코로나19 범유행
"오늘의AI위키"의 AI를 통해 더욱 풍부하고 폭넓은 지식 경험을 누리세요.
1. 개요
코로나19 범유행은 2019년 12월 중국 우한에서 시작된 SARS-CoV-2 바이러스에 의한 전 세계적인 유행병이다. 초기에는 우한 화난 수산물 도매시장과 관련된 원인 불명의 폐렴 집단 발생으로 시작되었으며, 중국 당국의 초기 대응 미흡과 정보 은폐 논란이 있었다. 이후 WHO는 2020년 1월 국제적 공중보건 비상사태를 선포하고, 3월 팬데믹을 선언했다. 코로나19는 전 세계적으로 빠르게 확산되며 각국은 봉쇄, 이동 제한, 백신 개발 및 접종 등의 조치를 취했지만, 델타, 오미크론 등 변이 바이러스의 등장으로 장기화되었다. 2023년 5월 WHO는 세계 보건 비상사태를 해제했지만, 여전히 팬데믹 상황임을 강조했다. 코로나19는 사회, 경제, 정치, 문화 등 전반에 걸쳐 광범위하고 심대한 영향을 미쳤으며, 각국의 대응 방식과 그 결과는 큰 차이를 보였다.
더 읽어볼만한 페이지
- 2020년 질병 발생 - 키부 에볼라 유행
2018년 8월부터 2020년 6월까지 콩고 민주 공화국 동부에서 자이르에볼라바이러스로 인해 발생한 키부 에볼라 유행은 군사 분쟁과 지역 사회 저항 속에서 3,470건의 감염 사례와 2,280명의 사망자를 낳았으나, rVSV-ZEBOV 백신 접종으로 확산 억제에 기여하여 WHO가 국제 공중보건 비상사태를 선포하기도 했다. - 2022년 질병 발생 - 2022~2023년 엠폭스 유행
2022~2023년 엠폭스 유행은 원숭이두창 바이러스에 의해 2022년 5월부터 전 세계적으로 발생한 유행으로, 성적 접촉을 통한 전파가 주요 원인으로 지목되었으며, 세계 보건 기구는 국제적 공중 보건 비상 사태를 선포하고 각국은 백신 접종 및 방역 조치를 시행했다.
2. 배경
2019년 12월 하순, 중화인민공화국 우한시에서 원인 불명의 폐렴 집단 감염이 발생하여 보건 당국에 보고되었다. 초기 환자들은 주로 우한 화난 수산물 도매시장과 관련이 있었기 때문에, 바이러스는 동물 매개 감염병일 가능성이 높다고 여겨졌다. 이 감염을 일으킨 바이러스는 SARS-CoV-2로 명명되었으며, 쇠신박쥐속 박쥐에서 유래한 것으로 추정된다.[716]
2019년 11월 우한에서 코로나19 발병이 처음 발견되었다. 12월에는 후베이성의 확진자 수가 점차 증가하여 12월 20일에는 60명, 12월 31일에는 최소 266명에 달했다.[618] 12월 26일 폐렴 집단 발병이 관찰되었고, 중국 폐 전문의 장지시안이 이를 우한 건강한 CDC에 알렸다.[172] 유전자 시퀀싱 회사가 신종 코로나바이러스 발견을 보고하고,[173][174] 우한 중앙 병원 의사들이 당국에 경고하면서 8명의 의사가 체포되기도 했다.[643]
우한시중심병원 의사 리원량은 2019년 12월 30일, 중증급성호흡기증후군(SARS)과 유사한 증상을 보이는 환자 7명이 발생했다는 병원 문건을 입수하고, 동료 의사들과 함께 소셜 미디어를 통해 감염 확산 가능성을 알리려 했다. 그러나 중국 당국은 "허위 정보를 퍼트려 민심을 불안하게 만들고 있다"며 리원량과 동료 의사들을 공안국에 소환하여 자술서를 쓰게 했다.[1222] 리원량은 환자들을 돌보다 2020년 2월 7일 사망했으며, 세계보건기구(WHO)도 트위터를 통해 애도를 표했다.[1222]
2020년 1월 7일, CCTV는 우한에서 발생한 원인 미상의 폐렴 병원체가 새로운 종류의 코로나바이러스라고 밝혔다.[1223][1224] 이 바이러스의 염기서열은 2020년 1월 11일 Virological.org에서 공개되었고,[1225][1226] 1월 25일에는 국제핵산배열 데이터베이스 Genbank에 정식으로 공개되었다.[1227] 홍콩대학 윈궉융 교수는 이 바이러스가 중국 저장성 저우산시 박쥐에서 발견된 SARS 바이러스와 가장 유사하다고 보고했다.[1228]
바이러스 발원지로 추정되는 화난수산시장(우한 시장)은 대나무쥐나 오소리 등 야생동물도 거래하고 있어, 이들이 감염원일 가능성도 제기되었다.[1229]
3. 전개
중국 공식 자료에 따르면 초기 환자들은 대부분 화난 수산물 도매 시장과 관련이 있었다고 주장하지만, 2020년 5월, CCDC 소장 조지 가오는 동물 샘플이 음성 판정을 받았다는 이유로 시장을 가능한 발원지에서 제외했다.[177]
1월 초중순, 바이러스는 중국 설 연휴 이동의 영향으로 중국 각 성으로 확산되었다. 우한은 교통 중심지이자 주요 철도 교환소였다.[627] 1월 10일, 바이러스의 유전체가 공개적으로 공유되었다.[178] 1월 24일 보고서에서는 인간 전파 가능성이 높다고 지적하며, 의료 종사자에게 개인 보호 장비를 권장했다.[599][679] 1월 30일, 7,818건의 감염이 확인되어 WHO는 이 발생을 국제적 관심 대상 공중보건 비상사태(PHEIC)로 선포했고,[179][605][180] 3월 11일에는 팬데믹으로 격상했다.[4]

1월 31일, 이탈리아에서 최초 확진 감염이 발생했다.[277] 3월 19일, 이탈리아는 보고된 사망자 수에서 중국을 앞질렀다.[182] 3월 26일까지 미국은 확진 감염자 수에서 중국과 이탈리아를 앞질렀다.[678] 유전체 분석 결과, 뉴욕의 대부분 확진 감염은 아시아가 아닌 유럽에서 온 것으로 나타났다.[183]
10월, WHO는 전 세계 인구의 10%가 감염되었을 수 있다고 보고했다.[187] 11월 9일, 화이자는 백신 후보 시험 결과를 발표하여 감염 예방 효과가 90%임을 보여주었다.[188][189] 12월 14일, 영국 공중보건청은 켄트에서 변이체가 발견되었다고 보고했다. 나중에 알파 변이로 명명된 이 변이체는 바이러스의 전파력을 높일 수 있는 스파이크 단백질 변화를 보였다.[190][191]
이 범유행은 세계 경제를 뒤흔들었으며, 특히 미국, 유럽, 라틴 아메리카에서 심각한 경제적 피해를 입혔다.[377][378] 많은 국가에서 자국민, 영향을 받은 지역을 최근 방문한 여행객[380] 또는 모든 여행객[381][382]에 대해 격리, 입국 금지 또는 기타 제한 조치를 시행하게 되었다.

여러 국가가 전세기를 통해 우한과 인근 지역에서 자국민과 외교관들을 본국으로 송환했다. 캐나다, 미국, 일본, 인도 등이 가장 먼저 송환 조치를 취한 국가들 중에 속한다.[608]
2019년 11월 22일, 중화인민공화국 후베이성 우한시에서 원인불명의 바이러스성 폐렴이 처음 확인되었다.[691] 2020년 1월 30일, 세계보건기구(WHO)는 여섯 번째 "국제적 관심 대상 공중보건 비상사태 (PHEIC)"를 선포하였다. 2월 28일에는 이 질병이 세계적으로 유행할 위험성에 대해 최고 수준인 "매우 높음"으로 평가하였고,[692] 3월 11일, 테드로스 아드하놈 WHO 사무총장은 팬데믹(세계적 유행)에 해당한다는 인식을 표명하였다.[693][694]
세계 각국은 입국 제한을 시행했지만, 잠복기가 긴 코로나바이러스는 180개 이상의 국가와 지역에 영향을 미치며 전 세계적으로 대규모 유행이 발생했다. 이로 인해 세계 각지에서 잇따라 락다운(도시 봉쇄·이동 제한)이 실시되었고, 코로나 쇼크라고 불리는 사회·경제적 영향을 초래하였다.
2023년 5월 5일, 세계보건기구(WHO)는 "국제적 관심 대상 공중보건 비상사태 (PHEIC)"를 종료했지만,[697] "현재 어떤 나라에서도 가장 나쁜 시나리오는 이 소식을 이유로 경계를 늦추는 것이다"라며 경계의 지속을 촉구하고 있다.[698]
Total-confirmed-cases-of-covid-19-per-million-people.png|국가별 100만 명당 COVID-19 확진자 수[724]
COVID-19 Active Cases per 100 000 population.png|국가별 10만 명당 COVID-19 환자 수[725]
Covid-19 total cases per 100 000 population from selected countries.png|국가별 10만 명당 COVID-19 경험자 수[725]
COVID-19-World.svg|확진자 총수 그래프 (파랑: 확진자 총수, 빨강: 사망자 총수)
3. 1. 사망
필리핀에서 중국 밖에서 발생한 첫 번째 사망자가 발생했다.[1235] 필리핀에서는 코로나바이러스를 가진 44세의 중국 우한 출신 중국인 남성이 심한 폐렴으로 발전하여 2월 1일에 사망했다.[1236] 그 후 일본, 대한민국, 호주 등 세계 곳곳에서 사망자가 발생하였다. 중국 국가 보건위원회에 따르면, 사망자의 약 80%가 60세 이상이었으며, 75%는 심혈관계 질환이나 당뇨병 등의 기저질환을 가지고 있었다.[1237] COVID-19 사망자의 증상 발현부터 사망까지의 기간은 6일에서 41일 사이였으며, 중앙값은 14일이었다.[701]
감염 치명 비율(IFR)은 질병으로 인한 누적 사망자 수를 감염자 수(무증상 감염자와 진단받지 못한 감염자 포함, 백신 접종 후 감염자 제외)로 나눈 값으로,[71][72][73] 백분율(%)로 표시된다.[74] IFR은 연령에 따라 증가하며, 연령대에 따라 최대 10,000배까지 차이가 난다.[78]
2020년 12월, 체계적인 검토와 메타 분석에 따르면, 인구 가중 IFR은 프랑스, 네덜란드, 뉴질랜드, 포르투갈에서는 0.5%~1%, 오스트레일리아, 영국, 리투아니아, 스페인에서는 1%~2%, 이탈리아에서는 약 2.5%로 추정되었다. 이 연구는 대부분의 차이가 인구의 연령 구조와 연령별 감염 패턴의 차이를 반영한다고 보고했다.[78]
치명 비율(CFR)은 사망자 수를 진단자 수로 나눈 값이다. 이 지표는 증상 발현과 사망 사이의 시간 지연과 검사가 유증상자에게 집중되기 때문에 오해의 소지가 있다.[81]
2020년부터 2021년까지 2년간 세계 각국의 과잉사망률을 연구한 세계보건기구(WHO)의 추정에 따르면, 전 세계 COVID-19 사망자 수는 542만 명인 반면, 과잉사망자 수는 그 약 3배에 가까운 1,483만 명이었다.[726][727][728][729]
4. 징후 및 증상
감염된 사람들은 무증상이거나 열, 마른기침, 냄새를 맡지 못하는 증상, 호흡 곤란, 설사, 인후통, 피부반점 등과 같이 경증에서 중증의 증상을 보일 수 있다. 일부 감염자는 각혈, 어지러움, 백혈구 감소, 가래기침 등의 증상을 보이기도 한다.[1238][1239] 또한 무증상은 완전한 무증상이라기보다는 면역이 약하게 작용하는 것이라고 봐야 한다.
COVID-19의 증상은 경증에서 중증까지 다양하다.[88][89] 흔한 증상으로는 두통, 후각 소실 및 미각 소실, 코 막힘 및 콧물, 기침, 근육통, 인후통, 발열, 설사, 호흡 곤란이 있다.[88] 같은 감염을 가진 사람이라도 증상이 다를 수 있으며, 시간이 지남에 따라 증상이 변할 수도 있다. 세 가지 일반적인 증상군이 확인되었다. 하나는 기침, 객담, 호흡 곤란 및 발열이 있는 호흡기 증상군이고, 다른 하나는 근육통과 관절통, 두통 및 피로가 있는 근골격계 증상군이며, 마지막으로 복통, 구토 및 설사가 있는 소화기 증상군이다.[90] 이전에 귀, 코 및 목 질환이 없던 사람의 경우, 미각 저하와 후각 저하가 COVID-19와 관련이 있으며, 최대 88%의 사례에서 보고되었다.[91][92][93]
5. 원인

초기 발생 당시 우한에서는 바이러스와 질병을 "코로나바이러스", "우한 코로나바이러스",[9] "우한 폐렴"[11][12] 등으로 불렀다. 2020년 1월, 세계보건기구(WHO)는 질병과 바이러스 명칭에 지리적 위치 등을 사용하지 않도록 2019-nCoV[13] 및 2019-nCoV 급성 호흡기 질환[14]을 임시 명칭으로 권장했다.[13] 2020년 2월 11일, WHO는 COVID-19와 SARS-CoV-2라는 공식 명칭을 확정했다.[16] 테워드로스 아드하놈 거브러여수스는 CO는 ''corona'', VI는 ''virus'', D는 ''disease''를, 19는 발생이 처음 확인된 시점(2019년 12월 31일)을 나타낸다고 설명했다.[17]
WHO는 우려 변이에 그리스 문자를 사용하여 이름을 지었다.[18]
SARS-CoV-2는 박쥐 코로나바이러스[622], 천산갑 코로나바이러스[638][22], SARS-CoV와 밀접하게 관련되어 있다.[604] 최초의 발병은 2019년 12월 중국 후베이성 우한에서 시작되었으며,[23] 초기 사례는 후난 해산물 도매시장 방문자와 관련이 있었으나,[24][25][26] 인간 간 전파는 더 일찍 시작되었을 가능성이 있다.[29][27] 분자시계 분석에 따르면 최초의 감염은 2019년 10월에서 11월 사이에 발생했을 가능성이 높다.[28]
이 바이러스는 박쥐 또는 다른 포유류에서 유래한 동물 매개성 기원일 가능성이 높다는 것이 과학계의 합의된 의견이다.[29][30][31] 실험실 유출설과 같은 다른 주장이 제기되었지만,[32][33][34] 2021년 기준으로 증거가 부족하다.[35]
SARS-CoV-2는 우한 화난 해산물 도매시장에서 처음 확인되었다. 주로 공기를 통해 감염되며, 기침이나 재채기로 인한 호흡기 비말, 접촉 등으로 감염된다.[700] 잠복기는 보통 5일(2~14일)이다.[701]
증상으로는 발열, 기침, 숨가쁨, 미각 또는 후각 이상, 오한, 두통, 인후통, 근육통 등이 나타날 수 있다.[701][702] 감염되어도 증상이 없는 경우(무증상 보균자)도 많으며, 합병증으로 폐렴이나 급성호흡곤란증후군이 발생할 수 있다.
SARS-CoV-2에 대한 특효 항바이러스제는 없으며, 증상 관리와 지지요법이 주요 치료법이다. 예방을 위해 손씻기, 거리두기, 격리 등이 권장된다.
2019년 12월 하순, 중화인민공화국 우한시에서 원인 불명의 폐렴 집단 감염이 발생했다. 초기 환자들은 우한 화난 수산물 도매시장과 관련이 있었고, 바이러스는 동물 매개 감염병으로 추정되었다. SARS-CoV-2는 박쥐 코로나바이러스[714], 천산갑 코로나바이러스[715], SARS 코로나바이러스와 관련이 있으며, 쇠신박쥐속 박쥐에서 유래한 것으로 추정된다.[716]
2020년 11월, 이탈리아 국립암연구소 연구에 따르면 2019년 9월부터 채취한 폐암 검진 수검자 혈액에서 SARS-CoV-2 항체가 검출되어, 바이러스가 이미 그 이전에 퍼져 있었을 가능성이 제기되었다.[717][718][719][720]
우한 화난 해산물 도매시장은 수산물 전문 시장이지만, 야생동물도 거래 및 처리되었다.[959] 종난산과 중국과학원 연구팀은 감염원이 박쥐이고, 쥐과토끼, 오소리, 뱀, 천산갑 등 야생동물을 통해 사람에게 감염된 것으로 추정했다.[960][961][962] 감염 경로는 비말 감염(결막 감염 포함)[963], 접촉 감염, 에어로졸 감염 가능성도 있다.[964]
2020년 2월 24일, 중국과학원 등은 발생원이 우한시 해산물 시장이 아닐 가능성을 제시했다.
5. 1. 바이러스
SARS-CoV-2는 코로나바이러스로 알려진 광범위한 바이러스과에 속한다.[99] 단일 선형 RNA 분절을 가진 양성 극성 단일 가닥 RNA(+ssRNA) 바이러스이다. 코로나바이러스는 인간, 가축과 애완동물을 포함한 다른 포유류 및 조류에 감염된다.[100]인간 코로나바이러스는 감기에서부터 중동호흡기증후군(MERS, 치사율 ≈34%)과 같은 더 심각한 질병에 이르기까지 다양한 질병을 일으킬 수 있다. SARS-CoV-2는 229E, NL63, OC43, HKU1, MERS-CoV 및 최초의 SARS-CoV 이후 인간에게 감염된 것으로 알려진 일곱 번째 코로나바이러스이다.[101]
이 바이러스는 중국 저장성 저우산시 박쥐에서 발견된 SARS 바이러스와 가장 가깝고, 박쥐 SARS바이러스, 인간SARS바이러스, 사향고양이SARS바이러스와도 80% 가까이 유사성을 보인다.[1228]
바이러스가 만들어진 원인 중 박쥐와 뱀이 가장 유력하다는 가능성이 제기됐다. 중국 베이징대, 광시대, 닝보대 의료진은 우한에서 확산된 원인 불명 신종 폐렴으로 불리는 신종 코로나바이러스 SARS-Cov-2의 숙주로 뱀이 유력하다는 결론을 담은 논문을 국제 학술지 바이러스학 저널(JMV)에 게재했다. 논문은 "진화학적 분석(바이러스 변형 과정 추적)에서 나온 결과들을 보면 뱀이 SARS-Cov-2의 야생동물 병원소(병원체가 침입하여 증식·발육해 다른 숙주에 전파될 수 있는 상태로 저장되는 장소)일 가능성이 가장 큰 것으로 나타난다."라고 밝혔다. 연구팀은 RNA 게놈 시퀀싱을 통해 SARS-Cov-2는 박쥐 코로나바이러스와 원산지 불명 코로나바이러스 사이의 재조합 바이러스라고 밝혔다. 연구팀에 따르면 이러한 재조합 과정은 세포 표면 수용체를 인식하는 바이러스 스파이크 당단백질(viral spike glycoprotein) 내에서 일어났다.[1242][1243]
신종 코로나바이러스(COVID-19)에 대한 상세한 게놈 분석 결과가 2020년 1월 23일 처음으로 나왔다. 중국과학원 산하 우한 바이러스학 연구소를 중심으로 한 연구진은 이 바이러스가 2003년 유행한 사스(SARS ·중증급성호흡기증후군) 바이러스와 같은 종이며, 박쥐에서 발견된 코로나바이러스와 거의 일치한다는 내용의 연구논문을 생물학 분야 온라인 공개 논문집인 바이오알카이브(bioRxiv)에 공개했다. 연구진은 논문에서 확산 초기 단계의 환자 5명에서 채취한 바이러스의 전체 게놈 서열을 분석한 결과, 사스 코로나바이러스와 79.5%, 박쥐에서 발견되는 코로나바이러스와 96% 일치했다고 밝혔다.[1244]
5. 2. 전염성
코로나19는 전염성이 강한 질병이다. 초기에는 전염성이 강하지 않다는 발표도 있었지만,[1245] 이후 사람 간 감염 사례가 많이 발생하면서 전염성이 강하다는 사실이 밝혀졌다. 홍콩의 사우스차이나모닝포스트(SCMP)는 신종 코로나바이러스가 메르스보다는 강하고 사스보다는 약한 전염성을 가진 것으로 추정했다.[1245]전염병 확산은 다음과 같은 4단계로 구분된다.
2020년 1월 21일, 홍콩대 윈궉융 교수는 전염병 확산 단계가 3단계에 들어섰다고 말했다.[1246][1247] 2020년 1월 23일, 중국 사스 연구 1인자 의사는 각막을 통해 신종 코로나바이러스에 감염된 것으로 보인다고 밝혔다.[1248]
기초감염재생산수(R0)는 환자 한 명이 몇 명에게 직접 전염병을 옮기는지를 나타내는 수치이다.[1249] 2020년 1월 23일, 세계보건기구(WHO)는 신종 코로나바이러스의 R0 값을 1.4~2.5로 추정했다.[1250] 이는 독감과 유사한 수준(2~3명)이다. 하지만 일부 다른 논문에서는 R0 값이 4라고 분석하기도 했다. 2020년 1월 25일, 영국 임페리얼 칼리지 런던 MRC세계전염병분석센터 연구팀은 신종 폐렴 환자 한 명이 평균 약 2.6명(R0 값 2.1~3.5)을 감염시킨다고 분석했다.[1251]
홍콩 대학 윈궉융 교수는 우한에서 확산된 신종 폐렴이 2003년 사스 때와 같은 전면적 확산 단계에 진입할 가능성을 제시하며, 슈퍼전파자의 위험성을 경고했다.[1246][1247] 중국의 저명 과학자 중난산도 슈퍼전파자의 출현을 막는 것이 중요하다고 강조했다.[1252] 슈퍼스프레더 또는 슈퍼전파자는 동일한 바이러스나 세균에 감염된 다른 개인보다 특별히 많은 이차접촉자를 감염시키는 숙주를 말한다.[1253]
6. 진단

코로나19는 증상을 기반으로 일차적으로 진단하며, 확진 판정은 호흡기와 혈액 샘플에 대한 실시간 RT-PCR 검사나 흉부 CT 결과를 분석하여 결정한다. 검사 결과는 일반적으로 몇 시간에서 며칠 내에 알 수 있다.[1258][1259]
감염 치명 비율(IFR)은 질병으로 인한 누적 사망자 수를 감염자 수(무증상 감염자와 진단받지 못한 감염자 포함, 백신 접종 후 감염자 제외)로 나눈 값으로,[71][72][73] 백분율(%)로 표시된다.[74] 2020년 11월, ''네이처''에 실린 한 검토 논문에 따르면, 요양 시설 사망자를 제외한 여러 국가의 인구 가중 IFR 중앙값 범위는 0.24%~1.49%였다.[77] IFR은 연령에 따라 증가하며, 10세에는 0.002%, 25세에는 0.01%, 55세에는 0.4%, 65세에는 1.4%, 75세에는 4.6%, 85세에는 15%로 연령대에 따라 약 10,000배까지 차이가 난다.[78]
존스홉킨스 대학교 통계에 따르면, 전 세계 CFR(치명률)은 지역에 따라 다르며 일반적으로 시간이 지남에 따라 감소했다.[82]
표준 검사 방법은 핵산 검사이며,[102] 비강인두 스왑으로 얻은 호흡기 검체에서 수행되지만, 비강 스왑 또는 객담 검체를 사용할 수도 있다.[105][106]
SARS-CoV-2(사스 코로나바이러스 2)는 우한 화난 해산물 도매시장에서 처음으로 확인되었다. SARS-CoV-2는 주로 공기 감염을 통해 전파되며, 기침이나 재채기로 나온 호흡기 비말, 접촉에 의한 감염 등 광범위하게 감염된다.[700]
증상으로는 발열, 기침, 숨가쁨, 미각 또는 후각 이상, 오한, 두통, 인후통, 근육통 등이 동반될 수 있다.[701][702] 하지만 무증상인 경우도 많아 감염을 인지하지 못하는 경우도 많다.
6. 1. 바이러스 검사
세계보건기구가 발표한 SARS-CoV-2 테스트 프로토콜에 따르면[1254][1255] 코로나19는 증상을 기반으로 일차적으로 진단하며, 확진 판정은 호흡기와 혈액 샘플에 대한 실시간 RT-PCR 검사나 흉부 CT 결과를 분석하여 결정한다.[1256][1257] 검사 결과는 일반적으로 몇 시간에서 며칠 내에 알 수 있다.[1258][1259]SARS-CoV-2 검사는 주로 면봉을 통해 비강에서 채취한 시료에서 RNA를 검사하는 방식으로 이루어진다. RNA 절편의 존재를 확인하기 위해서는 실시간 RT-PCR이 사용된다. 그러나 바이러스 입자가 아니라 그 유전체인 RNA를 확인하는 방식이기 때문에 감염된 시간을 특정하는 것이 어렵다는 비판이 있다.[1260]
수많은 연구소와 기업들이 항체를 감지하는 방식의 혈청학적 검사 방식을 개발하고 있다.[1261] 영국 공중 보건국은 이런 혈청학적 검사 방법을 실제 환경에서 사용하고 있다.[1262]
6. 2. 영상법
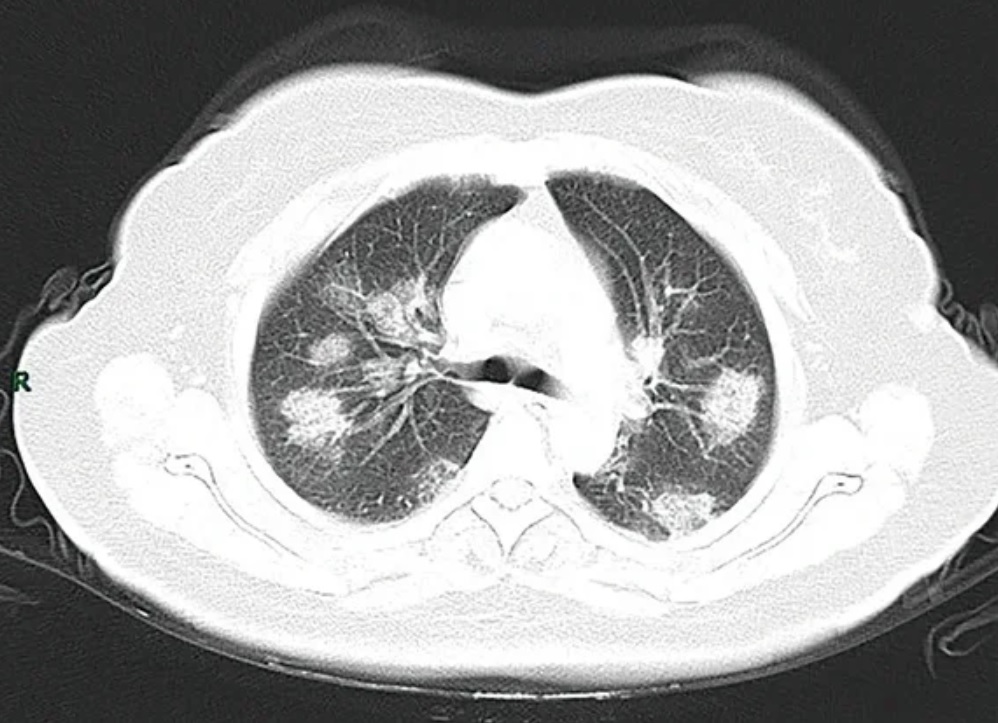
코로나19에 감염된 환자들을 방사선촬영과 컴퓨터단층촬영(CT)를 통해 확인하면 간유리음영이 비대칭적으로 관찰되는 것을 볼 수 있다. 이런 현상은 아데노바이러스 감염에서도 나타나기 때문에 영상법만으로 증상의 원인이 코로나19라는 것을 확인하기는 불가능하다. 그럼에도 불구하고 영상법을 통한 검사 방식이 더 빠르고 민감하다는 사실이 알려져 있다.
7. 예방
코로나19 바이러스 감염을 예방하기 위한 방법으로는 현재 백신 접종과 더불어 여러가지 개인 방역 수칙 준수가 권고된다.
미국 질병통제예방센터(CDC)는 현재 시점에서 코로나19 바이러스를 예방하는 의약품은 없다고 밝혔다.[1263] 백신이나 기타 예방 조치 없이 코로나19를 제어하는 방법은 바이러스 전파를 최대한 막아 의료 체계 붕괴를 막는 것이다.[1264]
개인 위생을 위해 손 씻기, 눈, 코, 입을 씻지 않은 손으로 만지지 않기, 마스크 착용 등이 권장된다.[1265][1266][1267] 또한, 사회적 거리두기 또는 생활 속 거리두기를 통해 감염을 예방할 수 있다.[1268][1269] 코로나19 증상을 보이거나 감염자와 접촉한 사람은 외출을 자제하고, 각 국가 의료기관의 안내에 따라야 한다.
많은 나라의 정부는 감염 사례가 있는 나라와 지역으로 불필요한 여행을 자제할 것을 권고하고 있다.[1270] 중국은 야생 동물의 거래와 소비를 금지했다.[1271] 접촉자 추적 조사는 보건 당국이 감염원을 파악하고 추가 전염을 막는 중요한 방법이다.[1273] 일반적으로 코로나바이러스는 저온 건조한 환경보다 고온 다습한 환경에서 생존 기간이 짧지만, 바이러스 비활성화 관련 온도 기준 정보는 아직 부족하다.[1272]
감염 가능성을 줄이기 위해, 집에 머물거나 야외 활동 시간을 늘리고, 붐비는 장소를 피하며, 다른 사람과 거리를 두고, 공공장소에서 마스크를 착용하며, 실내 공기를 환기하고, 잠재적 노출 시간을 관리하며, 비누와 물로 20초 이상 자주 손을 씻고, 호흡기 위생을 준수하며, 씻지 않은 손으로 눈, 코, 입을 만지지 않는 등의 예방 조치가 필요하다.

많은 국가들이 권고, 명령 또는 금지 행동 변화를 통해 COVID-19의 확산을 늦추거나 중단하려고 시도한 반면, 다른 국가들은 주로 정보 제공에 의존했다. 조치는 공개적인 권고에서 엄격한 봉쇄까지 다양했다. 발생 통제 전략은 제거 및 완화로 나뉜다. 전문가들은 지역 사회 내에서 바이러스의 확산을 완전히 중단하는 것을 목표로 하는 제거 전략("제로 코비드"로 알려짐)[151]과 사회에 대한 바이러스의 영향을 줄이려고 하지만 지역 사회 내에서 어느 정도의 전파는 여전히 허용하는 완화 전략("곡선 완화"로 일반적으로 알려짐)[152]을 구분한다. 이러한 초기 전략은 자연 및 백신 유도 면역을 통한 획득 면역 단계 동안 순차적으로 또는 동시에 추구될 수 있다.[153]
2021년 ''Nature''지는 설문 조사에 응답한 연구자의 90%가 "코로나바이러스가 풍토병이 될 것이라고 생각한다"고 보도했다.[154]
7. 1. 마스크
세계보건기구(WHO)와 대부분의 정부 보건기관에서는 외출 시 보건용 마스크 착용을 권고하고 있다.[1274][1275][1276][1277][1278] 이는 감염자가 분출하는 비말에 의한 코로나바이러스 전파를 막고, 사회적 거리두기와 같은 예방 조치를 보완하기 위함이다.[1275][1279] 마스크는 호흡, 기침, 대화 시 나오는 비말의 전파를 막아준다.[1275][1279] 많은 나라와 지방정부에서는 마스크 착용이나 얼굴 가리개 착용을 의무화하여 바이러스 전파를 억제하고 있다.[1280][1281][1282][1283]미국 질병통제예방센터(CDC)와 세계보건기구는 마스크를 통해 무증상 전염을 줄일 수 있다고 밝혔다.

대한민국에서는 보건용 마스크 착용이 의무화되었으며, 2020년 11월 13일부터 마스크 미착용 시 10만원의 과태료가 부과되었다. 단, 실외나 식사 등의 경우에는 예외였다. 밸브형 마스크나 마스크 대용품은 인정되지 않았다.[1284]
2023년 5월 14일 기준, 전 세계 모든 국가에서 실외 마스크 착용 의무가 해제되었다.[1285] 미국, 덴마크, 프랑스, 슬로베니아, 튀르키예, 헝가리, 네덜란드는 실내외 구분 없이 마스크 착용 의무가 없다. 독일, 이탈리아 등 12개 국가는 의료복지 시설이나 대중교통에서 마스크 착용을 권고한다.[1286] 마스크 착용 권고 시설은 국가마다 다르다.[1287] 일본은 실내에서도 2m 이상 거리두기가 가능하고 대화가 없으면 마스크를 벗어도 된다.[1288]

7. 2. 손 씻기
질병 확산을 예방하기 위해 손 씻기를 권장한다. 미국 질병통제예방센터(CDC)는 특히 화장실에 간 후 또는 손이 더러운 경우 비누와 물로 20초 이상 손을 자주 씻을 것을 권장한다. 비누와 물을 쉽게 구할 수 없는 경우 부피 기준으로 알코올이 60% 이상인 알코올 기반 손 소독제를 사용하는 것이 좋다.[1265] 세계보건기구는 또한 씻지 않은 손으로 눈, 코, 입을 만지지 않도록 조언한다.[1266][1289]7. 3. 호흡기 위생
보건 기관은 기침이나 재채기를 할 때 구부러진 팔꿈치나 휴지 또는 마스크로 입과 코를 가리도록 권장하며, 휴지로 기침이나 재채기를 했을 경우 바로 폐기해야 한다.[1266][1290]말을 하거나 재채기와 기침을 할 때 분산되는 비말(침)으로 감염될 수 있기 때문에 마스크 착용이 권장된다.[1291] CDC와 WHO는 마스크를 통해 무증상 전염을 줄일 수 있다고 밝혔다.
7. 4. 사회적 거리두기
사회적 거리두기는 개인 간의 밀접한 접촉을 최소화하여 질병의 확산을 늦추는 방법이다. 학교, 회사, 경기장, 극장, 쇼핑몰 등 공공장소를 폐쇄하기도 하며,[1292][1293] 사람들은 집에 머물고, 여행을 제한하고, 붐비는 지역을 피하고, 악수하지 않으며, 신체적으로 다른 사람과 거리를 두는 방식으로 사회적 거리두기를 적용할 수 있다.[1294] 병원이나 의료기관에도 치료 목적이 아닌 경우 방문을 삼가도록 권장한다.대한민국 보건복지부는 2020년 3월 1일, 스포츠짐, 유람선, 뷔페식 회식, 마작장, 스키장 게스트하우스, 밀폐된 임시 텐트 등과 같이 환기가 나쁘고 사람들이 밀집하여 생활하는 공간, 불특정 다수의 사람들이 접촉하는 장소를 피할 것을 권고했다.[998]
신종 코로나바이러스 감염증 대책 전문가 회의는 3월 9일, 집단 감염이 확인된 장소는 1. 환기가 나쁜 밀폐된 공간, 2. 많은 사람이 밀집, 3. 근거리(서로 손을 뻗으면 닿는 거리)에서의 대화나 발성이라는 세 가지 조건이 겹치는 장소이며, 이러한 장소를 피할 것을 권고했다.[1000]
3월 19일, 전문가 회의는 현재는 버티고 있지만 언젠가 갑자기 환자가 폭발적으로 증가(「오버슈트」)하여 의료 제공이 불가능하게 되면, 강경한 록다운 조치(도시 봉쇄·상점 폐쇄·외출 자제 등)을 취하지 않을 수 없게 될 것이라고 우려했다.[1002]
3월 28일, 신종 코로나바이러스 감염증 대책 본부에서 "신종 코로나바이러스 감염증 대책의 기본적인 대처 방침"이 발표되었고, 여기서 감염자를 억제하는 것, 의료 제공 체제와 사회 기능을 유지하는 것이 중요하며, "3밀"(밀폐된 공간·밀집 장소·밀접 상황)을 피하는 것과 역학 조사 등에 의한 클러스터 발생의 봉쇄가 추진되었다.[1003]
7. 5. 자가격리
코로나19로 진단받았거나 감염이 의심되는 사람은 자가격리를 통해 사람 간의 감염을 막아야 한다.[1295] 의료기관 지침에 따라 의료 서비스를 받는 경우를 제외하고는 집에 머물러야 하며, 의료 서비스 제공자를 방문하기 전에는 미리 전화하고, 진료실에 들어갈 때나 다른 사람과 같은 방 또는 차량에 있을 때는 마스크를 착용해야 한다.[110][111][112] 또한, 기침이나 재채기를 할 때는 휴지로 가리고, 비누와 물로 정기적으로 손을 씻으며, 개인 가정용품을 공유하지 않아야 한다.[110][111][112]8. 코로나19 백신

코로나19 범유행 이전에도 중증급성호흡기증후군(SARS)과 중동호흡기증후군(MERS)과 같은 질병을 일으키는 코로나바이러스에 대한 지식이 축적되어 있었다. 이러한 지식은 2020년 초 다양한 백신 플랫폼의 개발을 가속화하였다.[113] 초기 SARS-CoV-2 백신의 초점은 증상이 나타나는 질병과 중증 질환을 예방하는 데 있었다.[114]
많은 단체에서 코로나19 백신 개발을 위해 공개된 게놈을 사용하고 있다. 2020년 1월, 전염병대비혁신연합(CEPI)는 모더나, 퀸즐랜드 대학교, 이노비오 제약의 코로나19 퇴치를 위한 세 가지 프로젝트를 지원하기 시작하였다.[1296][1297] 미국 국립보건원(NIH)은 모더나와 협력하여 2020년 5월까지 임상시험을 할 RNA 백신 개발을 시작했다.[1296]
2020년, 미국 제약 회사 화이자와 모더나는 RNA 백신이라는 신기술로 백신 개발 기간을 대폭 단축할 수 있다고 주장했다. 다만, 대규모 접종은 COVID-19 백신이 처음이다. RNA 백신은 보관을 위해 초저온 콜드체인 기술 개발이 필요하다.
2022년 11월 14일, 중국 바이오제약 회사 CanSino Biologics가 개발한 최초의 흡입형 백신이 중국 상하이에서 출시되었다.[124]
코로나19 팬데믹 기간 동안, 각국이 코로나19 방역에 집중하면서 수백만 명의 어린이들이 예방접종을 받지 못했다. 저소득 국가 어린이들의 예방접종률을 높이기 위한 노력이 있었지만, 일부 질병에 대한 예방접종률은 증가했으나 유엔은 팬데믹 이후 홍역 예방접종은 여전히 뒤처지고 있다고 언급했다.[594] 예방접종률 감소의 원인 중 하나는 보건당국에 대한 불신 증가였다. 이는 저소득 국가와 고소득 국가 모두에서 나타났다. 여러 아프리카 국가에서는 팬데믹 관련 잘못된 정보가 다른 영역으로 확산되면서 예방접종률이 감소했다.[595]
8. 1. 백신 접종
코로나19 백신은 코로나바이러스감염증-19(COVID-19)를 유발하는 바이러스인 중증급성호흡기증후군 코로나바이러스 2(SARS-CoV-2)에 대한 획득 면역을 제공하기 위한 것이다. COVID-19 백신은 COVID-19로 인한 중증도와 사망률 감소에 기여한 것으로 널리 인정받고 있다.[115][116]
2020년 12월 8일, 영국에서 세계 최초로 코로나19 백신 접종이 시작되었다.[119][120] 2023년 3월 기준으로 197개국 이상에서 55억 명 이상이 1회 이상 접종을 받았으며(총 118억 회 접종), 옥스퍼드-아스트라제네카 백신이 가장 널리 사용되었다.[117][118] 2022년 6월 연구에 따르면, COVID-19 백신은 2020년 12월 8일부터 2021년 12월 8일까지 185개국 및 지역에서 1,440만~1,980만 명의 추가 사망을 예방했다.[119][120]
2021년 4월, 대한민국도 백신 접종을 본격적으로 시작하였다. 일본에서는 2021년 2월에 승인되어 2월 하순부터 의료 종사자, 3월 하순부터 고령자, 그 후 기저 질환이 있는 사람 등에게 우선 접종이 실시되었다.[712]
2022년 11월 8일, 첫 번째 재조합 단백질 기반 COVID-19 백신(노바백스의 부스터 백신 누박소비드(Nuvaxovid))이 영국에서 성인용으로 사용이 승인되었다. 이후 WHO, 미국, 유럽 연합, 오스트레일리아에서도 승인/허가를 받았다.[121][122]
2022년 11월 12일, WHO는 세계 백신 시장 보고서를 발표했다. 이 보고서는 "불공정한 분포는 COVID-19 백신에만 국한되지 않는다"고 지적하며 경제적으로 강력하지 않은 국가들이 백신을 얻는 데 어려움을 겪고 있다고 밝혔다.[123]
9. 대응
코로나19 팬데믹에 대한 대응은 전 세계적으로 이루어졌으며, 각 국가 및 국제기구는 다양한 방식으로 이 위기에 대처했다.
감염 확산 초기, 2019-nCoV 감염의 첫 41건 중 2/3가 우한화난수산물도매시장과 관련이 있는 것으로 밝혀졌다.[1230][1231][1232][1233] 이 바이러스는 2020년 1월 초중순 춘절을 통해 중국 다른 지방으로 퍼졌고, 1월 20일 중국은 베이징시 2명, 선전시 1명을 포함하여 약 140명의 새로운 환자가 급격히 증가했다고 보고했다.[1234]
세계 각국은 감염 확산을 막기 위해 여행 제한, 검역, 외출 금지령 등의 공중위생 대책을 시행했고, 감염원이 된 우한시를 비롯한 지역을 봉쇄했다. 다이아몬드 프린세스호는 일본 근해에서 검역을 받았고, 이탈리아에서는 전국적인 이동 제한 조치가 취해졌다. 일부 공항이나 철도역에서는 체온 측정, 건강 상태 신고서 제출 등의 스크리닝이 실시되었다. 시중 감염이 진행 중인 지역에 대한 여행 주의·경계 정보 발령, 여행 규제 강화, EU 등에서 국경을 봉쇄하는 국가도 나타났다.
집단 감염을 막기 위해 전 세계적으로 학교와 대학교가 폐쇄되어 최소 15억 명의 아동, 학생, 대학생이 영향을 받았다.[1055][1056] 유네스코(UNESCO)는 원격 교육 프로그램 실행을 권장했다.[1057]
2020년 1월 30일, 세계보건기구(WHO)는 국제적 공중보건 비상사태(PHEIC)를 선포했다. 이는 테워드로스 아드하놈 거브러이여수스 WHO 사무총장의 결정이었다.[1306] 팬데믹 발생 이후 정보 혼란과 함께 세계 각지에서 인종차별, 이념 갈등 등의 문제가 나타났고, 특히 미국에서는 중화인민공화국에 대한 반중 감정이 고조되는 등 국제 정세에도 큰 영향을 미쳤다.
코로나바이러스 유입을 막기 위해 많은 국가들이 입국 제한 조치를 시행했지만, 바이러스는 전 세계로 확산되었다. 이로 인해 세계 각지에서 락다운(도시 봉쇄·이동 제한)이 실시되었고, 이는 '코로나 쇼크'라고 불리는 사회·경제적 충격을 야기했다.[696]
2023년 5월 5일, WHO는 코로나19에 대한 PHEIC를 종료했지만,[697] 각국에 경계를 늦추지 말 것을 당부했다.[698]
9. 1. 나라별 대응
세계 각국의 코로나19 대응은 매우 다양했으며, 크게 제거 전략과 완화 전략으로 나눌 수 있다. 제거 전략은 지역 사회 내 바이러스 확산을 완전히 중단시키는 것을 목표로 하는 "제로 코비드"[151] 전략으로, 접촉자 추적, 대규모 검사, 국경 봉쇄, 봉쇄 등 강력한 조치를 통해 감염자 수를 0명으로 만들고 정상적인 경제 활동을 재개하는 것이 목표다.[151][156] 반면, 완화 전략은 바이러스의 영향을 줄이는 데 중점을 두지만, 지역 사회 내 전파는 어느 정도 허용하는 "곡선 완화"[152] 전략이다. 이는 의료 시스템 과부하 위험을 줄이고 백신 및 치료법 개발 시간을 확보하는 것을 목표로 한다.[624] 2021년 ''Nature''지는 연구자의 90%가 코로나바이러스가 풍토병이 될 것이라고 예상했다고 보도했다.[154]주요 국가별 대응 사례:
- 중국: 엄격한 봉쇄 조치를 포함한 억제 전략을 선택했다.[243][244] BIBP, WIBP, 코로나백 등의 백신을 사용했으며,[245] 2021년 12월 11일 기준, 전체 인구의 82.5%가 백신 접종을 완료했다.[246] 초기에는 '제로 코비드' 정책으로 감염 확산을 억제했지만,[243][247][248] 오미크론 변이 확산 이후에도 이 전략을 고수하다가[249] 2022년 12월, 전국적인 시위 이후 정책을 완화했다.[254]
- 인도: 2020년 3월 24일부터 전국적인 봉쇄 조치를 시행했고,[258] 2020년 6월 1일부터 단계적으로 해제했다. 아로가야 세투 앱을 도입하여 접촉자 추적과 백신 배포를 관리했다.[260] 2021년 10월 21일, 10억 회 이상의 백신 접종을 달성했다.[264]
- 이란: 2020년 2월 19일 첫 확진 사례가 보고된 이후,[645][646] 콘서트, 스포츠 경기, 금요 예배, 학교 및 대학교 운영을 중단하거나 취소했다.[647][632][648] 2020년 3월에는 이란 의회가 폐쇄되기도 했다.[651]
- 한국: 2020년 1월 20일 첫 확진 사례 확인 후, K-방역을 통해 대규모 검사, 지역 격리, 감염자 이동 경로 공개 등의 조치를 시행했다. 모바일 앱 자가 신고,[267] 드라이브 스루 검사,[635] 하루 2만 명 검사 능력 확보[637] 등 선별 검사 프로그램을 운영하여 도시 봉쇄 없이 발병을 통제했다.[634][636][268]
- 유럽: 2020년 1월 24일 프랑스에서 첫 확진자가 발생한 이후 유럽 전역으로 확산되었다. 이탈리아는 2020년 초 대규모 발병을 겪으며 세계 최초로 전국적인 봉쇄 조치를 시행했다.[270] 2020년 3월 13일, WHO는 유럽을 팬데믹의 진원지로 선포했다.[271][272]
- 이탈리아: 2020년 1월 31일 중국인 관광객 두 명이 양성 판정을 받으면서 시작되었다.[277] 확진자 급증으로 중국과의 항공편 운항 중단 및 비상사태를 선포했다.[629] 2020년 2월 22일, 이탈리아 북부 5만 명 이상을 격리했고,[613] 3월 4일, 학교와 대학교를 폐쇄했다.[653] 3월 11일, 슈퍼마켓과 약국을 제외한 거의 모든 상업 활동을 중단시켰다.[654][655]
- 스페인: 2020년 1월 31일 독일 관광객이 양성 판정을 받으면서 확산이 시작되었다.[282] 3월 29일, 필수적이지 않은 근로자들은 집에 머물도록 명령받았다.[284] 2021년 9월 기준, 높은 백신 접종률(전체 접종률 76%, 1차 접종률 79%)을 기록했다.[289]
- 스웨덴: 다른 유럽 국가들과 달리 대부분 개방 상태를 유지했다.[290] 봉쇄 후 바이러스가 재확산될 것이라는 가정 하에 장기적인 조치에 중점을 두었다.[291][292]
- 영국: 2020년 3월 18일부터 사회적 거리두기와 격리 조치를 시행했다.[656][657] 3월 23일, 모임 금지, 필수적이지 않은 여행 및 야외 활동 제한, 필수적이지 않은 사업장 폐쇄 등의 조치를 시행했다.[630] 2020년 12월 2일, 화이자 백신을 승인한 최초의 선진국이 되었다.[297]
- 북아메리카: 2020년 1월 13일 미국에서 첫 확진자가 발생했다.[299]
- 미국: 가장 많은 사망자를 기록했으며, 인구 대비 사망률은 세계 19위이다.[301] 2020년 코로나19는 심장병과 암에 이어 세 번째로 많은 사망 원인이었다.[303] 2020년 12월 긴급 사용 승인을 통해 전국 백신 접종 프로그램을 시작했다.
- 캐나다: 2020년 3월, 지역 사회 전파 사례가 확인되면서 모든 주와 지역에서 긴급 사태를 선포했다. 학교 및 어린이집 폐쇄, 모임 금지, 비필수 사업장 폐쇄, 입국 제한 등을 시행했다.
- 남아메리카: 2020년 2월 26일 브라질에서 첫 확진 사례가 확인되었다.[314] 2020년 5월 22일, WHO는 브라질의 감염 급증을 이유로 남아메리카를 팬데믹의 진원지로 선포했다.[316][317]
- 브라질: 2020년 2월 25일 이탈리아 여행객이 양성 판정을 받으면서 확산이 시작되었다.[319][320] 미국과 인도에 이어 세계에서 세 번째로 많은 확진자 수와 두 번째로 높은 사망자 수를 기록하고 있다.[326]
- 아프리카: 2020년 2월 14일 이집트에서 첫 확진 사례가 발표되었다.[327][328] 여행 제한, 항공편 취소, 행사 취소 등 다양한 예방 조치가 시행되었다.[334]
- 오세아니아: 2020년 1월 25일 오스트레일리아에서 첫 확진자가 보고되었다.[340][341] 오스트레일리아와 뉴질랜드는 팬데믹 대응에 대해 긍정적인 평가를 받았다. 두 국가 모두 지역 사회 내 바이러스 전파를 여러 차례 완전히 없앴다.[343][344][345] 그러나 델타 변이 바이러스의 높은 전파력으로 인해 2021년 8월까지 뉴사우스웨일스주와 빅토리아주는 근절 노력에서 패배를 인정했다.[346]
이 외에도 많은 국가에서 마스크 착용(마스크 착용), 자가격리, 손 위생 등 개인위생 수칙 준수를 강조하고, 직장 및 학교 폐쇄, 대규모 집회 취소 등 사회적 거리두기 조치를 시행했다. 접촉자 추적을 위해 모바일 기기 위치 데이터 수집, 애플과 구글의 협력을 통한 개인 정보 보호 접촉자 추적 기술 개발[160][161] 등 다양한 기술이 활용되었다.
9. 2. 국제 대응
코로나19 범유행은 전 세계적인 보건 위기로, 이에 대한 국제적인 대응은 매우 중요했다. 2020년 1월 30일, 세계보건기구(WHO)는 국제적 공중보건 비상사태(PHEIC)를 선포했다. 이는 테워드로스 아드하놈 거브러이여수스 WHO 사무총장의 결정이었으며, 비상대책위원회의 자문을 거쳤다.[1306]팬데믹 발생 초기, 정보 혼란과 함께 세계 각지에서 인종차별, 이념 갈등 등의 문제가 나타났다. 특히 감염 피해가 컸던 미국에서는 중화인민공화국에 대한 반중 감정이 고조되는 등 국제 정세에도 큰 영향을 미쳤다.
코로나바이러스 유입을 막기 위해 많은 국가들이 입국 제한 조치를 시행했지만, 바이러스는 전 세계로 확산되었다. 이로 인해 세계 각지에서 락다운(도시 봉쇄·이동 제한)이 실시되었고, 이는 '코로나 쇼크'라고 불리는 사회·경제적 충격을 야기했다.[696]
국제 사회는 다양한 방식으로 코로나19에 대응했다. 게이츠 재단은 백신 연구와 치료 노력, 취약 계층 보호를 위해 WHO에 기부했다. 일본은 우한시에 마스크와 방호복 등 지원 물자를 보냈고, 자유민주당은 중국에 기부금을 전달했다. 인도, 말레이시아, 필리핀, 터키, 독일, 싱가포르 등 여러 국가들도 중국에 의료 물품을 지원했다.[1058]
하지만, 팬데믹 대응 과정에서 논란도 있었다. 중국은 초기 대응에 대한 비판을 받았으며, '세계는 중국에 감사해야 한다'는 주장을 펼치기도 했다.[1104][1122] 또한, 미국 등 일부 국가들은 '우한 바이러스'라는 표현을 사용하며 중국에 책임을 묻기도 했다.[1135][1136]
2023년 5월 5일, WHO는 코로나19에 대한 PHEIC를 종료했지만,[697] 각국에 경계를 늦추지 말 것을 당부했다.[698]
9. 2. 1. 대피
우한시와 후베이성의 봉쇄와 이 지역에서의 지속적인 바이러스 유행으로 인해, 몇몇 국가들은 이 지역에서 자국 시민과 외교관 등을 대피시킬 계획을 세웠다. 이는 주로 중국 당국의 사전 허가를 받은 자국 국가의 전세 비행을 통해 이루어졌다. 일본, 인도, 미국, 프랑스, 오스트레일리아, 스리랑카, 독일, 태국은 일찍부터 시민 대피 계획을 수립했다. 대한민국 역시 시민 대피 계획을 세워 우한에 머물고 있는 약 300여 명의 사람들을 자국으로 대피하였다.[1298][1299][1300][1301][1302][1303][1304] 반면, 파키스탄은 중국에서 자국민을 대피시키지 않겠다고 발표했다.2020년 2월 7일, 브라질은 34명의 브라질 국민과 그들의 가족, 그리고 4명의 폴란드인, 1명의 중국인, 1명의 인도인을 대피시켰다. 이 폴란드인, 중국인, 인도인은 브라질 항공기가 본국으로 향하는 도중 폴란드에 들러 내렸다. 본국으로 돌아온 브라질 국민들은 브라질리아 근처 군 기지에서 검역되었다. 같은 날, 215명의 캐나다인이 중국 우한에서 캐나다군 기지 트렌턴으로 피난(176명은 첫 번째 항공편, 39명은 미국 정부가 전세낸 두 번째 항공편)하여 2주간 검역되었다. 2월 11일, 다른 항공편으로 185명의 캐나다인이 우한에서 캐나다군 기지 트렌턴에 도착했다.
오스트레일리아 당국은 2월 3일과 4일에 277명의 국민을 검역 시설로 전용된 크리스마스 섬에 있는 수용소로 대피시켜 14일간 대기시켰다. 뉴질랜드 피난민을 태운 항공편(오스트레일리아와 태평양 국가 시민들도 탑승)은 2월 5일 오클랜드에 도착하여 오클랜드 북부, 판가파라오아에 있는 해군 기지에서 검역되었다.[1023] 미국은 크루즈선 "다이아몬드 프린세스"호에 탑승한 미국인을 대피시키겠다고 발표했다. 2월 21일, "다이아몬드 프린세스"호에서 대피한 129명의 캐나다인을 태운 항공기가 온타리오주 트렌턴에 도착했다. 인도 정부는 자국민을 이란에서 대피시키기 위해 공군을 파견할 예정이라고 발표했다.[1024]
9. 2. 2. 입국 제한
세계 여러 나라에서는 중국인 또는 최근 중국을 방문한 사람들을 대상으로 임시 입국 금지 조치를 시행하거나 비자 발급을 중단하고, 중국인에 대한 비자 요건을 강화했다.[1305] 일부 국가는 전 세계인을 대상으로 입국을 제한하기도 했다. 그러나 범유행이 장기화되면서 이러한 입국 제한은 점차 완화되기 시작했다.코로나19 발생에 따라 셰엥겐 지역 내 대부분의 국가 및 지역과 아르메니아, 오스트레일리아, 인도, 이라크, 인도네시아, 카자흐스탄, 쿠웨이트, 말레이시아, 몰디브, 몽골, 뉴질랜드, 필리핀, 싱가포르, 스리랑카, 타이완, 베트남, 미국 등은 중국 국민 또는 최근 중국을 방문한 사람들에 대한 단기 입국 금지, 비자 발급 중단, 비자 발급 요건 강화 등을 시행했다.
사모아는 중국 체류 경력이 있는 자국민의 입국까지 거부하여 논란이 되기도 했다.
유럽 연합(EU)은 셰엥겐 협정의 일시적 효력 정지 및 이탈리아와의 국경 관리 도입을 거부했다.[1011][1012]
2020년 3월 27일 기준, 일본발 여행자에 대한 입국 제한을 시행한 국가는 176개국·지역으로 세계의 약 90%에 달했으며, 이는 2월 25일 기준 7개국에서 25배 증가한 수치이다.[1013] 2021년 "오미크론 변이" 유행 시에는 전 세계 외국인의 신규 입국을 전면 중단했다.[1015]
2020년 4월부터 한국은 투자, 무역, 인도적 목적에 한해 비자를 발급하고 입국을 제한했다. 2022년 6월부터 관광 비자 발급을 재개했으며,[1016] 같은 달 8일 백신 미접종자에 대한 격리 조치를 해제했다.[1017]
미국은 2020년 3월 13일 셰엥겐 협정 체결국 26개국에 대해 30일간의 입국 금지 조치를 시행하고, 16일에는 아일랜드와 영국으로 제한을 확대했다.[1018][1019] 19일에는 미국 전 국민에게 해외 여행 중단을 권고했다.[1020] 2021년 10월, 미국은 백신 접종을 조건으로 입국 제한을 완화했다.[1021]
북한은 2020년 1월 21일(우한 봉쇄는 1월 23일) 중국발 여행객의 입국을 중단하고 사실상 국경 봉쇄를 실시했다.[1022]
9. 2. 3. 세계보건기구
세계보건기구(WHO)는 전 세계적인 전염병 위협에 대응하여 국제적 공중보건 비상사태(PHEIC)를 선포할 수 있다.[1306] 2020년 1월 30일, WHO는 코로나19에 대해 PHEIC를 선포했다. 이는 테워드로스 아드하놈 거브러이여수스 WHO 사무총장의 결정이었으며, 비상대책위원회의 자문을 거쳤지만 위원회 내 의견은 50대 50으로 엇갈렸다.[1306]WHO의 PHEIC 선포는 각국 정부에 대한 권고 사항일 뿐 강제력은 없다. WHO는 중국에 대한 교역 및 여행 제한에는 반대 입장을 표명했다.
로이터통신은 WHO가 중국의 투자를 받았기 때문에 중국의 눈치를 보는 것 같다고 비판했다.[1306]
2023년 5월 5일, WHO는 코로나19에 대한 PHEIC를 종료한다고 발표했다. 이는 비상사태에서 벗어나 다른 감염병 대응과 함께 유행을 통제하는 단계로 전환되었음을 의미한다.[697] 그러나 WHO는 각국에 경계를 늦추지 말고, 구축된 시스템을 해체하지 말 것을 촉구했다.[698]
10. 영향
코로나19 범유행은 사회, 경제, 정치, 문화 등 다방면에 걸쳐 광범위한 영향을 미쳤다. 특히, 세계 경제는 1929년 대공황 이후 최악의 침체인 '코로나 쇼크'를 겪었다.[1154][1155][1156][1157] 국제통화기금(IMF)은 2020년 세계 국내총생산(GDP) 성장률을 -4.4%로 전망했는데, 이는 2008년 리먼 쇼크 당시의 -0.1%를 훨씬 뛰어넘는 수치이다.[1158]
코로나 쇼크는 금융 시장뿐만 아니라 실물 경제에도 큰 타격을 주어, 많은 중소기업들이 도산, 해고, 고용 중단, 임금 삭감 등의 어려움을 겪었다. 감염 확산이 지속되면서 경제 회복의 전망도 불투명한 상황이다.
이러한 상황 속에서 20세기 말부터 정비된 온라인 환경을 활용한 '셧인 이코노미'(집에 틀어박히는 경제)가 부상했다.[1169] 외출 시에는 사회적 거리두기를 실천하고, 정보기술(IT)을 최대한 활용하는 방향으로 경제 구조가 변화했다. 디지털 전환이 가속화되면서 온라인 서비스를 제공하는 IT 기업들의 실적이 크게 성장했다. 예를 들어, 마이크로소프트는 2020년 4~6월 Azure 관련 매출이 47% 증가하는 등 큰 성장을 이루었다.[1159] 사티아 나델라 최고경영자(CEO)는 "지난 2개월 동안 2년 분의 디지털 전환이 이루어졌다"고 언급했다.[1160]
하지만, 팬데믹은 정보 전염병(infodemic)이라 불리는 잘못된 정보 확산 문제도 야기했다.[700] 주로 소셜 네트워킹 서비스(SNS)를 통해 바이러스에 대한 근거 없는 추측이나 음모론이 퍼져나갔다. 또한, 동아시아계 외국인 등에 대한 배타적 감정 및 인종차별 사례도 보고되었다.
코로나19는 경제 시스템에도 큰 변화를 가져왔다. 2019년까지의 '코로나 이전(Before 코로나)',[1163] 2020년 이후 코로나 종식까지의 '위드 코로나(With 코로나)',[1164] 코로나 종식 이후의 '애프터 코로나(After 코로나)'[1165] 등으로 시기를 구분하는 논의가 이루어지고 있다. '위드 코로나' 시대에는 사회적 혼란 속에서도 입학·입사 시기 변경,[1166] 절차 간소화,[1167] 디지털 전환 가속화[1168] 등 긍정적인 변화의 움직임도 나타났다.
셧인 이코노미의 등장으로 배달과 온라인 중심의 경제 활동이 증가하면서, 물리적 요소가 중요한 대부분의 문화는 존폐 위기에 놓이기도 했다.[1170] 팬데믹 기간 동안 사람들의 운동 습관도 변화하여, 운동량이 감소하는 현상도 연구되고 있다.[1174]
참조
[1]
논문
[Comment] The COVID‑19 pandemic as a scientific and social challenge in the 21st century
2020-10-01
[2]
웹사이트
Coronavirus Pandemic (COVID-19)
https://ourworldinda[...]
2020-03-05
[3]
뉴스
The pandemic's true death toll
https://www.economis[...]
2023-07-26
[4]
웹사이트
Archived: WHO Timeline – COVID-19
https://www.who.int/[...]
Word Health Organization
2020-04-27
[5]
웹사이트
Clinical questions about COVID-19: Questions and answers
https://stacks.cdc.g[...]
2020-06-25
[6]
웹사이트
The Great Lockdown: Worst Economic Downturn Since the Great Depression
https://blogs.imf.or[...]
2020-04-14
[7]
뉴스
Is COVID-19 Still a Pandemic?
https://www.bu.edu/a[...]
Boston University
2024-03-05
[8]
논문
An in-depth analysis of 10 epidemiological terminologies used in the context of COVID-19
2022-08-01
[9]
뉴스
2nd U.S. Case Of Wuhan Coronavirus Confirmed
https://www.npr.org/[...]
NPR
[9]
뉴스
Wuhan Coronavirus Looks Increasingly Like a Pandemic, Experts Say
https://www.nytimes.[...]
2020-02-02
[9]
뉴스
Wuhan coronavirus deaths spike again as outbreak shows no signs of slowing
https://www.cnn.com/[...]
CNN
[10]
논문
The novel coronavirus outbreak in Wuhan, China
2020-03-02
[11]
논문
A novel coronavirus (2019-nCoV) causing pneumonia-associated respiratory syndrome
2020-05-01
[12]
논문
A familial cluster of pneumonia associated with the 2019 novel coronavirus indicating person-to-person transmission: a study of a family cluster
2020-02-01
[13]
웹사이트
Novel Coronavirus (2019-nCoV) Situation Report – 1
https://www.who.int/[...]
World Health Organization (WHO)
2020-01-21
[14]
웹사이트
Novel Coronavirus(2019-nCoV) Situation Report – 10
https://www.who.int/[...]
World Health Organization (WHO)
2020-01-30
[15]
뉴스
Novel coronavirus named 'Covid-19': WHO
https://www.todayonl[...]
[15]
뉴스
The coronavirus spreads racism against – and among – ethnic Chinese
https://www.economis[...]
2020-02-17
[15]
보고서
World Health Organization Best Practices for the Naming of New Human Infectious Diseases
https://apps.who.int[...]
World Health Organization (WHO)
2015-05-01
[16]
웹사이트
Naming the coronavirus disease (COVID-19) and the virus that causes it
https://www.who.int/[...]
World Health Organization (WHO)
[17]
보고서
Coronavirus disease 2019 (COVID-19) in the EU/EEA and the UK – eighth update
https://www.ecdc.eur[...]
ecdc
[18]
뉴스
Covid Indian variant: Where is it, how does it spread and is it more infectious?
https://www.bbc.com/[...]
2021-06-07
[19]
뉴스
Covid: WHO renames UK and other variants with Greek letters
https://www.bbc.com/[...]
BBC News
2021-05-31
[20]
뉴스
How Omicron, the New Covid-19 Variant, Got Its Name
https://www.nytimes.[...]
2021-11-27
[21]
뉴스
There are several COVID-19 variants you haven't heard of
https://www.newsnati[...]
2021-11-27
[22]
논문
Probable Pangolin Origin of SARS-CoV-2 Associated with the COVID-19 Outbreak
2020-04-01
[23]
Review
Epidemiology, clinical characteristics of the first cases of COVID-19
2020-10-01
[24]
논문
COVID-19: Epidemiology, Evolution, and Cross-Disciplinary Perspectives
2020-05-01
[25]
뉴스
WHO Points To Wildlife Farms In Southern China As Likely Source Of Pandemic
https://www.npr.org/[...]
NPR
2021-03-15
[26]
논문
WHO report into COVID pandemic origins zeroes in on animal markets, not labs
2021-04-01
[27]
논문
SARS-CoV-2: Combating Coronavirus Emergence
2020-05-01
[28]
논문
Lessons learned 1 year after SARS-CoV-2 emergence leading to COVID-19 pandemic
2021-12-01
[29]
논문
Characteristics of SARS-CoV-2 and COVID-19
2021-03-01
[30]
뉴스
The COVID-19 coronavirus epidemic has a natural origin, scientists say – Scripps Research's analysis of public genome sequence data from SARS‑CoV‑2 and related viruses found no evidence that the virus was made in a laboratory or otherwise engineered
https://www.eurekale[...]
Scripps Research Institute
2020-03-17
[30]
논문
The proximal origin of SARS-CoV-2
2020-04-01
[30]
논문
Origin and cross-species transmission of bat coronaviruses in China
2020-08-01
[30]
뉴스
Coronavirus almost certainly came from an animal, not a lab leak, top scientists argue
https://www.cnn.com/[...]
2021-07-07
[30]
뉴스
Market in China's Wuhan likely origin of COVID-19 outbreak – study
https://www.reuters.[...]
2021-11-19
[31]
논문
Lessons learned 1 year after SARS-CoV-2 emergence leading to COVID-19 pandemic
2021-03-01
[32]
뉴스
COVID may have taken 'convoluted path' to Wuhan, WHO team leader says
https://www.reuters.[...]
Reuters
2021-02-09
[33]
뉴스
Online claims that Chinese scientists stole coronavirus from Winnipeg lab have 'no factual basis'
https://www.cbc.ca/n[...]
Canadian Broadcasting Corporation
2020-01-27
[34]
뉴스
China's rulers see the coronavirus as a chance to tighten their grip
https://www.economis[...]
2020-02-08
[35]
논문
The Origins of SARS-CoV-2: A Critical Review
2021-08-01
[36]
웹사이트
Laboratory testing for 2019 novel coronavirus (2019-nCoV) in suspected human cases
https://www.who.int/[...]
World Health Organization (WHO)
2020-03-30
[37]
웹사이트
Total tests for COVID-19 per 1,000 people
https://ourworldinda[...]
2020-04-16
[38]
웹사이트
Report 13 – Estimating the number of infections and the impact of non-pharmaceutical interventions on COVID-19 in 11 European countries
https://www.imperial[...]
2020-04-07
[39]
논문
Internationally lost COVID-19 cases
2020-06-01
[40]
뉴스
640,000 rapid coronavirus tests arrive in Spain
https://english.elpa[...]
2020-03-23
[41]
뉴스
Special Report: Italy and South Korea virus outbreaks reveal disparity in deaths and tactics
https://www.reuters.[...]
2022-05-11
[42]
논문
Underlying Medical Conditions and Severe Illness Among 540,667 Adults Hospitalized With COVID-19, March 2020 – March 2021
Centers for Disease Control and Prevention
2021-07-01
[43]
웹사이트
The Covid-19 risks for different age groups, explained
https://www.vox.com/[...]
2020-04-12
[44]
논문
Epidemiology and transmission of COVID-19 in 391 cases and 1286 of their close contacts in Shenzhen, China: a retrospective cohort study
2020-08-01
[45]
웹사이트
Vorläufiges Ergebnis und Schlussfolgerungen der COVID-19 Case-Cluster-Study (Gemeinde Gangelt)
https://www.land.nrw[...]
2020-04-13
[46]
논문
Universal Screening for SARS-CoV-2 in Women Admitted for Delivery
2020-05-01
[47]
뉴스
Dutch study suggests 3% of population may have coronavirus antibodies
https://www.reuters.[...]
2020-04-20
[48]
웹사이트
Interactive Serology Dashboard for Commercial Laboratory Surveys
https://www.cdc.gov/[...]
Centres for Disease Control and Prevention
2020-07-21
[49]
웹사이트
Statement on the meeting of the International Health Regulations (2005) Emergency Committee regarding the outbreak of novel coronavirus 2019 (n-CoV) on 23 January 2020
https://www.who.int/[...]
World Health Organization (WHO)
2020-04-09
[50]
논문
High Contagiousness and Rapid Spread of Severe Acute Respiratory Syndrome Coronavirus 2
2020-07-01
[51]
웹사이트
ArcGIS Dashboards
https://gisanddata.m[...]
gisanddata.maps.arcgis.com
2021-12-22
[52]
웹사이트
Worldwide COVID cases surpass 500 mln as Omicron variant BA.2 surges
https://www.reuters.[...]
2022-04-21
[53]
웹사이트
COVID-19 Testing: Understanding the "Percent Positive"
https://publichealth[...]
2020-08-10
[54]
multiple
Fewer deaths in Veneto offer clues for fight against virus
https://www.ft.com/c[...]
2020-04-05
[55]
논문
What do we know about the risk of dying from COVID-19?
https://ourworldinda[...]
2020-03-25
[56]
웹사이트
Principles of Epidemiology Lesson 3 – Section 3
https://www.cdc.gov/[...]
2019-02-18
[57]
뉴스
Italy's coronavirus deaths could be underestimated in data: Official
https://www.reuters.[...]
2020-03-31
[58]
웹사이트
Coronavirus: Is Covid-19 really the cause of all the fatalities in Italy?
https://www.stuff.co[...]
2020-03-20
[59]
뉴스
Why Belgium's Death Rate Is So High: It Counts Lots Of Suspected COVID-19 Cases
https://www.npr.org/[...]
2020-04-22
[60]
뉴스
Tracking covid-19 excess deaths across countries
https://www.economis[...]
[61]
웹사이트
COVID-19 Projections
https://covid19.heal[...]
[62]
multiple
COVID's true death toll: much higher than official records
2022-03-01
[63]
웹사이트
What 'Excess Deaths' Do and Don't Tell Us About COVID-19
https://reason.com/2[...]
2020-04-29
[64]
뉴스
Covid: World's true pandemic death toll nearly 15 million, says WHO
https://www.bbc.co.u[...]
2022-05-05
[65]
뉴스
Nearly 15 million deaths directly or indirectly linked to COVID-19 UN News
https://news.un.org/[...]
2022-05-05
[66]
뉴스
Nearly 15 million excess deaths occurred globally in 2020 and 2021
https://www.newscien[...]
[67]
웹사이트
Globale Übersterblichkeit durch COVID-19
https://www.sciencem[...]
[68]
논문
The WHO estimates of excess mortality associated with the COVID-19 pandemic
2023-01-01
[69]
논문
COVID-19 mortality risk for older men and women
2020-11-01
[70]
웹사이트
People with Certain Medical Conditions
https://www.cdc.gov/[...]
2021-03-15
[71]
웹사이트
What Changing Death Rates Tell Us About COVID-19
https://www.webmd.co[...]
2020-09-19
[72]
웹사이트
Estimating mortality from COVID-19
https://www.who.int/[...]
World Health Organization
2020-08-04
[73]
웹사이트
Coronavirus Disease 2019 (COVID-19)
https://www.cdc.gov/[...]
2020-09-19
[74]
논문
How deadly is the coronavirus? Scientists are close to an answer
2020-06
[74]
논문
Scientific consensus on the COVID-19 pandemic: we need to act now
2020-10
[74]
논문
A systematic review and meta-analysis of published research data on COVID-19 infection fatality rates
2020-12
[75]
논문
Estimating the infection-fatality risk of SARS-CoV-2 in New York City during the spring 2020 pandemic wave: a model-based analysis
2021-02
[76]
논문
Infection fatality risk for SARS-CoV-2 in community dwelling population of Spain: nationwide seroepidemiological study
2020-11
[77]
논문
Age-specific mortality and immunity patterns of SARS-CoV-2
2021-02
[78]
논문
Assessing the age specificity of infection fatality rates for COVID-19: systematic review, meta-analysis, and public policy implications
2020-12
[79]
논문
COVID-19 Compared to Other Pandemic Diseases.
2020-07-31
[80]
서적
Indigenous Health and Well-Being in the COVID-19 Pandemic
https://books.google[...]
Taylor & Francis
2023-05-12
[81]
논문
Estimation of SARS-CoV-2 mortality during the early stages of an epidemic: A modeling study in Hubei, China, and six regions in Europe
2020-07
[82]
논문
COVID-19 in Italy: momentous decisions and many uncertainties
2020-05
[83]
웹사이트
Weekly epidemiological update on COVID-19 – 25 May 2023
https://www.who.int/[...]
2023-05-26
[84]
웹사이트
Statement on the update of WHO's working definitions and tracking system for SARS-CoV-2 variants of concern and variants of interest
https://www.who.int/[...]
2023-05-26
[85]
웹사이트
WHO Coronavirus Network (CoViNet)
https://data.who.int[...]
2024-09-01
[86]
웹사이트
Coronavirus Disease 2019 (COVID-19)
https://www.cdc.gov/[...]
2020-02-11
[87]
웹사이트
Tracking SARS-CoV-2 variants
https://www.who.int/[...]
2022-11-07
[88]
웹사이트
Symptoms of Coronavirus
https://www.cdc.gov/[...]
2021-02-22
[89]
논문
The prevalence of symptoms in 24,410 adults infected by the novel coronavirus (SARS-CoV-2; COVID-19): A systematic review and meta-analysis of 148 studies from 9 countries
2020-06-23
[90]
웹사이트
COVID-19/csse_covid_19_data/csse_covid_19_time_series at master · CSSEGISandData/COVID-19
https://github.com/C[...]
2022-01-18
[91]
논문
COVID-19: An overview and a clinical update
2021-01
[92]
논문
Features of 20 133 UK patients in hospital with covid-19 using the ISARIC WHO Clinical Characterisation Protocol: prospective observational cohort study
2020-05
[93]
논문
The neurological manifestations of COVID-19: a review article
2020-07
[94]
논문
Airborne transmission of respiratory viruses
2021-08
[95]
논문
Ten scientific reasons in support of airborne transmission of SARS-CoV-2
2021-05
[96]
논문
Fluid Dynamics of Respiratory Infectious Diseases
2021-07
[97]
논문
The airborne lifetime of small speech droplets and their potential importance in SARS-CoV-2 transmission
2020-06
[98]
논문
Transmission of SARS-CoV-2 by inhalation of respiratory aerosol in the Skagit Valley Chorale superspreading event
2021-03
[99]
논문
What you need to know about the novel coronavirus
2020-01
[100]
논문
Coronavirus biology and replication: implications for SARS-CoV-2
2021-03
[101]
논문
A Novel Coronavirus from Patients with Pneumonia in China, 2019
2020-02
[102]
웹사이트
2019 Novel Coronavirus (2019-nCoV) Situation Summary
https://www.cdc.gov/[...]
2020-01-30
[103]
웹사이트
Coronavirus disease (COVID-19) technical guidance: Laboratory testing for 2019-nCoV in humans
https://www.who.int/[...]
2020-03-14
[104]
논문
Predicting Infectious Severe Acute Respiratory Syndrome Coronavirus 2 From Diagnostic Samples
2020-12
[105]
웹사이트
Interim Guidelines for Collecting, Handling, and Testing Clinical Specimens from Persons for Coronavirus Disease 2019 (COVID-19)
https://www.cdc.gov/[...]
2020-02-11
[106]
웹사이트
Real-Time RT-PCR Panel for Detection 2019-nCoV
https://www.cdc.gov/[...]
2020-02-01
[107]
웹사이트
Laboratory testing for 2019 novel coronavirus (2019-nCoV) in suspected human cases
https://www.who.int/[...]
2020-03-13
[108]
웹사이트
COVID-19: How to protect yourself and others
https://www.cdc.gov/[...]
U.S. Centers for Disease Control and Prevention (CDC)
2023-02-03
[109]
웹사이트
Advice for the public on COVID-19
https://www.who.int/[...]
2023-05-27
[110]
웹사이트
Isolation
https://www.cdc.gov/[...]
2023-05-11
[111]
웹사이트
Infection prevention and control and preparedness for COVID-19 in healthcare settings – sixth update
https://www.ecdc.eur[...]
2021-02-09
[112]
웹사이트
People with symptoms of a respiratory infection including COVID-19
https://www.gov.uk/g[...]
2022-06-10
[113]
논문
Coronavirus vaccine development: from SARS and MERS to COVID-19
2020-12-01
[114]
논문
The success of SARS-CoV-2 vaccines and challenges ahead
2021-07-01
[115]
웹사이트
COVID-19 Vaccines Work Way Better Than We Had Ever Expected. Scientists Are Still Figuring Out Why.
https://www.buzzfeed[...]
2021-06-24
[116]
논문
How COVID vaccines shaped 2021 in eight powerful charts
2021-12-01
[117]
뉴스
Tracking Coronavirus Vaccinations Around the World
https://www.nytimes.[...]
2021-12-23
[118]
뉴스
Covid vaccines: How fast is progress around the world?
https://www.bbc.com/[...]
2021-08-18
[119]
논문
Global impact of the first year of COVID-19 vaccination: a mathematical modelling study
2022-06-01
[120]
웹사이트
COVID-19 vaccines saved nearly 20 million lives in a year, study says
https://www.cbsnews.[...]
2022-06-27
[121]
논문
Can protein vaccines for COVID-19 win over the vaccine-hesitant?
https://www.tandfonl[...]
2023-05-27
[122]
논문
Editorial: First Approval of the Protein-Based Adjuvanted Nuvaxovid (NVX-CoV2373) Novavax Vaccine for SARS-CoV-2 Could Increase Vaccine Uptake and Provide Immune Protection from Viral Variants.
2022-03-01
[123]
웹사이트
WHO releases first data on global vaccine market since COVID-19
https://www.who.int/[...]
2022-11-12
[124]
뉴스
Daily briefing: China reports first roll-out of inhalable COVID-19 vaccine
https://www.nature.c[...]
Springer Nature
2022-11-01
[125]
논문
Drug treatments for covid-19: living systematic review and network meta-analysis
2021-03-31
[126]
웹사이트
CDC Museum COVID-19 Timeline
https://www.cdc.gov/[...]
2023-03-15
[127]
뉴스
EMA CHMP advises use of Pfizer's Covid-19 oral antiviral Paxlovid
https://www.pharmace[...]
2021-12-18
[128]
웹사이트
Paxlovid LOA 12222021 {{!}} FDA
https://www.fda.gov/[...]
2021-12-23
[129]
논문
Prevalence and characteristics of fever in adult and paediatric patients with coronavirus disease 2019 (COVID-19): A systematic review and meta-analysis of 17515 patients
2021-04-06
[130]
혼합
Coronavirus recovery: breathing exercises
https://www.hopkinsm[...]
Johns Hopkins Medicine
2020-07-30
[131]
논문
Review of the 2019 novel coronavirus (SARS-CoV-2) based on current evidence
2020-06-01
[132]
혼합
Comorbidities and multi-organ injuries in the treatment of COVID-19
Elsevier BV
2020-03-01
[133]
혼합
Home
https://covid19evide[...]
World Health Organization
2020-07-11
[134]
웹사이트
COVID-19 Treatment Guidelines
https://www.covid19t[...]
National Institutes of Health
2021-01-18
[135]
논문
Clinical Characteristics of Coronavirus Disease 2019 in China
Massachusetts Medical Society
2020-04-01
[136]
논문
COVID-19, ECMO, and lymphopenia: a word of caution
Elsevier BV
2020-04-01
[137]
논문
Therapy for Early COVID-19: A Critical Need
American Medical Association (AMA)
2020-12-01
[138]
웹사이트
COVID-19 Treatment Guidelines
https://www.covid19t[...]
National Institutes of Health
2021-01-18
[139]
논문
Covid-19: What now for remdesivir?
2020-11-01
[140]
논문
Will covid-19 vaccines save lives? Current trials aren't designed to tell us
2020-10-01
[141]
논문
Prolonged prothrombin time as an early prognostic indicator of severe acute respiratory distress syndrome in patients with COVID-19 related pneumonia.
2021-01-01
[142]
논문
Hematology Laboratory Abnormalities in Patients with Coronavirus Disease 2019 (COVID-19)
2020-10-01
[143]
논문
How common is long COVID? Why studies give different answers
https://www.nature.c[...]
2022-08-13
[144]
웹사이트
Post-COVID Conditions
https://www.cdc.gov/[...]
2024-03-14
[145]
논문
Researching long COVID: addressing a new global health challenge
https://evidence.nih[...]
2022-05-12
[146]
논문
Clinical characteristics of COVID-19
https://www.ecdc.eur[...]
2023-05-26
[147]
논문
Recognizing the Clinical Sequelae of COVID-19 in Adults: COVID-19 Long-Haulers
2021-05-07
[148]
뉴스
Nearly half of people infected with COVID-19 experienced some 'long COVID' symptoms, study finds
https://medicalxpres[...]
2022-05-15
[149]
논문
Global Prevalence of Post COVID-19 Condition or Long COVID: A Meta-Analysis and Systematic Review
2022-04-16
[150]
뉴스
The US doesn't just need to flatten the curve. It needs to "raise the line."
https://www.vox.com/[...]
2020-04-07
[151]
간행물
What Is a Zero-COVID Strategy
https://www.isglobal[...]
Barcelona Institute for Global Health – COVID-19 & response strategy
[152]
웹사이트
'Zero Covid' – an impossible dream
https://www.hartgrou[...]
HART – Health Advisory & Recovery Team
2022-01-02
[153]
논문
To achieve "zero covid" we need to include the controlled, careful acquisition of population (herd) immunity
https://www.pure.ed.[...]
2020-09-01
[154]
논문
The coronavirus is here to stay – here's what that means
2021-02-01
[155]
웹사이트
Fever Screening
https://intellisec.c[...]
[156]
논문
Active case finding with case management: the key to tackling the COVID-19 pandemic
2020-07-01
[157]
웹사이트
Those Who Switched to Telework Have Higher Income, Education and Better Health
https://www.census.g[...]
2021-12-25
[158]
논문
A model of the 2014 ebola epidemic in west Africa with contact tracing
https://currents.plo[...]
2015-01-30
[159]
웹사이트
Behind the global efforts to make a privacy-first coronavirus tracking app
https://www.nbcnews.[...]
NBC News
2020-04-07
[160]
웹사이트
Apple and Google are launching a joint COVID-19 tracing tool for iOS and Android
https://social.techc[...]
2020-04-10
[161]
웹사이트
Privacy-Preserving Contact Tracing
https://www.apple.co[...]
2020-04-10
[162]
뉴스
Palantir provides COVID-19 tracking software to CDC and NHS, pitches European health agencies
https://techcrunch.c[...]
[163]
웹사이트
Hospital readiness checklist for COVID-19
https://www.euro.who[...]
World Health Organization
2020-03-25
[164]
보고서
Checklist for hospitals preparing for the reception and care of coronavirus 2019 (COVID-19) patients
https://www.ecdc.eur[...]
European Centre for Disease Prevention and Control
2020-02-26
[165]
논문
Role of Telehealth in the Management of COVID-19: Lessons Learned from Previous SARS, MERS, and Ebola Outbreaks
2020-07-01
[166]
뉴스
How 3D printing could save lives in the coronavirus outbreak
https://www.technolo[...]
[167]
뉴스
3D printing may help supply more essential coronavirus medical gear
https://www.cnet.com[...]
CNET
[168]
뉴스
Engineers 3D-print patented valves for free to save coronavirus patients in Italy
https://globalnews.c[...]
2020-03-17
[169]
서적
Design, Make, Protect: A report on the Open Source Maker and Manufacturer Response to the COVID-19 PPE Crisis
https://opensourceme[...]
Open Source Medical Supplies & Nation of Makers
2021-01-01
[170]
논문
Covid-19: Delta infections threaten herd immunity vaccine strategy
2021-08-01
[171]
뉴스
5 Things To Know About the Delta Variant
https://www.yalemedi[...]
2021-08-13
[172]
웹사이트
https://news.china.c[...]
[173]
뉴스
China delayed releasing coronavirus info, frustrating WHO
https://apnews.com/a[...]
2020-06-02
[174]
뉴스
https://china.caixin[...]
2020-02-26
[175]
뉴스
Undiagnosed pneumonia – China (HU): RFI
https://promedmail.o[...]
ProMED
2019-12-30
[176]
웹사이트
Novel Coronavirus (2019-nCoV) SITUATION REPORT – 1
https://www.who.int/[...]
World Health Organization
2020-01-20
[177]
뉴스
China Rules Out Animal Market and Lab as Coronavirus Origin
https://www.wsj.com/[...]
2020-05-26
[178]
뉴스
Dispute simmers over who first shared SARS-CoV-2's genome
https://www.science.[...]
2023-03-29
[179]
웹사이트
Novel Coronavirus(2019-nCoV): Situation Report – 10
https://www.who.int/[...]
World Health Organization (WHO)
2020-01-30
[180]
논문
When does a major outbreak become a Public Health Emergency of International Concern?
2020-08-01
[181]
논문
Nowcasting and forecasting the potential domestic and international spread of the 2019-nCoV outbreak originating in Wuhan, China: a modelling study
2020-02-01
[182]
웹사이트
Coronavirus: Number of COVID-19 deaths in Italy surpasses China as total reaches 3,405
https://news.sky.com[...]
Sky News
[183]
뉴스
Studies Show N.Y. Outbreak Originated in Europe
https://www.nytimes.[...]
2020-04-08
[184]
뉴스
After retesting samples, French hospital discovers COVID-19 case from December
https://www.reuters.[...]
2020-05-04
[185]
논문
SARS-CoV-2 was already spreading in France in late December 2019
2020-06-01
[186]
뉴스
2 died with coronavirus weeks before 1st U.S. virus death
https://www.pbs.org/[...]
2020-04-22
[187]
뉴스
One in 10 worldwide may have had Covid – WHO
https://www.bbc.com/[...]
BBC
2020-10-05
[188]
뉴스
Covid-19 vaccine candidate is 90% effective, says Pfizer
https://www.theguard[...]
2020-11-09
[189]
뉴스
Novavax wins FDA fast track designation for COVID-19 vaccine candidate
https://www.marketwa[...]
[190]
웹사이트
PHE investigating a novel strain of COVID-19
https://www.gov.uk/g[...]
2020-12-14
[191]
뉴스
Alpha covid-19 variant (B.1.1.7)
https://www.newscien[...]
[192]
웹사이트
Notice of Declaration under the Public Readiness and Emergency Preparedness Act for medical countermeasures against COVID-19
https://www.phe.gov/[...]
2020-01-30
[193]
뉴스
You can't sue Pfizer or Moderna if you have severe Covid vaccine side effects. The government likely won't compensate you for damages either
https://www.cnbc.com[...]
2020-12-17
[194]
웹사이트
More contagious COVID-19 strain identified in 3 states and 33 countries: What to know
https://www.usatoday[...]
2021-01-15
[195]
웹사이트
Genomic characterisation of an emergent SARS-CoV-2 lineage in Manaus: preliminary findings
https://virological.[...]
2021-01-12
[196]
뉴스
South Carolina detects first US cases of coronavirus strain first seen in South Africa
https://www.cnn.com/[...]
CNN
2021-01-28
[197]
뉴스
Novavax vaccine protects against coronavirus in variant hot spots but proved less effective against strain in South Africa
https://www.washingt[...]
[198]
논문
COVID variants test immunity, NIH chief and China's mixed vaccine data
2021-01-27
[199]
웹사이트
AstraZeneca defends COVID vaccine as handful of nations pause use over fear of blood clots
https://www.cbsnews.[...]
CBS News
[200]
뉴스
WHO renews backing for AstraZeneca's COVID-19 jab as European countries resume vaccinations
https://www.sbs.com.[...]
2021-03-20
[201]
웹사이트
WHO-convened global study of origins of SARS-CoV-2: China Part
https://www.who.int/[...]
World Health Organization
2021-03-30
[202]
논문
Delta coronavirus variant: scientists brace for impact
2021-07-01
[203]
웹사이트
Germany Advises Against Moderna Covid Vaccine For People Under 30
https://www.ndtv.com[...]
[204]
웹사이트
Omicron variant that may resist vaccines found in all U.S. states
https://www.newsweek[...]
2021-12-22
[205]
논문
Omicron SARS-CoV-2 variant: a new chapter in the COVID-19 pandemic
2021-12-01
[206]
웹사이트
Europe Tops 100 Million Coronavirus Cases in Pandemic
https://www.voanews.[...]
2022-01-01
[207]
논문
Covid-19: WHO recommends baricitinib and sotrovimab to treat patients
https://www.bmj.com/[...]
2022-01-13
[208]
웹사이트
COVID-19 Results Briefing
https://www.healthda[...]
[209]
웹사이트
COVID Evaluation Model Estimates 57 Percent of World Population Infected at Least Once
https://www.msn.com/[...]
[210]
뉴스
Global Covid-19 deaths surpass 6 million
https://www.cnn.com/[...]
2022-03-07
[211]
웹사이트
BA.5, now dominant U.S. variant, may pose the biggest threat to immune protection yet
https://www.nbcnews.[...]
2022-07-07
[212]
뉴스
The end of the COVID-19 pandemic is in sight: WHO
https://news.un.org/[...]
2022-09-14
[213]
뉴스
End of COVID pandemic is 'in sight' – WHO chief
https://www.reuters.[...]
2022-09-14
[214]
뉴스
WHO says 'end is in sight' for the Covid pandemic as global deaths hit lowest since March 2020
https://www.nbcnews.[...]
[215]
뉴스
The end of the pandemic is in sight, WHO director-general says, 'so let's seize this opportunity'
https://www.cnn.com/[...]
2022-09-14
[216]
웹사이트
Coronavirus Morning News Brief – Oct. 21: More Americans Are Getting the Updated Vaccine, BA.5 Continues Dominance in U.S.
https://www.frequent[...]
[217]
웹사이트
COVID-19 world weekly cases down 19% but new subvariant spreading
https://www.upi.com/[...]
[218]
웹사이트
What day is the real anniversary of the COVID-19 pandemic?
https://theweek.com/[...]
2021-03-09
[219]
웹사이트
WHO reports 90% drop in global COVID-19 deaths since February
https://www.msn.com/[...]
[220]
웹사이트
WHO estimates 90% of world have some resistance to Covid
https://www.theguard[...]
2022-12-03
[221]
웹사이트
China Estimates Covid Surge Is Infecting 37 Million People a Day
https://www.bloomber[...]
2022-12-23
[222]
웹사이트
US will require COVID-19 testing for travelers from China
https://www.msn.com/[...]
[223]
뉴스
EU calls screening of travellers from China 'unjustified'
https://www.bbc.com/[...]
BBC News
2022-12-29
[224]
웹사이트
WHO worried about surge of COVID in China amid lack of info
https://apnews.com/a[...]
2023-01-04
[225]
뉴스
WHO Europe: no immediate COVID-19 threat from China
https://apnews.com/a[...]
2023-01-10
[226]
뉴스
WHO recommends that China monitor excess COVID-19 mortality
https://www.reuters.[...]
2023-01-16
[227]
뉴스
China's covid cases loom over upcoming WHO meeting on state of the pandemic
https://qz.com/covid[...]
2023-01-26
[228]
웹사이트
COVID-19 pandemic expected to end this year 'as a public health emergency,' says World Health Organization
https://www.msn.com/[...]
[229]
웹사이트
W.H.O. Ends Global Health Emergency Designation for Covid
https://www.nytimes.[...]
2023-05-05
[230]
웹사이트
WHO declares end to COVID global health emergency
https://www.reuters.[...]
2023-05-08
[231]
뉴스
Covid-19 is no longer a global health emergency, says WHO
https://www.theguard[...]
2023-05-05
[232]
웹사이트
Statement on the fifteenth meeting of the International Health Regulations (2005) Emergency Committee regarding the coronavirus disease (COVID-19) pandemic
https://www.who.int/[...]
World Health Organization
2023-05-05
[233]
웹사이트
WHO ends global health emergency declaration for COVID-19
https://www.npr.org/[...]
2023-05-05
[234]
뉴스
WHO sees 'concerning' COVID trends before winter as hospitalisations rise
https://www.aljazeer[...]
Al Jazeera
2023-09-06
[235]
Press release
WHO updates its guidance on treatments for COVID-19
https://www.bmj.com/[...]
2023-11-09
[236]
뉴스
WHO doctor says lockdowns should not be main coronavirus defence
https://www.abc.net.[...]
2020-10-11
[237]
뉴스
Spain defends response to coronavirus as global cases exceed 500,000
https://www.theguard[...]
2020-03-26
[238]
뉴스
Coronavirus: Half of humanity now on lockdown as 90 countries call for confinement
https://www.euronews[...]
2020-04-03
[239]
뉴스
A third of the global population is on coronavirus lockdown – here's our constantly updated list of countries and restrictions
https://www.business[...]
2020-03-28
[240]
웹사이트
German anti-lockdown protests led to more coronavirus cases, study finds
https://www.politico[...]
2021-02-09
[241]
웹사이트
COVID-19 Data Explorer
https://ourworldinda[...]
[242]
웹사이트
COVID-19 Data Explorer
https://ourworldinda[...]
[243]
논문
China's successful control of COVID-19
2020-11
[244]
잡지
China's aggressive measures have slowed the coronavirus. They may not work in other countries
https://www.science.[...]
2020-03-02
[245]
웹사이트
In China, nearly 1 million people have reportedly already gotten a coronavirus vaccine
https://www.vox.com/[...]
2020-11-25
[246]
웹사이트
China vaccinates over 80% of its people against COVID-19
https://www.reuters.[...]
2021-12-11
[247]
웹사이트
China's response shows how bold decision-making can contain coronavirus
https://www.weforum.[...]
2020-03-11
[248]
웹사이트
China's aggressive measures have slowed the coronavirus. They may not work in other countries
https://www.science.[...]
2020-03-02
[249]
뉴스
China: How is its zero-Covid strategy changing?
https://www.bbc.co.u[...]
2022-04-04
[250]
웹사이트
China Returns to Lockdowns as Cases of COVID-19 Surge
https://www.nbcnewyo[...]
2022-11-12
[251]
웹사이트
World stocks on back foot as China COVID cases rise
https://www.msn.com/[...]
[252]
웹사이트
China's Covid cases hit record as dissent grows over tough restrictions
https://www.cnn.com/[...]
2022-11-24
[253]
웹사이트
China's security apparatus swings into action to smother Covid protests
https://www.cnn.com/[...]
2022-11-29
[254]
뉴스
China abandons key parts of zero-Covid strategy after protests
https://www.bbc.co.u[...]
2022-12-07
[255]
뉴스
As Cases Explode, China's Low Covid Death Toll Convinces No One
https://www.nytimes.[...]
2022-12-23
[256]
뉴스
China's low covid death count is being criticized as implausible
https://www.washingt[...]
2022-12-20
[257]
웹사이트
Some hospitals in China overwhelmed in national COVID-19 wave
https://www.cbc.ca/n[...]
[258]
뉴스
Modi Orders 3-Week Total Lockdown for All 1.3 Billion Indians
https://www.nytimes.[...]
2020-03-24
[259]
웹사이트
Infections over 1 lakh, five cities with half the cases: India's coronavirus story so far
https://www.theweek.[...]
[260]
웹사이트
India's Aarogya Setu becomes world's most downloaded contact-tracing app
https://www.wionews.[...]
2020-07-16
[261]
뉴스
India's Covid vaccination programme one of world's most successful: Govt
https://economictime[...]
[262]
웹사이트
India rolls out the world's largest COVID-19 vaccination drive
https://www.who.int/[...]
[263]
뉴스
India's second Covid wave hits like a 'tsunami' as hospitals buckle under weight
https://www.cnn.com/[...]
CNN
[264]
웹사이트
India Has Hit The 100-crore Vaccination Mark
https://www.moneycon[...]
2021-10-21
[265]
웹사이트
Realizan jornada de limpieza en vagones del Metro de Panamá
https://www.tvn-2.co[...]
Tvn-2.com
2020-03-12
[266]
뉴스
Iranian Hospitals Overflow As Number Of Reported COVID-19 Cases Passes 4 Million
https://www.rferl.or[...]
2021-08-05
[267]
웹사이트
This is how South Korea flattened its coronavirus curve
https://www.nbcnews.[...]
NBC News
2020-03-24
[268]
웹사이트
https://news.joins.c[...]
2020-05-17
[269]
트윗
PM @DuskoMarkovicCG: #Montenegro confirmes first two #COVID19 cases #CoronaInfoCG https://t.co/Jxkrm4AMwK
2020-03-17
[270]
논문
COVID-19 in Europe: the Italian lesson
2020-04
[271]
웹사이트
Europe is epicenter of coronavirus pandemic: WHO
https://www.reuters.[...]
2020-03-13
[272]
웹사이트
Coronavirus: Europe now epicentre of the pandemic, says WHO
https://www.bbc.com/[...]
BBC
2020-03-13
[273]
뉴스
South America is a 'new epicenter' of the coronavirus pandemic, WHO says
https://www.cnbc.com[...]
2020-05-22
[274]
뉴스
More than 250m in lockdown in EU as Belgium and Germany adopt measures
https://www.theguard[...]
2020-03-18
[275]
웹사이트
COVID-19's epicentre again: Europe faces fresh reckoning
https://www.aljazeer[...]
[276]
웹사이트
With Covid cases rising, Europe is back at the epicenter of the pandemic
https://www.nbcnews.[...]
2021-11-04
[277]
뉴스
Coronavirus, primi due casi in Italia: sono due turisti cinesi
https://www.corriere[...]
2020-01-30
[278]
웹사이트
Italy sees fewest coronavirus deaths in a week
https://thehill.com/[...]
2020-04-19
[279]
뉴스
Conte firma il dpcm: stop a movida e gite, niente didattica a distanza
https://www.ansa.it/[...]
2020-10-13
[280]
웹사이트
Italy passes 1 million Covid-19 cases, France overtakes Russia
https://www.scmp.com[...]
2020-11-12
[281]
웹사이트
Coronavirus: Clinics in Naples, Italy, on the brink of collapse
https://www.dw.com/e[...]
Deutsche Welle
2020-11-25
[282]
뉴스
Sanidad confirma en La Gomera el primer caso de coronavirus en España
https://elpais.com/s[...]
2020-01-31
[283]
뉴스
El análisis genético sugiere que el coronavirus ya circulaba por España a mediados de febrero
https://elpais.com/c[...]
2020-04-23
[284]
웹사이트
Spain poised to tighten coronavirus lockdown after record daily toll
https://www.msn.com/[...]
MSN
2020-03-29
[285]
뉴스
Coronavirus: Spain drives fears of European 'second wave'
https://www.bbc.co.u[...]
BBC
2020-07-25
[286]
뉴스
Spain's Basque region admits to second wave of Covid-19
https://english.elpa[...]
2020-08-06
[287]
뉴스
Spain shuts down nightlife amid fears of major second wave of coronavirus
https://www.telegrap[...]
2020-08-14
[288]
뉴스
Spain won't declare another national state of alarm, allows regions to lockdown if necessary
https://www.euractiv[...]
2020-08-26
[289]
간행물
Coronavirus Pandemic (COVID-19)
https://ourworldinda[...]
2020-03-05
[290]
뉴스
Sweden Stayed Open. A Deadly Month Shows the Risks
https://www.nytimes.[...]
2020-05-18
[291]
웹사이트
Architect of Sweden's no-lockdown strategy insists it will pay off
https://www.ft.com/c[...]
2020-05-08
[292]
웹사이트
Sverige diskuterar inte exitstrategier: "Vår strategi är hållbar, vi kan ligga kvar med den en väldigt lång tid"
https://svenska.yle.[...]
2020-04-22
[293]
웹사이트
Inte längre någon överdödlighet i Sverige
https://www.dagensme[...]
2020-08-16
[294]
뉴스
Ignore the squabbling Devolution has become less dysfunctional during the pandemic
https://www.economis[...]
2020-07-22
[295]
웹사이트
Large-scale human trial of potential COVID-19 vaccine kicks off at Oxford
https://www.cbsnews.[...]
CBS News
2020-04-24
[296]
웹사이트
Coronavirus updates: Texas reports single highest daily rate increase of infections
https://www.msn.com/[...]
MSN
2020-05-17
[297]
뉴스
U.K. Approves Pfizer Coronavirus Vaccine, a First in the West
https://www.nytimes.[...]
2020-12-02
[298]
웹사이트
Coronavirus (COVID-19) Infection Survey, UK: 19 August 2022
https://www.ons.gov.[...]
UK Office for National Statistics
2023-07-06
[299]
웹사이트
Second Travel-related Case of 2019 Novel Coronavirus Detected in United States
https://www.cdc.gov/[...]
2020-02-18
[300]
웹사이트
Update on Coronavirus (COVID-19) by Bonaire's Lt. Governor InfoBonaire
https://www.infobona[...]
2020-04-17
[301]
웹사이트
Mortality Analyses
https://coronavirus.[...]
Johns Hopkins University
2020-12-17
[302]
웹사이트
COVID-19 surpasses 1918 flu as deadliest pandemic in U.S. history
https://www.national[...]
2021-10-02
[303]
뉴스
US deaths in 2020 top 3 million, by far most ever counted
https://apnews.com/a[...]
2020-12-22
[304]
뉴스
U.S. Life Expectancy Plunged in 2020, Especially for Black and Hispanic Americans
https://www.nytimes.[...]
2021-07-21
[305]
웹사이트
COVID-19 live updates: More Americans died of COVID this year than all of 2020
https://abcnews.go.c[...]
2021-10-06
[306]
보도자료
FDA Approves First COVID-19 Vaccine
https://www.fda.gov/[...]
2021-10-16
[307]
웹사이트
COVID variants BQ.1/BQ.1.1 make up nearly half of U.S. cases – CDC
https://www.reuters.[...]
2022-11-19
[308]
웹사이트
US COVID levels decline as new subvariants rise steadily
https://www.cidrap.u[...]
2022-11-19
[309]
웹사이트
The Quarantine Act explained, as isolation becomes mandatory for some
https://www.ctvnews.[...]
CTV News
2021-04-04
[310]
웹사이트
COVID Cases in Atlantic Bubble Remain Low as Cases Grow Across Canada
https://vocm.com/202[...]
[311]
뉴스
Vaccine passports coming, Furey says, as N.L. reports 5 new cases
https://www.cbc.ca/n[...]
CBC News
2021-09-07
[312]
뉴스
Vaccine Passports Roll Out, and So Do Unruly Anti-Vaccine Protests
https://www.nytimes.[...]
2021-09-03
[313]
웹사이트
Canada is seeing an early rise in flu cases. Is a 'tidal wave' of infection coming?
https://www.cbc.ca/n[...]
2022-11-19
[314]
웹사이트
Where Is the Coronavirus in Latin America?
https://www.as-coa.o[...]
2020-03-22
[315]
뉴스
Uncollected bodies lie for days in the streets of Ecuador the emerging epicentre of the coronavirus in Latin America
https://www.stuff.co[...]
Stuff/Fairfax
2020-04-04
[316]
뉴스
WHO declares that South America is the new coronavirus epicenter
https://www.washingt[...]
2020-05-23
[317]
웹사이트
How South America became a coronavirus epicenter
https://www.vox.com/[...]
2020-05-26
[318]
뉴스
How Brazil went from carnival floats to mass graves. Photos show what it's like in the world's latest coronavirus hotspot.
https://www.business[...]
2023-05-31
[319]
웹사이트
Brasil confirma primeiro caso da doença
https://www.saude.go[...]
Ministry of Health (Brazil)
2020-02-26
[320]
뉴스
Ministério da Saúde confirma primeiro caso de coronavírus no Brasil
https://g1.globo.com[...]
2020-02-26
[321]
뉴스
Brazil tops 1 million Covid-19 cases. It may pass the US next, becoming the worst-hit country on the planet
https://www.cnn.com/[...]
CNN
2020-06-19
[322]
웹사이트
Painel Coronavírus
https://covid.saude.[...]
[323]
논문
How many more? Under-reporting of the COVID-19 deaths in Brazil in 2020
2021-09
[324]
논문
Epidemiologic surveillance for controlling Covid-19 pandemic: types, challenges and implications
2020-11
[325]
논문
Excess deaths from all causes and by COVID-19 in Brazil in 2020
2021
[326]
웹사이트
Brazil "falls" to third place among covid-19 affected countries behind the U.S. and now India
https://en.mercopres[...]
[327]
뉴스
Beijing orders 14-day quarantine for all returnees
https://www.bbc.com/[...]
2020-02-15
[328]
뉴스
Egypt announces first Coronavirus infection
https://www.egypttod[...]
2020-02-14
[329]
뉴스
Nigeria confirms first coronavirus case
https://www.bbc.com/[...]
2020-02-28
[330]
뉴스
Remote Lesotho becomes last country in Africa to record COVID-19 case
https://www.reuters.[...]
2020-05-13
[331]
웹사이트
Coronavirus live updates: Lesotho becomes last African nation to report a coronavirus case
https://www.latimes.[...]
[332]
웹사이트
Experts sound alarm over lack of Covid-19 test kits in Africa
https://www.theguard[...]
2020-05-26
[333]
뉴스
Africa Braces for Coronavirus, but Slowly
https://www.nytimes.[...]
2020-03-17
[334]
웹사이트
Here are the African countries with confirmed coronavirus cases
https://www.cnn.com/[...]
2020-03-09
[335]
뉴스
Trying to Solve a Covid Mystery: Africa's Low Death Rates
https://www.nytimes.[...]
2022-03-23
[336]
뉴스
Third wave sweeps across Africa as Covid vaccine imports dry up
https://www.theguard[...]
2021-06-07
[337]
웹사이트
Africa suffers worst surge in Covid cases as delta variant spurs third wave of pandemic
https://www.cnbc.com[...]
2021-07-08
[338]
뉴스
Africa marks its 'worst pandemic week' yet, with cases surging and vaccine scarce, the W.H.O. says.
https://www.nytimes.[...]
2021-07-08
[339]
뉴스
Africa Lags Behind Rest of World in COVID-19 Vaccination Coverage
https://www.voanews.[...]
2022-10-20
[340]
웹사이트
First confirmed case of novel coronavirus in Australia
https://www.health.g[...]
2020-01-25
[341]
뉴스
Going viral: Timeline shows how COVID-19 infected Queensland
https://www.brisbane[...]
2021-01-27
[342]
웹사이트
WHO COVID-19 Dashboard
https://covid19.who.[...]
2020-04-24
[343]
뉴스
Australia records 10th day of no local COVID-19 cases
https://www.reuters.[...]
2021-02-27
[344]
뉴스
Australia's Island State Pays High Price for Virus Victory
https://www.bloomber[...]
2020-09-24
[345]
뉴스
One Case, Total Lockdown: Australia's Lessons for a Pandemic World
https://www.nytimes.[...]
2021-02-01
[346]
뉴스
Another state has given up on COVID zero. It shows Delta is a formidable foe
https://www.abc.net.[...]
2021-09-01
[347]
뉴스
New Zealand Covid elimination strategy to be phased out, Ardern says
https://www.theguard[...]
2021-10-04
[348]
뉴스
SA opened its borders to COVID-19 this week. Here's what we've learned
https://www.abc.net.[...]
2021-11-27
[349]
뉴스
Everything you need to know as Queensland's border FINALLY reopens to Australia
https://7news.com.au[...]
2021-12-12
[350]
뉴스
5,000 arrivals in a day: Hobart Airport predicted to have busiest day on record
https://www.abc.net.[...]
2021-12-14
[351]
뉴스
Hitting the Omicron peak is just the beginning: This is what's in store next for Australia
https://www.abc.net.[...]
2022-01-29
[352]
뉴스
Western Australia Finally Opens Border After COVID-19 Closure
https://www.voanews.[...]
2022-03-03
[353]
웹사이트
WATCH LIVE: WA to ditch masks, proof of vaccination and capacity limits
https://www.watoday.[...]
2022-04-26
[354]
웹사이트
WA public health rules to change as COVID-19 case numbers drop
https://www.theage.c[...]
2022-09-02
[355]
웹사이트
COVID-19 update 9 September 2022
https://ww2.health.w[...]
[356]
뉴스
Australia to move away from reporting daily COVID-19 case numbers
https://www.abc.net.[...]
2022-09-07
[357]
뉴스
Paid pandemic leave extended while mandatory isolation continues
https://indaily.com.[...]
2022-09-14
[358]
뉴스
Victoria becomes final state to scrap COVID mask rule
https://7news.com.au[...]
2022-09-21
[359]
웹사이트
As Australia calls end to COVID emergency response, doctors warn of risk to public
https://www.reuters.[...]
2022-09-30
[360]
뉴스
One continent remains untouched by the coronavirus: Antarctica
https://www.washingt[...]
2020-03-24
[361]
뉴스
What life is like on Antarctica, the only continent without a case of coronavirus
https://abcnews.go.c[...]
2020-03-20
[362]
뉴스
Pacific islands, Antarctic bases: coronavirus-free living in some of Earth's most isolated places
https://www.scmp.com[...]
2020-03-31
[363]
뉴스
Coronavirus reaches end of earth as first outbreak hits Antarctica
https://www.reuters.[...]
2020-12-22
[364]
뉴스
Antarctica's biggest Covid outbreak yet puts US station McMurdo on pause
https://www.theguard[...]
2022-11-08
[365]
웹사이트
Global Ceasefire Call Deserves UN Security Council's Full Support
https://www.crisisgr[...]
2020-04-09
[366]
웹사이트
UN tallies action so far to fight COVID-19, and roadmap out of the pandemic
https://news.un.org/[...]
2020-06-25
[367]
논문
The COVID-19 test of the United Nations Security Council
https://journals.sag[...]
2021-03-01
[368]
뉴스
U.N. Security Council 'Missing In Action' in Coronavirus Fight
https://www.nytimes.[...]
2020-04-02
[369]
웹사이트
Transcript of the Secretary-General's virtual press encounter on the appeal for global ceasefire
https://www.un.org/s[...]
2020-03-23
[370]
웹사이트
COVID-19: UN chief calls for global ceasefire to focus on 'the true fight of our lives'
https://news.un.org/[...]
2020-03-23
[371]
웹사이트
170 signatories endorse UN ceasefire appeal during COVID crisis
https://news.un.org/[...]
2020-06-24
[372]
웹사이트
S/RES/2532(2020) – E – S/RES/2532(2020)
https://undocs.org/e[...]
[373]
웹사이트
Stalled Security Council resolution adopted, backing UN's global humanitarian ceasefire call
https://news.un.org/[...]
2020-07-01
[374]
뉴스
U.N. chief urges increase in funding for IMF to help pandemic-hit countries
https://www.reuters.[...]
2020-09-29
[375]
웹사이트
COVAX
https://www.who.int/[...]
[376]
뉴스
Factbox: Vaccines delivered under COVAX sharing scheme for poorer countries
https://www.reuters.[...]
2022-11-25
[377]
웹사이트
The IMF's Response to COVID-19
https://www.imf.org/[...]
[378]
서적
COVID-19 and the Sustainable Development Goals
Elsevier
2022
[379]
뉴스
U.S. Intelligence Report Warns of Global Consequences of Social Fragmentation
https://www.nytimes.[...]
2021-04-08
[380]
뉴스
Coronavirus Travel Restrictions, Across the Globe
https://www.nytimes.[...]
2020-03-26
[381]
뉴스
New Zealand sets date for reopening to tourists after nearly two years
https://www.reuters.[...]
2021-11-24
[382]
뉴스
Travel to Australia during Covid-19: What you need to know before you go
https://www.cnn.com/[...]
2021-03-11
[383]
뉴스
Coronavirus spikes outside China show travel bans aren't working
https://www.national[...]
2020-02-24
[384]
논문
The effect of travel restrictions on the spread of the 2019 novel coronavirus (COVID-19) outbreak
2020-04-01
[385]
논문
Ten Takeaways from the COVID-19 Pandemic for Transportation Planners
2023-04-01
[386]
뉴스
COVID-19: Study shows that travel restrictions are most useful in the early and late phase of an epidemic
https://www.oxfordma[...]
2020-03-25
[387]
뉴스
Coronavirus: EU rules out Schengen border closures amid Italy outbreak
https://www.dw.com/e[...]
Deutsche Welle
2020-02-24
[388]
뉴스
Commission chief warns against unilateral virus travel bans
https://www.euractiv[...]
2020-03-13
[389]
웹사이트
Repatriated citizens to be reunited with families
https://www.sanews.g[...]
2020-03-29
[390]
뉴스
4th batch of 53 Indians evacuated from Iran: S Jaishankar
https://economictime[...]
2020-03-16
[391]
웹사이트
US-led coalition in Iraq drawing down over coronavirus concerns
https://thehill.com/[...]
2020-03-20
[392]
뉴스
'Most significant crisis in the history of travel': where to now for tourism?
https://www.smh.com.[...]
2020-04-04
[393]
뉴스
You've Got Mail ... Finally: The Pandemic Is Jamming Up the World's Post
https://www.wsj.com/[...]
2020-05-05
[394]
뉴스
How COVID permanently changed shopping and restaurants
https://www.axios.co[...]
2023-03-17
[395]
웹사이트
How Retailers Globally are Responding to Coronavirus by Aislelabs
https://www.aislelab[...]
2020-04-02
[396]
뉴스
Half the world's workers face losing their jobs, says ILO
https://www.aljazeer[...]
Al Jazeera
2020-04-29
[397]
뉴스
No jobs, so what future? Half the world's workforce on the edge.
https://www.csmonito[...]
2020-05-06
[398]
뉴스
Americans have filed more than 40 million jobless claims in past 10 weeks, as another 2.1 million filed for benefits last week
https://www.washingt[...]
2020-05-28
[399]
뉴스
Yelp data shows 60% of business closures due to the coronavirus pandemic are now permanent
https://www.cnbc.com[...]
2020-09-16
[400]
뉴스
Pandemic slashes worldwide income from work by a tenth: ILO
https://www.reuters.[...]
2020-09-23
[401]
논문
The Psychological Causes of Panic Buying Following a Health Crisis
2020-05
[402]
뉴스
The hustlers and scammers behind the pandemic supply chain nightmare
https://www.theverge[...]
2022-04-19
[403]
논문
Conserving Supply of Personal Protective Equipment—A Call for Ideas
https://jamanetwork.[...]
2020-05-19
[404]
뉴스
Global Finance Magazine – Poorest Countries in the World 2023
https://www.gfmag.co[...]
2023-05-02
[405]
논문
The impact of COVID-19 on African economies: An introduction
2021-04
[406]
웹사이트
Food Security and COVID-19
https://www.worldban[...]
[407]
뉴스
US oil prices turn negative as demand dries up
https://www.bbc.com/[...]
BBC
2020-04-21
[408]
뉴스
Energy crunch: How high will oil prices climb?
https://www.aljazeer[...]
2021-09-27
[409]
뉴스
Cascade of problems fuels world energy crisis as another winter looms
https://www.nbcnews.[...]
2021-10-08
[410]
웹사이트
Here are the museums that have closed (so far) due to coronavirus
https://www.theartne[...]
2020-03-14
[411]
서적
UNESCO The Universal Declaration on Cultural Diversity: Marking the 20th Anniversary
Khalili Foundation
[412]
뉴스
UNESCO: 10 million creative jobs lost in Covid crisis
https://www.thestage[...]
[413]
웹사이트
The Ultimate Guide to Virtual Museum Resources
https://mcn.edu/a-gu[...]
2020-03-15
[414]
뉴스
Federal government announces aggressive measures to battle COVID-19 as parliament suspended until April
https://nationalpost[...]
2020-03-13
[415]
웹사이트
Coronavirus in the Corridors of Power
https://foreignpolic[...]
2020-03-18
[416]
뉴스
15 States Have Postponed Primaries During the Pandemic. One Has Canceled.
https://www.nytimes.[...]
2020-04-27
[417]
간행물
null
The Economist
2020-04-04
[418]
논문
Covid-19 Outbreak in Brazil: Health, Social, Political, and Economic Implications
SAGE Publications
2022-09-04
[419]
논문
Brazil in the Time of Coronavirus
Universidad Complutense de Madrid (UCM)
2020-05-11
[420]
뉴스
Another Health Minister in Brazil Exits Amid Chaotic Coronavirus Response
https://www.nytimes.[...]
2020-05-15
[421]
논문
Brazilian report on the coronavirus crisis: A clash of pandemics
https://pesquisa.bvs[...]
2023-06-14
[422]
논문
Coronavirus, Capitalism in Crisis and the Perversity of Public Health in Bolsonaro's Brazil
SAGE Publications
2020-10-18
[423]
뉴스
Brazil stocks post steepest fall since 1998, real hits historic low 5.00 per dollar
https://www.reuters.[...]
2020-03-12
[424]
논문
SARS-CoV-2 epidemic in Brazil: how the displacement of variants has driven distinct epidemic waves
Elsevier BV
[425]
뉴스
Covid: Brazil's daily deaths surpass 3,000 for first time
https://www.bbc.com/[...]
2023-06-14
[426]
뉴스
Brazil COVID-19: 'Humanitarian Crisis' With More Than 3,000 Deaths A Day
https://www.npr.org/[...]
2023-06-14
[427]
서적
Illegitimate Authority
Haymarket Books
2023-05-09
[428]
뉴스
Jair Bolsonaro is poised to lose the Brazilian election
https://www.economis[...]
2023-06-14
[429]
뉴스
Bolsonaro, in defeat, may now face charges.
https://www.nytimes.[...]
2023-06-14
[430]
뉴스
C.I.A. Hunts for Authentic Virus Totals in China, Dismissing Government Tallies
https://www.nytimes.[...]
2020-04-02
[431]
뉴스
China Denies Cover-Up, Rejects 'Politicization' of Coronavirus
https://www.bloomber[...]
2020-06-07
[432]
뉴스
China says there has never been a cover-up on coronavirus outbreak
https://www.reuters.[...]
2023-06-06
[433]
뉴스
Chen Qiushi: Chinese journalist missing since February 'under state supervision'
https://www.bbc.com/[...]
2021-02-16
[434]
뉴스
Li Zehua: Journalist who 'disappeared' after Wuhan chase reappears
https://www.bbc.com/[...]
2021-02-16
[435]
뉴스
Zhang Zhan: China jails citizen journalist for Wuhan reports
https://www.bbc.com/[...]
2021-02-16
[436]
웹사이트
Citizen journalist detained over Wuhan reporting 'restrained and fed by tube'
https://www.theguard[...]
2021-02-16
[437]
뉴스
Italy criticises EU for being slow to help over coronavirus epidemic
https://www.theguard[...]
2023-06-06
[438]
뉴스
The EU Is Abandoning Italy in Its Hour of Need
https://foreignpolic[...]
2023-06-06
[439]
뉴스
China is winning the coronavirus propaganda war
https://www.politico[...]
2020-03-18
[440]
뉴스
Russian army to send coronavirus help to Italy after Putin phone call
https://www.reuters.[...]
2020-03-22
[441]
뉴스
Quelle polemiche infondate sugli aiuti russi all'Italia
https://it.insideove[...]
2020-03-28
[442]
뉴스
Coronavirus: EU Medical Teams deployed to Italy
https://ec.europa.eu[...]
Europa (web portal)
2020-07-01
[443]
뉴스
EU offers 'heartfelt apology' to Italy over coronavirus response
https://www.theguard[...]
2020-07-01
[444]
뉴스
Protesters at Statehouse demand state reopen as DeWine announces schools to remain closed
https://www.dispatch[...]
2020-05-03
[445]
뉴스
Coronavirus: Anti-Lockdown Protests Grow Across US
https://web.archive.[...]
2020-04-17
[446]
웹사이트
Instacart, Amazon workers strike as labor unrest grows during coronavirus crisis
https://www.reuters.[...]
2020-07-24
[447]
뉴스
Trump's Re-election Chances Suddenly Look Shakier
https://www.nytimes.[...]
2020-03-15
[448]
뉴스
The Economy Is Collapsing. So Are Trump's Reelection Chances.
https://www.theatlan[...]
2020-05-03
[449]
뉴스
Could the Pandemic Wind Up Fixing What's Broken About Work in America?
https://www.nytimes.[...]
2020-05-03
[450]
뉴스
Five ways the coronavirus could change American politics
https://thehill.com/[...]
2020-05-03
[451]
웹사이트
America's botched response to the coronavirus is a problem bigger than Donald Trump
https://www.bostongl[...]
[452]
뉴스
Unvaccinated COVID-19 hospitalizations cost billions of dollars
https://www.healthsy[...]
2022-05-03
[453]
뉴스
As Biden vaccine mandates loom, protests for personal freedoms swell. What happens next?
https://www.usatoday[...]
2023-06-06
[454]
뉴스
Biden administration withdraws Covid vaccine mandate for businesses after losing Supreme Court case
https://www.cnbc.com[...]
2023-06-06
[455]
웹사이트
National Federation of Independent Business v. Department of Labor, Occupational Safety and Health Administration
https://www.scotusbl[...]
2023-06-06
[456]
뉴스
Record number of journalists imprisoned in 2020 – report
https://www.reuters.[...]
2021-02-16
[457]
웹사이트
Press freedom: Journalists end up in jail for reporting on coronavirus crisis
https://www.dw.com/e[...]
Deutsche Welle
2020-12-14
[458]
뉴스
How coronavirus derailed the largest Nato exercise in 25 years
https://www.spectato[...]
2020-03-20
[459]
뉴스
NATO scales down exercises due to coronavirus
https://www.reuters.[...]
2020-03-19
[460]
뉴스
Will Iran's Regime Survive Coronavirus?
https://www.national[...]
2020-03-12
[461]
뉴스
Coronavirus Pandemic Forces a Cease-Fire in Yemen
https://foreignpolic[...]
2020-04-09
[462]
뉴스
Japan and Korea Won't Let A Pandemic Stop Them Fighting
https://foreignpolic[...]
2020-03-12
[463]
웹사이트
Authoritarian leaders may use Covid-19 crisis to tighten their grip
https://www.theguard[...]
2020-03-31
[464]
뉴스
For Autocrats, and Others, Coronavirus Is a Chance to Grab Even More Power
https://www.nytimes.[...]
2020-03-30
[465]
웹사이트
Hungarian parliament votes to let Viktor Orban rule by decree in wake of coronavirus pandemic
https://edition.cnn.[...]
CNN
2020-03-30
[466]
뉴스
Reporting on the coronavirus: Egypt muzzles critical journalists
https://www.dw.com/e[...]
Deutsche Welle
2020-04-03
[467]
뉴스
Coronavirus Has Started a Censorship Pandemic
https://foreignpolic[...]
2020-04-01
[468]
뉴스
Some leaders use pandemic to sharpen tools against critics
https://www.seattlet[...]
2020-04-16
[469]
뉴스
Asia cracks down on coronavirus 'fake news'
https://www.straitst[...]
2020-04-10
[470]
웹사이트
As COVID-19 spreads, India tries to control the narrative by targeting journalists
https://www.latimes.[...]
2020-10-04
[471]
웹사이트
Q&A: COVID-19 pandemic – impact on food and agriculture
https://www.fao.org/[...]
2020-10-16
[472]
논문
The COVID-19, Obesity, and Food Insecurity Syndemic
2022-09-01
[473]
서적
The State of Food Security and Nutrition in the World 2020
https://www.fao.org/[...]
2020
[474]
논문
COVID-19 and impacts on global food systems and household welfare: Introduction to a special issue
2021-05-01
[475]
웹사이트
UN report: Pandemic year marked by spike in world hunger
https://www.who.int/[...]
2021-12-14
[476]
논문
Addressing the Consequences of School Closure Due to COVID-19 on Children's Physical and Mental Well-Being
2020-08-01
[477]
웹사이트
COVID afecta salud, educación y entorno familiar de niñas y niños, señala estudio del IBD
https://comunicacion[...]
2021-05-01
[478]
뉴스
Covid: Many students say their mental health is worse due to pandemic
https://www.bbc.com/[...]
2021-03-31
[479]
논문
Transformation of chronic disease management: Before and after the COVID-19 outbreak
2023-03-29
[480]
논문
Reduction in ST-Segment Elevation Cardiac Catheterization Laboratory Activations in the United States During COVID-19 Pandemic
2020-06-01
[481]
뉴스
Where are all our patients?: Covid phobia is keeping people with serious heart symptoms away from ERs
https://www.statnews[...]
Stat News
2020-04-23
[482]
논문
Decrease in Stroke Diagnoses During the COVID-19 Pandemic: Where Did All Our Stroke Patients Go?
2020-10-21
[483]
논문
Increasing incidence of complicated appendicitis during COVID-19 pandemic
2021-05-01
[484]
뉴스
Medication Shortages Are the Next Crisis
https://www.theatlan[...]
2020-04-28
[485]
웹사이트
Coronavirus Disease 2019 (COVID-19)
https://www.cdc.gov/[...]
2020-02-11
[486]
웹사이트
Pandemic Year 1 Saw a Dramatic Global Rise in Anxiety and Depression
https://www.scientif[...]
[487]
논문
A Systematic Review of the Impact of Viral Respiratory Epidemics on Mental Health: An Implication on the Coronavirus Disease 2019 Pandemic
2020-11-23
[488]
논문
Global prevalence and burden of depressive and anxiety disorders in 204 countries and territories in 2020 due to the COVID-19 pandemic
2021-10-08
[489]
논문
Epidemiology of Respiratory Infections during the COVID-19 Pandemic
2023-05-13
[490]
뉴스
The Worst Pediatric-Care Crisis in Decades
https://www.theatlan[...]
The Atlantic
2022-10-31
[491]
뉴스
A 'Tripledemic'? Flu, R.S.V. and Covid May Collide This Winter, Experts Say
https://www.nytimes.[...]
2022-10-23
[492]
논문
Can group A streptococcus infections be influenced by viruses in the respiratory tract?
https://www.thelance[...]
2023-02-01
[493]
뉴스
Father of girl, 4, fighting for life with Strep A infection is 'praying for a miracle'
https://www.bbc.com/[...]
BBC News
2022-12-03
[494]
뉴스
Strep A kills three more children as UK activates alternative medicines plan: At least 19 children have died and scarlet fever cases are more than treble what they were in previous high season
https://www.theguard[...]
2022-12-15
[495]
뉴스
US children's hospitals are tracking increases in severe strep infections
https://abcnews.go.c[...]
ABC News
2022-12-16
[496]
논문
COVID-19 with underdiagnosed influenza B and parainfluenza-2 co-infections in Saudi Arabia: Two case reports
2021-11-01
[497]
논문
Influenza lineage extinction during the COVID-19 pandemic?
2021-12-01
[498]
웹사이트
Questions and Answers: Recommended composition of influenza virus vaccines for use in the southern hemisphere 2024 influenza season and development of candidate vaccine viruses for pandemic preparedness
https://cdn.who.int/[...]
2023-09-29
[499]
웹사이트
WHO advisers recommend switch back to trivalent flu vaccines
https://www.cidrap.u[...]
2023-09-29
[500]
웹사이트
Earth Observatory
https://earthobserva[...]
2020-02-28
[501]
논문
Environmental effects of COVID-19 pandemic and potential strategies of sustainability
2020-09-01
[502]
논문
The impact of COVID-19 on domestic U.S. air travel operations and commercial airport service
https://www.scienced[...]
2021-03-01
[503]
웹사이트
The air got cleaner in 2020, thanks to the pandemic
https://www.cbsnews.[...]
2020-11-19
[504]
뉴스
How Wild Animals Actually Responded to Our COVID Lockdowns
https://www.scientif[...]
Scientific American
2024-03-18
[505]
논문
SARS-CoV-2 as a Zooanthroponotic Infection: Spillbacks, Secondary Spillovers, and Their Importance
2022-10-31
[506]
논문
Spread of Mink SARS-CoV-2 Variants in Humans: A Model of Sarbecovirus Interspecies Evolution
2021-09-20
[507]
논문
An outbreak of SARS-CoV-2 with high mortality in mink (Neovison vison) on multiple Utah farms
2021-11-12
[508]
뉴스
Widespread Coronavirus Infection Found in Iowa Deer, New Study Says
https://www.nytimes.[...]
2021-11-02
[509]
뉴스
COVID is spreading in deer. What does that mean for the pandemic?
https://www.nature.c[...]
Nature
2022-04-26
[510]
논문
Accelerated evolution of SARS-CoV-2 in free-ranging white-tailed deer
2023-08-28
[511]
뉴스
'Homelessness is lethal': US deaths among those without housing are surging
https://www.theguard[...]
2022-02-07
[512]
뉴스
Virus-induced racism does no one any good
https://www.bangkokp[...]
2020-02-10
[513]
뉴스
The Coronavirus and the Search for Scapegoats
https://www.psycholo[...]
2020-02-06
[514]
뉴스
Anti-Chinese racism spikes as virus spreads globally
https://www.telegrap[...]
2020-02-01
[515]
뉴스
Spit On, Yelled At, Attacked: Chinese-Americans Fear for Their Safety
https://www.nytimes.[...]
2020-03-23
[516]
뉴스
Chinese-Americans, Facing Abuse, Unite to Aid Hospitals in Coronavirus Battle
https://www.nytimes.[...]
2020-04-05
[517]
뉴스
Trump Defends Using 'Chinese Virus' Label, Ignoring Growing Criticism
https://www.nytimes.[...]
2020-03-18
[518]
웹사이트
Republicans are using racism against China to try to distract from Trump's disastrous coronavirus response
https://www.business[...]
2020-03-20
[519]
웹사이트
Trump Once Again Calls Covid-19 Coronavirus The 'Kung Flu'
https://www.forbes.c[...]
[520]
논문
Ageism against older adults in the context of the COVID-19 pandemic: an integrative review
[521]
논문
COVID-19: stigmatising the unvaccinated is not justified
2021-11-20
[522]
논문
Stigma, vaccination, and moral accountability
2022-02-01
[523]
뉴스
Don't discriminate against the unvaccinated, Amnesty International tells Italy
https://www.reuters.[...]
2022-01-16
[524]
웹사이트
Data dive: How COVID-19 impacted ecommerce in 2020
https://www.digitalc[...]
[525]
웹사이트
More Consumers Are Turning to Food Delivery Apps amid Indoor Dining Restrictions
https://www.emarkete[...]
eMarketer.com
[526]
웹사이트
NYC Indoor Dining To Shut Down Monday, Cuomo Announces
https://www.ny1.com/[...]
Spectrum News NY1
2021-03-28
[527]
웹사이트
The future of hacking: COVID-19 shifting the way hackers work and who they target
https://www.security[...]
2021-03-28
[528]
웹사이트
The COVID-19 pandemic has changed education forever. This is how
https://www.weforum.[...]
2020-04-29
[529]
뉴스
Pandemic Threatens Long-Term Job Security After Hospitality Industry Layoffs
https://www.npr.org/[...]
NPR
2021-03-28
[530]
웹사이트
Travel industry layoffs begin as Congress fails to come up with new relief package
https://www.usatoday[...]
2021-03-28
[531]
뉴스
Workers feel corporate COVID-19, equity policies 'not genuine,' study says
https://www.thestar.[...]
2022-06-30
[532]
웹사이트
After Two Years of Remote Work, Workers Question Office Life
https://www.nytimes.[...]
2022-03-10
[533]
웹사이트
COVID-19 Pandemic Continues To Reshape Work in America
https://www.pewresea[...]
2022-02-16
[534]
웹사이트
Nearly 30 percent of work remains remote as workers dig in
https://thehill.com/[...]
2023-02-20
[535]
웹사이트
As Covid fades away, what's the future of remote work in Europe?
https://www.computer[...]
2023-03-14
[536]
논문
The global polarisation of remote work
Public Library of Science (PLoS)
2022-10-20
[537]
웹사이트
What does remote working look like around the world?
https://europeanstin[...]
2023-02-13
[538]
뉴스
Will remote work stick after the pandemic?
https://www.economis[...]
2022-01-15
[539]
웹사이트
Companies get aggressive on return-to-office
https://www.axios.co[...]
2023-06-13
[540]
논문
Historiography and Covid-19. Some considerations
https://www.mediterr[...]
2021-07-18
[541]
논문
Comparison of public health measures taken during Spanish flu and COVID-19 pandemics: A Narrative Review.
2022-05
[542]
논문
The 1918 Influenza Pandemic and Its Lessons for COVID-19
https://www.aeaweb.o[...]
2022-03
[543]
논문
Flu Masks Failed In 1918, But We Need Them Now
https://www.healthaf[...]
2020-05-12
[544]
웹사이트
Mask Resistance During a Pandemic Isn't New – in 1918 Many Americans Were 'Slackers'
https://www.michigan[...]
2020-10-29
[545]
뉴스
Fake news, conspiracy theories and a deadly global pandemic — and that was in 1918
https://www.salon.co[...]
2021-05-08
[546]
뉴스
What the COVID-19 pandemic and the 1918 flu pandemic have in common
https://www.medicaln[...]
2020-09-29
[547]
논문
Historical Insights on Coronavirus Disease 2019 (COVID-19), the 1918 Influenza Pandemic, and Racial Disparities: Illuminating a Path Forward
2020-09-15
[548]
논문
"A Divine Infection": A Systematic Review on the Roles of Religious Communities During the Early Stage of COVID-19
2022-02-01
[549]
논문
Inequalities in Covid-19 Messaging: A Systematic Scoping Review
https://www.tandfonl[...]
2022-07-19
[550]
논문
COVID-19 Information Sources and Misinformation by Faith Community
2022-01
[551]
웹사이트
Key findings about COVID-19 restrictions that affected religious groups around the world in 2020
https://www.pewresea[...]
2022-11-29
[552]
논문
Rules We Live by: How Religious Beliefs Relate to Compliance with Precautionary Measures Against COVID-19 in Tibetan Buddhists
2022-04-01
[553]
논문
The Role of Faith-Based Organizations in Improving Vaccination Confidence & Addressing Vaccination Disparities to Help Improve Vaccine Uptake: A Systematic Review
2023-02
[554]
논문
The Role of Religions in the COVID-19 Pandemic: A Narrative Review
2023-01
[555]
뉴스
Major Publishers Take Down Paywalls for Coronavirus Coverage
https://www.adweek.c[...]
[556]
웹사이트
Call to Make COVID-19 Data/Research Publicly Available
https://www.imagwiki[...]
imagwiki.nibib.nih.gov
[557]
웹사이트
PMC COVID-19 Collection
https://www.ncbi.nlm[...]
[558]
웹사이트
Coronavirus (COVID-19): sharing research data
https://wellcome.org[...]
2020-01-31
[559]
논문
A light in the dark: open access to medical literature and the COVID-19 pandemic
https://informationr[...]
2022-06-15
[560]
잡지
Coronavirus Research Is Moving at Top Speed—With a Catch
https://www.wired.co[...]
[561]
웹사이트
Huge text message campaigns spread coronavirus fake news
https://www.ft.com/c[...]
2020-03-20
[562]
뉴스
Disinformation and coronavirus
https://www.lowyinst[...]
Lowy Institute
2020-03-25
[563]
논문
Coronavirus conspiracy beliefs in the German-speaking general population: endorsement rates and links to reasoning biases and paranoia
2021-03
[564]
웹사이트
How The Covid-19 Pandemic Is Affecting Popular Culture
https://www.augustma[...]
August Man
2020-11-24
[565]
웹사이트
Are We Ready to Laugh About Covid-19? A British Sitcom Hopes So
https://www.nytimes.[...]
2020-12-16
[566]
웹사이트
COVID-19 will shape pop culture for years to come, but for now we love pandemic stories
https://www.abc.net.[...]
Australian Broadcasting Corporation
2020-04-13
[567]
간행물
Horror Films Have Always Tapped Into Pop Culture's Most Urgent Fears. COVID-19 Will Be Their Next Inspiration
https://time.com/589[...]
2020-10-07
[568]
뉴스
'Contagion' vs. coronavirus: The film's connections to a real life pandemic
https://www.cnn.com/[...]
2020-04-02
[569]
뉴스
Fact-Checking 'Contagion' — In Wake Of Coronavirus, The 2011 Movie Is Trending
https://www.npr.org/[...]
[570]
뉴스
I've seen 'Contagion' four times. No, the coronavirus outbreak isn't the same
https://www.latimes.[...]
2020-03-11
[571]
논문
COVID-19, Contagion, and Vaccine Optimism
2021-03
[572]
뉴스
The things my movie Contagion got wrong: The slow vaccine, the damaging president
https://www.irishtim[...]
[573]
웹사이트
How the Coronavirus Pandemic Affects Music Genres on Spotify
https://blog.chartme[...]
2020-04-23
[574]
간행물
The Pandemic Could Have Hurt Country Music. Instead, the Genre Is Booming
https://time.com/589[...]
[575]
논문
The changing epidemiology of SARS-CoV-2
2022-03-11
[576]
논문
COVID-19 2022 update: Transition of the pandemic to the endemic phase
[577]
논문
Projecting the SARS-CoV-2 transition from pandemicity to endemicity: Epidemiological and immunological considerations
2022-06-30
[578]
논문
Evaluating the Virology and Evolution of Seasonal Human Coronaviruses Associated with the Common Cold in the COVID-19 Era
2023-02-10
[579]
Review
The evolution of SARS-CoV-2
2023-06
[580]
웹사이트
WHO declares end to Covid global health emergency
https://www.nbcnews.[...]
2023-05-05
[581]
웹사이트
The WHO has not declared the Covid-19 pandemic over
https://fullfact.org[...]
FullFact.org
2023-05-12
[582]
뉴스
WHO says it no longer uses 'pandemic' category, but virus still emergency
https://www.reuters.[...]
2020-02-24
[583]
웹사이트
With the international public health emergency ending, WHO/Europe launches its transition plan for COVID-19
https://www.who.int/[...]
World Health Organization
2023-06-12
[584]
논문
How epidemics end
2021
[585]
간행물
Experts Can't Agree If We're Still in a Pandemic
https://time.com/689[...]
2024-03-11
[586]
웹사이트
Post-pandemic world economy still feeling COVID-19's sting
https://news.un.org/[...]
2023-05-16
[587]
뉴스
Not Everything Is Getting Back to Normal In the Post-Pandemic Economy
https://www.bloomber[...]
2023-06-23
[588]
웹사이트
The 'great resignation' didn't happen in Australia, but the 'great burnout' did
http://theconversati[...]
2023-03-19
[589]
웹사이트
Post-pandemic work in the public sector: A new way forward or a return to the past?
http://theconversati[...]
2023-04-27
[590]
웹사이트
IATA says airline industry is rapidly returning to profitability
https://www.euronews[...]
2023-06-05
[591]
웹사이트
Post-pandemic travel boom is running out of steam
https://www.japantim[...]
2023-07-28
[592]
뉴스
Can the post-pandemic travel boom endure?
https://www.ft.com/c[...]
2023-07-07
[593]
웹사이트
'Excess' Deaths Surging, but Why?
https://www.medscape[...]
[594]
웹사이트
Global immunisation rates show sign of post-pandemic rebound
https://news.un.org/[...]
2023-07-17
[595]
웹사이트
COVID pandemic created immunisation gaps in Africa. Over half a million children are at risk
https://www.gavi.org[...]
[596]
웹사이트
Routine vaccinations drop among U.S. kindergartners for the third year in a row
https://www.statnews[...]
2023-07-30
[597]
뉴스
Teenagers at risk after drop in vaccine take-up
https://www.bbc.com/[...]
2023-07-30
[598]
논문
[The epidemiological characteristics of an outbreak of 2019 novel coronavirus diseases (COVID-19) in China]
2020-02-00
[599]
논문
Clinical features of patients infected with 2019 novel coronavirus in Wuhan, China
2020-02-00
[600]
논문
Early Transmission Dynamics in Wuhan, China, of Novel Coronavirus-Infected Pneumonia
2020-03-00
[601]
논문
The Epidemiological Characteristics of an Outbreak of 2019 Novel Coronavirus Diseases (COVID-19) – China, 2020
https://weekly.china[...]
2020-03-18
[602]
뉴스
Coronavirus Death Toll Climbs in China, and a Lockdown Widens
https://www.nytimes.[...]
2020-02-10
[603]
뉴스
Philippines Reports First Coronavirus Death Outside China
https://www.nytimes.[...]
2020-02-04
[604]
웹사이트
Outbreak of severe acute respiratory syndrome coronavirus 2 (SARS‑CoV‑2): increased transmission beyond China – fourth update
https://www.ecdc.eur[...]
European Centre for Disease Prevention and Control
2020-03-08
[605]
웹사이트
Statement on the second meeting of the International Health Regulations (2005) Emergency Committee regarding the outbreak of novel coronavirus (2019-nCoV)
https://www.who.int/[...]
World Health Organization (WHO)
2020-01-30
[606]
웹사이트
https://wjw.wuhan.go[...]
Wuhan Municipal Health Commission
2020-02-08
[607]
웹사이트
Novel Coronavirus
https://www.who.int/[...]
World Health Organization (WHO)
2020-02-06
[607]
웹사이트
COVID-19 timeline in the Western Pacific
https://www.who.int/[...]
World Health Organization (WHO)
2020-07-06
[608]
뉴스
Countries Evaluate Evacuation of Citizens Amid Wuhan Coronavirus Panic
https://thediplomat.[...]
2020-01-31
[608]
웹사이트
Coronavirus: Second plane carrying 323 Indians from Wuhan to reach Delhi today
https://www.indiatod[...]
2020-02-02
[608]
웹사이트
België haalt landgenoten terug uit Chinese provincie Hubei na uitbraak coronavirus
https://www.vrt.be/v[...]
Vlaamse Radio- en Televisieomroeporganisatie
2020-01-27
[608]
뉴스
Last-Minute Preparations Underway to Evacuate Indonesian Citizens From Coronavirus-Ravaged Wuhan
https://jakartaglobe[...]
2020-01-30
[608]
뉴스
C130 aircraft on standby for Wuhan evacuation
https://www.bangkokp[...]
2020-01-26
[608]
뉴스
US arranging charter flight to evacuate American diplomats and citizens out of China amid coronavirus outbreak, official says
https://www.cnn.com/[...]
CNN.com|CNN
2020-01-27
[608]
뉴스
PH sending special flights to get Pinoys from Wuhan, Hubei in China
https://tempo.com.ph[...]
2020-01-29
[609]
웹사이트
Pakistan cancels flights to China as fears of coronavirus spread
https://www.dialogue[...]
2020-01-31
[610]
웹사이트
Aviões decolam de Wuhan, na China, com 40 passageiros repatriados ao Brasil e à Polônia
https://g1.globo.com[...]
2020-02-09
[611]
뉴스
Shifting Ground in Coronavirus Fight: U.S. Will Evacuate Americans From Cruise Ship
https://www.nytimes.[...]
2020-02-15
[612]
뉴스
Cruise ship passengers begin 14-day quarantine in Cornwall, Ont.
https://www.cbc.ca/n[...]
CBC News
2020-02-21
[613]
뉴스
Coronavirus, in dieci comuni lombardi: 50 mila persone costrette a restare in casa. Quarantena all'ospedale milanese di Baggio
https://milano.repub[...]
2020-02-23
[614]
웹사이트
The coronavirus exposes the history of racism and "cleanliness"
https://www.vox.com/[...]
2020-02-09
[615]
뉴스
Tech Sector Fears Supply Delays as Effects of Virus Ripple Through China
https://www.wsj.com/[...]
2020-02-26
[616]
뉴스
Procura por máscaras aumenta 100 vezes e prejudica luta contra o coronavírus
https://noticias.uol[...]
2021-05-20
[617]
뉴스
WHO warns of global shortage of face masks and protective suits
https://www.theguard[...]
2020-02-12
[618]
뉴스
China's first confirmed Covid-19 case traced back to November 17
https://www.scmp.com[...]
2020-03-13
[619]
웹사이트
WHO Director-General's opening remarks at the media briefing on COVID-19
https://www.who.int/[...]
World Health Organization (WHO)
2020-03-11
[620]
논문
The epidemiology and pathogenesis of coronavirus disease (COVID-19) outbreak
2020-05-00
[621]
뉴스
Mystery pneumonia virus probed in China
https://www.bbc.com/[...]
2020-01-29
[622]
논문
Another Decade, Another Coronavirus
2020-02-00
[623]
웹사이트
Expert interview: What is contact tracing?
https://publichealth[...]
Public Health England, Government of the United Kingdom
2020-02-28
[624]
논문
How will country-based mitigation measures influence the course of the COVID-19 epidemic?
2020-03-00
[625]
논문
Community Mitigation Guidelines to Prevent Pandemic Influenza – United States, 2017
https://stacks.cdc.g[...]
2017-04-12
[626]
간행물
Impact of non-pharmaceutical interventions (NPIs) to reduce COVID19 mortality and healthcare demand
https://www.imperial[...]
2020-03-16
[627]
웹사이트
Report of the WHO-China Joint Mission on Coronavirus Disease 2019 (COVID-19)
https://www.who.int/[...]
World Health Organization (WHO)
2020-03-08
[628]
잡지
How Iran Became A New Epicenter of the Coronavirus Outbreak
https://www.newyorke[...]
2020-02-24
[629]
뉴스
Italy suspends all China flights as coronavirus cases confirmed in Rome
https://www.thelocal[...]
2020-02-26
[630]
뉴스
Coronavirus: Strict new curbs on life in UK announced by PM
https://www.bbc.co.u[...]
2020-03-24
[631]
뉴스
What churches, mosques and temples are doing to fight the spread of coronavirus
https://www.cnn.com/[...]
CNN
2020-03-14
[632]
뉴스
Iran news agencies report Friday prayers canceled in Tehran
https://www.washingt[...]
[633]
뉴스
42 Shincheonji followers came to S. Korea from virus-hit Wuhan over 8 months: gov't
https://en.yna.co.kr[...]
2020-02-29
[634]
논문
Coronavirus cases have dropped sharply in South Korea. What's the secret to its success?
https://www.science.[...]
2020-03-17
[635]
뉴스
South Korea's Drive-Through Testing For Coronavirus Is Fast – And Free
https://www.npr.org/[...]
2020-03-13
[636]
뉴스
South Korea's coronavirus lessons: Quick, easy tests; monitoring
https://www.aljazeer[...]
Al Jazeera
2020-03-19
[637]
웹사이트
South Korea reports lowest number of new cases
https://www.bbc.com/[...]
2020-03-23
[638]
논문
Mystery deepens over animal source of coronavirus
2020-03
[639]
논문
Community Mitigation Guidelines to Prevent Pandemic Influenza – United States, 2017
2017-04
[640]
뉴스
China May Be Beating the Coronavirus, at a Painful Cost
https://www.nytimes.[...]
2020-03-07
[641]
웹사이트
Mass testing, alerts and big fines: the strategies used in Asia to slow coronavirus
https://www.theguard[...]
2020-03-11
[642]
웹사이트
Coronavirus: 7 dead, 229 infected in Italy as Europe braces for COVID-19
https://www.nbcnews.[...]
NBC News
2020-02-25
[643]
뉴스
'Hero who told the truth': Chinese rage over coronavirus death of whistleblower doctor
https://www.theguard[...]
2020-02-07
[644]
뉴스
How South Korea Lost Control of Its Coronavirus Outbreak
https://www.newyorke[...]
2020-03-04
[645]
웹사이트
Coronavirus Arrives in Iran: Two People Test Positive in Qom
https://irangov.ir/d[...]
Government of Iran
2020-02-19
[646]
웹사이트
Iran Confirms 3 New Coronavirus Cases
https://irangov.ir/d[...]
Government of Iran
2020-02-20
[647]
웹사이트
Iranian Doctors Call For 'Long Holiday' To Contain Coronavirus, As Sixth Victim Dies
https://en.radiofard[...]
Radio Free Europe/Radio Liberty
2020-02-22
[648]
웹사이트
Iran Announces Closure Of Universities, Schools As Coronavirus Death Toll Rises
https://en.radiofard[...]
Radio Free Europe/Radio Liberty
2020-02-23
[649]
뉴스
'Recipe for a Massive Viral Outbreak': Iran Emerges as a Worldwide Threat
https://www.nytimes.[...]
2020-02-24
[650]
뉴스
Coronavirus pummels Iran leadership as data show spread is far worse than reported
https://www.washingt[...]
2020-03-04
[651]
웹사이트
8% of Iran's parliament has the coronavirus, and it released 54,000 prisoners as the country descends into chaos
https://www.business[...]
2020-03-03
[652]
뉴스
Coronavirus pandemic 'could kill millions' in Iran
https://www.aljazeer[...]
Al Jazeera
2020-03-17
[653]
뉴스
Coronavirus: All sport in Italy suspended because of outbreak
https://www.bbc.co.u[...]
2020-03-09
[654]
뉴스
Italy coronavirus death toll overtakes China
https://www.independ[...]
2020-03-19
[655]
웹사이트
Coronavirus: sono 33.190 i positivi – Comunicato Stampa
https://www.protezio[...]
[656]
웹사이트
The U.K. is aiming for deliberate 'herd immunity'
https://fortune.com/[...]
[657]
뉴스
60% of UK population need to get coronavirus so country can build 'herd immunity', chief scientist says
https://www.independ[...]
2020-03-13
[658]
웹사이트
What is the UK advice on coronavirus?
https://www.bbc.com/[...]
2020-03-16
[659]
웹사이트
New data, new policy: why UK's coronavirus strategy changed
https://www.theguard[...]
2020-03-16
[660]
뉴스
UK PM Boris Johnson announces nationwide lockdown measures, telling cafes, pubs and restaurants to close
https://www.cnbc.com[...]
CNBC
2020-03-20
[661]
웹사이트
Coronavirus: Government to pay up to 80% of workers' wages
https://www.bbc.co.u[...]
[662]
웹사이트
Air New Zealand flight with kiwi evacuees departs Wuhan
https://www.stuff.co[...]
2020-02-05
[663]
웹사이트
Coronavirus: India sending IAF aircraft to evacuate its nationals from Iran
https://www.livemint[...]
2020-03-09
[664]
웹사이트
China sacked a brace of top officials in Hubei province, likely in a move to protect Xi Jinping from people's anger over the coronavirus outbreak
https://www.business[...]
2020-02-13
[665]
뉴스
U.S. sanctions 'severely hamper' Iran coronavirus fight, Rouhani says
https://www.reuters.[...]
2020-03-14
[666]
뉴스
Coronavirus quarantine plans ignite row between South Korea and Japan
https://www.theguard[...]
2020-10-21
[667]
뉴스
Coronavirus fears empty store shelves of toilet paper, bottled water, masks as shoppers stock up
https://www.usatoday[...]
2020-02-29
[668]
웹사이트
Shortage of personal protective equipment endangering health workers worldwide
https://www.who.int/[...]
World Health Organization (WHO)
2020-03-05
[669]
뉴스
Stocks record worst week since financial crisis as coronavirus concerns heat up
https://www.marketwa[...]
2020-02-28
[670]
웹사이트
Collapsed Flybe: 'Do not travel to the airport'
https://www.bbc.com/[...]
2020-03-05
[671]
뉴스
Coronavirus scare: Complete list of airlines suspending flights
https://www.indiatod[...]
2020-02-27
[672]
웹사이트
How Shopping Centres Globally are Responding to Coronavirus by Aislelabs
https://www.aislelab[...]
2020-03-23
[673]
웹사이트
Over 20,000 people have signed a petition to cancel SXSW over coronavirus worries. Here's a list of all the major event cancellations due to the outbreak so far.
https://www.business[...]
2020-03-02
[674]
뉴스
Coronavirus canceled their concerts, so artists like Yungblud are looking to live stream shows to fans
https://www.dailybre[...]
2020-03-15
[675]
웹사이트
The Social Distancing Festival Is Live Online
https://www.austinch[...]
2020-03-15
[676]
뉴스
Fears of new virus trigger anti-China sentiment worldwide
https://www.koreatim[...]
2020-02-02
[677]
웹사이트
London Racially Motivated Assault due to Coronavirus
https://www.itv.com/[...]
2020-03-04
[678]
뉴스
The U.S. Now Leads the World in Confirmed Coronavirus Cases
https://www.nytimes.[...]
2020-03-26
[679]
웹사이트
Scientists have been sounding the alarm on coronavirus for months. Why did Britain fail to act?
https://www.theguard[...]
2020-03-18
[680]
웹사이트
Situation reports
https://www.who.int/[...]
2020-12-14
[680]
웹사이트
Coronavirus COVID-19 Global Cases by Johns Hopkins CSSE
https://gisanddata.m[...]
2020-12-14
[680]
웹사이트
Coronavirus Update (Live)
https://www.worldome[...]
2022-07-24
[681]
웹사이트
コロナ後は「ニューノーマル2.0」 世界経済の景色は一変する:朝日新聞GLOBE+
https://globe.asahi.[...]
2020-12-30
[682]
웹사이트
活動再開の世界経済の命運、新型コロナワクチン頼りの様相強まる
https://www.bloomber[...]
2020-12-30
[683]
웹사이트
新型コロナウイルスを想定した「新しい生活様式」の実践例を公表しました
https://www.mhlw.go.[...]
2024-10-09
[684]
웹사이트
新型コロナの感染者 世界全体で6億人超える 最多はアメリカ
https://www3.nhk.or.[...]
NHKニュース
2022-08-27
[685]
웹사이트
世界のコロナ感染者、累計6億人を突破…日本は国別で10番目の約1800万人
https://www.yomiuri.[...]
読売新聞オンライン
2022-08-27
[686]
웹사이트
COVID-19 has caused 6.9 million deaths globally, more than double what official reports show
http://www.healthdat[...]
2021-05-06
[687]
웹사이트
New Study Estimates More Than 900,000 People Have Died Of COVID-19 In U.S.
https://www.npr.org/[...]
[688]
웹사이트
Global Covid death toll more than double official estimates, says IHME
https://www.cnbc.com[...]
2021-05-06
[689]
웹사이트
コロナ、「2年未満」で収束可能 スペイン風邪より短期間―WHO:時事ドットコム
https://web.archive.[...]
2020-12-31
[690]
웹사이트
世界の平均寿命、新型コロナで約2歳短縮 WHO
https://www.afpbb.co[...]
[691]
웹사이트
原因不明のウイルス性肺炎、中国・武漢で感染者続出 新型ウイルスか
https://www.cnn.co.j[...]
2020-03-07
[692]
웹사이트
新型ウイルスの世界的危険度、最高レベルに引き上げ=WHO
https://www.bbc.com/[...]
2020-03-07
[693]
뉴스
新型コロナは「パンデミック」に相当、WHO事務局長が表明
https://jp.reuters.c[...]
로이터
2020-03-12
[694]
뉴스
WHO「新型コロナウイルスはパンデミックと言える」
https://www3.nhk.or.[...]
NHKニュース
2020-03-12
[695]
웹사이트
新型コロナウイルスによる経済への影響を多方面からさぐる(2020年7月25日時点)(不破雷蔵) - Yahoo!ニュース
https://news.yahoo.c[...]
2020-07-25
[696]
뉴스
コロナが変える住宅市場 注目は「職・遊」組み込み型
https://www.nikkei.c[...]
日本経済新聞
2020-07-01
[697]
웹사이트
WHO、新型コロナ緊急事態宣言終了を発表 3年3カ月
https://www.nikkei.c[...]
2023-05-05
[698]
웹사이트
WHO、新型コロナの緊急事態宣言を終了 脅威は消えずと警告
https://www.bbc.com/[...]
2023-05-06
[699]
웹사이트
新型コロナは「エンデミック」へ 実態不明のまま増減を繰り返しつつ常在化
https://dot.asahi.co[...]
AERA dot.
2023-06-27
[700]
웹사이트
Getting your workplace ready for COVID-19
https://www.who.int/[...]
2020-02-27
[701]
논문
The epidemiology and pathogenesis of coronavirus disease (COVID-19) outbreak
http://www.sciencedi[...]
2020-02-26
[702]
뉴스
新型コロナ 症状に“味覚異常”など追加 米CDC
https://www3.nhk.or.[...]
NHKニュース
2020-04-28
[703]
웹사이트
新型コロナ 上気道のウイルス増殖がヒトヒト感染の原因か ニュース ミクスOnline
https://www.mixonlin[...]
2021-01-02
[704]
웹사이트
コロナ「突然重症化した人」の驚くべき共通点 The New York Times
https://toyokeizai.n[...]
2020-04-24
[705]
뉴스
大阪 ツアーガイドの女性 再び陽性に ウイルス増殖か 再感染か
https://www3.nhk.or.[...]
NHKニュース
2020-02-27
[706]
뉴스
新型コロナ わかった特徴は 2つの型存在 再感染の不安 期待がかかる薬と治療法
https://www.fnn.jp/p[...]
FNN PRIME
2020-03-06
[707]
웹사이트
コロナ変異種、従来型との違いは…専門家「基本的な防御策は同じ」 : 科学・IT : ニュース
https://www.yomiuri.[...]
2020-12-26
[708]
웹사이트
南ア保健相、新型コロナ変異種の確認を発表、冷静な対応を呼び掛け(南アフリカ共和国) ビジネス短信
https://www.jetro.go[...]
[709]
웹사이트
ワクチンの開発はとても大変だし時間もかかる – にしじまクリニックブログ
https://nishijima-cl[...]
[710]
웹사이트
米モデルナ コロナワクチン「94.5%の有効性」暫定結果を発表
https://www3.nhk.or.[...]
[711]
웹사이트
米ファイザー ワクチンに「95%の有効性」緊急使用許可 申請へ
https://www3.nhk.or.[...]
[712]
웹사이트
新型コロナワクチン 来月下旬にも接種開始へ体制整備急ぐ 政府
https://www3.nhk.or.[...]
[713]
웹사이트
新型コロナ(SARS-CoV-2)では集団免疫はできない?
http://www.nobuokaka[...]
菊池中央病院
[714]
논문
Another Decade, Another Coronavirus
2020-01
[715]
bioRxiv
Evidence of recombination in coronaviruses implicating pangolin origins of nCoV-2019
2020-02
[716]
웹사이트
Transmission of Covid-19 may have begun in November
https://portal.fiocr[...]
2020-03-10
[717]
뉴스
新型コロナは2019年9月にはイタリアに広がっていた──新研究
https://www.newsweek[...]
2020-11-17
[718]
뉴스
【新型コロナウイルス】 イタリア、2019年9月からすでに発生か
https://www.trt.net.[...]
TRT日本語
2020-11-16
[719]
뉴스
2019年夏にイタリアで新型コロナ存在していた可能性 最新研究
http://j.people.com.[...]
人民網日本語版
2020-11-16
[720]
웹사이트
昨年9月すでにイタリアに存在
https://note.com/eha[...]
えはら医院
2020-11-19
[721]
웹사이트
http://www.emro.who.[...]
[722]
웹사이트
コロナ対応で新指標「K値」 感染増減の傾向把握に - 日本経済新聞
https://www.nikkei.c[...]
2023-04-08
[723]
논문
Novel Indicator to Ascertain the Status and Trend of COVID-19 Spread: Modeling Study
http://www.jmir.org/[...]
2020-11-30
[724]
웹사이트
Total confirmed cases of COVID-19 per million people
https://ourworldinda[...]
Our World in Data
2020-04-16
[725]
웹사이트
European Centre for Disease Prevention and Control
https://opendata.ecd[...]
2020-12-31
[726]
웹사이트
超過死亡1,483万人、コロナ死の約3倍/Nature
https://www.carenet.[...]
ケアネット
2022-12-27
[727]
웹사이트
Global excess deaths associated with COVID-19 (modelled estimates)
https://www.who.int/[...]
WHO
2021-05-20
[728]
웹사이트
世界のコロナ死者、実は3倍 一方、日本は…超過死亡の数字から見る「日本のコロナ」
https://news.tv-asah[...]
テレビ朝日
2022-05-07
[729]
웹사이트
平均余命長い国、コロナ下の超過死亡率低く 慈恵医大
https://www.nikkei.c[...]
日本経済新聞
2022-10-21
[730]
웹사이트
Total confirmed deaths due to COVID-19 per million people
https://ourworldinda[...]
Our World in Data
2020-03-20
[731]
보고서
Tackling the mental health impact of the COVID-19 crisis: An integrated, whole-of-society response
https://www.oecd.org[...]
OECD
2021-05
[732]
웹사이트
Taking control
https://www.health.h[...]
2021-12-01
[733]
웹사이트
Focusing on past successes can help you make better decisions
https://www.health.h[...]
2021-04-01
[734]
논문
Analysis of hospital traffic and search engine data in Wuhan China indicates early disease activity in the Fall of 2019
https://dash.harvard[...]
2020-06-08
[735]
뉴스
新型コロナ、19年夏に発生していた可能性 研究
https://www.jiji.com[...]
2020-06-10
[736]
웹사이트
新型コロナは2019年9月にはイタリアに広がっていた──新研究
https://www.newsweek[...]
2020-11-18
[737]
논문
Unexpected detection of SARS-CoV-2 antibodies in the prepandemic period in Italy
https://journals.sag[...]
SAGE journals
2020-11-11
[738]
웹사이트
アングル:コロナ起源は「輸入冷凍食品」と中国主張、西側は反論
https://jp.reuters.c[...]
2020-11-29
[739]
뉴스
The first COVID-19 case originated on November 17, according to Chinese officials searching for 'Patient Zero'
https://www.msn.com/[...]
2020-03-13
[740]
웹사이트
Coronavirus Was In U.S. Weeks Earlier Than Previously Known, Study Says
https://www.npr.org/[...]
npr
2020-12-01
[741]
논문
Serologic testing of U.S. blood donations to identify SARS-CoV-2-reactive antibodies: December 2019-January 2020
https://academic.oup[...]
Oxford University Press for the Infectious Diseases Society of America 2020
2020-11-30
[742]
웹사이트
新型コロナウイルス、昨年12月半ばにはイタリア・ミラノに=下水調査
https://www.newsweek[...]
2020-06-20
[743]
웹사이트
Studio ISS su acque di scarico, a Milano e Torino Sars-Cov-2 presente già a dicembre
https://www.iss.it/p[...]
2020-06-18
[744]
웹사이트
French Doctors Find COVID-19 Case From December — A Month Before 1st Known Case There
https://www.npr.org/[...]
2020-05-05
[745]
논문
SARS-CoV-2 was already spreading in France in late December 2019
https://doi.org/10.1[...]
2020-06
[746]
웹사이트
內地疑爆發「新SARS」 武漢海鮮市場7人染肺炎需隔離
https://skypost.ulif[...]
[747]
웹사이트
武漢發現不明原因肺炎患者44例 未發現明顯人傳人證據 {{!}} 每經網
http://www.nbd.com.c[...]
2020-01-03
[748]
웹사이트
武漢市衛生健康委員會
http://wjw.wuhan.gov[...]
2020-01-11
[749]
웹사이트
【武漢肺炎】華婦泰國確診 屬首宗輸出個案 (19:15) - 20200113 - 港聞
https://news.mingpao[...]
2020-01-13
[750]
뉴스
Coronavirus likely in US as early as December 2019: Study
https://abcnews.go.c[...]
ABC News
2020-12-01
[751]
웹사이트
https://news.yahoo.c[...]
[752]
웹사이트
新型コロナでデマ拡散「インフォデミック」に踊らされない“リテラシー”とは
https://www.itmedia.[...]
[753]
웹사이트
【新型コロナ】マスク高額転売に〝鉄槌〟 異例のグレーゾーン介入
https://www.sankei.c[...]
産業経済新聞社
2020-03-07
[754]
웹사이트
新型肺炎、フィリピンで死者 WHO「中国外で初」
https://www.nikkei.c[...]
日本経済新聞
[755]
뉴스
Coronavirus: First US deaths weeks earlier than thought
https://www.bbc.com/[...]
BBC news
2020-04-22
[756]
웹사이트
1st Known U.S. COVID-19 Death Was Weeks Earlier Than Previously Thought
https://www.npr.org/[...]
npr
2020-04-22
[757]
웹사이트
County of Santa Clara Identifies Three Additional Early COVID-19 Deaths
https://www.sccgov.o[...]
Healthy SCC
2020-04-21
[758]
뉴스
新型ウイルス、早期警鐘の中国人医師が死亡 自身も感染
https://www.bbc.com/[...]
2020-02-07
[759]
뉴스
新型肺炎疑い、初の日本人死者
https://jp.reuters.c[...]
2020-02-08
[760]
뉴스
新型ウイルスの病状「COVID-19」と命名 WHO
https://web.archive.[...]
2020-02-12
[761]
뉴스
病名はCOVID-19、ウイルス名はSARS-CoV-2
https://medical.nikk[...]
2020-02-13
[762]
뉴스
中国の新型肺炎死者1000人超 感染者は4万2000人
https://www.nikkei.c[...]
2020-02-11
[763]
웹사이트
新型肺炎で国内初の死者
https://web.archive.[...]
2020-02-13
[764]
뉴스
日本など拒否のクルーズ船、カンボジアに到着
https://www.nikkei.c[...]
2020-02-13
[765]
뉴스
新型コロナウイルス 千葉県20代男性の感染確認 直近渡航歴なし
https://www3.nhk.or.[...]
2020-02-13
[766]
뉴스
新型ウイルス エジプトで初の感染者確認
https://web.archive.[...]
2020-02-15
[767]
뉴스
台湾、新型肺炎で初の死者 タクシー運転手が市中感染
https://www.nikkei.c[...]
2020-02-16
[768]
뉴스
新型ウイルス イランで初の感染者と死者確認
https://www3.nhk.or.[...]
2020-02-20
[769]
뉴스
国内感染、クルーズ船除き100人超に-きょうも北海道などで確認
https://www.bloomber[...]
2020-02-22
[770]
뉴스
新型ウイルス オーストリアとクロアチアで感染初確認
https://www3.nhk.or.[...]
2020-02-25
[771]
뉴스
イタリアの死者、12人に…ギリシャやブラジルでも初の感染者
https://www.yomiuri.[...]
2020-02-26
[772]
뉴스
新型コロナ、韓国の感染者1000人突破 死者11人に
https://www.nikkei.c[...]
2020-02-26
[773]
뉴스
新型コロナウイルス イタリアで感染者1000人超える
https://www3.nhk.or.[...]
2023-04-19
[774]
웹사이트
世界の新型ウイルス感染10万人突破、伊・イランなどで拡大目立つ
https://jp.reuters.c[...]
2020-03-07
[775]
웹사이트
新型コロナ、100カ国で感染-NY州知事は大規模隔離に否定的
https://www.bloomber[...]
2020-03-08
[776]
뉴스
null
2020-03-17
[777]
웹사이트
イタリアの死者数 中国超え世界最多に 新型コロナウイルス
https://web.archive.[...]
2020-03-25
[778]
뉴스
新型コロナ症例数、米がイタリアと中国抜き世界最多に 「ピークはこれから」
https://www.cnn.co.j[...]
2020-04-10
[779]
뉴스
null
2020-04-02
[780]
뉴스
新型コロナ、世界の感染者100万人突破 死者は5.2万人超
https://jp.reuters.c[...]
2020-04-03
[781]
뉴스
新型コロナ死者、世界で10万人に 感染者160万人=ロイター集計
https://jp.reuters.c[...]
2020-04-10
[782]
뉴스
米国の新型コロナ感染症死者、世界最多に 2万人突破
https://jp.reuters.c[...]
2020-04-12
[783]
웹사이트
新型コロナ感染者、全世界で200万人を突破
https://www.cnn.co.j[...]
2020-04-20
[784]
웹사이트
国内感染1万人超す 新型コロナ、9日間で倍増(写真=共同)
https://www.nikkei.c[...]
2020-04-18
[785]
웹사이트
新型コロナ、国内感染者が1万人超す 拡大のペース加速
https://www.asahi.co[...]
2020-04-18
[786]
뉴스
世界コロナ感染者300万人、死者20.5万人超える=ロイター集計
https://jp.reuters.c[...]
2020-04-27
[787]
뉴스
米、新型コロナ感染者100万人突破 死者5.65万人超
https://jp.reuters.c[...]
2020-04-28
[788]
웹사이트
世界の感染者 400万人を突破 新型コロナウイルス
https://www3.nhk.or.[...]
2020-05-11
[789]
웹사이트
新型コロナ 感染確認世界で500万人超える 米大学まとめ
https://www3.nhk.or.[...]
2020-05-26
[790]
뉴스
アメリカの死者、10万人を超す 新型コロナウイルス
https://www.bbc.com/[...]
2020-05-28
[791]
뉴스
米 新型コロナ感染者200万人超える 経済再開も第2波へ警戒続く
https://www3.nhk.or.[...]
2020-06-11
[792]
뉴스
ブラジル 感染者1日で5万人以上 累計で100万人超 新型コロナ
https://www3.nhk.or.[...]
2020-06-20
[793]
웹사이트
感染者世界900万人突破、死亡は47万人―南米で拡大加速 : 新型コロナの国別感染者数(6月23日夕更新)
https://www.nippon.c[...]
2020-06-23
[794]
뉴스
新型コロナ 全世界の感染者が1,000万人を超える
https://headlines.ya[...]
2020-06-28
[795]
뉴스
アメリカ 新型コロナウイルス感染者 300万人超 米大学まとめ
https://www3.nhk.or.[...]
2020-07-09
[796]
뉴스
ブラジル 新型コロナ感染者200万人超に 経済再開に懸念の声も
https://www3.nhk.or.[...]
2020-07-17
[797]
뉴스
インド、新型ウイルスの感染確認100万人超す 検査拡大で
https://www.bbc.com/[...]
2020-07-17
[798]
뉴스
世界のコロナ感染者1500万人超す ペース衰えず
https://www.asahi.co[...]
2020-07-23
[799]
뉴스
米コロナ感染400万人 入院患者増加、医療逼迫の懸念
https://www.nikkei.c[...]
2020-07-24
[800]
뉴스
アメリカの新型ウイルス死者15万人超す 共和党の下院議員が感染
https://www.bbc.com/[...]
2020-07-30
[801]
뉴스
インド感染者200万人突破 地方で拡大、経済足かせに
https://www.nikkei.c[...]
2020-08-07
[802]
뉴스
アメリカ、コロナ感染者500万人突破、人口66人に1人感染
https://news.nifty.c[...]
2020-08-09
[803]
뉴스
ブラジル 新型コロナ感染者300万人超 大統領は経済再開加速
https://www3.nhk.or.[...]
2020-08-09
[804]
뉴스
全世界の新型コロナ感染者2000万人…わずか43日で1000万人増加
https://japanese.joi[...]
2020-08-10
[805]
뉴스
インド感染者300万人突破、2週間で100万人増
https://www.nikkei.c[...]
2020-08-23
[806]
뉴스
米国の新型コロナ感染者 世界初600万人突破
https://news.tbs.co.[...]
TBS NEWS
2020-08-31
[807]
뉴스
ロシアのコロナ感染者百万人超す 世界で4カ国目
https://www.tokyo-np[...]
東京新聞
2020-09-01
[808]
뉴스
ブラジル 新型コロナ感染者 計400万人超 貧困層中心に感染拡大
https://www3.nhk.or.[...]
NHK
2020-09-14
[809]
뉴스
インドで新型コロナ感染者400万人超
https://news.tbs.co.[...]
TBS NEWS
2020-09-06
[810]
뉴스
【新型コロナ】インド感染者数、世界2位に-東京五輪は開催とIOC
https://www.bloomber[...]
Bloomberg
2020-09-07
[811]
뉴스
インド、感染者500万人超え 政権、貧困層死亡で責任逃れ
https://web.archive.[...]
時事ドットコム
2020-09-16
[812]
뉴스
世界のコロナ感染者3千万人突破 「統制難しい」=韓国当局
https://jp.yna.co.kr[...]
聯合ニュース
2020-09-17
[813]
뉴스
アメリカの新型ウイルス死者、20万人を超える 世界最多
https://www.bbc.com/[...]
BBC NEWS
2020-09-24
[814]
뉴스
米国の感染者、累計700万人を突破【新型コロナの国別感染者数】9月26日午後更新
https://www.nippon.c[...]
nippon.com
2020-09-26
[815]
뉴스
インド、コロナ感染者600万人突破 米国に続き2カ国目
https://www.nikkei.c[...]
日本経済新聞
2020-09-28
[816]
뉴스
世界のコロナ死者100万人 9カ月足らず、感染3200万人超―AFP
https://web.archive.[...]
時事ドットコム
2020-09-28
[817]
웹사이트
How Trump’s COVID Diagnosis Could Affect Public Perceptions
https://www.scientif[...]
2020-10-04
[818]
뉴스
ソロモン諸島で初のコロナ感染確認 フィリピンから帰国の学生
https://web.archive.[...]
時事ドットコム
2020-10-05
[819]
뉴스
インド、新型コロナ死者10万人突破 冬に向け感染さらに拡大も
https://www.newsweek[...]
ニューズウィーク日本版
2020-10-04
[820]
뉴스
ブラジルの新型コロナ感染者、500万人超 リオではサンバ生演奏が解禁
https://web.archive.[...]
時事ドットコム
2020-10-08
[821]
뉴스
ブラジルの新型コロナウイルス死者、15万人超す 世界2位
https://wedge.ismedi[...]
WEDGE Infinity
2020-10-11
[822]
뉴스
インドの感染700万人突破 米に次ぎ2カ国目、世界最多近づく
https://www.sankei.c[...]
産経新聞
2020-10-11
[823]
뉴스
米コロナ感染、800万人に 中西部で「第3波」警戒
https://www.nikkei.c[...]
日本経済新聞
2020-10-17
[824]
뉴스
アルゼンチン、新型コロナ感染者が100万人突破 世界で5カ国目
https://jp.reuters.c[...]
REUTERS
2020-10-20
[825]
뉴스
コロナ感染者、4千万人超す
https://web.archive.[...]
共同通信社
2020-10-19
[826]
뉴스
スペイン、新型ウイルス感染者が100万人超える 6カ国目
https://www.bbc.com/[...]
BBC NEWS
2020-10-22
[827]
뉴스
【速報】フランスで感染者100万人超える
https://news.tbs.co.[...]
TBS NEWS
2020-10-22
[828]
뉴스
コロンビアで感染100万人超 世界で8カ国目
https://www.tokyo-np[...]
東京新聞
2020-10-25
[829]
뉴스
太平洋のマーシャル諸島、初の新型ウイルス感染者を確認
https://www.bbc.com/[...]
BBC NEWS
2020-10-29
[830]
뉴스
インドの感染者800万人超 新規感染数は減少続く―新型コロナ
https://web.archive.[...]
時事ドットコム
2020-10-30
[831]
뉴스
米の感染者再び急増、900万人を突破…2週間で約100万人増える
https://www.yomiuri.[...]
讀賣新聞
2020-10-31
[832]
뉴스
英“外出制限措置”感染者数100万人超
https://news.ntv.co.[...]
日テレNEWS24
2020-11-01
[833]
뉴스
アメリカでコロナ感染者が1000万人を突破
https://parstoday.co[...]
ParsToday
2020-11-07
[834]
뉴스
コロナ : フランスで死者4万人突破。
https://ovninavi.com[...]
Ovninavi
2020-11-08
[835]
뉴스
世界のコロナ感染者、5000万人突破 10月は最悪記録
https://jp.reuters.c[...]
REUTERS
2020-11-09
[836]
뉴스
南太平洋バヌアツ、初の新型コロナ感染者 米渡航の男性
https://www.cnn.co.j[...]
CNN
2020-11-12
[837]
뉴스
イタリアのコロナ累計感染者100万人突破、世界で10カ国目
https://jp.reuters.c[...]
REUTERS
2020-11-12
[838]
뉴스
イギリスの新型ウイルス死者、5万人超える 欧州初
https://www.bbc.com/[...]
BBC NEWS
2020-11-12
[839]
뉴스
メキシコ、新型コロナ感染100万人
https://www.nikkei.c[...]
日本経済新聞
2020-11-16
[840]
뉴스
サモアでコロナ感染者初確認、太平洋諸国でも感染拡大
https://www.afpbb.co[...]
AFPBB News
2020-11-20
[841]
뉴스
인도 감염자 900만 명 돌파 수도 데리 증가 기조
https://www.nikkei.c[...]
日本経済新聞
2020-11-21
[842]
뉴스
신형 코로나 누계 감염자 600만 명 브라질
https://web.archive.[...]
時事ドットコム
2020-11-20
[843]
뉴스
멕시코 코로나19 사망자 10만 명 돌파 미국 브라질 인도에 이어 4번째 국가
https://www.sponichi[...]
スポニチアネックス
2020-11-20
[844]
뉴스
이탈리아 코로나19 사망자 5만 명 초과 의료 관계자 감염도 잇따라
https://www3.nhk.or.[...]
NHK
2020-11-24
[845]
뉴스
신종 코로나 감염자 세계 전체 누계 6000만 명 초과
https://www3.nhk.or.[...]
NHK
2020-11-26
[846]
뉴스
독일 코로나 감염자 100만 명 돌파 하루 사망자 역대 최고
https://jp.reuters.c[...]
REUTERS
2020-11-27
[847]
뉴스
세계 코로나 사망자 누계 150만 명 초과 미국은 하루 2800명
https://www.nikkei.c[...]
日本経済新聞
2020-12-04
[848]
뉴스
이란 누적 감염자 100만 명 초과 중상자 5824명
http://www.jwing.net[...]
航空新聞社
2020-12-04
[849]
뉴스
미국의 코로나 감염자 누계 1500만 명 돌파 연말 확대 위험도
https://jp.reuters.c[...]
REUTERS
2020-12-09
[850]
뉴스
코로나 감염 하루 119만 명 증가 터키 통계 수정 반영
https://web.archive.[...]
時事ドットコム
2020-12-11
[851]
뉴스
세계 감염자 7000만 명 돌파 사망자 159만 명 미국 병원 200곳 이상 만원
https://www.yomiuri.[...]
読売新聞
2020-12-12
[852]
뉴스
신종 코로나 미국 사망자 수 30만 명 초과
https://www3.nhk.or.[...]
NHK
2020-12-15
[853]
뉴스
인도 코로나 감염자 1000만 명 초과 확대 속도는 감속 경향
https://web.archive.[...]
時事ドットコム
2020-12-19
[854]
뉴스
영국 수도 3번째 도시 봉쇄 코로나 변이 바이러스 확대
富山新聞
2020-12-21
[855]
뉴스
신종 코로나 바이러스 국내 감염자 20만 명 초과
https://www3.nhk.or.[...]
NHK
2020-12-21
[856]
웹사이트
남극서 첫 코로나 감염 최북단 근처 기지서 36명
https://jp.reuters.c[...]
로이터
2020-12-23
[857]
뉴스
페루 코로나 감염자 100만 명 돌파
https://jp.reuters.c[...]
REUTERS
2020-12-23
[858]
뉴스
이탈리아 코로나 감염자 200만 명 돌파 세계 8개국째
https://jp.reuters.c[...]
REUTERS
2020-12-25
[859]
뉴스
세계 코로나 감염자 8000만 명 돌파
https://parstoday.co[...]
ParsToday
2020-12-26
[860]
뉴스
남아프리카 코로나 감염자 100만 명 초과 아프리카 최초
https://www.afpbb.co[...]
AFPBB News
2020-12-28
[861]
뉴스
러시아 코로나 사망자 수 3배 초과 인정 세계 3위 18.6만 명
https://www.afpbb.co[...]
AFPBB News
2020-12-29
[862]
기타
존스홉킨스대 집계에는 반영되지 않음
[863]
뉴스
미국 코로나 감염자 2000만 명 초과 백신 접종 목표에 미달
https://web.archive.[...]
時事ドットコム
2021-01-02
[864]
뉴스
브라질 사망자 20만 명 초과 신규 감염 최악 8만 8000명 코로나19
https://web.archive.[...]
時事ドットコム
2021-01-08
[865]
뉴스
신종 코로나 감염 세계 9000만 명 초과 미국 재확산
https://www.nikkei.c[...]
日本経済新聞
2021-01-11
[866]
웹사이트
미크로네시아 코로나19 최초 확인 시중 감염 없음
https://www.afpbb.co[...]
AFP
2021-01-11
[867]
뉴스
독일 코로나 감염자 누계 200만 명 돌파 주총리 회의 앞당겨
https://www.newsweek[...]
Newsweek
2021-01-15
[868]
뉴스
세계 감염 사망 200만 명 돌파 최다 미국 39만 명 미국 대 집계
https://www.yomiuri.[...]
讀賣新聞オンライン
2021-01-16
[869]
뉴스
미국 코로나19 사망자 총 40만 명 초과 1개월 남짓 10만 명 사망
https://www3.nhk.or.[...]
NHK NEWS WEB
2021-01-20
[870]
뉴스
미국 감염자 수 2500만 명 초과 백신 접종에 과제도
https://news.livedoo[...]
ライブドアニュース
2021-01-25
[871]
뉴스
인도네시아 코로나 감염 100만 명 초과 동남아시아에서 두드러짐
https://www.nikkei.c[...]
日本経済新聞
2021-01-26
[872]
뉴스
영국의 코로나 사망자 10만 명 초과 변이종 감염 급속 확대로 급증
https://www.tokyo-np[...]
東京新聞 TOKYO Web
2021-01-27
[873]
뉴스
신종 코로나 세계 감염자 1억 명 초과
https://www3.nhk.or.[...]
NHK NEWS WEB
2021-01-27
[874]
뉴스
브라질 감염자 900만 명 초과 세계 3위 사망자 22만 명
https://www.tokyo-np[...]
東京新聞 TOKYO Web
2021-01-29
[875]
뉴스
스페인 코로나 감염 누계 300만 명 돌파 포르투갈 국경 폐쇄 연장
https://jp.reuters.c[...]
REUTERS
2021-02-10
[876]
뉴스
新型コロナ ブラジルの感染者1000万人超える
https://news.tbs.co.[...]
TBS NEWS
2021-02-19
[877]
뉴스
アフリカ死者10万超える コロナ第2波で急増
北日本新聞
2021-02-20
[878]
웹사이트
アメリカの死者、世界最多の50万人に 「残酷で悲痛な節目」とバイデン大統領
https://www.bbc.com/[...]
BBC NEWS JAPAN
2021-02-23
[879]
뉴스
コロナ、世界の死者250万人超に AFP集計
https://www.afpbb.co[...]
AFPBB News
2021-02-26
[880]
뉴스
伊のコロナ死者10万人突破、ドラギ首相「状況は悪化」
https://jp.reuters.c[...]
REUTERS
2021-03-09
[881]
뉴스
トルコ、新型コロナ死者が3万人突破 累計は300万人上回る
https://jp.reuters.c[...]
REUTERS
2021-03-22
[882]
뉴스
米コロナ感染3000万人突破、ワクチン対象を若年層に広げる動きも
https://jp.reuters.c[...]
REUTERS
2021-03-24
[883]
뉴스
「人殺し」とブラジル大統領に市民ら抗議…コロナ死者30万人突破、医療崩壊が現実味
https://www.yomiuri.[...]
讀賣新聞オンライン
2021-03-25
[884]
뉴스
仏、コロナ死者10万人突破 世界で8番目の多さ
https://jp.reuters.c[...]
REUTERS
2021-04-16
[885]
뉴스
世界の死者300万人超 変異ウイルスで感染者増加―新型コロナ
https://web.archive.[...]
時事ドットコム
2021-04-17
[886]
뉴스
累計感染者1500万人突破 デリーで外出禁止、変異株懸念も
https://www.nna.jp/n[...]
アジア経済ニュース
2021-04-20
[887]
뉴스
インド、コロナ死者20万人突破 病床や酸素不足で
https://www.nikkei.c[...]
日本経済新聞
2021-04-28
[888]
뉴스
世界の感染者が1億5千万人超 ブラジルでは死者40万人
https://www.sankei.c[...]
産経新聞
2021-04-30
[889]
뉴스
インド、感染者2000万人超に 新型コロナ、「第2波」続く
https://web.archive.[...]
時事ドットコム
2021-05-04
[890]
뉴스
インドの死者25万人超 新型コロナ
https://web.archive.[...]
時事ドットコム
2021-05-12
[891]
뉴스
インドのコロナ感染2500万人突破、首相地元でサイクロンが影響
https://jp.reuters.c[...]
REUTERS
2021-05-18
[892]
뉴스
インドのコロナ死者、計30万人超
https://www.nikkei.c[...]
日本経済新聞
2021-05-24
[893]
웹사이트
Palau records first coronavirus case but says no infection risk
https://www.france24[...]
フランス24
2021-07-06
[894]
뉴스
米 新型コロナ 死者60万人超 1日当たりでは一時期と比べ大幅減
https://www3.nhk.or.[...]
NHK NEWS WEB
2021-06-16
[895]
뉴스
新型コロナ アフリカ 感染500万人 死亡率 世界全体上回る
北日本新聞
2021-06-16
[896]
뉴스
ブラジル、コロナ死者50万人超 サッカー国際大会で多数感染
https://web.archive.[...]
時事ドットコム
2021-06-20
[897]
뉴스
インドネシアのコロナ感染累計200万人突破、首都などで規制強化
https://jp.reuters.c[...]
REUTERS
2021-06-22
[898]
뉴스
新型コロナ死者、10万人以上 反政府デモも影響―コロンビア
https://web.archive.[...]
時事ドットコム
2021-06-22
[899]
뉴스
インドの感染者3000万人超に 新たな感染者は減少続く
https://www3.nhk.or.[...]
NHK NEWS WEB
2021-06-23
[900]
뉴스
インドの新型コロナ死者が40万人超す、第2波で倍増
https://web.archive.[...]
REUTERS
2021-07-02
[901]
뉴스
コロナ死者、世界で400万人超 新興国で増加、デルタ株広がる
https://mainichi.jp/[...]
毎日新聞
2021-07-08
[902]
뉴스
アルゼンチンのコロナによる死者が10万人を突破 世界で11カ国目 14日だけで614人が死亡
https://www.sponichi[...]
スポニチアネックス
2021-07-15
[903]
뉴스
ブラジル、累計感染2千万人超す 米国、インドに続き3カ国目
https://www.tokyo-np[...]
東京新聞 TOKYO WEB
2021-08-04
[904]
뉴스
世界のコロナ感染者、累計2億人超・死者425万人に…デルタ株流行に歯止めがかからず
https://www.yomiuri.[...]
讀賣新聞オンライン
2021-08-05
[905]
뉴스
国内の累計感染者数100万人超 新型コロナ 急激な感染拡大続く
https://www3.nhk.or.[...]
NHK NEWS WEB
2021-08-06
[906]
뉴스
アフリカ大陸の累計感染者数が700万人を突破
https://www.jetro.go[...]
日本貿易振興機構
2021-08-20
[907]
뉴스
新型コロナ 国内感染150万人超える “第5波”で加速度的に拡大
https://www3.nhk.or.[...]
NHK NEWS WEB
2021-09-01
[908]
뉴스
世界の感染者2億2113.2万人 ―米国の感染者、累計4000万人を突破【新型コロナ国別感染者数】9月6日夜更新
https://www.nippon.c[...]
nippon.com
2021-09-07
[909]
뉴스
アメリカ 新型コロナの死者 70万人超 ワクチン接種率伸びず
https://web.archive.[...]
NHK NEWS WEB
2021-10-02
[910]
뉴스
ブラジル コロナ死者60万人超も規制緩和の政府対応に懸念の声
https://www3.nhk.or.[...]
NHK NEWS WEB
2021-10-09
[911]
뉴스
ロシア、コロナ感染800万人超す
https://www.nikkei.c[...]
日本経済新聞
2021-10-20
[912]
뉴스
新型コロナウイルスの死者 世界全体で500万人超える
https://www3.nhk.or.[...]
NHK NEWS WEB
2021-11-01
[913]
뉴스
世界の新型コロナ感染者、2億5千万人超す 英国やドイツで急増
https://www.asahi.co[...]
朝日新聞DIGITAL
2021-11-09
[914]
뉴스
イギリス 新型コロナ感染者 欧州初の累計“1000万人”超
https://www3.nhk.or.[...]
NHK NEWS WEB
2021-11-26
[915]
뉴스
米コロナ感染 5000万人超える 世界最多
北日本新聞
2021-12-15
[916]
뉴스
米 新型コロナ 死者の累計80万人超に オミクロン株警戒強まる
https://www3.nhk.or.[...]
NHK NEWS WEB
2021-12-15
[917]
뉴스
世界の感染者、累計3億人超える オミクロン株の市中感染が急増
https://www.asahi.co[...]
朝日新聞デジタル
2022-01-07
[918]
뉴스
米 新型コロナの死者90万人超に 感染者減少も入院など高い水準
https://www3.nhk.or.[...]
NHK NEWS WEB
2022-02-05
[919]
뉴스
世界のコロナ感染者4億人に オミクロン型で急増
https://www.nikkei.c[...]
日本経済新聞
2022-02-09
[920]
뉴스
新型コロナ 世界の死者数600万人超 WHO「感染対策の徹底を」
https://www3.nhk.or.[...]
NHK NEWS WEB
2022-03-07
[921]
웹사이트
韓国のコロナ感染、計1000万人超に 国民の5人に1人、派生型「BA・2」急拡大|【西日本新聞me】
https://www.nishinip[...]
2022-04-24
[922]
뉴스
世界のコロナ感染者数が累計5億人超す…2か月で1億人増、収束見通せず
https://www.yomiuri.[...]
讀賣新聞オンライン
2022-04-13
[923]
웹사이트
北朝鮮 “新型コロナ 感染者確認” 初めて公式に明らかに
https://www3.nhk.or.[...]
NHK
2022-05-12
[924]
웹사이트
「パンデミックは収束していない」バイデン大統領が警戒呼びかけ アメリカでコロナの死者100万人超
https://newsdig.tbs.[...]
TBS
2022-05-14
[925]
뉴스
国内のコロナ感染者、累計で1000万人超に…第6・7波だけで800万人
https://www.yomiuri.[...]
讀賣新聞オンライン
2022-07-15
[926]
뉴스
世界のコロナ感染6億人に 日本1800万人で10番目
https://www.nikkei.c[...]
日本経済新聞
2022-08-27
[927]
뉴스
米のコロナ累計1億人突破 カリフォルニア州が最多
https://mf.jiho.jp/a[...]
MEDIFAXweb
2022-11-21
[928]
뉴스
WHO 新型コロナ「緊急事態宣言」終了を発表
https://www3.nhk.or.[...]
NHK NEWS WEB
2023-05-05
[929]
웹사이트
訃報 RCCラジオ人気パーソナリティ 一文字弥太郎さん亡くなる 広島
https://news.rcc.jp/[...]
中国放送
2022-02-21
[930]
웹사이트
RCCパーソナリティーの一文字弥太郎さん死去
https://www.chugoku-[...]
中国新聞
2022-02-21
[931]
뉴스
hy4_4yhのプロデューサー江崎マサルが死去、新型コロナウイルス感染後に容体が急変
https://natalie.mu/m[...]
2021-09-06
[932]
뉴스
大牧 冨士夫氏 「徳山村史」執筆
https://www.gifu-np.[...]
2021-02-04
[933]
뉴스
俳優の岡江久美子さんが肺炎で死去 63歳 新型コロナに感染
https://www3.nhk.or.[...]
2020-04-23
[934]
웹사이트
【訃報】岡崎照幸師範 逝去のお知らせ - JKA 公益社団法人日本空手協会
https://www.jka.or.j[...]
2020-05-10
[935]
웹사이트
当社常勤役員の新型コロナウイルス感染について
https://www.mbs.jp/k[...]
毎日放送
2020-04-07
[936]
뉴스
外交評論家の岡本行夫氏が死去 新型コロナウイルスに感染
https://www3.nhk.or.[...]
NHK
2020-05-07
[937]
뉴스
小野清子さんが死去
https://web.archive.[...]
共同通信社
2021-03-17
[938]
웹사이트
神田川俊郎さん、死因は新型コロナウイルスによる肺炎
https://www.sanspo.c[...]
2021-04-27
[939]
뉴스
「料理の鉄人」でブレークした神田川俊郎さん死去 新型コロナウイルス感染による肺炎で
https://www.Tokyo-sp[...]
2021-04-25
[940]
웹사이트
三遊亭多歌介さんコロナ感染症で死去、54歳 家族も感染し療養中
https://www.nikkansp[...]
日刊スポーツ
2021-08-29
[941]
뉴스
コメディアンの志村けんさん死去 新型コロナ感染で肺炎発症
https://www3.nhk.or.[...]
NHK
2020-03-30
[942]
뉴스
大相撲・三段目の勝武士がコロナ感染死 28歳
https://www.nikkansp[...]
2020-05-13
[943]
뉴스
「この病気は怖い...」 妹2人を亡くし遺族が語る「恐怖と悲しみ」
https://www.fnn.jp/a[...]
FNN PRIME online
2020-05-07
[944]
웹사이트
「KENZO」立ち上げ デザイナーの高田賢三さんコロナ感染で死去
https://www3.nhk.or.[...]
NHK NEWS WEB
2020-10-05
[945]
뉴스
コロナで死去のオムロン元社長、最期に立ち会えなかった長男の無念 入院後、一度も対面できず「患者と家族つなぐ仕組みを」
https://www.kyoto-np[...]
京都新聞
2020-09-23
[946]
웹사이트
俳優・千葉真一さん死去 82歳 新型コロナによる肺炎のため
https://www.oricon.c[...]
oricon ME
2021-08-19
[947]
웹사이트
土屋嶢さん死去 大垣共立銀行会長
https://web.archive.[...]
岐阜放送
2020-11-04
[948]
뉴스
大垣共立銀の土屋会長死去 新型コロナ感染、74歳
https://web.archive.[...]
時事ドットコム
2020-11-04
[949]
뉴스
鍋島直昶さん死去 ジャズビブラフォンで佐賀藩主直系
https://www.asahi.co[...]
朝日新聞社
2021-01-10
[950]
뉴스
ビブラフォン奏者の鍋島直昶さん死去 94歳 世界最高齢バンドでギネス認定
https://mainichi.jp/[...]
毎日新聞
2021-01-10
[951]
뉴스
急逝の羽田雄一郎氏、新型コロナが死因 現職国会議員で初
https://web.archive.[...]
時事通信
2020-12-28
[952]
간행물
JTWOニュースレター 2020年6月号
http://www.jtwo.net/[...]
日本旅行作家協会
2020-06
[953]
뉴스
講道館理事の松下三郎さん新型コロナで死去 84歳
https://www.nikkansp[...]
日刊スポーツ
2020-04-20
[954]
웹사이트
白鵬の兄弟子で元音羽山親方の峯山賢一さんが死去、47歳 新型コロナ感染 - 大相撲 : 日刊スポーツ
https://www.nikkansp[...]
2021-07-03
[955]
뉴스
■訃報■宗像直美さんコロナで病死=サンパウロ州立交響楽団合唱団の指揮者
https://www.nikkeysh[...]
2020-03-27
[956]
뉴스
Toyota's Johan van Zyl has died
https://www.news24.c[...]
2021-07-31
[957]
뉴스
病院長感染し死亡 公務災害認定
https://www3.nhk.or.[...]
日本放送協会
2020-07-28
[958]
뉴스
俳優の和田周さん死去 81歳 新型コロナウイルス感染 大河「勝海舟」などに出演 脚本家・虚淵玄氏の父
https://www.Suponich[...]
スポーツニッポン新聞社
2020-04-25
[959]
웹사이트
武汉华南海鲜批发市场休市整治,动物内脏曾散落街角_媒体_澎湃新闻-The Paper
https://www.thepaper[...]
2020-01-01
[960]
웹사이트
竹鼠或是武汉肺炎疫情始作俑者
http://www.rfi.fr/cn[...]
2020-01-21
[961]
웹사이트
野味致武汉肺炎泛滥 病毒中间宿主可能是蛇
http://www.rfi.fr/cn[...]
2020-01-23
[962]
뉴스
焦点:感染源は野生動物か、それでも衰えぬ中国の「食欲」
https://jp.reuters.c[...]
2020-02-19
[963]
웹사이트
新型肺炎「結膜から感染の疑い」? 感染した医師が指摘:朝日新聞デジタル
https://www.asahi.co[...]
2020-01-24
[964]
웹사이트
新型ウイルス 中国保健当局「エアロゾル」感染の可能性指摘
https://www3.nhk.or.[...]
2020-02-19
[965]
웹사이트
msnニュース発生源 武漢市の海鮮市場ではない? 昨年11月にヒト-ヒト感染か
https://www.msn.com/[...]
[966]
웹사이트
NHK NEWS WEB - 新型ウイルス 武漢の最初の患者 “海鮮市場行っていない”2020年2月27日 5時08分
https://www3.nhk.or.[...]
[967]
웹사이트
醫學分析指病毒可有效人傳人 發病初期未必會發燒
http://cablenews.i-c[...]
有線新聞
2020-01-25
[968]
뉴스
【武漢肺炎】首名病人不曾到華南海鮮市場 《刺針》揭患者死亡率15%如同沙士
https://hk.appledail[...]
2020-01-25
[969]
뉴스
《刺針》:新型冠狀病毒與沙士相若
https://news.now.com[...]
2020-01-25
[970]
웹사이트
袁國勇團隊:病毒攻擊率達83%
https://news.now.com[...]
2020-01-25
[971]
뉴스
新型コロナ:雪まつり後に発症者急増 北海道、新型コロナ拡大 (写真=共同) :日本経済新聞
https://www.nikkei.c[...]
日本経済新聞
2020-02-29
[972]
뉴스
感染した医師らが勤務 都内の総合病院が2週間休診
https://www.asahi.co[...]
朝日新聞
2020-02-18
[973]
뉴스
新型肺炎で広がる差別 不当な扱い、ネット中傷…相模原中央病院関係者ら困惑
https://www.sankei.c[...]
産経新聞
2020-02-27
[974]
뉴스
研修医が新型コロナに感染 相模原の病院で勤務
https://www.asahi.co[...]
朝日新聞
2020-03-06
[975]
뉴스
済生会有田病院が受診再開 直近2週間に新型コロナ感染なし
https://mainichi.jp/[...]
毎日新聞
2020-03-04
[976]
뉴스
大阪 別のライブハウスでも新たな集団感染か 新型ウイルス
https://www3.nhk.or.[...]
NHK NEWS WEB
2020-03-05
[977]
뉴스
“高知県の女性”が感染に気付かず『大阪のライブハウス』訪問か…感染の連鎖続く
https://www.mbs.jp/n[...]
MBS
2020-03-03
[978]
뉴스
密室での感染警戒 大阪ライブハウス、クラスター連鎖か
https://www.nikkei.c[...]
日本経済新聞
2020-03-05
[979]
뉴스
北海道 NEWS WEB札幌放送局 新たに8人感染確認 バーの客も
https://www3.nhk.or.[...]
NHK
2020-03-07
[980]
뉴스
“感染 名古屋中心の2つの「クラスター」で81人” 愛知県知事
https://www3.nhk.or.[...]
NHK
2020-03-11
[981]
뉴스
新型コロナウイルス、3割が集団感染 スポーツジムや屋形船、展示会
https://www.fukuishi[...]
福井新聞
2020-03-04
[982]
뉴스
ソウル市、感染当初から「クラスター」 情報公開で判明
https://www.nishinip[...]
西日本新聞
2020-03-05
[983]
웹사이트
スーパー・スプレッダー(Super Spreader)
http://idsc.tokyo-ei[...]
[984]
웹사이트
新型コロナウイルスに関するQ&A(一般の方向け)問14 集団感染を防ぐためにはどうすればよいでしょうか?
https://www.mhlw.go.[...]
厚生労働省
2020-03-07
[985]
웹사이트
新型コロナのスーパースプレッダーにならないために
https://news.yahoo.c[...]
[986]
웹사이트
新型ウイルス 武漢の大学病院 患者の約4割が院内感染か
https://www3.nhk.or.[...]
日本放送協会
2020-03-01
[987]
뉴스
MERSの時のように…韓国で院内感染始まった、看護師5人の集団感染
https://s.japanese.j[...]
中央日報日本語版
2020-02-21
[988]
뉴스
新型肺炎 韓国感染231人増、833人 国会中止、サッカー開幕延期
https://www.tokyo-np[...]
東京新聞
2020-02-25
[989]
뉴스
国立循環器病研究センターが外来休診、13日まで - 新型肺炎の陽性職員発生で
https://headlines.ya[...]
CBNEWS
2020-03-09
[990]
간행물
Community Mitigation Guidelines to Prevent Pandemic Influenza
https://stacks.cdc.g[...]
Centers for Disease Control and Prevention
2017-04-12
[991]
웹사이트
The three phases of Covid-19—and how we can make it manageable
https://thespinoff.c[...]
2020-03-09
[992]
논문
How will country-based mitigation measures influence the course of the COVID-19 epidemic?
2020-03
[993]
웹사이트
How canceled events and self-quarantines save lives, in one chart
https://www.vox.com/[...]
2020-03-10
[994]
뉴스
The US doesn't just need to flatten the curve. It needs to "raise the line."
https://www.vox.com/[...]
Vox
2020-04-07
[995]
웹사이트
After 'Flatten the Curve', we must now 'Stop the Spread'. Here's what that means
https://thespinoff.c[...]
2020-03-14
[996]
웹사이트
Nonpharmaceutical Interventions (NPIs)
https://www.cdc.gov/[...]
CDC
[997]
간행물
公衆衛生(インフルエンザ)NPI(non-pharmaceutical intervention)
Mレヴュー
2009
[998]
웹사이트
新型コロナウイルスの集団感染を防ぐために
https://www.mhlw.go.[...]
厚生労働省
2020-03-01
[999]
웹사이트
「商業施設等における「換気の悪い密閉空間」を改善するための換気について」の「P.4」を参照。
https://www.mhlw.go.[...]
厚生労働省
2020-03-30
[1000]
뉴스
「3つの条件の重なりを避けて」 専門家会議が見解【全文】
https://www3.nhk.or.[...]
NHK
2020-03-09
[1001]
뉴스
最前線で治療に当たる医師の願い 「医療が崩壊しないようにみんなで協力してほしい」
https://www.buzzfeed[...]
buzzfeed
2020-03-12
[1002]
웹사이트
新型コロナウイルス感染症対策の状況分析・提言
https://www.mhlw.go.[...]
新型コロナウイルス感染症対策専門家会議
2020-03-19
[1003]
웹사이트
新型コロナウイルス感染症対策の基本的対処方針
https://www.mhlw.go.[...]
新型コロナウイルス感染症対策本部
2020-03-28
[1004]
뉴스
新型コロナのオーバーシュート(感染者の爆発的増加)を起こさないために我々にできることは?
https://news.yahoo.c[...]
Yahoo Japan
2020-03-20
[1005]
웹사이트
新型コロナウイルス感染症について
https://www.mhlw.go.[...]
厚生労働省
2020-04-17
[1006]
웹사이트
A brief history of the coronavirus family - including one pandemic we might have missed
https://theconversat[...]
[1007]
웹사이트
Complete Genomic Sequence of Human Coronavirus OC43: Molecular Clock Analysis Suggests a Relatively Recent Zoonotic Coronavirus Transmission Event
https://www.ncbi.nlm[...]
[1008]
뉴스
新型コロナ「収束のカギ」にぎる集団免疫とはなにか
https://webronza.asa[...]
論座RONZA
2020-03-15
[1009]
웹사이트
Public request to take stronger measures of social distancing across the UK with immediate effect
http://maths.qmul.ac[...]
2020-03-14
[1010]
뉴스
イギリス独自のウイルス対策、「国民の命を危険に」と多数の科学者反対
https://www.bbc.com/[...]
BBC
2020-03-15
[1011]
뉴스
Coronavirus: EU rules out Schengen border closures amid Italy outbreak
https://www.dw.com/e[...]
Deutsche Welle
2020-02-24
[1012]
뉴스
Salvini and Le Pen Don't Have a Coronavirus Cure
https://www.bloomber[...]
Bloomberg
2020-02-25
[1013]
뉴스
日本への入国制限、176カ国・地域 世界の約9割に
https://mainichi.jp/[...]
毎日新聞
2020-03-27
[1014]
뉴스
米中韓の全土と欧州ほぼ全域からの外国人の入国拒否へ
https://www3.nhk.or.[...]
NHK
2020-03-31
[1015]
뉴스
政府、全世界からの外国人入国停止 オミクロン株で水際厳格化―30日から1カ月
https://web.archive.[...]
時事通信社
2022-06-08
[1016]
웹사이트
韓国 観光ビザの発給 6月から再開へ 入国者検査の期限緩和も
https://www3.nhk.or.[...]
NHK
2022-06-08
[1017]
웹사이트
韓国できょうから規制緩和 “未接種”でも隔離なし入国可能に
https://www.fnn.jp/a[...]
FNN
2022-06-08
[1018]
웹사이트
米が英も入国規制に トランプ大統領がウイルス検査
https://news.tv-asah[...]
テレビ朝日
2020-03-15
[1019]
웹사이트
アメリカ政府、欧州26ヶ国に14日以内に滞在歴がある外国人の入国拒否
https://www.traicy.c[...]
トライシー
2020-03-15
[1020]
웹사이트
米国務省 すべての海外渡航中止求める勧告 新型ウイルス
https://www3.nhk.or.[...]
NHK
2020-03-20
[1021]
웹사이트
アメリカ、入国制限を解除し新ルール導入へ ワクチン義務化
https://www.bbc.com/[...]
BBC
2022-06-08
[1022]
웹사이트
北朝鮮もコロナで水際対策 中朝国境を早期封鎖、経済に打撃
https://www.nna.jp/n[...]
2020-04-27
[1023]
웹사이트
Air New Zealand flight with kiwi evacuees departs Wuhan
https://www.stuff.co[...]
2020-02-05
[1024]
웹사이트
Coronavirus: India sending IAF aircraft to evacuate its nationals from Iran
https://www.livemint[...]
2020-03-09
[1025]
웹사이트
Coronavirus
https://www.bundesge[...]
Bundesministerium für Gesundheit
[1026]
뉴스
独SARS専門家「中国側のデータ信頼できない、再流行は起きる」
https://www.epochtim[...]
大紀元
2020-03-16
[1027]
뉴스
中国・武漢で封鎖を一部解除、家族ら再会 新型ウイルス
https://www.bbc.com/[...]
BBC
2020-03-28
[1028]
뉴스
中国・武漢市、移動制限の早期緩和なら新型コロナウイルス感染爆発第2波 英研究者が警告
https://www.newsweek[...]
Newsweekjapan
2020-03-27
[1029]
웹사이트
イベントの開催に関する国民の皆様へのメッセージ
https://www.mhlw.go.[...]
[1030]
뉴스
小中高への休校要請、首相「課題には政府が責任もつ」…休業補償案も
https://www.yomiuri.[...]
読売新聞
2020-02-28
[1031]
웹사이트
ロックダウン、実際どうなる? 安倍首相ら言及も具体性なく―海外と同様「不可能」:時事ドットコム
https://web.archive.[...]
2020-04-05
[1032]
뉴스
北海道知事が「緊急事態宣言」、週末の外出自粛を要請
https://www.nikkei.c[...]
日本経済新聞
2020-02-28
[1033]
뉴스
北海道の「緊急事態」19日で終了、外出自粛は4週連続へ
https://www.nikkei.c[...]
日本経済新聞
2020-03-18
[1034]
뉴스
名古屋市議会、感染拡大防止条例可決 全国初 「疑い」で市民に外出禁止要請 罰則なし
https://mainichi.jp/[...]
毎日新聞
2020-03-09
[1035]
뉴스
“Coronavirus, in Veneto la prima vittima, Adriano Trevisan, 78 anni. Venti contagiati in Italia. Conte: "Nuove misure"”
la Repubblica
2020-02-22
[1036]
웹사이트
Coronavirus, ecco il decreto. Conte: "Inaccettabile confusione provocata da diffusione bozza"
https://www.repubbli[...]
2020-03-07
[1037]
뉴스
ミラノ、ベネチアなどイタリア北部の州を封鎖 1600万人対象
https://www.sankei.c[...]
産経新聞
2020-03-08
[1038]
뉴스
イタリア、移動制限を全土に拡大 新型ウイルス対策で
https://www.bbc.com/[...]
BBC News
2020-03-10
[1039]
뉴스
大封鎖でカーライフも激変 新型ウイルスが広がるイタリアはいま
https://www.webcg.ne[...]
WebCG
2020-03-18
[1040]
뉴스
イタリア全土の店舗閉鎖、食料品店と薬局は除外 新型ウイルス
https://www.bbc.com/[...]
BBC News
2020-03-12
[1041]
뉴스
<新型コロナ>イタリア外出禁止守られず GPSで把握、厳罰化
https://www.tokyo-np[...]
東京新聞
2020-03-21
[1042]
뉴스
コロナ世界最悪のイタリア「53000人が違反外出」 “感染街”ミラノ近郊の日本人はどう暮らしてる?
https://bunshun.jp/a[...]
文春オンライン
[1043]
뉴스
韓国・大邱市、複合住宅を封鎖 感染拡大招いた新興宗教信者が多数入居
https://www.afpbb.co[...]
AFPBB
2020-03-07
[1044]
뉴스
欧州は全域封鎖で、新型コロナ対応の「失敗」を挽回できるか
https://business.nik[...]
日経ビジネス
2020-03-18
[1045]
뉴스
マニラ首都圏、4月14日まで封鎖…陸路出入りや航空国内線を禁じる
https://www.yomiuri.[...]
読売新聞
2020-03-12
[1046]
뉴스
世界で5億 「外出控える人」 新型コロナの封鎖や禁止令で
https://www.afpbb.co[...]
AFPBB
2020-03-19
[1047]
뉴스
EUの一体感むしばむ新型コロナ 相次ぐ加盟国の「封鎖」政策
https://mainichi.jp/[...]
毎日新聞
2020-03-17
[1048]
뉴스
ドイツ保健省、最悪の場合ロックダウン2年の可能性も
https://www.newsweek[...]
ニューズウィーク
2020-03-18
[1049]
웹사이트
《安全》「都市封鎖はない」担当閣僚が強調
https://www.nna.jp/n[...]
2020-03-18
[1050]
뉴스
マレーシアが全土封鎖、日系企業も打撃避けられず
https://business.nik[...]
日経ビジネス
2020-03-17
[1051]
뉴스
イギリスも一斉休校へ、新型ウイルス対策
https://www.bbc.com/[...]
BBC News
2020-03-19
[1052]
뉴스
ジョンソン英首相、ウイルス危機は「逆転できる」
https://www.bbc.com/[...]
BBC
[1053]
뉴스
米カリフォルニア州、住民4000万人に外出禁止令
https://www.cnn.co.j[...]
CNN
2020-03-20
[1054]
뉴스
インド、22日に全土外出禁止 新型コロナでモディ首相
https://www.nikkei.c[...]
日本経済新聞
2020-03-20
[1055]
뉴스
'When Can We Go to School?' Nearly 300 Million Children Are Missing Class.
https://www.nytimes.[...]
The New York Times
2020-03-04
[1056]
뉴스
新型コロナ 世界15億人超の子どもたちが学校通えず
https://www3.nhk.or.[...]
日本放送協会
2020-04-04
[1057]
웹사이트
COVID-19 Educational Disruption and ResponseL
https://en.unesco.or[...]
2020-03-10
[1058]
웹사이트
米、最大110億円拠出へ 新型肺炎で中国などに
https://www.nikkei.c[...]
2020-02-11
[1059]
웹사이트
中国、入国者の隔離措置を終了へ 年明け1月8日に
https://www.bbc.com/[...]
BBC
2023-02-01
[1060]
웹사이트
「ゼロコロナ」をほぼ実現すれば、経済活動は元通りにできるのか 原田 泰:名古屋商科大学ビジネススクール教授
https://diamond.jp/a[...]
DIAMONDonline
2021-03-25
[1061]
웹사이트
中国衛生局トップ「ゼロコロナ政策を堅持すべき」
https://news.tv-asah[...]
テレ朝NEWS
2021-12-02
[1062]
웹사이트
最早上报疫情的她,怎样发现这种不一样的肺炎_新闻频道_中华网
https://news.china.c[...]
2020-07-16
[1063]
뉴스
对话“传谣”被训诫医生:我是在提醒大家注意防范
http://www.bjnews.co[...]
新京报
2020-01-31
[1064]
웹사이트
新型コロナウイルス-中国
https://www.forth.go[...]
2020-04-08
[1065]
웹사이트
讲疫情真话被训诫的武汉医生李文亮:想尽快回到抗疫一线_媒体_澎湃新闻-The Paper
https://www.thepaper[...]
2020-02-06
[1066]
웹사이트
财新为武汉病毒八个“吹哨人”之一李文亮平反并纾缓民愤
http://www.rfi.fr/cn[...]
2020-02-06
[1067]
웹사이트
武漢肺炎「吹哨者」:三周前就知道可「人傳人」了
https://health.udn.c[...]
2020-02-06
[1068]
웹사이트
トランプ大統領、新型ウイルスで中国の軍門に下る 習近平氏に電話会談で防疫物資の緊急支援を要請
https://jbpress.isme[...]
2020-04-08
[1069]
간행물
習近平『恐怖支配』が招いた感染爆発
https://bungeishunju[...]
文藝春秋
2020-04
[1070]
뉴스
「財新」特約 疫病都市 第4回 罪深き「空白の20日間」
https://premium.toyo[...]
東洋経済Plus
2020-02-10
[1071]
웹사이트
【識者の眼】「中国で流行している新型コロナウイルス感染症、あらゆる可能性を“想定内”に」岩田健太郎|Web医事新報
https://www.jmedj.co[...]
2020-04-08
[1072]
웹사이트
2020年中国春运客运量、旅客发送量、返程率、高速公路拥堵情况及货运车辆开工情况分析[图]_中国产业信息网
http://www.chyxx.com[...]
2020-07-15
[1073]
뉴스
武漢「伝統の大宴会」感染拡大に拍車か…1月半ば、市場近く4万世帯
https://www.yomiuri.[...]
読売新聞
2020-02-08
[1074]
웹사이트
鍾南山:武漢新型冠狀病毒肺炎肯定有人傳人 - RTHK
https://news.rthk.hk[...]
2020-01-21
[1075]
논문
New SARS-like virus in China triggers alarm
https://science.scie[...]
Science
2020-01-17
[1076]
웹사이트
Mission summary: WHO Field Visit to Wuhan, China 20-21 January 2020
https://www.who.int/[...]
2020-07-16
[1077]
뉴스
発生源の海鮮市場、近隣住民は再隔離 封鎖の武漢は今
https://www.asahi.co[...]
朝日新聞
2020-02-23
[1078]
웹사이트
海外旅行、27日から禁止 新型肺炎拡散防止へ移動制限―中国
https://web.archive.[...]
時事通信社
2020-01-25
[1079]
웹사이트
【新冠肺炎·舆情】被“绑架”的方方与撕裂的中国舆论场
https://www.dwnews.c[...]
多维新闻网
2020-04-08
[1080]
웹사이트
国务院办公厅关于延长2020年 春节假期的通知
http://www.gov.cn/zh[...]
2020-01-26
[1081]
웹사이트
黄冈市卫健委主任唐志红被免职!防控不力,3地24人被问责_疫情
http://www.sohu.com/[...]
2020-07-16
[1082]
뉴스
武漢から実況の中国人市民ジャーナリストが行方不明、当局は検閲強化
https://www.bloomber[...]
Bloomberg
2020-02-08
[1083]
뉴스
【武汉疫情】敢言医生李文亮传死讯 院方称仍抢救中
https://www.dwnews.c[...]
[1084]
뉴스
披露內地疫情醫生李文亮一度傳出死訊 院方稱仍在搶救
https://news.rthk.hk[...]
RTHK News - 香港電台
[1085]
뉴스
【武漢肺炎】敢言醫生李文亮傳死訊 院方稱仍搶救中
https://www.hk01.com[...]
香港01
[1086]
뉴스
【武漢肺炎大爆發】率先披露疫情-李文亮醫生搶救無效去世 - 眾新聞
https://www.hkcnews.[...]
[1087]
웹사이트
在武漢記錄疫情 據了解律師陳秋實被警方帶走 - RTHK
https://news.rthk.hk[...]
2020-07-16
[1088]
뉴스
新型ウイルスの病気、正式名称は「COVID-19」 WHOが命名
https://www.bbc.com/[...]
BBC News
2020-02-12
[1089]
웹사이트
名称についてのガイドライン
https://www.who.int/[...]
[1090]
뉴스
新型ウイルスの正式名称は? WHO、汚名を着せないよう慎重に検討
https://web.archive.[...]
時事通信〈JIJI.COM〉
2020-02-10
[1091]
뉴스
新型コロナウイルス、正式名称はどうやって決まるのか
https://www.bbc.com/[...]
BBC News
2020-02-05
[1092]
뉴스
新型コロナ 米メディア、「武漢コロナ」と呼び起源を明確化
https://special.sank[...]
産経新聞
2020-03-08
[1093]
뉴스
トランプ氏が「中国ウイルス」をリツイート、米中の新たな火種にも
https://www.bloomber[...]
Bloomberg
2020-03-12
[1094]
뉴스
自民保守系議員「中国に5千円渡さない」「武漢熱と呼ぶべき」と新型コロナめぐり独自の主張
https://www.fnn.jp/a[...]
FNN
2020-02-14
[1095]
웹사이트
武漢熱と季節
https://shiaoyama.co[...]
青山繁晴の道すがらエッセイ
2020-02-16
[1096]
웹사이트
无症状感染者为何不列入确诊名单?卫健委这么回应 - 21财经
https://m.21jingji.c[...]
2020-02-14
[1097]
뉴스
新型肺炎 中国、封鎖拡大 武漢から湖北省全域に
https://www.tokyo-np[...]
東京新聞
2020-02-19
[1098]
뉴스
日本メディア「米CDCがインフル患者に新型コロナウイルス検査」 中国のネットユーザー「ウイルスは米国から?」
http://j.people.com.[...]
人民網日本語版
2020-02-22
[1099]
Youtube
我正在被搜查!!!我正在被搜查!!!
https://www.youtube.[...]
2020-07-16
[1100]
Youtube
我是李泽华Kcriss,这是2月26日至今关于我的一些情况。I'm Kcriss, here is something about me since February 26th.
https://www.youtube.[...]
2020-07-16
[1101]
뉴스
<新型肺炎>「私たちの暮らしは蜜よりも甘い」常軌を逸した共産党プロパガンダに大顰蹙
https://www.epochtim[...]
大紀元
2020-03-08
[1102]
뉴스
<新型コロナ>習政権 宣伝に躍起 「世界は中国に感謝を」批判続ける米メディアに反発
https://web.archive.[...]
東京新聞
2020-03-09
[1103]
뉴스
新型コロナウイルス感染、中国ではピークアウト、専門家は4月末までの感染抑制に言及
https://www.jetro.go[...]
JETRO
2020-03-03
[1104]
웹사이트
理直气壮,世界应该感谢中国
http://www.xinhuanet[...]
2020-03-04
[1105]
뉴스
肺炎疫情:中国官员让武汉感恩 正能量舆论“翻车”
https://www.bbc.com/[...]
BBC中国語版
2020-03-09
[1106]
뉴스
米国務長官、新型コロナを連日「武漢ウイルス」と呼称 中国は反発
https://www.afpbb.co[...]
AFP
2020-03-08
[1107]
뉴스
「ウイルスは米軍のせい」「主席に感謝せよ」習近平の「焦燥」
https://www.fsight.j[...]
フォーサイト-新潮社ニュースマガジン
2020-03-16
[1108]
뉴스
新型コロナ警鐘の女性医師が証言、中国の地元当局が「口封じ」
https://www.yomiuri.[...]
読売新聞
2020-03-14
[1109]
뉴스
記事削除に反発、絵文字やQRコードで拡散し抵抗 中国
https://www.asahi.co[...]
朝日新聞
2020-03-13
[1110]
뉴스
習近平の武漢訪問で、新型コロナの真実を隠蔽?庶民が告発記事を読めたワケは?
https://news.yahoo.c[...]
2020-03-12
[1111]
웹사이트
笛をくばる人(翻訳)
http://marginalrepor[...]
辺境通信
2020-03-13
[1112]
뉴스
反発呼ぶ終息前の「自画自賛」 中国共産党の宣伝工作が空回り 新型コロナ
https://mainichi.jp/[...]
毎日新聞
2020-03-11
[1113]
뉴스
WHO「新型コロナウイルスはパンデミックと言える」
https://www3.nhk.or.[...]
NHK
2020-03-12
[1114]
뉴스
対応が2か月遅れた」米高官が中国批判 新型ウイルス
https://www3.nhk.or.[...]
NHK
2020-03-12
[1115]
뉴스
「新型コロナはアメリカ軍が武漢に持ち込んだ可能性がある」中国報道官が挑発。「中国が隠蔽」指摘に反発か
https://www.huffingt[...]
ハフィントン・ポスト
2020-03-13
[1116]
트위터
2020年3月12日午後11:37のツイート
https://twitter.com/[...]
2020-03-12
[1117]
뉴스
中国報道官「米が武漢にウイルス持ち込んだ可能性
https://news.tv-asah[...]
テレビ朝日ニュース
2020-03-13
[1118]
뉴스
「米軍が持ち込みも」 中国報道官、新型コロナ巡り
https://www.nikkei.c[...]
日本経済新聞
2020-03-13
[1119]
뉴스
中国高官、新型コロナは「米軍が武漢に持ち込んだ可能性
https://www.cnn.co.j[...]
CNN
2020-03-14
[1120]
뉴스
US summons Chinese ambassador over coronavirus conspiracy theory
https://edition.cnn.[...]
CNN
2020-03-13
[1121]
뉴스
米、中国大使を呼び「“新型肺炎の米軍伝染説”陰謀論に抗議」
https://headlines.ya[...]
News1 wow korea
2020-03-14
[1122]
뉴스
「世界は中国に感謝を」 中国が新型コロナ感染防止の“救世主”に?の皮肉
https://www.fnn.jp/a[...]
FNN
2020-03-14
[1123]
웹사이트
China’s first confirmed Covid-19 case traced back to November 17
https://www.scmp.com[...]
2020-07-16
[1124]
뉴스
<新型コロナ>世界感染者数、中国上回る
https://www.tokyo-np[...]
東京新聞
2020-03-16
[1125]
트위터
https://twitter.com/[...]
2020-03-13
[1126]
웹사이트
China’s Coronavirus: A Shocking Update. Did The Virus Originate in the US?Japan, China and Taiwan Reports on the Origin of the Virus
https://www.globalre[...]
Global Research
2020-03-04
[1127]
뉴스
¿Regreso al Medioevo?
https://elpais.com/e[...]
El País
2020-03-15
[1128]
뉴스
コロナ感染拡大の責任は独裁体制 ノーベル賞作家が中国非難
https://www.47news.j[...]
共同通信社
2020-03-16
[1129]
뉴스
中国、ノーベル賞作家に反発 感染源めぐり、米も非難
https://www.jiji.com[...]
時事ドットコムニュース
2020-03-16
[1130]
뉴스
米中外交トップが非難応酬 新型コロナ対応めぐり―新型コロナ
https://web.archive.[...]
時事ドットコムニュース
2020-03-17
[1131]
뉴스
トランプ大統領 ツイッターで「中国ウイルス」米中非難の応酬
https://www3.nhk.or.[...]
NHKニュース
2020-03-17
[1132]
트위터
https://twitter.com/[...]
2020-03-17
[1133]
웹사이트
The United States will be powerfully supporting those industries, like Airlines and others, that are particularly affected by the Chinese Virus. We will be stronger than ever before!
https://twitter.com/[...]
2020-03-17
[1134]
뉴스
中国、4万3,000人計上せず 無症状の感染者除外で―香港紙報道
https://web.archive.[...]
時事ドットコム
2020-03-23
[1135]
뉴스
米長官、「武漢ウイルス」呼称に固執 G7外相共同声明見送り―新型コロナで温度差
https://web.archive.[...]
時事ドットコム
2020-03-26
[1136]
뉴스
米が「武漢ウイルス」呼称主張、G7外相共同声明見送り
https://www.yomiuri.[...]
読売新聞
2020-03-26
[1137]
뉴스
「強大な経済財政政策を実施すべき」 G20首脳が一致
https://www3.nhk.or.[...]
2020-04-02
[1138]
뉴스
G20首脳、新型コロナ対策で550兆円投入「何でもやる」覚悟表明
https://www.bloomber[...]
2020-04-02
[1139]
뉴스
米中、G20で新型コロナ対応に注力へ 対立棚上げ=香港紙
https://jp.reuters.c[...]
ロイター
2020-04-02
[1140]
뉴스
米中首脳の電話会談後、トランプ氏が「中国ウイルス」の呼称やめる
https://www.yomiuri.[...]
2020-04-02
[1141]
웹사이트
WHO 新型ウイルス肺炎“現時点では緊急事態にあたらない”
https://web.archive.[...]
2020-01-25
[1142]
웹사이트
「人から人へ感染」新型肺炎 ベトナムで確認 WHO発表
https://web.archive.[...]
2020-01-25
[1143]
뉴스
習近平とWHO事務局長の「仲」が人類に危機をもたらす
https://www.newsweek[...]
2020-02-04
[1144]
뉴스
新型肺炎対応の協議から台湾を排除 WHOやICAOに国際社会から批判
https://mainichi.jp/[...]
2020-02-03
[1145]
뉴스
WHO、新型肺炎で専門家チームを中国派遣へ 米も参加の公算
https://jp.reuters.c[...]
2020-02-04
[1146]
웹사이트
WHO、感染拡大なお「局地的」 パンデミックと呼ばず:朝日新聞デジタル
https://www.asahi.co[...]
2020-04-05
[1147]
웹사이트
WHO raises coronavirus threat assessment to its highest level: 'Wake up. Get ready. This virus may be on its way'
https://www.cnbc.com[...]
CNBC
2020-02-28
[1148]
웹사이트
Coronavirus disease 2019 (COVID-19) Situation Report – 46
https://www.who.int/[...]
WHO
2021-11-27
[1149]
뉴스
新型コロナとインフルの似ているところ、違うところ=WHO報告
https://www.technolo[...]
MIT Technology Review
2020-03-12
[1150]
웹사이트
WHO、新型コロナの緊急事態宣言を終了 脅威は消えずと警告
https://www.bbc.com/[...]
2024-08-03
[1151]
웹사이트
新型肺炎「武漢だけで、2月4日までに最大35万人超が感染」英米研究チーム
https://news.yahoo.c[...]
2020-01-27
[1152]
웹사이트
Read et al. nCoV-2019 early epidemic predictions.pdf
https://drive.google[...]
2020-01-27
[1153]
웹사이트
新型コロナウイルスに我々はどう対峙すべきなのか(押谷仁教授メッセージ)
https://www.med.toho[...]
東北大学大学院医学系研究科・医学部
[1154]
웹사이트
The Coronavirus Shock Looks More like a Natural Disaster than a Cyclical Downturn -Liberty Street Economics
https://libertystree[...]
2020-05-02
[1155]
웹사이트
Corona shock
https://members.tort[...]
2020-05-02
[1156]
웹사이트
コロナショック、日本は最悪2700万人の生活が破綻する可能性
https://friday.kodan[...]
2020-05-02
[1157]
웹사이트
通説覆すコロナショック 猛スピードで縮む実体経済:朝日新聞デジタル
https://www.asahi.co[...]
2020-05-02
[1158]
웹사이트
2020年10月「世界経済見通し(WEO)」
https://www.imf.org/[...]
2020-10-23
[1159]
웹사이트
Microsoft決算は増収減益 “巣ごもり需要”でXbox売上高が64%増、Surfaceも好調
https://www.itmedia.[...]
2020-07-23
[1160]
웹사이트
この2か月で2年分のデジタルトランスフォーメーションが見られた-MS CEO {{!}} Data Center Café
https://cafe-dc.com/[...]
2020-07-23
[1161]
웹사이트
インターネットのトラフィックが前年比2倍に…コロナウイルスによるリモートワークの増加が一因か
https://www.business[...]
2020-12-14
[1162]
서적
知の逆転
NHK出版新書
2012
[1163]
웹사이트
ESGマネーがひらく「コロナ後」資本主義(一目均衡)
https://www.nikkei.c[...]
2020-05-02
[1164]
웹사이트
コロナで加速する日本社会のデジタル化 「電子政府先進国」エストニアに学ぶものは 「Withコロナ」で変わる国のかたちと新しい日常
https://www.fnn.jp/a[...]
2020-05-02
[1165]
웹사이트
日経ビジネス電子版
https://business.nik[...]
2020-05-02
[1166]
웹사이트
“9月入学” 決まった場合 採用活動も柔軟に対応を 経団連
https://www3.nhk.or.[...]
2020-05-02
[1167]
웹사이트
脱「対面・紙・ハンコ」へ首相指示 コロナ契機にデジタル化
https://www.nikkei.c[...]
2020-05-02
[1168]
웹사이트
新型コロナでデジタル化加速 新ビジネスモデル構築も(食品新聞)
https://headlines.ya[...]
2020-04-30
[1169]
웹사이트
新型コロナウイルス感染症の世界・日本経済への影響と経済対策提言
https://www.mri.co.j[...]
株式会社三菱総合研究所
2020-05-02
[1170]
웹사이트
コロナウイルス時代の芸術。いま、何がなされるべきか?
https://bijutsutecho[...]
2020-05-05
[1171]
웹사이트
100年前のパンデミックの記録『流行性感冒』――なぜいま読むべきか?|じんぶん堂
https://book.asahi.c[...]
2020-05-02
[1172]
웹사이트
宣言延長の場合 事前に首相報告を 野党4党 新型コロナ
https://www3.nhk.or.[...]
2020-04-22
[1173]
웹사이트
首相「7日から日常に戻ること困難」緊急事態宣言延長の方針
https://www3.nhk.or.[...]
2020-04-30
[1174]
웹사이트
Reclaim your pre-pandemic function
https://www.health.h[...]
2022-12-25
[1175]
서적
何を守り、何を捨て、僕らはどう生きていくべきか。『コロナの時代の僕ら』全文公開【終了/著者あとがきのみ継続】
https://www.hayakawa[...]
早川書房
2020-04-10
[1176]
뉴스
「カメラを止めるな!」上田慎一郎監督&キャストが再集結! 完全リモートで短編を制作
https://eiga.com/new[...]
2020-04-13
[1177]
뉴스
ゴッドハンド輝:「沈黙のコロナ2020」が「マガジン」で4週連続連載 医師たちとウイルスの戦い描く
https://mantan-web.j[...]
まんたんウェブ
2020-06-10
[1178]
웹사이트
本田翼・新田真剣佑・乃木坂46齋藤飛鳥ら“高校生時代の制服”ビジュアル&映像解禁<リモートで殺される> - モデルプレス
https://mdpr.jp/news[...]
2022-04-01
[1179]
뉴스
「MIU404」最終回クライマックスの夢オチに「なんじゃこれ?」「期待はずれだ」「白けた」と落胆の声!ああ、新型コロナで話数を端折らなければ...と惜しむ
https://www.j-cast.c[...]
J-CASTニュース
2021-06-09
[1180]
뉴스
波瑠主演で地上波初の「コロナのある世界観を描く」ドラマ「リモラブ」10・14スタート…日テレ10月改編会見
https://hochi.news/a[...]
報知新聞社
2020-09-10
[1181]
웹사이트
有村架純×林遣都「姉ちゃんの恋人」1話。コロナ禍の今と似ている!2020年の私たちのささやかな幸せ
https://telling.asah[...]
2022-04-01
[1182]
뉴스
岡田健史&南沙良、ショートドラマに刻む高校生たちの“コロナ禍の夏”
https://www.oricon.c[...]
オリコン
2021-11-01
[1183]
웹사이트
アニメ「鷹の爪」新シリーズはストーリーにコロナ禍反映 10月4日から
https://www.kobe-np.[...]
2021-07-27
[1184]
서적
コロナと潜水服
https://www.kobunsha[...]
光文社
2021-01-26
[1185]
기타
[1186]
뉴스
新型コロナウイルスが憎い打首獄門同好会の新作ミニアルバム&全国ツアー
https://natalie.mu/m[...]
音楽ナタリー
2020-09-20
[1187]
뉴스
バックドロップシンデレラ|ニューEP『ファーストe.p』4月7日発売
https://tower.jp/art[...]
TOWER RECORDS ONLINE
2021-02-06
[1188]
뉴스
『逃げ恥』“みくり”新垣結衣&“平匡”星野源、コロナ禍を乗り越える姿にネット共感「切ない」「涙とまらん」
https://www.crank-in[...]
クランクイン
2021-06-09
[1189]
웹사이트
<金口木舌>「俺の家の話」とマスク
https://ryukyushimpo[...]
2022-04-01
[1190]
웹사이트
島耕作が新型コロナ感染 弘兼さん「読者と知識共有」(写真=共同)
https://www.nikkei.c[...]
2022-05-11
[1191]
서적
ビジネス小説 もしも徳川家康が総理大臣になったら
https://www.sunmark.[...]
[1192]
뉴스
夏帆「演じる意味問い直す」 コロナ禍描くドラマ
北日本新聞
2021-04-17
[1193]
웹사이트
『はたらく細胞』ムービングコミック「新型コロナウイルス編」&「感染予防編」 世界無料配信!
https://shonen-siriu[...]
[1194]
웹사이트
<病院の治し方>小泉孝太郎主演作のSPが7月放送へ 加藤シゲアキが初の医師役で新登場 高嶋政伸、稲葉友らも再び
https://mantan-web.j[...]
2021-07-27
[1195]
웹사이트
『おかえりモネ』最終回で描かれた希望と願い 清原果耶×坂口健太郎の抱擁は未来の象徴に
https://realsound.jp[...]
blueprint
2021-10-29
[1196]
웹사이트
米倉涼子の『ドクターX』10月期に帰ってくる「前作を超えるものを」2年ぶりついに第7シリーズ
https://www.sanspo.c[...]
2021-05-19
[1197]
웹사이트
克明に記録されたコロナ禍の息苦しさ──冬野梅子『まじめな会社員』
https://tvablog.tv-a[...]
2022-06-07
[1198]
웹사이트
女性デザイナーが北陸お取り寄せグルメ楽しむ日常描く「おとりよせしまっし!」1巻
https://natalie.mu/c[...]
ナターシャ
2022-02-10
[1199]
웹사이트
うつの症状とメカニズム、ことわざ・故事成語を学べるゆうきゆう原作マンガ4冊同発
https://natalie.mu/c[...]
ナターシャ
2022-02-10
[1200]
웹사이트
「実地を離れないように」 芥川賞の砂川文次さん:時事ドットコム
https://web.archive.[...]
2022-02-10
[1201]
뉴스
新型コロナ撃退!音頭 日本のレガシー 世界へ響け ラテン系音楽グループ・サボテンブラザーズ
https://www.tokyo-np[...]
東京新聞
2021-07-21
[1202]
간행물
こどもの詩
読売新聞
[1203]
뉴스
歌になった「こどもの詩」、ガチャピンとムックも歌うよ
https://www.yomiuri.[...]
読売新聞
2021-12-31
[1204]
뉴스
「こどもの詩」から生まれた曲、配信スタート
https://www.yomiuri.[...]
読売新聞
2022-01-28
[1205]
웹사이트
【今週はこれを読め! ミステリー編】有栖川有栖『捜査線上の夕映え』のチェンジ・オブ・ペースがすごい! - 杉江松恋|WEB本の雑誌
https://www.webdoku.[...]
2024-03-07
[1206]
웹사이트
人類は“ポジティブメンヘラ”に進化すべきか? 漫画「明日カノ」作者×「ミオヤマザキ」mio対談
https://nlab.itmedia[...]
2021-09-22
[1207]
웹사이트
仁村紗和、NHKドラマで初主演「心込めて作る」 共演に佐野晶哉、津田健次郎ら
https://www.oricon.c[...]
2022-09-01
[1208]
웹사이트
「コウノドリ」新型コロナウイルス編、感染症と向き合うサクラたちの奮闘描く
https://natalie.mu/c[...]
ナターシャ
2023-10-18
[1209]
웹사이트
コロナ時代の謎と怪異を探って 有栖川有栖さん『濱地健三郎の呪える事件簿』インタビュー
https://kadobun.jp/f[...]
2022-11-01
[1210]
웹사이트
歌舞伎町で声をかけてくれたのは…「ママごめん、私コロナ禍にホスト通ってる。」
https://natalie.mu/c[...]
2024-03-07
[1211]
웹사이트
“戦場”と化した医療現場のリアルを 描いた『機械仕掛けの太陽』 著者・知念実希人が最新作を語る
https://crea.bunshun[...]
2023-07-08
[1212]
웹사이트
朝ドラ「舞いあがれ!」ドラマ内でもコロナ禍に「マスク着用」「この作品もこの時期に入ったか」 - ドラマ : 日刊スポーツ
https://www.nikkansp[...]
2023-04-05
[1213]
웹사이트
【最新刊】真船一雄『K2』の単行本38巻が本日発売開始! コロナウイルスを打ち倒すドクターKの一撃!
https://evening.koda[...]
2023-03-25
[1214]
웹사이트
『ザ・ファブル』こそ令和の王道ヒーロー物語だーー古典的な設定 × 現代的ディティールの妙
https://realsound.jp[...]
2023-02-11
[1215]
웹사이트
コロナ対策なのか、本当に?マスク着用にこだわる離島を描くサスペンスホラー新連載(試し読みあり)
https://natalie.mu/c[...]
ナターシャ
2023-12-06
[1216]
웹사이트
芳根京子と江口のりこがW主演に 日テレ開局70年SPドラマ『テレビ報道記者』3月5日放送
https://realsound.jp[...]
2024-02-05
[1217]
웹사이트
コロナ禍で失業したキャバ嬢 全財産を持って恋人は去った パパ活に頼らざるを得なくなった女性たち 荷風原作映画「つゆのあとさき」監督インタビュー|まいどなニュース
https://maidonanews.[...]
2024-06-17
[1218]
웹사이트
つゆのあとさき(2024)の上映スケジュール・映画情報
https://movie.joruda[...]
2024-06-22
[1219]
웹인용
Q & A on COVID-19: Basic facts
https://www.ecdc.eur[...]
2020-09-25
[1220]
웹인용
The Great Lockdown: Worst Economic Downturn Since the Great Depression
https://blogs.imf.or[...]
[1221]
웹인용
The Rise of Anti-Asian Hate in the Wake of Covid-19
Social Science Research Council
[1222]
웹사이트
https://news.chosun.[...]
[1223]
웹인용
武汉肺炎:疫情病原体初步判定为新型冠状病毒
https://news.sina.cn[...]
2020-01-09
[1224]
웹인용
【武漢肺炎】內地專家組:不明肺炎病原體初步判定為新型冠狀病毒
https://www.hk01.com[...]
2020-01-09
[1225]
웹인용
Initial genome release of novel coronavirus
http://virological.o[...]
Andrew Rambaut
[1226]
뉴스
신종 코로나바이러스 게놈서열 최초 공개 중국 실험실 문 닫아
https://www.yna.co.k[...]
연합뉴스
2020-02-29
[1227]
웹인용
Wuhan seafood market pneumonia virus isolate Wuhan-Hu-1, complete genome
https://www.ncbi.nlm[...]
National Center for Biotechnology Information
2020-01-16
[1228]
웹인용
袁國勇:武漢新冠狀病毒80%與沙士相似 疑源自蝙蝠
https://hk.on.cc/hk/[...]
2020-01-16
[1229]
웹인용
武汉华南海鲜批发市场休市整治,动物内脏曾散落街角_媒体_澎湃新闻-The Paper
https://www.thepaper[...]
2020-01-21
[1230]
저널
Clinical features of patients infected with 2019 novel coronavirus in Wuhan, China
2020-01-24
[1231]
뉴스
New coronavirus can cause infections with no symptoms and sicken otherwise healthy people, studies show
https://www.statnews[...]
2020-01-27
[1232]
저널
A familial cluster of pneumonia associated with the 2019 novel coronavirus indicating person-to-person transmission: a study of a family cluster
2020-01-24
[1233]
웹인용
Doubts rise about China's ability to contain new coronavirus
http://www.cidrap.um[...]
2020-01-26
[1234]
뉴스
China confirms sharp rise in cases of SARS-like virus across the country
https://www.france24[...]
2020-01-20
[1235]
웹인용
A 44-year-old male is confirmed as the second person with the 2019 novel coronavirus acute respiratory disease (2019-nCoV) in the Philippines. He passed away on 1 February 2020.pic.twitter.com/5a5tPWtvpc
https://twitter.com/[...]
2020-02-02
[1236]
뉴스
Philippines Reports First Coronavirus Death Outside China
https://www.nytimes.[...]
2020-02-04
[1237]
뉴스
Coronavirus: Window of opportunity to act, World Health Organization says
https://www.bbc.co.u[...]
2020-02-05
[1238]
웹인용
Coronavirus About Symptoms and Diagnosis
https://www.cdc.gov/[...]
2020-02-01
[1239]
뉴스
Coronavirus Lurking in Feces May Reveal Hidden Risk of Spread
https://www.bloomber[...]
Bloomberg
2020-02-02
[1240]
웹사이트
https://lenta.ru/art[...]
[1241]
웹사이트
https://www.osnmedia[...]
[1242]
웹인용
'우한폐렴' 신종 코로나바이러스, 뱀 먹다가 옮는다"-연합뉴스
http://yna.kr/AKR202[...]
[1243]
웹인용
[팩트 정리] '신종 코로나바이러스' 알아야 하는 5가지
http://www.monews.co[...]
[1244]
뉴스
신종 코로나바이러스, 사스 바이러스와 80% 일치
http://www.hani.co.k[...]
한겨레
2020-01-25
[1245]
뉴스
신종 코로나바이러스 전파력, 메르스-사스 중간 추정
http://www.kukinews.[...]
국민일보 쿠키뉴스
2020-01-23
[1246]
뉴스
Wuhan coronavirus has entered transmission stage among families and hospitals, taking it a step closer to full-blown community epidemic, Hong Kong expert warns
https://www.scmp.com[...]
사우스차이나모닝포스트
2020-01-23
[1247]
뉴스
홍콩 학자 "우한 폐렴, 전면적 확산 가능성"..1459명 감염 추정도
https://news.v.daum.[...]
2020-01-23
[1248]
뉴스
'우한폐렴' 감염 中의사 "바이러스, 각막 통해 침투된 듯"
http://www.newsis.co[...]
뉴시스
2020-01-23
[1249]
저널
Pandemic Potential of a Strain of Influenza A (H1N1): Early Findings
2009-06-19
[1250]
웹인용
Statement on the meeting of the International Health Regulations (2005) Emergency Committee regarding the outbreak of novel coronavirus (2019-nCoV)
https://www.who.int/[...]
세계보건기구
2020-01-30
[1251]
웹인용
Report 3: Transmissibility of 2019-nCoV
https://www.imperial[...]
2020-01-30
[1252]
뉴스
우한 폐렴, 中 공식 발표보다 훨씬 심각" 곳곳 우려 목소리
https://www.yna.co.k[...]
연합뉴스
2020-01-22
[1253]
논문
Superspreading events, Beijing, 2003
2004-02
[1254]
웹인용
Japan has 1st novel coronavirus case; China reports another death
http://www.cidrap.um[...]
2020-01-16
[1255]
웹인용
Laboratory testing for 2019 novel coronavirus (2019-nCoV) in suspected human cases: Interim guidance
https://www.who.int/[...]
2020-01-28
[1256]
웹인용
Coronavirus Disease 2019 (COVID-19) Situation Summary
https://www.cdc.gov/[...]
2020-01-30
[1257]
웹인용
Real-Time RT-PCR Panel for Detection 2019-Novel Coronavirus
https://www.cdc.gov/[...]
2020-02-01
[1258]
웹인용
There's only one way to know if you have the coronavirus, and it involves machines full of spit and mucus
https://www.business[...]
2020-02-01
[1259]
웹인용
Curetis Group Company Ares Genetics and BGI Group Collaborate to Offer Next-Generation Sequencing and PCR-based Coronavirus (2019-nCoV) Testing in Europe
https://www.globenew[...]
2020-02-01
[1260]
저널
Predicting infectious SARS-CoV-2 from diagnostic samples
[1261]
저널
New blood tests for antibodies could show true scale of coronavirus pandemic
https://www.sciencem[...]
2020-03-19
[1262]
뉴스
NHS staff will be first to get new coronavirus antibody test, medical chief promises
https://www.independ[...]
2020-05-14
[1263]
웹사이트
COVID-19 Treatment Guidelines
https://www.covid19t[...]
National Institutes of Health
2021-01-18
[1264]
저널
How will country-based mitigation measures influence the course of the COVID-19 epidemic?
2020-03
[1265]
웹사이트
Prevention & Treatment
https://www.cdc.gov/[...]
미국 질병통제예방센터
2020-01-21
[1266]
웹사이트
Advice for public
https://www.who.int/[...]
세계보건기구
2020-02-08
[1267]
웹사이트
What to do if you are sick with 2019 Novel Coronavirus (2019-nCoV)
https://www.cdc.gov/[...]
미국 질병통제예방센터
2020-02-13
[1268]
웹사이트
Coronavirus Disease 2019 (COVID-19)
https://www.cdc.gov/[...]
Centers for Disease Control and Prevention
2020-03-04
[1269]
웹사이트
Coronavirus (COVID-19) – 5 things you can do to protect yourself and your community
https://publichealth[...]
Public Health England, Government of the United Kingdom
2020-03-04
[1270]
웹사이트
COVID-19 Information for Travel
https://www.cdc.gov/[...]
미국 질병통제예방센터
2020-02-25
[1271]
웹사이트
China bans trade, consumption of wild animals due to coronavirus
https://www.cnbc.com[...]
CNBC
2020-02-25
[1272]
웹사이트
자주하는 질문
https://www.scdc.or.[...]
서울특별시 감염병관리지원단
2020-09-24
[1273]
웹사이트
Expert interview: What is contact tracing?
https://publichealth[...]
Public Health England, Government of the United Kingdom
2020-02-28
[1274]
뉴스
Wear masks in public says WHO, in update of COVID-19 advice
https://www.reuters.[...]
2020-07-03
[1275]
웹사이트
Recommendations for Cloth Face Covers
https://www.cdc.gov/[...]
2020-06-03
[1276]
웹사이트
When and how to use masks
https://www.who.int/[...]
2020-07-03
[1277]
웹사이트
Social distancing: what you need to do – Coronavirus (COVID-19)
https://www.nhs.uk/c[...]
2020-08-18
[1278]
웹사이트
COVID-19: Use of masks in the community
https://www.health.g[...]
2020-08-18
[1279]
웹사이트
Using face masks in the community – Technical Report
https://www.ecdc.eur[...]
2020-04-08
[1280]
뉴스
Which countries have made wearing face masks compulsory?
https://www.aljazeer[...]
Al Jazeera
2020-05-20
[1281]
웹사이트
Recommendation Regarding the Use of Cloth Face Coverings, Especially in Areas of Significant Community-Based Transmission
https://www.cdc.gov/[...]
2020-04-17
[1282]
웹사이트
For different groups of people: how to choose masks
http://en.nhc.gov.cn[...]
National Health Commission of the People's Republic of China
2020-03-22
[1283]
저널
Face masks for the public during the covid-19 crisis
https://www.bmj.com/[...]
2020-04
[1284]
뉴스
오늘부터 마스크 안 쓰면 과태료 10만 원…주의해야 할 점은?
http://news.kbs.co.k[...]
KBS
2020-12-06
[1285]
뉴스
실외 마스크 의무 완전 해제 검토…OECD 주요국 중 한국만 착용
https://www.hankyung[...]
한경닷컴
2022-09-25
[1286]
뉴스
[더뉴스] '노 마스크'로 가을야구 직관...실내마스크 해제는 아직
https://www.ytn.co.k[...]
YTN
2022-09-25
[1287]
뉴스
정재훈 "마스크 이제 벗자…첫 타자는 영유아들"
https://www.nocutnew[...]
노컷뉴스
2022-09-25
[1288]
뉴스
'마스크의 나라'조차 벗는데…OECD 중 한국만 '실내 마스크'
https://www.joongang[...]
중앙일보
2022-09-25
[1289]
웹사이트
Coronavirus public information campaign launched across the UK
https://www.gov.uk/g[...]
Government of the United Kingdom
2020-02-08
[1290]
웹사이트
Novel Coronavirus
https://www.hpsc.ie/[...]
Health Protection Surveillance Centre of Ireland
2020-02-27
[1291]
웹사이트
Advice on the use of masks in the community, during home care and in health care settings in the context of the novel coronavirus (2019-nCoV) outbreak
https://www.who.int/[...]
세계보건기구
2020-02-21
[1292]
웹사이트
Advice for public
https://www.who.int/[...]
2020-03-08
[1293]
웹사이트
Singapore: The Model for COVID-19 Response?
https://www.medpaget[...]
2020-03-08
[1294]
웹사이트
What every American and community can do now to decrease the spread of the coronavirus
https://www.cdc.gov/[...]
[1295]
웹사이트
Stay at home advice -Coronavirus (COVID-19)
https://www.nhs.uk/c[...]
국민 건강 서비스
2020-03-15
[1296]
뉴스
With Wuhan virus genetic code in hand, scientists begin work on a vaccine
https://www.reuters.[...]
톰슨 로이터
2020-01-25
[1297]
뉴스
Lessons from Sars outbreak help in race for coronavirus vaccine
https://www.theguard[...]
The Guardian
2020-01-25
[1298]
웹인용
Countries Evaluate Evacuation of Citizens Amid Wuhan Coronavirus Panic
https://thediplomat.[...]
2020-01-31
[1299]
웹인용
Coronavirus: Second plane carrying 323 Indians from Wuhan to reach Delhi today
https://www.indiatod[...]
2020-02-02
[1300]
웹인용
België haalt landgenoten terug uit Chinese provincie Hubei na uitbraak coronavirus
https://www.vrt.be/v[...]
2020-01-27
[1301]
웹인용
Last-Minute Preparations Underway to Evacuate Indonesian Citizens From Coronavirus-Ravaged Wuhan
https://jakartaglobe[...]
2020-01-30
[1302]
웹인용
C130 aircraft on standby for Wuhan evacuation
https://www.bangkokp[...]
2020-01-26
[1303]
뉴스
US arranging charter flight to evacuate American diplomats and citizens out of China amid coronavirus outbreak, official says
https://www.cnn.com/[...]
CNN
2020-01-27
[1304]
뉴스
PH sending special flights to get Pinoys from Wuhan, Hubei in China
http://tempo.com.ph/[...]
Tempo
2020-01-29
[1305]
웹인용
미국, 중국 방문 외국인 전면 입국 금지...미 3대 항공사 중국 운항 중단
https://www.voakorea[...]
2021-08-22
[1306]
뉴스
‘신종 코로나’… WHO, 6번째 비상사태 선포할까
한국일보
2020-01-30
본 사이트는 AI가 위키백과와 뉴스 기사,정부 간행물,학술 논문등을 바탕으로 정보를 가공하여 제공하는 백과사전형 서비스입니다.
모든 문서는 AI에 의해 자동 생성되며, CC BY-SA 4.0 라이선스에 따라 이용할 수 있습니다.
하지만, 위키백과나 뉴스 기사 자체에 오류, 부정확한 정보, 또는 가짜 뉴스가 포함될 수 있으며, AI는 이러한 내용을 완벽하게 걸러내지 못할 수 있습니다.
따라서 제공되는 정보에 일부 오류나 편향이 있을 수 있으므로, 중요한 정보는 반드시 다른 출처를 통해 교차 검증하시기 바랍니다.
문의하기 : help@durumis.com
