맨위로가기

마이크로칩 임플랜트

"오늘의AI위키"는 AI 기술로 일관성 있고 체계적인 최신 지식을 제공하는 혁신 플랫폼입니다.
"오늘의AI위키"의 AI를 통해 더욱 풍부하고 폭넓은 지식 경험을 누리세요.

1. 개요

마이크로칩 임플랜트는 피부 아래에 삽입되는 소형 장치로, 뇌 임플란트, 피부 임플란트, 치과 임플란트 등으로 나뉜다. 1990년대 후반 케빈 워윅의 RFID 칩 이식 실험을 시작으로, 2000년대 이후 NFC 기술 발전과 함께 사용자 인증, 데이터 저장, 백신 접종 증명 등 다양한 목적으로 활용되고 있다. 뇌 질환 치료, 개인 건강 관리, 건물 출입 통제, 디지털 신분증, 의료 기록 관리 등 다양한 분야에서 사용될 수 있지만, 감염, MRI 촬영 시 문제, 부식, 암 발생 위험, 개인 정보 도용 및 프라이버시 침해, 인간의 자유와 자율성 침해 등의 비판과 우려가 존재한다. 관련 법규는 국가별로 다르며, 종교적 관점에서도 다양한 해석이 존재한다.

광고

더 읽어볼만한 페이지

  • 이식물 - 메드라디오
    메드라디오는 미국 연방 통신 위원회가 의료 기기 통신을 위해 할당한 주파수 대역 및 기술을 포괄하는 용어로, MICS를 시작으로 스펙트럼 확장 및 규정 변화를 통해 무선 의료 기술 발전과 환자 관리 및 의료 서비스 질 향상에 기여하고 있다.
  • 이식물 - 식도스텐트
    식도 스텐트는 식도 협착이나 누공 치료를 위해 식도 내에 삽입되어 식도의 통로를 확보하거나 누공을 막는 의료 기구입니다.
  • 여권 - 헨리 여권 지수
    헨리 여권 지수는 국제항공운송협회 데이터를 기반으로 특정 국가 여권 소지자가 비자 없이 방문할 수 있는 국가 수를 평가하여 여권의 순위를 매기는 지표이며, 국가 GDP와 이동의 자유를 함께 고려한다.
  • 여권 - 생체인증 여권
    생체인증 여권은 국제 민간 항공 기구의 표준에 따라 개인의 생체 정보를 내장하여 보안을 강화한 전자 여권으로, 여권 위조 및 변조 방지, 출입국 심사 간소화 등의 목적으로 도입되었으나 개인 정보 침해 논란도 있다.
  • RFID - FeliCa
    FeliCa는 소니가 개발한 배터리 없는 외부 전원 방식의 비접촉식 근거리 무선 통신 기술로, 높은 보안성을 제공하며 일본 교통카드 및 전자화폐 시스템에 널리 사용되지만, 국제 표준과의 호환성 부족으로 국제 시장 확장에는 어려움이 있다.
  • RFID - 이모빌라이저
    이모빌라이저는 자동차 키와 ECU 간의 ID 코드 인증을 통해 시동을 제한하여 도난을 방지하는 기술로, 점차 의무 장착이 확대되는 추세지만 해킹 시도 및 보험금 문제도 존재한다.

2. 역사

마이크로칩 임플란트 기술은 1998년 케빈 워윅의 초기 RFID 임플란트 실험[1][2][3][4][5]을 시작으로 발전해왔다. 2004년에는 NFC 기술 표준화를 위한 NFC 포럼이 설립되었고,[7] 2018년에는 암호화 기술이 적용된 이식형 NFC 트랜스폰더가 개발되었다.[8] 이후 2020년에는 뉴럴링크가 뇌-기계 인터페이스 시연을 통해 기술의 가능성을 보여주었으며,[9] 2021년에는 코로나19 백신 여권을 피하 조직 마이크로칩에 저장하는 실험이 진행되기도 했다.[10][11][12]

2. 1. 초기 실험

최초의 무선 주파수 식별(RFID) 임플란트 실험은 1998년 영국의 과학자 케빈 워윅에 의해 수행되었다.[1][2][3][4][5] 그의 임플란트는 문을 열고, 조명을 켜며, 건물 내에서 음성 출력을 발생시키는 데 사용되었다. 이 임플란트는 9일 후에 제거되었고, 이후 런던 과학 박물관에 보관되어 있다.[6]

2. 2. NFC 포럼 설립

2004년 3월 18일, 노키아, 필립스(현재 NXP 반도체 소속), 소니는 비영리 산업 단체인 NFC 포럼을 설립했다.[7] 이 포럼은 소비자 전자 제품, 모바일 기기, PC 등에서 NFC 무선 상호 작용의 사용을 발전시키는 것을 목표로 한다.[7] NFC 포럼은 다양한 통신 속도와 기능을 제공하는 4가지 종류의 태그 표준을 정의했는데, 이는 유연성, 메모리, 보안, 데이터 보존 및 쓰기 내구성 등을 고려한 것이다.[7] 또한, 포럼은 여러 기기와 서비스 간의 상호 운용성을 보장하기 위해 NFC 기술의 구현과 표준화를 촉진하는 역할을 한다.[7]

2. 3. 암호화 보안 임플란트 개발

2018년, VivoKey Technologies[8]는 최초로 암호화 기술을 적용하여 보안성을 높인 인간 이식형 NFC 트랜스폰더를 개발했다. 이들이 개발한 SparkAES 128비트 암호화 기능을 갖춘 장치로, ISO/IEC 15693 표준을 따르며 2mm × 12mm 크기의 바이오글라스로 덮여 있어 주사 방식으로 이식할 수 있다. 또 다른 제품인 Flex One은 비접촉식 보안 요소로, 비트코인 지갑, PGP, OATH OTP, U2F, WebAuthn 등 다양한 자바 카드 애플릿(소프트웨어 프로그램)을 실행할 수 있다. 이 장치는 평평하고 유연한 7mm × 34mm × 0.4mm 크기의 바이오폴리머 쉘에 캡슐화되어 있으며, 이식 전후에 애플릿을 배포하는 것이 가능하다.

2. 4. 뉴럴링크의 뇌-기계 인터페이스 시연

2020년 8월 28일, 뉴럴링크의 CEO일론 머스크는 인간을 위한 작동하는 뇌-기계 인터페이스 개발 계획을 시연하기 위해, 돼지 뇌에 동전 크기의 컴퓨터 칩을 삽입한 실험을 방송했다.[9]

2. 5. 코로나19 백신 여권 테스트

2021년, Dsruptive Subdermals는 피하 조직에 이식하도록 설계된 바이오글라스 코팅 NFC 마이크로칩에서 코로나19 백신 여권을 테스트했다.[10][11] 이 기술은 해당 회사의 관리 이사인 하네스 셰블라드가 직접 자신의 팔에 칩을 이식하여 시연했지만, 실제 제품으로 판매되지는 않았다.[12]

3. 마이크로칩 이식자들

외과의가 영국의 과학자 마크 개슨 박사의 왼손에 RFID 마이크로칩을 삽입하고 있다.(2009년 3월 16일)


RFID 마이크로칩을 자신의 몸에 이식하는 사례는 주로 기술 애호가, 과학자, 사업가, 바이오해커 등 다양한 배경의 사람들에게서 나타나고 있다. 이들은 개인적인 호기심 충족, 기술 실험, 또는 일상생활의 편의 증진 등 여러 동기에서 마이크로칩 이식을 시도한다.

초기 이식자들은 주로 출입 통제 시스템 접근[13], 컴퓨터 로그인, 자동차 문 개폐[14] 등 개인적인 편의를 위해 칩을 활용했다. 시간이 지나면서 비트코인과 같은 암호화폐의 개인 키 저장 및 결제[25][29], 디지털 명함 저장[34], 스마트 건 제어[19], 심지어 코로나19 디지털 증명서 확인[32][33] 등 더욱 다양한 분야로 활용 범위가 넓어지고 있다.

이러한 시도는 신체와 기술의 결합이라는 새로운 가능성을 제시하는 한편, 보안 문제에 대한 우려도 동시에 제기하고 있다. 실제로 이식된 칩이 컴퓨터 바이러스에 감염되거나[21], 원격 조종을 통해 연결된 기기를 파괴하는 데 악용될 수 있다는 가능성[35][36]이 제기되기도 했다. 마이크로칩 이식은 기술 발전의 흥미로운 측면을 보여주면서도, 프라이버시 침해와 보안 위협 가능성에 대한 사회적 논의가 지속적으로 필요한 분야임을 시사한다.

3. 1. 아말 그래프스트라

2005년 3월 초, 취미가였던 아말 그래프스트라는 자신의 왼손에 125kHz EM4102 바이오글라스 코팅 RFID 트랜스폰더를 이식했다.[13] 이 칩은 사무실 출입 통제 시스템과 연동하여 사용되었다. 같은 해 6월에는 더 발전된 HITAG S 2048 저주파 트랜스폰더를 추가로 이식했다. 2006년에는 자신의 경험을 바탕으로 ''RFID 장난감''이라는 책을 저술했으며,[14] 이식한 칩을 이용해 집 출입, 자동차 문 열기, 컴퓨터 로그인 등 다양한 활동에 활용했다. 그의 활동에 대한 대중의 관심이 높아지자, 2013년에는 바이오해킹 전문 회사인 데인저러스 씽스를 설립했다.[15] 2014년에는 세계 최초로 이식 가능한 NFC 트랜스폰더 개발을 위한 크라우드 펀딩을 성공적으로 진행했다.[16] 그는 TEDx[18] 등 여러 행사와 강연을 통해 자신의 경험과 기술을 알렸으며,[17] 자신이 이식한 칩으로만 발사되는 스마트 건을 제작하기도 했다.[19]

3. 2. 마이키 스클라

2006년 마이키 스클라(Mikey Sklar)는 자신의 왼손에 을 이식받는 과정을 직접 촬영하여 공개했다.[20]

3. 3. 마크 개슨



2009년 3월 16일, 영국의 과학자 마크 개슨은 유리 캡슐 형태의 RFID 장치를 자신의 왼손에 외과적으로 삽입하였다. 이후 2010년 4월, 개슨의 연구팀은 컴퓨터 바이러스가 무선 통신을 통해 개슨의 몸속 칩을 감염시키고, 감염된 칩이 다시 다른 시스템으로 바이러스를 전파할 수 있다는 사실을 성공적으로 시연했다.[21] 이는 마이크로칩 임플란트의 보안 취약성을 보여주는 중요한 사례가 되었다.

3. 4. 팀 캐논

2013년 10월, 팀 캐논은 그리드하우스가 설계한 생체 인식 센서인 서카디아를 이식받은 최초의 사람이 되었다.[22][23][24] 이 시술은 바디 수정 아티스트 스티브 호워스가 독일 에센에서 진행했다.

3. 5. 마르티옌 비스메이예르

2014년, 네덜란드비트코인 ATM 제조업체 제너럴 바이트(General Bytes)의 마케팅 매니저인 마르티옌 비스메이예르(Martijn Wismeijer)는 비트코인 개인 키와 명함을 저장하기 위해 양손에 RFID 칩을 삽입했다.[25]

3. 6. 니콜라스 배드민턴

2014년 6월, 캐나다 밴쿠버에서 열린 From Now 컨퍼런스[26]에서 이벤트 주최자이자 미래학자인 니콜라스 배드민턴(Nikolas Badminton)은 유명한 바이오해커 아말 그래프스트라에 의해 무대에서 xNT 칩을 왼손에 이식받았다.[27]

3. 7. 조나단 옥서

2015년, 조나단 옥서(Jonathan Oxer)는 수의학 이식 도구를 사용하여 자신의 팔에 RFID 칩을 직접 이식했다.[28]

3. 8. 패트릭 란헤드

2015년, 패트릭 란헤드(Patric Lanhed)는 손에 삽입된 칩을 사용하여 1EUR 상당의 비트코인 "생체 결제"를 성공적으로 보냈다.[29]

3. 9. 하네스 셰블라드

자가실험 생물학 바이오해커인 하네스 셰블라드는 2015년부터 근거리 무선 통신(NFC) 칩 이식을 실험해왔다.[30] 2016년 파리에서 열린 Echappée Voléé 행사에서 그는 검지와 엄지 사이에 칩을 이식하여 문을 열고, 결제하며, 휴대폰 잠금을 해제하는 등 일상생활에서 주머니에 넣고 다니는 거의 모든 것을 대체할 수 있음을 보여주었다.[30] 또한, 셰블라드는 관심 있는 사람들이 칩을 이식받을 수 있도록 여러 차례 "이식 파티"를 개최하기도 했다.[31] 2021년 10월에는 스웨덴 신문 ''Aftonbladet''과의 영상 인터뷰에서 팔에 이식된 마이크로칩을 스캔하여 EU 디지털 코로나19 증명서(EUDCC)가 포함된 QR 코드를 표시하는 모습을 시연했다.[32][33]

3. 10. 마르셀 바랄로

마르셀 바랄로는 엄지와 검지 사이에 바이오글라스(Bioglass) 8625로 코팅된 NXP 칩을 손에 삽입했다.[34] 이 칩을 이용하여 그는 다음과 같은 작업을 수행할 수 있게 되었다.[34]

  • 직장에서 보안 엘리베이터와 문 열기
  • 보안 프린터에서 인쇄하기
  • 휴대폰과 집 잠금 해제하기
  • NFC 기능이 있는 휴대폰으로 전송하기 위한 디지털 명함 저장하기

3. 11. 셰인 레이킨

2021년 9월 말 Security BSides 퍼스 2021 컨퍼런스에서 해커 셰인 레이킨(Shain Lakin)은 손에 삽입된 NXP 반도체 칩을 사용하여 고체 드라이브(SSD) 내부의 개인용 컴퓨터를 파괴하기 위해 써마이트 폭발을 원격으로 유발하는 것을 시연했다.[35][36]

4. 임플란트의 종류

마이크로칩 임플란트는 이식되는 위치와 형태에 따라 다음과 같이 분류될 수 있다.


  • 뇌 임플란트[9]
  • 피부 관련 임플란트
  • * 보이지 않는 경피 패치 형태[37]
  • * 피부 아래에 주입하는 바이오글라스 코팅 NFC 칩 형태
  • 치과 임플란트[38]

4. 1. 뇌 임플란트

뇌 임플란트는 뇌에 직접 이식하는 형태의 마이크로칩 임플란트를 말한다.[9]

4. 2. 피부 임플란트


  • '''피부 임플란트''': 보이지 않는 경피 패치 형태로 피부에 부착하는 방식이다.[37]
  • '''피하 임플란트''': 바이오글라스로 코팅된 NFC 칩을 피부 아래에 주사하여 삽입하는 방식이다.

4. 3. 치과 임플란트

치과 임플란트[38]

5. 사용 목적

마이크로칩 임플란트는 다양한 목적으로 활용될 수 있으며, 주요 사용 사례는 다음과 같다.



이 외에도 디지털 신분증, 의료 기록 저장, 건물 접근 통제, 비접촉 결제 등 다양한 분야에서 활용되거나 활용이 제안되고 있다.

5. 1. 디지털 신분증

NFC 기술을 사용하는 RFID 임플란트는 차량이나 건물 출입 시 사용하는 접근 카드의 역할을 할 수 있다.[41] 또한, 보안 요소나 관련 기술을 통해 사용자의 신원을 확인하거나 증명하는 보안 ID로 활용되기도 한다.

5. 2. 의료 기록

마이크로칩 임플란트는 병력이나 의무 기록, 의료 신분증과 같은 개인의 의료 정보를 저장하고 관리하는 데 활용될 수 있다.[45] 연구자들은 이러한 장치를 의료 분야에 통합하는 것의 잠재적 이점과 위험성을 조사해왔다. 예를 들어, 환자의 치료 순응도를 높이는 데 도움이 될 수 있지만, 동시에 정보 오용의 위험성도 제기된다.[45]

디지털 엔젤Digital Angeleng의 자회사였던 Destron Fearingeng은 초기에 VeriChipeng이라는 마이크로칩 임플란트 기술을 개발했다.[46] 2004년, 미국 식품의약국(FDA)은 VeriChipeng 임플란트 장치와 리더기를 클래스 II 의료 기기로 분류하고[47] 판매에 필요한 지침 초안을 발표했다.[48]

쌀알 크기 정도의 이 칩은 주로 개인의 오른쪽 팔 위쪽, 어깨와 팔꿈치 사이에 이식되었다. 특정 주파수로 스캔하면 칩은 16자리의 고유 번호를 전송하고, 이 번호를 통해 데이터베이스에 저장된 사용자의 신원 정보나 의료 기록 등에 접근할 수 있었다. 이식 과정은 의사의 진료실에서 국소 마취 하에 이루어졌다.[49][50]

그러나 프라이버시 보호 활동가들은 칩 기술의 잠재적 남용 가능성에 대해 우려를 표명했다. 정부가 이 기술을 의무적인 신원 확인 시스템으로 도입할 경우 시민의 자유를 침해할 수 있으며, 칩이 해킹될 경우 신원 도용으로 이어질 수 있다는 경고도 나왔다.[50][51][52] 또한, 의료 기록이 담긴 칩이 가장 필요한 치매 환자 등에게서 사전 동의를 얻기 어렵다는 윤리적 문제도 제기되었다.[53]

2007년 6월, 미국 의학 협회는 이식형 무선 주파수 식별(RFID) 장치가 환자 식별을 도와 치료의 안전성과 효율성을 높이고, 환자의 임상 정보에 안전하게 접근할 수 있게 할 잠재력이 있다고 발표했다.[54] 하지만 같은 해, 유사한 칩을 이식한 실험동물에게서 암이 발생했다는 연구 결과가 보도되면서 안전성 논란이 일기도 했다.[55]

결국 VeriChipeng 기술을 보유했던 회사(당시 PositiveIDeng)는 저조한 판매 실적으로 인해 2010년 해당 제품을 시장에서 철수시켰다.[56] 이후 칩 관련 자산은 여러 차례 매각되었다. 2012년에는 PositiveIDeng의 전 CEO였던 스콧 실버만(Scott Silvermaneng)이 소유한 VeriTeQeng라는 회사로,[57] 2016년에는 JAMM Technologieseng로 넘어갔다.[58] JAMM Technologieseng는 이식된 의료 기기를 RFID 태그로 모니터링하고 식별하는 사업을 계획했다.[58]

최근에는 새로운 기술들이 등장하고 있다. 2020년, 런던 기반의 회사 Implieng는 스마트폰 앱과 연동되는 마이크로칩 임플란트를 출시했는데, 주요 기능은 의료 기록 저장이며 근거리 무선 통신(NFC) 기능이 있는 스마트폰으로 스캔할 수 있다.[66]

5. 3. 건물 접근 및 보안

2006년 2월, 미국 오하이오주 신시내티에 위치한 시티와처(CityWatcher, Inc.)는 건물 출입 통제 및 보안 시스템의 일환으로 직원들에게 마이크로칩을 이식한 세계 최초의 회사가 되었다. USA 투데이에 따르면, 직원들은 회사의 보안 비디오 테이프 룸에 접근하기 위해 이식물이 필요했다.[67] 이 프로젝트는 식스 시그마 시큐리티(Six Sigma Security, Inc.)가 시작하고 실행했다. VeriChip Corporation은 원래 이식물을 발전소와 같은 보안 시설에 대한 접근을 제한하는 방법으로 판매했다.

그러나 이러한 시스템은 보안에 취약하다는 단점이 있다. 칩 이식물에 포함된 16자리 ID 번호를 휴대용 장치로 비교적 쉽게 얻고 복제할 수 있다는 점이 보안 연구원 조나단 웨스트휴스(Jonathan Westhues)[68]에 의해 공개적으로 시연되었으며, 이는 2006년 5월호 와이어드[69] 등 여러 매체를 통해 알려졌다.

이 외에도 마이크로칩 임플란트는 다양한 방식으로 활용된다. 네덜란드 로테르담의 나이트클럽 바하 비치 클럽(Baja Beach Club)은 한때 VIP 손님을 식별하기 위해 VeriChip 이식물을 사용했으며,[70] 스웨덴 스톡홀름에 있는 에피센터(Epicenter)에서는 직원들이 RFID 이식물을 사용하여 보안 문을 열거나 복사기를 사용하고, 점심값을 지불하기도 한다.[71]

5. 4. 제안된 사용

2017년, 세계 올림픽 선수 협회(World Olympians Association)의 최고 경영자 마이크 밀러는 운동선수에게 마이크로칩 임플란트를 사용하여 레크리에이션 약물 사용으로 인한 스포츠계의 문제를 줄일 것을 제안하여 주목받았다.[72]

이론적으로 GPS가 탑재된 칩은 개인의 위치를 위도, 경도, 고도, 속도까지 파악하는 것을 가능하게 할 수 있다. 이러한 이식형 GPS 장치는 현재 기술적으로는 실현 불가능하다. 하지만 만약 미래에 널리 보급된다면, 당국이 실종자도망자, 또는 범죄 현장에서 도주한 사람들의 위치를 파악하는 데 사용될 수 있다. 반면, 비평가들은 이 기술이 정치적 탄압으로 이어질 수 있다고 우려한다. 정부가 임플란트를 이용해 인권 운동가, 노동 운동가, 시민 반대자, 정치적 반대자들을 추적하고 박해할 수 있으며, 범죄자나 가정 폭력범이 피해자를 스토킹하거나 괴롭히고 납치하는 데 악용될 수 있다는 것이다.

2008년에는 인도네시아 이리안 자야 의회에서 HIV 감염자의 활동을 감시하여 타인에게 전염시킬 가능성을 줄이기 위해 추적 임플란트를 사용하는 방안이 논의되기도 했다.[73][74] 그러나 이 마이크로칩 삽입 내용은 2008년 12월 의회에서 통과된 최종 지방 조례에는 포함되지 않았다.[75] 또한, 현재 기술로는 GPS 추적 장치 기능을 갖춘 이식형 장치가 시중에 없기 때문에 당시에도 실현 가능하지 않았다.

일부에서는 정부가 임플란트를 다음과 같은 용도로 사용할 수 있다고 이론화했다.

제안된 용도설명
중앙은행 디지털 화폐 (CBDC)디지털 화폐 거래 및 관리에 활용
전자 신분증 (eID)신원 확인 및 인증 수단으로 활용
면역 여권COVID-19 백신 여권과 같은 예방 접종 증명[37][12]


6. 비판과 우려

마이크로칩 임플란트 기술은 다양한 비판과 윤리적, 사회적 우려에 직면해 있다. 특히 미국의 건강보험개혁법과 관련하여 베리칩 이식을 통한 대중 감시나 종교적 논란(예: 요한계시록의 짐승의 표)과 같은 음모론이 제기되기도 했으나[119], 이는 사실과 다른 것으로 밝혀졌다.

6. 1. 감염

RFID 및 관련 마이크로칩 이식에서 감염은 이식 실패의 원인 중 하나로 언급된다.[76] 감염의 주요 원인으로는 부적절한 이식 기술, 이식 거부 반응, 또는 이식된 요소의 부식 등이 있다.[76]

6. 2. MRI 촬영

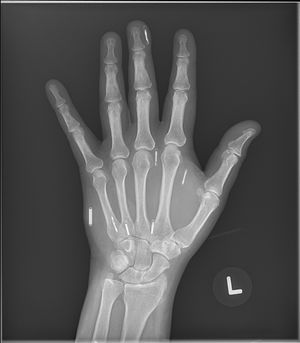
여러 임플란트가 있는 바이오해커의 손 X선 사진


일부 칩 이식자는 몸 안에 있는 칩(자석 성분 포함 가능성) 때문에 MRI 검사를 받지 못하는 경우가 있다고 보고했다.[77] MRI 기기 근처에서 임플란트가 어떤 위험을 일으키는지에 대한 명확한 연구 결과는 아직 없다. 다만, 실제 경험에 따르면 아무 문제가 없었다거나, 검사 전에 손을 보호해야 했다거나, 아예 검사를 거부당했다는 등의 사례만 보고되고 있다.

X-ray 촬영이나 CT 스캔 같은 다른 의료 영상 기술은 MRI와 같은 위험을 일으키지 않는다. 오히려 X-ray는 몸 안에 이식된 칩의 위치를 찾는 데 사용될 수 있다.

6. 3. 부식

전자 기반의 임플란트는 부식될 수 있는 물질이 거의 포함되어 있지 않다. 그러나 자기 임플란트는 부피 기준으로 상당한 양의 금속 원소를 포함하는 경우가 많고, 임플란트에 흔히 사용되는 철은 산소나 물과 같은 일반적인 원소에 의해 쉽게 부식된다.

임플란트 부식은 캡슐화 과정에서 부식 유발 원소가 내부에 갇혀 느리게 부식되거나, 캡슐화가 실패하여 부식성 원소가 자석과 접촉할 때 발생한다. 심각한 캡슐화 실패는 일반적으로 눈에 띄는 증상으로 나타나며, 압통, 피부 변색, 가벼운 염증 반응 등을 유발한다. 반면, 작은 규모의 실패는 시간이 더 지나야 눈에 띄게 나타날 수 있고, 외부 징후 없이 자석의 자기장 세기가 서서히 약해지는 형태로 문제가 진행될 수 있다.[78]

6. 4. 암 위험

RFID 반대론자인 캐서린 알브레히트는 자체 출판 보고서에서 RFID 장치를 "스파이 칩"이라고 칭하며, 마이크로칩 이식의 위험성을 주장했다.[80] 그는 1996년부터 2006년까지 수행된 수의학 및 독성학 관련 연구들을 근거로 제시했는데, 이 연구들에서는 실험용 설치류에게 부수적으로 마이크로칩을 주입하거나 식별용 마이크로칩을 이식받은 개에게서 주사 부위에 암 종양(피하 조직 육종)이 발생한 사례가 있었다. 알브레히트는 이러한 동물 사례를 인간에게 마이크로칩을 이식했을 때 발생할 수 있는 암 위험의 증거로 인용했다.[80]

그러나 동물 실험에서 나타나는 이물질로 인한 종양 발생과 인간에게 마이크로칩을 이식하는 것 사이의 직접적인 연관성을 주장하는 것은 오류이며 오해의 소지가 있다는 반박이 공개적으로 제기되었다.[81] 또한, 알브레히트의 보고서가 "과학적 사실에 근거하지 않은" "자극적인" 언어를 사용했다는 비판도 받았다.[81]

중요한 점은 알브레히트가 인용한 연구 중 어떤 것도 마이크로칩 이식 자체가 암을 유발하는지 그 위험성을 구체적으로 조사하기 위해 수행된 것은 아니었다는 사실이다. 따라서 해당 연구들에는 마이크로칩을 이식받지 않은 동물(대조군)과의 비교 분석이 포함되지 않았다. 이 문제는 추가적인 조사가 필요하다고 여겨지며, 인용된 연구 중 하나는 "동물 연구에서 종양이 발견되었다는 사실만으로 인간의 건강 위험을 섣불리 예측하는 것은 피해야 한다"고 경고하기도 했다.[80]

6. 5. 개인 정보 도용, 프라이버시, 보안 위험

미국 의학 협회의 윤리 및 사법 위원회(CEJA)는 2007년 보고서를 통해 RFID 이식 칩이 개인 정보 보호를 침해할 가능성이 있다고 지적했다. RFID 트랜스폰더 자체에는 정보를 저장할 수 없지만, 칩에 포함된 정보가 안전하게 보호될 것이라는 보장이 없다는 점을 문제로 삼았다.[86]

무선 신원 도용(Wireless identity theft) 방식으로 마이크로칩 임플란트를 복제하여 악용될 수 있다는 점 역시 주요 우려 사항이다. 이는 신원 도용 및 개인 정보 침해로 이어질 수 있다. 동물에게 이식된 임플란트를 강제로 제거한 사례가 보고되었으며,[87] 이러한 행위가 마이크로칩을 이식한 사람에게도 가해질 수 있다는 우려가 제기된다. 다만, 마이크로칩 임플란트 이용률이 낮아 아직 이러한 물리적 공격 사례는 드물다.

또한, 보호되지 않거나 암호화되지 않은 마이크로칩 태그를 악의적으로 재프로그래밍하는 것도 중요한 보안 위험 요소로 간주된다.

6. 6. 인간의 자유와 자율성에 대한 위험

2010년 3월 미국 의회에서 통과된 ‘건강보험개혁법’과 관련하여, 건강보험제도 강화를 위해 전 국민에게 베리칩을 이식한다는 내용이 포함되었다는 의혹이 제기된 바 있다.[119] 2017년부터 강제 시행될 것이라는 구체적인 이야기까지 퍼졌으나, 실제 법안에는 해당 내용이 포함되지 않았다.

이러한 의혹과 맞물려, 일부 개신교계에서는 이 베리칩이 요한계시록에 나오는 '짐승의 표'라고 주장하기도 했으며, 다른 음모론자들은 세계 정부가 일반인을 감시하기 위해 미국 정부를 통해 이를 추진한다고 주장하며 논란이 확산되었다.

마이크로칩 임플랜트 기술이 악용될 수 있다는 우려는 꾸준히 제기된다.[88] 특히 반대론자들은 이러한 침습적인 기술이 정부에 의해 개인의 삶을 통제하는 '오웰리언'적 디지털 디스토피아를 초래할 수 있다고 경고한다. 이러한 사회에서는 개인의 자기 결정권, 자유롭게 생각하는 능력, 그리고 모든 개인의 자율성이 완전히 상실될 위험이 있다는 것이다.[89][90][91]

6. 7. 차별 논란

2019년, 일론 머스크는 자신이 설립한 마이크로칩 이식 연구 회사 뉴럴링크가 자폐증 및 다른 "뇌 질환"을 "해결"할 수 있을 것이라고 발표했다.[92] 이 발언은 상당한 비판을 불러일으켰다. ''네오스코프''의 댄 로비츠키는 조현병과 달리 자폐증은 개인의 정체성과 깊이 연관되어 있으며, 이를 질병으로 규정하는 것은 자폐 공동체에 대한 사회적 낙인을 강화할 위험이 있다고 지적했다.[93] ''인사이더''의 힐러리 브루크 역시 자폐증과 같은 상태는 단순히 "해결"해야 할 문제로 취급될 수 없으며, 오히려 사람들을 다르게 생각하게 만드는 특성이라고 주장했다. 다만, 그녀는 이 기술이 실명이나 사지마비 등 다른 장애를 가진 사람들에게 도움이 될 잠재력이 있으므로 완전히 무시해서는 안 된다고 덧붙였다.[94]

같은 매체의 이소벨 아셔 해밀턴은 머스크가 자폐증을 "해결"한다는 것이 정확히 무엇을 의미하는지 불분명하다고 지적하며, 자폐증은 질병이 아닌 발달 장애임을 강조했다. 그녀는 영국 국립 자폐 사회의 입장을 인용하여 "자폐증은 질병이 아니며 '치료'될 수 없다. 많은 자폐인에게 자폐는 정체성의 근본적인 부분"이라고 설명했다.[95] ''The Next Web''의 트리스탄 그린은 머스크에게 자폐증은 치료하거나 해결할 수 있는 질병이 아니며, 의학계 내에서도 이를 장애로 볼 것인지, 아니면 개인 정체성의 일부로 존중해야 할지에 대한 윤리적 논쟁이 진행 중이라고 비판했다. 그는 머스크가 자폐증에 대한 기본적인 이해조차 부족한 것으로 보인다며, 뇌에 칩을 이식하는 기술을 개발하는 사람으로서 신뢰성에 의문을 제기했다.[96]

일부 자폐 당사자들 또한 머스크의 발언에 강하게 반발했다. 자폐 작가인 네라 버치는 ''더 마이티''를 통해 "자폐증은 내 정체성의 큰 부분이며 삶의 모든 측면에 영향을 미친다"고 말하며, 자신의 자폐증을 세상과 바꾸지 않을 것이라고 밝혔다. 그녀는 자폐증이 주는 독특한 관점과 경험 방식의 가치를 강조하며, "치료"를 바라는 시선은 자신의 존재 자체를 부정하는 것과 같다고 비판했다. 버치는 신경다양성을 가진 이들의 자부심과 문화를 존중해야 하며, 사회가 이들을 바꾸려 하기보다 있는 그대로 받아들여야 한다고 주장했다.[97] ''인디펜던트''의 자폐 작가 플로렌스 그랜트 역시 자폐증이 가진 긍정적인 측면, 예를 들어 특정 관심사에 대한 깊은 집중력과 남들이 보지 못하는 세부 사항을 인지하는 능력을 강조했다. 그녀는 이러한 특성이 문제 해결에 도움이 될 수 있다고 언급하며, 머스크 자신도 새터데이 나이트 라이브 진행 당시 아스퍼거 증후군(현재는 자폐 스펙트럼 장애의 일부로 분류됨[98]) 진단을 받았다고 밝힌 사실을 상기시켰다. 그랜트는 자폐증은 자신과 분리될 수 없는 정체성이며, 사회는 이러한 차이를 처벌하기보다 포용해야 한다고 역설했다.[99]

머스크는 뉴럴링크의 기술이 구체적으로 어떻게 자폐증을 "해결"할 것인지에 대해 명확히 밝히지 않았으며, 이러한 비판과 자폐 당사자들의 의견에 대해 공개적으로 입장을 표명하지 않았다.

7. 잘못된 정보

마이크로칩 임플란트는 실제 기술적 능력이나 활용에 대한 명확한 근거가 부족함에도 불구하고, 다양한 음모론의 소재로 자주 등장해 왔다. 특히 종교적인 해석(짐승의 표)이나 정부의 통제 및 감시 목적과 관련된 우려가 지속적으로 제기되었으며,[100] 특정 정책(건강 보험 개혁법)이나 사회적 사건(코로나19 범유행)과 결부되어 잘못된 정보가 확산되기도 했다.[101][102][103][104][105][106] 이러한 주장은 일부 개신교계나 특정 정치 성향 그룹(애국자 운동) 등에서 주로 제기되었으나, 실제 법안 내용이나 기술적 사실과는 거리가 먼 경우가 많았다.[119]

7. 1. 음모론의 확산

마이크로칩 임플랜트의 침습적인 사용이나 기술적 능력에 대한 뚜렷한 증거가 부족함에도 불구하고, 이는 여러 음모론의 소재가 되어 왔다.

2010년 3월 미국 의회에서 ‘건강 보험 개혁법’(일명 오바마케어)이 통과되자, 해당 법안에 전 국민에게 베리칩(마이크로칩의 일종)을 이식하는 내용이 포함되었다는 의혹이 제기되었다.[119] 2013년까지 준비 기간을 거쳐 2017년부터 강제로 시행될 것이라는 구체적인 주장까지 나왔다. 이로 인해 일부 개신교계에서는 이 칩이 요한계시록에 나오는 짐승의 표라고 주장했으며, 다른 음모론자들은 세계 정부가 일반인을 감시하기 위해 미국 정부를 통해 이를 추진한다고 주장하며 논란이 확산되었다. 그러나 실제 건강보험개혁법에는 마이크로칩 이식과 관련된 내용이 포함되지 않았다.

같은 해 남부 빈곤 법률 센터는 기독교 우파에서 임플란트가 "짐승의 표"가 될 수 있다는 우려와 애국자 운동에서는 임플란트가 사람들을 추적하는 데 사용될 수 있다는 두려움이 있음을 보도했다.[100] NPR 역시 건강 보험 개혁법에 따라 치료를 받기 위해 등록한 환자들이 임플란트를 받게 될 것이라는 잘못된 정보가 온라인상에서 유포되고 있다고 전했다.[101]

2016년, 스놉스는 마이크로칩 주입이 "음모론에 빠진 사람들에게는 끊임없는 관심사"라고 지적하며, 당시 호주에서는 정부가 모든 시민에게 임플란트를 삽입할 것이라는 음모론이 퍼지고 있다고 언급했다.[102]

최근에는 코로나19 범유행과 관련하여 음모론이 다시 확산되었다. 유고브의 2021년 설문 조사에 따르면 미국인의 20%가 코로나19 백신 안에 마이크로칩이 들어있다고 믿는 것으로 나타났다.[103][104] 또한, RT는 2021년 페이스북 게시물을 통해 미국 방위고등연구계획국(DARPA)이 코로나19를 감지하는 마이크로칩 임플란트를 개발했다고 주장하기도 했다.[105][106]

7. 2. 코로나19 백신 관련 오해

마이크로칩 임플란트는 기술적 능력이나 실제 사용에 대한 명확한 증거가 부족함에도 불구하고 다양한 음모론의 소재가 되어 왔다. 특히 코로나19 범유행 상황에서 백신과 관련된 잘못된 정보가 유포되는 사례가 있었다.

유고브(YouGov)가 2021년에 실시한 설문 조사에 따르면, 미국인 중 20%가 코로나19 백신 안에 마이크로칩이 포함되어 있다고 믿는 것으로 나타났다.[103][104] 또한 같은 해, 러시아 국영 매체인 RT (러시아 투데이)는 페이스북 게시물을 통해 미국 방위고등연구계획국(DARPA)이 코로나19 감염 여부를 탐지할 수 있는 마이크로칩 임플란트를 개발했다는 주장을 퍼뜨리기도 했다.[105][106]

8. 관련 법규

일부 관할 구역에서는 인간의 마이크로칩 이식에 관해 법률을 연구하거나 선제적으로 통과시키기도 했다.

8. 1. 미국

미국 내 일부 주에서는 사람에게 마이크로칩을 이식하는 문제에 대해 법률을 제정하려는 움직임이 있었다. 특히, 개인의 의사에 반하여 마이크로칩 이식을 강요하는 행위를 금지하는 법률이 여러 주에서 통과되었다.

위스콘신주는 2006년에 관련 법률을 제정했으며, 2007년에는 노스다코타주와 캘리포니아주가 뒤를 이었다. 이후 2008년 오클라호마주, 2010년 조지아주에서도 유사한 법률이 만들어졌다. 이러한 입법 움직임에도 불구하고, 실제로 강제 이식 사례가 있었는지는 확인되지 않았다고 정치인들은 언급했다.[107][108][109][110] 2010년 버지니아주는 기업이 직원에게 추적 장치 이식을 강요하는 것을 금지하는 법안을 통과시켜 노동자의 권리를 보호하려는 노력을 보였다.[111]

한편, 2010년 워싱턴주 하원에서는 이식형 RFID나 유사 기술을 이용하여 성범죄자를 감시하는 방안에 대한 연구를 지시하는 법안이 제출되었으나, 최종적으로 통과되지는 못했다.[112]

9. 관점

일반 대중에게 마이크로칩은 주로 반려동물 식별 용도로 알려져 있다.

9. 1. 대중 문화 속 마이크로칩

드라마 시리즈 블랙 미러의 에피소드 "아크엔젤"에서는 마이크로칩 임플란트를 통해 자녀를 과도하게 감시하고 통제하려는 헬리콥터 부모의 모습을 그리며 기술 발전에 따른 윤리적 문제를 제기한다.

또한, 마이크로칩 임플란트는 사이버펑크 장르의 여러 작품에서 중요한 소재로 등장한다. 예를 들어 공각기동대, 사이버펑크 2077, Deus Ex 등에서는 신체 능력 강화, 네트워크 접속 등 다양한 기능의 임플란트가 등장하며 미래 사회의 모습을 탐구한다.

9. 2. 종교적 믿음

2010년 3월 미국 의회에서 통과된 ‘건강보험개혁법’과 관련하여, 건강보험제도 강화를 위해 전 국민에게 베리칩을 이식한다는 내용이 포함되었다는 의혹이 제기되었다.[119] 이 의혹은 2013년까지 준비 기간을 갖고 2016년까지 유예 기간을 거쳐 2017년부터 강제로 실시한다는 구체적인 내용까지 포함하고 있었다.

이 때문에 일부 개신교계에서는 이 베리칩이 요한계시록에 나오는 짐승의 표라고 주장하는 사람들이 나타났으며, 다른 음모론자들은 세계 정부가 일반인들을 감시하기 위해 미국 정부를 통해 추진하는 것이라는 주장을 펼치며 논란이 확산되었다. 하지만 실제 건강보험개혁법에는 베리칩 이식과 관련된 내용은 포함되지 않았다.

일부 기독교인들은 마이크로칩 임플랜트가 미래에 물건을 사고파는 데 필요한 주요 수단이 될 것이며, 이는 요한계시록에서 예언된 짐승의 표와 관련이 있다고 주장한다.[113][114][115][116] 예를 들어, These Last Days Ministries의 회장인 게리 월셰이드는 "짐승의 표가 될 가능성이 있는 모든 기술 중에서 베리칩(VeriChip)이 현재 가장 가능성이 높다"고 주장하기도 했다.[117]

참조

[1] 뉴스 Is human chip implant wave of the future? http://www.cnn.com/T[...] CNN 2010-05-12
[2] 웹사이트 Professor has world's first silicon chip implant https://www.independ[...] 1998-08-26
[3] 간행물 Professor Cyborg https://www.wired.co[...] 1998-08-25
[4] 웹사이트 BBC News – Sci/Tech – Technology gets under the skin http://news.bbc.co.u[...]
[5] 웹사이트 CNN – Cyberfuturist plants chip in arm to test human-computer interaction – August 28, 1998 http://edition.cnn.c[...]
[6] 웹사이트 National Museum of Science & Industry Annual Report https://www.sciencem[...]
[7] 웹사이트 A short history of NFC https://www.computer[...] 2020-09-24
[8] 웹사이트 VivoKey.com http://www.vivokey.c[...] VivoKey Technologies Inc.
[9] 뉴스 Elon Musk unveils pig with chip in its brain https://www.bbc.com/[...] BBC News 2020-09-23
[10] 웹사이트 DSruptive – Implantable chip implants https://dsruptive.co[...]
[11] 뉴스 Swedish COVID vaccine pass microchip maker addresses privacy concerns https://www.foxbusin[...] FOXBusiness 2021-12-23
[12] 웹사이트 The Covid-19 passport microchip https://www.scmp.com[...]
[13] 웹사이트 Amal Graafstra – Technologist, Author & Double RFID Implantee http://amal.net/ 2017-05-26
[14] 웹사이트 RFID Toys Forum http://rfidtoys.com/ 2017-05-26
[15] 웹사이트 Dangerous Things http://dangerousthin[...] 2017-05-26
[16] 웹사이트 The xNT implantable NFC chip https://www.indiegog[...] 2017-05-26
[17] Citation PRMT {{!}} Ghost In the Shell https://vimeo.com/20[...] 2017-05-26
[18] Citation Biohacking – the forefront of a new kind of human evolution: Amal Graafstra at TEDxSFU https://www.youtube.[...] 2017-05-26
[19] Citation Who Killed the Smart Gun? https://www.youtube.[...] 2017-05-26
[20] Citation RFID Implant – Fox News – Mikey Sklar https://www.youtube.[...] 2019-07-24
[21] 서적 2010 IEEE International Symposium on Technology and Society
[22] 뉴스 'Biohacker' Implants Chip in Arm https://www.livescie[...] Live Science 2013-11-01
[23] 웹사이트 Cyborg People Who Implanted Tech – Business Insider http://www.businessi[...] Businessinsider.com 2015-04-09
[24] 웹사이트 The brave new world of biohacking | Al Jazeera America http://america.aljaz[...] America.aljazeera.com 2015-04-09
[25] 간행물 Hand-implanted NFC chips open this man's bitcoin wallet https://www.wired.co[...] 2015-02-15
[26] 웹사이트 I Watched A guy Get a Chip Implanted in his Hand and It Was Pretty Cool https://www.vice.com[...] 2020-05-18
[27] Citation Futurist Nikolas Badminton gets implanted with a microchip https://www.youtube.[...] 2020-05-18
[28] 웹사이트 Jondo the Mandroid is RFID enabled https://web.archive.[...] 2015-06-09
[29] 웹사이트 This Guy Implanted His Bitcoin Wallet and Made a Payment With His Hand http://motherboard.v[...] 2015-11-02
[30] 웹사이트 Au pays des espèces en voie de disparition http://www.lesechos.[...] 2016-07-07
[31] 뉴스 The rise of the Swedish cyborgs – BBC News https://www.bbc.com/[...] BBC News 2014-12-10
[32] 뉴스 Få covidbeviset under huden – går att få som ett chip – Aftonbladet TV https://tv.aftonblad[...]
[33] 뉴스 Facing COVID passport mandate, more Swedes get microchip implants https://www.aa.com.t[...] www.aa.com.tr
[34] 웹사이트 Heraldsun.com.au – Subscribe to the Herald Sun for exclusive stories http://www.heraldsun[...]
[35] 웹사이트 BSides Tallinn's Best Of BSides 2021: BSides Perth 2021- Shain Lakin's 'Offensive RFID/NFC' – Security Boulevard https://securityboul[...] 2021-12-13
[36] 웹사이트 Hacking with an NFC Implant – Offensive Bio Implants https://www.x90x90.n[...] 2022-09-19
[37] 뉴스 Invisible Ink Could Reveal whether Kids Have Been Vaccinated https://www.scientif[...] Scientific American
[38] 뉴스 Chip in tooth – scientists point way to new identity tag https://www.theguard[...] the Guardian 2006-02-28
[39] 서적 General Gynecology
[40] 웹사이트 Why this guy paid $75 to store bitcoin under his skin https://www.cnbc.com[...] 2021-04-27
[41] 간행물 Door Access Security System Using NFC Technology https://www.irjet.ne[...] 2018-03-03
[42] 웹사이트 This Guy Just Implanted a Payments Chip in His Hand, Literally [VIDEO] https://bankinnovati[...] 2016-05-25
[43] 웹사이트 Implantable credit card RFID chips: convenient, but creepy https://www.creditca[...] 2020-09-25
[44] 웹사이트 Bio-hacker who implanted Opal Card into hand fined for not using valid ticket https://www.abc.net.[...] 2020-09-25
[45] 간행물 Microchips in Medicine: Current and Future Applications 2016
[46] 웹사이트 Tough Sell Ahead for the VeriChip Implant ID System. http://www.computerb[...] 2007-12-27
[47] 웹사이트 KO33440: Designation of VeriChip as Class II with special controls https://www.accessda[...] FDA 2004-10-12
[48] 웹사이트 Class II Special Controls Guidance Document: Implantable Radiofrequency Transponder System for Patient Identification and Health Information https://www.fda.gov/[...] FDA 2004-12-10
[49] 웹사이트 Verichip Consumer FAQ http://www.healthlin[...] 2009-08-16
[50] 간행물 The security implications of VeriChip cloning. 2006
[51] 뉴스 Human-implantable RFID chips: Some ethical and privacy concerns http://www.healthcar[...] Healthcare IT News 2007-07-30
[52] 간행물 Radio frequency identification. 2009-03
[53] 간행물 Body identification, biometrics and medicine: ethical and social considerations. http://www.iss.it/pu[...] 2007
[54] 웹사이트 American Medical Association CEJA Report 5-A-07 http://www.ama-assn.[...]
[55] 뉴스 Chip Implants Linked to Animal Tumours https://www.washingt[...] The Washington Post 2010-06-08
[56] 웹사이트 Down With the Chip: PositiveID Axes Its Scary Medical Records https://web.archive.[...] bNET 2010-07-15
[57] 웹사이트 VeriTeQ Acquisition Corporation Acquires Implantable, FDA-Cleared VeriChip Technology and Health Link Personal Health Record from PositiveID Corporation http://www.businessw[...] VeriTeQ via BusinessWire 2012-01-17
[58] 웹사이트 JAMM Technologies Acquires the Veriteq RFID Technology Platform and Enters into Supply Agreement with Establishment Labs https://www.prweb.co[...] JAMM via PRWeb 2016-04-04
[59] 뉴스 Don Brattain, OSU SPEARS SCHOOL TRIBUTES: 100 FOR 100 https://business.oks[...] Oklahoma State University 2018-04-21
[60] 웹사이트 Tyler Technologies, Inc., Tyler Investor Community, Directors, Donald R. Brattain, Independent Director http://investors.tyl[...] Tyler Technologies, Inc. 2018-04-21
[61] 웹사이트 Geissler Corporation – Management http://www.geisslerc[...] Geissler Corporation 2018-04-21
[62] 웹사이트 Bichip Patent in Denmark https://onlineweb.dk[...] 2019
[63] 웹사이트 Would you store Ripple and Bitcoin in microchip? http://metro.co.uk/2[...] 2018-01
[64] 웹사이트 I hacked my body for a future that never came https://www.theverge[...] 2020-09-24
[65] 뉴스 The transhumanists 'upgrading' their bodies https://www.bbc.com/[...] BBC News 2020-09-24
[66] 웹사이트 Impli is announcing the release of ImpliCaspian; your identifier. – Impli https://impli.org/im[...] 2019-12-04
[67] 뉴스 Microchips in humans spark privacy debate. USA Today 2007-07
[68] 웹사이트 Demo: Cloning a VeriChip http://cq.cx/verichi[...]
[69] 뉴스 The RFID Hacking Underground https://www.wired.co[...] Wired (magazine) 2006-05
[70] 웹사이트 http://www.baja.nl/v[...]
[71] 웹사이트 Office complex implants RFID chips in employees' hands http://www.computerw[...] Computerworld 2015-02-06
[72] 웹사이트 Will microchips be used in athletes to prevent doping? http://home.bt.com/t[...]
[73] 뉴스 Indonesia's Papua plans to tag AIDS sufferers https://www.reuters.[...] 2008-11-24
[74] 간행물 Papua Proposal: A Microchip to Track the HIV-Positive http://www.time.com/[...] 2008-11-26
[75] 웹사이트 Government Of Indonesian Province Rejects Plan To Implant Microchips In Some HIV-Positive People http://www.medicalne[...] 2008-12-08
[76] 논문 Biohackers and Self-Made Problems: Infection of an Implanted RFID/NFC Chip: A Case Report 2020
[77] 웹사이트 I hacked my body for a future that never came https://www.theverge[...] 2017-07-21
[78] 논문 Corrosion of Metallic Biomaterials: A Review 2019-01-28
[79] 웹사이트 Microchip-Induced Tumors in Laboratory Rodents and Dogs: A Review of the Literature 1990–2006 http://www.antichips[...] 2007-12-23
[80] 뉴스 Chip Implants Linked to Animal Tumours https://www.washingt[...] 2007-09-08
[81] 웹사이트 VeriChip Defends the Safety of Implanted RFID Tags http://www.rfidjourn[...] 2007-09-12
[82] Youtube IEEE ISTAS 2010 @ UOW – Dr Katherine Albrecht https://www.youtube.[...] 2011-03-23
[83] 논문 Transponder-Induced Sarcoma in the Heterozygous p53+/- Mouse
[84] 웹사이트 Lewan, Todd. The Associated Press, September 8, 2007. "Chip Implants Linked to Animal Tumors" https://www.washingt[...]
[85] 웹사이트 Studies Linking Microchips and Cancer http://www.antichips[...]
[86] 문서 CEJA Report 5-A-07 American Medical Association 2007
[87] 웹사이트 Dognappers hacked microchip out of dog and stole her puppies https://metro.co.uk/[...] 2020-07-19
[88] 뉴스 Remote-controlled contraceptive microchip could launch https://www.theguard[...] The Guardian 2014
[89] 뉴스 Towards The Orwellian Era of a Microchipped Workforce https://consent.yaho[...] HuffPost 2017
[90] 뉴스 Microchipping workers takes us back to 1984 https://www.thetimes[...] The Times 2018
[91] 뉴스 Could microchip implants presage George Orwell's chilling novel '1984'? https://www.theinter[...] IOT News 2014
[92] 웹사이트 Elon Musk's comments on autism prove he should not podcast https://mashable.com[...] Mashable 2019-11-14
[93] 웹사이트 Elon Musk Claims Neuralink Can "Solve" Autism, Schizophrenia: He incorrectly suggested that autism is a brain disease. https://futurism.com[...] Neoscope 2019-11-14
[94] 웹사이트 Elon Musk said his brain chips might 'solve' autism and schizophrenia. A neuroscientist who implants brain chips has doubts. https://www.insider.[...] Insider
[95] 웹사이트 Elon Musk said his AI-brain-chips company could 'solve' autism and schizophrenia https://www.business[...] Insider
[96] 웹사이트 Elon Musk says Neuralink can 'solve' autism with a brain chip. We call BS https://thenextweb.c[...] The Next Web 2019-11-14
[97] 웹사이트 Dear Elon Musk: I Don't Need a Brain Chip to 'Solve' My Autism https://themighty.co[...] The Mighty 2022-11-09
[98] 서적 Diagnostic and Statistical Manual of Mental Disorders, Fifth Edition, Text Revision (DSM-5-TR) American Psychiatric Association 2022-03-18
[99] 웹사이트 No, Elon Musk, autism does not need 'solving' – we'd much rather be accepted as we are https://www.independ[...] Independent 2021-05-17
[100] 웹사이트 Microchip Implantation Feared as Sign of End Times https://www.splcente[...]
[101] 뉴스 Health Law Myths: Outside The Realm Of Reality https://www.npr.org/[...] 2010-09-03
[102] 웹사이트 Australia Becomes First Country to Begin Microchipping Its Public? https://www.snopes.c[...] 2016-10-04
[103] 웹사이트 The Economist/YouGov Poll https://docs.cdn.you[...] YouGov 2021-07-13
[104] 뉴스 20% of Americans believe the conspiracy theory that microchips are inside the COVID-19 vaccines, says YouGov study https://www.insider.[...]
[105] 웹사이트 Fact Check: Military-funded sensor can help detect COVID-19, but it's not a microchip https://eu.usatoday.[...]
[106] 뉴스 Military programs aiming to end pandemics forever https://www.cbsnews.[...] CBS News 2021-04-11
[107] 웹사이트 Wisconsin law bars forced RFID implants https://www.networkw[...] 2006-06-12
[108] 웹사이트 California Bans Forced RFID Tagging of Humans https://www.govtech.[...] 2010-07-27
[109] 문서 Bill bans involuntary microchip implants http://newsok.com/ar[...] 2008
[110] 문서 Radio Frequency Identification (RFID) Privacy Laws http://www.ncsl.org/[...] 2015
[111] 웹사이트 Virginia delegates pass bill banning chip implants as 'mark of the beast' – Raw Story – Celebrating 18 Years of Independent Journalism https://www.rawstory[...] 2023-01-06
[112] 문서 HB 1142-2009-10 http://apps.leg.wa.g[...]
[113] 뉴스 First Humans to Receive ID Chips; Technology: Device injected under the skin will provide identification and medical information. https://pqasb.pqarch[...] Los Angeles Times 2002-05-09
[114] 뉴스 Is RFID the mark of the beast? http://news.cnet.com[...] CNET News 2005-02-16
[115] 서적 The Spychips Threat: Why Christians Should Resist RFID and Electronic Surveillance Nelson Current 2006-01-31
[116] 간행물 RFID: Sign of the (End) Times? https://www.wired.co[...] Wired.com 2006-06-06
[117] 뉴스 They Want Their ID Chips Now http://archive.wired[...] Wired News 2002-02-06
[118] 뉴스 "[뉴스룸에서-민태원] 베리칩과 두 과학" http://news.kukinews[...] 국민일보 2013-12-09
[119] 논문 미국 하원 FTA 표결과 대통령 외교정책: 미국-모로코, 미국-바레인, 미국-오만 FTA 사례를 중심으로 http://dx.doi.org/10[...] 2019-06



본 사이트는 AI가 위키백과와 뉴스 기사,정부 간행물,학술 논문등을 바탕으로 정보를 가공하여 제공하는 백과사전형 서비스입니다.
모든 문서는 AI에 의해 자동 생성되며, CC BY-SA 4.0 라이선스에 따라 이용할 수 있습니다.
하지만, 위키백과나 뉴스 기사 자체에 오류, 부정확한 정보, 또는 가짜 뉴스가 포함될 수 있으며, AI는 이러한 내용을 완벽하게 걸러내지 못할 수 있습니다.
따라서 제공되는 정보에 일부 오류나 편향이 있을 수 있으므로, 중요한 정보는 반드시 다른 출처를 통해 교차 검증하시기 바랍니다.

문의하기 : help@durumis.com