다발성 골수종
"오늘의AI위키"의 AI를 통해 더욱 풍부하고 폭넓은 지식 경험을 누리세요.
1. 개요
다발성 골수종은 형질세포의 악성 증식으로 발생하는 혈액암으로, 뼈, 신장, 면역 체계 등 여러 장기에 영향을 미쳐 다양한 증상을 유발한다. 1844년 처음 보고되었으며, 정확한 원인은 밝혀지지 않았지만, 의미미결정 단클론 감마글로불린혈증(MGUS)과 비만이 위험 요인으로 알려져 있다. 진단은 혈액, 소변 검사, 골수 검사, 영상 검사를 통해 이루어지며, 국제 병기 분류 시스템(ISS)과 개정된 ISS(R-ISS)를 통해 병기를 분류하여 예후를 예측한다. 치료는 증상 유무에 따라 결정되며, 약물 요법, 자가 조혈모세포 이식, CAR T 세포 치료법 등이 사용된다. 5년 생존율은 약 54%이며, 2015년 전 세계적으로 약 48만 8천 명의 환자가 발생했다. 한국에서도 고령화 사회와 함께 환자 수가 증가하는 추세이며, 치료 접근성을 높이기 위한 노력이 이루어지고 있다.
더 읽어볼만한 페이지
- 표시 이름과 문서 제목이 같은 위키공용분류 - 라우토카
라우토카는 피지 비치레부섬 서부에 위치한 피지에서 두 번째로 큰 도시이자 서부 지방의 행정 중심지로, 사탕수수 산업이 발달하여 "설탕 도시"로 알려져 있으며, 인도에서 온 계약 노동자들의 거주와 미 해군 기지 건설의 역사를 가지고 있고, 피지 산업 생산의 상당 부분을 담당하는 주요 기관들이 위치해 있다. - 표시 이름과 문서 제목이 같은 위키공용분류 - 코코넛
코코넛은 코코넛 야자나무의 열매로 식용 및 유지로 사용되며, 조리되지 않은 과육은 100g당 354kcal의 열량을 내는 다양한 영양 성분으로 구성되어 있고, 코코넛 파우더의 식이섬유는 대부분 불용성 식이섬유인 셀룰로오스이며, 태국 일부 지역에서는 코코넛 수확에 훈련된 원숭이를 이용하는 동물 학대 문제가 있다. - 한국어 위키백과의 링크가 위키데이터와 같은 위키공용분류 - 라우토카
라우토카는 피지 비치레부섬 서부에 위치한 피지에서 두 번째로 큰 도시이자 서부 지방의 행정 중심지로, 사탕수수 산업이 발달하여 "설탕 도시"로 알려져 있으며, 인도에서 온 계약 노동자들의 거주와 미 해군 기지 건설의 역사를 가지고 있고, 피지 산업 생산의 상당 부분을 담당하는 주요 기관들이 위치해 있다. - 한국어 위키백과의 링크가 위키데이터와 같은 위키공용분류 - 코코넛
코코넛은 코코넛 야자나무의 열매로 식용 및 유지로 사용되며, 조리되지 않은 과육은 100g당 354kcal의 열량을 내는 다양한 영양 성분으로 구성되어 있고, 코코넛 파우더의 식이섬유는 대부분 불용성 식이섬유인 셀룰로오스이며, 태국 일부 지역에서는 코코넛 수확에 훈련된 원숭이를 이용하는 동물 학대 문제가 있다.
| 다발성 골수종 | |
|---|---|
| 질병 정보 | |
![]() | |
| 분야 | 혈액학, 종양학 |
| 증상 | 뼈 통증, 피로 |
| 합병증 | 아밀로이드증 신장 문제 뼈 골절 과점성 증후군 감염 빈혈 |
| 발병 시기 | 약 60세 |
| 지속 기간 | 장기적 |
| 원인 | 알려지지 않음 |
| 위험 요인 | 비만 |
| 진단 | 혈액 또는 소변 검사, 골수 생검, 의료 영상 |
| 치료 | 스테로이드 화학 요법 탈리도마이드 줄기세포 이식 비스포스포네이트 방사선 요법 |
| 예후 | 5년 생존율 54% / 기대 수명 6년 (미국) |
| 유병률 | 488,200명 (2015년) |
| 사망자 | 101,100명 (2015년) |
| 추가 정보 | |
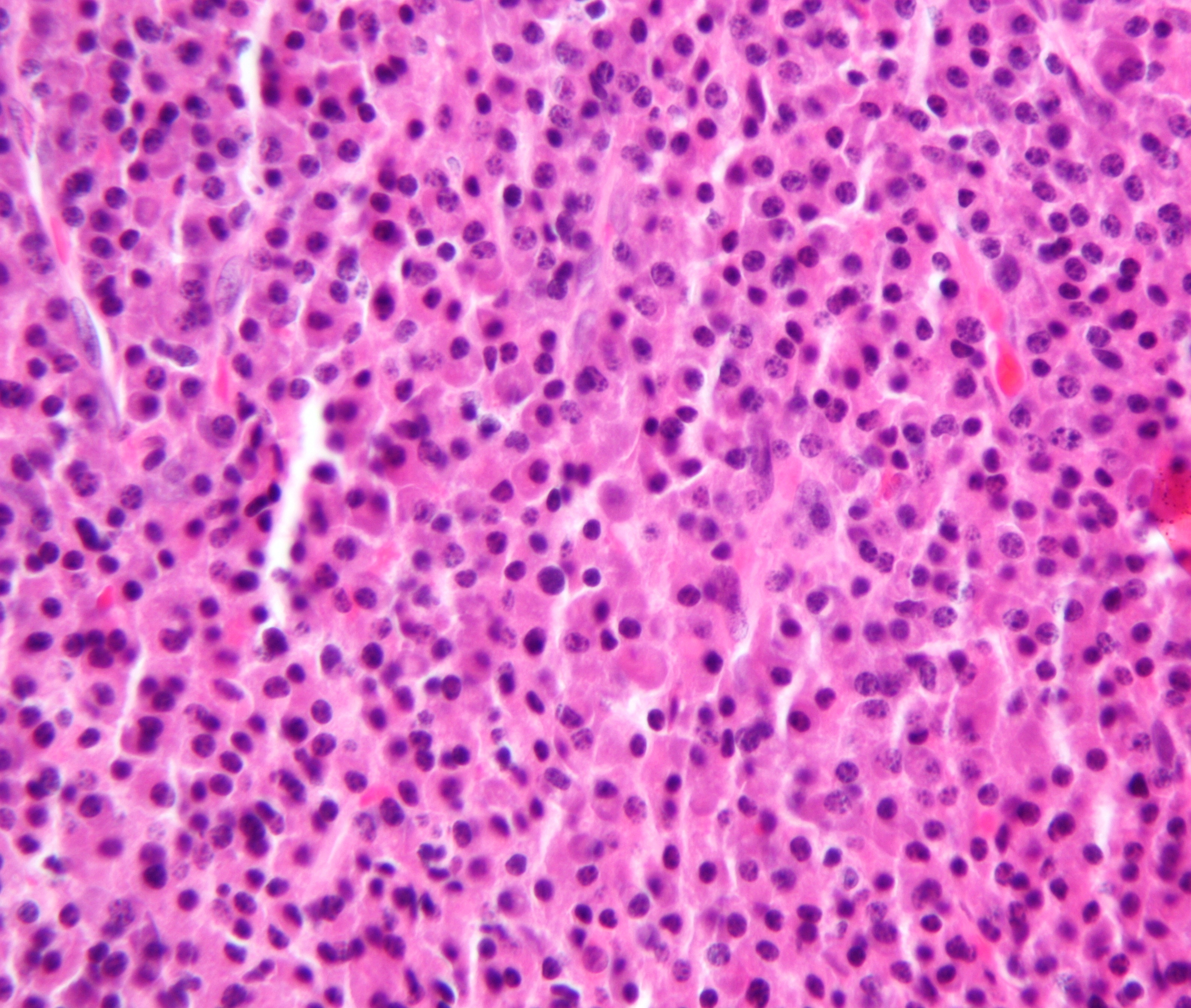
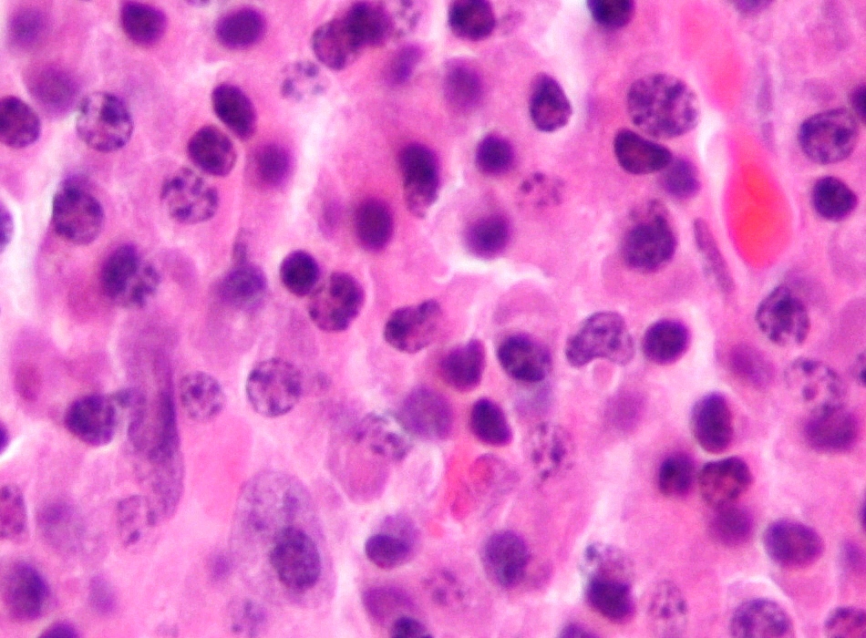
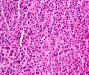
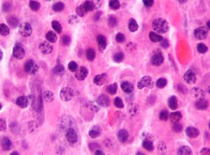
| 병리학 | |
![]() | |
| 기타 정보 | |
| 관련 질병 | 의미불명의 단클론성 면역글로불린혈증 쿠스부리형 골수종 |
| 추가 치료법 | CAR T-세포 치료 |
2. 역사
1844년 사무엘 솔리(Samuel Solly)가 39세 여성 환자에게서 다발성 골수종으로 추정되는 첫 사례를 기록했다.[165] 같은 해 런던의 내과의사 윌리엄 맥킨타이어(William McIntyre)는 53세 남성 환자의 소변에서 이상을 발견하고,[165] 내과의사이자 법의학자인 헨리 벤스 존스에게 분석을 의뢰했다. 1845년 존스는 이 소변의 이상 성분이 열에 의해 응고되는 특징을 보이는 알부민 유사 물질임을 발견하고 벤스-존스 단백이라 명명했다. 환자는 3개월 후 사망했고, 1846년 존 달린풀이 부검 후 뼈에서 형질세포와 유사한 세포를 발견했다.[165] 1850년 맥킨타이어는 이 질환을 벤스-존스형 골수종으로 발표했다.
다발성 골수종의 정확한 원인은 아직 밝혀지지 않았다.[174] 의미미결정 단클론 감마글로불린혈증(MGUS)과 무증상 다발성 골수종은 다발성 골수종의 전암 단계로 알려져 있다. MGUS는 매년 1~2%의 환자에서 다발성 골수종으로 진행되며,[209] 무증상 다발성 골수종은 초기 5년간 연간 10%의 확률로 다발성 골수종으로 진행한다.[210][211]
1873년 러시아의 J. von Rustizky가 부검에서 골수에 다발성 종양을 확인하고 "다발성 골수종"이라는 병명을 처음 사용했다.[165]
1930년대에는 혈청 및 요단백질 전기영동 검사가, 1950년대에는 면역전기영동법이 개발되어 다발성 골수종 진단 기술이 크게 발전했다.
1958년 블로힌(Blokhin) 등이 멜팔란(melphalan)의 효과를 보고했고,[165] 같은 해 멜팔란이 개발되었다. 1962년 캐나다의 다니엘 버그사겔(Daniel Bergsagel)이 멜팔란을 이용한 첫 치료 성공 사례를 보고했다. 1969년 레이먼드 알렉사니안(Raymond Alexanian) 등[166]은 멜팔란과 프레드니솔론 병용 요법(MP 요법)의 효과를 입증했고, 이는 1990년대까지 표준 치료법으로 사용되었다.
1984년 Bart Barlogie와 레이먼드 알렉사니안 등[167]이 VAD 요법을 보고했다. 1986년부터 1996년까지 자가 말초혈액 줄기세포 이식과 고용량 화학 요법을 병용하는 치료법이 발전하여 완전 관해율(종양이 완전히 소실된 환자의 비율)이 크게 상승했다.
1997년 J. 폴크만(J. Folkman)이 탈리도마이드의 효과를 보고한 이후, 레날리도마이드, 포말리도마이드, 보르테조밉, 파노비노스타트 등 신약이 개발되었다.
3. 원인
유전적 요인도 다발성 골수종 발생에 영향을 미치는 것으로 보인다. 특히 특정 단백질의 과인산화는 상염색체 우성으로 유전되는 경향이 있으며, 아프리카계 미국인에게서 더 흔하게 나타난다.[213]
3. 1. 위험 인자
다발성 골수종의 원인은 명확하게 밝혀지지 않았다.[174] 하지만, 다음과 같은 요인들이 다발성 골수종 발생 위험을 높이는 것으로 알려져 있다.3. 2. 발생 기전
다발성 골수종은 림프절의 종자중심을 떠난 B 림프구에서 발생하며, 활성화된 기억 B 세포 또는 형질세포의 전구체인 형질모세포와 가장 관련이 깊다.[47] 면역 체계는 B 세포 증식과 항체 분비를 엄격하게 통제하지만, 염색체와 유전자에 변이(주로 재배열)가 발생하면 이러한 통제력을 상실한다.[49] 종종 프로모터 유전자가 염색체로 이동(전좌)하여 항체 유전자의 과잉 생산을 자극하기도 한다.
면역글로불린 중쇄 유전자(염색체 14, 로커스 q32)와 종양유전자(주로 11q13, 4p16.3, 6p21, 16q23, 20q11[48]) 사이의 염색체 전좌는 다발성 골수종 환자에게서 자주 관찰된다. 이 돌연변이는 종양유전자의 조절 이상을 초래하며, 골수종 발병의 중요한 개시 사건으로 여겨진다.[49] 그 결과, 형질세포 클론이 증식하고 게놈 불안정성이 발생하여 추가적인 돌연변이와 전좌로 이어진다. 염색체 14 이상은 모든 골수종 사례의 약 50%에서, 염색체 13의 (일부) 결실 또한 약 50%의 사례에서 관찰된다.
형질세포에 의한 사이토카인(특히 IL-6) 생성은 골다공증 등 국소적 손상을 유발하고, 악성 세포가 증식하는 미세 환경을 조성한다.[50] 혈관신생(새로운 혈관 생성) 또한 증가한다.
후성유전적 변형(DNA 메틸화 또는 히스톤 변형)은 질병 발생 및 진행에 중요한 역할을 한다.[51] 다발성 골수종 세포와 정상 형질 세포의 DNA 메틸화 프로파일을 조사한 연구에서, 줄기세포에서 형질세포로 갈수록 점진적인 탈메틸화가 관찰되었고, 부위 특이적인 메틸화 증가가 나타났다.[52] 메틸화 손실은 유전자 활성화와 관련이 있으며, 메틸화 증가는 유전자 침묵과 관련이 있다. 다발성 골수종에서의 조절되지 않은 메틸화 패턴은 특정 암 유전자의 활성화와 특정 종양 억제 유전자의 억제를 초래한다.
다발성 골수종의 유전적 이상은 질병을 두 가지 주요 그룹, 즉 고이수성 다발성 골수종과 비고이수성 다발성 골수종으로 나눈다. 고이수성 다발성 골수종(MM)은 양호한 예후와 관련이 있으며 홀수 염색체의 삼염색체를 포함한다. 비고이수성 MM은 예후가 더 나쁘며 14번 염색체의 전좌를 특징으로 하며, 이는 종양유전자의 발현으로 이어진다. 이러한 전좌는 t(11;14), t(6;14), t(4;14), t(14;16), t(14;20)일 수 있다.[57]
관련 유전자 돌연변이에는 ATM, BRAF, CCND1, DIS3, FAM46C, KRAS, NRAS 및 TP53이 포함된다.[58]
유전적 및 후생유전적 변화는 점진적으로 발생한다. 초기 변화는 종종 14번 염색체 전좌를 포함하며, 이는 무증상 질환인 MGUS를 유발하는 골수 형질 세포의 클론을 형성한다. MGUS는 골수 내 형질 세포 수 증가 또는 골수종 단백질 면역글로불린 순환 증가를 특징으로 하는 전암성 질환이다.[59]
추가적인 유전적 또는 후생유전적 변화는 일반적으로 원래 클론에서 유래한 새로운 골수 형질 세포 클론을 생성하며, 이는 더 심각하지만 여전히 무증상인 전암성 질환인 사구체성 다발성 골수종을 유발한다. 이 골수종은 MGUS에서 관찰되는 것보다 골수 형질 세포 수 또는 순환 골수종 단백질 수치의 증가를 특징으로 한다.
후속 유전적 및 후생유전적 변화는 더욱 공격적인 새로운 형질 세포 클론으로 이어지며, 이는 순환 골수종 단백질 수치의 추가적인 증가, 골수 형질 세포 수의 추가적인 증가 또는 특정 "CRAB" 증상 집합 중 하나 이상의 발생을 유발한다.
소수의 다발성 골수종 사례에서 추가적인 유전적 및 후생유전적 변화는 골수에서 순환계로 이동하여 원격 조직을 침범하여 모든 형질 세포 이형성증 중 가장 악성인 형질 세포 백혈병을 유발하는 형질 세포 클론의 발생으로 이어진다.[36][61][62] 따라서 형질 세포 또는 그 전구체의 근본적인 유전적 불안정성은 다음과 같은 진행으로 이어진다.
> 단일클론 감마병증(MGUS) → 사구체성 다발성 골수종 → 다발성 골수종 → 형질 세포 백혈병
골수에서 형질세포가 종양성으로 증가함으로써, 단일클론성의 이상 γ글로불린(M 단백)을 생성하며, 이로 인해 총단백질 상승이 일어나고, 적혈구침강속도가 빨라지며, 고점도증후군을 일으키는 경우도 있다. 종양화된 형질세포가 파골세포를 활성화시키고 골아세포를 억제함으로써 용골성 변화가 일어나, 골통이나 병적인 골절, 고칼슘혈증을 동반하기도 한다. 또한 정상적인 조혈도 억제되어 빈혈 등의 혈구 감소를 동반한다. 이상 생성되는 글로불린 경쇄 단백질인 벤스-존스 단백(BJP)에 의해 신장 장애도 발생한다.
4. 증상 및 징후
다발성 골수종은 여러 장기에 영향을 미치기 때문에 증상이 매우 다양하다. 초기에는 피로감과 뼈 통증이 가장 흔하게 나타난다.[190][191][192]
과거에는 활동성 다발성 골수종을 확인하기 위해 '''CRAB''' 기준을 사용했다. CRAB 기준은 다음과 같다.[190][191][192]
| 기준 | 설명 |
|---|---|
| Calcium (칼슘) | 혈청 칼슘 농도가 정상 최댓값보다 0.25 mmol/L (1 mg/dL) 초과, 또는 2.75 mmol/L (11 mg/dL) 초과 |
| Renal insufficiency (신부전) | 분당 크레아티닌 청소율 40 mL 미만, 또는 혈청 크레아티닌 농도 1.77 mol/L (2 mg/dL) 초과 |
| Anemia (빈혈) | 헤모글로빈 수치가 정상 범위보다 2g/dL 낮거나, 10g/dL 미만 |
| Bone lesions (뼈 병변) | X선, CT, PET/CT 등에서 골용해성 병변 발견 |
현재는 국제 골수종 연구 그룹(IMWG)이 제시한 확장된 기준을 사용한다. 이 기준에는 CRAB 기준보다 먼저 나타날 수 있는 세 가지 이상의 소견이 포함되어, 다발성 골수종을 조기에 발견하고 치료를 시작할 수 있다.[192]
4. 1. 뼈 통증 (골통)
뼈 통증은 다발성 골수종 환자의 약 70%에서 나타나는 가장 흔한 증상 중 하나이다.[191][193] 주로 척추와 갈비뼈에서 발생하며, 움직이면 악화된다. 지속적이고 국소적인 통증은 병적 골절을 시사할 수 있다. 척추에 발생한 골통은 척수 압박이나 척주후만증으로 이어질 수 있다.
다발성 골수종에서 골질환은 골수 내 NF-κB 리간드(RANKL)의 수용체 활성 인자가 과발현되기 때문에 발생한다. RANKL은 파골세포를 활성화시켜 뼈 흡수를 촉진한다. 단순 방사선 사진에서는 뼈 병변이 골용해성으로 나타나며, "구멍 뚫린 듯한(punched out)" 모양이나 두개골의 "빗방울(raindrop)" 모양으로 관찰될 수 있다. 뼈 파괴로 인해 칼슘 이온이 혈액으로 방출되어 고칼슘혈증 및 관련 증상이 나타난다.[194]
4. 2. 빈혈
다발성 골수종에서 빈혈은 대개 적혈구 모양이 정상인 정상적혈구이고, 적혈구 내 헤모글로빈 농도가 정상인 정상색소빈혈이다.[195] 종양 세포가 골수에 침범하고 사이토카인이 생성되면서 정상적인 적혈구 생성 (조혈) 과정이 방해받아 빈혈이 발생한다.[22]4. 3. 신장 기능 손상
급성 또는 만성으로 콩팥 기능이 손상될 수 있다.[196][197] 다발성 골수종에서 콩팥 기능이 손상되는 가장 흔한 원인은 악성 세포에서 분비하는 단백질이다. 다발성 골수종 세포는 여러 종류의 단클론 단백질을 만들어내는데, 가장 흔한 것은 항체(면역글로불린)와 유리 경쇄(free light chain)이며 혈액 내 이 단백질들의 농도가 비정상적으로 높아진다. 이때 만들어진 단백질의 크기에 따라 콩팥으로 배설될 수 있고, 단백질이나 경쇄의 영향으로 콩팥이 손상을 입기도 한다. 뼈 흡수가 증가하면서 고칼슘혈증이 발생하여 콩팥석회증을 일으키고, 결국 신부전까지 이어질 수 있다. 아밀로이드증은 아밀로이드 단백질이 침착되는 상태로, 아밀로이드 역시 콩팥으로 배설되므로 콩팥과 다른 장기에 손상을 입힐 수 있다.[198][199] 유리 경쇄는 판코니 증후군 등 다양한 임상 양상을 나타낼 수 있다.[198] 골수종 환자의 50% 이상에서 신장 장애가 발생하는 것으로 알려져 있다.4. 4. 감염
다발성 골수종은 정상적인 면역 반응을 방해하여 폐렴, 요로감염증, 패혈증 등의 감염 위험을 높인다.[200] 특히 새로운 약물 치료 시작 후 초기 몇 달간은 면역 반응이 더욱 억제되므로 감염 위험이 가장 높다.[201]환자의 면역 반응은 혈중 면역글로불린 농도를 측정하여 평가한다. 면역글로불린에는 A, D, E, G, M의 다섯 가지 종류가 있다.[203] 다발성 골수종에서는 면역글로불린 농도가 전체적으로 증가하지만, 대부분 클론성 형질세포에서 생성된 단클론 다양성을 보이는 효과 없는 항체(주로 IgA와 IgG)이다.[203] 효과적인 항체 수치가 특정 값 이하로 떨어지는 저감마글로불린혈증의 경우,[204] 감염 위험을 줄이기 위해 보충용 면역글로불린을 주기적으로 주입할 수 있다.[205]
4. 5. 신경학적 증상
쇠약, 혼란, 피로감 등의 일부 증상은 빈혈이나 고칼슘혈증으로 인한 것일 수 있다. 두통, 시각 이상, 망막병증은 파라단백질의 특성에 따라 발생할 수 있는 혈액의 과다점도로 인한 것일 가능성이 있다. 또한 척수신경근통, 창자나 방광의 조절 소실 (척수 문제로 인한 것), 손목 터널 증후군, 그 외 신경병증(아밀로이드의 말초신경 침윤으로 인한 것) 등이 발생할 수 있다. 늦게 발현하는 경우에는 하반신마비가 생길 수도 있다.[206]4. 6. 구강 증상
초기 증상으로는 통증, 무감각, 종창, 약해져서 움직이는 치아, 방사선 투과성 등이 있다.[207] 구강의 다발성 골수종은 치근단농양, 치주농양, 치은염, 치주염, 그 외 다른 치주의 비대나 종괴 같은 흔한 치아 문제와 비슷한 양상을 보이기도 한다.[208]5. 진단



다발성 골수종은 여러 장기를 침범할 수 있기 때문에 증상과 징후는 매우 다양하다. 초기 증상으로는 피로와 뼈 통증이 가장 흔하다. 과거에는 활동성 다발성 골수종을 확인하기 위해 CRAB 기준이 사용되었다.[17][18][19] CRAB 기준은 다음과 같다.
- '''C'''alcium(칼슘): 혈청 칼슘이 정상 상한치보다 0.25 mmol/L (>1 mg/dL) 초과하거나 2.75 mmol/L (>11 mg/dL) 초과
- '''R'''enal insufficiency(신장 기능 저하): 크레아티닌 청소율이 분당 40mL 미만이거나 혈청 크레아티닌이 1.77 mmol/L (>2 mg/dL) 초과
- '''A'''nemia(빈혈): 헤모글로빈 수치가 정상 하한치보다 2g/dL 이상 낮거나 헤모글로빈 수치가 10g/dL 미만
- '''B'''one lesions(골 병변): 골격 방사선 사진, CT 또는 PET/CT에서 용해성 골 병변
2003년, 국제골수종워킹그룹(IMWG)은 다발성 골수종 진단 기준을 발표했으며,[17] 2009년[74]과 2014년[75][76]에 업데이트되었다.
다발성 골수종은 정상적으로 병원균에 저항하는 혈액 성분의 기능을 손상시키기 때문에, 폐렴, 요로 감염, 패혈증과 같은 합병 감염이 흔하게 발생한다.[27] 환자의 면역 반응은 일반적으로 혈액 내 다양한 면역글로불린(-A, -D, -E, -G, -M) 수치를 측정하는 검사를 통해 평가된다.[30]
무력감, 혼돈, 피로와 같은 일부 증상은 빈혈 또는 고칼슘혈증으로 인해 나타날 수 있다. 두통, 시각 변화, 망막병증은 파라프로테인의 특성에 따라 혈액의 고점도로 인해 발생할 수 있다.
다발성 골수종의 유전적 이상은 고이수성 다발성 골수종과 비고이수성 다발성 골수종의 두 가지 주요 그룹으로 나뉜다.
5. 1. 진단 기준 (IMWG, 2014)
2003년, 국제골수종워킹그룹(IMWG)은 증상성 골수종, 무증상 골수종 및 단일클론 감마글로불린혈증(MGUS)에 대한 진단 기준에 합의하였으며, 이후 2009년에 업데이트되었다.[74] 2014년, 국제골수종워킹그룹(IMWG)은 악성 종양의 바이오마커를 포함하도록 기준을 추가로 업데이트했다.[75][76]- 증상성 골수종 (다음 세 가지 기준을 모두 충족해야 함):[74]
- 골수 생검에서 클론성 형질세포가 10% 초과이거나 (어떤 양이든) 다른 조직의 생검에서 (형질세포종) 발견되는 경우
- 혈청 또는 소변에서 단일클론성 단백질(골수종 단백질)이 검출되며, 3g/dL을 초과해야 함(진정한 비분비성 골수종의 경우 제외)
- 형질세포 질환과 관련된 말초 장기 손상의 증거(관련 장기 또는 조직 장애, CRAB):
- 고'''칼'''슘혈증(보정 칼슘 >2.75 mmol/L, >11 mg/dL)
- 골수종으로 인한 '''신'''부전(신장 기능 저하)
- '''빈'''혈(헤모글로빈 <10 g/dL)
- '''골''' 병변(용해성 병변 또는 압박 골절을 동반한 골다공증)
CRAB 특징이 없는 사람에게서 재발성 감염만으로는 골수종 진단이 충분하지 않다. CRAB 특징이 없지만 아밀로이드증의 증거가 있는 사람은 골수종이 아닌 아밀로이드증으로 간주되어야 한다.
2014년에 추가된 바이오마커 기준은 다음과 같다.[75][76]
- 클론성 형질세포 >60%
- 혈청 관련/관련 없는 유리 경쇄 비율 ≥ 100 (관련 유리 경쇄 농도는 ≥ 100 mg/L이어야 함)
- MRI로 측정했을 때 5 mm 이상의 국소 병변이 하나 이상
이러한 바이오마커와 CRAB 기준을 함께 골수종 정의 사건(MDE)이라고 한다. 골수종으로 진단받으려면 클론성 형질세포가 10% 초과이고 MDE가 하나 이상 있어야 한다.[75]
- 단일클론 감마글로불린혈증(MGUS):[74]
- 혈청 단백질 <30 g/L (3 g/dL) 및
- 골수 생검에서 클론성 형질세포 <10% 및
- 골수종 관련 장기 또는 조직 장애 또는 관련 B 세포 증식성 질환 없음
IMWG 진단 기준은 다음과 같이 표로 정리할 수 있다.
| 질환 | 진단 기준 |
|---|---|
| 증상성 다발성 골수종 | ① 골수 내 단일클론성 형질세포가 10% 이상 또는 골수 생검에서 형질세포종 확인 |
| MGUS | ① 혈청 단일클론성 단백질 저치 |
| 숨은 형태 또는 무증상 골수종 | ① 혈청 중 단일클론성 단백질이 3g/dl 이상 |
5. 2. 검사
다발성 골수종의 진단을 위해서는 다양한 검사가 필요하다.==== 혈액 검사 ====
혈액 검사를 통해 혈액 내 여러 수치를 확인하고, 이를 통해 다발성 골수종의 징후를 파악한다.
- '''칼슘 수치:''' 뼈가 파괴되면서 칼슘이 혈액으로 방출되어 혈청 칼슘 수치가 정상 상한치보다 0.25 mmol/L (>1 mg/dL) 초과하거나 2.75 mmol/L (>11 mg/dL)를 초과할 수 있다.
- '''크레아티닌 수치 및 빈혈 수치:''' 신장 기능 저하로 인해 크레아티닌 청소율이 분당 40mL 미만이거나 혈청 크레아티닌이 1.77 mmol/L (>2 mg/dL)를 초과할 수 있다. 또한, 헤모글로빈 수치가 정상 하한치보다 2g/dL 이상 낮거나 10g/dL 미만인 빈혈이 나타날 수 있다.
- '''단백질 전기영동:''' 혈액 내 단백질 성분을 분석하여 파라프로테인(단일클론 단백질 또는 M 단백질)의 존재를 확인한다. 파라프로테인은 다발성 골수종 세포에서 생성되는 비정상적인 단백질이다.
- '''면역글로불린 수치:''' 혈액 내 면역글로불린 (IgA, IgG, IgM 등) 수치를 측정하여 면역 저하 상태를 확인한다.
- '''베타-2 마이크로글로불린:''' 이 수치는 예후를 예측하는 데 도움이 된다.
- '''자유 경쇄 측정:''' 혈청 자유 경쇄 분석법을 통해 질병의 진행 및 치료 반응을 모니터링하고, MGUS에서 다발성 골수종으로의 진행 위험을 평가한다.
==== 소변 검사 ====
소변 검사를 통해 소변 내 단백질을 분석한다.
- '''단백질 전기영동:''' 소변 내 파라프로테인의 존재 여부를 확인한다. 특히, 벤스-존스 단백질은 자유 경쇄로 구성된 소변 파라프로테인으로, 다발성 골수종의 진단에 중요하다.
==== 골수 검사 ====
골수 생검을 통해 골수 내 형질 세포의 비율을 확인하고, 이 세포들의 특징을 분석한다.
- '''형질 세포 비율:''' 골수에서 형질 세포가 차지하는 비율을 추정하여 진단 기준에 사용한다.
- '''면역조직화학:''' 세포 표면 단백질에 대한 항체를 사용하여 형질 세포를 염색하고, 특정 세포 유형 (CD56, CD38, CD138, CD319 양성, CD19, CD20, CD45 음성)을 검출한다.[17]
- '''유세포 분석:''' 캡파 또는 람다 경쇄만 발현하는 형질 세포의 클론성을 확인한다.
- '''세포유전학 검사:''' 골수종 특이적 형광 제자리 혼성화(FISH)와 가상 카리오타입을 포함하여 예후를 평가한다.
==== 영상 검사 ====
영상 검사를 통해 뼈의 상태를 확인하고, 병변의 유무 및 위치를 파악한다.
- '''골격계 전반 촬영:''' 두개골, 축골격, 근위부 장골의 X선 촬영을 통해 "용해성 병변" (흡수로 인한 정상 뼈의 국소적 소실) 또는 두개골 X선 사진에서 "구멍 뚫린 병변" ("빗방울 두개골")을 확인한다.
- '''자기 공명 영상(MRI):''' 용해성 병변 검출에 단순 X선보다 민감하며, 특히 척추 질환이 의심되는 경우 사용된다.
- '''컴퓨터 단층 촬영(CT):''' 연조직 형질세포종의 크기를 측정하는 데 사용될 수 있다.
- '''골 스캔:''' 핵의학 골 스캔은 일반적으로 다발성 골수종 환자의 검사에 추가적인 가치가 없다.
2003년 국제골수종워킹그룹(IMG)은 증상성 골수종, 무증상 골수종 및 단일클론 감마글로불린혈증(MGUS)에 대한 진단 기준에 합의하였으며, 이후 2009년에 업데이트되었다.[74] 2014년, 국제골수종워킹그룹(IMWG)은 악성 종양의 바이오마커를 포함하도록 기준을 추가로 업데이트했다.[75][76]
5. 3. 병기 분류
2005년에 국제골수종연구그룹(International Myeloma Working Group, IMWG)이 발표한 국제 병기 분류(ISS)가 널리 사용되고 있다.[170]- IMWG 국제 병기 분류(ISS)
| 병기(Stage) | 기준(Criteria) |
|---|---|
| I | 혈청 β2-마이크로글로불린 < 3.5mg/L 이고 혈청 알부민(Alb) ≥ 3.5g/dL |
| II | I 또는 III 이외 |
| III | 혈청 β2-마이크로글로불린 ≥ 5.5mg/L |
주: II에는 다음 두 가지가 포함된다.
- 혈청 β2-마이크로글로불린 < 3.5 mg/L 이고 혈청 알부민 < 3.5 g/dL인 경우[170]
- 혈청 알부민 값에 관계없이 혈청 β2-마이크로글로불린 ≥ 3.5 mg/L 이고 < 5.5 mg/L인 경우[170]
- 개정된 국제 병기 분류(R-ISS)
| 병기(Stage) | 기준 |
|---|---|
| I | ISS 병기 I 이고 간기핵 형광 제자리 혼성화(iFISH)에서 표준 위험군 염색체 이상(CA)이고 혈청 젖산탈수소효소(LDH)가 정상 범위 |
| II | I 또는 III 이외 |
| III | ISS 병기 III 이고 iFISH에서 고위험군 염색체 이상(CA) 또는 혈청 LDH 고농도 |
- ISS 병기 I, II, III 에 더하여
: 간기핵 FISH(iFISH)에 의한 염색체 이상(CA)
:: 고위험군(high risk): del(17p) 및/또는 t(4;14) 및/또는 t(14;16) 존재
:: 표준 위험군(standard risk): 고위험군 CA를 인지하지 못함
: LDH
:: 정상(Normal): 혈청 LDH ≤ 정상 상한
:: 고농도(High): 혈청 LDH > 정상 상한
5. 4. 감별 진단
다발성 골수종과 감별해야 할 질환은 다음과 같다.
- '''고립성 형질세포종''': 방사선 조사로 치료되는 단일 형질세포 종양이다.
- '''형질세포 이형성증''': 항체만이 증상을 유발하는 경우로, AL 아밀로이드증이 대표적이다.
- '''POEMS 증후군''': 말초 신경병증, 장기 비대, 내분비 장애, 단일클론성 형질세포 질환, 피부 변화 등이 나타나는 증후군이다.
- '''MGUS(Monoclonal gammopathy of undetermined significance)''': 과거에는 양성 단클론성 감마글로불린혈증이라고 불렸던 질환이다. 아밀로이드증으로 진행될 수도 있다. 골 병변, 고칼슘혈증 등 다발성 골수종에 특유한 증상은 나타나지 않는다. BJP(베타-2-마이크로글로불린)를 인지하는 경우도 매우 드물다. 엄격한 경과 관찰이 필요하다.
다음은 국제골수종연구그룹(International Myeloma Working Group: IMWG)의 진단 지침을 표로 정리한 내용이다.[17]
| 질환 | 진단 기준 세 가지 항목을 모두 충족해야 함 |
|---|---|
| 증상성 다발성 골수종 (Symptomatic multiple myeloma) | |
| MGUS (Monoclonal gammopathy of undetermined significance) | |
| 숨은 형태 또는 무증상 골수종 (Smoldering or indolent myeloma) | |
| 골의 고립성 형질세포종 (Solitary plasmacytoma of bone) |
6. 치료
다발성 골수종의 치료 목표는 클론성 형질 세포 집단을 줄이고 질병 증상을 완화하는 것이다. 증상이 있는 경우 치료가 필요하며, 증상이 없는 무증상 다발성 골수종의 경우에는 치료를 연기하거나 임상 시험으로 제한할 수 있다.[102]
다발성 골수종 치료에는 여러 약제를 함께 사용하는 다약제 요법이 주로 사용된다. 3제 요법(세 가지 약제 병용)이나 4제 요법(네 가지 약제 병용)이 사용되며, 여기에는 단클론 항체(다라투무맙 등), 면역조절제(레날리도마이드, 포말리도마이드 등), 프로테아솜 억제제(보르테조밉, 카필조밉, 익사조밉 등), 스테로이드(덱사메타손 등)를 조합하는 경우가 많다.[220] 오랫동안 3제 요법이 표준 치료법이었으나, 최근에는 4제 요법이 더 많이 사용되는 추세이다.[220]
이러한 병용 치료는 약물 이름의 첫 글자를 따서 줄여 부르는데, 상품명은 대문자로, 성분명은 소문자로 표시한다. 예를 들어 VRd는 보르테조밉(벨케이드), 레날리도마이드(레브리미드), 덱사메타손을, DKRd는 다라투무맙(다잘렉스)와 카필조밉(키프롤리스)을 조합한 것이다.[221] 이 약제들은 유사분열을 억제하거나 DNA 손상을 일으키는 전통적인 항암제가 아니므로, 화학요법 약제라고 부르지 않기도 한다.[222][223]
시간이 지나면서 암세포가 클론 진화나 유전자 돌연변이 등의 내성 기전을 발달시켜 약물 효과가 감소할 수 있다. 과거에는 이러한 이유로 "잠복기" 단계의 다발성 골수종을 치료하지 않았으나, 최근에는 잠복기에 약물 치료를 하여 질병 진행을 예방할 수 있는지 연구하고 있다.
약물 치료로 암 부담이 줄어들면 일부 환자는 조혈모세포 이식(자가 조혈모세포 이식, ASCT)을 받아 질병을 더욱 억제하기도 한다. 그러나 이 시술은 허약한 환자에게는 사용할 수 없다.[90]
최근에는 맞춤 의학이 연구되면서, 특정 변이나 유전적 하위 유형에 따라 특정 약물에 더 잘 반응한다는 결과가 나오고 있다. 예를 들어 t(11,14) 유전자 전좌가 있는 환자는 베네토클락스 치료에 특히 효과를 볼 수 있다.[92][93]
CAR-T 세포 치료법은 (장기간 입원이 필요하지만) 한 번의 치료로 장기간 질병 완화를 유도할 수 있다.[94] 하지만 현재 이 치료법은 질병 후기 환자에게만 FDA 승인을 받았고, 특정 의료 센터에서만 받을 수 있다.[95]
T 세포 면역 반응을 이용하는 또 다른 치료법으로 이중 특이성 T 세포 결합제(BITE) 또는 이중 특이성 단클론 항체가 있다. 이 계열의 첫 번째 약물은 테클리스타맙이지만, 현재는 질병 후기 환자에게만 사용이 제한된다.[96] 탈퀘타맙 등 다른 BITE 약물도 연구 및 개발 중이다.[97]
다발성 골수종은 치료법이 빠르게 발전하는 분야이므로, 국제 골수종 재단, 다발성 골수종 연구 재단 등을 통해 최신 정보를 얻는 것이 중요하다.
6. 1. 초기 치료
다발성 골수종의 초기 치료는 환자의 나이와 전반적인 건강 상태에 따라 달라진다.65세 미만 환자:65세 미만의 환자에게는 일반적으로 고용량 화학요법 후 자가 조혈모세포 이식(ASCT)을 하는 것이 선호되는 치료법이다.[104] 이 방법은 환자 자신의 조혈모세포를 채취하여 냉동 보관한 후, 고용량의 항암제를 투여하여 골수 내의 암세포를 제거하고, 다시 보관해둔 조혈모세포를 이식하는 방식이다. 이식 전에는 보르테조밉 기반 요법이나 레날리도마이드와 덱사메타손을 병용하는 요법을 사용하기도 한다.[103] 자가 조혈모세포 이식은 완치를 보장하지는 않지만, 생존 기간을 연장하고 완전 관해(complete remission)를 유도하는 데 효과적이다.[105]
일본에서는 65세 미만이며 주요 장기 기능이 유지되는 환자의 경우, 화학요법과 함께 자가 조혈모세포 이식을 실시하는 것이 표준 치료로 여겨진다. 관해 유도 요법으로는 다음과 같은 방법들이 선택될 수 있다.[220][221]
- 보르테조밉 + 덱사메타손 (BD 요법)
- 레날리도마이드 + 덱사메타손 (LD 요법)
- 보르테조밉 + 레날리도마이드 + 덱사메타손 (BLD 요법)
- 보르테조밉 + 독소루비신 + 덱사메타손 (BAD 요법)
- 보르테조밉 + 시클로포스파마이드 + 덱사메타손 (BCD 요법)
- 보르테조밉 + 탈리도마이드 + 덱사메타손 (BTD 요법)
- 빈크리스틴 + 독소루비신 + 덱사메타손 (VAD 요법)
- 대량 덱사메타손 요법
최근에는 새로운 약제들이 등장하면서 VAD 요법은 잘 선택되지 않는 추세이다. 이후 시클로포스파마이드 대량 투여와 G-CSF를 이용하여 말초혈액에서 줄기세포를 채취하고, 멜팔란 대량 투여(HDT) 후 자가 조혈모세포 이식(ASCT)을 진행한다.
65세 이상 환자 또는 동반 질환이 있는 환자:65세 이상이거나 심각한 동반 질환이 있어 자가 조혈모세포 이식을 견디기 어려운 환자의 경우, 이전에는 멜팔란과 프레드니손을 사용한 화학요법이 표준 치료였다. 그러나 최근 연구에 따르면 보르테조밉과 같은 새로운 화학요법 약물을 사용하면 치료 결과를 개선할 수 있는 것으로 나타났다.[106][107]
일본에서는 65세 이상 환자의 경우, 여러 약제를 병용하는 화학요법이 주로 사용된다. 과거에는 MP 요법(멜팔란 + 프레드니솔론)이나 CP 요법(시클로포스파마이드 + 프레드니솔론)이 사용되었지만, 최근에는 보르테조밉, 레날리도마이드, 다라투무맙 등을 조합한 치료법이 표준적으로 사용되고 있다.
다음은 환자 상태에 따라 선택될 수 있는 화학요법의 예시이다.
- 다라투무맙 + 멜팔란 + 프레드니솔론 + 보르테조밉 (D-MPB 요법)
- 다라투무맙 + 레날리도마이드 + 덱사메타손 (D-Ld 요법)
- 멜팔란 + 프레드니솔론 + 보르테조밉 (MPB 요법)
- 멜팔란 + 프레드니솔론 + 탈리도마이드 (MPT 요법)
- 레날리도마이드 + 덱사메타손 (LD 요법)
- 멜팔란 + 프레드니솔론 (MP 요법)
- 시클로포스파마이드 + 프레드니솔론 (CP 요법)
- 대량 덱사메타손 (HD-DEX 요법)
최근에는 탈리도마이드, 레날리도마이드, 포말리도마이드, 보르테조밉, 익사조밉, 카필조밉, 파노비노스타트, 엘로투주맙, 다라투무맙, 이사툭시맙, 베네토클락스 등 분자 표적 치료제를 포함한 신약들이 개발되어, 기존 치료법보다 더 나은 치료 효과를 기대할 수 있게 되었다.
6. 2. 유지 요법
초기 치료 후 재발을 막기 위해 저독성 약물을 장기간 사용하는 유지 요법이 종종 사용된다. 레날리도마이드 유지 요법은 표준 위험군 환자에서 무진행 생존 기간과 전체 생존 기간을 개선하는 것으로 나타났다.[114] 보르테조밉 기반 유지 요법은 중간 위험군 및 고위험군 질환 환자에게 도움이 될 수 있다.[115]6. 3. 재발/불응성 다발성 골수종 (RRMM) 치료
대부분의 다발성 골수종 환자는 초기 치료 후 재발하며, 고용량 화학요법과 자가 줄기세포 이식(ASCT)을 받은 환자도 예외는 아니다. 재발을 막기 위해 저독성 약물을 장기간 사용하는 유지 요법이 종종 사용된다. 2017년 메타 분석에 따르면 표준 위험군 환자에서 레날리도마이드를 이용한 ASCT 후 유지 요법이 무진행 생존 기간과 전체 생존 기간을 개선하는 것으로 나타났다.[114] 2012년 임상 시험에서는 중간 위험군 및 고위험군 질환 환자들이 보르테조밉 기반 유지 요법으로부터 이득을 보는 것으로 나타났다.[115]재발 원인에는 치료로 인한 선택적 압력, 신생 돌연변이에 의한 질병 진행, 또는 초기 생검에서 질병이 불충분하게 나타난 경우가 포함된다.[78] 진단 후 18개월 이내에 재발하는 경우 기능적으로 고위험 다발성 골수종으로 간주된다.[78] 환자 상태, 이전에 사용된 치료 방법 및 무병 기간에 따라 재발 질환에 대한 치료 옵션에는 원래 약물로 재치료, 다른 약물(예: 멜팔란, 시클로포스파마이드, 탈리도마이드 또는 덱사메타손 단독 또는 병용) 사용 및 두 번째 자가 조혈모세포 이식(ASCT)이 포함된다.
병이 진행됨에 따라 이전에 효과적이었던 치료에 내성이 생기는 데 이를 불응성이라 한다. 이 단계를 재발/불응성 다발성 골수종(RRMM)이라고 한다. RRMM 치료에 일반적으로 사용되는 치료법에는 덱사메타손, 프로테아좀 억제제(예: 보르테조밉 및 카필조밉), 면역조절 이미드 약물(예: 탈리도마이드, 레날리도마이드 및 포말리도마이드), 그리고 특정 단클론 항체(예: CD38에 대한 이사툭시맙 또는 CD319를 표적으로 하는 항체)가 포함된다. 최근 몇 년 동안 생존율이 증가했으며,[116] 새로운 치료법이 개발 중이다.
대부분의 약물 요법은 다약제 치료를 실시하며, 삼제(triplet) 내지는 사제(quadriplet) 요법 등을 시행한다. 이때 하나 이상의 단클론 항체(다라투무맙 등), 면역조절제(레날리도마이드, 포말리도마이드), 프로테아솜 억제제(보르테조밉, 카필조밉, 익사조밉), 스테로이드(덱사메타손 등)를 병용하는 경우가 많다.[220]
오랜 기간 동안 삼제 요법이 표준 치료법이었으나, 시간이 지날수록 사제 요법이 흔히 사용되고 있다.[220] 이러한 병용 치료는 명명할 때 이니셜을 따는데, 상품명의 경우는 대문자로, 성분명의 경우는 소문자로 표시한다. 가령 VRd는 보르테조밉의 상품명인 벨케이드(Velcade), 레날리도마이드의 상품명인 레브리미드(Revlimid), 덱사메타손(dexamethasone)의 이니셜을 딴 것이다. 비슷하게 DKRd는 다라투무맙의 상품명인 다잘렉스(Darzalex)와 카필조밉의 상품명인 키프롤리스(Kyprolis)에서 따온 것이다.[221] 한편 이러한 약제를 화학요법 약제라고 부르지 않기도 하는데, 이들은 유사분열을 억제하거나 DNA 손상을 유발하는 고전적인 항암제가 아니기 때문이다.[222][223]
진행된 질병 관리를 위해 승인된 몇 가지 새로운 치료법은 다음과 같다.
- 벨란타맙 마포도틴: B 세포 성숙 항원(BCMA)으로도 알려진 CD269에 대한 단클론 항체로, 항-CD38 단클론 항체, 프로테아좀 억제제 및 면역조절제를 포함한 4가지 이상의 이전 치료를 받은 재발성 또는 불응성 다발성 골수종 성인 환자의 치료에 사용된다.[117][118]
- 카필조밉: 프로테아좀 억제제로, 다음과 같은 경우에 사용된다.
- * 1회 이상의 치료를 받은 환자에게 단독 요법으로 사용
- * 1~3회의 치료를 받은 환자에게 덱사메타손 또는 레날리도마이드와 덱사메타손 병용 요법으로 사용[119]
- 다라투무맙: 프로테아좀 억제제 및 면역조절제를 포함한 3회 이상의 이전 치료를 받았거나 프로테아좀 억제제 및 면역조절제에 이중 불응성인 환자에게 사용되는 CD38에 대한 단클론 항체[120]
- 엘로투주맙: 1~3회의 이전 치료를 받은 환자에게 레날리도마이드와 덱사메타손 병용 요법으로 사용되는 SLAMF7(CD319라고도 함)에 대한 면역자극 인간화 단클론 항체[121]
- 이사툭시맙: 레날리도마이드와 프로테아좀 억제제를 포함한 2회 이상의 이전 치료를 받은 다발성 골수종 성인 환자의 치료를 위해 포말리도마이드와 덱사메타손 병용 요법으로 사용되는 CD38에 대한 단클론 항체.[122][123]
- 이자조밉: 1회 이상의 이전 치료를 받은 환자에게 레날리도마이드와 덱사메타손 병용 요법으로 사용되는 경구용 프로테아좀 억제제[124]
- 파노비노스타트: 보르테조밉과 면역조절제를 포함한 2회 이상의 이전 화학요법 요법을 받은 환자에게 보르테조밉과 덱사메타손 병용 요법으로 사용되는 경구용 히스톤 탈아세틸화 효소 억제제[125]
- 셀리넥소르: 4회 이상의 이전 치료를 받았고 질병이 2가지 이상의 프로테아좀 억제제, 2가지 이상의 면역조절제 및 항-CD38 단클론 항체에 반응하지 않는 환자에게 덱사메타손 병용 요법으로 사용되는 경구용 핵 수출 선택적 억제제[126]
- 이데카브타젠 비클류셀: 2021년 FDA에 의해 4회 이상의 이전 치료를 받은 재발성 또는 불응성 다발성 골수종 성인 환자의 치료를 위해 승인된 최초의 세포 기반 유전자 치료[127]
탈케타맙(Talvey)과 엘라나타맙(Elrexfio)은 2023년 8월 미국에서 의료용으로 승인되었다.[128][129][130][131]
6. 4. 최신 치료법
다음은 다발성 골수종의 최신 치료법이다.- 벨란타맙 마포도틴: B 세포 성숙 항원(BCMA)에 대한 단클론 항체이다.[117][118]
- 카필조밉: 프로테아좀 억제제이다.[119]
- 다라투무맙: CD38에 대한 단클론 항체이다.[120]
- 이사툭시맙: CD38에 대한 단클론 항체이다.[122][123]
- 엘로투주맙: SLAMF7(CD319)에 대한 면역자극 인간화 단클론 항체이다.[121]
- 이자조밉: 경구용 프로테아좀 억제제이다.[124]
- 파노비노스타트: 경구용 히스톤 탈아세틸화 효소 억제제이다.[125]
- 셀리넥소르: 경구용 핵 수출 선택적 억제제이다.[126]
- 이데카브타젠 비클류셀: 세포 기반 유전자 치료이다.[127]
- 실타카브타겐 아우토레우셀: 세포 기반 유전자 치료이다.[135]
- 탈케타맙, 엘라나타맙: 이중 특이성 T 세포 결합제(BITE)이다.[128][129][130][131]
6. 5. 기타 치료
비스포스포네이트(파미드로네이트, 졸레드론산)는 골절을 예방하고, 직접적인 항종양 효과도 있는 것으로 알려져 있다.[11] 필요한 경우, 빈혈 관리를 위해 적혈구 수혈이나 에리스로포이에틴을 사용할 수 있다.6. 6. 부작용 관리
항암화학요법과 조혈모세포 이식은 출혈을 유발할 수 있으며, 이 경우 혈소판 수혈이 필요할 수 있다.[136][137] 항암화학요법이나 줄기세포 이식을 받는 사람들에게 출혈 예방을 위한 혈소판 수혈은 사용 방법에 따라 출혈 발생, 사망률, 수혈 횟수에 다른 영향을 미친다.[136][137]운동은 혈액암 환자의 사망률, 삶의 질, 신체 기능에 큰 차이가 없을 수 있지만, 우울증을 약간 줄이고 피로를 감소시킬 수 있다.[138] 특히 유산소 운동은 피로 감소에 효과적일 수 있다.[138]
여러 국가의 암 치료 지침에서는 진단 시기부터 고도 다발성 골수종 환자와 증상이 심한 모든 환자에게 조기에 완화 의료를 권장한다.[139][140] 완화 의료는 다발성 골수종의 어떤 단계에서든 적절하며 치료적 치료와 함께 제공될 수 있다. 암 증상을 해결하는 것 외에도 완화 의료는 치료와 관련된 통증과 메스꺼움과 같은 원치 않는 부작용을 관리하는 데 도움이 된다.[141][142]
암 치료 전 구강 예방, 위생 교육, 감염원 제거는 감염 합병증 위험을 줄일 수 있다.[143] 비스포스포네이트 치료 전에는 치과 건강 평가를 통해 약물 관련 악골 괴사(MRONJ) 발생 위험 요인을 평가해야 한다.[143]
7. 예후
미국에서는 5년 생존율이 약 54%이다.[144] 고용량 치료 후 자가 조혈모세포 이식(ASCT)을 시행했을 때, 2003년 추산 중앙값 생존 기간은 약 4.5년이었다.[145]
2005년 국제 골수종 연구 그룹(International Myeloma Working Group, IMWG)이 발표한 국제 병기 분류 시스템(International Staging System, ISS)은 생존율 예측에 도움이 된다.[77] 2005년 기준으로 1단계 질환의 중앙값 생존 기간은 62개월, 2단계 질환은 45개월, 3단계 질환은 29개월이었다.[77] 진단 당시 중앙값 연령은 69세이다.[144]
| 병기(Stage) | 기준(Criteria) |
|---|---|
| I | 혈청 β2-마이크로글로불린 < 3.5mg/L 이고 혈청 알부민(Alb) ≥ 3.5g/dL |
| II | I 또는 III 이외 |
| III | 혈청 β2-마이크로글로불린 ≥ 5.5mg/L |
2015년에는 세포유전학 및 젖산 탈수소효소(lactate dehydrogenase)(LDH)를 포함하는 개정된 ISS(R-ISS)가 발표되었다.[78][79][80]
- R-ISS(Revised ISS)
| 병기(Stage) | 기준 |
|---|---|
| I | ISS 병기 I 이고 iFISH(간기핵 형광 in situ hybridization)에서 표준 위험군(Standard risk) 염색체 이상(CA)이고 혈청 LDH(젖산탈수소효소)가 정상 범위 |
| II | I 또는 III 이외 |
| III | ISS 병기 III 이고 iFISH에서 고위험군(High risk) CA 또는 혈청 LDH 고농도 |
7. 1. 유전적 예후 인자
SNP 어레이 카리오타이핑은 표적 FISH 패널로는 발견되지 않을 수 있는 예후에 중요한 의미를 지닌 복제수 변이를 검출할 수 있다.[146]다음 표는 다발성 골수종에서 다양한 유전적 소견의 예후 효과를 개략적으로 보여주는 것으로, 표준 명명법에 따라 염색체 전좌를 t로 표시하였다.[147]
| 유전적 이상 | 유전자 | 골수종에서의 발생률 | 예후 영향 |
|---|---|---|---|
| 결실/단독 일염색체성 13 | RB1, DIS3 | 45–50% | 예후에 미치는 영향은 불분명 |
| 삼염색체성 | 40–50% | 중앙 생존 기간: 7–10년 | |
| 다른 이상에 추가된 1q21 이득 | CKS1B, ANP32E | 35–40% | 중앙 생존 기간: 5년 |
| t(11;14)(q13;q32) | IgH 및 CCND1 | 15–20% | 중앙 생존 기간: 7–10년 |
| 삼염색체성 + 임의의 IgH 전좌 | 15% | 고위험 IgH 및 del 17p 전좌의 중화 가능성 | |
| 저이수성 | 13–20% | 불량한 예후, 진행 위험이 높음 | |
| t(4:14)(p16;q32) | IgH 및 FGFR3/MMSET | 10–15% | 중앙 생존 기간: 5년 |
| 다른 이상에 추가된 17p 결실 | TP53 | 10% | 중앙 생존 기간: 5년 |
| t(14;16) | IgH 및 C-MAF | 2–5% | 중앙 생존 기간: 5년 |
| t(6;14)(p21;q32) | IgH 및 CCND3 | 2% | 중앙 생존 기간: 7–10년 |
| t(14;20)(q32;q12) | MAFB | 1% | 중앙 생존 기간: 5년 |
8. 역학
2015년 전 세계적으로 다발성 골수종 환자는 488,000명이었고, 101,100명이 이 병으로 사망했다.[149][150] 영국에서는 17번째로 흔한 암이며, 암 사망 원인 중 16번째를 차지한다.[152] 미국에서는 비호지킨 림프종 다음으로 두 번째로 흔한 혈액암(10%)이며,[154] 전체 암 발생의 약 1.8%, 암 사망의 약 2.1%를 차지한다.[153]
다발성 골수종은 여성보다 남성에게서 약간 더 많이 발생한다. 미국에서는 아프리카계 미국인과 태평양 섬 원주민에게서 발병률이 가장 높고, 아시아계 미국인에게서 가장 낮다. 아프리카계 미국인의 경우, 골수종은 암 사망 원인 상위 10위 안에 포함된다.[156] 한 연구에 따르면 골수종의 신규 발병률은 아프리카계 미국인 10만 명당 9.5건, 코카서스계 미국인 10만 명당 4.1건이었다.[155]
일본과 영국의 통계 자료에서는 50세 이상 고령일수록 발병률이 높아지는 것이 확인되었으며, 일반적으로 고령자에게 많은 질병으로 여겨진다. 또한, MGUS 환자는 일반 집단에 비해 다발성 골수종 및 관련 질환에 걸리기 쉽다는 보고도 있다. 미네소타주의 클리닉[164]의 MGUS 환자를 대상으로 한 연구에서는, MGUS 환자가 다발성 골수종 및 관련 질환이 될 확률은 1년에 1%이며, 일반 집단의 7.3배였다. 혈청 M 단백의 초기 농도와 종류도 다발성 골수종으로의 진행 위험과 관련이 있으며, IgM(면역글로부린M)형과 IgA(면역글로부린A)형 M 단백은 IgG(면역글로부린G)형에 비해 진행 위험이 높고, 혈청 M 단백의 초기 농도가 높을수록 다발성 골수종으로 진행하는 비율이 상승한다.
9. 기타 동물
다발성 골수종은 개[157], 고양이[158], 말[158]에서 진단된 바 있다.
개의 경우, 다발성 골수종은 모든 조혈종양의 약 8%를 차지한다. 다발성 골수종은 나이 든 개에게서 발생하며 수컷이나 암컷과 특별히 관련이 없다. 수행된 사례 검토에서 특정 품종이 과다하게 나타나는 경우는 없다.[159] 개에서의 진단은 초기 비특이성과 다양한 임상 징후로 인해 일반적으로 지연된다. 진단에는 일반적으로 골수 검사, X선 및 혈장 단백질 검사가 포함된다. 개의 경우, 단백질 검사는 일반적으로 단일클론 감마글로불린 상승이 IgA 또는 IgG에서 동일한 수의 경우를 나타낸다.[159] 드물게 글로불린 상승이 IgM인 경우가 있는데, 이는 발덴스트롬 거대글로불린혈증으로 불린다.[160] 개에서 초기 조절 및 양호한 삶의 질로의 회복에 대한 예후는 양호하다. 복합 화학 요법 프로토콜을 시작한 개의 43%가 완전 관해를 달성했다. 장기 생존율은 정상이며, 보고된 중앙값은 540일이다.[159]
참조
[1]
웹사이트
Myeloma Canada {{!}} What is Multiple Myeloma?
https://web.archive.[...]
2020-04-17
[2]
논문
Multiple myeloma
2009-07-00
[3]
웹사이트
Plasma Cell Neoplasms (Including Multiple Myeloma)—Patient Version
http://www.cancer.go[...]
1980-01-01
[4]
서적
World Cancer Report 2014
World Health Organization
2014-00-00
[5]
서적
World Cancer Report 2014
World Health Organization
2014-00-00
[6]
웹사이트
Plasma Cell Neoplasms (Including Multiple Myeloma) Treatment
https://www.cancer.g[...]
1980-01-01
[7]
서적
Ferri's Clinical Advisor 2014 E-Book: 5 Books in 1
https://books.google[...]
Elsevier Health Sciences
2013-00-00
[8]
논문
Occupational Exposure and Multiple Myeloma Risk: An Updated Review of Meta-Analyses
2021-09-00
[9]
논문
Pooled study of occupational exposure to aromatic hydrocarbon solvents and risk of multiple myeloma
2018-11-00
[10]
논문
Diagnosis, risk stratification and management of monoclonal gammopathy of undetermined significance and smoldering multiple myeloma
2016-05-00
[11]
웹사이트
Plasma Cell Neoplasms (Including Multiple Myeloma) Treatment (PDQ®)–Health Professional Version
http://www.cancer.go[...]
2016-07-29
[12]
논문
CART-Cell Therapy: Recent Advances and New Evidence in Multiple Myeloma
2021-05-27
[13]
웹사이트
Multiple Myeloma: Statistics
https://www.cancer.n[...]
2023-03-00
[14]
웹사이트
Cancer Stat Facts: Myeloma
https://seer.cancer.[...]
[15]
웹사이트
Survival Rates for Multiple Myeloma
https://www.cancer.o[...]
[16]
서적
Quick Reference to Critical Care
https://books.google[...]
Lippincott Williams & Wilkins
2011-00-00
[17]
논문
Criteria for the classification of monoclonal gammopathies, multiple myeloma and related disorders: a report of the International Myeloma Working Group
2003-06-00
[18]
서적
ASCO-SEP : Medical Oncology Self-Evaluation Program
American Society of Clinical Oncology
[19]
웹사이트
International Myeloma Working Group (IMWG) criteria for the diagnosis of multiple myeloma
https://www.myeloma.[...]
2014-10-26
[20]
서적
Harrison's Principles of Internal Medicine 18th Edition
Mc Graw Hill Medical
[21]
웹사이트
Hypercalcemia
https://www.lecturio[...]
[22]
논문
Multiple myeloma-related deregulation of bone marrow-derived CD34(+) hematopoietic stem and progenitor cells
2012-09-00
[23]
논문
Renal failure in multiple myeloma: presenting features and predictors of outcome in 94 patients from a single institution
1998-09-00
[24]
논문
Renal function in newly diagnosed multiple myeloma--a demographic study of 1353 patients. The Nordic Myeloma Study Group
1994-10-00
[25]
논문
The diagnosis and characteristics of renal heavy-chain and heavy/light-chain amyloidosis and their comparison with renal light-chain amyloidosis
2013-03-00
[26]
논문
Plasma Cell Disorders
2016-12-00
[27]
논문
Multiple myeloma and infections: a population-based study on 9253 multiple myeloma patients
2015-01-00
[28]
논문
The use of intravenous immune globulin in multiple myeloma
1994-07-00
[29]
웹사이트
Common Terminology Criteria for Adverse Events (CTCAE), Version 5.0
https://ctep.cancer.[...]
2017-11-27
[30]
웹사이트
Diagnosis of multiple myeloma
https://cancer.ca/en[...]
[31]
논문
Immunological factors and risk of infection in plateau phase myeloma
1995-03-00
[32]
웹사이트
Infections and Severe Hypogammaglobulinemia in Multiple Myeloma Patients Treated with Anti-BCMA Bispecific Antibodies
https://ashpublicati[...]
2022-11-15
[33]
서적
Burket's oral medicine
PMPH USA
2015-01-00
[34]
논문
Multiple Myeloma presenting as Gingival mass
2010-06-00
[35]
논문
Monoclonal gammopathy of undetermined significance (MGUS) consistently precedes multiple myeloma: a prospective study
2009-05-00
[36]
논문
Cutting edge genomics reveal new insights into tumour development, disease progression and therapeutic impacts in multiple myeloma
2017-07-00
[37]
논문
Laboratory testing for monoclonal gammopathies: Focus on monoclonal gammopathy of undetermined significance and smoldering multiple myeloma
2018-01-00
[38]
논문
Biological mechanisms linking obesity and cancer risk: new perspectives
2010-00-00
[39]
논문
Inherited predisposition to multiple myeloma
2013-08-00
[40]
논문
Multiple myeloma and family history of lymphohaematopoietic cancers: Results from the International Multiple Myeloma Consortium
2016-10-00
[41]
논문
Risk Factors for Multiple Myeloma: A Systematic Review of Meta-Analyses
2015-10-00
[42]
논문
Epstein-Barr virus-positive multiple myeloma developing after immunosuppressant therapy for rheumatoid arthritis: a case report and review of literature
2015-00-00
[43]
논문
Epstein-Barr virus (EBV)-associated lymphoid proliferations, a 2018 update
2018-09-00
[44]
논문
Solitary plasmacytoma associated with Epstein-Barr virus: a clinicopathologic, cytogenetic study and literature review
2017-04-00
[45]
논문
EBV-Positive Lymphoproliferations of B- T- and NK-Cell Derivation in Non-Immunocompromised Hosts
2018-03-00
[46]
서적
Williams Hematology
McGraw-Hill Education
[47]
서적
Human B Cell Populations
https://books.google[...]
S. Karger AG
[48]
논문
Multiple myeloma
2004-10-00
[49]
논문
Structural variation in the 3D genome
2018-07-00
[50]
논문
New insights into role of microenvironment in multiple myeloma
2000-01-00
[51]
논문
One Omics Approach Does Not Rule Them All: The Metabolome and the Epigenome Join Forces in Haematological Malignancies
2021-10-08
[52]
논문
Decoding DNA methylation in epigenetics of multiple myeloma
https://linkinghub.e[...]
2022-01-00
[53]
논문
Whole-epigenome analysis in multiple myeloma reveals DNA hypermethylation of B cell-specific enhancers
2015-04-00
[54]
논문
Polycomb target genes are silenced in multiple myeloma
2010-07-00
[55]
논문
Genome-wide profiling of histone H3 lysine 27 and lysine 4 trimethylation in multiple myeloma reveals the importance of Polycomb gene targeting and highlights EZH2 as a potential therapeutic target
2016-02-00
[56]
논문
The polycomb group protein enhancer of zeste homolog 2 (EZH 2) is an oncogene that influences myeloma cell growth and the mutant ras phenotype
2005-09-00
[57]
논문
The Genetic Architecture of Multiple Myeloma
2014-00-00
[58]
논문
Multiple Myeloma Genomics: A Systematic Review
https://works.bepres[...]
2019-07-13
[59]
논문
Pathobiology and Diagnosis of Multiple Myeloma
https://linkinghub.e[...]
2017-08-00
[60]
논문
Multiple myeloma: 2024 update on diagnosis, risk-stratification, and management
2024-09-00
[61]
논문
Plasma cell leukemia: consensus statement on diagnostic requirements, response criteria and treatment recommendations by the International Myeloma Working Group
2013-04-00
[62]
논문
Molecular Classification and Pharmacogenetics of Primary Plasma Cell Leukemia: An Initial Approach toward Precision Medicine
2015-07-00
[63]
논문
Immunochemical Diagnosis of Multiple Myeloma
https://pubmed.ncbi.[...]
2018-05-00
[64]
논문
Non-secretory myeloma: a clinician's guide
http://www.cancernet[...]
2013-09-00
[65]
서적
Robbins Basic Pathology
Saunders
[66]
논문
MGUS and smoldering multiple myeloma: update on pathogenesis, natural history, and management
2005-01-01
[67]
웹사이트
Robbins & Cotran Pathologic Basis of Disease – 9781455726134 {{!}} US Elsevier Health Bookshop
http://www.us.elsevi[...]
2016-10-26
[68]
서적
Robbins and Cotran Atlas of Pathology
https://play.google.[...]
Elsevier Health Sciences
2011-09-08
[69]
논문
Robust isolation of malignant plasma cells in multiple myeloma
2014-02-00
[70]
웹사이트
Mayo Stratification for Myeloma And Risk-adapted Therapy
https://nebula.wsimg[...]
2017-09-29
[71]
논문
Treatment of multiple myeloma with high-risk cytogenetics: a consensus of the International Myeloma Working Group
2016-06-01
[72]
논문
Multiple myeloma: clinical review and diagnostic imaging
2004-04-01
[73]
논문
Automatic digital quantification of bone marrow myeloma volume in appendicular skeletons - clinical implications and prognostic significance
2017-10-01
[74]
논문
Criteria for diagnosis, staging, risk stratification and response assessment of multiple myeloma
2009-01-01
[75]
논문
International Myeloma Working Group updated criteria for the diagnosis of multiple myeloma
2014-11-01
[76]
웹사이트
International Myeloma Working Group (IMWG) Criteria for the Diagnosis of Multiple Myeloma
http://imwg.myeloma.[...]
2018-08-05
[77]
논문
International staging system for multiple myeloma
2005-05-01
[78]
논문
Defining and Managing High-Risk Multiple Myeloma: Current Concepts
2020-12-01
[79]
논문
Revised International Staging System for Multiple Myeloma: A Report From International Myeloma Working Group
2015-09-01
[80]
서적
American Society of Hematology Self-Assessment Program
American Society of Hematology
[81]
논문
Body Fatness and Cancer--Viewpoint of the IARC Working Group
2016-08-01
[82]
논문
Doublets, triplets, or quadruplets of novel agents in newly diagnosed myeloma?
https://ashpublicati[...]
2023-06-10
[83]
논문
Standardizing Chemotherapy Regimen Nomenclature: A Proposal and Evaluation of the HemOnc and National Cancer Institute Thesaurus Regimen Content
2020-01-28
[84]
웹사이트
Drug Therapy for Multiple Myeloma
https://www.cancer.o[...]
2023-06-10
[85]
웹사이트
What Is DARZALEX®?
https://www.darzalex[...]
2023-06-10
[86]
웹사이트
Watchful waiting for multiple myeloma
https://cancer.ca/en[...]
2023-06-10
[87]
웹사이트
Triplet and Quadruplet Regimens in Smoldering Multiple Myeloma
https://ascopost.com[...]
2023-06-10
[88]
웹사이트
Aggressive Smoldering Curative Approach Evaluating Novel Therapies and Transplant (ASCENT)
https://clinicaltria[...]
2023-06-03
[89]
웹사이트
Immuno-PRISM (PRecision Intervention Smoldering Myeloma)
https://clinicaltria[...]
2023-06-03
[90]
웹사이트
Getting a Stem Cell or Bone Marrow Transplant
https://www.cancer.o[...]
2023-06-10
[91]
논문
Vaccination of the Stem Cell Transplant (SCT) recipient and the Hematologic Malignancy patient
2020-06-01
[92]
논문
Where We Stand With Precision Therapeutics in Myeloma: Prosperity, Promises, and Pipedreams
2022-01-20
[93]
논문
Updated results from BELLINI, a phase III study of venetoclax or placebo in combination with bortezomib and dexamethasone in relapsed/refractory multiple myeloma.
https://ascopubs.org[...]
2023-06-03
[94]
웹사이트
FDA Approves BCMA-Targeted CAR T-Cell Therapy for Multiple Myeloma
https://www.cancer.g[...]
2023-06-10
[95]
웹사이트
Carvykti Approval Marks Second CAR T-Cell Therapy for Multiple Myeloma
https://www.cancer.g[...]
2023-06-10
[96]
웹사이트
FDA approves teclistamab-cqyv for relapsed or refractory multiple myeloma
https://www.fda.gov/[...]
2023-06-10
[97]
논문
Talquetamab, a T-Cell–Redirecting GPRC5D Bispecific Antibody for Multiple Myeloma
2022-12-15
[98]
웹사이트
Clinical Trials
https://clinicaltria[...]
2023-06-03
[99]
웹사이트
American Society of Hematology
https://www.hematolo[...]
2023-06-03
[100]
웹사이트
American Society of Clinical Oncology
https://www.asco.org[...]
2023-06-03
[101]
웹사이트
European Hematology Association
https://ehaweb.org/
2023-06-03
[102]
논문
Monoclonal gammopathy of undetermined significance (MGUS) and smoldering multiple myeloma (SMM): novel biological insights and development of early treatment strategies
2011-05-01
[103]
논문
Multiple myeloma
2008-03-01
[104]
논문
Transcriptional profiling of lung cell populations in idiopathic pulmonary arterial hypertension
2016-09-20
[105]
웹사이트
Stem Cell Transplant for Multiple Myeloma
https://www.cancer.o[...]
2019-10-13
[106]
논문
Bortezomib plus melphalan and prednisone for initial treatment of multiple myeloma
2008-08-00
[107]
논문
Bortezomib: a review of its use in patients with multiple myeloma
2009-05-00
[108]
논문
Treatment of myeloma--are we making progress?
2008-08-00
[109]
논문
Multiple drug combinations of bortezomib, lenalidomide, and thalidomide for first-line treatment in adults with transplant-ineligible multiple myeloma: a network meta-analysis
2019-11-00
[110]
논문
Advances in multiple myeloma treatment: lenalidomide and bortezomib
2009-02-00
[111]
논문
Daratumumab, Bortezomib, Lenalidomide, and Dexamethasone for Multiple Myeloma
http://www.nejm.org/[...]
2023-12-12
[112]
논문
Treatment of renal failure associated with multiple myeloma. Plasmapheresis, hemodialysis, and chemotherapy
1990-04-00
[113]
논문
Plasmapheresis therapy in a patient with multiple myeloma
1982-11-00
[114]
논문
Lenalidomide Maintenance After Autologous Stem-Cell Transplantation in Newly Diagnosed Multiple Myeloma: A Meta-Analysis
2017-10-00
[115]
논문
Bortezomib induction and maintenance treatment in patients with newly diagnosed multiple myeloma: results of the randomized phase III HOVON-65/ GMMG-HD4 trial
https://pure.eur.nl/[...]
2012-08-00
[116]
논문
Multiple myeloma: Every year a new standard?
2019-06-00
[117]
웹사이트
FDA granted accelerated approval to belantamab mafodotin-blmf for multiple myeloma
https://www.fda.gov/[...]
U.S. Food and Drug Administration (FDA)
2020-08-05
[118]
보도자료
FDA Approves GSK's BLENREP (belantamab mafodotin-blmf) for the Treatment of Patients with Relapsed or Refractory Multiple Myeloma
https://www.business[...]
GlaxoSmithKline
2020-08-06
[119]
웹사이트
Kyprolis (carfilzomib) for Injection, for Intravenous Use. Full Prescribing Information
http://pi.amgen.com/[...]
Onyx Pharmaceuticals
[120]
웹사이트
Darzalex (daratumumab) Injection, for Intravenous Use. Full Prescribing Information
https://www.darzalex[...]
Janssen Biotech
[121]
웹사이트
Empliciti (elotuzumab) for Injection, for Intravenous Use. Full Prescribing Information
http://packageinsert[...]
Bristol-Myers Squibb Company
[122]
웹사이트
FDA approves isatuximab-irfc for multiple myeloma
https://www.fda.gov/[...]
U.S. Food and Drug Administration (FDA)
2020-03-02
[123]
논문
Therapeutic Opportunities with Pharmacological Inhibition of CD38 with Isatuximab
2019-11-00
[124]
웹사이트
Ninlaro (ixazomib) Capsules, for Oral Use. Full Prescribing Information
https://www.ninlaro.[...]
Millennium Pharmaceuticals, Inc.
[125]
웹사이트
Farydak (panobinostat) Capsules, for Oral Use. Full Prescribing Information
https://www.pharma.u[...]
Novartis Pharmaceuticals Corporation
[126]
웹사이트
Xpovio (selinexor) Tablets, for Oral Use. Full Prescribing Information
https://www.xpovio.c[...]
Karyopharm Therapeutics
[127]
보도자료
FDA Approves First Cell-Based Gene Therapy for Adult Patients with Multiple Myeloma
https://www.fda.gov/[...]
US Food and Drug Administration; FDA
2021-03-27
[128]
웹사이트
FDA grants accelerated approval to talquetamab-tgvs for relapsed or refractory multiple myeloma
https://www.fda.gov/[...]
2023-08-09
[129]
보도자료
U.S. FDA Approves Talvey (talquetamab-tgvs), a First-in-Class Bispecific Therapy for the Treatment of Patients with Heavily Pretreated Multiple Myeloma
https://www.prnewswi[...]
Janssen
2023-08-10
[130]
보도자료
FDA grants accelerated approval to elranatamab-bcmm for multiple myeloma
https://www.fda.gov/[...]
2023-08-14
[131]
보도자료
Pfizer's Elrexfio Receives U.S. FDA Accelerated Approval for Relapsed or Refractory Multiple Myeloma
https://www.business[...]
Pfizer
2023-08-14
[132]
논문
Mesenchymal stromal cells as treatment or prophylaxis for acute or chronic graft-versus-host disease in haematopoietic stem cell transplant (HSCT) recipients with a haematological condition
2019-01-00
[133]
웹사이트
Mozobil- plerixafor injection, solution
https://dailymed.nlm[...]
2023-06-26
[134]
보도자료
BioLineRx Announces FDA Approval of Aphexda (motixafortide) in Combination with Filgrastim (G-CSF) to Mobilize Hematopoietic Stem Cells for Collection and Subsequent Autologous Transplantation in Patients with Multiple Myeloma
https://www.prnewswi[...]
BioLineRx Ltd.
2023-09-11
[135]
웹사이트
FDA approves ciltacabtagene autoleucel for relapsed or refractory multiple myeloma
https://www.fda.gov/[...]
2022-03-07
[136]
논문
Prophylactic platelet transfusion for prevention of bleeding in patients with haematological disorders after chemotherapy and stem cell transplantation
2012-05-00
[137]
논문
Comparison of different platelet count thresholds to guide administration of prophylactic platelet transfusion for preventing bleeding in people with haematological disorders after myelosuppressive chemotherapy or stem cell transplantation
2015-11-00
[138]
논문
Aerobic physical exercise for adult patients with haematological malignancies
2019-01-00
[139]
웹사이트
Five Things Physicians and Patients Should Question
http://choosingwisel[...]
American Society of Clinical Oncology
[140]
웹사이트
Guidelines for Supportive Care in Myeloma
http://www.bcshguide[...]
British Committee for Standards in Haematology
2010-00-00
[141]
논문
What is the evidence that palliative care teams improve outcomes for cancer patients and their families?
[142]
논문
Evidence for improving palliative care at the end of life: a systematic review
2008-01-00
[143]
논문
Transcriptional profiling of lung cell populations in idiopathic pulmonary arterial hypertension
2018-05-02
[144]
웹사이트
Myeloma—Cancer Stat Facts
https://seer.cancer.[...]
2020-04-17
[145]
논문
High-dose chemotherapy with hematopoietic stem-cell rescue for multiple myeloma
2003-05-00
[146]
논문
Prognostic significance of copy-number alterations in multiple myeloma
2009-09-00
[147]
논문
Transcriptional profiling of lung cell populations in idiopathic pulmonary arterial hypertension
[148]
웹사이트
WHO Disease and injury country estimates
https://www.who.int/[...]
2009-11-11
[149]
논문
Global, regional, and national incidence, prevalence, and years lived with disability for 310 diseases and injuries, 1990-2015: a systematic analysis for the Global Burden of Disease Study 2015
2016-10-00
[150]
논문
Global, regional, and national life expectancy, all-cause mortality, and cause-specific mortality for 249 causes of death, 1980-2015: a systematic analysis for the Global Burden of Disease Study 2015
2016-10-00
[151]
논문
Global, regional, and national age-sex specific all-cause and cause-specific mortality for 240 causes of death, 1990-2013: a systematic analysis for the Global Burden of Disease Study 2013
2015-01-00
[152]
웹사이트
Myeloma statistics
http://www.cancerres[...]
2014-10-28
[153]
웹사이트
SEER Stat Fact Sheets: Myeloma
http://seer.cancer.g[...]
2016-08-08
[154]
논문
Problems monitoring response in multiple myeloma
2005-11-00
[155]
논문
Multiple myeloma and family history of cancer among blacks and whites in the U.S
Wiley
1999-06-00
[156]
논문
Transcriptional profiling of lung cell populations in idiopathic pulmonary arterial hypertension
American Society of Hematology
2014-12-06
[157]
서적
Textbook of Veterinary Internal Medicine: Diseases of the Dog and Cat
W.B. Saunders
2000-06-01
[158]
논문
Multiple myeloma in a horse
1987-08-00
[159]
논문
Prognostic factors for multiple myeloma in the dog
1986-06-00
[160]
논문
Diagnosis and management of monoclonal gammopathies
1977-02-00
[161]
웹사이트
多発性骨髄腫 基礎知識
http://ganjoho.jp/pu[...]
国立がん研究センターがん対策情報センター
2017-09-15
[162]
논문
ベンゼンに係る環境基準専門委員会報告
https://doi.org/10.1[...]
大気環境学会
2006
[163]
논문
喫煙による室内環境汚染と健康影響
https://doi.org/10.1[...]
安全工学会
2012
[164]
논문
A Long-Term Study of Prognosis in Monoclonal Gammopathy of Undetermined Significance
http://www.nejm.org/[...]
2002-02-21
[165]
논문
History of multiple myeloma
https://doi.org/10.1[...]
Springer Berlin Heidelberg
[166]
논문
Treatment for Multiple Myeloma - Combination Chemotherapy With Different Melphalan Dose Regimens
http://jamanetwork.c[...]
1969-06-02
[167]
논문
Effective Treatment of Advanced Multiple Myeloma Refractory to Alkylating Agents
http://www.nejm.org/[...]
1984-03-24
[168]
문서
[169]
뉴스
再発又は難治性の多発性骨髄腫に対するヒト化抗ヒトSLAMF7モノクローナル抗体「エムプリシティ点滴静注用300mg・400mg」の製造販売承認取得のお知らせ
http://www.bms.co.jp[...]
브리스톨-마이어스 스퀴브 주식회사
2016-09-28
[170]
웹사이트
造血器腫瘍診療ガイドライン 2018年版補訂版
http://www.jshem.or.[...]
日本血液学会
[171]
뉴스
「脱力タイムズ」で人気の岸博幸氏、多発性骨髄腫を公表「かなりしんどそう」抗がん剤治療明かす
https://www.nikkansp[...]
[172]
논문
Multiple myeloma
2009-07-00
[173]
웹사이트
Plasma Cell Neoplasms (Including Multiple Myeloma)—Patient Version
http://www.cancer.go[...]
2016-08-08
[174]
서적
World Cancer Report 2014
https://archive.org/[...]
World Health Organization
2014
[175]
서적
World Cancer Report 2014
https://archive.org/[...]
World Health Organization
2014
[176]
웹사이트
Plasma Cell Neoplasms (Including Multiple Myeloma) Treatment
https://www.cancer.g[...]
2017-11-28
[177]
서적
Ferri's Clinical Advisor 2014 E-Book: 5 Books in 1
https://books.google[...]
Elsevier Health Sciences
2013-01-01
[178]
저널
Occupational Exposure and Multiple Myeloma Risk: An Updated Review of Meta-Analyses
2021-09-01
[179]
저널
Pooled study of occupational exposure to aromatic hydrocarbon solvents and risk of multiple myeloma
2018-11-01
[180]
저널
Diagnosis, risk stratification and management of monoclonal gammopathy of undetermined significance and smoldering multiple myeloma
2016-05-01
[181]
웹사이트
Plasma Cell Neoplasms (Including Multiple Myeloma) Treatment (PDQ®)–Health Professional Version
http://www.cancer.go[...]
2016-07-29
[182]
저널
Global, regional, and national incidence, prevalence, and years lived with disability for 301 acute and chronic diseases and injuries in 188 countries, 1990-2013: a systematic analysis for the Global Burden of Disease Study 2013.
2015-08-22
[183]
저널
Global, regional, and national age-sex specific all-cause and cause-specific mortality for 240 causes of death, 1990-2013: a systematic analysis for the Global Burden of Disease Study 2013.
2015-01-10
[184]
웹사이트
SEER Stat Fact Sheets: Myeloma
http://seer.cancer.g[...]
[185]
웹사이트
Multiple Myeloma: Statistics
https://www.cancer.n[...]
2023-06-10
[186]
웹사이트
Cancer Stat Facts: Myeloma
https://seer.cancer.[...]
2023-06-10
[187]
웹인용
https://medigatenews[...]
2023-10-12
[188]
웹사이트
Survival Rates for Multiple Myeloma
https://www.cancer.o[...]
2023-06-10
[189]
서적
Quick Reference to Critical Care
https://books.google[...]
Lippincott Williams & Wilkins
2011-01-01
[190]
저널
Criteria for the classification of monoclonal gammopathies, multiple myeloma and related disorders: a report of the International Myeloma Working Group
2003-06-01
[191]
서적
ASCO-SEP : Medical Oncology Self-Evaluation Program
American Society of Clinical Oncology
[192]
웹사이트
International Myeloma Working Group (IMWG) criteria for the diagnosis of multiple myeloma
https://www.myeloma.[...]
2023-06-11
[193]
서적
Harrison's Principles of Internal Medicine 18th Edition
Mc Graw Hill Medical
[194]
웹사이트
Hypercalcemia
https://www.lecturio[...]
2021-08-11
[195]
저널
Multiple myeloma-related deregulation of bone marrow-derived CD34(+) hematopoietic stem and progenitor cells
2012-09-01
[196]
저널
Renal failure in multiple myeloma: presenting features and predictors of outcome in 94 patients from a single institution
1998-09-01
[197]
저널
Renal function in newly diagnosed multiple myeloma--a demographic study of 1353 patients. The Nordic Myeloma Study Group
1994-10-01
[198]
저널
The diagnosis and characteristics of renal heavy-chain and heavy/light-chain amyloidosis and their comparison with renal light-chain amyloidosis
2013-03-01
[199]
저널
Plasma Cell Disorders
2016-12-01
[200]
저널
Multiple myeloma and infections: a population-based study on 9253 multiple myeloma patients
2015-01-01
[201]
저널
The use of intravenous immune globulin in multiple myeloma
1994-07-01
[202]
웹사이트
Common Terminology Criteria for Adverse Events (CTCAE), Version 5.0
https://ctep.cancer.[...]
2023-06-12
[203]
웹사이트
Diagnosis of multiple myeloma
https://cancer.ca/en[...]
2023-06-11
[204]
저널
Immunological factors and risk of infection in plateau phase myeloma
https://archive.org/[...]
1995-03-01
[205]
웹사이트
Infections and Severe Hypogammaglobulinemia in Multiple Myeloma Patients Treated with Anti-BCMA Bispecific Antibodies
https://ashpublicati[...]
2023-06-11
[206]
웹사이트
Rudhiram Hematology Clinic—Google Search
https://www.google.c[...]
[207]
서적
Burket's oral medicine
PMPH USA
2015-01-01
[208]
저널
Multiple Myeloma presenting as Gingival mass
2010-06-01
[209]
저널
Monoclonal gammopathy of undetermined significance (MGUS) consistently precedes multiple myeloma: a prospective study
2009-05-01
[210]
저널
Cutting edge genomics reveal new insights into tumour development, disease progression and therapeutic impacts in multiple myeloma
2017-07-01
[211]
저널
Laboratory testing for monoclonal gammopathies: Focus on monoclonal gammopathy of undetermined significance and smoldering multiple myeloma
2018-01-01
[212]
저널
Biological mechanisms linking obesity and cancer risk: new perspectives
2010-01-01
[213]
저널
Inherited predisposition to multiple myeloma
2013-08-01
[214]
저널
Multiple myeloma and family history of lymphohaematopoietic cancers: Results from the International Multiple Myeloma Consortium
2016-10-01
[215]
저널
Risk Factors for Multiple Myeloma: A Systematic Review of Meta-Analyses
2015-10-01
[216]
저널
Epstein-Barr virus-positive multiple myeloma developing after immunosuppressant therapy for rheumatoid arthritis: a case report and review of literature
2015-01-01
[217]
저널
Epstein-Barr virus (EBV)-associated lymphoid proliferations, a 2018 update
2018-09-01
[218]
저널
Solitary plasmacytoma associated with Epstein-Barr virus: a clinicopathologic, cytogenetic study and literature review
2017-04-01
[219]
저널
EBV-Positive Lymphoproliferations of B- T- and NK-Cell Derivation in Non-Immunocompromised Hosts
2018-03-01
[220]
저널
Doublets, triplets, or quadruplets of novel agents in newly diagnosed myeloma?
https://ashpublicati[...]
2023-06-10
[221]
저널
Standardizing Chemotherapy Regimen Nomenclature: A Proposal and Evaluation of the HemOnc and National Cancer Institute Thesaurus Regimen Content
2020-01-28
[222]
웹인용
Drug Therapy for Multiple Myeloma
https://www.cancer.o[...]
2023-06-10
[223]
웹인용
What Is DARZALEX®?
https://www.darzalex[...]
2023-06-10
본 사이트는 AI가 위키백과와 뉴스 기사,정부 간행물,학술 논문등을 바탕으로 정보를 가공하여 제공하는 백과사전형 서비스입니다.
모든 문서는 AI에 의해 자동 생성되며, CC BY-SA 4.0 라이선스에 따라 이용할 수 있습니다.
하지만, 위키백과나 뉴스 기사 자체에 오류, 부정확한 정보, 또는 가짜 뉴스가 포함될 수 있으며, AI는 이러한 내용을 완벽하게 걸러내지 못할 수 있습니다.
따라서 제공되는 정보에 일부 오류나 편향이 있을 수 있으므로, 중요한 정보는 반드시 다른 출처를 통해 교차 검증하시기 바랍니다.
문의하기 : help@durumis.com
