요폐
"오늘의AI위키"의 AI를 통해 더욱 풍부하고 폭넓은 지식 경험을 누리세요.
1. 개요
요폐는 소변을 제대로 배출하지 못하는 상태를 의미하며, 간헐적인 배뇨, 배뇨 지연, 요실금 등의 증상을 동반한다. 급성 요폐는 응급 상황으로, 방광이 팽창하여 통증을 유발하고 심하면 신부전을 일으킬 수 있다. 요폐의 원인으로는 전립선비대증, 신경인성 방광, 약물 복용, 요도 폐쇄 등이 있으며, 진단은 뇨류 분석, 초음파 검사, PSA 검사 등을 통해 이루어진다. 치료는 요도 카테터 삽입, 약물 치료, 수술 등이 있으며, 남성 노년층에서 흔하게 발생한다.
더 읽어볼만한 페이지
- 비뇨계통의 증상 및 징후 - 요독증
요독증은 신장 기능 저하로 혈액 내 노폐물이 쌓여 피로, 식욕 부진, 구토, 정신 기능 이상을 일으키며 심할 경우 혼수, 사망에 이르는 증상군으로, 신부전이 주요 원인이며 투석이나 신장 이식으로 치료하고 치과 치료 시 주의가 필요하다. - 비뇨계통의 증상 및 징후 - 다뇨증
다뇨증은 과도한 소변 생성으로 특징지어지는 질환이며, 조절되지 않는 당뇨병, 과도한 수분 섭취, 이뇨제 등의 다양한 요인에 의해 발생하고, 소변 검사 등을 통해 진단하며, 원인 질환에 따라 치료한다. - 비뇨기 질환 - 물음낭종
물음낭종은 다양한 원인으로 고환 부위에 액체가 고여 낭종을 형성하는 질환으로, 선천적 또는 이차적으로 발생하며, 흡인 및 경화 요법과 수술적 치료를 통해 치료할 수 있고, 파열, 출혈 등의 합병증을 유발할 수 있다. - 비뇨기 질환 - 요실금
요실금은 의지와 상관없이 소변이 새는 증상으로, 방광 기능 장애, 요도 괄약근 기능 부전, 신경계 질환 등 다양한 원인으로 발생하며, 복압성, 절박성, 일류성 등 여러 유형으로 나뉘고 남녀 모두, 특히 고령층에서 흔히 나타나 삶의 질에 영향을 미치며, 배뇨 패턴 확인, 신체 검사, 요검사, 요역학 검사 등으로 진단하고 행동 요법, 약물 치료, 수술 등으로 치료한다. - 급성 통증 - 강간
- 급성 통증 - 화상
화상은 열, 화학물질, 전기, 방사선 등으로 피부와 조직이 손상되는 것으로, 심한 정도에 따라 증상이 다르게 나타나며 원인에 따라 다양한 치료법이 적용되고 심각한 경우 생명을 위협할 수 있다.
2. 증상
요폐의 증상으로는 간헐적인 흐름, 힘주기, 배뇨뒤무직, 배뇨 지연과 더불어 오줌의 흐름이 더딘 것이 있다. 방광이 꽉 차면 요실금, 야뇨증이 나타나거나 잦은 주기의 배변 시도가 있을 수 있다. 급성 요폐는 완전한 무뇨를 일으킬 수 있으므로 응급상황인데, 방광이 막대한 크기로 확장할 수 있고 조속히 치료하지 않으면 찢어질 가능성이 있다. 방광이 충분히 팽창하면 통증이 오게 된다. 방광 압력이 증가하면 소변이 수뇨관에 들어가지 못하게 될 수 있고 심지어는 오줌이 신장으로 역류하여 수신증, 농신증, 신부전, 패혈증을 일으킬 수 있다. 꽉 찬 방광으로 통증을 느끼고 배변이 불가능한 경우 가능한 빨리 응급실을 방문하여야 한다.[1]
요폐는 다양한 원인으로 발생할 수 있다. 주요 원인은 크게 폐쇄성 요인, 기능적 요인, 기타 요인으로 나눌 수 있으며, 하위 섹션에서 자세히 다룬다.
발병은 갑작스러울 수도 있고 점진적일 수도 있다.[1] 갑작스러운 발병 시, 증상으로는 배뇨 불능 및 하복부 통증이 있다.[1] 점진적으로 발병하는 경우에는 방광 조절 능력 상실, 경미한 하복부 통증, 약한 배뇨 흐름 등의 증상이 나타날 수 있다.[1] 장기간 문제를 겪는 사람들은 요로 감염의 위험이 있다.[1]
배뇨가 없어지지만, 방광의 확장으로 인한 팽만감이 특징적이다.
3. 원인
만성 요폐는 근육 손상이나 신경 손상으로 인한 방광 폐쇄로 발생할 수 있다.[8] 신경 손상의 경우 뇌와 근육 사이의 의사소통 단절로 방광을 완전히 비우지 못하게 되며,[8] 근육 손상의 경우 근육이 충분히 수축하지 못해 방광을 완전히 비우지 못할 수 있다.[8]
만성 요폐의 가장 흔한 원인은 전립선비대증(BPH)이다.[1]
요폐의 위험 요인은 다음과 같다.
3. 1. 폐쇄성 요인
요폐의 폐쇄성 요인은 다음과 같다.
만성 요폐는 근육 손상이나 신경 손상의 결과로 방광 폐쇄가 발생하여 나타날 수 있다.[8] 신경 손상으로 인한 요폐의 경우, 뇌에서 근육으로의 의사소통에 단절이 생겨 방광을 완전히 비우는 것이 불가능해질 수 있다.[8] 근육 손상으로 인한 요폐의 경우, 근육이 방광을 완전히 비울 만큼 충분히 수축하지 못할 가능성이 높다.[8]
만성 요폐의 가장 흔한 원인은 전립선 비대증(BPH)이다.[1]3. 2. 기능적 요인
3. 3. 기타 요인
요폐의 위험 요인은 다음과 같다.
4. 진단


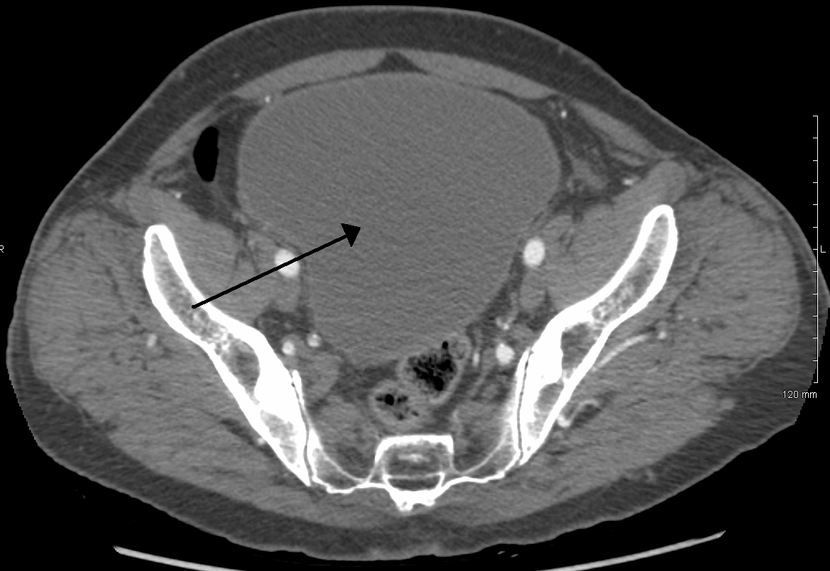
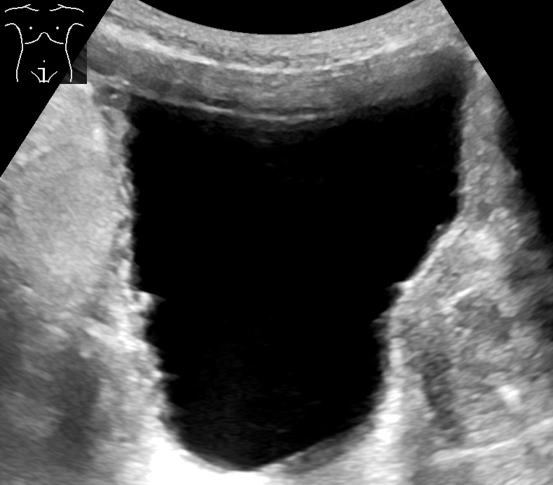
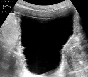
뇨류를 분석하면 배뇨 이상의 유형을 판단하는 데 도움이 될 수 있다. 방광 초음파를 통해 흔히 진단되는 것들로는 느린 속도의 뇨류, 간헐적인 뇨류, 배변 후에도 방광 내에 잔재하는 상당한 양의 오줌이 있다. 정상 시험 결과는 초당 최고 20ml~25ml의 뇨류 속도를 보인다. 배뇨 후 남은 소변이 50ml를 초과하는 경우 상당한 양으로 간주되며 요로감염증이 재발할 가능성을 높인다. 60세 이상의 성인의 경우 50ml~100ml의 잔여 소변은 방광의 용적을 증대시킨다. (정상 용적은 400ml~600ml)
만성 요폐의 경우 방광 초음파 검사에서 방광 용량의 대규모 증가를 보일 수 있다. 비신경성 만성 요폐는 표준화된 정의가 없지만, 300ml 이상의 소변량이 비공식적인 지표로 사용될 수 있다.[8] 요폐 진단은 6개월 동안 진행되며, 6개월 간격으로 2번의 소변량 측정이 이루어진다. 측정 결과는 배뇨 후 잔뇨량(PVR)이 300ml 이상이어야 한다.[8]
혈청 전립선 특이 항원(PSA)으로 판별이 되면 전립선암의 유무를 진단하는 데 도움이 될 수 있지만, 이것 또한 BPH와 전립선염에서도 상승한다. 경직장 초음파(TRUS) 전립선 생검은 이러한 전립선 질환을 구별할 수 있다. 역류 신장 손상을 배제하기 위해 혈청 요소 및 크레아티닌 측정이 필요할 수 있다. 요로를 탐색하고 막힘을 배제하기 위해 방광경 검사가 필요할 수 있다.
급성 요폐의 경우, 허리 척추에 통증, 무감각(안장 감각), 감각 이상, 항문 괄약근 조임 감소 또는 심부 건 반사 변화와 같은 관련 증상이 나타나면 마미 증후군을 추가로 평가하기 위해 허리 척추 MRI를 고려해야 한다.
5. 합병증
요폐는 경고 없이 종종 발생하며, 기본적으로 오줌을 배출하는 것이 불가능하다. 일부 사람들에게는 점진적으로 시작하지만, 다른 사람들에게는 급성으로 나타난다. 급성 요폐는 응급 의료 상황이므로 조속한 치료가 요구된다. 오줌이 밖으로 배출되지 못하면 통증은 극심할 수 있다. 게다가 극심한 땀, 흉통, 불안, 고혈압으로 발전할 수 있다.[19] 방광 압력이 증가하면 소변이 수뇨관에 들어가지 못하게 될 수 있고 심지어는 오줌이 신장으로 역류하여 수신증, 농신증, 신부전, 패혈증을 일으킬 수 있다.
치료받지 않으면 방광 손상과 만성 신부전과 같은 심각한 합병증이 찾아올 수 있다.[19]
장기적으로, 요로 폐쇄는 다음을 일으킬 수 있다:
6. 치료
양성 전립선 비대증(BPH)이 있는 일부 환자들은 탐술로신, 피나스테리드, 두타스테리드 등의 약물을 사용하여 치료를 받는다. 탐술로신은 방광경부 내 평활근을 완화시키고, 피나스테리드와 두타스테리드는 전립선 비대를 감소시킨다. 이 약물들은 BPH의 경미한 경우에만 효과가 있으며, 성욕 감소, 어지럼증, 피로, 현기증 등의 경미한 부작용이 나타날 수 있다.
6. 1. 급성 요폐 치료
급성 요폐의 경우 요치도뇨관을 통해 요폐 증상을 완화시킬 수 있다. 장기적으로는 병의 원인에 따라 치료를 수행하게 된다.[9][10]급성 요폐는 방광에 요도 카테터(작고 얇고 유연한 튜브)를 삽입하여 치료한다. 요도 카테터는 간헐적 카테터 또는 카테터를 제자리에 고정하는 작은 풍선이 달린 폴리 카테터일 수 있다.
간헐적 카테터 삽입은 의료 전문가 또는 본인(자가 깨끗한 간헐적 카테터 삽입)이 수행할 수 있다. 병원에서 수행되는 간헐적 카테터 삽입은 무균 기술을 사용한다. 환자는 간단한 시연을 통해 자가 카테터 삽입 기술을 사용하도록 배울 수 있으며,[11] 이는 장기 폴리 카테터로 인한 감염률을 감소시킨다. 자가 카테터 삽입은 하루 중 주기적으로 절차를 수행해야 하며, 빈도는 수분 섭취량과 방광 용량에 따라 달라진다. 수분 섭취/배출량이 하루 약 1.5L 정도라면, 일반적으로 하루에 약 3번, 즉 하루 중 약 6~8시간마다 수행하며, 수분 섭취량이 많거나 방광 용량이 적을 때는 더 자주 수행한다.
급성 요폐의 경우, 긴급한 요도 카테터 삽입이 필요하다. 영구적인 요도 카테터는 며칠 동안 지속될 수 있는 불편함과 통증을 유발할 수 있다.
만약 카테터 삽입이 어려울 경우, 허리 천자 바늘을 사용하여 치골상 천자를 시행할 수 있다.
지속적인 문제가 있는 고령자는 지속적인 간헐적 자가 카테터 삽입(CISC)이 필요할 수 있다. CISC는 몸 안에 머무는 카테터 삽입 기술에 비해 감염 위험이 낮다.[11] CISC의 어려움으로는 일부 사람들이 카테터를 스스로 삽입할 수 없기 때문에 순응도 문제가 있다.[12]
양성 전립선 비대증(BPH)은 알파 차단제 및 5알파 환원 효소 억제제 치료에 반응하거나, 전립선 절제술 또는 경요도 전립선 절제술(TURP)을 통해 수술적으로 치료할 수 있다. 알파 차단제의 사용은 남성과 여성 모두에게서 카테터 제거 후 요폐 완화에 도움을 줄 수 있다.
6. 2. 만성 요폐 치료
만성 요폐의 경우, 수술이 필요할 수 있다. 두 절차 모두 비교적 안전하지만, 합병증이 발생할 수 있다.양성 전립선 비대증(BPH) 환자의 경우, 방광 폐색을 완화하기 위해 경요도 전립선 절제술(TURP)을 시행할 수 있다.[13] TURP 수술의 합병증으로는 방광 감염, 전립선 출혈, 흉터 형성, 요실금, 발기 부전 등이 있다. 이러한 합병증의 대부분은 일시적이며, 대부분의 환자는 6~12개월 이내에 완전히 회복된다.[14]
7. 역학
요폐는 노년 남성에게 흔한 질환이다. 요폐의 가장 흔한 원인은 전립선 비대증이다.[1] 이 질환은 50세 전후에 시작되며 증상은 10~15년 후에 나타날 수 있다. 전립선 비대증은 진행성 질환으로 방광 경부를 좁아지게 하여 요폐를 유발한다.[1] 70세가 되면 남성의 약 10%가, 80대에는 33%가 어느 정도의 전립선 비대증을 겪는다.[1] 전립선 비대증은 급성 요폐를 유발하는 경우는 드물지만, 고혈압 치료제, 항히스타민제, 항파킨슨 약물, 척추 마취 또는 뇌졸중 이후에는 급성 요폐가 발생할 수 있다.[1]
젊은 남성의 경우 요폐의 가장 흔한 원인은 전립선 감염(급성 전립선염)이다.[1] 이 감염은 성관계를 통해 발생하며 요통, 음경 분비물, 미열 및 배뇨 곤란 증상을 보인다.[1] 급성 전립선염 환자의 정확한 수는 알려져 있지 않은데, 많은 환자들이 치료를 받지 않기 때문이다.[1] 미국에서는 40세 미만의 남성 중 1~3%가 급성 전립선염으로 인해 배뇨 곤란을 겪는다.[1] 대부분의 의사 및 의료 전문가는 이러한 질환에 대해 잘 알고 있다.[1] 전 세계적으로 전립선 비대증과 급성 전립선염은 모든 인종과 민족의 남성에게서 나타난다.[1] 요로 암은 요로 폐쇄를 유발할 수 있지만, 이 과정은 더 점진적으로 진행된다.[1] 방광암, 전립선암 또는 요관암은 점진적으로 소변 배출을 막을 수 있다.[1] 암은 종종 혈뇨, 체중 감소, 요통 또는 옆구리의 점진적인 팽만 증상을 보인다.[1]
여성의 요폐는 드물게 발생하며, 매년 10만 명당 1명꼴로 발생하고, 여성 대 남성의 발생률은 1:13이다.[1] 이는 대개 일시적이다.[1] 여성의 요폐 원인은 다인자적일 수 있으며, 수술 후 및 산후에 발생할 수 있다.[1] 신속한 요도 카테터 삽입이 일반적으로 문제를 해결한다.[1]
참조
[1]
웹사이트
Urinary Retention
https://www.niddk.ni[...]
2017-10-24
[2]
논문
Monitoring of micturition and bladder volumes can replace routine indwelling urinary catheters in children receiving intravenous opioids: a prospective cohort study
2021-01
[3]
논문
Acute urinary retention and the difficult catheterization: current emergency management
2016-04
[4]
웹사이트
General information on urinary retention
http://www.retention[...]
[5]
논문
Lower urinary tract symptoms that predict microscopic pyuria
2018-07
[6]
논문
Urinary Retention in Surgical Patients
2016-06
[7]
서적
Glenn's Urologic Surgery
https://books.google[...]
Lippincott Williams & Wilkins
[8]
논문
Non-neurogenic Chronic Urinary Retention: What Are We Treating?
2017-09
[9]
논문
The role of alpha blockers prior to removal of urethral catheter for acute urinary retention in men
2014-06
[10]
논문
Etiology and management of urinary retention in women
2010-04
[11]
뉴스
Clean Intermittent Self-Catheterization
https://www.nytimes.[...]
[12]
논문
Ensuring patient adherence to clean intermittent self-catheterization
2014
[13]
웹사이트
Inability to urinate
http://www.emedicine[...]
2010-02-10
[14]
웹사이트
Urinary retention overview
http://kidney.niddk.[...]
2010-02-10
[15]
논문
Urinating standing versus sitting: position is of influence in men with prostate enlargement. A systematic review and meta-analysis
[16]
웹사이트
Urologic Emergencies
http://www.urologych[...]
2010-02-10
[17]
논문
Presentation and prognosis of female acute urinary retention: Analysis of an unusual clinical condition in outpatients
2016
[18]
웹사이트
尿がまったく出ない
https://www.urol.or.[...]
2016-04-21
[19]
웹사이트
General information on urinary retention
http://www.retention[...]
2010-02-10
본 사이트는 AI가 위키백과와 뉴스 기사,정부 간행물,학술 논문등을 바탕으로 정보를 가공하여 제공하는 백과사전형 서비스입니다.
모든 문서는 AI에 의해 자동 생성되며, CC BY-SA 4.0 라이선스에 따라 이용할 수 있습니다.
하지만, 위키백과나 뉴스 기사 자체에 오류, 부정확한 정보, 또는 가짜 뉴스가 포함될 수 있으며, AI는 이러한 내용을 완벽하게 걸러내지 못할 수 있습니다.
따라서 제공되는 정보에 일부 오류나 편향이 있을 수 있으므로, 중요한 정보는 반드시 다른 출처를 통해 교차 검증하시기 바랍니다.
문의하기 : help@durumis.com