대동맥 박리
"오늘의AI위키"의 AI를 통해 더욱 풍부하고 폭넓은 지식 경험을 누리세요.
1. 개요
대동맥 박리는 대동맥 내벽이 찢어져 혈액이 혈관 벽 안으로 들어가면서 발생하는 심각한 질환이다. 주요 원인으로는 고혈압, 결합 조직 질환(마르판 증후군 등), 외상, 흡연 등이 있으며, 급작스러운 흉통, 등 통증, 복통 등의 증상이 나타난다. 진단은 CT, MRI, 경식도 심장 초음파, 혈액 검사 등을 통해 이루어지며, 스탠포드 분류에 따라 A형(상행 대동맥 침범)과 B형(하행 대동맥 침범)으로 나뉜다. 치료는 A형의 경우 수술, B형의 경우 내과적 치료를 우선으로 하며, 혈압 및 심박수 조절이 중요하다. 조기 진단과 치료가 중요하며, 치료받지 않을 경우 사망 위험이 매우 높다.
더 읽어볼만한 페이지
- 대동맥 질환 - 대동맥류
대동맥류는 대동맥의 일부가 비정상적으로 확장되는 질환으로, 위치에 따라 분류되며 대부분 증상이 없지만 파열 시 사망에 이를 수 있고, 고혈압, 흡연 등이 위험 요인이며, 크기와 위치에 따라 약물 치료, 수술, 스텐트 삽입술 등으로 치료한다. - 대동맥 질환 - 복부대동맥류
복부대동맥류는 복부 대동맥이 비정상적으로 확장되는 질환으로 흡연, 알코올 섭취, 유전적 요인, 동맥경화 등이 원인이며, 무증상으로 진행되다 복부, 가슴, 허리 통증을 유발하고 심각한 경우 대동맥 파열로 이어져 저혈량 쇼크를 일으킬 수 있으며, 금연과 혈압 관리를 통해 예방하고 크기와 증상에 따라 약물, 개복 수술, 혈관 내 치료를 고려한다. - 혈관외과 - 대동맥류
대동맥류는 대동맥의 일부가 비정상적으로 확장되는 질환으로, 위치에 따라 분류되며 대부분 증상이 없지만 파열 시 사망에 이를 수 있고, 고혈압, 흡연 등이 위험 요인이며, 크기와 위치에 따라 약물 치료, 수술, 스텐트 삽입술 등으로 치료한다. - 혈관외과 - 복부대동맥류
복부대동맥류는 복부 대동맥이 비정상적으로 확장되는 질환으로 흡연, 알코올 섭취, 유전적 요인, 동맥경화 등이 원인이며, 무증상으로 진행되다 복부, 가슴, 허리 통증을 유발하고 심각한 경우 대동맥 파열로 이어져 저혈량 쇼크를 일으킬 수 있으며, 금연과 혈압 관리를 통해 예방하고 크기와 증상에 따라 약물, 개복 수술, 혈관 내 치료를 고려한다. - 사인별 죽음 - 뇌졸중
뇌졸중은 뇌로 가는 혈액 공급이 막혀 뇌세포가 손상되는 질환으로, 허혈성 뇌졸중과 출혈성 뇌졸중으로 나뉘며, 조기 진단과 치료, 그리고 위험 요인 관리를 통한 예방이 중요하다. - 사인별 죽음 - 감전
감전은 전류가 인체를 통과하며 발생하는 전기적 충격으로, 다양한 요인에 따라 위험성이 달라지며 심각한 경우 사망에 이를 수 있고, 예방을 위해 안전 수칙 준수가 필수적이지만, 의료적 목적으로 활용되기도 하며 윤리적 논란의 여지도 있다.
| 대동맥 박리 | |
|---|---|
| 질병 정보 | |
| 분야 | 혈관외과, 흉부외과 |
| 증상 | 심한 흉통 또는 등 통증, 구토, 땀 흘림, 어지럼증 |
| 합병증 | 뇌졸중, 장간막 허혈, 심근 허혈, 대동맥 파열 |
| 발병 | 갑작스러움 |
| 원인 | 알려지지 않음 |
| 위험 요인 | 높은 혈압, 마르팡 증후군, 뢰이스-디츠 증후군, 터너 증후군, 이엽성 대동맥판막, 이전 심장 수술, 주요 외상, 흡연 |
| 진단 | 의료 영상 |
| 예방 | 혈압 조절, 금연 |
| 치료 | 유형에 따라 다름 |
| 예후 | 치료받지 않을 시 사망률 10% (B형), 50% (A형) |
| 빈도 | 연간 10만 명당 3명 |
| 식별 | |
| ICD-10 | I71.0 |
| ICD-9 | 441.0 |
| 질병 데이터베이스 | 805 |
| 메들린플러스 | 000181 |
| eMedicine 주제 | emerg/28 |
| 이미지 | |
![]() | |
2. 병인
대동맥 박리는 고혈압 및 여러 결합 조직 질환과 관련이 있다. 혈관염은 드물게 대동맥 박리와 연관되기도 한다. 흉부 외상 역시 대동맥 박리의 원인이 될 수 있다. 대동맥 박리 환자의 약 72~80%는 고혈압 병력을 가지고 있다.[13]
급성 대동맥 박리 발생 시 혈압은 매우 다양하게 나타난다. 원위부 박리 환자에게서 혈압이 더 높은 경향이 있는 반면, 근위부 대동맥 박리 환자 중 36%는 고혈압, 25%는 저혈압을 보인다. 근위부 대동맥 박리는 낭성 중막 변성으로 인한 혈관벽 약화와 관련이 있는 경향이 있다. 원위부(스탠포드 B형) 대동맥 박리 환자의 경우, 60~70%가 고혈압을 보이며, 2~3%가 저혈압을 보인다.[13] 발병 시 심각한 저혈압은 좋지 않은 예후를 나타내는 지표이며, 심낭 압전, 심한 대동맥 부전 또는 대동맥 파열과 관련이 있다.
상완두 동맥 (오른팔에 혈액을 공급) 또는 왼쪽 쇄골하 동맥 (왼팔에 혈액을 공급)의 침범으로 인해 혈압이 거짓으로 낮게 측정되는 가성 저혈압이 발생할 수 있으므로, 정확한 혈압 측정이 중요하다.[14][15]
2. 1. 위험 요인
고혈압은 대동맥 박리의 주요 위험 요인 중 하나로, 대동맥 박리 환자의 72~80%에서 고혈압 병력이 발견된다.[13] 마르판 증후군, 엘러스-단로스 증후군, 로이스-디에츠 증후군과 같은 결합 조직 질환 또한 대동맥 박리 위험을 증가시킨다.[13] 특히, 마르판 증후군은 대동맥 박리 환자의 5~9%에서 발견되며, 젊은 연령층에서 더 흔하게 나타난다.[21]이엽성 대동맥판은 선천성 심장 질환의 일종으로, 대동맥 박리 환자의 7~14%에서 발견된다. 이 경우 상행 대동맥 박리가 발생하기 쉽다.[21] 터너 증후군은 대동맥 기저부 확장을 유발하여 대동맥 박리 위험을 높인다.
흉부 외상은 둔상 흉부 외상(주로 자동차 사고)과 의인성 원인(심장 카테터 삽입, 대동맥 내 풍선 펌프 등)으로 나눌 수 있다. 심장 수술, 특히 대동맥판 폐쇄 부전으로 인한 대동맥판 치환술은 대동맥 박리의 후유증으로 이어질 수 있다.
코카인, 메스암페타민과 같은 불법 약물 사용[32][20]과 흡연 또한 대동맥 박리의 위험 요인이다. 매독은 3기에 대동맥 박리를 유발할 수 있다.
3. 병태 생리

대동맥은 모든 동맥과 마찬가지로 내막, 중막, 외막의 세 층으로 구성되어 있다. 내막은 혈관 내부의 혈액과 직접 접촉하며, 주로 내피 세포 층으로 구성되고 그 아래에는 기저막이 존재한다. 중막은 결합 조직과 근육 조직을 포함하며, 혈관은 결합 조직으로 구성된 외막에 의해 외부에서 보호된다.
대동맥 박리에서 혈액은 내막을 관통하여 중막으로 들어간다. 높은 압력으로 인해 중막의 생물학적 조직이 찢어지며, 중막의 안쪽 2/3과 바깥쪽 1/3이 층상으로 분리된다.[22] 이 현상은 대동맥의 길이를 따라 앞쪽 또는 뒤쪽으로 다양하게 진행될 수 있다. 혈류 방향으로 진행되는 박리는 전방성 박리, 혈류 반대 방향으로 진행되는 박리는 역행성 박리라고 한다. 초기 파열은 보통 대동맥판막에서 100mm 이내에서 발생하므로, 역행성 박리는 쉽게 심낭을 손상시켜 혈액심낭증을 유발할 수 있다. 전방성 박리는 대동맥의 장골 분기점까지 진행되거나, 대동맥 벽을 파열시키거나, 혈관 내강으로 재관통하여 이중 내강 대동맥을 형성할 수 있는데, 이는 혈류의 압력을 완화하고 파열 위험을 감소시킨다. 파열은 체강 내 출혈을 유발하며, 예후는 파열 부위에 따라 달라진다. 후복막 파열과 심낭 파열이 모두 가능하다.[23]
대동맥 박리는 대동맥 내막에 파열이 생기면서 시작된다. 대동맥의 높은 압력으로 인해 혈액이 파열 부위에서 중막으로 들어가고, 이 힘은 파열을 확대시킨다. 파열은 근위부(심장 가까이) 또는 원위부(심장 멀리) 또는 양쪽 모두로 확장될 수 있다. 혈액은 중막을 통과하면서 가성 동맥류를 생성한다(진성 내강은 대동맥 내 혈액의 정상적인 통로이다). 가성 내강과 진성 내강을 분리하는 것은 내막 조직층으로, 이를 내막 플랩이라고 한다.
대부분의 대동맥 박리는 상행 대동맥(65%), 대동맥궁(10%), 또는 동맥관 바로 원위부의 하행 대동맥(20%)에서 내막 파열로 시작된다.
가성 내강으로 혈액이 흐르면서 내막에 이차적인 파열을 유발할 수 있으며, 이러한 이차적인 파열을 통해 혈액은 다시 진성 내강으로 들어갈 수 있다.
내막 파열의 원인은 항상 명확하지는 않지만, 종종 중막을 구성하는 콜라겐과 엘라스틴의 변성을 포함한다. 이를 낭성 중막 괴사라고 하며, 마르판 증후군과 가장 흔하게 관련이 있으며 엘러스-단로스 증후군과도 관련이 있다.[24][25]
대동맥 박리의 약 13%에서는 내막 파열의 증거가 발견되지 않는다. 이러한 경우, 유발 사건은 중막 내 출혈에 의한 혈종으로 생각된다. 이 경우 진성 내강과 가성 내강 사이에 직접적인 연결이 없으므로, 대동맥 조영술로 대동맥 박리를 진단하기 어렵다(원인이 중막 혈종인 경우). 중막 혈종에 의한 대동맥 박리는 내막 파열에 의한 것과 동일하게 치료해야 한다.[24][25]
4. 증상
대동맥 박리의 가장 흔한 증상은 급작스럽게 시작되는 심한 통증이며, 환자의 약 96%에서 나타난다.[4][5] 이 통증은 찢어지는 듯하거나, 찌르는 듯하거나, 날카로운 느낌으로 묘사될 수 있으며, 가슴, 등, 또는 복부에서 느껴질 수 있다.[4][5] 약 17%의 환자는 대동맥 아래로 박리가 진행됨에 따라 통증이 이동하는 것을 느낀다.[6]
통증의 위치는 대동맥 박리의 위치와 관련이 있다.[7] 전흉부 통증은 상행 대동맥 박리와 관련이 있으며, 견갑골 사이의 등 통증은 하행 대동맥 박리와 관련이 있다. 만약 통증이 흉막염과 비슷하게 느껴진다면, 이는 심장 주변의 심낭으로 출혈이 발생하여 급성 심막염이 발생했음을 의미할 수 있다. 이는 급성 심장 압전이 임박했음을 시사하는 위험한 상황이며, 심장 압전은 대동맥 박리로 인한 가장 흔한 사망 원인이다.[8]
대동맥 박리는 심근 경색과 혼동될 수 있지만, 일반적으로 심부전 및 심전도 변화와 같은 다른 징후는 동반되지 않는다. 덜 흔한 증상으로는 울혈성 심부전(7%), 실신(9%), 뇌졸중(6%), 허혈성 말초 신경 병증, 하지 마비, 심정지 등이 있다.[9] 실신한 환자의 약 절반은 심낭으로의 출혈로 인해 심장 압전이 발생한 것이다.[10] 뇌졸중 및 마비와 같은 신경학적 합병증은 중추 신경계의 일부에 혈액을 공급하는 하나 이상의 동맥이 막히면서 발생한다.[10]
복부 대동맥 박리의 경우, 하나 또는 두 개의 신장 동맥이 손상되는 경우는 5~8%이며, 장간막 허혈은 약 3% 발생한다.[11][12]
강렬한 통증은 환자의 96%에서 나타나며, 박리 부위를 추정하는 데 중요한 증상이다. 그러나 박리가 복부 대동맥까지 미치면 "온몸을 움직이는 듯한 통증"이라고도 한다. 가토 차가 2006년에 스탠포드 A형 박리를 겪었을 때 통증을 언급한 적이 있다. 심부전 증상을 일으키는 경우도 있으며, 첫 증상이 돌연사인 경우도 있다. 또한, 박리에 의해 혈압 상승 또는 저하가 일어나며, 흉수가 고이기도 한다.
4. 1. 합병증
대동맥판 폐쇄 부전(AI)은 상행 대동맥 박리 환자의 절반에서 3분의 2에서 발생하며, 확장기 심잡음은 근위부 박리 환자의 약 32%에서 들을 수 있다. 심잡음의 강도는 혈압에 따라 달라지며, 저혈압의 경우 들리지 않을 수 있다.[16]상행 대동맥 박리 상황에서 AI가 발생하는 데에는 여러 가지 원인이 있다. 박리는 대동맥판의 환부를 확장시켜 판막의 엽이 닫히는 것을 방해할 수 있다. 박리가 대동맥 기저부까지 확장되어 대동맥판 엽을 분리할 수도 있다. 또는 광범위한 내막 파열 후 내막 플랩이 좌심실 유출로로 탈출하여 내막 내중첩이 대동맥판 안으로 발생하여 밸브가 제대로 닫히지 않게 될 수도 있다.[17]
심장 마비는 대동맥 박리의 1~2%에서 발생한다. 심근 경색은 심장에 산소화된 혈액을 공급하는 관상 동맥이 박리에 연루되어 발생한다. 우관상 동맥은 좌관상 동맥보다 더 흔하게 연루된다. 심근 경색증을 혈전 용해 요법으로 치료하면 사망률이 70% 이상으로 증가하는데, 이는 대부분 심낭 내 출혈로 인해 심장 압전을 유발하기 때문이다.[18]
흉막 삼출액(폐와 흉벽 또는 횡격막 사이의 공간에 체액이 고인 상태)은 대동맥의 일시적인 파열로 인한 혈액이나 대동맥 주변의 염증 반응으로 인한 체액으로 인해 발생할 수 있다. 대동맥 박리로 인해 흉막 삼출액이 발생할 경우, 오른쪽 흉강보다는 왼쪽 흉강에서 더 흔하게 나타난다.[19]
정상적인 층 구조가 파괴된 대동맥은 약해져 최악의 경우 파열될 수 있다. 또한 대동맥 기시부(발살바 동)에서 심장에 걸쳐 박리가 진행되면 거기에서 뻗어 나오는 관상동맥의 혈류를 막아 심근 경색을 일으키거나, 대동맥판륜 확장에 따라 대동맥판을 손상시키거나 (대동맥판 폐쇄 부전증), 심장을 싸고 있는 심낭이라는 주머니 안에 출혈을 일으키면 심장 압전을 일으킨다.
급성 대동맥 박리에서는 파열이나 심장 압전만이 위험한 것은 아니다. 박리에 의해 가성강이 중요 혈관을 폐쇄하면 뇌경색, 척수 경색, 장관 등의 소화관 허혈, 하지 허혈을 일으킨다. 중요 장기에 대한 허혈이 발생한 경우의 생존율은 수술을 할 수 있는 경우에도 70% 미만이다.
아다미케비츠 동맥 및 전척수 동맥을 압박 또는 폐색함으로써, 대마비가 나타날 수 있다.
5. 진단
대동맥 박리는 다양한 증상을 보이기 때문에 진단이 어려운 경우가 많다. 저혈압, 신경학적 문제, 불규칙한 맥박이 있는 환자는 주의 깊게 살펴봐야 한다.[26] 환자의 병력 청취만으로 대동맥 박리를 강하게 의심할 수 있지만, 이것만으로는 항상 진단을 내릴 수 없다.
진단은 주로 진단 영상 검사를 통해 내막 플랩을 확인함으로써 이루어진다. 대동맥 박리 진단에 사용되는 일반적인 검사로는 요오드화 조영제를 사용한 흉부 컴퓨터 단층 촬영(CT)과 경식도 심장 초음파가 있다. 식도와 대동맥이 가까이 있기 때문에 고주파 초음파를 사용하여 더 선명한 해부학적 이미지를 얻을 수 있다. 이 외에도 대동맥 조영술이나 대동맥 자기 공명 혈관 조영술(MRI)을 사용할 수 있다. 각 검사에는 장단점이 있으며, 대동맥 박리 진단에 있어서 동일한 민감도와 특이도를 갖지 않는다.
어떤 영상 기법을 선택할지는 진단 전 검사 가능성, 검사 방식의 이용 가능성, 환자의 안정성, 검사의 민감도와 특이도를 고려하여 결정한다.
혈액 내 D-dimer 수치 측정은 진단 평가에 유용할 수 있다. 500 ng/ml 미만의 수치는 대동맥 박리 진단을 배제하는 증거로 간주될 수 있지만,[2] 이 지침은 "저위험"으로 간주되는 경우[27]와 증상 발현 후 24시간 이내의 경우에만 적용된다.[28] 미국 심장 협회(American Heart Association)는 증거가 아직 잠정적이므로 이 검사를 진단에 사용하는 것을 권장하지 않는다.[29]
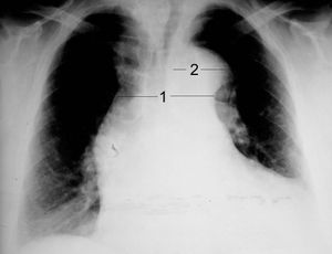
흉부 방사선 촬영은 대동맥 박리에서 나타날 수 있는 흉부 대동맥의 형태 변화를 보여줄 수 있다. 전형적으로, 방사선 사진에서 종격동의 새로운 확장 소견은 상행 대동맥 박리를 감지하는 데 중간 정도의 민감도를 보이지만, 다른 많은 질환이 종격동의 명백한 확장을 유발할 수 있으므로 이 소견은 특이도가 낮다.
다음과 같은 다른 방사선학적 소견들이 관련되어 있다.
- "칼슘 징후"는 내막 석회화가 외부 대동맥 가장자리에서 10mm 이상 분리된 것처럼 보이는 것을 나타낸다.
- 흉수는 하행 대동맥 박리에서 더 흔하게 나타나며, 전형적으로 좌측에 발생한다.
- 기타 소견: 대동맥 융기 소실, 좌측 주 기관지 압박, 기관 주위 선 소실, 기관 편위.
중요한 것은, 대동맥 박리의 약 12~20%는 흉부 방사선 사진으로 감지할 수 없다는 것이다. 따라서 "정상" 흉부 방사선 사진은 대동맥 박리를 배제하지 못한다. 임상적 의심이 높은 경우, 보다 민감한 영상 검사(컴퓨터 단층 촬영 혈관 조영술, 자기 공명 혈관 조영술, 또는 경식도 심장 초음파)가 필요할 수 있다.
컴퓨터 단층 촬영 혈관 조영술은 대동맥의 정확한 3차원 영상을 제공하는 빠르고 비침습적인 검사법이다. 흉부와 복부를 빠르게 얇게 절편 촬영하여 컴퓨터에서 결합하여 단면 영상을 생성한다. 적절한 진단을 내리는 데 필요한 정확도로 대동맥을 명확히 하기 위해, 요오드화 조영제를 말초 정맥에 주사한다. 조영제를 주사하고 볼루스 추적 방법을 사용하여 스캔을 수행한다. 이 유형의 스캔은 조영제가 대동맥에 들어갈 때 이를 포착하도록 주사 시간에 맞춰져 있다. 그런 다음 스캔은 조영제가 혈관을 통해 흐르는 것을 따라간다. 민감도는 96~100%이고 특이도는 96~100%이다. 단점으로는 요오드화 조영제가 필요하고, 내막 파열 부위를 진단할 수 없다는 점이 있다.

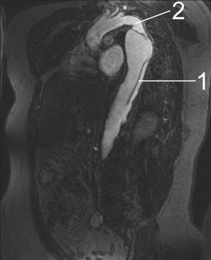
자기 공명 영상(MRI)은 대동맥 박리의 탐지 및 평가에도 사용되며, 민감도는 98%, 특이도는 98%이다. 대동맥 MRI 검사는 대동맥의 3차원 재구성을 생성하여 의사가 내막 파열의 위치와 분지 혈관의 침범을 결정하고 2차 파열을 찾을 수 있도록 한다. 이는 비침습적 검사이며, 요오드화 조영제를 사용할 필요가 없고, 대동맥 부전의 정도를 감지하고 정량화할 수 있다.
대동맥 박리의 경우 MRI 검사의 단점은 더 큰 병원에서만 사용할 수 있고, 검사 시간이 비교적 오래 걸려 이미 상태가 매우 좋지 않은 사람들에게는 위험할 수 있다는 것이다. MRI 촬영 시 사용되는 고강도 자기장으로 인해 금속 임플란트가 있는 개인에게는 사용할 수 없다. 또한, 일부 개인은 MRI 자석에 둘러싸이면 폐소 공포증을 경험한다.
심초음파 검사는 대동맥 박리의 진실 내강과 가성 내강을 보여준다. 왼쪽 이미지에서 내막 플랩은 두 개의 내강을 분리하는 것을 볼 수 있다. 오른쪽 이미지에서 심실 수축기 동안의 컬러 플로우는 위쪽 내강이 진정한 내강임을 시사한다.
경식도 심초음파 검사(TEE)는 대동맥 박리 진단에 유용한 검사로, 민감도가 최대 98%이고 특이도가 최대 97%이다. 의심되는 대동맥 박리에 대한 선호되는 영상 기법이 되었다. 이는 비교적 비침습적인 검사로, 개인은 심초음파 프로브를 삼켜야 한다. 이는 상행 대동맥 박리 상황에서 대동맥판 폐쇄 부전(AI)을 평가하고 관상 동맥의 개구부(기원)가 관련된지 여부를 결정하는 데 특히 유용하다. 많은 기관에서 환자의 편안함을 위해 경식도 심초음파 검사 중 진정제를 투여하지만, 진정제 없이 협조적인 개인에게서도 수행할 수 있다. TEE의 단점으로는 원위 상행 대동맥(대동맥궁의 시작 부분)과 위 아래에 있는 하행 복부 대동맥을 시각화할 수 없다는 점이 있다. TEE는 식도 협착이나 식도 정맥류가 있는 개인에게서 기술적으로 수행하기 어려울 수 있다.
대동맥 조영술은 대동맥에 카테터를 삽입하고 조영제를 주입하면서 대동맥의 X-레이를 촬영하는 것을 포함한다. 이 절차는 대동맥 조영술로 알려져 있다. 이전에는 진단의 골드 스탠다드로 여겨졌지만, 다른 덜 침습적인 영상 기술에 의해 대체되었다.
격심한 통증으로부터 대동맥 박리를 의심한다. 흉부 X선으로 대동맥 음영이나 상부 종격동의 확대를 볼 수 있지만, 특히 소견이 보이지 않는 경우도 있기 때문에 기본적으로 CT이나 MRI로 진단한다.
; CT
: 정맥 내에 조영제(요오드계)를 주입하여 조영하는 촬영법이 기본이다. 진강, 가강, 플랩의 검출이 가능하며, 민감도는 83~87%, 특이도는 87~100%로 높다. 최근 등장한 헬리컬 CT는 보다 정확한 진단이 가능하며, 민감도는 96%, 특이도는 100%에 달한다. 또한, 최근의 다채널 헬리컬 CT에서는 조영 CT가 아닌 단순 CT로 진단이 가능한 경우도 드물지 않다.
; MRI
: 다양한 단면에서 선명한 영상을 얻을 수 있는 것이 특징이다. 박리의 범위와 상태를 정확하게 파악하는 데 적합하다. 민감도·특이도는 모두 96%.
; 심장 초음파
: 내막 플랩을 검출할 수 있다면 확정할 수 있다. 또한, 스탠포드 A형 박리에서는 심장 압전(에코 프리 공간으로 보인다)을 계기로 박리를 진단하는 경우도 있다.
; D-다이머
: 박리된 부분에서는 혈전이 형성되기 때문에 D-다이머가 생성된다. 발병 24시간 이내의 혈중 D-다이머 값이 500mg/mL 미만이면 급성 대동맥 박리는 제외 가능하다는 보고가 있다.[62]
6. 분류
대동맥 박리를 설명하기 위해 여러 가지 분류 체계가 사용되어 왔다. 일반적으로 사용되는 체계는 박리의 해부학적 위치나 증상 발현 후 환자가 병원에 오기까지의 시간에 기반한다. 현재는 환자 관리에 더 적합하기 때문에 스탠포드 분류가 더 일반적으로 사용된다.
- 스탠포드 분류
상행 대동맥의 침범 여부에 따라 A형과 B형으로 나뉜다.
| 유형 | 설명 |
|---|---|
| A형 | 상행 대동맥 및/또는 대동맥궁을 포함하며, 하행 대동맥도 포함될 수 있다. 찢어짐은 상행 대동맥, 대동맥궁 또는 드물게 하행 대동맥에서 시작될 수 있다. 드베이키 I형과 II형을 포함한다. |
| B형 | 하행 대동맥 또는 대동맥궁(왼쪽 쇄골하 동맥 원위부)을 포함하며, 상행 대동맥은 침범하지 않는다. 드베이키 III형을 포함한다. |
스탠포드 분류는 임상 진료에 따라 유용한데, A형 상행 대동맥 박리는 일반적으로 일차적인 수술 치료가 필요한 반면, B형 박리는 일반적으로 수술이 합병증 발생 시에만 적용되는 초기 내과적 치료를 받기 때문이다.[33]
- 드베이키 분류
흉부외과 의사 마이클 E. 드베이키의 이름을 따서 명명되었으며, 대동맥 박리를 해부학적으로 설명하는 분류법이다. 이는 최초 내막 파열 위치와 박리 범위(상행 대동맥, 하행 대동맥 또는 상행 및 하행 대동맥 모두 포함)를 기준으로 분류한다.
| 유형 | 설명 | 특징 |
|---|---|---|
| I형 | 상행 대동맥에서 시작하여 최소 대동맥궁까지, 종종 그 너머 원위부까지 진행된다. | 65세 미만의 환자에게서 가장 흔히 나타나며, 이 질환의 가장 치명적인 형태이다. |
| II형 | 상행 대동맥에서 시작하여 그 부위에 국한된다. | |
| III형 | 하행 대동맥에서 시작하며 근위부로 확장되는 경우는 드물지만, 원위부로 확장된다. | 동맥경화증과 고혈압을 가진 고령 환자에게서 가장 흔히 발생한다. |
7. 치료
대동맥 박리의 치료는 박리의 위치와 급성 여부에 따라 달라진다. 스탠포드 A형(상행 대동맥) 박리는 일반적으로 수술이 필요하며, 합병증이 없는 스탠포드 B형(원위 대동맥) 박리는 내과적 치료가 우선된다.[35]
대동맥 박리로 인한 사망 위험은 초기 몇 시간 동안 가장 높으므로,[35] 급성 박리와 만성 박리의 치료 전략은 다르다. 급성 박리는 발병 후 2주 이내, 만성 박리는 2주 이후를 기준으로 한다.[35]
스탠포드 B형 박리는 보존적 치료가 가능하지만, 복강 동맥, 신동맥, 상장간막동맥 등에 박리가 발생하면 수술이 필요할 수 있다. 장골동맥 폐쇄 시에는 하지 근괴사를 막기 위해 스텐트나 바이패스 수술을 시행하며, 근신대사증후군(MNMS)에 주의해야 한다.
스탠포드 A형 박리는 뇌로 가는 혈류 감소로 뇌사 위험이 높아 응급 수술이 필요한 경우가 많다. 하지만 조기 혈전 폐쇄형은 보존적 치료를 한다. 대동맥판 폐쇄 부전, 심근 경색, 심장 압전 등이 동반되면 예후가 나쁘다.
급성 심근 경색 시 혈전 용해 요법, 항응고 요법, IABP는 금기이나, 실제로는 의사의 판단에 따라 IABP가 시행되기도 한다.
7. 1. 내과적 치료
대동맥 박리는 주로 고혈압 응급 상황으로 나타나며, 내과적 치료의 핵심은 혈압과 심박수를 낮추어 대동맥벽의 전단 응력(dP/dt, 좌심실에서 혈액을 분출하는 힘)을 줄이는 것이다.[1] 목표 혈압은 60~75 mmHg의 평균 동맥압(MAP) 또는 가장 낮은 허용 혈압이어야 하며, 초기에는 약 20% 정도 감소시켜야 한다.[1] 목표 심박수는 분당 65회 미만이다.[1] 장기적인 혈압 조절 역시 중요하다.[35]베타 차단제는 급성 및 만성 대동맥 박리 환자에게 우선적으로 사용하는 약물이다. 급성 박리에서는 에스몰롤, 프로프라놀롤, 라베탈롤과 같이 빠르게 작용하고 용량 조절이 쉬운 약물을 정맥 주사하는 것이 좋다. 니트로프루시드 나트륨과 같은 혈관 확장제는 지속적인 고혈압 환자에게 사용할 수 있지만, 단독으로 사용하면 반사성 빈맥을 유발할 수 있어 주의해야 한다.
칼슘 채널 차단제는 베타 차단제를 사용할 수 없는 경우에 대동맥 박리 치료에 사용될 수 있다. 주로 혈관 확장 및 음성 변력 작용 효과가 있는 베라파밀과 딜티아젬이 사용된다.
만약 3가지 종류의 고혈압 치료제를 최대 용량으로 사용해도 고혈압이 지속되는 난치성 고혈압의 경우, 신동맥이 대동맥 박리에 영향을 받았는지 확인해야 한다.
7. 2. 수술적 치료
대동맥 박리의 수술적 치료에는 급성 근위 대동맥 박리와 합병증을 동반한 급성 원위 대동맥 박리가 포함된다. 합병증에는 필수 장기 손상, 대동맥 파열 또는 임박한 파열, 상행 대동맥으로의 역행성 박리 등이 있다. 마르판 증후군이나 엘러스-단로스 증후군 병력이 있는 경우 이러한 합병증이 더 흔하게 나타난다.수술의 목표는 대동맥의 가장 심하게 손상된 부분을 절제하고 혈액이 가짜 내강으로 들어가는 것을 막는 것이다. 내막 파열 부위를 절제할 수도 있지만, 사망률에 큰 영향을 주지는 않는다.
구체적인 치료법은 관련된 대동맥 분절에 따라 달라진다. 몇 가지 치료법은 다음과 같다.
- 개흉 대동맥 수술: 손상된 대동맥 부위를 튜브 이식편(주로 다크론으로 만들어짐)으로 교체한다. 대동맥판막 손상이 없으면 이 방법을 사용한다.
- 벤탈 수술: 손상된 대동맥 부위와 대동맥판막을 함께 교체한다.
- 데이비드 수술: 손상된 대동맥 부위를 교체하고 대동맥판막은 재이식한다.
- 흉부 혈관 내 대동맥 복구 (TEVAR): 최소 침습 수술로, 내과적 관리와 함께 시행된다.
- 냉동 코끼리 코 수술 (FET): 급성 대동맥 박리 수술을 위한 원스톱 절차이다. 하행 대동맥에 스텐트-이식편을 삽입하여 흉부 혈관 내 대동맥 복구 (TEVAR)를 용이하게 하고, 동시에 대동맥궁 전체를 교체하여 원위 대동맥 질환을 치료한다.[36]
- 혈관 링 커넥터 강화 다크론 이식편: 손상된 대동맥 부위를 봉합선 없이 혈관 링 커넥터로 강화된 다크론 이식편으로 교체한다. 혈관 링 커넥터는 티타늄 링으로, 신속하고 혈액이 새지 않는 문합을 가능하게 한다. 링에 묶는 테이프는 기존 봉합보다 더 넓은 접촉면을 제공하여 더 튼튼한 문합과 더 나은 수술 결과를 가져온다.
다음과 같은 여러 요인들이 대동맥 박리 수술의 위험을 증가시킬 수 있다.
- 수술 전 평가 시간 증가
- 고령
- 관상 동맥 질환과 같은 동반 질환
- 동맥류 누출
- 심장 압전
- 쇼크 - 폐쇄성 쇼크
- 심근 경색 과거력
- 신부전 병력 (급성 또는 만성)
8. 예방
고혈압을 관리하고 담배를 피우지 않는 것이 대동맥 박리를 예방하는 방법이다.[66] 코카인 및 메스암페타민과 같은 각성제를 사용한 불법 약물 사용 또한 대동맥 박리의 위험 요인이 될 수 있다.[32][20] 흡연도 원인이 될 수 있다.
마르판 증후군, 엘러스-단로스 증후군, 로이스-디에츠 증후군과 같은 결합 조직 질환은 대동맥 박리 위험을 증가시킨다.[13] 다카야수 동맥염, 거대 세포 동맥염, 결절성 다발 동맥염 및 베체트병과 같은 혈관염도 대동맥 박리와 관련이 있다.[13][32] 터너 증후군 또한 대동맥 기저부 확장을 통해 대동맥 박리 위험을 증가시킨다.
매독은 3기에서만 잠재적으로 대동맥 박리를 유발한다.
고혈압, 혈중 지질(콜레스테롤 등)의 비정상적으로 높은 수치, 그리고 흡연은 대동맥 박리의 예방 가능한 위험 인자로 간주된다.[2]
상행 대동맥 확장이 5.5cm 이상일 때 박리 위험을 줄이기 위해 수술을 권장한다. 여러 결합 조직 질환 중 하나를 가지고 있거나 파열된 대동맥의 가족력이 있는 경우 4.5cm 이상일 때 수술을 권장할 수 있다.[34]
9. 예후
대동맥 박리 환자의 40%는 즉사하여 병원에 제때 도착하지 못한다. 나머지 환자 중에서는 매시간 1%가 사망하므로, 신속한 진단과 치료가 중요하다.[3] 진단 후에도 5~20%는 수술 중 또는 수술 직후 사망한다. 상행 대동맥 박리의 경우, 수술이 부적절하다고 판단되면 2주 이내에 75%가 사망한다. 적극적인 치료를 통해 흉부 박리의 30일 생존율은 90%까지 높일 수 있다.
예후는 스탠포드 A형인지 스탠포드 B형인지에 따라 크게 달라진다.
스탠포드 B형의 경우, 뇌로 혈류를 보내는 완두동맥, 좌총경동맥이 유지되므로 보존적인 치료가 이루어진다. 다만 복강 동맥, 양측 신동맥, 상장간막동맥에 박리가 미친 경우에는 수술 적응증이 될 수 있다. 또한 장골동맥이 박리에 의해 폐쇄된 경우에도 하지 근괴사를 일으키므로 스텐트나 비해부학적 바이패스 등의 수술 치료가 시행되는 경우가 있다. 이 경우 폐쇄된 시간이 길어지면 근신대사증후군(MNMS)을 일으켜 이로 인해 생명을 잃는 경우도 있다.
스탠포드 A형의 경우, 완두동맥, 좌총경동맥에 혈류가 감소하여 뇌사의 위험이 높으므로 응급 수술 적응증이 되는 경우가 많다. 다만, 조기 혈전 폐쇄형이라면 보존적으로 치료한다. 대동맥판에 박리가 미쳐 대동맥판 폐쇄 부전, 심근 경색, 심장 압전을 일으킨 경우 예후는 매우 나쁘다.
대동맥 박리에 따른 급성 심근 경색(AMI)에 대해 혈전 용해 요법이나 항응고 요법, IABP가 금기이지만, 실제 진료 현장에서는 의사의 신중한 판단하에 IABP가 시행되는 경우가 있다.
대동맥 박리 생존자의 장기 추적 관찰에는 엄격한 혈압 조절이 포함된다. 조절되지 않는 고혈압 환자의 후기 대동맥류 파열의 상대적 위험은 수축기 혈압이 130mmHg 미만인 환자에 비해 10배 더 높다.
사망 위험은 급성 사건 발생 후 처음 2년 동안 가장 높으며, 이 기간 동안 환자를 면밀히 추적 관찰해야 한다. 수술 후 후기 사망의 약 29%는 박리성 동맥류 또는 다른 동맥류의 파열로 인해 발생한다. 또한 새로운 동맥류 형성의 발생률은 17%에서 25%이며, 이는 일반적으로 잔여 가성 내강의 확장으로 인해 발생한다. 이러한 새로운 동맥류는 벽이 얇아 파열될 가능성이 더 높다.
대동맥의 일련의 영상 촬영이 권장되며, MRI가 선호되는 영상 촬영 기술이다.
10. 역학
대동맥 박리는 많은 경우 사망 후에야 진단되고, 초기 오진되는 경우가 많아 발생률을 정확히 파악하기 어렵다. 대동맥 박리는 매년 10만 명당 약 2.0~3.5명에게 발생하는 것으로 추정된다. 스웨덴의 연구에 따르면 대동맥 박리 발생률이 증가할 수 있다고 한다.[37] 남성이 여성보다 더 흔하게 발생하며, 대동맥 박리 환자의 65%가 남성이다. 진단 시 평균 연령은 63세이다. 40세 미만 여성의 경우 대동맥 박리의 절반이 임신 중(일반적으로 임신 후기 또는 초기 산후 기간)에 발생한다.[38] 박리는 임신의 약 0.6%에서 발생한다.[39]
11. 역사
대동맥 박리의 가장 초기에 완전히 기록된 사례는 1760년 10월 25일에 사망한 영국 국왕 조지 2세의 부검 보고서에서 프랭크 니콜스가 보고한 것으로, 대동맥궁의 박리와 심낭으로의 박리가 묘사되어 있다.[3] "대동맥 박리"라는 용어는 1802년 프랑스 의사 J. P. 모누아가 처음 사용하였으며, 르네 라에네크는 이 질환을 "박리성 동맥류"라고 명명했다.[3] 런던의 심장 전문의 토마스 베빌 피콕은 1843년에 19건, 1863년에 80건의 사례를 발표하여 이 질환에 대한 이해를 높이는 데 기여했다. 가슴의 찢어지는 듯한 통증이라는 특징적인 증상은 1855년에 생존한 환자에게서 진단되면서 알려지게 되었다.
대동맥 박리에 대한 수술은 1954년 마이클 E. 드베이키, 덴턴 쿨리, 오스카 크리치에 의해 처음 도입되고 개발되었으며, 이들은 미국 텍사스주 베일러 의과대학과 관련된 심장 외과 의사였다. 드베이키는 2005년 97세의 나이에 대동맥 박리를 겪었고,[3] 2006년에 수술을 받았다. 대동맥 박리에 대한 혈관 내 치료법은 1990년대에 개발되었다.[3]
12. 유명 환자
- 루실 볼은 대동맥 박리 진단을 받고 대동맥 복구 수술과 7시간에 걸친 대동맥 판막 치환술을 받았지만, 며칠 후 사망했다.[40] 대동맥류는 흡연자에게서 더 많이 발생하며, 볼은 평생 담배를 많이 피웠다.[41]
- 뮤지컬 렌트로 가장 잘 알려진 극작가 조나단 라슨은 1996년 진단받지 못한 마르판 증후군으로 추정되는 대동맥 박리로 사망했다.
- 쓰리 컴퍼니의 스타 존 리터는 2003년 흉부 대동맥 박리로 사망했는데, 두 명의 의사에게 오진을 받고 심장 마비로 잘못 치료를 받았다.[43] 흉부 대동맥 박리의 오진을 방지하기 위해 고안된 알림, 증상 및 위험 요소의 모음인 리터 규칙은 그의 이름을 따서 명명되었다.[42]
- 우리 생애 나날들과 바빌론 5의 배우 리처드 빅스는 2004년 44세의 나이로 대동맥 박리에 의한 합병증으로 사망했다.[45]
- 크램프스의 럭스 인테리어는 2009년 62세의 나이로 글렌데일 기념 병원에서 대동맥 박리로 사망했는데, 이는 기존 질환에 대한 초기 보도와 달리 "갑작스럽고 충격적이며 예상치 못한" 것이었다.[46]
- 앨런 티크는 2016년 69세의 나이로 프로비던스 세인트 조셉 메디컬 센터에서 A형 대동맥 박리로 사망했다.[47][48]
- 일본 여배우 츠루 히로미는 2017년 57세의 나이로 차 안에서 대동맥 박리로 사망했다.[49]
- 대만 연예인 앨리언 황은 2020년 36세의 나이로 사망했다.[50]
- 만화 베르세르크의 작가 미우라 켄타로는 2021년 54세의 나이로 대동맥 박리로 사망했다.[51]
- 2021년 8월, 뉴질랜드 크리켓 선수 크리스 케언스는 오스트레일리아 캔버라 자택에서 대동맥 박리를 겪은 후 생명 유지 장치를 사용했다. 그는 시드니로 이송되었고,[52] 수술 중 뇌졸중을 겪어 하반신 마비가 되었다.
- 헤비 메탈 밴드 주다스 프리스트의 기타리스트 리치 폴크너는 2021년 9월 27일, 음악 축제에서 공연 도중 대동맥류를 겪었다. 그는 대동맥 박리를 복구하기 위해 10.5h의 개심 수술을 받았다.[53]
- 2022년, 영국 밴드 데페쉬 모드의 창립 멤버인 키보디스트 앤디 플레처는 집에서 예상치 못하게 대동맥 박리로 60세의 나이로 사망했다.[54]
참조
[1]
논문
Acute aortic emergencies – part 2: aortic dissections
2013
[2]
논문
Management of acute aortic dissection
2015-02-28
[3]
논문
Aortic dissection: a 250-year perspective
[4]
논문
Use of coagulation-fibrinolysis markers for prognostication of Stanford type a acute aortic dissection
[5]
서적
Braunwald's Heart Disease E-Book: A Textbook of Cardiovascular Medicine
https://books.google[...]
Elsevier Health Sciences
[6]
서적
Rosen's Emergency Medicine – Concepts and Clinical Practice E-Book
https://books.google[...]
Elsevier Health Sciences
[7]
서적
Acute Aortic Disease
https://books.google[...]
CRC Press
[8]
논문
Cardiac Tamponade Complicating Proximal Aortic Dissection. Is Pericardiocentesis Harmful?
http://circ.ahajourn[...]
[9]
논문
Acute aortic syndrome.
2013-09-03
[10]
웹사이트
Aortic Dissection
https://www.webmd.co[...]
2020-06-30
[11]
논문
Mesenteric ischemia in acute aortic dissection
2016-05
[12]
논문
Visceral Malperfusion in Aortic Dissection: The Michigan Experience
2017
[13]
논문
Type B Aortic Dissections: Current Guidelines for Treatment
2017-08
[14]
간행물
33 – Atherosclerotic Disease of the Proximal Aorta
http://www.sciencedi[...]
Elsevier
2016-01-01
[15]
논문
Anatomy, Thorax, Subclavian Arteries
https://www.ncbi.nlm[...]
[16]
논문
Aortic Insufficiency
https://www.ncbi.nlm[...]
[17]
논문
Aortic Insufficiency
https://www.ncbi.nlm[...]
[18]
논문
Acute Myocardial Infarction
https://www.ncbi.nlm[...]
2021-03-09
[19]
논문
Pleural effusion: diagnosis, treatment, and management
2012
[20]
논문
Cardiovascular consequences of cocaine use
2015-08
[21]
서적
Progress in Heritable Soft Connective Tissue Diseases
Springer
2014
[22]
서적
Dual Source CT Imaging
Springer Medizin
[23]
웹사이트
Abdominal Aortic Aneurysms
https://www.lecturio[...]
2020-10-16
[24]
웹사이트
Aortic Aneurysm, Familial Thoracic 1; AAT1
https://omim.org/ent[...]
[25]
서적
The Netter Collection of Medical Illustrations – Integumentary System E-Book
https://books.google[...]
Elsevier Health Sciences
2012
[26]
논문
Clinical Examination for Acute Aortic Dissection: A Systematic Review and Meta-analysis.
2017-12-18
[27]
논문
A Systematic Review and Meta-analysis of D-dimer as a Rule-out Test for Suspected Acute Aortic Dissection
2015-03-21
[28]
논문
Diagnosis of acute aortic syndromes: imaging and beyond
2013-05
[29]
논문
An Evidence-Based Approach To Acute Aortic Syndromes
http://www.ebmedicin[...]
2013-12
[30]
웹사이트
UOTW #17
https://www.ultrasou[...]
2014-09-12
[31]
웹사이트
UOTW #55
https://www.ultrasou[...]
2015-08-08
[32]
논문
Abdominal Aortic Emergencies
2017-11
[33]
웹사이트
Aortic Dissection
https://www.lecturio[...]
[34]
논문
The ascending aortic aneurysm: When to intervene?
2015-01-20
[35]
간행물
Aortic Dissection
http://www.ncbi.nlm.[...]
StatPearls Publishing
2023
[36]
논문
Aortic arch replacement in patients with previous repair of acute aortic dissection: a systematic review and meta-analysis.
2024-11-01
[37]
논문
Thoracic Aortic Aneurysm and Dissection. Increasing Prevalence and Improved Outcomes Reported in a Nationwide Population-Based Study of More Than 14 000 Cases From 1987 to 2002
http://circ.ahajourn[...]
[38]
서적
A Practical Approach to Cardiovascular Medicine
https://books.google[...]
John Wiley & Sons
[39]
논문
Pregnancy and Thoracic Aortic Disease: Managing the Risks
2016-01
[40]
뉴스
Lucille Ball, Spirited Doyenne Of TV Comedies, Dies at 77
https://www.nytimes.[...]
2020-07-11
[41]
뉴스
TV's Lucille Ball dies of heart failure at 77
https://www.chicagot[...]
1989-04-27
[42]
웹사이트
Ritter Rules
http://tadcoalition.[...]
2016-01-06
[43]
뉴스
John Ritter Legacy Lives in 'Ritter Rules'
http://www.cbsnews.c[...]
2016-01-06
[44]
웹사이트
Ritter Rules
http://johnritterfou[...]
2016-01-06
[45]
뉴스
Richard Biggs, 44; Television Actor Known for Featured Roles in 'Babylon 5', 'Days of Our Lives'
https://www.latimes.[...]
2021-07-26
[46]
웹사이트
Voodoo Idol: Why Lux Interior Was the Real Deal
http://news.yahoo.co[...]
2014-02-03
[47]
뉴스
Alan Thicke's Cause of Death Has Been Confirmed
https://www.reuters.[...]
2016-12-21
[48]
웹사이트
Actor Alan Thicke, dad on ''Growing Pains'', dead at 69
https://www.reuters.[...]
Reuters
2016-12-13
[49]
웹사이트
声優・鶴ひろみさん死去 事務所が正式発表 運転中に大動脈解離
https://www.oricon.c[...]
2018-02-04
[50]
뉴스
Taiwanese host Alien Huang's death due to aortic dissection
https://www.straitst[...]
2020-09-19
[51]
간행물
Kentaro Miura passed away on May 6, 2021, from acute aortic dissection. He was 54. Miura-sensei was a master artist and storyteller and we had the great privilege of publishing several of his finest works, including his masterpiece, Berserk.
2021-05-20
[52]
Youtube
NZ cricket great Chris Cairns on life support in Australia after major medical event
https://www.youtube.[...]
2021-08-10
[53]
웹사이트
Judas Priest's Richie Faulkner Thanks His Cardiothoracic Surgeon For Saving His Life: 'I Don't Know How I'm Still Around Today'
https://www.blabberm[...]
2022-04-27
[54]
뉴스
Cause of death of Depeche Mode's Andrew Fletcher revealed
https://www.theguard[...]
2022-06-28
[55]
문서
大動脈瘤・大動脈解離診療ガイドライン(2011 年改訂版)
http://www.j-circ.or[...]
[56]
논문
Abdominal Aortic Emergencies
2017-11
[57]
논문
Cardiovascular consequences of cocaine use
2015-08
[58]
논문
Type B Aortic Dissections: Current Guidelines for Treatment
2017-08
[59]
서적
Progress in Heritable Soft Connective Tissue Diseases
2014
[60]
논문
Increased maternal cardiovascular mortality associated with pregnancy in women with Turner syndrome
2006-11
[61]
논문
Acute aortic dissection
2007-10
[62]
문서
Diagnosis of acute aortic dissection by D-dimer. The international registry of acute aortic dissection substudy on Biomarkers (IRAD-bio) experience: Circulation. 2009; 119: 2702-7.
[63]
논문
Management of acute aortic dissection.
2015-02-28
[64]
논문
Acute aortic emergencies--part 2: aortic dissections.
2013
[65]
논문
Aortic dissection: a 250-year perspective
[66]
논문
Management of acute aortic dissection.
2015-02-28
본 사이트는 AI가 위키백과와 뉴스 기사,정부 간행물,학술 논문등을 바탕으로 정보를 가공하여 제공하는 백과사전형 서비스입니다.
모든 문서는 AI에 의해 자동 생성되며, CC BY-SA 4.0 라이선스에 따라 이용할 수 있습니다.
하지만, 위키백과나 뉴스 기사 자체에 오류, 부정확한 정보, 또는 가짜 뉴스가 포함될 수 있으며, AI는 이러한 내용을 완벽하게 걸러내지 못할 수 있습니다.
따라서 제공되는 정보에 일부 오류나 편향이 있을 수 있으므로, 중요한 정보는 반드시 다른 출처를 통해 교차 검증하시기 바랍니다.
문의하기 : help@durumis.com
