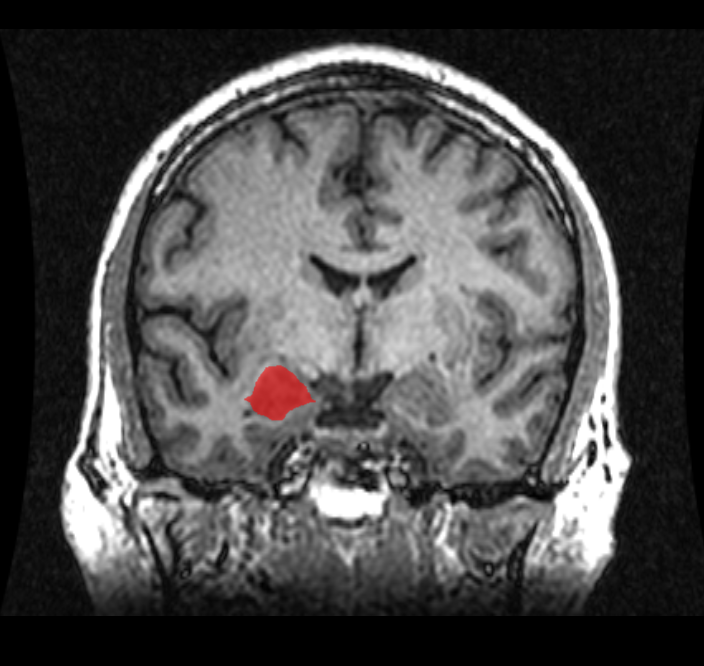
편도체
"오늘의AI위키"의 AI를 통해 더욱 풍부하고 폭넓은 지식 경험을 누리세요.
1. 개요
편도체는 뇌의 측두엽에 위치한 아몬드 모양의 구조로, 12개 이상의 신경핵을 포함하며 다양한 뇌 영역과 연결되어 있다. 해부학적으로는 외측핵, 중심핵, 내측핵 등으로 나뉘며, 기저핵의 일부로 간주되기도 한다. 편도체는 정서 처리, 특히 공포와 같은 부정적인 감정을 처리하고, 공포 기억 형성에 중요한 역할을 한다. 또한 정서 학습, 기억 조절, 사회적 행동, 공격성 등 다양한 기능과 관련이 있으며, 불안 장애, 우울증, 자폐증 등 정신 질환과의 연관성도 연구되고 있다. 최근 연구에서는 성적 지향과 편도체의 구조적 차이 간의 상관관계가 제시되기도 한다.
더 읽어볼만한 페이지
- 편도체 - 피라미드 세포
피라미드 세포는 뇌의 뉴런으로, 원뿔 모양의 세포체, 단일 축삭, 큰 정단 수상돌기, 여러 개의 기저 수상돌기, 수상돌기 가시를 가지며, 대뇌 피질과 해마에서 발견되어 인지, 기억, 학습과 같은 기능을 수행하고, 발화 특성 및 유전자 발현에 따라 다양한 하위 유형으로 분류된다. - 편도체 - 클뤼버-부시 증후군
클뤼버-부시 증후군은 양측 측두엽 손상으로 발생하는 신경학적 증후군으로, 과대변형증, 유순함, 식습관 변화, 과다성욕, 시각적 인지 불능증, 기억 상실 등의 특징을 보이며, 뇌졸중, 외상, 감염 등에 의해 발생하고 완치법은 없어 증상 완화 치료를 진행한다. - 신경해부학 - 시상
시상은 감각 정보를 대뇌 피질로 전달하고 수면-각성 조절, 운동 조절, 기억 및 인지 기능 등 다양한 기능을 수행하는 회백질 구조물이다. - 신경해부학 - 회색질
회색질은 수초가 없는 뉴런과 중추신경계의 다른 세포로 구성되며, 뇌, 뇌간, 소뇌 및 척수에 존재하며, 아동기와 청소년기에 발달하고 알코올 섭취 등 다양한 요인에 의해 구조가 영향을 받는다. - 신경과학 - 인공 일반 지능
인공 일반 지능(AGI)은 추론, 지식 표현, 학습 등의 능력을 갖춘 인공지능 시스템을 의미하며, 기아와 빈곤 해결 등의 이점을 제공하지만 통제력 상실과 같은 위험도 존재한다. - 신경과학 - 계산신경과학
계산신경과학은 컴퓨터 과학과 신경과학의 융합 분야로, 뇌의 정보 처리 과정을 계산 모델로 연구하며, 뇌 기능 설명, 뉴런 및 신경망 모델링, 인공지능 활용 비교 연구, 계산 임상 신경과학 발전 등을 포함한다.
2. 해부학
편도체는 해부학적으로 구별되는 여러 핵[6]들의 집합체로, 12개가 넘는 핵이 확인되었다.[7] 이들 핵은 각각 고유한 세부 구조와 뇌의 다른 부분과의 구별되는 연결망을 가지고 있다.[7] 주요 핵 그룹으로는 측측 복합체, 중심핵, 피질핵, 내측핵, 그리고 중간세포 집합체 등이 있다.[4][102]
2. 1. 하위구조


편도체는 여러 개의 핵[6]으로 구성된 복합체이며, 12개가 넘는 핵이 확인되었다.[7] 각 핵은 고유한 세부 구조를 가지며 뇌의 다른 부분과 구별되는 연결망을 형성한다.[7] 주요 핵 그룹으로는 외측핵(lateral nuclei), 중심핵(central nuclei), 내측핵(medial nuclei), 피질내측핵(corticomedial nuclei), 기저외측핵(basolateral nuclei), 기저내측핵(basomedial nuclei) 등이 있다. 기능적 관점에서 주요 핵은 측측 복합체, 중심핵, 피질핵, 내측핵, 그리고 중간세포 집합체로 나눌 수 있다.[4]
측측 복합체(기저외측 복합체)는 다시 외측핵, 기저핵, 부기저핵으로 세분화된다.[2][8][9][102][103] 이 복합체는 전전두엽, 측두엽, 섬피질 피질, 그리고 해마와 같은 고차원 피질 영역과 광범위하게 연결되어 있다.[4][10] 또한, 측측 복합체는 억제성 중간세포망에 둘러싸여 있으며, 이 망은 기저 전뇌, 시상하부, 그리고 편도체의 다른 여러 영역으로 신호를 보낸다.[4][11]
피질핵과 내측핵은 주로 후각계 및 시상하부와 연결되어 있다.[4] 중심핵은 뇌간으로 광범위하게 신호를 전달한다.[4]
해부학적으로 편도체[12][104], 특히 중심핵과 내측핵[13][105]은 때때로 기저핵 또는 대뇌 기저핵의 일부로 분류되기도 한다.[105]
래리 스완슨과 고리카 페트로비치는 "편도체란 무엇인가?"라는 논문에서 편도체가 단일한 구조적 또는 기능적 단위가 아니라고 주장하며, 편도체라고 불리는 영역이 실제로는 서로 다른 기능적 특징을 가진 여러 핵의 집합체임을 강조했다.[14]
2. 2. 다른 뇌 부위와의 연결
편도체는 뇌의 다양한 영역과 복잡한 신경망을 통해 연결되어 정보를 주고받는 중요한 구조이다.[6][7] 확인된 12개 이상의 핵들은 각각 고유한 연결 패턴을 가지며, 주요 핵으로는 측측 복합체, 중심핵, 피질핵, 내측핵, 그리고 중간세포 집합체가 있다.[4]입력 경로편도체는 여러 경로를 통해 정보를 입력받는다.
- 감각 정보: 시상[131]과 대뇌 피질[132]에서 오는 기본적인 감각 정보는 주로 편도체의 외측핵(측측 복합체의 일부)으로 들어온다.[102][103] 외측 편도체는 감각계로부터 직접 입력을 받는다.[103][106]
- 고차원 정보: 전전두엽, 측두엽, 섬피질 피질, 해마와 같은 고차원적인 정보를 처리하는 뇌 영역들은 측측 복합체(외측핵, 기저핵, 부속 기저핵 포함)와 광범위하게 연결되어 있다.[4][10]
- 후각 정보: 후각과 관련된 정보는 후각계의 후각구와 후각피질에서 피질핵과 내측핵으로 전달된다. 이 핵들은 페로몬 처리에도 관여한다.[4][34][103][106]
출력 경로편도체는 처리된 정보를 다양한 뇌 영역으로 보낸다. 특히 중심핵은 주요 출력 경로 역할을 한다.[4]
- 뇌간: 중심핵은 뇌간 영역으로 광범위하게 신호를 보낸다.[4][132] 이는 기본적인 생리적 반응 조절과 관련된다.
- 시상하부: 편도체는 시상하부와 연결되어 있으며[133], 특히 교감신경계 활성화 신호를 보낸다.[103] 피질핵과 내측핵도 시상하부와 연결된다.[4]
- 기타 영역: 편도체는 해마[133], 솔기핵(raphe nucleus)[134], 중격핵, 종말줄무늬핵(BNST), 배내측 시상, 삼차신경 및 안면신경 핵(공포 표정 관련[103]), 복측피개영역, 청반핵, 외측배측피개핵(도파민, 노르아드레날린, 아드레날린 방출 관련[103]) 등 다양한 영역으로 신호를 보낸다.[8] 외측 편도체는 중격핵으로도 투사된다.[29][30][31][32][33] 시상망상핵에는 반사 항진 신호를 보낸다.[103]

내부 처리 및 조절외측 편도체에서 입력된 정보는 기저외측 복합체 내의 다른 핵들(기저핵, 부기저핵)과 중심핵, 내측핵 등으로 전달되어 처리된다.[102][103][106] 측측 복합체는 기저 전뇌, 시상하부, 편도체 내 다른 영역으로 투사되는 억제성 중간세포망에 둘러싸여 조절을 받는다.[4][11] 중심핵과 내측핵은 기저외측 복합체로부터 입력을 받아 정서 반응(특히 쥐와 고양이에서 정서적 각성)을 일으키는 주요 출력 부위로 작용한다.[8][9][35][103][106]
기능적 의의 및 분류이러한 복잡한 연결망은 편도체가 공포 반응[36], 감정 처리, 사회적 행동(사회적 네트워크 크기[37]) 등 다양한 기능에 관여할 수 있게 한다. 해부학적으로 편도체[12][104], 특히 중심핵과 내측핵[13][105]은 때때로 기저핵의 일부로 분류되기도 한다. 그러나 래리 스완슨 등 일부 연구자들은 편도체가 단일한 구조적 또는 기능적 단위가 아니라고 주장하기도 한다.[14]
3. 기능
편도체는 뇌의 측두엽 깊숙이 위치한 아몬드 모양의 신경 세포 집합체로, 다양한 기능을 수행하는 중요한 구조이다. 특히 정서 반응, 기억 형성 및 저장, 의사 결정 과정에서 핵심적인 역할을 담당한다.
편도체의 주요 기능은 다음과 같다.
- 정서 처리: 공포, 불안, 슬픔과 같은 부정적인 감정뿐만 아니라 즐거움과 같은 긍정적인 감정을 처리하고 경험하는 데 관여한다. 특히 오른쪽 편도체는 부정적 감정 및 공포 조건화와 밀접한 관련이 있다.
- 공포 반응 및 기억: 위협적인 자극을 감지하고 싸움 혹은 도피 반응을 유발하며, 공포와 관련된 기억을 형성하고 저장하는 데 필수적인 역할을 한다. 우르바흐-바이테병과 같이 편도체가 손상된 환자는 공포를 느끼지 못하는 경우가 보고되었다.
- 불안 조절: 불안 수준을 조절하고 불안 관련 행동에 영향을 미친다. 편도체의 활동 변화는 불안 장애와 관련이 깊다.
- 고통 인식: 신체에서 오는 통각 신호를 처리하여 고통을 느끼게 하는 데 관여한다.
- 정서 학습: 감정적인 경험, 특히 공포나 보상과 관련된 학습 과정에 중요하게 작용한다. 특정 자극과 감정적 결과를 연결하는 조건화 학습에 핵심적인 역할을 한다.
- 기억 조절: 기억 통합 과정을 조절하며, 특히 정서적으로 중요한 사건의 기억을 강화하는 데 기여한다. 학습 후의 정서적 각성 상태가 기억의 강도에 영향을 미치는 과정에 편도체가 관여한다.
- 사회적 행동: 사회적 네트워크의 크기 및 복잡성과 관련이 있으며, 다른 사람의 얼굴 표정을 인식하고 해석하여 적절한 사회적 반응을 하는 데 도움을 준다. 개인적 공간 침해에 대한 반응에도 관여한다.
- 공격성 조절: 공격적인 행동의 표출과 조절에 영향을 미친다.
- 중독 관련 행동: 알코올 중독이나 폭음과 같은 중독성 행동 및 금단 증상과 관련이 있으며, 반복적인 알코올 섭취는 편도체 기능에 손상을 줄 수 있다.
이처럼 편도체는 생존에 필수적인 다양한 정서적, 인지적, 사회적 기능을 수행하는 뇌의 핵심 영역이다. 편도체의 기능 이상은 우울증, 불안 장애, 외상 후 스트레스 장애(PTSD), 자폐증 등 다양한 정신 질환과 관련될 수 있다.
3. 1. 정서 처리
편도체는 정서, 특히 부정적인 감정을 처리하는 데 중요한 역할을 한다. 연구에 따르면, 오른쪽 편도체에 전기 자극을 주면 주로 공포나 슬픔 같은 부정적인 감정이 유발되는 반면[15], 왼쪽 편도체를 자극하면 즐거움(행복)이나 불쾌함(공포, 불안, 슬픔) 같은 긍정적 또는 부정적 감정이 모두 나타날 수 있다.[16]편도체의 양쪽은 각기 다른 기능을 하지만, 감정을 저장하고, 부호화하며, 해석하기 위해 서로 협력한다. 오른쪽 편도체는 주로 부정적인 감정과 관련이 깊으며[17][18], 공포 표현 및 공포 유발 자극 처리에 관여한다. 특히 중립적인 자극이 불쾌한 경험과 연결되어 공포를 학습하게 되는 공포 조건화 과정은 오른쪽 편도체에서 일어난다. 오른쪽 편도체는 또한 선언적 기억(사실이나 사건에 대한 의식적 기억) 및 에피소드 기억(개인적인 경험에 대한 기억)의 유지에도 중요한 역할을 하며, 특정 시간과 장소를 감정적 속성과 연결하는 데 관여한다.[19]
편도체 내부의 각 부분도 특화된 기능을 가진다. 피질핵은 후각 및 페로몬 처리에 관여하며 후구와 후각피질로부터 정보를 받는다. 외측부는 감각계로부터 입력을 받아 다른 편도체 핵들로 신호를 전달하며, 중심핵과 내측핵은 주로 정서 반응 표출과 관련이 있다.[103][106]
영장류를 대상으로 한 초기 연구들은 편도체 기능 이해의 기초를 마련했다. 1888년 연구에서는 측두엽(편도체 포함)이 손상된 붉은털원숭이가 심각한 사회적, 정서적 장애를 보였다.[115] 이후 하인리히 클뤼베르와 폴 부시(Paul Bucy)는 광범위한 전측두엽 손상이 클뤼베르-부시 증후군(Kluver-Bucy syndrome)이라 불리는 다양한 행동 변화(정서 저하, 공포 상실, 과성욕, 시각실인 등)를 일으킴을 밝혔다.[116] 후속 연구를 통해 편도체 손상만으로도 클뤼베르-부시 증후군이 유발될 수 있으며[118], 어미 원숭이의 모성 행동 감소나 학대/방치로 이어질 수 있다는 사실이 확인되었다.[117]
자기공명영상(MRI) 같은 뇌 영상 기술의 발전은 인간 편도체 연구에 큰 진전을 가져왔다. 여러 연구 결과는 편도체가 정신 상태 조절에 중요하며 다양한 정신 질환과 관련 있음을 보여준다. 예를 들어, 경계성 인격 장애 환자는 감정적 자극에 대해 왼쪽 편도체가 과도하게 활성화되는 경향이 있으며, 중립적인 표정을 부정적으로 해석하기도 한다.[119] 사회불안장애 환자는 공포 자극에 편도체가 과민하게 반응하며, 증상이 심할수록 반응도 커진다.[120] 우울증 환자 역시 얼굴 표정, 특히 공포 표정에 대해 왼쪽 편도체가 과활성화되지만, 항우울제 복용 시 정상화되는 경향이 있다.[121] 반면, 양극성 장애 환자에서는 편도체와 해마의 부피 감소가 관찰되었고[122], 자폐증과의 연관성도 다수 연구되고 있다.[123]
최근에는 뇌에 낭종을 형성하는 기생충, 특히 톡소플라스마가 편도체에 자리 잡는 경우가 많다는 연구 결과가 나왔다. 이는 일부 기생충 감염이 숙주의 행동 변화나 편집증과 같은 정신 증상을 유발하는 기전과 관련될 수 있음을 시사한다.[124]
3. 1. 1. 본능적 공포
동물의 편도체를 파괴하면 본능적인 공격성과 두려움 등이 사라진다. 예를 들어, 쥐의 편도체를 파괴하면 고양이를 두려워하지 않게 되고, 야생 스라소니의 편도체를 파괴하면 매우 얌전해진다. 사람의 경우에도 편도체가 손상되면 지능은 정상이지만 두려움을 느끼지 못하게 되어 행동이 단순해질 수 있다.드문 유전 질환인 우르바흐-바이테병으로 인해 양쪽 편도체에 병변이 생긴 환자의 사례는 편도체의 기능을 잘 보여준다.[87][88] 이러한 환자들은 공포와 관련된 행동을 거의 보이지 않는데, 그중 한 명인 S.M.은 "공포를 느끼지 않는 여성"으로 불리기도 했다. 이 사례들은 편도체가 공포 상태를 유발하는 데 중요한 역할을 한다는 사실을 뒷받침한다.[87]
신경학적으로 편도체는 공포 반응과 관련하여 여러 뇌 영역으로 신호를 보낸다. 시상하부에는 교감신경계를 활성화하는 신호를 보내고, 시상망상핵에는 반사 항진 신호를 보낸다. 또한 삼차신경과 안면신경에는 공포 표정을 짓도록 하는 신호를 보내며, 복측피개영역, 청반핵, 외측배측피개핵 등으로는 도파민, 노르아드레날린, 아드레날린 분비를 촉진하는 신호를 보낸다.[103]
3. 1. 2. 공포 기억
편도체는 공포에 대한 기억 형성에 중요한 역할을 한다. 이러한 공포 기억 연구는 주로 공포 조건화 실험을 통해 이루어진다. 예를 들어, 흰쥐나 토끼 같은 실험 동물에게 특정 소리와 전기 충격을 함께 반복해서 제시하면, 나중에 소리만 들려주어도 강한 공포 반응을 보인다. 이 동물의 편도체를 제거하면 특정 소리에 대한 공포 반응이 사라지는데, 이는 편도체가 공포 기억 형성에 필수적임을 시사한다. 신경과학자 조셉 르두(Joseph E. LeDoux)는 학습된 두려움에 대한 기억이 편도체의 중심핵에서 시상하부를 통해 자율신경계 반응(예: 심박수 증가)을 유발하거나, 뇌간을 통해 행동적 반응(예: 얼어붙거나 도망치기)을 일으킨다고 설명한다.인간을 포함한 복잡한 척추동물에서 편도체는 감정적 사건과 관련된 기억의 형성과 저장에 핵심적인 역할을 수행한다. 공포 조건화 동안 감각 자극 정보는 편도체의 바깥쪽 복합체(basolateral complexes), 특히 외측핵(lateral nuclei)에 도달한다. 이곳에서 자극과 그 자극이 예측하는 불쾌한 사건(예: 전기 충격) 사이의 연관성이 형성되고 기억된다. 이 연관 형성은 장기 강화 작용[38][39](Long-term potentiation, LTP), 즉 관련된 뉴런 간의 신호 전달 효율이 지속적으로 향상되는 신경가소성 과정을 통해 이루어지는 것으로 여겨진다.[40][107] 외측핵에 각인된 정서적 경험의 기억은 편도체 중심핵과의 연결을 통해 공포 행동을 유발한다.
편도체 손상은 감정에 의해 강화된 기억 형성에 문제를 일으킬 수 있다. 한 연구에서는 양쪽 편도체에 손상이 있는 환자에게 감정적으로 강렬한(폭력적인) 이야기와 중립적인 이야기를 들려주고 기억 정도를 측정했다. 그 결과, 편도체 손상 환자는 정상적인 편도체를 가진 사람들에 비해 감정적으로 강렬한 이야기를 잘 기억하지 못했다. 이는 편도체가 감정적 학습과 기억 강화에 중요하게 관여함을 보여준다.[41]
공포 기억은 뇌 전체의 시냅스에 저장되는 것으로 생각되지만, 특히 편도체 내의 특정 경로가 중요하다. 공포 기억은 편도체 외측핵에서 중심핵(central nucleus)으로, 그리고 종말줄기의 침대핵(확장된 편도체의 일부)으로 이어지는 신경 연결에 저장되는 것으로 간주된다. 편도체는 해마와 같이 기억에 중요한 다른 뇌 영역과 정보를 주고받기 때문에 이 경로만이 공포 기억의 유일한 저장 장소는 아니다. 일부 감각 뉴런은 축삭 종말을 편도체 중심핵에 직접 투사하기도 한다.[42]
편도체의 중심핵은 다양한 공포 반응을 조절하는 데 중심적인 역할을 한다. 여기에는 방어 행동(얼어붙거나 도망치는 반응), 자율 신경계 반응(혈압 및 심박수 변화), 신경내분비 반응(스트레스 호르몬 방출) 등이 포함된다.[103] 따라서 편도체, 특히 중심핵이 손상되면 고전적 조건화의 한 형태인 파블로프식 공포 조건화의 학습(획득)과 표현(반응) 모두에 장애가 발생한다.[40][107] 또한, 편도체에서 작용하는 여러 신경 조절 물질들이 감정 기억 형성 과정을 조절한다는 증거가 늘어나고 있다.[43][44][45]
편도체는 공포 기억뿐만 아니라 쾌감(긍정적) 조건화에도 관여한다. 비록 긍정적 자극과 부정적 자극에 반응하는 뉴런들이 명확히 구분된 해부학적 핵을 이루지는 않지만[46][47][108], 연구에 따르면 편도체 내 다른 핵들이 쾌감 조건화에서 서로 다른 기능을 수행한다.[49][50] 예를 들어, 쥐 실험에서 편도체 중심핵의 손상은 쾌감 학습을 감소시키는 반면, 바깥쪽 영역(basolateral regions)의 손상은 그렇지 않았다.[48][109]
외상 후 스트레스 장애(PTSD)와 같은 불안 장애는 편도체의 기능과 밀접한 관련이 있다. 2012년 미국 불안 장애 협회 연례 회의에서는 벤조디아제핀계 항불안제 사용이 PTSD 환자의 시상하부-뇌하수체-부신 축(HPA axis)을 억제하여 스트레스 증상을 단기적으로 완화할 수 있지만, 동시에 편도체의 GABAergic 기능을 통해 공포 기억 소멸 학습을 방해하여 장기적으로 노출 치료의 효과를 저해할 수 있다는 연구 결과가 보고되었다.[110][111] 이는 공포 기억의 형성과 소멸 과정에서 편도체의 복잡한 역할을 보여준다.
3. 1. 3. 불안증
편도체는 불안과 밀접한 관련이 있다.[94] 특히 편도체의 외측기저핵에 있는 신경세포의 활동이 불안 조절에 영향을 미친다는 연구 결과가 있다. 예를 들어, 흰쥐 실험에서 외측기저핵을 전기 자극으로 파괴하거나, 억제성 신경전달물질인 GABA 수용체의 작용을 막는 약물을 처리했을 때 불안 반응이 더 강해졌다.[135][136] 반대로, 흥분성 신경전달물질인 AMPA나 NMDA 수용체의 작용을 막거나, GABA 수용체를 활성화시키는 약물을 처리하면 불안 반응이 감소했다.[137][138][139][140][141]불안 장애는 여성에게 더 흔하게 나타나는데, 이러한 성별 차이와 편도체의 연관성을 보여주는 동물 실험도 있다. 데구 새끼를 어미에게서 떼어놓고 어미의 울음소리만 들려주는 스트레스 상황을 만들었을 때, 수컷 데구는 편도체에서 세로토닌 수용체가 증가했지만 암컷 데구는 오히려 감소했다. 이 차이로 인해 수컷이 암컷보다 스트레스 상황에 덜 민감하게 반응하는 경향을 보였다.
개체가 공포나 공격성을 표현할 때 편도체가 활성화된다. 이는 편도체가 위험 상황에서 싸움 혹은 도피 반응을 담당하는 뇌의 핵심 구조이기 때문이다. 편도체가 환경의 위협적인 자극을 감지하여 싸움 혹은 도피 반응을 유발하면, 이는 불안이나 공황 발작으로 이어질 수 있다. 또한 편도체는 조건화된 공포와 직접적으로 관련된다. 조건화된 공포는 원래는 중립적이었던 자극이 공포를 유발하는 경험과 반복적으로 짝지어지면서, 나중에는 그 중립적인 자극만으로도 공포 반응을 일으키는 학습된 행동을 말한다. 편도체는 이 학습된 공포 반응이 나타나는 데 중요한 역할을 한다. 공포 반응은 심박수 증가, 혈압 상승과 같은 자율 신경계의 변화나 몸을 움츠리거나 눈을 깜빡이는 등의 단순 반사 행동으로 측정될 수 있다.
편도체의 중심핵은 공포와 불안 조절에 관여하는 시상하부 및 뇌간과 직접적으로 연결되어 있다. 편도체를 제거한 동물을 연구한 결과, 이 동물들은 공포 반응을 거의 보이지 않으며 종 특유의 방어 행동도 하지 않는다는 것이 밝혀졌다. 이는 편도체가 공포와 불안 반응을 표현하는 데 필수적임을 시사한다.
포유류는 위험을 감지하고 처리하는 방식이 매우 유사하다. 과학자들은 포유류가 위협을 느끼거나 불안을 경험할 때 뇌의 특정 영역, 특히 편도체가 활성화되는 것을 관찰했다. 설치류와 인간 모두 위험한 상황을 인지할 때 뇌의 비슷한 영역이 활성화되며, 편도체는 이러한 상황 판단에 중요한 역할을 한다. 편도체의 활성화 정도는 개체가 느끼는 불안 수준과 직접적인 관련이 있다.
불안감은 스트레스를 유발하는 환경적 자극(예: 특정 냄새, 시각 정보, 내부 감각 등)에 의해 촉발된다. 편도체는 이러한 자극에 반응하여 싸움 혹은 도피 반응을 준비시키는데, 이 과정에서 아드레날린이 혈류로 분비된다. 아드레날린은 혈당 수치를 높여 근육에 빠르게 에너지를 공급하고, 때로는 몸 떨림과 같은 신체 반응을 유발하기도 한다.
단기적인 스트레스 반응뿐만 아니라, 장기간의 스트레스나 외상 후 스트레스 장애(PTSD)를 겪은 후에는 편도체 신경세포에 장기적인 변화가 생길 수 있다. 스트레스 관련 호르몬이 편도체에 지속적으로 영향을 미치면 만성적인 불안으로 이어질 수 있다.[95] 반대로, 편도체에서 스트레스 호르몬의 작용을 차단하면 불안이 감소하는 효과가 나타난다.[96] 따라서 편도체의 기능과 불안의 관계를 더 깊이 이해하는 것은 불안 장애를 치료하기 위한 새로운 방법을 개발하는 데 중요한 기여를 할 수 있다.[97]
3. 1. 4. 고통
신체 각 부위에서 오는 통각 신호에 대해 편도체의 신경세포가 활성화되면서 고통을 느끼게 된다는 보고가 있다.[142] 고통을 느끼는 부위로서 편도체는 좌우 뇌에 서로 떨어져 위치한다. 따라서 어느 한쪽이 손상되더라도 반대쪽이 정상적으로 작동하면 고통을 느낄 수 있다. 이 때문에 양쪽 편도체를 동시에 정확히 파괴하거나, 신경망이 모이는 부위 또는 척수와 직접 연결되는 뇌간 등을 파괴하지 않는 한, 고통을 느끼지 않게 하는 것은 거의 불가능하다.[142]3. 2. 정서 학습
인간을 포함한 복잡한 척추동물에서 편도체는 감정적 사건과 관련된 기억의 형성과 저장에 주요한 역할을 한다. 연구에 따르면, 공포 조건화 동안 감각 자극은 편도체의 기저외측 복합체(basolateral complexes), 특히 외측핵(lateral nuclei)에 도달하여 자극에 대한 기억과 연관을 형성한다. 자극과 그것이 예측하는 불쾌한 사건 사이의 연관은 장기 강화 작용[38][39](즉, 영향을 받는 뉴런 간 신호 전달의 지속적인 향상)[40]을 통해 매개된다. 편도체 손상은 감정에 의해 강화된 기억을 방해할 수 있는데, 한 연구에서는 양측 편도체 변성이 있는 환자에게 이야기를 들려주고 기억력을 관찰한 결과, 기능적인 편도체를 가진 환자보다 이야기를 덜 기억하는 것으로 나타났다. 이는 편도체가 감정적 학습과 강력한 연관이 있음을 시사한다.[41]감정 기억은 뇌 전체의 시냅스에 저장되는 것으로 여겨진다. 특히 공포 기억은 편도체 외측핵에서 중심핵(central nucleus)으로, 그리고 종말줄기의 침대핵(확장된 편도체의 일부)으로 이어지는 뉴런 연결에 저장되는 것으로 간주된다.[42] 외측핵의 시냅스 반응에 각인된 정서적 경험의 기억은 중심핵과의 연결을 통해 공포 행동을 유발한다. 중심핵은 동결 반응(freezing), 호흡 및 맥박 증가, 스트레스 호르몬 방출과 같은 많은 공포 반응의 생성과 관련이 있다.[42][107] 편도체 손상은 감정적 반응의 고전적 조건화 형태인 파블로프 공포 조건화의 획득과 표현 모두를 손상시킨다.[40][107] 또한, 편도체에서 작용하는 여러 신경 조절 물질이 감정 기억의 형성을 조절한다는 증거가 늘어나고 있다.[43][44][45]
편도체는 긍정적 조건화에도 관여한다. 직관적으로 긍정적 자극과 부정적 자극에 서로 다른 신경 세포가 반응할 것으로 생각되지만, 실제로는 이러한 세포 집단이 명확한 해부학적 핵을 형성하지는 않는다.[46][47][108] 편도체의 중심핵 병변은 쥐의 긍정적 학습을 감소시키는 반면, 기저외측 영역의 병변은 동일한 효과를 보이지 않았다.[48] 이는 편도체 내의 서로 다른 핵이 긍정적 조건화에서 각기 다른 기능을 수행함을 시사한다.[49][50][109]
긍정적 감정 학습에서 기저외측 편도체의 중요한 역할에 대한 연구도 있다. 경험이 없는 암컷 생쥐는 수컷이 남긴 비휘발성 페로몬에는 선천적으로 끌리지만, 수컷 유래의 휘발성 물질에는 끌리지 않는다. 그러나 비휘발성 페로몬과 연관 학습이 이루어지면 휘발성 물질에도 끌리게 되는데, 이는 파블로프 연합 학습의 예이다.[51] 후각계 및 감정 시스템에서 Fos 단백질 발현 연구는 비휘발성 페로몬이 부후각 시스템(vomeronasal system)을 자극하는 반면, 공기 매개 휘발성 물질은 주 후각 시스템만 활성화시킨다는 것을 보여준다. 따라서 수컷 유래 휘발성 물질에 대한 획득된 선호도는 후각-부후각 연합 학습을 나타낸다. 또한 보상 시스템은 일차 페로몬과 이차적으로 매력적인 냄새에 의해 다르게 활성화된다. 일차 페로몬 탐색은 기저외측 편도체와 중격의 핵(nucleus accumbens) 외각을 활성화시키지만 복측피개영역(ventral tegmental area)이나 안와전두피질(orbitofrontal cortex)은 활성화시키지 않는다. 반면, 이차적으로 매력적인 냄새 탐색은 기저외측 편도체, 전전두피질(prefrontal cortex), 복측피개영역을 포함하는 회로를 활성화시킨다. 이는 기저외측 편도체가 후각-부후각 연합 학습의 핵심 중추임을 시사한다.[52]
편도체는 시상하부에 교감신경계 활성화 신호를, 시상망상핵에는 반사 항진 신호를, 삼차신경과 안면신경에는 공포 표정 표현 신호를, 복측피개영역, 청반핵, 외측배측피개핵에는 도파민, 노르아드레날린, 아드레날린 방출 신호를 보낸다.[103] 피질핵은 후각 및 페로몬 처리에 관여하며 후구와 후각피질에서 입력을 받는다. 편도체 외측부는 나머지 기저외측 복합체와 중심핵, 내측핵에 신호를 보내고 감각계에서 입력을 받는다. 중심핵과 내측핵은 기저외측 복합체로부터의 주요 출력 대상이며, 랫트와 고양이에서 정서 발현과 관련되어 있다.[103][106]
3. 3. 기억 조절
편도체는 기억 통합(memory consolidation) 과정을 조절하는 데 관여한다. 어떤 사건을 학습한 후, 그 사건에 대한 장기 기억은 즉시 형성되지 않는다. 대신, 사건에 대한 정보는 시간이 지남에 따라 점진적으로 장기 저장소에 통합되어 반영구적인 상태로 변하며, 이 과정은 장기 강화를 통해 이루어질 수 있다.[38][39][107]기억이 통합되는 동안에는 외부 요인에 의해 조절될 수 있다. 특히, 학습 사건 이후 경험하는 정서적 각성(emotional arousal)은 그 사건에 대한 기억의 강도에 영향을 미치는 것으로 보인다. 학습 사건 이후 더 강한 정서적 각성을 경험할수록, 그 사건에 대한 기억은 더 잘 유지된다. 예를 들어, 쥐가 특정 내용을 학습한 직후 스트레스 호르몬을 투여하면, 2일 후 기억력 테스트에서 더 나은 결과를 보였다.[53][112]
제임스 맥고(James McGaugh)를 비롯한 여러 연구진의 연구 결과에 따르면, 편도체, 특히 기저 외측핵(basolateral nuclei)은 정서적 각성이 기억 강도에 미치는 영향을 매개하는 데 중요한 역할을 한다. 이들 연구에서는 동물에게 다양한 학습 과제(예: 특정 장소와 전기 충격을 연관시키는 억제 회피 과제, 물 미로에서 탈출 경로를 찾는 과제 등)를 훈련시킨 후, 편도체에 약물을 주입하여 기억 유지에 미치는 영향을 관찰했다. 편도체를 활성화하는 약물을 주입했을 때는 동물이 학습 내용을 더 잘 기억했지만,[54][113] 편도체를 비활성화하는 약물을 주입했을 때는 기억력이 저하되었다.
편도체가 손상되면 공포 조건 형성과 같은 특정 유형의 기억 형성에 문제가 생길 수 있지만, 편도체가 없어도 학습 자체는 가능하다.[114] 이는 편도체가 기억의 저장소라기보다는 기억 통합 과정을 조절하는 역할을 주로 수행함을 시사한다.
인간을 대상으로 한 연구에서도 유사한 결과가 관찰되었다. 정보를 처리(부호화)할 때 편도체의 활동 수준은 그 정보가 얼마나 잘 기억되는지와 관련이 있다. 특히 감정을 강하게 유발하는 정보일수록 편도체 활동이 증가하며, 이러한 활동 증가는 기억력 향상과 뚜렷한 상관관계를 보인다. 편도체 뉴런은 정서적 각성 중에 세타 리듬과 같은 특정 신경 진동 패턴을 보이는데, 이러한 동기화된 활동이 시냅스 가소성을 촉진하여 기억 형성에 기여할 수 있다.[58]
3. 4. 사회적 행동
자비 명상 후 편도체 활동이 증가하면 사회적 유대감에 기여할 수 있다.[76] 마찬가지로, 다른 뇌 영역으로의 구조적 백색질 연결성 또한 사회적 네트워크 규모와 관련이 있다.[37]편도체 크기는 사회적 네트워크의 크기(개인이 갖고 있는 접촉 수)와 복잡성(개인이 속한 다양한 그룹의 수) 모두와 양의 상관관계를 보인다.[77][78] 즉, 편도체가 더 큰 사람은 더 크고 복잡한 사회적 네트워크를 가지는 경향이 있다. 편도체는 얼굴 인식을 담당하며, 다른 사람들이 나타내는 다양한 감정 표현에 적절하게 반응하도록 돕는다.[79] 또한 편도체가 발달한 사람은 다른 사람의 얼굴을 보고 정확한 사회적 판단을 더 잘 내릴 수 있다.[80] 사회적 상황을 분석하는 편도체의 역할은 특히 얼굴 특징의 변화를 식별하고 처리하는 능력에서 비롯된다. 그러나 상대방의 시선 방향 자체는 처리하지 않는다.[81][82]
편도체는 사람의 정서 지능 수준을 결정하는 요인 중 하나로 여겨지기도 한다. 특히 편도체가 클수록 정서 지능이 높아져 사회 통합과 타인과의 협력이 더 잘 이루어진다는 가설이 있다.[83]
또한 편도체는 개인적 공간 침해에 대한 반응을 처리한다. 만약 편도체가 양쪽 모두 손상된 사람이라면 이러한 반응이 나타나지 않는다.[84] 예를 들어, 기능적 자기 공명 영상(fMRI) 실험에서 실험 대상자가 멀리 떨어져 있을 때보다 바로 옆에 서 있다는 것을 인지할 때 편도체가 더 활성화되는 것이 관찰되었다.[84][85]
3. 5. 공격성
동물 연구에 따르면, 편도체를 자극하면 성적 행동과 공격적 행동 모두 증가하는 것으로 나타났다. 마찬가지로, 뇌 병변을 이용한 연구에서는 편도체 손상이 반대 효과를 나타낼 수 있음을 보여주었다. 따라서 편도체는 공격성의 표출과 조절에 역할을 하는 것으로 보인다.[86]3. 6. 알코올 중독 및 폭음
편도체는 폭음에 역할을 하는 것으로 보이며, 반복적인 알코올 중독 및 금단 증상으로 손상될 수 있다.[89][90] 편도체의 프로테인 키나아제 C-엡실론은 모르핀, 에탄올에 대한 행동 반응을 조절하고 불안과 같은 행동을 조절하는 데 중요한 역할을 한다. 이 단백질은 다른 단백질의 기능을 조절하고 많은 양의 에탄올을 섭취하는 능력의 발달에 관여한다.[91][92] 만성적인 알코올 섭취 및 금주 기간은 동적인 뇌 네트워크 적응에 영향을 미칠 수 있다.[90]과도한 음주가 발생하면 행동 변화를 통해 편도체에 영향을 미치고 뇌의 가소성을 감소시킨다. 뇌 가소성은 뇌가 성장하고 발달하는 방식이며, 뉴런이 다른 뉴런과 연결을 형성하는 방식이기도 하다. 이는 궁극적으로 신경 경로를 증가시켜 주변 세계에 대한 지식을 증가시킨다. 뇌 가소성이 감소하면 뉴런이 다른 뉴런과 연결하는 것이 어려워진다. 폭음이나 알코올 중독이 발생하면 편도체에 영향을 미쳐 행동 장애를 초래하는 경우가 많다. 이러한 행동 장애에는 자제력 부족, 미성숙한 행동, 공격적인 행동, 행실 저하, 불안, 우울증, 인격 장애, 과도한 약물 복용, 양극성 장애, 혼란, 내성 증가, 과민성 및 부적절한 성적 행동(타인 및 자기 자신에 대한) 등이 포함될 수 있다.[93]
4. 신경정신 질환과의 관련성
뇌 영상 기술, 특히 자기공명영상(MRI)의 발전 덕분에 신경과학자들은 인간 뇌의 편도체에 대한 중요한 사실을 밝혀냈다. 여러 연구 데이터는 편도체가 개인의 정신 상태에 중요한 역할을 하며, 다양한 정신 질환과 관련이 있음을 시사한다.
일부 연구에 따르면, 불안 장애를 겪는 어린이는 왼쪽 편도체가 더 작은 경향이 있다. 흥미롭게도, SSRI 계열 항우울제 사용이나 정신 치료를 통해 왼쪽 편도체 크기가 증가하는 경우도 보고되었다. 왼쪽 편도체는 사회 불안 장애, 강박 장애, 외상 후 스트레스 장애(PTSD)와 관련이 있으며, 더 나아가 분리 불안 및 범불안 장애와도 연관성이 있다.[64]
외상 후 스트레스 장애(PTSD)와 편도체의 뇌 처리 과정 사이에도 연관성이 있는 것으로 보인다. 여러 연구에서 PTSD 환자의 정서 반응에 편도체가 관여할 수 있음을 시사한다. 특히 한 연구에서는 PTSD 환자에게 두려움을 나타내는 얼굴 사진을 보여주었을 때, PTSD가 없는 사람보다 편도체 활성도가 더 높은 경향을 보였다.[98]
2003년 연구에서는 경계선 성격 장애 환자들이 감정을 나타내는 얼굴 표정을 보았을 때, 건강한 대조군에 비해 왼쪽 편도체 활동이 눈에 띄게 높다는 사실을 발견했다. 일부 경계선 성격 장애 환자들은 감정이 드러나지 않는 중립적인 표정을 구분하는 데 어려움을 겪거나, 심지어 위협적인 표정으로 인식하기도 했다.[65][119]
반사회적 인격 장애가 있는 사람들은 건강한 사람들에 비해 지시된 공포 자극에 대해 자율 신경계 반응이 감소하는 경향이 있다.[66] 2006년 연구에서는 환자들이 위협적인 얼굴을 보거나 무서운 상황에 처했을 때 편도체가 과도하게 활동하는 것을 관찰했다. 특히 사회 불안 장애(사회 공포증) 증상이 심한 환자일수록 편도체 반응이 더 크게 나타났다.[67][120]
우울증 환자의 경우, 모든 얼굴 표정, 특히 공포스러운 표정을 해석할 때 왼쪽 편도체 활동이 과장되는 경향이 있다. 주목할 점은, 환자에게 항우울제를 투여하면 이러한 과도한 활동이 정상화된다는 점이다.[68][121]
반면, 양극성 장애 환자에게서는 편도체가 다르게 반응하는 것으로 관찰되었다. 2003년 연구에 따르면, 성인 및 청소년 양극성 장애 환자는 편도체 부피가 상당히 작고 해마 부피도 다소 작은 경향을 보였다.[69][122] 또한 양극성 장애에서는 얼굴 감정을 처리하는 과정에서 편도체 기능 장애가 잘 알려져 있으며, 편도체 활동(특히 편도체와 내측 전전두엽 피질 사이의 회로)이 더 큰 것으로 나타났다.[99][100]
많은 연구가 편도체와 자폐증 사이의 연관성에 주목하고 있다.[70][123]
최근 연구는 뇌에서 낭종을 형성하는 기생충, 특히 톡소플라스마가 편도체에 자리 잡는 경우가 많다는 점을 시사한다. 이는 특정 기생충이 숙주의 행동을 변화시키거나 편집증과 같은 정신 질환을 유발하는 기전에 대한 단서를 제공할 수 있다.[124]
한편, 초기 영장류 연구는 편도체 기능 이해에 중요한 기초를 마련했다. 1888년 연구에서 편도체를 포함한 측두엽 손상을 입은 붉은털원숭이가 심각한 사회적, 정서적 결함을 보인다는 사실이 관찰되었다.[60][115] 하인리히 클뤼버와 폴 부시는 이를 확장하여, 전측두엽의 광범위한 손상이 모든 사물에 대한 과잉 반응, 정서 저하, 공포 상실, 과도한 성욕, 그리고 부적절한 물체를 입에 넣는 과구증 등을 포함한 현저한 변화를 일으킨다는 것을 밝혔다. 이러한 행동 장애는 이후 클뤼버-부시 증후군으로 명명되었으며,[61][116] 후속 연구를 통해 편도체 손상으로 인한 것임이 밝혀졌다.[63][118] 또한 편도체 손상을 입은 어미 원숭이는 새끼에 대한 모성 행동 감소, 심지어 학대나 방치하는 모습을 보이기도 했다.[62][117]
정상적인 피험자에서도 놀란 얼굴이나 다른 인종의 사람 얼굴 이미지를 볼 때(이러한 노출이 잠재 의식적일지라도) 편도체 활동이 증가하는 것이 관찰되었다.[71][72] 그러나 편도체가 공포 관련 자극 처리에 반드시 필수적인 것은 아니다. 양쪽 편도체에 손상을 입은 사람도 기능적인 편도체 없이 공포스러운 얼굴에 대해 빠른 반응을 보인다.[73]
5. 세포의 미성숙성
편도체의 일부 세포는 미성년기에 미성숙한 상태에 머무르며, 그중에서도 일부는 노년기에까지 성숙하지 않았다. 그 이유는 명확히 밝혀지지 않았지만 새로운 세포를 생성하여 뇌를 유지보수하기 위해서라는 추측이 있다.[143]
6. 성적 지향과의 관련성 (논란의 여지가 있음)
최근 연구에 따르면 뇌 구조, 특히 좌우 반구 비율과 편도체의 연결 패턴 차이가 성적 지향과 관련이 있을 수 있다는 결과가 제시되었다. 동성애 남성은 이성애 남성에 비해 편도체에서 여성적인 패턴을 더 많이 보이는 경향이 있으며, 동성애 여성은 이성애 여성보다 남성적인 패턴을 더 많이 보이는 경향이 나타났다. 구체적으로, 동성애 남성의 경우 좌측 편도체에서 연결이 더 광범위하게 나타나는 특징이 확인되었는데, 이는 이성애 여성에게서도 발견되는 현상이다. 반면, 동성애 여성의 경우 우측 편도체에서 연결이 더 광범위하게 나타나는 특징이 확인되었으며, 이는 이성애 남성에게서 나타나는 현상과 유사하다.[74][75]
참조
[1]
웹사이트
Amygdala - Define Amygdala at Dictionary.com
http://dictionary.re[...]
2016-11-09
[2]
논문
Cytoarchitectonic mapping of the human amygdala, hippocampal region and entorhinal cortex: intersubject variability and probability maps
2005-12
[3]
웹사이트
amygdala
http://www.sci.uidah[...]
2007-03-15
[4]
논문
An investigation of the structural, connectional, and functional subspecialization in the human amygdala
2013
[5]
논문
Evolutionary development of the amygdaloid complex
2013
[6]
논문
Evolutionary development of the amygdaloid complex
2013-08-28
[7]
논문
An investigation of the structural, connectional, and functional subspecialization in the human amygdala
2013
[8]
웹사이트
The Amygdala and the Emotions
http://www.benbest.c[...]
2007-03-15
[9]
논문
Diffusion tensor imaging segments the human amygdala in vivo
2010-02
[10]
서적
Handbook of Behavioral Neuroscience
Elsevier
2020
[11]
논문
Anatomical Connectivity of the Intercalated Cells of the Amygdala
2023
[12]
웹사이트
Amygdala
http://braininfo.rpr[...]
[13]
논문
What is the amygdala?
1998-08
[14]
논문
What is the amygdala?
1998
[15]
논문
Emotion induction after direct intracerebral stimulations of human amygdala
2007-06
[16]
서적
The Human Amygdala
Guilford Press
[17]
논문
The amygdala and the experience of affect
2007-06
[18]
논문
Amygdala contribution to selective dimensions of emotion
2007-06
[19]
서적
Differential contribution of right and left amygdala to affective information processing
IOS Press
1998
[20]
논문
The human brain age 7-11 years: a volumetric analysis based on magnetic resonance images
[21]
논문
Normal sexual dimorphism of the adult human brain assessed by in vivo magnetic resonance imaging
2001-06
[22]
논문
Sex differences in subregions of the medial nucleus of the amygdala and the bed nucleus of the stria terminalis of the rat
1992-05
[23]
논문
Developmental trajectories of amygdala and hippocampus from infancy to early adulthood in healthy individuals
[24]
논문
"The Cooties Effect": Amygdala Reactivity to Opposite- versus Same-sex Faces Declines from Childhood to Adolescence
2015-09
[25]
논문
Sex-related difference in amygdala activity during emotionally influenced memory storage
2001-01
[26]
논문
Sex-related functional asymmetry of the amygdala: preliminary evidence using a case-matched lesion approach
2009-06
[27]
논문
The amygdala and decision-making
2011-03
[28]
논문
Sex differences in the responses of the human amygdala
2005-08
[29]
논문
Optogenetic dissection of amygdala functioning
2014
[30]
논문
Optogenetic dissection of neural circuits underlying emotional valence and motivated behaviors
2013-05
[31]
논문
Revealing the ventral amygdalofugal pathway of the human limbic system using high spatial resolution diffusion tensor tractography
2016
[32]
논문
Mapping the trajectory of the amygdalothalamic tract in the human brain
2018
[33]
논문
The Cortico-Limbo-Thalamo-Cortical Circuits: An Update to the Original Papez Circuit of the Human Limbic System
2023
[34]
서적
Physiology of behavior
https://archive.org/[...]
Pearson
2012-01-12
[35]
논문
Amygdala central nucleus function is necessary for learning, but not expression, of conditioned auditory orienting
2005-02
[36]
논문
An afferent white matter pathway from the pulvinar to the amygdala facilitates fear recognition
[37]
논문
Neural connections foster social connections: a diffusion-weighted imaging study of social networks
[38]
논문
Long-term potentiation in the amygdala: a mechanism for emotional learning and memory
https://deepblue.lib[...]
1999-12-01
[39]
논문
Synaptic plasticity in the lateral amygdala: a cellular hypothesis of fear conditioning
[40]
논문
Genetics of childhood disorders: L. Learning and memory, part 3: fear conditioning
2003-05-01
[41]
서적
Physiology of Behavior
https://archive.org/[...]
Pearson
2012-01-12
[42]
서적
Physiology of Behavior
https://archive.org/[...]
Pearson
2012-01-12
[43]
논문
Modular organization of the brainstem noradrenaline system coordinates opposing learning states
2017-11-01
[44]
논문
A VTA to basal amygdala dopamine projection contributes to signal salient somatosensory events during fear learning
2020-04-01
[45]
논문
Dopamine is necessary for cue-dependent fear conditioning
2009-09-01
[46]
논문
The primate amygdala represents the positive and negative value of visual stimuli during learning
2006-02-01
[47]
논문
Bidirectional switch of the valence associated with a hippocampal contextual memory engram
2014-09-01
[48]
논문
Dissociable roles of the central and basolateral amygdala in appetitive emotional learning
2000-01-01
[49]
논문
Parallel incentive processing: an integrated view of amygdala function
2006-05-01
[50]
논문
Different types of fear-conditioned behaviour mediated by separate nuclei within amygdala
1997-07-01
[51]
논문
Attractive properties of sexual pheromones in mice: innate or learned?
2002-09-01
[52]
논문
Attraction to sexual pheromones and associated odorants in female mice involves activation of the reward system and basolateral amygdala
2005-04-01
[53]
웹사이트
Researchers Prove a Single Memory is Processed in Three Separate Parts of the Brain
https://www.scienced[...]
2018-02-28
[54]
논문
Role of norepinephrine in mediating stress hormone regulation of long-term memory storage: a critical involvement of the amygdala
1999-11-01
[55]
논문
DNA brain damage after stress in rats
2010-05-01
[56]
웹사이트
Cultivating compassion: Neuroscientific and behavioral approaches
http://ccare.stanfor[...]
2010-07-04
[57]
논문
Regulation of the neural circuitry of emotion by compassion meditation: effects of meditative expertise
2008-03-01
[58]
논문
Amygdala oscillations and the consolidation of emotional memories
2002-07-01
[59]
논문
Amygdalar enlargement associated with unique perception
2010-01-01
[60]
논문
An investigation into the functions of the occipital and temporal lobes of the monkey's brain
[61]
논문
Preliminary analysis of functions of the temporal lobes in monkeys
[62]
논문
Anterior temporal cortex and maternal behavior in monkey
1970-04-01
[63]
논문
Syndrome produced by lesions of the amygdala in monkeys (Macaca mulatta)
1981-12-01
[64]
논문
Changes in Children's Amygdala Seen After Anxiety Treatment
[65]
논문
Amygdala hyperreactivity in borderline personality disorder: implications for emotional dysregulation
https://wesscholar.w[...]
2003-12-01
[66]
논문
The amygdala and ventromedial prefrontal cortex: functional contributions and dysfunction in psychopathy
2008-08-01
[67]
논문
Association between amygdala hyperactivity to harsh faces and severity of social anxiety in generalized social phobia
2006-03-01
[68]
논문
Increased amygdala response to masked emotional faces in depressed subjects resolves with antidepressant treatment: an fMRI study
2001-11-01
[69]
논문
Amygdala and hippocampal volumes in adolescents and adults with bipolar disorder
2003-12-01
[70]
논문
Developmental deficits in social perception in autism: the role of the amygdala and fusiform face area
[71]
논문
Amygdala-prefrontal dissociation of subliminal and supraliminal fear
2006-08-00
[72]
논문
Separable neural components in the processing of black and white faces
http://nrs.harvard.e[...]
2004-12-00
[73]
논문
Intact rapid detection of fearful faces in the absence of the amygdala
2009-10-00
[74]
논문
Sexual orientation and its basis in brain structure and function
2008-07-00
[75]
논문
Sexual differentiation of the brain and behavior
2007-09-00
[76]
논문
Loving-kindness meditation increases social connectedness
2008-10-00
[77]
논문
Amygdala volume and social network size in humans
2011-02-00
[78]
잡지
How to Win Friends: Have a Big Amygdala?
https://healthland.t[...]
2010-12-28
[79]
서적
Cognitive Neuroscience of Emotion
https://books.google[...]
Oxford University Press
2019-07-01
[80]
논문
ALE meta-analysis on facial judgments of trustworthiness and attractiveness
2011-01-00
[81]
논문
Neurons in the human amygdala encode face identity, but not gaze direction
2015-11-00
[82]
논문
Amygdala processing of social cues from faces: an intracrebral EEG study
2015-11-00
[83]
서적
The Human Amygdala
Guilford
[84]
논문
Personal space regulation by the human amygdala
2009-10-00
[85]
웹사이트
Event: Sweat in the City: The Sequel!
http://www.manifesty[...]
2014-10-09
[86]
웹사이트
Unit 4: The Nervous System
http://www.saylor.or[...]
2008-00-00
[87]
논문
The human amygdala and the induction and experience of fear
2011-01-00
[88]
논문
Urbach-Wiethe disease (Lipoid proteinosis)
1998-04-00
[89]
논문
Review. Cognitive and emotional consequences of binge drinking: role of amygdala and prefrontal cortex
2008-10-00
[90]
논문
Alcoholism and dampened temporal limbic activation to emotional faces
2009-11-00
[91]
논문
Protein kinase C and alcohol addiction
2007-06-00
[92]
논문
Amygdala protein kinase C epsilon controls alcohol consumption
2009-07-00
[93]
논문
Cognitive and emotional consequences of binge drinking: role of amygdala and prefrontal cortex
2008-10-12
[94]
논문
Separation-induced receptor changes in the hippocampus and amygdala of Octodon degus: influence of maternal vocalizations
2003-06-00
[95]
논문
Acute corticosterone treatment is sufficient to induce anxiety and amygdaloid dendritic hypertrophy
[96]
논문
Expression of chimeric estrogen-glucocorticoid-receptor in the amygdala reduces anxiety
[97]
논문
The role of the amygdala in fear and anxiety
[98]
서적
Physiology of Behavior
https://archive.org/[...]
Pearson
2012-01-12
[99]
논문
Elevated amygdala responses to emotional faces in youths with chronic irritability or bipolar disorder
2013-01-00
[100]
논문
Dissociable patterns of medial prefrontal and amygdala activity to face identity versus emotion in bipolar disorder
2012-09-00
[101]
웹사이트
amygdala
http://www.sci.uidah[...]
[102]
논문
Cytoarchitectonic mapping of the human amygdala, hippocampal region and entorhinal cortex: intersubject variability and probability maps
[103]
웹사이트
The Amygdala and the Emotions
http://www.benbest.c[...]
[104]
웹사이트
Amygdala
http://braininfo.rpr[...]
[105]
논문
What is the amygdala?
[106]
저널
Amygdala central nucleus function is necessary for learning but not expression of conditioned visual orienting
http://www.pubmedcen[...]
2007-03-15
[107]
저널
Genetics of Childhood Disorders: L. Learning and Memory, Part 3: Fear Conditioning
http://info.med.yale[...]
2003-05
[108]
저널
The primate amygdala represents the positive and negative value of visual stimuli during learning
https://www.nature.c[...]
2005-11-25
[109]
기타
[110]
뉴스
Long-Term Benzodiazepines for Anxiety Linked to Adverse Events
http://www.clinicalp[...]
2012-04-27
[111]
웹사이트
Benzodiazepine Use and CBT
http://www.abstracts[...]
2012-04-13
[112]
웹사이트
Researchers Prove A Single Memory Is Processed In Three Separate Parts Of The Brain
http://www.scienceda[...]
University Of California
2006-02-02
[113]
저널
Role of norepinephrine in mediating stress hormone regulation of long-term memory storage: a critical involvement of the amygdala
[114]
저널
Different types of fear-conditioned behaviour mediated by separate nuclei within amygdala
[115]
저널
An investigation into the functions of the occipital and temporal lobes of the monkey's brain.
[116]
저널
Preliminary analysis of function of the temporal lobe in monkeys.
[117]
저널
Anterior temporal cortex and maternal behaviour in monkey.
[118]
저널
Syndrome produced by lesions of the amygdala in monkeys (Macaca mulatta).
[119]
저널
Amygdala hyperreactivity in borderline personality disorder: implications for emotional dysregulation.
[120]
웹사이트
Studying Brain Activity Could Aid Diagnosis Of Social Phobia
http://www.scienceda[...]
Monash University
2006-01-19
[121]
저널
Increased amygdala response to masked emotional faces in depressed subjects resolves with antidepressant treatment: an fMRI study.
[122]
저널
Amygdala and hippocampal volumes in adolescents and adults with bipolar disorder
[123]
저널
Developmental deficits in social perception in autism: the role of the amygdala and fusiform face area
[124]
저널
Behavioral changes induced by Toxoplasma infection of rodents are highly specific to aversion of cat odors
[125]
웹사이트
대한의협 의학용어 사전
https://www.kmle.co.[...]
[126]
저널
Cytoarchitectonic mapping of the human amygdala, hippocampal region and entorhinal cortex: intersubject variability and probability maps
2005-12
[127]
웹인용
amygdala
http://www.sci.uidah[...]
2007-03-15
[128]
저널
An investigation of the structural, connectional, and functional subspecialization in the human amygdala
2013
[129]
저널
Emotional circuits in the brain
[130]
저널
Evolutionary development of the amygdaloid complex
2013
[131]
저널
Topographic organization of neurons in the acoustic thalamus that project to the amygdala
[132]
저널
Cortical pathways to the mammalian amygdala
[133]
저널
Topographical projection from the hippocampal formation to the amygdala: a combined anterograde and retrograde tracing study in the rat
[134]
저널
A PHA-L analysis of ascending projections of the dorsal raphe nucleus in the rat
[135]
저널
Effect of electrical stimulation of the baso-lateral amygdala nucleus on defensive burying shock probe test and elevated plus maze in rats
[136]
저널
Regulation of anxiety by GABAA receptor in the rat amygdala
[137]
저널
Blocking of acquisition but not expression of conditioned fear potentiated startle by NMDA antagonists in the amygdala
[138]
저널
Effects of intra-amygdala injections of NMDA antagonists on acquisition and retention of inhibitory avoidance
[139]
저널
Infusion of the non-NMDA receptor antagonist CNQX into the amygdala blocks the expression of fear-potentiated startle
[140]
저널
The inactivation of the basolateral nucleus of the rat amgydala has an anxiolytic effect in the elevated T-maze and light/dark transition tests
[141]
논문
Excitatory amino acid receptors in the basolateral amygdala regulate anxiety responses in the social interaction test
1997
[142]
웹인용
고통을 제어하는 뇌 영역 찾아냈다 – Sciencetimes
https://www.sciencet[...]
2021-05-26
[143]
웹인용
늙어도 철 안 드는 ‘피터팬’ 뇌세포 발견 – Sciencetimes
https://www.sciencet[...]
2019-07-19
본 사이트는 AI가 위키백과와 뉴스 기사,정부 간행물,학술 논문등을 바탕으로 정보를 가공하여 제공하는 백과사전형 서비스입니다.
모든 문서는 AI에 의해 자동 생성되며, CC BY-SA 4.0 라이선스에 따라 이용할 수 있습니다.
하지만, 위키백과나 뉴스 기사 자체에 오류, 부정확한 정보, 또는 가짜 뉴스가 포함될 수 있으며, AI는 이러한 내용을 완벽하게 걸러내지 못할 수 있습니다.
따라서 제공되는 정보에 일부 오류나 편향이 있을 수 있으므로, 중요한 정보는 반드시 다른 출처를 통해 교차 검증하시기 바랍니다.
문의하기 : help@durumis.com
