직장 (해부학)
"오늘의AI위키"의 AI를 통해 더욱 풍부하고 폭넓은 지식 경험을 누리세요.
1. 개요
직장은 하부 위장관의 일부로, S상 결장의 연장이며 항문과 연결되는 해부학적 구조이다. 천골의 모양을 따르며, 대변이 항문을 통해 배출되기 전에 저장되는 팽대부에서 끝난다. 직장은 혈액 공급, 미세 해부학, 항문과의 관계를 가지며, 대변의 임시 저장소 역할을 한다. 직장 검사, 대장 내시경 등의 검사 방법으로 질환을 진단하며, 변비, 직장염, 직장암 등의 질환이 발생할 수 있다. 일부 약물은 직장 투여로 투여되기도 한다. 직장은 성감대로 작용할 수 있으며, 영어 단어 'rectum'은 라틴어에서 유래되었다.
더 읽어볼만한 페이지
- 직장 - 직장수지검사
직장수지검사는 전립선 질환, 위장관 질환, 신경계 질환 등을 진단하기 위해 항문을 통해 직장 내부를 촉진하는 의료 절차이다. - 골반 - 난소
난소는 여성의 생식 기관으로 난자 생성과 여성 호르몬 분비를 담당하며, 자궁 옆에 위치하고 월경 주기와 임신, 출산 과정에 중요한 역할을 수행하며, 나이가 들면서 기능이 저하되어 폐경에 이르게 된다. - 골반 - 자궁
자궁은 여성 골반 내에 위치한 배 모양의 생식 기관으로, 수정란 착상과 태아 발달을 담당하며 자궁저부, 자궁체부, 자궁협부, 자궁경부의 네 부분과 자궁내막, 자궁근층, 자궁외막의 세 층으로 구성되어 임신과 여성 생식 건강에 중요한 역할을 하지만 다양한 질병에 취약하다. - 해부학에 관한 - 림프
림프는 림프관을 통해 순환하는 체액으로, 혈장과 유사한 성분으로 체액 균형 유지, 면역 반응, 지방 흡수 및 운반 등의 역할을 수행한다. - 해부학에 관한 - 신경
신경은 중추신경계와 말초신경계를 연결하는 신경섬유 다발 조직으로, 삼중막 구조로 둘러싸여 있고, 구심성, 원심성, 혼합 신경 등으로 분류되며, 활동전위를 통해 정보를 전달하고 손상 시 재생될 수 있지만 완전한 회복은 어려울 수 있다.
| 직장 (해부학) | |
|---|---|
| 개요 | |
| 일부 | 큰창자 |
| 계통 | 소화기 계통 |
| 전구체 | 후장 |
| 기능 | 배변 전 대변 저장 |
| 구조 | |
| 길이 | 약 12cm |
| 위치 | 구불창자와 항문관 사이 |
| 설명 | 골반의 만곡을 따라 S자 모양을 이루며, 천골갑에서 시작하여 항문으로 이어짐. |
| 특징 | 점막의 가로 주름인 항문 기둥 존재 항문거근에 의해 지지됨 |
| 혈액 공급 | |
| 동맥 | 상직장동맥 (직장 상부 2/3) 중간직장동맥 (직장 하부 1/3) 하직장동맥 |
| 정맥 | 상직장정맥 중간직장정맥 하직장정맥 |
| 신경 분포 | |
| 신경 | 하항문신경 하장간막신경절 미주신경 복강신경절 |
| 림프 배수 | |
| 림프절 | 하장간막림프절 직장주위림프절 내장골림프절 심부샅고랑림프절 |
| 임상적 중요성 | |
| 질병 | 직장암 직장탈출증 직장염 치질 변비 과민성 대장 증후군 |
2. 해부학적 구조


인간의 직장은 하부 위장관의 일부로, S상 결장에서 항문까지 이어지는 약 20cm 길이의 관이다. 직장은 천골의 모양을 따라 주행하며, 인분이 항문관을 통해 배출되기 전 저장되는 팽창된 부분인 팽대부에서 끝난다. 팽대부는 로마의 앰풀라와 같은 모양으로, 구멍이나 관의 팽창된 끝부분을 의미한다.[5] 직장은 S3 수준에서 S상 결장과 연결되고, 골반저 근육을 통과하면서 항문관과 연결된다.[5]
결장의 다른 부분과 달리 직장에는 뚜렷한 결장끈이 없다.[5] 결장끈은 직장 위 5cm 지점의 S상 결장에서 서로 합쳐져 직장 전체 길이를 따라 모든 면을 둘러싸는 단일 종주 근육이 된다.[5]
2. 1. 위치 및 구조
인간의 직장은 하부 위장관의 일부이다. 직장은 S상 결장의 연장이며, 항문과 연결된다. 직장은 천골의 모양을 따르며, 인분이 항문관을 통해 배출되기 전에 저장되는 팽창된 부분인 팽대부에서 끝난다. 팽대부는 로마의 앰풀라와 같은 모양의 구멍 또는 관의 팽창된 끝이다.[5] 직장은 S3 수준에서 S상 결장과 연결되고, 골반저 근육을 통과하면서 항문관과 연결된다.[5]
결장의 다른 부분과 달리 직장에는 뚜렷한 결장끈이 없다.[5] 결장끈은 직장 위 5cm 지점의 S상 결장에서 서로 합쳐져 직장 전체 길이를 따라 모든 면을 둘러싸는 단일 종주 근육이 된다.[5]
S상 결장이 천골 앞면에 닿으면 직장이 되며, 그 앞면을 "천골의 만곡을 따라" 하강한다. 골반의 아래벽에 도달하면 갑자기 후방으로 거의 직각으로 굴곡하여 외계로 열린다(외계 개구부는 항문). 직장의 길이는 개인차가 있지만, 대략 20cm 전후이다.
2. 2. 혈액 공급
직장의 혈액 공급은 상부와 하부 부분에 따라 달라진다.[1] 상부 2/3는 상직장 동맥에 의해 공급된다. 하부 1/3은 중간 및 하직장 동맥에 의해 공급된다.[1]상직장 동맥은 하장간막 동맥이 골반 가장자리를 가로지를 때 이어지는 단일 동맥이다.[1] 이 동맥은 S3 수준에서 중직장으로 들어가 두 개의 가지로 갈라지며, 이 가지들은 직장의 측면 뒷부분과 측면을 따라 흐른다. 이들은 이후 점막하층에서 가지로 끝나며, 중간 및 하직장 동맥의 가지와 문합한다.[1]


2. 3. 미세 해부학
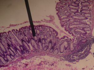
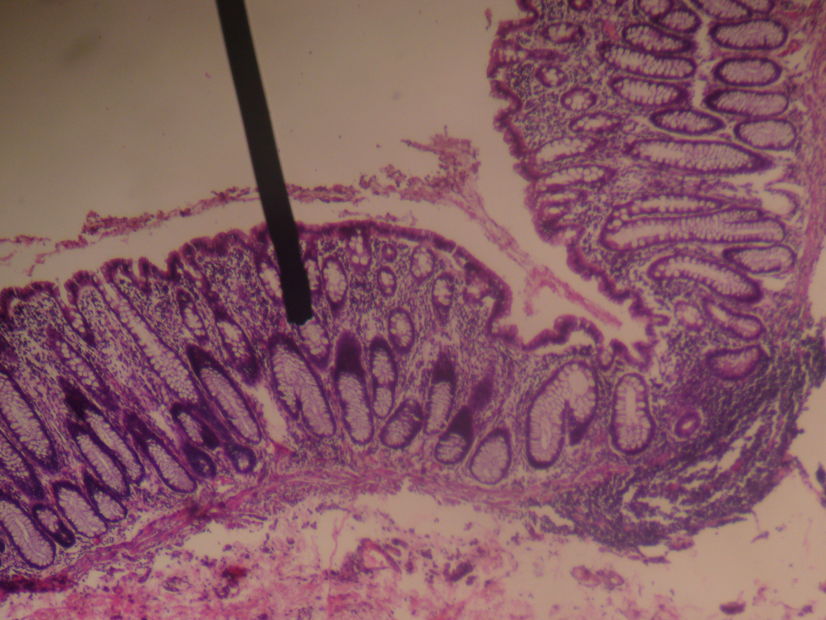
직장 벽은 위장관 벽과 유사하게 점막, 점막하층, 근육층, 장막(또는 외막)의 4개 층으로 구성된다.[5] 점막은 점액을 분비하는 술잔 세포가 풍부한 원주 모양 세포의 단일층으로 덮여 있다.[5] 이 점막은 고유층 위에 있으며, 점막근층이라고 하는 매끄러운 근육층이 있다.[5] 직장 점막에는 위장관의 다른 부분보다 술잔 세포의 농도가 더 높다.[5]
점막하층은 결합 조직으로 이루어져 있으며, 그 위에는 내측 원형 띠와 외측 세로 띠의 두 개의 근육 띠로 구성된 고유근층이 있다.[5]
직장과 항문이 만나는 선에서 내벽은 급격하게 변화한다. 이 선을 기준으로 내벽은 직장의 원주 모양 세포에서 여러 층의 평평한 세포로 바뀐다.[5]

2. 4. 항문과의 관계
직장은 S상 결장의 연장이며, 항문과 연결된다. 직장은 천골의 모양을 따르며, 인분이 항문관을 통해 배출되기 전에 저장되는 팽창된 부분인 팽대부에서 끝난다.[5] 직장은 S3 수준에서 S상 결장과 연결되고, 골반저 근육을 통과하면서 항문관과 연결된다.항문의 바로 위에서는 내륜근이 특히 발달하여 내항문 괄약근을 구성한다. 평활근으로 이루어진 이 괄약근 외에, 횡문근으로 이루어진 외항문 괄약근이 있다. 내항문 괄약근은 반사적으로, 외항문 괄약근은 의지에 따라 항문을 개폐한다. 직장과 항문은 해부학적으로는 상피로 구분되지만, 외과학적으로는 항문 괄약근보다 상부가 직장, 하부가 항문관으로 해부학적인 구분보다 상위에 있다.
3. 기능
직장은 대변을 임시로 저장하는 역할을 한다. 하행 결장에서 연동 운동이라고 하는 규칙적인 근육 수축을 통해 전달된 분변 물질을 받는다.[1] 직장 벽이 내부에서 채워지는 물질로 인해 팽창함에 따라, 직장 벽에 위치한 신경계의 신장 수용체가 배변 욕구를 자극한다.[1]
내부 및 외항문 괄약근, 그리고 직장 꼬리 근육의 안정 수축은 대변 누출(변실금)을 방지한다. 직장이 더 팽창됨에 따라 괄약근이 이완되고 직장 내용물의 반사 배출이 발생한다. 배출은 직장 근육의 수축을 통해 발생한다.[1]
자발적인 배변 충동은 직장 압력이 18mmHg 이상으로 증가한 후에 발생하며, 반사 배출은 55mmHg에서 발생한다. 자발적인 배변 시에는 직장 근육의 수축과 외항문 괄약근의 이완 외에도 복부 근육 수축과 직장 꼬리 근육의 이완이 발생한다. 이는 직장과 항문 사이의 각도를 더 곧게 만들고 배변을 용이하게 한다.[1]
4. 임상적 의의
직장은 다양한 질환이 발생할 수 있는 부위이다. 흔히 발생하는 질환으로는 변비, 직장염, 궤양성 대장염, 직장암, 직장 탈출증 등이 있다.
변비는 마른 딱딱한 변이 직장에 쌓여 배변이 어려워지는 질환으로, 부적절한 수분 섭취, 운동 부족, 식이 섬유 부족과 같은 식단 및 생활 방식의 문제로 인해 가장 흔하게 발생한다. 하지만 협착, 국소 질환(크론병, 열상 또는 치질 등)으로 인한 폐쇄, 장의 신경학적 조절에 영향을 미치는 질환 또는 느린 장 통과 시간(척수 손상 및 다발성 경화증 포함), 아편양제와 같은 약물 사용 및 당뇨병, 심각한 질병과 같은 상태 등 잠재적인 원인이 많다. 높은 칼슘 수치와 갑상선 기능 저하증 또한 변비를 유발할 수 있다.
인체 온도는 항문을 통해 의료용 온도계를 직장에 25mm 이하로 삽입하여 측정할 수 있다. 수은 온도계는 3~5분 동안 삽입해야 하며, 디지털 온도계는 경고음이 울릴 때까지 삽입해야 한다. 정상적인 직장 온도는 일반적으로 36°C 에서 38°C 범위이며 구강 (입) 온도보다 약 0.5°C 높고 겨드랑이 온도보다 약 1°C 높다.
일부 약물은 직장 투여로도 투여된다.[7][8] 좌약은 직장에 삽입되고 관장은 직장으로 주입된다.
4. 1. 검사 방법
직장 수지 검사는 손가락을 항문에 삽입하여 직장 및 주변 조직(특히 전립선)의 이상 유무를 확인하는 검사이다. 이 검사를 통해 분변 매복, 전립선암, 양성 전립선 비대증, 변실금, 치질 등을 진단할 수 있다.[6]대장 내시경 및 S상 결장 내시경은 내시경을 이용하여 직장 및 대장 내부를 직접 관찰하는 검사이다. 이를 통해 암, 염증, 용종 등의 유무를 확인하고, 필요한 경우 조직 검사를 시행할 수 있다. 직장경 또한 직장 내부를 시각화하는 데 사용되는 기구이다.
CT 스캔 및 MRI 스캔은 직장 및 주변 조직의 영상을 얻어 질환을 진단하는 데 사용된다. 초음파 탐촉자를 직장에 삽입하여 주변 조직(특히 전립선)을 관찰할 수도 있다.
4. 2. 주요 질환
변비는 마른 딱딱한 변이 직장에 쌓여 배변이 어려워지는 질환이다. 이는 부적절한 수분 섭취, 운동 부족, 식이 섬유 부족과 같은 식단 및 생활 방식의 문제로 인해 가장 흔하게 발생하지만, 다양한 원인이 있을 수 있다.[10]직장염은 항문과 직장에 염증이 생기는 질환이다.
궤양성 대장염은 직장에 궤양을 유발하는 염증성 장 질환의 한 형태로, 평생에 걸쳐 간헐적으로 발생할 수 있다. 이로 인해 변에서 혈액이 보일 수 있다.
직장암은 직장에 발생하는 암으로, 대장암의 하위 그룹에 속한다.
직장 탈출증은 직장 점막이나 직장 벽 전체가 항문 밖으로 탈출하는 것을 말한다. 이는 흔히 출산 후 약해진 골반저근에 의해 발생한다.
장간막 허혈의 맥락에서 상부 직장은 때때로 '''수덱 점'''이라고 불리며, 하장간막 동맥 순환과 내장골 동맥 순환 사이의 분수령 지역으로 임상적으로 중요하다. 이는 중간 직장 동맥을 통해 이루어지며, 따라서 허혈이 발생하기 쉽다.
4. 3. 약물 투여 경로
일부 약물은 직장 투여로도 투여된다.[7][8] 정의상 좌약은 삽입되고 관장은 직장으로 주입된다. 직장으로 투여하는 약물은 변비 완화, 치열이나 치질과 같이 직장 부근의 질환 치료, 또는 경구 복용이 불가능할 때 전신 작용을 하는 약물 투여에 사용될 수 있다.[9] 사람들은 문화적 문제, 불편함, 그리고 누출과 같이 약물 작용에 영향을 미칠 수 있는 문제 때문에 이 경로로 투여되는 약물을 선호하지 않는 경향이 있다.[9]5. 사회 및 문화
직장은 성감대이며, 직장의 앞쪽 벽이 여성의 질이나 남성의 전립선과 가깝고, 신경을 공유하기 때문에 직장의 자극 또는 삽입은 성적 흥분을 유발할 수 있다.[11]
6. 역사
영어 단어 'rectum'은 라틴어 'intestinum rectum'([12], '곧은 창자'[13][14])에서 유래되었으며, 이는 고대 그리스어 ἀπευθυσμένον ἔντερον의 calque(번역 차용)[15][16]이다. ἀπευθυσμένον ἔντερον는 '곧게 만들다'라는 뜻의 ἀπευθύνειν[17]와 '창자'라는 뜻의 ἔντερον[17]에서 파생되었으며, 그리스 의사 갈레노스의 저술에서 확인된다.[15][16] 갈레노스는 동물 해부를 통해 직장이 사람과 달리 굽어 있지 않고 곧다는 것을 관찰했다.[15][16] 따라서 ἀπευθυσμένον ἔντερον과 intestinum rectum은 사람의 직장을 적절하게 묘사하는 표현이 아니다. 'Apeuthysmenon'[18]은 ἀπευθυσμένον의 라틴어화이며, 'euthyenteron'[19]도 비슷한 의미(εὐθύς '곧은'[17])를 가진다. 직장 해부학에 대한 지식의 상당 부분은 안드레아스 베살리우스가 1543년에 제공한 상세한 설명에서 비롯되었다.[20]
참조
[1]
서적
Essentials of Human Physiology
[2]
간행물
AJCC Cancer Staging Atlas
American Joint Committee on Cancer
2017-09-10
[3]
서적
The ASCRS textbook of colon and rectal surgery
Springer
[4]
논문
Anatomy, Abdomen and Pelvis, Rectum
https://www.ncbi.nlm[...]
StatPearls Publishing
2023-05-24
[5]
논문
Anatomy of the Pelvic Floor and Anal Sphincters
http://medind.nic.in[...]
2018-08-19
[6]
서적
Clinical examination : a systematic guide to physical diagnosis
Elsevier Australia
[7]
웹사이트
Definition of ENEMA
https://www.merriam-[...]
2020-07-04
[8]
웹사이트
Definition of SUPPOSITORY
https://www.merriam-[...]
2020-07-04
[9]
논문
Physiological and Pharmaceutical Considerations for Rectal Drug Formulations
2019-10-16
[10]
논문
Study of large bowel peristalsis
null
1968-10
[11]
웹사이트
Anal Sex Practices and Rectal Erogenous Zones: An Anatomic Questionnaire Based Study
https://www.research[...]
[12]
서적
Terminologia Anatomica
Thieme
1998
[13]
서적
im Bureau für Literatur
1805
[14]
서적
A Latin dictionary founded on Andrews' edition of Freund's Latin dictionary
Clarendon Press
1879
[15]
서적
Onomatologia Anatomica. Geschichte und Kritik der anatomischen Sprache der Gegenwart.
Wilhelm Braumüller. K.K. Hof- und Universitätsbuchhändler
1880
[16]
서적
Die anatomischen Namen. Ihre Ableitung und Aussprache. Mit einem Anhang: Biographische Notizen.
Verlag J.F. Bergmann
1910
[17]
서적
A Greek-English Lexicon.
Clarendon Press
1940
[18]
논문
Die gynäcologische Anatomie und ihre zu Basel festgestellte Nomenclatur.
1895
[19]
서적
Latijnsch-Hollandsch woordenboek over de geneeskunde en natuurkundige wetenschappen.
A.W. Sijthoff
1881
[20]
서적
The ASCRS Textbook of Colon and Rectal Surgery: Second Edition
https://books.google[...]
Springer Science & Business Media
2011
[21]
웹사이트
Physiology at MCG
http://www.lib.mcg.e[...]
[22]
웹사이트
대한해부학회 의학용어 사전, 대한의협 의학용어 사전
https://www.kmle.co.[...]
본 사이트는 AI가 위키백과와 뉴스 기사,정부 간행물,학술 논문등을 바탕으로 정보를 가공하여 제공하는 백과사전형 서비스입니다.
모든 문서는 AI에 의해 자동 생성되며, CC BY-SA 4.0 라이선스에 따라 이용할 수 있습니다.
하지만, 위키백과나 뉴스 기사 자체에 오류, 부정확한 정보, 또는 가짜 뉴스가 포함될 수 있으며, AI는 이러한 내용을 완벽하게 걸러내지 못할 수 있습니다.
따라서 제공되는 정보에 일부 오류나 편향이 있을 수 있으므로, 중요한 정보는 반드시 다른 출처를 통해 교차 검증하시기 바랍니다.
문의하기 : help@durumis.com