췌장암
"오늘의AI위키"의 AI를 통해 더욱 풍부하고 폭넓은 지식 경험을 누리세요.
1. 개요
췌장암은 췌장에서 발생하는 악성 종양으로, 췌장의 외분비 세포에서 발생하는 췌관선암종이 가장 흔한 형태이다. 췌장암은 췌장의 종류에 따라 외분비 종양과 신경내분비 종양으로 분류되며, 췌관암, 췌장 내분비 종양, 췌관 내 유두 점액성 종양 등이 있다. 초기 증상이 거의 없어 늦게 발견되는 경우가 많으며, 상복부 통증, 황달, 체중 감소, 당뇨병 등의 증상이 나타날 수 있다. 진단은 초음파, CT, MRI 등의 영상 검사, 혈청 종양 표지자 검사, 생검 등을 통해 이루어지며, 병기는 종양의 크기, 림프절 전이, 전이 여부에 따라 결정된다. 치료는 수술, 화학 요법, 방사선 치료, 완화 치료 등을 병행하며, 췌장 신경내분비 종양은 소마토스타틴 유사체, 표적 치료, 방사성 동위 원소 치료 등이 사용된다. 췌장암은 예후가 매우 좋지 않아 5년 생존율이 낮으며, 흡연, 비만, 유전적 요인 등이 위험 요인으로 작용한다.
더 읽어볼만한 페이지
- 췌장암 - 췌장 신경내분비종양
췌장 신경내분비종양(PanNET)은 췌장에서 발생하는 드문 종양으로, 분화도와 공격성에 따라 양성과 악성으로 나뉘며, 생성하는 호르몬에 따라 다양한 유형으로 분류되고, 복통, 요통, 설사, 황달 등의 증상을 유발할 수 있으며, 영상 검사, 호르몬 수치 측정, 생검을 통해 진단하고, 수술, 약물 치료, 표적 치료 등으로 치료하며, 유전적 요인과 관련될 수 있습니다. - 췌장암 - 신경내분비 종양
신경내분비 종양은 호르몬을 생성 및 분비하는 신경내분비 세포에서 기원하며, 위장관, 췌장, 폐 등 다양한 부위에서 발생하고, 종양의 등급, 병기, 해부학적 분포에 따라 분류되며, 수술, 약물, 방사성핵종 치료 등 다양한 방법으로 치료한다. - 소화기 신생물 - 간세포암
간세포암은 간에서 발생하는 악성 종양으로, 만성 간 질환 환자에게서 주로 발생하며, 다양한 원인과 위험 요인에 의해 발생하고, 복통, 황달 등의 증상이 나타날 수 있으며, 수술, 간 이식 등의 치료 방법이 사용되고, 예방을 위해 B형 간염 예방 접종 등이 중요하다. - 소화기 신생물 - 쓸개암
쓸개암은 담낭에 발생하는 악성 종양으로, 초기 증상이 미미하여 진단이 어렵고, 여성, 고령, 비만, 담석증 등의 위험 요인이 있으며, 영상 검사 및 생검을 통해 진단하고 수술, 항암화학요법 등으로 치료하며, 예후는 좋지 않지만 조기 발견과 치료가 중요하고, 발생률은 낮으나 특정 지역에서 높게 나타난다. - 암 - 피부암
피부암은 피부 세포에서 발생하는 악성 종양으로, 자외선 노출, 유전적 요인, 면역 저하 등이 원인이 되며 기저세포암, 편평상피세포암, 흑색종으로 나뉘고 조기 발견과 자외선 차단이 중요하다. - 암 - 자궁경부암
자궁경부암은 인유두종바이러스 감염이 주원인인 자궁 경부의 악성 종양으로, 초기에는 증상이 미미하지만 진행 시 질 분비물 증가, 성교통, 골반통이 나타날 수 있으며, 자궁경부 세포진 검사, 조직 생검 등으로 진단하고 수술, 방사선 치료, 항암 치료 등으로 치료하며, HPV 백신 접종과 정기 검진으로 예방이 가능하다.
2. 종류
췌장암은 발생하는 세포의 종류에 따라 여러 가지로 나뉜다. 크게 췌장의 외분비 부분에서 발생하는 암과 내분비 부분에서 발생하는 암으로 구분할 수 있다.
- 외분비 종양: 췌장암의 95% 정도를 차지하며, 소화 효소를 생산하는 췌장의 외분비 세포에서 발생한다.
- 신경내분비 종양: 췌장암의 소수(5% 미만)를 차지하며, 호르몬을 생산하는 췌장의 내분비 세포에서 발생한다. 췌장신경내분비종양(PanNETs)이라고도 불린다.
췌장암은 발생하는 부위에 따라서도 다음과 같이 분류된다.
또한, 췌장암은 췌장의 모든 조직에서 발생할 수 있지만, 각기 완전히 다른 성질을 나타내는 종양이 된다.
- '''침윤성 췌관암'''(Invasive ductal carcinoma): 췌장암의 약 90%를 차지하는 대표적인 조직형으로, 통상형 췌장암이라고도 불린다. 췌관에서 유래한다.
- '''췌장 내분비 종양'''(pancreatic endocrine tumor[155]): 내분비선(랑게르한스섬)에서 유래하며, 약 80%가 어떤 호르몬을 생산한다. 통상형 췌장암에 비해 항암제가 잘 듣지 않지만 진행은 완만하다.
- '''췌관 내 유두 점액성 종양'''(intraductal papillary-mucinous neoplasms영어, 약칭: IPMNs)[156]): 췌관 상피에서 발생하는 종양으로, 췌관 내 발육과 점액 생산을 특징으로 한다. 일반적으로 악성도가 낮아 경과 관찰이 가능하지만, 악성화 소견이 있는 것은 수술 치료의 대상이 된다.
- '''점액성 낭성 종양'''(mucinous cystic tumors영어, 약칭: MCTs): 점액을 갖는 대형·다방성 낭성 병변으로, 중년 여성에게서 호발한다. 악성도가 높고, 통상형 췌장암에 준하는 치료가 이루어진다.
- '''선방세포암''': 선방에서 유래하는 비교적 드문 종양이다.
- '''그 외 드문 조직형''': Solid-pseudopapillary carcinoma, 미분화암, 장액성 낭선암(극히 드묾), 전이성 췌장암 등.
2. 1. 외분비 종양
췌장암에는 많은 종류가 있으며 크게 두 그룹으로 나눌 수 있다. 95% 정도를 차지하는 대다수 췌장암은 소화효소를 생산하는 췌장의 외분비 부분에서 발생한다. 외분비 췌장암의 여러 아형이 있지만, 진단이나 치료는 서로 간에 공통점이 많다.

외분비 췌장암은 대개 췌장의 선암종이며, 전체 췌장암의 85% 정도를 차지한다.[169] 이 중 거의 대부분은 췌관에서 발생하므로 '''췌관선암종'''(pancreatic ductal adenocarcinoma. PDAC)이라고 한다.[187] 췌관선암종이 발생하는 췌관의 상피는 췌장 안의 관만을 구성하기 때문에, 세포 부피로 따졌을 때는 전체 췌장의 10% 미만을 차지한다.[188] 췌관선암종은 췌장의 분비물, 가령 효소나 중탄산염 등을 운반하여 내보내는 췌관에서 발생한다. 선암종의 60~70%는 췌장의 머리에서 시작된다.[169]
다음으로 흔한 췌장세엽세포암종(acinar cell carcinoma)은 효소를 만들어내는 세포 무리에서 발생하며, 전체 외분비 췌장암의 약 5%를 차지한다.[189] 췌장세엽세포암종은 소화효소 같은 특정 분자를 과다하게 생산하도록 만들어 피부의 발진이나 관절통 등 여러 증상을 유발할 수 있다.
낭선암종(cystadenocarcinoma)은 전체 췌장암의 1% 정도를 차지하며, 다른 외분비 췌장암보다는 나은 예후를 보인다.[189]
췌모세포종(pancreatoblastoma)은 드문 췌장암으로 대부분 소아에서 발생하며, 비교적 좋은 예후를 보인다. 다른 외분비 췌장암에는 선편평세포암종(adenosquamous carcinoma), 반지세포암종(signet ring cell carcinoma), 간세포양암종(hepatoid carcinoma), 콜로이드성암종, 미분화암종, 파골세포양 거대세포가 동반된 미분화암종 등이 있다. 고형 가유두성 종양(solid pseudopapillary tumor)은 드문 저등급 신생물로 주로 젊은 여성에서 발병하며, 일반적으로 예후가 아주 좋다.[169][190]
췌장 점액성 낭성 종양(pancreatic mucinous cystic neoplasm)은 췌장 종양의 광범위한 집단으로 그 악성도가 다양하다. CT 스캔이 성능이 좋아지고 널리 이용되며 발견 빈도가 크게 증가하였고, 췌장 점액성 낭성 종양을 어떻게 가장 잘 접근 및 치료할지 토론이 이어지고 있다. 그 결과 이들 중 다수가 양성이라는 결론이 내려졌다.[191]
2. 2. 신경내분비 종양
췌장의 다른 부분에서 발생하는 소수의 췌장암은 대부분 췌장신경내분비종양(PanNETs)이다.[192] 신경내분비종양(NETs)은 신경계와 내분비계를 통합하는 역할을 하는 우리 몸의 신경내분비세포에서 시작되는 종양으로, 양성종양과 악성종양이 다양하게 섞여 있다. 신경내분비종양은 췌장을 포함한 신체 장기 대다수에서 발병할 수 있으며, 다양한 악성 종양이 있지만 악성의 경우 모두 희귀병에 속한다.췌장신경내분비종양은 호르몬을 생산하는 정도에 따라 '기능성'과 '비기능성'으로 나눌 수 있다. 기능성 신경내분비종양은 인슐린, 가스트린, 글루카곤과 같은 호르몬을 혈액 내로 분비하며, 종종 분비하는 양이 많다. 분비량이 대량인 경우 저혈당증 같은 심각한 증상의 원인이 되기도 하지만, 비교적 빠른 진단을 용이하게 할 수도 있다. 가장 흔한 기능성 췌장신경내분비종양은 인슐린종과 가스트린종으로, 각각 분비하는 호르몬에 따라 이름이 붙여진 것이다. 비기능성 종양은 명백한 임상 증상을 유발할 만큼 유의미한 양의 호르몬을 분비하지 않는 종양으로, 따라서 몸의 다른 부분으로 암이 퍼진 다음에야 진단되는 경우가 자주 있다.[194]
다른 신경내분비종양과 마찬가지로, 췌장신경내분비종양에 관한 용어와 분류의 역사는 복잡하다.[192] 췌장신경내분비종양은 "섬세포암"(islet cell cancers) 같은 다른 용어로 불리기도 했지만,[193] 이전에 생각했던 것과 달리, 췌장신경내분비종양은 실제로는 섬세포에서 발병하지 않는 것으로 현재 알려져 있다.[194]
3. 증상
췌장암은 초기에는 특별한 증상이 나타나지 않아 조기 발견이 어렵다. 대부분 암이 췌장 바깥으로 퍼진 후에야 진단되며, 이는 췌장암 생존율이 낮은 주요 원인 중 하나이다.[195] 다만 기능성 췌장신경내분비종양은 활성 호르몬을 과다 분비하여 다양한 증상을 일으킬 수 있다.[196]
췌장선암종의 흔한 증상은 다음과 같다.
- 상복부 통증 또는 등 통증: 배에서 등으로 퍼지는 양상으로 나타나며, 종양 위치에 따라 통증 부위가 달라질 수 있다. 밤에 심해지고 시간이 지날수록 심해지는 경향이 있으며, 몸을 앞으로 굽히면 통증이 완화되기도 한다.[189] 영국의 경우 췌장암 신규 환자의 약 절반이 통증이나 황달로 응급실을 방문하며, 전체 환자의 2/3 정도에서 복통이 주 증상이고, 46%는 복통과 황달이 동반되며, 13%는 통증 없이 황달만 나타난다.[170]
- 황달: 눈의 흰자위(공막)나 피부가 노랗게 변하고 소변 색이 짙어지는 증상이다. 췌장 머리 부분에 생긴 암이 총담관을 막아 발생한다.[197]

- 식욕부진, 소화불량으로 인한 체중 감소 (악액질): 종양이 주변 장기를 압박하여 소화 과정을 방해하고 구역질과 더부룩함을 유발할 수 있다. 소화되지 않은 지방은 악취가 나는 지방변의 원인이 되기도 한다.[170] 변비도 흔하게 나타난다.[199]
- 당뇨병: 췌장선암종 환자의 최소 50%는 진단 당시 당뇨병을 동반한다.[169] 장기간의 당뇨병은 췌장암의 위험 요인이지만, 췌장암 자체가 당뇨병을 유발할 수도 있다. 50세 이상에서 새롭게 당뇨병이 발생한 경우 3년 안에 췌장선암종이 발생할 위험이 일반인보다 8배 높다.[170]
- 트루소증후군: 문맥, 심부정맥, 표재정맥 등에서 혈전이 형성되는 징후로, 췌장암 환자의 10% 정도에서 나타난다.[171]
- 임상적 우울증: 췌장암 환자의 10~20%에서 나타나며, 암 진단 이전에 발생하는 경우도 있다.[171]
- 기타 증상: 쇠약, 피로감, 구강건조증, 수면 문제, 촉진 가능한 복부 종괴 등이 있다.[199]
췌장암이 다른 장기로 전이되면 다양한 증상이 나타날 수 있다. 주로 림프절, 간, 복강, 대장, 폐 등으로 전이되며, 드물게 뼈나 뇌로 전이되기도 한다.[171][200]

4. 원인 및 위험 요인
췌장암의 발병 위험은 나이가 들수록 증가하며, 대다수가 65세 이상에서 발병한다.[176] 40세 이전에 발병하는 사례는 드물다. 여성보다 남성에게서 약간 더 많이 발생한다.[176] 흡연은 췌장암의 가장 확실한 위험 요인 중 하나로, 장기간 흡연자는 발병 위험이 약 2배 증가하며, 흡연량과 기간에 따라 위험이 더 커진다.[204] 담배를 끊으면 발병 위험은 서서히 감소하여 비흡연자와 비슷한 수준이 되려면 약 20년이 걸린다.[204]
비만의 경우, 체질량지수(BMI)가 35보다 크면 췌장암의 상대위험도가 절반 정도 증가한다.[170][205] 췌장암의 5~10%는 유전성 요소를 가지며, 췌장암 가족력이 있는 경우 발병 위험이 증가한다.[169][206] 특히 부모, 자식, 형제와 같은 1차 가족 중 두 명 이상이 췌장암을 앓았다면 발병 위험이 크게 증가한다.[195]
만성 췌장염은 췌장암 발병 위험을 거의 3배 높이며, 당뇨병과 유사하게 새로 발생한 췌장염이 췌장암의 징후일 수 있다.[171] 당뇨병 또한 췌장암의 위험 요인이며, 새로 발생한 당뇨병은 췌장암의 초기 징후일 수 있다. 제2형 당뇨병을 10년 이상 앓은 사람은 당뇨병이 없는 사람보다 췌장암 발생 위험이 50% 증가한다.[171]
가공육, 적색육, 고온에서 조리한 고기 등이 췌장암 발생 위험을 약간 높일 수 있다는 일부 근거가 있다.[210][211] 과도한 알코올 섭취는 만성 췌장염의 주요 원인이며, 이는 췌장암으로 이어질 수 있다. 그러나 알코올 섭취가 췌장암을 직접 일으킨다는 확실한 증거는 아직 없다. 많은 연구에서 흡연이 교란변수로 작용하여 알코올과 췌장암 간의 약한 연관성을 보였다.[171][212]
일본에서는 흡연, 음주, 비만, 운동 부족, 장기간의 당뇨병, 소프트 드링크와 100% 과일 주스 섭취, 비발효성 대두 식품 섭취, 비유전성 만성 췌장염, O형 이외의 혈액형 등이 췌장암 발병 위험 인자로 알려져 있다.[144][145][146][147][148][149]
유전적 요인으로는 유전성 췌장염, 가족성 비정형 다발 모반 흑색종 증후군(FAMMM), 유전성 유방암 난소암 증후군, 포이츠-예거스 증후군, 유전성 비폴립증 대장암(HNPCC, 린치 증후군), 모세혈관 확장성 운동 실조증, 리-프라우메니 증후군 등이 췌장암 발생과 관련이 있다.[150][151]
5. 진단
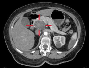
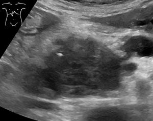
췌장의 관찰을 위한 초음파검사와 전산화단층촬영(CT), 자기공명영상(MRI)을 실시하고, 췌관과 담관의 형태를 내시경을 통해 살펴보는 내시경적 역행성담췌관조영술(ERCP), 내시경적 초음파검사(EUS)를 실시한다. 이 외에 양성자방출단층촬영(PET), 혈청 종양표지자, 복강경검사 등을 통해 검사하여 진단한다. 조기증상이 잘 나타나지 않기 때문에 황달이나 장기폐색이 진행되어 증상이 나타나는 말기에 주로 발견된다.[3][12][4][36][37]
의학 영상 기술인 컴퓨터 단층 촬영(CT 스캔) 및 내시경 초음파 (EUS)는 진단을 확인하고 종양의 외과적 절제 가능성("절제 가능성")을 결정하는 데 사용된다.[4] 조영 CT 스캔에서 췌장암은 정상 췌장에서 보이는 빠른 소실이나 만성 췌장염에서 보이는 지연된 소실과 달리 점진적으로 증가하는 조영제 섭취를 일반적으로 보여준다.[56] 자기 공명 영상 및 양전자 방출 단층 촬영도 사용될 수 있으며,[3] 자기 공명 담관 췌장 조영술이 일부 경우에 유용할 수 있다.[54] 복부 초음파는 덜 민감하며 작은 종양을 놓치지만, 간으로 전이된 암과 복강 내 체액 축적(복수)을 식별할 수 있다.[4] 다른 기술 전에 빠르고 저렴한 첫 번째 검사에 사용할 수 있다.[70]

세침 흡인 검사에 의한 생검은 내시경 초음파로 유도되는 경우가 많으며, 진단에 대한 불확실성이 있을 때 사용할 수 있지만, 조직학적 진단은 일반적으로 수술로 종양을 제거하는 데 필요하지 않다.[4]
간 기능 검사는 담관 폐쇄를 나타내는 결과의 조합을 보여줄 수 있다(상승된 결합 빌리루빈, γ-글루타밀 트랜스퍼라제 및 알칼리성 인산분해효소 수치). CA19-9 (탄수화물 항원 19.9)는 췌장암에서 자주 증가하는 종양 표지자이다. 그러나 민감도와 특이도가 부족하며, 특히 5%의 사람들이 루이스(a) 항원이 없어 CA19-9를 생성할 수 없기 때문이다. 췌장 선암종을 감지하는 데 80%의 민감도와 73%의 특이도를 가지며, 진단보다는 알려진 사례를 추적하는 데 사용된다.[3][4]
췌장암 환자는 모두 유전자 검사를 받아야 하며, 고위험 종양 발생 돌연변이가 예후 정보를 제공할 수 있고 특정 고위험 특징을 가진 돌연변이의 경우 일차 친족도 유전자 검사를 받아야 한다.[51]
평가를 위해 다음과 같은 영상 검사를 수행한다.
; 초음파 검사
: 일반적으로 건강 검진에 사용된다. 전형적인 췌관암은 경계가 불분명하고 불규칙한 저에코 영역으로 묘사된다. 췌두부의 암에서는 주췌관이나 담관의 확장도 관찰된다.
; CT
: 비조영 검사에서는 임상적으로 유용한 정보가 부족하기 때문에 일반적으로 동적 조영을 실시한다. 췌장암은 혈류가 부족한 경우가 많으므로, 조영 초기(동맥상)에는 췌 실질보다 조영 불량 영역으로 묘사된다. 조영 후기(평형상)에는 췌 실질과 비슷한 정도의 조영 효과를 나타내어 불분명해진다. 한편, 췌내분비 종양은 혈류가 풍부하기 때문에 조영 초기부터 강하게 증강된다. 또한, 주변으로의 침윤 소견이나 림프절 전이, 원격 전이의 평가도 가능하다.
; MRI
: 담관·췌관을 묘사하는 MRCP 영상에서는 췌관의 불규칙함이나 협착, 단절을 평가할 수 있다. 조영 MRI에서도 조영 CT와 동일한 평가가 가능하다.
; FDG-PET
: 암에 일치하여 이상 집적이 관찰되지만, 염증과의 감별은 종종 어렵다.
; 내시경적 역행성 담도 췌관 조영술 (ERCP)
: 특수한 내시경으로 담관과 췌관을 직접 조영하는 방법이다. 췌관암에서는 췌관의 불규칙한 협착이나 단절이 관찰되며 세포진 검사를 시행할 수 있다. 합병증으로 췌장염을 일으킬 수 있다.
; 초음파 내시경 (EUS)
: 선단에 초음파 탐촉자가 달린 내시경을 사용하여, 위 내나 십이지장 내에서 관찰하는 초음파 검사. 종양의 천자 세포진 검사도 시행할 수 있다.
6. 병기
췌장암의 병기는 CT 스캔을 통해 결정된다.[54] 췌장암에 널리 사용되는 병기 시스템은 미국 암 연합 위원회(AJCC)와 국제 암 관리 연합(UICC)이 공동 개발한 것이다. AJCC-UICC 병기 시스템은 종양 크기('''T'''), 림프절 전이('''N'''), 전이('''M''')를 അടിസ്ഥാന으로 한 TNM 분류에 따라 초기 단계부터 진행성 질환까지 4가지 주요 병기를 지정한다.[62]
치료 방법을 결정하기 위해 종양은 수술적 제거 가능성에 따라 "절제 가능", "경계성 절제 가능", "절제 불가능"의 세 가지 범주로 나뉜다.[63] 초기 단계(AJCC-UICC I 및 II 병기)이고, 큰 혈관이나 원격 장기로의 전이가 없으면 일반적으로 종양의 수술적 절제가 가능하다.[4]
AJCC-UICC 병기 시스템은 "경계성 절제 가능"(T3)과 "절제 불가능"(T4)을 구분한다.[5]
국소적으로 진행된 선암종은 인접 장기(십이지장, 위, 가로결장, 비장, 부신, 신장)로 전이될 수 있다.[64] 췌장 근처 혈관, 림프관, 신경으로 전이되어 수술이 어려워지기도 한다. 전이의 전형적인 부위는 간, 복강, 폐이다.[64]
2010년 WHO는 췌장 신경내분비 종양(PanNETs)을 세포 분화 정도에 따라 3가지 범주로 분류했다.[22] 국립종합암네트워크는 췌장 선암종과 동일한 AJCC-UICC 병기 시스템을 사용하도록 권장한다.[92] 유럽 신경내분비 종양 학회는 PanNETs에 대한 다른 TNM 시스템을 제안했다.[22]
일본췌장학회의 췌장암 취급 규약은 제7판부터 UICC 분류와 정합성을 맞추는 형태로 변경되었다.[160]
진행도에 따라 수술, 전신 화학 요법, 방사선 치료, 또는 이들의 조합이 시행된다. 치료 관점에서 3단계로 나뉜다.
7. 치료
췌장암 치료는 외과적 수술, 방사선 치료, 항암제 요법을 복합적으로 실시하는 것이 일반적이다. 췌장암은 수술을 통해서만 완치가 가능하기 때문에, 종양의 외과적 제거 가능 여부가 매우 중요하다.
외과적 치료암의 위치와 진행 정도에 따라 췌장 전체를 절제해야 하는 경우도 있으며, 암을 제거할 수 없는 경우에는 음식 섭취를 돕기 위해 위와 장을 연결하거나 황달을 막기 위해 담관과 장을 연결하는 수술을 시행하기도 한다.
췌장 머리 부분에 암이 발생한 경우, 휘플 수술이 가장 흔히 시행되는 완치 목적의 수술이다. 이 수술은 췌장 머리와 십이지장 일부를 제거하고, 음식이 위에서 공장으로 바로 이동하도록 연결하며, 담즙 배출을 위해 담관과 공장을 연결하는 복잡한 수술이다. 췌장 꼬리 부분의 암은 원위 췌장 절제술을 통해 제거하며, 비장 절제술을 함께 시행하는 경우가 많다. 최근에는 복강경 수술을 통해 이러한 수술을 시행하기도 한다.[3][5]
수술이 성공적으로 보이더라도, 현미경 검사에서 암세포가 남아있는 경우가 종종 있어 암이 완전히 제거되지 않았음을 나타내기도 한다.[3]
화학 요법수술 가능 여부와 관계없이 대부분의 환자에게 화학 요법이 시행된다. 수술 후에는 젬시타빈 또는 5-FU를 이용한 보조 화학 요법을 시행하여 재발을 방지하고 생존율을 높인다.[31][70] 수술이 불가능한 환자의 경우에도 화학 요법을 통해 생명을 연장하거나 삶의 질을 향상시킬 수 있다.[5]
젬시타빈은 1997년 미국 식품의약국(FDA)의 승인을 받은 이후 오랫동안 표준 치료법으로 사용되었으며, 엘로티닙과의 병용 요법은 생존율을 약간 증가시키는 것으로 나타나 2005년 FDA 승인을 받았다.[88] FOLFIRINOX 화학 요법은 젬시타빈보다 효과적이지만 부작용이 심하여 환자 상태에 따라 신중하게 선택해야 한다.[89]
방사선 치료방사선 치료는 수술 후 보조 치료나 종양 축소 목적으로 사용될 수 있지만, 그 효과에 대해서는 논란이 있다.[5]
기타 치료췌장 신경내분비 종양(PanNETs)의 경우, 종양의 크기와 위치, 전이 여부에 따라 수술, 소마토스타틴 유사체 약물 치료, 표적 치료, 핵의학 치료 등 다양한 치료 방법을 적용할 수 있다.
완화 치료완화 치료는 암으로 인한 통증, 메스꺼움 등의 증상을 완화하고 삶의 질을 개선하는 데 중점을 둔 치료이다. 췌장암은 진행된 단계에서 발견되는 경우가 많아 완화 치료가 중요한 역할을 한다.[108] 통증 관리를 위해 오피오이드나 복강 신경총 차단술(CPB)을 시행할 수 있으며, 장 폐쇄나 담즙 배액 문제 해결을 위해 스텐트 삽입 등의 시술을 하기도 한다.[54]
8. 예후
췌장암은 발견이 어렵고 진행이 빨라 예후가 매우 좋지 않다.[163] 췌장은 "침묵의 장기"라고 불릴 정도이다.[164] 5년 생존율은 부위별 암 중에서 가장 낮아 5%에 불과하다.[163]
췌장 선암종 및 다른 덜 흔한 외분비암은 보통 암이 이미 국소적으로 진행되었거나 신체의 다른 부위로 전이되었을 때 늦은 단계에서 진단되기 때문에 예후가 매우 좋지 않다.[3] PanNET(췌장 신경내분비 종양)의 경우 결과가 훨씬 더 좋지만,[63] 예후는 유형에 따라 크게 다르다.[111] 수술로 치료할 수 없는 경우에도 평균 5년 생존율은 16%이다.[63]
국소적으로 진행된 췌장 선암종과 전이성 췌장 선암종은 전체 사례의 80% 이상을 차지하며, 여러 화학 요법 요법을 비교하는 임상 시험에서 생존 기간이 연장되었지만 1년을 넘지는 못했다.[3][86] 미국의 췌장암 전체 5년 생존율은 1975~1977년에 진단된 사례에서 2%에서 1987~1989년 진단에서 4%로, 2003~2009년에는 6%로 개선되었다.[112] 국소적이고 작은 암 덩어리(T1기에서 2cm 미만)로 진단된 췌장 선암종의 20% 미만에서 미국인의 약 20%가 5년까지 생존한다.[19]
환자의 20%(UICC TNM 분류 1, 2기)가 외과 절제 대상이지만, 림프절 전이가 빠른 단계에서 나타나 절제가 이루어진 경우에도 약 70%가 재발한다.
약 1500개의 유전자가 췌장 선암종의 결과와 관련이 있다. 여기에는 발현이 높을 경우 불량한 결과와 관련된 불리한 유전자(예: C-Met, MUC-1)와 발현이 높을 경우 생존율이 더 좋은 유리한 유전자(예: 전사 인자 PELP1) 등이 포함된다.[49][50]
9. 예방
완치가 어렵기 때문에 발병 위험 요인을 줄여 예방하는 것이 좋다. 고지방식이나 고열량식, 육식 위주의 식습관을 줄이고 흡연, 음주, 화학 물질 노출을 멀리해야 한다. 만성 췌장염에 대한 적극적인 치료도 중요하다.[5] 과거에는 의학 기술로도 치료가 어려웠지만, 최근 의학 연구 발전으로 췌장암 3~4기라도 항암 치료로 암 크기를 줄이고 전이된 부분을 줄여 절제 수술을 통해 생명을 연장하는 경우가 있으나, 이는 소수에 불과하다. 췌장암은 여전히 사망률 1위의 암이므로 개인의 건강 관리를 통한 예방과 주기적인 검진을 통한 조기 발견이 중요하다.
흡연을 하지 않는 것 외에, 미국 암 학회는 건강한 체중을 유지하고 과일, 채소, 통곡물 섭취를 늘리는 동시에 붉은 육류와 가공육 섭취를 줄일 것을 권장한다. 그러나 이것이 췌장암을 특별히 예방하거나 줄이는지에 대한 일관된 증거는 없다.[66] 2014년 연구에서는 감귤류와 커큐민 섭취가 췌장암 위험을 감소시키는 증거가 있으며, 통곡물, 엽산, 셀레늄, 그리고 튀기지 않은 생선 섭취 역시 긍정적인 영향을 미칠 수 있다는 결론을 내렸다.[45]
일반인 대상 대규모 선별 검사는 2019년 기준으로 효과적이지 않고 해로울 수 있다.[67] 그러나 새로운 기술과 매우 좁은 대상 집단을 대상으로 하는 선별 검사가 평가되고 있다.[68][69] 유전적 요인으로 고위험군에 속하는 사람들에게는 내시경 초음파 검사 및 MRI/CT 영상 검사를 통한 정기적인 선별 검사가 권장된다.[31][70][69][71]
2019년 메타 분석 결과 아스피린 사용이 췌장암 발생 위험과 부정적인 관련이 있을 수 있지만, 췌장암 사망률과는 유의미한 관련이 없는 것으로 나타났다.[72]
히로시마현오노미치 지역에서는 2007년부터 췌장암 위험 인자가 여러 개인 사람에게 초음파 검사를 실시하여 이상 소견이 있는 경우, 비침습적인 검사를 추가로 받게 하여 조기 발견 및 치료로 연결하는 노력을 실시하고 있으며, 다른 지역으로도 확산되어 "오노미치 방식"이라고 불린다.[158]
미국 예방 의학 전문 위원회(USPSTF)는 2019년 8월 6일, 췌장암 검진에 관한 유익성과 유해성을 검토한 결과, 증상이 없는 성인에 대한 췌장암 검진을 권장하지 않는다는 성명을 발표했다.[159]
10. 유명인
세계적인 성악가 루치아노 파바로티, 탤런트 김주승, 배우 패트릭 웨인 스웨이지, 바베이도스의 총리 데이비드 톰프슨, 애플의 전 CEO 스티브 잡스, 건반 연주자 존 로드, 대한민국의 배우 진도희, 김영애, 대한민국의 성우 박상일 등이 이 병으로 세상을 떠났다.
다음은 췌장암으로 사망한 유명인의 목록이다.
참조
[1]
논문
Global, regional, and national incidence, prevalence, and years lived with disability for 310 diseases and injuries, 1990–2015: a systematic analysis for the Global Burden of Disease Study 2015
2016-10
[2]
웹사이트
What Is Cancer? Defining Cancer
http://www.cancer.go[...]
National Cancer Institute, National Institutes of Health
2014-03-07
[3]
논문
Pancreatic adenocarcinoma
2014-09
[4]
논문
Pancreatic adenocarcinoma
2012-05
[5]
논문
Recent progress in pancreatic cancer
2013-09
[6]
웹사이트
Draft Recommendation Statement: Pancreatic Cancer: Screening
https://www.uspreven[...]
US Preventive Services Task Force
2019-02-11
[7]
웹사이트
Can pancreatic cancer be prevented?
http://www.cancer.or[...]
American Cancer Society
2014-06-11
[8]
논문
Association between pancreatic cancer and diabetes: insights from a retrospective cohort study
2023-09
[9]
논문
Red and processed meat and pancreatic cancer risk: a meta-analysis
2023-09-27
[10]
논문
Red and processed meat consumption and risk of pancreatic cancer: meta-analysis of prospective studies
2012-01
[11]
논문
Meat and fish consumption and risk of pancreatic cancer: results from the European Prospective Investigation into Cancer and Nutrition
2013-02
[12]
서적
World Cancer Report
World Health Organization
2014
[13]
웹사이트
Pancreatic Cancer Treatment (PDQ®) Patient Version
http://www.cancer.go[...]
National Institutes of Health
2014-04-17
[14]
논문
Treatment of pancreatic cancer: A narrative review of cost-effectiveness studies
2013-12
[15]
논문
Global, regional, and national life expectancy, all-cause mortality, and cause-specific mortality for 249 causes of death, 1980–2015: a systematic analysis for the Global Burden of Disease Study 2015
2016-10
[16]
웹사이트
Cancer facts and figures – Why we exist
http://www.pcrf.org.[...]
Pancreatic Cancer Research Fund
2019-04-05
[17]
웹사이트
Pancreatic Cancer – Cancer Stat Facts
https://seer.cancer.[...]
2019-04-04
[18]
웹사이트
Five-Year Pancreatic Cancer Survival Rate Increases to 12%
https://pancan.org/n[...]
2023
[19]
웹사이트
Pancreatic Cancer Treatment (PDQ®) Health Professional Version
http://www.cancer.go[...]
National Institutes of Health
2014-02-21
[20]
논문
Diffusion-weighted MR imaging of solid and cystic lesions of the pancreas
[21]
서적
Epidemiology of Chronic Disease
Jones & Bartlett
[22]
논문
Neuroendocrine gastro-entero-pancreatic tumors: ESMO Clinical Practice Guidelines for diagnosis, treatment and follow-up
2012-10
[23]
서적
Handbook of Pancreatic Cancer
https://books.google[...]
Springer
2009
[24]
서적
DeVita, Hellman, and Rosenberg's Cancer: Cancer: Principles & Practice of Oncology
Lippincott Williams & Wilkins
2011
[25]
서적
Cancer and its Management
John Wiley & Sons
[26]
웹사이트
Types of Pancreas Tumors
http://pathology.jhu[...]
Johns Hopkins Medicine
2012
[27]
논문
Pancreatic cystic neoplasms: management and unanswered questions
2013-06
[28]
웹사이트
WHO classification of tumours of the digestive system – NLM Catalog – NCBI
https://www.ncbi.nlm[...]
[29]
웹사이트
https://web.archive.[...]
2014-10-16
[30]
논문
Neuroendocrine pancreatic tumors: guidelines for management and update
2012-03
[31]
논문
Pancreatic cancer
http://m-learning.zj[...]
2011-08
[32]
논문
New-onset diabetes: a potential clue to the early diagnosis of pancreatic cancer
2009-01
[33]
서적
Manual of clinical oncology
https://archive.org/[...]
Lippincott Williams & Wilkins
2009
[34]
서적
Manual for Staging of Cancer
American Joint Committee on Cancer
[35]
논문
Metastatic tumors to the pancreas: The role of surgery
2014-10
[36]
웹사이트
Causes of pancreatic cancer
http://www.nhs.uk/Co[...]
National Health Service, England
2014-10-07
[37]
논문
Lifestyle, dietary, and medical history factors associated with pancreatic cancer risk in Ontario, Canada
2009-08
[38]
논문
Cigarette smoking and pancreatic cancer: an analysis from the International Pancreatic Cancer Case-Control Consortium (Panc4)
2012-07
[39]
논문
Trajectories of body mass index, from adolescence to older adulthood, and pancreatic cancer risk; a population-based case-control study in Ontario, Canada
2019-09
[40]
논문
Genetic Testing in Pancreatic Ductal Adenocarcinoma: Implications for Prevention and Treatment
2016-07
[41]
논문
Genetic determinants and potential therapeutic targets for pancreatic adenocarcinoma
[42]
논문
Screening of high-risk families for pancreatic cancer
2009-05
[43]
논문
Cesium in Biology, Pancreatic Cancer, and Controversy in High and Low Radiation Exposure Damage-Scientific, Environmental, Geopolitical, and Economic Aspects
2021-08
[44]
웹사이트
Cancer Facts and Figures 2014
http://www.cancer.or[...]
2015-01-05
[45]
논문
Nutrition and pancreatic cancer
2014-01
[46]
논문
Surgical and molecular pathology of pancreatic neoplasms
2016-06
[47]
논문
Genetic and epigenetic alterations in pancreatic carcinogenesis
2011-03
[48]
논문
Intraductal Tubulopapillary Neoplasm of the Pancreas: An Update From a Pathologist's Perspective
2016-10
[49]
웹사이트
The human pathology proteome in pancreatic cancer – The Human Protein Atlas
https://www.proteina[...]
2017-09-28
[50]
논문
A pathology atlas of the human cancer transcriptome
2017-08
[51]
논문
Pancreatic Cancer: A Review
2021-09-07
[52]
논문
Molecular pathology and genetics of gastrointestinal neuroendocrine tumours
2014-02
[53]
논문
Clinical practice guidelines for multiple endocrine neoplasia type 1 (MEN1)
2012-09
[54]
논문
Diagnosis and management of pancreatic cancer
2014-04
[55]
논문
Courvoisier's gallbladder: law or sign?
2009-04
[56]
논문
New diagnostic imaging modalities for pancreatic disease
2011-09
[57]
논문
Therapeutic Implications of Molecular Subtyping for Pancreatic Cancer
https://pubmed.ncbi.[...]
2017-03
[58]
웹사이트
Solid pseudopapillary neoplasm
https://www.patholog[...]
[59]
논문
Adenosquamous carcinoma of the pancreas: a case report
2010-02
[60]
웹사이트
Pancreas – Exocrine tumors / carcinomas – Intraductal papillary mucinous neoplasm (IPMN)
[61]
논문
Pathologic Evaluation and Reporting of Intraductal Papillary Mucinous Neoplasms of the Pancreas and Other Tumoral Intraepithelial Neoplasms of Pancreatobiliary Tract: Recommendations of Verona Consensus Meeting
2016-01
[62]
논문
Pancreatic cancer: ESMO Clinical Practice Guidelines for diagnosis, treatment and follow-up
2010-05
[63]
웹사이트
Staging of pancreatic cancer
http://www.cancer.or[...]
2014-06-11
[64]
서적
Principles and Practice of Surgical Oncology: Multidisciplinary Approach to Difficult Problems
http://lwwoncology.c[...]
Wolters Kluwer/Lippincott Williams & Wilkins
2010
[65]
웹사이트
Pancreatic Neuroendocrine Tumors (Islet Cell Tumors) Treatment (PDQ®)–Health Professional Version
http://www.cancer.go[...]
[66]
웹사이트
Diet and activity factors that affect risks for certain cancers: Pancreatic cancer section
http://www.cancer.or[...]
2012-08-20
[67]
논문
Screening for Pancreatic Cancer: US Preventive Services Task Force Reaffirmation Recommendation Statement
2019-08
[68]
논문
Advances in pancreatic cancer research: moving towards early detection
2014-08
[69]
논문
Strategies for early detection of resectable pancreatic cancer
2014-08
[70]
논문
Pancreatic adenocarcinoma: ESMO-ESDO Clinical Practice Guidelines for diagnosis, treatment and follow-up
2012-10
[71]
논문
Management of patients with increased risk for familial pancreatic cancer: updated recommendations from the International Cancer of the Pancreas Screening (CAPS) Consortium
2020-01
[72]
논문
Aspirin use and pancreatic cancer risk: A systematic review of observational studies
2019-12
[73]
논문
Resection versus other treatments for locally advanced pancreatic cancer
2014-02
[74]
논문
Arterial resection during pancreatectomy for pancreatic cancer: a systematic review and meta-analysis
2011-12
[75]
웹사이트
Pancreatic adenocarcinoma. NCCN Guidelines Version 1.2015
http://www.nccn.org/[...]
National Comprehensive Cancer Network, Inc.
2014-12-04
[76]
논문
Improving outcomes in pancreatic cancer: key points in perioperative management
2014-10
[77]
논문
Borderline resectable pancreatic cancer: definitions and management
2014-08
[78]
논문
Neoadjuvant strategies for pancreatic cancer
2014-07
[79]
논문
Preoperative/neoadjuvant therapy in pancreatic cancer: a systematic review and meta-analysis of response and resection percentages
2010-04
[80]
논문
Additional support for neoadjuvant therapy in the management of pancreatic cancer
2015-06
[81]
논문
Role of neoadjuvant therapy in the management of pancreatic cancer: is the era of biomarker-directed therapy here?
2014-08
[82]
논문
Pancreatic cancer stem cells: new insight into a stubborn disease
2015-02
[83]
논문
Cancer stem cells: involvement in pancreatic cancer pathogenesis and perspectives on cancer therapeutics
2014-08
[84]
논문
Diagnostic accuracy of laparoscopy following computed tomography (CT) scanning for assessing the resectability with curative intent in pancreatic and periampullary cancer
2016-07
[85]
논문
Neoadjuvant treatment of borderline resectable and non-resectable pancreatic cancer
2013-10
[86]
논문
Treatment of metastatic pancreatic adenocarcinoma: a review
2014-01
[87]
웹사이트
Chemotherapy for advanced exocrine pancreatic cancer: Topic 2475, Version 46.0
http://www.uptodate.[...]
Wolters Kluwer Health
2014-07-08
[88]
웹사이트
Cancer Drug Information: FDA Approval for Erlotinib Hydrochloride
http://www.cancer.go[...]
National Institutes of Health
2013-07-03
[89]
논문
Nab-paclitaxel and gemcitabine for the treatment of patients with metastatic pancreatic cancer
2014-09
[90]
논문
Adjuvant chemoradiotherapy and chemotherapy in resectable pancreatic cancer: a randomised controlled trial
2001-11
[91]
논문
A randomized trial of chemoradiotherapy and chemotherapy after resection of pancreatic cancer
2004-03
[92]
웹사이트
Neuroendocrine tumors, NCCN Guidelines Version 1.2015
http://www.nccn.org/[...]
National Comprehensive Cancer Network, Inc. NCCN)
2014-11-11
[93]
논문
ENETS Consensus Guidelines for the management of patients with digestive neuroendocrine neoplasms of the digestive system: well-differentiated pancreatic non-functioning tumors
[94]
논문
ENETS Consensus Guidelines for the management of patients with digestive neuroendocrine neoplasms: functional pancreatic endocrine tumor syndromes
[95]
논문
ENETS Consensus Guidelines for the management of patients with liver and other distant metastases from neuroendocrine neoplasms of foregut, midgut, hindgut, and unknown primary
[96]
논문
Therapy for metastatic pancreatic neuroendocrine tumors
2014-01
[97]
웹사이트
FDA Approves Lanreotide for Neuroendocrine Tumors
http://www.medscape.[...]
WebMD LLC
2014-12-17
[98]
웹사이트
Everolimus Approved for Pancreatic Neuroendocrine Tumors
http://www.cancer.go[...]
2011-05-15
[99]
웹사이트
FDA Approval for Sunitinib Malate
http://www.cancer.go[...]
National Cancer Institute
[100]
서적
Pancreatic, neuroendocrine GI, and adrenal cancers. Cancer Management: A Multidisciplinary Approach
http://www.cancernet[...]
UBM Medica
[101]
논문
Radionuclide therapy in neuroendocrine tumours: a systematic review
2012-05
[102]
논문
Advances in diagnosis and treatment of pancreatic neuroendocrine tumors
2014-11
[103]
논문
Peptide receptor radionuclide therapy in patients with gastroenteropancreatic neuroendocrine tumors
2010-03
[104]
논문
Peptide receptor radionuclide therapy for advanced neuroendocrine tumors
2014-08
[105]
논문
Expert consensus for the management of advanced or metastatic pancreatic neuroendocrine and carcinoid tumors
2015-06
[106]
논문
Consensus Recommendations for the Diagnosis and Management of Pancreatic Neuroendocrine Tumors: Guidelines from a Canadian National Expert Group
2015-08
[107]
웹사이트
Palliative or Supportive Care
http://www.cancer.or[...]
American Cancer Society
2014
[108]
논문
Pancreatic cancer-improved care achievable
2014-08
[109]
웹사이트
If treatment for pancreatic cancer stops working
http://www.cancer.or[...]
American Cancer Society
2014-06-11
[110]
논문
Celiac plexus block for pancreatic cancer pain in adults
2011-03
[111]
웹사이트
Islet Cell Tumors of the Pancreas / Endocrine Neoplasms of the Pancreas
http://pathology.jhu[...]
Johns Hopkins Medicine
2012
[112]
웹사이트
Cancer Facts and Figures 2014
http://www.cancer.or[...]
[113]
논문
Cancer statistics, 2007
[114]
웹사이트
What are the key statistics about pancreatic cancer?
http://www.cancer.or[...]
2014-06-11
[115]
웹사이트
Pancreatic cancer statistics
http://www.cancerres[...]
[116]
논문
History of the pancreas
1983-11
[117]
논문
History of pancreaticoduodenectomy: early misconceptions, initial milestones and the pioneers
2011-06
[118]
논문
One thousand consecutive pancreaticoduodenectomies
2006-07
[119]
논문
Evolution of the Whipple procedure at the Massachusetts General Hospital
2012-09
[120]
웹사이트
What's new in pancreatic cancer research and treatment?
https://www.cancer.o[...]
2019
[121]
웹사이트
Pancreatic cancer research
http://www.cancerres[...]
[122]
웹사이트
Australian Pancreatic Genome Initiative
http://www.pancreati[...]
Garvan Institute
[123]
논문
Pancreatic cancer genomes reveal aberrations in axon guidance pathway genes
2012-11
[124]
논문
Role of bile acids in carcinogenesis of pancreatic cancer: An old topic with new perspective
2016-09
[125]
논문
Bile Acids in Pancreatic Carcinogenesis
2024-06
[126]
논문
Pancreatic cancer genomics: where can the science take us?
2015-09
[127]
논문
High-risk population in sporadic pancreatic adenocarcinoma: guidelines for screening
2015-03
[128]
웹사이트
About EUROPAC
http://www.europac-o[...]
University of Liverpool
[129]
논문
Laparoscopic pancreatic surgery: An overview of the literature and experiences of a single center
2014-02
[130]
논문
Irreversible electroporation: a novel pancreatic cancer therapy
[131]
논문
Systematic review of irreversible electroporation in the treatment of advanced pancreatic cancer
2014-12
[132]
논문
Smarter drugs emerging in pancreatic cancer therapy
2014-07
[133]
논문
Novel therapeutic targets for pancreatic cancer
2014-08
[134]
논문
Therapeutic options for the management of pancreatic cancer
2014-08
[135]
논문
Oncolytic viral therapy for pancreatic cancer: current research and future directions
[136]
논문
Tumor microenvironment participates in metastasis of pancreatic cancer
2018-07
[137]
서적
Hormone Related Cancer Mechanistic and Nanomedicines
Springer
2023-01-09
[138]
웹사이트
WHO Disease and injury country estimates
http://www.who.int/h[...]
2009-11-11
[139]
간행물
がん情報サービス「がん登録・統計」
https://ganjoho.jp/
国立がん研究センター
[140]
서적
やさしい腫瘍学
南江堂
[141]
뉴스
膵がんの転移や再発を司るがん幹細胞を発見 〜がんの芽を標的とした新たな治療法開発に光明〜
https://www.kumamoto[...]
熊本大学
2023-07-05
[142]
뉴스
膵がん転移の原因「幹細胞」を発見/熊本大など 治療法開発のカギに
https://www.asahi.co[...]
朝日新聞
2023-07-05
[143]
웹사이트
Pancreatic adenocarcinoma
https://web.archive.[...]
2021-04-07
[144]
웹사이트
肥満指数・運動量、喫煙・糖尿病歴と膵がんとの関連について
https://epi.ncc.go.j[...]
国立研究開発法人 国立がん研究センター
[145]
웹사이트
飲酒と膵がん罹患の関連について
https://epi.ncc.go.j[...]
国立研究開発法人 国立がん研究センター
[146]
웹사이트
肥満指数・運動量、喫煙・糖尿病歴と膵がんとの関連について
https://epi.ncc.go.j[...]
国立研究開発法人 国立がん研究センター
[147]
논문
Pancreatic cancer manifesting as Sister Mary Joseph nodule during follow up of a patient with type 2 diabetes mellitus: A case report
2019-04
[148]
논문
Association of soft drinks and 100% fruit juice consumption with risk of cancer: a systematic review and dose:response meta-analysis of prospective cohort studies
https://doi.org/10.1[...]
Springer
[149]
웹사이트
大豆食品の摂取量と膵がん罹患の関連
https://epi.ncc.go.j[...]
独立行政法人 国立がん研究センター がん予防・検診研究センター 予防研究部
[150]
논문
Clinical and genetic characteristics of hereditary pancreatitis in Europe
https://doi.org/10.1[...]
2004-03
[151]
웹사이트
Familial Atypical Multiple Mole Melanoma Syndrome
http://www.ncbi.nlm.[...]
アメリカ国立衛生研究所
2021-04-07
[152]
PDF
糖尿病と癌に関する委員会報告
http://www.fa.kyorin[...]
糖尿病と癌に関する委員会
2021-10-20
[153]
웹사이트
医師が膵がんを疑う最多のキッカケはこれだ・質問回答#103
https://www.youtube.[...]
がん防災チャンネル・現役がん治療医・押川勝太郎
2022-10-22
[154]
서적
図解 決定版 すい臓の病気と最新治療&予防法
[155]
웹사이트
消化器病学用語集
https://www.jsge.or.[...]
2021-12-29
[156]
PDF
嚢胞性膵腫瘍の新しい概念 診断・治療の進歩と問題点
https://www.jsgs.or.[...]
東海大学医学部外科学系消化器外科学
2021-09-22
[157]
웹사이트
Distinct methylation levels of mature microRNAs in gastrointestinal cancers
https://www.nature.c[...]
ネイチャー コミュニケーションズ
2021-04-02
[158]
웹사이트
膵がんプロジェクト
https://onomichi-gh.[...]
尾道総合病院
2023-07-05
[159]
웹사이트
膵臓がんの検診は「推奨しない」と米専門委
https://mainichi.jp/[...]
毎日新聞
2019-08-27
[160]
논문
膵癌取扱い規約改訂第7版―大幅改訂のコンセプトと新規項目の解説―
https://doi.org/10.1[...]
2017
[161]
웹사이트
HIFU(ハイフ)診療について|消化器内科|診療部門案内|東京医科大学病院
https://hospinfo.tok[...]
2024-04-19
[162]
웹사이트
膵臓診療ガイドライン 2016年版
http://www.suizou.or[...]
金原出版. (2016)
2019-10-31
[163]
웹사이트
八千草薫さんがすい臓がんで逝去 「たちの悪いがん」と言われる理由(山本健人)
https://news.yahoo.c[...]
2019-10-31
[164]
웹사이트
沈黙の膵臓がん
https://clinic.kosei[...]
[165]
간행물
대한민국 2020년 국가암등록통계
2022-12-28
[166]
논문
Global, regional, and national incidence, prevalence, and years lived with disability for 310 diseases and injuries, 1990–2015: a systematic analysis for the Global Burden of Disease Study 2015
2016-10
[167]
웹인용
What Is Cancer? Defining Cancer
http://www.cancer.go[...]
National Cancer Institute, National Institutes of Health
2014-03-07
[168]
논문
Therapeutic Implications of Molecular Subtyping for Pancreatic Cancer
https://pubmed.ncbi.[...]
2017-03
[169]
논문
Pancreatic adenocarcinoma
2014-09
[170]
논문
Pancreatic adenocarcinoma
2012-05
[171]
논문
Recent progress in pancreatic cancer
2013-09
[172]
웹인용
Draft Recommendation Statement: Pancreatic Cancer: Screening
https://www.uspreven[...]
US Preventive Services Task Force
2019-02-11
[173]
웹인용
Can pancreatic cancer be prevented?
http://www.cancer.or[...]
American Cancer Society
2014-06-11
[174]
논문
Red and processed meat consumption and risk of pancreatic cancer: meta-analysis of prospective studies
[175]
논문
Meat and fish consumption and risk of pancreatic cancer: Results from the European Prospective Investigation into Cancer and Nutrition
[176]
서적
World Cancer Report
https://archive.org/[...]
World Health Organization
2014
[177]
웹인용
Pancreatic Cancer Treatment (PDQ®) Patient Version
http://www.cancer.go[...]
National Institutes of Health
2014-04-17
[178]
저널
Treatment of pancreatic cancer: A narrative review of cost-effectiveness studies
2013-12
[179]
저널
Global, regional, and national life expectancy, all-cause mortality, and cause-specific mortality for 249 causes of death, 1980–2015: a systematic analysis for the Global Burden of Disease Study 2015
2016-10
[180]
웹인용
Cancer facts and figures – Why we exist
http://www.pcrf.org.[...]
Pancreatic Cancer Research Fund
2019-04-05
[181]
웹인용
Pancreatic Cancer – Cancer Stat Facts
https://seer.cancer.[...]
2019-04-04
[182]
웹인용
Five-Year Pancreatic Cancer Survival Rate Increases to 12%
https://pancan.org/n[...]
2023
[183]
웹인용
Pancreatic Cancer Treatment (PDQ®) Health Professional Version
http://www.cancer.go[...]
National Institutes of Health
2014-02-21
[184]
저널
Diffusion-weighted MR imaging of solid and cystic lesions of the pancreas.
https://pubmed.ncbi.[...]
[185]
서적
Epidemiology of Chronic Disease
Jones & Bartlett
[186]
저널
Neuroendocrine gastro-entero-pancreatic tumors: ESMO Clinical Practice Guidelines for diagnosis, treatment and follow-up
2012-10
[187]
서적
Handbook of Pancreatic Cancer
https://books.google[...]
Springer
2016-06-12
[188]
서적
DeVita, Hellman, and Rosenberg's Cancer: Cancer: Principles & Practice of Oncology
Lippincott Williams & Wilkins
2011
[189]
서적
Cancer and its Management
John Wiley & Sons
[190]
웹인용
Types of Pancreas Tumors
http://pathology.jhu[...]
Johns Hopkins Medicine
2014-11-18
[191]
저널
Pancreatic cystic neoplasms: management and unanswered questions
2013-06
[192]
웹인용
WHO classification of tumours of the digestive system – NLM Catalog – NCBI
https://www.ncbi.nlm[...]
2017-09-07
[193]
문서
The Medical Subject Headings indexing system refers to "islet cell carcinoma", which is subdivided into gastrinoma, glucagonoma, somatostatinoma, and VIPoma. See: 2014 MeSH tree at
[194]
저널
Neuroendocrine pancreatic tumors: guidelines for management and update
2012-03
[195]
저널
Pancreatic cancer
http://m-learning.zj[...]
2011-08
[196]
웹인용
Islet Cell Tumors of the Pancreas / Endocrine Neoplasms of the Pancreas
http://pathology.jhu[...]
Johns Hopkins Medicine
2015-01-05
[197]
저널
Diagnosis and management of pancreatic cancer
2014-04
[198]
저널
New-onset diabetes: a potential clue to the early diagnosis of pancreatic cancer
2009-01
[199]
서적
Manual of clinical oncology
Lippincott Williams & Wilkins
2009
[200]
서적
Manual for Staging of Cancer
American Joint Committee on Cancer
[201]
저널
Metastatic tumors to the pancreas: The role of surgery
2014-10
[202]
웹인용
Causes of pancreatic cancer
http://www.nhs.uk/Co[...]
National Health Service, England
2014-10-07
[203]
저널
Lifestyle, dietary, and medical history factors associated with pancreatic cancer risk in Ontario, Canada
2009-02-05
[204]
저널
Cigarette smoking and pancreatic cancer: an analysis from the International Pancreatic Cancer Case-Control Consortium (Panc4)
2012-07
[205]
저널
Trajectories of body mass index, from adolescence to older adulthood, and pancreatic cancer risk; a population-based case–control study in Ontario, Canada
2019-09-01
[206]
저널
Genetic Testing in Pancreatic Ductal Adenocarcinoma: Implications for Prevention and Treatment
2016-07
[207]
저널
Genetic determinants and potential therapeutic targets for pancreatic adenocarcinoma
[208]
저널
Screening of high-risk families for pancreatic cancer
2009-05
[209]
저널
Cesium in Biology, Pancreatic Cancer, and Controversy in High and Low Radiation Exposure Damage—Scientific, Environmental, Geopolitical, and Economic Aspects
2021-01
[210]
웹인용
Cancer Facts and Figures 2014
http://www.cancer.or[...]
2015-01-05
[211]
저널
Red and processed meat consumption and risk of pancreatic cancer: meta-analysis of prospective studies
2012-01
[212]
저널
Nutrition and pancreatic cancer
2014-01
[213]
저널
Surgical and molecular pathology of pancreatic neoplasms.
[214]
저널
Genetic and epigenetic alterations in pancreatic carcinogenesis
2011-03
[215]
저널
Intraductal Tubulopapillary Neoplasm of the Pancreas: An Update From a Pathologist's Perspective
2016-10
[216]
웹인용
The human pathology proteome in pancreatic cancer – The Human Protein Atlas
https://www.proteina[...]
2017-09-28
[217]
저널
A pathology atlas of the human cancer transcriptome
2017-08
[218]
저널
Molecular pathology and genetics of gastrointestinal neuroendocrine tumours
2014-02
[219]
저널
Clinical practice guidelines for multiple endocrine neoplasia type 1 (MEN1)
2012-09
[220]
저널
Cancer statistics, 2007
2007
[221]
웹인용
What are the key statistics about pancreatic cancer?
http://www.cancer.or[...]
2014-06-11
[222]
웹인용
Pancreatic cancer statistics
http://www.cancerres[...]
2014-12-18
본 사이트는 AI가 위키백과와 뉴스 기사,정부 간행물,학술 논문등을 바탕으로 정보를 가공하여 제공하는 백과사전형 서비스입니다.
모든 문서는 AI에 의해 자동 생성되며, CC BY-SA 4.0 라이선스에 따라 이용할 수 있습니다.
하지만, 위키백과나 뉴스 기사 자체에 오류, 부정확한 정보, 또는 가짜 뉴스가 포함될 수 있으며, AI는 이러한 내용을 완벽하게 걸러내지 못할 수 있습니다.
따라서 제공되는 정보에 일부 오류나 편향이 있을 수 있으므로, 중요한 정보는 반드시 다른 출처를 통해 교차 검증하시기 바랍니다.
문의하기 : help@durumis.com
