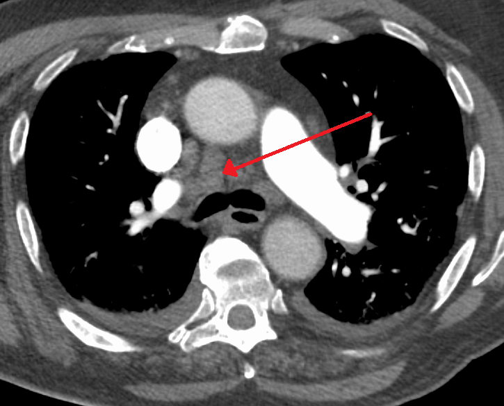
가슴세로칸
"오늘의AI위키"의 AI를 통해 더욱 풍부하고 폭넓은 지식 경험을 누리세요.
1. 개요
가슴세로칸은 가슴 내부에 위치하며, 가슴막에 의해 오른쪽과 왼쪽이 닫혀 있는 공간이다. 가슴벽, 폐, 척추에 의해 둘러싸여 있으며, 위세로칸과 아래세로칸으로 나뉜다. 위세로칸은 위가슴문에서 복장뼈각까지, 아래세로칸은 복장뼈각에서 가로막까지이며, 심장막을 기준으로 앞, 중간, 뒤세로칸으로 세분된다. 가슴세로칸에는 기관, 혈관, 신경, 림프절 등 다양한 구조물이 위치하며, 세로칸종양, 세로칸염, 세로칸기종, 세로칸확장 등 다양한 임상적 문제를 야기할 수 있다.
더 읽어볼만한 페이지
| 가슴세로칸 | |
|---|---|
| 개요 | |
| 라틴어 | mediastinum |
| 어원 | (중간) |
| 해부학 | |
| 설명 | 가슴안의 중앙 부분 |
2. 해부학
가슴세로칸은 가슴 안에 위치하며 좌우 가슴막으로 닫혀 있다. 앞쪽은 가슴벽, 양쪽은 폐, 뒤쪽은 척추로 둘러싸여 있으며, 앞쪽 복장뼈에서 뒤쪽 척추까지 뻗어 있다.[21][22] 가슴세로칸은 폐를 제외한 가슴의 모든 장기를 포함하며,[22][23] 목의 성긴결합조직과 이어진다.
2. 1. 가슴세로칸의 구분
가슴세로칸은 위세로칸과 아래세로칸으로 나뉜다.- '''위세로칸'''(상종격동)은 위가슴문에서 시작하여 복장뼈각 높이에서 끝난다.
- '''아래세로칸'''(하종격동)은 위세로칸이 끝나는 높이에서 시작하여 가로막에서 끝난다. 아래세로칸은 심장막을 기준으로 다시 세 부위로 나누어진다.
- '''앞세로칸'''(전종격동)은 심장막 앞쪽이다.
- '''중간세로칸'''(중종격동)은 심장막과 그 안 구조물이다.
- '''뒤세로칸'''(후종격동)은 심장막 뒤쪽의 공간을 나타낸다.[24]
해부학자, 외과의사, 임상 방사선사는 가슴세로칸의 구획을 다르게 설정하기도 한다. 예를 들어 펠슨(Felson)의 방사선학 도식에서는 가슴세로칸을 오직 앞, 중간, 뒤 세 구획으로만 나누며, 심장은 중간세로칸의 일부로 간주한다.[25]
2. 2. 복장뼈각 높이
복장뼈각과 등뼈 T4, T5 척추사이원반을 잇는 가상의 평면을 가슴세로칸 가로면(transverse thoracic plane), 가슴면(thoracic plane), 루이 평면(plane of Louis) 또는 루트비히 평면(plane of Ludwig)이라고 한다.[26][27][28] 이 평면은 위세로칸과 아래세로칸을 나누는 가상의 기준면이 된다.[26][27][28]이 높이에서 여러 중요한 해부학적 구조 변화가 일어난다.
- 기관이 오른쪽과 왼쪽 주기관지로 갈라지는 지점인 기관갈림이 이 높이에 있다.
- 왼쪽 되돌이후두신경이 왼쪽 미주신경에서 갈라져 나와 아래로 주행해 위쪽에는 대동맥활, 아래쪽에는 허파동맥을 사이에 두고 동맥관인대 아래쪽을 감고 다시 위로 올라간다.
- 홀정맥은 오른쪽 주기관지를 타고 넘어가 위대정맥으로 합류한다.
- 가슴림프관이 식도 뒤쪽에서 오른쪽에서 왼쪽으로 정중선을 가로지른다.
- 기관앞근막과 척주앞근막이 끝난다.
2. 3. 위세로칸
위세로칸은 위가슴문에서 복장뼈각과 T4 등뼈를 잇는 가상의 평면까지의 공간이다.위세로칸의 경계는 다음과 같다.
- 위쪽 경계 - 가슴의 위쪽에서 열리는 부분인 위가슴문
- 아래쪽 경계 - 복장뼈각과 T4 등뼈를 잇는 가상의 평면
- 가쪽 경계 - 가슴막
- 앞쪽 경계 - 복장뼈의 자루
- 뒤쪽 경계 - T1~T4의 척추뼈몸통


;내용물
- 근육
- * 복장목뿔근과 복장방패근의 이는곳.
- * 목긴근의 아래쪽 끝
- 동맥
- * 대동맥활
- * 팔머리동맥
- * 왼쪽 온목동맥과 왼쪽 빗장밑동맥의 가슴 부분
- 정맥
- * 팔머리정맥
- * 위대정맥의 위쪽 절반
- * 왼쪽 맨위갈비사이정맥
- 신경
- * 미주신경
- * 심장신경
- * 심장신경얼기
- * 가로막신경
- * 왼쪽 되돌이후두신경
- 기관옆림프절, 기관기관지림프절과 기관
- 식도
- 가슴림프관
- 가슴샘
- 일부 림프절
- 앞세로인대
2. 4. 아래세로칸
가슴세로칸은 위가슴세로칸과 아래가슴세로칸으로 나눌 수 있다.- '''위가슴세로칸'''은 위가슴구멍에서 시작하여 흉곽 평면에서 끝난다.
- '''아래가슴세로칸'''은 흉곽 평면에서 가로막까지 이어진다. 아래가슴세로칸은 심장막과의 관계에 따라 세 부분으로 나뉜다.
아래가슴세로칸의 세 부분은 다음과 같다.
해부학자, 외과 의사, 임상 방사선과 의사들은 가슴세로칸을 서로 다르게 구획하기도 한다. 예를 들어 Felson의 방사선학적 체계에서는 가슴세로칸을 앞, 중간, 뒤의 세 구획으로 나누며, 이 체계에서 심장은 중간가슴세로칸의 일부이다.[7]
2. 4. 1. 앞세로칸
앞세로칸의 경계는 다음과 같다.앞세로칸의 내용물은 다음과 같다.
2. 4. 2. 중간세로칸
심장막에 의해 경계가 지어진다. 심장막에는 생명 유지에 중요한 기관들이 들어 있으며 장막심장막과 섬유심장막으로 나뉜다.[22];내용물
| 구조 | 설명 |
|---|---|
| 심장 | 심장막 안에 존재한다. |
| 오름대동맥 | 대동맥의 시작 부분이다. |
| 위대정맥의 아래쪽 절반 | 홀정맥이 위대정맥으로 합류한다. |
| 기관용골과 두 기관지 | 기관이 두 기관지로 갈라지는 부분이다. |
| 허파동맥 | 두 허파동맥으로 갈라진다. |
| 오른쪽·왼쪽 허파정맥 | 허파에서 심장으로 혈액을 운반한다. |
| 가로막신경 | 가로막의 운동과 감각을 담당하는 신경이다. |
| 약간의 기관지 림프절 | 기관지 주위에 위치한 림프절이다. |
| 심장가로막동맥·정맥 | 심장과 가로막에 혈액을 공급하는 혈관이다. |

2. 4. 3. 뒤세로칸
뒤세로칸은 심장막 뒤쪽, 가로막과 등뼈 사이의 공간이다.경계는 다음과 같다.
- 앞쪽 경계 - 기관용골, 허파동맥과 허파정맥, 섬유심장막, 가로막의 뒤쪽 기울어진 면
- 아래쪽 경계 - 가로막의 가슴쪽 면
- 위쪽 경계 - 복장뼈각 높이의 가상의 평면
- 뒤쪽 경계 - T5 아래쪽 경계부터 T12까지 등뼈의 몸통[22]
- 가쪽 경계 - 양쪽 세로칸가슴막
가슴세로칸에는 다양한 종양, 염증, 기타 질환이 발생할 수 있다. 가슴세로칸에서 발생 가능한 질환에는 세로칸종양, 세로칸염, 세로칸기종 등이 있다.
3. 임상적 중요성
3. 1. 세로칸종양
가슴세로칸에서는 여러 세로칸종양이 발생할 수 있다.
3. 2. 세로칸염
세로칸염은 가슴세로칸의 조직에 발생하는 염증이다. 보통 세균 감염이 원인이며, 가슴세로칸에 위치한 장기들이 파열되어 생긴다. 감염이 빠르게 진행될 수 있으므로 세로칸염은 심각한 상태이다.
3. 3. 세로칸기종
세로칸기종은 가슴세로칸에 공기가 들어가 있는 상태이다. 치료하지 않고 방치할 경우 기흉, 기복증, 공기심장막증 등으로 이어질 수 있다. 그러나 항상 이런 상태들로 발전하는 것은 아니며, 종종 반대로 기흉 등의 상태가 세로칸기종의 원인이 되기도 한다. 자주 동반하는 질환으로 식도 파열의 한 형태인 부르하버 증후군(Boerhaave syndrome)이 있다.
3. 4. 세로칸확장
가슴세로칸확장(widened mediastinum, mediastinal widening) 또는 종격동확장은 가슴세로칸이 기립 PA 흉부 X선에서 너비 6cm 이상 또는 앙와위 AP 흉부 X선에서 8cm 이상으로 나타나는 경우를 말한다.[29]
세로칸확장은 여러 병리를 나타내는 소견일 수 있다.[30][31]
한국에서는 세로칸확장을 동반하는 질환의 발생률이 서구와 다소 차이를 보일 수 있으며, 특히 결핵, 진균 감염 등에 의한 림프절 비대가 상대적으로 흔하게 나타날 수 있다.
참조
[1]
웹사이트
A index W LA
https://ifaa.unifr.c[...]
[2]
웹사이트
Mediastinum dictionary definition - mediastinum defined
http://www.yourdicti[...]
[3]
간행물
TUMORS, MALIGNANT {{!}} Carcinoma, Lymph Node Involvement
http://www.sciencedi[...]
Academic Press
2020-11-17
[4]
간행물
CHAPTER 26 - Mediastinum
http://www.sciencedi[...]
W.B. Saunders
2020-11-17
[5]
간행물
83 - Mediastinal Tumors and Cysts
http://www.sciencedi[...]
W.B. Saunders
2020-11-17
[6]
간행물
The deeper fasciae of the neck and ventral torso
https://linkinghub.e[...]
Elsevier
2020-11-17
[7]
서적
Felson's Principles of Chest Roentgenology
[8]
웹사이트
Thoracic Wall, Pleura, and Pericardium – Dissector Answers
http://anatomy.med.u[...]
[9]
웹사이트
Cell Biology and Anatomy - School of Medicine - University of South Carolina
http://dba.med.sc.ed[...]
2014-09-22
[10]
웹사이트
UAMS Department of Neurobiology and Developmental Sciences - Topographical Anatomy of the Thorax
http://anatomy.uams.[...]
2014-09-22
[11]
웹사이트
Thoracic aortic injury {{!}} Radiology Reference Article {{!}} Radiopaedia.org
http://radiopaedia.o[...]
[12]
저널
The widened mediastinum in trauma patients
[13]
저널
The widened mediastinum. Diagnostic and therapeutic priorities
[14]
저널
Lung scan and wide mediastinum
http://jnm.snmjourna[...]
1975-04
[15]
저널
Chest radiography for the diagnosis of [[acute aortic syndrome]]
[16]
저널
Bioterrorism-related inhalational anthrax: the first 10 cases reported in the United States
[17]
서적
Trauma secrets
https://books.google[...]
Elsevier Health Sciences
2010-04-19
[18]
URL
https://www.unifr.ch[...]
[19]
문서
대한해부학회 의학용어 사전, 대한의협 의학용어 사전
https://www.kmle.co.[...]
[20]
웹인용
Mediastinum dictionary definition - mediastinum defined
http://www.yourdicti[...]
[21]
간행물
TUMORS, MALIGNANT Carcinoma, Lymph Node Involvement
http://www.sciencedi[...]
Academic Press
2020-11-17
[22]
간행물
CHAPTER 26 - Mediastinum
http://www.sciencedi[...]
W.B. Saunders
2020-11-17
[23]
간행물
83 - Mediastinal Tumors and Cysts
http://www.sciencedi[...]
W.B. Saunders
2020-11-17
[24]
간행물
The deeper fasciae of the neck and ventral torso
https://linkinghub.e[...]
Elsevier
2020-11-17
[25]
서적
Felson's Principles of Chest Roentgenology
https://archive.org/[...]
[26]
웹사이트
Thoracic Wall, Pleura, and Pericardium – Dissector Answers
http://anatomy.med.u[...]
2012-09-01
[27]
웹인용
Cell Biology and Anatomy - School of Medicine - University of South Carolina
http://dba.med.sc.ed[...]
2022-05-19
[28]
웹인용
UAMS Department of Neurobiology and Developmental Sciences - Topographical Anatomy of the Thorax
http://anatomy.uams.[...]
2022-05-19
[29]
웹인용
Thoracic aortic injury
http://radiopaedia.o[...]
[30]
저널
The widened mediastinum in trauma patients
[31]
저널
The widened mediastinum. Diagnostic and therapeutic priorities
[32]
저널
Lung scan and wide mediastinum
http://jnm.snmjourna[...]
1975-04
[33]
저널
Chest radiography for the diagnosis of [[acute aortic syndrome]]
[34]
저널
Bioterrorism-related inhalational anthrax: the first 10 cases reported in the United States
[35]
서적
Trauma secrets
https://books.google[...]
Elsevier Health Sciences
2010-04-19
본 사이트는 AI가 위키백과와 뉴스 기사,정부 간행물,학술 논문등을 바탕으로 정보를 가공하여 제공하는 백과사전형 서비스입니다.
모든 문서는 AI에 의해 자동 생성되며, CC BY-SA 4.0 라이선스에 따라 이용할 수 있습니다.
하지만, 위키백과나 뉴스 기사 자체에 오류, 부정확한 정보, 또는 가짜 뉴스가 포함될 수 있으며, AI는 이러한 내용을 완벽하게 걸러내지 못할 수 있습니다.
따라서 제공되는 정보에 일부 오류나 편향이 있을 수 있으므로, 중요한 정보는 반드시 다른 출처를 통해 교차 검증하시기 바랍니다.
문의하기 : help@durumis.com