호흡기세포융합바이러스
"오늘의AI위키"의 AI를 통해 더욱 풍부하고 폭넓은 지식 경험을 누리세요.
1. 개요
호흡기세포융합바이러스(RSV)는 1956년 처음 발견된 바이러스로, 주로 영유아에게 세기관지염과 폐렴을 일으키는 주요 원인이다. RSV는 모든 연령대에서 호흡기 감염을 유발할 수 있으며, 특히 영유아, 고령자, 면역 저하자의 경우 심각한 합병증을 유발할 수 있다. 바이러스는 A형과 B형으로 나뉘며, 콧물, 기침, 발열 등의 증상을 보이며, 심한 경우 호흡 곤란으로 입원 치료가 필요하다. 진단은 항원 검사, 분자 검사, 바이러스 배양 등으로 이루어지며, 예방을 위해서는 감염자와의 접촉을 피하고, 백신 접종 및 단클론 항체 투여가 중요하다. 치료는 대증 요법을 중심으로 이루어지며, 항바이러스제 및 항염증제 등이 사용되기도 한다.
더 읽어볼만한 페이지
- 뉴모바이러스과 - 사람 메타뉴모바이러스
사람 메타뉴모바이러스는 겨울과 봄철에 유행하는 호흡기 감염 바이러스로, 특히 유아, 노인, 면역저하자에게 위험하며 전 세계 5세 이하 어린이 대부분이 감염될 정도로 흔하고, 현재 백신 개발이 진행 중이다. - 뉴모바이러스과 - 메타뉴모바이러스
- 비정형폐렴 - 홍역
홍역은 홍역 바이러스에 의해 발생하는 전염성이 매우 강한 급성 바이러스성 질환으로, 발열, 기침, 콧물, 결막염, 코플릭 반점, 홍반 반점구진성 발진 등의 증상을 보이며, 폐렴, 중이염, 뇌염 등의 합병증을 유발할 수 있고, MMR 백신 접종으로 예방이 가능하지만, 전 세계적으로 여전히 주요 사망 원인이며 반백신 운동으로 발생률이 증가하는 추세이다. - 비정형폐렴 - 레지오넬라증
레지오넬라증은 레지오넬라 뉴모필라균에 의해 오염된 물의 에어로졸을 흡입하여 발생하는 감염병으로, 레지오넬라 폐렴과 폰티악 열 두 가지 형태로 나타나며, 항생제로 치료하고 상수 안전 계획과 위생 관리로 예방할 수 있다.
| 호흡기세포융합바이러스 | |
|---|---|
| 기본 정보 | |
![]() | |
| 상위 분류 | 오르토뉴모바이러스 |
| 종 | 사람 오르토뉴모바이러스 |
| 이명 | 사람 호흡기 세포융합 바이러스 (hRSV) 호흡기 세포융합 바이러스 (RSV) |
| 분류 | |
| 계 | 리보비리아 |
| 문 | 네가르나비리코타 |
| 아문 | 하플로비리코티나 |
| 강 | 몬지비리케테스 |
| 목 | 모노네가비랄레스 |
| 과 | 뉴모바이러스과 |
| 속 | 오르토뉴모바이러스속 |
| 종 | 사람 오르토뉴모바이러스 |
| 질병 정보 | |
| 관련 질병 분야 | 소아청소년과 |
2. 역사
1956년 연구자들이 호흡기 질환을 앓고 있는 침팬지 집단에서 바이러스를 분리하면서 RSV가 발견되었다. 그들은 이 바이러스를 침팬지 코리자 병원체(CCA)라고 명명했다.[8] 1957년, 로버트 M. 차녹이 호흡기 질환을 앓고 있는 어린이들에게서 동일한 바이러스를 확인했다.[9] 영유아의 인체 항체 연구를 통해 이 감염이 초기 생애에 흔하다는 사실이 밝혀졌다.[10] 이후 이 바이러스는 인간 오르토폐렴 바이러스 또는 인간 호흡기 세포융합 바이러스(hRSV)로 이름이 바뀌었다.[11][12]
RS 바이러스 감염은 경미한 상기도 감염부터 입원 및 인공호흡이 필요한 심각한 하기도 감염까지 다양한 증상을 나타낼 수 있다.[13] RS 바이러스는 모든 연령대에서 호흡기 감염을 일으키지만, 그 증상은 연령대와 면역 상태에 따라 다르게 나타나는 경우가 많다.[3] 재감염은 평생 동안 흔하지만, 영유아와 노인은 증상이 나타나는 감염 위험이 여전히 높다.[13]
여러 다른 폐렴 바이러스가 hRSV와 매우 유사하다. 소 RSV(bRSV)는 hRSV와 약 80%의 유전체를 공유한다. 또한 hRSV와 마찬가지로 어린 동물에게서 잘 나타나며, 6개월 미만의 송아지에서 더 심각한 질병을 유발한다. bRSV에 감염된 송아지가 hRSV에 감염된 어린이와 거의 동일한 증상을 보이기 때문에, 이들은 RSV 연구에 중요한 동물 모델이 되었다.[13]
3. 증상
기관지염이나 폐렴 등의 원인이 되기도 한다.[81] 보통 2~5일의 잠복기를 거친 후, 39℃ 정도의 발열, 콧물, 기침 등의 증상이 나타나며,[83] 대개 1~2주일 안에 좋아진다. 하지만 호흡 곤란 등이 나타나면 0.5~2% 정도는 입원이 필요하며, 산소 공급, 기관 확장, 수액 등으로 치료를 받는다.[83]
RS 바이러스는 감염력과 증식력이 강하며, 비말(침방울)과 접촉을 통해 감염된다. 잠복기에도 전염성이 있으며, 영유아는 증상이 사라진 후에도 1~3주 동안 바이러스를 퍼뜨릴 수 있어[82] 주의가 필요하다.
3. 1. 소아
미국에서는 거의 모든 어린이가 두 살이 되기 전에 적어도 한 번 이상 호흡기세포융합바이러스(RSV) 감염을 경험한다.[14] 유아기 RSV 감염은 비교적 자연적으로 회복되며, 콧물, 코막힘, 기침, 저열과 같은 전형적인 상기도 증상을 보인다.[3][14] 검사 시 비점막(비염)과 인두(인두염)의 염증, 그리고 눈의 충혈(결막염)이 관찰될 수 있다.[15] 어린이의 약 15~50%는 기관지염, 바이러스성 폐렴 또는 크룹과 같은 보다 심각한 하기도 감염으로 발전한다.[13][16] 특히 영아가 질병이 악화될 위험이 가장 높다.[15]
기관지염은 폐의 작은 기도의 염증과 폐쇄를 특징으로 하는 흔한 하기도 감염이다.[17] 여러 바이러스가 기관지염을 일으킬 수 있지만, RSV가 약 70%의 원인이 된다.[3] 일반적으로 2~4일 동안 콧물과 콧막힘이 나타난 후 기침, 호흡 곤란, 빈호흡, 천명음이 악화된다.[14] 영아가 호흡하기 위해 더 힘을 쓰면 늑골 아래 함몰(갈비뼈 아래 배가 들어감), 늑간 함몰(갈비뼈 사이의 근육이 안쪽으로 당겨짐), 그렁거림, 코벌름과 같은 호흡곤란 징후를 보일 수 있다.[13] 적절하게 수유를 하지 못한 경우 탈수 징후가 나타날 수도 있다.[14] 발열이 있을 수 있지만, 고열은 드물다.[13] 청진 시 숨소리에서 거품소리와 천명음이 들릴 수 있으며, 산소 포화도가 감소할 수 있다.[17]
6주 미만의 매우 어린 영아, 특히 미숙아의 경우 감염 징후가 덜 특징적일 수 있다. 호흡기 관련 증상이 최소화될 수 있다. 대신 활동성 감소, 흥분성, 수유 부족 또는 호흡 곤란이 나타날 수 있다. 이것은 무호흡 발작, 즉 호흡이 잠시 멈추는 현상을 동반할 수도 있다.[3][18]
일본에서는 11월부터 1월에 걸쳐 겨울철 유행이 많이 보고되고, 열대지역에서는 우기의 유행이 많다고 여겨진다. 영유아 폐렴의 약 50%, 세기관지염의 50~90%를 차지한다는 보고가 있다.[83] 1세까지 50~70% 이상의 신생아가 감염되고, 그 1/3이 하기도 질환을 일으킨다는 보고가 있으며, 3세까지 거의 모든 영유아가 항체를 획득한다.[83] 어머니로부터의 항체만으로는 감염을 예방할 수 없다. 반복 감염되며 점차 면역을 획득하기 때문에[82] 재발하기 쉽고, 점차 경증화된다.
생후 4주 미만에서는 감염 빈도는 낮지만, 감염되어 발병한 경우 호흡기 증상을 동반하지 않는 비정형적인 증상이 되는 경우도 많아, 오진 및 발견의 지연으로 이어질 수 있다. 또한 생후 4주 미만에서는 돌연사(영아돌연사증후군)로 이어지는 무호흡이 일어나기 쉬운 것으로 보고되어 있으며, 주의가 필요하다. 생후 6개월 이내에 가장 중증화된다고 여겨진다. 1세 이하에서는 중이염의 합병증도 볼 수 있다. 발열, 콧물, 기침 등 상기도염 증상 후, 세기관지염이나 폐렴 등 하기도 증상이 나타날 수 있다.
2~5일의 잠복기 후, 39℃ 정도의 발열, 콧물, 기침 등의 증상을 보이며 일반적으로 1~2주일이면 좋아진다. 호흡 곤란 등으로 0.5~2%에서 입원이 필요(산소 공급, 기관 확장, 수액 등으로 지원)하다.
3. 2. 성인
호흡기세포융합바이러스(RSV) 재감염은 평생 동안 흔하게 발생한다. 성인의 재감염은 종종 감기 또는 부비강 감염과 구분할 수 없는 경증에서 중등증의 증상만을 유발한다.[3] 감염은 무증상일 수도 있다. 증상이 나타나는 경우 일반적으로 상기도에 국한되며, 콧물, 인후통, 발열, 권태감 등이 나타난다. 대부분 코막힘이 먼저 나타난 후 기침이 발생한다.[15] 다른 상기도 감염과 달리 RSV는 성인에서 새로운 기관지 천명음을 유발할 가능성이 더 높다.[15] 감염된 성인의 약 25%는 기관지염 또는 기관지 기관지염과 같은 중요한 하기도 감염으로 진행된다.[13]
건강한 성인에서 RSV가 심각한 질병을 유발하는 경우는 매우 드물지만, 고령자와 기저 면역 저하 또는 심폐 질환이 있는 사람들에게는 질병률과 사망률을 유발할 수 있다. 고령 성인의 증상은 젊은 성인과 유사하지만 하기도 감염의 위험이 증가하여 증상의 중증도가 더 높은 경향이 있다. 특히, 고령자는 폐렴, 호흡곤란 및 사망을 경험할 가능성이 더 높다.[15]
3. 3. 면역저하자
면역저하 상태에서는 성인과 어린이 모두 RSV 중증 감염 위험이 증가한다. 이러한 경우, 상기도에서 하기도로 질환이 진행될 가능성이 더 높고 바이러스 배출 기간이 길어진다.[19] 조혈모세포 이식, 집중적인 항암화학요법, 폐 이식을 받은 사람들은 특히 감염에 취약하다.[15][20]
3. 4. 고령자
고령자는 호흡기세포융합바이러스(RSV) 합병증 위험이 가장 높은 집단 중 하나이다.[22] 폐렴, 호흡곤란 및 사망을 경험할 가능성이 더 높다.[15] RSV는 천식, 만성 폐쇄성 폐 질환(COPD), 심부전과 같은 심각한 질환을 악화시킬 수 있다.[23]
미국에서는 매년 6만~16만 명의 고령자가 RSV로 입원하고 있으며, 6,000~1만 명이 RSV 감염으로 사망한다.[23] 고령자에게는 신속하고 적절한 의료 관리가 중요하며, 치료 지연이나 잘못된 진단은 합병증 위험 증가와 관련될 수 있다. 2023년 8월 기준, 캐나다와 미국에서는 60세 이상 성인이 RSV 백신 접종 대상이다.[23]
3. 5. 합병증
호흡기세포융합바이러스(RSV) 감염은 다양한 합병증을 유발할 수 있으며, 특히 소아, 고령자, 면역저하자에게서 심각한 증상이 나타날 수 있다.
| 인구 집단 | 합병증 |
|---|---|
| 소아 | |
| 성인 | |
| 면역저하자 |
일본에서는 11월부터 1월에 걸쳐 겨울철 유행이 많이 보고되며, 영유아 폐렴의 약 50%, 세기관지염의 50~90%를 차지하는 것으로 보고된다.[83] 1세 이하에서는 중이염 합병증도 나타날 수 있다. 생후 4주 미만의 영아는 감염 빈도는 낮지만, 감염 시 비정형적인 증상으로 인해 오진 및 발견 지연으로 이어질 수 있으며, 영아돌연사증후군으로 이어지는 무호흡이 발생할 수 있어 주의가 필요하다.[83]
RSV는 감염력과 증식력이 강하며, 비말과 접촉을 통해 감염된다. 영유아는 증상이 사라진 후에도 1~3주 동안 감염력을 유지하기 때문에[82] 어린이집, 학교, 병원, 요양원 등에서 집단 감염으로 이어지기 쉽다.
4. 위험 요인
5. 바이러스학
RSV는 음성 센스 단일 가닥 RNA 바이러스로, ''오르토폐렴바이러스속 (Orthopneumovirus)'', ''폐렴바이러스과 (Pneumoviridae)'', ''모노네가바이럴목 (Mononegavirales)''에 속한다.[2] 이 바이러스의 학명은 ''인간 호흡기세포융합바이러스''(human orthopneumovirus)이며, 흔히 RSV로 줄여 쓴다.[29]
RSV는 1956년 호흡기 질환을 앓는 침팬지에게서 처음 발견되었고,[8] 1957년에는 호흡기 질환을 앓는 어린이에게서도 확인되었다.[9] 이후 인간 오르토폐렴바이러스 또는 인간 호흡기세포융합바이러스(hRSV)로 이름이 바뀌었다.[11][12]
소 RSV(bRSV)는 hRSV와 유전체의 약 80%를 공유하며, 어린 동물에게서 hRSV와 유사한 증상을 유발하기 때문에 RSV 연구에 중요한 동물 모델로 활용된다.[13]
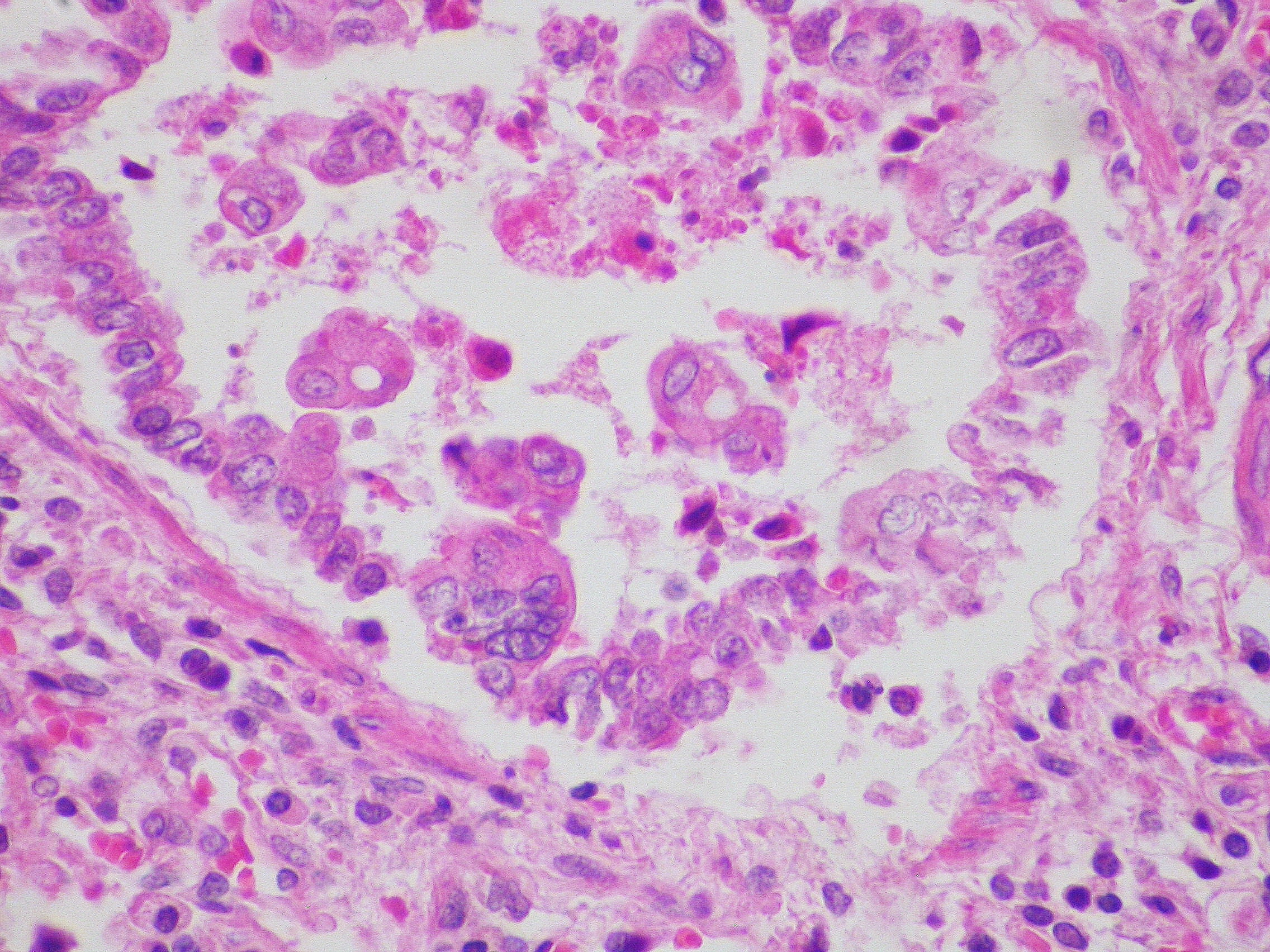
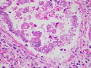
바이러스 표면의 F 단백질은 인접한 세포막을 융합시켜 다핵체 합포체 (syncytia)를 만든다.[15] 이러한 특징 때문에 '세포융합'이라는 이름이 붙었다.
5. 1. 항원 아형
RSV는 F 및 G 표면 단백질의 단클론 항체 반응성에 따라 A형과 B형, 두 가지 항원 아형으로 나뉜다.[2][15] 아형은 지역 유행병 내에서 동시에 순환하는 경향이 있지만, A형이 더 흔한 경향이 있다.[21] 일반적으로 RSV A형(RSVA)은 RSV B형(RSVB)보다 바이러스량이 많고 전파 속도가 빨라 더 독성이 강한 것으로 생각된다.[2][15] 현재까지 16개의 RSVA 클레이드와 22개의 RSVB 클레이드가 확인되었다.[2] RSVA 중에서는 GA1, GA2, GA5, GA7 클레이드가 주로 나타나며, GA7은 미국에서만 발견된다.[2] RSVB 중에서는 BA 클레이드가 전 세계적으로 주로 나타난다.[2]5. 2. 유전체
RSV는 음성 가닥 단일 가닥 RNA 게놈을 가지고 있다.[2] 게놈은 선형이며 길이가 약 15,000개의 뉴클레오티드이다.[15] 10개의 유전자가 11개의 단백질을 암호화한다.[2][3] 유전자 순서는 NS1-NS2-N-P-M-SH-G-F-M2-L이며, NS1 및 NS2 유전자는 비구조적 프로모터 유전자 역할을 한다.[30]
5. 3. 구조 및 단백질
RSV는 바이러스 외피로 둘러싸인 중간 크기(약 150 nm)의 바이러스이다. 많은 입자가 구형이지만, 필라멘트 형태도 발견되었다.[2][15] 유전체는 나선형 뉴클레오캡시드 안에 있으며, 매트릭스 단백질과 바이러스 당단백질을 포함하는 외피로 둘러싸여 있다.[31] RSV는 아래 표에 자세히 설명된 11가지 단백질을 가지고 있다.[2][32]| 바이리온 내 위치 | 단백질 | 다른 이름 | 기능 | 추가 정보 |
|---|---|---|---|---|
| 지질 외피 (막 관통 표면 단백질) | G | 당단백질 (Glycoprotein) | 숙주 기도의 섬모 세포에 대한 바이러스 부착 | F 및 G 당단백질은 바이러스 부착 및 감염 초기 단계를 조절하는 두 가지 주요 표면 단백질이며, 자연 감염 중 중화 항체의 주요 표적이다. |
| F | 융합 단백질 (Fusion protein) | 바이러스 및 숙주 세포막의 융합; 합포체 형성 | ||
| SH | 소수성 단백질 (Small hydrophobic protein) | 바이로포린; 이온 채널 | 세포 융합에 참여하지만 알려진 중화 에피토프는 없음 | |
| 내부 외피면 | M | 매트릭스 단백질 (Matrix protein) | 조립 | |
| 리보핵산 단백질 복합체 (Ribonucleocapsid) | N | 핵 단백질 (Nuceloprotein) | RNA 결합 | 유전체 전사, RNA 복제 및 입자 출아에 관여 |
| P | 인 단백질 (Phosphoprotein) | 인산화 | ||
| L | "큰" 단백질 ("Large" protein) | RNA 의존성 RNA 중합효소 | ||
| M2-1 | - | 전사 과정 인자 (Transcription processivity factor) | ||
| 조절 | M2-2 | - | 전사/RNA 복제 조절 | |
| 비구조적 | NS-1 | - | 선천 면역계 회피에 관여 | 세포자멸사 억제 및 I형 인터페론 신호 전달 억제를 통해 작용 |
| NS-2 | - |
5. 3. 1. G 단백질
G 단백질(당단백질)은 주로 바이러스가 숙주 세포에 부착되는 역할을 한다.[32] 이 단백질은 균주 간에 변이가 심하다.[21] G 단백질은 막 결합형과 분비형 두 가지 형태로 존재한다.[15][32] 막 결합형은 숙주 세포 표면의 글리코사미노글리칸(GAGs), 예를 들어 헤파란 황산과 결합하여 부착을 담당한다.[2][3][15] 분비형은 미끼 역할을 하여 항원 제시 세포와 상호 작용하여 항체 매개 중화를 억제한다.[15][32] G 단백질에는 섬모가 있는 기관지 숙주 세포 표면의 CX3C 케모카인 수용체 1(CX3CR1)에 결합하는 CX3C 프랙탈카인 유사 모티프도 포함되어 있다.[2][3] 이 결합은 세포 이동성을 변화시키고 감염된 개인의 폐로의 면역 세포 이동을 감소시킬 수 있다.[32] G 단백질은 또한 톨유사수용체(TLR) 여러 가지의 신호 전달을 억제하여 숙주 면역 반응을 변화시키는데, 여기에는 TLR4도 포함된다.[3][32]5. 3. 2. F 단백질
표면 단백질 F(융합 단백질)는 바이러스와 숙주 세포막의 융합과 바이러스 입자 사이의 합포체 형성을 담당한다.[32] 그 서열은 균주 간에 매우 보존되어 있다.[21] 바이러스 부착은 F 및 G 단백질 모두에 관여하는 것으로 보이지만, F 융합은 G와 독립적으로 발생한다.[32] F 단백질은 여러 가지 구조 형태로 존재하는데,[2][3] 전융합 상태(PreF)에서는 삼량체 형태로 존재하며 주요 항원 부위 Ø를 포함한다.[2] Ø는 체내 중화항체의 주요 표적 역할을 한다.[3] 숙주 세포 표면의 표적(정확한 리간드는 아직 불분명함)에 결합한 후, PreF는 Ø가 손실되는 구조 변화를 겪는다.[2][3] 이 변화를 통해 단백질은 숙주 세포막에 삽입될 수 있으며, 바이러스와 숙주 세포막의 융합으로 이어진다.[2] 최종 구조 변화는 단백질의 더 안정적이고 길어진 형태(후융합, PostF)를 초래한다.[3] RSV G 단백질과는 달리, RSV F 단백질은 toll-like receptor 4 (TLR4)에도 결합하여 활성화시켜 선천 면역 반응과 신호 전달을 시작한다.[2][32]5. 4. 복제 주기
바이러스와 숙주 세포막이 융합된 후, 바이러스 뉴클레오캡시드(바이러스 유전체 포함)와 관련 바이러스 중합효소가 숙주 세포 세포질로 전달된다. 전사와 번역은 모두 세포질 내에서 일어난다. RNA 의존성 RNA 중합효소는 유전체를 10개의 mRNA(mRNA) 분절로 전사하며, 이는 숙주 세포 기구에 의해 구조 단백질로 번역된다. 복제 과정에서 음성 가닥 바이러스 유전체의 RNA 의존성 RNA 중합효소는 항원체라고 불리는 양성 가닥 상보체를 합성한다. 이 상보 가닥은 유전체 음성 가닥 RNA를 구성하는 주형으로 사용되며, 뉴클레오캡시드에 포장되어 조립 및 입자 발아를 위해 세포막으로 이동한다.[31]5. 5. 전파
RS 바이러스는 전염성이 매우 강하며, 지역 사회와 병원 모두에서 집단 발병을 일으킬 수 있다.[15] 감염된 사람 한 명당 평균 5~25명의 비감염자가 감염될 것으로 추정된다.[33] RS 바이러스는 감염된 사람이 기침이나 재채기를 할 때 오염된 비말을 공기 중으로 방출하면서 퍼질 수 있다. 이러한 비말이 다른 사람의 눈, 코 또는 입과 접촉할 때 전염이 발생하는 경우가 일반적이다.[34] 호흡기 비말을 통해 전파되는 것으로 여겨졌던 모든 호흡기 병원체와 마찬가지로, 일상적인 호흡, 말하기, 심지어 노래를 할 때 생성되는 에어로졸에 의해 전파될 가능성이 매우 높다.[35] 또한 RS 바이러스는 오염된 피부(즉, 손)에서는 최대 25분, 조리대나 문 손잡이와 같은 다른 표면에서는 수 시간 동안 생존할 수 있다.[15][33] 잠복기는 2~8일이다.[15] 일단 감염되면 보통 3~8일 동안 전염성이 있다. 그러나 영아나 면역 체계가 약한 사람의 경우 최대 4주 동안(증상이 더 이상 나타나지 않은 후에도) 바이러스가 계속 퍼질 수 있다.[34]RSV는 감염력 및 증식력이 강하며, 비말과 접촉 감염 모두로 감염되고, 발병 전 잠복기에서도 주변 사람을 감염시킨다. 영유아는 증상이 사라진 후 1~3주 후에도 감염력을 잃지 않는다.[82] 이 때문에 어린이집이나 학교, 병원의 입원 병동, 요양원, 가정 내 등에서의 집단 감염으로 이어지기 쉽다.
5. 6. 발병 기전

코나 눈을 통해 전파된 호흡기세포융합바이러스(RSV)는 상기도와 하기도의 섬모가 있는 단층 원주 상피 세포를 감염시킨다.[15] RSV는 기관지 세포 내에서 약 8일 동안 복제를 계속하며,[2] 초기 며칠 후, 감염된 세포는 둥글게 변하고 하기도의 작은 세기관지로 탈락된다.[2] 이 탈락 기전은 바이러스가 상기도에서 하기도로 퍼지는 데 중요한 역할을 한다.[2] 감염은 폐 내 전반적인 염증을 유발하며, 염증 세포(단핵구 및 T세포 등) 이동 및 침윤, 상피세포벽 괴사, 부종, 점액 생성 증가를 포함한다.[15] 염증과 세포 손상은 확산성보다는 국소적 경향을 보인다.[15] 탈락된 상피세포, 점액 마개, 축적된 면역 세포는 함께 하기도를 막는다.[2][15]
5. 7. 재감염
호흡기세포융합바이러스(RSV) 감염에서 회복된 후에도 바이러스는 면역 기억 형성을 방해하여 반복적인 재감염으로 이어진다.[36] 추정치에 따르면 개인의 약 36%가 겨울철에 적어도 한 번 이상 RSV에 재감염될 수 있다.[36] 이러한 재감염은 초기 RSV 접촉 시 보호적인 기억 림프구를 생성하는 데 필요한 충분한 체액성 및 세포성 면역 반응을 유도하지 못했기 때문일 수 있다.[36]RSV 재감염은 평생 동안 발생할 수 있다. 온대 지역에서는 겨울/초봄에 유행이 발생하지만, RSV 활동의 동시 발생은 개인이 거주하는 지역에 따라 크게 달라질 수 있다.[36] 일반적으로 면역 저하가 없는 성인은 재감염 시 경미한 증상을 보이며, 이는 상기도에 국한되는 경향이 있다.[37] 그러나 어린이는 심각한 증상을 나타낼 위험이 매우 높으며, 이는 일반적으로 하기도를 포함한다.[37] 영유아는 소아보다 기도가 좁기 때문에 염증, 부종 및 점액으로 폐쇄될 수 있어 더 심각한 하기도 질환의 발병에 기여할 수 있다.[37] RSV 재감염은 모든 연령대에서 빈번하며, 재감염에 대한 숙주 반응의 유형은 어떤 어린이가 지속적인 천명 및 아토피성 천식을 발병할지 결정할 수 있다.[37] RSV에 감염된 연령이 후속 RSV 감염에 대한 기도 반응의 표현형을 결정하는 중요한 요인이 될 수 있다.[37]
일본에서는 11월부터 1월에 걸쳐 겨울철 유행이 많이 보고되고, 열대 지역에서는 우기의 유행이 많다고 여겨진다. 영유아 폐렴의 약 50%, 세기관지염의 50~90%를 차지한다는 보고가 있다.[83] 1세까지 50~70% 이상의 신생아가 감염되고, 그 1/3이 하기도 질환을 일으킨다는 보고가 있으며, 3세까지 거의 모든 영유아가 항체를 획득한다.[83] 어머니로부터의 항체만으로는 감염을 예방할 수 없다. 반복 감염되면서 점차 면역을 획득하기 때문에[82] 재발하기 쉽고, 점차 경증화된다.
5. 8. 면역 회피
호흡기세포융합바이러스(RSV)는 바이러스 항원 결정기와 인접 영역의 유전적 변이를 통해 면역을 회피한다. 이러한 변이는 단백질 접힘, 전사 후 변형, 항원 처리에 영향을 주어 B 세포 및 T 세포 면역에 영향을 미친다.[39] 특히 G 유전자, SH 유전자, F 유전자에서 관찰되는 변이는 단백질의 구조적 차이와 면역원성 변화를 일으킨다.[39] G 단백질의 불규칙한 꼬임과 낮은 결합 에너지는 구조 변화를 쉽게 만들어 면역원성에 영향을 주고 면역 반응을 조절할 수 있게 한다.[39]다양한 RSV 유전형은 G, SH, F와 같은 주요 단백질의 구조적 변이를 보여 면역 반응에 영향을 미친다. ON1, BA9와 같은 새로운 유전형은 특히 G 단백질에서 뚜렷한 구조적 차이를 보이며, 이는 면역 회피에 기여할 수 있다. RSV 당단백질 G는 감염 중 면역 조절에 중요한 역할을 하여 사이토카인 발현과 항바이러스 반응에 영향을 준다.[39]
F 단백질은 중화 항체의 주요 표적이지만, 변이성으로 인해 바이러스가 중화 작용으로부터 회피할 수 있어 팔리비주맙과 같은 항체의 효능에 영향을 미친다.[39] RSV 아형과 유전형 간의 교차 반응이 관찰되지만, 면역 반응은 아형 또는 유전형 특이적이며, 특히 G 단백질의 유전자 돌연변이의 영향을 받는다.
6. 진단
RSV 감염은 주로 호흡기 분비물을 이용해 진단한다. 여기에는 PCR법을 통한 유전자 검출, 면역크로마토그래피법 등을 사용한 바이러스 항원 검출이 있다.[84] 그러나 고령 아동의 재감염 시에는 이러한 검사 방법으로 유의미한 결과를 얻기 어려울 수 있다.
일본에서는 "체크RSV", "래피드테스타RSV-아데노" 등 면역 크로마토그래피법을 활용한 신속 진단 키트가 사용되고 있다. 2011년 10월부터는 외래 환자도 신속 진단 키트에 대한 건강보험 적용을 받을 수 있게 되면서, 이전보다 RSV 감염 실태를 더 정확하게 파악할 수 있게 되었다.[84][85]
6. 1. 항원 검사
비강인두도말 또는 흡인물에서 RSV 항원 조각을 검출하는 방법에는 직접 형광 항체 검사(DFA)와 신속 항원 검사(RADT)가 있다.[15]- 신속 항원 검사(RADT): 사용이 편리하고 결과가 빠르게(최소 10분) 나와 현장 진단 검사로 널리 쓰인다. 효소면역측정법(EIA)과 크로마토그래피 면역측정법(CIA)이 여기에 포함된다.[15][39]
- 직접 형광 항체 검사(DFA): 바이러스에 감염된 세포를 현미경으로 직접 관찰할 수 있다. 검체의 적절성에 따라 민감도가 달라진다.[39]
항원 검사는 어린아이들에게는 매우 민감하지만(80~90%), 바이러스 배출이 적은 어린이나 성인에게는 신뢰도가 떨어진다.[15] 또한, RSV 유행 기간이 아닌 여름철 등에는 위양성률이 높을 수 있다. 이 경우 바이러스 배양 또는 핵산 증폭 검사(NAAT)를 통해 정확한 진단을 내릴 수 있다.
병원체 진단은 호흡기 분비물을 이용해 PCR법으로 유전자를 검출하거나 면역크로마토그래피법 등으로 바이러스 항원을 검출한다. 그러나 고령 아동의 재감염 시에는 유의미한 결과를 얻지 못할 수 있다.
일본에서는 "체크RSV", "래피드테스타RSV-아데노" 등의 면역 크로마토그래피법을 이용한 신속 진단 키트가 사용되고 있다.
6. 2. 분자 검사
핵산증폭검사(NAAT)는 비강인두 도말 검체 및 흡인액에서 아주 소량의 바이러스도 민감하게 검출할 수 있는 분자 검사 방법이다. 중합효소 연쇄 반응(PCR)과 같은 NAAT 검사는 바이러스 항원이 아닌 바이러스 특이적 유전 물질을 검출하며, 민감도 및 특이도가 거의 100%에 달한다.[40] 그러나 다른 검사 방법보다 비용이 더 많이 들고 더 복잡한 장비가 필요하기 때문에 자원이 부족한 지역에서는 실용성이 떨어진다. 모든 호흡기 증상이 있는 사람들에게 RSV에 대한 분자 검사를 일상적으로 권장하지는 않지만, 영아, 노인, 만성 질환자와 같이 RSV 합병증 위험이 높은 사람들에게는 권장될 수 있다. RT-PCR의 민감도는 90-95%, 특이도는 98-99%이며, LAMP의 민감도는 95-100%, 특이도는 99-100%이다.중합효소 연쇄 반응(PCR)은 아주 적은 양의 유전 물질을 빠르게 수백만 개의 사본으로 증폭하여 연구할 수 있게 하는 NAAT의 한 유형이다. PCR은 항원 검사나 바이러스 배양보다 민감도가 높다.[40] 따라서 바이러스 배출량이 적은 고령 아동 및 성인에서도 바이러스를 검출하는 데 사용할 수 있다. 또한 바이러스 부하가 기존 기술로는 검출하기 어려울 정도로 낮을 수 있는 위험이 있는 개인(예: 입원 환자 또는 면역 저하 환자)에서 질병을 더 일찍 검출하는 데 사용할 수 있다. PCR은 민감도가 높기 때문에 무증상 보균자를 검출할 수 있으며, 감염이 임상적으로 해결된 후에도 며칠 동안 양성으로 나타날 수 있다.[15][40]
여러 병원균을 검출할 수 있는 패널도 있는데, 이를 통해 한 사람에게서 여러 바이러스 감염(RSV 포함)의 존재를 검출할 수 있다.[15] 병원체 진단은 호흡기 분비물을 이용하여 PCR법으로 유전자를 검출한다.
6. 3. 바이러스 배양
기존 바이러스 배양법에서는 바이러스 샘플을 다양한 세포주에 접종하여 증식시킨 후 연구한다. 이 방법은 유전체 특성 분석, 균주 분류, 항바이러스제 감수성 검사 등을 할 수 있다는 장점이 있다. 그러나 3~7일 정도 걸리기 때문에 환자 치료보다는 연구 목적으로 더 많이 사용된다.[15]6. 4. 혈청학적 검사
혈청학적 검사(혈청에서 바이러스 특이 항체를 측정하는 것)는 호흡기세포융합바이러스(RSV) 진단에 자주 사용되지 않는다. 신체가 유의미한 혈청학적 반응을 일으키는 데 시간이 걸리기 때문에, 일반적으로 환자 치료 지침에 도움이 되지 않는다.[2] 문서화된 RSV 감염 환자의 최대 30%는 혈청학적 검사 결과가 음성으로 나오기도 한다.[40] 따라서 이 방법은 일반적으로 연구 및 감시 연구에 한정된다.[2]6. 5. 영상 소견
RSV 기관지염이 있는 어린이의 흉부 X선 소견은 일반적으로 비특이적이며, 폐문 주위 음영, 불규칙적인 과팽창, 및 무기폐를 포함한다.[14] 그러나 미국소아과학회(American Academy of Pediatrics, AAP)는 RSV 기관지염으로 추정되는 어린이의 경우, 임상 결과를 바꾸지 않고 항생제 사용 증가와 관련이 있으므로 일상적인 영상 검사를 권장하지 않는다.[14][38] 기관지염 진단이 불분명하거나 예상치 못한 악화가 있는 경우 흉부 X선 검사를 고려하는 경우가 있다.[38] RSV 감염이 있는 성인의 경우, 흉부 X선 사진은 종종 정상이거나 바이러스성 폐렴과 일치하는 비특이적 변화(예: 불규칙적인 양측 침윤)를 보여준다.[41]
6. 6. 감별 진단
감별 진단에는 라이노바이러스, 메타뉴모바이러스, 인플루엔자와 같은 다른 바이러스 감염과 원발성 세균성 폐렴이 포함된다. 소아의 경우, 흡인된 이물질, 낭포성 섬유증, 천식과 같은 선천적 질환도 감별해야 할 대상이다.[15]7. 예방
호흡기세포융합바이러스(RSV) 감염 예방 방법은 다음과 같다.
일반 예방 조치감염자와의 밀접 접촉을 피하고,[38] 마스크 착용, 환기, HEPA/고성능 MERV 필터 사용 등으로 공기 중 전파를 줄일 수 있다.
백신RSV 백신 개발은 미숙한 유아 면역 체계와 모체 항체의 존재 등으로 인해 유아 예방 접종이 어려워 난항을 겪었다.[15] 연구 중인 백신은 생균 감쇠, 단백질 아단위 백신, 벡터 기반, 바이러스 입자 아단위, 메신저 RNA 백신 등으로 분류된다.[43][15]
GSK와 화이자의 RSV 백신은 60세 이상 성인을 대상으로 FDA 승인을 받았다. GSK 아렉스비(Arexvy)는 중증 RSV에 대해 94%, 증상성 RSV에 대해 83% 효능을 보였다. 화이자 아브리스보(Abrysvo)는 중증 증상에 대해 86%, 증상성 질병에 대해 67% 효과를 보였다.[46]
2023년 5월, FDA는 최초의 RSV 백신인 아렉스비(GSK 개발)와 아브리스보(화이자)를 승인했다.[47][48] 2024년 5월에는 Mresvia가 미국에서 의료용으로 승인된 mRNA 백신이다.[49][50][51]
면역 예방과거 고위험군 영아의 RSV 감염 및 입원 예방을 위해 RSV 특이적 정맥내 면역글로불린(IVIG)이 사용되었으나, 정맥 투여와 비용 문제로 제한적이었다.[52]
이후 단클론 항체(MAb)를 사용, 근육 주사로 투여하는 방식이 개발되었다. 팔리비주맙(시나지스)은 RSV 바이러스 표면 융합(F) 단백질을 표적으로 하는 단클론 항체로,[33] 1998년 허가받아 RSV A형과 B형 모두에 대한 일시적 예방에 효과적이다. RSV 유행 직전부터 5개월간 매달 주사하며, 고위험군 어린이의 입원율과 사망률을 감소시키지만,[33][53] 비용 문제로 사용이 제한적이다.[54]
미국 소아과 학회(AAP 2014)는 RSV 유행 기간 동안 다음 경우 팔리비주맙 예방을 권장한다.[38]
| 대상 |
|---|
| 재태 기간 28주 6일 이하, 만 12개월 미만 영아 |
| 만 12개월 미만 미숙아 만성 폐 질환 영아 |
| 만 12개월 미만 혈역학적 유의 선천성 심장 질환 영아 |
| 만 24개월 미만 의학적 치료 필요 미숙아 만성 폐 질환 영아 |
다음 영아도 팔리비주맙 예방 접종을 고려할 수 있다.[38]
| 대상 |
|---|
| 선천적 기도 이상 |
| 신경근육 질환 |
| 낭포성 섬유증 |
| 중증 면역 저하 |
| 최근 또는 향후 심장 이식 |
니르세비맙(베이포투스)은 또 다른 항바이러스 단클론 항체로, 첫 RSV 유행 기간 동안 신생아와 영아의 RSV 하부 호흡기 질환 예방에 승인되었다.[55] RSV 유행 기간 전체에 걸쳐 단 한 번 투여로 충분하다.[59] 2022년 11월 유럽 연합[56][57]과 영국[58], 2023년 4월 캐나다[59]에서 의료용으로 승인되었다.
RSV 감염증 유행 시기(가을~봄)에 매달 1회 근육 주사를 지속 시행하므로, 소아과에 "시나지스 외래"가 개설되기도 한다.[86]
7. 1. 일반 예방 조치
주요 예방법은 감염된 사람과의 밀접 접촉을 피하는 것이다.[38] 마스크와 환기, 그리고 HEPA/고성능 MERV 필터와 같은 공기 매개 예방 조치는 RSV가 포함된 에어로졸로부터 보호 효과가 있을 것으로 보인다.7. 2. 백신
RSV 백신 개발은 여러 장애물에 직면해 왔다. 미숙한 유아 면역 체계와 모체 항체의 존재와 같이 유아에게 특이적인 요인들이 있어 유아 예방 접종이 어렵다는 점이 있었다.[15]연구 중인 잠재적인 백신은 생균 감쇠, 단백질 아단위 백신, 벡터 기반, 바이러스 입자 아단위, 및 메신저 RNA의 다섯 가지 광범위한 범주로 분류된다.[43][15]
GSK와 화이자는 60세 이상 성인을 대상으로 하는 RSV 백신에 대해 FDA의 승인을 받았다. GSK의 아렉스비(Arexvy)는 이 연령대에서 중증 RSV에 대해 94%의 효능을, 증상이 있는 RSV에 대해 83%의 효능을 보였고, 화이자의 아브리스보(Abrysvo)는 60세 이상 성인에서 중증 증상에 대해 86%의 효과를, 증상이 있는 질병에 대해 67%의 효과를 보였다.[46]
2023년 5월, 미국 FDA는 최초의 RSV 백신인 아렉스비(GSK 개발)와 아브리스보(화이자)를 승인했다.[47][48] Mresvia는 2024년 5월 미국에서 의료용으로 승인된 mRNA 백신이다.[49][50][51]
7. 3. 면역 예방
RSV 특이적 정맥내 면역글로불린(IVIG)은 과거 고위험군 영아의 RSV 감염 및 입원 예방을 위한 수동 면역을 제공하는데 사용되었다. 이는 질병 회복자에게서 얻은 RSV 중화 항체를 매달 투여하는 방식이었다. 이러한 항체 전달은 고위험군 영아에게 단기 면역을 제공하는데 효과적이었지만, 정맥 투여와 비용에 제한이 있었다.[52]RSV-IVIG는 이후 단클론 항체(MAb)를 사용, 근육 주사로 전달 가능하게 되었다. 팔리비주맙(시나지스)은 RSV 바이러스의 표면 융합(F) 단백질을 표적으로 하는 단클론 항체다.[33] 1998년 허가받았으며 RSV A형과 B형 모두에 대한 일시적 예방에 효과적이다. RSV 유행 직전 시작하여 보통 5개월간 매달 주사한다. 팔리비주맙은 만성 폐 질환, 선천성 심장 질환, 조산아 등 특정 고위험군 어린이의 입원율과 사망률을 감소시키는 것으로 나타났다.[33][53] 그러나 비용 때문에 세계 여러 지역에서 사용이 제한적이다.[54]
미국 소아과 학회(AAP 2014)는 RSV 유행 기간 동안 다음과 같은 경우 팔리비주맙으로 RSV 예방을 권장한다.[38]
| 대상 |
|---|
| RSV 유행철 시작 시점에 재태 기간이 28주 6일 이하이고 만 12개월 미만인 영아 |
| 만 12개월 미만의 미숙아 만성 폐 질환 영아 |
| 만 12개월 미만의 혈역학적으로 유의미한 선천성 심장 질환 영아 |
| 만 24개월 미만의 의학적 치료가 필요한 미숙아 만성 폐 질환 영아 |
AAP 지침에 따라 다음과 같은 영아의 경우에도 팔리비주맙 예방 접종을 고려할 수 있다.[38]
| 대상 |
|---|
| 선천적 기도 이상 |
| 신경근육 질환 |
| 낭포성 섬유증 |
| 중증 면역 저하 |
| 최근 또는 향후 심장 이식 |
니르세비맙(베이포투스)은 또 다른 항바이러스 단클론 항체로, 첫 RSV 유행 기간 동안 신생아와 영아의 RSV 하부 호흡기 질환 예방에 승인되었다.[55] 니르세비맙은 한 달에 한 번씩 최대 네 번 주사해야 하는 팔리비주맙과 달리, RSV 유행 기간 전체에 걸쳐 단 한 번의 투여만 필요하다.[59] 니르세비맙은 2022년 11월 유럽 연합[56][57]과 영국[58]에서, 2023년 4월 캐나다[59]에서 의료용으로 승인되었다.
RS바이러스 감염증이 유행하는 가을부터 봄까지 매달 1회 근육 주사를 지속적으로 시행하기 때문에, 소아과에 "시나지스 외래"가 개설된다.[86]
8. 치료
RSV 감염 치료는 주로 대증요법에 중점을 둔다.
과거에는 RSV 특이적 정맥내 면역글로불린(IVIG)이 고위험군 영아의 RSV 감염 및 입원 예방을 위해 사용되었다. 이는 회복 중인 사람에게서 얻은 RSV 중화 항체를 매달 투여하는 방식이었다. 이 방법은 단기 면역 제공에는 효과적이었지만, 정맥 투여와 비용 문제로 제한이 있었다.[52]
이후 단클론 항체(MAb)를 사용한 근육 주사 방식이 도입되었다. 1998년 허가된 팔리비주맙(Synagis)은 RSV 바이러스의 표면 융합(F) 단백질을 표적으로 하는 단클론 항체로, RSV A형과 B형 모두에 대한 일시적 예방 효과를 제공한다. 보통 RSV 유행 직전부터 5개월간 매달 주사하며, 특정 고위험군 어린이의 입원율과 사망률을 감소시키는 것으로 나타났다.[33][53] 그러나 비용 문제로 사용이 제한적이다. 모타비주맙과 같이 더 강력한 유도체가 개발되었으나, 심각한 유해 사건과 관련이 있었다.[54]
미국 소아과 학회(AAP 2014)는 RSV 유행 기간 동안 다음 경우에 팔리비주맙 예방을 권장한다.[38]
- 재태 기간 28주 6일 이하, 만 12개월 미만 영아
- 만 12개월 미만의 미숙아 만성 폐 질환 영아
- 만 12개월 미만의 혈역학적으로 유의미한 선천성 심장 질환 영아
- 만 24개월 미만의 의학적 치료가 필요한 미숙아 만성 폐 질환 영아
다음과 같은 경우에도 AAP 지침에 따라 팔리비주맙 예방 접종을 고려할 수 있다.[38]
- 선천적 기도 이상
- 신경근육 질환
- 낭포성 섬유증
- 중증 면역 저하
- 최근 또는 향후 심장 이식
니르세비맙(Beyfortus)은 또 다른 항바이러스 단클론 항체로, RSV 유행 기간 동안 신생아와 영아의 RSV 하부 호흡기 질환 예방에 승인되었다.[55] 팔리비주맙과 달리 RSV 유행 기간 전체에 걸쳐 단 한 번의 투여만 필요하다.[59] 니르세비맙은 2022년 11월 유럽 연합[56][57]과 영국[58], 2023년 4월 캐나다[59]에서 의료용으로 승인되었다.
8. 1. 지지 요법
RS 바이러스 감염 치료는 주로 지지 요법에 중점을 둔다. 여기에는 환자의 호흡을 모니터링하거나 흡인을 사용하여 상기도에서 분비물을 제거하는 것이 포함될 수 있다. 기류를 개선하기 위해 비강 캐뉼라 또는 안면 마스크를 통해 산소 보충 요법을 제공할 수도 있다. 심한 호흡 부전의 경우, 호흡을 지원하기 위해 삽관 및 인공 호흡이 필요할 수 있다. 탈수 징후가 있는 경우 경구 또는 정맥 주사(IV)를 통해 수액을 공급할 수도 있다.[52]입원한 영유아의 RSV 기관지염에 대한 추가적인 지지 치료는 다음과 같다.
- 네뷸라이저를 이용한 고장액 식염수는 바이러스성 기관지염이 있는 영유아의 입원 기간을 단축하고 임상 중증도를 감소시키는 것으로 나타났다. 가능한 메커니즘은 기도 부종과 점액 마개 감소를 통해 기도 폐쇄를 감소시키는 것이다.[60][61]
- 헬륨과 산소의 혼합물인 헬리옥스는 치료 첫 시간 이내에 호흡 곤란을 감소시킬 수 있다. 헬리옥스는 기도 저항을 감소시키고 호흡 작업을 완화함으로써 작용한다. 그러나 전반적인 질병 결과에 영향을 미치는 것으로 나타나지는 않았다.[62]
- 영유아의 경우 강제 호흡 기술을 포함한 흉부 물리 치료는 질병 중증도를 감소시키거나 다른 개선을 가져오는 것으로 나타나지 않았다. 기구 물리 치료 및 비인두 역행 기술(RRT)을 포함한 다른 물리 치료 접근 방식을 뒷받침하는 증거는 매우 제한적이다. 효과와 잠재적 사용은 임상 시험에서 추가 평가가 필요하다.[63] 또한 흉부 물리 치료와 함께 고장액 식염수 치료를 뒷받침하는 증거는 없다.[63] 입원한 영유아의 기관지염 중증도에 대해 "경도에서 중등도"의 긍정적인 변화에 기여할 수 있다는 것을 시사하는 매우 약한 증거가 있지만, 외래 환경에서 치료받는 영유아에 대한 이 접근 방식의 이점은 알려져 있지 않다.[63]
- 점액 마개와 기도 폐쇄에 기여하는 DNA를 분해하는 효소인 흡입형 재조합 인간 디옥시리보뉴클레아제(rhDNase)는 이 그룹에서 임상 결과를 개선하는 것으로 나타나지 않았다.
대증요법(対症療法)이 주가 된다.
8. 2. 항바이러스제
리바비린은 소아의 RSV 치료에 허가된 항바이러스제이다.[7] 이는 바이러스 RNA 합성 및 캡핑을 억제하는 구아노신 유사체이다. 1986년 RSV 감염 치료제로 승인되었지만, 효능에 대한 불확실한 증거와 노출된 직원에 대한 독성 우려, 그리고 비용 문제로 인해 리바비린의 사용은 여전히 논란의 여지가 있다.[7][64] 따라서 치료 지침에서는 소아에 대한 사용을 권장하지 않는다. 성인의 경우 리바비린은 사용 허가 외로 사용되며, 일반적으로 조혈모세포 이식을 받는 사람들과 같이 중증 면역 저하 환자에게만 사용된다.[15]실험적 항바이러스제인 프레사토비르는 임상 시험에서 유망한 결과를 보였지만 아직 의료용으로 승인되지 않았다. 이는 RSV F 단백질을 억제함으로써 융합 억제제로 작용한다.[65]
RSV 특이적 및 비특이적 면역글로불린은 역사적으로 RSV 관련 질환에 사용되어 왔다. 그러나 RSV 감염 소아에서 면역글로불린 사용을 뒷받침할 충분한 증거는 없다.[66]
8. 3. 항염증제
전신 또는 흡입용 코르티코스테로이드는 바이러스성 세기관지염 환자의 입원 기간이나 질병 중증도를 감소시키는 것으로 밝혀지지 않았다.[67] 코르티코스테로이드 사용은 바이러스 배출을 지연시킬 수도 있으므로 일반적으로 권장되지 않는다. 그러나 기저 폐 질환이 있는 성인의 RSV 관련 악화에는 경구용 코르티코스테로이드 사용이 여전히 흔하다.[15]류코트리엔 억제제는 세기관지염 영유아 및 소아 치료에 사용되어 왔지만, 이 약물 사용을 뒷받침하는 증거는 일관되지 않으며 효능에 대한 명확한 결론은 없다.[68]
8. 4. 기관지확장제
기관지확장제는 천식 치료에 흔히 사용되지만, 호흡기세포융합바이러스(RSV) 감염과 관련된 쌕쌕거림 치료에도 때때로 사용된다. 알부테롤(albuterol)과 같은 약물은 기도 근육을 이완시켜 기류를 개선하는 베타-작용제이다. 그러나 기관지확장제는 RSV 감염의 임상 중증도나 RSV 감염 환자의 입원율을 개선하는 것으로 밝혀지지 않았다. 제한적인 효과와 부작용을 고려할 때, RSV 세기관지염 치료에 일상적으로 권장되지는 않는다.[52][67]8. 5. 항생제
항생제는 바이러스 병원체인 RSV가 아닌 박테리아 병원체를 표적으로 하기 때문에, 항생제 치료는 RSV 관련 세기관지염 또는 바이러스성 폐렴 치료에 적합하지 않다.[69] 그러나 이차적인 세균 감염이 발생했다는 명확한 증거가 있는 경우 항생제를 고려할 수 있다. 일부 영아의 RSV 세기관지염에서 중이염이 발생할 수도 있으며, 이 경우 경구용 항생제를 사용하는 경우도 있다.[52]9. 역학
RSV는 전 세계적으로 5세 미만 영유아의 세기관지염과 폐렴의 주요 원인이다. 심각한 감염 위험은 생후 6개월 이내에 가장 높다.[70] 18개월이 될 때까지 영아의 약 87%가 RSV에 감염되고, 거의 모든 어린이는 3세가 되기 전에 감염된다.[15]
고위험군 영아의 경우 팔리비주맙 또는 니르세비맙 (단클론항체 치료제)을 예방적으로 사용하여 RSV 감염을 예방할 수 있다.
2024년 ''JAMA Open''에 게재된 논문에 따르면, 2021년 RSV의 이례적인 급증과 돌연사(SUID)의 증가가 관련이 있을 수 있다고 제시되었다.[71]
RS 바이러스는 성인의 경우 면역결핍이 있거나 영유아에서 중증화되어 기관지염·폐렴 등의 원인이 되기도 한다.[81] 감염되는 숙주는 인간, 침팬지, 소이며, 무증상인 염소 등에서도 분리된다.
일본에서는 11월부터 1월에 걸쳐 겨울철 유행이 많이 보고되고, 열대 지역에서는 우기에 유행이 많다고 여겨진다. 영유아 폐렴의 약 50%, 세기관지염의 50~90%를 차지한다는 보고가 있다.[83] 1세까지 50~70% 이상의 신생아가 감염되고, 그중 1/3이 하기도 질환을 일으킨다는 보고가 있으며, 3세까지 거의 모든 영유아가 항체를 획득한다.[83] 어머니로부터 받은 항체만으로는 감염을 예방할 수 없다. 반복 감염되어 발병하면서 점차 면역을 획득하기 때문에[82] 재발하기 쉽고, 점차 경증화된다.
생후 4주 미만에서는 감염 빈도는 낮지만, 감염되어 발병한 경우 호흡기 증상을 동반하지 않는 비정형적인 증상이 되는 경우가 많아 오진 및 발견 지연으로 이어질 수 있다. 또한 생후 4주 미만에서는 돌연사(영아돌연사증후군)로 이어지는 무호흡이 일어나기 쉬운 것으로 보고되어 주의가 필요하다. 생후 6개월 이내에 가장 중증화된다고 여겨진다. 1세 이하에서는 중이염 합병증이 나타나기도 한다.
감염력 및 증식력이 강하며, 비말과 접촉 감염 모두로 감염되고, 발병 전 잠복기에도 주변 사람을 감염시킨다. 영유아는 증상이 사라진 후에도 1~3주 동안 감염력을 잃지 않는다.[82] 이 때문에 어린이집, 학교, 병원의 입원 병동, 요양원, 가정 등에서 집단 감염으로 이어지기 쉽다.
10. 연구 동향
RSV 특이 T세포 반응에 대한 연구는 재감염 예방, Th2 편향 반응, SARS-CoV-2 감염과의 관련성을 밝히는 데 중점을 두고 있다. RSV 감염으로 입원한 고령 성인에게서 급성 심장 사건 발생 위험이 높아진다는 연구 결과도 보고되고 있다.[15][21][70]
참조
[1]
웹사이트
ICTV Taxonomy history: ''Human orthopneumovirus''
https://ictv.global/[...]
2018-12-27
[2]
논문
Respiratory Syncytial Virus: Infection, Detection, and New Options for Prevention and Treatment
2017-01-01
[3]
논문
Respiratory syncytial virus (RSV): a scourge from infancy to old age
2019-10-01
[4]
논문
Evidence of Respiratory Syncytial Virus Spread by Aerosol. Time to Revisit Infection Control Strategies?
2016-08-01
[5]
논문
The airborne lifetime of small speech droplets and their potential importance in SARS-CoV-2 transmission
2020-06-01
[6]
논문
Cough aerosol in healthy participants: fundamental knowledge to optimize droplet-spread infectious respiratory disease management
2012-12-01
[7]
논문
Challenges and Opportunities in Developing Respiratory Syncytial Virus Therapeutics
2015-03-01
[8]
논문
Recovery of cytopathogenic agent from chimpanzees with coryza
https://scholar.goog[...]
1956-07-01
[9]
논문
Recovery from infants with respiratory illness of a virus related to chimpanzee coryza agent (CCA). I. Isolation, properties and characterization
1957-11-01
[10]
논문
Recovery from infants with respiratory illness of a virus related to chimpanzee coryza agent (CCA). II. Epidemiologic aspects of infection in infants and young children
1957-11-01
[11]
서적
Mandell, Douglas, and Bennett's Principles and Practice of Infectious Diseases
Elsevier
2015-01-01
[12]
논문
Taxonomy of the order Mononegavirales: update 2016
2016-08-01
[13]
논문
Respiratory syncytial virus--a comprehensive review
2013-12-01
[14]
논문
Respiratory Syncytial Virus Bronchiolitis in Children
https://www.aafp.org[...]
2017-01-01
[15]
서적
SARS, MERS and other Viral Lung Infections
European Respiratory Society
2016-06-01
[16]
서적
Red Book (2018): 2018–2021 report of the Committee on Infectious Diseases
2018-01-01
[17]
논문
Bronchiolitis: Recommendations for diagnosis, monitoring and management of children one to 24 months of age
2014-11-01
[18]
웹사이트
RSV Symptoms and Care
https://www.cdc.gov/[...]
2019-02-04
[19]
논문
Respiratory Viral Infections in Patients With Cancer or Undergoing Hematopoietic Cell Transplant
2018-12-01
[20]
논문
Respiratory Syncytial Virus Infection: An Illness for All Ages
2017-03-01
[21]
논문
Respiratory syncytial virus infection in adults
2000-07-01
[22]
논문
Respiratory Syncytial Virus Infection in Elderly and High-Risk Adults
2005-04-01
[23]
웹사이트
Learn about RSV in older adults with chronic medical conditions.
https://www.cdc.gov/[...]
2024-03-01
[24]
논문
Role of viral infections in the development and exacerbation of asthma in children
2017-10-01
[25]
논문
Risk and Protective Factors for Childhood Asthma: What Is the Evidence?
2016-01-01
[26]
논문
Respiratory Syncytial Virus–Associated Neurologic Complications in Children: A Systematic Review and Aggregated Case Series
2021-12-01
[27]
논문
Risk factors for respiratory syncytial virus associated with acute lower respiratory infection in children under five years: Systematic review and meta-analysis
2015-12-01
[28]
논문
Respiratory syncytial virus in hematopoietic cell transplant recipients and patients with hematologic malignancies
2019-07-01
[29]
웹사이트
Respiratory syncytial virus
https://www.hopkinsg[...]
[30]
웹사이트
Genus: Orthopneumovirus – Pneumoviridae – Negative-sense RNA Viruses
https://talk.ictvonl[...]
[31]
논문
Unravelling the complexities of respiratory syncytial virus RNA synthesis
2006-07-01
[32]
서적
Challenges and Opportunities for Respiratory Syncytial Virus Vaccines
2013-01-01
[33]
논문
Best practice in the prevention and management of paediatric respiratory syncytial virus infection
2016-04-01
[34]
웹사이트
RSV Transmission
https://www.cdc.gov/[...]
2019-02-04
[35]
논문
Airborne transmission of respiratory viruses
2021-08-01
[36]
논문
Host Components Contributing to Respiratory Syncytial Virus Pathogenesis
2019-09-00
[37]
논문
The Enhancement or Prevention of Airway Hyperresponsiveness during Reinfection with Respiratory Syncytial Virus Is Critically Dependent on the Age at First Infection and IL-13 Production
2005-08-00
[38]
논문
Clinical practice guideline: the diagnosis, management, and prevention of bronchiolitis
2014-11-00
[39]
논문
Recent advances in the detection of respiratory virus infection in humans
2020-04-00
[40]
논문
Diagnostic assays for respiratory syncytial virus disease
2007-11-00
[41]
논문
Viral pneumonias. Epidemic respiratory viruses
2000-03-00
[42]
논문
Challenges in the prevention or treatment of RSV with emerging new agents in children from low- and middle-income countries
https://www.tandfonl[...]
2021-04-03
[43]
논문
Respiratory syncytial virus entry and how to block it
2019-04-00
[44]
논문
Preventing respiratory syncytial virus (RSV) disease in children
2021-05-00
[45]
논문
Clinical Potential of Prefusion RSV F-specific Antibodies
https://biblio.ugent[...]
2018-03-00
[46]
웹사이트
RSV Vaccines Are Nearly Here after Decades of False Starts - Decades of failed attempts have given way to several successful vaccines and treatments for the respiratory disease RSV
https://www.scientif[...]
2023-04-13
[47]
보도자료
FDA Approves First Respiratory Syncytial Virus (RSV) Vaccine
https://www.fda.gov/[...]
U.S. Food and Drug Administration (FDA)
2023-05-03
[48]
뉴스
US FDA approves Pfizer's RSV vaccine
https://www.reuters.[...]
2023-05-31
[49]
웹사이트
Mresvia- respiratory syncytial virus vaccine suspension
https://dailymed.nlm[...]
2024-05-31
[50]
웹사이트
Mresvia Respiratory Syncytial Virus Vaccine, mRNA (mRNA-1345)
https://www.fda.gov/[...]
2024-05-31
[51]
보도자료
Moderna Receives U.S. FDA Approval for RSV Vaccine Mresvia
https://www.accesswi[...]
Moderna
2024-05-31
[52]
서적
Viral infections of humans: Epidemiology and control
Springer
[53]
논문
Monoclonal antibody for reducing the risk of respiratory syncytial virus infection in children
2013-04-00
[54]
논문
The long road to protect infants against severe RSV lower respiratory tract illness
2019-05-00
[55]
웹사이트
New medicine to protect babies and infants from respiratory syncytial virus (RSV) infection
https://www.ema.euro[...]
2022-09-16
[56]
웹사이트
Beyfortus
https://ec.europa.eu[...]
2022-11-03
[57]
보도자료
Beyfortus approved in the EU for the prevention of RSV lower respiratory tract disease in infants
https://www.astrazen[...]
2022-11-04
[58]
보도자료
MHRA Grants Approval of Beyfortus (nirsevimab) for Prevention of RSV Disease in Infants
https://www.business[...]
Medicines and Healthcare products Regulatory Agency (MHRA)
2022-11-09
[59]
웹사이트
Health Canada approves new antibody drug to help prevent serious RSV in babies
https://www.ctvnews.[...]
2023-04-22
[60]
논문
Efficacy of 3% hypertonic saline in bronchiolitis: A meta-analysis
2019-08-00
[61]
논문
Nebulised hypertonic saline solution for acute bronchiolitis in infants
2013-07-31
[62]
논문
Heliox inhalation therapy for bronchiolitis in infants
2015-09-00
[63]
논문
Chest physiotherapy for acute bronchiolitis in paediatric patients between 0 and 24 months old
2023-04-00
[64]
논문
Ribavirin for respiratory syncytial virus infection of the lower respiratory tract in infants and young children
2007-01-00
[65]
논문
Advances in respiratory virus therapeutics - A meeting report from the 6th isirv Antiviral Group conference
2019-07-00
[66]
논문
Immunoglobulin treatment for hospitalised infants and young children with respiratory syncytial virus infection
2023-10-00
[67]
논문
Bronchodilators for bronchiolitis
2014-06-00
[68]
논문
Leukotriene inhibitors for bronchiolitis in infants and young children
2015-03-00
[69]
논문
Antibiotics for bronchiolitis in children under two years of age
2014-10-00
[70]
논문
The burden of respiratory syncytial virus infection in young children
2009-02-00
[71]
웹사이트
Researchers investigate potential link between RSV and sudden unexpected infant deaths
https://abcnews.go.c[...]
2024-09-28
[72]
논문
Rates of Sudden Unexpected Infant Death Before and During the COVID-19 Pandemic
https://jamanetwork.[...]
2024-09-26
[73]
논문
Rates of Sudden Unexpected Infant Death Before and During the COVID-19 Pandemic
https://jamanetwork.[...]
2024-09-26
[74]
논문
Immune escaping of the novel genotypes of human respiratory syncytial virus based on gene sequence variation
2023-01
[75]
논문
Association of COVID-19 with respiratory syncytial virus (RSV) infections in children aged 0–5 years in the USA in 2022: a multicentre retrospective cohort study
2023-10
[76]
뉴스
Children's hospitals call on Biden to declare emergency in response to 'unprecedented' RSV surge
https://www.cnbc.com[...]
CNBC
2022-11-18
[77]
논문
Acute Cardiac Events in Hospitalized Older Adults With Respiratory Syncytial Virus Infection
2024-06
[78]
웹사이트
RSV Infection Raises Risk for Acute Cardiovascular Events
https://www.medscape[...]
Medscape
2024-05-16
[79]
웹사이트
Virus Taxonomy: 2019 Release
https://talk.ictvonl[...]
국제 바이러스 분류 위원회 (ICTV)
2020-05-10
[80]
웹사이트
https://www.southern[...]
[81]
웹사이트
デジタル大辞泉の解説
https://kotobank.jp/[...]
コトバンク
2018-02-12
[82]
웹사이트
RSウイルスによる気道感染症およびパリビズマブ(シナジス)について
http://www.city.yoko[...]
横浜市衛生研究所 感染症・疫学情報課
[83]
웹사이트
RSウイルス感染症
http://idsc.nih.go.j[...]
국립감염병연구소 감염병정보센터
[84]
웹사이트
IDWR 2012年第34号<注目すべき感染症>RSウイルス感染症
http://www.nih.go.jp[...]
국립감염병연구소
[85]
뉴스
13週連続で過去5年間の最高値を更新 RSウイルス感染症が早くも流行中
http://medical.nikke[...]
日経メディカルオンライン
2008-10-17
[86]
웹사이트
シナジス外来(季節限定)
https://www.nms.ac.j[...]
日本医科大学付属病院
[87]
웹사이트
Respiratory syncytial virus (RSV)
http://www.cdc.go.kr[...]
본 사이트는 AI가 위키백과와 뉴스 기사,정부 간행물,학술 논문등을 바탕으로 정보를 가공하여 제공하는 백과사전형 서비스입니다.
모든 문서는 AI에 의해 자동 생성되며, CC BY-SA 4.0 라이선스에 따라 이용할 수 있습니다.
하지만, 위키백과나 뉴스 기사 자체에 오류, 부정확한 정보, 또는 가짜 뉴스가 포함될 수 있으며, AI는 이러한 내용을 완벽하게 걸러내지 못할 수 있습니다.
따라서 제공되는 정보에 일부 오류나 편향이 있을 수 있으므로, 중요한 정보는 반드시 다른 출처를 통해 교차 검증하시기 바랍니다.
문의하기 : help@durumis.com
