아진다. 신장암은 비교적 림프절로 전이되기 쉽다. 흡연은 신장암의 주요 위험 요인 중 하나이며, 도장 작업, 금속 가공, 화학물질 취급 등 특정 직업군에서도 발병률이 높다. 이는 신장이 체내 노폐물과 유독 물질을 소변으로 배출하는 과정에서 이러한 물질에 노출되기 때문이다. 신장암 치료에는 항암제, 신장 이식을 포함한 외과 수술 등이 사용되며, 신장이 두 개라는 특성상 신장 절제 수술도 시행된다.
당뇨병[72], 비만[73], 항고혈압제 장기 복용[74], 흡연[75]은 신장암 위험을 높이는 요인으로 보고되고 있다.
참조
[1]
웹사이트
Renal Cell Cancer Treatment
https://www.cancer.g[...]
2019-06-08
[2]
웹사이트
Transitional Cell Cancer (Kidney/Ureter) Treatment
https://www.cancer.g[...]
2019-06-08
[3]
웹사이트
Wilms Tumor and Other Childhood Kidney Tumors Treatment
https://www.cancer.g[...]
2019-06-08
[4]
서적
Diseases and Disorders: A Nursing Therapeutics Manual
https://books.google[...]
F.A. Davis
2014
[5]
웹사이트
Kidney Cancer
https://www.cancer.g[...]
2019-06-08
[6]
논문
Guideline 'Renal cell carcinoma'
2008-02-01
[7]
웹사이트
Cancer today
http://gco.iarc.fr/t[...]
2019-05-30
[8]
웹사이트
Cancer of the Kidney and Renal Pelvis - Cancer Stat Facts
https://seer.cancer.[...]
2019-05-30
[9]
웹사이트
Survival statistics for kidney cancer - Canadian Cancer Society
https://www.cancer.c[...]
2019-12-02
[10]
웹사이트
European Network of Cancer Registeries
https://www.encr.eu/[...]
2019-12-02
[11]
논문
Changing cancer survival in China during 2003–15: a pooled analysis of 17 population-based cancer registries
[12]
논문
Epidemiology and Risk Factors for Kidney Cancer
2018-12-20
[13]
논문
Epidemiology of Renal Cell Carcinoma
2020-06-01
[14]
논문
Epidemiology of Kidney Cancer
2008-11-04
[15]
서적
Campbell-Walsh Urology
Elselvier
[16]
논문
Blood pressure and kidney cancer risk: meta-analysis of prospective studies.
2017-07-01
[17]
웹사이트
EAU Guidelines: Renal Cell Carcinoma
https://uroweb.org/g[...]
2019-12-03
[18]
논문
Paraneoplastic syndromes in urologic malignancy: the many faces of renal cell carcinoma
2002-01-01
[19]
논문
European Association of Urology Guidelines on Renal Cell Carcinoma: The 2019 Update
https://linkinghub.e[...]
2019-05-01
[20]
논문
Prevention of kidney cancer incidence and recurrence: lifestyle, medication and nutrition
[21]
웹사이트
Kidney Cancer - Risk Factors and Prevention
https://www.cancer.n[...]
2012-06-25
[22]
논문
The Risk of Kidney Cancer in Patients with Kidney Stones: A Systematic Review and Meta-analysis
2014-09-09
[23]
웹사이트
Risks and causes of kidney cancer
http://cancerhelp.ca[...]
2017-08-30
[24]
논문
Renal cell carcinoma in relation to cigarette smoking: meta-analysis of 24 studies
2005-03-10
[25]
논문
Small Renal Masses: Incidental Diagnosis, Clinical Symptoms, and Prognostic Factors
2008-01-01
[26]
논문
Kidney Cancer, Version 2.2017, NCCN Clinical Practice Guidelines in Oncology
https://jnccn.org/vi[...]
2017-06-01
[27]
논문
Management of the incidental renal mass
2008-10-01
[28]
웹사이트
Cancer {{!}} Definition of Cancer by Lexico
https://web.archive.[...]
2019-11-12
[29]
논문
How I Do It: Evaluating Renal Masses
[30]
논문
Bosniak Classification of Cystic Renal Masses, Version 2019: An Update Proposal and Needs Assessment
2019-06-18
[31]
웹사이트
Renal Cancer: Renal Mass & Localized Renal Cancer Guideline - American Urological Association
https://web.archive.[...]
[32]
논문
Kidney Cancer, Version 2.2017, NCCN Clinical Practice Guidelines in Oncology
https://jnccn.org/vi[...]
2017-06-01
[33]
서적
Contrast-Induced Nephropathy: Comparative Effectiveness of Preventive Measures
http://www.ncbi.nlm.[...]
Agency for Healthcare Research and Quality (US)
2016
[34]
웹사이트
Kidney Cancer {{!}} CDC
https://www.cdc.gov/[...]
2019-07-09
[35]
웹사이트
Renal Cell Cancer Treatment (PDQ®)–Patient Version
https://www.cancer.g[...]
2004-02-20
[36]
웹사이트
Transitional Cell Cancer of the Renal Pelvis and Ureter Treatment (PDQ®)–Patient Version
https://www.cancer.g[...]
2019-11-12
[37]
논문
Carcinoid tumor of the renal pelvis: consideration on the histogenesis
2008-01-01
[38]
논문
Renal carcinosarcoma: case report and review of literature.
2008-01-01
[39]
논문
Inverted papilloma of the bladder: a review and an analysis of the recent literature of 365 patients
2013-11-01
[40]
논문
2004 WHO classification of the renal tumors of the adults
2006-05-01
[41]
논문
Benign mixed epithelial stromal tumor of the renal pelvis with exophytic growth: case report
2005-09-01
[42]
논문
GATA3 as a valuable marker to distinguish clear cell papillary renal cell carcinomas from morphologic mimics.
https://pubmed.ncbi.[...]
2023-08-28
[43]
웹사이트
Kidney tumor - Adult renal cell carcinoma - common - Clear cell
https://www.patholog[...]
2021-10-18
[44]
논문
Kidney Cancer, Version 2.2017, NCCN Clinical Practice Guidelines in Oncology
https://jnccn.org/vi[...]
2017-06-01
[45]
논문
Diagnostic Accuracy and Risks of Biopsy in the Diagnosis of a Renal Mass Suspicious for Localized Renal Cell Carcinoma: Systematic Review of the Literature
2016-05-01
[46]
웹사이트
Kidney Cancer Stages {{!}} Renal Cell Carcinoma Staging
https://www.cancer.o[...]
2019-11-12
[47]
서적
AJCC cancer staging manual.
Springer
2010-01-01
[48]
웹사이트
Kidney Cancer Stages
https://www.cancer.o[...]
2019-11-12
[49]
논문
Revisiting AJCC TNM staging for renal cell carcinoma: quest for improvement
[50]
웹사이트
Kidney Cancer (Adult) – Renal Cell Carcinoma
https://web.archive.[...]
[51]
웹사이트
Early stage and locally advanced kidney cancer treatment
http://cancerhelp.ca[...]
2017-08-30
[52]
웹사이트
Advanced kidney cancer
http://cancerhelp.ca[...]
2017-08-30
[53]
논문
Adjuvant Pembrolizumab after Nephrectomy in Renal-Cell Carcinoma
2021-08-19
[54]
웹사이트
Renal cell carcinoma | HemOnc.org - A Hematology Oncology Wiki
http://hemonc.org/Re[...]
2012-05-08
[55]
웹사이트
National Comprehensive Cancer Network
http://www.nccn.org/[...]
2012-05-08
[56]
웹사이트
Biological therapy for kidney cancer
http://cancerhelp.ca[...]
2017-08-30
[57]
웹사이트
CancerCare Connect – Treatment Update: Kidney Cancer
https://web.archive.[...]
Cancer Care, Inc.
2012-08-01
[58]
논문
De-novo and acquired resistance to immune checkpoint targeting
[59]
웹사이트
FDA approves Opdivo to treat advanced form of kidney cancer
https://www.fda.gov/[...]
2019-12-16
[60]
논문
New agents and new targets for renal cell carcinoma.
2014-01-01
[61]
웹사이트
Drugs@FDA: FDA Approved Drug Products
http://www.accessdat[...]
2016-04-25
[62]
웹사이트
CABOMETYX™ (cabozantinib)
https://www.accessda[...]
2024-07-06
[63]
웹사이트
LENVIMA™
https://www.accessda[...]
2024-07-06
[64]
웹사이트
Wilms' tumour (kidney cancer in children)
https://web.archive.[...]
2017-08-30
[65]
서적
Kidney Cancer, in Textbook of Cancer.
[66]
간행물
GLOBOCAN 2002, Cancer Incidence, Mortality and Prevalence Worldwide 2002 estimates.
2006-01-01
[67]
논문
Lessons Learned from the Global Epidemiology of Kidney Cancer: A Refresher in Epidemiology 101
https://linkinghub.e[...]
2019-01-01
[68]
웹사이트
Cancer of the Kidney and Renal Pelvis – SEER Stat Fact Sheets
http://seer.cancer.g[...]
National Cancer Institute, U.S. National Institutes of Health
2013-02-07
[69]
서적
SEER Survival Monograph: Cancer Survival Among Adults: US SEER Program, 1988–2001, Patient and Tumor Characteristics
https://web.archive.[...]
National Cancer Institute
[70]
논문
Estimates of the cancer incidence and mortality in Europe in 2006
[71]
웹사이트
Kidney cancer statistics
http://www.cancerres[...]
2014-10-27
[72]
웹사이트
糖尿病とその後のがん罹患との関連について
https://epi.ncc.go.j[...]
[73]
웹사이트
肥満度(BMI)と腎がんとの関係について
https://epi.ncc.go.j[...]
[74]
웹사이트
降圧薬の長期内服とその後のがん罹患リスクとの関連について
https://epi.ncc.go.j[...]
[75]
웹사이트
飲酒、喫煙と腎がんの関連について
https://epi.ncc.go.j[...]
본 사이트는 AI가 위키백과와 뉴스 기사,정부 간행물,학술 논문등을 바탕으로 정보를 가공하여 제공하는 백과사전형 서비스입니다.
모든 문서는 AI에 의해 자동 생성되며, CC BY-SA 4.0 라이선스에 따라 이용할 수 있습니다.
하지만, 위키백과나 뉴스 기사 자체에 오류, 부정확한 정보, 또는 가짜 뉴스가 포함될 수 있으며, AI는 이러한 내용을 완벽하게 걸러내지 못할 수 있습니다.
따라서 제공되는 정보에 일부 오류나 편향이 있을 수 있으므로, 중요한 정보는 반드시 다른 출처를 통해 교차 검증하시기 바랍니다.
문의하기 : help@durumis.com