외투세포 림프종
"오늘의AI위키"의 AI를 통해 더욱 풍부하고 폭넓은 지식 경험을 누리세요.
1. 개요
외투세포 림프종은 비호지킨 림프종의 한 종류로, 림프절 비대, 발열, 야간 발한 등의 증상을 보이며, 주로 60~70세 사이에 진단된다. 진단 시 3~4기 진행성 질환인 경우가 많으며, 골수, 간, 위장관 침범을 보이기도 한다. 진단은 림프절 생검, 면역조직화학 검사, 세포유전학 검사 등을 통해 이루어지며, 화학 요법, 면역 요법, 방사선 면역 치료, 생물학적 제제 등 다양한 치료법이 사용된다. 예후는 불량한 편이나, 최근 치료법의 발전으로 생존율이 향상되고 있으며, 5년 생존율은 50~70% 수준이다.
더 읽어볼만한 페이지
- 림프종 - 림프절 변연부 B세포 림프종
제공된 텍스트는 위키백과 문서의 개요가 아니라 문서 작성 과정에 대한 설명이므로, 림프절 변연부 B세포 림프종에 대한 요약문을 생성할 수 없습니다. - 림프종 - 성인 T세포 백혈병
성인 T세포 백혈병은 사람 T세포 림프친화 바이러스 1형에 의해 유발되는 고위험성 비호지킨 림프종의 일종으로, 고칼슘혈증, 피부 질환, 용해성 골병변 등의 증상을 동반하며 급성형, 림프종형, 만성형, 연성형으로 분류된다.
2. 징후 및 증상
외투세포 림프종은 주로 60대에서 70대 사이의 고령층 남성에게서 발병하는 경향이 있다.[66][7] 미국에서는 진단 시 중간 연령이 68세이며, 환자의 4분의 3이 남성이다.[5] 일본에서도 중장년층에서 노년층 남성(남녀비 2~3:1)에게 많이 발생하며, 악성 림프종의 약 3%를 차지한다.[52] 서구 국가에서는 비호지킨 림프종의 약 7%를 차지하며, 발병률은 나이가 들수록 증가한다.[5]
환자에게 나타나는 증상은 다른 악성 림프종과 유사하며(악성 림프종#증상 참조), 외투세포 림프종만의 특유한 증상은 없다. 일반적으로 통증 없는 림프절병증(림프절 비대)이 가장 흔하며, 발열, 오한, 야간 발한과 같은 B 증상이 동반될 수 있다.[7] 진단 시 이미 병이 진행되어 골수, 간, 위장관 등 림프절 외 장기를 침범한 경우가 많으며[7][8][54], 드물게 중추 신경계(CNS) 침범도 나타날 수 있다.[7][9] 이 외에도 림프절 부종 없이 혈액 내 림프종 세포가 발견되는 비결절성 아형[10][11][7]이나, 모기 물린 데 대한 심한 알레르기 반응[12][13] 등 다양한 양상으로 나타날 수 있다.
2. 1. 일반적인 증상
외투세포 림프종 환자는 주로 60세에서 70세 사이에 증상이 나타나는 경우가 많다.[66][7] 가장 흔한 증상은 통증 없이 목, 겨드랑이, 사타구니 등의 림프절이 붓는 림프절병증이다. 때로는 발열, 오한, 밤에 땀을 심하게 흘리는 B 증상이 동반되기도 한다.[7]진단 시점에서 환자의 약 80%는 이미 병이 상당히 진행된 3기 또는 4기 상태이며, 골수, 간, 위장관 등 다른 부위까지 침범한 경우가 흔하다.[7][8] 약 25%의 환자는 크기가 10cm 이상인 큰 림프절 덩어리를 보이기도 한다.[7] 드물지만 중추 신경계(CNS)를 침범하는 경우도 있으며, 이는 예후가 좋지 않은 것으로 알려져 있다.[7] 하지만 진단 시점에 CNS 침범이 발견되는 경우는 드물다.[9]
다른 악성 림프종과 증상이 비슷하며(악성 림프종#증상 참조), 외투세포 림프종만의 특별한 증상은 없다. 약 70%의 환자에게서 림프절 외 다른 장기 침범이 나타나는데, 특히 소화관 침범이 2~30% 정도로 흔하여 소화기 증상으로 병원을 찾아 내시경 검사 중 발견되기도 한다. 비장이 커지는 경우(비장 비대)도 40% 미만에서 나타나며, 이로 인해 배가 부풀어 오르는 느낌을 받을 수 있다[54]
드물게 '비결절성 외투세포 림프종'이라는 아형이 있는데, 이 경우 림프절이 붓지 않으면서 혈액 속에 림프종 세포가 돌아다니는 백혈병과 유사한 양상을 보인다.[10] 이 유형은 비교적 진행이 느리고 증상이 뚜렷하지 않은 경우가 많지만, 시간이 지나면서 더 공격적인 형태로 변할 수도 있다.[11][7]
또한, 외투세포 림프종은 매우 드물게 모기 물린 데 대한 심한 알레르기 반응과 관련이 있다는 보고가 있다. 모기에 물린 자리가 심하게 붓고 아프며 심하면 피부가 괴사하거나, 전신 발열, 림프절 부종, 복통, 설사 등의 증상이 나타날 수 있다. 극히 드물게는 생명을 위협하는 아나필락시스 반응까지 일으킬 수 있다. 일부 사례에서는 이러한 심한 모기 알레르기 반응이 외투세포 림프종 진단 전에 나타나, 이것이 림프종 발병의 초기 신호일 수 있다는 가능성이 제기되었다.[12][13]
2. 2. 림프절 외 침범 증상
외투세포 림프종 환자의 약 70%는 림프절 외 다른 장기를 침범한 상태로 진단받는다.[54] 특히 진단 시점 환자의 80%는 이미 3기 또는 4기의 진행성 질환 상태이며, 골수, 간, 위장관 침범이 동반되는 경우가 많다.[7][8]- 골수 침범: 빈혈, 백혈구 감소증, 혈소판 감소증 등이 나타날 수 있다.
- 간 침범: 간 비대, 황달, 복수 등이 나타날 수 있다.
- 위장관 침범: 전체 환자의 2~30%에서 나타나며[54], 복통, 설사, 혈변, 구토, 소화불량 등의 소화기 증상을 유발할 수 있다. 이 때문에 소화기 증상으로 병원을 찾아 내시경 검사를 받다가 우연히 발견되는 경우도 있다.[54]
- 비장 비대: 환자의 40% 미만에서 나타나며[54], 복부 팽만감이나 조기 포만감을 느낄 수 있다.
- 중추 신경계 침범: 진단 시에는 드물지만[9], 침범할 경우 두통, 시력 저하, 의식 변화, 마비 등 심각한 증상을 유발하며 예후가 매우 불량하다.[7]
2. 3. 기타 증상
외투세포 림프종 환자에게서 드물게 모기 물린 데 대한 심한 알레르기 반응이 나타나는 경우가 보고되었다. 이러한 반응은 모기에 물린 부위가 매우 크게 부어오르고 통증이나 괴사를 동반하는 심각한 국소 반응부터, 발열, 림프절 부종, 복통, 설사와 같은 전신 증상까지 다양하게 나타날 수 있다. 극히 드문 경우에는 생명을 위협하는 아나필락시스 반응이 나타나기도 한다. 일부 사례에서는 이러한 모기 물린 알레르기 반응이 외투세포 림프종 진단보다 먼저 나타나기도 했는데, 이는 심한 모기 물린 알레르기가 외투세포 림프종의 초기 징후일 수 있음을 시사한다.[12][13]2. 4. 비결절성 외투세포 림프종
비결절성 외투세포 림프종으로 알려진 드문 아형은 림프절 부종 없이(비결절성) 림프종 세포가 순환하는(백혈병성 증상) 형태로 나타난다.[10] 이 유형의 외투세포 림프종은 더 완만하고 무증상이며 천천히 진행되는 경향이 있지만, 공격적인 형태로의 악성 변화가 가능하다.[11][7]3. 병인
외투세포 림프종(MCL)의 정확한 발병 원인은 아직 명확히 밝혀지지 않았다. 대부분의 암과 마찬가지로, MCL은 체세포에서 후천적으로 발생하는 여러 유전자 돌연변이가 축적되면서 발생하는 것으로 여겨진다. 이러한 돌연변이는 악성 B 림프구가 비정상적으로 증식하는 클론 집단의 확장을 유발한다. 어떤 요인이 이러한 유전자 변이를 처음 시작하는지는 일반적으로 특정하기 어려우며, 특별한 위험 요인이 없는 사람에게서도 발병하는 경우가 많다. MCL은 후천적으로 발생하는 질환이므로 전염되지 않으며[14] 유전되지도 않는다.[15]
MCL 세포는 형태학적으로 두 가지 주요 변이체, 즉 '전형적' 또는 '아세포성(블라스토이드)'으로 나뉜다. 전형적인 경우는 불규칙한 세포핵을 가진 작거나 중간 크기의 세포로 구성되며, 아세포성 변이체는 더 크고 미세하게 분산된 염색질을 가진 세포로 나타나며 일반적으로 더 공격적인 경과를 보인다.[16] 또한 MCL 세포는 약물 등으로 유도되는 세포자멸사에 저항성을 보이는 경향이 있어, 화학 요법이나 방사선 요법과 같은 표준적인 암 치료에 잘 반응하지 않을 수 있다.[16] 종양 세포는 주로 림프절이나 비장과 같은 림프계 기관에 축적되어 림프계 기능을 저하시키며, 골수에 침범하여 정상적인 혈액 세포 생성을 방해하기도 한다.[17]
3. 1. 유전적 요인
대부분의 암과 마찬가지로 외투세포 림프종(MCL)은 체세포에서 후천적으로 발생하는 (비유전적) 유전자 돌연변이의 조합으로 인해 발생한다. 이러한 돌연변이는 악성 B 림프구의 클론 집단 확대로 이어진다. 유전자 변이를 시작하는 구체적인 요인은 일반적으로 밝혀내기 어려우며, 림프종 발생에 특별한 위험 요인이 없는 사람에게서도 흔히 나타난다. MCL은 후천적으로 획득하는 유전 질환이기 때문에 전염성이 없으며[14] 유전되지도 않는다.[15]MCL의 가장 특징적인 유전적 변화는 세포 주기 조절 유전자인 사이클린 D1의 돌연변이와 과발현이다. 이는 악성 세포의 비정상적인 증식을 유발하는 데 기여한다.[16]
3. 2. 환경적 요인

외투세포 림프종(MCL)을 유발하는 구체적인 환경적 요인은 아직 명확하게 밝혀지지 않았다. 대부분의 암과 마찬가지로 MCL은 체세포에서 후천적으로 발생하는 유전자 돌연변이 조합으로 인해 발생하며, 이는 악성 B 림프구의 클론 집단 확장을 유발한다.[14][15] 그러나 이러한 유전자 변이를 일으키는 구체적인 외부 요인(환경적 요인)은 일반적으로 특정하기 어려우며, 특별한 위험 요인이 없는 사람에게서도 MCL이 흔히 발생하는 것으로 알려져 있다. 따라서 현재까지 MCL 발생과 직접적인 연관성이 입증된 특정 환경적 요인은 없다.
3. 3. 면역 체계 이상
주어진 원본 자료에는 해당 섹션(면역 체계 이상)에 대한 구체적인 정보가 포함되어 있지 않습니다.4. 진단

외투세포 림프종(MCL)의 진단은 환자의 병력 청취, 신체 검사 소견과 함께 여러 전문적인 검사 결과를 종합하여 이루어진다. MCL이 의심될 경우, 확진을 위해 침범된 조직(주로 림프절, 때로는 골수, 위장관계 등)의 생검이 필수적이다.[7] 생검 조직을 통해 MCL 특유의 세포 형태와 조직 내 성장 양상을 현미경으로 관찰한다.
진단 과정에서는 다음과 같은 검사들이 핵심적인 역할을 한다:
- 림프절 생검 및 조직 검사: 림프종 세포의 형태학적 특징과 배열(미만형, 결절형 등)을 확인하는 가장 기본적인 검사이다.
- 면역조직화학 검사: 특수 염색을 통해 림프종 세포가 발현하는 단백질(면역 표현형)을 분석한다. MCL 진단에 중요한 사이클린 D1(Cyclin D1)과 CD5 등의 발현 여부를 확인한다.[18]
- 세포유전학 검사: 형광 제자리 부합법(FISH) 등의 기법으로 염색체 이상을 검출한다. MCL의 약 90-95%에서 특징적인 t(11;14)(q13;q32) 염색체 전위가 발견되며, 이는 사이클린 D1 유전자의 이상과 관련된다.[18]
이러한 검사들과 함께, 질병의 전신 침범 정도(병기)를 평가하기 위해 영상 검사가 시행된다. 컴퓨터 단층 촬영(CT) 또는 양전자 방출 단층 촬영-컴퓨터 단층 촬영(PET-CT)은 전신의 림프절 및 다른 장기 침범 여부를 평가하는 데 유용하다.[18] 중추 신경계 침범이 의심될 경우 MRI 검사를, 위장관 침범 확인을 위해 내시경 검사를 고려할 수 있다.[18]
MCL은 만성 림프구성 백혈병/소 림프구 림프종, 여포 림프종, 변연부 림프종 등 다른 B 세포 림프종과 임상적, 형태학적으로 유사할 수 있어 정확한 감별 진단이 필수적이다.[18] 특히 비정형적인 면역 표현형을 보이거나, t(11;14) 전위가 다른 질환에서도 드물게 나타나는 경우 진단에 주의가 필요하다.[18]
최종 진단 후에는 Lugano 또는 Ann Arbor 병기 분류 시스템을 사용하여 질병의 진행 단계를 결정하고, 이를 바탕으로 치료 계획을 수립하며 예후를 예측한다.[18]
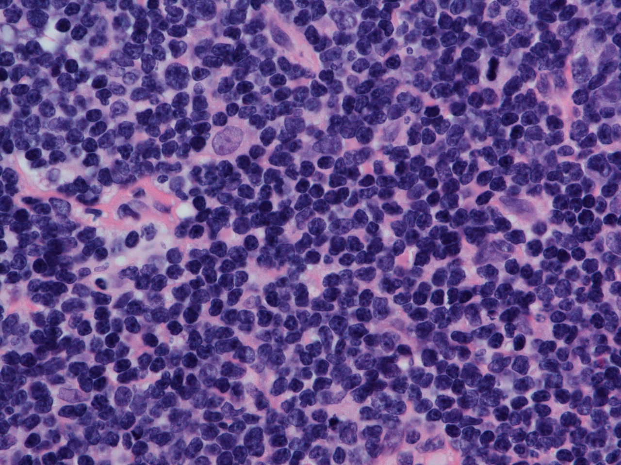
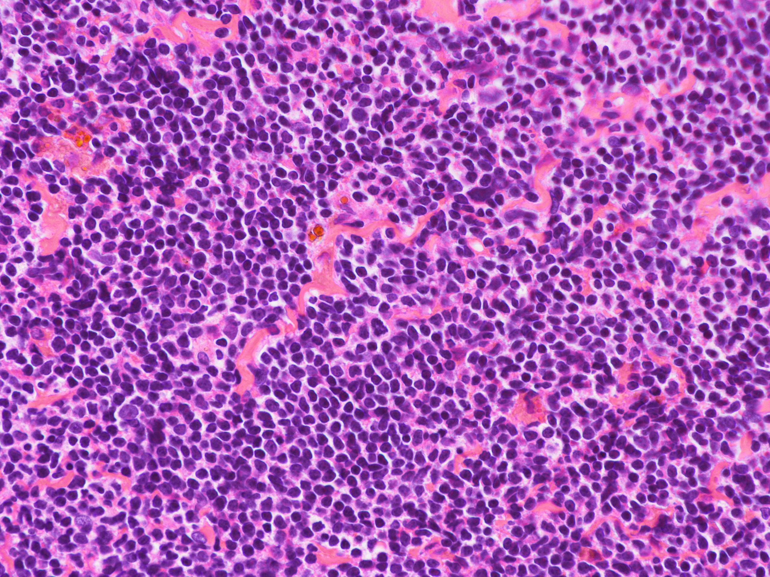
4. 1. 림프절 생검


환자의 병력이나 신체 검사에서 외투세포 림프종(MCL)을 의심할 만한 징후나 증상이 나타날 수 있다. 확진을 위해서는 림프절, 골수, 위장관계, 비장 등 침범된 것으로 의심되는 조직을 생검하여 현미경으로 관찰하는 것이 필수적이다. 생검을 통해 MCL 특유의 조직 병리학적 변화와 성장 패턴을 확인할 수 있다.[7]
조직학적 소견생검 조직에서 관찰되는 MCL의 성장 패턴은 다음과 같이 나눌 수 있다.[7]
- 미만형(diffuse pattern): 림프종 세포가 림프절 전체에 퍼져 정상적인 림프절 구조가 사라진 형태이다. 가장 흔한 패턴이다.
- 결절형(nodular pattern): 림프절 내에 배 중심(germinal center)이 보이지 않는 MCL 세포로 이루어진 큰 결절들이 나타난다.
- 외투대형(mantle zone pattern): 정상적인 배 중심 주변의 외투대(mantle zone)가 림프종 세포로 인해 확장된 형태이다.
- 상피내형(in situ pattern): 림프종 세포가 외투대 내에 국한되어 있으며, 외투대의 확장은 보이지 않는다. 초기 단계의 병변으로 간주될 수 있다.
조직학적으로 전형적인(고전형) MCL은 작거나 중간 크기의 림프구로 구성되며, 세포질은 옅고 핵에는 뚜렷한 갈라짐(cleavage)이나 핵소체가 잘 보이지 않는 것이 특징이다.[7] 이러한 세포들이 균일하게 증식하여 단조로운 모습을 보이는 경우가 많다. 이는 아폽토시스(세포 자살)에 빠진 림프구를 처리하는 큰포식세포(tingible body macrophage)가 거의 없고, 세포 분열상이 드물기 때문이다.
MCL은 다음과 같은 조직 형태학적 아형으로 나눌 수 있다.
- 고전형(classical type): 위에서 설명한 전형적인 형태이며, MCL의 약 90%를 차지한다.
- 소세포 아형(small cell variant): 만성 림프구성 백혈병/소 림프구 림프종(CLL/SLL)과 유사하게 작은 림프구로 구성된다.
- 모구형 아형(blastoid variant): 림프모구 백혈병/림프종과 유사하게 핵이 둥글고 염색질이 미세하며 뚜렷한 핵소체를 가진 미성숙한 세포 형태를 보인다.[7]
- 다형성 아형(pleomorphic variant): 핵의 크기와 모양이 다양하며, 일부는 쪼개진 형태를 보인다. 크고 비정형적인 세포가 많아 미만성 거대 B세포 림프종(DLBCL)과 혼동될 수 있다.[7]
모구형 및 다형성 아형은 고전형 MCL보다 더 공격적인 경과를 보이는 경향이 있다.[7]
면역 표현형 및 유전학적 특징면역 염색은 진단에 중요한 정보를 제공한다. MCL 세포는 대부분 생식 중심 반응을 거치지 않은 미숙한 B 세포에서 유래하며, 다음과 같은 특징을 보인다.[18]
- 양성 마커: B 세포 표지자인 CD20, CD19, CD79a가 양성이다. 또한 CD5가 특징적으로 양성이며, 세포 표면에 IgM 및 IgD를 발현하고, 단클론성 카파(κ) 또는 람다(λ) 경쇄를 나타낸다. Bcl-2 단백질도 거의 항상 양성이다.
- 음성 마커: 배 중심 표지자인 CD10과 Bcl-6은 보통 음성이다. CD23과 CD200도 일반적으로 음성이다. 여포 림프종과 달리 여포 수지상 세포(CD21+) 네트워크는 잘 관찰되지 않는다.
- 핵심 마커: Cyclin D1(CCND1) 단백질의 과발현이 MCL의 가장 특징적인 소견 중 하나이다. 이는 세포 주기의 G1기에서 S기로의 전환을 조절하는 단백질로, MCL 발생에 중요한 역할을 한다.[18] SOX11 전사 인자 역시 MCL에서 특징적으로 과발현된다.[18]
- 예후 인자: 세포 증식 지표인 Ki-67의 발현율이 높을수록(예: 30% 이상) 공격적인 경과와 관련이 있다.[18]
형광 제자리 부합법(FISH)을 이용한 염색체 분석에서는 MCL 사례의 90–95%에서 특징적인 염색체 전위 t(11;14)(q13;q32)가 관찰된다. 이 전위는 11번 염색체의 CCND1 유전자와 14번 염색체의 면역글로불린 중쇄 유전자 영역이 서로 바뀌는 것을 의미하며, 결과적으로 Cyclin D1 단백질이 과도하게 발현된다.[18]
감별 진단MCL은 다른 소형 B세포 림프종과의 감별이 중요하다. 특히 만성 림프구성 백혈병/소 림프구 림프종(CLL/SLL), 여포 림프종, 변연부 림프종, MALT 림프종 등과 구별해야 한다. 면역 표현형(특히 CD5, CD23, Cyclin D1 발현 여부)과 유전학적 검사(t(11;14) 전위 확인)가 감별 진단에 도움을 준다.
드물게 비정형적인 면역 표현형을 보이는 MCL 아형도 존재한다. 예를 들어, CD5 음성, Cyclin D1 음성, SOX11 음성, CD23 양성 등의 변이가 나타날 수 있다.[18] Cyclin D1 음성 MCL의 경우, Cyclin D2, Cyclin D3 또는 Cyclin E의 과발현이 림프종 발생을 유도하기도 한다.[7] 또한, 다발성 골수종, CLL/SLL, 형질 세포 백혈병의 일부에서도 t(11;14) 전위가 나타날 수 있어 진단 시 주의가 필요하다.[18]
4. 2. 면역조직화학 검사
면역조직화학 검사는 림프종 세포 표면이나 내부에 발현되는 특정 단백질(항원)을 검출하여 외투세포 림프종(MCL)을 진단하고 다른 림프종과 구별하는 데 중요한 역할을 한다. 이 검사는 종양 세포의 기원과 특징적인 면역 표현형을 확인하는 데 사용된다.
MCL 세포는 일반적으로 B 세포 계열의 특징을 나타낸다. 따라서 CD20, CD79a, CD19와 같은 B 세포 표지자가 양성으로 나타난다.[18] 또한, 세포 표면에 면역글로불린 M(IgM)과 면역글로불린 D(IgD)를 발현하며, 단일클론성 카파(κ) 또는 람다(λ) 경쇄를 보인다.[18]
전형적인 MCL 사례에서 가장 특징적인 소견 중 하나는 사이클린 D1(Cyclin D1, CCND1) 단백질의 과발현이다. 이는 대부분의 MCL에서 발견되는 t(11;14)(q13;q32) 염색체 전위로 인해 CCND1 유전자가 과도하게 활성화되기 때문이다.[18] 사이클린 D1은 세포 주기의 진행을 조절하는 단백질로, 이의 과발현은 종양 세포의 비정상적인 증식을 유발한다. 면역 염색에서 사이클린 D1이 핵 내에 강하게 염색되는 것이 특징적이다.
또 다른 중요한 표지자는 CD5이다. 대부분의 MCL 세포는 T 세포 표지자로 알려진 CD5를 동시에 발현하는 비정상적인 B 세포 표현형을 보인다.[18] 전사 인자인 SOX11 역시 MCL에서 특징적으로 과발현되며 진단에 유용하다.[18] Bcl-2 단백질도 거의 모든 MCL 사례에서 양성으로 나타난다.
반면, 생식 중심 B 세포에서 주로 발현되는 표지자인 CD10과 Bcl-6는 일반적으로 음성이다.[18] 만성 림프구성 백혈병/소림프구성 림프종(CLL/SLL)과 감별하는 데 중요한 CD23 역시 대부분의 MCL에서는 음성 소견을 보인다.[18] CD200도 보통 음성이다.[18] 세포 증식 정도를 나타내는 Ki-67 표지자의 발현율이 높을수록(예: 30% 이상) 예후가 좋지 않은 공격적인 경과와 관련될 수 있다.[18]
드물게 비전형적인 면역 표현형을 보이는 MCL 아형도 존재한다. 예를 들어, CD5 음성, CD10 양성, CD23 양성, SOX11 음성, 또는 사이클린 D1 음성인 경우가 있다.[18] 사이클린 D1 음성 MCL의 경우, 사이클린 D2, 사이클린 D3, 또는 사이클린 E와 같은 다른 사이클린 단백질이 과발현되어 유사한 기전으로 종양 발생을 유도하기도 한다.[7] 이러한 비전형적 사례들은 진단을 더 어렵게 만들 수 있다.
4. 3. 세포유전학 검사
형광 제자리 부합법(FISH) 검사를 이용한 염색체 평가는 외투세포 림프종(MCL) 진단에 중요한 역할을 한다. 이 검사를 통해 MCL 환자의 약 90~95%에서 특징적인 염색체 전위인 t(11;14)(q13;q32)를 발견할 수 있다.[18] 이 특정 염색체 이상은 사이클린 D1 유전자가 염색체 11번의 q13 위치에서 염색체 14번의 q32 위치로 이동하면서 발생하며, 결과적으로 사이클린 D1 단백질의 과발현을 유발한다. 이는 세포 주기의 조절 이상을 초래하여 종양 발생에 기여하는 것으로 알려져 있다.하지만 t(11;14)(q13;q32) 전위는 다발성 골수종, 만성 림프구성 백혈병, 형질 세포 백혈병과 같은 다른 혈액 질환에서도 드물게 관찰될 수 있다. 따라서 MCL 진단 시에는 세포유전학 검사 결과와 함께 다른 임상적, 병리학적, 면역표현형 검사 결과를 종합적으로 고려하여 신중하게 판단해야 한다.[18]
4. 4. 분자생물학적 검사
외투세포 림프종(MCL)의 진단과 예후 평가에는 세포의 분자생물학적 특징을 분석하는 것이 중요하다. 주로 면역 표현형 검사와 염색체 검사를 통해 이루어진다.면역 염색을 통해 MCL 세포의 특징적인 단백질 발현 양상을 확인한다.
- B세포 표지자: 종양 세포는 B 세포 계열 표지자인 CD20, CD79a가 양성이다.[18]
- CD5: 일반적으로 CD5가 양성으로 발현된다.[18]
- 사이클린 D1 (Cyclin D1): 세포 주기 조절 단백질인 사이클린 D1이 과발현되는 것이 MCL의 매우 특징적인 소견이다.[18] 이는 CCND1 유전자의 이상과 관련이 깊다.
- SOX11: 전사 인자인 SOX11 역시 MCL에서 특징적으로 과발현된다.[18]
- 기타 표지자:
- 면역글로불린 IgM 및 IgD를 발현하며, 단클론성 카파 또는 람다 경쇄를 나타낸다.[18]
- CD23 및 CD200은 일반적으로 음성이다.[18]
- 배 중심 표지자인 CD10과 BCL6는 보통 음성이다.
- BCL2는 거의 모든 경우 양성으로 나타난다.
- 증식 지표: 세포 증식 활성도를 나타내는 Ki-67의 발현율이 높을수록(예: 30% 이상) 예후가 좋지 않은 경향이 있다.[18]
또한, 형광 제자리 혼성화(FISH) 기법 등을 이용한 염색체 분석은 MCL 진단에 핵심적이다.
- t(11;14)(q13;q32) 전위: MCL 사례의 약 90~95%에서 11번 염색체와 14번 염색체 사이의 특정 부위가 서로 뒤바뀌는 염색체 전위, 즉 t(11;14)(q13;q32)가 관찰된다.[18] 이 전위는 11번 염색체에 위치한 CCND1 유전자(사이클린 D1 암호화)가 14번 염색체의 면역글로불린 중쇄 유전자 영역 근처로 이동하게 만들어, 결과적으로 사이클린 D1 단백질의 과발현을 유발한다.
한편, 일부 MCL은 전형적인 분자생물학적 특징에서 벗어나는 경우가 있다.
- 드물게 CD5 음성, CD10 양성, CD23 양성, CD200 양성, SOX11 음성 등의 비전형적 면역 표현형을 보일 수 있다.[18]
- 사이클린 D1 음성 MCL: 일부 MCL에서는 사이클린 D1이 과발현되지 않는다. 이런 경우, 사이클린 D2, 사이클린 D3, 또는 사이클린 E와 같은 다른 사이클린 단백질의 과발현이 관찰되기도 하며, 이 역시 세포 주기 조절 이상을 일으켜 종양 발생에 기여한다.[7] 이러한 아형의 예후는 전형적인 사이클린 D1 양성 MCL과 유사한 경향을 보인다.[7]
이러한 분자생물학적 정보는 만성 림프구성 백혈병/소림프구성 림프종, 여포성 림프종, 변연부 림프종 등 다른 B세포 림프종과의 감별 진단에도 중요한 역할을 한다.
4. 5. 기타 검사
추가적인 림프절 외 침범이나 원격 전이 여부를 평가하기 위해 컴퓨터 단층 촬영(CT) 또는 양전자 방출 단층 촬영-컴퓨터 단층 촬영(PET-CT)을 이용한 영상 검사가 필요하다.[18] 중추 신경계 침범이 의심될 경우에는 뇌와 척추의 MRI 검사를 시행한다.[18] 또한, 외투세포 림프종 환자의 상당수(40~80%)에서 진단 시 위장관계 침범이 발견되므로, 내시경 검사(대장 내시경 검사 및 EGD)와 조직 생검이 진단에 유용할 수 있다. 다만, 모든 환자에게 내시경 검사가 반드시 요구되는 것은 아니다.[18]4. 6. 감별 진단
외투세포 림프종(MCL)은 다른 B 세포 림프종과 유사한 특징을 보일 수 있어 정확한 진단을 위해 감별이 중요하다. 주요 감별 대상 질환은 다음과 같다.[18]- 만성 림프구성 백혈병/소 림프구 림프종 (CLL/SLL)
- 변연부 림프종 (Marginal zone lymphoma, MZL), 특히 MALT 림프종
- 여포 림프종 (Follicular lymphoma, FL)
- 림프아구성 백혈병/림프종 (Lymphoblastic leukemia/lymphoma)
감별 진단에는 조직 생검 및 면역 염색 소견이 중요하다. MCL은 일반적으로 작거나 중간 크기의 균일한 림프종 세포가 미만성 또는 결절성으로 증식하며 단조로운 양상을 보인다. 이는 아폽토시스 세포를 처리하는 조직구(tingible body macrophages)가 부족하고, 핵분열상이 드물며, 여포 림프종과 달리 중심 세포와 중심 모세포가 혼재하지 않기 때문이다.
면역 표현형 검사에서 MCL 종양 세포는 B 세포 표지자(CD20, CD79a)와 함께 CD5가 양성인 경우가 많다. 그러나 배 중심 표지자인 CD10과 bcl-6는 대개 음성이다. 사이클린 D1(CCND1)의 과발현은 MCL의 특징적인 소견으로, 면역 염색에서 강하게 양성 반응을 보인다. bcl-2 역시 거의 모든 경우 양성이다. 반면, 여포 림프종에서 관찰되는 여포 수지상 세포(CD21+)의 네트워크는 MCL에서는 나타나지 않는다. CD23과 CD200은 일반적으로 음성이며, SOX11은 특징적으로 과발현된다.[18]
형광 제자리 혼성화(FISH) 검사를 통해 MCL의 약 90-95%에서 특징적인 염색체 전위 t(11;14)(q13;q32)를 확인할 수 있다.[18] 그러나 이 전위는 다발성 골수종, 만성 림프구성 백혈병, 형질 세포 백혈병의 일부 사례에서도 발견될 수 있어 진단 시 주의가 필요하다.[18]
일부 비전형적인 MCL 아형은 감별 진단을 더 어렵게 만들 수 있다. 예를 들어, 드물게 CD10 양성, CD5 음성, 사이클린 D1 음성, CD200 양성, SOX11 음성, CD23 양성인 MCL 사례가 보고되었다.[18] 특히, 사이클린 D1 음성 MCL은 다른 저등급 B세포 림프종과의 감별이 어려울 수 있다. 이 아형은 대개 사이클린 D2, 사이클린 D3, 또는 사이클린 E의 과발현을 통해 세포 주기의 이상을 유발하며, 사이클린 D1 양성 MCL과 유사한 임상 경과 및 예후를 보이는 것으로 알려져 있다.[7] 따라서 사이클린 D1이 음성인 경우에도 임상 및 조직학적 소견이 MCL을 시사한다면 추가적인 유전자 검사 등을 고려하여 정확한 진단을 내리는 것이 중요하다.
5. 치료
외투세포 림프종(MCL) 치료에 대한 확립된 표준 치료법은 없으며, 전문가들 사이에서도 최적의 치료 방법에 대한 완전한 합의는 이루어지지 않았다.[19] 다양한 치료법이 존재하고 종종 좋은 반응률을 보이지만, 환자는 거의 항상 화학 요법 치료 후 질병이 재발하거나 진행되는 경과를 보인다. 재발할수록 치료는 더 어려워지고 재발 간격도 짧아지는 경향이 있다. 2023년 현재 완치는 어려운 질병이지만, 일부 환자는 처음 진단 후 수년간 생존할 수 있다.[5] 재발 시 사용할 수 있는 치료법들이 있으며, 새로운 치료 접근법에 대한 연구와 임상 시험이 계속 진행 중이다. 이러한 이유로 많은 외투세포 림프종 환자들이 최신 치료법을 접하기 위해 임상 시험 참여를 고려하며, 이는 치료팀의 권고 사항이 되기도 한다.[9][20]
일반적으로 사용되는 치료법에는 크게 네 가지 종류가 있다: 화학 요법, 면역 요법, 방사선 면역 요법, 그리고 생물학적 제제를 이용한 표적 치료 등이다. 치료 과정은 일반적으로 다음과 같은 단계로 나뉜다.[21]
1. 초치료(1차 치료): 진단 후 처음으로 시행하는 치료이다.
2. 공고 요법: 1차 치료에 좋은 반응을 보인 후, 관해 상태를 더 오래 유지하기 위해 시행하는 추가 치료이다.
3. 재발 시 치료: 질병이 다시 나타나거나 악화되었을 때 시행하는 치료이다. 재발은 여러 번 경험하는 경우가 많다.
환자의 연령, 병기, 전신 건강 상태, 예후 인자 등 다양한 요소를 종합적으로 고려하여 개별 환자에게 가장 적합한 치료 계획을 세우는 것이 중요하다. 고령이거나 동반 질환이 있는 경우, 또는 질병의 진행 속도가 매우 느린 일부 환자에서는 즉각적인 치료 대신 경과를 관찰하는 방법을 선택하기도 한다.
5. 1. 초치료
외투세포 림프종(MCL) 치료에 대한 입증된 표준 치료는 없으며, 전문가들 사이에서도 최적의 치료 방법에 대한 합의가 이루어지지 않았다.[19] 다양한 치료법이 존재하고 종종 좋은 반응률을 보이지만, 환자는 거의 항상 화학 요법 후 질병이 진행된다. 각 재발은 일반적으로 치료하기가 더 어려우며, 재발 간격도 짧아지는 경향이 있다. 2023년 현재 완치는 불가능하지만, 일부 환자는 처음 진단 후 수년을 살 수 있다.[5] 재발 시 사용할 수 있는 치료법이 있으며, 새로운 접근 방식에 대한 임상 시험이 진행 중이다. 이러한 이유로 많은 MCL 환자들이 최신 치료법을 접하기 위해 임상 시험에 참여하며, 이는 치료팀의 권고 사항이 되기도 한다.[9][20]일반적으로 사용되는 치료법에는 화학 요법, 면역 요법, 방사선 면역 요법, 생물학적 제제 등이 있다. 치료 단계는 보통 진단 후 첫 치료인 초치료(1차 치료), 1차 치료 반응 후 관해 상태를 연장하기 위한 공고 요법, 그리고 재발 시 치료로 나뉜다. 재발은 여러 번 경험하는 경우가 많다.[21]
초치료 전략은 주로 질병의 병기(국한기 또는 진행기)와 환자의 연령 및 전신 상태에 따라 결정된다.
- 초발 국한기 (Ann Arbor 분류 IA, IIA기, 거대 병변 없음)
- 방사선 치료 단독 또는 방사선 치료와 화학 요법의 병용 요법을 고려할 수 있다.[55]
- 초발 진행기 (Ann Arbor 분류 III, IV기 또는 거대 병변 동반)
- 65세 이하 환자: 리툭시맙을 포함한 강화된 화학 요법(예: R-HyperCVAD/MA 요법) 후, 자가 조혈모 세포 이식을 병행하는 고용량 화학 요법이 표준 치료법 중 하나로 고려된다. 이 접근법은 완전 관해(CR) 및 무진행 생존 기간(PFS)에서 좋은 결과를 보이며, 잠재적 완치 가능성도 제시되었다.[27][28][29][30][56][57][58] R-HyperCVAD는 CHOP와 리툭시맙 병용 요법(R-CHOP)보다 강력하지만 부작용도 더 심하여 주로 입원 치료가 필요하고 비교적 건강한 환자에게 사용된다.[22]
- 66세 이상 또는 고용량 화학 요법의 적응증이 없는 경우: 다른 고악성도 림프종 치료에 준하는 화학 요법을 고려한다. 가장 흔하게 사용되는 것은 R-CHOP 요법이며, 외래에서 투여 가능하다.[59][60] 벤다무스틴과 리툭시맙의 병용 요법(BR 요법) 또한 효과적인 대안으로, R-CHOP에 비해 무진행 생존 기간을 늘리고 독성은 적다는 연구 결과가 있어 선호되는 1차 치료 접근법으로 고려될 수 있다.[31]
면역 요법은 주로 리툭시맙(상품명: 리툭산 또는 마브테라)이라는 단클론 항체를 사용하며, 대부분의 화학 요법과 병용 투여되어 치료 효과를 높인다.[32] 방사선 면역 치료(예: 제발린, 벡사)는 방사성 동위원소를 단클론 항체에 결합시킨 형태이다.
고령 환자 중 질병 진행이 매우 느린 경우에는 특별한 치료 없이 경과를 관찰하는 '무치료 경과 관찰'도 선택지가 될 수 있다. 그러나 어떤 환자가 느린 진행을 보일지 정확하게 예측하는 방법은 아직 확립되지 않았다.
5. 2. 재발 또는 불응성
외투세포 림프종(MCL)은 치료 후에도 재발하는 경우가 많으며, 각 재발은 일반적으로 치료하기 더 어렵고 재발 간격도 짧아지는 경향이 있다.[19][5] 2023년 기준으로 완치는 어렵지만, 재발 시에도 다양한 치료법을 시도해볼 수 있으며 새로운 치료법에 대한 임상 시험도 활발히 진행 중이다.[5][21] 따라서 많은 환자들이 최신 치료법을 접하기 위해 임상 시험 참여를 고려하며, 의료진 역시 이를 권유하기도 한다.[9][20]재발 또는 치료에 반응하지 않는 불응성 외투세포 림프종의 치료에는 다음과 같은 방법들이 고려될 수 있다.
- 화학 요법: 1차 치료에 사용했던 약제를 반복하기보다는 다른 종류의 항암제를 사용하는 경우가 많다. 2차 치료에는 리툭시맙과 함께 플루다라빈, 사이클로포스파미드, 미톡산트론 등을 병용하는 요법이 사용될 수 있다.[21] 클라드리빈과 클로파라빈 역시 연구 중인 약물이다. 경구 복용 약물로 구성된 PEP-C 요법(프레드니손, 에토포시드, 프로카바진, 사이클로포스파미드 저용량 병용)도 재발 환자에게 효과를 보인 바 있다.[23][24][25] 벤다무스틴과 리툭시맙 병용 요법도 선택지가 될 수 있다.[31]
- 표적 치료: 특정 분자를 표적으로 하는 약물을 사용한다.
- 브루톤 티로신 키나제 억제제 (BTKi): 이브루티닙(상품명 임브루비카), 아칼라브루티닙(상품명 칼퀀스), 자누브루티닙(상품명 브루킨사), 피르토브루티닙(상품명 자이퍼카) 등이 미국 등에서 승인되었다.[36][37][38] 이 약물들은 효과를 보이지만, 효과 지속 기간이 짧아 환자는 일반적으로 재발한다.[5]
- 기타: 탈리도마이드와 리툭시맙 병용 요법도 일부 환자에게 시도된 바 있다.[32]
- 면역 치료: 환자의 면역 체계를 이용하여 암세포를 공격하는 치료법이다.
- 단클론 항체: 리툭시맙이 대표적이며, 단독 또는 화학 요법과 병용하여 사용된다. 방사성 동위원소를 결합한 방사선 면역 치료 제제인 이브리투모맙 티우세탄(상품명 제발린)이나 토시투모맙(상품명 벡사)도 사용될 수 있다.[32]
- CAR-T 세포 치료: 환자 본인의 T 세포를 유전적으로 변형하여 암세포를 더 잘 공격하도록 만든 뒤 다시 주입하는 치료법이다. 브렉수캅타젠 오토류셀(상품명 테카르투스)이 재발성 또는 불응성 외투세포 림프종 치료제로 미국과 유럽 등에서 승인되었다.[39][40][41][42]
- 조혈모 세포 이식: 고용량 화학 요법이나 전신 방사선 조사(TBI)를 통해 암세포를 제거한 후, 건강한 조혈모 세포를 이식하여 면역 체계를 재건하는 치료법이다. 자신의 세포를 이용하는 자가 조혈모 세포 이식 또는 타인의 세포를 이용하는 동종 조혈모 세포 이식이 있다. 특히 동종 이식은 재발 또는 불응성 환자에게 고려될 수 있다.[27][28]
이 외에도 고령이거나 질병 진행 속도가 느린 경우에는 특별한 치료 없이 경과를 관찰하는 것도 선택지가 될 수 있으나, 어떤 경우가 이에 해당하는지 정확하게 판별하는 방법은 확립되지 않았다.
5. 3. 유지 요법
1차 치료 후 관해 상태를 연장하기 위한 치료로 공고 요법이 시행될 수 있다.[21] 리툭시맙은 단독 요법으로도 외투세포 림프종에 좋은 활성을 보일 수 있으며 반응 지속 시간을 연장시키는 효과가 있어,[32] 초치료 후 관해 상태를 유지하기 위해 리툭시맙 단독 유지 요법을 고려해 볼 수 있다. 그러나 일반적으로는 화학 요법과 병용하여 투여되는 경우가 더 흔하다.6. 예후
최근 외투세포 림프종(MCL) 치료법의 발전으로 표준 치료 방식이 변화하고 있다. 1차 치료에서 리툭시맙 병용 요법, 젊은 환자를 위한 고용량 시타라빈 기반 유도 요법, 그리고 재발 시 브루톤 티로신 키나제(BTK) 억제제 사용 등은 임상 시험에서 생존율 향상을 보여주었다. 지난 15년 동안 이러한 치료법들이 실제 임상에 적용되면서 환자 생존율 개선이 관찰되고 있다.[43]
MCL의 전체 5년 생존율은 일반적으로 진행성 질환의 경우 약 50%[44], 비교적 초기 단계인 제한적 병기의 경우 약 70%[45] 수준이다.
MCL 환자 대부분은 병이 상당히 진행된 상태에서 진단받기 때문에, 일반적인 암 병기 설정이 예후 예측에 큰 도움이 되지 않는다.[9] 악성 B세포가 림프계를 통해 자유롭게 이동하는 특성상 대부분의 환자는 진단 시 이미 3기 또는 4기에 해당하며, 따라서 병기 자체가 예후에 미치는 영향은 제한적이다.[46]
MCL 국제 예후 지수(MIPI, Mantle Cell Lymphoma International Prognostic Index)는 독일과 유럽의 임상 시험에 참여한 455명의 진행성 MCL 환자 데이터를 기반으로 개발되었다. 이 지수는 환자를 세 가지 위험군으로 분류하여 예후를 예측하는 데 도움을 준다.[47]
MIPI를 구성하는 4가지 독립적인 예후 인자 외에도, 세포 증식 정도를 나타내는 Ki-67 지수 역시 예후와 관련이 있는 것으로 밝혀졌다. Ki-67 수치를 알 경우, 이를 포함하여 생물학적 MIPI(MIPI-b)를 계산할 수 있다.[47]
MCL은 드물게 뇌로 전이될 수 있는 비호지킨 림프종 중 하나이지만, 뇌 전이가 발생하더라도 치료가 가능하다.
여러 예후 지표들이 연구되었으나, 어떤 지표가 가장 중요하고 유용한지에 대해서는 아직 보편적인 합의가 이루어지지 않았다.[46]
- Ki-67: 세포가 얼마나 빨리 성장하고 분열하는지를 나타내는 지표로, 발현율은 약 10%에서 90%까지 다양하다. Ki-67 비율이 낮을수록 종양의 성장 속도가 느리고 덜 공격적인 경향을 보인다. 한 연구에 따르면, Ki-67 지수가 61~90%인 환자군의 중앙 생존 기간은 약 1년인 반면, 5~20%인 환자군은 약 4년에 달했다.[48]
- 세포 유형: MCL 세포의 형태학적 특징도 예후와 관련될 수 있다.
- 형질 모세포성 (Blastic): 세포 크기가 크고 빠르게 성장하며, 장기적인 관해를 얻기 어려운 경향이 있다. 일부 연구에서는 형질 모세포성 MCL 환자의 약 25%가 5년 이상 생존한다고 보고하기도 했다.[49] 이는 미만형보다 길고 결절형과 거의 같다(거의 7년).
- 미만형 (Diffuse) / 결절형 (Nodular): 이 두 유형은 비교적 유사한 임상 경과를 보인다. 형질 모세포성에 비해 성장 속도가 느릴 수 있다.[49]
- 베타-2 마이크로글로불린: 혈액 내 베타-2 마이크로글로불린 수치도 예후 인자로 고려되며, 특히 조혈모 세포 이식 환자에서 연구되었다. 한 연구에서는 이 수치가 3 mg/L 미만인 경우 자가 조혈모 세포 이식(SCT) 후 6년 전체 생존율이 95%에 달했지만, 3 mg/L 초과인 경우에는 자가 SCT에서 중앙값 44개월의 전체 생존율을 보였다(Khouri 03). 이것은 아직 완전히 검증되지 않았다.
- 젖산 탈수소 효소(LDH): LDH는 신체 조직 손상 시 혈액으로 방출되는 효소이다. 비호지킨 림프종 진단 자체에 사용되지는 않지만, 진단된 환자에서 종양의 양(종양 부하)을 추적하는 지표로 활용될 수 있다. 정상 범위는 대략 140~280 U/L[50] 사이이지만, 임상적 의미는 환자의 다른 증상과 함께 해석해야 한다.
일반적으로 MCL 환자의 평균 생존 기간은 3년에서 5년 정도로 알려져 있다. 세포 분열 속도(핵분열 수)가 높은 환자일수록 생존 기간이 짧아지는 경향이 있다.
7. 역학
외투세포 림프종은 전체 비호지킨 림프종 환자의 약 6%를 차지하는 비교적 드문 질환이다.[2] 서구에서는 비호지킨 림프종 발병 사례 중 약 3%에서 10%를 차지하여[53] 일본보다 다소 높은 빈도를 보인다. 일본에서는 전체 악성 림프종의 약 3% 정도를 차지한다.[52]
주로 중장년층에서 노년층에게서 발병하며, 발병 연령의 중앙값은 65세이다.[52] 남성에게 더 흔하게 발생하는데, 2015년 기준 한 보고에서는 남성 대 여성의 발병 비율이 약 4:1이었고,[2] 일본의 경우 2~3:1 정도로 나타난다.[52]
참조
[1]
웹사이트
Mantle Cell Lymphoma Facts
http://www.lls.org/c[...]
2018-04-10
[2]
논문
Mantle cell lymphoma: state of the art
2015-01
[3]
웹사이트
Mantle cell lymphoma
https://www.cancerre[...]
2023-10-08
[4]
웹사이트
Lymphoma Action {{!}} Mantle cell lymphoma
https://lymphoma-act[...]
2023-10-08
[5]
논문
CAR T-Cell therapy for the management of mantle cell lymphoma
2023-03-31
[6]
웹사이트
t(11;14)(q13;q32) IGH/CCND1
http://atlasgenetics[...]
2018-04-10
[7]
논문
Mantle-Cell Lymphoma
2022-06-30
[8]
웹사이트
Mantle Cell Lymphoma Facts
http://www.lls.org/c[...]
2013-08-21
[9]
논문
Guideline for the management of mantle cell lymphoma
2018-05-16
[10]
논문
Progressive leukemic non-nodal mantle cell lymphoma associated with deletions of TP53, ATM, and/or 13q14
2014-08-01
[11]
논문
A subset of t(11;14) lymphoma with mantle cell features displays mutated IgVH genes and includes patients with good prognosis, nonnodal disease
2003-06-15
[12]
논문
Clinical categories of exaggerated skin reactions to mosquito bites and their pathophysiology
2016-06
[13]
논문
Primary EBV infection and hypersensitivity to mosquito bites: a case report
2016-12
[14]
웹사이트
Understanding mantle cell lymphoma
https://www.macmilla[...]
2023-10-08
[15]
웹사이트
Mantle Cell Lymphoma (MCL)
https://lymphomation[...]
2023-10-08
[16]
웹사이트
Mantle Cell Lymphoma: An Update for Clinicians
http://www.medscape.[...]
2007-10-18
[17]
웹사이트
Mantle Cell Lymphoma Facts
https://en.wikipedia[...]
2023-10-08
[18]
논문
Mantle cell lymphoma in 2022—A comprehensive update on molecular pathogenesis, risk stratification, clinical approach, and current and novel treatments
2022-05
[19]
논문
Mantle cell lymphoma: observation to transplantation
[20]
논문
Receiving treatment at a specialist centre confers an overall survival benefit for patients with mantle cell lymphoma
2018-11-26
[21]
웹사이트
Therapeutic options for relapsed/refractory mantle cell lymphoma
https://ashpublicati[...]
2023-10-08
[22]
웹사이트
Archived copy
http://www.nccn.org/[...]
2015-03-18
[23]
웹사이트
Oral combination chemotherapy with Pep-C (C3) for mantle cell lymphoma (MCL): Daily prednisone, etoposide, procarbazine and cyclophosphamide – ASCO
http://www.asco.org/[...]
2008-01-15
[24]
웹사이트
Dr. John Leonard
http://www.mantlecel[...]
2008-02-24
[25]
웹사이트
Phase II Trial of Anti-Angiogenic Therapy with RT-PEPC in Patients with Relapsed Mantle Cell Lymphoma
http://clinicaltrial[...]
2018-06-26
[26]
웹사이트
Background
http://www.nordic-ly[...]
2008-02-15
[27]
웹사이트
Mantle Cell Lymphoma is Curable with Intensive Immunochemotherapy
http://www.docguide.[...]
[28]
웹사이트
Result Content View
http://www.abstracts[...]
[29]
논문
Paramount therapy for young and fit patients with mantle cell lymphoma: strategies for front-line therapy
2018-07
[30]
논문
Frontline Treatment for Older Patients with Mantle Cell Lymphoma
2018-11
[31]
논문
Bendamustine plus rituximab versus CHOP plus rituximab as first-line treatment for patients with indolent and mantle-cell lymphomas: an open-label, multicentre, randomised, phase 3 non-inferiority trial
2013-04
[32]
논문
Antitumor activity of rituximab plus thalidomide in patients with relapsed/refractory mantle cell lymphoma
2004-10
[33]
웹사이트
Chemotherapy Plus Vaccination to Treat Mantle Cell Lymphoma – NCT00101101
http://clinicaltrial[...]
2016-02-28
[34]
웹사이트
Chemotherapy Plus Vaccination to Treat Mantle Cell Lymphoma – NCT00005780
http://clinicaltrial[...]
2016-02-28
[35]
웹사이트
Chemotherapy Plus Vaccination to Treat Mantle Cell Lymphoma – NCT00490529
http://clinicaltrial[...]
2016-02-28
[36]
간행물
FDA approves Imbruvica for rare blood cancers
2013-11-13
[37]
간행물
FDA approves Calquence, on October 31, 2017, the Food and Drug Administration granted accelerated approval to acalabrutinib, (AstraZeneca Pharmaceuticals Inc. under license of Acerta Pharma BV) with an indication for the treatment of adults with mantle cell lymphoma (MCL) who have received at least one prior round of therapy.
https://www.fda.gov/[...]
2019-11-15
[38]
간행물
U.S. FDA Approves Jaypirca (pirtobrutinib), the First and Only Non-Covalent (Reversible) BTK Inhibitor, for Adult Patients with Relapsed or Refractory Mantle Cell Lymphoma After at Least Two Lines of Systemic Therapy, Including a BTK Inhibitor
https://www.prnewswi[...]
Eli Lilly
2023-01-27
[39]
웹사이트
FDA Approves First Cell-Based Gene Therapy For Adult Patients with Relapsed or Refractory MCL
https://www.fda.gov/[...]
2020-07-24
[40]
웹사이트
Tecartus
https://www.fda.gov/[...]
2020-07-24
[41]
간행물
U.S. FDA Approves Kite's Tecartus, the First and Only CAR T Treatment for Relapsed or Refractory Mantle Cell Lymphoma
https://www.business[...]
Kite Pharma
2020-07-24
[42]
웹사이트
Tecartus EPAR
https://www.ema.euro[...]
2020-10-13
[43]
뉴스
British Journal of Haematology
2018-11-20
[44]
논문
Improvement of overall survival in advanced stage mantle cell lymphoma
2009-02
[45]
논문
Limited-stage mantle-cell lymphoma
2003-10
[46]
논문
Risk Factors for Etiology and Prognosis of Mantle Cell Lymphoma
2014-02-22
[47]
논문
A new prognostic index (MIPI) for patients with advanced-stage mantle cell lymphoma
2008-01
[48]
논문
The Ki67 proliferation index is a quantitative indicator of clinical risk in mantle cell lymphoma
https://ashpublicati[...]
2006-04-15
[49]
논문
Blastoid and pleomorphic mantle cell lymphoma: still a diagnostic and therapeutic challenge!
https://ashpublicati[...]
2018
[50]
논문
Biochemistry, Lactate Dehydrogenase
http://www.ncbi.nlm.[...]
StatPearls Publishing
2023
[51]
서적
マントル細胞リンパ腫
文光堂
2010
[52]
논문
Distribution of malignant lymphoma in Japan: analysis of 2260 cases, 2001-2006.
[53]
논문
A clinical evaluation of the International Lymphoma Study Group classification of non-Hodgkin's lymphoma. The Non-Hodgkin's Lymphoma Classification Project.
[54]
서적
みんなに役立つ 悪性リンパ腫の基礎と臨床
医薬ジャーナル社
[55]
논문
Limited-stage mantle-cell lymphoma.
[56]
논문
High rate of durable remissions after treatment of newly diagnosed aggressive mantle-cell lymphoma with rituximab plus hyper-CVAD alternating with rituximab plus high-dose methotrexate and cytarabine.
[57]
논문
Long-term progression-free survival of mantle cell lymphoma after intensive front-line immunochemotherapy with in vivo-purged stem cell rescue: a nonrandomized phase 2 multicenter study by the Nordic Lymphoma Group.
[58]
논문
Mature results of the M. D. Anderson Cancer Center risk-adapted transplantation strategy in mantle cell lymphoma.
[59]
논문
High rate of durable remissions after treatment of newly diagnosed aggressive mantle-cell lymphoma with rituximab plus hyper-CVAD alternating with rituximab plus high-dose methotrexate and cytarabine.
[60]
논문
Treatment of older patients with mantle-cell lymphoma.
[61]
웹인용
Mantle Cell Lymphoma Facts
http://www.lls.org/c[...]
2018-04-10
[62]
논문
Mantle cell lymphoma: state of the art
2015-01
[63]
웹인용
Mantle cell lymphoma
https://www.cancerre[...]
2023-10-08
[64]
웹인용
Lymphoma Action {{!}} Mantle cell lymphoma
https://lymphoma-act[...]
2023-10-08
[65]
웹인용
t(11;14)(q13;q32) IGH/CCND1
http://atlasgenetics[...]
2018-04-10
[66]
논문
Mantle-Cell Lymphoma
2022-06-30
본 사이트는 AI가 위키백과와 뉴스 기사,정부 간행물,학술 논문등을 바탕으로 정보를 가공하여 제공하는 백과사전형 서비스입니다.
모든 문서는 AI에 의해 자동 생성되며, CC BY-SA 4.0 라이선스에 따라 이용할 수 있습니다.
하지만, 위키백과나 뉴스 기사 자체에 오류, 부정확한 정보, 또는 가짜 뉴스가 포함될 수 있으며, AI는 이러한 내용을 완벽하게 걸러내지 못할 수 있습니다.
따라서 제공되는 정보에 일부 오류나 편향이 있을 수 있으므로, 중요한 정보는 반드시 다른 출처를 통해 교차 검증하시기 바랍니다.
문의하기 : help@durumis.com
